Foraminal Spondylosis: Causes, Symptoms, and Effective Treatments
What is foraminal spondylosis. How does it affect the spine. What are the main causes of neural foraminal stenosis. What symptoms should you watch out for. How is foraminal spondylosis diagnosed and treated. What home remedies can provide relief.
Understanding Foraminal Spondylosis and Neural Foraminal Stenosis
Foraminal spondylosis, also known as neural foraminal stenosis, is a condition that affects the spine. It occurs when the openings (neural foramen) between vertebrae narrow or become blocked, potentially compressing nerves as they exit the spinal cord. This compression can lead to various symptoms and discomfort.
The human spine consists of 33 vertebrae, each with openings that allow nerves to branch off from the spinal cord and connect to different parts of the body. When these openings become constricted, it can result in neural foraminal stenosis, a specific type of spinal stenosis.
Types of Neural Foraminal Stenosis
Neural foraminal stenosis can occur at different levels of the spine, each with its own characteristics:

- Cervical foraminal stenosis: Affects the neck region and is common due to the high mobility of this area
- Thoracic foraminal stenosis: Less common, occurring in the upper back and potentially impacting shoulders and ribcage
- Lumbar foraminal stenosis: Common in the lower back, another highly mobile area that bears significant weight
Common Causes of Neural Foraminal Stenosis
Neural foraminal stenosis typically develops gradually over time, often as a result of degenerative processes associated with aging. However, injuries can also contribute to its onset. Some of the primary causes include:
- Osteoarthritis, leading to bone spur formation
- Paget’s disease, causing abnormal bone growth
- Herniated disks, which can leak fluid and press on nerves
- Thickened ligaments that bulge into the foramen
- Tumors (though less common)
- Spinal injuries resulting in dislocations or fractures
Is age a significant factor in the development of foraminal spondylosis. Indeed, the condition is most prevalent in individuals over 50 years old, as the cumulative effects of aging on the spine become more pronounced.

Recognizing the Symptoms of Neural Foraminal Stenosis
The symptoms of neural foraminal stenosis can vary depending on the location of the narrowing. It’s important to note that not everyone experiences symptoms, and when present, they often develop gradually and may fluctuate in intensity.
Cervical Foraminal Stenosis Symptoms
- Neck pain
- Balance problems
- Loss of bowel or bladder control
- Difficulty using hands
- Numbness or tingling in hands, arms, feet, or legs
- Weakness in affected limbs
Thoracic Foraminal Stenosis Symptoms
- Balance issues
- Numbness or tingling at or below the abdomen
- Weakness or pain at or below the abdominal level
Lumbar Foraminal Stenosis Symptoms
- Sciatica (pain extending from buttocks down the leg)
- Leg or foot weakness
- Lower back pain that may come and go
- Numbness or tingling in buttocks, legs, or feet
- Loss of bowel or bladder control
- Pain worsening with prolonged standing or walking
- Pain relief when leaning or bending forward
Can the symptoms of neural foraminal stenosis be mistaken for other conditions. Yes, the symptoms can sometimes be confused with other spinal or neurological disorders, which is why a proper diagnosis by a healthcare professional is crucial.

Diagnostic Procedures for Neural Foraminal Stenosis
If you suspect you have foraminal stenosis, consulting a doctor is essential. The diagnostic process typically involves:
- Medical history review
- Physical examination to assess movement limitations, pain, numbness, and reflexes
- Imaging tests for a formal diagnosis:
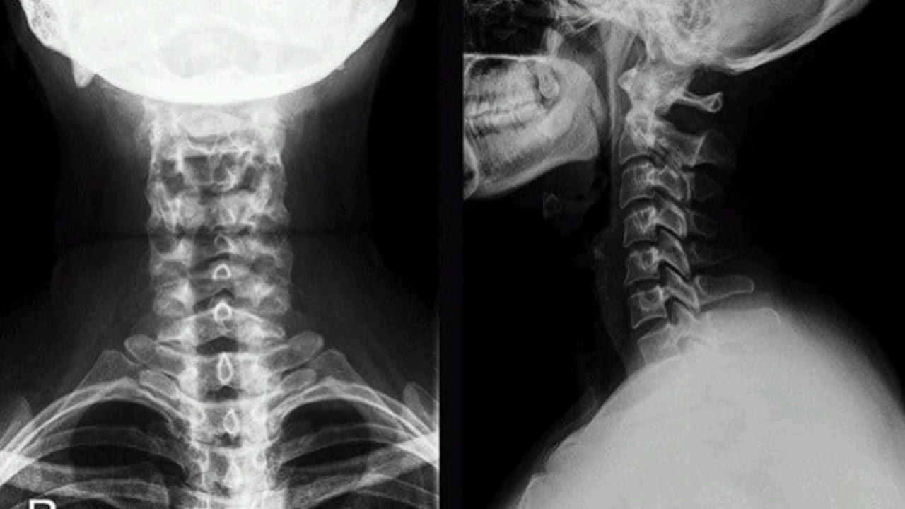
- X-rays: To visualize vertebrae and identify abnormalities
- Magnetic Resonance Imaging (MRI): Reveals damage or disease affecting cartilage and disks
- Computerized Tomography (CT) scans: Provides detailed images of spinal structures
- Myelogram: Uses dye to highlight spinal fluid movement, often combined with CT or MRI
- Bone scans: Identify fractures, growths, infections, and arthritis affecting the spine
How accurate are these diagnostic procedures in identifying neural foraminal stenosis. While each test has its strengths, a combination of imaging techniques along with clinical evaluation provides the most comprehensive and accurate diagnosis.
Treatment Approaches for Neural Foraminal Stenosis
The treatment plan for foraminal stenosis depends on the severity of nerve involvement and symptom intensity. Doctors typically start with conservative treatments before considering more invasive options.

Conservative Treatment Options
- Medications:
- Over-the-counter or prescription NSAIDs
- Prescription pain medicines
- Muscle relaxers
- Steroids
- Posture correction to alleviate stress on the spine
- Activity modification to reduce bending, twisting, and stretching
- Physical therapy to improve flexibility, strength, and posture
Advanced Treatment Options
If conservative treatments prove ineffective, more advanced interventions may be considered:
- Epidural steroid injections to reduce inflammation and pain
- Minimally invasive procedures to decompress affected nerves
- Surgical interventions in severe cases:
- Laminectomy
- Foraminotomy
- Spinal fusion
How effective are conservative treatments in managing neural foraminal stenosis. Many patients find significant relief through non-invasive approaches, especially when combined with lifestyle modifications. However, the effectiveness can vary depending on the individual case and severity of the condition.
Home Remedies and Self-Care for Foraminal Spondylosis
In addition to medical treatments, several home remedies and self-care strategies can help manage symptoms and improve quality of life for those with foraminal spondylosis:

- Regular exercise to maintain flexibility and strength
- Proper posture practices, especially when sitting for long periods
- Use of ergonomic furniture and tools to reduce spine stress
- Application of heat or cold therapy to alleviate pain and inflammation
- Gentle stretching exercises, as recommended by a physical therapist
- Maintaining a healthy weight to reduce pressure on the spine
- Smoking cessation to improve overall spine health
Are there any specific exercises that can help alleviate symptoms of neural foraminal stenosis. Yes, certain exercises can be beneficial, but it’s crucial to consult with a healthcare provider or physical therapist before starting any new exercise regimen. They can recommend tailored exercises that address your specific condition without exacerbating symptoms.
Prevention and Long-Term Management of Foraminal Spondylosis
While it may not be possible to completely prevent foraminal spondylosis, especially as we age, there are steps that can be taken to reduce the risk and manage the condition long-term:

- Maintaining good posture throughout daily activities
- Regular exercise to strengthen core and back muscles
- Avoiding repetitive motions that strain the spine
- Using proper lifting techniques to protect the back
- Managing underlying conditions like osteoarthritis
- Regular check-ups with a healthcare provider to monitor spine health
- Adapting work and home environments to be spine-friendly
Can lifestyle changes significantly impact the progression of foraminal spondylosis. Indeed, adopting a healthy lifestyle that includes regular exercise, proper nutrition, and good posture habits can play a crucial role in slowing the progression of the condition and managing symptoms effectively.
Understanding the Impact of Foraminal Spondylosis on Quality of Life
Foraminal spondylosis can have a significant impact on an individual’s daily life and overall well-being. The chronic pain and mobility issues associated with the condition can affect various aspects of life, including:
- Work performance and productivity
- Ability to participate in recreational activities
- Sleep quality and patterns
- Mental health and emotional well-being
- Social interactions and relationships
- Independence in daily activities
How can individuals cope with the emotional and psychological effects of living with foraminal spondylosis. Coping strategies may include:
- Joining support groups to connect with others facing similar challenges
- Practicing stress-reduction techniques like meditation or mindfulness
- Seeking counseling or therapy to address emotional impacts
- Engaging in hobbies and activities that bring joy and fulfillment
- Maintaining social connections and open communication with loved ones

Emerging Treatments and Research in Foraminal Spondylosis
The field of spinal health is continuously evolving, with ongoing research into new treatments and management strategies for conditions like foraminal spondylosis. Some areas of current interest and potential future developments include:
- Regenerative medicine approaches, such as stem cell therapy
- Advanced imaging techniques for more precise diagnosis
- Minimally invasive surgical procedures with faster recovery times
- Novel pain management techniques and medications
- Wearable technology for monitoring and managing symptoms
- Artificial intelligence applications in diagnosis and treatment planning
What role might artificial intelligence play in the future of foraminal spondylosis treatment. AI has the potential to revolutionize diagnosis and treatment planning by analyzing vast amounts of patient data, predicting treatment outcomes, and assisting in personalized care strategies. However, it’s important to note that AI will likely complement, rather than replace, the expertise of healthcare professionals.

Navigating Healthcare Options for Foraminal Spondylosis
Dealing with foraminal spondylosis often requires a multidisciplinary approach. Patients may need to interact with various healthcare professionals to receive comprehensive care. Key members of the healthcare team may include:
- Primary care physicians
- Neurologists
- Orthopedic specialists
- Neurosurgeons
- Physical therapists
- Pain management specialists
- Occupational therapists
- Mental health professionals
How can patients effectively communicate their symptoms and concerns to healthcare providers. It’s helpful to:
- Keep a detailed symptom diary, noting triggers and patterns
- Prepare a list of questions before appointments
- Be honest about the impact of symptoms on daily life
- Bring a trusted friend or family member to appointments for support
- Follow up on test results and treatment recommendations
By understanding foraminal spondylosis, its causes, symptoms, and treatment options, individuals can work more effectively with their healthcare team to manage the condition and maintain a good quality of life. While the condition can be challenging, with proper care and management, many people with foraminal spondylosis can find relief and continue to enjoy their daily activities.

What Causes It and How It’s Treated
Written by WebMD Editorial Contributors
- Types of Neural Foraminal Stenosis
- What Causes Neural Foraminal Stenosis?
- What Are the Symptoms of Neural Foraminal Stenosis?
- How Is Neural Foraminal Stenosis Diagnosed?
- How Is Neural Foraminal Stenosis Treated?
- Home Treatment Options
- More
Your spine is made up of 33 vertebrae. Each one has openings to let nerves that branch off the spinal cord pass through to other parts of the body. When these openings, called neural foramen, narrow or get blocked, they can press on your nerves. This is called neural foraminal stenosis.
Neural foraminal stenosis can happen anywhere along your spine. It’s a type of spinal stenosis. Your spinal cord is a bundle of nerves that runs down the center of your spine. Nerves branch off of your spinal cord and connect to your arms, legs, and other body parts.
Cervical foraminal stenosis.
This occurs in your cervical vertebrae, which are the spinal bones in your neck. Your neck is one of the most mobile parts of your spine and has to support your head, so it’s a common place for foraminal narrowing to occur.
Thoracic foraminal stenosis. This is the least likely type of foraminal stenosis. Your thoracic spine is located in your upper back area. Thoracic foraminal stenosis can affect your shoulders and ribcage.
Lumbar foraminal stenosis. This is another common type of foraminal stenosis. The lumbar spine is located in your lower back. This is another very mobile area of your spine. It also has to hold up a lot of weight.
Most causes of neural foraminal stenosis are degenerative, which means they happen over time as you age. It can also be caused by injuries. Some causes of foraminal stenosis include:
- Osteoarthritis, which can cause bone spurs to grow into the foramen
- Paget’s disease, which also causes bone overgrowth
- Herniated disks, which can leak fluid that presses on your nerves
- Thickened ligaments, which can bulge into your foramen
- Tumors, though these are a less common cause
- Spinal injuries, which can cause dislocations or fractures
Not everyone has symptoms of foraminal stenosis.
Symptoms usually develop slowly over time, and they may come and go. It’s most common in people over 50. Your symptoms will vary based on where the neural foraminal stenosis is located.
Cervical foraminal stenosis. Symptoms can include:
- Neck pain
- Balance problems
- Loss of bowel or bladder control
- Trouble using your hands
- Numbness or tingling in the hand, arm, foot, or leg
- Weakness in the hand, arm, leg, or foot
Thoracic foraminal stenosis. Symptoms can include:
- Problems with balance
- Numbness or tingling at or below the level of the abdomen
- Weakness or pain at or below the level of the abdomen
Lumbar foraminal stenosis. Symptoms can include:
- Sciatica, or pain that begins in your buttock and extends down the leg, possibly into the foot
- Weakness in the leg or foot
- Pain in the lower back that may come and go
- Numbness or tingling in the buttock, leg, or foot
- Loss of bowel or bladder control
- Pain that worsens when you stand or walk for long periods
- Pain that gets better when you lean forward, bend forward, or sit
If you think you have foraminal stenosis, talk to your doctor.
After looking at your medical history, they’ll look for limitations in your movement, ask about pain and numbness, and check your reflexes.
If your doctor thinks you have it, there are several procedures used for a formal diagnosis:
- X-rays show your vertebrae to help identify or rule out growths, injuries, and abnormalities.
- Magnetic resonance imaging (MRI) shows damage or disease that affects the cartilage and cushions between your disks.
- Computerized tomography (CT) scans give outlines of all the structures that surround your spinal canal, showing any impacts on your nerves.
- A myelogram is a procedure where your doctor uses a dye to show the movement of fluid between individual disks in your spine. Once they inject dye, they use a CT or MRI to see pressure points affecting your nerves.
- Bone scans identify fractures, growths, infections, and arthritis that impact your spinal column.
Treatment for your foraminal stenosis will depend on the amount of nerve involvement and the severity of your symptoms.
Your doctor will likely start with conservative treatment. Here is a brief look at some treatment options.
Medicines. This may include prescription or over-the-counter nonsteroidal anti-inflammatory drugs (NSAIDs), prescription pain medicines, muscle relaxers, and steroids.
Correcting your posture. If your spine is not correctly aligned, it can cause stress on your lower back and neck.
Modifying your activities. Changing your home and work environment to reduce bending, twisting, and stretching can help your symptoms. You may need to learn proper lifting techniques as well.
Physical therapy. A therapist can help you learn exercises to improve your flexibility, strength, and circulation. This can help to reduce your pain and inflammation.
Braces. You may need to wear a brace for support.
Surgery. If your condition is causing severe pain or impacting your quality of life, your doctor may suggest surgery on the spine.
The surgery, called a foraminotomy, may be more or less invasive depending on the degree of damage to your spine.
A neurosurgeon works with specialized nurses to perform a foraminotomy, which usually takes several hours. Here’s what you can expect during the surgery:
- You’ll lie on your stomach.
- Anesthesia puts you under so you don’t feel pain or discomfort during the procedure.
- Nurses monitor vital signs like your heart rate and blood pressure.
- Your surgeon makes a small incision beside the vertebrae on the side of your body affected by symptoms.
- X-rays and a microscope help guide the procedure.
- Your surgeon uses special tools to move muscles and ligaments blocking the opening, so they have a clear view of the vertebrae.
- Any blockage is removed, or bulging discs are repaired.
- Your doctor may need to remove a portion of your vertebrae to allow more room for your nerves.
- Your muscles and ligaments move back into place and the incision is closed with stitches.

After foraminal stenosis surgery, you usually resume a normal diet and activity. You may need to rest for a few days following the procedure and allow the surgical site to heal. Depending on the reason for your surgery, your doctor may recommend physical therapy.
There are some things you can do at home to help your foraminal stenosis as well. Here are a few suggestions.
Pain relievers. Try using over-the-counter pain relievers such as NSAIDs to help relieve pain and inflammation.
Use ice or heat. You may be able to improve your symptoms with heat or ice.
Use assistive devices. A walker or a cane can help you avoid falls. They may also help relieve your pain by letting you bend forward while you walk.
Exercise. Talk to your doctor or physical therapist about what exercises you can do to improve your balance and strengthen your muscles.
Maintain a healthy weight.
If you are overweight, losing weight can help take some of the stress off of your spine.
Top Picks
What Causes It and How It’s Treated
Written by WebMD Editorial Contributors
- Types of Neural Foraminal Stenosis
- What Causes Neural Foraminal Stenosis?
- What Are the Symptoms of Neural Foraminal Stenosis?
- How Is Neural Foraminal Stenosis Diagnosed?
- How Is Neural Foraminal Stenosis Treated?
- Home Treatment Options
- More
Your spine is made up of 33 vertebrae.
Each one has openings to let nerves that branch off the spinal cord pass through to other parts of the body. When these openings, called neural foramen, narrow or get blocked, they can press on your nerves. This is called neural foraminal stenosis.
Neural foraminal stenosis can happen anywhere along your spine. It’s a type of spinal stenosis. Your spinal cord is a bundle of nerves that runs down the center of your spine. Nerves branch off of your spinal cord and connect to your arms, legs, and other body parts.
Cervical foraminal stenosis. This occurs in your cervical vertebrae, which are the spinal bones in your neck. Your neck is one of the most mobile parts of your spine and has to support your head, so it’s a common place for foraminal narrowing to occur.
Thoracic foraminal stenosis. This is the least likely type of foraminal stenosis. Your thoracic spine is located in your upper back area. Thoracic foraminal stenosis can affect your shoulders and ribcage.
Lumbar foraminal stenosis. This is another common type of foraminal stenosis. The lumbar spine is located in your lower back. This is another very mobile area of your spine. It also has to hold up a lot of weight.
Most causes of neural foraminal stenosis are degenerative, which means they happen over time as you age. It can also be caused by injuries. Some causes of foraminal stenosis include:
- Osteoarthritis, which can cause bone spurs to grow into the foramen
- Paget’s disease, which also causes bone overgrowth
- Herniated disks, which can leak fluid that presses on your nerves
- Thickened ligaments, which can bulge into your foramen
- Tumors, though these are a less common cause
- Spinal injuries, which can cause dislocations or fractures
Not everyone has symptoms of foraminal stenosis. Symptoms usually develop slowly over time, and they may come and go. It’s most common in people over 50.
Your symptoms will vary based on where the neural foraminal stenosis is located.
Cervical foraminal stenosis. Symptoms can include:
- Neck pain
- Balance problems
- Loss of bowel or bladder control
- Trouble using your hands
- Numbness or tingling in the hand, arm, foot, or leg
- Weakness in the hand, arm, leg, or foot
Thoracic foraminal stenosis. Symptoms can include:
- Problems with balance
- Numbness or tingling at or below the level of the abdomen
- Weakness or pain at or below the level of the abdomen
Lumbar foraminal stenosis. Symptoms can include:
- Sciatica, or pain that begins in your buttock and extends down the leg, possibly into the foot
- Weakness in the leg or foot
- Pain in the lower back that may come and go
- Numbness or tingling in the buttock, leg, or foot
- Loss of bowel or bladder control
- Pain that worsens when you stand or walk for long periods
- Pain that gets better when you lean forward, bend forward, or sit
If you think you have foraminal stenosis, talk to your doctor.
After looking at your medical history, they’ll look for limitations in your movement, ask about pain and numbness, and check your reflexes.
If your doctor thinks you have it, there are several procedures used for a formal diagnosis:
- X-rays show your vertebrae to help identify or rule out growths, injuries, and abnormalities.
- Magnetic resonance imaging (MRI) shows damage or disease that affects the cartilage and cushions between your disks.
- Computerized tomography (CT) scans give outlines of all the structures that surround your spinal canal, showing any impacts on your nerves.
- A myelogram is a procedure where your doctor uses a dye to show the movement of fluid between individual disks in your spine. Once they inject dye, they use a CT or MRI to see pressure points affecting your nerves.
- Bone scans identify fractures, growths, infections, and arthritis that impact your spinal column.
Treatment for your foraminal stenosis will depend on the amount of nerve involvement and the severity of your symptoms.
Your doctor will likely start with conservative treatment. Here is a brief look at some treatment options.
Medicines. This may include prescription or over-the-counter nonsteroidal anti-inflammatory drugs (NSAIDs), prescription pain medicines, muscle relaxers, and steroids.
Correcting your posture. If your spine is not correctly aligned, it can cause stress on your lower back and neck.
Modifying your activities. Changing your home and work environment to reduce bending, twisting, and stretching can help your symptoms. You may need to learn proper lifting techniques as well.
Physical therapy. A therapist can help you learn exercises to improve your flexibility, strength, and circulation. This can help to reduce your pain and inflammation.
Braces. You may need to wear a brace for support.
Surgery. If your condition is causing severe pain or impacting your quality of life, your doctor may suggest surgery on the spine.
The surgery, called a foraminotomy, may be more or less invasive depending on the degree of damage to your spine.
A neurosurgeon works with specialized nurses to perform a foraminotomy, which usually takes several hours. Here’s what you can expect during the surgery:
- You’ll lie on your stomach.
- Anesthesia puts you under so you don’t feel pain or discomfort during the procedure.
- Nurses monitor vital signs like your heart rate and blood pressure.
- Your surgeon makes a small incision beside the vertebrae on the side of your body affected by symptoms.
- X-rays and a microscope help guide the procedure.
- Your surgeon uses special tools to move muscles and ligaments blocking the opening, so they have a clear view of the vertebrae.
- Any blockage is removed, or bulging discs are repaired.
- Your doctor may need to remove a portion of your vertebrae to allow more room for your nerves.
- Your muscles and ligaments move back into place and the incision is closed with stitches.

After foraminal stenosis surgery, you usually resume a normal diet and activity. You may need to rest for a few days following the procedure and allow the surgical site to heal. Depending on the reason for your surgery, your doctor may recommend physical therapy.
There are some things you can do at home to help your foraminal stenosis as well. Here are a few suggestions.
Pain relievers. Try using over-the-counter pain relievers such as NSAIDs to help relieve pain and inflammation.
Use ice or heat. You may be able to improve your symptoms with heat or ice.
Use assistive devices. A walker or a cane can help you avoid falls. They may also help relieve your pain by letting you bend forward while you walk.
Exercise. Talk to your doctor or physical therapist about what exercises you can do to improve your balance and strengthen your muscles.
Maintain a healthy weight.
If you are overweight, losing weight can help take some of the stress off of your spine.
Top Picks
Treatment of spinal spondylosis in Moscow at the Dikul clinic: prices, appointments
Over time, the strength and structure of the spine begin to degrade as a result of years of wear and tear. Since the spine is the supporting structure of the upper body, protects the spinal cord, and is constantly flexing and extending, it is subject to degenerative changes.
In the complex system of ligaments, vertebrae, joints, nerves, and muscles that forms the spinal column, nearly every component can degrade as we age.
Spondylosis is a medical term used to refer to a general degeneration of the spine and intervertebral discs, which act as cushions and absorb shocks. Degenerative changes can occur in the neck (known as the cervical region), mid-back (thoracic region), or lower back (lumbar region) and tend to progress as a person ages. There are currently over 3 million cases of spondylosis a year in the United States, most of which usually appear with other spinal problems.
Spondylosis is a chronic disease that often lasts for years or for the lifetime of the patient, but many people do not have symptoms until spinal degeneration causes a secondary complication.
Treatment of spondylosis does not allow to completely get rid of this disease, but adequate complex therapy allows avoiding serious complications of this condition.
Causes
The main causes of spondylosis are aging and deterioration of supporting structures, which is due to involutional changes in the body.
However, there are several factors that can increase the risk of developing spondylosis:
- Heavy episodes and injuries such as may occur during manual labor, high-impact sports, motor vehicle accidents or severe falls
- Genetic predisposition, congenital anomalies of the spine or family history of back pain
- Conditions such as osteoarthritis of the facet joints, spinal stenosis or degenerative disc disease (osteochondrosis), benign or cancerous tumors, bone growths (osteophytes), and herniated discs.
- Obesity
- Smoking and/or excessive drinking
- Malnutrition
- Lack of exercise
- Performing repetitive movements that place excessive stress on the spine, such as in occupations that require regular lifting of heavy objects, strenuous physical activity, or prolonged driving.
Symptoms
Since spondylosis is a collective term for degeneration of the vertebrae and discs, symptoms may occur depending on the location, severity and nature of the underlying condition.
Common symptoms to watch out for include:
- Lower back pain in the middle of the back or in the neck
- Herniated discs
- Radicular manifestations
- Sciatica
- Numbness and weakness in the affected region of the spine and associated limbs
- Tingling sensation in affected area and limbs
- Headaches
- Limited range of motion, stiffness in the vertebral joints and a feeling that the bones are “rubbing” against each other
- Problems with balance and inability to perform daily activities due to pain or discomfort
It is extremely important to identify the problems associated with each case of spondylosis as quickly as possible, as many potential problems are dangerous and can lead to further complications. With surgical treatment of spondylosis, you can restore or improve your quality of life.
If urinary or bowel incontinence, immobility or fever occurs and these symptoms occur in combination with back pain, medical attention should be sought immediately.
These symptoms can be a sign of the cauda equine syndrome, which is dangerous for health, and in such cases, emergency surgery is necessary!
Diagnosis of spondylosis
Because many people with spondylosis do not have any symptoms, imaging is required to make a diagnosis. In the presence of symptoms, it is necessary to differentiate clinical manifestations from other diseases such as spinal stenosis (cervical or lumbar).
The doctor begins with a physical examination of the patient, during which it is necessary to check the range of motion, reflexes, muscle strength and analyze for changes in walking.
Imaging techniques such as radiography, MRI or computed tomography can provide a detailed morphological picture of spinal tissues. Electromyography (EMG) may also be done to measure electrical activity and conduction from nerves to muscles.
Treatment
Approximately 90% of men aged 50 and over – and 90% of women aged 60 and over – have signs of degenerative changes in the spine.
Conservative treatment
Medications: Specialty drugs that reduce pain and inflammation (NSAIDs) can often reduce pain and discomfort for long periods of time, and often a course of treatment (NSAIDs combined with muscle relaxants) allows you to switch to physical therapy methods.
Physiotherapeutic procedures (ultrasound therapy, mild electrical stimulation) and localized injections can maximize the effect of drug therapy).
Alternative therapies: cryotherapy, therapeutic massage, traction therapy, and other evidence-based therapies usually help patients with spondylosis.
Physical Therapy (PT): Therapeutic exercises selected by the physical therapist allow patients to strengthen their abdominal and back muscles. In addition, physical activity can reduce weight. Weight loss and muscle strengthening can significantly reduce the severity of spondylosis symptoms by reducing stress on the spine.
Exercise for patients with spondylosis should always be prescribed individually.
The exercise therapy doctor selects exercises in accordance with the condition of a particular patient.
It must be remembered that if any exercise leads to the appearance or intensification of pain, then do not do this exercise!
Physical exercise in spondylosis has the following positive effects:
- Maintaining or increasing range of motion in the joints
- Relaxation and stretching of tight muscles
- Improving the function and nutrition of the joints
- Restoration of muscle strength, supporting function of the spine
- Improve blood circulation and accelerate tissue repair
- Improving spinal control, poor posture or joint position
- Maintaining general well-being.
Proper exercise will help the patient feel better and maintain or improve muscle and joint health. Regular exercise is recommended, such as swimming, water exercises (hydrotherapy or aqua aerobics), walking or cycling.
Various exercises may be recommended for the treatment of spondylosis, but only a physical therapist can determine the right exercises to reduce back pain and joint stiffness.
The treatment of spondylosis in each patient depends both on the morphological changes in the spine and the clinical picture and the presence of concomitant diseases. For more information about a particular treatment method, please contact your doctor.
Basic treatments for spondylosis
- Bed rest (for severe pain)
- Early injury treatment
- Reducing stress that exacerbates pain
- Acupuncture
- Physical exercises to strengthen the muscles of the trunk
- Exercises to Improve Movement Balance and Proprioception
- Strength training
- Stretching exercises
- Biomechanical movement analysis
- Aerobic exercise
- Medicines
- Orthopedic products
- Physiotherapy
- Soft tissue massage
- Blockades
- Heat packs
- Manual therapy for joint mobilization
- Kinesiology taping
- Yoga
Surgical treatment
As a rule, surgical treatment of spondylosis is necessary only in the presence of persistent pain or neurological deficits that cannot be relieved by conservative methods of treatment, or in the presence of severe neurological symptoms.
Recently, most operations for spondylosis (or other spinal conditions) are performed using minimally invasive techniques
Basic Spondylosis Surgery Techniques:
Nerve Decompression
Posterior Approach – A procedure performed on the patient to remove bony growths, enlarged ligaments, or scar tissue that is compressing the spinal cord and/or nerve roots. This procedure is commonly used to treat degenerative disc disease (osteochondrosis) and/or arthritis of the facet joints. This method can also be used to treat patients who have had previous surgeries, including spinal fusions.
Foraminotomy
This is a procedure in which the vertebral foramen – the channel through which the nerve root exits the spine – is enlarged with the help of surgical manipulations. The narrowing of the foraminal canal is usually due to osteochondrosis or spondyloarthrosis. Bone spurs, scar tissue or hernia ( protrusion) of the intervertebral discs, which are formed as a result of osteochondrosis or spondylarthrosis, can narrow the anterior foraminal canal, causing various pathological conditions.
Foraminectomy/foraminotomy expands the foraminal canal to its normal width.
Thermal facet joint ablation
Thermal facet ablation is laser eradication of the sensory nerves that cause pain. During thermal ablation, surgeons vaporize irritated and painful nerves around the facet joints.
Prevention and self-care
The patient may have a higher risk of developing spondylosis due to family history, work or other risk factors. However, simple changes in the patient’s lifestyle can improve the health of the spine and potentially reduce the pain or severity of the condition.
- Needs regular exercise
- Maintenance of normal metabolism
- Nutritious and healthy food
- Stretching during the day
- Development of good posture
- Minimizing exposure to bad habits (alcohol smoking)
- Sufficient hydration
Spondylolisthesis – treatment, symptoms, causes, diagnosis
Spondylolisthesis is a condition in which one vertebra slips (slipping) in relation to another, forward or backward.
Slipping forward is called anterolisthesis, and sliding back is called retrolisthesis. Spondylolisthesis can lead to spinal deformity, as well as narrowing of the spinal canal (spinal stenosis) or root compression at the exit of the nerve roots (foraminal stenosis).
Spondylolisthesis is the most common cause of back pain in adolescents. Symptoms of spondylolisthesis often begin during adolescence, when the body is growing rapidly. Degenerative spondylolisthesis occurs most often after the age of 40.
Approximately 5%-6% of men and 2%-3% of women have spondylolisthesis.
In general, spondylolisthesis is more likely to occur in people whose activities involve physical activity, such as weightlifting, gymnastics, or football.
Men are more likely than women to develop spondylolisthesis, primarily due to greater physical activity.
In childhood (up to five years) spondylolisthesis is quite rare and often asymptomatic and therefore not immediately diagnosed.
Spondylolisthesis is becoming more common among 7-10 year olds. The increase in physical activity during adolescence and adulthood due to degenerative changes leads to the fact that spondylolisthesis is most common in adolescents and adults.
Causes and types
There are five main types of lumbar spondylolisthesis.
- Dysplastic spondylolisthesis: Dysplastic spondylolisthesis is caused by a defect in the formation of part of a vertebra (the facet joints) that allows the vertebrae to slide forward. This type of spondylolisthesis is congenital.
- Isthmic spondylolisthesis: In isthmic spondylolisthesis, there is a defect in the interarticular part of the vertebra. If there is a non-slip defect, the patient has spondylolysis. Isthmic spondylolisthesis can be caused by repetitive injury and is more common in athletes with hyperextension movements, such as gymnasts and soccer players, and in occupations such as electricians.
- Degenerative spondylolisthesis: Degenerative spondylolisthesis occurs due to degenerative changes in the joints of the vertebrae and cartilage degeneration.
Degenerative spondylolisthesis is more common in older patients (over 50 years of age, and much more common in those over 65 years of age). It is also more common in women than men in a 3:1 ratio. Degenerative spondylolisthesis usually occurs at one of two levels of the lumbar spine: at the L4-L5 level of the lumbar spine (this is the most common location for listhesis) and at the L3-L4 level. Degenerative spondylolisthesis is relatively rare in other parts of the spine. But, nevertheless, spondylolisthesis can be simultaneously in the lumbar and cervical spine. - Traumatic spondylolisthesis: Traumatic spondylolisthesis is associated with direct trauma or injury to the vertebrae. Damage to the arch, facet joints, or lamina can lead to the development of spondylolisthesis and, as a result, to the sliding of the vertebra in relation to the underlying one.
- Pathological spondylolisthesis: Pathological spondylolisthesis is caused by a bone defect such as tumors.
Risk factors for listhesis are genetic predisposition or problems in the spine.
Other risk factors include a history of repetitive injury or frequent hyperextension in the lower back and lumbar spine. Athletes such as gymnasts, weightlifters, and soccer players are at a fairly high risk of listhesis due to excessive stress on the spine.
Symptoms
The main symptoms of degenerative spondylolisthesis include:
- Low back pain and/or pain in the legs are the most typical symptoms of spondylolisthesis. The pain is aggravated by exertion. There is also a decrease in the range of motion
- Patients often complain of pain along the sciatic nerve, pain in one or both legs, or a feeling of tiredness in the legs after a long period of standing or walking. As a rule, patients do not notice pain while sitting, since the spinal canal is more open in the sitting position. In an upright position, the spinal canal becomes smaller, stenosis increases, and compression of the nerve roots in the spinal canal occurs.
- Patients also commonly report muscle tension in the hamstrings, loss of flexibility in the lower back, and discomfort or pain on extension.

- Some patients may develop pain, numbness, tingling, and weakness in the legs due to root compression. Severe nerve root compression can lead to bowel or bladder dysfunction or the development of cauda equina syndrome.
Diagnostics
In most cases, it is not possible to visually determine the presence of spondylolisthesis based on a physical examination. In addition, complaints in spondylolisthesis are not specific and are similar to those in other diseases of the spine.
Therefore, it is possible to diagnose spondylolisthesis only with the help of instrumental research methods. Spondylolisthesis is well diagnosed using plain radiographs. Lateral x-rays show well how much the displacement of the vertebra has occurred in relation to the other. The degree of spondylolisthesis is determined depending on the percentage of displacement in relation to the underlying vertebra.
- I degree slip up to 25%,
- II degree from 26% -50%
- III degree from 51% -75%
- IV degree from 76% and 100%
- Grade V, or spondylooptosis, occurs when a vertebra completely extends beyond another vertebra.

If the patient complains of pain, numbness, tingling or weakness in the legs, additional tests may be ordered. These symptoms may be caused by stenosis of the spinal canal or foraminal openings.
In such cases, CT or MRI is prescribed, which allow visualizing not only the presence of listhesis, but also other morphological changes in the spine.
In addition, if a tumor is suspected or the cause of a defect in the bone needs to be determined, PET can be ordered, which is based on the difference in uptake of a radioactive substance depending on the rate of metabolic processes in areas of bone tissue.
Treatment
Generally, in most cases, treatment for listhesis is conservative and includes:
- Unloading of the spine (rest for a short period of time, exclusion of flexion and extension).
- exercise therapy can help increase the range of motion in the spine, strengthen the muscular corset and, thus, somewhat compensate for the impaired spinal biomechanics.




Degenerative spondylolisthesis is more common in older patients (over 50 years of age, and much more common in those over 65 years of age). It is also more common in women than men in a 3:1 ratio. Degenerative spondylolisthesis usually occurs at one of two levels of the lumbar spine: at the L4-L5 level of the lumbar spine (this is the most common location for listhesis) and at the L3-L4 level. Degenerative spondylolisthesis is relatively rare in other parts of the spine. But, nevertheless, spondylolisthesis can be simultaneously in the lumbar and cervical spine.

