Molluscum contagiosum warts pictures. Molluscum Contagiosum and Warts: Diagnosis, Treatment, and Management
What are the key differences between molluscum contagiosum and warts. How are these viral skin infections diagnosed and treated. What are the most effective management strategies for molluscum contagiosum and warts in various patient populations.
Understanding Molluscum Contagiosum: Causes, Symptoms, and Transmission
Molluscum contagiosum (MC) is a viral skin infection caused by a double-stranded DNA virus belonging to the Poxviridae family. This benign epidermal eruption is frequently encountered in primary care settings and affects both children and adults. The virus spreads through direct skin-to-skin contact or via fomites, with microscopic abrasions in the epidermis facilitating transmission.
What are the characteristic symptoms of molluscum contagiosum? The typical MC lesion presents as an asymptomatic, firm, smooth, round papule with central umbilication. These lesions usually measure 3 to 5 mm in diameter and are often fewer than 30 in number. However, in immunocompromised individuals, such as those with HIV, the presentation can be more extensive and potentially disfiguring.

Where do molluscum contagiosum lesions commonly appear? In children, the papules are typically found on the extremities, trunk, and face. In cases of sexual transmission, lesions usually occur on the lower abdomen and in the genital region.
Diagnosing and Treating Molluscum Contagiosum: Clinical Approaches
Diagnosing molluscum contagiosum is primarily based on clinical appearance. The distinctive central umbilication of the lesions is a key diagnostic feature. While MC is often self-limiting in immunocompetent individuals, treatment may be recommended to prevent autoinoculation and transmission to others.
What are the primary treatment options for molluscum contagiosum? Treatment approaches can be categorized into three main types:
- Mechanical: This includes curettage, laser therapy, and cryotherapy using liquid nitrogen or nitrous oxide cryogun.
- Chemical: Trichloroacetic acid and tretinoin (Retin-A) are common chemical treatments.
- Immunologic: Imiquimod (Aldara) is an immune enhancer that induces cytokines and has shown promise in treating MC.
How effective is imiquimod in treating molluscum contagiosum? Early studies using varying potencies and application regimens have shown clearance rates of 40 to 82 percent. Imiquimod is available as a 5-percent cream and is typically applied three times per week for 6 to 10 hours before being washed off. Treatment courses usually last between 4 to 16 weeks.

Managing Molluscum Contagiosum in Immunocompromised Patients
Molluscum contagiosum in patients with HIV or other immunocompromising conditions can be more severe and challenging to treat. Recent research has explored the use of cidofovir, a nucleotide analog, in HIV-infected patients with advanced MC.
Why is MC more concerning in immunocompromised individuals? In patients with HIV, MC infection is often not self-limited and can be much more extensive. Recent studies suggest that MC may serve as a cutaneous marker of severe immunodeficiency and sometimes is the first indication of HIV infection.
Emerging Treatments for Severe Molluscum Contagiosum
What promising treatments are being investigated for severe cases of molluscum contagiosum? Researchers have had initial success with cidofovir in HIV-infected patients with advanced MC. Both topical and intravenous forms have been tested, and controlled trials are likely to be forthcoming. This development offers hope for more effective management of MC in immunocompromised populations.
![]()
Warts: Understanding the Viral Culprit and Its Manifestations
Warts, like molluscum contagiosum, are caused by a double-stranded DNA virus. The responsible agent in this case is the human papillomavirus (HPV), of which there are more than 150 serotypes. While some HPV types are known to cause cervical cancer, common warts affecting nongenital skin are not thought to have malignant potential.
Is it necessary to determine the specific HPV serotype for all warts? With the exception of cervical lesions, determining the serotype of a wart is not clinically useful. The most valuable information comes from clinical appearance and the affected area of the body. Trained clinicians can usually diagnose warts based solely on their typical appearances in different locations.
Classifications of Non-genital Warts
How are non-genital warts subcategorized? Non-genital warts are typically classified into the following types:
- Common warts
- Periungual warts
- Flat warts
- Filiform warts
- Plantar warts
Each type has distinct characteristics and may require different treatment approaches.

Diagnostic Approaches for Warts: Clinical Expertise and Visual Inspection
Diagnosing warts primarily relies on clinical expertise and visual inspection. The appearance of warts can vary depending on their location and type, but experienced clinicians can usually make an accurate diagnosis based on these visual cues.
When might additional diagnostic procedures be necessary for warts? In cases where the diagnosis is uncertain or where there’s concern about potential malignancy (particularly in genital warts), a biopsy may be performed. This can help confirm the diagnosis and rule out other conditions that may mimic warts.
Differential Diagnosis Considerations
What conditions might be mistaken for warts? Several skin conditions can sometimes be confused with warts, including:
- Seborrheic keratoses
- Skin tags
- Molluscum contagiosum
- Squamous cell carcinoma (in some cases)
Accurate differentiation is crucial for appropriate treatment and management.
Treatment Strategies for Warts: From Home Remedies to Medical Interventions
The treatment of warts can range from simple home remedies to more advanced medical interventions. The choice of treatment often depends on the location, size, and number of warts, as well as patient preference and tolerance.

What are some common home remedies for warts? Some popular home treatments include:
- Salicylic acid preparations
- Duct tape occlusion
- Apple cider vinegar application
While these methods have varying degrees of success, they are often tried as first-line treatments due to their low cost and minimal side effects.
Medical Treatments for Warts
What medical treatments are available for more persistent or extensive warts? Medical interventions may include:
- Cryotherapy: Freezing the wart with liquid nitrogen
- Electrocautery: Burning off the wart with an electric current
- Laser therapy: Using focused light to destroy the wart tissue
- Topical medications: Prescription-strength salicylic acid, imiquimod, or fluorouracil
- Intralesional injections: Administering medications directly into the wart
The choice of treatment depends on factors such as the patient’s age, the location and extent of warts, and previous treatment responses.
Managing Warts in Special Populations: Children and Immunocompromised Individuals
Treatment approaches for warts may need to be modified for certain populations, such as children or individuals with compromised immune systems.
![]()
How does wart treatment differ for children? In children, less aggressive treatments are often preferred due to concerns about pain and potential scarring. Watchful waiting may be appropriate in some cases, as warts in children often resolve spontaneously. When treatment is necessary, topical treatments or gentle cryotherapy are commonly used.
Wart Management in Immunocompromised Patients
Why is wart management more challenging in immunocompromised individuals? Patients with weakened immune systems, such as those with HIV or undergoing chemotherapy, may experience more extensive and persistent warts. These warts can be more resistant to standard treatments and may require more aggressive or prolonged therapy.
What treatment options are available for immunocompromised patients with warts? Treatment options may include:
- Combination therapies
- Systemic treatments
- More frequent applications of topical medications
- Regular follow-ups to monitor progress and adjust treatment as needed
In these cases, close collaboration between dermatologists and the patient’s primary care team is essential for optimal management.

Prevention Strategies for Molluscum Contagiosum and Warts
While completely preventing molluscum contagiosum and warts can be challenging due to their contagious nature, several strategies can help reduce the risk of infection and transmission.
What are effective ways to prevent the spread of molluscum contagiosum and warts? Key prevention strategies include:
- Practicing good hygiene, including regular handwashing
- Avoiding direct contact with visible lesions or warts
- Not sharing personal items like towels, clothing, or razors
- Wearing protective footwear in public areas like locker rooms and swimming pools
- Keeping skin clean and dry to reduce the risk of infection
For individuals with active lesions, covering them with waterproof bandages can help prevent spread to other parts of the body or to other people.
Vaccination and Future Prevention Prospects
Is there a vaccine available for molluscum contagiosum or warts? Currently, there is no vaccine available for molluscum contagiosum. However, HPV vaccines are available that protect against certain types of HPV associated with cervical cancer and genital warts. While these vaccines don’t protect against all types of warts, they represent a significant advancement in HPV-related disease prevention.

What future developments are expected in the prevention of these viral skin infections? Ongoing research is focusing on developing broader spectrum HPV vaccines and exploring potential vaccination strategies for other viral skin infections. Additionally, studies are investigating novel antiviral compounds that could potentially prevent or treat these infections more effectively.
The Psychological Impact of Molluscum Contagiosum and Warts
While molluscum contagiosum and warts are generally benign conditions, they can have significant psychological impacts on affected individuals, particularly when lesions are numerous or in visible areas.
How do these skin conditions affect patients psychologically? Common psychological effects may include:
- Decreased self-esteem
- Social anxiety or embarrassment
- Frustration with persistent or recurrent lesions
- Concerns about transmitting the infection to others
These psychological impacts can be particularly pronounced in adolescents and young adults, who may be more self-conscious about their appearance.

Addressing the Emotional Aspects of Treatment
How can healthcare providers address the emotional aspects of molluscum contagiosum and wart treatment? Strategies may include:
- Providing clear, reassuring information about the benign nature of the conditions
- Discussing realistic treatment expectations and timelines
- Offering support resources or referrals for patients experiencing significant distress
- Considering the cosmetic impact when selecting treatment options
- Encouraging open communication about concerns and fears related to the condition
By addressing both the physical and emotional aspects of these viral skin infections, healthcare providers can offer more comprehensive and patient-centered care.
Emerging Research and Future Directions in Molluscum Contagiosum and Wart Management
The field of dermatology is continually evolving, with ongoing research aimed at improving our understanding and management of viral skin infections like molluscum contagiosum and warts.
What are some promising areas of research in molluscum contagiosum and wart treatment? Current research focuses include:

- Development of new antiviral medications with improved efficacy and fewer side effects
- Exploration of immunotherapies to enhance the body’s natural defense against these viruses
- Investigation of combination therapies for more resistant cases
- Advances in minimally invasive treatment techniques
- Studies on the long-term outcomes and recurrence rates of various treatment modalities
These research efforts aim to provide more effective, less painful, and potentially shorter treatment courses for patients with molluscum contagiosum and warts.
The Role of Genetics in Susceptibility and Treatment Response
How might genetic factors influence molluscum contagiosum and wart infections? Emerging research is exploring the role of genetics in:
- Individual susceptibility to these viral infections
- The likelihood of developing more severe or persistent cases
- Variations in treatment response among different individuals
- Potential for developing personalized treatment approaches based on genetic profiles
Understanding these genetic factors could lead to more tailored and effective treatment strategies in the future.

As research progresses, it’s likely that our approach to managing molluscum contagiosum and warts will continue to evolve, offering hope for improved outcomes and quality of life for affected individuals. Healthcare providers should stay informed about these developments to provide the most current and effective care to their patients.
Molluscum Contagiosum and Warts – American Family Physician
Molluscum contagiosum (MC) and warts are benign epidermal eruptions that result from viral infections of the skin. They are frequently encountered in the primary care setting. Armed with clinical experience and a few tools and medicines, family physicians will be able to treat most cases.
Molluscum Contagiosum
Papular eruptions that result from infection with the MC virus are usually self-limited and without sequelae in immunocompetent persons, although the lesions can last for months or even years.
MC infection occurs frequently among children and also affects sexually active adults, where it is classified among the sexually transmitted diseases.1 MC has gained additional attention over the past two decades because of its prevalence as an opportunistic infection in persons with human immunodeficiency virus (HIV) infection. In patients with HIV, MC infection often is not self-limited and can be much more extensive and even disfiguring.
Recent studies have suggested that MC may serve as a cutaneous marker of severe immunodeficiency and sometimes is the first indication of HIV infection.2
MC is a double-stranded DNA virus in the Poxviridae family. As with other poxviruses, MC is spread through fomite or skin-to-skin contact, and microscopic abrasions in the epidermis are thought to facilitate transmission.3
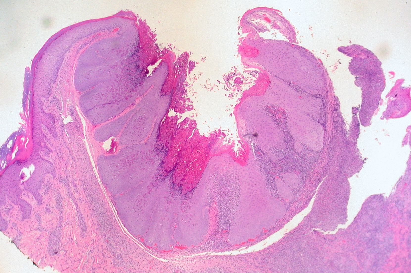
DIAGNOSIS
The typical MC lesion is an asymptomatic, firm, smooth, round papule with central umbilication (Figure 1). Lesions are usually 3 to 5 mm in diameter and number less than 30,4 although these parameters often are exceeded in persons with HIV and other immunocompromised conditions.5,6 In children, the papules typically are found on the extremities, trunk, and face (Figure 2). In sexually transmitted cases, they usually occur on the lower abdomen and in the genital region.
FIGURE 1.
Molluscum contagiosum with central umbilication.
FIGURE 2.
Child with facial molluscum contagiosum.
TREATMENT
Spontaneous disappearance of MC lesions with no residual scarring is common, often after a period of inflammation and minor tenderness.7 Few controlled studies of treatment efficacy have been performed, but many experts recommend local destruction to prevent autoinoculation (spread by scratching) and transmission to others.
Lesion eradication may be mechanical (curettage, laser, or cryotherapy with liquid nitrogen or nitrous oxide cryogun), chemical (trichloroacetic acid, tretinoin [Retin-A]), or immunologic (imiquimod [Aldara]).
Curettage or cryotherapy is commonly performed in the primary care setting. In children, application of topical anesthetic (e.g., lidocaine/prilocaine [EMLA cream]) under occlusion 15 to 30 minutes before curettage has been shown to significantly reduce pain.8
Anecdotal reports and small studies suggest that imiquimod, an immune enhancer that induces cytokines, may be useful in treating MC, especially when numerous lesions are present or destructive methods are not tolerated.
9 [Evidence level C, consensus/expert guidelines] This treatment seems to be migrating into clinical practice. Advantages to imiquimod therapy include minimal side effects and ease of application.
Early studies using varying potencies and application regimens have shown clearance rates of 40 to 82 percent.9 Imiquimod is available as a 5-percent cream and is approved for treating genital and nongenital warts. It is applied three times per week, left on the skin for six to 10 hours, then washed off. A typical course of treatment lasts from four to 16 weeks.
MC in patients with HIV infection and other immunocompromising conditions can be more severe, making treatment more difficult. Researchers have had some initial success with the nucleotide analog cidofovir in HIV-infected patients with advanced MC. Topical and intravenous forms have been tested,10 and controlled trials of cidofovir are likely to be forthcoming.
Warts
Like MC, warts result from infection with a double-stranded DNA virus trophic to human skin.
In the case of warts, the agent responsible is human papillomavirus (HPV), of which there are more than 150 serotypes.11 Some are known to cause cervical cancer, but common warts that affect nongenital skin are not thought to have malignant potential. With the exception of cervical lesions, determining the serotype of a wart is not clinically useful. Some physicians use the serotype of cervical lesions to determine how aggressively they evaluate and treat the patient.
The most useful information is gleaned from clinical appearance and the area of the body that is affected. Trained clinicians usually can diagnose warts based solely on their typical appearances in different locations.12 Non-genital warts are subcategorized into common, periungual, flat, filiform, and plantar types.
DIAGNOSIS
Common Warts
Common warts (verrucae vulgaris) are irregularly surfaced, domed lesions that can occur almost anywhere on the body (Figure 3). Multiple warts are common and are spread by skin-to-skin contact or contact with a contaminated surface.
After initial infection, warts frequently are spread by autoinoculation from scratching, shaving, or other skin trauma.
FIGURE 3.
Common wart.
On exposed skin, these warts tend to be hard and, if not affected by mechanical forces, develop the typical carpet-like (verrucous) surface (Figure 4). On areas that receive frequent friction, such as the hands, the firm, nodular aspect predominates (Figure 5). On areas that are moist or occluded, warts tend to be softer and more polypoid.
FIGURE 4.
Verrucous wart.
FIGURE 5.
Small nodular wart on the hand.
Periungual Warts
Periungual warts occur at the nail margins (Figure 6). As with other warts on the hands and feet, they often show peeling and roughening of the surface and tend to be somewhat abraded although not as much as palmar warts. They can affect the shape of the nail by undermining its side and pushing the nail up or causing partial detachment, sometimes mimicking the changes that occur with onychomycosis (Figure 7).
Occasionally, when the wart affects the nail matrix or when destruction of the wart injures the nail matrix, permanent nail deformity can result.
FIGURE 6.
Periungual warts.
FIGURE 7.
Periungual wart affecting toenail.
Flat Warts
Flat warts (verrucae planus) are smooth, flat-topped variants of common warts that are 2 to 4 mm in diameter. They most often occur on the face and extremities of children and on the lower legs of women, where they may be spread by shaving11(Figure 8).
FIGURE 8.
Flat warts on the face of a child.
Filiform Warts
Filiform warts have frond-like projections that often rapidly grow. They are common on the face (Figure 9).
FIGURE 9.
Filiform wart on the face.
Plantar Warts
Plantar warts occur on the plantar surface of the foot (Figure 10). Because of the forces exerted on the foot, plantar warts tend to become callused and grow into the foot instead of rising above the plantar surface.
They often occur in multiples, are firm, and can be very painful. Patients may feel as if they are walking with a pebble in their shoe. Plantar warts can be differentiated from a corn or callus by paring down the surface (Figure 11). A wart has the typical punctate pattern of multiple pinpoint blood vessels (Figure 12). Warts also do not retain the normal fingerprint lines of the hands and feet, as calluses and corns do.
FIGURE 10.
Plantar wart on the heel.
FIGURE 11.
Paring of plantar wart.
FIGURE 12.
Punctate pattern of plantar wart after paring.
Mosaic plantar warts present with a tile-like pattern (Figure 13) that has been described as a confluence of multiple warts.11 The pattern has been attributed to the natural cylindrical projections (which can be seen in cross section) that wart tissue forms.13
FIGURE 13.
Mosaic plantar wart.
TREATMENT
Treatment options for warts include mechanical destruction and adjustment of the patient’s immune system through medications, and observation.
The most commonly employed treatments involve destroying the affected tissue by freezing, burning, curetting (usually with electrodesiccation), or applying topical acids. Chemotherapeutics are sometimes used in refractory or severe cases (Table 1). A review of the placebo arms of 17 treatment trials showed an average spontaneous regression rate of 30 percent at an average of 10 weeks.14 Six trials using salicylic acid averaged a 75 percent cure rate, and two trials comparing cryotherapy and salicylic acid found no difference in success rates.14
View/Print Table
TABLE 1
Methods of Destroying Warts
Acids |
Over-the-counter salicylic acids (e.g., Compound W, DuoFilm liquid or patches) |
Bi- or trichloroacetic acid |
Freezing |
Liquid nitrogen freeze via spray gun or cotton-tipped applicator at −196 C (−320. |
Cryogun with nitrous oxide tank freeze at −89 C (−128.2 F)16 |
Aerosol spray with adapter freeze (e.g., Verruca-Freeze) at −70 C (−94 F)16 |
Burning |
Electrocautery, LEEP, laser |
Chemotherapy |
Bleomycin (Blenoxane) |
TABLE 1
Methods of Destroying Warts
Acids |
Over-the-counter salicylic acids (e.g., Compound W, DuoFilm liquid or patches) |
Bi- or trichloroacetic acid |
Freezing |
Liquid nitrogen freeze via spray gun or cotton-tipped applicator at −196 C (−320. |
Cryogun with nitrous oxide tank freeze at −89 C (−128.2 F)16 |
Aerosol spray with adapter freeze (e.g., Verruca-Freeze) at −70 C (−94 F)16 |
Burning |
Electrocautery, LEEP, laser |
Chemotherapy |
Bleomycin (Blenoxane) |
All treatments are hampered by wart persistence and recurrence. Warts are only an outward symptom of an underlying infection; topical treatments do not eradicate HPV but merely hold it at bay.15 [Evidence level C, consensus/expert guidelines]
Acids
Many patients treat warts themselves with over-the-counter salicylic acid preparations.
Advantages of these acids include convenience, reasonable cost, minimal discomfort, and reasonable effectiveness. Disadvantages include the length of time before results are seen (usually weeks to months) and complex instructions. Patients have to soak the wart in water for five to 10 minutes before each application (daily for liquids, every 48 hours for patches), then debride the dead skin after each application.
Bi- and trichloroacetic acids are applied in the physician’s office on a weekly basis, usually after paring down the wart. Although this usually is a painless and effective procedure, these more potent acids have a greater potential to significantly burn surrounding skin.
Acids are well suited for use in children (as long as they don’t put the affected area in their mouths) and are appropriate for plantar warts and warts on sensitive body parts where cryotherapy would be more painful.
Freezing
The different methods of freezing warts are presented in Table 1.
One advantage of a nitrous oxide cryogun versus a liquid nitrogen gun is its ability to adhere the probe to the skin and elevate the lesion to avoid damage to underlying structures, such as veins, nerves, or tendons (Figure 14). Liquid nitrogen at −196°C (−320.8°F) and nitrous oxide at −89°C (−128.2°F) exceed the temperature required for complete tissue destruction (−50°C [−58°F]), but liquid nitrogen produces a faster freeze.16 A reasonable option for the low-volume practitioner is Verruca-Freeze, a liquid applied from a spray can, at −70°C (−94°F).
FIGURE 14.
Freezing a wart with nitrous oxide cryogun.
The wart is frozen until it and 1 to 2 mm of surrounding skin have turned white (Figure 15). A repeat freeze after thawing causes more effective tissue destruction than a single freeze. The affected tissue turns red or blisters over the next one to two days, then gradually sloughs off over the following weeks. The dead tissue also may generate an immune system reaction to help resolve additional warts.
Freezing is time-efficient and works well for most warts. In plantar warts, the discomfort and blistering after freezing can temporarily limit mobility.
View/Print Figure
FIGURE 15.
Liquid nitrogen cryospray with 1 to 2-mm margins of freeze.
FIGURE 15.
Liquid nitrogen cryospray with 1 to 2-mm margins of freeze.
Burning
Burning and surgical removal are usually reserved for resistant warts. Appropriate anesthetic measures are necessary because of the associated pain. Treatment can be accomplished in a single visit and is effective, but as with all destructive methods, not guaranteed. A disadvantage is prolonged recovery time from an often large and deep skin defect. Full-thickness excision and suturing are not warranted and can produce additional scarring and complications. Filiform warts are easily shaved or snipped off with an iris scissors (Figure 16). Light electrocautery of the base provides hemostasis and destruction of the residual wart./iStock-524997413-5882e56d3df78c2ccdb066d4.jpg)
FIGURE 16.
Shaving of filiform wart.
Chemotherapy
Chemotherapy with bleomycin (Blenoxane) injection causes acute tissue necrosis. As with cryotherapy, the tissue left behind may stimulate an immune response. Disadvantages are the pain of injection and the expense of the drug. Bleomycin is a sterile powder that is reconstituted with saline. It is stable for only 24 hours after mixing, so it cannot be saved for dosing multiple patients on different days. Chemotherapy may be useful at a designated wart clinic, where several patients can be treated from the same vial of bleomycin in a single day. It is commonly used for plantar warts.
Immunotherapy
HPV infection does not disappear once the gross lesions are destroyed. Cell-mediated immunity is required to keep the infection in check, as demonstrated by the high prevalence of warts among immunosuppressed organ-transplant recipients and patients with acquired immunodeficiency syndrome.17,18 Several treatment methods for warts are directed toward enhancing the immune response that suppresses HPV infection (Table 2).
View/Print Table
TABLE 2
Immune-Modulating Methods of Wart Treatment
Injected agents |
Candida antigen |
Mumps antigen |
Interferon alfa-2b (Intron A) and interferon alfa-N3 (Alferon N)* |
Topical agents |
Imiquimod (Aldara) |
Systemic agents |
Cimetidine (Tagamet) |
TABLE 2
Immune-Modulating Methods of Wart Treatment
Injected agents |
Candida antigen |
Mumps antigen |
Interferon alfa-2b (Intron A) and interferon alfa-N3 (Alferon N)* |
Topical agents |
Imiquimod (Aldara) |
Systemic agents |
Cimetidine (Tagamet) |
Most people have been exposed to Candida and will mount an immune response.
Candida antigen (0.1 mL of 1:1,000 solution, as is used for dermal testing) is mixed with 0.9 mL of 1-percent lidocaine (Xylocaine) and injected into the base of the wart (Figure 17). The wart is then stabbed repeatedly with the needle. Although uncomfortable, this procedure induces an immune response and brings about resolution of the wart in many cases.
FIGURE 17.
Candida antigen injection of plantar wart.
In a small study19 using mumps or Candida injection, 74 percent of participants had resolution of the injected wart and, of those with resolution, 78 percent also had resolution of all of their noninjected warts. Candida antigen is available in a multi-dose vial that can be saved with refrigeration, so the cost is not prohibitive. Candida antigen can be used on most verrucae, particularly plantar warts.
Cimetidine (Tagamet) is known to stimulate T-lymphocyte populations, which are important in controlling viral infections. At a dosage of 30 to 40 mg per kg per day, it has been tried with varying success in the treatment of warts.
A small trial20 in children found cimetidine to be as effective as the usual topical agents or cryotherapy. Another trial21 combining cimetidine with levamisole (an immunomodulator used in the treatment of colon cancer) reported cure rates of 85.7 percent versus 45.5 percent with cimetidine alone. However, in a more recent double-blind study,22 cimetidine was not found to be significantly more effective than placebo in adults or children, although there was a trend toward efficacy in younger patients. Cimetidine or watchful waiting could be considered for use in children who cannot tolerate destructive treatment methods.
The immunomodulating agents interferon alfa-2b (Intron A), interferon alfa-N3 (Alferon N), and imiquimod are approved for genital HPV. In addition to case reports, one study23 of 50 patients showed a 56 percent clearance rate with imiquimod. Imiquimod is more rapidly being adopted into clinical practice because of its easy application. It may be useful in non-genital HPV, but more study is needed.
9
Topical application of sensitizing agents such as diphenylcyclopropenone, dinitrochlorobenzene, and squaric acid causes an allergic contact reaction that has been used for treatment of warts, but these chemicals are not commonly stocked by family physicians.
Molluscum Contagiosum in Children | Cedars-Sinai
Not what you’re looking for?
What is molluscum contagiosum in children?
Molluscum contagiosum is a viral skin disease that causes small pink or skin-colored bumps on your child’s skin. It is not harmful and usually does not have any other symptoms. The virus is inside the bumps and is mildly contagious. These bumps usually clear over time.
What causes molluscum contagiosum in a child??
Molluscum contagiosum is caused by a virus called the poxvirus. It is very common in children and adolescents.
Which children are at risk for molluscum contagiosum?
Children can get molluscum contagiosum by skin-to-skin contact with a person who has it.
The problem is found worldwide but is thought to be more common in hot, humid environments.
What are the symptoms of molluscum contagiosum in a child?
The bumps are small and are usually pink or skin-colored. Eventually, the bumps tend to have a small sunken center. The bumps can show up alone or in clusters. They are not harmful, but they may make your child feel self-conscious if they appear on the face or other visible areas.
How is molluscum contagiosum diagnosed in a child?
The bumps are unique and are usually diagnosed on physical exam. The healthcare provider will also take your child’s health history. Additional tests are not routinely ordered.
How is molluscum contagiosum treated in a child?
Treatment will depend on your child’s symptoms, age, and general health. It will also depend on how severe the condition is.
In most cases, the bumps will heal without treatment over a period of 6 to 12 months.
The virus can last up to 4 years and leave scars. Additional treatment choices may include:
- Removing the bumps by freezing them, using lasers, or cutting them out with a special instrument
- Using medicines on the skin to help the bumps go away faster
Some treatments sold on the Internet may not work and may be harmful, according to the CDC. For your child’s safety, talk with your child’s healthcare provider before trying any alternative treatments.
What can I do to prevent molluscum contagiosum in my child?
The virus inside the bump is only mildly contagious. It can be spread to other children who directly touch the bumps. The best prevention is to avoid contact with the bumps.
How can I help my child live with molluscum contagiosum?
The virus will gradually disappear on its own. But it can take months, or even years, for the bumps to completely heal. During this time it is important that your child does not scratch the bumps.
Scratching them causes the virus to spread and draws out the time it takes for them to heal. You don’t need to limit your child’s activities, school, child care, sports, or swimming in public pools. But it is important to cover the bumps with a waterproof bandage during contact sports such as wrestling to prevent passing the virus to another person. Also help your child follow good personal hygiene, especially washing their hands often.
When should I call my child’s healthcare provider?
If you think your child has molluscum contagiosum, talk with your child’s healthcare provider about treatment choices.
Key points about molluscum contagiosum in children
- Molluscum contagiosum is a viral skin disease that causes small pink or skin-colored bumps on your child’s skin.
- It is not harmful, does not have any other symptoms, and is only mildly contagious.
- It is very common in children and adolescents.

- In most cases, the bumps will heal without treatment over a period of 6 to 12 months.
- You should discuss treatment options with your child’s healthcare provider.
Next steps
Tips to help you get the most from a visit to your child’s healthcare provider:
- Know the reason for the visit and what you want to happen.
- Before your visit, write down questions you want answered.
- At the visit, write down the name of a new diagnosis, and any new medicines, treatments, or tests. Also write down any new instructions your provider gives you for your child.
- Know why a new medicine or treatment is prescribed and how it will help your child. Also know what the side effects are.
- Ask if your child’s condition can be treated in other ways.
- Know why a test or procedure is recommended and what the results could mean.
- Know what to expect if your child does not take the medicine or have the test or procedure.

- If your child has a follow-up appointment, write down the date, time, and purpose for that visit.
- Know how you can contact your child’s provider after office hours. This is important if your child becomes ill and you have questions or need advice.
Not what you’re looking for?
Kids Health Information : Molluscum
Molluscum is a common viral skin infection that causes small, harmless, raised spots to appear on the skin. It is caused by the molluscum contagiosum virus. Once infected, your child can easily spread molluscum to other people, or to different areas on their own body. It is spread by touching the molluscum spots, and through bath or pool water, bath toys and towels.
Molluscum spots may stay on the body for a few weeks, several months or more than a year. Molluscum does not usually need any treatment.
Signs and symptoms of molluscum
At first, molluscum spots look like white pimples.
They then become round, pearl-coloured lumps that have a white mark or indentation in the centre. They are usually one to five millimetres in size, but can be as big as two centimetres. Generally, molluscum spots are found on the stomach, face, arms, legs or in the nappy area.
Molluscum spots are painless and usually not itchy.
How is molluscum spread?
The molluscum virus is found in warm water, so children are often infected in swimming pools and baths. Sharing towels and face washers is another way to spread the virus. Molluscum can also be spread from skin-to-skin contact involving the molluscum spots.
It can take weeks or even months for the spots to appear after your child has come into contact with the molluscum virus.
Good personal hygiene is important to help prevent molluscum spreading. If your child has molluscum:
- Give your child showers instead of baths. The molluscum virus can spread to other parts of the body through the bath water.

- If your child does have a bath, don’t share baths with other children and avoid bath toys.
- The virus can be spread when drying with a towel, so try to dry areas with the molluscum spots last.
- Wash and dry any bath toys after use, as they can spread the virus.
- Do not share towels, face washers or clothing.
- Wash your hands thoroughly after touching your child’s molluscum spots.
Most adults have been exposed to molluscum in their youth and are therefore immune, so it is not likely you will become infected by touching your child’s spots.
Treatment for molluscum
Treatment for molluscum is not routinely recommended because most cases clear up on their own in around six to 18 months. If left alone, molluscum does not tend to result in any scarring. Many of the treatment options available can be painful and may increase the chance of scaring. Some treatments may also increase the risk of spreading the infection.
Treatment is usually only recommended for children who have unsightly lesions or if the lesions are affecting their quality of life. Treatment may also be recommended for children with weakened immune symptoms as the virus can take several years to clear in these cases. If your child is experiencing both eczema and molluscum, the eczema needs to be treated before any treatment for molluscum can take place.
If the spots are causing problems, consult a GP, dermatologist or dermatology nurse practitioner to explore treatment options.
When to see a doctor
Sometimes, the skin around the molluscum spots can develop a rash and the skin can become infected with bacteria. If this happens, take your child to a GP. Antibiotics may be prescribed for the skin infection, but the antibiotics do not treat the molluscum spots themselves, because antibiotics do not work against viruses.
Key points to remember
- Molluscum is caused by a virus, resulting in small, harmless, raised spots.
The spots are painless and usually not itchy. - It is spread easily from person to person by touching the molluscum spots, and through bath or pool water, bath toys and towels.
- Good hygiene can help reduce the spread of the infection.
- Treatment is not always needed. If the skin around the spots becomes infected, antibiotics may be prescribed.
For more information
Common questions our doctors are asked
Why does my child scratch at their molluscum?
Molluscum spots usually don’t itch. It’s more likely that the molluscum has caused a local flare up of pre-existing eczema, which may be itchy.
Can my child go to child care if she has molluscum?
Children with molluscum can go to school, child care and kindergarten, and play with other children, because clothing usually covers the affected areas.
Developed by The Royal Children’s Hospital Dermatology and Emergency departments. We acknowledge the input of RCH consumers and carers.
Reviewed July 2020.
Kids Health Info is supported by The Royal Children’s Hospital Foundation. To donate, visit
www.rchfoundation.org.au.
Molluscum contagiosum | Caring for kids
Molluscum contagiosum is a common, mild skin disease caused by a pox virus. Although it can happen at any age, it is most common in children 1 to 10 years of age.
What are the symptoms?
Tiny “pinpoints” appear on the skin 1 to 6 months after exposure to the virus. These turn into pinkish-white bumps that are smooth and shiny, have a dip in the middle and have a milky-white cheesy-like material inside. Bumps can appear anywhere on your child’s body. Most children get 1 to 20 bumps, but some can have hundreds. They may become itchy, sore, red, and/or swollen.
How does it spread?
Molluscum contagiosum doesn’t spread easily from person to person and outbreaks are rare. It can spread by direct (skin-to-skin) contact with bumps, or indirect contact (e.g., bedding contaminated with material from the bumps, sharing of towels). Scratching can spread the infection from one part of the body to another.
Once the bumps are gone, the virus is gone and you cannot spread it to others.
Is molluscum contagiosum serious?
Molluscum is harmless and will disappear without treatment. Each bump usually lasts about 2 months but children may continue to get new bumps for months or even years. If the bumps are bothering your child, a doctor can prescribe a cream or, if there are not too many bumps, remove them by scraping or freezing.
What do I do if my child has molluscum contagiosum?
- Bring them to the doctor to confirm that it is molluscum contagiosum.

- Wash your hands often. This is important to prevent spreading the infection.
- Encourage your child not to scratch or pick at the bumps.
- Make sure your child doesn’t share towels, clothing, or other personal belongings with others.
Should I cover the bumps?
No. Covering is not necessary. When your child is swimming or doing contact activities, you can cover bumps that aren’t covered by clothing with a waterproof bandage. Change the bandage daily or when dirty. Keeping bumps tightly covered for long periods can lead to bacterial infections and scarring. If your child picks at the bumps, cover them with a loose gauze dressing.
Can my child go to child care or school?
Yes. Once your child’s doctor confirms that it is molluscum, your child can continue to attend child care and/or school. Remind them to wash their hands often.
More information from the CPS
Reviewed by the following CPS committees
- Infectious Diseases and Immunization Committee
- Public Education Advisory Committee
Last updated: August 2021
Molluscum Contagiosum | Michigan Medicine
Topic Overview
What is molluscum contagiosum?
Molluscum contagiosum is a skin infection that causes small pearly or flesh-colored bumps.
The bumps may be clear, and the center often is indented. The infection is caused by a virus. The virus is easily spread but is not harmful.
What are the symptoms?
The bumps are round with a dimple in the center. They are a little smaller in size than the eraser on the end of a pencil. The bumps don’t cause pain. They may appear alone or in groups. They most often appear on the trunk, face, eyelids, or genital area. The bumps may become inflamed and turn red as your body fights the virus.
People who have a weakened immune system may have dozens of larger bumps. These may need special treatment.
How does molluscum contagiosum spread?
The virus commonly spreads through skin-to-skin contact. This includes sexual contact or touching the bumps and then touching the skin. Touching an object that has the virus on it, such as a towel, also can spread the infection. The virus can spread from one part of the body to another. Or it can spread to other people, such as among children at day care or school.
The infection is contagious until the bumps are gone.
The time from exposure to the virus until the bumps appear usually is 2 to 7 weeks, but it can take up to 6 months.
To prevent molluscum contagiosum from spreading:
- Try not to scratch.
- Put a piece of tape or a bandage over the bumps.
- Do not share towels or washcloths.
- If the bumps are on your face, don’t shave.
- If the bumps are in your genital area, avoid sexual contact.
How is it diagnosed?
Your doctor will do a physical exam and may take a sample of the bumps for testing. If you have bumps in your genital area, your doctor may check for other sexually transmitted infections (STIs), such as genital herpes.
How is it treated?
In most cases, molluscum contagiosum doesn’t need to be treated. The bumps usually go away on their own in 6 to 9 months. But in some cases, they may last much longer—sometimes even for years.
Doctors usually recommend treatment for these bumps in the genital area to prevent them from spreading.
If you need treatment, your choices may include:
- Freezing the bumps, called cryotherapy or cryosurgery.
- Scraping off the bumps, called curettage.
- Putting a chemical on the bumps, like cantharidin or potassium hydroxide.
- Using medicines (liquids or creams), such as those used to treat warts.
Children may not need treatment, because molluscum contagiosum usually goes away on its own. But if your child needs treatment, talk to your child’s doctor about how to prevent pain and scarring.
Who gets molluscum contagiosum?
Molluscum contagiosum is most common in children, especially those younger than age 12. In teens and young adults, it usually is a sexually transmitted infection. But wrestlers, swimmers, gymnasts, massage therapists, and people who use steam rooms and saunas also can get it.
Molluscum contagiosum is more common in warm, humid climates with crowded living conditions.
Molluscum Contagiosum Aventura, FL | Cantharone
Molluscum contagiosum is a viral infection caused by a virus from the poxvirus family. The lesions appear as round, dome-shaped, pink, waxy papules (solid bumps) on the skin. They appear anywhere on the body, but most commonly are seen on the face, neck, armpits, arms, and hands. It is a communicable condition and is transmitted by using towels, clothes, or other objects used by an infected person. It can be also be spread by sexual contact. People having weakened immune systems such as with cancer or AIDS have an increased chance of contracting molluscum contagiosum.
Warts
Warts are a skin condition caused by human papilloma virus (HPV). They appear as soft, fleshy, raised lesions on the skin surface. They can occur on any parts of the body.
They are contagious and can be transferred from one person to another through towel, soap or through skin contact. Warts are resistant to treatment because they penetrate very deep inside the skin surface.
Symptoms
Molluscum contagiosum and warts are usually painless and do not itch. However, if picked at or scratched, they can spread covering a larger area of skin. The lesions tend to spread in a line or in groups called crops.
Treatment
Molluscum contagiosum and warts will eventually go away on their own within months or years in persons with a normal immune system. However, if they are unsightly, embarrassing, or causing discomfort to you, there are treatment options. Both conditions can be treated with the following:
- Salicylic acid: Inexpensive, over the counter, wart treatment; requires daily application and takes time to work.
- Liquid nitrogen: Cryotherapy treatment kills warts and mollusca by freezing them.
It is applied to the wart by your physician and usually requires more than one treatment.
If these treatments are unsuccessful your dermatologist may recommend treatment with Cantharidin.
Cantharidin Treatment
Cantharidin, also called Cantharone, is a blistering solution obtained from blister beetles to treat viral conditions such as warts and molluscum contagiosum. It is well received by children as it painless during treatment. However pain and tenderness may occur after 24 hours of treatment that may last for a few days. Cantharidin is applied directly on the warts and mollusca affected areas and covered with a Band-Aid or piece of clear tape. In 4 hours, you should peel off the covering and wash the area carefully with soap and water to completely remove the Cantharone. If there is severe stinging or burning before the time is up, you can remove the tape or Band-Aid and wash the area sooner. Blisters will start to form in about 3 to 8 hours.
Warts are destroyed upon this chemical application.
Some patients may be very sensitive to cantharidin and may experience tingling or burning sensation at the site of application. Hence this solution should be carefully applied only to the warts and mollusca avoiding surrounding skin.
For more details on cantharidin treatment on warts and molluscum contagiosum please contact your doctor.
Schedule your consultation with Dr. Resnik
Molluscum contagiosum (water warts) in children ages one to five
What is molluscum contagiosum?
Molluscum contagiosum, sometimes known as water warts, is a mild infection that causes raised spots to appear on your child’s skin. It often affects young children, particularly between the ages of one and four (NICE 2017). It’s usually harmless, and will probably get better on its own within about 18 months (NICE 2017).
The spots are caused by a virus known as molloscum contagiosum virus (MCV) (NICE 2017).
The virus can be passed from person to person, but your little one should still be able to go to nursery or preschool as normal while he has it (NICE 2017).
What are the symptoms of molluscum contagiosum?
The main – and usually only – symptom of molloscum contagiosum is small, raised, dome-shaped spots (NICE 2017). They’re typically pink or red on white skin or a beige colour on darker skin (NHS 2020).
You’re most likely to notice these on your child’s chest, tummy, back, armpits, behind his knees or nappy area, though they can appear anywhere on the body (NICE 2017).
There are usually about 20 to 30 spots at any one time (NHS 2017). Each spot is quite small (usually about 3-5mm across). One way to tell if it’s molluscum contagiosum is to look for a tell-tale dimple in the middle of each spot (NICE 2017).
The spots shouldn’t be painful for your child, and he’s unlikely to have any other symptoms (NHS 2017). In some cases, though, the spots can be uncomfortably itchy, or you may notice dry and cracked skin surrounding them (NHS 2017).
Individual spots may well begin to crust over and heal within two months (NHS 2017). It’s not unusual for new spots to develop elsewhere as old ones heal, as your child still has the virus in his system (NHS 2017).
On the whole though, the spots usually clear up altogether within about 18 months, without any treatment (NICE 2017). In some cases, it may take up to five years for the final spots to disappear completely, but it usually happens much sooner than this (NICE 2017).
Sometimes, the spots can become infected, making them swollen and painful. You can reduce the risk of this happening by encouraging your child to avoid scratching or squeezing his spots (NHS 2017).
If your child has a weakened immune system, he may have more spots than usual (over 100), and they may appear larger than normal (NICE 2017). In this case, your GP will be able to advise you about the best treatment for your little one.
What’s the best way to treat molluscum contagiosum?
Treatment isn’t usually recommended, because the spots almost always clear up by themselves (NICE 2017).
However, it’s still a good idea to visit your GP, just so she can confirm what’s causing the spots, and check for any signs of infection.
If the spots are very itchy, your GP can prescribe a mild corticosteroid cream to help your little one feel better (NICE 2017). If there’s any sign of infection, she may prescribe an antibiotic cream to help clear it up (NICE 2017).
In rare cases, if the spots are particularly bad, your GP may refer you to a dermatologist, who can offer treatments such as freezing the spots (cryotherapy), cutting the spots off (curettage), or using heat or chemicals to remove them (NICE 2017). However, these treatments don’t always work, and they can be painful for your child and increase the risk of scarring, so they’re not usually recommended (NICE 2017).
In most cases, the spots shouldn’t bother your child, or cause him any problems at all. In these cases, your GP will probably recommend that you just follow the hygiene steps below to help prevent the spots from spreading while you wait for them to clear up (NICE 2017).
How does molluscum contagiosum spread?
The spots are caused by a virus, which can be passed from person to person. Your child may have caught it by touching someone who has molluscum contagiosum, or by sharing objects such as towels, flannels or toys with them (NHS 2017).
Fortunately, although the spots can pass from person to person, they’re not usually very contagious. This means that your child can still go to school as usual while he has it, and enjoy his usual activities, including swimming (NHS 2017).
Nonetheless, it’s a good idea to take some basic hygiene precautions while your child has molluscum contagiosum, to help prevent it spreading to the rest of the family:
- Avoid squeezing or scratching the spots, and encourage your child to do the same. If the spots are itchy, ask your GP for a cream to soothe them.
- Where possible, keep the spots covered with loose clothing.
- If you’re taking your child swimming, you can use a waterproof bandage to cover the spots.

- Don’t let your child share clothes, towels, flannels or baths with anyone else until the last spot has disappeared.
(NHS 2017)
Will molluscum contagiosum cause scarring?
Fortunately, molluscum contagiosum doesn’t usually cause scarring, unless the spots become infected, or have been treated in some way (NICE 2017). To reduce the risk of infection, don’t squeeze or scratch the spots, and encourage your child to do the same (NHS 2017).
Will my child get molluscum contagiosum again?
The good news is that once a bout of molluscum contagiosum has completely cleared up, it is rare for it to return (NICE 2017).
Not sure if it’s molluscum contagiosum or something else? See what else can cause spots in our photo gallery of common skin conditions.
References
NHS. 2017. Molluscum contagiosum. NHS Choices, Health A-Z. www.nhs.uk [Accessed October 2018]
NHS. 2020. Molluscum contagiosum. NHS Choices, Health A-Z.
www.nhs.uk [AccessedSeptember 2020]
NICE. 2017. Molluscum contagiosum. National Institute for Health and Care Excellence, Clinical Knowledge Summaries. cks.nice.org.uk [Accessed October 2018]
90,000 Molluscum contagiosum in children
Molluscum contagiosum is a cutaneous viral disease (molluscum contagiosum) caused by one of the smallpox viruses. Most often, the skin and mucous membranes are affected at the site of contact with the carrier of the virus. It is usually transmitted by contact with a person, but it can also be infected through household items, as well as in a pool or bathhouse.
Stages of molluscum contagiosum in children:
– Within 1.5 – 2 weeks incubation period there are no visible clear signs of infection;
– In the second stage, characteristic dense nodules of pinkish, flesh or waxy color appear on the child’s skin, in the center of which there are depressions. The size of the nodules is from 0.5 to 1 mm;
– Gradually, the bubbles grow to a size of 5-15 mm and take on a domed shape, in rare cases they can be large. When pressed, a gruel-like mass is released;
Usually within 6-12 months the body itself copes with this infection.Most often, the disease does not cause severe inconvenience to the patient, but, since the disease is infectious, the child must be isolated.
If you do not want your child to be in quarantine for six months, not be able to attend a kindergarten or a school, his communication was limited, then you need to carry out treatment.
Molluscum contagiosum in children: treatment
Treatment of this infection is carried out by three main methods, which, in essence, are reduced to the removal of molluscum contagiosum in children.Namely:
- removal with a Volkmann spoon, that is, scraping out the contents of the vial with further disinfection and cauterization, with or without the use of painkillers;
- moxibustion with liquid nitrogen;
- removal using a laser.
Do not be afraid of a visit to the doctor. The child should also be told that the surgeon will help get rid of the trouble. Removal of molluscum contagiosum is almost painless, the wounds heal instantly.
An experienced, qualified dermatologist will help you get rid of this problem, as well as give recommendations and, if necessary, prescribe a course of antiviral drugs, he can also recommend using modern effective medicines to prevent the spread of shellfish. Do not self-medicate, as this can lead to the opposite results.
Treatment of contagious molluscum in Moscow.Prices. Reviews. Photo. Removal of molluscum contagiosum with a laser.
Molluscum contagiosum is a chronic skin infection caused by the DNA virus Molluscipox Molluscum contagiosum virus, which is pathogenic only for humans. Affecting mainly children of preschool and early school age, molluscum contagiosum manifests itself as characteristic rashes in the face and extremities in the form of waxy painless flesh-colored papules with an umbilical depression in the center.When pressing on the papules of the mollusc with tweezers or nails, a white curdled mass is released from the central depression.
Infection with molluscum contagiosum virus in children occurs against a background of weakened immunity either through direct contact with the patient, or through household items that were in use. In adults, the molluscum contagiosum virus is often sexually transmitted, which actually determines the place of its localization (abdomen, pubis, thighs, genitals, etc.).
CLINICAL PICTURE:
- Incubation period: 2 weeks to 6 months
- Nodule size: 0.5 cm to 0.7 cm
- Number of nodules: 1 to 10
- Color: whitish yellow with pearlescent shade
- Form: hemispherical with a central umbilical depression
The diagnosis of molluscum contagiosum, as a rule, does not cause difficulties for a specialist.The doctor, on the basis of a characteristic clinical picture, and also (if necessary) on the basis of a microscopic examination of the cheesy masses secreted by the papule, makes a decision on treatment.
Methods of hardware diagnostics
Dermatoscope HEINE DELTA 20 T
Designed for dermatoscopic examination for early diagnosis of malignancy of melanomas, for the study of non-melanocytic formations, basal cell carcinoma and dermatofibroma.
Dermatoscopy is a non-invasive method for visual diagnostics of the skin, which, thanks to the use of high technologies, allows you to switch from a subjective assessment of the condition of the skin to an objective one and document the identified skin changes.
The essence of the method is that with the help of a special device – a dermatoscope at 10x magnification, the surface layers of the skin are examined. This allows you to more thoroughly study the symmetry of the neoplasm, its boundaries, structure.
DUB-TPM
Ultrasound skin diagnostics.
Diagnostic ultrasound scanning is a well-known and well-established technique, which currently accounts for more than 1/3 of the volume of all diagnostic procedures in medical practice.Modern devices are already quite simple to use and are available for many clinics.
However, in dermatology, these studies have not previously been used, which was due to the difficulty of the technical solution of this problem. In conventional devices, the sensors have a frequency of 3-10 MHz, at which it was impossible to obtain an image of the structures of the epidermis, dermis and hypodermis.
The German company TPM has created unique devices with a sensor frequency of 20-100 MHz. This technique is called high-resolution digital ultrasound imaging with the ability to examine the most superficial layers of the skin.
Based on research materials carried out with the DUB TPM apparatus (the list is attached separately), many articles and 2 monographs have been published.
Until now, the main method of studying the morphology of the skin was histological and pathomorphological examination. This technique is quite laborious and costly, in addition, a biopsy sample already treated with various chemical reagents is being examined.
Ultrasound skin diagnostics fills the gap that previously existed between external research methods and histology, as this non-invasive method allows the study of the skin in vivo.
The value of ultrasound scanning for skin diagnostics can hardly be overestimated. This method has a number of indisputable advantages – non-invasiveness, painlessness, safety and high measurement accuracy. All examinations are carried out without tissue damage and can be repeated on the same skin area many times.
New instrument, allows you to see a section of the skin and subcutaneous fat up to the muscle fascia. We can examine the skin at different intervals, documenting all the features.The data is digitized and put into a database. It is easy to carry out a comparative analysis of the images obtained in dynamics, the images are saved on any digital media and the data is transmitted in generally accessible formats via the Internet.
Ultrasound examination of the skin should become the “gold standard” in skin diagnostics, as in obstetrics, gynecology and cardiology.
Distinctive features of the DUB system
- TPM was the first to develop and master the serial production of ultrasound for skin, and also set the standards for ultrasound examination of the skin all over the world.
- Only DUB units are equipped with probes with a maximum frequency of up to 100 MHz and a resolution of up to 8-10 µm.
- Scan modes A, B, C.
- 3D scanning.
- Cinema loop without limiting the duration of the shooting.
- Signal digitization, therefore, the image is more detailed and clear.
- Digital data processing.
- View multiple images taken at different times.
- Innovative image processing algorithms.
- Save raw data.
- Advanced software package.
- The use of an open system with water allows 10-20% more information to be obtained than using a system with a film.
- At the moment the device has no analogues in the whole world.
Device capabilities:
- 1) Study of the condition, structure and size of all layers of the skin and skin formations.
- 2) In-depth diagnostics of morphological and functional changes in acute and chronic skin diseases, including cicatricial changes and lipodystrophies.
- 3) Assessment of the dynamics of the skin condition in health and disease.
- 4) Facilitate the diagnosis of small skin rashes.
- 5) Timely early diagnosis, since ultrasound scanning can not only reveal the characteristic signs of skin manifestations at the earliest stages, but also carry out preclinical diagnostics, prophylaxis or timely treatment.
- 6) Diagnosis of skin conditions in case of any manifestations that are difficult to detect with the naked eye.
- 7) Visualization, determination of the size, volume and depth of invasion, as well as assessment of skin neoplasms and metastases in the skin, choice of treatment methods, setting parameters and monitoring effectiveness.
- 8) Preoperative measurement of the depth and volume of tumors during surgical interventions, including electrosurgery, cryosurgery, laser or radiation therapy.
- 9) Investigation of age-related changes in the skin.
- 10) Determination of the depth, intensity and duration of the therapeutic effect, the choice of method.
- 11) Evaluation of the effectiveness and control of therapeutic, physiotherapeutic and surgical methods of treatment, including cosmetic procedures (for example, such as mesotherapy, peelings, plastic surgery, tattoo removal, hardware procedures, etc.).
- 12) Preliminary diagnostics and evaluation of the results of the introduction of fillers, hyaluronic acid preparations, collagen, synthetic or semi-synthetic gels, etc.
- 13) Early diagnosis of osteoporosis.
- 14) Study of skin elasticity.
- 15) Examination of mucous membranes.
The advantages of using this method:
- 1) A non-invasive technique for visualizing the internal structures of the skin in vivo, which allows you to obtain important information that is not available with other research methods.
- 2) The method is indispensable for assessing the dynamics of the skin condition in dermatology, cosmetology and dermato-oncology. Allows you to monitor the state of skin manifestations and use the data in the primary diagnosis, prevention and treatment of most skin diseases.
- 3) Possibility of storing data in the computer memory and on any electronic media, printing photos for case histories, sending via the Internet for consultations with colleagues.
- 4) An objective assessment of the dynamics of the patient’s skin condition is an important legal aspect in resolving conflict situations.
- 5) Visualization of the state of the internal structures of the skin and its relief is a strong psychological factor when explaining to patients the need for therapeutic measures.
- 6) With the help of DUB, it is easy to prove the effectiveness of treatment in a form accessible to the client. It is a powerful marketing tool for attracting new customers.
- 7) The presence of this method increases the rating of the institution and indicates a high level of equipment and the use of advanced technologies.
- 8) In addition to the histological picture, it increases the accuracy of the pathomorphological diagnosis.
- 9) Conducting scientific and educational programs.
- 10) Conducting consultations and consulting and diagnostic activities.
A new aspect of using this method for manufacturers is the assessment of the effects on the skin of various products, including cosmetics, medicines, devices.
VIVASCOPE® 1500 MULTILASER
The most accurate diagnostic device in dermatology, dermato-oncology and cosmetology.
Confocal laser scanning microscope for histological examination of skin in vivo using fluorescence using lasers of 3 wavelengths (785 nm, 658 nm, 445 nm)
- Combination of reflected laser and fluorescence technology
- Optical non-invasive biopsy
- Real Time
The VivaScope 1500 Multilaser system combines reflected laser detection technology with fluorescence confocal laser scanning microscopy.Similar to the standard VivaScope 1500, skin areas can be viewed in vivo in the infrared range. The wavelengths used are 785nm (near infrared), 658nm (red), or 445nm (blue). All three lasers are integrated in one device.
Before using VivaScope, a fluorescent dye (non-toxic to the body) is applied to the tissue site to be examined. The appropriate laser light excites the fluorophore and the resulting fluorescence produces a contrast image that helps to display the histological structure due to the distribution of the dye.
With the VivaScope 1500 Multilaser it is possible to display various functional aspects of tissue changes in vivo. Living tissue can be visually examined sequentially using all available laser wavelengths.
Molluscum contagiosum, like most neoplasms of a non-malignant nature, is easily treatable if the clinical picture is not complicated by more serious diseases, in particular, HIV infection.The main condition for the treatment of molluscum contagiosum is, of course, sterility and sufficient professionalism of the doctor performing the papule removal procedure. Modern medicine carries out the removal of molluscum contagiosum for aesthetic reasons, using various methods.
Treatment methods:
- Antiviral therapy
- Cryodestruction
- Electrocoagulation
- CO2 laser coagulation
PresidentMed performs high-quality removal of neoplasms, including those caused by the DNA virus of molluscum contagiosum pathogenic for humans.As a priority direction in the treatment of this neoplasm, the clinic uses highly effective professional equipment, in particular:
Today, laser treatment of molluscum contagiosum is the most effective of all existing methods. This is largely due to the peculiarity of the laser beam to qualitatively influence the affected tissues of the epidermis, carrying out their destruction without thermal and mechanical damage to healthy skin areas.
FEATURES OF REMOVING THE MOLLUSCUS PAPULES
As a rule, human infection with molluscum contagiosum occurs against the background of a general weakening of the body’s immune system, therefore, even laser therapy treatment of this disease must be carried out in combination with the intake of immunostimulating drugs.In the event that stimulation of the immune system is not carried out, the treatment of molluscum contagiosum will not give guaranteed results, and the neoplasm will continue to recur.
Until complete cure, even during laser removal, the rash of molluscum contagiosum on the skin will be repeated, therefore the laser treatment of the disease itself should be a course of procedures aimed at qualitative elimination of nodular skin rashes.
CONTAGIOUS MOLLUSCUS, PECULIARITIES OF LASER TREATMENT
Laser removal of neoplasms carries a number of unique features and advantages over similar procedures.In particular, the use of a laser beam when removing papillomas or warts allows the patient to quickly and efficiently relieve the patient from the physical and aesthetic discomfort caused by the skin manifestations of HPV. A similar situation is also with the actual elimination of the manifestations of molluscum contagiosum virus. ”
ADVANTAGES OF LASER TREATMENT:
- High efficiency
- Painless
- Scar-free
- Outpatient
- Lasting result
Equipment for the treatment of molluscum contagiosum
Pixel CO2
Laser help
Laser contagious treatment
- laser shellfish removal is a completely non-contact method, i.e.because the papule with the virus is evaporated by a beam of light.
- The wound after the operation is completely treated with a laser beam, which excludes the possibility of re-inflammation
- No scar and dimples remain on the skin.
- The procedure is carried out in 1 visit to the clinic.
- No recovery period.
- when removing mollusc with a laser, there are no side effects and the maximum cosmetological effect is achieved.
Harmony XL Pro
Laser removal with Er: YAG 2940 nm erbium laser is an effective, painless and safe procedure.
Laser removal with Er: YAG 2940 nm erbium laser is an effective, painless and safe procedure. After removal, no scars or depigmentation remain on the skin.
Its beam penetrates the skin relatively shallowly (by 1 micron) and evaporates the cells of the epidermis and dermis so quickly that the surrounding tissues do not have time to receive heat. Coagulation of cells does not occur and after the procedure of removal with an erbium laser, the recovery period is practically not required.
Unlike a CO2 laser, an erbium laser is advisable to use for shallow neoplasms.
Surgitron
The emitted radio waves have an extremely large energy reserve (due to the high frequency), which is transmitted to the “cut” tissue, which is not cut at all – in fact, this surgical method is completely non-contact.
Surgitron is a method of radiosurgical treatment , which is a non-traumatic dissection of soft tissues using narrowly directed high-frequency radio waves (3.8 – 4 MHz), that is, without mechanical effort.
The device “Surgitron” is equipped with a generator of high-frequency radiation of radio waves. This radiation is accumulated, and then it is directed to the desired area with high accuracy. Radiation occurs through a special electrode, which outwardly resembles a thin wire (“active” electrode). The appropriate electrodes are selected depending on the required depth of exposure and the localization of the pathological area, that is, they can be easily changed.
The radiated radio waves have an extremely large energy reserve (due to the high frequency), which is transmitted to the tissue being “cut”, which is not cut at all – in fact, this surgical method is completely non-contact.It’s just that when exposed to a powerful energy impulse, the cells are so hot that they practically “boil, their destruction occurs, which is called a” cut “. But the “active” electrode itself is not heated in this case – there is no thermal hazard for the surrounding tissues.
CryoPro
CryoPro is a portable liquid nitrogen cryosurgical device for dermatology and cosmetology.
The cryo-device allows you to spray liquid nitrogen under pressure onto the treated area using special spray tips.The standard kit includes 9 nozzles. It can also be used with probe tips for contact cryodestruction or with a slotted tip for cold gas flow.
The cryo-apparatus is made of stainless steel and has vacuum insulation, which allows keeping the outer casing of the apparatus warm when working with liquid nitrogen (-196 ° C).
Cost of treatment
| Consultation with a dermatovenerologist primary-repeated | 2500 | |
| Consultation of a dermatovenerologist after 20 primary – repeated00. | 3500 | |
| Consultation of a dermatovenerologist Doctor of Medical Sciences / Professor | 6000 | |
| Primary consultation | 6000 | |
| Repeated consultation | 3000 9032 | |
| 3D skin scanning | 3500 |
See the full price list
* The cost is indicated in the complex procedure
*** The final cost of the procedure will be determined only after consultation with the specialists of our clinic.
PresidentMed guarantees its patients the best value for money!
Doctors of the Clinic
Nezgovorova Oksana Ivanovna
Doctor – cosmetologist, doctor – dermatovenerologist.
Experience in the field of medical cosmetology and dermatology since 2006.
Skorodumova Olga Evgenievna
Doctor – cosmetologist, doctor – dermatovenerologist.
Experience in the field of medical cosmetology and dermatology since 2000.
Kirilyuk Tatyana Igorevna
Graduated from the Medical Academy named after S.I. Georgievsky FGAOU VO “KFU named after IN AND. Vernadsky “(General Medicine). Red diploma.
Grishanova Natalya Aleksandrovna
Doctor – cosmetologist, doctor – dermatovenerologist. Experience in the field of medical cosmetology and dermatology since 2003
Oleinikova (Alekseeva) Svetlana Mikhailovna
Doctor – cosmetologist, doctor – dermatovenerologist. Experience in the field of medical cosmetology and dermatology since 2004
Patient reviews
Natalia Ivanova, 28.04.17
The clinic has modern equipment and medical supplies. I am very pleased with the work of the doctors. Thanks! Best regards, Natalia
🧬 What can you “bring” from the gym?
During training, a person comes into contact with the surfaces of simulators or floor coverings, and in contact sports, with other people. The risk of infection is higher than in public transport, at work or school. We will tell you what dangers lie in wait in gyms and how to avoid them.
Microsporia and trichophytosis
Simply put – ringworm, as the hairs in the lesions break off. Diseases are caused by fungi of the genus Microsporum and Trichophyton. They are transmitted by contact or through objects contaminated with spores – cells that serve for the reproduction of microorganisms.
Entrance gate for fungi – various microdamages to the skin. After spores get on the skin or scalp, they germinate and form a mycelium – mycelium.Symptoms appear 4–6 weeks after infection.
“On the skin, microsporia can appear as single or multiple rounded pink or red plaques with scaling. There are also areas of baldness on the scalp, which are accompanied by itching and flaking, ”says Nina Sergeeva, dermatovenerologist of the Fantasy clinic.
With trichophytosis, small gray-pink spots with white scales on the surface appear on the skin.The hair in the lesion is broken off and resembles dark spots covered with a white film. Around the circumference of the rash there are bubbles, purulent nodules and crusts, there is no itching and pain.
To confirm the diagnosis, a scraping is taken from the skin: the mycelium of the fungus is found. An inspection is also carried out using a Wood’s fluorescent lamp – the changed areas glow green. Microsporia and trichophytosis are treated with local antifungal agents in the form of ointments, creams and emulsions, as well as systemic drugs in the form of tablets.
Scabies
This parasitic skin disease is caused by the scabies mite Sarcoptes scabiei. According to a study by the Guizhou Medical University in China, scabies affects 7.5% of the world’s population, most often children and the elderly. The source of infection is a sick person, infection occurs through contact or through infected objects. The scabies mite invades the skin, making holes in the epidermis – the upper layer.
The time from infection to the onset of symptoms is three days to two weeks, but the entry points for Sarcoptes scabiei are noticeable in the first days after infection.They look like red dots.
“Most often, rashes with scabies are localized on the skin of the abdomen, near the navel, on the buttocks and chest, inner thighs, in the interdigital folds, on the lateral surfaces of the fingers. The typical symptom of this condition is itching, which is worse in the evening and at night. All drugs for the treatment of scabies are very aggressive for the skin: before prescribing them, you need to consult a doctor, ”says Nadezhda Nabatnikova, dermatovenerologist, podologist at GMS Clinic.
To examine scabies, mascara or aniline dyes are applied to the skin – brilliant green, methylene blue. To identify mites, a skin scraping is taken. Scabies is treated with topical agents in the form of an ointment, aerosol or emulsion: they are applied to the entire surface of the body after washing. After the end of therapy, furniture, clothing and personal belongings are treated with an antiseptic solution or irradiated with ultraviolet light.
Lice
Another name for this disease is head lice, its prevalence is from 5 to 30% in different populations.The disease is caused by head lice, body lice or pubic lice, which are transmitted from person to person through close contact or through personal belongings. The louse feeds on blood: the number of parasite bites reaches 5–7 per day. Insect saliva enters the wound, containing a protein that disrupts blood clotting and causes a reaction from the immune system.
The main symptoms of head lice are itching that gets worse at night, fever, swollen lymph nodes.Red nodules appear on the skin, covered with a brown crust. They usually occur in the groin, armpits, back of the head, and behind the ears.
Examination of the scalp reveals elongated white dots on the hair – insect eggs. In the rays of Wood’s lamp, they glow greenish.
“The safest and most effective drugs for the treatment of head lice are drugs based on dimethicone. This substance enters the insect’s respiratory system and clogs it.Dimethicone is harmless to humans; it is often used in cosmetic creams. It is also necessary to mechanically remove the eggs of insects, combing the hair with a comb, ”emphasizes Sergeeva.
Molluscum contagiosum
This disease is caused by orthopoxvirus. The source of infection is a sick person or an asymptomatic carrier of the virus; infection occurs through skin contact. The risk increases with a decrease in the activity of the immune system, chronic skin diseases and treatment with hormonal drugs.
Rashes can appear all over the body. In children, the face, upper half of the chest, hands are more often affected, in adults – the abdomen, external genitals, inner thighs.
Elements of molluscum contagiosum are dense hemispherical pink nodules with a waxy sheen and an umbilical depression in the center. They increase in size up to 0.7 cm, and when squeezed from the sides, a white mushy mass is released – dead skin cells with virus inclusions.The rash is painless and only a cosmetic problem.
A visual examination is sufficient to confirm the diagnosis. In difficult cases, the contents of the nodule are examined under a microscope: viral bodies are found in the cells of the epidermis.
“Molluscum contagiosum resembles white or pink pearls with an impression in the center: there can be from 1 to 50 elements on the body. The most effective method of treatment is to remove the element with tweezers by a dermatologist under local anesthesia: it is important to remove the entire capsule and contents.Also used 5% potassium hydroxide in the form of a cream or drops. The drug dissolves the capsule of the element, but if applied incorrectly, you can get burns: the agent is used only as directed by a doctor, ”Nabatnikova notes.
After removing the rash, the skin is treated with antiseptic solutions to avoid infection.
How to prevent
If all of the above does not cause a desire to feel it on yourself, you should follow the measures to prevent infection with skin diseases:
- Collect hair during sports activities.
- Check how often the gym is cleaned and surfaced: this should be done after each person.
- Use compression hosiery for contact sports – a rashguard and pants that not only wick away sweat, but also protect the skin, leaving the feet, hands and head open.
- Take a shower immediately after training.
- Wear rubber shoes when visiting showers, saunas and other public places.
- Wash towels and sportswear regularly: fungal spores and other microorganisms remain on the fabric.
- Do not use other people’s personal hygiene products, clothes, shoes, combs, headphones, hats.
- Limit contact with people diagnosed with a contagious skin disease.
- Examine skin, hair and nail plates daily and consult a doctor if changes occur.
- Treat chronic skin diseases – atopic dermatitis, eczema, etc.
- Moisturize the skin with creams and lotions to prevent dryness, damage and microcracks.
Molluscum contagiosum is a viral disease characterized by the appearance on the skin of white hemispherical nodules with a central depression, visually resembling a mollusk shell.
Molluscum contagiosum virus belongs to smallpox group viruses.The disease occurs in humans everywhere. The infection is transmitted through direct contact with a sick person or indirectly – through household items. The dependence of infection on the presence of microtrauma has not been established. Children under one year old rarely get sick, possibly due to the immunity acquired from the mother and the long incubation period. The disease is most widespread in poorly developed countries with hot climates, which is facilitated by the high density of residence, non-observance of basic standards of personal hygiene.These factors also explain the spread of the disease in families. Sexual transmission is possible. According to numerous observations, molluscum contagiosum is more common in patients with atopic dermatitis and eczema. This is due to both a decrease in skin reactivity and prolonged use of topical steroids. Unusually common rashes have been reported in patients with sarcoidosis, in patients receiving immunosuppressive therapy, and in HIV-infected individuals.Thus, cell-mediated immunity is of great importance in the onset and development of the infectious process.
The links of pathogenesis have not been sufficiently studied, but the decisive role is played by the violation of the epidermal growth factor. The virus invades the keratinocytes of the basal layer of the epidermis and significantly increases the rate of cell division. Then, active accumulation of viral DNA takes place in the spiny layer.As a result, a nodule is formed, in the center of which destruction and destruction of epidermal cells occurs, while the cells of the basal layer are not affected. Thus, the central part of the nodule is represented by detritus containing hyaline bodies (mollusk bodies) with a diameter of about 25 microns, which, in turn, contain masses of viral material. Inflammatory changes in the dermis are insignificant or absent, however, in the case of long-standing elements, they can be represented by chronic granulomatous infiltration.There is an opinion that such changes can be caused by the release of the contents of the papules into the dermis. The role of humoral immunity in the development of the infectious process has not been reliably established and, probably, cell-mediated immunity is more important.
The incubation period is 14 days to 6 months. The rash is represented by shiny pearlescent white hemispherical papules with an umbilical depression in the center.Slowly increasing in size, the papule can reach a diameter of 5-10 mm in 6-12 weeks. With a solitary lesion, the diameter of the papule reaches a significant size. Plaques consisting of multiple fused nodules are rare. After injury or spontaneously after a few months, papules can fester and ulcerate. Usually, after having existed for 6-9 months, the rash resolves spontaneously, but some persist for up to 3-4 years. Rashes are localized more often on the neck, trunk, especially in the armpits, with the exception of a sexually transmitted infection, when the anogenital region is usually affected.In addition, there are isolated rashes on the face, especially on the eyelids. Elements of molluscum contagiosum can also be localized on the scalp, on the lips, tongue, buccal mucosa, on any part of the skin, including atypical localization – the skin of the soles. HIV-infected persons have multiple rashes, localized mainly on the face and are resistant to traditional therapy. Diagnosis is based on a characteristic clinical picture. Microscopic examination of the contents of the nodule clarifies the diagnosis.In addition, electron microscopy and histological examination can be used. Molluscum contagiosum must be differentiated from warts, pyogenic granulomas, keratoacanthomas, epitheliomas, and in HIV-infected individuals from cutaneous cryptococcosis.
Patients should avoid visiting swimming pools, public baths, carefully observe the rules of personal hygiene. Cryotherapy is most often used at intervals of 2-3 weeks until the lesions disappear.Apply diathermocoagulation, squeezing out with tweezers, surface scraping, followed by lubricating the elements with a solution of nitrogenous silver, phenol or 5-10% iodine solution. |
90,000 Laser removal of contagious molluscum – Medical center “On Sennaya” in St. Petersburg, affordable price
Laser removal of molluscum contagiosum: method description
The appearance of this disease is typical for children. But an adult can also suffer from the development of contagious papules, and it does not matter whether it is a man or a woman.After all, the cause of infection with the virus is a weakened immune system.
The rash often covers the face, torso, armpits, groin and genitals (penis and pubis). Localization depends on the place in which there was contact with the affected skin or infected things. Therefore, if the route of transmission is sexual, then the places of the rash are appropriate.
The development of the virus consists of the following stages:
- incubation period – it can last from 2 weeks to six months;
- the appearance of nodules in 5-7 mm in diameter – they are painless and can cause itching;
- complications – if the disease is not treated, the rash can become inflamed.
Please note: correct diagnosis is important when prescribing therapy. Often, molluscum contagiosum is confused with other neoplasms. Therefore, it is dangerous to remove it without preliminary diagnostics. After all, even a small tumor can hide a cancer ambassador.
To cure a contagious defect, it is worth using the laser method. This is the most effective and safest procedure. After all, contact with the skin is excluded, and the elimination of the rash is carried out by the method of evaporation. This eliminates the spread of the virus from the fluid to the surrounding tissue.Therefore, not only the symptom in the form of rashes disappears, but also the virus itself.
Laser removal is highly accurate. The beam is adjusted so that the area of influence is strictly controlled by the doctor. Therefore, damage to the surrounding tissue is excluded. Small crusts remain at the site of the rash, which disappear on their own within a week. In this case, scars or scars under them are not formed.
Many are trying to save money. After all, almost every forum on the network is replete with stories about mechanical removal at home.It is enough to buy tweezers and alcohol. But this method is extremely dangerous. After all, the liquid from the papules enters the healthy areas of the skin, provoking the spread of the virus and relapses.
The only effective method to combat molluscum contagiosum is laser exposure.
Readings
Laser exposure is recommended in such cases:
- papules cause aesthetic discomfort;
- the rash bothers, and ointments for itching do not help;
90,025 sites are inflamed;
90,025 delicate areas are affected – the eyelid, genitals.
Also, excision is performed at the request of the patient.
Contraindications
It is worth postponing laser removal of molluscum contagiosum in such cases:
- pregnancy and lactation;
- the presence of diabetes mellitus and exacerbated chronic diseases;
- malignant neoplasms with any localization;
- herpes at the stage of rashes;
90,025 heat.
Also, the laser method is not suitable for patients with increased photosensitivity.
Features of carrying out
The session itself lasts no more than 5-20 minutes, depending on the amount of processing. The procedure consists of the following stages:
- preliminary consultation with a dermatologist and confirmation of the diagnosis;
- pre-cleaning the skin, applying a special gel or ointment and protecting the eyes;
- elimination of rashes with a laser;
- recovery period – it lasts from 1 to 7 days, because the crusts cannot become inflamed.
You can evaluate the effectiveness of the method by looking at the photos “before” and “after” the laser treatment. Almost every review on the Internet is supplemented with such pictures.
How to prepare
Before going to the session, it is worth refusing to visit the solarium and sunbathing on the beach. This should be done 2 weeks before the procedure.
Recovery period
After evaporation, small crusts remain at the site of the lesions. They heal quickly and disappear on their own within a week.Painful sensations, inflammation or other complications are excluded.
You should also follow these rules:
- Refuse visits to the bath, pool or solarium;
- exclude a visit to the beach – if you are going to fly on vacation, you should postpone either the manipulation or the trip;
- Avoid damaging the skin in the treated area.
You can get rid of molluscum contagiosum with laser removal. It is worth doing the procedure in the city of St. Petersburg in our clinic.Take care of your health with us.
90,000 therapy, causes of appearance, photos, reviews
Quite often, treatment of molluscum contagiosum in children is required. As doctors say, the disease worries a fairly large percentage of children, and the healing process is often delayed for a long time. An important point is the unpleasant sensations with which the course of the disease and all known approaches to its elimination are associated. Usually therapy is long-term, requires considerable effort, and the result is far from always satisfactory.Certain difficulties are associated with the problems of making an accurate diagnosis – often, instead of molluscum contagiosum, doctors prescribe treatment for HPV or other diseases with similar occurrences.
Where did the trouble come from?
Molluscum contagiosum can occur in both a child and an adult. According to statistics, children are more susceptible to it, although among all age groups the virus is quite common. Treatment of molluscum contagiosum in children is often necessary against the background of contact with a carrier of a dangerous virus – molluscum is extremely contagious.If the immune system is weakened, the chance of infection is extremely high.
More often treatment of molluscum contagiosum is necessary for children suffering from atopic dermatitis. A distinctive feature of such babies is too dry skin, which by nature does not have sufficient protection. Molluscum contagiosum is more common in hot climates. The risk of getting sick is higher in a child from a dysfunctional family, a person living in poor conditions, forced to coexist with numerous roommates.
Features of the disease
When choosing the treatment of molluscum contagiosum for children, adults, it should be borne in mind that the pathogen prefers a humid environment. Reproduction processes are actively taking place in the water. The mollusk is capable of infecting humans. The localization area is the skin. From the moment of contact with a carrier of the disease until the first symptoms appear, it usually takes from a couple of weeks to a couple of months. Most often, infection occurs through contact. Often in children’s institutions, the disease proceeds as an epidemic.During the treatment of molluscum contagiosum in children, according to reviews, it is not necessary to isolate the patient. Doctors recommend to be especially careful about hygiene measures, to maintain the immune status. If the child is healthy and the immune system is strong, even in contact with a carrier of the disease, there is a chance of not getting sick.
As is known from medical statistics, most often infection occurs when children play together in a sandbox. However, this option is far from the only one. You can get a mollusk by going to a public pool or other body of water, using household items, toys of the patient, and accessories for hygiene measures.Shellfish is transmitted through bedding. There are many known cases when the parents were carriers of the virus, but the manifestation of the disease was noticed only in the child, since the baby’s immune system was weaker than in adults.
Seniors and Minors
As a rule, it is necessary to treat molluscum contagiosum in children due to contact with the things of an infected person. Children get sick when they visit public institutions. But for adults, the most common route of transmission is intimate contact.This affects localization: as a rule, the mollusk is found near the reproductive organs. Perhaps the defeat of the hips, abdomen in the lower part.
It happens that the treatment of molluscum contagiosum in children is required due to the manifestation of the disease near the organs of the reproductive system, but much more often the area of localization is unpredictable. There are many known cases of the manifestation of the disease on the face or body, neck and limbs. Possible damage to the eyes, buttocks. Most often, the mollusk develops on open areas of the skin.It is not difficult to notice a rash in most cases, which means that you can recognize in time that it is time to visit a doctor.
Symptoms
Molluscum contagiosum in children manifests itself as hemispherical formations. These can be single, it is possible that several appear at once. Visually, they are similar to warts, acne. A distinctive feature is that the top is as if flattened. The formations are dense to the touch. The clam is round in shape. The skin tone does not change – the formations are painted in the same color as the surrounding tissues.In rare cases, the area of localization of the virus seems to be covered with wax, acquires a pinkish tint. Perhaps a visual resemblance to mother-of-pearl.
If molluscum contagiosum is removed from a child or adult, a whitish filling of the area can be seen. Outwardly, it is similar to cottage cheese. This substance is extremely contagious. If you inadvertently open the education at home, you can easily spread the virus. The risk of such a development of events is relatively low, since molluscum contagiosum does not provoke burning, itching, scabies, discomfort, soreness, but in some cases, mild itching is possible.If you comb the area, the discomfort will become stronger. There is a risk of infectious processes, skin inflammation.
If you study the portfolio of specialized clinics for photos of molluscum contagiosum in children, you will notice that the formations caused by the virus can be covered with a yellowish crust. If the disease develops according to this scenario, the use of antibacterial drugs will be required to eliminate the secondary focus of infection.
Progress of the disease
If you do not start to treat molluscum contagiosum in a child on the face or body in time, the disease develops over time, the scale of the lesion increases.If at first the mollusks are usually single or their number is relatively small, they soon spread throughout the body, and the number of formations increases significantly. Nodules in their parameters can be very different. Some are as small as grains, while others can be as large as peas.
The development of the disease can lead to the fusion of individual elements. In this case, large lesions are formed.
In the presence of similar symptoms, the patient should visit a dermatologist.A qualified doctor will make a primary diagnosis after a preliminary examination. To confirm it, if in doubt, take samples of organic tissue.
Is it time to see the doctor?
As can be seen from numerous reviews, the treatment of molluscum contagiosum in children is more often necessary in those families where parents are not too responsible and diligent in instilling a culture of hygiene in babies. Compliance with personal safety rules, health care, increased immune status – all this helps to prevent shellfish infection.
As soon as on the child’s body, parents noticed an abnormal formation, rashes, doubtful areas that look sick, the first measure is not at all a search on the World Wide Web for a photo of a contagious molluscum in children, the causes of this disease and methods of its treatment. The first thing to do in such a situation is to seek help from a doctor. If there is a pimple on the body that does not disappear for a long time, it is important to show the child to a specialist.
Ignoring the primary manifestation leads to the development of the disease, aggravation of the condition.The more the case is delayed, the longer and more difficult the treatment will be. With fewer rashes, it is relatively easy to eliminate the mollusk, but with progress, treatment becomes painful and costly.
What to do?
The main method of treating molluscum contagiosum in children is the removal of masses. After confirming the diagnosis, it is this procedure that will be recommended to be completed as soon as possible. To increase the effectiveness of the course, drugs are prescribed for topical use, drugs to maintain the functioning of the immune system.Medicines have proven themselves well in the treatment of molluscum contagiosum:
- “Acyclovir”;
- Oxolin;
- Panavir;
- “Viferon”;
- “Cimetidine”.
Iodine and chlorhexidine, tinctures made on celandine, and immunomodulators are often used. In some cases, the doctor recommends paying attention to Retin-A and Aldar ointments. Of the means for increasing the activity of the immune system, “Isoprinosin” and “Cycloferon” are considered especially reliable.
Only drug treatment of molluscum contagiosum in children (photos of drugs used in this course can be seen in the material) will not show a pronounced result. Official medicine draws attention: the only way of treatment is removal, accompanied by the use of drugs.
How to remove
Doctors may recommend curettage when explaining how to treat molluscum contagiosum in children. Of all the methods and ways of removing diseased tissues from the body, this one is the simplest and most accessible.The work uses a curette, with which you can scrape out the contents of the formation. Then the area is treated with special means to prevent the spread of infection to healthy areas of the body. Most often, ordinary iodine is used.
There are also more effective and modern techniques. Possible treatment options for molluscum contagiosum in children (the photo in the material gives some idea of the devices used) are nitrogen, radio wave surgery, laser intervention and electrocoagulation.The younger the child, the more likely the doctor will recommend scraping as the most traditional approach.
Nuances of treatment
Molluscum contagiosum in a child on the eyelid, on the limbs, on the trunk – in short, in any part of the body – can appear in numerous formations. If there are several of them, you need to delete all of them. Children can more easily tolerate the procedure when there are few formations, so it is reasonable to consult a doctor when they managed to see the first manifestations of molluscum infection.With impressive lesions, removal is likely to require anesthesia.
Statistics show that most often the victims of molluscum contagiosum are children under one year of age. Surgical intervention in this period is associated with certain risks, dangers, it is not easy for children. There is a possibility of scar formation. The traces of the rash can persist for many years, sometimes for a lifetime.
It should be borne in mind that removal is not a guarantee of an absolute instant cure.It was indicated above that the cause of molluscum contagiosum in children is contact with a carrier, and there are a lot of them around. A relapse of the disease is possible at any time.
Homeopathy
Many parents whose offspring have molluscum contagiosum prefer to seek help first from homeopaths, and only as a last resort – to a surgeon. The homeopathic approach is based on the idea that any disease comes from the outside, which means that it can be expelled in the opposite direction. Homeopaths believe that shellfish removal is not only not a cure, but a counteraction to the natural healing process of a person.Such an approach, according to a number of experts, can damage internal organs, and the kidneys are the first to suffer.
Should you trust homeopaths for shellfish treatment? There are very different reviews about this course of therapy. Some report that homeopathy did not help at all, while others assure that the disease in the children passed quickly, the treatment was easy, and there were a minimum of unpleasant impressions. When choosing a doctor for cooperation, it is necessary to work only with professionals in their field. Do not expect a homeopath to cure an infection in just one or two treatments.Probably, the therapeutic course will last for a long time.
How to help yourself on your own
Treatment of molluscum contagiosum in children at home is a topic that has long been interesting to people of all ages. Is it possible to help a child without going to the clinic? For a long time, people have been trying to invent methods to get rid of the virus. Some remedies are considered relatively effective, they are used by many, despite the calls of doctors not to practice self-medication and to seek professional help until the condition worsens.
Some admit that the use of home remedies was useless and even harmful, while others say that certain recipes came up and helped, they managed to cure a viral disease. Studying medicine books, special newspapers and collections of recipes, you should not expect that all the options listed in them will help in a particular case. There is a possibility that even what turned out to be useful to friends will not show the desired effect – folk recipes are extremely individual.
Perhaps most often at home they try to cure shellfish with the help of garlic juice. Liquid is squeezed out of the fresh product and sore skin is treated with it. It is necessary to use such a phytopreparation daily until complete recovery.
What else to try
It is believed that you can expel the mollusk by resorting to celandine. Almost in any modern pharmacy you can buy an alcoholic tincture made on the extract of this plant. True, inaccurate use of the drug can easily provoke a burn.As the healers say, the risks of getting burned are less if you use the natural juice of the plant. Tear off celandine, smear the diseased parts of the body with secretions from the stem. It is advisable to repeat the treatment of integuments as often as possible.
Cauterization of molluscum contagiosum with iodine, brilliant green is another widespread method of treatment. The likelihood of getting burned is higher if you use iodine, but brilliant green solution is considered a safer product. The medication is used to treat areas of the skin with rashes once daily.
Potassium permanganate can be used in a similar way. You can buy ready-made liquid at the pharmacy or purchase a powder that is bred at home. In the second option, before directly applying to the skin, the product must be filtered – large particles can burn the delicate skin of the child.
Safe and inexpensive
If molluscum contagiosum is detected, you can get rid of it at home by applying a decoction of the train. This simple folk remedy is intended for lotions.Compresses are applied several times daily. When the formations are opened, the areas should be treated with iodine until complete healing.
Some healers advise treating rashes with bloody maternal discharge obtained during the menstrual cycle. Damaged skin is lubricated with a liquid. It is believed that this method allows you to get rid of the shellfish in just a few days.
Whichever method of treatment is chosen, it must be borne in mind that the development of a pathological microorganism proceeds faster in a humid environment, which means that for the period of an active therapeutic course, water procedures will have to be excluded.It is allowed, of course, to wash the patient, but this should be done quickly and as rarely as possible, locally treating those parts of the body that need it most. Healers recommend washing only the reproductive organs and the head. The shorter in duration and area the contact between the liquid and the skin is, the lower the risk of activating molluscum contagiosum.
Need to know
It is believed that molluscum contagiosum does not lead to serious consequences if the integrity of the skin is not damaged.But combing the diseased areas is a direct path to the appearance of an infectious focus, which will not be easy to get rid of.
No specific studies have been conducted to prove the effectiveness of surgery or immunostimulating drugs for molluscum contagiosum infection. It is known that you can get natural immunity, but the process of its formation is extremely slow and takes many years.
If the disease is not treated at all, over time it can disappear on its own.In this case, there will be no scars or other unsightly marks. Some doctors advise to choose exactly this line of behavior with contagious molluscum – just wait for the problem to exhaust itself on its own. This usually takes from one and a half to two years.
In many developed countries, molluscum contagiosum is not considered a disease, and therefore cannot be cured in any way. Removal is recommended if the child suffers from a weak immune system.
Interesting and useful information
Molluscum contagiosum occurs when infected with a specific virus from the filtering category.By its nature, it is close to the causative agent of smallpox. Most often, outbreaks of the disease are observed in children’s educational institutions for preschool children.
Basically, treatment of molluscum contagiosum begins to get rid of unaesthetic formations. More often they resort to the help of doctors and folk remedies when formations are formed on the face. The body itself can defeat the virus in about 6 months if the person is healthy.
Laser treatment
This procedure is used if the oncologist has previously examined the patient.There is a risk that molluscum contagiosum is complicated by a malignant neoplasm. In this case, laser intervention can lead to serious consequences, activation of tumor growth.
Laser removal is carried out in a clinic that has special equipment for this. Anesthesia is necessary if the patient’s pain sensitivity threshold is above average. The laser is able to penetrate the body to a depth of half a centimeter, and its action is clearly directed. The sick cells are heated, due to which the excess evaporates, and the microorganism that provoked the disease dies.
home therapy. Traditional and folk methods of treatment
Molluscum contagiosum is a viral infection, one of the subtypes of dermatosis. This is a disease of the surface of the skin, in terms of external signs and manifestations, it is comparable to smallpox. On the skin or mucous membrane, rashes are formed in the form of pearl-white bubbles with a depression in the center. The diameter of the nodule ranges from one to fifteen millimeters.
Most often children suffer from this disease, especially preschoolers.Molluscum contagiosum virus can be acquired through contact with someone with affected skin. Infection in adults occurs sexually (a rash appears on the genitals or on adjacent skin areas: the abdomen, pubis or thighs).
A child can have an infectious rash anywhere. Infection of children often occurs in childcare facilities, as the virus can contain household dust. Often, parents do not attach due importance to small single “dots” on the child’s face, but in vain.Neglecting the problem can lead to complications. The lesions will appear elsewhere, affecting an increasing surface of the skin. If you do not know what a molluscum contagiosum looks like, the photo will help you figure it out.
Causes
You can catch an infection in public places, for example, in a swimming pool or bathhouse, as well as when using the belongings of a sick person. It is completely impossible to get rid of the virus, since its molecules are located in the DNA structure. The disease can be avoided if the immune system is constantly strengthened.
The mechanism of skin lesions directly depends on how the molluscum contagiosum entered the body. The reasons for the appearance of the virus can be very different. Infection can be caused by weak immunity, when the body is weakened by long-term treatment for any disease. A rash can occur if a person has other infections, such as HIV.
Symptoms
The incubation period can last from two weeks to several months.A rash in the form of nodules does not lead to painful sensations. At first, several formations appear, but over time they can occupy a rather large area. The knots come in a variety of sizes.
When the formation is opened, granular white discharge appears, which consists of small mollusc-like bodies. In some cases, the rash is accompanied by itching, in addition, there is a risk that some other infection will join the virus. After the onset of the disease, for a long time it may not give itself out, but be at rest in the body.
An interesting fact is that the period of “sleep” on the skin with a tattoo can last up to seven months. On the face, molluscum contagiosum most often manifests itself in children, in adults it is usually localized on the genitals, in the lower abdomen or around the anus. Quite often, the symptoms of this infection are confused with other diseases such as smallpox or syphilis.
Rash of “white pearls” and three stages of the disease
The first type is a standard manifestation of the disease, in which a minor rash appears on a small area of the skin, and the nodules are close to each other.
At the second stage, neoplasms significantly increase in size and affect the skin, located at a distance from the “epicenter”.
The third option is an infection with a complication. Formations on the body cause pain, and the skin around the rash begins to redden and become inflamed. When pressed, pus may drain from the nodule. A dermatologist will help to establish the diagnosis. There are times when you need to additionally pass an analysis to determine the contents of the nodes.
Rash on the eyelid
Molluscum contagiosum on the eyelids appears in the same way as on other areas of the skin.Single or multiple formations with white gruel inside may appear along the edge. When the eyelid is infected, conjunctivitis also joins the virus. To the touch, the neoplasm does not cause pain, the nodule is dense, it can be of different sizes and has a skin color.
This disease entails the manifestation of other infectious diseases of the eye, such as blepharitis and keratitis. The photos presented in this article will help to understand and distinguish molluscum contagiosum from other pathologies.
Getting rid of neoplasms
If there is a diagnosis of molluscum contagiosum, the doctor may suggest waiting time, and the disease will eventually go away on its own. This is possible if the formations on the skin are not malignant. A patient with good immunity and a healthy body will be able to fight the virus on his own within six months. But there are times when it is impossible to postpone treatment and let it drift. Then the specialist will select the therapy that suits you.
Pregnancy
Pregnant women should be treated with caution.Many doctors do not consider shellfish to be life-threatening for the mother and baby, but there is still a risk of infecting the baby when caring for it. Therefore, at the first rash, you should consult a doctor. The treatment will be absolutely safe neither for the mother, nor for her unborn child.
Children and molluscum contagiosum
It is not easy to diagnose the disease in children, because babies often suffer from food allergic reactions. Therefore, parents get used to various rashes and do not pay attention to them, especially if there are no other warning signs.
But it should be remembered that the infection in children by itself, as in adults, will not disappear. If your child has the first signs of a rash, see your doctor for advice. When a virus is detected, communication with friends should be limited, things and toys should be disinfected.
Traditional treatment
If you have molluscum contagiosum, treatment with ointments can only be carried out after consulting a doctor. One of the options is to squeeze the white mass out of the nodule, and then clean it well in the middle with a special spoon and treat the affected area with alcohol or iodine.
Effective removal of molluscum contagiosum with liquid nitrogen. But sometimes this method is not effective enough to completely remove the nodules. Therefore, it is recommended to remove molluscum contagiosum by means of electric current. If the skin lesion is too large, a dermatologist may prescribe a course of antibiotics.
In addition to drug treatment, it is imperative to treat the patient’s belongings, disinfect, do general cleaning of the house in order to get rid of dust that may contain a virus.
Home treatment
If you have molluscum contagiosum, home treatment is possible. There are various recipes for traditional medicine. For example, take one clove of garlic and chop until gruel is formed. Put softened butter (one teaspoon) in it and stir. Then lubricate the nodules with the resulting mixture three times a day. If you do not have allergies and your skin is resistant to irritants, you can use pure garlic juice or rub it with chopped garlic about five times a day, for example.
What other measures should be taken to get rid of the disease if molluscum contagiosum is found? Home treatment can be done with herbs. To make a chatterbox, you need a sequence. Pour two tablespoons of the herb with a glass of boiling water. Then put the contents on fire and bring to a boil. Remove from heat, cover and leave for an hour. Lubricate the affected areas of the body with the finished tincture several times a day for a week.
Calendula oil or an alcoholic tincture of this flower is suitable as a medicine.
If you have molluscum contagiosum, home treatment is also possible with bird cherry. Finely chop the leaves of the plant and squeeze out the juice using cheesecloth. It should be mixed with softened butter in a 1: 1 ratio and applied to the nodules before bed. Be sure to bandage on top and go to bed.
You can purchase the necessary components for a more complex medicine. If molluscum contagiosum is diagnosed, home treatment is not complete without herbs.To prepare the tincture you will need:
- eucalyptus;
- calendula;
- birch and pine buds;
- yarrow;
- juniper.
In a bowl, mix three tablespoons of finely chopped herbs, mix everything thoroughly. Then take one tablespoon of the mixture, pour a glass of boiling water and leave for an hour. Strain the tincture and rinse the damaged areas of the body before use. In addition, the herbal preparation can be taken orally (one hundred grams twice a day).Treatment should be carried out for about two weeks.
But before carrying out therapy on your own, be sure to consult your doctor for the presence of this particular disease.

8 F)16
8 F)16

The spots are painless and usually not itchy.
It is applied to the wart by your physician and usually requires more than one treatment.