Pustular psoriasis face. Pustular Psoriasis: Types, Symptoms, and Treatment Options
What are the different types of pustular psoriasis. How is pustular psoriasis diagnosed. What are the treatment options for pustular psoriasis. What are the symptoms of von Zumbusch psoriasis. How does palmoplantar pustulosis affect the hands and feet. What causes acropustulosis and how is it treated.
Understanding Pustular Psoriasis: A Rare Form of Psoriasis
Pustular psoriasis is an uncommon variant of psoriasis, a chronic skin condition characterized by the formation of scaly, discolored patches. Unlike typical psoriasis, pustular psoriasis manifests as white, pus-filled blisters called pustules. These pustules are non-infectious and can appear on various parts of the body, though they rarely affect the face.
This rare condition affects only about 3.3% of people with psoriasis, according to a 2009 study using data collected between 1970 and 2000. Pustular psoriasis can occur in conjunction with other forms of psoriasis, such as plaque psoriasis, and may develop on specific areas like hands and feet or spread across the entire body.

Recognizing the Symptoms of Pustular Psoriasis
The onset of pustular psoriasis typically begins with painful, discolored areas of skin. Within hours, characteristic large blisters filled with non-infectious pus form. These blisters eventually turn brown and crusty. After they peel off, the skin may become shiny or scaly.
Common symptoms of pustular psoriasis include:
- Redness and inflammation of the skin
- Formation of white or yellowish pustules
- Pain and tenderness in affected areas
- Itching and burning sensations
- Peeling and scaling of the skin
Can pustular psoriasis be triggered by external factors? Yes, stress, infections, or certain medications can provoke flare-ups of pustular psoriasis. It’s important to identify and manage these triggers to help control the condition.
Diagnosing Pustular Psoriasis: What to Expect
Diagnosing pustular psoriasis involves a combination of physical examination and laboratory tests. Healthcare providers may perform the following:
- Visual inspection of the skin
- Complete blood count to check for signs of increased inflammation and white blood cell abnormalities
- Biopsy of a pustule for microscopic examination
During diagnosis, doctors may notice a decrease in lymphocytes, a type of white blood cell, in patients with pustular psoriasis. This information, combined with the characteristic appearance of the skin, helps confirm the diagnosis.

Von Zumbusch Psoriasis: The Most Severe Form
Von Zumbusch psoriasis, also known as acute generalized pustular psoriasis, is the most severe form of pustular psoriasis. It is extremely rare and can be life-threatening if left untreated.
Symptoms of Von Zumbusch Psoriasis
- Severe itching
- Fever
- Rapid pulse rate
- Muscle weakness
- Anemia
- Chills
- Dehydration
How does Von Zumbusch psoriasis progress? This condition often occurs in cycles, repeating every few days or weeks. It can lead to weight loss and exhaustion over time. Potential complications include hair and nail loss, secondary bacterial infections, and liver damage. In severe cases, it may result in cardiorespiratory failure if not properly managed.
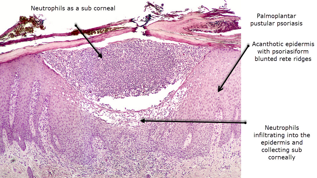
Palmoplantar Pustulosis (PPP): Affecting Hands and Feet
Palmoplantar pustulosis (PPP), also called localized pustulosis, is a type of pustular psoriasis that primarily affects the palms of the hands and soles of the feet. It typically forms:
- On the palms (usually at the base of the thumb)
- On the soles of the feet
- On the sides of the heels
PPP begins with pustules forming on top of red areas of skin, which later turn brown, peel, and form a crust. Like von Zumbusch psoriasis, PPP can come and go in cycles, leaving the skin rough and cracked.

Symptoms of Palmoplantar Pustulosis
- Itching
- Pain
- Burning sensation in hands and feet
- Difficulty walking and performing tasks with hands
Is there a connection between smoking and PPP? Research suggests that the incidence of PPP is higher among smokers compared to non-smokers, indicating a potential link between tobacco use and this condition.
Acropustulosis: Affecting Fingers and Toes
Acropustulosis is a form of pustular psoriasis that primarily affects the tips of fingers and toes. It is characterized by painful skin lesions that form on the ends of these extremities. When the pustules burst, they leave bright red, scaly patches that may ooze.
This type of psoriasis often results from a skin infection or injury. In severe cases, it can lead to nail deformities and physical changes in the bones and fingers.
Distinguishing Acropustulosis from Other Conditions
Acropustulosis is sometimes confused with hand, foot, and mouth disease (HFMD). How can you tell them apart? Unlike HFMD, acropustulosis is not accompanied by fever or systemic symptoms. Additionally, acropustulosis tends to be more chronic and recurrent compared to the typically self-limiting nature of HFMD.

Treatment Options for Pustular Psoriasis
The treatment of pustular psoriasis depends on the type, severity, and extent of the condition. Common treatment options include:
- Topical treatments: Corticosteroids, vitamin D analogues, and retinoids
- Systemic medications: Oral retinoids, methotrexate, or cyclosporine
- Biologics: TNF-alpha inhibitors, IL-17 inhibitors, or IL-23 inhibitors
- Phototherapy: UVB or PUVA treatment
- Supportive care: Hydration, pain management, and infection prevention
How effective are these treatments? The efficacy of treatments can vary from person to person. Many patients require a combination of therapies to achieve optimal control of their symptoms. It’s essential to work closely with a dermatologist to develop an individualized treatment plan.
Living with Pustular Psoriasis: Lifestyle Modifications and Self-Care
Managing pustular psoriasis often involves more than just medical treatments. Lifestyle modifications and self-care practices can play a crucial role in controlling symptoms and preventing flare-ups. Consider the following strategies:

- Moisturize regularly to keep skin hydrated and reduce scaling
- Avoid triggers such as stress, certain medications, and skin injuries
- Quit smoking and limit alcohol consumption
- Maintain a healthy diet rich in anti-inflammatory foods
- Exercise regularly to promote overall health and reduce stress
- Join support groups to connect with others living with pustular psoriasis
Can dietary changes help manage pustular psoriasis? While there’s no specific diet proven to cure pustular psoriasis, some people find that certain foods may trigger flare-ups. Keeping a food diary and working with a nutritionist can help identify potential dietary triggers and develop a balanced eating plan that supports skin health.
The Importance of Mental Health Support
Living with pustular psoriasis can be challenging, both physically and emotionally. The visible nature of the condition and its impact on daily activities can lead to stress, anxiety, and depression. Seeking mental health support through counseling or therapy can be beneficial in coping with the psychological aspects of the disease.

Research and Future Directions in Pustular Psoriasis Treatment
Ongoing research in the field of pustular psoriasis is focused on developing more targeted and effective treatments. Some areas of active investigation include:
- Genetic studies to identify specific mutations associated with pustular psoriasis
- Development of new biologics targeting specific inflammatory pathways
- Exploration of combination therapies for improved efficacy
- Investigation of novel drug delivery methods for topical treatments
What promising new treatments are on the horizon for pustular psoriasis? Several clinical trials are underway testing new biologics and small molecule inhibitors that target specific inflammatory pathways involved in pustular psoriasis. These emerging therapies hold promise for more effective and targeted treatment options in the future.
The Role of Personalized Medicine
As our understanding of the genetic and molecular basis of pustular psoriasis grows, there is increasing interest in personalized medicine approaches. This involves tailoring treatments to an individual’s specific genetic profile and disease characteristics, potentially leading to more effective and efficient management of the condition.

Raising Awareness and Advocacy for Pustular Psoriasis
Given the rarity of pustular psoriasis, raising awareness among both the general public and healthcare providers is crucial. Increased awareness can lead to earlier diagnosis, improved access to specialized care, and better support for those affected by the condition.
Patient advocacy groups play a vital role in:
- Providing education and resources for patients and caregivers
- Promoting research funding for pustular psoriasis
- Advocating for improved access to treatments and specialized care
- Fostering a sense of community among those affected by the condition
How can individuals get involved in pustular psoriasis advocacy? Participating in awareness campaigns, sharing personal stories, and supporting research initiatives are all valuable ways to contribute to the pustular psoriasis community and help advance understanding and treatment of this rare condition.
The Global Impact of Pustular Psoriasis
While pustular psoriasis is rare, its impact is felt worldwide. Collaborative international research efforts and global patient registries are helping to advance our understanding of the condition across different populations. These initiatives aim to identify potential geographic or ethnic variations in disease presentation and response to treatments, ultimately leading to more tailored and effective care strategies for patients around the world.

Диагностика, типы, лечение и прочее
Псориаз — это кожное заболевание, при котором на коже появляются обесцвеченные чешуйчатые пятна. Это может произойти на любом участке тела, но чаще всего на коленях и локтях.
Псориаз может развиться в любом возрасте, но средний возраст людей, у которых он развивается, составляет 15–35 лет. У детей в возрасте до 10 лет заболевание встречается редко.
Псориаз не заразен и может проявляться в разных формах. Одной из таких форм является пустулезный псориаз, при котором образуются белые, неинфекционные, заполненные гноем волдыри (пустулы). Это очень редкое заболевание, затрагивающее только 3,3 процента людей с псориазом, согласно более старому исследованию 2009 года.опрос. В исследовании использовались данные, собранные в период с 1970 по 2000 год.
Пустулезный псориаз может возникать в сочетании с другими формами псориаза, такими как бляшечный псориаз. Он может возникать в отдельных областях, таких как руки и ноги, или по всему телу.
Его редко можно увидеть на лице.
Обычно начинается с того, что участок кожи становится болезненным и обесцвечивается. В течение нескольких часов образуются характерные большие пузыри неинфекционного гноя. В конце концов, эти волдыри становятся коричневыми и покрытыми коркой. После того, как они отслоятся, кожа может стать блестящей или шелушащейся.
Поделиться на PinterestПустулезный псориаз — это редкая форма псориаза, которая проявляется в виде пустул на коже. Это происходит при вспышках и может быть обнаружено на руках. Mediscan/Alamy Stock PhotoПоделиться на PinterestЛюди с пустулезным псориазом также могут иметь классический псориаз, но не всегда. Стресс, инфекция или прием лекарств могут спровоцировать обострение пустулезного псориаза. Другой распространенной локализацией пустулезного псориаза являются стопы. puha dorin/ShutterstockShare on PinterestГнойничковые пустулы псориаза выглядят как маленькие круги и чувствительны к прикосновению. Гной может сочиться из пустул и вызывать инфекцию.
Фотография предоставлена Indian Dermatol Online/PubMed Central 9.0002 Пустулезный псориаз не является типичной кожной сыпью. Обратитесь к врачу, если заметите необычные изменения кожи или у вас появится сыпь, волдырь или открытая рана, состояние которых не улучшается или ухудшается.
Для диагностики пустулезного псориаза врач может выполнить общий анализ крови, чтобы проверить признаки повышенного воспаления и аномалии в лейкоцитах. Если у вас пустулезный псориаз, результаты анализа крови могут показать уменьшенное количество лимфоцитов, тип лейкоцитов.
Иногда врачи удаляют и исследуют образец пустулы для диагностики состояния.
Существует несколько типов пустулезного псориаза.
Пустулезный псориаз фон Цумбуша
Псориаз фон Цумбуша, или острый генерализованный пустулезный псориаз, является наиболее тяжелой формой пустулезного псориаза. Это очень редко.
Начинается с болезненных участков красной кожи. Пустулы образуются в течение нескольких часов и засыхают через 1–2 дня.
Псориаз фон Цумбуша может повторяться циклами, повторяясь каждые несколько дней или недель. Это редко встречается у детей, но когда это происходит, результат лучше, чем когда он появляется у взрослых. У детей состояние часто улучшается без лечения.
Симптомы могут включать в себя:
- Тяжелый зуд
- Лихорадка
- Быстрая скорость пульса
- Мышечная слабость
- Анемия
- Охлаждение
- Dehydration
. Со временем псориаз фон Цумбуша может вызвать потерю веса и истощение.
Потенциальные осложнения включают выпадение волос и ногтей, вторичную бактериальную инфекцию и повреждение печени. Если его не лечить, это может привести к сердечно-дыхательной недостаточности.
Ладонно-подошвенный пустулез (ППП)
Ладонно-подошвенный пустулез (ППП) также называют локализованным пустулезом. Этот тип пустулезного псориаза формируется на:
- ладонях (обычно у основания большого пальца)
- подошвах
- боковых сторонах пяток
Пустулы начинаются поверх красных участков кожи а позже становятся коричневыми, отслаиваются и образуют корку.
Как и в случае псориаза фон Цумбуша, ППС может возникать и исчезать циклически, оставляя кожу грубой и потрескавшейся. У курящих людей заболеваемость ППС выше, чем у некурящих.
Симптомы могут включать:
- зуд
- боль
- жжение в руках и ногах
- трудности при ходьбе и выполнении задач руками
акропустулез Его легко идентифицировать по болезненным кожным поражениям, которые образуются на концах пальцев рук и ног. Когда пустулы лопаются, они оставляют ярко-красные чешуйчатые пятна, которые могут сочиться.
Этот тип псориаза обычно возникает в результате кожной инфекции или повреждения кожи. Это может стать достаточно серьезным, чтобы вызвать деформацию ногтей на ногах и физические изменения костей и пальцев.
Акропустулез иногда путают с болезнью рук, ног и рта (HFMD). В отличие от HFMD, акропустулез не сопровождается лихорадкой или болью в горле.
Эксперты не уверены в точной причине псориаза, но они знают, что иммунная система играет определенную роль.
Спровоцировать псориаз или повысить риск его развития могут различные факторы. Триггеры пустулезного псориаза включают:
- эмоциональный стресс
- беременность
- повреждение кожи
- инфекция
- воздействие некоторых металлов или химических веществ
- чрезмерное воздействие ультрафиолетового (УФ) света
- каменноугольная смола, которая используется в некоторых естественных методах лечения псориаза К ним относятся местные лекарства и системные лекарства, такие как кортикостероиды. Обострения обычно начинаются примерно через 2–3 недели после начала приема препарата.
Пустулезный псориаз также может быть вызван быстрой отменой местных или системных кортикостероидов, таких как преднизолон (Rayos). Преднизолон используется для лечения некоторых кожных заболеваний, но, как правило, не рекомендуется при псориазе из-за обострений, которые он может вызвать.
Но исследование 2021 года, в котором приняли участие 1970 человек с псориазом, показало, что после 3 месяцев приема системных кортикостероидов очень немногие люди с пустулезным псориазом испытали тяжелые обострения.

Ниже перечислены некоторые лекарства, которые могут вызвать пустулезный псориаз:
- некоторые бета-блокаторы для лечения заболеваний сердца, такие как пропранолол (Inderal LA) и надолол (Corgard)
- нестероидные противовоспалительные препараты (НПВП), включая аспирин, ибупрофен (Advil, Motrin) и рецептурные препараты напроксен (Anaprox DS, Naprelan, Naprosyn) и индометацин (Indocin)
- литий (Lithobid)
- противомалярийные препараты, такие как гидроксихлорохин (Plaquenil) и хлорохин
- антралин (Drithocreme, Dritho-Scalp), местное лекарство, используемое для лечения выпадения волос очень редкий вариант. Это может быть опасно для жизни матери и плода, если его не лечить.
Пустулезный псориаз беременных чаще всего проявляется в начале третьего триместра. Он может появиться при будущих беременностях, как правило, на более ранней стадии.
Симптомы могут включать:
- заполненные гноем шишки на внутренней поверхности бедер и в паху, которые сливаются и распространяются
- пустулы во рту и под ногтями
Хотя точная причина неизвестна, некоторые возможные факторы риска могут быть семейная история псориаза или генная мутация, вызванная повышением уровня прогестерона.

Ваше лечение будет зависеть от типа пустулезного псориаза и его серьезности. Иногда требуется несколько попыток или комбинация методов лечения, чтобы найти наиболее эффективный подход.
Ваш врач, вероятно, сначала пропишет мази, потому что они успокаивают кожу и уменьшают воспаление.
УФ-излучение, как естественное, так и искусственное, используется для лечения псориаза. ПУВА-терапия представляет собой комбинацию УФ-излучения и псоралена, перорального препарата, который делает вашу кожу более чувствительной к нему. ПУВА расшифровывается как псорален плюс ультрафиолет А.
Ваш врач может также назначить такие лекарства, как:
- ацитретин (сориатан), пероральный ретиноид
- циклоспорин (генграф, неорал, сандиммун)
- инъекционные формы метотрексата (Otrexup, Rasuvo), которые подавляют иммунную систему Ингибиторы 12/23, такие как устекинумаб (Стелара)
Блокаторы ФНО-альфа и ингибиторы интерлейкина-12/23 относятся к группе сильнодействующих препаратов, известных как биологические препараты.

Общие методы лечения различных типов пустулезного псориаза также описаны ниже.
Псориаз фон Цумбуша
Лечение псориаза фон Цумбуша может включать антибиотики, регидратацию и кремы.
Если они не помогают, врач может назначить пероральный кортикостероид для облегчения симптомов. Внезапная отмена пероральных кортикостероидов может вызвать рецидив псориаза фон Цумбуша.
Вам придется постепенно отучать себя от этого лекарства под наблюдением врача. Поговорите со своим врачом о рисках пероральных кортикостероидов, чтобы полностью понять их эффекты.
Лечение псориаза фон Цумбуша также требует мер по предотвращению обезвоживания и инфекции кожи.
Ладонно-подошвенный пустулез
Для лечения ладонно-подошвенного пустулеза (ППП) может потребоваться комбинация различных методов лечения, таких как местное лечение, УФ-терапия или иммунодепрессанты, такие как метотрексат.
Акропустулез
Существует мало данных о том, что эффективно лечит акропустулез.
Это состояние встречается очень редко и, вероятно, требует комбинации мазей и лекарств.Пустулезный псориаз беременных
Этот очень редкий тип пустулезного псориаза трудно поддается лечению. Обычно назначаемые лекарства от пустулезного псориаза, такие как пероральные ретиноиды, не рекомендуются во время беременности, поскольку они могут вызвать проблемы с развитием плода.
Вместо этого могут быть назначены такие методы лечения, как высокие дозы кортикостероидов, циклоспорина или инфликсимаба. Терапия ультрафиолетовым излучением или антибиотики также являются возможными методами лечения.
Вы можете обнаружить, что естественные варианты лечения эффективны против псориаза, если они используются вместе с традиционными средствами.
- Крем с алоэ вера, содержащий 0,5% алоэ, может помочь уменьшить шелушение и покраснение.
- Иглоукалывание может облегчить боль, хотя клинических исследований его способности лечить пустулезный псориаз не проводилось.

- Капсаицин, вещество, придающее остроту перцу чили, входит в состав кремов и мазей. Это может уменьшить боль, блокируя ваши нервные окончания. Он также может помочь уменьшить воспаление и покраснение, но необходимы дополнительные исследования, чтобы определить его эффективность.
- Английская соль, добавленная в воду для принятия ванн, может помочь удалить чешуйки и уменьшить зуд.
- Куркумин, химическое вещество, содержащееся в куркуме, обладает противовоспалительными свойствами, которые могут изменить экспрессию генов. Это помогает уменьшить вспышки псориаза.
Обязательно поговорите с врачом, прежде чем попробовать какое-либо из этих средств.
Диета, богатая противовоспалительными продуктами, может помочь предотвратить обострения и уменьшить вероятность развития сопутствующих заболеваний, таких как псориатический артрит или болезни сердца.
Несмотря на то, что исследований диет, которые могут конкретно воздействовать на пустулезный псориаз, мало, для предотвращения обострений псориаза в целом рекомендуются следующие продукты и добавки:
- овощи, такие как брокколи, цветная капуста и листовая зелень, такая как капуста и шпинат
- ягоды, вишня, виноград и другие темные фрукты
- жирная рыба, включая лосося, сардины и форель
- добавки с рыбьим жиром (более раннее исследование 1988 года показало значительное улучшение у участника с пустулезным псориазом, принимавшего добавки с рыбьим жиром)
- добавки с витамином B12, витамином D и селеном
Старайтесь избегать следующих продуктов и напитков:
- красное мясо
- переработанное мясо, такое как бекон и колбаса
- яйца
- продукты и напитки, содержащие глютен , макароны и пиво
- пасленовые растения, включая томаты, картофель и перец
- спирт
Внешний вид вашей кожи может вызывать чувство беспокойства, но перспективы пустулезного псориаза хорошие, если вы проходите лечение.

Лечение может улучшить и в конечном итоге очистить кожу. Ваш прогноз будет зависеть от:
- типа пустулезного псориаза
- частоты обострений
- вашей реакции на лечение
- вашего общего состояния здоровья
мировоззрение. У пожилых людей, особенно с пустулезным псориазом фон Цумбуша, необходимо агрессивное лечение для предотвращения серьезных осложнений. Лечение также поможет снизить риск обострения.
Важно принять меры, чтобы избежать триггеров. Эти шаги включают:
- избегание факторов окружающей среды
- отказ от курения, если вы курите
- ограничение пребывания на солнце
- сведение к минимуму употребления алкоголя
- принятие мер по снижению стресса, например, упражнения на глубокое дыхание или достаточное количество сна
- регулярные физические упражнения
2
Вы также можете обратиться за консультацией или в группу поддержки. Группы поддержки могут дать совет или информацию о лечении или новых исследованиях.
Разговор с кем-то о том, как вы себя чувствуете в своем состоянии, может помочь справиться с любой тревогой или стрессом.Пустулезный псориаз: варианты лечения
Болезни и состояния
Ресурсный центр по коронавирусу
Прыщи
Экзема
Выпадение волос
Псориаз
Розацеа
Рак кожи
Болезни от А до Я
Видео от А до Я
- Средство от прыщей своими руками
- Как лечат дерматологи
- Уход за кожей: кожа, склонная к акне
- Причины
- Это действительно прыщи?
- Типы и обработка
- Детская экзема
- Экзема взрослых
- Внутренние секреты
- Типы выпадения волос
- Средство от выпадения волос
- Причины выпадения волос
- Уход за волосами имеет значение
- Внутренние секреты
- Что такое псориаз
- Диагностика и лечение
- Уход за кожей, волосами и ногтями
- Триггеры
- Внутренние секреты
- Что такое розацеа
- Лечение
- Уход за кожей и триггеры
- Внутренние секреты
- Типы и обработка
- Найти рак кожи
- Профилактика рака кожи
- Повышение осведомленности
- Испанский
Избранное
Оспа обезьян: что нужно знать
Оспа обезьян — заразное заболевание, вызывающее сыпь.
Сертифицированный дерматолог объясняет, как выглядит сыпь и когда обращаться за медицинской помощью.Когда лечить контагиозный моллюск
Это заразное кожное заболевание обычно проходит само по себе, но иногда дерматологи рекомендуют лечить его. Узнайте, когда.
Повседневный уход
Основы ухода за кожей
Секреты ухода за кожей
Поврежденная кожа
Зудящая кожа
защита от солнца
Уход за волосами и кожей головы
Секреты ухода за ногтями.

- Основной уход за кожей
- Сухая, жирная кожа
- Удаление волос
- Татуировки и пирсинг
- Антивозрастной уход за кожей
- Для лица
- Для ухода за кожей
- Предотвращение проблем с кожей
- Укусы и укусы
- Ожоги, порезы и другие раны
- Средство от зуда
- Ядовитый плющ, дуб и сумах
- Сыпь
- Тень, одежда и солнцезащитный крем
- Солнечные повреждения и ваша кожа
- Подготовка к защите от солнца
- Ваши волосы
- Ваш скальп
- Основы ухода за ногтями
- Маникюр и педикюр
Избранное
Практикуйте безопасное солнце
Все подвержены риску рака кожи.
Эти советы дерматологов расскажут вам, как защитить вашу кожу.Избавьтесь от неконтролируемого зуда кожи
Узнайте, что может вызывать зуд и что может облегчить его.
Более темные тона кожи
Секреты ухода за кожей
Уход за волосами
Выпадение волос
Заболевания и состояния
- Акне
- Темные пятна
- Световые пятна
- Удары бритвой
- Уход за черными волосами
- Псориаз волосистой части головы
- Плетение и удлинение
- Центральная центробежная рубцовая алопеция
- Фронтальная фиброзирующая алопеция
- Прически, которые тянут, могут вызвать выпадение волос
- Черный акантоз
- Затылочные келоидные угри
- Гнойный гидраденит
- Келоидные рубцы
- Волчанка и ваша кожа
- Саркоидоз и ваша кожа
- Рак кожи
- Витилиго
- Другие заболевания и состояния
Избранное
Исчезают темные пятна
Узнайте, почему появляются темные пятна и что может их осветлить.

Неизлечимые прыщи или прыщи?
Если у вас на затылке или коже головы есть ощущение, похожее на бугорки или прыщи, возможно, у вас келоидные угри в области затылка. Узнайте, что может помочь.
Косметические процедуры
Ваша безопасность
Пигментные пятна и темные пятна
Удаление целлюлита и жира
Удаление волос
Шрамы и растяжки
Морщины
Кожа выглядит моложе
Избранное
Лазерное удаление волос
Вы можете ожидать постоянных результатов во всех областях, кроме одной.
Знаете какой?Лечение рубцов
Если вы хотите уменьшить заметный шрам, узнайте об этих 10 вещах, прежде чем приступать к лазерной процедуре.
Ботокс
Может разгладить глубокие морщины и морщины, но результаты не являются постоянными. Вот как долго действует ботокс.
Программы общественного здравоохранения
Осведомленность о раке кожи
Бесплатные обследования на рак кожи
Детский лагерь
Хорошее знание кожи
Гранты структуры теней
Рак кожи, в поход!™
Информационные кампании
Флаеры и плакаты
Втягиваться
- Планы уроков и мероприятия
- Гранты сообщества
Избранное
Бесплатные материалы, которые помогут повысить осведомленность о раке кожи
Используйте эту профессиональную онлайн-инфографику, плакаты и видеоролики, чтобы помочь другим найти и предотвратить рак кожи.

Утвержденные дерматологами планы уроков, упражнения, которые вы можете использовать
Эти материалы, бесплатные для всех, рассказывают молодым людям о распространенных кожных заболеваниях, что может предотвратить недопонимание и травлю.
Найти дерматолога
Найдите дерматолога
Что такое дерматолог?
ФААД: что это значит
Как выбрать дерматолога
Телемедицинские назначения
Предварительное разрешение
Дерматологи объединяются для улучшения ухода за пациентами
Избранное
Найдите дерматолога
Вы можете осуществлять поиск по местонахождению, состоянию и процедуре, чтобы найти подходящего дерматолога.





Это состояние встречается очень редко и, вероятно, требует комбинации мазей и лекарств.

Разговор с кем-то о том, как вы себя чувствуете в своем состоянии, может помочь справиться с любой тревогой или стрессом.
Сертифицированный дерматолог объясняет, как выглядит сыпь и когда обращаться за медицинской помощью.
Эти советы дерматологов расскажут вам, как защитить вашу кожу.
Знаете какой?
