Squamous cell carcinoma of skin pictures. Squamous Cell Carcinoma: Warning Signs, Images, and Prevention Tips
What are the warning signs of squamous cell carcinoma. How can you identify SCC through images. What steps can you take to prevent and detect squamous cell carcinoma early. How do celebrities deal with skin cancer diagnoses.
Understanding Squamous Cell Carcinoma (SCC)
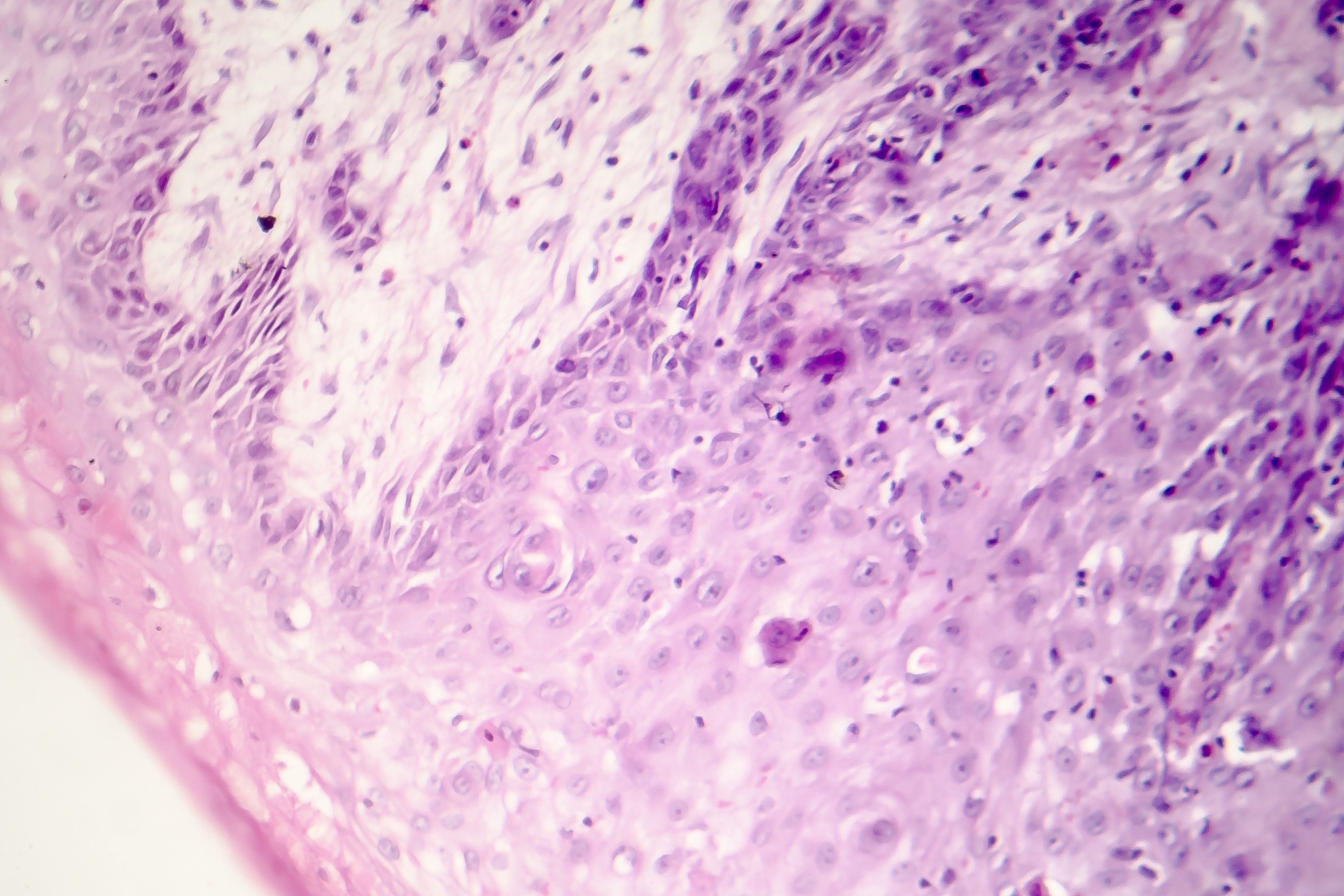
Squamous cell carcinoma (SCC) is a common form of skin cancer that develops in the squamous cells of the skin’s outer layer. While highly treatable when caught early, advanced cases can become dangerous. Therefore, recognizing the warning signs and seeking prompt medical attention is crucial.
Where Does SCC Typically Develop?
SCC most commonly appears on areas of the body frequently exposed to ultraviolet (UV) radiation, including:
- Face and lips
- Ears and scalp
- Neck and shoulders
- Back of hands and forearms
Additionally, SCC can develop in areas with previous skin injuries, such as scars or chronic sores. The surrounding skin often exhibits signs of sun damage, including wrinkles, pigment changes, and loss of elasticity.

Recognizing the Warning Signs of SCC
Identifying potential SCC lesions early is vital for successful treatment. Here are some key warning signs to watch for:
- Thick, rough, scaly patches that may crust or bleed
- Wart-like growths
- Open sores that don’t heal completely
- Raised growths with a central depression, possibly bleeding or itching
Can SCC appear differently from these descriptions? Yes, SCC can manifest in various ways. If you notice any unusual skin changes or persistent sores, it’s essential to consult a dermatologist for proper evaluation.
Visual Guide: SCC Images and Their Characteristics
To better understand the appearance of SCC, let’s examine some specific examples:
- A persistent, scaly red patch with irregular borders, sometimes crusting or bleeding
- An elevated growth with a central depression that occasionally bleeds and may rapidly increase in size
- An open sore that bleeds or crusts and persists for weeks
- A wart-like growth that crusts and occasionally bleeds
Are these the only ways SCC can appear? No, these images serve as general references. SCC can have varying appearances, which is why professional evaluation is crucial for accurate diagnosis.

Proactive Steps for SCC Prevention and Early Detection
Taking a proactive approach to skin health can significantly reduce your risk of developing SCC and improve outcomes if it does occur. Consider incorporating these practices into your routine:
Monthly Self-Examinations
How often should you examine your skin? Perform a thorough self-examination from head to toe once a month. Look for new or changing lesions that grow, bleed, or fail to heal. Familiarize yourself with your skin’s normal appearance to easily spot any changes.
Annual Professional Skin Exams
Why are annual dermatologist visits important? Even if you don’t notice anything suspicious, scheduling a yearly professional skin exam is crucial. Dermatologists are trained to identify subtle abnormalities that may not be visible to the untrained eye. They can also examine hard-to-see areas of your body.
Sun Safety Practices
What’s the most effective way to reduce skin cancer risk? Incorporating daily sun protection into your lifestyle is paramount. This includes:

- Applying broad-spectrum sunscreen with SPF 30 or higher
- Wearing protective clothing, including wide-brimmed hats and sunglasses
- Seeking shade, especially during peak sun hours (10 am to 4 pm)
- Avoiding tanning beds and sunburns
Celebrities and Skin Cancer: A Reminder of Universal Risk
Skin cancer doesn’t discriminate, affecting people from all walks of life, including celebrities. Their stories serve as powerful reminders of the importance of skin cancer awareness and prevention.
Terry Bradshaw’s Battle with Multiple Cancers
In 2022, NFL legend Terry Bradshaw revealed his fights against bladder cancer and a rare form of skin cancer called Merkel cell carcinoma. After treatment at MD Anderson Cancer Center, Bradshaw announced he was cancer-free, highlighting the importance of early detection and proper treatment.
Witney Carson’s Early Melanoma Diagnosis
Professional dancer Witney Carson discovered melanoma on her foot at just 22 years old. With a family history of the disease, Carson has become a vocal advocate for regular skin exams and early detection. Her experience underscores that skin cancer can affect people of all ages.

Do celebrity skin cancer stories impact public awareness? Yes, when public figures share their experiences with skin cancer, it often leads to increased awareness and encourages others to prioritize skin health and regular check-ups.
The Importance of Vigilance: When to Seek Medical Attention
While regular self-examinations and annual dermatologist visits are crucial, it’s essential to know when to seek immediate medical attention. Consider the following guidelines:
Red Flags That Warrant a Doctor’s Visit
- A sore that doesn’t heal within two weeks
- A mole or spot that changes in size, shape, or color
- Any skin growth that bleeds, itches, or becomes painful
- A spot that looks different from all others on your skin (the “ugly duckling” sign)
Should you wait for your annual check-up if you notice these signs? No, if you observe any of these red flags or have concerns about a particular spot, schedule an appointment with your dermatologist as soon as possible. Early detection and treatment significantly improve outcomes for skin cancer patients.

Advancements in SCC Treatment and Research
As medical science progresses, new treatments and diagnostic tools for squamous cell carcinoma continue to emerge. Some recent advancements include:
Immunotherapy
How does immunotherapy work for SCC? Immunotherapy drugs help stimulate the body’s immune system to recognize and attack cancer cells. This approach has shown promise in treating advanced cases of SCC that have not responded to other treatments.
Targeted Therapy
What is targeted therapy for SCC? This treatment approach uses drugs that specifically target certain molecules involved in cancer growth and spread. By focusing on these specific targets, targeted therapies can be more effective and potentially have fewer side effects than traditional chemotherapy.
Improved Diagnostic Tools
Are there new ways to diagnose SCC? Advanced imaging techniques, such as confocal microscopy and optical coherence tomography, allow dermatologists to examine suspicious lesions at the cellular level without the need for a biopsy. These non-invasive methods can lead to earlier and more accurate diagnoses.

While these advancements offer hope for improved SCC treatment, prevention and early detection remain the most effective strategies for managing this common skin cancer.
Building a Comprehensive Skin Cancer Prevention Strategy
Creating a well-rounded approach to skin cancer prevention involves more than just sunscreen application. Consider incorporating these additional strategies into your routine:
Dietary Considerations
Can diet play a role in skin cancer prevention? While not a substitute for sun protection, some studies suggest that certain foods may help boost your skin’s natural defenses against UV damage. Consider incorporating the following into your diet:
- Foods rich in antioxidants (berries, leafy greens, nuts)
- Omega-3 fatty acids (fatty fish, flaxseeds, chia seeds)
- Lycopene-rich foods (tomatoes, watermelon, pink grapefruit)
Environmental Awareness
How can you protect yourself in different environments? Be mindful of situations that may increase your UV exposure:
- Reflective surfaces (water, sand, snow) can intensify UV radiation
- Higher altitudes have stronger UV rays
- UV rays can penetrate clouds, so sun protection is necessary even on overcast days
Clothing Choices
What types of clothing offer the best sun protection? When selecting clothing for sun protection, consider:

- Tightly woven fabrics
- Dark or bright colors (which absorb more UV rays than light colors)
- UPF-rated clothing specifically designed for sun protection
- Long-sleeved shirts and long pants
By combining these strategies with regular skin checks and dermatologist visits, you can significantly reduce your risk of developing squamous cell carcinoma and other forms of skin cancer.
Remember, skin cancer prevention is a lifelong commitment. By staying informed, vigilant, and proactive about your skin health, you can enjoy the outdoors safely and maintain healthy, beautiful skin for years to come.
Squamous Cell Carcinoma Warning Signs and Images
Translation:
En Español
When caught promptly, almost all squamous cell carcinomas (SCCs) of the skin can be successfully treated. But when they become more advanced, these skin cancers can become dangerous.
That’s why it’s important to be on the lookout for any SCC warning signs, including new, changing or unusual skin growths.
How to spot an SCC
SCC of the skin can develop anywhere on the body but is most often found on exposed areas exposed to ultraviolet (UV) radiation like the face, lips, ears, scalp, shoulders, neck, back of the hands and forearms. SCCs can develop in scars, skin sores and other areas of skin injury. The skin around them typically shows signs of sun damage such as wrinkling, pigment changes and loss of elasticity.
SCCs can appear as thick, rough, scaly patches that may crust or bleed. They can also resemble warts, or open sores that don’t completely heal.
Sometimes SCCs show up as growths that are raised at the edges with a lower area in the center that may bleed or itch.
SCC images
The following photos show SCC warning signs to watch for. To view more photos, visit our Skin Cancer Pictures page.
A persistent, scaly red patch with irregular borders that sometimes crusts or bleeds.
An elevated growth with a central depression that occasionally bleeds. It may rapidly increase in size.
An open sore that bleeds or crusts and persists for weeks.
A wart-like growth that crusts and occasionally bleeds.
SCCs can also look different from the descriptions above. If you notice anything unusual, such as a sore that fails to heal, or a new spot, make an appointment with your dermatologist.
Please note: Since not all SCCs have the same appearance, these photos serve as a general reference for what they can look like.
What you can do
Examine yourself head to toe once a month: Keep an eye out for new or changing lesions that grow, bleed, or do not heal.
Learn how to check your skin here.
When in doubt, check it out. Follow your instincts and visit your doctor if you see a spot that just doesn’t seem right.
See your dermatologist for a professional skin exam every year even if you don’t see anything suspicious. These specialists are skilled at identifying and treating abnormal skin growths that may be undetectable to the untrained eye and can check areas of your body that are difficult for you to see yourself.
Follow up regularly: Especially if you’ve already had either SCC or basal cell carcinoma (BCC), melanoma or precancers like actinic keratosis, be sure to see your dermatologist for a skin exam at recommended intervals.
Practice sun safety: Making daily sun protection a part of your lifestyle is the single most effective way to reduce your risk of developing skin cancer.
Reviewed by:
Elizabeth K. Hale, MD
C.
William Hanke, MD
Last updated: February 2022
This section made possible with support from
Find a Dermatologist
Recommended Products
English
Celebrities and Skin Cancer – They’re Just Like Us
US Weekly is famous for its “Stars – They’re Just Like Us” feature. The column includes photos of celebrities in their daily lives, being “normal” people. They catch them in the act of everyday tasks like grocery shopping, eating pizza and, gasp, even pumping their own gas!
Given the prevalence of skin cancer in the United States, it’s not surprising that so many celebrities have had the disease. In fact, one out of every five Americans is going to get skin cancer. In our very own “Just Like Us” feature, we’re sharing about celebrities you may not realize have had the world’s most common cancer.
Terry Bradshaw
In the fall of 2022, Hall of Fame quarterback Terry Bradshaw revealed during a Fox NFL Sunday broadcast that he had battled two forms of cancer in the past year — bladder cancer and skin cancer.
Bradshaw discovered a tumor on his neck that turned out to be a rare form of skin cancer called Merkel cell carcinoma. He received treatment at the MD Anderson Cancer Center in Houston and told the audience that he was fortunately now “cancer free and feeling great.”
Witney Carson
The “Dancing with the Stars” phenom was just 22 years of age when she discovered a melanoma on her foot. Carson, whose father had melanoma, has been vocal in advocating for regular skin exams and the importance of early detection. In 2016, she shared her powerful story at our Champions for Change Gala in New York City.
Regardless of whether you have a star on the Hollywood Walk of Fame or have never set foot in Tinseltown, everyone is at risk for skin cancer. These celebrities’ stories serve as a great reminder of the importance of daily protection and the need for regular skin exams. If you have yet to schedule your annual check-up with your dermatologist, we encourage you to do so today.
When it comes to your skin health, there is no time like the present!
Sam Champion
Award-winning weather anchor Sam Champion was diagnosed with his first skin cancer while still in his 20s, an experience he blames on his younger years of tanning. Since then, he’s had multiple surgeries to remove suspicious moles and one confirmed basal cell carcinoma. Champion underwent his latest surgery live-on-the-air in an effort to educate people about the consequences of unprotected sun exposure.
Since his skin cancer scare, he has consistently urged viewers to slather on sunscreen and get their skin checked. He’s even hosted the Skin Cancer Foundation’s annual gala more than once!
Andy Cohen
In November 2016, the popular talk show host, author and producer announced he had a melanoma on his lip removed after celebrity friend Kelly Ripa urged him to have a suspicious spot checked out. The former self-proclaimed “tanorexic” has said the experience changed his relationship with the sun.
Anderson Cooper
While covering the 2008 election, the popular journalist made headlines when he appeared on the air with a black eye and bandage. Cooper warned viewers before the broadcast that he had a minor procedure to remove a skin cancer that luckily hadn’t spread.
Melanie Griffith
Several years ago, the American actress caused concern among fans when she was spotted with a black eye. She later revealed that this was the result of a skin cancer removal procedure.
Hugh Jackman
Perhaps best known for his portrayal of Wolverine in the X-Men movies, the Australian actor publicly shared his skin cancer struggles with fans. Jackman has had several skin cancers removed in recent years and regularly takes to social media to remind his fans of the importance of sun protection and regular skin exams.
Diane Keaton
The Oscar-winning actress was diagnosed with the most common form of skin cancer, basal cell carcinoma (BCC), at the young age of 21.
Several years ago, she was diagnosed with the second most common form of the disease, squamous cell carcinoma. Keaton encourages her fans to practice proper sun protection and has spoken openly about her family’s history with the disease (both her father and brother have had BCCs removed).
Khloe Kardashian
The reality star has been vocal about her skin cancer experiences. In a 2017 meeting with Hollywood medium Tyler Henry, she reported that she has had two skin cancers removed (one of which was a melanoma on her back) and that she gets skin exams every three months.
In October 2022, Kardashian revealed that she had another tumor removed from her face. While she did not disclose which type of skin cancer she was diagnosed with, Kardashian said her doctors mentioned that the tumor was “incredibly rare” for someone her age.
Kardashian has shared the ABCDEs with her social media followers and encourages regular skin checks.
Donal Logue
The actor, producer and writer who starred in “Sons of Anarchy” and “Vikings” was diagnosed with a squamous cell carcinoma on his forehead in 2014.
While his doctor successfully removed the cancer after two rounds of surgery, the actor has said that he is at very high risk of another. In reflecting on the experience Logue said: “Today, when I check my face in the mirror for new growths, I wish I could shake that young boy I once was, running around under the hot, desert sun without protection, for doing such ineradicable damage to his future skin.”
Andy Cohen
In November 2016, the popular talk show host, author and producer announced he had a melanoma on his lip removed after celebrity friend Kelly Ripa had urged him to have a suspicious spot checked out. The former self-proclaimed “tanorexic” has said the experience changed his relationship with the sun.
Bob Marley
When a dark spot appeared under the Jamaican musician’s toenail, Marley attributed it to a recent soccer injury. The spot turned out to be a form of skin cancer called acral lentiginous melanoma that often becomes aggressive because it is detected later than other melanomas.
The loss of this legend serves as a powerful reminder that anyone, regardless of race or ethnicity, can be affected by skin cancer.
Ewan McGregor
The Scottish-born actor caused quite a stir in 2008 when he had a birthmark removed from his forehead, leading to speculation that he had a cosmetic procedure done. McGregor later set the record straight and explained that his doctor removed several suspicious lesions for testing. One, below the actor’s eye, was indeed skin cancer.
Teddi Mellencamp Arroyave
In October 2022, the reality star announced she had been diagnosed with a stage II melanoma. Mellencamp Arroyave shared how past habits including tanning, never wearing sunscreen and not getting her skin checked may have contributed to her diagnosis. She called her skin cancer experience a “wake up call” and urged her fans to love and protect their skin.
This was Mellencamp Arroyave’s second skin cancer scare—she had a suspicious mole removed in March of the same year after her former co-star noticed the spot on her back.
Good to know
HomeGood to know Good to know
Anxiety, resistance, exhaustion. Medical psychologist NMIC Kristina Kondratyeva – about burnout of medical workers
Views: 84
especially in such a traumatic system for the human psyche as oncology. Permanent
interaction with other people in an emergency situation
cancer, inevitably affects doctors and nurses themselves.
More
What is an immune status test and what treatment can be prescribed based on its results?
Viewings: 618
Practically all oncological patients have some kind of immunity disorders, oncoimmunologists of the N.N. N.N. Petrov based on the results of research they have been doing since 1997.
More
Why are mutations in the BRCA1 and BRCA2 genes determined? What is the best diagnostic method?
Viewings: 3618
The BRCA1 and BRCA2 genes carry information about proteins that are able to repair DNA double-strand breaks.
If one of the genes is damaged by a mutation (the DNA sequence changes), then a non-functioning protein is synthesized in the cells.
More
Hormone dependent breast cancer: diagnosis and treatment
Views: 13042
The most common cancer diagnosis in women worldwide is breast cancer. Every year in Russia this disease is diagnosed in 50 thousand people.
More
What is cancer and how not to miss it? What is cancer and how not to miss it? N. N. Petrova.
More
Triple-negative breast cancer: features of the disease and treatment options two million people.
More
What is cytokine therapy, in what cases is it used?
Viewings: 18529
Aleksey Viktorovich Novik, oncologist, oncoimmunologist, chemotherapist, N.
N. N.N. Petrova, candidate of medical sciences
More
Bacteriological examination of urine
Viewings: 4584
Microorganisms that have penetrated into the urine multiply rapidly, and an inflammatory process occurs. If a urinary tract infection (UTI) is suspected, to diagnose and monitor its course, as well as to evaluate the effectiveness of treatment, the patient is offered to conduct a bacteriological study of urine.
More
What does a urinalysis say?
Viewings: 56613
Urinalysis is used not only to detect pathology in the urinary system, but also to assess the state of the body as a whole, using immunological, bacteriological, molecular biological, immunochromatographic and many other research methods. Among the variety of methods, perhaps the most popular is the general analysis of urine.
More
Complications of anticancer drug treatment: skin toxicity
Views: 37196
Skin toxicity is the result of the toxic effects of drugs on rapidly dividing cells, which, in addition to tumor cells, also include cells of the skin and its appendages.
More
Skin Cancer: Prevention, Diagnosis, Treatment
Views: 244220
Skin cancer rarely occurs out of nowhere. Precancerous conditions (precursors of cancer) due to a combination of adverse factors can pathologically change, become malignant: actinic keratosis, skin horn, trophic ulcers, keratoacanthoma.
More
What does a general (clinical) blood test say?
Viewings: 69353
Blood tests are perhaps the most frequently performed tests.
It is an integral element of any examination, both at the stage of diagnosis and during treatment. What do the indicators of a general blood test mean?
More
What does the coagulogram tell about?
Viewings: 18269
This analysis with a hard-to-pronounce name is mandatory for hospitalization in an oncological hospital. What does the coagulogram show, what do the numerous abbreviations mean?
More
Peculiarities of vaccination of cancer patients: recommendations for children and adults
Viewings: 18370
Is it possible to get vaccinated for oncology? Natalya Alexandrovna Efremova, oncologist, researcher at the Scientific Department of Oncoimmunology, N.N. N.N. Petrova, answered a number of important questions about the vaccination of cancer patients.
More
What is a tracheostomy and how can I take care of it at home? Olga Sergeevna Korneeva N.
N. Petrova, spoke about the important rules for self-care for a tracheostomy and the tools and devices necessary for this.
More
Cancer at a young age: has the incidence increased?
Views: 18138
Let’s find out why this is not so, together with Anna Nikolaevna Malkova, head of the information service and telemedicine technology department of the N.N. N.N. Petrova
More
Can cancer be cured?
Views: 83918
Can cancer be cured or is it a deadly disease, is it possible to get rid of the diagnosis forever?
More
Protecting a doctor from slander and insult Medical lawyer Natalya Kosolapova told how to punish an offender
Viewings: 4716
Professional medical activity is associated with constant communication with patients.
Unfortunately, this communication does not always take place in a calm atmosphere. Often, patients show not only disrespect, but also real aggression towards the medical staff.
More
Surgical treatment of peritoneal carcinomatosis (peritoneal carcinomatosis)
Views: 30652
The modern strategy of surgical treatment of peritoneal carcinomatosis consists in surgical interventions, the purpose of which is the most complete removal of all visible manifestations of the tumor.
More
How radionuclide diagnostics is carried out
Views: 17500
N.N. Petrov, effective methods for diagnosing tumor diseases of the mammary glands, lymph nodes, lungs, bones, abdominal organs and small pelvis are used.
More
Question answer
Rules for visiting patients
Clinical researches
Reminders to help patients
Good to know
HomeGood to know Good to know
Anxiety, resistance, exhaustion.
Medical psychologist NMIC Kristina Kondratyeva – about burnout of medical workers
Views: 84
especially in such a traumatic system for the human psyche as oncology. Permanent
interaction with other people in an emergency situation
cancer, inevitably affects doctors and nurses themselves.
More
What is an immune status test and what treatment can be prescribed based on its results?
Viewings: 618
Practically all oncological patients have some kind of immunity disorders, oncoimmunologists of the N.N. N.N. Petrov based on the results of research they have been doing since 1997.
More
Why are mutations in the BRCA1 and BRCA2 genes determined? What is the best diagnostic method?
Viewings: 3618
The BRCA1 and BRCA2 genes carry information about proteins that are able to repair DNA double-strand breaks.
If one of the genes is damaged by a mutation (the DNA sequence changes), then a non-functioning protein is synthesized in the cells.
More
Hormone dependent breast cancer: diagnosis and treatment
Views: 13042
The most common cancer diagnosis in women worldwide is breast cancer. Every year in Russia this disease is diagnosed in 50 thousand people.
More
What is cancer and how not to miss it? What is cancer and how not to miss it? N. N. Petrova.
More
Triple-negative breast cancer: features of the disease and treatment options two million people.
More
What is cytokine therapy, in what cases is it used?
Viewings: 18529
Aleksey Viktorovich Novik, oncologist, oncoimmunologist, chemotherapist, N.
N. N.N. Petrova, candidate of medical sciences
More
Bacteriological examination of urine
Viewings: 4584
Microorganisms that have penetrated into the urine multiply rapidly, and an inflammatory process occurs. If a urinary tract infection (UTI) is suspected, to diagnose and monitor its course, as well as to evaluate the effectiveness of treatment, the patient is offered to conduct a bacteriological study of urine.
More
What does a urinalysis say?
Viewings: 56613
Urinalysis is used not only to detect pathology in the urinary system, but also to assess the state of the body as a whole, using immunological, bacteriological, molecular biological, immunochromatographic and many other research methods. Among the variety of methods, perhaps the most popular is the general analysis of urine.
More
Complications of anticancer drug treatment: skin toxicity
Views: 37196
Skin toxicity is the result of the toxic effects of drugs on rapidly dividing cells, which, in addition to tumor cells, also include cells of the skin and its appendages.
More
Skin Cancer: Prevention, Diagnosis, Treatment
Views: 244220
Skin cancer rarely occurs out of nowhere. Precancerous conditions (precursors of cancer) due to a combination of adverse factors can pathologically change, become malignant: actinic keratosis, skin horn, trophic ulcers, keratoacanthoma.
More
What does a general (clinical) blood test say?
Viewings: 69353
Blood tests are perhaps the most frequently performed tests.
It is an integral element of any examination, both at the stage of diagnosis and during treatment. What do the indicators of a general blood test mean?
More
What does the coagulogram tell about?
Viewings: 18269
This analysis with a hard-to-pronounce name is mandatory for hospitalization in an oncological hospital. What does the coagulogram show, what do the numerous abbreviations mean?
More
Peculiarities of vaccination of cancer patients: recommendations for children and adults
Viewings: 18370
Is it possible to get vaccinated for oncology? Natalya Alexandrovna Efremova, oncologist, researcher at the Scientific Department of Oncoimmunology, N.N. N.N. Petrova, answered a number of important questions about the vaccination of cancer patients.
More
What is a tracheostomy and how can I take care of it at home? Olga Sergeevna Korneeva N.
N. Petrova, spoke about the important rules for self-care for a tracheostomy and the tools and devices necessary for this.
More
Cancer at a young age: has the incidence increased?
Views: 18138
Let’s find out why this is not so, together with Anna Nikolaevna Malkova, head of the information service and telemedicine technology department of the N.N. N.N. Petrova
More
Can cancer be cured?
Views: 83918
Can cancer be cured or is it a deadly disease, is it possible to get rid of the diagnosis forever?
More
Protecting a doctor from slander and insult Medical lawyer Natalya Kosolapova told how to punish an offender
Viewings: 4716
Professional medical activity is associated with constant communication with patients.
