Cloudy lung x ray. Cloudy Lung X-Ray: Understanding Chest X-Ray Abnormalities and Lung Opacities
What are the key points to consider when analyzing chest X-rays. How to identify lung abnormalities on X-ray images. What causes cloudy or opaque areas in lung X-rays. How to differentiate between various types of lung opacities.
Key Principles for Analyzing Chest X-Rays
Interpreting chest X-rays requires a systematic approach to identify potential lung abnormalities. Here are some fundamental principles to keep in mind:
- Compare the left and right upper, middle, and lower lung zones
- Determine which side appears abnormal
- Compare an area of abnormality with the surrounding lung tissue on the same side
- Remember that the whiter side is not always the abnormal side
- Keep in mind that many lung diseases are bilateral and symmetrical
When examining a chest X-ray, it’s crucial to assess the lungs by comparing the upper, middle, and lower zones on both sides. Asymmetry in lung density may appear as either abnormal whiteness (increased density) or abnormal blackness (decreased density). Once asymmetry is identified, the next step is determining which side is abnormal. If an area differs from the surrounding lung tissue on the same side, it is likely the abnormal region.

Understanding Lung Consolidation
Consolidation occurs when the alveoli and small airways fill with dense material. This can result from various conditions, not just infections. What causes lung consolidation?
- Pneumonia (airways filled with pus)
- Pulmonary edema (airways filled with fluid)
- Pulmonary hemorrhage (airways filled with blood)
- Cancer (airways filled with cells)
These conditions can all appear similar on an X-ray, making clinical information crucial for accurate diagnosis. A characteristic sign of consolidation is the air bronchogram, where larger airways appear as dark lines through the whitened, consolidated area.
Identifying Small Lung Zone Abnormalities
Careful comparison of lung zones can reveal smaller abnormalities that might otherwise go unnoticed. For example, a unilateral middle zone abnormality might appear as a small irregular opacity containing a dark area (cavity). In cases of drug abuse history and high fever, this could indicate a septic embolus.
What are some differential diagnoses for lung cavities?

- Lung abscess (caused by TB, Klebsiella, or Staphylococcus aureus)
- Lung cancer
- Septic embolus (infected thrombus)
- Fungal infection (in immunocompromised patients)
- Granulomatosis with polyangiitis
Recognizing Bilateral Lung Abnormalities
Sometimes, comparing sides doesn’t provide a clear answer, as both lungs may be abnormal. In such cases, familiarity with normal lung parenchyma appearance becomes crucial. Bilateral abnormalities might manifest as multiple lung nodules with symmetrical distribution, often more pronounced at the lung bases.
For instance, in a patient with shortness of breath, weight loss, and suspected underlying malignancy, bilateral nodules could indicate pulmonary metastases. How can one differentiate between benign and malignant lung nodules?
- Size: Larger nodules are more likely to be malignant
- Shape: Irregular or spiculated edges suggest malignancy
- Growth rate: Rapid growth is concerning for cancer
- Number: Multiple nodules may indicate metastases
- Location: Upper lobe nodules are more likely to be malignant
Unilateral Low Density: When Darkness Indicates Abnormality
In some cases, asymmetry in lung appearance may be due to an abnormally dark (less dense) area. This could indicate conditions such as chronic obstructive pulmonary disease (COPD) with a large lung bulla. What are the characteristics of COPD on a chest X-ray?

- Hyperinflation of the lungs
- Flattened diaphragm
- Increased retrosternal airspace
- Bullae or blebs
- Increased lung markings
A unilateral black lower zone, especially in a chronic smoker with increasing shortness of breath, could be indicative of COPD with a large lung bulla. This highlights the importance of considering both increased and decreased density when interpreting chest X-rays.
Understanding Lung Opacity: Beyond the X-Ray
While chest X-rays provide valuable information, computed tomography (CT) scans offer more detailed imaging of lung abnormalities. The term “opacity” is often used in radiology to describe hazy gray areas on CT scans or X-rays. But what exactly does lung opacity mean?
Lung opacity refers to any area that appears denser or more opaque than normal lung tissue on imaging studies. This can be caused by various conditions, including:
- Pneumonia
- Pulmonary edema
- Lung cancer
- Atelectasis (collapsed lung tissue)
- Fibrosis
- Pleural effusion
One specific type of opacity often discussed is ground-glass opacity (GGO). How does ground-glass opacity differ from other lung opacities?

- Appearance: GGO looks like a hazy, gray area on CT scans, resembling ground glass
- Visibility of structures: Unlike consolidation, GGO allows visualization of underlying lung structures
- Density: GGO is less dense than consolidation but denser than normal lung tissue
- Causes: GGO can be caused by various conditions, including infections, interstitial lung diseases, and early-stage lung cancer
Differential Diagnosis of Lung Opacities
When a lung opacity is detected on imaging studies, healthcare providers must consider various potential causes. What are some common conditions that can lead to lung opacities?
Infectious Causes
- Bacterial pneumonia
- Viral pneumonia (including COVID-19)
- Fungal infections
- Tuberculosis
Non-Infectious Inflammatory Conditions
- Sarcoidosis
- Hypersensitivity pneumonitis
- Connective tissue diseases (e.g., rheumatoid arthritis, systemic lupus erythematosus)
Neoplastic Conditions
- Primary lung cancer
- Metastatic cancer
- Lymphoma
Other Causes
- Pulmonary edema
- Radiation pneumonitis
- Drug-induced lung injury
- Aspiration
Accurate diagnosis often requires correlation with clinical symptoms, laboratory findings, and sometimes additional imaging or biopsy.

Implications of Lung Opacities: Cancer or Not?
One of the most concerning possibilities when lung opacities are detected is cancer. However, it’s important to note that not all lung opacities are cancerous. How can healthcare providers differentiate between benign and malignant lung opacities?
- Size and growth: Larger opacities that grow over time are more concerning for malignancy
- Shape: Irregular, spiculated borders are more suggestive of cancer
- Density: Pure ground-glass opacities are less likely to be invasive cancer compared to solid or part-solid nodules
- Location: Upper lobe lesions are more likely to be malignant
- Number: Multiple opacities may suggest metastatic disease or a benign process like infection
- Patient factors: Age, smoking history, and other risk factors play a role in assessing cancer risk
When lung opacities are found, further evaluation is often necessary. This may include follow-up imaging, PET scans, or biopsy, depending on the characteristics of the opacity and the patient’s risk factors.
![]()
Management and Prognosis of Lung Opacities
The management and prognosis of lung opacities depend largely on the underlying cause. How do healthcare providers approach the treatment of lung opacities?
- Diagnosis: Accurately identifying the cause of the opacity is crucial for appropriate management
- Treatment of underlying condition: This may involve antibiotics for infections, anti-inflammatory medications for inflammatory conditions, or chemotherapy for cancer
- Monitoring: Regular follow-up imaging may be necessary to track changes in the opacity
- Supportive care: Managing symptoms and complications associated with the underlying condition
- Prevention: Addressing risk factors like smoking cessation to prevent future lung problems
The prognosis for patients with lung opacities varies widely depending on the cause. For example, bacterial pneumonia often resolves with appropriate antibiotic treatment, while the outlook for lung cancer depends on the stage at diagnosis and the patient’s overall health.
![]()
In cases of ground-glass opacities, the prognosis is generally better than for solid lung nodules, especially if they are small and stable over time. However, persistent ground-glass opacities require careful monitoring, as some may progress to invasive adenocarcinoma.
Advanced Imaging Techniques for Lung Abnormalities
While chest X-rays and CT scans are the most common imaging modalities for evaluating lung abnormalities, advanced techniques can provide additional information in certain cases. What are some advanced imaging methods used to assess lung opacities?
- PET-CT: Combines anatomical information from CT with metabolic activity data from PET, useful for differentiating benign from malignant lesions
- MRI: While not routinely used for lung imaging, MRI can be helpful in assessing chest wall involvement or mediastinal masses
- Dual-energy CT: Can provide additional information about tissue composition and perfusion
- Quantitative CT: Allows for objective measurement of lung density and volume, useful in conditions like emphysema
These advanced techniques can provide valuable information to guide diagnosis and treatment decisions, particularly in complex cases or when conventional imaging is inconclusive.
![]()
The Role of Artificial Intelligence in Interpreting Lung Imaging
Artificial intelligence (AI) is increasingly being used to assist in the interpretation of medical imaging, including chest X-rays and CT scans. How is AI changing the landscape of lung imaging interpretation?
- Automated detection: AI algorithms can quickly identify potential abnormalities, including small nodules that might be missed by human readers
- Quantification: AI can provide precise measurements of nodule size, density, and growth over time
- Risk stratification: Some AI models can assess the likelihood of malignancy based on imaging features and patient data
- Workflow optimization: AI can prioritize cases for radiologist review, potentially reducing time to diagnosis for critical findings
- Quality assurance: AI can serve as a “second reader,” potentially catching errors or missed findings
While AI shows promise in improving the accuracy and efficiency of lung imaging interpretation, it’s important to note that these tools are intended to assist, not replace, human radiologists. The integration of AI into clinical practice is an ongoing process that requires careful validation and consideration of ethical implications.

Patient Education and Shared Decision-Making
When lung opacities are detected on imaging studies, effective communication between healthcare providers and patients is crucial. How can healthcare professionals best educate patients about lung opacities and involve them in decision-making?
- Clear explanation: Use simple language to explain what lung opacities are and their potential causes
- Visual aids: Utilize diagrams or actual imaging studies to help patients understand their condition
- Risk communication: Discuss the likelihood of various diagnoses based on the patient’s specific situation
- Treatment options: Explain available management strategies, including their benefits and potential risks
- Shared decision-making: Involve patients in choosing between different diagnostic or treatment approaches, considering their values and preferences
- Emotional support: Acknowledge and address any anxiety or concerns patients may have about their diagnosis
By engaging patients in their care and providing clear, accurate information, healthcare providers can help alleviate anxiety and promote better health outcomes. This approach is particularly important in cases where the cause of lung opacities is uncertain or when multiple management options are available.
![]()
In conclusion, understanding chest X-ray abnormalities and lung opacities requires a comprehensive approach that considers various imaging modalities, clinical context, and potential causes. From basic chest X-ray interpretation to advanced imaging techniques and the integration of AI, the field of thoracic imaging continues to evolve. By staying informed about these developments and maintaining a patient-centered approach, healthcare providers can optimize the diagnosis and management of lung abnormalities, ultimately improving patient care and outcomes.
Chest X-ray Abnormalities – Lung abnormalities
Chest X-ray Abnormalities – Lung abnormalities
Key points
- Compare the left and right upper, middle and lower lung zones
- Decide which side is abnormal
- Compare an area of abnormality with the rest of the lung on the same side
- The whiter side is not always the abnormal side
- Remember many lung diseases are bilateral and symmetrical
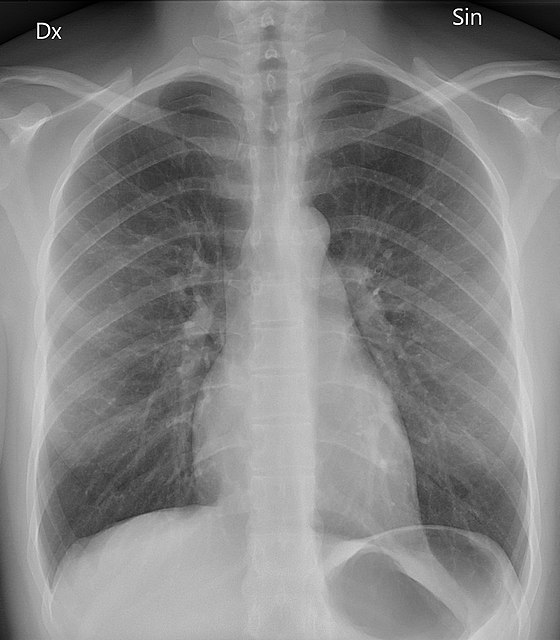
Lung zones
Assess the lungs by comparing the upper, middle and lower lung zones on the left and right. Asymmetry of lung density is represented as either abnormal whiteness (increased density), or abnormal blackness (decreased density). Once you have spotted asymmetry, the next step is to decide which side is abnormal. If there is an area that is different from the surrounding ipsilateral lung, then this is likely to be the abnormal area.
Consolidation
If the alveoli and small airways fill with dense material, the lung is said to be consolidated.
It is important to be aware that consolidation does not always mean there is infection, and the small airways may fill with material other than pus (as in pneumonia), such as fluid (pulmonary oedema), blood (pulmonary haemorrhage), or cells (cancer). They all look similar and clinical information will often help you decide the diagnosis.
Air bronchogram
If an area of lung is consolidated it becomes dense and white. If the larger airways are spared, they are of relatively low density (blacker). This phenomenon is known as air bronchogram and it is a characteristic sign of consolidation.
Consolidation with air bronchogram
Hover on/off image to show/hide findings
Tap on/off image to show/hide findings
Click image to align with top of page
Consolidation with air bronchogram
- The left middle zone is white
- Dark lines through the area of white are a good example of air bronchogram
Clinical information
- The patient had a high temperature and a productive cough
Diagnosis
- Pneumonia – consolidation with pus
Differential diagnosis of consolidation
- Pneumonia – airways full of pus
- Cancer – airways full of cells
- Pulmonary haemorrhage – airways full of blood
- Pulmonary oedema – airways full of fluid
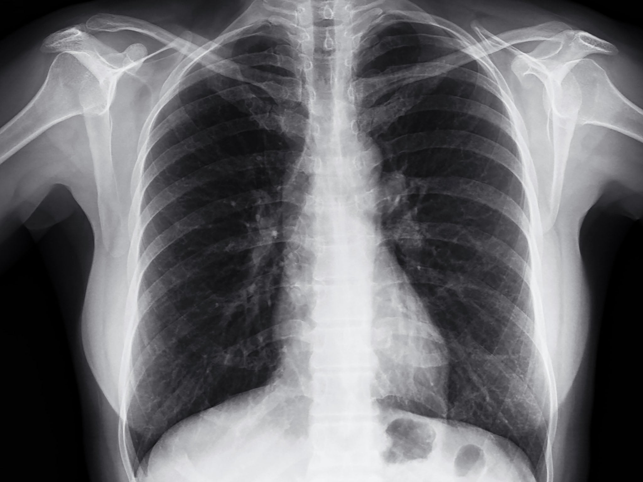
Small lung zone abnormalities
Careful comparison of the lung zones can lead to noticing smaller abnormalities which may otherwise be ignored.
Unilateral middle zone abnormality
Hover on/off image to show/hide findings
Tap on/off image to show/hide findings
Click image to align with top of page
Unilateral middle zone abnormality
- The middle zones are asymmetrical
- There is a small irregular opacity on the right
- This opacity contains a dark area – cavity
- Other areas of the lungs are normal
Clinical information
- This patient had a history of intravenous drug abuse and presented with a high fever
Diagnosis
- Septic embolus
Differential diagnosis of lung cavities
- Lung abscess – TB, Klebsiella or Staph aureus
- Lung cancer
- Septic embolus – infected thrombus
- Fungal infection – if immunocompromised
- Granulomatosis with polyangiitis
Bilateral lung abnormalities
Comparing sides does not always give the answer. The lungs may be abnormal on both sides and so awareness of the normal appearances of lung parenchyma becomes more important.
Bilaterally abnormal lung zones
Hover on/off image to show/hide findings
Tap on/off image to show/hide findings
Click image to align with top of page
Bilaterally abnormal lung zones
- Multiple bilateral lung nodules
- Symmetrical distribution
- More nodules at the lung bases
Clinical information
- Shortness of breath, weight loss and clinically suspected underlying malignancy
Diagnosis
- Pulmonary metastases
Unilateral low density
If there is asymmetry of the lungs, sometimes it is the dark (less dense) area that is abnormal.
Unilateral black lower zone
Hover on/off image to show/hide findings
Tap on/off image to show/hide findings
Click image to align with top of page
Unilateral black lower zone
- Asymmetrical lower zones
- Left darker than right
- Lung hyperexpansion
Clinical information
- Chronic smoker with increasing shortness of breath
Diagnosis
- Chronic obstructive pulmonary disease with a large left lower zone lung bulla
Page author:
Dr Graham Lloyd-Jones BA MBBS MRCP FRCR – Consultant Radiologist –
Salisbury NHS Foundation Trust UK
(Read bio)
Last reviewed:
July 2019
Lung Opacity: Understanding What This Means
Even though over 80 million people undergo computed tomography (CT) scans each year in the United States, some of the words and phrases related to this imaging test can be complicated and hard to understand.
For example, one term that healthcare professionals might use in reference to a lung CT scan is “opacity.” This is a radiological term that refers to the hazy gray areas on images made by CT scans or X-rays.
This article will provide information about lung opacity, whether it means you have lung cancer, and what the outlook may be for those with lung opacity.
Ground-glass opacity is a radiological term that refers to hazy gray areas on the images made by CT scans or X-rays. It indicates increased density in these areas.
Typically, the lungs appear black on a CT scan or X-ray. This shows that they are free of blockages. When gray areas are visible instead, it means that something is partially filling this area inside the lungs.
These gray areas are referred to as ground-glass opacity. Ground-glass opacity can be a sign of:
- fluid, pus, or cells filling the air space
- walls of the alveoli thickening
- space between the lungs thickening
Ground-glass opacity can result from a variety of causes, according to 2020 research.
Sometimes it is temporary and the result of a short-term illness. In other cases, it can signify a chronic or more serious condition. Ground-glass opacity can also indicate an infection or other inflammatory process, which is usually what a clinician will share with you or your loved one who has had a CT scan or X-ray.
Healthcare professionals see lung opacities on imaging scans. Your doctor may suggest a scan of your lungs if you are experiencing:
- shortness of breath
- persistent coughing
- coughing with yellow, green, or bloody mucus
- chest pains
- blue- or white-tinged fingertips or lips
- voice changes
Opacities are also likely to show up on a scan if you have a history of smoking or vaping.
It’s also good to know that chest CTs are used to screen for risk of lung cancer, and a physician may order a CT scan if you have a history of smoking.
Lung opacities can indicate many conditions besides cancer. Many times they are benign (noncancerous).
They may be due to infections, hemorrhages, a history of smoking, and even COVID-19.
Lung opacities are common, 2021 research suggests. They can indicate a broad range of conditions, and your doctor may need to do further scans and tests to determine the exact cause of any lung opacities.
Lung opacity can show up on the imaging scan in a variety of ways, depending on the underlying condition. Some conditions will result in multiple types of opacities.
Opacities may be:
- Diffuse: This describes when opacities show up in multiple lobes or both lungs. This is usually the result of fluid, damaged tissue, or inflammation.
- Nodular: This can mean either a malignant or benign condition. Because this opacity can be caused by small scars from a recent infection, doctors may choose to watch it over several scans to see if it grows.
- Centrilobular: This type of opacity can appear within one or several lobules of the lung.
The connective tissues between the lobules will be unaffected in this type of opacity. - Mosaic: Opaque areas vary in intensity in this pattern. It is due to small arteries or airways within the lung being blocked.
- Crazy paving: This describes a linear pattern that develops when spaces between the lobules widen.
- Halo sign: This describes when opacity fills the area around the nodules.
- Reversed halo sign: The opacity will be surrounded by liquid-filled tissue.
Lung opacity can indicate different conditions that have their own treatment plans. Depending on the cause, your doctor may suggest:
- steroid medications to reduce inflammation
- immunosuppressants to prevent your immune system from further damaging your lungs
- antibiotics
- oxygen treatments
- surgery
If the lung opacity is due to cancer, treatment will vary depending on the severity and type.
Treatment may include radiation, chemotherapy, and surgery.
Lung opacity can result from many different causes, with varying degrees of seriousness.
Some conditions that cause lung opacity, like viral infections, are typically short-lived with low long-term risk. Other conditions, like alveolar hemorrhage and lung cancer, require more serious treatments.
Ground-glass opacity nodules can be divided into two types: pure and partially solid. Pure nodules do not contain any solid mass, whereas partially solid nodules do have solid components.
A 2019 study found that in cases when lung opacity showed cancer, pure ground-glass opacity nodules were more likely to be seen in earlier stages of lung cancer. There was also less lymph node invasion compared with ground-glass opacity nodules that also include solid masses.
Additionally, pure ground-glass opacity nodules took longer to double in size than ground-glass opacity nodules with solid masses in these studies.
This means that lung cancer outlook may be better when a person has pure ground-glass opacity, compared with scans that showed a solid part in the nodules.
After a CT scan or X-ray, a radiologist will look at the scan to determine if there are areas of concern. One thing that can show on a CT scan or X-ray is a degree of haziness referred to as opacity.
Opacity on a lung scan can indicate a concern, but the cause can vary. Your doctor may recommend additional testing to determine the exact cause of any potential lung issues.
The outlook and treatment options available will depend on the cause of the opacity.
X-ray (x-ray) of the chest organs – “A simple and free procedure helps to explain why pathology appeared on the fluorogram – a shadow in the lung” that I
- lost 2 kg of body weight in two days,
- self-diagnosed myself with lung cancer,
- picked up a “funeral dress” and a photo for a monument,
- , in a state of slight paralysis, went to the “copy of the OGK”.

Why am I writing this review? The procedure itself can be described in one paragraph. I will definitely do it. But if someone encounters the same problem as me, there is not so much information on the Internet about such errors in reading fluorograms. I will contribute to the section “fluorogram reading errors”.
Usually such blackouts in the pictures give hair, if they are not neatly pulled up – but I have short hair. Also, shadows from the nipples can be mistaken for shadows in the lungs if the laboratory assistant presses your chest too hard against the apparatus. Then the breasts (left, right, both at once) will shift to the sides, and the nipples will give a shadow in the picture, which the radiologist must notice and prescribe an additional examination to exclude pathology. But if in our polyclinics everything was done in a human way, and not through… if people were talked to…
My story – passed the annual fluorographic examination.
There is no special faith in him, since my father did not do fluorography for seven years, and died of lung cancer, and a colleague underwent fluorography every year – nevertheless, he also received a diagnosis of lung cancer not according to the results of annual screening, but after visits to the doctor due to loss of voice, when the tumor was already inoperable.
Without thinking about the bad, I come to work and receive a call right in the morning – to urgently retake a fluorography. What, why, why – xs. They called from the factory health center. Then, even later, the district nurse will call. I come to the fluorography room – they take a picture in a lateral projection. “The doctor didn’t like something” – is very informative, isn’t it? Inspires optimism. Doctor, as it turned out later, one for three places – and for a fluorograph, and for a mammograph, and for an x-ray. He would be happy to explain and talk to the patient, but he does not have such an opportunity.
And lab assistants don’t get paid to talk. At the end of the procedure: if something goes wrong – we will call .
I have read all sorts of things on the Internet, but hope still glimmered . The next day I rushed to find out the results *passive waiting is not for me* and received a referral for a “copy of the OGK”. To the question: “Can you still find out what’s wrong with my picture?” the answer was received: “Your lungs will watch. The doctor did not like something.” Well, after that I was unstoppable.
Maybe from the outside it seems ridiculous and stupid, that I am so easily demoralized, that I overdramatize everything, etc. But a loved one was dying from lung cancer in front of my eyes and hands, so burdened heredity and visualization of the picture of the future in I was complete. Plus, I lived for several months in a state of acute stress, which had already led to a neoplasm and surgery a year ago.
Plus – I periodically have pains under my left breast, which I attribute to “heart”, although a familiar paramedic says that they are “muscular”. Plus – I already live this life on neuroleptics and antidepressants. A man with a sick psyche! In general, the clinic is complete. And I have a sick and dependent person in my care. I don’t want to live and I don’t want to die. Especially from lung cancer. I want to die in my sleep, unexpectedly. Like all normal people – to fall asleep and not wake up.
Chest scan is performed in the surgical building of the city hospital. X-rays and barium enema are also performed there. I gave the direction, sat down to wait for me to be called. I waited for an hour – the first to accept the “broken”. A woman was sitting next to me with the same piece of paper (direction) as mine. I recognized him by the specific handwriting and triangular seal of the doctor. She did not look happy, but she did not have “all the world’s sorrow” painted on her face, like mine.
I sat, composed mantras and prayed.
Called . Undress to the waist, take off your shoes. The doctor shouted that she should not undress ahead of time, but first she went to him. The doctor is young *younger than me*, and it is clear that the cynicism that is the constant companion of medical workers has not yet settled into him. He showed me pictures from 2016 and 2017, where “everything is clean”. Showed a picture from 2018. The picture in the lateral projection of the pathology did not show *at least one *** told me this when I came to find out the results*.
The doctor explained that he suspected that my left breast was pressed hard, which caused the nipple to shift and form its projection in the form of a shadow on the picture. He showed why I have such a shadow does not mean central or peripheral lung cancer, how would the shadow look in this case. But he is obliged to check everything, so that “he was calmer, and I was calmer.
” A real-time copy of the OGK allows you to do this, you do not need to receive more intense radiation on a CT scan and pay for this expensive procedure. The doctor warned that he would tell me when to hold my breath, when to take a deep breath.
Comrades, there will be no photo in the review, because I was not at all up to photo . I only have a doctor’s note.
Evaluate the handwriting – they also say that all doctors are specifically taught to write illegibly.
After the conversation, I undressed to the waist, took off my shoes and stood on the stand. There was no one in the office, the doors were closed. The apparatus began to move – something drove up to me and rose, got closer. I was already standing – neither alive nor dead, only my heart was pounding. The doctor communicated with me through the speaker. In total, the procedure did not take much time, no more than 5 minutes, I held my breath and exhaled for three cycles.![]()
After that, the doctor said that everything in my lungs is clear , he will make a note in the database, what caused the blackout. It turned out that the woman who was sitting with the same problem as me had a large mole on her back – the mole also gave a shadow. If there are large moles on the chest, there will be a similar result. The advantage of fluoroscopy is that the doctor has the opportunity to assess the state of the lungs in dynamics – on inhalation and exhalation. Also, on fluoroscopy, you stand freely, you are not pressed anywhere, so a “laying defect” is impossible.
Apparently, I had a very expressive face, so the doctor sat and talked to me for another 15 minutes *maybe he just liked me*. Stressed the importance of mammography. Complained that the doctor reading the pictures should be able to talk to the patient, so that it doesn’t turn out the way it happened with me. Recommended that all examinations be accompanied by the results of previous and related examinations.
For example, I went for a mammogram – take an ultrasound of the mammary glands with you, if any. And for yourself, your loved one, it makes sense once a year to allocate funds and take tests for tumor markers. Because our bloodstream reacts to everything instantly, to any inflammatory process. Even MRI and CT will not show anything, but tumor markers will.
I won’t talk about the harm of exposure. Choose the lesser of two evils. Although my hands were shaking for a long time after the CT scan, at the moment I can rule out a serious pathology of the lungs. But it cannot be completely excluded either, because MRI or CT is more informative.
As far as I understood, when I was surfing the Internet , the purpose of fluorography is precisely screening – that is, the differentiation of norm and pathology. The next step is an x-ray. Those who wish to skip this stage can immediately do a CT or MRI, but this is not always necessary, as it turned out in my case.
If you think that lung cancer affects only long-term smokers , people working in hazardous industries and other “risk groups”, then you are very much mistaken. It is enough to read the stories of relatives of patients on the site “We will win Cancer”. So many wonderful, blooming, active and healthy men and women learn that they are sick when the tumor goes into an inoperable stage. And then the bill goes on for months.
Take care of yourself, take care of your own health and the health of your loved ones , especially men who hate hospitals.
Respiratory Distress Syndrome – How to Diagnose Pediatric Tips
How to Diagnose Neonatal Respiratory Distress Syndrome: Respiratory Distress Syndrome of the Newborn (RDS) occurs when the baby’s lungs are not fully developed and cannot supply enough oxygen, causing difficulty breathing. Primary diagnosis of respiratory distress syndrome of a newborn will require a consultation with a therapist.
As an additional examination based on the results of the examination, the doctor may prescribe:
- x-ray
- CT scan of the chest.
Quick navigation
This disease usually develops in premature babies. It is also known as childhood respiratory distress syndrome, hyaline membrane disease, or surfactant deficiency lung disease. Despite the similar name, respiratory distress syndrome is not related to acute respiratory distress syndrome.
Causes of neonatal respiratory distress syndrome
Respiratory distress syndrome of the newborn usually occurs when the baby’s lungs do not produce enough surfactant, a protein and fat substance that helps maintain lung inflation and prevents them from collapsing. The fetal lungs usually start producing surfactant somewhere between 24 and 28 weeks of pregnancy. Most babies produce enough surfactant by 34 weeks to breathe on their own at birth at that time. If the baby is born earlier, then there is a high probability of insufficient production of surfactant.
More often, respiratory distress syndrome affects premature babies, for example, when:
- mother has diabetes;
- the child is underweight;
- The child’s lungs are not developing properly.
Approximately half of all babies born between 28 and 32 weeks of gestation develop this pathology. In recent years, the number of premature babies born with respiratory distress syndrome has decreased due to steroid injections that can be given to mothers at risk of preterm birth.
Symptoms of respiratory distress syndrome
Symptoms of neonatal respiratory distress syndrome are often noticeable immediately after birth and worsen over the next few days. These may include:
- blue lips, fingers and toes of a newborn;
- rapid, shallow breathing;
- flaring nostrils;
- grunting sound when breathing.

Diagnosis of respiratory distress syndrome
A number of tests are used to diagnose neonatal respiratory distress syndrome and rule out other possible causes. These include:
- physical examination;
- blood tests to measure the amount of oxygen in the child’s blood and check for infection;
- pulse oximetry test to measure the amount of oxygen in a child’s blood using a sensor attached to a finger, toe, or ear;
- X-ray or CT scan of the chest to determine the characteristic cloudy appearance of the lungs in distress syndrome.
Treatment of respiratory distress syndrome
The main goal of treating respiratory distress syndrome is to help the child breathe.
Treatment before birth
If there is a high risk of preterm birth before 34 weeks of gestation, treatment for RDS may be started before delivery. For this, a single injection of steroids is performed, and then the second dose is administered 24 hours after the first.
Steroids stimulate the development of the baby’s lungs and the production of surfactant. Treatment is estimated to help prevent respiratory distress syndrome in a third of preterm births. The patient may also be offered magnesium sulfate to reduce the risk of developmental problems associated with early birth. If the course of treatment with magnesium sulfate is more than 5-7 days or is carried out several times during pregnancy, then additional examinations may be offered to the newborn child. This is because long-term use of magnesium sulfate during pregnancy rarely leads to bone problems in newborns.
Postpartum care
A newborn with respiratory distress syndrome may be transferred to a specialized unit for premature babies (neonatal unit). If the symptoms are mild, he may only need supplemental oxygen. It is usually injected into the nose through an incubator or through a tube. If the symptoms are more severe, the child will be put on a breathing machine (ventilator) to either support or take over his breathing.
These procedures are often started immediately in the delivery room before transfer to the neonatal unit. Also, a child with respiratory distress syndrome may be given a dose of artificial surfactant through a breathing tube. Evidence suggests that early treatment within 2 hours of delivery is more effective than if it is delayed. Distressed children will also be given fluids and food through a tube connected to a vein. Some will only need help with breathing for a few days, but some premature babies, usually born earlier, may need support for weeks or even months. The length of a baby’s stay in the neonatal unit will depend on how early he was born and what his condition is.
Complications of neonatal respiratory distress syndrome
Most infants with respiratory distress syndrome can be successfully treated, although they remain at an increased risk of developing other problems later in life.
Sometimes air can escape from the child’s lungs and accumulate in the child’s chest.
This condition is called pneumothorax. The air pocket puts extra pressure on the lungs, causing them to collapse and leading to additional breathing problems. Air leaks can be repaired by inserting a tube into the chest to allow entrapped air to escape.
Distressed infants have a significantly increased risk of bleeding inside the lungs (pulmonary hemorrhage) and the brain (cerebral hemorrhage). Pulmonary bleeding is treated with air pressure from a ventilator to stop it and a blood transfusion. Cerebral hemorrhage is quite common in premature babies, but most bleeding is mild and does not cause long-term problems.
Occasionally, ventilation started within 24 hours of birth or a surfactant used to treat respiratory distress syndrome causes scarring of the baby’s lungs, which affects their development. This complication is called bronchopulmonary dysplasia. Symptoms of dysplasia include rapid shallow breathing and shortness of breath. Babies with a severe complication like this usually need supplemental oxygen through their nose to help them breathe.
Supplemental oxygen support is usually needed for several months while the lungs heal. But some children with bronchopulmonary dysplasia may need regular medications, such as bronchodilators, to widen the airways and make breathing easier.
If a child’s brain is damaged as a result of the development of respiratory distress syndrome, either due to bleeding or lack of oxygen, all this can lead to long-term developmental disabilities, such as learning difficulties, movement problems, hearing impairment and vision. But these developmental problems are usually not serious. For example, a study found that 3 out of 4 children with developmental problems have only mild disabilities, which should not prevent them from leading a normal adult life.
Author: Belyakov Nikolai Grigorievich
Specialization: Pediatrician
Where does the reception: Clinic General Medical Center (GMC), St. Petersburg
Share:
The best specialists in St.
Petersburg with a rating 4.5+
Zakharova Victoria Valerievna
Specialization: Pediatrician
Medical experience: since 2016
Where does the reception: MC Baltmed Ozerki
Malina Valeria Aleksandrovna
Specialization: Pediatrician
Medical experience: since 2019
Where does the reception: MC Baltmed Ozerki
Egorova Nina Alexandrovna
Specialization: Pediatrician
Medical experience: since 2011
Where does the reception: MC Baltmed Ozerki
Kovzalova Irina Sergeevna
Specialization: Pediatrician
Medical experience: since 2021
Where does the reception: MC Baltmed Ozerki
Pushkareva (Vinogradova) Irina Alekseevna
Specialization: Cardiologist, Pediatrician
Medical experience: since 2009
Place of admission: MC Baltmed Ozerki, Clinical Hospital No. 31, Medswiss Gakkelevskaya
Bunyakova Elena Vladimirovna
Specialization: Pediatrician, Rheumatologist
Medical experience: since 2008
Where does the reception: MC Baltmed Ozerki
Strekalova Elena Vladimirovna
Specialization: Therapist, Pediatrician, General Practitioner
Medical experience: since 1999
Where does the reception: MC Baltmed Ozerki
Klimanova Daria Alexandrovna
Specialization: Pediatrician, Neonatologist, Allergist, Immunologist
Medical experience: since 2013
Where does the reception: MC Baltmed Ozerki
Tashtemirov Tokhirjon Makhamatvosilovich
Specialization: Pediatrician
Medical experience: since 2019
Where does the reception: MC Medicenter
Normurodov Alisher Khusan coals
Specialization: Pediatrician
Medical experience: since 2019
Where does the reception: Medicenter
Markov Anton Ivanovich
Specialization: Pediatrician
Medical experience: since 2011
Where does the reception: MC Medicenter
Babikova Daria Konstantinovna
Specialization: Pediatrician
Medical experience: since 2019
Where does the reception: MC Medicenter
Kim Irina Efremovna
Specialization: Pediatrician
Medical experience: since 1985
Where does the reception: MC Medicenter
Egorova Victoria Alexandrovna
Specialization: Pediatrician
Medical experience: since 2016
Where does the reception: MC Medicenter
Voloshina Anastasia Anatolyevna
Specialization: Pediatrician
Medical experience: since 2020
Where does the reception: MC Medicenter
Budginayte Ksenia Alexandrovna
Specialization: Endocrinologist, Pediatrician
Medical experience: since 2018
Where does the reception: MC Medicenter, Children’s Medical Center ONNI
Belyakova Alla Vasilievna
Specialization: Neurologist, Pediatrician, Reflexologist
Medical experience: since 1983
Where does the reception: MC Medicenter, MC Profimedica, MC Family Doctor
Bashmakova Elena Olegovna
Specialization: Pediatrician
Medical experience: since 2018
Where does the reception: Polikarpov Medical Center Medical Center
Baramyka Anastasia Vasilievna
Specialization: Pediatrician
Medical experience: since 2006
Where does the reception: MC Medicenter
Balkova Irina Anatolyevna
Specialization: Pediatrician
Medical experience: since 2013
Where does the reception: MC Medicenter
Radchenko Sergey Ivanovich
Specialization: Gastroenterologist, Pediatrician, General Practitioner
Medical experience: since 1989
Where does the reception: Polikarpov Medical Center Medical Center
Tarasova Rosina Vasilievna
Specialization: Neurologist, Ultrasound Doctor, Pediatrician
Medical experience: since 1990
Where does the reception: MC Medpomoshch 24 Zanevsky, Clinic Miracle Children
Abramova Elena Mikhailovna
Specialization: Pediatrician
Medical experience: since 1976
Where does the reception: MC Energy of Health, MC Poem of Health
Bystritskaya Natalya Vladimirovna
Specialization: Pediatrician
Medical experience: since 1989
Where does the reception: MC Long Vita, Research Institute of Obstetrics and Gynecology.
Otta
Bochkova Olga Yurievna
Specialization: Gastroenterologist, Pediatrician
Medical experience: since 2006
Where does the reception: SM-Clinic on Vyborgsky
Khvatova Elena Anatolyevna
Specialization: Ultrasound doctor, Gastroenterologist, Pediatrician
Medical experience: since 2006
Where does the appointment: SM-Clinic on Danube, SM-Clinic on Malaya Balkanskaya
Svechina Evgenia Alekseevna
Specialization: Gynecologist, Pediatrician
Medical experience: since 2010
Where does the reception: SM-Clinic on Danube
Nereutsa Lidia Alvinovna
Specialization: Pediatrician, Pulmonologist, Allergist, Immunologist
Medical experience: since 2003
Where does the reception: SM-Clinic on Danube
Borisova Daria Sergeevna
Specialization: Pediatrician, Pulmonologist
Medical experience: since 2016
Where does the reception: SM-Clinic on Vyborgsky
Laborer Ksenia Andreevna
Specialization: Pediatrician
Medical experience: since 2013
Where does the reception: SM-Clinic on Marshal Zakharov, Children’s Clinic No.
75
Lashcheva Olga Valerievna
Specialization: Endocrinologist, Pediatrician
Medical experience: since 2003
Where does the reception: SM-Clinic on Udarnikov
Terekhova Olga Borisovna
Specialization: Gastroenterologist, Pediatrician
Medical experience: since 2010
Where does the reception: SM-Clinic on Udarnikov
Mikhailova Victoria Evgenievna
Specialization: Gastroenterologist, Pediatrician
Medical experience: since 2010
Where does the reception: SM-Clinic on Vyborgsky
Belotitskaya Valeria Eduardovna
Specialization: Gastroenterologist, Pediatrician
Medical experience: since 2015
Where does the reception: SM-Clinic on Danube
Meshcheryakova Irina Fedorovna
Specialization: Cardiologist, Pediatrician
Medical experience: since 1999
Where does the reception: SM-Clinic on Udarnikov
Goltsman Kirill Efimovich
Specialization: Somnologist, Pediatrician, Functional diagnostics doctor, Epileptologist
Medical experience: since 2013
Where he receives: Clinic Osnova Children, Clinic of the Pediatric Academy
Tarasova Larisa Anatolyevna
Specialization: Gastroenterologist, Pediatrician, Nephrologist, Infectionist
Medical experience: from 1989 years old
Where does the appointment: Dr.
Pel’s Clinic
Ulyanova Inna Vladimirovna
Specialization: Hepatologist, Pediatrician, Pulmonologist, Infectionist
Medical experience: since 1990
Where does the appointment: Dr. Pel’s Clinic
Kudryashova Maria Yurievna
Specialization: Cardiologist, Pediatrician, Doctor of functional diagnostics
Medical experience: since 1990
Where does the appointment: Dr. Pel’s Clinic, MEDA Clinic, Children’s Clinic No. 39
References:
- Grebennikov V.A. et al. Respiratory distress syndrome of newborns. Replacement therapy with synthetic surfactant Exosurf Neonatal. M. -1995. -WITH. 10-16, 54-69
- Bagdatiev V. E. Respiratory distress syndrome / V. E. Bagdatiev, V. A. Gologorsky, B. R. Gelfand // Vestn. intensive care. 1996. – No. 2. – S. 15-25.
- Kuzovlev A.N., Moroz V.V., Golubev A.M., Zarzhetsky Yu.V. Differential diagnosis of pneumonia and acute lung injury // Mat. All-Russian conference with international participation “Belomorsky Symposium III”.
2009. Arkhangelsk. S. 81. - Bochun O.N., Savello V.E., Zhidkov K.P. The role of computed tomography in the detection of pulmonary complications in traumatic disease / International Congress “Nevsky Radiological Forum-2005m: Materials of the Congress.-SPb.2005.-C.326.
- Tyurin I.E. Computed tomography of the chest cavity. S-PB., 2006.
Latest diagnostic articles
Lung transplant
Lung transplant is an operation to remove and replace a diseased lung with a healthy lung from a donor. The donor is usually a deceased person, but in rare cases, part of a lung may be taken from a living donor. Lung transplants are performed infrequently, mainly due to a lack of available donors as the demand for transplants far exceeds the available supply of donated lungs. This means that an organ transplant will only be performed if there is a relatively high chance of success. For example, lung transplantation would not be recommended for cancer patients because the cancer could return to the donor lungs.

The connective tissues between the lobules will be unaffected in this type of opacity.

2009. Arkhangelsk. S. 81.