Endometrial stromal sarkom. Endometrial Stromal Sarcoma: A Comprehensive Review of Diagnosis, Treatment, and Prognosis
What are the key features of endometrial stromal sarcoma. How is it diagnosed and treated. What factors influence prognosis. What are the latest developments in managing this rare uterine cancer.
Understanding Endometrial Stromal Sarcoma: A Rare Uterine Malignancy
Endometrial stromal sarcoma (ESS) is a rare type of uterine cancer that originates from the stromal cells of the endometrium. This malignancy accounts for less than 1% of all uterine cancers and approximately 10% of uterine sarcomas. Despite its rarity, ESS presents unique challenges in diagnosis, treatment, and management due to its variable clinical presentation and behavior.
ESS is classified into two main subtypes:
- Low-grade ESS: Characterized by slow growth and a generally favorable prognosis
- High-grade ESS: More aggressive with a poorer prognosis
Understanding the distinctions between these subtypes is crucial for appropriate management and treatment planning.

Genetic and Molecular Characteristics of Endometrial Stromal Sarcoma
Recent advances in molecular genetics have shed light on the underlying mechanisms of ESS development. What genetic alterations are commonly observed in ESS? Chromosomal rearrangements involving band 6p21 have been consistently identified in ESS cases. These rearrangements often result in the formation of fusion genes, such as JAZF1/PHF1 and EPC1/PHF1, which play a role in the pathogenesis of the disease.
Other genetic alterations associated with ESS include:
- Chromosomal gains and losses detected by comparative genomic hybridization
- Mutations in genes involved in cell cycle regulation and tumor suppression
- Epigenetic modifications affecting gene expression
These genetic and molecular characteristics not only contribute to our understanding of ESS biology but also provide potential targets for future therapeutic interventions.
Clinical Presentation and Diagnostic Challenges in ESS
The clinical presentation of ESS can be nonspecific, often leading to delays in diagnosis. What are the most common symptoms of ESS? Patients typically present with:

- Abnormal uterine bleeding
- Pelvic pain or pressure
- Abdominal distension
- In some cases, asymptomatic pelvic masses
Diagnosing ESS can be challenging due to its rarity and the similarity of its symptoms to other more common gynecological conditions. How is ESS typically diagnosed? The diagnostic process often involves a combination of:
- Clinical examination
- Imaging studies (ultrasound, CT, MRI)
- Endometrial biopsy or dilation and curettage (D&C)
- Histopathological examination
Imaging studies play a crucial role in assessing the extent of the disease and guiding treatment planning. For instance, MRI can provide detailed information about tumor size, location, and potential myometrial invasion.
The Role of Immunohistochemistry in ESS Diagnosis
Immunohistochemistry has become an invaluable tool in the accurate diagnosis of ESS, particularly in differentiating it from other uterine tumors. Which immunohistochemical markers are most useful in ESS diagnosis? CD10 has emerged as a highly sensitive and specific marker for endometrial stromal cells and is widely used in ESS diagnosis. Other important markers include:

- Estrogen and progesterone receptors (ER and PR)
- Smooth muscle actin (SMA)
- Desmin
- h-caldesmon
The combination of these markers helps pathologists distinguish ESS from other uterine tumors, such as leiomyosarcomas and cellular leiomyomas, which can have similar morphological features.
Treatment Strategies for Endometrial Stromal Sarcoma
The management of ESS requires a multidisciplinary approach, involving gynecologic oncologists, radiation oncologists, and medical oncologists. What is the primary treatment for ESS? Surgery remains the cornerstone of ESS treatment, typically involving:
- Total hysterectomy
- Bilateral salpingo-oophorectomy
- In some cases, lymph node dissection
The extent of surgery may vary depending on the stage of the disease and the patient’s desire for fertility preservation in cases of low-grade ESS.
Adjuvant Therapies in ESS Management
While surgery is the primary treatment, adjuvant therapies play a crucial role in managing ESS, particularly in advanced or recurrent cases. What adjuvant therapies are commonly used in ESS treatment?

- Hormonal therapy: Given the hormone-responsive nature of many ESS tumors, hormonal agents such as aromatase inhibitors, progestins, and gonadotropin-releasing hormone (GnRH) analogs are often used.
- Radiation therapy: May be considered for local control in cases with high risk of recurrence or in unresectable tumors.
- Chemotherapy: Typically reserved for high-grade ESS or cases unresponsive to hormonal therapy.
The choice of adjuvant therapy depends on various factors, including tumor grade, stage, hormone receptor status, and patient characteristics.
Prognostic Factors and Long-Term Outcomes in ESS
Understanding the prognostic factors in ESS is crucial for patient counseling and treatment planning. What factors influence the prognosis of ESS patients? Key prognostic factors include:
- Tumor grade (low-grade vs. high-grade)
- Stage at diagnosis
- Presence of residual disease after surgery
- Hormone receptor status
- Age at diagnosis
Low-grade ESS generally has a favorable prognosis, with 5-year survival rates exceeding 90% for early-stage disease. However, high-grade ESS is associated with a poorer prognosis, with 5-year survival rates ranging from 30% to 50%.

Recurrence Patterns and Management
ESS, particularly low-grade tumors, is known for its propensity for late recurrence. How are recurrences managed in ESS patients? The approach to recurrent disease often involves:
- Surgical resection of isolated recurrences when feasible
- Hormonal therapy for hormone-responsive tumors
- Radiation therapy for localized unresectable recurrences
- Systemic chemotherapy for widespread or rapidly progressive disease
Long-term follow-up is essential for ESS patients due to the risk of late recurrences, sometimes occurring decades after initial treatment.
Emerging Therapies and Future Directions in ESS Research
As our understanding of ESS biology improves, new therapeutic approaches are being explored. What are some promising avenues for future ESS treatment? Emerging therapies and research directions include:
- Targeted therapies: Investigating agents that target specific molecular pathways implicated in ESS pathogenesis
- Immunotherapy: Exploring the potential of immune checkpoint inhibitors in ESS treatment
- Novel hormonal agents: Developing more potent and selective hormonal therapies
- Personalized medicine approaches: Tailoring treatment based on individual tumor genetic profiles
These innovative approaches hold promise for improving outcomes in ESS patients, particularly those with advanced or recurrent disease.

Special Considerations in ESS Management
Several unique aspects of ESS management warrant special consideration. How do clinicians approach fertility preservation in young ESS patients? For premenopausal women with low-grade ESS who desire future fertility, ovarian preservation may be considered in select cases. However, this decision must be carefully weighed against the potential risks, as ESS is often hormone-responsive.
Another important consideration is the management of postmenopausal women with ESS. Should hormone replacement therapy be used in these patients? Given the hormone-sensitive nature of many ESS tumors, the use of hormone replacement therapy is generally contraindicated in ESS survivors.
The Role of Lymphadenectomy in ESS
The necessity of lymphadenectomy in ESS management remains a topic of debate. What does current evidence suggest regarding lymphadenectomy in ESS? While lymph node metastases are relatively uncommon in low-grade ESS, some studies suggest that lymphadenectomy may provide prognostic information and guide adjuvant treatment decisions. However, the therapeutic benefit of routine lymphadenectomy in all ESS cases remains unclear.

Factors influencing the decision to perform lymphadenectomy include:
- Tumor grade
- Clinical stage
- Presence of suspicious lymph nodes on imaging
- Patient’s overall health and surgical risk
Individualized decision-making, taking into account these factors and the latest evidence, is crucial in determining the appropriate surgical approach for each ESS patient.
Endometrial stromal sarcoma: A review of the literature
1. Tavassoli FA, Devilee P. WHO Classification of Pathology and genetics of tumours of the breast and female genital organs. In: Tavassoli FA, Devilee P, editors. Lyon, France: IARC Press; 2003. pp. 233–6. [Google Scholar]
2. Micci F, Panagopoulos I, Bjerkehagen B, Heim S. Consistent rearrangement of chromosomal band 6p21 with generation of fusion genes JAZF1/PHF1 and EPC1/PHF1 in endometrial stromal sarcoma. Cancer Res. 2006;66:107–12. [PubMed] [Google Scholar]
3. Halbwed I, Ullmann R, Kremser ML, Man YG, Moud NI, Lax S, et al. Chromosomal alterations in low-grade endometrial stromal sarcoma and undifferentiated endometrial sarcoma as detected by comparative genomic hybridization. Gynecol Oncol. 2005;2:582–7. [PubMed] [Google Scholar]
4. Cohen I. Endometrial pathologies associated with postmenopausal tamoxifen treatment. Gynecol Oncol. 2004;2:256–66. [PubMed] [Google Scholar]
5. Nicolas ML, Cathro HP, Kerr SE, Stelow EB.
Cytomorphologicfeatures of low-grade endometrial stromal sarcoma. AJR Am J ClinPathol. 2007;128:265–71. [PubMed] [Google Scholar]
6. Ganjoei TA, Behtash N, Shariat M, Low AM. Grade endometrial stromal sarcoma of uterine corpus: A clinicopathological and survey study in 14 cases. World J Surg Oncol. 2006;4:50. [PMC free article] [PubMed] [Google Scholar]
7. Jin Y, Pan L, Wang X, Dai Z, Huang H, Guo L, et al. Clinical characteristics of endometrial stromal sarcoma from an academic medical hospital in China. Int J Gynecol Cancer. 2010;20:1535–9. [PubMed] [Google Scholar]
8. Toprak U, Paaolu E, Karademir MA, Gülbay M. Sonographic, CT, and MRI findings of endometrial stromal sarcoma located in the myometrium and associated with peritoneal inclusion cyst. AJR Am J Roentgenol. 2004;182:1531–3. [PubMed] [Google Scholar]
9. Oliva E, Clement B, Young RH. Endometrial stromal tumours: An update on a group of tumours with a protean phenotype. Adv Anat Pathol. 2000;7:257–81. [PubMed] [Google Scholar]
10.
Chu PG, Arber DA, Weiss LM, Chang KL. Utility of CD10 in distinguishing between endometrial stromal sarcoma and uterine smooth muscle tumors: An immunohistochemical comparison of 34 cases. Mod Pathol. 2001;14:465–71. [PubMed] [Google Scholar]
11. Zhu XQ, Shi YF, Cheng X, Zhao CL, Wu YZ. DetalImmunohistichemical markers in differential diagnosis of endometrial stromal sarcoma and cellular leomyoma. Gynaecol Oncol. 2004;92:71–9. [PubMed] [Google Scholar]
12. Agoff SN, Grieco VS, Garcia R, Gown AM. Immunohistochemical distinction of endometrial stromal sarcoma and cellular leiomyoma. Appl Immunohistochem Mol Morphol. 2001;9:164–9. [PubMed] [Google Scholar]
13. Sumathi VP, McCluggage WG. CD 10 is useful in demonstrating endometrial stroma at ectopic sites and in confirming a diagnosis of endometriosis. J Clin Pathol. 2002;55:391–2. [PMC free article] [PubMed] [Google Scholar]
14. D’Angelo E, Prat J. Uterine sarcomas: A review. Gynecol Oncol. 2010;116:131–9. [PubMed] [Google Scholar]
15.
Lai CH, Wu YC, Wu TI, Hsueh S, Chou HH, Chang TC. Prognostic factors and long term outcome for uterine endometrial stromal sarcoma. J Clin Oncol. 2005;23:9057. [Google Scholar]
16. Chan JK, Kawar NM, Shin JY, Osann K, Chen LM, Powell CB, et al. Endometrial stromal sarcoma: A population based analysis. Br J Cancer. 2008;99:1210–5. [PMC free article] [PubMed] [Google Scholar]
17. Leath CA, 3rd, Huh WK, Hyde J, Jr, Cohn DE, Resnick KE, Taylor NP, et al. A multi-institutional review of outcomes of endometrial stromal sarcoma. Gynec Oncol. 2007;105:630–4. [PubMed] [Google Scholar]
18. Grimer R, Judson I, Peake D, Seddon B. Guidelines for the management of soft tissue sarcomas. Sarcoma. 2010;2010:506182. [PMC free article] [PubMed] [Google Scholar]
19. Gadducci A, Cosio S, Romanini A, Genazzani AR. The management of patients with uterine sarcoma: A debated clinical challenge. Crit Rev Oncol Hematol. 2008;65:129–42. [PubMed] [Google Scholar]
20. Li AJ, Giuntoli RL, 2nd, Drake R, Byun SY, Rojas F, Barbuto D, et al.
Ovarian preservation in stage I low-grade endometrial stromal sarcomas. Obstet Gynecol. 2005;106:1304–8. [PubMed] [Google Scholar]
21. Amant F, De Knijf A, Van Calster B, Leunen K, Neven P, Berteloot P, et al. Clinical study investigating the role of lymphadenectomy, surgical castration, and adjuvant hormonal treatment in endometrial stromal sarcoma. Br J Cancer. 2007;97:1194–9. [PMC free article] [PubMed] [Google Scholar]
22. Gadducci A, Sartori E, Landoni F, Zola P, Maggino T, Urgesi A, et al. Endometrial stromal sarcoma: Analysis of treatment failures and survival. Gynecol Oncol. 1996;63:247–53. [PubMed] [Google Scholar]
23. Chu MC, Mor G, Lim C, Zheng W, Parkash V, Schwartz PE. Low-grade endometrial stromal sarcoma: Hormonal aspects. Gynecol Oncol. 2003;90:170–6. [PubMed] [Google Scholar]
24. Chan JK, Kawar NM, Shin JY, Osann K, Chen LM, Powell CB, et al. Endometrial stromal sarcoma: A population-based analysis. BrJ Cancer. 2008;99:1210–5. [PMC free article] [PubMed] [Google Scholar]
25.
Li AJ, Giuntoli RL, 2nd, Drake R, Byun SY, Rojas F, Barbuto D, et al. Ovarian preservation in stage I low-grade endometrial stromal sarcomas. Am J Obstet Gynecol. 2005;106:1304–8. [PubMed] [Google Scholar]
26. Goff BA, Rice LW, Fleischhacker D, Muntz HG, Falkenberry SS, Nikrui N, et al. Uterine leiomyosarcoma and endometrial stromal sarcoma: Lymph node metastases and sites of recurrence. Gynecol Oncol. 1993;50:105–9. [PubMed] [Google Scholar]
27. Reich O, Winter R, Regauer S. Should lymphadenectomy be performed in patients with endometrial stromal sarcoma? Gynecol Oncol. 2005;97:982. author reply 982-3. [PubMed] [Google Scholar]
28. Riopel J, Plante M, Renaud MC, Roy M, Têtu B. Lymph node metastases in low-grade endometrial stromal sarcoma. Gynecol Oncol. 2005;96:402–6. [PubMed] [Google Scholar]
29. Shah JP. Lymphadenectomy and ovarian preservation in low-grade endometrial stromal sarcoma. Obstet Gynecol. 2008;112:1102–8. [PubMed] [Google Scholar]
30. NCCN clinical practice guidelines in oncology.
Soft tissue sarcoma. Version 2. 2011. National Comprehensive Cancer Network, Inc. 2011 [Google Scholar]
31. Reich O, Regauer S. Aromatase expression in low-grade endometrial stromal sarcomas: An immunohistochemical study. Mod Pathol. 2004;17:104–8. [PubMed] [Google Scholar]
32. Spano JP, Soria JC, Kambouchner M, Piperno-Neuman S, Morin F, Morere JF, et al. Long-term survival of patients given hormonal therapy for metastatic endometrial stromal sarcoma. Med Oncol. 2003;20:87–93. [PubMed] [Google Scholar]
33. Alkasi O, Meinhold-Heerlein I, Zaki R, Fasching P, Maass N, Jonat W, et al. Long-term disease-free survival after hormonal therapy of a patient with recurrent low grade endometrial stromal sarcoma: A case report. Arch GynecolObstet. 2009;279:57–60. [PubMed] [Google Scholar]
34. Chu MC, Chu, Mor G, Lim C, Zheng W, Prakash V, Schwart PE. Low-grade endometrial stromal sarcoma: Hormonal aspects. Gynaec Oncol. 2003;90:170–6. [PubMed] [Google Scholar]
35. Navarro D, Cabrera JJ, León L, Chirino R, Fernández L, López A, et al.
Endometrial stromal sarcoma expressionof estrogen receptors, progesterone receptors and estrogen-induced srp27 (24K) suggests hormone responsiveness. J Steroid Biochem Mol Biol. 1992;41:589–96. [PubMed] [Google Scholar]
36. Reich O, Regauer S. Hormonal therapy of endometrial stromal sarcoma. Curr Opin Oncol. 2007;19:347–52. [PubMed] [Google Scholar]
37. Garg G, Awoniyi O, Awonuga, Eugene P, Toy Primary extrauterine endometrial stromal sarcoma: Response to hormone therapy. Rare Tumors. 2009;1:2. [PMC free article] [PubMed] [Google Scholar]
38. Linder T, Pink D, Kretzschmar A. Hormone treatment of endometrial stromal sarcomas: A possible indication for aromatase inhibitors. J Clin Oncol. 2005;23(Suppl):9057. [Google Scholar]
39. Pink D, Lindner T, Mrozek A. Harm or benefit of hormonal treatment in metastatic low-grade endometrial stromal sarcoma: Single center experience with 10 cases and review of the literature. Gynecol Oncol. 2006;1013:464–9. [PubMed] [Google Scholar]
40.
Casali PG, Blay JY. Soft tissue sarcomas: ESMO clinical practice guidelines for diagnosis, treatment and follow-up. Ann Oncol. 2010;21:198–203. [PubMed] [Google Scholar]
41. Reich O, Regauer S. Estrogen replacement therapy and tamoxifen are contraindicated in patients with endometrial stromal sarcoma. Gynecol Oncol. 2006;102:413–4. [PubMed] [Google Scholar]
42. Maluf FC, Sabbatini P, Schwartz L, Xia J, Aghajanian C. Endometrial stromal sarcoma: Objective response to letrozole. Gynaec Oncol. 2001;82:384–8. [PubMed] [Google Scholar]
43. Weitmann HD, Knocke TM, Kucera H, Pötter R. Radiation therapy in the treatment of stromal sarcoma. Int J Radiat Oncol Biol Phys. 2001;41:739–48. [PubMed] [Google Scholar]
44. Reich O, Nogales FF, Regauer S. Gonadotropin-releasing hormone receptor expression in endometrial stromal sarcomas: An immunohistochemical study. Mod Pathol. 2005;18:573–6. [PubMed] [Google Scholar]
45. Kim GY, Sung P, Han J, Park JO, Lee KS. Pulmonary metastases of uterine endometrial storm al sarcoma: Diffusemicronodular and ground glass opacities: A case report.
J Korean Med Sci. 2004;19:901–3. [PMC free article] [PubMed] [Google Scholar]
46. Ihnen M, Mahner S, Jänicke F, Schwarz J. Current treatment options in uterine endometrial stromal sarcoma: Report of a case and review of the literature. Int J Gynecol Cancer. 2007;17:957–63. [PubMed] [Google Scholar]
47. Dupont NC, DiSaia PJ. Recurrent endometrial stromal sarcoma: Treatment with a progestin and gonadotropin releasing hormone agonist. Sarcoma. 2010;2010:353679. [PMC free article] [PubMed] [Google Scholar]
48. Lin YC, Kudelka AP, Tresukosol D, Malpica A, Carrasco CH, Lawrence DD, et al. Prolonged stabilization of progressive endometrial stromal sarcoma with prolonged oral etoposide therapy. GynecolOncol. 1995;58:262–5. [PubMed] [Google Scholar]
49. Malouf GG, Duclos J, Rey A, Duvillard P, Lazar V, Haie-Meder C, et al. Impact of adjuvant treatment modalities on the management of patients with stages I-II endometrial stromal sarcoma. Ann Oncol. 2010;21:2102–6. [PubMed] [Google Scholar]
50.
Bodner K, Adler BB, Obermair A, Windbichler G, Petru E, Mayerhofer S, et al. Prognostic parameters in endometrial stromal sarcoma: A clinicopathologic study in 31 patients. Gynecol Oncol. 2001;81:160S–5S. [PubMed] [Google Scholar]
What is Uterine Sarcoma? | Types of Uterine Sarcoma
- The uterus
- Cancers of the uterus and endometrium
- Types of uterine sarcoma
- Benign uterine tumors
Cancer starts when cells in the body begin to grow out of control. Uterine sarcoma is a cancer that starts in the muscle and supporting tissues of the uterus (womb). Compared to other types of uterine cancers, uterine sarcomas are rare.
To learn more about how cancers start and spread, see What Is Cancer?
The uterus
The uterus is a hollow organ, normally about the size and shape of a medium-sized pear.
- The lower end of the uterus is the cervix, which sits above the vagina.

- The upper part of the uterus is the body, and is also known as the corpus.
The body of the uterus has 3 layers.
- The inner layer or lining is the endometrium.
- The serosa is the layer of tissue coating the outside of the uterus.
- In the middle is a thick layer of muscle known as the myometrium. This muscle layer is needed to push a baby out during childbirth.
Cancers of the uterus and endometrium
Sarcomas are cancers that start from tissues like muscle, fat, bone, and fibrous tissue (the material that forms tendons and ligaments). Cancers that start in epithelial cells, the cells that line or cover most organs, are called carcinomas.
More than 95% of uterine cancers are carcinomas. If a carcinoma starts in the cervix, it is a cervical carcinoma.
Carcinomas starting in the endometrium, the lining of the uterus, are endometrial carcinomas. Information for these types of cancer is in Cervical Cancer and Endometrial (Uterine) Cancer.
Another type of cancer that starts in the uterus is called carcinosarcoma. These cancers start in the endometrium and have features of both sarcomas and carcinomas. These cancers were known as malignant mixed mesodermal tumors or malignant mixed mullerian tumors. Uterine carcinosarcomas are covered in Endometrial (Uterine) Cancer.
Types of uterine sarcoma
Most uterine sarcomas are put into a category, based on the type of cell they start in:
Uterine leiomyosarcoma
(LMS)
These tumors start in the muscle layer of the uterus (the myometrium). They are the most common type. These tumors can grow and spread quickly.
Endometrial stromal sarcoma (ESS)
ESS tumors start in the supporting connective tissue (stroma) of the lining of the uterus (the endometrium).
ESS tumors are often given a grade which helps to understand how fast it’s likely to grow and spread.
- If the tumor is low grade, the cancer cells only look slightly different from normal cells and the tumor tends to grow slowly. Women with low-grade ESS tumors tend to have a better outlook (prognosis) than women with other kinds of uterine sarcomas. Most low-grade ESS tumors also have proteins called estrogen receptors (ER) and/or progesterone receptors (PR), like some breast cancers. Having these proteins often means certain hormone drugs can help treat these types of uterine sarcomas.
- A high-grade ESS tumor means the cancer cells look very different from normal cells, and the tumor is growing quickly. This type of ESS tumor is most often found when the tumor is already large and/or has spread. These tumors are often harder to treat.
Undifferentiated sarcoma
These cancers start in the endometrium or the myometrium.
They grow and spread quickly and tend to have a poor outlook.
Adenosarcoma
This type of sarcoma has normal gland cells that are mixed with cancer cells of the stroma (supporting connective tissue). These are generally low-grade cancers and usually have a good prognosis (outlook).
Benign uterine tumors
Several types of benign (not cancer) tumors can also develop in the connective tissues of the uterus. These tumors, such as leiomyomas, adenofibromas, and adenomyomas are also known as types of fibroid tumors. In many people, these tumors don’t need to be treated. But treatment may be needed if they start causing problems, like pelvic pain, heavy bleeding, frequent urination, or constipation.
In some cases, only the tumor is removed, leaving the rest of the uterus in place. This surgery is called a myomectomy. Other treatments destroy these benign tumors, by blocking the blood vessels that feed them, by killing the tumor cells with electric current, or by freezing them with liquid nitrogen.
Another option is to remove the entire uterus with a type of surgery called a hysterectomy.
The American Cancer Society medical and editorial content team
Our team is made up of doctors and oncology certified nurses with deep knowledge of cancer care as well as journalists, editors, and translators with extensive experience in medical writing.
Alektiar KM, Abu-Rustum NR, and Fleming GF. Chapter 75- Cancer of the Uterine Body. In: DeVita VT, Lawrence TS, Rosenberg SA, eds. DeVita, Hellman, and Rosenberg’s Cancer: Principles and Practice of Oncology. 11th ed. Philadelphia, Pa: Lippincott Williams & Wilkins; 2019.
Boggess JF, Kilgore JE, and Tran AQ. Ch. 85 – Uterine Cancer. In: Niederhuber JE, Armitage JO, Doroshow JH, Kastan MB, Tepper JE, eds. Abeloff’s Clinical Oncology. 6th ed. Philadelphia, Pa. Elsevier; 2020.
Gaillard S and Secord AA. Staging, treatment, and prognosis of endometrial stromal sarcoma and related tumors and uterine adenosarcoma.
In: Chakrabarti A and Vora SR, eds. UpToDate. Waltham, Mass.: UpToDate, 2021. https://www.uptodate.com. Accessed June 17, 2022.
National Cancer Institute. Uterine Sarcoma Treatment (PDQ)–Health Professional Version. Feb 10, 2022. Accessed at https://www.cancer.gov/types/uterine/hp/uterine-sarcoma-treatment-pdq
on June 17, 2022.
National Comprehensive Cancer Network (NCCN). NCCN Clinical Practice Guidelines in Oncology. Uterine Neoplasms, Version 1.2022 – November 4, 2021. Accessed at https://www.nccn.org/professionals/physician_gls/pdf/uterine.pdf on June 17, 2022.
Ricci S, Stone RL, Fader AN. Uterine leiomyosarcoma: Epidemiology, contemporary treatment strategies and the impact of uterine morcellation. Gynecol Oncol. 2017;145(1):208-216.
Last Revised: September 20, 2022
American Cancer Society medical information is copyrighted material. For reprint requests, please see our Content Usage Policy.
Observation of combined treatment of endometrial stromal sarcoma with spread along the peritoneum
Endometrial stromal sarcoma (ESS) is a relatively rare disease, which creates certain difficulties in its study and determination of treatment tactics for this category of patients.
According to Ya.V. Bokhman and A.F. Urmancheeva, the frequency of its occurrence among all uterine sarcomas reaches 45% and is 0.2% among all malignant neoplasms of this organ [1, 2]. Information about the incidence of ESS both in Russia and in many economically developed countries of the world is based mainly on data from large oncological centers. According to statistics in the world, 1-2 cases of ESS are detected per 1 million female population. In the US, the frequency of its occurrence is 1.9per 1 million female population [3].
In ESS, the course of the disease can vary from highly aggressive to relatively benign. Differences in the course of the disease are due to the biological characteristics of the tumor. This general concept includes numerous parameters, including genomic disorders, which in turn affect the development of a tumor, its degree of malignancy, metastatic potential, and the rate of progression [4].
The average 5-year survival rate for patients with ESS is 45 to 90%, depending on the morphological variant of the tumor [5—7].
Here is our observation of the treatment of this rare form of tumor.
Patient S., aged 39, was admitted to the Department of Abdominal Oncology of the MNII named after. P.A. Herzen on January 9, 2013 with complaints of difficulty urinating, the presence of a palpable tumor in the abdominal cavity.
Since the beginning of 2007, the patient was worried about pain in the right iliac region, was examined for “adnexitis”. On June 20, 2007, the patient was urgently operated on for intestinal obstruction at the N.M. N.I. Pirogov. The cause of obstruction was a tumor of stony density with fuzzy contours up to 20 cm in size, coming from the retroperitoneal space and involving the ileocecal intestine. The emergency operation ended with the formation of a bypass ileotransverse anastomosis with nasointestinal decompression of the small intestine and tumor biopsy. Histological examination of the biopsy showed fragments of hyalinized fibrous tissue with growths of oval and fusiform cell fields.
Immunohistochemical study of cells intensively expresses α-smooth muscle actin (1A4) and calponin (CALP) in the cytoplasm, does not express CD34, CD 117, protein S100 (poly), h-caldesmon (i-CD). Collagen type IV (C-IV-22) does not form an individual cell scaffold in the tumor. CD34 expression is found in the endothelium of numerous tumor blood vessels. Conclusion: the histological structure of the tumor and its immunophenotype correspond to myopericytoma.
In the postoperative period, the patient underwent 3 courses of PCT according to the scheme Gemzar + Taxotere with a partial response.
At the University Hospital of Essen (Germany), a second biopsy was performed and it was suggested that the patient had G1 ESS. On July 8, 2008, an exploratory laparotomy was performed: multiple tumor foci, peritoneal sarcomatosis were found, and the patient was declared inoperable. In the postoperative period, tamoxifen was treated at a dose of 40 mg per day. The follow-up examination in October 2008 revealed the growth of tumor foci, and the chemotherapy regimen was changed to ifosfamide + doxorubcin (8 cycles).
Process stabilization was noted for 3 years.
However, during the next examination in July 2011, tumor growth was again noted, mainly in the small pelvis, there was pain in the lower abdomen, about which the National Medical Center named after. N.I. Pirogov made another attempt to remove the pelvic tumor.
Due to the high risk of intraoperative bleeding, embolization of the uterine vessels and the right ovarian artery was performed at the first stage, followed by partial removal of the pelvic tumor.
After 2 months, new lesions appeared in the abdominal cavity, and intestinal obstruction soon developed. On October 21, 2011, the patient was again urgently operated on at the NMTSH named after N.N. N.I. Pirogov. During the revision in the right half of the abdomen, a tumor sized 20×18×19 cm was revealed, growing into loops of the small intestine, the ascending colon, the transverse colon with the formation of a conglomerate. In the pelvis, in the projection of both ovaries, tumors were found that invaded the parietal peritoneum with the formation of an immobile conglomerate.
Taking into account repeated intestinal obstruction, the tumor was partially removed with resection of small intestine sections, an extended right-sided hemicolectomy was performed with the formation of enteroentero-, enterotransversal anastomoses.
In the postoperative period, 2 courses of chemotherapy were performed according to the ifosfamide + mesna regimen without effect.
On December 23, 2011, 2 courses of chemotherapy with ifosfamide were performed, and tumor growth was observed. The regimen was changed to navelbin + gemzar (two courses were carried out), further progression of the disease was noted. Since 03/23/2012, 5 courses of PCT have been carried out according to the scheme gemzar + dacarbazine. The tumor continued to grow, the patient developed a feeling of fullness in the lower abdomen. Chemotherapy with Votrient at a dose of 400 mg was carried out for 2 months without effect. Subsequently, the patient underwent hormonal therapy with Femara, and the growth of the tumor stopped.
In order to examine and resolve the issue of the possibility of performing an operative intervention in January 2013, the patient applied to the MNII named after. P.A. Herzen.
Magnetic resonance imaging of the small pelvis: in the cavity of the small pelvis with access to the abdominal cavity, a polymorphic volumetric formation 190 × 175 × 180 mm in size is visualized. The largest cystic component is presented in the form of multicavitary formations with a clearly defined capsule, homogeneous contents and single intraluminal parietal formations. Along the periphery of these changes, there is a solid component (with the presence of fibrous inclusions) in the form of irregularly shaped areas: 1) at the level of the rectosigmoid section (along the posterior contour of the cystic component) 41 × 25 × 49mm, with signs of involvement of the intestinal wall up to the muscular layer, inclusive, for at least 30 mm. Cranial changes extend to the distal sigmoid colon over 31 mm; 2) on the right edge of the cystic formations – a component 67 × 28 mm in size, merging into a single conglomerate with identified changes, the right ovary, body and cervix (2/3 of the body in the tumor).
The bladder is pushed down, the tumor is tightly adjacent to its wall. The posterior contour of the formation compresses the lower third of the left ureter, the proximal sections are expanded to 7 mm. Loops of the small intestine are located along the upper pole of the tumor; growth cannot be completely excluded. The common and external iliac vessels are somewhat compressed, but passable (Fig. 1). Figure 1. Magnetic resonance imaging of the pelvis (description in the text).
Computed tomography of the chest and abdomen showed no evidence of metastasis to the lungs, liver, or bones.
Considering the young age of the patient, torpid course of the disease, minimally invasive tumor growth, on January 18, 2013, the patient was operated on in the abdominal department of the MNII named after. P.A. Herzen. During the revision, the entire cavity of the small pelvis was filled with a massive tumor formation up to 20 cm in diameter, involving the large intestine in the region of the rectosigmoid junction, intimately adjacent to the posterior wall of the bladder.
The uterus in the tumor is not differentiated. Retroperitoneally, under the duodenum, along the right ovarian vessels, a liquid formation in a thin capsule is determined.
In the greater omentum, along the mesentery of the small intestine, on the wall of the gallbladder, single formations of a dense consistency from 2 to 5 mm in diameter are determined. The index of peritoneal carcinomatosis was 10 points. An urgent morphological study of one of the formations of the mesentery of the small intestine revealed malignant spindle cells. Cytoreductive surgery was performed in the volume of CC0: removal of the pelvic tumor, extirpation of the uterus with appendages, intra-abdominal resection of the rectum, extirpation of the stump of the greater omentum, cholecystectomy and removal of numerous implants along the mesentery and the wall of the small intestine. Before the imposition of the colorectal anastomosis, intra-abdominal hyperthermic chemotherapy with cisplatin was performed in an open way for 90 min.
The patient was discharged on the 14th day after an uncomplicated postoperative period.
Description of macropreparation. In a single block, with a total size of 23 × 18 × 13 cm: uterus with a neck measuring 12 × 3.5 × 2.5 cm with a section of the vaginal wall 1 to 3 cm long, the right ovary measuring 6.5 × 4.7 × 2 .5 cm, a section of the rectum 18 cm long and a tumor formation measuring 22×17×10 cm. The tumor is represented by multiple thin- and thick-walled cysts with a diameter of 3 to 10 cm, filled with a clear yellowish-brown liquid. On the walls of the cysts, multiple nodular formations are determined on a wide base with a diameter of 1 to 4.8 cm, whitish in color with a bumpy, shiny surface, dense. On the section, the nodular formations are whitish in color, fibrous in appearance. The rest of the lining of the cysts is gray-pink, smooth, shiny. The mucous membrane of the vaginal portion of the cervix and vagina is gray-pink, smooth, shiny. The cervical canal is 5.
5 cm long, the mucous membrane of the cervical canal is grayish in color, trabecular in appearance. The thickness of the wall of the cervix is 1 cm. The uterine cavity is 4.8 cm long. The endometrium is gray, smooth, shiny. The myometrium is 1.7 cm thick. The right ovary in the section with multiple nodular formations with a diameter of 0.7-4.5 cm, gray-yellow, fibrous; fallopian tubes and left ovary are not defined. The mucous membrane of the large intestine is gray, with a characteristic folding, shiny, without ulceration. In the projection of the lower parts of the rectum – a gray area of compaction, up to 5 cm in diameter, without clear boundaries, tightly soldered to the vaginal wall. On the peritoneum of the Douglas space – two nodular formations with a diameter of 2 and 2.5 cm, whitish, dense. Microscopic examination: infiltrative tumor growth with invasion into the wall of the vagina, cervix and rectum to the submucosal layer. The tumor grows to the wall of the cervical canal throughout, grows into the myometrium.
In the body of the uterus – deep widespread adenomyosis.
No tumor growth was found in the resection margins.
Immunohistochemical study with antibodies. PLAP, CD117, S100, calretinin were negative in the tumor. CD34, smooth muscle actin – positive in vessels. Vimentin is positive in tumor cells and in blood vessels. Inhibin, CD10 are positive in some tumor cells, CD99, androgen receptors, ER, PgR are positive in tumor cells.
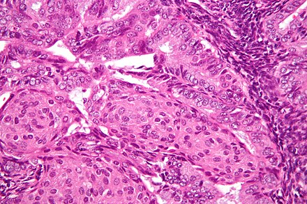
Ki-67 is positive in single tumor cells (<1%). Conclusion: ESS of low grade of malignancy (G1), therapeutic pathomorphosis is not expressed (fig. 2, on the color insert). Figure 2. Histological structure of endometrial stromal sarcoma. Stained with hematoxylin and eosin. ×400. At the control examination 3 months after the operation, there were no signs of continued tumor growth.
The decision on combined surgical treatment of a patient with a rare clinical presentation of peritoneal sarcomatosis was based on the principles of cytoreductive surgery: the presence of tumor properties favorable for cytoreduction, the characteristics of the patient who is able to undergo a large-scale operation, and the capabilities of specialists with experience in surgical treatment of cancer patients with peritoneal lesions.
Peritoneal dissemination of a sarcoma is usually indicative of tumor aggressiveness, and surgical treatment is indicated for palliative purposes. It is this general conclusion that follows from the most comprehensive review of the literature on peritoneal sarcomatosis [8]. However, it is well known that uterine ESA is characterized by relatively slow growth with a tendency to spread along the peritoneum [9], and with a low index of peritoneal carcinomatosis [10] and complete cytoreduction [11, 12] achieved, the results of combined treatment of peritoneal sarcomatosis can be quite encouraging. Morphological and immunohistochemical analyzes of the tumor, minimally invasive tumor growth (absence of obstructive symptoms with a significant tumor size in the small pelvis), long-term course of the disease (more than 5 years), presumably (according to the examination and CT) low peritoneal index, made it possible to establish the diagnosis of uterine ESS and suggest complete cytoreduction while maintaining a good quality of life for the patient.
When planning a large-scale surgical intervention with intraperitoneal chemotherapy, it is necessary to take into account the physiological and social characteristics of the patient. Despite numerous operations, most of the small intestine was not removed, and the risk of intestinal failure was low. It is also important that the patient had good social support from relatives and friends, and the patient herself and her relatives well understood the lack of the possibility of further standard treatment methods, the essence and risks of cytoreductive surgery. As a result, the patient was not only discharged from the clinic 14 days after the operation, but soon resumed her social life and work in full.
The presence of a multidisciplinary team of specialists with experience in the treatment of patients with peritoneal carcinomatosis is an indispensable component of the success of such operations. The complexity of selecting patients for complex treatment, performing optimal cytoreduction without serious complications and crippling consequences, choosing a chemotherapeutic drug with the least side effects in the absence of unambiguous data in the world literature – all these important therapeutic decisions and technical skills are the product of long-term research work and international exchange experience.
The cooperation of morphologists, oncologists, surgeons and other specialists makes it possible to offer cytoreductive surgical interventions with intraperitoneal chemotherapy to many patients with, at first glance, an “unresectable” tumor.
Sarcoma of the uterus – symptoms, diagnosis and treatment at GMS Hospital
Depending on the histological features, several types of this tumor are distinguished – leiomyosarcoma, endometrial stromal, carcinosarcoma and undifferentiated sarcomas.
Risk factors in the development of uterine sarcoma
Experimental and clinical studies did not allow any reliable cause of uterine sarcomas to be identified. The following reasons have been studied at various times:
- herpes virus type II;
- ionizing radiation, which is used in the treatment of oncological diseases of other organs;
- metabolic syndrome.
The last group includes pathologies associated with obesity, diabetes mellitus, anovulatory uterine bleeding.
A burdened family general oncological heredity is of some importance. These disorders are provoked by an increased level of estrogen and can cause both benign and malignant tumors of the uterus.
Symptoms of cancer
In the early stages, uterine sarcoma is not accompanied by characteristic clinical signs. In some cases, microsymptomatics are noted – a woman may complain of:
- aching pain in the lower abdomen, reminiscent of menstruation;
- abdominal discomfort;
- watery vaginal discharge.
As the sarcoma grows, uterine bleeding appears, the pain syndrome intensifies, the pain becomes cramp-like or chronic aching. A growing neoplasm can compress the bladder or intestines – and then there are problems with the stool or frequent urge to urinate. Weakness, intoxication, weight loss, anemia, swelling in the legs and shortness of breath are signs of disease progression.
Pathology diagnostics
Leiomyosarcomas, endometrial and other types of sarcomas do not have characteristic features.
Therefore, when making a diagnosis, gynecologists do not rely on a physical examination, but on the results of hardware diagnostics. To begin with, the doctor collects an anamnesis, studies the patient’s complaints, the nature of bleeding from the uterus, the features of the menstrual cycle in the reproductive period and during postmenopause. In laboratory blood tests, low hemoglobin levels and high ESR should alert.
Hardware diagnosis of uterine sarcoma is carried out by the following methods:
- Ultrasound with color Doppler mapping of the pelvic organs. If metastases are suspected, an ultrasound examination of the abdominal cavity and retroperitoneal space is performed.
When registering a volumetric formation in the thickness of the uterine wall, it is difficult to immediately suspect sarcoma, especially at a young age. Most often, this formation is mistaken for uterine fibroids. Several factors are alarming: the appearance of nodes with active blood flow in peri- and postmenopause, the intensive and rapid growth of a pre-existing small node, a very active arterial blood flow along the periphery of the nodular formation.
It helps a lot if the patient is regularly observed by a gynecologist and the previous ultrasound scans were no more than 1-2 years ago.
- Bloody discharge is treated with hysteroscopy (visual examination of the uterine cavity) and taking tissue for histological examination by scraping or aspiration.
In addition to ultrasound, an MRI of the pelvis with contrast is often prescribed, which improves the accuracy of preliminary diagnosis. The list of mandatory studies includes X-ray or CT of the chest, CT of the abdominal cavity and retroperitoneal space with contrast. But often the diagnosis of uterine sarcoma is suspected already intraoperatively, when the structure of the tissue is visible to the naked eye. Sometimes this diagnosis is made only after a histological examination, for example, of a myomatous node removed during myomectomy.
Western Standards of Treatment
(evidence-based medicine)
Continuous boost
staff qualifications
Regular interaction
with leading Russian and foreign medical institutions
Modern medical equipment
and advanced diagnostic and treatment methods
Uniform service standard
We work around the clock
24 / 7 / 365
Treatment of uterine sarcoma
An integrated approach is used to treat the disease, but the surgical method is preferred.
The operation is performed in the volume of removal of the uterus with appendages. At a young age, it is possible to preserve the ovaries in some histological types of tumors. The possibility of preservation is determined by the oncological council. A number of sarcomas are extremely aggressive tumors with a tendency to rapid hematogenous metastasis. Chemotherapy is used for all types and stages of uterine sarcomas, hormone therapy may be recommended for hormone-positive types of leiomyosarcoma.
In case of sarcoma of the uterine body, an individual scheme of combined treatment is drawn up for each woman.
Disease prognosis
Survival of patients with leiomyosarcoma and sarcoma depends on the histotype of the tumor and the stage of the disease. Forecasts are more favorable if the pathological process has not spread beyond the uterus. On average, the five-year survival rate of patients with a confirmed diagnosis is about 47% if the oncology was detected at stage I.
In the II and III stages of the disease, this figure decreases to 40%.
A more favorable prognosis is formed for women with endometrial stromal sarcomas of the uterus. With the advent of more modern drugs and treatments, survival rates are increasing.
Primary prevention, as such, does not exist, but it makes sense to closely monitor the size and growth rate of myomatous nodes, especially in women with unfavorable oncological heredity.
Benefits of treatment at GMS Hospital
The multidisciplinary surgical center GMS Hospital provides services for the diagnosis and treatment of uterine sarcoma in accordance with European standards. Clinic surgeons use proven treatment protocols that have proven effective in the fight against oncology. Thanks to modern equipment, it is possible to make diagnoses with high accuracy and perform sparing surgical interventions. Each patient of the center can count on a high level of service, friendly attitude of the staff and a comfortable hospital.

