Lymphoma rib cage pain. Primary Lymphoma of Bone: A Rare Case Originating in the Rib
What is primary lymphoma of bone. How does it present when originating in a rib. What are the diagnostic and treatment approaches for this rare condition. What is the prognosis for patients with primary bone lymphoma of the rib.
Understanding Primary Lymphoma of Bone
Primary lymphoma of bone (PLB) is a rare malignancy that accounts for approximately 3-7% of all primary bone tumors. It is defined as a lymphoma that originates in the bone without evidence of systemic disease at presentation.
Some key facts about primary lymphoma of bone:
- It is considered a distinct clinicopathological entity
- Most cases are diffuse large B-cell lymphomas
- It can affect any bone but commonly involves long bones
- Presentation in flat bones like ribs is uncommon
Is primary lymphoma of bone the same as bone metastases from lymphoma. No, PLB originates in the bone itself rather than spreading there from lymphoma elsewhere in the body. This distinction is important for proper diagnosis and treatment planning.

Clinical Presentation of Rib Primary Lymphoma
When primary lymphoma develops in a rib, patients may experience the following symptoms:
- Localized chest or back pain
- Swelling or a palpable mass in the chest wall
- Respiratory discomfort
- Systemic symptoms like fever or weight loss (less common)
Do all patients with rib primary lymphoma experience pain. Not necessarily. Some cases may be asymptomatic and discovered incidentally on imaging studies performed for other reasons. However, pain is a common presenting symptom when the tumor has grown large enough to affect surrounding tissues.
Case Study: A 60-Year-Old Male with Rib Pain
The case report describes a 60-year-old man who sought medical attention due to pain in his right chest and back. This presentation aligns with typical symptoms of rib primary lymphoma. The patient’s age is also noteworthy, as PLB tends to affect adults more frequently than children.
Diagnostic Approach for Suspected Rib Lymphoma
Diagnosing primary lymphoma of the rib involves a combination of imaging studies and biopsy. The diagnostic process typically includes:

- Chest X-ray: Initial screening to identify bone abnormalities
- CT scan: Provides detailed images of bone destruction and soft tissue involvement
- MRI: Offers superior soft tissue contrast and can help assess marrow involvement
- PET-CT: Useful for staging and detecting other sites of disease
- Biopsy: Essential for definitive diagnosis and lymphoma subtyping
Are imaging studies alone sufficient to diagnose primary lymphoma of bone. No, while imaging can suggest the diagnosis, a biopsy is always required for confirmation. In the case study, an ultrasound-guided needle biopsy was performed to obtain tissue for histological examination.
Histopathological Findings
The biopsy revealed dense proliferation of atypical cells with the following characteristics:
- Uniform size
- Prominent nucleoli
- Irregular nuclear borders
These findings led to a diagnosis of diffuse non-Hodgkin’s lymphoma of intermediate size, B-cell type. This histological classification is consistent with the most common subtype of primary bone lymphoma.

Treatment Strategies for Rib Primary Lymphoma
The optimal treatment approach for primary lymphoma of the rib remains somewhat controversial due to the rarity of the condition. However, a multimodal approach is often employed, which may include:
- Surgery: For local control and tissue diagnosis
- Radiation therapy: To target the primary site and prevent local recurrence
- Chemotherapy: To address systemic disease and improve overall outcomes
- Immunotherapy: Targeted treatments like rituximab for B-cell lymphomas
Is surgery always necessary for rib primary lymphoma. Not always. While surgery was chosen as the initial therapy in the case study, many experts now recommend chemotherapy as the primary treatment, with surgery reserved for specific situations such as pathological fractures or residual disease.
Case Study Treatment Approach
In the reported case, the treatment plan included:
- En bloc resection of the tumor and chest wall
- Postoperative radiation therapy
- Chemotherapy
The rationale for surgical intervention was based on the belief that complete tumor removal would provide better local control than radiation therapy alone. However, this approach did not prevent disease progression in this particular case.
![]()
Prognosis and Outcomes
The prognosis for patients with primary lymphoma of bone, including those originating in the rib, can vary significantly. Factors affecting prognosis include:
- Stage of disease at diagnosis
- Lymphoma subtype
- Patient age and overall health
- Response to initial treatment
What is the typical survival rate for patients with primary bone lymphoma. While outcomes can vary, studies have reported 5-year overall survival rates ranging from 60% to 90% for patients with localized disease. However, the prognosis may be less favorable for those with advanced or refractory disease.
Case Study Outcome
Unfortunately, the patient in the case study experienced a poor outcome:
- Local recurrence occurred within 7 months of symptom onset
- Metastatic lesions developed in the stomach and para-aortic abdominal lymph nodes
- The patient succumbed to the disease 3 months later
This case highlights the aggressive nature of some primary bone lymphomas and the need for improved therapeutic strategies.

Challenges in Managing Rib Primary Lymphoma
Several challenges exist in the management of primary lymphoma originating in the rib:
- Rarity of the condition, leading to limited clinical experience
- Difficulty in achieving complete surgical resection without compromising respiratory function
- Balancing local control with systemic treatment
- Risk of local recurrence and systemic spread
- Lack of standardized treatment protocols specific to rib involvement
How can these challenges be addressed. A multidisciplinary approach involving oncologists, surgeons, radiologists, and pathologists is crucial for optimizing treatment strategies. Additionally, participation in clinical trials and international collaborations can help advance our understanding and management of this rare condition.
Future Directions in Research and Treatment
As our understanding of primary bone lymphoma evolves, several areas of research show promise for improving outcomes:
- Molecular profiling to identify prognostic markers and potential therapeutic targets
- Development of novel targeted therapies and immunotherapies
- Optimization of combined modality treatments (chemotherapy, radiation, and surgery)
- Investigation of minimal residual disease monitoring techniques
- Exploration of the role of stem cell transplantation in high-risk cases
Will these advancements lead to better outcomes for patients with rib primary lymphoma. While it’s difficult to predict with certainty, ongoing research and clinical trials offer hope for improved treatment efficacy and patient survival in the future.

The Importance of Early Detection and Proper Diagnosis
Given the challenges in managing primary lymphoma of the rib, early detection and accurate diagnosis are crucial. Healthcare providers should maintain a high index of suspicion when patients present with persistent chest wall pain or swelling, especially in the absence of trauma or other obvious causes.
Prompt referral for imaging studies and biopsy can lead to earlier diagnosis and initiation of appropriate treatment, potentially improving outcomes for patients with this rare and challenging condition.
Conclusion
Primary lymphoma of bone originating in the rib is a rare but significant clinical entity that poses unique diagnostic and therapeutic challenges. The case study presented highlights the importance of a multidisciplinary approach to management and the need for ongoing research to improve outcomes for patients with this condition.
Key takeaways include:
- Primary rib lymphoma can present with localized pain and swelling
- Diagnosis requires a combination of imaging studies and biopsy
- Treatment often involves a multimodal approach, including chemotherapy, radiation, and sometimes surgery
- Prognosis can vary, emphasizing the need for individualized treatment plans
- Future research holds promise for improving our understanding and management of this rare malignancy
As we continue to advance our knowledge of primary bone lymphomas, it is crucial for healthcare providers to remain vigilant and consider this diagnosis in patients presenting with suspicious bone lesions, particularly in atypical locations such as the ribs. Early detection, accurate diagnosis, and appropriate management strategies are essential for optimizing outcomes in this challenging disease.

Первичная лимфома кости, происходящая из ребра
Отчеты о клинических случаях
. 2000 март; 48(3):180-3.
дои: 10.1007/BF03218117.
Н Нишияма
1
, С. Накатани, К. Иноуэ, Т. Като, Х. Киношита
принадлежность
- 1 Хирургическое отделение городской больницы Кита города Осака, Япония.
PMID:
10793497
DOI:
10.1007/БФ03218117
Отчеты о клинических случаях
N Nishiyama et al.
Jpn J Thorac Cardiovasc Surg.
2000 март
. 2000 март; 48(3):180-3.
дои: 10.1007/BF03218117.
Авторы
Н Нишияма
1
, С. Накатани, К. Иноуэ, Т. Като, Х. Киношита
принадлежность
- 1 Хирургическое отделение городской больницы Кита города Осака, Япония.
PMID:
10793497
DOI:
10.1007/БФ03218117
Абстрактный
Злокачественная лимфома, происходящая из кости, встречается редко и в настоящее время признана независимой клинико-патологической единицей, известной как первичная лимфома кости.
В нашу клинику для дообследования обратился мужчина 60-ти лет с жалобами на боли в правой груди и спине. Рентгенограмма грудной клетки и компьютерная томограмма выявили остеолиз и окружающую массу мягких тканей в шестом правом ребре. Была выполнена игольчатая биопсия опухоли под ультразвуковым контролем, и гистологическое исследование показало плотную пролиферацию атипичных клеток одинакового размера с ядрышками и неровной границей ядра. Поставлен диагноз: диффузная неходжкинская лимфома средних размеров, В-клеточный тип. Выполнена резекция опухоли и грудной стенки единым блоком. Макроскопически опухоль имела размеры 7,5 х 4,8 х 3,0 см в диаметре, а гистологические данные были аналогичны результатам предоперационной пункционной биопсии. К сожалению, послеоперационное лечение лучевой терапией и химиотерапией было в конечном итоге безуспешным, и через 7 месяцев после появления первых симптомов появились локальный рецидив и метастатические поражения в желудке и парааортальных абдоминальных лимфатических узлах.
Больной умер через 3 мес. Хирургическое вмешательство было выбрано в качестве начальной терапии, так как считалось, что резекция ребра не приведет к серьезным респираторным нарушениям, а полное удаление опухоли будет лучше лучевой терапии для местного контроля. Некоторые авторы сообщают, что хирургическая резекция первичной лимфомы кости, возникающей в ребре, может дать хороший прогноз. Однако это системное заболевание, и необходимо разработать более эффективную терапевтическую стратегию.
Похожие статьи
[Неходжкинская злокачественная лимфома реберного происхождения: отчет о случае].
Камбаяси Т., Оно Н., Терада Ю.
Камбаяши Т. и др.
Киобу Гека. 2005 г., декабрь 58(13):1177-80.
Киобу Гека. 2005.PMID: 16359022
Японский.
[Первичная злокачественная лимфома ребра; протокол дела].

Сакураба М., Сагара Ю., Хебисава А., Парк Дж. С., Комацу Х.
Сакураба М. и др.
Киобу Гека. 2004 г., октябрь; 57 (11): 1078-81.
Киобу Гека. 2004.PMID: 15510827
Японский.
Предоперационная эмболизация в хирургическом лечении первичной гемангиоперицитомы ребра: клинический случай.
Финдик С., Акан Х., Барис С., Атичи А.Г., Узун О., Эркан Л.
Финдик С. и др.
J Korean Med Sci. 2005 апр; 20 (2): 316-8. doi: 10.3346/jkms.2005.20.2.316.
J Korean Med Sci. 2005.PMID: 15832008
Бесплатная статья ЧВК.[Случай гигантоклеточной опухоли, исходящей из ребра].
Хигаси А., Сайгенджи Х., Тамада С., Окагаки М., Танака К., Утияма Н., Кикучи Ю.
Хигаси А. и др.
Киобу Гека.
2001 март; 54 (3): 250-2.
Киобу Гека. 2001.PMID: 11244761
Обзор.
Японский.Злокачественная лимфома грудной стенки у больного с хронической эмпиемой.
Нишияма Н., Киношита Х., Кобаяши Ю., Иваса Р., Катох Т., Иноуэ К., Иноуэ Т.
Нишияма Н. и др.
Нихон Кёбу Сиккан Гаккай Засси. 1996 г., май; 34(5):579-85.
Нихон Кёбу Сиккан Гаккай Засси. 1996.PMID: 8753118
Обзор.
Японский.
Посмотреть все похожие статьи
Цитируется
Масса грудной клетки как доминирующее проявление В-клеточной неходжкинской лимфомы низкой степени злокачественности: клинический случай.
Сонаване С.Н., Басу С.
Сонаване С.Н. и др.
World J Nucl Med. 2022 г., 19 июля; 21 (2): 169–172.
doi: 10.1055/s-0042-1750344. электронная коллекция 2022 июнь.
World J Nucl Med. 2022.PMID: 35865162
Бесплатная статья ЧВК.Шейная радикулопатия как первое проявление неходжкинской лимфомы ребра.
Пураник М., Хандельвал К., Пураник С., Саксена П., Бапат П., Хандельвал Г.
Пураник М. и соавт.
Энн Индиан Академик Нейрол. 2021 ноябрь-декабрь;24(6):975-977. doi: 10.4103/aian.AIAN_5_21. Epub 2021 21 апр.
Энн Индиан Академик Нейрол. 2021.PMID: 35359535
Бесплатная статья ЧВК.Аннотация недоступна.
использованная литература
Дж. Клин Онкол. 1999 февраля; 17 (2): 456-9
–
пабмед
Рак.
1971 ноябрь; 28 (5): 1234-44–
пабмед
Рак. 1968 ноябрь; 22 (5): 994-8
–
пабмед
Рак. 1982 сен. 1; 50 (5): 1009-14
–
пабмед
Радиология. 1982 июль; 144 (2): 285-90
–
пабмед
Типы публикаций
термины MeSH
Необычная первичная костная лимфома Ходжкина в области ребра с сопутствующим образованием мягких тканей: клинический случай и обзор литературы | Диагностическая патология
- История болезни
- Открытый доступ
- Опубликовано:
- Yang Li 1 ,
- Xiao-bing Wang 2 ,
- Xiao-ying Tian 3 ,
- Bin Li 1 &
- …
- Zhi Li 1
Диагностическая патология
том 7 , номер статьи: 64 (2012)
Процитировать эту статью
9220 доступов
15 цитирований
Сведения о показателях
Реферат
Реферат
Лимфома Ходжкина (ЛХ) обычно представляет собой узловое поражение и может поражать экстранодальные участки во время прогрессирования заболевания.
Первичная костная ЛХ без какой-либо ассоциации с лимфатическими узлами встречается крайне редко, и в литературе описано лишь несколько таких случаев. Мы представляем случай необычной первичной ЛХ в ребре у пациентки среднего возраста. Компьютерная томография (КТ) показала остеолитическое поражение, расположенное на правом втором ребре и связанное с большой массой мягких тканей. Вовлечения регионарных лимфатических узлов не было. Выполнена компьютерная томография шеи и брюшной полости, которая не выявила патологических изменений, в частности лимфаденопатии и органомегалии. Гистологически на фоне реактивного воспаления рассеяны типичные двуядерные клетки Рид-Штернберга (РШ) и лакунарные клетки с инфильтрацией лимфоцитами, гистиоцитами и эозинофильными гранулоцитами. С помощью иммуногистохимии клетки RS и лакунарные клетки были положительными на CD15 и CD30 с типичным мембранным и парануклеарным точечным рисунком окрашивания. Однако эти клетки были отрицательными для обнаружения вируса Эпштейна-Барра к гибридизация in situ .
Был поставлен диагноз первичной костной ЛХ. Пациент получил системную химиотерапию и местную лучевую терапию и находился под регулярным наблюдением в течение 24 месяцев. Не было признаков рецидива опухоли и поражения лимфатических узлов или костного мозга. Поскольку существует вероятность вторичного поражения костей системной ЛХ, предполагается, что строгий гистологический анализ и тщательное рентгенологическое исследование необходимы для точной диагностики этой опухоли, когда она представляет собой солитарное поражение кости.
Виртуальные слайды
Виртуальные слайды для этой статьи можно найти здесь:
http://www.diagnosticpathology.diagnomx.eu/vs/2846916171507084
Исходная информация
Лимфома Ходжкина (ЛХ) чаще всего возникает в шейных лимфатических узлах, а экстранодальные формы встречаются редко и составляют менее 1% [1–3]. Как правило, ЛХ представляет собой системное заболевание, при котором в 10-20% случаев во время прогрессирования заболевания наблюдается поражение кости [4-6].
Однако первичная костная ЛХ без какой-либо ассоциации с лимфатическими узлами встречается крайне редко, и до сих пор в литературе было описано лишь несколько таких случаев с иммуногистохимическим и/или молекулярным подтверждением, причем ни один из этих случаев не был зарегистрирован в Китае [7–20]. По классификации Ann Arbor первичная экстранодальная ЛХ считается I стадией, а системная ЛХ с вторичным поражением костей соответствует IV стадии заболевания. Поэтому для клиницистов действительно сложно поставить правильный диагноз, когда HL представляет собой солитарную костную массу, поскольку неточный диагноз может привести к задержкам в клиническом лечении. Здесь мы описываем дополнительный случай первичной костной ЛХ, возникающей в ребре у пациентки среднего возраста без каких-либо лимфатических проявлений.
Клиническая картина
Клиническая картина и лечение
38-летняя китаянка обратилась с жалобами на боль в правой верхней части грудной клетки и отек прилегающих мягких тканей в течение 3 месяцев.
За неделю до поступления в нашу больницу у нее появились постепенно усиливающиеся боли в груди и лихорадка. В результате больная была направлена в нашу больницу для обследования и лечения. Физикальное обследование показало, что у пациентки был умеренный отек мягких тканей в правой верхней боковой стенке грудной клетки, а при надавливании на грудную клетку возникала сильная боль. У больного была субфебрильная температура 37,4°С. Не было потери веса и пальпируемой лимфаденопатии или органомегалии. Лабораторные результаты, включая анализ крови, дифференциальный анализ, функцию печени и почек, были в пределах нормы. Компьютерная томография (КТ) органов грудной клетки выявила одиночное остеолитическое поражение второго правого ребра с ассоциированным образованием мягких тканей размером 6,0 × 5,0 × 5,0 см. Наблюдалось разрушение большей части ребра, а также отмечалось вовлечение прилегающей плевры и правой верхней доли легкого (рис. 1). Поражение показало умеренное улучшение после инъекции гадолиния.
Увеличенных лимфатических узлов в средостении и грудной полости не обнаружено. Компьютерная томография шеи и брюшной полости не выявила патологических изменений, особенно лимфаденопатии. Первоначально была выполнена пункционная биопсия под контролем КТ, но гистопатологическое исследование показало фрагменты фиброза с инфильтрацией воспалительными клетками. Поэтому была выполнена хирургическая биопсия с последующим микроскопическим исследованием. После постановки диагноза пациенту была проведена полихимиотерапия по модифицированному протоколу COPP (блеомицин, этопозид, адриамицин, циклофосфамид, винкристин, онковин, прокарбазин, преднизолон) в течение пяти циклов до начала лучевой терапии вовлеченного поля. Поражение регрессировало, и пациент находился под регулярным наблюдением в течение 24 месяцев после лучевой терапии. Исследование костного мозга было проведено через 6 месяцев после лучевой терапии, отклонений от нормы не обнаружено. За период наблюдения признаков рецидива опухоли и увеличения лимфатических узлов не было.
Рисунок 1
Рентгенологическое исследование поражения. ( a ) Остеолитическое поражение второго правого ребра с ассоциированным образованием мягких тканей имело отчетливую границу с легким на периферии при компьютерной томографии (белая стрелка). ( b ) Костная деструкция ребра показала расширение прилегающих мягких тканей с умеренным усилением гадолиния, но вовлечение регионарных лимфатических узлов не наблюдалось.
Полноразмерное изображение
Материалы и методы
Хирургическая биопсия стандартно фиксировалась в 10% нейтральном забуференном формалине. Ткани заливали в парафин. Срезы толщиной четыре микрометра окрашивали H&E. Иммуногистохимический анализ проводили с использованием набора ChemMate Envision/HRP (Dako, Glostrup, Дания). Антитела, использованные в этом исследовании, включали широкую панель антител против CD1a, CD3, CD4, CD8, CD15, CD20, CD30, CD38, CD43, CD45, CD56, CD79a, ALK, Pax-5, BOB-1, OCT-2.
, белок S-100, панцитокератин и антиген эпителиальной мембраны (ЕМА). Инфекцию, вызванную вирусом Эпштейна-Барр (ВЭБ), также оценивали гибридизация in situ для EBER согласно инструкции производителя (Dako, Glostrup, Дания). Антитела были получены от Dako Cytomation, Santa Cruz Biotechnology (Санта-Крус, Калифорния, США) и Novocastra Laboratories LTD (Гонконг, Китай).
Результаты и обсуждение
При микроскопическом исследовании очаги характеризовались фиброзом, развивающимся в костномозговых пространствах, который был инфильтрирован диффузными лимфоцитами, плазматическими клетками, гистиоцитами, эозинофильными и нейтрофильными гранулоцитами. Типичная морфология клеток Рида-Штернберга (RS) с крупной цитоплазмой и выраженными эозинофильными ядрышками была рассеяна на фоне реактивного воспаления. В ткани также обнаружены лакунарные клетки, мумифицированные клетки и небольшие очаги ацидофильного некроза. Иммуногистохимическое окрашивание популяции RS подтвердило экспрессию PAX-5, CD30 и CD15.
Однако эти клетки не экспрессировали CD1a, CD3, CD4, CD8, CD20, CD38, CD43, CD45, CD56, CD79.а, ALK, BOB-1, OCT-2, белок S-100, панцитокератин и EMA (рис. 2). Статус вируса Эпштейна-Барр (ВЭБ) отрицательный. В совокупности эти морфологические и иммунологические данные соответствовали классической лимфоме Ходжкина, смешанной клеточности, согласно диагностическим критериям ВОЗ [1].
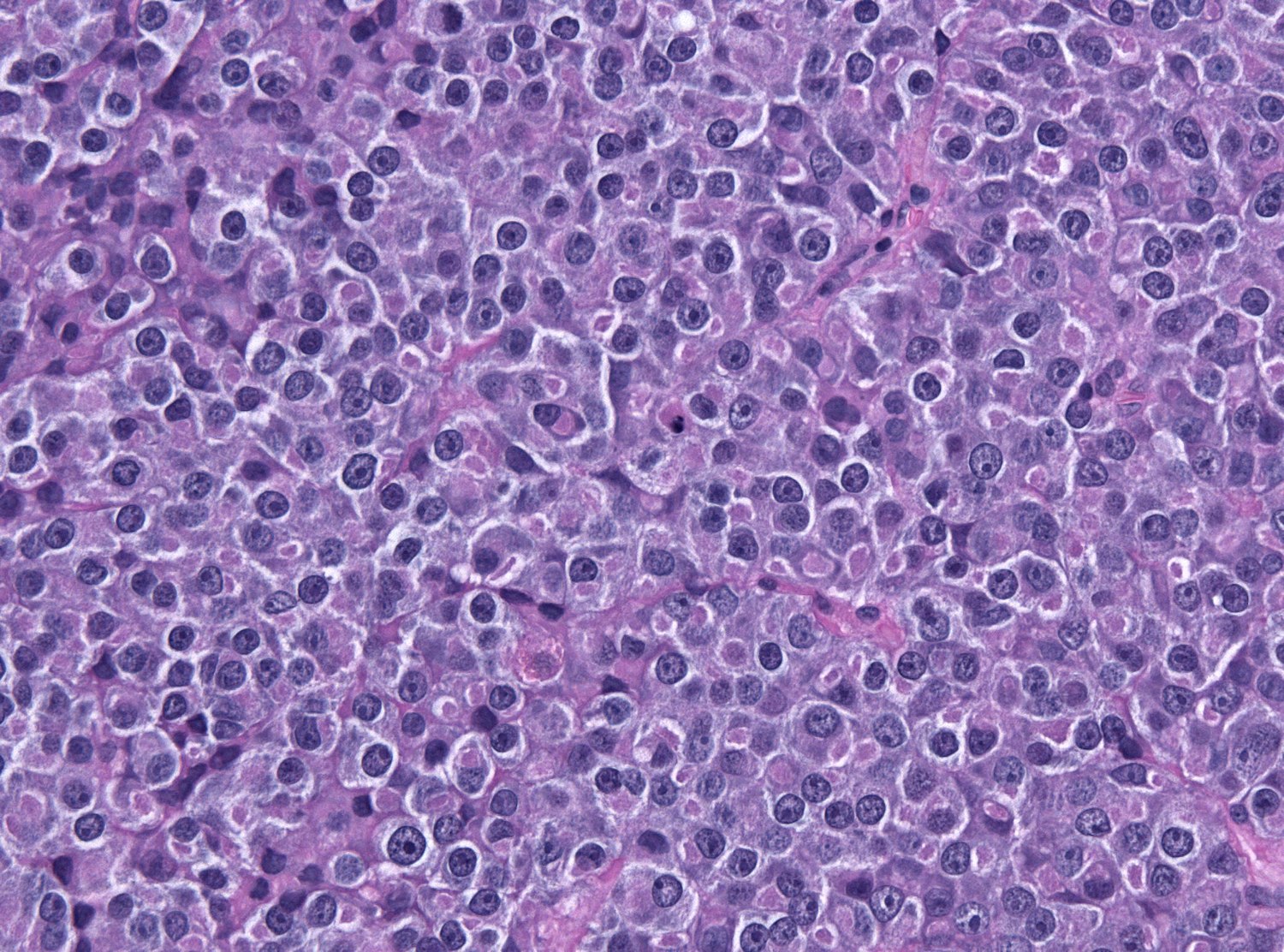
Рисунок 2
Микрофотографии костного поражения. ( a ) На фоне воспаления наблюдались рассеянные лакунарные клетки с многочисленными лимфоцитами, гистиоцитами, эозинофильными гранулоцитами. ( b ) Типичная морфология клеток Рида-Штернберга с большой цитоплазмой и выраженными эозинофильными ядрышками также была обнаружена в очаге поражения (белая стрелка). Иммуногистохимическое окрашивание клеток RS подтвердило экспрессию CD30 ( c ) и CD15 ( d ) с типичной мембранной и парануклеарной точечной картиной окрашивания (a-b, окрашивание HE с исходным увеличением × 400; c-d, иммуногистохимическое окрашивание с исходное увеличение × 400).
Полноразмерное изображение
Первичные классические лимфомы Ходжкина (HL) — хорошо установленные лимфопролиферативные новообразования лимфатических узлов с бимодальной возрастной кривой. Экстранодальные HL встречаются редко и составляют менее 1%. Наиболее частая локализация экстранодальных HL — желудочно-кишечный тракт, за которым следуют легочная система, щитовидная железа, кожа, мочеполовая система и центральная нервная система. Несмотря на то, что поражение костей может наблюдаться на поздних стадиях ЛХ, у пациентов крайне редко встречаются первичные ЛХ кости. Насколько нам известно, к настоящему времени в литературе сообщалось о первичной костной ЛХ примерно у 30 пациентов. Некоторые случаи были связаны с внекостным поражением. Первичная костная ЛХ, ограниченная костью, встречается настолько редко, что примерно 19случаи были зарегистрированы во всем мире на сегодняшний день, только 12 пациентов с первичной солитарной костной ЛХ [7-14] и 7 пациентов с первичной многоочаговой костной ЛХ были зарегистрированы без лимфатических проявлений [15-20].
Более того, первичная костная ЛХ, представляющая собой поражение кости с ассоциированным образованием мягких тканей, довольно необычна [10, 21–23]. Гистологически смешанная клеточность и узелковый склероз классической ЛХ являются наиболее частым подтипом первичной костной ЛХ в литературе. В клинической практике могут быть представлены четыре типа поражения костной ткани ЛХ: (1) первичная костная ЛХ с солитарным поражением; (2) первичный костный ЛХ с многоочаговым поражением; (3) HL одновременно в костной и некостной локализациях; и (4) рецидив HL на костных участках.
Поскольку случаи первичной костной ЛХ очень редки, диагноз следует ставить только на основании строгих гистологических и клинических проявлений. Согласно критериям ВОЗ, диагноз первичной костной лимфомы должен включать (1) одиночную опухоль скелета с поражением регионарных лимфатических узлов или без него и (2) множественные поражения костей без вовлечения внутренних органов или лимфатических узлов [24]. Многие ранее описанные случаи первичной экстранодальной ЛХ имели одновременное и/или последующее поражение лимфоузлов.
Фактически это вторичные случаи в контексте системной ЛХ. Слово «первичный» следует использовать с осторожностью. В данном случае мы обнаружили: (1) отсутствие поверхностной лимфаденопатии на момент постановки диагноза; (2) рентгенологические исследования грудной клетки, шеи и брюшной полости не выявили поражения лимфатических узлов средостения, грудной и брюшной полости; (3) общий анализ крови и дифференциал в пределах нормы; (4) поражение было преобладающим в костях с ассоциированным образованием мягких тканей, без положительных прилежащих лимфатических узлов; (5) живые, селезенка и костный мозг были свободны от болезней на момент постановки диагноза и периода наблюдения; (6) клетки RS в опухоли продемонстрировали типичный иммуногистохимический профиль с положительными CD30, CD15 и PAX-5. CD45, CD20 и другие маркеры линии Т-клеток были отрицательными. Эти результаты доказывают, что данный случай имеет первичное костное происхождение. Недавние исследования показывают, что 2-[18 F]-фтор-2-дезокси-d-глюкоза позитронно-эмиссионная томография/компьютерная томография (18 F-FDG-ПЭТ/КТ) позволяет отличить системную ЛХ с вторичной костной инвазией от примитивной костной инвазии.
ХЛ. Эта методика высокоспецифична для демонстрации изолированной костной локализации опухоли и должна быть рекомендована всем пациентам с предполагаемой костной лимфомой [25].
Что касается клеточного происхождения клеток RS в HLs, особенно при экстранодальных поражениях, остается определить, являются ли клетки RS клональными B-клетками, которые потеряли свой фенотип B-клеток из-за деструктивной соматической мутации [26]. Хотя недавние исследования определили характерный профиль повторяющихся прибавок и потерь числа копий при классической HL, включая увеличение хромосом 2p, 9p, 16p и 17q и потерю 13q, 6q и 11q, цитогенетические и молекулярные исследования HL ограничены. В клетках RS было идентифицировано несколько рецидивирующих генетических повреждений, и большинство из них затрагивает участников сигнальных путей JAK/STAT или NF-κB [27]. Вполне вероятно, что ВЭБ играет роль в перепрограммировании и выживании за счет нарушения регуляции нескольких сигнальных сетей и факторов транскрипции, включая инактивирующие мутации в гене-супрессоре опухоли TNFAIP3 и кодирующем негативный регулятор активности NF-κB [28].
Клетка RS способствует собственному выживанию, привлекая поддерживающее микроокружение иммунных и стромальных клеток и подавляя локальную иммунную реактивность. Хотя многие вопросы остаются без ответа, лучшее понимание клеточного взаимодействия может помочь прояснить патогенез ЛХ и продвинуть новые подходы к целенаправленной терапии этой злокачественной опухоли.
Костные ЛК обычно показывают остеолиз при рентгенологическом исследовании, его часто неправильно диагностируют как остеомиелит [10, 16, 29]. В данном случае было выявлено либо остеолитическое поражение с массой мягких тканей, либо воспалительный фон с инфильтрацией эозинофильными гранулоцитами, что иногда могло привести к диагностической путанице с первичной саркомой кости, эозинофильной гранулемой и неходжкинской лимфомой кости. Однако при остеомиелите и первичной саркоме кости отсутствуют специфические клетки RS с иммунореактивностью в отношении CD30 и CD15. Эозинофильная гранулема кости показывает клональную неопластическую пролиферацию клеток Лангерганса, которые экспрессируют CD1a, S-100 и лангерин.
Заболеваемость неходжкинской лимфомой кости выше, чем первичная костная ЛХ. Наиболее распространенным подтипом неходжкинской лимфомы в костях является диффузная крупноклеточная В-клеточная лимфома. Иммуногистохимически большинство неходжкинских лимфом костей положительны по CD45 и маркерам линии В- или Т-клеток с экспрессией CD30 или без нее. Коэкспрессия CD15 и CD30, но отсутствие экспрессии CD45 в опухолевых клетках может быть полезным для подтверждения диагноза костной ЛХ. Хотя обнаружение EBV-кодируемой РНК (EBER) или LMP1 указывает на классическую ЛХ, ВЭБ обнаруживается лишь в части случаев, особенно при смешанной клеточности и классической ЛХ с истощением лимфоцитов с самой высокой частотой 75% [1]. Напротив, некоторые подтипы неходжкинской лимфомы, в том числе экстранодальная NK/T-клеточная лимфома и EBV-положительная диффузная крупноклеточная B-клеточная лимфома, обнаруживают EBV-инфекцию в опухолевых клетках. Настоящий случай показал отрицательный ВЭБ на гибридизация in situ , хотя она представляла типичный гистологический и иммуногистохимический профиль классической ЛХ.
Таким образом, обнаружение продуктов, кодируемых ВЭБ, в опухоли не является окончательным моментом для подтверждения диагноза ЛХ. Кроме того, классическую ЛХ необходимо отличать от анапластической крупноклеточной лимфомы (АККЛ) в таком необычном экстранодальном расположении, поскольку обе опухоли демонстрируют иммунореактивность к CD30 с типичным мембранным и парануклеарным точечным рисунком окрашивания [30]. Однако дифференциальную диагностику между HL и ALCL можно провести по экспрессии киназы анапластической лимфомы (ALK), EMA и CD45, которые типичны для ALCL, ALK-положительны, в то время как коэкспрессия CD30 и PAX5 очень помогает дифференцировать HL от ALCL. , ALK-отрицательный.
Заключение
В заключение, в литературе сообщалось лишь о нескольких случаях первичной костной ЛХ. Наш аддитивный случай также представлен за его редкость сайта. Это первый случай первичной костной ЛХ у китайцев. Диагноз первичной костной ЛХ сложен и должен ставиться с осторожностью. Помимо подтверждения строгим гистопатологическим и иммуногистохимическим анализом, рентгенографическое исследование полезно для демонстрации потенциального внекостного поражения, чтобы отличить системную ЛХ с вторичной костной инвазией от первичной костной ЛХ.
В клинической практике требуется немедленная диагностика на ранней стадии заболевания и своевременное лечение системной химиотерапией и местной лучевой терапией, поскольку пациенты с первичной костной ЛХ имеют хороший долгосрочный прогноз, когда поражение ограничено костной тканью без системной диссеминации.
Согласие
От пациента было получено письменное информированное согласие на публикацию данного отчета о болезни и любых сопутствующих изображений. Копия письменного согласия доступна для ознакомления главному редактору этого журнала.
Ссылки
Stein H: лимфома Ходжкина. Классификация ВОЗ патологии опухолей и генетика опухолей кроветворной и лимфоидной тканей. Под редакцией: Свердлоу С.Х., Кампо Э., Харрис Н.Л., Джаффе Э.С., Пилери С.А., Штейн Х., Тиле Дж., Вардиман Дж.В. 2008 г., IARC Press, Лион, стр. 322–342. 4
Google ученый
“>Zucca E: Экстранодальная лимфома: переоценка. Энн Онкол. 2008, 19: iv77-iv80. 10.1093/annonc/mdn204.
ПабМед
Google ученый
Новичок Л.Н., Сильверстайн М.Б., Кэдман Э.К., Фарбер Л.Р., Бертино Дж.Р., Просниц Л.Р.: Вовлечение костей при болезни Ходжкина. Рак. 1982, 49: 338-342. 10.1002/1097-0142(19820115)49:2<338::AID-CNCR28204
>3.0.CO;2-I.
Артикул
КАС
пабмедGoogle ученый
Бхагавати С., Фу К.: Первичная костная лимфома. Arch Pathol Lab Med. 2009, 133: 1868-1871.
ПабМед
Google ученый
“>Борг М.Ф., Чоудхури А.Д., Бхупал С., Бенджамин К.С.: Вовлечение костей при болезни Ходжкина. Австралийский Радиол. 1993, 37: 63-66. 10.1111/j.1440-1673.1993.tb00011.x.
Артикул
КАС
пабмедGoogle ученый
Gold RH, Mirra JM: История болезни 101. Первичная болезнь Ходжкина плечевой кости. Скелетный радиол. 1979, 4: 233-235. 10.1007/BF00347220.
Артикул
КАС
пабмедGoogle ученый
Kooremann PJ, Haex AJ: Болезнь Ходжкина скелета. Акта Мед Сканд. 1943, 115: 177-196.
Артикул
Google ученый
“>Оздемирли М., Манкин Х.Дж., Айзенберг А.С., Харрис Н.Л. Болезнь Ходжкина, проявляющаяся солитарной опухолью кости. Отчет о четырех случаях и обзор литературы. Рак. 1996, 77: 79-88. 10.1002/(SICI)1097-0142(19960101)77:1<79::AID-CNCR14>3.0.CO;2-5.
Артикул
КАС
пабмедGoogle ученый
Джамшед А., Аллард В.Ф., Мурад В.А., Ростом А.Ю.: Первичная болезнь Ходжкина нижней челюсти: отчет о болезни и обзор литературы. Oral Surg Oral Med Oral Pathol Oral Radiol Endod. 1997, 83: 680-684. 10.1016/S1079-2104(97)
Gonzalez-Fontal GR, Rosales JD, Jaramillo R, Henao-Martinez AF: Первичная экстранодальная внелимфатическая ходжкинская лимфома нижней челюсти. Отчет о болезни Мед. 2011, 2011: 387570-
Google ученый
Gebert C, Hardes J, Ahrens H, Buerger H, Winkelmann W, Gosheger G: Первичная мультифокальная костная болезнь Ходжкина: отчет о клиническом случае и обзор литературы. J Cancer Res Clin Oncol. 2005, 131: 163-168. 10.1007/s00432-004-0641-0.
Артикул
КАС
пабмедGoogle ученый
Langley CR, Garrett SJ, Urand J, Kohler J, Clarke NM: Первичная многоочаговая костная лимфома Ходжкина.
World J Surg Oncol. 2008, 6: 34-10.1186/1477-7819-6-34.Артикул
ПабМед Центральный
пабмедGoogle ученый
Осикава Г., Араи А., Сасаки К., Ичинохасама Р., Миура О. Первичная многоочаговая костная лимфома Ходжкина. Риншо Кетсуэки. 2009 г., 50: 92-96.
ПабМед
Google ученый
Юстас С., О’Реган Р., Грэм Д., Карни Д.: Первичная мультифокальная скелетная болезнь Ходжкина, ограниченная костью. Скелетный радиол. 1995, 24: 61-63. 10.1007/BF02425953.
Артикул
КАС
пабмедGoogle ученый
Фрид Г., Бен Арье И., Хаим Н., Штейн М., Дейл Дж. Первичная костная болезнь Ходжкина. Мед Педиатр Онкол. 1995, 24: 204-207. 10.1002/МПО.2950240312.
Артикул
КАС
пабмедGoogle ученый
“>Зенни Дж. К., Аим Д., Гренье П., Бернард Дж. Ф., Наум Х. Болезнь Ходжкина локализуется на грудине. Дж Радиол. 1980, 61: 281-283.
КАС
пабмедGoogle ученый
Miano C, Lombardi A, Russo LA, Ceci A, Baronci C, Bonaldi U: лимфома Ходжкина с узловым склерозом. Отчет о случае с необычным стернальным расположением в начале. Педиатр Мед Чир. 1991, 13: 639-640.
КАС
пабмедGoogle ученый
Piccinini L, Mauri C, Barbieri F, Luppi G: В отношении случая болезни Ходжкина с поражением грудины в начале. Гематология. 1999, 76: 78-79.
Google ученый
“>Breibach F, Julian A, Laurent C, Anglade E, Constantin A, Sans N, Tricoire JL, Brousset P, Delisle MB, Gomez-Brouchet A: вклад 2-[18 F]-фтор-2- позитронно-эмиссионная томография/компьютерная томография с дезокси-D-глюкозой для диагностики первичной костной лимфомы Ходжкина. Представитель BMJ, 2009 г., 10.1136/бкр.08.2008.0696.
Google ученый
Фаррелл К., Джарретт РФ: Молекулярный патогенез лимфомы Ходжкина. Гистопатология. 2011, 58: 15-25. 10.1111/j.1365-2559.2010.03705.х.
Артикул
пабмедGoogle ученый
“>Küppers R: Молекулярная биология лимфомы Ходжкина. Гематология Программа Am Soc Hematol Educ. 2009, 491-496.
Google ученый
Секин И., Сасаки Ю., Хасебе Т., Умеда Т., Мукаи К. Коксалгия как начальный симптом болезни Ходжкина: отчет о клиническом случае. Jpn J Clin Oncol. 1997, 27: 353-356. 10.1093/jjco/27.5.353.
Артикул
КАС
пабмедGoogle ученый
Гайзер Т., Гейссингер Э., Шаттенберг Т., Шарф Х.П., Дюркен М., Динтер Д., Розенвальд А., Маркс А.: История болезни: уникальный педиатрический случай первичной CD8-экспрессирующей ALK-1-положительной анапластической крупноклеточной лимфомы скелета мышца. Диагност Патол.
2012, 7: 38-10.1186/1746-1596-7-38.Артикул
ПабМед Центральный
КАС
пабмедGoogle ученый
Guermazi A, Brice P, de Kerviler EE, Fermé C, Hennequin C, Meignin V, Frija J: Экстранодальная болезнь Ходжкина: спектр заболеваний. Рентгенография. 2001, 21: 161-179.
Артикул
КАС
пабмед
Google ученый
Franco V, Tripodo C, Rizzo A, Stella M, Florena AM: Биопсия костного мозга при лимфоме Ходжкина. Евр Дж Гематол. 2004, 73: 149-155. 10.1111/j.1600-0609.2004.00292.х.
Артикул
пабмед
Google ученый
Ostrowski ML, Inwards CY, Strickler JG, Witzig TE, Wenger DE, Unni KK: Костная болезнь Ходжкина. Рак. 1999, 85: 1166-1178. 10.1002/(SICI)1097-0142(199
)85:5
<1166::AID-CNCR22>3.0.CO;2-V.
Артикул
КАС
пабмед
Google ученый
-Х.
Артикул
КАС
пабмед
Google ученый
“>Кёсеоглу Р.Д., Сенайли А., Бичакчи У., Онук-Филиз Н., Сезер Т., Целкан Т. Костные проявления болезни Ходжкина: отчет о болезни и обзор литературы. Терк Дж. Педиатр. 2007, 49: 218-222.
ПабМед
Google ученый
MacCormick R, Covert A, Gross M: Первичное поражение костей при болезни Ходжкина. CMAJ. 1989, 140: 1059-1060.
Центральный пабмед
КАС
пабмед
Google ученый
Unni KK, Hogendoorn PCW: Злокачественная лимфома. Классификация опухолей Всемирной организации здравоохранения. Патология и генетика опухолей мягких тканей и костей. Под редакцией: Fletcher CDM, Unni KK, Mertens F. 2002, IARC press, Lyon, 306-308.
Google ученый
Küppers R: Биология лимфомы Ходжкина. Нат Рев Рак. 2009, 9: 15-27. 10.1038/nrc2542.
Артикул
пабмед
Google ученый
Ссылки на скачивание
Информация об авторе
Авторы и организации
Отделение патологии, Первая дочерняя больница Университета Сунь Ятсена, 58, Zhongshan Road II, Гуанчжоу, 510080, Китай
Ян Ли, Бин Ли и Чжи Ли
- 90 Патология, Больница общего профиля провинции Гуандун, 106, Zhongshan Road II, Гуанчжоу, 510080, Китай
Сяо-бин Ван
Школа китайской медицины, Гонконгский баптистский университет, 7, Baptist University Road, Коулун Тонг, Гонконг
Сяо-ин Тянь
Авторы
- Ян Ли
Просмотр публикаций автора
Вы также можете искать этого автора в
PubMed Google Scholar - Xiao-bing Wang
Просмотр публикаций автора
Вы также можете искать этого автора в
PubMed Google Scholar - Xiao-ying Tian
Просмотр публикаций автора
Вы также можете искать этого автора в
PubMed Google Академия - Бин Ли
Посмотреть публикации автора
Вы также можете искать этого автора в
PubMed Google Scholar - Zhi Li
Просмотр публикаций автора
Вы также можете искать этого автора в
PubMed Google Scholar
Автор, ответственный за корреспонденцию
Чжи Ли.
Дополнительная информация
Конкурирующие интересы
Авторы заявляют, что у нас нет конкурирующих интересов.
Вклад авторов
YL и XB W внесли свой вклад в сбор клинических данных и анализ гистологических признаков с помощью окрашивания H&E. Они являются первыми соавторами и внесли равный вклад в эту работу. XYT подготовил рукопись. ZL критически отредактировал рукопись на предмет важного интеллектуального содержания и дал окончательное одобрение версии для публикации. BL провел иммуноанализ. Все авторы прочитали и одобрили окончательный вариант рукописи.
Оригинальные файлы, представленные авторами для изображений
Ниже приведены ссылки на оригинальные файлы, представленные авторами для изображений.
Авторский исходный файл для рисунка 1
Авторский оригинальный файл для рисунка 2
Права и разрешения
Открытый доступ
Эта статья опубликована по лицензии компании BioMed Central Ltd.


2001 март; 54 (3): 250-2.
doi: 10.1055/s-0042-1750344. электронная коллекция 2022 июнь.
World J Surg Oncol. 2008, 6: 34-10.1186/1477-7819-6-34.
2012, 7: 38-10.1186/1746-1596-7-38.