Fractured Elbow Cast: Guide | Physical Therapy Guide to Elbow Fracture
What is the process of recovering from an elbow fracture? How can physical therapy help in the recovery process? What to expect when the cast or sling is removed? Get the answers to these questions and more in this comprehensive guide.
Fractured Elbow Recovery: What to Expect
Following an elbow fracture, your physical therapist will design an individualized treatment program to help improve your elbow movement and strength, ease swelling, and restore use of your arm for daily living and athletic activities.
Elbow Immobilization During Healing
While your bone heals, your arm will be in a cast or a sling to keep it still and allow healing. This is also the case if you have had surgery. During the healing process, it is important to prevent as much stiffness, weakness, or swelling as possible. Depending on the amount of activity that is allowed by your physician for your type of fracture or surgery, your physical therapist will prescribe exercises to keep your shoulder, wrist, and hand moving while you are in the cast or sling.

Maintaining Independence During Recovery
Your physical therapist will help you stay as independent as possible by teaching you how to perform your daily activities—such as dressing, working on a computer, housekeeping, and even exercising—while wearing a cast or a sling. Under your physical therapist’s guidance, you can exercise your other arm and legs to maintain and build your fitness level during the healing process.
Restoring Elbow Function After Cast Removal
When your cast or sling is removed, your elbow will most likely be stiff and your arm will be weak, especially if you have had surgery. Your physical therapist will help you prevent permanent loss of movement in the elbow, so don’t delay your visit! Your therapist will examine your elbow and select treatments based on your particular physical problems, goals, level of physical activity, and general health.
Physical Therapy Interventions for Elbow Fracture Recovery
Your physical therapist may prescribe a variety of treatments to help you reduce pain and swelling, improve your ability to move, increase flexibility, increase strength, improve endurance, and safely return to your desired activities.

Developing a Home Exercise Program
Your physical therapist will teach you strengthening and stretching exercises to perform at home. These exercises will be specific for your needs; if you do them as prescribed by your physical therapist, you can speed your recovery.
Achieving Your Recovery Goals
Your physical therapist will discuss your activity goals with you and use them to set your work, sport, and home-life recovery goals. Your treatment program will help you reach your goals in the safest, fastest, and most effective way possible. Your physical therapist will teach you exercises, work retraining activities, and sport-specific techniques and drills to help you achieve your goals.
The Role of Physical Therapy in Elbow Fracture Recovery
Your physical therapist is trained and experienced in choosing the best treatments and exercises to help you safely heal, return to your normal lifestyle, and reach your goals faster than you are likely to do on your own.
Elbow Injury Overview
Elbow injuries are common in both adults and children. Early recognition and treatment of an elbow injury can reduce the risk of complications and later disability. Any serious injury of the elbow deserves medical attention.

Understanding the Elbow Joint
Your elbow is a complex joint formed by 3 bones: the humerus in the upper arm, and the radius and ulna in the forearm. Ligaments, muscles, and tendons maintain your elbow’s stability and allow joint movement.
Common Elbow Injuries
Serious injuries, such as fractures (a bone break) and dislocations, can damage the bones and other structures of the elbow joint, leading to pain, swelling, instability, and limited range of motion.
Importance of Early Treatment
Early recognition and treatment of an elbow injury can reduce the risk of complications and later disability. Any serious injury of the elbow deserves medical attention.
The Role of Physical Therapy in Elbow Injury Recovery
Your physical therapist will design an individualized treatment program to help improve your elbow movement and strength, ease swelling, and restore use of your arm for daily living and athletic activities.
Conclusion
In conclusion, recovering from an elbow fracture requires a comprehensive approach that involves immobilization, physical therapy interventions, and a customized home exercise program. By working closely with your physical therapist, you can regain your elbow function, reduce pain and swelling, and safely return to your desired activities.

Guide | Physical Therapy Guide to Elbow Fracture
Following an elbow fracture, your physical therapist will design an individualized treatment program to help improve your elbow movement and strength, ease swelling, and restore use of your arm for daily living and athletic activities.
While Your Elbow Is in a Cast or a Sling
While your bone heals, your arm will be in a cast or a sling to keep it still and allow healing. This is also the case if you have had surgery. During the healing process, it is important to prevent as much stiffness, weakness, or swelling as possible. Depending on the amount of activity that is allowed by your physician for your type of fracture or surgery, your physical therapist will prescribe exercises to keep your shoulder, wrist, and hand moving while you are in the cast or sling.
Your physical therapist will help you stay as independent as possible by teaching you how to perform your daily activities—such as dressing, working on a computer, housekeeping, and even exercising—while wearing a cast or a sling.
Under your physical therapist’s guidance, you can exercise your other arm and legs to maintain and build your fitness level during the healing process.
When the Cast or Sling Is Removed
When your cast or sling is removed, your elbow will most likely be stiff and your arm will be weak, especially if you have had surgery. Your physical therapist will help you prevent permanent loss of movement in the elbow, so don’t delay your visit! Your therapist will examine your elbow and select treatments based on your particular physical problems, goals, level of physical activity, and general health.
Your physical therapist may prescribe treatments to help you:
Reduce Pain and Swelling. Your physical therapist may use different types of treatments and electrothermal modalities, such as specialized massage, electrical stimulation, and cold packs to reduce pain and swelling.
Improve Your Ability to Move. Your physical therapist will choose specific activities and treatments to help restore normal movement in the elbow and arm.
These might begin with “passive” motions that your therapist performs for you to gently move your elbow joint, and progress to active exercises and stretches that you do yourself.
Increase Flexibility. Your physical therapist may gently apply hands-on treatment (manual therapy) to enable your joints and muscles to move more freely with less pain. These techniques can include stretches and therapeutic massage techniques.
Increase Strength. If your physical therapist finds any weakness in your arm or hand muscles, your therapist will choose, and teach you, the correct exercises and equipment to steadily restore your strength and agility. You might use equipment, such as therapy bands, therapy putty, and hand weights to help strengthen your arm.
Improve Endurance. Restoring your arm’s muscular endurance is important after an injury. Your physical therapist will develop a program of activities to help you regain the endurance you had before the injury, so you can return to doing the things that you like to do.
Learn a Home Program. Your physical therapist will teach you strengthening and stretching exercises to perform at home. These exercises will be specific for your needs; if you do them as prescribed by your physical therapist, you can speed your recovery.
Return to Activities. Your physical therapist will discuss your activity goals with you and use them to set your work, sport, and home-life recovery goals. Your treatment program will help you reach your goals in the safest, fastest, and most effective way possible. Your physical therapist will teach you exercises, work retraining activities, and sport-specific techniques and drills to help you achieve your goals.
Speed Recovery Time. Your physical therapist is trained and experienced in choosing the best treatments and exercises to help you safely heal, return to your normal lifestyle, and reach your goals faster than you are likely to do on your own.
Broken Elbow
Broken Elbow Overview
Elbow injuries are common in both adults and children.
Early recognition and treatment of an elbow injury can reduce the risk of complications and later disability. Any serious injury of the elbow deserves medical attention.
- Your elbow is a complex joint formed by 3 bones:
- The humerus is a single bone in your upper arm that runs from your shoulder to your elbow.
- The radius and ulna, bones of your forearm, run from the elbow to the wrist.
- Ligaments, muscles, and tendons maintain your elbow’s stability and allow joint movement.
- A normal elbow joint allows these motions:
- Flexion, or bending
- Extension, or straightening
- Rotation, turning your palm up and down
- Serious injuries, such as fractures (a bone break) and dislocations, can damage the bones and other structures of your elbow, resulting in problems with movement, blood vessel function, and nerve function. In children, fractures can affect the growth and development of the bones. This is because children have many bone “growth centers,” a part of the bone where bone growth takes place.
As bone growth continues throughout childhood, if one of these “growth centers” is involved in a fracture, it can affect bone development. - An elbow fracture is a break that involves 1 or more of the 3 arm bones where they work together to form the elbow joint.
Broken Elbow Causes
You can injure your elbow in a variety of ways, from overuse (athletic injuries) to an acute traumatic event (a fall or direct blow). Some common events that result in elbow fractures include:
- When you fall backward, off a snowboard for example, you may attempt to brace the fall with your arm outstretched and your hand open.
- High-energy trauma can occur in an automobile or motorcycle collision.
- A direct blow on the elbow can cause a break when you fall off a skateboard or bicycle and land directly on an elbow.
- Sideswipe injury occurs when an elbow is struck while you are resting your elbow out an open car window.
- Any other direct injury to the elbow, wrist, hand, or shoulder can affect the elbow.

Broken Elbow Symptoms
If your elbow shows any of the following signs you may have a fracture or another injury that needs medical attention.
- Swelling of your elbow or in the area immediately above or below your elbow
- Deformity of your elbow, or the areas near your elbow
- Discoloration, such as bruising or redness of your elbow
- Difficulty moving your elbow through its complete range of motion
- Flexion and extension: You should be able to bend your elbow so that you can touch your shoulder with your fingertips. You also should be able to fully straighten your arm.
- Inward and outward rotation: When holding your arm at your side with your elbow flexed (bent) at 90°, you should be able to rotate your hand outward so that your palm faces the ceiling. In this same position, you should be able to rotate your hand inward so that your palm faces the floor.
- Numbness, decreased sensation, or a cool sensation of your forearm, hand, or fingers
- Three major nerves-the median, radial, and ulnar nerves-travel through your elbow.
A serious injury may damage these nerves. - Many blood vessels also pass through your elbow. These important vessels may become injured or compressed when trauma or swelling occurs.
- Three major nerves-the median, radial, and ulnar nerves-travel through your elbow.
- A cut, or open wound, on the elbow after a traumatic injury
- Severe pain after an elbow injury
- A “tight sensation” in the area of your elbow or forearm
When to Seek Medical Care
An elbow fracture carries the risk of potentially serious and disabling complications. If you think your elbow may be fractured, you should seek medical attention at a hospital’s emergency department immediately.
If you have only mild swelling, and no bruising, open wounds, or loss of feeling, you may consider calling a doctor prior to seeking emergency medical attention.
If your elbow shows any of the following problems after an injury to your arm, you should go to an emergency department.
- You have swelling at or near the elbow.
- You notice any deformity of the elbow or the areas near the elbow.

- If you have any doubts, compare your injured elbow to your uninjured one. If you have a new lump or bump, go to the emergency department.
- You hear or feel grinding, popping, or clicking as you move your elbow, wrist, or hand.
- Your elbow “catches” at the joint.
- Your normal elbow motion becomes limited.
- You see any discoloration of the elbow or areas near the elbow. A bluish, purplish, or blackish color may mean you are bleeding into, or near, your elbow. A reddish color may signal infection.
- You notice any numbness or tingling of any part of your arm, for instance, a “funny bone” feeling that doesn’t go away
- Your forearm, wrist, or fingers feels “dead” and difficult or impossible to move normally.
- You have any significant pain in your elbow, forearm, wrist, or hand.
- You notice any color or temperature change in your forearm, wrist, or hand.
- Your wrist or hand is pale, cool, or bluish. You may have a blockage of blood flow in your injured elbow.

- You are bleeding around the elbow area.
- You should be able to easily perform the following motions without pain:
- Fully straighten your elbow
- Fully bend it so that your fingertips touch your shoulder
- Turn your palm completely toward the ceiling and toward the floor
Exams and Tests
The doctor may perform the following procedures in evaluating your broken elbow:
- The doctor will generally want to know your overall health history. Some of the questions will ask for this information:
- Your age
- Your handedness (Are you right-handed or left-handed?)
- Your profession
- Your level of activity (Are you an athlete or a desk worker?)
- The surgeries and injuries you have had, particularly on your elbow or your hand
- The medical illnesses or conditions you have had (Illnesses or medical conditions that may affect bones, joints, ligaments, tendons, muscles, nerves, and blood vessels are very important.
Problems you have had with bleeding or healing are important also.) - The medical illnesses or conditions you now have
- The medications you take
- The medication allergies you have
- The social habits you have (whether you smoke cigarettes or drink alcohol)
- The doctor also will ask specific questions about your injury.
- What caused your injury? For example, did you fall or did something hit your elbow? If you fell, was it onto your hand or directly onto your elbow?
- When did the injury occur?
- When did your symptoms begin?
- What symptoms have you noticed? For example, have you had pain, or pain and swelling, or swelling and discoloration?
- The doctor will perform a limited physical examination, paying particular attention to your injured arm.
- The doctor will probably check your heart, lungs, and abdomen.
- The doctor may also check your head, neck, back, and uninjured arms and legs. Most of this examination is to make sure that no other, more serious, injuries or conditions exist.
Sometimes people in a great deal of pain from a broken elbow do not even notice that they have other injuries.
- The doctor may order basic x-rays. Depending on your unique health history and your treatment needs, the doctor may order additional laboratory tests or specialized x-rays.
- Sometimes elbow injuries cause so much pain that a full examination is impossible. If this is the case, the doctor first may choose to look at your elbow without moving it or touching it.
- The doctor may examine your hand and wrist to make sure that blood vessels and nerves are working properly.
- The doctor then may decide to treat your pain and get some x-rays. Often after pain is relieved (by splinting or giving pain medications), a more complete and reliable examination is possible.
- Basic elbow x-rays are taken from the front and side. Additional x-rays, taken at 2 different angles, also are routine.
- In children, the doctor may take x-rays of the other, uninjured, elbow.
Children’s elbows are not completely formed of bone. Growing cartilage, which later forms bone, may be mistaken for a broken bone. Comparing x-rays of injured and uninjured elbows may help the doctor make a correct diagnosis. - Other images that are like x-rays-ultrasound, CT scan, and MRI-may provide a more complete look at the injured elbow. It is unusual, but not unheard of, for these tests to be done in the emergency department.
- Laboratory tests generally aren’t needed for people with broken elbows. If you are taking certain medications, have certain health conditions, or require an operation to repair your broken elbow, then, lab tests may be done.
- If your doctor is concerned that the artery that runs by the elbow has been cut, an arteriogram may be recommended.
- In this test, the doctor puts dye into the artery to see if it is damaged.
- A damaged artery may need to be surgically repaired because it supplies all the blood to the wrist and hand.

Broken Elbow Treatment Self-Care at Home
Seek medical attention if you think you have broken your elbow. There is no home care. While seeking medical attention, however, here are some first aid tips that are important to remember:
- If you have an open wound, cover it with a clean bandage. If you are bleeding, apply firm pressure and raise your arm.
- Apply an ice pack or cool compress to the swollen area.
- Call for emergency help or get someone to call for emergency help immediately.
- If emergency help is not available immediately, or if you are transporting a person with a suspected broken elbow, immobilize the fracture as much as possible. Even a cardboard box, cut to the right size and shape, can be used as a splint.
- Do not attempt to straighten a broken bone. Allow a doctor or trained person to do that.
- Do not attempt to push a broken bone back into place if it is sticking out of the skin. Adjusting an arm that appears deformed may worsen the damage to bones or other structures within the elbow.

Medical Treatment
Treatment of a broken elbow depends on the type of injury that you have suffered. Your treatment may be as simple as elevating your splinted arm, applying ice to any swollen areas, and taking pain relievers. Treatment can also include operations to repair bones, nerves, and blood vessels. Children and adults usually have different types of elbow injuries. They also heal in very different ways. For these reasons, different treatments are often used for adults and children with broken elbows.
Medications
- A wide variety of pain relievers are available.
- Oral medications are usually used for mild pain.
- Injections, either into a muscle or into a vein (by IV), are used for moderate to severe pain.
- Medication can be put directly into the elbow joint to relieve pain or can be given by injection or IV.
- If your elbow is dislocated or broken and needs to be reset, medications also can be used to help this process.

- These medications relieve pain extremely well and although they may cause sedation (sleepiness), they allow muscles to relax and help a great deal while the doctor works on the elbow.
- After receiving these medications and having their elbow reset, many people awaken to find their elbow has been repaired and splinted.
- If your elbow is dislocated or broken and needs to be reset, medications also can be used to help this process.
Surgery
Sometimes an operation to repair your broken elbow is the best choice. This is particularly true if you have an open, or compound (a fracture in multiple pieces), elbow injury.
- An open elbow injury means that 1 or more of the bones at the elbow has come through the skin.
- Not only does the bone need to be put in place, but it also needs to be thoroughly cleaned so infection does not occur. This is best done in an operating room.
Elbow injuries that damage nerves and blood vessels often need to be fixed in the operating room. Medical researchers have found that certain types of broken elbows heal better if they are repaired in the operating room.
Your doctor will discuss the treatment options with you and help you make the best choice.
Other Therapy
- If your elbow joint is filled with blood or other fluid, the joint can be drained in the emergency department.
- Blood or other fluid drained from the elbow may suggest a particular diagnosis to the doctor.
- Draining this fluid may relieve pressure and pain in the elbow.
- Splints, slings, and casts will be applied.
- Doctors use splints after many different types of elbow injuries. Doctors usually make splints of plaster. They typically place splints on the back of your arm and do not completely encircle it with the splint material. Splints are designed to hold your elbow in one particular position.
- Splints for broken elbows usually run from near your shoulder all the way to your hand. They prevent the elbow from bending or the hand from turning. Such motions may disturb a healing fracture or dislocation of the elbow.

- The doctor may provide a sling so your heavy splinted arm can rest comfortably. Your doctor may ask you to remove the sling at home and elevate your arm above your head. Elevating the arm relieves swelling. This is very important especially during the first few days after an elbow injury when swelling may press on nerve and blood vessels in your elbow or forearm.
- Doctors rarely apply casts to freshly injured elbows. A cast, unlike a splint, completely encircles the arm. If swelling occurs underneath a cast, the swelling may cause damage to nerves and blood vessels.
- Resetting broken elbows: If a bone in your elbow is broken or the elbow is out of joint, your doctor may need to reset the bones. This is done for a variety of reasons.
- Putting the bones back in their proper positions may greatly relieve pain.
- Resetting bones also allows proper healing to begin.
- Sometimes broken bones press on, or cut, nerves or blood vessels.
Moving the bones to their normal positions may stop this damage. - If the bones of your elbow need to be reset, medications are available to relieve the pain and anxiety you may feel.
Next Steps
Follow-up
It is extremely important to follow your doctor’s medical advice exactly if you have a broken elbow. Once injured, the elbow is not a “forgiving” joint as it heals. To get the best possible result after you’ve broken your elbow, pay attention to the advice your doctor gives you. Keep all follow-up appointments with your doctor.
Following are some of the common things you may be told after your first visit for your broken elbow:
- Use medications to reduce pain and swelling.
- Elevate your arm to reduce pain and swelling.
- Leave your splint or cast in place. Take care of your cast or splint.
- Take antibiotics to treat infection, if prescribed, or to reduce the chance of getting an infection.
- Return to the emergency department immediately if you notice any of the following:
- Your hand is cold.

- Your hand is pale or blue.
- Your hand is numb, tingling, or “dead” feeling.
- Your forearm hurts if you move your wrist, hand, or fingers.
- Your hand is cold.
Prevention
Most broken elbows stem from trauma-falls, sports injuries, motor vehicle crashes. The same common-sense things you would do ordinarily to prevent accidents will help prevent elbow injuries.
- In automobiles
- Obey the rules of the road and drive defensively.
- Always wear your seat belts while driving and as a passenger.
- Don’t drink alcohol and drive.
- Don’t drive a vehicle if you’ve taken medicines or drugs that may make you sleepy.
- Children always should be in proper child restraint devices.
- Don’t drive with your arm propped on the window or hanging out of the car window.
- At home
- Remove household items that may cause you to trip and fall. Some common tripping hazards are power cords, small rugs, and footstools.

- Wipe up spills and deal with any slick floors that might cause a trip and fall.
- Try to keep walks and driveways ice-free in winter.
- Remove household items that may cause you to trip and fall. Some common tripping hazards are power cords, small rugs, and footstools.
- While exercising or playing sports
- Don’t exercise, practice, or participate if you are overly fatigued. Injuries tend to happen when you are tired.
- Don’t continue an activity if you are having elbow pain.
- Always wear proper protective gear while playing sports.
Outlook
The elbow is a very complex joint. Sometimes it is not very “forgiving” after it is injured. That is, the joint may develop certain problems. The way your elbow heals after it is broken depends on your age and medical condition at the time of your injury as well as the type of injury you have.
Certain types of elbow injuries are associated with particular types of problems as they heal. Children tend to heal better than adults. It is important to realize that many broken elbows heal without any problems.
Your doctor will be able to advise you as your elbow heals.
Following are some of the more common problems with broken elbows:
- Infection: Open injuries-when one of the elbow bones comes through the skin-have a higher infection risk. Bacteria can then enter the bone or joint and cause an infection.
- Doctors try to prevent infection by using sterile techniques in the operating room.
- They also attempt to wash away bacteria on or near open injuries.
- Antibiotics can be used to treat infections as well.
- Stiffness: Many elbow injuries result in elbow stiffness. The injured elbow may not flex, extend, or turn as much as it once did. This usually is a problem for adults rather than for children.
- Nonunion: A broken bone that does not grow back together is called nonunion. This can happen with certain types of elbow fractures. Nonunion of a broken elbow can be treated by replacing the elbow with an artificial joint or by bone grafting.
Bone grafting involves placing additional bone around the area of the nonunion. - Malunion: Malunion occurs when healing bones grow back together in an abnormal way. The bone may be bent or twisted. An operation may be required to fix this problem.
- Abnormal bone growth: A broken bone repairs itself by forming new bone. As a broken elbow heals, this new bone may form in areas where bone does not usually grow.
- Arthritis: Arthritis literally means joint inflammation. Most people think of arthritis as painful joints. After a severe injury, people can develop a type of arthritis that may make a joint painful and stiff. Sometimes this can become worse with cold weather or overuse.
- Nerve damage: The 3 nerves that run through the elbow can be cut, compressed, or pulled in an elbow injury. The resulting nerve damage may be temporary or permanent. Swelling after an elbow injury can press on nerves causing damage.
- Hardware problems: Doctors sometimes repair broken elbows with wires, pins, screws, plates, and other pieces of hardware.
If any of this hardware moves, it may cause pain or unsightly bumps under your skin. If this occurs, the hardware may need to be removed. - Blood vessel damage: A large artery runs very near your elbow joint to supply blood to the forearm, wrist, and hand. Certain elbow injures may cut or compress this artery. Sometimes resetting the broken elbow will relieve pressure on the artery. Sometimes you may need an operation.
Synonyms and Keywords
fractured elbow, injured elbow, swollen elbow, elbow trauma, broken elbow
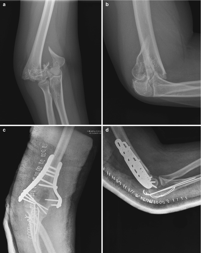
Healing from Elbow Fracture Repair Surgery: What to Expect : Orthopedic Associates of Southwest Florida, P.A.: Orthopedic Surgeons
You have three bones forming your elbow joint: the distal humerus, the radial head, and the olecranon.
The distal humerus is the part of your upper elbow at the bottom of the arm bone that attaches your elbow to your shoulder. Your radial head is the knobby part of your radius where your forearm meets your elbow.
The bony point of your elbow joint is the olecranon. This area of your ulna — the second bone in your forearm — cups the bottom of your humerus. It also provides the hinge-like movement in your elbow.
When you break your elbow, you actually fracture the olecranon. While some fractures can heal without surgery, you usually need medical care to realign your elbow structure and restore function to the joint.
Dr. Edward R. Dupay Jr. always takes a conservative approach to treatment at Orthopedic Associates of Southwest Florida in Fort Myers, Florida. When nonsurgical therapies aren’t an option, he also offers minimally invasive, arthroscopic surgical techniques when possible. This approach causes less trauma to the treatment site, resulting in less pain and stiffness and a shorter recovery time.
Whether you have traditional elbow surgery, arthroscopic repair, or reconstructive surgery, Dr. Dupay has these insights into what to expect during your recovery process.
Immobilization
During your elbow repair surgery, Dr. Dupay puts your bones back in place, sometimes securing them with metal pins or screws. This helps hold your bones together while they heal.
To support your recovery, you can expect to wear a brace, splint, or sling. These immobilizing options allow for swelling in the area and some arm movement. However, Dr. Dupay could recommend a cast for greater support.
A splint, brace, sling, or cast ensures your elbow remains immobilized, which prevents your bones from shifting out of position while you heal.
Restrictions
No matter how long you need to keep your elbow immobilized, you can expect to have restrictions for at least six weeks.
The most common restrictions after elbow surgery involve not lifting heavy objects with the affected arm and not using it to push or pull — like opening doors or getting up from a chair. It’s also likely that you won’t be able to drive for a short period.
While you can expect to have activity restrictions, you may be able to bathe, dress, and feed yourself without issue. However, Dr. Dupay provides specific instructions based on your injury and your procedure.
Physical therapy
A broken elbow can limit your ability to do simple daily tasks, do your work, and enjoy recreational activities. In some cases, stiffness and reduced range of motion can persist years after you heal.
Fortunately, all elbow fractures benefit from physical therapy, and your exercises could begin as soon as the day after your surgery. Your program will focus on restoring strength and range of motion to your elbow and arm.
Strength
Elbow surgery, especially if you have to wear a sling, can cause muscle loss around the shoulder, elbow, wrist, and hand. Your physical therapy will focus on restoring strength to these areas so you regain normal function in your arm.
Range of motion
Your elbow has the unique ability to bend like a hinge and turn your hand over.
Exercises focusing on these movements typically begin as soon as possible because early introduction usually provides better results.
In most cases, you can resume normal activities within four months of your surgery. However, it can take up to a year to completely heal from a broken elbow. For best results, it’s essential to continue performing your physical therapy exercises every day, even when your formal program comes to an end.
To find expert orthopedic care for your elbow fracture, contact our office by calling 239-768-2272 or requesting an appointment online today.
Elbow Fracture Care
Care
There may be some swelling of the hand and/or fingers for two to five days after the fracture. Keep the elbow and hand elevated for the first two to three days by lying down on a couch or bed and propping the arm up with pillows; keep elbow and hand above the level of the heart.
Keeping an ice bag on the elbow will also help to reduce the swelling.
Ice bags you can use include frozen vegetables such as peas or corn, commercial ice products such as “blue ice,” or heavy plastic bags filled with ice. Cover the bags of ice with a dry thin towel to protect the cast from getting wet. If swelling or pain increases, or fingers become numb, notify the orthopaedic nurse or doctor.
Check your child’s fingers often for movement, feeling and circulation during the first couple of days following surgery and/or cast placement. Notify your child’s doctor of any decrease in circulation, decrease in the ability to move the fingers, or decreased feeling (numbness) in the fingers.
Encourage your child to move his/her fingers.
Keep the cast dry and clean. Waterproof casts cannot be used for fractures with pins in place.
Your child’s doctor will order pain medication for you to give your child at home. Follow the directions on the label carefully. If the pain medicine does not work, call the orthopaedic nurse or doctor.
Pin Tract Infection
About 3 percent of patients can develop a pin tract infection.
This usually starts about one to four weeks after pin placement. Signs of infection include:
- Increasing elbow pain or fussiness after the first week
- Fever
- Drainage out of the cast
If your child develops any of these symptoms, call the orthopaedic nurse or doctor.
Baths Only; No Showers
You should place a plastic bag over the casted arm and tape it tight at the top (at the armpit). Never submerge the arm or allow water to run over it. Place the casted arm on the side of the tub and watch the child to make sure he or she keeps the cast out of the water.
If it should get wet, immediately dry with a blow dryer using the cool setting only. If this does not dry the cast, call your doctor immediately for further instructions. A wet cast can cause skin sores if not taken care of right away.
Activities
Your child should avoid any activities that may increase the likelihood of tripping and falling. When your child feels well enough and is no longer requiring narcotic pain medicine, he/she may return to school wearing a sling.![]()
Place a safety pin between the two sling layers, just in front of the elbow, to help keep the sling from sliding off of the arm. Your child should wear the sling when out of bed until the cast is removed.
Cast Removal
After healing takes place your child may have elbow stiffness that lasts for three to four weeks after the cast is removed. Children often hold their arm for the first few hours after their cast is removed due to elbow stiffness. The stiffness usually goes away spontaneously within a month after cast removal.
Pin Removal
Elbow pins are usually removed in the office in a matter of seconds. Although patients may be anxious or cry, it is not a painful procedure, so they need not be scared. We usually place an Ace wrap over the pin sites, which can be replaced with a bandage the next day.
Physical therapy is usually not necessary. Patients are allowed to swim once the skin pin holes have closed up (usually one to two days after cast removal), and your child can play sports once they have near full motion (approximately one to four weeks after cast removal).
Return of full range of motion may take up to three months.
Follow-Up
Your child’s provider will tell you when your child needs to return for follow-up care. Make this appointment at the desk before leaving or call the office as soon as you can to make the appointment.
X-rays will be taken to determine how the healing is progressing.
Contact Us
If you need to reach the orthopaedic nurse before 4 pm Monday through Friday, call 513-636-4567. After 4 pm and during weekends and holidays, call 513-636-4200, and ask that the orthopaedic resident on call be paged.
Broken Elbow | Diagnosis & Treatments
How are broken elbows in children diagnosed?
To diagnose broken elbows in children, the doctor will carefully examine the injured area for tenderness, redness, and swelling.
One or more of the following imaging techniques may also be used to get pictures of the broken bone and to check for damage to muscles or blood vessels.
- X-ray: The main tool used for diagnosing a broken bone. This painless test uses small amounts of radiation to produce images of bones onto film. After the doctor puts the pieces of the broken bone in the right position, an x-ray can also help determine whether the bones in the arm are healing in the proper position.
- Magnetic resonance imaging (MRI): Some fractures (such as stress fractures) don’t show up on an x-ray until a few weeks after the bone starts hurting. An MRI is a diagnostic procedure that uses a combination of large magnets, radio frequencies, and a computer to produce detailed images of organs and structures within the body. These types of tests are more sensitive than x-rays and can pick up smaller fractures before they get worse.
- Computed tomography scan (CT, CAT scan): A diagnostic imaging procedure that uses a combination of x-rays and computer technology to produce cross-sectional images (often called slices), both horizontally and vertically, of the body.

- Bone scan: A painless imaging method that uses a radioactive substance to evaluate bones and determine the cause of pain or inflammation. Bone scans are also useful for detecting stress fractures and toddler’s fractures, which can be hard to see on x-rays.
How are broken elbows in children treated?
The treatments for broken elbows in children depend on the location and severity of the fracture as well as the child’s age and overall health.
In most cases, broken elbows in children are treated with a splint or cast, which immobilizes the injured bone(s) to promote healing and reduce pain and swelling. Splints and casts may also be put on after surgical procedures to ensure that the bone is protected and in the proper alignment as it begins to heal.
Splints are used for minor breaks. Splints support the broken bone on one side and immobilize the injured area to promote bone alignment and healing. Splints are often used in emergency situations to hold a joint in a steady position during transportation to a medical facility.
Casts are stronger than splints and provide more protection to the injured area. They hold a broken bone in place while it heals by immobilizing the area above and below the joint. Casts have two layers: a soft inside layer that rests against the skin and a hard outer layer that prevents the injured bone from moving.
Some common types of casting for broken elbows include:
TYPE | LOCATION | USES |
|---|---|---|
Long arm cast | applied from the upper arm to the hand | upper arm, elbow or forearm fractures; also used to hold the arm or elbow muscles and tendons in place after surgery |
Arm cylinder cast | applied from the upper arm to the wrist | to hold the elbow muscles and tendons in place after a dislocation or surgery
|
Other treatments for broken elbows include:
- Surgery: May be needed to put broken bones back into place.
A surgeon may insert metal rods or pins located inside the bone (internal fixation) or outside the body (external fixation) to hold bone fragments in place to allow alignment and healing. This is done under general anesthesia. - Traction: Corrects broken or dislocated bones by using a gentle and steady pulling motion in a specific direction to stretch muscles and tendons around the broken bone. This allows the bone ends to align and heal, and in some cases, it reduces painful muscle spasms.
- Closed reduction: A nonsurgical procedure used to reduce and set the fracture. Using an anesthetic (typically given through an IV in the arm), the doctor realigns the bone fragments from outside the body and holds it in place with a cast or splint.
- Physical therapy: May be needed to strengthen the arm, restore range of motion, and help the arm return to full function after treatment and/or casting.
Broken Elbow | Boston Children’s Hospital
You can have peace of mind knowing that the skilled experts in our Orthopedic Center’s Hand and Orthopedic Upper Extremity Program have treated thousands of babies and children with many arm conditions.
We provide expert diagnosis, treatment and care, and we benefit from our advanced clinical and scientific research.
What are broken elbows?
A broken elbow is a break, at or near the elbow joint, in one or more of the three arm bones that form the joint: the humerus (upper arm bone), radius, and/or ulna (forearm bones).
Pediatric elbow fractures are usually the result of an impact injury, like in a direct blow, or when a child uses his outstretched arm to break a fall. A fractured elbow is typically treated by splinting or casting the area for about four weeks.
What are the signs and symptoms of broken elbows in children?
- pain or swelling in the elbow or forearm
- an obvious deformity in the elbow or forearm
- difficulty moving, flexing, or extending the arm normally
- warmth, bruising, or redness at or near the elbow
What causes broken elbows in children?
A bone breaks when there’s more force applied to the bone than it can withstand.
These breaks can occur from falls, trauma, or a direct blow. Most childhood fractures result from mild to moderate (rather than severe) trauma that happens while children are playing or participating in sports, with the rate of fractures peaking in adolescence, especially among boys.
What are the types and locations of elbow fractures?
Because the elbow is such a complex joint, one way to classify elbow fractures is by their location in or around the joint. Some elbow fracture locations include:
- Above the elbow (supracondylar humerus fracture): Occurs when the upper arm bone (humerus) breaks just above the elbow. This is the most common elbow break in younger children.
- At the elbow “knob” (condylar fracture): A break through one of the bony knobs (lateral and medial condyles) at the end of the humerus.
- At the elbow tip (epicondylar fracture): A break at the end of the humerus, near the bony knob that makes up the tip of the elbow.
This is common in pre- and early-adolescent children. - At the growth plate (physeal fracture): A break that occurs at, into, or across a growth plate (soft pieces of developing cartilage tissue from which bone grows)
- At the elbow end of the radius (radial neck fracture): A dislocation of one of the joints of the elbow can accompany one of the above fractures, and if present, will be addressed at the same time as treatment of the fracture.
Learn more about the different types of fractures in children.
Hand Wrist and Elbow Casts
What are hand, wrist and elbow casts?
A cast is a hard covering that you wear when you break a bone. Casts stabilize the bone and keep you from moving it while it’s healing. They have a hard outer shell made of fiberglass or plaster and a soft cotton lining.
Casts can treat hand, wrist and elbow fractures.
These are common injuries because many people use their arms to brace themselves when they fall. So, even a small accident can result in a broken bone.
Short arm casts extend from the knuckles to just below the elbow. These casts stabilize fractures in the forearm and wrist. Long arm casts cover the area from the knuckles all the way to the upper arm. These casts treat fractures of the elbow and upper arm — sometimes the forearm, too.
What to expect from hand, wrist and elbow casts
There are several ways that a bone can break. Some breaks are obvious simply by looking at your arm. Others require X-ray pictures to confirm the diagnosis. Either way, your doctor performs imaging tests. These help the doctor see the break clearly and come up with a treatment plan.
After resetting the bones — manually or surgically — your doctor fits you with a cast. First, the doctor puts on a stocking that covers your skin where the cast goes. Next, the doctor rolls a soft cotton material over the stocking to provide cushioning and padding.
Finally, the doctor wraps a wet fiberglass or plaster material around the padding. This hardens as it dries.
You wear the cast for up to 10 weeks. In the first few days, you need to keep your arm elevated to prevent swelling. Your doctor may also prescribe medication to handle pain. It’s important that you don’t get your cast wet. Avoid swimming at first. Cover the cast with waterproof material while you’re bathing.
Be sure to alert your doctor if you experience pain, numbness or tingling in your fingers or arm. This could be a sign that the cast is too tight or pressing on nerves.
Common conditions requiring hand, wrist and elbow casts
Bones in your hand, wrist and elbow can break in a number of ways. Some of the common breaks that may require a cast to heal are:
- Colles fracture
- Smith’s fracture
- Barton’s fracture
- Condylar facture
- Scaphoid fracture
- Monteggia fracture
- Epicondylar fracture
- Supracondylar fracture
Schedule an Appointment with an Orthopedic Specialist Near You
Mercy Health locations that can treat you
90,000 Fracture of the head and neck of the radius – articles of the clinic “In good hands”
This type of injury accounts for about 2% of all bone fractures.
Most often, such an injury occurs due to a fall on an outstretched arm, as a result of which the cartilage of the capitate eminence of the humerus can be damaged.
Isolated fractures of the neck are usually characteristic of children from eight to twelve years old, but fragmentation of the radial head is extremely rare in them.
Symptoms:
Basically, with such a fracture, the following symptoms are observed:
- elbow pain,
- Injured arm bent at the elbow, forearm in pronation (pivoting movement of the upper or lower limbs inward)
From the anamnesis it is clear that the injury was preceded by a fall on an outstretched arm.
Limiting the ability to flex and extend the elbow.However, there is a complete inability to rotate the elbow, this movement causes acute pain. There is swelling and swelling in the area of the fracture.
On examination and palpation, the most acute pain is localized below the lateral condyle of the humerus, on the outside of the biceps tendon.
In case of dislocation of the head, it is palpated along the antero-lateral surface of the elbow joint.
Emergency aid
In case of injury, first of all, before the arrival of an ambulance or before contacting an emergency room, it is necessary to fix the damaged joint and take painkillers.
Pain relief is carried out with non-steroidal, anti-inflammatory drugs. The hand must be fixed with improvised means (splint or bandage) in the position in which it was immediately after the injury.
Treatment:
Treatment for such a fracture will vary depending on the extent of the injury. In the event that a fracture of the radius, its neck or head occurred without displacement of the fragments, then after anesthetizing the fracture site, a plaster cast is applied from the phalangeal joints of the fingers to just above the middle of the shoulder, while the arm is bent at the elbow by 90 degrees, and the hand turned palm towards the body.
Moving the fingers is usually allowed a few days after the plaster splint is applied, or after the symptoms of a fracture of the radius have disappeared.
In the case of a fracture with a displacement of the neck of the radius, it is also necessary to reposition (reposition) bone fragments. In the extension position, the doctor pulls along the axis of the forearm, while pressing on the head of the bone (inward and back), while the forearm is bent 90 degrees, and is fixed with a plaster splint for 3-6 weeks.If the control X-ray shows that the fragments have displaced, then they can be fixed with a wire for 2-3 weeks.
With a crushed or marginal fracture, with displacement of bone fragments, surgical treatment is performed. Resection of the head of the bone is performed using the posterior-external approach. The head is removed completely even with marginal fractures, while leaving the annular ligament. After the operation, the hand is immobilized with plaster casts for 3-4 weeks.
For children, the head of the radius is not removed, so as not to remove the growth zone.For young people, jointly with resection, endoprosthetics are also performed, after which they are fixed with plaster for 1 month.
After removing the plaster casts, physiotherapy, special physical education, massage and various thermal procedures are prescribed.
Plaster application in Moscow – the best clinics and medical centers: reviews, doctors, prices
Plaster application is used in medical practice for external immobilization in order to keep the damaged area of the patient’s body stationary.The imposition of plaster on the leg, arm, cervical region and other parts is used in violation of the integrity (fractures) of any bone and articular structures. With the help of plaster casts, immobility and correct fusion of bone fragments, restoration of the anatomical structure of the joints after dislocation reduction is ensured. In addition, the imposition of a plaster cast on the forearm or other part of the body is prescribed in the complex therapy of tears, sprains of ligaments, tendons and muscles.
Plaster is applied in the form of circular, longitudinal and circular-long dressings.What gypsum is necessary in a particular case, the attending physician decides, taking into account the localization and nature of the pathology, the need to revise the damaged area. Today, in trauma practice, for plaster fixation, bandages and splints of various sizes from factory production are used. If necessary, such dressings are independently made by the medical staff using gauze bandages and plaster of paris in powder.
Advantages of the method
The main advantages that distinguish the application of a plaster cast:
- availability and ease of use;
- reliability and strength of fixation;
- hold time;
- Extensive modeling capabilities for any affected area.
How long does the procedure take
The duration of the application procedure depends on the location of the damage, the area of coverage, the type of dressings and the method of their preparation.
On average, 15-30 minutes is enough to perform this kind of manipulation. For example, the application of plaster for a fracture of the radius with the help of factory bandages can be done in 10-15 minutes. The hardening rate of gypsum depends on the temperature of the water in which it is soaked and the environment, usually 10-30 minutes.
Preparation for the procedure
Before applying the plaster, the medical staff performs all the necessary therapeutic measures – matching bone fragments, repositioning dislocations, surgical debridement, etc. The area where the plaster is applied must be clean and dry. At the stage of preparation, the patient is informed how much it costs to put a plaster cast on an arm or leg in his case, receives recommendations on the behavior in a cast. He is taught special exercises to improve blood circulation, reduce swelling and maintain muscle tone in the affected area.
Rehabilitation period
After the plaster casts have been applied, a period of immobilization follows.
Then the plaster is removed, after which the patient should perform elementary procedures: wash the skin with warm water and soap, wipe it dry and apply a nourishing cream.
Contraindications
Plaster cast is contraindicated:
- in the presence of inflammatory and infectious processes in the area of plaster fixation;
- if it is necessary to apply extensive deaf bandages to seriously ill and elderly patients;
- with a high risk of hemorrhage;
- with massive edema.
Interventions for the treatment of isolated fractures of the ulna in adults
The ulna is one of two bones in the forearm. Isolated fractures of the shaft of the ulna without other fractures often occur when the forearm is lifted to repel a blow. These fractures are rare but can lead to significant disability. Most people are treated in clinics with plaster casts or hand splints. Some require surgery.The surgery usually involves re-setting and fixing the broken ends of the bone.
Four trials involving 237 people were included in the review. These trials had methodological flaws that could lead to serious bias. One study compared a “shortened” prefabricated functional splint (applied below the elbow) versus an “elongated” plaster cast (applied to the elbow). There was no clear difference between the two groups in the time it took for the fracture to heal.It should be noted that most of the people in the splint group were satisfied with the treatment and many returned to work during treatment. One study compared an elastic band or elastic bandage, a shortened cast, and an elongated cast. The large dropout of participants from follow-up in this study makes any tentative conclusions tentative. However, the need to replace the elastic bandage with other means because of pain does indicate a serious problem with this type of intervention.A third trial, which compared early mobilization, short plaster cast, and elongated cast for minimally displaced fractures, found no clear difference in outcome between the three interventions.
The fourth study found no significant differences in functional or anatomical outcomes and complications between the two types of plates used for surgical fixation of the fracture.
Overall, there was insufficient evidence from randomized controlled trials to draw conclusions about the best treatment for these fractures.
Elbow pain, Ulnar epicondylitis, Tennis elbow, Golfer’s elbow
Pain in the elbow joint or epicondylitis ( “Tennis elbow”, “Golfer’s elbow” ) is a dystrophic process at the points of attachment of the ligaments to the armpits of the humerus, accompanied by inflammation and pain outside or inside the elbow joint .
Treatment of epicondylitis Combined shock wave therapy in the PE “Rehabilitation”:
Epicondylitis is classified into two types:
1. External epicondylitis ( lateral epicondylitis ), which occurs when the muscles of the outer region of the forearm are affected, also called “Tennis elbow” , due to this ailment occurring mainly in tennis players;
2.
Internal epicondylitis ( medial epicondylitis ), which occurs when the flexor tendons of the hand, that is, internal muscles, are involved in the process. This is the so-called “Golfer’s Elbow” .
Such patients have been treating epicondylitis for years using traditional methods: they take painkillers and anti-inflammatory drugs , electrophoresis with hydrocortisone , there have been cases that even a plaster cast was applied to the elbow joint.
X-ray of the elbow joint
The most humane and effective treatment for epicondylitis , elbow joint pain today is Combined shock wave therapy , which has the following effects:
1.Relieves pain and swelling.
2. Removes salt deposits.
3. Restores range of motion.
4. Stops further deformation of the elbow armpits.
5. After treatment, the effect persists for up to 5-7 years or more.
Shock wave therapy treatment procedure is carried out on an outpatient basis with an interval of 1 time per week.
Video of the procedure for shock wave therapy of the elbow joint see below:
For more detailed information you can contact us by phone:
(061) -70-80-384
(094) -93-62-384
(096) -80-57-511 Kievstar
(050) -73-23-511 MTS
Shock Wave Therapy Medical Center
m.Zaporizhzhia, st. Mira, house 13 / Sobornyi ave., 155
Transport stop “Mira”
Krames Online – Discharge instructions: caring for your child’s plaster cast
Your child is discharged with a plaster cast. A plaster cast promotes healing. Damage to the cast can prevent the injury from healing properly.
Your child’s cast needs proper care. If the cast is damaged, it may need to be replaced.
Your child has a ___________________ bone fracture. This bone is located at ____________. |
The cast must remain dry at all times.
When wet, the plaster cast may crumble and fall apart. To keep the dressing dry, follow these guidelines:
The child should avoid situations in which the dressing may get wet.
Special care should be taken when taking a bath or shower. Wrap the cast in a plastic bag. Secure the polyethylene with strong adhesive or elastic tape to prevent water from getting inside.
Do not immerse the cast in water, even if wrapped in plastic.
If your child needs to go outside when it is raining or snowing, wrap the cast in a waterproof cloth or plastic.

If the cast gets wet, dry it with a hair dryer in cold air mode. If the cast is not dry within 24 hours, contact your doctor.
Other plaster cast care
Do’s and don’ts:
Do not allow your child to insert anything under the bandage, not even to scratch the skin. Objects can become stuck or damage the skin, which can lead to infection.If your child has itchy skin, try blowing cold air from a hairdryer under the dressing.
Don’t let your child pick on the pad. It protects the skin and should not be touched.
Do not cut or tear the bandage.
Cover rough edges of the plaster cast with tissue tape or moleskin. (These materials can be purchased at the pharmacy.)
Never try to remove the cast yourself.
Physical activity
What your child can do:
Help your child do exercises for all adjacent joints that are not immobilized by the bandage.
If your child has a long leg cast, it is necessary to work out the hip joint and toes. You can start walking only after receiving permission from your doctor. If your child has a plaster cast or splint on his arm, it is necessary to work out the shoulder and elbow joints, as well as the fingers.Lift the part of the child’s body, on which the plaster cast is applied, above the level of the heart. This will help reduce swelling.
Use acetaminophen or ibuprofen for pain relief as directed by your healthcare practitioner.
A child can go to school, but must first get an exemption from a doctor for activities such as sports.
Follow-up
Make an appointment as directed by your healthcare provider.
When to contact your child’s healthcare providerCall your doctor immediately if you have any of the following symptoms:
|
© 2000-2021The StayWell Company, LLC.
All rights reserved. This information is not a substitute for professional medical attention. Always follow your doctor’s instructions.
carpal tunnel, ulnar carpal tunnel syndrome
Carpal tunnel syndrome is a condition when there is compression in the carpal (carpal) canal of the median nerve. It can be provoked by compression or injury.
The concept of tunnel syndrome is not universal for the area of the wrist; this condition can also manifest itself in other anatomical areas, where the nerves run rather superficially and close to the bone structures at the same time.The syndrome in question manifests itself in the form of a decrease or lack of sensitivity in the thumb, index, middle and half of the ring finger, as well as impaired motor function in them.
Carpal tunnel syndrome is a common pathology and occurs in 1-3% of the population, and mainly in people, an occupation that is associated with fine, monotonous motor skills of the hand.
Half of all those suffering from this syndrome are people whose type of employment is associated with the use of a computer.Also, this disease can be considered an occupational pathology in musicians, tailors, office workers, etc. The syndrome occurs in the active working-age population at an already mature age (40-60 years), and in 105 cases at a younger age. Scientists have concluded that active PC users have a 15% higher risk of developing the syndrome, especially in women.
Causes of carpal tunnel syndrome
The median nerve in the area of the hand passes through the tunnel formed by the transverse ligament and the carpal bones of the hand.Compression of the nerve in the canal can be provoked by:
Traumatic injuries of the hand. Bruises, dislocations, sprains, fractures can provoke swelling of the ligaments and muscles, or even displacement of the wrist bones. All this can compress the nerve in the canal and cause impairment of its function.
With proper treatment, all these processes are reversible, but if you do not provide help on time and correctly, then the contractures of muscles and ligaments, as well as deformation of the bones, can already be irreversible.Arthrosis, arthritis and other pathological articular processes of various etiology and genesis. The edema and inflammatory reactions caused by these pathologies, up to tissue necrosis, can also cause compression of the nerve. With the permanent course of inflammation and the progression of degenerative-dystrophic processes, the articular surfaces of the wrist lose their properties and wear out, resulting in deformation and compression of the nerve in the canal by bone structures.
Inflammation of the tendons or tendovaginitis. Inflammation can be septic (caused by microorganisms) and aseptic (caused by exertion, hypothermia, etc.). Septic inflammation can be provoked by such diseases as purulent wounds of the hand, including panaritium, improper technique of taking blood from a finger, etc.
Non-infectious inflammation can be caused by chronic traumatic stress, for example, frequent monotonous hand motility, static load on it, temperature trauma.Diseases that lead to water retention in the body can cause swelling of the extremities and, as a result, lead to an increase in soft tissue volume and compression of the median nerve. Violation of the water-electrolyte composition can cause: pregnancy, taking hormonal contraceptives, menopause, kidney disease, etc.
Rarely, but tumors of the nervous tissue and median nerve in particular are found.Most of these are benign neoplasms (schwannomas, neurofibromas, perineuromas), but there are also malignant ones arising from the nerve sheaths. With its growth, the tumor compresses the nerve, which leads to its damage.
Diabetes mellitus. Under the influence of the enzyme protein kinase C, sorbitol and fructose accumulated in the course of the disease begin to break down in nerve tissues.
Because of this, as well as due to a violation of the trophism of neurons and their processes, aseptic inflammation of the nerves and surrounding tissues occurs.Edema increases, which in turn leads to compression of the nerves, including the median.Acromegaly. As a result of the prolonged and intensive growth of a person suffering from acromegaly, processes of disproportionate growth of bone and soft tissues occur. The median nerve can become pinched in a narrowed carpal tunnel due to increased bone volume and narrowing of the lumen.
Congenital malformations .The transverse wrist ligament can be thickened from birth, and there is also a poor production of tendon lubrication. One of the factors of predisposition to carpal tunnel syndrome can serve as an anatomical feature of the structure, the so-called “square wrist”.
Symptoms of the tunnel syndrome
Feeling of numbness in the fingers.
The syndrome in question, as a rule, develops gradually and mainly the lesion manifests itself unilaterally.Basically, the pathological process occurs in that limb, which is the leading one, in the right-handed – the right hand, and in the left-handed – the left. Carpal tunnel syndrome develops gradually. However, a two-way process can also be observed, with diseases of the endocrine system, pregnancy, etc.Paresthesias . Manifested as tingling sensations and loss of sensitivity in the fingers. They appear in the morning, after waking up and disappear within a few hours.But over time, these manifestations become more stable and more intense and can already become permanent. This can lead to disruption of the normal function of the limb: strength, dexterity, etc., the patient has to change hands when performing actions, to rest the affected limb. Special inconveniences are caused by manipulations requiring static tension of the limb.
Pain.
With the manifestation of the disease, a burning sensation and tingling sensation may appear in the hand, which is rather quickly eliminated by lowering the limb down and shaking it.The blood flow in the arm resumes, and the painful sensations disappear. As a rule, this occurs during sleep due to the static position of the hand, or during monotonous work performed by the limb. The pain is not typical for any specific joints and is common. With the progression of the disease, pain can affect not only the fingers, but the entire hand and arm up to the elbow joint, which often complicates the diagnosis. The patient cannot carry out his duties, because pain can occur during the daytime.Loss of agility and strength. Over time, if the disease is not treated, the limb begins to lose strength and dexterity in movement. It is difficult for the patient to hold objects in his hands, especially small ones, they seem to spontaneously fall out. The ability to perform fine motor skills is lost (grabbing small things, opposing the thumb, etc.
).Decrease in sensitivity. Over time, the patient may begin to notice that he does not distinguish the temperature of objects well, stops feeling touches or even pricks. There is a painful burning sensation in the hand, numbness.
Muscle atrophy. With advanced forms of the syndrome, atrophy of the musculo-ligamentous apparatus of the arm may develop, the muscles and ligaments not only lose strength, but also decrease in size. Over time, the hand deforms and takes on a shape resembling a monkey’s paw.
Skin discoloration. Due to the fact that when the innervation of the hand is disturbed, the nutrition of skin cells also occurs, the color of the skin changes, they become lighter and unevenly colored.
Diagnosis of Tunnel Syndrome
For an accurate diagnosis, it is necessary to consult a neurologist. In this case, the doctor conducts a number of specific tests, and laboratory and instrumental research methods can also be used.
Carpal Tunnel Syndrome Tests:
- Tinel test. In the narrowest part of the carpal tunnel, from the side of the palm when tapping, there is an unpleasant tingling sensation.
- Phalen test. Pain and paresthesia appear in the wrist area for a minute or less when the wrist is bent as much as possible.
- Cuff test. A cuff from a blood pressure monitor is placed on the forearm and inflated as much as possible.Within one minute, with a positive test and the presence of the syndrome, a feeling of numbness and tingling occurs.
- Raised Hands Test. The upper limbs are lifted vertically upward and held in this position for a minute. With a positive result, discomfort appears within 30-40 seconds.
All of the above tests can be done at home, and if you have at least one positive test, be sure to see your doctor.
From instrumental research methods used such as:
- electroneuromyography;
- X-ray examinations;
- MRI;
- ultrasound.

To identify the causes of the onset of the disease, the patient is prescribed a blood and urine test:
- blood biochemistry;
- blood and urine analysis for sugar;
- analysis for thyroid-stimulating hormones;
- clinical analysis of urine and blood;
- blood test for rheumatoid factor, C-reactive protein, antistreptolysin-O;
- blood test for circulating immune complexes;
- blood test for antistreptokinase.
Treatment of Tunnel Syndrome
The most important thing in the treatment of carpal tunnel syndrome is compliance with measures to prevent the development of the disease. Even with the best and highest quality treatment, preventive measures cannot be avoided, because the effect may simply not be achieved.
- Preventive measures for carpal tunnel syndrome. When the first signs of the disease appear, it is necessary to rigidly fix the hand so that there is no possibility of movement in the joint and, as a result, of injury to the nerve.
The brace can be applied by a doctor or you can buy an elastic bandage from a pharmacy for temporary use. For two to three weeks, it is necessary to avoid activities that aggravate the symptoms of the disease. Also, to reduce swelling, it is recommended to apply cold to the wrist for 2-3 minutes 2-3 times a day. In the subsequent period, treatment is prescribed depending on the severity of the pathological process and its severity. If necessary, the treatment is based on the treatment of the underlying disease (traumatic injury, hypothyroidism, diseases of the urinary system, diabetes mellitus, etc.)), causing compression of the nerve in the canal. Local treatment. Includes the use of compresses, the introduction of drugs into the canal cavity. These procedures can quickly relieve painful manifestations and relieve local inflammation.
- Drug therapy. Drug therapy in each case is selected individually, depending on the underlying or concomitant disease.
At the same time, B vitamins, non-steroidal anti-inflammatory drugs, vasodilators, diuretics, anticonvulsants, muscle relaxants, glucocorticosteroids, antidepressants, etc. are often prescribed. - Physiotherapy. Can be used both in drug therapy and in the postoperative period during rehabilitation. When this is used: acupuncture; manual therapy techniques; ultraphonophoresis; shock wave therapy. Before using physiotherapy procedures, it is necessary to consult a specialist for contraindications.
Surgical treatment of tunnel syndrome
If, for 6 months or more, conservative therapy does not give the desired effect, then it makes sense to think about the surgical resolution of the disease.The main task of surgery is to eliminate the pressure on the median nerve by expanding the carpal tunnel.
Most operations are performed under local anesthesia. The following methods are used:
By open access: through the incision (5 mm) in the region of the cranial canal, the carpal ligament is dissected.

Endoscopic surgery. There are two types of endoscopic intervention, two incisions and one incision. In the first case, an endoscope is inserted into one incision, and an instrument for dissecting the ligament into the second. In the second case, both tools are inserted in one hole.
At the end of the surgery, a plaster cast is applied to the arm to immobilize the limb. After removing the plaster, a course of physiotherapy exercises and physiotherapy is carried out. As a rule, full restoration of hand function occurs within six months.After recovery, the patient can return to work, subject to the observance of a protective regime so as not to provoke a relapse of the disease.In the modern world, where computer technologies have already been introduced everywhere, the pathology we are considering is becoming more and more common. Timely and qualified assistance and prevention in the event of carpal tunnel syndrome allows complete and sufficient remission to be achieved.
Plastic plaster.Replacement of plaster for fractures, dislocations, ruptures
Plastic plaster for the wrist joint in case of fracture and ligament damage
Plastic plaster (polymer) is used to improve the comfort and effectiveness of immobilization immediately after injury (fracture, dislocation), as well as at a later (delayed) time when the usual plaster cast is replaced on plastic.
Many injuries of the musculoskeletal system (fracture, rupture of ligaments, dislocation, etc.) during treatment require immobilization (immobilization) of the limb.Orthopedic traumatologists, due to their relative cheapness, traditionally use plaster casts (splints), which, as a rule, are heavy, crumble and break, cause itching of the skin, and are sure to be afraid of water.
How is plastic plaster applied?
Plastic (polymer) gypsum is a bandage (splint) made of soft polymer material, which is applied to the damaged segment and hardens upon contact with water after modeling (obtaining the appropriate shape of the limb).
A bandage made of such material is lightweight, absolutely waterproof, much more comfortable, stronger and more presentable. Plastic (polymer) gypsum for fractures, dislocations and other injuries can be of different shapes, colors and sizes, applied to all segments of the limbs.
When is plastic plaster applied?
Plastic (polymer) gypsum for fractures, dislocations and other injuries can be applied immediately after the injury, provided that the necessary materials are correctly combined, and the patient must comply with all recommendations of the orthopedic traumatologist after immobilization.In cases of severe edema of soft tissues, the presence of complications (abrasions, wounds) or other reasons that can lead to increased edema at the initial admission, immobilization can be performed with a classic plaster cast, which can be replaced with a plastic (polymer) bandage on a second examination.
What are the advantages of plastic plaster for fractures, dislocations and other injuries in comparison with traditional plaster?
- Firm fixation, for the entire period of treatment, especially important in children;
- Full water resistance: you can fully take a shower, swim in it, which is strictly prohibited when using a classic plaster cast;
- Hypoallergenic: the skin underneath practically does not itch, there are no rashes;
- Due to its porosity, the risk of delusions is reduced;
- High strength with a very moderate thickness and weight, which ensures comfort in wearing;
- It is well modeled (takes the necessary shape) when applied, which allows it to be used on different joints: knee, ankle, wrist, elbow, etc.
; - Does not interfere with the passage of X-rays, which allows you not to remove it during control radiography, or performing CT, MRI;
- Very durable, does not crumble, does not break;
- Aesthetic, comes in different colors, has a presentable look;
How is plastic plaster removed?
Plastic plaster for immobilization of the ankle joint
When removing circular polymer (plastic) bandages, it is most convenient to use a special vibrating saw, which is absolutely safe for soft tissues.Also, for this purpose, special gypsum cutters can be used. If a soft component (Soft) was used during application, then the polymer bandage can be removed with ordinary scissors.
Plastic (polymer) gypsum for fractures, dislocations and other injuries is effective, modern and most convenient for achieving a good and comfortable treatment result.
Candidate of Medical Sciences, orthopedist-traumatologist: Shtonda Dmitry Vladimirovich
.

As bone growth continues throughout childhood, if one of these “growth centers” is involved in a fracture, it can affect bone development.
A serious injury may damage these nerves.

Problems you have had with bleeding or healing are important also.)
Sometimes people in a great deal of pain from a broken elbow do not even notice that they have other injuries.
Children’s elbows are not completely formed of bone. Growing cartilage, which later forms bone, may be mistaken for a broken bone. Comparing x-rays of injured and uninjured elbows may help the doctor make a correct diagnosis.



Moving the bones to their normal positions may stop this damage.

Bone grafting involves placing additional bone around the area of the nonunion.
A surgeon may insert metal rods or pins located inside the bone (internal fixation) or outside the body (external fixation) to hold bone fragments in place to allow alignment and healing. This is done under general anesthesia.
This is common in pre- and early-adolescent children.
If your child has a long leg cast, it is necessary to work out the hip joint and toes. You can start walking only after receiving permission from your doctor. If your child has a plaster cast or splint on his arm, it is necessary to work out the shoulder and elbow joints, as well as the fingers.
4 ° F (38 ° C) or higher
With proper treatment, all these processes are reversible, but if you do not provide help on time and correctly, then the contractures of muscles and ligaments, as well as deformation of the bones, can already be irreversible.
Non-infectious inflammation can be caused by chronic traumatic stress, for example, frequent monotonous hand motility, static load on it, temperature trauma.
Because of this, as well as due to a violation of the trophism of neurons and their processes, aseptic inflammation of the nerves and surrounding tissues occurs.Edema increases, which in turn leads to compression of the nerves, including the median.
The syndrome in question, as a rule, develops gradually and mainly the lesion manifests itself unilaterally.Basically, the pathological process occurs in that limb, which is the leading one, in the right-handed – the right hand, and in the left-handed – the left. Carpal tunnel syndrome develops gradually. However, a two-way process can also be observed, with diseases of the endocrine system, pregnancy, etc.
).
The brace can be applied by a doctor or you can buy an elastic bandage from a pharmacy for temporary use. For two to three weeks, it is necessary to avoid activities that aggravate the symptoms of the disease. Also, to reduce swelling, it is recommended to apply cold to the wrist for 2-3 minutes 2-3 times a day. In the subsequent period, treatment is prescribed depending on the severity of the pathological process and its severity. If necessary, the treatment is based on the treatment of the underlying disease (traumatic injury, hypothyroidism, diseases of the urinary system, diabetes mellitus, etc.)), causing compression of the nerve in the canal.
At the same time, B vitamins, non-steroidal anti-inflammatory drugs, vasodilators, diuretics, anticonvulsants, muscle relaxants, glucocorticosteroids, antidepressants, etc. are often prescribed.
;