Diverticulitis cause blood in stool. Diverticular Bleeding: Causes, Symptoms, and Treatment Options
What causes diverticular bleeding. How is diverticular bleeding diagnosed. What are the symptoms of diverticular bleeding. How is diverticular bleeding treated. Can diverticular bleeding be prevented. What is the role of diet in diverticular bleeding. When should you seek medical attention for diverticular bleeding.
Understanding Diverticular Bleeding: A Comprehensive Overview
Diverticular bleeding is a medical condition that occurs when pouches (diverticula) that have developed in the wall of the large intestine (colon) begin to bleed. This condition is closely related to diverticulosis, which is characterized by the presence of these pouches. Diverticular bleeding can be a serious medical issue, often resulting in a significant amount of blood appearing in the stool.
Key Characteristics of Diverticular Bleeding
- Sudden onset of bleeding
- Large amount of blood in the stool
- Bleeding often stops on its own
- Usually not accompanied by abdominal pain
It’s crucial to understand that while diverticular bleeding can be alarming, it’s not always a medical emergency. However, if you experience a large amount of blood in your stool, it’s essential to seek medical attention immediately.

The Underlying Causes of Diverticular Bleeding
The exact cause of diverticular bleeding is not fully understood, but medical professionals have identified several contributing factors. What leads to the formation of diverticula in the colon wall? Doctors believe that high pressure inside the colon, pushing against weak spots in the colon wall, plays a significant role.
Factors Contributing to Diverticular Formation
- Low-fiber diet
- Increased pressure in the colon
- Weakened areas in the colon wall
- Prolonged stool transit time
A diet low in fiber can lead to small, hard stools that require more pressure to move through the colon. This increased pressure, combined with weak spots in the colon wall (typically where blood vessels pass through), can result in the formation of diverticula.
How does bleeding occur in diverticular disease? Bleeding happens when a blood vessel supplying the diverticulum ruptures. This can lead to sudden and sometimes severe bleeding from the rectum.
Recognizing the Symptoms of Diverticular Bleeding
Identifying the symptoms of diverticular bleeding is crucial for timely medical intervention. What are the primary symptoms to look out for?

- Sudden, severe bleeding from the rectum
- Dark red or bright red blood clots in the stool
- Absence of pain in most cases
- Potential light-headedness or weakness due to blood loss
It’s important to note that while abdominal pain is not typically associated with diverticular bleeding, the sudden loss of blood can lead to other symptoms such as dizziness or fainting. If you experience any of these symptoms, especially a large amount of blood in your stool, seek medical attention immediately.
Diagnostic Approaches for Diverticular Bleeding
Diagnosing diverticular bleeding involves a process of elimination, ruling out other potential causes of rectal bleeding. How do medical professionals diagnose this condition?
Common Diagnostic Methods
- Medical history and physical examination
- Angiography (arteriography)
- Colonoscopy
- Technetium-labelled red blood cell bleeding scan
A colonoscopy is considered one of the most effective tests for identifying the source of bleeding in the lower intestines. During this procedure, a long, flexible, lighted viewing scope (colonoscope) is used to inspect the entire large intestine.

What is a technetium-labelled red blood cell bleeding scan? This specialized test involves taking a small amount of the patient’s blood, adding a radioactive material called technetium, and then reinjecting it into the bloodstream. The movement of this labelled blood is then traced to identify the source of bleeding.
Treatment Strategies for Diverticular Bleeding
The treatment approach for diverticular bleeding depends on the severity and persistence of the bleeding. In many cases, the bleeding will stop on its own without intervention. However, when treatment is necessary, what options are available?
Treatment Options
- Intravenous fluids
- Blood transfusions
- Injection of medicines
- Surgical intervention (in severe cases)
For persistent or severe bleeding, hospitalization may be required to monitor the patient’s condition and administer appropriate treatments. In some cases, surgery to remove the diseased part of the colon may be necessary if other treatments are ineffective.
How effective are non-surgical treatments for diverticular bleeding? While many cases resolve with conservative management, the effectiveness of treatment can vary depending on the severity and location of the bleeding. Your healthcare provider will determine the most appropriate treatment plan based on your individual circumstances.

Preventive Measures and Lifestyle Modifications
While it’s not always possible to prevent diverticular bleeding, certain lifestyle changes may help reduce the risk of developing diverticulosis and its complications. What preventive measures can individuals take?
Lifestyle Recommendations
- Consuming a high-fiber diet
- Staying well-hydrated
- Engaging in regular exercise
- Limiting aspirin use (if medically appropriate)
It’s important to note that while a high-fiber diet may help prevent the formation of diverticula, it may not prevent bleeding in individuals who already have diverticulosis. Additionally, regular aspirin use (more than 4 days a week) has been associated with a higher risk of diverticular bleeding.
How much fiber should one consume to potentially reduce the risk of diverticular disease? The recommended daily intake of fiber for adults is between 25 to 30 grams. This can be achieved through a diet rich in fruits, vegetables, whole grains, and legumes.
The Role of Diet in Managing Diverticular Disease
Diet plays a crucial role in both the prevention and management of diverticular disease. While dietary modifications may not prevent bleeding in those who already have diverticulosis, they can help maintain overall colon health and potentially reduce the risk of complications.
![]()
Dietary Recommendations for Diverticular Health
- Increase intake of high-fiber foods
- Stay well-hydrated throughout the day
- Limit consumption of red meat
- Avoid or reduce intake of processed foods
What specific foods are beneficial for individuals with diverticular disease? Foods rich in fiber such as fruits (apples, pears, berries), vegetables (broccoli, carrots, leafy greens), whole grains (oatmeal, brown rice, quinoa), and legumes (beans, lentils) are excellent choices. These foods help promote regular bowel movements and reduce pressure within the colon.
Is there a connection between nut and seed consumption and diverticular complications? Contrary to previous beliefs, recent studies have shown that consuming nuts, seeds, and popcorn does not increase the risk of diverticulitis or diverticular bleeding. In fact, these foods may even have a protective effect due to their fiber content.
When to Seek Medical Attention for Diverticular Bleeding
Recognizing when to seek medical attention is crucial in managing diverticular bleeding effectively. While some cases may resolve on their own, certain symptoms warrant immediate medical evaluation. When should you contact a healthcare provider or seek emergency care?

Signs Requiring Immediate Medical Attention
- Large amount of blood in the stool
- Persistent or recurrent bleeding
- Dizziness, weakness, or fainting
- Severe abdominal pain
- Fever accompanying rectal bleeding
How quickly should one seek medical care if they suspect diverticular bleeding? If you experience sudden, severe rectal bleeding or any of the symptoms mentioned above, it’s important to seek medical attention immediately. Prompt evaluation can help prevent complications and ensure appropriate treatment.
What information should you provide to your healthcare provider? Be prepared to describe the color and amount of blood in your stool, any associated symptoms, your medical history (including any previous episodes of diverticular disease), and current medications, especially blood thinners or aspirin.
Potential Complications of Untreated Diverticular Bleeding
While many cases of diverticular bleeding stop on their own, leaving severe or persistent bleeding untreated can lead to serious complications. What are the risks of delaying medical care?
![]()
- Severe anemia
- Hypovolemic shock
- Increased risk of infection
- Potential need for emergency surgery
Understanding these risks emphasizes the importance of timely medical evaluation and treatment for suspected diverticular bleeding.
Long-term Management and Follow-up Care
After an episode of diverticular bleeding, long-term management and follow-up care are essential to prevent recurrence and monitor overall colon health. What does long-term care typically involve?
Key Components of Long-term Management
- Regular follow-up appointments with a gastroenterologist
- Dietary counseling and nutritional support
- Periodic colonoscopies as recommended
- Monitoring for signs of recurrent bleeding or other complications
How often should individuals with a history of diverticular bleeding undergo follow-up colonoscopies? The frequency of follow-up colonoscopies can vary depending on individual risk factors and the severity of the previous bleeding episode. Your healthcare provider will recommend an appropriate screening schedule based on your specific situation.

Is it possible to completely prevent future episodes of diverticular bleeding? While it’s not always possible to prevent recurrence entirely, adhering to a high-fiber diet, staying well-hydrated, maintaining a healthy weight, and following your doctor’s recommendations can significantly reduce the risk of future complications.
Emerging Research and Treatment Options
The field of gastroenterology is continually evolving, with ongoing research into new treatment options and preventive strategies for diverticular disease. What are some promising areas of research?
- Microbiome studies and probiotics
- Advanced endoscopic techniques for bleeding control
- Genetic factors influencing diverticular disease
- Novel anti-inflammatory treatments
As research progresses, new insights into the prevention and management of diverticular bleeding may emerge, potentially leading to more effective treatment strategies and improved outcomes for patients.
In conclusion, understanding diverticular bleeding, its causes, symptoms, and treatment options is crucial for effective management of this condition. By recognizing the signs of diverticular bleeding, seeking timely medical attention, and adopting appropriate lifestyle modifications, individuals can significantly improve their outcomes and quality of life. Remember, while diverticular bleeding can be a serious condition, with proper care and management, many people successfully navigate this health challenge and maintain good colon health in the long term.

Diverticular Bleeding | HealthLink BC
Topic Overview
What is diverticular bleeding?
Diverticular bleeding occurs when pouches (diverticula) that have developed in the wall of the large intestine (colon) bleed. If you have these pouches, you have a condition called diverticulosis.
Diverticular bleeding causes a large amount of blood to appear in your stool. Bleeding starts suddenly and usually stops on its own. Abdominal (belly) pain usually does not occur with the bleeding.
If you have a large amount of blood in your stool, see a doctor right away. It is possible, but not common, to quickly lose so much blood that you become light-headed or weak.
What causes diverticular bleeding?
The reason pouches (diverticula) form in the colon wall is not completely understood.
Doctors think diverticula form when high pressure inside the colon pushes against weak spots in the colon wall.
Normally, a diet with enough fibre (also called roughage) produces stool that is bulky and can move easily through the colon. If a diet is low in fibre, the colon must exert more pressure than usual to move small, hard stool. A low-fibre diet also can increase the time stool remains in the bowel, adding to the high pressure.
Pouches may form when the high pressure pushes against weak spots in the colon. Weak spots are where blood vessels pass through the muscle layer of the bowel wall to supply blood to the inner wall.
Bleeding occurs when the blood vessel going to the pouch breaks open.
What are the symptoms?
Diverticular bleeding usually causes sudden, severe bleeding from the rectum.
The blood may be dark red or bright red clots. In most cases there is no pain, and the bleeding stops on its own.
How is diverticular bleeding diagnosed?
Diverticular bleeding is diagnosed by ruling out other causes of the bleeding. Your doctor will do a medical history and physical examination, along with some tests. Imaging tests such as angiography (also known as arteriography) may be done to find the location of persistent bleeding. Colonoscopy—the inspection of the entire large intestine (colon) using a long, flexible, lighted viewing scope (colonoscope)—is thought to be one of the most useful tests for finding the source of bleeding in the lower intestines.
Your doctor might do a test called a technetium-labelled red blood cell bleeding scan to look for the source of bleeding. In this test, some blood is taken from you, and a small amount of radioactive material called technetium is added to the blood.
The blood containing the technetium is then injected back into your bloodstream and traced to the source of bleeding.
How is it treated?
Bleeding from diverticula often will stop on its own. If it does not, treatment may be needed to stop it and to replace lost blood, and you may need to be hospitalized. Treatment may include intravenous fluids, blood transfusions, injection of medicines, and in some cases surgery to remove the diseased part of the colon.
Can diverticular bleeding be prevented?
Eating a high-fibre diet, getting plenty of fluid, and exercising regularly may help prevent the formation of diverticula. But if you already have diverticulosis, diet may not help prevent bleeding.
You may have a higher risk of diverticular bleeding if you take aspirin regularly (more than 4 days a week).
footnote 1
Diverticular Bleeding – American Family Physician
1. Zuccaro G Jr.
Management of the adult patient with acute lower gastrointestinal bleeding. American College of Gastroenterology. Practice Parameters Committee. Am J Gastroenterol.
1998;93(8):1202–1208….
2. McGuire HH Jr,
Haynes BW Jr.
Massive hemorrhage for diverticulosis of the colon: guidelines for therapy based on bleeding patterns observed in fifty cases. Ann Surg.
1972;175(6):847–855.
3. Strate LL,
Orav EJ,
Syngal S.
Early predictors of severity in acute lower intestinal tract bleeding. Arch Intern Med.
2003;163(7):838–843.
4. Meyers MA,
Volberg F,
Katzen B,
Alonso D,
Abbott G.
The angioarchitecture of colonic diverticula. Significance in bleeding diverticulosis. Radiology.
1973;108(2):249–261.
5. Meyers MA,
Alonso DR,
Gray GF,
Baer JW.
Pathogenesis of bleeding colonic diverticulosis. Gastroenterology.
1976;71(4):577–583.
6. Wong SK,
Ho YH,
Leong AP,
Seow-Choen F.
Clinical behavior of complicated right-sided and left-sided diverticulosis. Dis Colon Rectum.
1997;40(3):344–348.
7. Reinus JF,
Brandt LJ.
Vascular ectasias and diverticulosis. Common causes of lower intestinal bleeding. Gastroenterol Clin North Am.
1994;23(1):1–20.
8. Stollman NH,
Raskin JB.
Diagnosis and management of diverticular disease of the colon in adults. Ad Hoc Practice Parameters Committee of the American College of Gastroenterology. Am J Gastroenterol.
1999;94(11):3110–3121.
9. Fine KD,
Nelson AC,
Ellington RT,
Mossburg A.
Comparison of the color of fecal blood with the anatomical location of gastrointestinal bleeding lesions: potential misdiagnosis using only flexible sigmoidoscopy for bright red blood per rectum.
Am J Gastroenterol.
1999;94(11):3202–3210.
10. McGee S,
Abernethy WB III,
Simel DL.
The rational clinical examination. Is this patient hypovolemic? JAMA.
1999;281(11):1022–1029.
11. Jensen DM,
Machicado GA.
Diagnosis and treatment of severe hematochezia. The role of urgent colonoscopy after purge. Gastroenterology.
1988;95(6):1569–1574.
12. Davila RE,
Rajan E,
Adler DG,
et al.,
for the Standards of Practice Committee.
ASGE Guideline: the role of endoscopy in the patient with lower-GI bleeding. Gastrointest Endosc.
2005;62(5):656–660.
13. Chalasani N,
Clark WS,
Wilcox CM.
Blood urea nitrogen to creatinine concentration in gastrointestinal bleeding: a reappraisal. Am J Gastroenterol.
1997;92(10):1796–1799.
14. Foutch PG,
Zimmerman K.
Diverticular bleeding and the pigmented protuberance (sentinel clot): clinical implications, histopathological correlation, and results of endoscopic intervention.
Am J Gastroenterol.
1996;91(12):2589–2593.
15. Jensen DM,
Machicado GA,
Jutabha R,
Kovacs TO.
Urgent colonoscopy for the diagnosis and treatment of severe diverticular hemorrhage. N Engl J Med.
2000;342(2):78–82.
16. Rossini FP,
Ferrari A,
Spandre M,
et al.
Emergency colonoscopy. World J Surg.
1989;13(2):190–192.
17. Caos A,
Benner KG,
Manier J,
et al.
Colonoscopy after Golytely preparation in acute rectal bleeding. J Clin Gastroenterol.
1986;8(1):46–49.
18. Forde KA.
Colonoscopy in acute rectal bleeding. Gastrointest Endosc.
1981;27(4):219–220.
19. Smith R,
Copely DJ,
Bolen FH.
99mTc RBC scintigraphy: correlation of gastrointestinal bleeding rates with scintigraphic findings. AJR Am J Roentgenol.
1987;148(5):869–874.
20.
Dusold R,
Burke K,
Carpentier W,
Dyck WP.
The accuracy of technetium-99m-labeled red cell scintigraphy in localizing gastrointestinal bleeding. Am J Gastroenterol.
1994;89(3):345–348.
21. Suzman MS,
Talmor M,
Jennis R,
Binkert B,
Barie PS.
Accurate localization and surgical management of active lower gastrointestinal hemorrhage with technetium-labeled erythrocyte scintigraphy. Ann Surg.
1996;224(1):29–36.
22. Colacchio TA,
Forde KA,
Patsos TJ,
Nunez D.
Impact of modern diagnostic methods on the management of active rectal bleeding. Ten year experience. Am J Surg.
1982;143(5):607–610.
23. Leitman IM,
Paull DE,
Shires GT III.
Evaluation and management of massive lower gastrointestinal hemorrhage. Ann Surg.
1989;209(2):175–180.
24. Koval G,
Benner KG,
Rösch J,
Kozak BE.
Aggressive angiographic diagnosis in acute lower gastrointestinal hemorrhage. Dig Dis Sci.
1987;32(3):248–253.
25. Jensen DM,
Machicado GA,
Jutabha R,
Kovacs TO.
Urgent colonoscopy for the diagnosis and treatment of severe diverticular hemorrhage. N Engl J Med.
2000;342(2):78–82.
26. Hokama A,
Uehara T,
Nakayoshi T,
et al.
Utility of endoscopic hemoclipping for colonic diverticular bleeding. Am J Gastroenterol.
1997;92(3):543–546.
27. Andress HJ,
Mewes A,
Lange V.
Endoscopic hemostasis of a bleeding diverticulum of the sigma with fibrin sealant. Endoscopy.
1993;25(2):193.
28. Farrell JJ,
Graeme-Cook F,
Kelsey PB.
Treatment of bleeding colonic diverticula by endoscopic band ligation: an in-vivo and ex-vivo pilot study. Endoscopy.
2003;35(10):823–829.
29. Browder W,
Cerise EJ,
Litwin MS.
Impact of emergency angiography in massive lower gastrointestinal bleeding. Ann Surg.
1986;204(5):530–536.
30. DeBarros J,
Rosas L,
Cohen J,
Vignati P,
Sardella W,
Hallisey M.
The changing paradigm for the treatment of colonic hemorrhage: superselective angiographic embolization. Dis Colon Rectum.
2002;45(6):802–808.
31. Gordon RL,
Ahl KL,
Kerlan RK,
et al.
Selective arterial embolization for the control of lower gastrointestinal bleeding. Am J Surg.
1997;174(1):24–28.
32. Chen CY,
Wu CC,
Jao SW,
Pai L,
Hsiao CW.
Colonic diverticular bleeding with comorbid diseases may need elective colectomy. J Gastrointest Surg.
2009;13(3):516–520.
33. Britt LG,
Warren L,
Moore OF III.
Selective management of lower gastrointestinal bleeding. Am Surg.
1983;49(3):121–125.
34. McGuire HH Jr.
Bleeding colonic diverticula. A reappraisal of natural history and management. Ann Surg.
1994;220(5):653–656.
35. Parkes BM,
Obeid FN,
Sorensen VJ,
Horst HM,
Fath JJ.
The management of massive lower gastrointestinal bleeding. Am Surg.
1993;59(10):676–678.
36. Peura DA,
Lanza FL,
Gostout CJ,
Foutch PG.
The American College of Gastroenterology Bleeding Registry: preliminary findings. Am J Gastroenterol.
1997;92(6):924–928.
37. Laine L,
Smith R,
Min K,
Chen C,
Dubois RW.
Systematic review: the lower gastrointestinal adverse effects of non-steroidal anti-inflammatory drugs. Aliment Pharmacol Ther.
2006;24(5):751–767.
38. Aldoori WH,
Giovannucci EL,
Rimm EB,
Wing AL,
Trichopoulos DV,
Willett WC.
A prospective study of diet and the risk of symptomatic diverticular disease in men.
Am J Clin Nutr.
1994;60(5):757–764.
39. Aldoori WH,
Giovannucci EL,
Rockett HR,
Sampson L,
Rimm EB,
Willett WC.
A prospective study of dietary fiber types and symptomatic diverticular disease in men. J Nutr.
1998;128(4):714–719.
40. Strate LL,
Liu YL,
Aldoori WH,
Giovannucci EL.
Physical activity decreases diverticular complications. Am J Gastroenterol.
2009;104(5):1221–1230.
41. Strate LL,
Liu YL,
Aldoori WH,
Syngal S,
Giovannucci EL.
Obesity increases the risks of diverticulitis and diverticular bleeding. Gastroenterology.
2009;136(1):115–122.
42. Strate LL,
Liu YL,
Syngal S,
Aldoori WH,
Giovannucci EL.
Nut, corn, and popcorn consumption and the incidence of diverticular disease. JAMA.
2008;300(8):907–914.
Diverticular Disease | Cedars-Sinai
Not what you’re looking for?
What is diverticular disease?
Diverticular disease is a group of conditions in which tiny pouches form in the colon.
The pouches are called diverticula.
These
pouches bulge out through weak spots in your colon. The pouches can become inflamed
(red, swollen) or infected. When the pouches are infected, the condition is called
diverticulitis.
Diverticular disease includes:
- Diverticulosis. This is when you have tiny
pouches called diverticula in your colon. - Diverticulitis. This is when the pouches in
your colon get infected. - Diverticular bleeding. This
happens when a small blood vessel in a pouch breaks open and bleeds.
Over
half of people in the United States over age 60 will have diverticulosis.
Some people
with diverticulosis also get diverticulitis.
Diverticular disease is often seen in developed countries. It is very common in the
U.S., England, and Australia. People in these countries eat less fiber.
Diverticular disease is rare in countries such as Asia and Africa. People in these
countries eat more fiber and more vegetables.
What causes diverticular disease?
Experts are not sure what causes diverticular disease. They think it might happen
when you don’t eat enough fiber. Fiber is the part of fruits, vegetables, and grains
that the body can’t digest.
Fiber helps make your stools soft and easy to pass. Eating more fiber helps stop constipation.
Constipation is the main cause of greater pressure in your colon.
When you are constipated,
your muscles strain to move stool that is too hard. The extra pressure from this straining
makes the weak spots in your colon bulge out. These pouches that bulge out are the
diverticula.
Experts do not know what causes the infection that leads to diverticulitis. They think
the infection may start when stool or bacteria are caught in the diverticula.
Who is at risk for diverticular disease?
Experts don’t know for sure if your diet affects your risk of getting diverticular
disease. But you are more at risk for the disease if you:
- Are
over 50 years old - Have
diverticulosis - Are
obese - Don’t
get enough exercise - Use
nonsteroidal anti-inflammatory drugs (NSAIDs) - Smoke
What are the symptoms of diverticular disease?
Each
person’s symptoms may vary.
Symptoms may include:
- Diverticulosis. You can have diverticulosis and not have any pain or symptoms. But symptoms may
include mild cramps, swelling or bloating, and constipation. These symptoms can also
be caused by irritable bowel syndrome, stomach ulcers, or other health problems.
These symptoms don’t always mean that you have diverticulosis. - Diverticulitis. The most common symptom of diverticulitis is belly or abdominal pain. The most
common sign that you have it is feeling sore or sensitive on the left side of your
lower belly. If infection is the cause, then you may have fever, nausea, vomiting,
chills, cramping, and constipation. - Diverticular colitis. This is when the
colon gets inflamed (colitis) as a result of the diverticular disease.
This is less
common than diverticulitis. - Diverticular bleeding. The
most common symptom of diverticular bleeding is painless bleeding from the rectum.
You likely will see bright red or maroon-colored blood in your stool.
The
symptoms of diverticular disease may look like other health problems. Always see your
healthcare provider to be sure.
How is diverticular disease diagnosed?
Your
healthcare provider will look at your past health and do a physical exam. They may
also
use some of the following tests:
- X-rays. A small amount of radiation is used
to make images of body tissues onto film.
- Digital rectal exam. This test checks if
you have problems in the anus or rectal area. Your healthcare provider will gently
put a gloved, lubricated finger into your rectum. Using their finger, your healthcare
provider will check the muscle that closes off the anus. - A stool sample. This test checks for any
abnormal bacteria or parasites in your digestive tract. To do this, a small stool
sample is taken and sent to a lab. It can also check for blood in the stool. - CT scan. This test shows detailed images of
any part of the body, such as the bones, muscles, fat, and organs. This is used to
check for complications of diverticular disease like diverticulitis.
- Barium enema. This is also called a lower
GI (gastrointestinal) series. This is an X-ray exam of your rectum, the large
intestine, and the lower part of your small intestine. You will be given a metallic
fluid called barium. Barium coats the organs so that they can be seen on an X-ray.
The barium is put into a tube and inserted into your rectum as an enema. An X-ray
of
your belly will show if you have any narrowed areas (strictures), blockages, or other
problems. - Virtual colonoscopy. This is a CT scan
that checks your colon using air and contrast. - Flexible sigmoidoscopy. This test checks
the inside of part of your large intestine.
It helps to tell what is causing
constipation. A short, flexible, lighted tube with a tiny camera on the end
(sigmoidoscope) is put into your intestine through the rectum. This tube blows air
into your intestine to make it swell. This makes it easier to see inside. A tissue
sample (biopsy) can be taken if needed. - Colonoscopy. This test looks at the full
length of your large intestine. It can help check for any abnormal growths, tissue
that is red or swollen, sores (ulcers), or bleeding. A long, flexible, lighted tube
with a camera on the end (colonoscope) is put into your rectum up into the colon.
This tube lets your healthcare provider see the lining of your colon and take out
a
tissue sample (biopsy) to test it. They can also treat some problems that may be
found.
How is diverticular disease treated?
Treatment will depend on your symptoms, age, and general health. It will also depend
on
how severe the condition is.
Experts suggest eating 20 to 35 grams of fiber each day. Your healthcare provider
may
tell you to eat more foods that have fiber, such as:
- Whole-grain breads, cereals, and other items
- Fruit,
such as berries, apples, and peaches - Vegetables, such as broccoli, cabbage, spinach, carrots, asparagus, and squash
- Beans
Treatment for diverticulitis may also include:
- Pain
medicines - Medicines to fight infection (antibiotics)
- Medicines to control muscle spasms
- Letting
your colon rest by having a liquid diet and staying in bed - Bowel
rest or eating only clear liquids for some time
You
may need to stay in the hospital if you have a bad attack with severe pain or infection.
In some cases, surgery may be needed. If you have an infection in your abdomen,
sometimes a tube is placed to drain the pus.
Once
diverticulitis heals, a colonoscopy is usually recommended to check the colon.
What are possible complications of
diverticular disease?
Possible complications include:
- Infection (diverticulitis)
- Holes or
tears in the intestines. These can cause sores (abscesses) or infection throughout
the abdomen (peritonitis). Peritonitis can be fatal. - Blockages of the intestines
- Bleeding
(diverticular bleeding) - Colitis (inflammation of the colon)
What can I do to prevent
diverticular disease?
Experts don’t know how to keep
diverticular disease from happening. But once you have diverticulosis, it may be
possible to decrease your risk of diverticulitis by eating a high-fiber diet. You
do not
need to avoid corn, nuts, or seeds.
Living with diverticular disease
If you have diverticulosis, follow your healthcare provider’s advice. Some people
with diverticulosis will get diverticulitis. A few will have diverticular bleeding.
When should I call my healthcare provider?
If your symptoms get worse or come
back after treatment, call your healthcare provider. You should also call if you notice
any bleeding.
Key points about diverticular
disease
- Diverticular disease is a group of conditions that result from small pouches in the
colon. It includes diverticulosis (the pouches), diverticulitis (infection or
inflammation of the pouches), and diverticular bleeding. - The most common symptom is belly or abdominal pain.
- The most common sign that you have it is feeling tender around the left side of the
lower abdomen. - To see if you have diverticular disease, your doctor may order tests that look at
your intestine from the outside (such as CT scan or virtual colonoscopy) or inside
(such as colonoscopy). - Treatment may include eating more fiber. However, during attacks of diverticulitis,
you may be told to remain on clear liquids or low-fiber foods for some time. - You may need to stay in the hospital if you have a bad attack with severe pain or
infection. - Possible
complications of diverticular disease may include infection (diverticulitis), colon
blockages, and diverticular bleeding.
Next steps
Tips to help you get the most from a visit to your healthcare provider:
- Know the reason for your visit and what you want to happen.
- Before your visit, write down questions you want answered.
- Bring someone with you to help you ask questions and remember what your provider
tells you. - At the visit, write down the name of a new diagnosis and any new
medicines, treatments, or tests. Also write down any new instructions your provider
gives you. - Know why a new medicine or treatment is prescribed and how it
will help you. Also know what the side effects are. - Ask if your condition can be treated in other ways.
- Know why a test or procedure is recommended and what the results could mean.
- Know what to expect if you do not take the medicine or have the test or
procedure. - If you have a follow-up appointment, write down the date, time, and purpose for that
visit. - Know how you can contact your provider if you have questions.
Medical Reviewer: Jen Lehrer MD
Medical Reviewer: Ronald Karlin MD
Medical Reviewer: Raymond Kent Turley BSN MSN RN
© 2000-2021 The StayWell Company, LLC. All rights reserved. This information is not intended as a substitute for professional medical care. Always follow your healthcare professional’s instructions.
Not what you’re looking for?
Department of Surgery – Diverticulitis
Diverticulosis is a condition that occurs when small pouches, or sacs, form and push outward through weak spots in the wall of your colon. These pouches are most common in the lower part of your colon, called the sigmoid colon. One pouch is called a diverticulum. Multiple pouches are called diverticula. Most people with diverticulosis do not have symptoms or problems.
When diverticulosis does cause symptoms or problems, doctors call this diverticular disease. For some people, diverticulosis causes symptoms such as changes in bowel movement patterns or pain in the abdomen. Diverticulosis may also cause problems such as diverticular bleeding and diverticulitis.
Diverticular bleeding
Diverticular bleeding occurs when a small blood vessel within the wall of a pouch, or diverticulum, bursts.
Diverticulitis
Diverticulitis occurs when you have diverticulosis and one or a few of the pouches in the wall of your colon become inflamed. Diverticulitis can lead to serious complications.
What are the complications of diverticulitis?
Diverticulitis can come on suddenly and cause other problems, such as the following:
Abscess
An abscess is a painful, swollen, infected, and pus-filled area just outside your colon wall that may make you ill with nausea, vomiting, fever, and severe tenderness in your abdomen.
Perforation
A perforation is a small tear or hole in a pouch in your colon.
Peritonitis
Peritonitis is inflammation or infection of the lining of your abdomen. Pus and stool that leak through a perforation can cause peritonitis.
Fistula
A fistula is an abnormal passage, or tunnel, between two organs or between an organ and the outside of your body. The most common types of fistula with diverticulitis occur between the colon and the bladder or between the colon and the vagina in women.
Intestinal obstruction
An intestinal obstruction is a partial or total blockage of the movement of food or stool through your intestines.
How common are diverticulosis and diverticulitis?
Diverticulosis is quite common, especially as people age. Research suggests that about 35 percent of U.S. adults age 50 years or younger have diverticulosis, while about 58 percent of those older than age 60 have diverticulosis.1 Most people with diverticulosis will never develop symptoms or problems.2
Experts used to think that 10 to 25 percent of people with diverticulosis would develop diverticulitis. However, newer research suggests that the percentage who develop diverticulitis may be much lower—less than 5 percent.2
In the United States, about 200,000 people are hospitalized for diverticulitis each year. About 70,000 people are hospitalized for diverticular bleeding each year.3
Who is more likely to have diverticulosis and diverticulitis?
People are more likely to develop diverticulosis and diverticulitis as they age.
Among people ages 50 and older, women are more likely than men to develop diverticulitis. However, among people younger than age 50, men are more likely to develop diverticulitis.3
1
2
3
Symptoms & Causes of Diverticulosis and Diverticulitis
What are the symptoms of diverticulosis?
Most people with diverticulosis do not have symptoms. If your diverticulosis causes symptoms, they may include
Other conditions, such as irritable bowel syndrome and peptic ulcers, cause similar symptoms, so these symptoms may not mean you have diverticulosis. If you have these symptoms, see your doctor.
If you have diverticulosis and develop diverticular bleeding or diverticulitis, these conditions also cause symptoms.
What are the symptoms of diverticular bleeding?
In most cases, when you have diverticular bleeding, you will suddenly have a large amount of red or maroon-colored blood in your stool.
Diverticular bleeding may also cause dizziness or light-headedness, or weakness. See your doctor right away if you have any of these symptoms.
What are the symptoms of diverticulitis?
When you have diverticulitis, the inflamed pouches most often cause pain in the lower left side of your abdomen. The pain is usually severe and comes on suddenly, though it can also be mild and get worse over several days. The intensity of the pain can change over time.
Diverticulitis may also cause
What causes diverticulosis and diverticulitis?
Experts are not sure what causes diverticulosis and diverticulitis. Researchers are studying several factors that may play a role in causing these conditions.
Fiber
For more than 50 years, experts thought that following a low-fiber diet led to diverticulosis. However, recent research has found that a low-fiber diet may not play a role. This study also found that a high-fiber diet with more frequent bowel movements may be linked with a greater chance of having diverticulosis.1 Talk with your doctor about how much fiber you should include in your diet.
Genes
Some studies suggest that genes may make some people more likely to develop diverticulosis and diverticulitis. Experts are still studying the role genes play in causing these conditions.
Other factors
Studies have found links between diverticular disease—diverticulosis that causes symptoms or problems such as diverticular bleeding or diverticulitis—and the following factors:
Diverticulitis may begin when bacteria or stool get caught in a pouch in your colon. A decrease in healthy bacteria and an increase in disease-causing bacteria in your colon may also lead to diverticulitis.
Diagnosis of Diverticulosis and Diverticulitis
How do doctors diagnose diverticulosis and diverticulitis?
If your doctor suspects you may have diverticulosis or diverticulitis, your doctor may use your medical history, a physical exam, and tests to diagnose these conditions.
Doctors may also diagnose diverticulosis if they notice pouches in the colon wall while performing tests, such as routine x-rays or colonoscopy, for other reasons.
Medical history
Your doctor will ask about your medical history, including your
Physical exam
Your doctor will perform a physical exam, which may include a digital rectal exam. During a digital rectal exam, your doctor will have you bend over a table or lie on your side while holding your knees close to your chest. After putting on a glove, the doctor will slide a lubricated finger into your anus to check for pain, bleeding, hemorrhoids, or other problems.
What tests do doctors use to diagnose diverticulosis and diverticulitis?
Your doctor may use the following tests to help diagnose diverticulosis and diverticulitis:
Blood test
A health care professional may take a blood sample from you and send the sample to a lab to test for inflammation or anemia.
CT scan
A computerized tomography (CT) scanExternal NIH Link uses a combination of x-rays and computer technology to create images of your gastrointestinal (GI) tract.
An x-ray technician performs the procedure in an outpatient center or a hospital. A radiologist reads and reports on the images. You don’t need anesthesiaExternal NIH Link for this procedure.
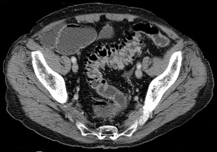
For a CT scan, a health care professional may give you a solution to drink and an injection of a special dye, called contrast medium. Contrast medium makes the structures inside your body easier to see during the procedure. You’ll lie on a table that slides into a tunnel-shaped device that takes the x-rays. A CT scan of your colon is the most common test doctors use to diagnose diverticulosis and diverticulitis.
Lower GI series
A lower GI series, also called a barium enema, is a procedure in which a doctor uses x-rays and a chalky liquid called bariumto view your large intestine. The barium will make your large intestine more visible on an x-ray.
An x-ray technician and a radiologist perform a lower GI series at a hospital or an outpatient center. A health care professional will give you written bowel prep instructions to follow at home before the procedure. You don’t need anesthesia for this procedure.
For the procedure, you’ll be asked to lie on a table while the radiologist inserts a flexible tube into your anus and fills your large intestine with barium. You will need to hold still in various positions while the radiologist and technician take x-ray images and possibly an x-ray video, called fluoroscopy. If pouches are present in your colon, they will appear on the x-ray.
Colonoscopy
Colonoscopy is a procedure in which a doctor uses a long, flexible, narrow tube with a light and tiny camera on one end, called a colonoscope or endoscope, to look inside your rectum and colon.
A trained specialist performs a colonoscopy in a hospital or an outpatient center. A health care professional will give you written bowel prep instructions to follow at home before the procedure. You will receive sedatives, anesthesia, or pain medicine during the procedure.
During a colonoscopy, you’ll be asked to lie on a table while the doctor inserts a colonoscope into your anus and slowly guides it through your rectum and into your colon. Doctors may use colonoscopy to confirm a diagnosis of diverticulosis or diverticulitis and rule out other conditions, such as cancerExternal Link Disclaimer.
Treatment for Diverticulosis and Diverticulitis
How do doctors treat diverticulosis?
The goal of treating diverticulosis is to prevent the pouches from causing symptoms or problems. Your doctor may recommend the following treatments.
High-fiber diet
Although a high-fiber diet may not prevent diverticulosis, it may help prevent symptoms or problems in people who already have diverticulosis. A doctor may suggest that you increase fiber in your diet slowly to reduce your chances of having gasand pain in your abdomen. Learn more about foods that are high in fiber.
Fiber supplements
Your doctor may suggest you take a fiber product such as methylcellulose (Citrucel) or psyllium (Metamucil) one to three times a day. These products are available as powders, pills, or wafers and provide 0.5 to 3.5 grams of fiber per dose. You should take fiber products with at least 8 ounces of water.
Medicines
Some studies suggest that mesalazineExternal NIH Link (Asacol) taken every day or in cycles may help reduce symptoms that may occur with diverticulosis, such as pain in your abdomen or bloating. Studies suggest that the antibiotic rifaximinExternal NIH Link(Xifaxan) may also help with diverticulosis symptoms.
Probiotics
Some studies show that probioticsExternal NIH Link may help with diverticulosis symptoms and may help prevent diverticulitis.1However, researchers are still studying this subject. Probiotics are live bacteria like those that occur normally in your stomachand intestines. You can find probiotics in dietary supplements—in capsule, tablet, and powder form—and in some foods, such as yogurt.
For safety reasons, talk with your doctor before using probiotics or any complementary or alternativeExternal NIH Link medicines or medical practices.
How do doctors treat diverticular bleeding?
Diverticular bleeding is rare. If you have bleeding, it can be severe. In some people, the bleeding may stop by itself and may not require treatment. However, if you have bleeding from your rectum—even a small amount—you should see a doctor right away.
To find the site of the bleeding and stop it, a doctor may perform a colonoscopy. Your doctor may also use a computerized tomography (CT) scan or an angiogram to find the bleeding site. An angiogram is a special kind of x-ray in which your doctor threads a thin, flexible tube through a large artery, often from your groin, to the bleeding area.
Colon resection
If your bleeding does not stop, a surgeon may perform abdominal surgery with a colon resection. In a colon resection, the surgeon removes the affected part of your colon and joins the remaining ends of your colon together. You will receive general anesthesiaExternal NIH Link for this procedure.
In some cases, during a colon resection, it may not be safe for the surgeon to rejoin the ends of your colon right away. In this case, the surgeon performs a temporary colostomy. Several months later, in a second surgery, the surgeon rejoins the ends of your colon and closes the opening in your abdomen.
How do doctors treat diverticulitis?
If you have diverticulitis with mild symptoms and no other problems, a doctor may recommend that you rest, take oral antibioticsExternal NIH Link, and follow a liquid diet for a period of time. If your symptoms ease after a few days, the doctor will recommend gradually adding solid foods back into your diet.
Severe cases of diverticulitis that come on quickly and cause complications will likely require a hospital stay and involve intravenous (IV) antibiotics. A few days without food or drink will help your colon rest.
If the period without food or drink is longer than a few days, your doctor may give you an IV liquid food mixture. The mixture contains
How do doctors treat complications of diverticulitis?
Your doctor may recommend the following to treat complications of diverticulitis:
Abscess
Your doctor may need to drain an abscess if it is large or does not clear up with antibiotics.
Perforation
If you have a perforation, you will likely need surgery to repair the tear or hole. Additional surgery may be needed to remove a small part of your colon if the surgeon cannot repair the perforation.
Peritonitis
Peritonitis requires immediate surgery to clean your abdominal cavity. You may need a colon resection at a later date after a course of antibiotics. You may also need a blood transfusion if you have lost a lot of blood. Without prompt treatment, peritonitis can be fatal.
Fistula
Surgeons can correct a fistula by performing a colon resection and removing the fistula.
Intestinal obstruction
If your large intestine is completely blocked, you will need emergency surgery, with possible colon resection. Partial blockage is not an emergency, so you can schedule the surgery or other corrective procedures.
Eating, Diet, and Nutrition for Diverticulosis and Diverticulitis
What should I eat if I have diverticulosis or diverticulitis?
If you have diverticulosis or if you have had diverticulitis in the past, your doctor may recommend eating more foods that are high in fiber.
The Dietary Guidelines for AmericansExternal Link Disclaimer, 2015–2020, recommends a dietary fiber intake of 14 grams per 1,000 calories consumed. For example, for a 2,000-calorie diet, the fiber recommendation is 28 grams per day.
The amount of fiber in a food is listed on the food’s nutrition facts label. Some fiber-rich foods are listed in the table below.
Fiber-Rich Foods
| Food and Portion Size | Amount of Fiber |
| 1⁄3–3⁄4 cup high-fiber bran ready-to-eat cereal | 9.1–14.3 grams |
| 1-11⁄4 cup of shredded wheat ready-to-eat cereal | 5.0–9.0 grams |
| 11⁄2 cup whole wheat spaghetti, cooked | 3.2 grams |
| 1 small oat bran muffin | 3.0 grams |
| Food and Portion Size | Amount of Fiber |
| 1 medium pear, with skin | 5.5 grams |
| 1 medium apple, with skin | 4.4 grams |
| 1⁄2 cup of raspberries | 4.0 grams |
| 1⁄2 cup of stewed prunes | 3.8 grams |
| Food and Portion Size | Amount of Fiber |
| 1⁄2 cup of green peas, cooked | 3.5–4.4 grams |
| 1⁄2 cup of mixed vegetables, cooked from frozen | 4.0 grams |
| 1⁄2 cup of collards, cooked | 3.8 grams |
| 1 medium sweet potato, baked in skin | 3.8 grams |
| 1 medium potato, baked, with skin | 3.6 grams |
| 1⁄2 cup of winter squash, cooked | 2.9 grams |
| Food and Portion Size | Amount of Fiber |
| 1⁄2 cup navy beans, cooked | 9.6 grams |
| 1⁄2 cup pinto beans, cooked | 7.7 grams |
| 1⁄2 kidney beans, cooked | 5.7 grams |
A doctor or dietitian can help you learn how to add more high-fiber foodsExternal NIH Link to your diet.
Should I avoid certain foods if I have diverticulosis or diverticulitis?
Experts now believe you do not need to avoid certain foods if you have diverticulosis or diverticulitis.
In the past, doctors might have asked you to avoid nuts; popcorn; and seeds such as sunflower, pumpkin, caraway, and sesame. Recent research suggests that these foods are not harmful to people with diverticulosis or diverticulitis. The seeds in tomatoes, zucchini, cucumbers, strawberries, and raspberries, as well as poppy seeds, are also fine to eat.
Even so, each person is different. You may find that certain types or amounts of foods worsen your symptoms.
Clinical Trials for Diverticulosis and Diverticulitis
The National Institute of Diabetes and Digestive and Kidney Diseases (NIDDK) and other components of the National Institutes of Health (NIH) conduct and support research into many diseases and conditions.
What are clinical trials and are they right for you?
Clinical trials are research studies involving people. Clinical trials look at safe and effective new ways to prevent, detect, or treat disease. Researchers also use clinical trials to look at other aspects of care, such as improving the quality of life for people with chronic illnesses. Find out if clinical trials are right for youExternal NIH Link.
What clinical trials are open?
Clinical trials that are currently open and are recruiting can be viewed at www.ClinicalTrials.govExternal Link Disclaimer.
|
Diverticulitis and Diverticula | Causes and Treatment
What are diverticula?
A diverticulum is a small pouch with a narrow neck that sticks out from (protrudes from) the wall of the gut (intestine). ‘Diverticula’ means more than one diverticulum. They can develop on any part of the gut but usually occur in the colon (sometimes called the large bowel or large intestine). They most commonly develop in the section of the colon leading towards the back passage (rectum). This is where the stools (faeces) are becoming more solid. This is on the left-hand side of the tummy (abdomen). Several diverticula may develop over time. Some people eventually develop many diverticula.
Who develops diverticula?
Diverticula are common. They become more common with increasing age. About half of all people in the UK have diverticula by the time they are 50 years old. Nearly 7 in 10 have diverticula by the time they are 80 years old.
What causes diverticula?
The reason why diverticula develop is probably related to not eating enough fibre. Fibre is the part of food that is not digested.
Your gut (intestine) moves stools (faeces) along with gentle squeezes of its muscular wall. The stools tend to be drier, smaller, and more difficult to move along if you don’t eat much fibre. Your gut muscles have to work harder if there is too little fibre in your gut. High pressure may develop in parts of your gut when it squeezes hard stools. The increased pressure may push the inner lining of a small area of your gut through the muscle wall to form a small diverticulum.
What are the symptoms and problems caused by diverticula?
It is common for no symptoms to develop – called diverticulosis
In about 3 in 4 people who develop diverticula, the diverticula cause no harm or symptoms. The term diverticulosis means that diverticula are present, but do not cause any symptoms or problems. In most cases, the condition will not be known about as there are no symptoms. Sometimes diverticula are discovered as an incidental finding if you are having tests such as colonoscopy or barium enema for other reasons.
Diverticular disease
This term is used when diverticula cause intermittent, lower tummy (abdominal) pain or bloating (without swelling (inflammation) or infection – discussed later). The pain is usually crampy and tends to come and go. The pain is most commonly in the lower left part of the tummy (abdomen). You may get ease from pain and bloating by going to the toilet to pass stools (faeces). Some people develop diarrhoea or constipation, and some people pass mucus with their stools. It is not clear how diverticula cause these symptoms.
Symptoms of diverticular disease can be similar to those that occur with a condition called irritable bowel syndrome (IBS). However, IBS usually affects younger adults. So, symptoms that first develop in a younger adult are more likely to be due to IBS and symptoms that first develop in older people are more likely to be due to diverticular disease. However, in some cases it is difficult to tell if symptoms are due to diverticular disease or to IBS.
A diagnosis of diverticular disease is usually made by confirming the presence of diverticula and by ruling out other causes of the symptoms. Note: the symptoms of diverticular disease, especially if they start in an older person, can also be similar to those of early bowel cancer. Therefore, tell a doctor if you develop these symptoms, as some tests may need to be arranged. For example, a test called colonoscopy may be advised. To carry out this test, a doctor uses a special flexible telescope to look into the bowel. This can confirm the presence of diverticula, and rule out bowel cancer.
Diverticulitis (infection)
Diverticulitis is a condition where one or more of the diverticula become inflamed and infected. This may occur if some faeces get trapped and stagnate in a diverticulum. Germs (bacteria) in the trapped faeces may then multiply and cause infection. About 1 in 5 people with diverticula develop a bout of diverticulitis at some stage. Some people have recurring bouts of diverticulitis. Symptoms of diverticulitis include:
- A constant pain in the abdomen. It is most commonly in the lower left side of the abdomen, but can occur in any part of the abdomen. Indeed, in people of Asian origin, it sometimes occurs on the right side.
- High temperature (fever).
- Constipation or diarrhoea.
- Some blood mixed with your stools.
- Feeling sick (nauseated) or being sick (vomiting).
Obstruction, abscess, fistula, and peritonitis
An infected diverticulum (diverticulitis) sometimes gets worse and causes complications. Possible complications include:
- A blockage (obstruction) of the colon.
- A collection of pus (abscess) that may form in the abdomen.
- A channel (fistula) that may form to other organs such as the bladder.
- A hole (perforation) in the wall of the bowel that can lead to infection inside the abdomen (peritonitis).
Surgery is usually needed to treat these serious but uncommon complications.
Bleeding
A diverticulum may occasionally bleed and you may pass some blood via your back passage (anus). The bleeding is usually abrupt and painless. The bleeding is due to a burst blood vessel that sometimes occurs in the wall of a diverticulum and so the amount of blood loss can be heavy. A very large bleed requiring an emergency blood transfusion occurs in some cases. However, the bleeding stops on its own in about 3 in 4 cases. Sometimes an operation is needed to stop the bleeding. Sometimes just a slight bleed occurs.
Note: always report bleeding from the bowel (via your anus) to a doctor. You should not assume bleeding is from a diverticulum. Other more serious conditions such as bowel cancer need to be ruled out.
What is the treatment for diverticulosis?
As diverticulosis means diverticula with no symptoms, there is no need for any treatment.
However, a high-fibre diet is usually advised. A high-fibre diet is generally considered a good thing for everyone anyway – whether you have diverticula or not. Adults should aim to eat between 18 and 30 grams of fibre per day. Fibre helps to make larger and softer stools (faeces) and helps to prevent constipation. Also, a high-fibre diet may prevent further diverticula from forming. This may reduce the risk of developing problems in the future with diverticula, such as diverticulitis. See the next section for more details of a high-fibre diet.
There is evidence that you may reduce your risk of developing symptoms if you:
- Stop smoking
- Exercise
- Lose weight if you are overweight or obese
What is the treatment for diverticular disease?
Diverticulosis diet
A high-fibre diet is usually advised as it helps to keep stools (faeces) soft and bulky and reduces pressure on the colon. It can ease pain, bloating, constipation and diarrhoea and prevents hard stools becoming lodged within the pouches. It can also help to prevent the formation of further diverticula, which may reduce the risk of the condition getting any worse.
We need about 18 g of fibre each day, which should come from a variety of high-fibre foods. You may have symptoms of wind and bloating if you suddenly increase the amount of fibre you eat. Any increase should be gradual to prevent this, and to allow your gut (intestine) to become used to the extra fibre. A useful guide is to make one change every few days. For example, start by swapping white bread for wholemeal bread. Introduce something new every few days, such as adding beans or extra vegetables to a casserole or Bolognese, or having a piece of fruit for pudding.
High-fibre foods to include:
- Whole grains, fruit and vegetables.
- Wholemeal or wholewheat bread and flour (for baking).
- Wholegrain breakfast cereals such as All-Bran®, Weetabix®, muesli, etc.
- Brown rice and wholewheat pasta.
- Wheat bran.
- Beans, pulses and legumes.
Meeting the government recommendation of eating at least five fruit and vegetable portions each day will make sure that you are well on your way to getting plenty of fibre. A portion is about 80 g or what roughly fits in the palm of your hand. Apples, pears, oranges, blueberries, strawberries, broccoli, asparagus and dried figs are all excellent fibre sources.
Fibre supplements may be advised if a high-fibre diet does not ease symptoms. Several types are available at pharmacies, health food shops, or on prescription. A pharmacist will advise you. Although the effects of fibre supplements to ease symptoms may be seen in a few days, it may take as long as four weeks.
Note: some people have a different response to fibre than others. So it is very much trial and error as to what is most suitable for you. Some people report that a high-fibre diet or certain fibre supplements cause some persistent mild symptoms such as mild pains and bloating. This may be to do with the type of fibre being consumed. Insoluble fibre, found in cereals, wheat bran and nuts, may cause more wind and bloating. Eating a lot of bran-based foods or taking bran supplements can particularly aggravate symptoms in some people. Therefore, it may be helpful to have more soluble fibre (the type of fibre that can be dissolved in water), found mostly in fruit and vegetables. However, many foods contain both types of fibre, so when introducing a new high-fibre food, monitor your symptoms and adjust your diet accordingly.
- Dietary sources of soluble fibre include oats, ispaghula (psyllium), nuts, flax seeds, lentils, beans, fruit and vegetables. A fibre supplement called ispaghula powder is also available from pharmacies and health food shops.
- Insoluble fibre is chiefly found in corn (maize) bran, wheat bran, nuts and some fruit and vegetables.
A separate leaflet called Fibre and Fibre Supplements gives more details on a high-fibre diet.
Fluids
You should have lots to drink when you have a high-fibre diet or fibre supplements. Aim to drink at least two litres (about 8-10 cups) per day. Try to obtain your fluid intake mainly from water, but tea, coffee and herbal teas all contribute. Fizzy drinks and juice drinks contain a lot of sugar so try to limit these. If you want to include fruit juice, one 150 ml glass each day only counts as a portion of fruit. Choose varieties that are 100% fruit juice and do not contain added sugar.
Paracetamol
Paracetamol can ease pain if a high-fibre diet or fibre supplements do not help so much to ease pain. Other types of painkiller are not usually used for diverticular disease. Anti-inflammatory drugs (NSAIDs) and opioid medicines should particularly be avoided as these can cause perforation.
Antispasmodics
Your doctor may prescribe antispasmodics such as mebeverine if you have persistent abdominal spasms.
What is the treatment for diverticulitis?
When symptoms are not too severe
If you develop diverticulitis you may need a course of antibiotic medicine if you feel generally unwell. Follow the diverticulosis diet recommendations unless otherwise advised by your doctor. You may need some strong painkillers for a while. If the infection is not too severe then symptoms may well settle with this treatment.
Diverticulitis – when to go to hospital
If symptoms are severe or prolonged then you may need to be admitted to hospital. You may be given fluids directly into a vein via a drip (intravenous fluids). Antibiotics may be required, either in tablet form or intravenously. You may also need to have painkilling injections. You may also be admitted to hospital if the symptoms are not too severe but do not settle after a couple of days of treatment at home.
If complications develop
As mentioned earlier, some people with diverticulitis develop complications such as:
- Bowel blockage (obstruction).
- A collection of pus (an abscess).
- A channel (fistula) that may form to other organs.
- A tummy (abdominal) infection (peritonitis).
Surgery is usually needed to treat these serious but uncommon complications. For example, surgery is sometimes needed to drain an abscess or to remove a badly infected part of the colon.
Treatment of bleeding diverticula
As mentioned earlier, a large bleed requiring an emergency blood transfusion sometimes occurs in people with diverticula. However, the bleeding stops on its own in about 3 in 4 cases. Sometimes an operation is needed to stop the bleeding.
A final note
See a doctor if you have a change in the pattern of your toilet habit. For example, a sudden change from your normal bowel habit to persisting constipation or diarrhoea, passing blood or mucus, or new pains. Even if you are known to have diverticula, a change of symptoms may indicate a new and different gut (intestinal) problem. Call an ambulance urgently if you have a large amount of bleeding from the bowel.
Diverticulosis & Diverticulitis – Jackson Siegelbaum Gastroenterology
Updated 09/19/2018
Category: Condition
To understand diverticulosis, it is helpful to know about the anatomy and function of the intestine. The small intestine is the long, thin segment of bowel that begins at the stomach and ends at the large intestine or colon. The colon starts in the right lower abdomen and forms a large question mark across the entire abdomen ending in the rectum. Just above the rectum is the sigmoid (S-shaped) part of the colon. Liquid stool enters the right colon and, as it moves through the colon, is dehydrated so that a formed stool eventually enters the rectum.
The Sigmoid Colon
The sigmoid colon has the specialized job of contracting vigorously to maintain a high pressure. This action regulates the movement of stool into the rectum. And since the sigmoid is a high pressure part of the colon, it is here that most diverticula occur.
Diverticulosis
Diverticulosis means that there are pockets or projections extending out from the colon. These occur very gradually over a long period of time. They occur along the natural weak points in the bowel wall.
The pockets develop because of the pressure exerted within by the contracting colon. As noted earlier, since the sigmoid colon has the highest pressure in the colon, it is here that most diverticula occur. Because of these bubble-like projections, the sigmoid often becomes thickened and narrowed. When this happens, significant changes in the bowel function can occur, such as discomfort, diarrhea, and/or constipation.
Who Gets Diverticulosis?
Since it takes so long to develop, diverticulosis usually appears later in life. However, it is not uncommon to see this occur in people who are in their 30s. Eventually the colon, especially the sigmoid colon, becomes studded with these pockets. The disorder is mostly one of Western society. It is uncommon in rural Africa and India. The diet in these areas consists of unprocessed foods and grains with a very high fiber content. So, increased fiber ingestion may have great benefit.
Symptoms of Diverticulosis
As diverticula form, few symptoms are noticeable, except perhaps for intermittent spastic discomfort in the left lower abdomen. Usually, there are no symptoms at all.
When diverticulosis is far advanced, the lower colon may become very fixed, distorted, and even narrowed. When this occurs, there may be thin or pellet-shaped stools, constipation, and an occasional rush of diarrhea. The problem then becomes a mechanical or structural one, and treatment is more difficult.
Complications of Diverticulosis
It is, perhaps, remarkable that so few people have complications of diverticulosis when compared with the number of people who have the condition. Still, complications do occur and they can be serious. Diverticulitis is the most common.
- Diverticulitis: Like a balloon, as a diverticulum expands, it develops a thin wall compared with the rest of the colon. The colon is home to many beneficial bacteria — helpful as long as they stay in the colon. However, these bacteria can seep through the thin wall of diverticula and cause infection. This infection around diverticula is called diverticulitis. It can be mild with only slight discomfort in the left lower abdomen. Or it can be quite extreme with severe tenderness and fever. Treatment is usually needed for diverticulitis. It requires antibiotics and resting of the bowel by avoiding food or, at times, even liquids. For severe cases, the patient must be hospitalized.
- Bleeding: At times, bleeding can occur from a ruptured blood vessel in diverticula. This may produce a gush of blood from the rectum or, occasionally, darker, mahogany color stools when the bleeding is from a diverticulum in the right colon.
- Perforation: This complication of diverticulosis is the most uncommon but the most serious. It may follow severe diverticulitis. Bacteria escape into the abdomen where peritonitis, or an abscess, can develop. Abdominal surgery usually is required to correct this problem.
Summary
Diverticulosis is a disorder that may be preventable if treated early in life. At any stage, there is usually effective therapy available. Diverticulitis, a complication of diverticulosis, can be readily diagnosed by the physician and effective therapy is available. Working with the physician, prevention and treatment programs can be structured to obtain the best results for the patient.
What Is Diverticulitis? | Symptoms & Causes
Diverticulitis usually refers to inflammation or infection of colonic diverticula, pouches that form in the wall of the colon. But, a diverticulum can develop anywhere along the digestive tract, from the esophagus to the colon. In fact, diverticula can form along the wall of any hollow organ.
Types of diverticulitis and diverticula include:
- Colonic diverticulum and diverticulitis, which occur in the large bowel, or colon
- Bladder diverticulum and diverticulitis, which occur more frequently in males and rarely cause symptoms
- Esophageal diverticulum and diverticulitis, which occur anywhere along the esophagus from the throat to the stomach
- Meckel’s diverticulum and diverticulitis, which occur in the small intestine and are present at birth. (Diverticulitis is a complication of the diverticulum.)
Meckel’s diverticulitis
Meckel’s diverticulitis is inflammation or infection of a congenital diverticulum in the small intestine. A Meckel’s diverticulum is present at birth, from leftover remnants of the fetal umbilical cord. It occurs in 2 to 3% of the population, but is more common in children born with defects of the umbilicus (navel), digestive tract, nervous system, and cardiovascular system. Symptoms of Meckel’s diverticulum include:
Complications of Meckel’s diverticulum include:
- Bleeding from ulcers in the small intestine, which is due to secretion of stomach acid from the diverticulum
- Diverticulitis (Meckel’s diverticulitis), which is more common in older than younger children
The prognosis for Meckel’s diverticulum is good. Most people do not know they have a Meckel’s diverticulum because it seldom causes symptoms. If symptoms or complications develop, a surgeon can remove the diverticulum and suture the ends of the small intestine together.
Esophageal Diverticulitis
Esophageal diverticulitis is inflammation or infection of a diverticulum in the esophagus. Esophageal diverticula are rare and typically diagnosed in the elderly. Esophageal diverticula can form in an area of the esophageal wall that has been weakened by another condition of the esophagus. External pressure can also cause a diverticulum. There are three areas where diverticula occur along the esophagus:
- Back of the throat (pharyngoesophageal), known as a Zenker’s diverticulum
- Mid-chest (mid-thoracic) diverticulum
- Above the diaphragm (epiphrenic) diverticulum
Most people with an esophageal diverticulum do not notice symptoms. When symptoms occur, they include:
- Cough from food stuck in the diverticulum
People who are asymptomatic do not need treatment for an esophageal diverticulum. Zenker’s diverticulum is more likely than the other two types to cause symptoms requiring treatment, which is usually surgery to remove the defect. Nonsurgical management includes changing the way you eat. Drinking water after every bite will help move food out of the diverticulum and down the esophagus to the stomach.
A tear in the diverticulum can lead to esophageal diverticulitis, which is very rare. Only a few cases have been officially documented. Symptoms of esophageal diverticulitis include fever, chills, chest pain, and persistent difficulty swallowing. Treatment includes intravenous antibiotics and possibly surgery.
Bladder Diverticulitis
Diverticulitis of a bladder diverticulum is a rare condition, with few cases formally identified. (The bladder is considered a sterile organ, which decreases the risk of infection.) Bladder diverticula do not usually cause symptoms. However, a diverticulum may bleed causing blood in the urine (hematuria), become infected, or cause urinary retention. A perforation, or tear in the bladder diverticulum could lead to inflammation or infection.
90,000 Blood in the stool is a symptom of what disease?
Most often, the symptom of blood in the feces manifests itself in the following diseases:
Blood in the feces – a sign that should not be dismissed. Its presence may indicate a serious illness that requires adequate treatment: the earlier it starts, the more chances of success. The causes of admixture of blood in the stool are bleeding, which can be triggered by a wide range of factors.Blood enters the anus and goes out with the feces: this happens due to a violation of the integrity of the blood vessels in the intestine or lower gastrointestinal tract. As a rule, the losses are small, but nevertheless they are a reason for seeking professional proctological help.
According to medical statistics, rectal bleeding accounts for about a quarter of all bleeding cases from the anatomical structures of the gastrointestinal tract. Most often they are diagnosed in elderly patients, however, experts emphasize that the risk of such a phenomenon increases from the age of thirty and is constantly growing.The diseases that caused them are treated by gastroenterologists or proctologists.
Causes of feces with blood
Feces with blood is a symptom of a number of diseases of the intestines and lower gastrointestinal tract of an oncological, inflammatory or infectious nature. Experts divide the initiating factors that cause bleeding into several groups:
| Group of reasons | What are they? |
| Malignant neoplasms | Most often, they are represented by colorectal cancer, even in the initial stages of which small impurities of blood may appear.If the neoplasm was not treated and it disintegrated, serious blood loss is possible due to the melting of large blood vessels. |
| Pathological conditions characterized by the proliferation of the mucous membrane of the large intestine | Abnormal growths include polyps, which are one of the most common causes of blood in the stool. This is especially true for the villous type of polyps, since they are rich in blood vessels. |
| Chronic bowel and anus diseases |
|
| Infection and poisoning |
|
| Congenital and acquired malfunctions in local blood circulation | Deficiency of blood circulation or its violation in the pelvic and abdominal region, leading to the development of angiodysplasia or intestinal ischemia. |
| Complications of various diseases |
|
Symptoms of bloody stool
Blood in the feces of an adult can be found in minimal, small, medium and large volumes and have a different character, which is due to the underlying disease.
| Disease | Symptoms |
| Cracked anus | Blood is present in small volumes and has a deep red color.During bowel movements, the patient experiences severe pain. |
| Hemorrhoids | Symptoms are similar to those described above, but there is no pain. The blood has a deep red color, but dark burgundy clots are also possible. |
| Diverticulitis | The blood can have a rich scarlet color if the sigmoid colon is affected, and very dark – with a disease of the sections located on the right.In addition to it, there is pain in the abdomen and fever. |
| Polyps | Bleeding is of low intensity and is found against the background of painful symptoms in the abdomen, as well as stool disorders. With frequent repetition, it can lead to the development of anemia. |
| Colorectal cancer | An admixture of blood is detected in the form of streaks or clots in feces and at the initial stages of neoplasm development and has a small volume.However, if the neoplasm has disintegrated, the latter may enlarge. Other symptoms: pain in the abdomen, stool disorders, anemia and other manifestations of oncology. |
| Proctitis and colitis | Blood and mucus in feces in an adult appear along with pus. Their admixture is small, but it can increase with advanced forms or during an exacerbation of chronic diseases. |
Diagnosis of blood in the stool
The presence of a problem is determined by the attending physician, based on the patient’s complaints, taking anamnesis, and also the results:
- rectal examination;
- general blood test;
- fecal occult blood test ;
- colonoscopy or rectoscopy.
In order to determine the underlying disease, the appearance of which is blood in the feces, instrumental diagnostic methods are used:
- Computed tomography;
- Radiography with and without contrast;
- Angiography;
- Biopsy.
Blood in feces: treatment
Treatment of such a symptom as feces with blood is carried out individually, taking into account the underlying pathology and profuse bleeding.If it is insignificant, the doctor may prescribe a special diet that excludes stool disturbances and tight bowel movements. However, if blood appears systematically, anemia will need to be treated.
In any case, the underlying pathology is treated. However, if blood loss is significant, surgery and measures to restore the lost blood volume may be required. Also, good results are obtained by endoscopic techniques using a laser, coagulation, application of hemostatic agents.
Prevention and prognosis of blood in feces
Preventive measures provide for the timely diagnosis and adequate treatment of pathological conditions that cause such a symptom as an admixture of blood in the feces. As for the prognosis, it is due to the volume and intensity of blood loss. Often, bleeding stops on its own and no longer manifests itself, without causing serious negative changes in the patient’s condition.
To find out the cause of rectal bleeding and undergo a course of treatment for the underlying disease in Moscow invites the network of clinics “Doctor near”.Our clinics are located in different districts of the capital and are equipped with the latest technology. They have a powerful diagnostic base that allows you to accurately and quickly determine the cause of the anomaly and determine the ways to eliminate it.
We employ proctologists with many years of practical experience. They are familiar with the symptom of blood in the stool and know how to treat the pathological conditions that cause it. After diagnostic measures, they will develop the optimal treatment tactics, which will certainly allow to achieve the desired effect: eliminate the disease and improve the patient’s quality of life.
You can sign up for a consultation with our specialists by filling out and sending us the online form presented on the website, or by contacting our operators: +7 (495) 154-92-31!
Online consultation of a coloproctologist – page 3
Good afternoon! A year and a half ago, I had an operation to remove the uterus and ovaries, I had a polyp with atypical hyperplasia, after histology, atypical hyperplasia was not confirmed, they said everything is fine, but after the operation problems began with going to the toilet in large measure, and the bladder became hyperactive, drinking a lot I can’t eat water and eat sour, the urinary immediately becomes inflamed, I went to the gynecologist, I did an ultrasound of the urinary, they said everything well, I drank valerian, calmed the urinary, then external hemorrhoids appeared, then it was acute, then it seemed like it was treated, and this year I have May, a burning sensation and pain in the anus began, after constipation, then I took Forlax to loosen the stool, and the stool became frequent, as you eat immediately pulls to the toilet and from frequent walking it still hurts even more, on June 1 I was at our proctologist and he said that this is a crack, prescribed treatment with oil microclysters before going to the toilet and candles posterizan 2 times a day, dietary fiber, but against the background of enemas of oil and dietary fiber again I constantly started pulling to the toilet as I was eating, boiling in my stomach and pinching the wound became more sensitive, I dropped everything, ate carrots, zucchini, buckwheat, light food, the pain seemed to have calmed down, but it doesn’t go away to the end, I’m already on a nervous system and on a diet 5 I threw off kg of weight in a month, I don’t know what to eat, I feel nauseous, I made an appointment for July 7 at your clinic to A. Derinov.A., but I wanted to know what other candles I could try to eliminate the pain after the toilet, I was tired of enduring, but so that the candles did not cause frequent trips to the toilet. Now in the morning I go to the toilet myself in the morning easier, then until the evening after eating I restrain the urge, but still in the evening sometimes I still go to the toilet, I have to push harder than in the morning for some reason, although the feces are not solid and then the pain begins, as it went once in a day, immediately the pain becomes less. I don’t know what it depends on, I eat almost the same thing.And I also noticed that sour milk also causes irritation, so I drink milk with pumpkin.
Named symptoms and methods of treatment of Meckel’s diverticulum disease | HEALTH: Details | HEALTH
The organs of the abdominal cavity can have various anomalies, both congenital and acquired. It is very common to find a congenital anomaly in the development of the ileum called Meckel’s diverticulum, which occurs in about 2% of the population of Kazan.
A diverticulum is a saccular bulge of the mucous membrane, as well as the submucosa in the muscularis region of the digestive tract.Meckel’s diverticulum looks like an oblong sac. This anomaly was named after the German anatomist biologist Friedrich Meckel.
If symptoms appear, call a doctor immediately. The main symptoms include abdominal pain, vomiting, blood in the stool, and internal bleeding. Most often, Meckel’s diverticulum is discovered by chance, as a rule, during an operation associated with the removal of the appendix, since their symptoms are quite similar. If it is found during the operation, it is deleted.
In the case when the Meckel diverticulum was diagnosed earlier, and only then the inflammation began, then, first of all, it is necessary to block the path of various complications by prescribing a special diet to the patient (the food should contain fibrous substances, it should not cause bloating). These are general recommendations that can be given by the city hospital №16 of Kazan.
Since Meckel’s diverticulum is a congenital anomaly, you cannot do anything on your own. If there is a sharp pain in the lower abdomen, the beginning of vomiting, or the appearance of blood in the stool, you should immediately consult a specialist.
These symptoms are characteristic not only of this disease, so the doctor, first of all, will try to determine the cause of the ailments.
He will examine the intestines and stomach using endoscopy and radiography. When diagnosing a Meckel diverticulum, the doctor, taking into account the nature of the disease, will prescribe the required treatment. As a rule, surgery is performed, namely, its excision and suturing of the intestinal wall. Such operations are successfully carried out by the city hospital №7 of Kazan
What is diverticulitis and how to treat it
Diverticulosis and diverticulitis are two conditions that are collectively known as diverticular bowel disease .The first means the presence of diverticulums, and the second means their inflammation .
Diverticular disease affects every third adults aged 50 and under, every second after the age of 60 and almost everyone after 80. True, not all of them know about it.
What are diverticula
These are bulges – a kind of “sacs” that form in the intestinal wall when it weakens for some reason. They most often occur in the lower colon.
Illustration: Designua / Shutterstock
Intestines with diverticula do not look very pleasant (people with hypersensitivity should not look).
Photo: Juan Gaertner / Shutterstock
Show image
Hide image
As a rule, the presence of a diverticulum itself is not a problem. People have no idea how strange their intestines look. Only a few have symptoms :
- pulling slight pains in the abdomen – in the area where there are diverticula;
- bloating that occurs from time to time;
- regular constipation.
However, these signs cannot be diagnosed as they are common to many gastrointestinal disorders, including irritable bowel syndrome, celiac disease, appendicitis, gallstones, and stomach ulcers.
What are the symptoms of diverticulitis
It occurs when the diverticula becomes inflamed. In this case, the symptoms of diverticular disease are much more obvious:
- Pain. It usually appears in the lower left abdomen and may be mild but intensify day after day.And it can appear abruptly and suddenly.
- Temperature rise.
- Nausea, sometimes up to vomiting.
- Chills.
- Cramps in the lower abdomen.
- Stool disorders – often constipation, but also diarrhea.
- Rectal bleeding is possible.
If you experience this combination of symptoms, call your doctor immediately or, depending on how you feel, call an ambulance.
To make an accurate diagnosis of , your doctor will ask you about your symptoms, feel your stomach, specify how often you eat and defecate, and what medications you are taking.In addition, additional tests may be needed, such as blood and stool samples, and a CT scan of the intestines or colonoscopy.
Why diverticulitis is dangerous
In about 25% of cases it can lead to serious complications:
- Abscess. It occurs due to the accumulation of pus in the diverticulum. This is not only painful, but also dangerous: microorganisms from a purulent focus can enter the bloodstream and cause sepsis, which often leads to death.
- Intestinal obstruction.
- Intestinal fistula.
- Peritonitis. It is caused by the rupture of the inflamed diverticulum, due to which the contents of the intestine enter the abdominal cavity.
How to treat diverticulitis
Treatment depends on how severe the symptoms are.
If the inflammation of the diverticulum is small and does not threaten them with rupture or impaired intestinal patency, the doctor will recommend that you rest more, eat only liquid food for several days and prescribe antibiotics.You can be treated at home.
If you have complicated diverticulitis, you will be hospitalized. You will need intravenous antibiotics and other procedures to cope with complications, up to and including surgery on the intestines.
Where does diverticular disease come from
Why diverticula appear, scientists do not know exactly. It is assumed that diverticulosis, as well as its direct consequence, diverticulitis, may be caused by a combination of genetic characteristics and lifestyle.
Here are some factors associated with an increased risk of inflammation:
- Older age, especially after 60 years.
- Obesity.
- Smoking.
- Lack of physical activity.
- A diet high in animal fat and low in fiber. If you like fatty meats combined with carbohydrates such as spaghetti or potatoes and ignore vegetable salads and fruits, your risk of diverticulitis is higher.
- Regular use of certain medications, including some over-the-counter pain relievers such as ibuprofen.
How not to get sick with diverticulitis
There is no guaranteed way to protect the intestines from the appearance of diverticulums. But risks can be reduced.
Exercise regularly
Physical activity is essential for normal bowel function. In addition, exercise reduces pressure in the colon: as a result, its walls are not exposed to unnecessary stress and protrusions do not appear on them.Try to exercise (jogging, swimming, gymnastics) for at least 30 minutes a day.
Eat more fiber
Fiber-rich foods – fresh fruits, vegetables, whole grains – soften stools and help them pass through the colon more easily without stressing the intestinal walls.
Drink plenty of fluids
This is a good prevention of constipation. Eight glasses of water a day is not entirely accurate, but close to ideal.
Quit smoking
Smokers develop diverticula more often and earlier than non-smokers.Try to quit smoking.
Read also 😟🚑💊
Blood in the stool. Diagnostics and treatment in Rostov-on-Don
Finding blood marks on stool, toilet paper, underwear, or the surface of the toilet after a bowel movement is unpleasant news. In this case, a person may not feel pain or other symptoms of deterioration in health.Spotting can be scarlet or darker in color. This symptom signals damage to the walls of the intestines or blood vessels, which means that you cannot do without a medical examination.
Blood in the stool: how serious is it
The intensity of bleeding, the type of discharge, accompanying symptoms in combination with examination and examination will help to establish the cause of the trouble and eliminate it with minimal discomfort for the patient. The presence of blood in the stool is a common symptom that may indicate an exacerbation of an existing disease or the appearance of a new problem.
Causes of bloody discharge
There are many reasons for the formation of this unpleasant symptom. Often, blood in the stool can appear in conjunction with other symptoms of the disease. It is quite rare that blood is the only symptom.
The most common cause of bleeding is trauma to the rectal mucosa. If the problem has developed deeper, then the color of the spotting is brown or almost black.
- Ulcerative colitis is a manifestation in which blood can be observed in the form of streaks in liquid and hard stools. It is also characterized by the presence of mucus, pus. Symptoms of intoxication, hyperemia may accompany.
- Hemorrhoids are also a possible manifestation, but the shade of the blood will be dark, venous, the bleeding will remain on top of the stool, without impurity. In addition, the patient feels itching and burning, a feeling of bloating.Externally, hemorrhoids increase in size.
- The fissure of the anus will also announce itself as bloody traces. Bleeding is small, characterized by a bright scarlet hue, does not mix with feces.
- Malignant neoplasm in the rectum: cancer is the most unpleasant diagnosis. There may be a complication in the form of intestinal obstruction or perforation of the wall with fecal peritonitis. Blood speaks of vascular damage.
- Proctitis is an inflammatory process with the formation of abscesses.
- Crohn’s disease – diarrhea, rashes, fever, mouth ulcers. Sore joints, abdominal pain, blurred vision. Pus and mucus are present in the blood feces.
- Rectal polyps are benign growths that can be injured by hard stools.
- Ischemic colitis, rectal diverticulosis – manifested by profuse bleeding. The pain is severe, acute.
- Dysbacteriosis – Clostridia kicks disrupt the integrity of the mucous membrane, causing the presence in the feces.
- STDs – blood can be found both inside the stool and on the surface.
- Intestinal infections – in addition to blood, loose stools will contain impurities of pus and mucus. Pain in the projection of the intestine, as well as signs of severe intoxication.
It is recommended to observe the body: the appearance of blood only once, provided that it is not mixed with feces, but is present only on the surface. In case of constipation, it may indicate a micro-rupture of the tissues of the anus due to hard feces.If the situation does not repeat itself, then visiting a specialist is not necessary.
If there is a suspicion that the injury is serious, for example, as a result of sexual experiments, the condition worsens, you feel discomfort when visiting the toilet – contact your proctologist to prescribe adequate treatment.
If there is a suspicion of occult blood, an analysis should be done as soon as possible. This is how serious diseases can manifest themselves – stomach and duodenal ulcers, oncology.
Diagnostic methods
In order to find out the cause of the appearance of symptoms in the form of bloody discharge, a specialist proctologist will have to conduct an examination, take anamnesis, get the results of tests and hardware diagnostics.
Proctological care in Rostov-on-Don is provided to patients in planned and emergency cases.
- Patients admitted with bleeding threatening life and health receive first aid to relieve pain, normalize their condition, after which they undergo a full examination.
- Those who come with complaints of bleeding should be prepared for examination directly by a doctor, rectal examination of the lower parts of the rectum, sigmoidoscopy.
The proctologist will prescribe an analysis of feces for the presence of helminth eggs, occult blood, coprogram. Colonoscopy is the gold standard in proctology and can detect most problems with the large intestine. Also, an ultrasound examination and a radiograph of the gastrointestinal tract will be informative.
If, after examination, the proctologist suspects that the cause of the appearance of blood lies in the upper intestines, the patient will be referred for additional examination to a gastroenterologist.
After questioning and palpation, the gastroenterologist will issue a referral:
- Ultrasound of the small intestine and stomach;
- fibrogastroduodenoscopy.
Further algorithm of medical actions will be based on the results obtained. It is important for the patient to understand that it is a comprehensive examination that will allow to see the real cause of unpleasant symptoms.
Preparation for examinations
Proctological diagnostic procedures for the most part imply a preliminary release of the intestine and adherence to a diet.The doctor recommends which foods to exclude from the diet 2-3 days before the examination in order to eliminate increased gas formation and drugs that, in addition to enema, will contribute to high-quality emptying.
If the insertion of probes and manipulations that can be painful are involved, the doctor will select the option of local anesthesia that will allow the procedure to be carried out comfortably. The main thing is to follow the doctor’s recommendations exactly and, if there are complaints, contraindications, report them before starting the manipulations.
Principles for the treatment of proctological diseases with blood in the feces
Since the presence of blood in the feces is a symptom of a large number of diseases, the decision is made on the basis of the diagnostics performed and can be conservative, surgical and complex. Most patients are afraid of surgery, which can delay the visit to the doctor.
It is important to understand: the earlier you get an appointment with a proctologist, the less damage will be caused to your health by progressive pathology.
Conservative treatment
Includes the use of drugs in tablets for oral administration, as well as topical ointments, suppositories, creams. Unfortunately, not all proctological problems are amenable to therapy and are solved by changing the diet. However, if necessary, relieve inflammation, anesthetize, and provide a wound healing effect, it is used.
Surgical
The only effective remedy for hemorrhoids, polyps, rectal fistulas.Excision of pathologically altered tissues allows you to restore the integrity of the mucous membrane and intestinal function.
Modern surgery uses more than just a scalpel:
- radio wave techniques;
- laser treatment.
Hardware surgery in proctology significantly reduces the rehabilitation period and allows you to eliminate the problem focus locally, without touching healthy tissues.
Complex treatment
This approach allows not only to eliminate the root cause of the disease, but also to carry out high-quality rehabilitation, which will further exclude relapses.For example, in the treatment of hemorrhoids, venotonics, anticoagulants, rectal suppositories to facilitate defecation, venosclerosis can be used, and in the case of advanced hemorrhoids, the nodes are removed surgically with a further prescription for changing the diet.
Preventive methods
The best treatment is to prevent the development of the disease. There is no way to directly prevent blood in the feces, but you can reduce the risk of developing diseases associated with this symptom.
- Establish a diet and eat a balanced diet, without heavy, junk food.
- Eat fractionally, the last meal should be at least 3 hours before bedtime.
- Drink enough water to keep stool hydrated as it passes through the intestines.
- Maintain a healthy immune system, do gymnastics so that natural peristalsis remains normal.
- In case of a tendency to gastrointestinal diseases, undergo examinations regularly, once a year.
- The risk group includes people with gastrointestinal diseases, hemorrhoids, family history of cancer, pregnant women, patients with low immunity, the elderly and middle-aged people who work in offices and in heavy production.
It is important to remember that it is the combination of a responsible attitude to nutrition, an active lifestyle and the rejection of bad habits that eliminate the prerequisites for the development of problems associated with rectal and intestinal bleeding.Intestinal infections and parasites that enter the body if sanitary standards are not followed, not only poison the body, but can undermine the immune system for many years.
Unhealthy food abuse also affects gut health and microflora. In Rostov-on-Don, patients have every opportunity to prevent the appearance of unpleasant symptoms, as well as to receive qualified help from proctologists. Timely diagnostics and well-designed treatment contribute to a speedy recovery.
You may also be interested in hemorrhoid treatment
The author of the article is a doctor proctologist
Edelgeriev Magomed Omarovich
- Make an appointment now
Make an appointment by calling
(863) 227-72-72
or by filling out the online form.
Order a call ← Our specialists can call you back at a convenient time for you. The call is free!
previous article
next article
Blood in stool
Blood in the stool (medical: hematochezia, melena) is seen by most patients as something terrible. If you notice blood in your stool, you should not be afraid of the worst, but you should immediately consult a doctor. Potential causes of bloody stool include gastrointestinal infections, colon polyps or hemorrhoids, stomach ulcers, or chronic inflammatory bowel disease. In order to exclude the diagnosis of malignant diseases, such as bowel cancer, it is necessary to immediately conduct appropriate research in the clinic. Below you will find all the important information about the symptom “blood in the stool”.
Blood in stool: Description
Blood in the stool indicates that the body is losing blood somewhere inside the gastrointestinal tract, which is then found mixed with the stool. The color and consistency of the admixed blood can serve as an almost reliable indication of where the source of the bleeding is.
Blood in the stool does not necessarily occur as a bright red or dark red bloom or impurity; in fact, it can stain the stool black. The corresponding manifestations in this case depend on the height of bleeding in the digestive tract, since the state of the blood changes upon contact with gastric juice and as a result of processing by microorganisms.
Red blood in the stool (hematochezia)
If the blood in the stool is bright red or dark red, in the form of impurities or streaks, then the blood is relatively fresh.This type of blood in the stool is called hematochezia. The source of bleeding is most likely in the middle or lower parts of the gastrointestinal tract (GIT), because the blood could not be destroyed in large quantities by either gastric hydrochloric acid or bacteria.
If the stool is evenly colored dark red, this may indicate, for example, large intestinal bleeding. With slight bleeding in the stool, jelly-like traces of blood are observed.
In turn, light red streaks may indicate fresh bleeding in the rectal area, such as hemorrhoids.
Black blood in stools (melena, tarry stools)
If stool is black and shiny, then we are talking about the so-called tarry stool (melena). With bleeding in the upper gastrointestinal tract, that is, from the esophagus to the duodenum, hemoglobin in the blood at contact with gastric juice decomposes to hematin . This hematin causes black stools , and in the event of vomiting, the vomit may resemble coffee grounds.
Black stool most often indicates that the source of bleeding is above the small intestine and is caused by either a stomach ulcer or bleeding in the esophagus.
Since intestinal bacteria also cause the breakdown of hemoglobin into the pigment hematin during prolonged contact with blood, the black color of feces may not necessarily be the result of bleeding in the upper gastrointestinal tract. With a slow passage of chyme (intestinal contents), melena can cause bleeding deeper.
Under certain circumstances, a highly located bleeding in the gastrointestinal tract, on the contrary, can lead to hematochezia, both with a decrease in gastric acid secretion due to medication, and with severe bleeding, when the chyme quickly passes through the intestines.
Occult blood in the stool
It may also turn out that although blood is present in the stool, it is not visible. Then we are talking about hidden blood. In most cases, it is discovered by chance during a routine examination or during a targeted examination with a known damage to the digestive tract.
Since blood cannot be detected with the naked eye, the guaiacol test is used to detect blood in the stool (hemocult test), which can be detected even in small quantities.
Cases that are confused with blood in the stool
After eating certain foods, the stool may look like it contains blood. This is due to the use of red beets, which stains the stool in a dark red color, which is found in hematochezia.Blueberries color the stool black, similar to licorice, so that when viewed, it is perceived as melena.
Also, some medications can give stools black color (for example, activated charcoal or iron preparations).
Blood in the stool: Causes and possible diseases:
Various possible causes of the appearance of blood in the stool, causing bleeding in the gastrointestinal tract, are considered. These include bleeding from the oropharynx, esophagus, stomach, small and large intestines, and anus.In principle, bleeding can occur in each department, while the frequency and significance of various causes vary.
Blood in stool with bleeding in the upper digestive tract
- Ulcers in the stomach and duodenum, often caused by Helicobacter pylori bacteria or prolonged use of certain medications such as aspirin, are the most common causes of upper gastrointestinal bleeding.
- Chronic heartburn can, when ingested by gastric juice, lead to inflammation of the esophagus (reflux esophagitis) and, as consequence , to bleeding.
- In certain liver diseases, redistribution of venous blood flow occurs, which causes varicose veins of the esophagus. These dilated veins easily rupture and cause severe, often life-threatening bleeding.
- After profuse vomiting, extended tears of the mucous membrane may occur at the junction of the esophagus into the stomach. Then we are talking about the Mallory-Weiss syndrome, often found in alcoholics , whose mucous membrane was previously damaged.
- In conclusion, blood in the stool can also be a likely symptom of stomach cancer.
- In the mid-digestive tract, tumors of the small intestine are the most common cause of bleeding. Also in the large intestine, atypical growths can lead to the appearance of blood in the stool. They don’t have to be cancerous.
- Chronic inflammatory bowel disease such as Crohn’s disease or ulcerative colitis, especially in younger patients, can cause bleeding.While the latter only affects the colon and rectum, Crohn’s disease [may] affect the entire gastrointestinal tract. The exact causes of both diseases are unknown.
- Polyps are most often benign growths of the large intestine, which usually do not cause any problems, but with an increase in size, the risk of bleeding also increases. They can also develop into precancerous conditions, so that, starting from a certain size, they are mainly subject to removal.The consequence of such interventions, in turn, may be secondary bleeding.
- With diverticula, we are talking about the protrusion of the walls of the intestinal wall, which, if viewed from the inside, are small “pits”. Diverticula are most often formed and found in the large intestine. Depending on the circumstances, they can become inflamed (then we are talking about diverticulitis) and cause bleeding.
- Various infectious diseases of the intestine, ranging from common gastroenteritis to serious diseases such as typhoid or dysentery, can cause blood in the stool, most often in combination with passing.Also, excessive proliferation of bacteria that make up the natural intestinal microflora, for example, after [a course of] antibiotic therapy, can cause hematochezia. An example is pseudomembranous colitis.
- Bright red blood in the stool is common with hemorrhoids. This usually means a pathological increase in arteriovenous anastomoses under the rectal mucosa. During bowel movements, they are often damaged, resulting in a bloom of fresh, often bright red blood.
- In the elderly, so-called mesenteric infarctions often occur, that is, blockage of the intestinal vessels. In case of tissue damage to the affected areas, subsequent bleeding is possible.
Blood in the stool with bleeding in the middle and lower parts of the digestive tract
Blood in the stool: When do you need to see a doctor?
If you find blood in your stool, you should in any case consult a doctor.Despite the fact that most bleeding stops without medical attention on its own and that is often not a threat. Still, it is necessary to find out where the source of the bleeding is and whether there is a more serious disease behind it. Especially if you have other symptoms – for example:
- Pain in the stomach and abdomen.
- Pain during bowel movements.
- Nausea and vomiting (including in the presence of blood in the vomit).
- Prolonged lethargy and fatigue.
- Marked weight loss in a short time.
- Night sweats.
The visit to the doctor cannot be postponed.
In case of severe bleeding in the digestive tract after a certain period of time due to blood loss, anemia (anemia) may occur, which in any case requires treatment.
Blood in the stool: What does the doctor do?
If the blood in the stool is caused by acute bleeding in the gastrointestinal tract, resulting in severe blood loss, it is necessary first of all to replace the missing blood volume.If left untreated, this in the worst case can lead to spikovolemic shock – a life-threatening condition.
The patient is placed in a supine position, receives oxygen through a nasal tube and, as soon as possible, a blood substitute to replenish lost blood volumes. For large blood loss, blood transfusion is also performed.
Also, with chronic bleeding in the gastrointestinal tract for a long time, anemia may develop, the treatment of which is similar [to the treatment of acute blood loss].
History and research
If a patient goes to the doctor with complaints of blood in the stool, then in most cases the place of bleeding is unknown and must be established.
Medical history data can provide valuable guidance. So, for example, it can be important whether there was previously blood in the stool. It should also be clarified whether there were previously hemorrhoids, peptic ulcer disease, chronic inflammatory bowel disease, alcohol abuse or diverticula, that is, whether there are risk factors for gastrointestinal bleeding.Further studies are carried out in order to find the source of bleeding.
- Gastroendoscopy is of great importance, in which a gastric tube (gastroenteroscope) is inserted through the mouth and allows the doctor to assess the condition of the esophagus, stomach and duodenum with the help of an endoscope. When examining the large intestine (coloscopy), an endoscope is inserted into the rectum and can be inserted all the way to the end of the small intestine. With these examinations, many possible causes can be found, such as diverticulum, chronic inflammation, ulcers, esophageal varices, colon polyps, and other growths.For the study of hemorrhoids, rectoscopy is most often used. Although the nature of the blood in the stool, as well as possible previously established diseases, can indicate the position of the source of bleeding, it is still better to use gastroduodenoscopy, especially in cases where a specific lesion cannot be established.
Since during gastroduodenoscopy the source of bleeding cannot always be established and, in addition, it is not always possible to obtain sufficient data, in such cases additional research methods are used.
- Dual-ball enteroscopy allows you to examine the condition of the small intestine. In this case, the two balloons attached to the endoscope are alternately inflated so that they can be extended to the length of the endoscope. This examination is usually carried out in two stages – examination of the upper part of the small intestine with the introduction of a probe through the mouth, and the lower part through the anus.
- Meanwhile, there is also the possibility of video capsule endoscopy. In this case, the patient swallows a mini camera, which takes pictures at regular intervals.Thus, the small intestine is examined. However, this method takes time and does not allow the exact location of the source of bleeding to be established.
- Ultrasound can identify vascular obstruction as a possible cause of blood in the stool.
- Further, nuclear medicine techniques and selective arteriography can be used, which can only detect active bleeding.
- If an infection is suspected of causing blood in the stool, an attempt is made to identify the corresponding pathogen using stool and blood cultures.
Treatment measures
Treatment depends on the cause of the bleeding. First of all, of course, you should stop active bleeding, then it is necessary to prevent repeated bleeding, fighting the cause.
In order to stop active bleeding in the alimentary tract, various endoscopic techniques are primarily used. It is advisable that if a source of bleeding is detected during gastro- or colonoscopy, the cause of bleeding can also be eliminated by one of the following methods:
- Bleeding can be stopped, for example, with a hemoclips, a type of clamp that compresses the affected area.
- There are also injection techniques, in which an adrenaline solution is injected with a needle into the bleeding site, compressing the vessels, or the so-called fibrin glue can be injected.
- It is possible to use a laser that cauterizes the bleeding site.
- The source of bleeding can be microsurgically excised.
- Latex ligation is often used for esophageal varices and hemorrhoids.
When the bleeding has stopped, treatment is started to eliminate the cause of the disease:
- In case of peptic ulcer disease, an attempt is made to reduce the production of stomach acid with the help of certain medications (proton pump inhibitors, PPIs), and diet therapy can also be carried out.In the case of the colonization of Helicobacter pylori , a combination of various antibiotics is used.
- The cause of varicose veins in the esophagus is high pressure in the portal vein system, in connection with which they try to reduce it with the help of drugs (beta-blockers, spironolactone).
- Chronic inflammatory bowel disease requires special treatment, with the use of anti-inflammatory drugs – glucocorticoids.
- Diverticulitis is treated with antibiotics.If this is no longer possible, then the affected area of the intestine is removed.
- Intestinal polyps are usually removed as well.
- For malignant diseases, surgery, chemotherapy, and radiation therapy are considered.
How to contact us
Email: [email protected]
Tel .: +49 212 5476913
Viber | WhatsApp: +49 173-2034066 | +49 177-5404270
For your convenience, please save your phone number in your phone directory and call or email us for free on WhatsApp, Viber or Telegram.Orders made on weekends or holidays will be processed on the first business day.
Blood in the stool – Haematochezia – Melena | Examination and treatment in Germany
The so-called light red “bloody stool” (Hämatochezie) is a sign of bleeding of the intestinal mucosa into the lumen of the intestinal canal, which leads to the release of noticeable red blood traces in the feces.
Definition
Unlike tarry stools (melena), which produces old, already coagulated and therefore dark red to black shades of blood, sharp red bloody stools are characterized by fresh blood.
Synonyms and related terms
- anal bleeding, rectal bleeding, Hämatochezie, melena
language: blood in faeces, anal bleeding, rectal bleeding, haematochezia, melena
Description
The mucous membrane of the entire gastrointestinal tract, due to its function of direct intake of nutrients into the bloodstream, is thick plexuses reach the surface of the mucous membrane.This structural and functional feature makes it extremely sensitive to damage of any kind. Small lesions of the mucous membrane appear often and they are usually caused by the intake of solid components of our food. Due to the fact that the mucous membrane of the gastrointestinal tract has the ability to quickly renew, such minor bleeding remains invisible.
Only slightly increased bleeding becomes noticeable as traces of a bloody-mucous mass in the feces.In this case, bleeding is, as a rule, in the lower region of the digestive tract, consisting of the end sections of the colon ( Colon descendens ), the adjacent S-shaped sigmoid colon, as well as the rectum ( Rektum ) and the anal canal. Since blood with higher outgoing bleeding, such as with bleeding of the stomach or small intestine, is excreted in an already coagulated form, in dark-colored feces or through crumbling, dark red or black deposits, such localizations are not typical for fresh bloody traces in stool and are only visible as fresh blood when a large blood loss is involved.
By definition, upper gastrointestinal bleeding is localized above the so-called “ node Treitz ” ( Ligamentum suspensorium duodeni ). This anatomical structure represents a kind of suspension for the duodenum ( Duodenum ) at the transition to the jejunum ( Jejunum ). Distal bleeding from it refers to the lower gastrointestinal bleeding.
In the process of acute, symptomatic blood loss, patients often suffer from the classic symptoms that appear in connection with gastrointestinal diseases.
These include:
- pain
- diarrhea or constipation
- bloating
- vomiting
- Generally feeling sick, lethargy, fatigue
- profuse sweating, temperature
- Differential to bleeding in the upper gastrointestinal tract includes: vomiting of blood ( Hämatemesis )
In addition, chronic bleeding is not uncommon, but it often goes unnoticed. Sufferers of this disorder often develop mild chronic anemia (subacute anemia) and feel lethargic, tired, and experience cold hands and feet, as well as an increased predisposition to headaches.
Causes
The following lesions or diseases of the gastrointestinal tract can lead to fresh bleeding in feces:
- hemorrhoids
- anal fissure (tears in the anus), anal fistula, anal abscess
- polyp formation (small growths in the intestinal mucosa)
- acute diverticulitis (inflammation of small protrusions of the mucous membrane, the so-called diverticulum)
- general infections and inflammation of the intestine (colitis)
- ischemic enterocolitis (inflammation of the colon with impaired blood flow)
- pseudomembrane colitis (inflammation of the mucous membrane) intestinal membranes as a result of antibiotic therapy)
- Chronic inflammatory bowel diseases ( Morbus Crohn , Colitis ulcerosa )
- invagination of the intestinal mucosa
- Meckel diverticula (not atrophied remnant of embryonic yellow ( Ductus omphaloentericus ) in the form of protrusion of the small intestine)
- cancer of the colon or rectum
- ulcers of the stomach or small intestine
- erosion of the mucous membrane of the stomach or intestines
- bleeding of the esophagus or varicose nodes with other localizations, for example., at the bottom of the stomach
- Mallory-Weiss bleeding (ruptures of the esophageal mucosa)
- enterohemorrhagic Escherichia coli ( EHEC )
- cholera
- Shigella infection (shigellosis)
- Infection with anthrax causative agent when taking drugs
- blood
- insufficient anal hygiene with itching (itching)
What can you do?
Contact your doctor if you notice fresh blood accumulations in your stool, as well as a noticeably darkened stool color, or if you find traces of blood on your underwear.Acute bleeding that is large in area can represent an emergency, so do not hesitate and in case of noticeable blood loss, immediately consult a doctor or call an ambulance.
Specialist assistance
Depending on the symptomatology, in addition to consultation with your attending physician, further extensive examination by various medical specialists may follow.
These include:
- Internal Medicine Specialist
- Gastroenterologist
- Proctologist
- Surgeon
What is waiting for you at your doctor’s appointment?
Before your attending physician begins the examination, an initial conversation (history) should take place about your current complaints.He will ask you, including about past complaints and the presence of possible diseases.
The following questions may await you:
- How long have you noticed bleeding in your stool?
- Did the color or quantity change during the process?
- Do you experience additional symptoms like diarrhea, constipation, vomiting, pain, bloating or similar?
- Have you experienced this at least once or have similar symptoms manifested in your family?
- Do you currently have any other medical conditions?
- Are you currently taking any medications?
- Do you have any allergies or food intolerances?
Examinations (diagnostics)
Based on the characteristics of symptoms identified from the anamnesis and your current condition, the doctor can apply the following examinations:
- manual rectal and digital examination,
- blood test
- stool analysis
- ultrasound )
- coloscopy, rectoscopy
- examination of the gastrointestinal tract through the esophagus (esophagogastroduodenoscopy, EHD)
- computed tomography with contrast agent
- examination of the main blood vessels of the intestine (angiography)
Treatment (therapy)
In connection with that bleeding in the gastrointestinal tract due to the difficult accessibility for visual examination constitutes an impossible assessment of the hazard to the patient, immediate medical attention is needed to stop the bleeding.In this case, urgent and successful help is provided by surgical intervention.
The following surgical and endoscopic methods can stop gastrointestinal bleeding caused by various causes quickly and effectively:
- Clamping (“ Clipping ”) on the bleeding site
- Laser coagulation (promotes blood clotting due to high temperature)
- obliteration (sclerosing) of veins with dilated veins of the esophagus
- bandaging the site of bleeding (ligature)
- tamponation, balloon tamponation
Active substances such as terlipressin or sandostatin medically reduce blood flow and can be used additionally for bleeding in the upper region of the gastrointestinal region -intestinal tract.
Typically, your doctor will treat the underlying medical condition. His treatment takes place at the end in the form of further necessary differential examination.
Preventive measures
To avoid damage and other painful bowel processes, you need to constantly monitor the healthy bowel function. The main focus is on a varied, healthy diet rich in dietary fiber and vitamins. In particular, the so-called “dietary fiber”, indigestible plant substances (cellulose), stimulates intestinal motility.Pay attention to sufficiently chopping and mixing food with saliva, eat slowly and chew well. This will facilitate the absorption of nutrients and avoid large amounts of raw food, especially in the evening. It is difficult to digest, affects sleep quality, and can lead to unpleasant bloating. Sufficient fluid intake (on average 1.5-2 liters per day) helps to avoid constipation. In addition, foods such as plantain or flax seeds, due to their astringent properties and high fiber content, contribute to soft stools and bowel function.
Avoid excessive consumption of addictive substances such as nicotine, alcohol and caffeine, do not abuse too seasoned, very spicy, fatty or acidic foods. It often not only causes a feeling of “heaviness” in the stomach and leads to fatigue and lethargy, but also irritates the mucous membrane of the gastrointestinal tract and causes abdominal pain or heartburn.

This is less

It helps to tell what is causing