Irritated lungs symptoms. Hypersensitivity Pneumonitis: Causes, Symptoms, and Diagnosis of Irritated Lungs
What are the key facts about Hypersensitivity Pneumonitis. How does it affect your body. What are the symptoms and causes of this condition. How is Hypersensitivity Pneumonitis diagnosed.
Understanding Hypersensitivity Pneumonitis: An Overview
Hypersensitivity pneumonitis is a complex respiratory condition characterized by inflammation in the lungs caused by an allergic reaction to certain inhaled organic dusts, known as allergens. This condition can lead to serious complications if left untreated, making early detection and intervention crucial for optimal patient outcomes.
Key Facts About Hypersensitivity Pneumonitis
- Caused by an allergic reaction to inhaled organic dusts
- Results in lung inflammation
- Can be reversed if detected early and allergen exposure is eliminated
- May lead to lung scarring if exposure continues
- Symptoms can develop gradually over months or years
Understanding the nature of hypersensitivity pneumonitis is essential for both patients and healthcare providers. Can hypersensitivity pneumonitis develop immediately after exposure to allergens. In most cases, the allergy doesn’t manifest right away. It may take several months or even years for symptoms to appear after initial exposure.

The Pathophysiology of Hypersensitivity Pneumonitis
When an individual inhales allergens associated with hypersensitivity pneumonitis, a complex immune response is triggered within the lungs. This reaction leads to inflammation of the alveoli, the tiny air sacs responsible for oxygen exchange in the lungs.
Is the lung damage in hypersensitivity pneumonitis reversible. If detected early and allergen exposure is eliminated, the inflammation can often be reversed. However, continued exposure to the offending allergens can result in permanent lung damage, characterized by the development of scar tissue, a condition known as pulmonary fibrosis.
The Progressive Nature of Hypersensitivity Pneumonitis
Hypersensitivity pneumonitis can progress in stages, from acute to chronic:
- Acute phase: Initial exposure and reaction
- Subacute phase: Repeated exposure leading to persistent symptoms
- Chronic phase: Long-term exposure resulting in irreversible lung damage
Early intervention is crucial to prevent the progression to the chronic phase, where treatment options become limited.

Recognizing the Symptoms of Hypersensitivity Pneumonitis
The symptoms of hypersensitivity pneumonitis can vary depending on the stage of the disease and the frequency of allergen exposure. Recognizing these symptoms early is key to preventing long-term complications.
Initial Symptoms
What are the first signs of hypersensitivity pneumonitis. The initial symptoms often mimic those of the flu and typically appear 4 to 6 hours after allergen exposure. These may include:
- Fever
- Chills
- Cough
- Shortness of breath
- Body aches
These initial symptoms may last for 12 hours or persist for several days, depending on the extent of allergen exposure.
Symptoms of Repeated Exposure
With continued or repeated exposure to the allergen, individuals may experience more persistent symptoms, including:
- Coughing
- Shortness of breath with physical activity
- Fatigue
- Loss of appetite
- Unintentional weight loss
Do the symptoms of hypersensitivity pneumonitis always appear immediately after exposure. No, in some cases, symptoms may develop gradually over time, making it challenging to identify the specific allergen causing the condition.

Common Causes and Risk Factors for Hypersensitivity Pneumonitis
Hypersensitivity pneumonitis can be triggered by a wide range of organic allergens. Understanding these potential causes is crucial for both prevention and management of the condition.
Common Allergens Associated with Hypersensitivity Pneumonitis
What are some of the most common allergens known to cause hypersensitivity pneumonitis. Some well-known triggers include:
- Mold spores from hay, straw, and grain (Farmer’s lung)
- Bird feathers and droppings (Bird fancier’s lung)
- Fungi in humidifiers and air conditioning systems (Humidifier lung)
- Bacteria in hot tub water mist (Hot tub lung)
It’s important to note that there are over 300 known allergens that can potentially cause hypersensitivity pneumonitis when inhaled as fine dust particles.
Occupational Risk Factors
Certain occupations carry a higher risk of exposure to allergens associated with hypersensitivity pneumonitis. These include:
- Farmers and agricultural workers
- Veterinarians and animal handlers
- Grain and flour processors
- Lumber mill workers
- Paper and wallboard manufacturers
- Workers in the plastics, painting, and electronics industries
Is working in a high-risk occupation a guarantee of developing hypersensitivity pneumonitis. No, while these occupations carry an increased risk, most individuals in these professions do not develop the condition. However, those with a family history of the disease may be more susceptible.

Diagnostic Approaches for Hypersensitivity Pneumonitis
Accurate diagnosis of hypersensitivity pneumonitis is crucial for effective management and prevention of long-term complications. Healthcare providers employ a combination of clinical assessment and diagnostic tests to confirm the condition.
Clinical Evaluation
The diagnostic process typically begins with a thorough clinical evaluation, including:
- Detailed medical history
- Physical examination
- Discussion of occupational and environmental exposures
How important is the patient’s history in diagnosing hypersensitivity pneumonitis. The patient’s history is crucial in identifying potential allergen exposures and establishing a temporal relationship between exposure and symptom onset.
Diagnostic Tests
Several diagnostic tests may be employed to confirm hypersensitivity pneumonitis and assess the extent of lung involvement:
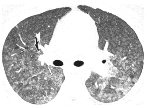
- Imaging studies:
- Chest X-ray
- High-resolution computed tomography (CT) scan
- Pulmonary function tests:
- Spirometry
- Diffusion capacity testing
- Blood tests:
- Specific antibody tests
- Inflammatory markers
- Bronchoscopy:
- Bronchoalveolar lavage
- Lung biopsy
Can a single test definitively diagnose hypersensitivity pneumonitis. No, the diagnosis typically relies on a combination of clinical findings, imaging results, and laboratory tests. In some cases, a lung biopsy may be necessary for a definitive diagnosis.

Treatment Strategies for Hypersensitivity Pneumonitis
The primary goal in treating hypersensitivity pneumonitis is to prevent further lung damage by eliminating exposure to the offending allergen. Treatment approaches may vary depending on the stage and severity of the disease.
Allergen Avoidance
The most crucial step in managing hypersensitivity pneumonitis is identifying and avoiding the triggering allergen. This may involve:
- Occupational changes
- Home environment modifications
- Use of personal protective equipment
Is complete allergen avoidance always possible. While ideal, complete avoidance may be challenging in some cases, particularly when the allergen is ubiquitous or when occupational exposure is involved. In such instances, minimizing exposure becomes the goal.
Pharmacological Interventions
In some cases, medications may be prescribed to manage symptoms and reduce inflammation. These may include:
- Corticosteroids
- Immunosuppressants
- Bronchodilators
The use of these medications is typically reserved for acute exacerbations or cases where allergen avoidance alone is insufficient to control the disease.

Long-term Prognosis and Complications of Hypersensitivity Pneumonitis
The long-term outlook for individuals with hypersensitivity pneumonitis largely depends on early diagnosis and effective management of the condition. Understanding the potential complications and prognosis is essential for patients and healthcare providers alike.
Potential Complications
What are the most serious complications of untreated hypersensitivity pneumonitis. If left untreated or if allergen exposure continues, hypersensitivity pneumonitis can lead to:
- Pulmonary fibrosis (irreversible lung scarring)
- Chronic respiratory insufficiency
- Pulmonary hypertension
- Right heart failure
These complications can significantly impact quality of life and may lead to increased morbidity and mortality.
Prognosis and Quality of Life
The prognosis for hypersensitivity pneumonitis varies depending on several factors:
- Stage at diagnosis
- Extent of lung damage
- Success in allergen avoidance
- Individual response to treatment
Can the effects of hypersensitivity pneumonitis be reversed. In cases diagnosed early, before significant lung scarring has occurred, the condition may be reversible with strict allergen avoidance. However, in advanced cases with established fibrosis, the lung damage is generally irreversible.

Individuals with well-managed hypersensitivity pneumonitis can often maintain a good quality of life. However, those with advanced disease may experience limitations in physical activities and may require long-term oxygen therapy.
Prevention and Management Strategies for Hypersensitivity Pneumonitis
Preventing hypersensitivity pneumonitis and managing the condition effectively involves a multifaceted approach. Understanding and implementing these strategies can significantly improve outcomes for individuals at risk or those already diagnosed with the condition.
Preventive Measures
What are the key steps in preventing hypersensitivity pneumonitis. Prevention primarily focuses on minimizing exposure to potential allergens:
- Workplace safety measures:
- Proper ventilation systems
- Use of personal protective equipment (PPE)
- Regular cleaning and maintenance of equipment
- Home environment control:
- Regular cleaning and disinfection of humidifiers and air conditioning systems
- Proper ventilation in areas prone to mold growth
- Avoiding or minimizing exposure to known allergens
- Regular health screenings for high-risk individuals
Is it possible to completely eliminate the risk of hypersensitivity pneumonitis in high-risk occupations. While complete elimination of risk may not always be feasible, implementing strict safety measures and regular health monitoring can significantly reduce the incidence of the condition in high-risk settings.

Long-term Management Strategies
For individuals diagnosed with hypersensitivity pneumonitis, long-term management is crucial to prevent disease progression and maintain lung function. Key strategies include:
- Ongoing allergen avoidance:
- Continuous efforts to identify and eliminate exposure sources
- Regular environmental assessments
- Regular medical follow-up:
- Periodic pulmonary function tests
- Imaging studies to monitor disease progression
- Lifestyle modifications:
- Smoking cessation
- Maintaining a healthy weight
- Regular exercise within individual limitations
- Pulmonary rehabilitation:
- Breathing exercises
- Physical conditioning
- Education on disease management
How important is ongoing medical follow-up in managing hypersensitivity pneumonitis. Regular medical follow-up is crucial for monitoring disease progression, adjusting treatment plans as needed, and detecting any complications early. It allows healthcare providers to tailor management strategies to the individual’s changing needs and ensure optimal long-term outcomes.

Emerging Research and Future Directions in Hypersensitivity Pneumonitis
As our understanding of hypersensitivity pneumonitis continues to evolve, ongoing research is paving the way for improved diagnostic techniques, targeted therapies, and potentially novel preventive strategies. Staying abreast of these developments is crucial for both healthcare providers and patients.
Advancements in Diagnostic Techniques
What are some of the promising new approaches in diagnosing hypersensitivity pneumonitis. Emerging diagnostic techniques include:
- Advanced imaging modalities:
- Positron emission tomography (PET) scans
- Magnetic resonance imaging (MRI) with hyperpolarized gases
- Biomarker identification:
- Genetic markers associated with increased susceptibility
- Serum and bronchoalveolar lavage fluid biomarkers
- Artificial intelligence-assisted image analysis
These advancements aim to improve early detection and provide more accurate assessment of disease progression.

Novel Therapeutic Approaches
Research into new treatment modalities for hypersensitivity pneumonitis is ongoing, with several promising avenues being explored:
- Targeted immunotherapies:
- Monoclonal antibodies targeting specific inflammatory pathways
- Cytokine inhibitors
- Antifibrotic therapies:
- Drugs aimed at slowing or reversing lung fibrosis
- Gene therapy approaches:
- Targeting genetic factors associated with increased susceptibility
- Personalized medicine:
- Tailoring treatments based on individual genetic and immunological profiles
Hypersensitivity Pneumonitis
About Hypersensitivity Pneumonitis
Key facts about Hypersensitivity Pneumonitis
- Hypersensitivity pneumonitis is caused by being allergic to certain dusts (called allergens) that you breathe in (inhale).
- This allergy causes inflammation in your lungs.
- If it is discovered early and you avoid the allergens, then the inflammation can be reversed.
- Sometimes, hypersensitivity pneumonitis can scar your lungs if it is not discovered early and you keep inhaling the allergens.
Hypersensitivity pneumonitis is caused by an allergy to certain dusts (called allergens) that you breathe in, or inhale. These allergens may be present at home, at work, or in the air. Because they occur naturally, they are called organic. The allergens contain fungus spores (small parts of the fungus) from moldy hay or bird droppings.
If you inhale these allergens, you can get hypersensitivity pneumonitis.
You don’t always have the allergy right away: It may take a couple of months or a couple of years to start. Only a few people who inhale these allergens get hypersensitivity pneumonitis.
How Hypersensitivity Pneumonitis affects your body
When you inhale the dust that you are allergic to, you won’t notice any problems the first time. Some people develop symptoms after inhaling a lot the dust all at once or after inhaling small amounts over and over again. Tiny air sacs in the lungs (called alveoli) can become irritated and may fill with fluid. If you stop inhaling the allergen, the irritation can get better in a few days. If you keep inhaling those allergens, the lung irritation continues. Parts of your lung can develop scar tissue. When your lungs have scar tissue, it may be hard to breathe normally.
How serious is Hypersensitivity Pneumonitis?
It’s important to catch this disease early so that you don’t have permanent lung damage:
- Hypersensitivity pneumonitis can be a serious problem for people whose lungs become scarred.

- Scarred lungs (also called pulmonary fibrosis) can occur if the disease continues, and it is permanent.
- Unfortunately, there is no cure or treatment for long-term (or chronic) hypersensitivity pneumonitis.
Symptoms of Hypersensitivity Pneumonitis
Your first symptoms may feel like the flu. The symptoms start about 4 to 6 hours after you breathe in the allergens. The symptoms are:
The first symptoms may last only 12 hours, or they may continue for several days. If you inhale the allergens over and over, you may have these symptoms:
What causes Hypersensitivity Pneumonitis?
There are more than 300 known allergens that, when inhaled as a fine dust, can cause hypersensitivity pneumonitis. Some breathing problems have names based on where the allergen comes from:
- Farmer’s lung. Seen in farmers and cattle workers, this condition is caused by inhaling mold that grows on hay, straw, and grain.

- Bird fancier’s lung. Also called pigeon breeder’s disease, this condition is caused by inhaling dust specks from feathers or droppings of many types of birds.
- Humidifier lung. This condition can develop by inhaling a fungus that grows in humidifiers, air conditioners, and heating systems, especially if they are not cleaned regularly.
- Hot tub lung. This condition may develop by inhaling germs found in the water mist coming from indoor hot tubs.
What are risk factors for Hypersensitivity Pneumonitis?
If you work in jobs such as the following, you may be more likely to get hypersensitivity pneumonitis:
- Farmers
- Vegetable or dairy cattle workers
- Bird and poultry handlers
- Veterinarian and animal workers
- Grain and flour processing and loaders
- Lumber milling
- Wood stripping
- Paper and wallboard makers
- Inhaling certain chemicals produced in making plastic, painting, and the electronics industry
Most people who work in these jobs don’t get hypersensitivity pneumonitis.
If you work in one of these jobs and have a family history, however, you may get the disease.
Diagnosing Hypersensitivity Pneumonitis
Your health care provider will diagnose hypersensitivity pneumonitis by asking you questions about symptoms and doing a physical exam.
Your provider may also order some of the following tests:
- Chest X-ray and computed tomography (CT) scan. These scans may be able to show early signs of the disease and identify any scars on your lungs.
- Lung function tests. Lung function tests show how well you breathe to see if your lungs are working correctly.
- Blood tests. Your provider may order blood tests to find out if you have been exposed to a certain allergen.
- Bronchoscopy. Your provider may order or perform a bronchoscopy to take images and samples of your lungs. During this procedure, the doctor inserts a small, flexible, pencil-sized tube with a video camera attached (called a bronchoscope) into your nose or mouth and through to your airways.

- Video-assisted thoracic surgery (VATS) (also called an open lung biopsy). VATS is performed by a heart/lung surgeon to get lung tissue for more testing.
When should you see your health care provider?
If you develop symptoms of hypersensitivity pneumonitis, contact your provider if you have:
- Flu-like symptoms;
- Dry cough;
- Shortness of breath;
- Tight chest;
- Fever or chills; or
- Tiredness 4 to 6 hours after you inhale the allergens.
Flu typically occurs between October and May in North America, but hypersensitivity pneumonitis can happen any time of the year.
Treating Hypersensitivity Pneumonitis
Your health care provider will do a physical exam and listen to your lungs with a stethoscope. People with hypersensitivity pneumonitis may have unusual lung sounds (crackles). Your provider may also use a small tool called a pulse oximeter that goes on your finger to check the amount of oxygen in your blood.
Your provider will ask if you have inhaled any kind of dust at home or at work. Questions your provider may ask include the following:
- Is there water damage in your home or job from humidifiers, heating systems, or air conditioners?
- Do you have a hot tub at home?
- Have you been around bird droppings? Do you have any birds as pets? Do you have any feather cushions or down pillows?
You can bring a friend or family member to the visit: He or she may remember you inhaling certain dusts that you forgot. If the provider can’t figure out where the dust is coming from, a professional (industrial hygienist) who is trained to find such dust may come to your home or job.
The most important thing you can do is not inhale the dust that causes the disease. Your lungs may return to normal. If you can’t stop inhaling the dust, your provider may suggest that you move to a new home or job. If you have bird fancier’s lung, then you may have to give up your pet bird.![]()
If your case is serious, your provider may put you on steroid medication, such as prednisone. You may have to take these medications for up to 3 months and maybe longer. Steroids help with your symptoms, but they will not cure the disease. They also have side effects, such as weight gain, thin bones, eye disease, and abnormal blood sugar levels.
Other medications you may be taking (such as mycophenolate and azathioprine) may keep you from having to take steroids. In rare cases, if you have serious lung scars, you may need a lung transplant.
Managing Hypersensitivity Pneumonitis
Here are suggestions for staying away from certain allergens:
- Remove any standing water inside and outside your home.
- Keep the humidity in your home and job below 60%.
- Repair water damage inside your home or job, including wet carpeting, furniture, and drywall.
- Make sure your heater and air conditioning are working and that you have good ventilation.

- Don’t reuse the water in your heater, air conditioner, or ventilation system.
- If you work with farm products, make sure they are dry when you store them.
Preventing Hypersensitivity Pneumonitis
If you can’t completely avoid the allergens, there are some masks you can try that will help keep you from inhaling them. They cover your nose and mouth and can filter the air you breathe.
Resources
The American Lung Association recommends that patients and caregivers join its Living with Lung Disease support community to connect with others facing this disease. To talk to a trained lung professional, call the American Lung Association’s Lung Helpline at 1-800-LUNGUSA. They can help answer your questions and connect you with additional support.
Ask your health care provider about lung disease support groups in your area, or look online for a Better Breathers Club near you.
Questions to Ask Your Health Care Provider
Making notes before your visit and taking along a trusted family member or friend can help you through the first appointment with your doctor.
The following are questions you can ask your health care provider:
- I have hypersensitivity pneumonitis from workplace dust. Is it safe for me to continue working?
- Are there things I can’t do at work?
- Do I have to give up my pet birds?
- Should I stay out of hot tubs?
- Can my family members get the disease if I have it?
- What tests will I need to find out if I have hypersensitivity pneumonitis?
- How often should I get lung function tests?
- How often should I get chest X-rays and CT scans?
- Do I need to be on medications (steroids)?
- Can I use oxygen therapy?
- Can I still get flu shots and pneumonia shots?
- Is it okay for me to exercise?
- Is there a special diet?
- Is it okay if I fly?
Chemical Pneumonia
Chemical Pneumonia Overview
Chemical pneumonia is an unusual type of lung irritation. Pneumonia usually is caused by a bacteria or virus. In chemical pneumonia, inflammation of lung tissue is from poisons or toxins.
Only a small percentage of pneumonias are caused by chemicals.
- Many substances can cause chemical pneumonia, including liquids, gases, and small particles, such as dust or fumes, also called particulate matter. Some chemicals only harm the lungs; however, some toxic materials affect other organs in addition to the lungs and can result in serious organ damage or death.
- Chemical pneumonia can be caused by aspiration. Aspiration means that you breathe oral secretions or stomach contents into your lungs. The inflammation comes from the toxic effects of stomach acid and enzymes on lung tissue. Bacteria from the stomach or mouth can also cause a bacterial pneumonia.
- Chemical pneumonia is only one type of lung inflammation. You can read about viral pneumonia and bacterial pneumonia in their own sections.
Symptoms of Chemical Pneumonia
Signs and symptoms of chemical pneumonia vary greatly, and many factors can determine its seriousness.
For instance, someone exposed to chlorine in a large outdoor pool may have only a cough and burning eyes. Someone else exposed to high levels of chlorine in a small room may die of respiratory failure.
- Factors that determine the severity of symptoms include the following:
- Type and strength of chemical
- Exposure environment — Indoors, outdoors, hot, cold
- Length of exposure — Seconds, minutes, hours
- Form of chemical — Gas, vapor, particulate, liquid
- Protective measures used
- Prior medical condition
- Your age
- Chemical pneumonia may have the following signs and symptoms:
- Symptoms
- Burning of the nose, eyes, lips, mouth, and throat
- Dry cough
- Wet cough producing clear, yellow, or green mucus
- Cough producing blood or frothy pink matter in the saliva
- Nausea or abdominal pain
- Chest pain
- Shortness of breath
- Painful breathing or pleuritis (an inflammation of the outside covering of the lungs)
- Headache
- Flu-like symptoms
- Weakness or a general ill feeling
- Delirium or disorientation
- Signs a doctor might observe
- Rapid or shallow breaths
- Rapid pulse
- Oral, nasal, or skin burns
- Pale skin and lips
- Sweating
- Altered thinking and reasoning skills
- Unconsciousness
- Swelling of eyes or tongue
- Hoarse or muffled voice
- Chemical odors on other areas of the body
- Frothy spit from a cough
- Fever
- Symptoms
When to Seek Medical Care
Should any symptoms of chemical pneumonia occur, call your doctor or the local poison control center.
Any person with serious signs or symptoms should be transported immediately by ambulance to the nearest hospital’s emergency department.
Chemical identification is helpful both for the poison control center and the doctor. This should not take precedence over medical care, however, especially for those with severe signs or symptoms.
Immediate evaluation in a hospital’s emergency department is necessary for treating the following conditions:
- Unconsciousness
- Cyanosis — A blue discoloration of the lips, tongue, or skin
- Difficulty breathing
- Sudden change of voice
- Mouth or throat swelling
- Chest pain
- Shortness of breath
- Cough productive of frothy or bloody spit
- Altered thinking and reasoning skills
- Exposure to potentially deadly chemical
- Vomiting and aspiration
The poison control center may suggest other conditions particular to the chemical that would need emergency care.
Exams and Tests for Chemical Pneumonia
Diagnosis and treatment for chemical pneumonia will vary depending on signs and symptoms.
Frequently, the symptoms will be mild, the chemical will be well known, and the medical evaluation brief and focused.
- Sometimes serious signs and symptoms will need life-saving procedures, such as artificial ventilation, advanced cardiac life support, or complex medical therapy. In most cases, the doctor will consult local poison control experts for advice.
- The doctor must first make sure that hospital staff are not at risk for exposure themselves.
- The next priority is to identify the chemical and consider the effects this chemical has on the lungs and the rest of the body.
- A thorough history will be obtained to include the length of exposure, area of exposure, form and concentration of the chemical, other medical problems, and symptoms. In addition to close inspection of the vital signs (heart rate, blood pressure, respiratory rate, temperature, and how much oxygen you have in your blood), the doctor will evaluate, at a minimum, the eyes, nose, throat, skin, heart, lungs, and abdomen.

Once these steps have been taken, further evaluation may vary depending on the status of the person injured, the type of chemical exposure, and other factors.
Treatment for Chemical Pneumonia
Self-Care at Home
Your decision to seek medical care depends on the severity of symptoms and other factors of exposure. If you accidentally inhale a chemical, you probably want some medical advice. You can call your local poison control center for help. If your symptoms are serious, you will want immediate treatment at a hospital.
Home care may be the most important aspect of medical management.
- Quickly get away from the offending chemical or area of exposure. If possible, avoid exposing others to the same chemical. Once you’re away from the area, consider further decontamination, such as removing your clothes and showering.
- Alert the appropriate authorities to avoid further problems.
- Identify and contain the chemical.
- Medical evaluation may involve local police, fire department, emergency medical services (EMS), and hazardous materials personnel.

Medical Treatment for Chemical Pneumonia
Evaluation and treatment vary. Almost everyone will have measurements of blood pressure, oxygen level, heart rate, and respiratory rate.
In many people with chemical pneumonia, treatment is mostly observation. Sometimes symptoms develop over time and the amount of damage done won’t be totally known for several hours.
Many treatments are possible, including the following:
- IV fluids
- Oxygen by mask or tube
- Breathing treatment with medicine to open breathing tubes
- Steroid medications by IV or mouth
- Nonsteroidal anti-inflammatory drugs by mouth
- Pain medications by IV or mouth
- Artificial ventilation (help breathing)
- Preventive antibiotics (sometimes)
Next Steps — Outlook
Prognosis depends on the chemical exposure and person’s medical condition. For example, an elderly person with lung disease exposed to moderate amounts of vaporized ammonium chloride might suffer serious problems as compared to a young athlete with no lung problems.
In general, the more severe the symptoms, the more likely you will suffer short- and long-term complications.
- Short-term complications include other organ injury in addition to possible death.
- Long-term complications include lung scarring and recurrent pneumonia.
What Is Hypersensitivity Pneumonitis?
You may not think it’s a big deal when you breathe in dust, but for some people, it could bring on a lung disease called hypersensitivity pneumonitis. It’s an allergic reaction to particles in the dust, and it can cause symptoms like coughing and shortness of breath. You can get things back to normal if you get treated early and avoid breathing the stuff you’re allergic to.
There are a variety of things that can cause hypersensitivity pneumonitis when you breathe them in, including fungus, molds, bacteria, proteins, and chemicals.
Normally, the immune system — your body’s defense against germs — causes inflammation in your lungs as it clears away the things you’re allergic to.
After a while, the inflammation stops. But in some people who are “hypersensitive,” the lungs stay inflamed and cause the symptoms of hypersensitivity pneumonitis.
If you catch it early and stop breathing in more particles, your lungs can heal. If you breathe them in over and over, your lungs will stay inflamed, and scars may develop, which can make it hard to breathe normally.
It’s hard to tell how many people have hypersensitivity pneumonitis because many don’t get diagnosed or are mistakenly thought to have another lung disease, like asthma.
Particles That Cause Problems
You can breathe in troublesome particles in your home, at work, or almost any other place you usually go. It may take months or years before you become allergic to them.
Some sources of particles that can cause hypersensitivity pneumonitis include:
- Animal fur
- Fungus that grows in air conditioners, humidifiers, and heating systems
- Bird droppings and feathers
- Mold that grows on hay, straw, or grain animal feed
- Bacteria in water vapor from hot tubs
You may be more likely to get hypersensitivity pneumonitis if you have a job that puts you in contact with these particles, like farming, veterinary work, and lumber mill operations.
But most people who breathe them in won’t get the lung disease, so experts think certain genes play a role.
How You Get a Diagnosis
To find out if you have hypersensitivity pneumonitis, your doctor will want to know about the kinds of dust you may have been in contact with. They’ll ask you questions like:
- Do you have any pet birds?
- Do you have a hot tub?
- Have you been around any water damage, especially from a humidifier, heater, or air conditioner?
Your answers to these questions will also help your doctor figure out the best treatment.
Your doctor will also listen for abnormal sounds in your lungs and will check the oxygen levels in your blood. You may also get tests like:
- Blood tests
- Chest X-ray or CT scan
- Tests to see how well your lungs are working
- Lung biopsy (removing a small piece of lung tissue)
Symptoms and Types of Hypersensitivity Pneumonitis
There are three types, based on how long you have had the disease and how severe your symptoms are.
Acute. This type is brief and severe. It feels like you caught the flu, and it happens after you’ve been around a lot of dust. Your symptoms should get better in a couple of days if you don’t breathe in any more dust but will probably return if you do. Your symptoms could include:
You might have these symptoms from 12 hours to several days.
Subacute. It can happen when you have low-level contact with the dust over time. It may start out with a fever. Then shortness of breath, tiredness, and coughing can start over weeks or months. This type of hypersensitivity pneumonitis tends to get worse with time.
Chronic. This is a long-lasting form that happens after a low but long period of contact with dust. You may get symptoms like shortness of breath, tiredness, coughing, and weight loss that slowly get worse. This kind of hypersensitivity pneumonitis can lead to permanent lung scarring.
Treatment
The most important thing you can do is avoid the dust that caused your hypersensitivity pneumonitis.
If you have a chronic form of the disease, you may take a steroid medicine to help curb inflammation. They have side effects like weight gain and higher blood sugar.
Early studies suggest that drugs that curb the immune system — like azathioprine (Imuran) or rituximab (Rituxan) — may be helpful. More research is needed.
You may also go to pulmonary rehab, a program that helps people with breathing problems improve their health.
If you’re having a lot of trouble breathing, you may need to get extra oxygen through a mask or tubing. Some people need oxygen all the time, while others just need it when they exercise or sleep.
For some people who have a lot of scarring in their lungs, a lung transplant may be the best option.
Living With HP
There are lots of things you can do to be your healthiest with hypersensitivity pneumonitis.
- Make sure to go to all doctor’s appointments so you can get the right treatment for any symptoms, such as tiredness or breathing problems.

- Get all your vaccines, especially the flu shot, to avoid infections that can hurt your lungs.
- Get some exercise, but talk to your doctor about which activities are right for you and any you should avoid.
- Quit smoking. It makes the disease worse, especially the chronic type.
Hypersensitivity Pneumonitis | Cedars-Sinai
Not what you’re looking for?
Overview
Hypersensitivity pneumonitis is an allergic reaction that causes inflammation (swelling and tenderness) in and around the air sacs (alveoli) of the lungs and the smallest airways (bronchioles).
Dust, tiny organisms or chemicals can cause the allergic reaction. Not everyone exposed to these materials develops an allergic reaction. It usually takes exposure to large amounts of these materials (allergens) frequently over a period of time before a sensitivity and reaction develop. Only a small percentage of those who develop allergic reactions suffer permanent damage to the lungs.
In the most serious cases the combination of the allergic reaction and the immune system’s reactions can cause lung damage. With more and more exposure, the immune system reacts against the allergic reaction, causing chronic inflammation. The inflammation is a result of white blood cells building up in the walls of the alveoli and bronchioles. As the buildup increases, symptoms increase and damage to the lungs grows.
Symptoms
Once a person has developed hypersensitivity to a material or organism, he or she may experience symptoms the next time exposure occurs.
These symptoms usually develop in four to eight hours and include:
- Fever
- Cough
- Chills
- Shortness of breath
The symptoms usually clear up in a day or two if there is no more exposure to the reaction-causing material. Complete recovery, however, may take weeks.
In one form of hypersensitivity pneumonitis, a cough and shortness of breath may take days or weeks to develop and be so severe that the person needs to be hospitalized.
If a person is repeatedly in contact with an allergen over months or years, the lungs may become scarred (fibrosis). Symptoms in this case may include shortness of breath during exercise, coughing up of sputum, tiredness and a gradual weight loss. Eventually, respiratory failure can occur.
Causes and Risk Factors
Many types of dust, organisms or chemicals can cause allergic reactions in the lungs, including:
- Heat-loving bacteria in moldy hay
- Contamination in humidifiers or air conditions (especially large systems in office buildings)
- Chemicals, such as urethanes (isocyanates)
- Wood dust
- Droppings from poultry or other birds.
- Chemicals used in making polyrethane foam, molding, insulation, synthetic rubber and packaging materials.
- Materials found in certain types of farming or food production or processing, including mushroom compost, moldy cork, infected maple bark, moldy barley or malt, cheese mold, sugar cane, unroasted coffee beans or weevil-infested wheat flour
Diagnosis
Diagnosing hypersensitivity pneumonitis depends on the symptoms, identifying (if possible) the cause of the reaction and showing the person’s exposure to the suspected agent.
In addition to a physical examination a doctor may order the following tests:
- Blood test to see if antibodies are present showing an immune system response to an allergen
- Chest X-ray. In some cases, an abnormal finding on an X-ray done for another reason may uncover the lung damage caused by hypersensitivity pneumonitis.
- Tests to measure the lungs’ ability to hold and move air and to exchange oxygen and carbon dioxide
If the diagnosis is unclear or an infection is suspected, doctors may do a biopsy. This involves looking at a small piece of lung tissue under a microscope. The tissue can be removed during a bronchoscopy, when the lungs are being checked through a scope in the lungs. Sometimes during a bronchoscopy, the lung may be washed out with fluid that carries away cells. This fluid can be looked at under a microscope.
Treatment
After an acute episode of hypersensitivity pneumonitis, a person can usually recover without treatment if he or she has no more contact with the allergen.
In serious cases, it may be necessary to use corticosteroids, such as prednisone, to lessen the symptoms and reduce inflammation in the lungs. If episodes go on for a long period of time or come back often, a person may suffer permanent lung damage and growing difficulty with breathing (dyspnea).
Prevention
Avoiding exposure to dust or chemicals is important. If a person cannot change jobs, he or she should wear a protective masks and work in a well-ventilated place, if possible.
© 2000-2021 The StayWell Company, LLC. All rights reserved. This information is not intended as a substitute for professional medical care. Always follow your healthcare professional’s instructions.
Not what you’re looking for?
6 Symptoms That Can Signal Lung Disease
It’s easy to get the care you need.
See a Premier Physician Network provider near you.
Breathing is something you probably don’t think much about — even though you do it about 25,000 times a day. Every breath you take helps deliver oxygen from your lungs to your bloodstream.
But it’s a different story if you have lung disease. The number of U.S. women diagnosed with lung disease is rising. And more women are dying of lung diseases.
Symptoms can mimic a cold or allergies, so staying alert to the warning signs can help you detect and treat problems early.
The number of U.S. women diagnosed with lung disease is rising. And more women are dying of lung diseases.
What Are the Different Types of Lung Disease?
Lung disease refers to many disorders that affect the lungs. When you have lung disease, your body may not get enough oxygen. The most common lung diseases in women include:
- Asthma, a chronic (ongoing) disease of bronchial tubes, airways that carry air in and out of the lungs. When you have asthma, the airways become inflamed, or swollen, and highly sensitive. They overreact to smoke, air pollution, mold, chemical sprays and other irritants.
The airways can be irritated by common allergens like pollen and dust mites, and by simple respiratory infections such as a cold. When this happens, the airways get narrower, making breathing more difficult.
- Chronic obstructive pulmonary disease (COPD), which refers to two conditions, chronic bronchitis and emphysema. They often occur together. Both make breathing difficult, and usually worsen over time.
With chronic bronchitis, the airways are irritated and make extra mucus, leading to lots of coughing. Over time, the airways become scarred, limiting airflow to and from the lungs.
With emphysema, the lung tissue is weakened, and the walls of the air sacs break down. This means less oxygen enters the blood, causing shortness of breath, wheezing and coughing.
- Lung cancer causes abnormal (malignant) lung cells to multiply and grow uncontrolled. These cancerous cells can invade nearby tissues, spread to other parts of the body, or both. There are two major kinds of lung cancer: small cell and non-small cell. Most lung cancers are non-small cell, which spreads more slowly than small cell.
Air pollution and allergens may play a role in these diseases. And a preventable risk factor is clearly involved — tobacco use. If you smoke, quit. If someone close to you does, ask them to take their cigarette breaks outdoors. Even secondhand smoke is damaging.
What Are the Warning Signs of Lung Disease?
Early signs of lung disease are easy to overlook. Knowing the warning signs can help you get treatment before the condition becomes serious. If you have any of these symptoms, make an appointment with your health care provider:
- Trouble breathing or shortness of breath: It’s not normal to have shortness of breath for no reason, or that doesn’t go away after exercise.
- Feeling like you’re not getting enough air: Labored breathing, when it’s hard to breath in and out, is a warning sign of trouble.
- Chronic cough: Coughing for more than a month, may be a signal that something is wrong with your respiratory system.
- Coughing up blood: The blood may be coming from your lungs or upper respiratory tract, signaling a health problem.
- Chronic mucus production: Mucus can defend against infections or irritants. But increased mucus production for more than a month could indicate lung disease.
- Chronic chest pain: Unexplained chest pain that lasts for more than a month, and worsens when you breathe in or cough, is a warning sign.
It’s easy to get the care you need.
See a Premier Physician Network provider near you.
Source: WomensHealth.gov; American Lung Association; MedlinePlus
Lung disease | Office on Women’s Health
Three of the most common lung diseases in women are asthma, chronic obstructive pulmonary disease (COPD), and lung cancer.
Asthma
Asthma is a chronic (ongoing) disease of the airways in the lungs called bronchial tubes. Bronchial tubes carry air into and out of the lungs. In people with asthma, the walls of these airways become inflamed (swollen) and oversensitive. The airways overreact to things like smoke, air pollution, mold, and many chemical sprays. They also can be irritated by allergens (like pollen and dust mites) and by respiratory infections (like a cold). When the airways overreact, they get narrower. This limits the flow of air into and out of the lungs and causes trouble breathing. Asthma symptoms include wheezing, coughing, and tightness in the chest.
Women are more likely than men to have asthma and are more likely to die from it. The percentage of women, especially young women, with asthma is rising in the United States. Researchers are not sure why. Many experts think that air pollution and allergens play a role in this increase. Breathing tobacco smoke also is linked to an increased risk of asthma.
Chronic obstructive pulmonary disease
Chronic obstructive pulmonary disease (COPD) refers to chronic obstructive bronchitis and emphysema. These conditions often occur together. Both diseases limit airflow into and out of the lungs and make breathing difficult. COPD usually gets worse with time.
A person with COPD has ongoing inflammation of the bronchial tubes, which carry air into and out of the lungs. This irritation causes the growth of cells that make mucus. The extra mucus leads to a lot of coughing. Over time, the irritation causes the walls of the airways to thicken and develop scars. The airways may become thickened enough to limit airflow to and from the lungs. If that happens, the condition is called chronic obstructive bronchitis.
In emphysema, the lung tissue gets weak, and the walls of the air sacs (alveoli) break down. Normally, oxygen from the air goes into the blood through these air sac walls. In a person with emphysema, the ruined air sac walls means less oxygen can pass into the blood. This causes shortness of breath, coughing, and wheezing.
More than twice as many women as men are now diagnosed with chronic bronchitis. The rate of emphysema among women has increased by 5 percent in recent years but has decreased among men. And more women have died from COPD than men every year since 2000. Researchers are trying to understand why. Cigarette smoking, a main cause of COPD, has increased among women. One theory is that cigarette smoke is more damaging to women than to men.
Lung cancer
Lung cancer is a disease in which abnormal (malignant) lung cells multiply and grow without control. These cancerous cells can invade nearby tissues, spread to other parts of the body, or both. The two major kinds of lung cancer are named for the way the cells look under a microscope. They are:
- Small cell lung cancer. This kind of lung cancer tends to spread quickly.
- Non-small cell lung cancer. This is a term for several types of lung cancers that act in a similar way. Most lung cancers are non-small cell. This kind of lung cancer tends to spread more slowly than small cell lung cancer.
In the United States, more women now die from lung cancer than from any other type of cancer. Tobacco use is the major cause of lung cancer.
Other lung diseases
Less common lung problems that affect women include:
- Pulmonary emboli. These are blood clots that travel to the lungs from other parts of the body and plug up blood vessels in the lungs. Some factors that increase your risk include being pregnant, having recently given birth, and taking birth control pills or menopausal hormone therapy. Pulmonary emboli can affect blood flow in the lungs and can reduce oxygen flow into the blood. Very large emboli can cause sudden death.
- Pulmonary hypertension. This is high blood pressure in the arteries that bring blood to the lungs. It can affect blood flow in the lungs and can reduce oxygen flow into the blood.
- Sarcoidosis and pulmonary fibrosis. These inflammatory diseases cause stiffening and scarring in the lungs.
- LAM (lymphangioleiomyomatosis) (lim-FAN-jee-oh-LEE-oh-MEYE-oh-mah-TOH-sis). This is a rare lung disease that mostly affects women in their mid-30s and 40s. Muscle-like cells grow out of control in certain organs, including the lungs.
- Influenza (the flu) and pneumonia. Flu is a respiratory infection that is caused by a virus and can damage the lungs. Usually, people recover well from the flu, but it can be dangerous and even deadly for some people. Those at greater risk include older people, young children, pregnant women, and people with certain health conditions like asthma. Pneumonia is a severe inflammation of the lungs that can be caused by bacteria, viruses, and fungi. Fluid builds up in the lungs and may lower the amount of oxygen that the blood can get from air that’s breathed in. People most at risk are older than 65 or younger than 2, or already have health problems. Vaccines are the best protection against flu and pneumonia.
Asthma | NHLBI, NIH
After being diagnosed with asthma, work with your doctor to learn how to manage it yourself. Because asthma symptoms may be different at different times, it is important to know which medicines to use to prevent and relieve symptoms. You can work with your doctor to develop a treatment plan, called an asthma action plan. Follow-up care will help to make sure your or your child’s asthma is well-controlled. Staying healthy also includes avoiding asthma triggers and maintaining a healthy lifestyle.
Watch NHLBI’s video Living with and Managing Asthma for more information.
Follow your asthma action plan
Work with your doctor to create an asthma action plan that works for you. An asthma action plan is a written treatment plan document that describes the following.
- How to identify allergens or irritants to avoid
- How to recognize and handle asthma attacks
- Which medicines to take and when to take them
- When to call your doctor or go to the emergency room
- Who to contact in an emergency
If your child has asthma, then your child’s caretakers and school staff should know about the asthma action plan. For a sample plan, see the National Heart, Lung, and Blood Institute’s (NHLBI) Asthma Action Plan.
Your doctor will make sure you are using your inhaler correctly. There are different types of inhalers. Review the way you use your inhaler at every medical visit. Sometimes asthma may get worse because of incorrect inhaler use.
Watch our video on Asthma Action Plans to learn more. Then, download a sample Asthma Action Plan.
Know your asthma triggers
Asthma triggers are things that set off or worsen asthma symptoms. If you know that your asthma symptoms occur when you are exposed to specific triggers, it may be worthwhile to reduce your exposure to those triggers, using multiple different methods to reduce the exposure.
Allergens are a common trigger for asthma.
- If you are sensitive to dust, consider using a mattress and pillowcases that keep out dust mites along with high efficiency particulate air (HEPA) filtration vacuum cleaners.
- If you are sensitive to mice or cockroaches, consider using multiple ways of removing them or preventing them from entering the home in the first place.
Other asthma triggers include:
- Emotional stress. Emotional stress, such as intense anger, crying, or laughing, can cause hyperventilation and airway narrowing, triggering an asthma attack.
- Infections, such as influenza (flu). Get the flu vaccine each year to help prevent the flu, which can raise the risk of an asthma attack.
- Medicines. Some people who have severe asthma may be sensitive to medicines, such as aspirin, and may experience serious respiratory problems. Tell your doctor about all medicines you or your child currently takes.
- Poor air quality or very cold air. Pollution or certain kinds of weather, such as thunderstorms, can affect air quality. Pollution can include indoor pollution caused by gases from inefficient cooking or heating devices that are not vented. Outdoor air pollution may be hard to avoid, but you can keep windows closed and avoid strenuous outdoor activity when air quality is low. For guidance, check the National Oceanic and Atmospheric Administration’s Air Quality Forecast Guidance.
- Tobacco smoke, including secondhand smoke.
- Certain foods or food additives (chemicals). This is less common.
Read more about reducing allergens in your home.
Receive routine medical care
Regular checkups are important to help your doctor determine how well you are controlling your asthma and adjust treatment if needed. Your doctor will also do regular tests to see how well your lungs are working and how well air is flowing.
Your medicines or dosages may change over time, based on changes in your condition or in your life, such as:
- Age. Older adults may need different treatments because of other conditions they may have and medicines they may take. Beta-blockers, pain relievers, and anti-inflammatory medicines can affect asthma.
- Pregnancy. Your asthma symptoms may change during pregnancy. You are also at higher risk of asthma attacks. Your doctor will continue to treat you with long-term medicines such as inhaled corticosteroids. Controlling your asthma is important for preventing complications such as preeclampsia, pre-term delivery, and low birth weight of the baby.
- Surgery. Asthma may increase your risk of complications during and after surgery. For instance, having a tube put into your throat may cause an asthma attack. Talk to your doctor and surgeon about how to prepare for surgery.
Return to Treatment to review possible treatment options for your asthma.
Manage your asthma at home
Ask your doctor about asthma training or support groups to help you keep asthma under control. Education can help you understand the purpose of your medicines, how to prevent symptoms, how to recognize asthma attacks early, and when to seek medical attention.
As part of your asthma action plan, your doctor may show you how to monitor your asthma using a peak flow meter. You can compare your numbers over time to make sure your asthma is controlled. A low number can help warn you of an asthma attack, even before you notice symptoms.
Keeping a diary may help if you find it hard to follow your asthma action plan or the plan is not working well. If you have any of the following experiences, record them in the diary and make an appointment to see your doctor. Bring the diary with you to your appointment.
- You are limiting normal activities and missing school or work.
- You use your quick-relief inhaler more than two days a week.
- Your asthma medicines do not seem to work well anymore.
- Your peak flow number is low or varies a lot from day to day.
- Your symptoms occur more often, are more severe, or cause you to lose sleep.
If your young child’s asthma is not well-controlled, you may notice that he or she is coughing more at night and eating less. Your child also may seem more tired (called fatigue), irritable, or moody.
Make healthy lifestyle changes
Your doctor may recommend one or more of the following heart-healthy lifestyle changes to help keep asthma symptoms in check.
- Aim for a healthy weight. Obesity can make asthma harder to manage. Talk to your doctor about programs that can help. Even a 5% to 10% weight loss can help symptoms.
- Choose heart-healthy foods. Eating more fruits and vegetables and getting enough vitamin D can provide important health benefits.
- Get regular physical activity. Even though exercise is an asthma trigger for some people, you should not avoid it. Physical activity is an important part of a healthy lifestyle. Talk with your doctor about what level of physical activity is right for you. Ask about medicines that can help you stay active.
- Manage stress. Learn breathing and relaxation techniques, which can help symptoms. Meet with a mental health professional if you have anxiety, depression, or panic attacks.
- Quit smoking or avoid secondhand smoke. Smoking tobacco and inhaling smoke from secondhand smoke make asthma harder to treat. Vaping e-cigarettes and getting exposed to secondhand vapor may also be linked to asthma symptoms. Research suggests that nicotine and flavorings found in vaping e-cigarettes can damage your lungs. Visit Smoking and Your Heart or call the National Cancer Institute’s Smoking Quitline at 1-877-44U-QUIT (1-877-448-7848).
- Try to get good quality sleep. Getting quality sleep can sometimes be difficult with asthma. Develop healthy sleep habits by going to sleep and getting up at regular times, following a calming bedtime routine, and keeping you bedroom cool and dark.
Prevent complications from asthma
Your doctor may recommend that you keep your medicine dose as low as possible to prevent long-term side effects. High doses of certain asthma medicines over time can increase your risk of cataracts and osteoporosis. A cataract is the clouding of lens in your eye. Osteoporosis is a disorder that makes your bones weak and more likely to break. Read more in What People With Asthma Need To Know About Osteoporosis.
Keep your asthma under control and contact your doctor if anything changes. When asthma is unmanaged, it can lead to potentially life-threatening asthma attacks. If you are pregnant, it can put the health of your unborn baby at risk.
Have a plan for asthma attacks
A written asthma action plan developed with your doctor can help you know when to call 9-1-1 for emergency care.
Asthma attacks can be more dangerous for some people. You should seek care immediately during an asthma attack if you or your child:
- Has been hospitalized for asthma in the past year
- Has had life-threatening asthma attacks in the past
- Recently needed oral corticosteroids
- Has not been using inhaled corticosteroids
- Uses more than one canister of inhaled short-acting beta2-agonists (SABAs) medicine each month
- Has a mental health condition or alcohol or drug use disorder
- Does not closely follow your asthma action plan
- Has a food allergy
For young children with asthma, call 9-1-1 if they:
- Seem drowsy, confused, or agitated
- Have a blue tint to the skin and lips
- Have a fast heartbeat
Call your doctor if:
- Your medicines do not relieve an asthma attack
- Your peak flow number is low
Bronchospasm [Bronchospasm, Adult]
Bronchospasm (bronchospasm) occurs with spasm and contraction of the airways (bronchioles). This makes breathing difficult and causes wheezing (a thin whistling sound). Bronchospasm can also cause frequent coughing fits without whistling sounds.
Bronchospasm is caused by irritation, inflammation or allergic reaction in the airways. People with asthma are prone to bronchospasm.However, not all patients with bronchospasm have asthma.
Airway spasm may be associated with exposure to noxious fumes, recent bronchitis, or exacerbation of chronic emphysema (COPD). An attack of bronchospasm can last 7-14 days. Medication may be prescribed to relieve airway spasm and prevent wheezing. Antibiotics are only prescribed if the doctor suspects a bacterial infection.Antibiotics do not help with viral infections.
Home Care
Drink plenty of water or other liquids (at least 10 glasses a day) during an attack. This helps to thin the secretions in the lungs and makes breathing easier. If you have heart or kidney disease, talk to your doctor before drinking large amounts of fluids.
Take all prescribed drugs exactly on the recommended schedule. If you have a handheld inhaler or aerosol product, use them no more often than once every 90,019 four 90,020 hours, unless otherwise directed.If you are prescribed an antibiotic or prednisone, take the full course, even if you feel better after a few days.
Stop smoking. Avoid smoking areas.
If you have been given an inhaler, use it exactly as instructed. If you have to use it more often than your doctor tells you, it could mean a worsening of your condition. See your doctor or healthcare facility.
Required Observation
by your doctor or as directed by our staff.
[NOTE. For persons 65 years of age or older, and with chronic asthma or chronic obstructive pulmonary disease, it is recommended to perform PNEUMOCOCCAL VACCINATION ( PNEUMOCOCCAL VACCINATION) every five years and INFU VACCINATION VACCINATION (FLU-SHOT)) annually in the fall. Please consult your doctor about these matters.]
Seek Immediate Medical Assistance
for any of the following:
increased wheezing or shortness of breath;
inhalers have to be used more often than usual, and this does not bring relief;
At 100.4єF (38єC) or higher, or as recommended by a healthcare practitioner;
copious expectoration with dark colored sputum or sputum with blood;
chest pain with each breath;
no improvement occurs within 24 hours.
Chlorine poisoning: symptoms, consequences and first aid
Industrial accidents (eg damage to chlorine tanks) can be the cause of mass poisoning. Individual poisoning occurs due to non-compliance with safety regulations in laboratories.
Chlorine poisoning is considered extremely serious and can lead to pulmonary edema.
Symptoms of poisoning: burning, redness and swelling of the eyelids, oral mucosa and respiratory tract; as a result, cough, shortness of breath, blue discoloration, pulmonary edema.
In less severe cases, the victims have pain in the eyes, sore throat, nausea, coughing fits, headache. The concentrated substance can burn the airways and lead to rapid death.
Inhalation of chlorine may cause acute and chronic poisoning.Clinical forms depend on the concentration of chlorine in the air and the duration of exposure.
There are four forms of acute chlorine poisoning: fulminant, severe, moderate and mild.
For all these forms, a sharp primary reaction to gas exposure is typical. Chlorine nonspecific irritation of the receptors of the mucous membrane of the respiratory tract causes reflex protective symptoms (cough, sore throat, lacrimation, etc.). As a result of the interaction of chlorine with the moisture of the mucous membrane of the respiratory tract, hydrochloric acid and active oxygen are formed, which have a toxic effect on the body.
At high concentrations of chlorine, the victim may die after a few minutes (fulminant form): persistent laryngospasm occurs (narrowing of the glottis, leading to respiratory arrest), loss of consciousness, convulsions, cyanosis, swelling of the veins on the face and neck, involuntary urination and defecation.
In severe poisoning, a short-term cessation of breathing occurs, then breathing is restored, but not normal, but superficial, convulsive. The person loses consciousness.Death occurs within 5-25 minutes.
In case of moderate chlorine poisoning, the consciousness of the victims is preserved; reflex cessation of breathing is short-lived, but attacks of suffocation may recur during the first two hours. There is a burning sensation and pain in the eyes, lacrimation, pain behind the sternum, bouts of painful dry cough, and after 2-4 hours toxic pulmonary edema develops. In a mild form of acute chlorine poisoning, only signs of irritation of the upper respiratory tract are expressed, which persist for several days.
Long-term consequences of acute chlorine poisoning are manifested as chronic pharyngitis, laryngitis, tracheitis, tracheobronchitis, pneumosclerosis, pulmonary emphysema, broncho-ectatic disease, pulmonary heart failure. The same changes in the body occur during prolonged stay in conditions when the air constantly contains gaseous chlorine in low concentrations (chronic chlorine poisoning). Exposure to unprotected skin of chlorine-containing compounds causes bleach, dermatitis, pyoderma.
First aid in case of chlorine poisoning: it is necessary to remove the injured person from the chlorine-saturated atmosphere as soon as possible, take measures aimed at ensuring the basic vital functions of the body, give oxygen, ensure complete physical rest, warmth (also during transportation), remove the damaged chlorine wash clothes, affected skin areas with plenty of soap and water, rinse eyes with running water.
First aid to victims also includes:
– washing eyes, nose, mouth with 2% baking soda solution;
– instilling petroleum jelly or olive oil into the eyes, and for pain in the eyes – 2-3 drops of a 0.5% solution of dicaine;
– the application of eye ointment for the prevention of infection (0.5% syntomycin, 10% sulfacyl) or 2-3 drops of 30% albucide, 0.1% zinc sulfate solution and 1% boric acid solution – 2 times a day;
– administration of hydrocortisone 125 mg i / m, prednisolone 60 mg i / v or i / m.
Early treatment and hospitalization of the victims is necessary.
The material was prepared on the basis of information from RIA Novosti and open sources
Symptoms of pneumonia | Pneumonia – Smart Medical Center
Pneumonia or pneumonia is a disease, most often of an infectious origin, that affects the lung tissue. Inflammation can occur in both lungs or in a small area. Pneumonia can be caused by viruses (influenza or measles virus, respiratory syncytial virus), bacteria (pneumococcus, legionella, staphylococcus) and fungi, and can also be the result of the common cold.
Myth : Pneumonia occurs due to hypothermia.
True : pneumonia occurs when the body’s defenses are weakened, so they cannot resist bacteria.
Symptoms of pneumonia / pneumonia
Symptoms of the disease can be different, sometimes not even associated with the respiratory system, which greatly complicates the diagnosis. Viral and bacterial pneumonia can have similar symptoms, while viral pneumonia has more symptoms.
Most often, these symptoms indicate pneumonia:
- Cough . Due to significant tissue irritation early in the disease, it can be strong and dry, eventually turning into a wet cough with sputum production. However, the cough does not always manifest itself: it may be completely absent or it may be weak.
- Sputum . Pneumonia produces a large amount of phlegm, sometimes with a yellow or green tinge.The spread of infection and tissue damage can also affect the appearance of blood in the sputum. And given the fact that mucus can be viscous and thick, the discharge is much more difficult.
- Increased body temperature. Sometimes the thermometer reaches 38-40 ° C, while in some cases it can stay within 37 ° C or not at all. Against the background of the temperature, a patient with pneumonia develops fever, headache, drowsiness, weakness, impaired appetite, sweating and chills. It should be noted that body temperature during pneumonia is quite difficult to bring down even with the help of antipyretic drugs, which is one of the characteristic symptoms of this disease.
- Difficulty breathing. Heavy breathing with wheezing, wheezing, or even gurgling is characteristic of pneumonia. Some people find it difficult to breathe, which can cause panic and symptoms such as redness, cyanosis, or pale skin. During breathing and coughing, pain in the lungs is sometimes observed, which indicates a complicated course of the disease, because the pleura (the film covering the lungs) is already affected.
Sometimes pneumonia is difficult to diagnose, because in some cases the disease may be asymptomatic or the symptoms are too vague. It is worth contacting therapist or pediatrician , even if there is the slightest suspicion of pneumonia. Only a doctor can identify the disease, and also differentiate it from tuberculosis, which has the same symptoms.
How to protect yourself from pneumonia?
The first step in preventing pneumonia is vaccination.The main cause of pneumonia and purulent otitis media, as well as half of meningitis, is pneumococcus. At Smart Medical Center, you can be vaccinated with vaccines Sinflorix (children under 5 years old) or Prevenar-13 (children and adults) and get reliable protection against pneumococcal diseases.
To make an appointment with a therapist and pediatrician or make an appointment for a consultation before vaccination and clarify the details, please call (067) 127-03-03; (044) 490-25-03 or fill out the form on the website.
Share the news:
Article author:
SMC
Pneumonia – SCCH
One of the serious diseases in children is pneumonia, or pneumonia. Pneumonia can be life threatening for a child. Fortunately, modern medicine has learned to cope well with pneumonia, and this disease in most cases can be completely cured. Therefore, if your baby gets sick with fever and cough, contact a pediatrician.If pneumonia is suspected, your doctor will order a chest x-ray to confirm the diagnosis.
What is pneumonia?
Pneumonia is an inflammation of the lung tissue, that is, the deepest part of the respiratory system. Normally, gas exchange occurs in the lungs, that is, oxygen from the air enters the bloodstream, and carbon dioxide is released from the blood into the environment. When a part of the lung is affected by inflammation, the respiratory function in the affected part of the lung suffers and the child develops shortness of breath, that is, rapid and labored breathing.Substances produced when the immune system fights bacteria cause a rise in temperature (if the body temperature rises above 38 ° C, this is called a fever). The accumulation of phlegm in the alveoli and bronchi and swelling of the mucous membrane stimulate the cough reflex, and a cough occurs. If the pneumonia is near the lining of the lung called the pleura, chest pains may develop when breathing and coughing.
What causes pneumonia?
There are a lot of infections that can cause pneumonia.The most common cause of so-called “typical” pneumonia is Streptococcus pneumoniae. Pneumococcal pneumonia is associated with fever, cough, shortness of breath, lethargy, and decreased appetite. Less commonly, pneumonia is caused by other pathogens – Haemophilus influenzae type b, Streptococcus pyogenes and Staphylococcus aureus. “Atypical” pneumonia, which is usually milder and rather contagious, is caused by mycoplasmas and chlamydia.Less commonly, viruses (adenovirus, RS virus) are the cause of pneumonia – such pneumonias are rare and can be very difficult. Pneumonia can develop suddenly or be a complication of the flu.
What are the symptoms of pneumonia?
The most important symptom of pneumonia is fever. In a young child, fever may be the only manifestation. Fever above 39.5 ° C with chills and fever, which does not decrease well after taking antipyretic drugs, should be especially alarming.Although it is not always high fever that responds poorly to antipyretics is a symptom of pneumonia. This could be a manifestation of a respiratory viral infection.
The second important symptom of pneumonia is coughing. The nature of the cough matters. Particularly alarming are “deep” coughs, coughs at night, and coughing up to vomiting.
Severe pneumonia is usually accompanied by shortness of breath, that is, rapid and labored breathing. Sometimes a symptom of pneumonia is abdominal pain, which occurs due to irritation of the pleura (the lining of the lung) with inflammation of the area of the lung adjacent to the pleura and due to frequent coughing and, accordingly, tension of the abdominal muscles.
Very important signs that speak in favor of pneumonia are symptoms of intoxication, such as fatigue, weakness, refusal to eat or even drink. At the same time, unlike pneumococcal pneumonia, with mycoplasma pneumonia, the child can feel good.
Cough and wheezing in the lungs are not only symptoms of pneumonia, but also bronchitis.
It is very important that the doctor distinguishes pneumonia from bronchitis, since antibiotics are not always required in bronchitis, and only if there is a suspicion of mycoplasma etiology.
What can happen if pneumonia is not treated?
This is fraught with complications that are more likely to occur if the pneumonia is left untreated. Complications of pneumonia are inflammation of the pleura (pleurisy) and the formation of a cavity in the lung filled with pus (lung abscess). In such cases, a longer course of antibiotics will be required, and sometimes the help of a surgeon.
How is pneumonia treated?
For bacterial pneumonia, your doctor will prescribe an antibiotic. The doctor will decide which antibiotic to choose depending on the suspected cause of the pneumonia.In most cases, the child can be given an antibiotic by mouth (as a suspension or pill) rather than injections. The antibiotic effect occurs within 24 to 48 hours. If after 1 – 2 days the child does not feel better and the fever persists, consult a doctor again.
Usually a child with pneumonia can be treated at home. Hospitalization is required for severe and complicated pneumonia, when the child needs intravenous antibiotics, supplemental oxygen, pleural punctures and other serious medical interventions.
If the body temperature rises above 38.5 – 39 ° C, give the child antipyretic drugs (ibuprofen or paracetamol). Antitussives, such as butamirate (“Sinekod” drug), are contraindicated for pneumonia.
Can pneumonia be prevented?
There are vaccines designed to protect against pneumococcus and Haemophilus influenzae, which cause the most severe forms of pneumonia (against pneumococcus – Prevenar, Pneumo 23 vaccines, against Haemophilus influenzae – Act-HIB, Hiberix, component against Haemophilus influenzae is part of the Pentaxim vaccine, the components against pneumococcus and Haemophilus influenzae are simultaneously part of the Synflorix).Because pneumococcal pneumonia often develops as a complication of influenza, influenza vaccination is helpful. It is very important that parents do not smoke in the presence of the child, as secondhand smoke makes the lungs weak and vulnerable.
How to treat cough with tracheitis – methods, types, symptoms
Sputum discharge is insignificant, in a very small amount, and during coughing, pain in the pharynx and behind the sternum may be felt. Reflex patients tend to reduce the intensity of respiratory movements – breathing becomes rapid, shallow.The main goal of therapy in the early days of acute tracheitis is to soothe dry cough by softening the mucous membrane, reducing its irritation.
Starting from the 3rd or 4th day, the viscosity of the sputum decreases, it goes away more easily, and the pain during coughing becomes less severe. The intensity, soreness of the cough gradually decreases, and if the inflammatory process has not affected the bronchi or lungs, the disease usually goes away without consequences within 1-2 weeks.
To alleviate symptoms, to reduce the intensity of cough will help a plentiful warm drink, frequent wet cleaning, ventilation.For the treatment of cough for tracheitis , both folk and medication are used to help alleviate the condition and accelerate the healing process.
When the cough becomes productive and the phlegm begins to go away, it is necessary to help the body get rid of the accumulated mucus. To do this, take expectorant and sputum thinning drugs .
Dry cough can also be caused by non-infectious causes: mechanical stress, dust, allergens, smoke, dryness of the mucous membrane of the oral cavity and pharynx (as a result of dry air, conditioning).
Dryness of the upper respiratory tract is accompanied by a tingling sensation, itching and tickling in the throat. Cough receptors in the upper respiratory tract react strongly to irritation. The first coughing attack is usually followed by the next one. This recurrent cough can be very uncomfortable and unsettling. It is exhausting for the patient, as it can disturb sleep, children lose their appetite, this can cause hoarseness or chest pain due to frequent coughing fits.
In some respiratory diseases, a dry cough can turn into a productive cough after a few days.A dry and irritating cough without mucus can be treated with medicines that suppress or soothe the cough – Antitussives .
90,000 symptoms, causes, diagnosis, treatment and prevention
Pleurisy is inflammation that occurs in the area of the pleural membranes surrounding the lungs. The inflammatory process occurs in the parietal and visceral loops of the pleura and is often complicated by the accumulation of effusion.More than 10% of patients in a therapeutic hospital are susceptible to this disease, but pleurisy affects men to a greater extent.
Symptoms and signs: when to suspect the development of pleurisy
The main symptoms of pleurisy in adults include:
- stabbing pain in the chest, aggravated during coughing fits;
- shallow breathing;
- heard a loud noise from friction of the pleura;
- temperature rise of subfebrile values.
Similar symptoms are characteristic of dry pleurisy. The patient experiences pain in the area under the ribs, in the abdominal cavity, in the abdominal muscles. The clinical picture may be complemented by chills, weakness and sweating at night. Hiccups and flatulence are also added.
Purulent or exudative pleurisy manifests itself in a slightly different way. At the onset of the disease, the patient feels a dull pain that occurs every time from an irritating dry cough. In the affected area, exudate begins to accumulate, which can be guessed by the feeling of heaviness in the sides, severe shortness of breath, pallor of the skin, smoothing the gaps between the ribs.Added to this:
- weakness;
- temperature;
- sweating;
- lack of appetite.
Sometimes swelling is also observed, especially in the face, loss of voice. When the infection penetrates, the exudate can cause the formation of pus.
With serous pleurisy of the lungs against the background of cancer, expectoration with blood is observed. If the disease is caused by lupus erythematosus, then joints and kidneys can be affected.
Do you have pleurisy symptoms?
Only a doctor can accurately diagnose the disease.
Do not delay the consultation – call
+7 (495) 775-73-60
Causes of the disease
In most cases, pleurisy is a complication of primary diseases of the lungs or other internal organs (not necessarily just the respiratory system).
Pulmonary pleurisy can be infectious or non-infectious. The causes of an infectious disease can be:
- tuberculosis;
- candidiasis;
- syphilis;
- pneumococcal or staphylococcal infection;
- amoebiasis;
- typhoid fever;
- chest injuries.
The causes of non-infectious pleurisy can be:
- lung infarction;
- myocardial infarction;
- malignant tumors, metastases;
- rheumatoid arthritis;
- rheumatism;
- leukemia;
- pancreatitis.
Possible complications
A disease such as pleurisy requires immediate and long-term treatment. If the disease is started, then the formation of adhesions in the pleura, thickening of the sheets and the development of respiratory failure are not excluded. This is something that is extremely dangerous and difficult to live with.To prevent this, it is necessary to go to the doctor at the first similar symptoms.
When to see a doctor
When the first symptoms of pulmonary pleurisy occur in adults, it is necessary to visit a doctor. It is a disease that does not go away on its own.Any delay can threaten with serious consequences. If the signs of pleurisy make themselves felt, then you need to call the clinic and make an appointment with the doctor.
Those patients who cannot move freely due to acute pain should take a special position for pleurisy. To do this, you need to lie on the affected side in order to protect the chest from movement as much as possible. This will reduce pain.
JSC “Medicine” (Clinic of Academician Roitberg) is located in the Central Administrative District at the address: 2nd Tverskoy-Yamskaya per., 10 (metro Mayakovskaya, metro Belorusskaya, metro Novoslobodskaya, metro Tverskaya, metro Chekhovskaya).
Diagnosis of pleurisy
Diagnosis of pleurisy begins with a doctor’s examination. The patient even visually shows chest asymmetry. The affected side lags behind in breathing.Breathing becomes very weak, almost inaudible.
To diagnose pleurisy in adults, the following examinations are additionally prescribed:
Based on the symptoms of pleurisy and the diagnostic data obtained, a diagnosis is already being made. Further, depending on the etiology, type and severity of the disease, the doctor selects a scheme for how to treat pleurisy.
Treatment
Treatment of pleurisy is aimed at eliminating the root cause of its formation, as well as alleviating severe symptoms of the disease.In the case of pneumonia, antibiotics are used, in rheumatism, non-steroidal anti-inflammatory drugs.
To eliminate the symptoms of pleurisy, connect:
- analgesics;
- cardiovascular drugs;
- physiotherapy exercises;
- diuretics;
- physiotherapy (after elimination of effusion).
If fluid has accumulated in the pleural cavity, then it is eliminated by puncture and drainage.If during the diagnosis pus was detected, then the pleural cavity is additionally washed with antiseptics.
In difficult cases, surgical intervention is indispensable.
Home Remedies
With dry acute pleurisy, the patient needs rest.You can relieve severe pain with mustard plasters, warm compresses or tight bandaging of the chest. Remember, before using any funds, you must consult with a specialist.
Forecast
The prognosis for pleurisy of a purulent or oncological type is unfavorable.If the disease proceeds with the formation of effusion, then it will take at least 2-4 weeks to eliminate it.
Those patients who have had this ailment become dispensary. They are observed over the next two to three years.
Prevention
In order to prevent a relapse and not to experience those same excruciating pains with pleurisy, you must:
- give up hard and harmful work;
- avoid hypothermia, acute respiratory infections, acute respiratory viral infections;
- consume fortified food;
- stop smoking.
Maintaining a healthy lifestyle, strengthening the body and the immune system helps to avoid lung pleurisy in the future.
How to make an appointment with a doctor?
Pleurisy is treated by professional doctors of JSC “Medicine” (clinic of Academician Roitberg).They will help to carry out a comprehensive diagnosis and select an effective treatment for each individual case. Phthisiatricians, pulmonologists, ENT specialists and other specialists work here, with whom you can cope with the disease quickly and without consequences.
The clinic is located in the center of Moscow near the Mayakovskaya metro station. Address: 2nd Tverskoy-Yamskaya lane, 10 – within walking distance (5 minutes walk) from the metro stations “Belorusskaya”, “Novoslobodskaya”, “Tverskaya” and “Chekhovskaya”.You can get advice or make an appointment by calling +7 (495) 775-73-60. Also, applications are accepted through the electronic form on the site.
90,000 Tracheitis: Causes, Symptoms, Diagnostic and Treatment Methods
Tracheitis – an inflammatory disease of the trachea, more often of an infectious nature
Tracheitis is accompanied by a paroxysmal dry cough or with the release of thick mucous or mucopurulent sputum, as well as pain behind the sternum during and after coughing.
Reasons
Acute tracheitis
Rarely isolated; it usually occurs in combination with acute rhinitis, pharyngitis and laryngitis. The most common cause of acute tracheitis is a viral infection, less often staphylococcus, streptococcus, etc. The development of tracheitis is facilitated by inhalation of dry, cold or dusty air, irritating vapors and gases.
Chronic tracheitis
May develop from acute. Often it occurs in people who abuse smoking and alcohol, as well as with congestion in the respiratory tract due to emphysema of the lungs, heart disease, kidney disease; it is often caused by chronic inflammatory diseases of the nasal cavity and paranasal sinuses.
Symptoms
The leading symptom of acute inflammation of the trachea is a hacking cough, worse at night and in the morning. At first it is dry “barking”, then with the release of thick sputum. In the first days of the disease, it has a slimy character, then it becomes purulent, this is especially characteristic of bacterial or mixed tracheitis. A coughing fit can trigger a deep breath, sudden movement, crying, talking, laughing, screaming, or a change in ambient temperature. When coughing and after the end of the attack, the patient is worried about a sore throat and sternum.In children, rapid and shallow breathing is observed.
Acute onset of the disease is accompanied by a rise in temperature sometimes up to febrile numbers (38.6–39.0 0 C), but subfebrile condition is more often observed (not higher than 37.5 0 C). The temperature rises in the afternoon, towards evening. Symptoms of intoxication are absent or not expressed. A person gets tired faster than usual, feels weak, weak. But the greatest discomfort is a painful cough, which leads to sleep disturbance and pain in the head.
In small children, elderly people or those with problems with the immune system, complications may develop in the form of the spread of inflammation to the alveoli and lung tissue. In this case, bronchiolitis or bronchopneumonia develops.
The main symptom of chronic tracheitis is a severe persistent cough. Moreover, during the day it may not be there. A painful cough begins at night and in the morning, making it difficult for a person to fully rest and recuperate.
Diagnostics
The diagnosis is confirmed after laryngoscopy: the mucous membrane of the trachea is hyperemic, edematous, sometimes there are punctate hemorrhages, an abundance of mucus, tissue infiltration (hypertrophied tracheitis).In a chronic process, the mucous membrane of the trachea is pale gray, thin, there is little mucus, in places crusts (atrophied tracheitis).
During auscultation of the lungs at the initial stage of tracheobronchitis, dry, later – non-sonorous moist fine and medium bubbling rales are heard, scattered over both lungs.
Also for the diagnosis of the disease can be assigned: X-ray and endoscopic studies.
Treatment
Treatment of acute tracheitis should be aimed, first of all, at eliminating the causative and contributing factors to the occurrence of tracheitis.
Without the use of antiviral agents, treatment is mainly symptomatic: mustard plasters on the sternum and between the shoulder blades, antipyretic and anti-inflammatory drugs, hot drinks in small sips, heat inhalations.
In case of symptoms of intoxication or the spread of the process to the lower respiratory tract – sulfa drugs and antibiotics, incl. in the form of aerosols.
If there is no sputum, and the patient has only a dry cough, then it makes sense to take conventional antitussive drugs.
In the event that laboratory analysis has shown that tracheitis is caused by bacteria, then the patient is prescribed antibiotic treatment.
As for the diet, the food should be light and soft in consistency, so as not to further irritate a sore throat.


:max_bytes(150000):strip_icc():format(webp)/lung-cancer-symptoms-4014389_color-9405196b97064d509fe43ef1f8f14e2d.gif)




