Broken ankle pictures x rays. Broken Ankle X-Rays: A Comprehensive Guide to Diagnosis and Treatment
What are the key features of broken ankle x-rays. How do doctors diagnose ankle fractures using radiography. What treatment options are available for different types of ankle fractures. How long does recovery from a broken ankle typically take.
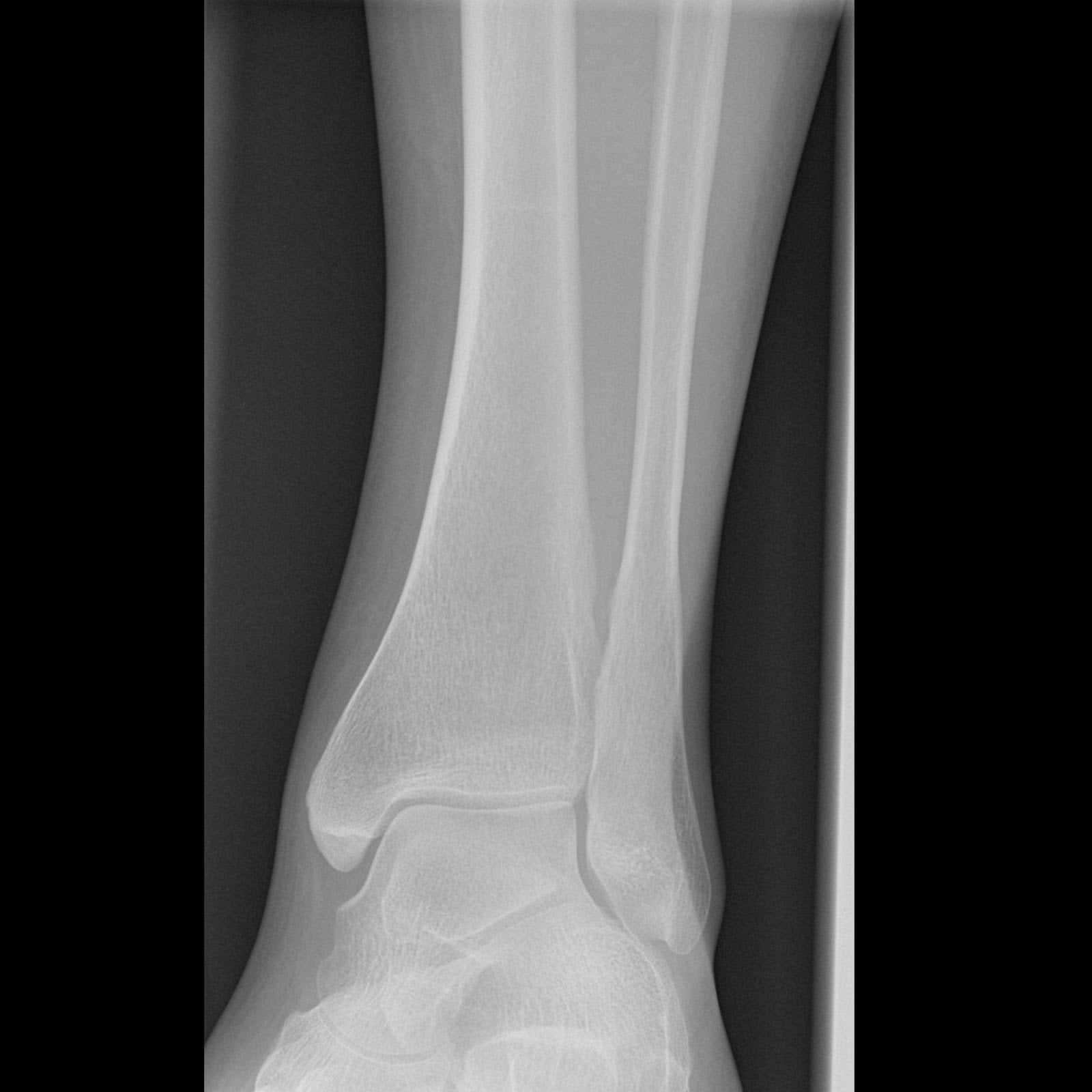
Understanding Broken Ankle X-Rays: Types and Characteristics
Broken ankle x-rays are crucial diagnostic tools used by medical professionals to assess and treat ankle injuries. These radiographic images provide detailed views of the ankle’s bony structures, allowing doctors to identify fractures, dislocations, and other abnormalities. But what exactly do these x-rays reveal?
X-rays of broken ankles typically show one or more of the following:
- Fractures in the tibia (shinbone)
- Breaks in the fibula (outer lower leg bone)
- Damage to the talus (ankle bone)
- Displacement of bones
- Joint misalignment
Different types of ankle fractures may be visible on x-rays, including:
- Lateral malleolus fracture (outer ankle bone)
- Medial malleolus fracture (inner ankle bone)
- Bimalleolar fracture (both inner and outer ankle bones)
- Trimalleolar fracture (both malleoli and the posterior aspect of the tibia)
- Pilon fracture (involves the weight-bearing surface of the tibia)
The Importance of Multiple X-Ray Views in Ankle Fracture Diagnosis
When diagnosing ankle fractures, doctors rely on multiple x-ray views to get a comprehensive picture of the injury. Why is this necessary?

Multiple x-ray views provide different perspectives of the ankle joint, ensuring that no fractures or dislocations are missed. The standard views typically include:
- Anteroposterior (AP) view: Shows the ankle from front to back
- Lateral view: Provides a side view of the ankle
- Mortise view: An angled view that better shows the joint space
These different angles allow radiologists and orthopedic specialists to assess the full extent of the injury, determine the stability of the joint, and plan appropriate treatment strategies.
Interpreting Broken Ankle X-Rays: What Do Doctors Look For?
When examining broken ankle x-rays, what specific features do medical professionals focus on? Doctors look for several key indicators:
- Fracture lines: Visible breaks or cracks in the bones
- Bone displacement: Misalignment of bone fragments
- Joint space widening: Indicates ligament damage or instability
- Soft tissue swelling: May suggest additional injuries
- Presence of loose bone fragments: Can complicate healing
By carefully analyzing these features, doctors can determine the severity of the fracture, assess joint stability, and develop an appropriate treatment plan tailored to the patient’s specific injury.

Common Types of Ankle Fractures Revealed by X-Rays
X-rays can reveal various types of ankle fractures, each with its own characteristics and treatment implications. What are some of the most common types?
Lateral Malleolus Fracture
This fracture involves the outer ankle bone (fibula) and is often seen on x-rays as a break in the lower part of the fibula. It may be stable or unstable, depending on the involvement of ligaments.
Medial Malleolus Fracture
X-rays showing a break in the inner ankle bone (tibia) indicate a medial malleolus fracture. These fractures can affect ankle stability and may require surgical intervention.
Bimalleolar Fracture
When x-rays reveal fractures in both the lateral and medial malleoli, it’s classified as a bimalleolar fracture. These injuries often result in significant joint instability and typically require surgical repair.
Trimalleolar Fracture
This severe ankle fracture involves breaks in the lateral and medial malleoli, as well as the posterior malleolus (back of the tibia). X-rays will show fractures in all three areas, indicating a potentially unstable ankle joint.

The Role of Advanced Imaging in Ankle Fracture Diagnosis
While x-rays are the primary diagnostic tool for ankle fractures, are there situations where additional imaging techniques are necessary? In some cases, yes. Advanced imaging modalities can provide more detailed information about complex fractures or associated soft tissue injuries.
CT Scans
Computed tomography (CT) scans offer detailed 3D images of the ankle, allowing doctors to assess:
- Complex fracture patterns
- Small bone fragments
- Extent of joint involvement
MRI Scans
Magnetic resonance imaging (MRI) is particularly useful for evaluating:
- Ligament and tendon damage
- Cartilage injuries
- Bone bruises or stress fractures
These advanced imaging techniques complement x-rays in cases where more detailed information is needed to guide treatment decisions.
Treatment Options Based on X-Ray Findings
How do the results of ankle x-rays influence treatment decisions? The type and severity of the fracture, as revealed by x-rays, play a crucial role in determining the most appropriate treatment approach.

Conservative Treatment
For stable fractures with minimal displacement, non-surgical treatment may be recommended, including:
- Immobilization with a cast or boot
- Pain management
- Gradual weight-bearing as healing progresses
Surgical Intervention
X-rays showing unstable fractures, significant displacement, or joint incongruity often necessitate surgical repair. Surgical options may include:
- Open reduction and internal fixation (ORIF)
- External fixation for severe fractures or soft tissue damage
- Arthroscopic-assisted repair for some fracture types
The specific surgical approach depends on the fracture pattern, soft tissue condition, and overall patient health.
Recovery and Rehabilitation Following Ankle Fracture
What can patients expect during the recovery process after an ankle fracture? The healing journey varies depending on the severity of the fracture and the chosen treatment method.
Typical Recovery Timeline
While individual experiences may differ, a general recovery timeline might include:

- Initial immobilization (4-6 weeks)
- Gradual weight-bearing (6-8 weeks post-injury or surgery)
- Physical therapy initiation (around 6-8 weeks)
- Return to normal activities (3-4 months)
- Full recovery and return to sports (4-6 months or longer)
Rehabilitation Exercises
Physical therapy plays a crucial role in recovery. Common exercises focus on:
- Range of motion restoration
- Strength building
- Balance and proprioception training
- Gait retraining
Regular follow-up x-rays are typically performed to monitor bone healing and ensure proper alignment throughout the recovery process.
Potential Complications and Long-Term Outcomes
What are the potential long-term implications of an ankle fracture? While many patients recover fully, some may experience complications or lasting effects.
Possible Complications
- Post-traumatic arthritis
- Chronic pain or stiffness
- Malunion or nonunion of the fracture
- Nerve or blood vessel damage
Long-Term Prognosis
The long-term outlook depends on various factors, including:
![]()
- Severity of the initial injury
- Quality of fracture reduction and fixation
- Patient compliance with treatment and rehabilitation
- Individual healing capacity
Regular follow-up care and adherence to rehabilitation protocols can significantly improve long-term outcomes and minimize the risk of complications.
Understanding broken ankle x-rays is crucial for both medical professionals and patients. These diagnostic images provide valuable insights into the nature and severity of ankle fractures, guiding treatment decisions and recovery expectations. By combining expert interpretation of x-rays with appropriate treatment and rehabilitation, patients can optimize their chances of a full recovery and return to normal activities.
As medical imaging technology continues to advance, we can expect even more precise diagnostics and tailored treatment approaches for ankle fractures in the future. This ongoing progress in the field of orthopedics and radiology promises to further improve outcomes for patients suffering from these common yet potentially debilitating injuries.
:max_bytes(150000):strip_icc():format(webp)/ankleXray-56a2f5b65f9b58b7d0cfe04a.jpg)
1.100+ Fotos, Bilder und lizenzfreie Bilder zu Broken Ankle X Ray
Bilder
- Bilder
- Fotos
- Grafiken
- Vektoren
- Videos
Videos zu broken ankle x ray ansehen
Durchstöbern Sie 1.155
broken ankle x ray Stock-Fotografie und Bilder. Oder starten Sie eine neue Suche, um noch mehr Stock-Fotografie und Bilder zu entdecken.
Sortieren nach:
Am beliebtesten
ernte-arzt blick auf röntgenbild – broken ankle x ray stock-fotos und bilder
Ernte-Arzt Blick auf Röntgenbild
knöchelluxation – broken ankle x ray stock-fotos und bilder
Knöchelluxation
Knochenröntgenbild der Tibiotalus-Subluxation, Knöchelluxation
röntgenbild des menschlichen fußes – broken ankle x ray stock-fotos und bilder
Röntgenbild des menschlichen Fußes
menschlicher fußknöchel und bein in röntgenaufnahmen – broken ankle x ray stock-fotos und bilder
Menschlicher Fußknöchel und Bein in Röntgenaufnahmen
Menschlicher Fuß Knöchel und Bein im Röntgenbild, auf grauem Hintergrund
arthritis am knöchel gemeinsame (gout, rheumatischer) – broken ankle x ray stock-fotos und bilder
arthritis am Knöchel gemeinsame (Gout, rheumatischer)
große & knöchel x-ray – broken ankle x ray stock-fotos und bilder
Große & Knöchel X-Ray
Röntgenaufnahme eines menschlichen Knöchels und Fußes.
knochenbruch schaft aus wadenbeine knochen (beinknochen) – broken ankle x ray stock-fotos und bilder
Knochenbruch Schaft aus Wadenbeine Knochen (Beinknochen)
Frakturschaft des Wadenbeins ( Beinknochen ) . Röntgenaufnahme des Beines ( 2 Position: Seiten- und Vorderansicht )
distale fibula fraktur mit knöcheldislokation – broken ankle x ray stock-fotos und bilder
Distale Fibula Fraktur mit Knöcheldislokation
Röntgenbild der distalen Fibulafraktur mit Knöchelluxation.
schmerzen in der ferse oder plantarfasziitis – broken ankle x ray stock-fotos und bilder
Schmerzen in der Ferse oder Plantarfasziitis
xray – broken ankle x ray stock-fotos und bilderschmerzen durch schmerzende füße und abgesenkte fußgewölbe – broken ankle x ray stock-fotos und bilder
Schmerzen durch schmerzende Füße und abgesenkte Fußgewölbe
medizinischer hintergrund des menschlichen sprunggelenks – broken ankle x ray stock-fotos und bilder
Medizinischer Hintergrund des menschlichen Sprunggelenks
knochenbruch tibia & wadenbeine (bein-knochen) und praktische verrenkung – broken ankle x ray stock-fotos und bilder
Knochenbruch tibia & Wadenbeine (Bein-Knochen) und praktische.
..
Film Röntgen Knöchel AP / Lateral : zeigen Fraktur Tibia & Wadenbein (Beinknochen) und Knöchelluxation
medizinischer hintergrund für menschliche fußschmerzen – broken ankle x ray stock-fotos und bilder
Medizinischer Hintergrund für menschliche Fußschmerzen
x-ray – broken ankle x ray stock-fotos und bilder
x-ray
Röntgenhintergrund
fraktur der fibula sprungbein (beinknochen) röntgenaufnahme des sprunggelenks mit platte und schrauben – broken ankle x ray stock-fotos und bilder
Fraktur der Fibula Sprungbein (Beinknochen) Röntgenaufnahme des…
röntgenbild des gebrochenen knöchels – broken ankle x ray stock-fotos und bilder
Röntgenbild des gebrochenen Knöchels
Gebrochener Knöchel ist eine Fraktur oder mehrere Frakturen eines oder mehrerer von drei Knochen im Sprunggelenk: der Tibia (Schienbein), der Fibula (äußerer Knochen des Unterschenkels) und dem Talus.
röntgenankel oder röntgenbild oder röntgenbild der rechten knöchelverbindung ap und lateralansicht für die diagnose der frakturknöchel. – broken ankle x ray stock-fotos und bilder
Röntgenankel oder Röntgenbild oder Röntgenbild der rechten Knöchel
x-ray image des fußes. – broken ankle x ray stock-fotos und bilder
X-Ray image des Fußes.
kollektion x-ray mehrere bone knochenbruch – broken ankle x ray stock-fotos und bilder
Kollektion X-ray mehrere bone Knochenbruch
röntgenbild von knochenbrüchen am 5. mittelfußknochen linken fuß – broken ankle x ray stock-fotos und bilder
Röntgenbild von Knochenbrüchen am 5. Mittelfußknochen linken Fuß
knöchelschmerzen im detail – sportverletzungskonzept – broken ankle x ray stock-fotos und bilder
Knöchelschmerzen im Detail – Sportverletzungskonzept
x-ray bilder von einem gebrochenen bein xxxl – broken ankle x ray stock-fotos und bilder
x-ray Bilder von einem gebrochenen Bein XXXL
arzt führt körperliche untersuchung des patienten mit bandagiertem bein durch und untersucht röntgenbild – broken ankle x ray stock-fotos und bilder
Arzt führt körperliche Untersuchung des Patienten mit.
..
Der Arzt führt eine körperliche Untersuchung des Patienten mit bandagiertem Bein durch und untersucht das Röntgenbild. Konzept der medizinischen Versorgung bei Frakturen und Verstauchungen
medizinischer röntgentest von beinknochenfraktur, verletzung im krankenhauszimmer, flache vektor-illustration. – broken ankle x ray stock-grafiken, -clipart, -cartoons und -symbole
Medizinischer Röntgentest von Beinknochenfraktur, Verletzung im…
gebrochenes bein x-ray – broken ankle x ray stock-fotos und bilder
Gebrochenes Bein x-ray
film knöchel röntgenbild zeigt fersenbein narmal und gebrochen auf roter spitze (enge fraktur calcaneus) . medizintechnik und gesundheitskonzept. – broken ankle x ray stock-fotos und bilder
Film Knöchel Röntgenbild zeigt Fersenbein narmal und gebrochen…
Röntgenaufnahme des Filmknöchels, das das Fersenbein narmal zeigt und am roten Punkt gebrochen ist (enger Frakturkalkaneus).
Medizintechnik und Gesundheitskonzept.
röntgenaufnahme des fußes auf dunklem hintergrund, röntgenbild – broken ankle x ray stock-fotos und bilder
Röntgenaufnahme des Fußes auf dunklem Hintergrund, Röntgenbild
xray – broken ankle x ray stock-fotos und bilder
xray
Röntgen gebrochener Knöchel
knie anatomie knochen menschliches bein x-ray – broken ankle x ray stock-fotos und bilder
Knie Anatomie Knochen Menschliches Bein X-Ray
skelettsystem des menschlichen fußes – broken ankle x ray stock-fotos und bilder
Skelettsystem des menschlichen Fußes
arzt hält röntgenaufnahme des fußes und anatomie der beinknochen – broken ankle x ray stock-fotos und bilder
Arzt hält Röntgenaufnahme des Fußes und Anatomie der Beinknochen
knöchelschmerzen im detail-sportverletzungen konzept – broken ankle x ray stock-fotos und bilder
Knöchelschmerzen im Detail-Sportverletzungen Konzept
röntgenbild des sprunggelenks mit interner fixierung mit platte und schraube.
– broken ankle x ray stock-fotos und bilder
Röntgenbild des Sprunggelenks mit interner Fixierung mit Platte…
radiologe, der im krankenhaus arbeitet und eine röntgenaufnahme macht – broken ankle x ray stock-fotos und bilder
Radiologe, der im Krankenhaus arbeitet und eine Röntgenaufnahme…
fuß- und knöchelschmerzen auf röntgenaufnahmen, isoliert auf schwarzem hintergrund – broken ankle x ray stock-fotos und bilder
Fuß- und Knöchelschmerzen auf Röntgenaufnahmen, isoliert auf…
gebrochenes bein, mann leidet zu hause unter schmerzen, knochenbruch mit verschiebung – broken ankle x ray stock-fotos und bilder
Gebrochenes Bein, Mann leidet zu Hause unter Schmerzen,…
ct-scan des sprunggelenks mit 3d-darstellung des fersenbeins mit calcaneus-frakturen (fersenbein). – broken ankle x ray stock-fotos und bilder
CT-Scan des Sprunggelenks mit 3D-Darstellung des Fersenbeins mit…
männlicher orthopädischer arzt diskutiert röntgen mit patient – broken ankle x ray stock-fotos und bilder
Männlicher orthopädischer Arzt diskutiert Röntgen mit Patient
röntgenaufnahme des fußes auf dunklem hintergrund, röntgenaufnahme der füße – broken ankle x ray stock-fotos und bilder
Röntgenaufnahme des Fußes auf dunklem Hintergrund, Röntgenaufnahme
eine röntgenaufnahme des menschlichen fußes und knöchels – broken ankle x ray stock-fotos und bilder
Eine Röntgenaufnahme des menschlichen Fußes und Knöchels
Eine Röntgenaufnahme des menschlichen Fußes und Knöchels, Klinik, Medizin
röntgenbild einer kaneusfraktur (gebrochene ferse) – broken ankle x ray stock-fotos und bilder
Röntgenbild einer Kaneusfraktur (gebrochene Ferse)
röntgenaufnahme der ferse nach calcaneus fraktur stock foto – broken ankle x ray stock-fotos und bilder
Röntgenaufnahme der Ferse nach Calcaneus Fraktur Stock Foto
seitliche Ansicht der Ferse des menschlichen Fußes im Röntgenbild (blau auf schwarzem Hintergrund), nach der Operation, um mehrere Frakturen der Ferse des Calcaneus-Knochens sehr wichtig zu reparieren, mit Schlauch und Schraube zur Reparatur von Knochen.
menschliche beinknochen anatomie medizinischer hintergrund – broken ankle x ray stock-fotos und bilder
Menschliche Beinknochen Anatomie medizinischer Hintergrund
fußröntgenbild ap und schrägansicht isoliert auf schwarzem hintergrund. – broken ankle x ray stock-fotos und bilder
Fußröntgenbild AP und Schrägansicht isoliert auf schwarzem…
radiologe beim röntgen eines patienten im krankenhaus – broken ankle x ray stock-fotos und bilder
Radiologe beim Röntgen eines Patienten im Krankenhaus
designkonzept für knochengesundheit für das sprunggelenk. orthopädisches symbol – broken ankle x ray stock-grafiken, -clipart, -cartoons und -symbole
Designkonzept für Knochengesundheit für das Sprunggelenk. Orthopäd
Knochengesundheitssymbol Designkonzept für das Sprunggelenk. Orthopädisches Symbol
filmröntgen des facture-knöchels . seitenansicht im roten bereich – broken ankle x ray stock-fotos und bilder
Filmröntgen des Facture-Knöchels .
Seitenansicht im roten Bereich
scanogramm ist ein stehendes ap-röntgenbild in voller länge beider unterer extremitäten einschließlich hüfte, knie und knöchel. – broken ankle x ray stock-fotos und bilder
Scanogramm ist ein stehendes AP-Röntgenbild in voller Länge…
arzt untersucht röntgenbild des patientenbeins. fuß- und verstauchungskonzept – broken ankle x ray stock-fotos und bilder
Arzt untersucht Röntgenbild des Patientenbeins. Fuß- und…
radiologe beim röntgen eines patienten im krankenhaus – broken ankle x ray stock-fotos und bilder
Radiologe beim Röntgen eines Patienten im Krankenhaus
film röntgen beide füße ap. – broken ankle x ray stock-fotos und bilder
Film röntgen beide Füße AP.
röntgenbild eines gebrochenen beinknochens – broken ankle x ray stock-fotos und bilder
Röntgenbild eines gebrochenen Beinknochens
scanogramm ist ein stehendes ap-röntgenbild in voller länge beider unterer extremitäten einschließlich hüfte, knie und knöchel. – broken ankle x ray stock-fotos und bilder
Scanogramm ist ein stehendes AP-Röntgenbild in voller Länge.
..
schädigung menschlicher hand- und fußknochen – broken ankle x ray stock-grafiken, -clipart, -cartoons und -symbole
Schädigung menschlicher Hand- und Fußknochen
fußscan, film fuß, fußschmerzen, anatomie, knöchel, arthritis, körper, knochen, po, gebrochen, pflege, klinik, deformität, diagnose, krankheit, gefallenes bogen, füße, film, flache, plattfüße, plattfuß, abgeflacht, fraktur, gesundheit, ferse, fe – broken ankle x ray stock-fotos und bilder
Fußscan, Film Fuß, Fußschmerzen, Anatomie, Knöchel, Arthritis, Kör
männlicher arzt untersucht röntgenaufnahme von bein und arm in der klinik – broken ankle x ray stock-fotos und bilder
Männlicher Arzt untersucht Röntgenaufnahme von Bein und Arm in…
filmröntgen des facture-knöchels . seitenansicht im roten bereich – broken ankle x ray stock-fotos und bilder
Filmröntgen des Facture-Knöchels . Seitenansicht im roten Bereich
traumatologie icons set bearbeitbarer strich – broken ankle x ray stock-grafiken, -clipart, -cartoons und -symbole
Traumatologie Icons Set Bearbeitbarer Strich
Traumatologie-Symbole Bearbeitbare Kontur festlegen.
Vektordarstellung.
Weitere einzigartige Icon-Sets finden Sie unter dem Link: https://www.istockphoto.com/collaboration/boards/qUfvBxVnEU64XaERvnM_Fw
struktur von schwarzkörperstrahlungen – broken ankle x ray stock-grafiken, -clipart, -cartoons und -symbole
Struktur von Schwarzkörperstrahlungen
von 20
Broken Ankle X Ray Stock-Fotos und Bilder
- Bilder
Creative
Editorial
Videos
Creative
Editorial
- CREATIVE
- EDITORIAL
- VIDEOS
SORTIEREN NACH
Beste Übereinstimmung
Neuestes
Ältestes
Am beliebtesten
ZEITRAUM
Alle Zeiträume24 Stunden48 Stunden72 Stunden7 Tage30 Tage12 MonateAngepasster Zeitraum
LIZENZTYPLizenzfrei
Lizenzpflichtig
RF und RM
AUSRICHTUNGBILDAUFLÖSUNGMENSCHENANZAHL PERSONENALTERSGRUPPEPERSONENKOMPOSITIONETHNISCHE ZUGEHÖRIGKEITBILDSTILFOTOGRAFENKOLLEKTIONEN
Durchstöbern Sie 144
broken ankle x ray Fotos und Bilder.
Oder starten Sie eine neue Suche, um noch mehr Fotos und Bilder zu entdecken.
große & knöchel x-ray – broken ankle x ray stock-fotos und bilderx-ray image des fußes. – broken ankle x ray stock-fotos und bilderxray – broken ankle x ray stock-fotos und bilderx-ray of a foot with sports injury – broken ankle x ray stock-fotos und bilderx-ray bilder von einem gebrochenen bein xxxl – broken ankle x ray stock-fotos und bilderx-ray – broken ankle x ray stock-fotos und bilderdislocated ankle, x-ray – broken ankle x ray stock-fotos und bildergebrochenes bein x-ray – broken ankle x ray stock-fotos und bilderclose-up of pictures of a male orthopedic doctor or orthopedic doctor. – broken ankle x ray stock-fotos und bildermännlicher orthopädischer arzt diskutiert röntgen mit patient – broken ankle x ray stock-fotos und bilderx-ray image of the human body – broken ankle x ray stock-fotos und bilderx-ray – broken ankle x ray stock-fotos und bilderdoctor examining and making x-ray of patients foot – broken ankle x ray stock-fotos und bilderbehinderte frau mit gebrochenem bein und gipsfuß zu hause – broken ankle x ray stock-fotos und bilderx-ray image knöchel knochenbruch – broken ankle x ray stock-fotos und bilderorthopädie und rehabilitation-symbole – broken ankle x ray stock-grafiken, -clipart, -cartoons und -symboletraumatologie icons set bearbeitbarer strich – broken ankle x ray stock-grafiken, -clipart, -cartoons und -symboleanatomie.
fuß – broken ankle x ray stock-fotos und bilderbein und fuß röntgen – broken ankle x ray stock-fotos und bilderspinal cord – broken ankle x ray stock-fotos und bilderx-ray image of the human body – broken ankle x ray stock-fotos und bildergebrochenes bein – broken ankle x ray stock-fotos und bildertraumatologie icons set bearbeitbarer strich – broken ankle x ray stock-grafiken, -clipart, -cartoons und -symboleradiologe, der im krankenhaus arbeitet und eine röntgenaufnahme macht – broken ankle x ray stock-fotos und bildermri magnetic resonance imaging of the foot and ankle – broken ankle x ray stock-fotos und bilderx ray of a leg – broken ankle x ray stock-fotos und bilderx-ray image of a human feet – broken ankle x ray stock-fotos und bilderx-ray of a fracture on a human ankle – broken ankle x ray stock-fotos und bilderx-ray of ankle fracture, close-up – broken ankle x ray stock-fotos und bilderbroken ankle, x-ray – broken ankle x ray stock-fotos und bilderhuman body xray – broken ankle x ray stock-fotos und bilderRay, Osteosynthesis on fracture of tibia and fibula.
Osteosynthesis is used to maintain the fractured parts of the bone in their original position…Screw and plate osteosynthesis on a fracture of the fibula. Frontal x-ray: tibia, fibula, malleolus and astragalus.Screw and plate osteosynthesis on a fracture of the fibula. Profile x-ray: tibia, fibula, malleolus and astragalus.x-ray image of the human body – broken ankle x ray stock-fotos und bilderxray image of the human body – broken ankle x ray stock-fotos und bilderx ray of a leg – broken ankle x ray stock-fotos und bilderspiral fracture of the shin, x-rays – broken ankle x ray stock-fotos und bilderschrauben und teller am knöchel knochenbruch – broken ankle x ray stock-fotos und bildertraumatologie flat icons set. verletzungen, frakturen, behandlung. – broken ankle x ray stock-grafiken, -clipart, -cartoons und -symbolegebrochenes bein – broken ankle x ray stock-fotos und bilderradiologe beim röntgen eines patienten im krankenhaus – broken ankle x ray stock-fotos und bilderfraktur des beins – weiblich – broken ankle x ray stock-grafiken, -clipart, -cartoons und -symboleFracture Of The Foot Fracture Of The Astragalus Neck.
X Ray Of The Feet From Profile.fractured ankle in cast, x-ray – broken ankle x ray stock-fotos und bilderx-ray of knees with arthritis – broken ankle x ray stock-fotos und bildermri mage of the human body – broken ankle x ray stock-fotos und bilderRay, Osteosynthesis on fracture of tibia and fibula. Osteosynthesis is used to maintain the fractured parts of the bone in their original position…x-ray of a fracture of the distal fibula – broken ankle x ray stock-fotos und bilderx-ray of ankle fracture, close-up – broken ankle x ray stock-fotos und bilderx-ray image of the human wrist – broken ankle x ray stock-fotos und bilderknochenbruch – broken ankle x ray stock-fotos und bilderx-ray – broken ankle x ray stock-fotos und bilderbone x-ray image – broken ankle x ray stock-fotos und bilderdoctor examining and making x-ray of patients foot – broken ankle x ray stock-fotos und bilderradiologentechniker hilft kleinem jungen auf bleischürze setzen – broken ankle x ray stock-fotos und bilderx-ray of ankle with fractured distal tibia side view, 50 year old male – broken ankle x ray stock-fotos und bilderschädigung menschlicher hand- und fußknochen – broken ankle x ray stock-grafiken, -clipart, -cartoons und -symboleradiologe beim röntgen eines patienten im krankenhaus – broken ankle x ray stock-fotos und bilderdoctor examining and making x-ray of patients foot – broken ankle x ray stock-fotos und bilder von 3
How to recognize an ankle fracture and what to do next
Likbez
Health
May 5, 2021
Even if the injury is cured, it can remind of itself after many years.
When to seek urgent help
You need to go to the hospital as soon as possible if:
- you have injured your ankle and now you cannot support your foot;
- after an injury, the ankle has grown dramatically in size (swollen), looks deformed, or has become a distinct blue-black color;
- sharp pain appears even when touching the ankle area, and it is completely impossible to turn the foot.
Never lean on your leg and ask someone to take you to the emergency room. If this is not possible, call an ambulance.
What is an ankle fracture
An ankle fracture is an injury that breaks or cracks one or more of the three bones that make up the ankle joint.
- Big tibia. This is the larger of the two bones in the lower leg. Its outer edge forms a hard bony protrusion on the inside of the ankle joint – the so-called medial malleolus. People call it the ankle.
- Small tibia. More subtle. Its lower edge (lateral malleolus) is palpable in the form of a bone on the outside of the ankle joint.
In popular parlance, this is the outer side of the ankle. - Ram. This is the name of the sphenoid bone, on which the lower edges of the tibia and tibia rest.
Illustration: Alila Medical Media / Shutterstock
There are many ways to break any of the ankle bones. But most often this happens when a person unsuccessfully stands on his leg and twists it. Or he receives a direct blow, due to which one or both ankles suffer at once.
How to recognize an ankle fracture
In addition to the symptoms listed above, there may be less obvious signs of a fracture. Even if it seems to you that everything worked out and the injury is not very dangerous, be sure to contact a surgeon or a traumatologist in such cases:
- Edema gradually increases.
- You cannot move your ankle in the normal range of motion.
- You feel insecure when you lean on your injured leg. Even if you can stand, this does not mean that there is no fracture.
- You feel a snap or strange crack in your ankle when dropped or hit.

- Ankle continues to hurt 3-4 days after a fall or impact.
An accurate diagnosis can only be made after an X-ray or (in more complex cases) a CT or MRI of the ankle joint.
How to treat a broken ankle
It depends on how severe the injury is.
If the fracture only affects one bone, and its segments are very close together, the surgeon will simply put a cast on the ankle and foot. You will have to walk in it for 6-8 weeks.
If the fracture is more extensive and the bones are displaced, they will have to be manually aligned. This process is called reduction. The procedure is quite painful, so it is carried out under anesthesia. Sometimes a local anesthetic is enough. But in some cases, sedative pills and muscle relaxants may be required. Which option of anesthesia will be more effective in your case, the doctor decides. After reduction, the ankle is again placed in a cast.
In the most severe fractures, the bone must be fixed in its normal position with special surgical screws, plates or pins.
If these devices interfere with you, the surgeon will remove them after the bone heals.
After the cast is removed, your doctor will recommend exercises to restore joint mobility.
Why ankle fractures are dangerous
Even with qualified treatment, ankle fractures do not always go unnoticed. Sometimes they cause complications, for example:
- Arthritis.
- Compartmental syndrome. This is a condition in which blood circulation in the area of the affected joint is disturbed. Because of this, the ankle can constantly hurt, swell, and the muscles can atrophy.
- Nerve or blood vessel injury. This is usually noticed by regularly occurring numbness, swelling, and circulatory problems.
Complications can occur months or even years after the injury. If you notice that your ankle has begun to hurt, be sure to contact the surgeon for an examination.
How to prevent an ankle fracture
From accidents and accidental falls, for example, in ice, no one is safe.
However, there are ways to reduce the risk of fracture.
- Choose your footwear wisely depending on the activity you are about to do. So, if you plan to spend the whole day on your feet, running up stairs and not the smoothest asphalt, give up stiletto sandals and choose shoes with stable heels. When hiking, wear high boots or sneakers with ankle support.
- Change your sports shoes regularly. Discard your shoes as soon as the tread or heel wears out or if they wear unevenly. If you’re into running, buy a new pair every 400-600 miles.
- Be sure to warm up before training. Especially those that involve jumping, running or climbing stairs, or other ankle stress.
- Watch your diet. In order for the body to maintain bone strength, you must get enough calcium and vitamin D. Therefore, do not forget to include milk, yogurt, and cheese in your daily menu. And ask your GP if you should take vitamin D supplements.
- Strengthen your ankle muscles. This is especially important if you find yourself twisting your leg every now and then.
Ask your therapist to recommend exercises to strengthen your muscles. - Clean up the mess in the house. Small toys, scattered shoes, wires, bags, shopping bags – any of these items can be tripped over and injured.
- Look under your feet.
Read also 🦵👩⚕️
- How to reduce joint pain
- Why my legs hurt and what to do to feel better
- What is osteoporosis and how to prevent serious fractures in old age
- Hip fracture: how to recognize, how to treat and how long it takes to recover
- 15 Exercises for Healthy Knee Joints
All About Ankle Fracture
The most common ankle injury is an ankle fracture.
Such damage limits motor activity and disrupts the usual way of life, in addition, untimely treatment and an irresponsible approach to rehabilitation can cause serious complications.
In order to avoid adverse consequences, it is worth taking immediate measures, properly organizing orthopedic treatment and starting rehabilitation.
Where is the ankle?
Ankle is a bilateral bone process of the lower leg, consisting of the outer (lateral) and inner (medial) ankles.
The outer ankle is the distal end of the fibula that forms the lower leg. The tibia adjoins the inner.
They run parallel to each other and form a “corner” located at the junction of these parts. Visually, the ankle is a bony tubercle on both sides of the ankle.
The ankle is the most important part of the ankle and acts as a stabilizer. Due to high mechanical loads, it is most vulnerable to damage.
What can cause an ankle fracture
- a strong blow or bruise
- tucked foot
- fall from a height or on an unstable surface
Symptoms of an ankle fracture
- immediately after injury, there is a sharp pain that partially limits the mobility of the leg or completely blocks it
- swelling at the site of injury
- hematoma and deformity appear
- maximum pain in the region of 3-4 cm above the ankle
- diffuse bruising is observed when bone fragments are displaced
- an “angle” appears between the lower leg and the distal limb
- pathological mobility occurs
- a characteristic crunch is clearly audible when moving a limb
The severity of symptoms directly depends on the complexity of the fracture and damage to the ligaments.![]()
Types of ankle fractures
The tibiofibular syndesmosis is a bony junction consisting of three ankle ligaments.
Damage below the syndesmosis
- isolated damage
- violation of the integrity of the medial malleolus
- violation of the integrity of the posterior medial edge
Injuries of the fibula at the level of syndesmosis
- isolated fracture
- with medial damage
- damage to the medial part and a fracture of the posterolateral edge
Injuries above the syndesmosis
- simple diaphyseal fracture of the fibula
- multifragmented diaphyseal fracture of the fibula
- proximal fibula fracture
Fracture diagnosis
The following diagnostic methods are used to confirm the fracture:
- X-ray of the ankle in two projections
- Computed tomography
- Angiography
- MRI (the most informative and safe technology)
Treatment
There are two types of ankle fracture treatment:
- conservative
- operational
To determine the optimal treatment tactics, it is necessary to take into account the characteristics of the injury, age, gender and the presence of pathologies.
Conservative treatment of ankle fractures
Treatment consists of manual anatomical reconstruction of the damaged joint, complete immobilization and treatment of damaged ligaments.
Conservative treatment is indicated for non-displaced ankle fractures, as well as for severe comorbidities or poor soft tissue condition when surgery is contraindicated.
Conservative methods include:
- manual reposition of fragments
- application of fixation plaster casts
- immobilization with rigid orthoses
- wearing orthopedic brace
Ankle fracture surgery
Surgery is appropriate for complex open fractures, fractures with displacement, and significant internal soft tissue injuries.
The operation must take place no later than 8 hours after the injury, before the formation of swelling of the tissues. Otherwise, the operation should be postponed until the swelling subsides. Before surgery, the fracture should be fixed with an incised plaster cast or skeletal traction.
In both cases, rehabilitation is accompanied by medication to relieve pain, relieve inflammation and prevent thrombosis.
Rehabilitation
Thanks to rehabilitation measures, it is possible to restore joint mobility, restore shape and eliminate the development of complications. A competent and responsible approach to rehabilitation, a well-designed plan of specially selected exercises will help you recover much faster and return to your previous full-fledged lifestyle after such a serious injury.
Neglect of these recommendations threatens with incorrect fusion of fragments, which threatens with serious consequences: false articulations, frequent subsequent dislocations, lameness, flat feet, as well as possible persistent pain and the development of deforming pseudarthrosis.
Recovery time
The term for achieving the first improvements, subject to all recommendations, directly depends on the complexity of the injury:
- fracture without displacement – 1 week
- displaced injuries and manual reduction of the fracture – 2 weeks
- after surgery to reduce fragments – 3 weeks
- 2 months after avulsion of the tibial edge
On average, a simple fracture heals completely in 2.
5 months. A displaced fracture requires at least six months.
Training of the leg without crutches can be started 3 months after the fracture. The issue of returning to the usual way of life is decided individually. For example, you can return to sports only two years after the injury.
Cast alternative for broken ankles
For many years, the use of gypsum has been the gold standard in traumatology, but the heavy and completely non-breathable material practically does not transmit X-rays, and this greatly complicates the control of the rehabilitation process. Wearing a cast is accompanied by severe itching, and a lot of weight unnecessarily loads an already injured limb. The combination of these factors gave impetus to the search for new technologies in the treatment of such injuries.
Ankle fracture orthoses
In modern medical practice, an alternative to gypsum method of fixing injured limbs – orthoses – is increasingly being used.
The method is based on wearing a special orthopedic product at the site of a bone fracture, dislocation, soft tissue injury, to restore their previous performance.![]()
The choice of an ankle brace for ankle fractures depends on the stage of the process. In the acute period, the choice of a doctor will stop at a rigid orthosis, which will eventually be replaced by a semi-rigid one, and then an elastic one.
Orthosis functions:
- full or partial immobilization
- direction or restriction of movement
- reducing the load on the damaged area
- prevention of secondary damage during early cast removal
- shape correction
- ease of movement or relief of pain
Indications for ankle orthoses
Direct indications for the use of orthoses include:
- ankle fractures
- dislocations and subluxations in the ankle area
- ligament injuries of varying complexity
- a whole range of inflammatory and degenerative diseases
- ankle instability
- childhood congenital anomalies, rickets and others
- injury prevention in athletes and overweight people
Types of ankle orthoses:
- Rigid (degree of fixation: full)
After fractures, long-term immobilization of the joint is necessary.
With the task of long-term complete immobilization of the joint, a rigid orthosis does an excellent job. Such an orthosis contributes to the correct fusion of the bone so that the motor function is restored to the fullest extent.
The brace is a comfortable, breathable design that visually resembles a boot with zippers or Velcro.
- Semi-rigid (Hold: strong)
The use of a semi-rigid orthosis is necessary during the rehabilitation period after an injury. which allows you to treat not only fractures, but also other diseases of the bone and articular systems.
Used for Achilles injuries and ligament injuries.
This orthosis fits into everyday shoes.
- Stretch (hold: light, medium)
Used by athletes to prevent joint injuries. Such models are comfortable in everyday wear, as they do not cause discomfort.
The bandage will help to provide additional support to the ligaments and joints during intense activities, so that the likelihood of damage to them will be minimal.
If you often run, play football, volleyball or other active sports, such devices are simply indispensable for you.
Product code
#1424
Free shipping
Discount
4 990 ₽
Buy
Add to Favorites
Favorite
+Compare
+Add to comparison list
Product code
#9089
Free shipping
Discount
69 990 ₽
Buy
In installments
+Compare
+Add to comparison list
Product code
#3666
Free shipping
Discount
sale of leftovers
7 140 ₽
Buy
Add to Favorites
Favorite
+Compare
+Add to comparison list
Product code
#1939
Free shipping
Discount
Product with video
3 190 ₽
Buy
Add to Favorites
Favorite
+Compare
+Add to comparison list
Product code
#2634
Free shipping
Discount
5 990 ₽
Buy
Add to Favorites
Favorite
+Compare
+Add to comparison list
Product code
#2633
Free shipping
Discount
3 850 ₽
Buy
Add to Favorites
Favorite
+Compare
+Add to comparison list
Product code
#3883
Free shipping
Discount
Product with video
1 350 ₽
Buy
Add to Favorites
Favorite
+Compare
+Add to comparison list
Product code
#41160
Free shipping
Discount
Product with video
1 990 ₽
Buy
Add to Favorites
Favorite
+Compare
+Add to comparison list
Product code
#40212
Free shipping
Discount
sale of leftovers
5 740 ₽
Buy
Add to Favorites
Favorite
+Compare
+Add to comparison list
Product code
#4028
Free shipping
Discount
4 450 ₽
Buy
Add to Favorites
Favorite
+Compare
+Add to comparison list
Product code
#3431
Free shipping
Discount
Product with video
3 850 ₽
Buy
Add to Favorites
Favorite
+Compare
+Add to comparison list
Product code
#46591
Free shipping
2 550 ₽
Buy
Add to Favorites
Favorite
+Compare
+Add to comparison list
Product code
#0663
Free shipping
Discount
3 190 ₽
Buy
Add to Favorites
Favorite
+Compare
+Add to comparison list
Product code
#7760
Free shipping
Discount
Product with video
1 990 ₽
Buy
Add to Favorites
Favorite
+Compare
+Add to comparison list
Product code
#0983
Free shipping
Discount
From
1 520 ₽
Buy
Add to Favorites
Favorite
+Compare
+Add to comparison list
Product code
#8975-001
Free shipping
Discount
1 170 ₽
Buy
Add to Favorites
Favorite
+Compare
+Add to comparison list
Product code
#3714
Free shipping
Discount
2 380 ₽
Buy
Add to Favorites
Favorite
+Compare
+Add to comparison list
Product code
#3715
Free shipping
Discount
sale of leftovers
1 620 ₽
Buy
Add to Favorites
Favorite
+Compare
+Add to comparison list
Product code
#2083
Free shipping
Discount
Product with video
5 100 ₽
Buy
Add to Favorites
Favorite
+Compare
+Add to comparison list
Product code
#71282
Free shipping
Discount
4 650 ₽
Buy
Add to Favorites
Favorite
+Compare
+Add to comparison list
← Back to news list
Item has been added to cart
Items in your cart:
Go to cart
Continue shopping
You may also find it useful:
Buy in 1 click
Dear !
Thank you, your order no.
In the near future our manager will contact you to confirm the order.
Order confirmation is carried out daily from 9:00 to 18:00 (Moscow time).
The manager will call you back, clarify all the details and place an order in your name.
Name
Telephone
Place an order
By clicking the “Place an order” button, I give my consent to the processing of personal data in
according to the conditions specified here.
Apply for a loan / installment plan
Dear !
Thank you, your order no.
In the near future our manager will contact you to confirm the order.
Order confirmation is carried out daily from 9:00 to 18:00 (Moscow time).
After sending the application, the manager will contact you and
will help to arrange a purchase on credit or in installments without overpayment.
Name
Telephone
Submit an application
By clicking the “Submit application” button, I give my consent to the processing of personal data in
according to the conditions specified here.
Send SMS with store address
SMS with shop address sent
You are interested in the store address:
Telephone
By clicking the “Send SMS” button, I give my consent to the processing of personal data in
according to the conditions specified here.
Send SMS
Close
Free shipping
Within Moscow and St.
- Free for all wheelchairs.
- For orders from 14990r — free of charge .
- For orders up to 14990r:
- regular delivery – 290 rub.
- bulky goods – 390 rub.
Moscow region, Moscow outside the Moscow Ring Road, Leningrad region, St. Petersburg outside the Ring Road:
- For orders from 14990r – free .
- For orders up to 14990r:
- regular delivery – 370 rub.
- large-sized goods – 470 rubles.
In Russia, except for bulky goods*:
- For orders from 14990r – free of charge.


In popular parlance, this is the outer side of the ankle.
Ask your therapist to recommend exercises to strengthen your muscles.