What can be done for a broken elbow. Effective Treatment Options for Elbow Fractures: A Comprehensive Guide to Olecranon Injuries
What are the common causes of olecranon fractures. How are elbow fractures diagnosed and treated. What complications can arise from a broken elbow. How long does recovery from an olecranon fracture typically take. What rehabilitation exercises are recommended for elbow fractures.
Understanding Olecranon Fractures: Anatomy and Causes
An olecranon fracture is a break in the bony tip of the elbow, which is part of the ulna bone. This pointy segment plays a crucial role in the elbow joint’s functionality. The olecranon’s position, directly under the skin with minimal protection from muscles or soft tissues, makes it susceptible to injury.
Common causes of olecranon fractures include:
- Direct falls onto the elbow
- Blows from hard objects (e.g., baseball bats or car dashboards during collisions)
- Falls on an outstretched arm with a tightly braced elbow
In the last scenario, the triceps muscle, which attaches to the olecranon, can pull a piece of bone off the ulna. Such injuries may also involve damage to the surrounding ligaments.
![]()
The Anatomy of the Elbow Joint
The elbow joint is a complex structure comprising three bones:
- Humerus (upper arm bone)
- Radius (forearm bone on the thumb side)
- Ulna (forearm bone on the pinky side)
These bones work together to allow the elbow to bend and straighten like a hinge, as well as facilitate forearm rotation. The olecranon, part of the ulna, cups the lower end of the humerus, creating a hinge for elbow movement.
Recognizing the Signs and Symptoms of an Olecranon Fracture
Identifying an olecranon fracture promptly is crucial for proper treatment. The primary symptoms include:
- Sudden, intense pain
- Difficulty or inability to move the elbow
- Swelling over the tip or back of the elbow
- Bruising around the elbow, potentially extending to the shoulder or wrist
- Tenderness to touch
- Numbness in one or more fingers
- Pain during elbow movement or forearm rotation
- A feeling of joint instability
Does the severity of symptoms indicate the fracture’s complexity? While severe symptoms often correlate with more complex fractures, a thorough medical examination is necessary for accurate diagnosis.

Diagnostic Procedures for Elbow Fractures
When a patient presents with symptoms of an olecranon fracture, healthcare professionals employ a comprehensive diagnostic approach:
Physical Examination
The doctor will conduct a thorough physical examination, which includes:
- Assessing skin condition for cuts, swelling, blistering, and bruising
- Palpating the elbow area to identify any additional injuries
- Checking pulse at the wrist to ensure proper blood flow
- Evaluating finger and wrist mobility and sensation
Imaging Studies
To confirm the diagnosis and assess the fracture’s severity, doctors typically order:
- X-rays: These provide clear images of the bone and can reveal the extent of the fracture.
- CT scans: In complex cases, a CT scan may be necessary to obtain a more detailed view of the fracture pattern.
Why are multiple imaging studies sometimes necessary? Complex fractures may require additional imaging to fully understand the injury’s extent and plan appropriate treatment.
Treatment Options for Olecranon Fractures
The treatment approach for an olecranon fracture depends on the severity of the injury. Treatment options include:

Non-surgical Treatment
For simple fractures where bone fragments remain in place, non-surgical treatment may be sufficient. This typically involves:
- Immobilization with a splint or cast
- Pain management
- Regular follow-up appointments to monitor healing
Surgical Treatment
Most olecranon fractures require surgical intervention, especially when bone fragments are displaced. Surgical options include:
- Open reduction and internal fixation (ORIF): The surgeon realigns the bone fragments and secures them with plates, screws, or pins.
- Tension band wiring: A technique using wires to hold bone fragments together.
- Fragment excision: In some cases, small bone fragments may be removed if they can’t be repaired.
How do surgeons determine the best surgical approach? The decision depends on factors such as fracture pattern, bone quality, and the patient’s overall health and activity level.
Potential Complications of Olecranon Fractures
While most olecranon fractures heal well with proper treatment, complications can occur. These may include:

- Infection: Particularly in open fractures where the skin is broken
- Stiffness: Prolonged immobilization can lead to joint stiffness
- Osteoarthritis: Damage to the joint surface may increase the risk of future arthritis
- Hardware irritation: Surgical implants may cause discomfort and require removal
- Nonunion: Failure of the bone to heal properly
- Malunion: Improper alignment of healed bone fragments
Can these complications be prevented? While not all complications are preventable, following medical advice, adhering to rehabilitation protocols, and maintaining a healthy lifestyle can significantly reduce risks.
Recovery and Rehabilitation After an Olecranon Fracture
Recovery from an olecranon fracture is a gradual process that typically involves several stages:
Immediate Post-Treatment Phase
This phase focuses on pain management, swelling reduction, and protecting the healing fracture. It may include:
- Rest and elevation of the affected arm
- Application of ice packs
- Pain medication as prescribed
- Strict adherence to immobilization guidelines
Early Rehabilitation Phase
As healing progresses, gentle exercises may be introduced to improve range of motion and prevent stiffness. These might include:

- Passive range of motion exercises
- Gentle active movements as tolerated
- Isometric exercises to maintain muscle tone
Advanced Rehabilitation Phase
This phase focuses on restoring full function and strength to the elbow. It may involve:
- Progressive strengthening exercises
- Functional training specific to the patient’s daily activities or sport
- Proprioception and coordination exercises
How long does recovery typically take? While individual recovery times vary, most patients can expect a return to normal activities within 3-6 months. However, complete healing and restoration of full strength may take up to a year.
Prevention Strategies for Elbow Fractures
While not all elbow fractures are preventable, certain measures can reduce the risk of injury:
- Wearing protective gear during sports and high-risk activities
- Maintaining good bone health through proper nutrition and exercise
- Fall-proofing the home environment, especially for older adults
- Practicing proper form and technique in sports and physical activities
- Strengthening the muscles around the elbow to provide better support
Are there specific exercises to strengthen the elbow? Yes, exercises such as wrist curls, hammer curls, and tricep extensions can help strengthen the muscles supporting the elbow joint.

Long-Term Outlook and Management of Olecranon Fractures
The long-term prognosis for olecranon fractures is generally good, especially with proper treatment and rehabilitation. However, some patients may experience lasting effects:
Potential Long-Term Effects
- Mild stiffness or reduced range of motion
- Occasional pain or discomfort, especially with weather changes
- Increased risk of osteoarthritis in the affected joint
- Visible deformity in some cases
Ongoing Management
To optimize long-term outcomes, patients should:
- Maintain a regular exercise routine to keep the elbow joint flexible and strong
- Avoid activities that cause pain or discomfort
- Use protective gear during high-risk activities
- Attend follow-up appointments as recommended by their healthcare provider
- Consider physical therapy or occupational therapy if persistent issues arise
Can patients return to all previous activities after recovery? Most patients can return to their pre-injury activities, but some may need to modify certain high-impact or repetitive motions to prevent re-injury or manage discomfort.

Understanding olecranon fractures, their treatment, and the recovery process is crucial for patients facing this injury. With proper care and dedication to rehabilitation, most individuals can expect a good outcome and return to their normal activities. However, it’s essential to work closely with healthcare providers throughout the treatment and recovery process to ensure the best possible results.
Elbow (Olecranon) Fractures – OrthoInfo
An olecranon (oh-LEK-rah-nun) fracture is a break in the bony tip of the elbow. This pointy segment of bone is part of the ulna, one of the three bones that come together to form the elbow joint.
The olecranon is positioned directly under the skin of the elbow, without much protection from muscles or other soft tissues. It can break easily if you experience a direct blow to the elbow or fall onto the tip of the elbow. A fracture can be very painful and make elbow motion difficult or impossible.
Treatment for an olecranon fracture depends upon the severity of the injury. Some simple fractures can be treated by wearing a splint until the bone heals. In most olecranon fractures, however, the pieces of bone move out of place when the injury occurs. For these fractures, surgery is required to restore both the normal anatomy of the elbow and motion in the joint.
The olecranon (arrow) is the bony point of the elbow.
Your elbow is a joint made up of three bones:
- The humerus (upper arm bone)
- The radius (forearm bone on the thumb side)
- The ulna (forearm bone on the pinky side)
The elbow joint bends and straightens like a hinge.
It is also important for rotation of the forearm; that is, the ability to turn your palm up (like accepting change from a cashier) or palm down (like typing or playing the piano).
The elbow consists of portions of all three bones:
- The distal humerus is the lower end of the humerus. It forms the upper part of the elbow and is the spool around which the forearm bends and straightens.
- The radial head is the knobby end of the radius where it meets the elbow. It glides up and down the front of the distal humerus when you bend your arm and rotates around the ulna when you turn your wrist up or down.
- The olecranon is the part of the ulna that cups the lower end of the humerus, creating a hinge for elbow movement. The bony point of the olecranon can easily be felt beneath the skin because it is covered by just a thin layer of tissue.
The elbow is held together by its bony architecture, as well as ligaments, tendons, and muscles. Three major nerves cross the elbow joint.
(Left) The bones of the elbow. The olecranon is the tip of the elbow and is part of the ulna.
(Right) The major nerves and ligaments are highlighted.
Olecranon fractures are fairly common. Although they usually occur on their own with no other injuries, they can also be part of a more complex elbow injury.
In an olecranon fracture, the bone can crack just slightly or break into many pieces. The broken pieces of bone may line up straight or may be far out of place (displaced fracture).
In some cases, the bone breaks in such a way that bone fragments stick out through the skin or a wound penetrates down to the bone. This is called an open fracture. Open fractures are particularly serious because once the skin is broken, infection in both the wound and the bone are more likely to occur. Immediate treatment is required to prevent infection.
Olecranon fractures are most often caused by:
- Falling directly on the elbow
- Receiving a direct blow to the elbow from something hard, like a baseball bat, or a dashboard or car door during a vehicle collision.

- Falling on an outstretched arm with the elbow held tightly to brace against the fall. In this situation, the triceps muscle, which attaches to the olecranon, can pull a piece of the bone off of the ulna. Injuries to the ligaments around the elbow may occur with this type of injury, as well.
An olecranon fracture usually causes sudden, intense pain and can prevent you from moving your elbow. Other signs and symptoms of a fracture may include:
- Swelling over the tip or back of the elbow.
- Bruising around the elbow. Sometimes, this bruising travels up the arm toward the shoulder or down the forearm toward the wrist.
- Tenderness to the touch.
- Numbness in one or more fingers.
- Pain with movement of the elbow or with rotation of the forearm.
- A feeling of instability in the joint, as if your elbow is going to pop out.
To Top
Physical Examination
Your doctor will talk with you about your medical history and general health and ask about your symptoms.
They will then examine your elbow to determine the extent of the injury. During the exam, your doctor will:
- Check your skin for cuts, swelling, blistering, and bruising. In severe fractures, bone fragments can break through the skin, increasing the risk of infection.
- Palpate (feel) all around your elbow to determine if there are any other areas of tenderness. This could indicate other broken bones or injuries, such as a dislocated elbow.
- Check your pulse at the wrist to ensure that there is good blood flow to your hand and fingers.
- Check to see that you can move your fingers and wrist, and can feel things with your fingers.
Although you may have pain only at the elbow, your doctor may also examine your shoulder, upper arm, forearm, wrist, and hand to ensure that you do not have any other injuries.
X-rays
X-rays provide images of dense structures, such as bones. Your doctor will order X-rays of your elbow to help diagnosis your fracture.
Depending on your symptoms, the doctor may also order X-rays of your upper arm, forearm, shoulder, wrist, and/or hand to determine whether you have other injuries.
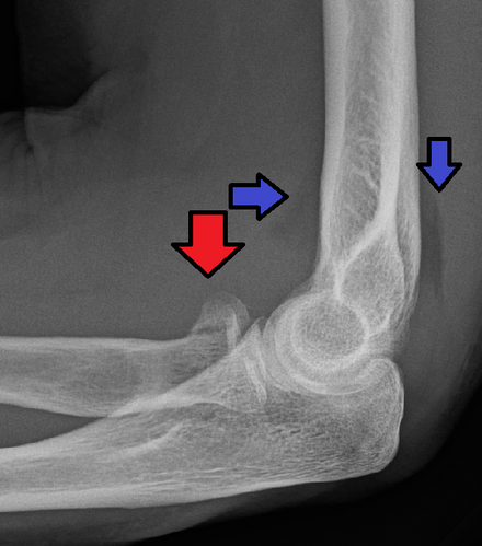
This X-ray taken from the side shows an olecranon fracture in which the pieces of bone have moved out of place (displaced).
Reproduced from Konda SR: Fractures around the elbow, in Egol KA, Gardner MJ, eds: Let’s Discuss Management of Common Fractures. Rosemont, IL, American Academy of Orthopaedic Surgeons, 2016, pp. 17-30.
While you are in the emergency room, your doctor will apply a splint (like a cast) to your elbow, and give you a sling to help keep the elbow in position. Immediate treatment may also include:
- Applying ice to reduce pain and swelling
- Medications to relieve pain
Your doctor will determine whether your fracture requires surgery. Many olecranon fractures will require surgery.
Nonsurgical Treatment
If the pieces of bone are not out of place (displaced), a fracture can sometimes be treated with a splint to hold the elbow in place during healing.
During the healing process, your doctor will take frequent X-rays to make sure the bone has not shifted out of place.
You will typically wear a splint for 6 weeks before starting gentle motion. If the fracture shifts in position during this time, you may need surgery to put the bones back together.
(Left) The doctor will apply a splint that runs from near your shoulder all the way to your hand. (Right) An elastic bandage is applied to help keep the splint in place.
Surgical Treatment
Surgery is usually required for olecranon fractures in which:
- The bones have moved out of place (displaced fracture)
- Pieces of bone have punctured the skin (open fracture)
Surgery for olecranon fractures typically involves putting the broken pieces of bone back into position and preventing them from moving out of place until they are healed.
Because of the increased risk of infection, open fractures are scheduled for surgery as soon as possible, usually within hours of the diagnosis.
Patients are given antibiotics by vein (intravenous) in the emergency room, and may receive a tetanus shot. During surgery, the cuts from the injury and the surfaces of the broken bone are thoroughly cleaned out. The bone will typically be repaired during the same surgery.
Surgical Procedures
Open reduction and internal fixation. This is the procedure most often used to treat olecranon fractures. During the procedure, the bone fragments are first repositioned (reduced) into their normal alignment. The pieces of bone are then held in place with screws, wires, pins, or metal plates attached to the outside of the bone.
Some common methods of internal fixation are shown below.
An olecranon fracture may be held together with pins and wires. This is called a tension band.
(Left) Reproduced from Boyer MI, Galatz LM, Borrelli J, Axelrod TS, Ricci WM: Intra-articular fractures of the upper extremity: new concepts in surgical treatment, in Ferlic DC, ed: Instr Course Lect 52.
Rosemont, IL, American Academy of Orthopaedic Surgeons, 2003, pp. 591-605.
(Left) A single screw, placed into the center of the bone, may be used to keep the fractured bones together.
(Right) Plate(s) and screws may be used to hold the broken bones in place.
Bone graft. If some of the bone has been lost through the wound or is crushed, the fracture may require bone graft to fill the gaps. Bone graft can be taken from a donor (allograft) or from another bone in your own body (autograft). In some cases, an artificial material can be used instead of bone graft.
Complications of Surgery
There are risks associated with any surgery. If your doctor recommends surgery, they think that the possible benefits outweigh the risks.
Potential complications include:
Elbow stiffness. One of the most common problems patients face after any fracture around the elbow is stiffness.
It is very important to begin physical therapy as directed to avoid elbow stiffness. In most cases, the
Infection. There is a risk of infection with any surgery. Your doctor will take specific measures to help prevent infection.
Hardware irritation. A small percentage of patients may experience irritation from the metal implants used to repair the fracture.
Damage to nerves and blood vessels. There is a minor risk of damage to nerves and blood vessels around the elbow. This is an unusual side effect.
Nonunion. Sometimes, a fracture does not heal. The fracture may pull apart and the screws, plates, or wires may shift or break. This can occur for a number of reasons, including:
- The patient does not follow directions after surgery.
- The patient has a health problem, such as diabetes, that slows healing. Smoking or using other tobacco products also slows healing. Learn more: Smoking and Surgery
- If the fracture was associated with a cut in the skin (open fracture), healing is often slower.

- Infections can also slow or prevent healing.
If the fracture fails to heal, you may need further surgery.
To Top
Pain Management
Most fractures hurt moderately for a few days to a couple of weeks. Many patients find that using ice, elevation (holding their arm up above their heart), and non-prescription pain medications are sufficient to relieve pain.
If your pain is severe, your doctor may suggest a prescription-strength medication, such as an opioid, for a few days.
Be aware that although opioids help relieve pain after surgery, opioid dependency and overdose have become critical public health issues. For this reason, opioids are typically prescribed for a short period of time. It is important to use opioids only as directed by your doctor and to stop taking them as soon as your pain begins to improve.
Rehabilitation
Whether your treatment is surgical or nonsurgical, full recovery from an olecranon fracture requires a good effort at rehabilitation.
Recovery After Nonsurgical Treatment
Because nonsurgical treatment can sometimes require long periods of splinting or casting, your elbow may become very stiff. For this reason, you may need a longer period of physical therapy to regain motion.
During rehabilitation, your doctor or a physical therapist will provide you with exercises to help:
- Improve range of motion
- Decrease stiffness
- Strengthen the muscles within the elbow
You will not be allowed to lift, push, or pull anything with your injured arm for a few weeks. Your doctor will talk with you about specific restrictions.
Recovery After Surgical Treatment
Depending on the complexity of the fracture and the stability of the repair, your elbow may be splinted or casted for a short period of time after surgery.
Physical therapy. Patients will usually begin exercises to improve motion in the elbow and forearm shortly after surgery, sometimes as early as the next day.
It is extremely important to perform the exercises as often as directed. The exercises will only make a difference if they are done regularly.
Restrictions. You will not be allowed to lift heavy objects with your injured arm for at least 6 weeks. You will also be restricted from pushing and pulling activities, such as opening doors or pushing up while rising from a chair. You may be allowed to use your arm for bathing, dressing, and feeding activities. Your doctor will give you specific instructions. They will also let you know when it is safe to drive a car.
Even with successful treatment, some patients with olecranon fractures may experience long-term complications.
Loss of Motion
In some cases, a patient may not be able to regain full motion in the affected elbow. In most of these cases, the patient cannot fully extend or straighten their arm. Fortunately, the loss of a few degrees of straightening does not usually affect the overall function of the arm.
Patients who have significant loss of motion may require intensive physical therapy, special bracing, or further surgery. This is uncommon for olecranon fractures.
Posttraumatic Arthritis
Posttraumatic arthritis is a type of arthritis that develops in a joint after an injury. Even when your bones heal normally, the cartilage lining the joint surfaces can be damaged, leading to pain and stiffness over time.
Posttraumatic arthritis is a relatively common complication of olecranon fractures. It can occur shortly after the fracture occurs or can take years to develop. Some patients with posttraumatic arthritis may need further surgery to relieve their symptoms. However, for many patients, there is little pain and no need for further treatment.
Most patients can return to their normal activities within about 4 months, although full healing can take more than a year. Recovering strength in your arm often takes longer than might be expected.
Although X-rays may show that the fracture has healed completely, some patients report that they still have limitations in movement.
These patients will usually continue to improve over time.
Questions to Ask Your Doctor
If you experience an olecranon fracture, here are some questions you may wish to ask your doctor:
- When can I start moving my elbow?
- How soon can I resume my normal activities?
- What factors will prolong or delay healing?
- If I have to have surgery, what are the benefits and risks?
- What will my recovery be like?
To Top
Broken Elbows in Children | Boston Children’s Hospital
Listen
A broken elbow is a break, at or near the elbow joint, in one or more of the three arm bones that form the joint: the humerus (upper arm bone), radius, and/or ulna (forearm bones).
Pediatric elbow fractures are usually the result of an impact injury, like in a direct blow, or when a child uses his outstretched arm to break a fall.
A fractured elbow is typically treated by splinting or casting the area for about four weeks.
What are the types and locations of elbow fractures?
Because the elbow is such a complex joint, one way to classify elbow fractures is by their location in or around the joint. Some elbow fracture locations include:
- Above the elbow (supracondylar humerus fracture): Occurs when the upper arm bone (humerus) breaks just above the elbow. This is the most common elbow break in younger children.
- At the elbow “knob” (condylar fracture): A break through one of the bony knobs (lateral and medial condyles) at the end of the humerus.
- At the elbow tip (epicondylar fracture): A break at the end of the humerus, near the bony knob that makes up the tip of the elbow. This is common in pre- and early-adolescent children.
- At the growth plate (physeal fracture): A break that occurs at, into, or across a growth plate (soft pieces of developing cartilage tissue from which bone grows)
- At the elbow end of the radius (radial neck fracture): A dislocation of one of the joints of the elbow can accompany one of the above fractures, and if present, will be addressed at the same time as treatment of the fracture.

Learn more about the different types of fractures in children.
Broken Elbow | Symptoms & Causes
What are the signs and symptoms of broken elbows in children?
- pain or swelling in the elbow or forearm
- an obvious deformity in the elbow or forearm
- difficulty moving, flexing, or extending the arm normally
- warmth, bruising, or redness at or near the elbow
What causes broken elbows in children?
A bone breaks when there’s more force applied to the bone than it can withstand. These breaks can occur from falls, trauma, or a direct blow. Most childhood fractures result from mild to moderate (rather than severe) trauma that happens while children are playing or participating in sports, with the rate of fractures peaking in adolescence, especially among boys.
Broken Elbow | Diagnosis & Treatments
How are broken elbows in children diagnosed?
To diagnose broken elbows in children, the doctor will carefully examine the injured area for tenderness, redness, and swelling.
One or more of the following imaging techniques may also be used to get pictures of the broken bone and to check for damage to muscles or blood vessels.
- X-ray: The main tool used for diagnosing a broken bone. This painless test uses small amounts of radiation to produce images of bones onto film. After the doctor puts the pieces of the broken bone in the right position, an x-ray can also help determine whether the bones in the arm are healing in the proper position.
- Magnetic resonance imaging (MRI): Some fractures (such as stress fractures) don’t show up on an x-ray until a few weeks after the bone starts hurting. An MRI is a diagnostic procedure that uses a combination of large magnets, radio frequencies, and a computer to produce detailed images of organs and structures within the body. These types of tests are more sensitive than x-rays and can pick up smaller fractures before they get worse.
- Computed tomography scan (CT, CAT scan): A diagnostic imaging procedure that uses a combination of x-rays and computer technology to produce cross-sectional images (often called slices), both horizontally and vertically, of the body.

- Bone scan: A painless imaging method that uses a radioactive substance to evaluate bones and determine the cause of pain or inflammation. Bone scans are also useful for detecting stress fractures and toddler’s fractures, which can be hard to see on x-rays.
How are broken elbows in children treated?
The treatments for broken elbows in children depend on the location and severity of the fracture as well as the child’s age and overall health.
In most cases, broken elbows in children are treated with a splint or cast, which immobilizes the injured bone(s) to promote healing and reduce pain and swelling. Splints and casts may also be put on after surgical procedures to ensure that the bone is protected and in the proper alignment as it begins to heal.
Splints are used for minor breaks. Splints support the broken bone on one side and immobilize the injured area to promote bone alignment and healing. Splints are often used in emergency situations to hold a joint in a steady position during transportation to a medical facility.
Casts are stronger than splints and provide more protection to the injured area. They hold a broken bone in place while it heals by immobilizing the area above and below the joint. Casts have two layers: a soft inside layer that rests against the skin and a hard outer layer that prevents the injured bone from moving.
Some common types of casting for broken elbows include:
- Short arm casts extend from the elbow to the hand and are used for forearm or wrist fractures or to hold the arm in place after surgery.
- Long arm casts extend from the upper arm to the hand and are used for upper arm, elbow, or forearm fractures. They are also used to hold the arm in place after surgery.
Other treatments for broken elbows include:
- Surgery: May be needed to put broken bones back into place. A surgeon may insert metal rods or pins located inside the bone (internal fixation) or outside the body (external fixation) to hold bone fragments in place to allow alignment and healing.
This is done under general anesthesia. - Traction: Corrects broken or dislocated bones by using a gentle and steady pulling motion in a specific direction to stretch muscles and tendons around the broken bone. This allows the bone ends to align and heal, and in some cases, it reduces painful muscle spasms.
- Closed reduction: A nonsurgical procedure used to reduce and set the fracture. Using an anesthetic (typically given through an IV in the arm), the doctor realigns the bone fragments from outside the body and holds it in place with a cast or splint.
- Physical therapy: May be needed to strengthen the arm, restore range of motion, and help the arm return to full function after treatment and/or casting.
Broken Elbow | Programs & Services
Centers
Programs
Broken Elbow | Contact Us
fracture, dislocation, sprain, inflammation, arthritis / arthrosis, hygroma – Treatment and recovery
The elbow is a unique combination of three bones: the humerus, radius and ulna.
This is a complex combined joint, which consists of three simple joints: humeroulnar, humeroradial, proximal radioulnar. All of them are united by one common capsule and joint bag (cavity). Inside the joint capsule, synovial fluid is constantly produced, which serves as a lubricant for the rubbing articular surfaces and nutrition for the anatomical parts. The ends of the bones are covered with a layer of periosteum, which helps protect and renew bone tissue, and also facilitates the flow of nutrients from the synovial fluid. All articular surfaces are covered with articular cartilage. The elbow joint is securely reinforced with ligaments and protected by a good muscular frame. These features allow you to perform four types of movements: extension and flexion, supination (rotation of the forearm at the elbow joint, in which it is possible to turn the hand palm up) and pronation (rotation of the forearm at the elbow joint, in which it is possible to turn the hand palm down). It is worth noting that the end of the ulna from above has an olecranon, resembling a hook in shape.
The triceps muscle of the shoulder is attached to it. Fracture of this process is a fairly common injury.
Types of damage
The following categories of diseases are characteristic of the elbow joint:
- Traumatic
- Bruises. The most common bruises are of the olecranon, periarticular tissues, condyles of the shoulder and ulnar nerve
- Ligament sprains
- Dislocations. There are: isolated dislocation and pronation subluxation of the radial head; dislocations of the forearm backwards, anteriorly, inwards, outwards; divergent dislocations with rupture of the proximal articulation and divergence of the bones of the forearm to the sides
- Fractures of the bones of the elbow joint according to the nature of the damage can be divided into:
- intra-articular;
- periarticular;
- closed;
- open;
- no offset;
- with displacement of fragments (displacement of bone fragments most often occurs with fractures of the olecranon)
- Inflammatory
- Epicondylitis (“tennis elbow”) is an inflammatory and degenerative disease that affects the tendons in the area of the elbow joint due to chronic overload of the muscles of the forearm.

- Styloiditis is a dystrophic-inflammatory process in the place where the tendon is attached to the process of the ulna.
- Bursitis – inflammation of the joint capsule, which is located on the back of the elbow
- Neuritis – ailments resulting from pinched nerve endings
- Elbow tendinitis – inflammation in the tendons of the ulnar end of the triceps muscle
- Arthritis – an acute inflammatory process in the articular cartilage and capsule without gross structural changes in the joint
- Epicondylitis (“tennis elbow”) is an inflammatory and degenerative disease that affects the tendons in the area of the elbow joint due to chronic overload of the muscles of the forearm.
- Arthrosis
- Osteoarthritis is a dystrophic-degenerative disease of the cartilage and bone tissue of the joint.
Symptoms of pain
The main symptom of elbow disease is pain.
Traumatic group of injuries is characterized by the following signs:
- Stinging pain at the moment of injury
- Edema and hematoma in the area of the elbow joint
- Elbow deformity
- Restriction in arm movements, partial or complete loss of limb function
- Or pathological mobility and the possibility of atypical movements for the elbow
- Numbness or tingling in the forearm, wrist, hand
- Squeak or click when moving the elbow
- Any discoloration of the skin in the affected area
- Perceptible protrusion of bone fragments under the surface of the skin
If any of the above symptoms should immediately seek help in the Department of Traumatology.
Which doctor to contact
To make an accurate diagnosis and prescribe the right treatment, you need to seek help from the following specialists:
- Traumatologist, orthopedist
- Surgeon
- Rheumatologist
- Neurologist
Highly qualified specialists are ready to receive you at the NCC Clinic No. 2 (Central Clinical Hospital of the Russian Academy of Sciences) in Moscow. You can make an appointment by phone +7 (499) 400-47-33
Diagnostics
Diagnostic activities include:
- Medical examination (palpation of the elbow joint area)
- Medical history taking
- Clinical and biochemical blood tests
- Urinalysis
- Ultrasound of elbow joints
- X-ray of the hand (two views)
- Computed tomography
- MRI
Treatment options
Treatment largely depends on the type and nature of the fracture in the elbow joint.
Non-displaced fractures (such as those of the olecranon) can be treated conservatively by applying a fixing plaster cast for several weeks. If there is a displacement of the joint, then the issue of surgical intervention is decided. To do this, carry out the reposition of fragments (closed or open). With open comparisons, surgical fixation of fragments is mandatory, this operation is called osteosynthesis. Osteosynthesis is the connection of bone fragments with the help of special fixing means (bone grafts or metal structures). If fractures of the articular part of the humerus are fragmented, then it is possible to replace the elbow joint with a prosthesis. To restore the function of the elbow joint in deforming arthrosis, as well as in congenital and acquired deformities and contractures of other etiologies, osteotomy is currently performed. Osteotomy is a surgical operation that helps to eliminate the deformity of the elbow joint or improve the function of the musculoskeletal system by artificial fracture with further fixation to give a functionally advantageous position.
After any surgical intervention, the patient is prescribed rehabilitation measures, compiled by the attending physician individually for each.
Fracture (fracture) of the elbow: causes, symptoms, signs, treatment, diagnosis, prevention
03/29/2016
Symptoms
Joint pain
View more
Overview
The bone at the top of the elbow is called the olecranon; it is thin, so it breaks easily during a fall or a direct blow to this area.
The injured elbow is mostly immobilized by applying a cast or bandage, and it heals over time. However, in severe injuries, surgery is possible to reposition and fix the broken bone.
What to expect
Your doctor will examine your elbow, put a splint on it to immobilize it, and bandage your arm. Most elbow injuries heal on their own, but severe injuries require surgery. Children, who most often injure their elbows, usually recover without problems, and adults can lose some range of motion, although not so much that it interferes with daily activity. Full restoration of the integrity of the bone can take about 6 months or longer.
Condition may worsen due to
Postponement of medical care.
Diagnosis
The doctor will examine your elbow and the area of the injury, checking it for pain and tenderness. He may also ask you to move your fingers, wrist, arm, or shoulder to check for other injuries, and check for a pulse to make sure blood is circulating normally in your arm.
X-ray diagnostics will help to detect the site of a fracture or a fracture in the bone. Sometimes you need to do a CT scan for a more detailed examination of the damaged area.
Treatment
Most elbow fractures are immobilized with a bandage or cast and heal on their own. In case of serious injuries, reposition and fixation of the bone will need to be performed surgically. Sometimes a broken bone breaks through the skin; in this case, the wound will be sewn up and antibiotics will be prescribed to prevent the development of infection. To reduce pain and numbness, the doctor will prescribe painkillers, and applying ice to the injured area will reduce swelling. Poor arm mobility is a common problem during this injury, so your doctor will recommend warm-up and stretching exercises in your arm as soon as your elbow bones are restored.
Self-medication
Injury to the elbow is a medical emergency. Don’t try to straighten your elbow or set a broken bone on your own.





This is done under general anesthesia.