Definition of anoxic encephalopathy. Anoxic Encephalopathy: Causes, Symptoms, and Treatment Options
What are the main causes of anoxic encephalopathy. How is anoxic brain injury diagnosed. What treatment options are available for patients with anoxic encephalopathy. What is the prognosis for those who suffer anoxic brain damage.
Understanding Anoxic Encephalopathy: Definition and Pathophysiology
Anoxic encephalopathy, also known as hypoxic-ischemic brain injury, is a serious condition that occurs when the brain is deprived of oxygen. This oxygen deprivation leads to damage or death of brain cells, potentially resulting in severe neurological impairment or death.
The pathophysiology of anoxic encephalopathy involves a complex cascade of events triggered by the lack of oxygen supply to brain tissue. When oxygen levels drop below critical thresholds, neurons begin to dysfunction and die through various mechanisms including excitotoxicity, oxidative stress, and apoptosis. The extent and pattern of brain damage depends on factors like the duration and severity of oxygen deprivation as well as which brain regions are most affected.

What exactly happens in the brain during anoxic encephalopathy?
During anoxic encephalopathy, the following key events occur in the brain:
- Energy failure in neurons due to lack of oxygen for aerobic metabolism
- Accumulation of excitatory neurotransmitters like glutamate
- Influx of calcium into neurons, triggering damaging cellular processes
- Formation of free radicals leading to oxidative damage
- Initiation of programmed cell death (apoptosis) pathways
- Disruption of the blood-brain barrier
- Inflammation and activation of microglia
This complex pathophysiology explains why anoxic brain injury can have such devastating and wide-ranging effects on neurological function.
Common Causes and Risk Factors for Anoxic Encephalopathy
Anoxic encephalopathy can result from various conditions that interrupt the brain’s oxygen supply. Some of the most common causes include:
- Cardiac arrest
- Respiratory failure
- Severe asthma attack
- Drug overdose
- Carbon monoxide poisoning
- Drowning or near-drowning
- Choking or strangulation
- Severe blood loss
- Complications during general anesthesia
Certain populations may be at higher risk for experiencing events that can lead to anoxic brain injury. These include individuals with cardiovascular disease, respiratory conditions, or substance abuse disorders. Additionally, infants and young children are particularly vulnerable to oxygen deprivation during birth complications or accidents.

Are there any preventable risk factors for anoxic encephalopathy?
While not all causes of anoxic encephalopathy are preventable, some risk factors can be mitigated:
- Proper management of cardiovascular and respiratory conditions
- Avoiding drug and alcohol abuse
- Installing carbon monoxide detectors in homes
- Practicing water safety and learning CPR
- Childproofing to prevent accidental choking or strangulation
- Proper prenatal care to reduce risks during childbirth
By addressing these modifiable risk factors, the incidence of some forms of anoxic brain injury may be reduced.
Clinical Presentation and Diagnosis of Anoxic Encephalopathy
The clinical presentation of anoxic encephalopathy can vary widely depending on the severity and duration of oxygen deprivation. In mild cases, patients may experience confusion, memory problems, or difficulty with coordination. Severe cases can result in coma, seizures, or brain death.
Diagnosing anoxic encephalopathy involves a combination of clinical assessment and diagnostic tests. The initial evaluation typically includes:
![]()
- Thorough neurological examination
- Assessment of level of consciousness using scales like the Glasgow Coma Scale
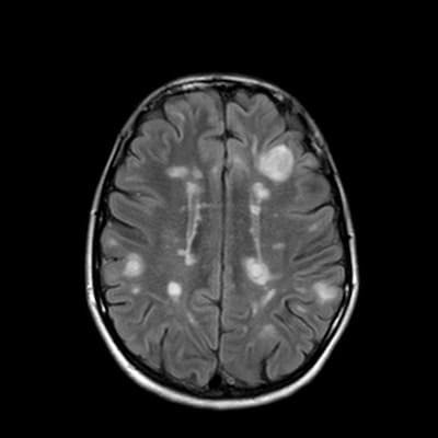
- Brain imaging studies such as CT or MRI
- Electroencephalogram (EEG) to evaluate brain electrical activity
- Blood tests to check for markers of brain injury
Advanced neuroimaging techniques like diffusion-weighted MRI can help assess the extent of brain damage and potentially predict outcomes. Additionally, biomarkers in blood or cerebrospinal fluid may provide valuable prognostic information.
How soon after the anoxic event can brain damage be detected on imaging?
The timing of detectable brain changes on imaging studies can vary:
- CT scans may show early signs of brain swelling within hours
- Conventional MRI typically shows changes after 24-48 hours
- Diffusion-weighted MRI can detect cellular damage as early as 30 minutes after the event
- PET scans may reveal metabolic changes in the brain within hours
It’s important to note that the absence of early imaging findings does not rule out significant brain injury, as some changes may take days to become apparent.

Acute Management and Treatment Strategies for Anoxic Encephalopathy
The immediate management of anoxic encephalopathy focuses on stabilizing the patient and preventing further brain damage. Key components of acute care include:
- Ensuring adequate oxygenation and ventilation
- Maintaining stable blood pressure and cerebral perfusion
- Controlling seizures if present
- Managing intracranial pressure
- Treating the underlying cause of oxygen deprivation
- Initiating neuroprotective measures
One of the most promising neuroprotective strategies is targeted temperature management (TTM), also known as therapeutic hypothermia. This involves cooling the patient’s body temperature to 32-36°C for 24-48 hours, which has been shown to improve neurological outcomes in some cases of anoxic brain injury, particularly after cardiac arrest.
What other neuroprotective therapies are being investigated for anoxic encephalopathy?
Several experimental treatments are under investigation for anoxic brain injury, including:

- Erythropoietin administration
- Xenon gas inhalation
- Stem cell therapies
- Mitochondrial transplantation
- Antioxidant treatments
- Hyperbaric oxygen therapy
While some of these approaches show promise in preclinical studies, more research is needed to establish their efficacy and safety in humans.
Long-term Management and Rehabilitation for Anoxic Brain Injury Survivors
For patients who survive the acute phase of anoxic encephalopathy, long-term management focuses on maximizing functional recovery and quality of life. This often involves a multidisciplinary approach including:
- Physical therapy to improve mobility and strength
- Occupational therapy for activities of daily living
- Speech and language therapy
- Cognitive rehabilitation
- Psychological support for patients and families
- Management of medical complications
The rehabilitation process can be lengthy and challenging, often continuing for months or years after the initial injury. The goal is to help patients regain as much independence and function as possible, while also providing support for any permanent disabilities.

What factors influence the potential for recovery after anoxic brain injury?
Several factors can impact a patient’s recovery potential:
- Duration and severity of oxygen deprivation
- Age and overall health of the patient
- Specific brain regions affected
- Timeliness and quality of initial treatment
- Presence of secondary complications
- Intensity and duration of rehabilitation efforts
- Individual neuroplasticity and resilience
While some patients may make significant recoveries, others may be left with permanent cognitive or physical impairments. Ongoing research aims to better predict outcomes and tailor rehabilitation strategies to individual patients.
Prognostic Indicators and Outcome Prediction in Anoxic Encephalopathy
Predicting outcomes in anoxic encephalopathy is challenging due to the complexity of brain injury and individual variability in recovery potential. However, several prognostic indicators have been identified that can help guide clinical decision-making and family counseling:

- Duration of coma or unresponsiveness
- Presence and patterns of specific neurological reflexes
- EEG findings, particularly the presence of burst suppression or isoelectric patterns
- Serum biomarkers such as neuron-specific enolase (NSE)
- Imaging findings, especially on diffusion-weighted MRI
- Somatosensory evoked potentials (SSEPs)
It’s important to note that no single indicator is perfectly predictive, and a multimodal approach to prognostication is generally recommended. Additionally, the timing of prognostic assessments is crucial, as some indicators may be less reliable in the very early stages after injury.
How accurate are current methods for predicting outcomes in anoxic encephalopathy?
The accuracy of outcome prediction in anoxic encephalopathy varies:
- Absent pupillary and corneal reflexes at 72 hours post-injury have a false positive rate for poor outcome of about 1%
- Bilaterally absent N20 responses on SSEPs have a false positive rate near 0.7%
- Serum NSE levels >33 μg/L at 48-72 hours predict poor outcome with 100% specificity in some studies
- Combinations of clinical, electrophysiological, and biomarker data can achieve very high specificity for predicting poor outcomes
However, predicting good outcomes remains more challenging, and there is always a need for caution in interpreting prognostic data, especially when considering limitations of life-sustaining treatments.

Ethical Considerations and End-of-Life Decision Making in Anoxic Encephalopathy
The management of patients with severe anoxic encephalopathy often involves complex ethical considerations, particularly regarding the continuation or withdrawal of life-sustaining treatments. Key ethical principles that come into play include:
- Respect for patient autonomy
- Beneficence (doing good)
- Non-maleficence (avoiding harm)
- Distributive justice in resource allocation
Healthcare providers must navigate these principles while considering factors such as the patient’s previously expressed wishes, quality of life considerations, and the burden of ongoing treatment. Clear communication with families and surrogate decision-makers is crucial, as is providing accurate prognostic information to inform decision-making.
What are some key considerations in end-of-life decision making for anoxic encephalopathy patients?
Important factors to consider include:
- Patient’s advance directives or previously expressed wishes
- Likelihood of meaningful neurological recovery
- Potential for prolonged dependence on life support
- Cultural and religious beliefs of the patient and family
- Quality of life considerations
- Resource utilization and fairness in allocation
- Potential for organ donation if applicable
These decisions are often emotionally challenging for families and healthcare providers alike, necessitating compassionate communication and sometimes ethics committee involvement.

Future Directions in Anoxic Encephalopathy Research and Treatment
The field of anoxic encephalopathy research is rapidly evolving, with several promising areas of investigation that may lead to improved outcomes for patients in the future:
- Advanced neuroimaging techniques for more accurate prognostication
- Novel neuroprotective agents targeting specific injury mechanisms
- Personalized approaches to targeted temperature management
- Gene therapy and stem cell-based regenerative treatments
- Brain-computer interfaces to restore function in severely impaired patients
- Improved biomarkers for early detection of brain injury and recovery potential
Additionally, there is ongoing research into optimizing rehabilitation strategies and developing new assistive technologies to improve quality of life for survivors of anoxic brain injury.
What are some of the most promising emerging therapies for anoxic encephalopathy?
Several innovative approaches are showing potential:
- Mitochondrial transplantation to restore cellular energy production
- Targeted delivery of neuroprotective compounds using nanoparticles
- Optogenetic stimulation to reactivate dormant neural circuits
- Exosome-based therapies for promoting neuronal repair
- Combination therapies targeting multiple injury mechanisms simultaneously
While many of these approaches are still in early stages of research, they offer hope for improving outcomes in this challenging condition. Continued investment in basic and clinical research is essential to translate these promising ideas into effective treatments for patients with anoxic encephalopathy.

Аноксическая энцефалопатия — PubMed
Book
Zachary Messina
1
, Анжела Хейс Шапшак
2
, Ребекка Миллс
3
Источник: StatPearls [Интернет]. Остров сокровищ (Флорида): StatPearls Publishing; 2022 янв.
.
Принадлежности
Принадлежности
- 1 Университет Джефферсона Северо-Восток
- 2 Университет Алабамы в Бирмингеме
- 3 Джефферсон Северо-Восток
PMID:
30969655
Идентификатор книжной полки:
НБК539833
Бесплатные книги и документы
Книга
Закари Мессина и др.
Бесплатные книги и документы
Источник: StatPearls [Интернет]. Остров сокровищ (Флорида): StatPearls Publishing; 2022 янв.
.
Авторы
Закари Мессина
1
, Анжела Хейс Шапшак
2
, Ребекка Миллс
3
Принадлежности
- 1 Университет Джефферсона Северо-Восток
- 2 Университет Алабамы в Бирмингеме
- 3 Джефферсон Северо-Восток
PMID:
30969655
Идентификатор книжной полки:
НБК539833
Выдержка
Аноксическая энцефалопатия, или гипоксически-ишемическое поражение головного мозга, представляет собой процесс, начинающийся с прекращения притока мозговой крови к тканям головного мозга, что чаще всего возникает в результате отравления (например, угарным газом или передозировкой лекарств), повреждения или инсульта сосудов, сердечной недостаточности.
арестовать. Многие пациенты, перенесшие аноксическую травму головного мозга, умирают, не приходя в полное сознание, и у многих пациентов наблюдаются значительно плохие неврологические исходы. Тем не менее, некоторые достижения начинают демонстрировать сохранение ткани головного мозга, и основное внимание уделяется выявлению пациентов с перспективой улучшения неврологической заболеваемости и смертности. Были опубликованы данные, указывающие на то, что существуют предикторы неблагоприятного исхода. Однако данные о факторах, указывающих на хороший прогноз или исход, отстают. В ходе этого мероприятия будет рассмотрена литература и практика, касающиеся аноксической энцефалопатии и черепно-мозговой травмы.
Авторское право © 2022, StatPearls Publishing LLC.
Разделы
Непрерывное образование
Введение
Этиология
Эпидемиология
Патофизиология
История и физические
Оценка
Лечение / Управление
Дифференциальный диагноз
Прогноз
Осложнения
Сдерживание и обучение пациентов
Улучшение результатов команды здравоохранения
Обзорные вопросы
использованная литература
Похожие статьи
Диффузионная МРТ при трех типах аноксической энцефалопатии.

Сингхал А.Б., Топчуоглу М.А., Корошец В.Дж.
Сингхал А.Б. и др.
J Neurol Sci. 2002 15 апреля; 196 (1-2): 37-40. doi: 10.1016/s0022-510x(02)00019-9.
J Neurol Sci. 2002.PMID: 11959154
Региональное распределение повреждения головного мозга после остановки сердца: клинические и электрографические корреляты.
Снайдер С.Б., Фишер Д., МакКаун М.Э., Коэн А.Л., Шапер FLWVJ, Аморим Э., Фокс М.Д., Скирика Б., Беверс М.Б., Ли Д.В.
Снайдер С.Б. и соавт.
Неврология. 2022 22 марта; 98 (12): e1238-e1247. doi: 10.1212/WNL.0000000000013301. Epub 2022 11 января.
Неврология. 2022.PMID: 35017304
Гиперперфузия головного мозга, связанная с аноксическим повреждением, идентифицированная с помощью МРТ с меченым спином артерий.

Поллок Дж.М., Уитлоу К.Т., Дейблер А.Р., Тан Х., Бердетт Дж.Х., Крафт Р.А., Малджян Дж.А.
Поллок Дж.М. и др.
AJNR Am J Нейрорадиол. 2008 августа; 29 (7): 1302-7. doi: 10.3174/ajnr.A1095. Epub 2008 1 мая.
AJNR Am J Нейрорадиол. 2008.PMID: 18451089
Бесплатная статья ЧВК.Критически больной мозг после остановки сердца.
Medicherla CB, Льюис А.
Medicherla CB и соавт.
Энн Н.Ю. Академия наук. 2022 Январь; 1507 (1): 12-22. doi: 10.1111/nyas.14423. Epub 2020 2 июля.
Энн Н.Ю. Академия наук. 2022.PMID: 32618012
Обзор.
Исходы реабилитации перенесших аноксически-ишемическую энцефалопатию с длительными нарушениями сознания.
Хауэлл К., Гриль Э., Кляйн А.М., Штраубе А., Бендер А.

Хауэлл К. и др.
Реанимация. 2013 Октябрь; 84 (10): 1409-15. doi: 10.1016/j.resuscitation.2013.05.015. Epub 2013 6 июня.
Реанимация. 2013.PMID: 23747956
Посмотреть все похожие статьи
использованная литература
Группа по изучению гипотермии после остановки сердца. Мягкая терапевтическая гипотермия для улучшения неврологического исхода после остановки сердца. N Engl J Med. 2002 21 февраля; 346 (8): 549-56.
–
пабмед
Зайнер А., Хольцер М., Штерц Ф., Шёркхубер В., Айзенбургер П., Гавел С., Клигель А., Лаггнер А.Н. Гипертермия после остановки сердца связана с неблагоприятным неврологическим исходом.
Arch Intern Med. 2001 г., 10 сентября; 161(16):2007-12.–
пабмед
Аллен К.А., Брэндон Д.Х. Гипоксическая ишемическая энцефалопатия: патофизиология и экспериментальное лечение. Медицинские сестры для новорожденных, ред. 01 сентября 2011 г .; 11 (3): 125–133.
–
ЧВК
–
пабмед
Раджамани А., Сеппельт И., Борн Дж.
Трудности с неврологическим прогнозированием у молодой женщины с генерализованным миоклонусом с отсроченным началом после остановки сердца из-за острой тяжелой астмы. Indian J Crit Care Med. 2011 апр; 15 (2): 137-9.–
ЧВК
–
пабмед
Гупта Х.В., Кэвинесс Дж.Н. Постгипоксический миоклонус: современные концепции, нейрофизиология и лечение. Tremor Other Hyperkinet Mov (Нью-Йорк) 2016; 6:409.
–
ЧВК
–
пабмед
Типы публикаций
Аноксическая травма головного мозга | SpinalCord.
com
Аноксическая травма головного мозга — это тип повреждения головного мозга, который обычно не вызывается ударом по голове. Вместо этого аноксическая травма головного мозга возникает, когда мозг лишен кислорода. Оставленные без кислорода слишком долго, нервные клетки начинают умирать в результате процесса, называемого апоптозом. И хотя гибель клеток является нормальной частью человеческого опыта, когда одновременно умирает большое количество клеток головного мозга, у пациентов может остаться сниженная функция мозга. Если кислородное голодание продолжается, аноксические повреждения головного мозга могут даже привести к летальному исходу.
Что вызывает аноксическую травму головного мозга?
Все, что лишает мозг кислорода, может привести к гипоксической травме головного мозга. Некоторые из наиболее распространенных причин включают:
- Недостаток кислорода при рождении у младенцев; это особенно распространено, когда ребенок застревает в родовых путях или пуповина обвивается вокруг его или ее шеи.

- Травматическое нападение или нападение, например, удушье без сознания.
- Инсульт, который может лишить мозг кислорода и крови на несколько минут.
- Транзиторная ишемическая атака (ТИА), часто называемая мини-инсультом, при которой мозг лишается кислорода на время от нескольких секунд до нескольких минут.
- Удушье.
- Анафилактический шок вследствие аллергических реакций.
- Проглатывание собственной рвоты.
- Передозировка наркотиков.
- Внезапный удар по дыхательному горлу.
Как долго мозг может прожить без кислорода?
Конечно, каждый мозг индивидуален, и степень кислородного голодания зависит от травмы. Некоторые причины аноксических поражений головного мозга только снижают поступление кислорода и крови, в то время как другие устраняют их полностью. В среднем мозг может прожить без кислорода всего четыре минуты, поэтому, если вы подозреваете инсульт или другую травму, которая лишает мозг кислорода, вам нужно действовать немедленно.
Уже через 30 секунд может начаться повреждение мозга, а через две минуты повреждение мозга становится почти неизбежным. Даже если вы или ваш близкий чувствуете себя хорошо после потери кислорода в мозге, вам необходимо срочно обратиться за медицинской помощью, чтобы уменьшить потенциальный долгосрочный вред.
Признаки и симптомы аноксической травмы головного мозга
Сразу после аноксической травмы головного мозга некоторые контрольные симптомы включают:
- Спутанность сознания
- Потеря сознания
- Одурманивание или головокружение
- Рвота
- Изменения в поведении или ощущениях; ваши руки или ноги могут чувствовать покалывание или онемение.
- Сильная головная боль
Долгосрочные последствия аноксической травмы головного мозга сильно различаются и в значительной степени зависят от пораженной области мозга. Например, если затронуты речевые центры мозга, обычно возникают трудности с речью, запоминанием слов или даже пониманием речи.
Таким образом, люди, страдающие аноксической травмой головного мозга, могут страдать сотнями симптомов, и профиль симптомов одного человека может сильно отличаться от профиля другого. Однако некоторые общие признаки включают в себя:
- Изменения в поведении или личности.
- Сложности с ранее несложными задачами.
- Изменения в отношениях.
- Проблемы с кратковременной или долговременной памятью.
- Проблемы с узнаванием знакомых людей или животных.
- Новые страхи или фобии.
- Психологические симптомы, такие как необъяснимая депрессия или тревога.
- Частые головные боли.
- Необъяснимая боль в конечностях.
Степень и степень аноксической травмы головного мозга
Врачи обычно классифицируют аноксическую травму головного мозга по одной из четырех категорий. Классификация может дать некоторое представление о долгосрочном прогнозе:
- Диффузная церебральная гипоксия : Это повреждение от легкой до умеренной степени тяжести, вызывающее минимальное поражение головного мозга из-за низкого уровня кислорода в крови.

- Очаговая церебральная ишемия : Это кислородное голодание, обычно вследствие инсульта, которое возникает в одной области мозга. Эта область мозга может быть затронута, в то время как другие области мозга остаются невредимыми.
- Глобальная церебральная ишемия : Это полное прекращение притока крови и кислорода к мозгу, обычно вызывающее катастрофические последствия.
- Инфаркт головного мозга : Это повреждение головного мозга в результате инсульта, которое полностью лишает несколько областей мозга кислорода, что приводит к серьезным побочным эффектам.
Лечение и прогноз
Сразу же после аноксической травмы головного мозга лечение направлено на выявление причины травмы и предотвращение ее повторения. Например, инсульт может быть вызван тромбом или другими сердечно-сосудистыми заболеваниями, которые можно предотвратить с помощью препаратов, разжижающих кровь, и изменения образа жизни.




Arch Intern Med. 2001 г., 10 сентября; 161(16):2007-12.
Трудности с неврологическим прогнозированием у молодой женщины с генерализованным миоклонусом с отсроченным началом после остановки сердца из-за острой тяжелой астмы. Indian J Crit Care Med. 2011 апр; 15 (2): 137-9.
