Pictures of molloscum. Molluscum Contagiosum: Causes, Symptoms, and Treatment Options
What is molluscum contagiosum. How is it transmitted. What are the symptoms of molluscum contagiosum. How is molluscum contagiosum diagnosed. What are the treatment options for molluscum contagiosum. Can molluscum contagiosum be prevented. How does molluscum contagiosum affect different populations.
Understanding Molluscum Contagiosum: A Common Viral Skin Infection
Molluscum contagiosum is a viral skin infection that affects both children and adults. It is caused by the molluscum contagiosum virus, which belongs to the poxvirus family. This condition is characterized by distinct skin lesions that can appear on various parts of the body.
The virus responsible for molluscum contagiosum is highly contagious and can spread through direct skin-to-skin contact or contact with contaminated objects. While it is generally harmless and self-limiting, the infection can persist for several months to years if left untreated.
Key Characteristics of Molluscum Contagiosum
- Caused by the molluscum contagiosum virus (MCV)
- Highly contagious through direct contact and fomites
- Produces distinctive skin lesions
- Can affect both children and adults
- Usually resolves on its own within 6 months to 2 years
Recognizing the Symptoms of Molluscum Contagiosum
The primary symptom of molluscum contagiosum is the appearance of characteristic skin lesions. These lesions have several distinctive features that help in their identification:

- Round, firm, and painless bumps
- Size ranging from a pinhead to a pencil eraser (typically under 1/4 inch or 6 millimeters in diameter)
- Skin-colored, sometimes taking on a pink hue
- Smooth, waxy, or pearly appearance
- Small dent or dimple at the center (umbilicated)
- May be itchy in some cases
In children, these bumps commonly appear on the face, trunk, arms, or legs. For adults who contract the infection through sexual contact, the lesions may be found on the genitals, lower abdomen, or inner thighs.
Distribution of Lesions
The distribution of molluscum contagiosum lesions can vary depending on the mode of transmission and the affected individual’s age and immune status:
- Children: Face, trunk, arms, legs
- Adults (sexually transmitted): Genitals, lower abdomen, inner thighs
- Immunocompromised individuals: More widespread distribution
Transmission and Spread of Molluscum Contagiosum
Molluscum contagiosum is highly contagious and can spread through various means. Understanding these transmission routes is crucial for preventing the spread of the infection.

Common Modes of Transmission
- Direct skin-to-skin contact with an infected person
- Sexual contact with an infected partner
- Autoinoculation (spreading the virus to other parts of one’s own body)
- Contact with contaminated objects such as towels, clothing, or sports equipment
- Swimming in contaminated pools or hot tubs
The virus can spread more easily when the skin is warm and moist, making swimming pools and communal bathing areas potential hotspots for transmission. Additionally, scratching or rubbing the bumps can cause the virus to spread to nearby skin areas.
Preventing the Spread of Molluscum Contagiosum
To minimize the risk of spreading molluscum contagiosum, consider the following preventive measures:
- Practice good hand hygiene by washing hands frequently
- Avoid touching or scratching the bumps
- Cover affected areas with clothing or waterproof bandages, especially when in public or shared spaces
- Refrain from sharing personal items such as towels, clothing, or grooming tools
- Avoid sexual contact if lesions are present in the genital area
- Clean and disinfect shared surfaces and equipment in gyms or sports facilities
Diagnosis and Medical Evaluation of Molluscum Contagiosum
Diagnosing molluscum contagiosum is typically straightforward due to the characteristic appearance of the lesions. Healthcare providers can often make a diagnosis based on visual inspection alone.

Diagnostic Process
- Physical examination: The healthcare provider will examine the skin lesions, noting their appearance, size, and distribution.
- Medical history: Information about the onset of symptoms, potential exposure, and any pre-existing conditions will be gathered.
- Dermoscopy: In some cases, a dermatoscope may be used to examine the lesions more closely.
- Skin biopsy: Rarely, a skin biopsy may be performed to confirm the diagnosis if there is uncertainty.
While molluscum contagiosum is generally easy to diagnose, it’s important to consult a healthcare provider if you suspect you or your child has the infection. This ensures proper diagnosis and helps rule out other skin conditions with similar appearances.
Treatment Approaches for Molluscum Contagiosum
Treatment for molluscum contagiosum is not always necessary, as the infection often resolves on its own within 6 months to 2 years. However, treatment may be recommended to prevent spread, alleviate discomfort, or address cosmetic concerns.

Treatment Options
- Watchful waiting: Allowing the infection to resolve naturally without intervention
- Mechanical removal: Curettage or cryosurgery to remove individual lesions
- Topical medications: Application of irritants like cantharidin or retinoids (e.g., tretinoin)
- Oral medications: In severe cases or for immunocompromised patients, systemic treatments may be considered
The choice of treatment depends on various factors, including the extent of the infection, the patient’s age and immune status, and personal preferences. It’s important to discuss the available options with a healthcare provider to determine the most appropriate approach.
Considerations for Treatment
When deciding on a treatment plan, healthcare providers take into account several factors:
- Age of the patient
- Location and number of lesions
- Presence of symptoms (e.g., itching, inflammation)
- Risk of spread to others
- Immune status of the patient
- Potential for scarring or side effects from treatment
Molluscum Contagiosum in Special Populations
While molluscum contagiosum can affect anyone, certain populations may experience the infection differently or require special considerations in management.

Children
Molluscum contagiosum is particularly common among children, often spreading through close contact during play or in shared environments like schools or daycare centers. In most cases, the infection resolves on its own without significant complications. However, parents should monitor for signs of secondary bacterial infection or extensive spread.
Adults
In adults, molluscum contagiosum is often sexually transmitted. The lesions typically appear in the genital area, lower abdomen, or inner thighs. Adults with the infection should abstain from sexual activity until the lesions have cleared to prevent transmission to partners.
Immunocompromised Individuals
People with weakened immune systems, such as those with HIV/AIDS or undergoing chemotherapy, may experience more severe and widespread infections. These individuals may require more aggressive treatment approaches and closer monitoring.
Potential Complications and Long-Term Outlook
While molluscum contagiosum is generally a benign condition, some complications can occur:

- Secondary bacterial infections if lesions are scratched or injured
- Inflammation of the surrounding skin
- Conjunctivitis if lesions appear on the eyelids
- Scarring, particularly if lesions are improperly treated or become infected
The long-term outlook for molluscum contagiosum is generally favorable. Most cases resolve without significant complications, although the duration can vary. Recurrence is possible, especially in individuals with compromised immune systems.
Factors Affecting Prognosis
Several factors can influence the course and outcome of molluscum contagiosum:
- Immune status of the individual
- Extent and location of the infection
- Presence of other skin conditions or infections
- Adherence to treatment and prevention measures
- Age and overall health of the patient
Regular follow-up with a healthcare provider can help monitor the progression of the infection and address any concerns or complications that may arise.
Research and Advancements in Molluscum Contagiosum Management
Ongoing research continues to enhance our understanding of molluscum contagiosum and improve treatment options. Recent advancements and areas of investigation include:

- Development of novel topical treatments with improved efficacy and reduced side effects
- Exploration of immunomodulatory therapies to enhance the body’s natural response to the virus
- Investigation of antiviral medications specifically targeting the molluscum contagiosum virus
- Studies on the role of the immune system in controlling and clearing the infection
- Research into potential vaccines to prevent molluscum contagiosum
These ongoing efforts aim to provide more effective and targeted treatments, reduce the duration of infection, and potentially prevent the occurrence of molluscum contagiosum in susceptible populations.
Future Directions in Management
As research progresses, several promising avenues for improving molluscum contagiosum management are emerging:
- Personalized treatment approaches based on individual patient characteristics and viral factors
- Development of rapid diagnostic tests for early detection and intervention
- Exploration of combination therapies to enhance treatment efficacy
- Investigation of the long-term effects of molluscum contagiosum infection on skin health and immunity
- Improved strategies for preventing transmission in high-risk settings
These advancements hold the potential to significantly improve the management of molluscum contagiosum, reducing its impact on affected individuals and communities.

Molluscum contagiosum – Symptoms & causes
Overview
Molluscum contagiosum (mo-LUS-kum kun-tay-jee-OH-sum) is a fairly common skin infection caused by a virus. It causes round, firm, painless bumps ranging in size from a pinhead to a pencil eraser. If the bumps are scratched or injured, the infection can spread to nearby skin. Molluscum contagiosum also spreads through person-to-person contact and contact with infected objects.
Though most common in children, molluscum contagiosum can affect adults as well — particularly those with weakened immune systems. Adults with a healthy immune system can develop molluscum contagiosum from sexual activity with an infected partner.
Left untreated, the bumps usually disappear in 6 months to 2 years.
Molluscum contagiosum
Molluscum contagiosum is a common skin infection that results in raised, round, skin-colored bumps with a dent or dot at the top. These bumps can take on a pink color.
Products & Services
Symptoms
Molluscum contagiosum signs and symptoms include:
- Raised, round, skin-colored bumps
- Small bumps — typically under about 1/4 inch (smaller than 6 millimeters) in diameter
- Bumps with a small dent or dot at the top near the center
- Itchy, pink bumps
- Bumps on the face, trunk, arms or legs of children
- Bumps on the genitals, lower abdomen or inner thighs of adults if the infection was sexually transmitted
When to see a doctor
If you suspect you or your child has molluscum contagiosum, contact your health care provider.
Causes
The virus that causes molluscum contagiosum spreads easily through:
- Skin-to-skin contact
- Contact with infected objects, such as towels, kickboards and wrestling mats
- Swimming in pools or hot tubs contaminated with the virus
- Sexual contact with an affected partner
- Scratching or rubbing the bumps, which spreads the virus to nearby skin
Complications
The bumps and the skin around them may become inflamed.
This is thought to be an immune system response to the infection. If scratched, these bumps can become infected and heal with scarring. If sores appear on the eyelids, pink eye (conjunctivitis) can develop.
Prevention
To help prevent the spread of the virus:
- Wash your hands. Keeping your hands clean can help prevent spreading the virus.
- Avoid touching the bumps. Shaving over the infected areas also can spread the virus.
- Don’t share or borrow personal items. These include clothing, towels, hairbrushes and other personal items.
- Avoid sexual contact. If you have molluscum contagiosum on or near your genitals, don’t have sex until the bumps are treated and gone.
- Cover the bumps. Cover the bumps with clothing when around others, to prevent direct contact. Leave the affected area open to the air when not around others, as this promotes healthy skin. When swimming, cover the bumps with a watertight bandage.

Molluscum Contagiosum – Dermatologic Disorders
By
James G. H. Dinulos
, MD, Geisel School of Medicine at Dartmouth
Reviewed/Revised Jun 2023
View Patient Education
Topic Resources
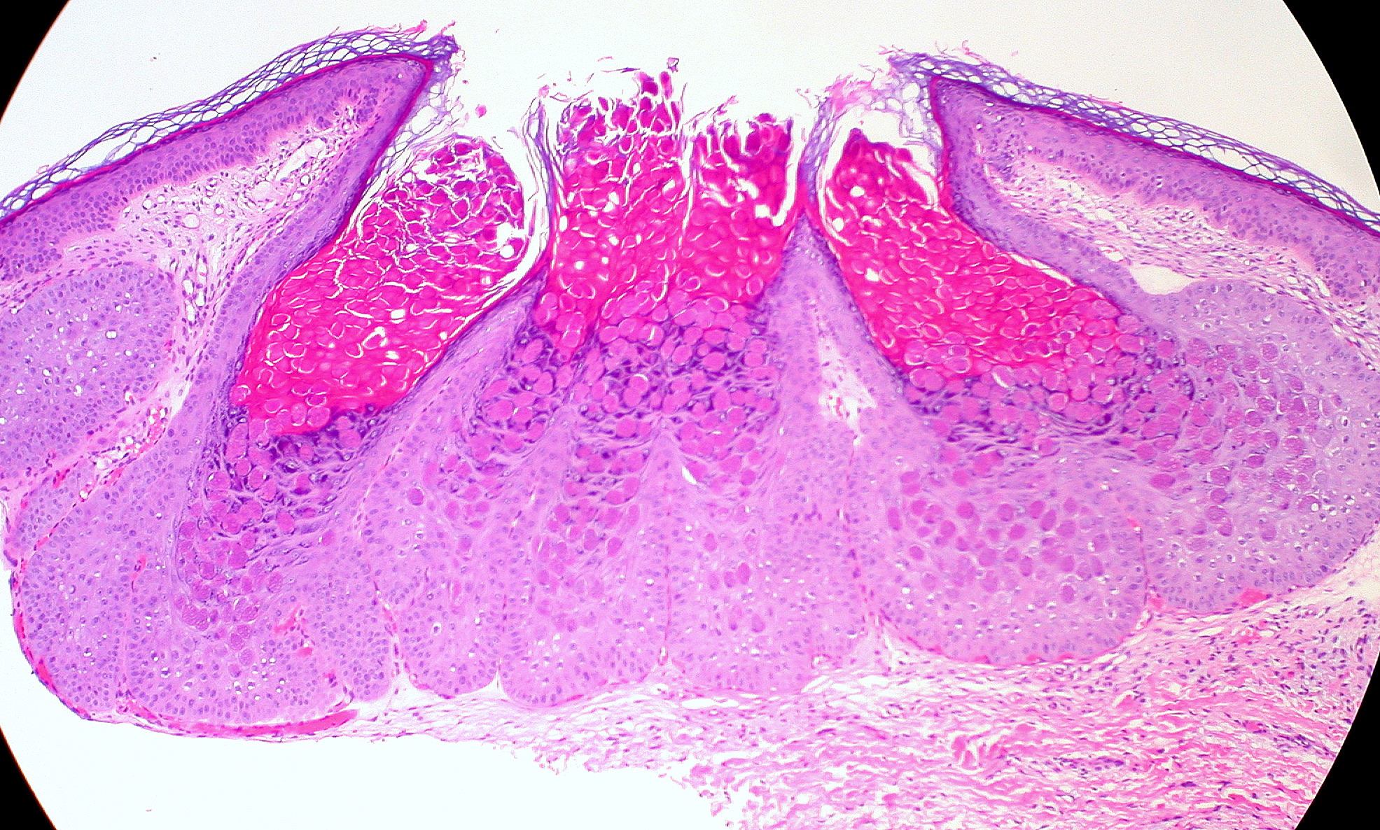
Molluscum contagiosum is characterized by clusters of pink, dome-shaped, smooth, waxy, or pearly and umbilicated papules 2 to 5 mm in diameter caused by molluscum contagiosum virus, a poxvirus. Diagnosis is based on clinical appearance. Treatment is aimed at preventing spread or removing cosmetically unacceptable lesions and can include mechanical methods (eg, curettage, cryosurgery) and topical irritants (eg, cantharidin, tretinoin).
Molluscum contagiosum virus commonly causes a localized chronic infection.
Transmission is by direct contact; spread occurs by autoinoculation and via fomites (eg, towels, bath sponges) and bath water. Adults acquire the infection via close skin-to-skin contact with an infected person (eg, sexual contact, wrestling).
Patients with immunocompromise (eg, due to HIV/AIDS, corticosteroid use, or chemotherapy) may develop a more widespread infection (1 General references Molluscum contagiosum is characterized by clusters of pink, dome-shaped, smooth, waxy, or pearly and umbilicated papules 2 to 5 mm in diameter caused by molluscum contagiosum virus, a poxvirus… read more , 2 General references Molluscum contagiosum is characterized by clusters of pink, dome-shaped, smooth, waxy, or pearly and umbilicated papules 2 to 5 mm in diameter caused by molluscum contagiosum virus, a poxvirus… read more ).
Molluscum contagiosum is common among children.
1. Meza-Romero R, Navarrete-Dechent C, Downey C: Molluscum contagiosum: An update and review of new perspectives in etiology, diagnosis, and treatment.
Clin Cosmet Investig Dermatol 12:373–381, 2019. doi: 10.2147/CCID.S1872242. Edwards S, Boffa MJ, Janier M, et al: 2020 European guideline on the management of genital molluscum contagiosum. J Eur Acad Dermatol Venereol 35(1):17–26, 2021. doi: 10.1111/jdv.16856
Molluscum contagiosum can appear anywhere on the skin except the palms and soles. Lesions consist of clusters of pink, dome-shaped, smooth, waxy, or pearly and umbilicated papules, usually 2 to 5 mm in diameter, which occur most commonly on the face, trunk, and extremities in children and on the pubis, penis, or vulva in adults. Lesions may grow to 10 to 15 mm in diameter, especially among patients with HIV infection and other immunodeficiencies.
Lesions are usually not pruritic or painful and may be discovered only coincidentally during a physical examination. However, the lesions can become inflamed and itchy as the body fights off the virus.
Molluscum Contagiosum on a Child’s Face
The photo shows lesions of molluscum contagiosum.
Lesions are typically 1 to 5 mm, solitary or grouped, firm, painless papules. They are pearly to pink in color, dome shaped, and may be umbilicated.
© Springer Science+Business Media
Molluscum Contagiosum (Torso)
Image courtesy of James G.H. Dinulos, MD.
Molluscum Contagiosum in a Child With HIV Infection
This photo shows very severe lesions on the face of a child with HIV infection. Giant molluscum indicates advanced immunodeficiency.
© Springer Science+Business Media
Clinical evaluation
Diagnosis of molluscum contagiosum is based on clinical appearance; skin biopsy or smear of expressed material shows characteristic inclusion bodies but is necessary only when diagnosis is uncertain.
Differential diagnosis includes folliculitis Diagnosis Folliculitis is an infection of hair follicles. Diagnosis is clinical. Treatment for most cases of bacterial folliculitis is with topical mupirocin or clindamycin.
(See also Overview of Bacterial… read more , milia Cutaneous Cysts Epidermal inclusion cysts are the most common cutaneous cysts. Milia are small epidermal inclusion cysts. Pilar cysts are usually on the scalp and may be familial. Benign cutaneous cysts are… read more , and warts Warts Warts are common, benign, epidermal lesions caused by human papillomavirus infection. They can appear anywhere on the body in a variety of morphologies. Diagnosis is by examination. Warts are… read more (for lesions < 2 mm) and juvenile xanthogranuloma and Spitz nevus (for lesions > 2 mm).
Physical removal: Curettage, cryosurgery, laser therapy, or electrocautery
Topical irritants (eg, trichloroacetic acid, cantharidin, tretinoin, tazarotene, podophyllotoxin [podofilox])
Sometimes intralesional injection or photodynamic therapy
Sometimes combination therapies
Most lesions spontaneously regress in 1 to 2 years, but they can remain for 2 to 3 years.
Treatment of molluscum contagiosum is indicated for cosmetic reasons or for prevention of spread. Options include curettage, cryosurgery, laser therapy, electrocautery, trichloroacetic acid (25 to 40% solution), cantharidin, podophyllotoxin (podofilox) in adults, tretinoin, and tazarotene. Some clinicians use salicylic acid, but others consider it too irritating for many body areas where molluscum occurs. Similar concerns exist with use of potassium hydroxide (KOH). Small studies suggest that ingenol mebutate gel, a cytotoxic agent used to treat actinic keratoses, may be effective (1 Treatment references Molluscum contagiosum is characterized by clusters of pink, dome-shaped, smooth, waxy, or pearly and umbilicated papules 2 to 5 mm in diameter caused by molluscum contagiosum virus, a poxvirus… read more ). Molluscum lesions within the orbital rim should be removed via gentle destruction by a skilled clinician. Lesions may be gently squeezed with a forceps to remove the central core.
Treatments that cause minimal pain (eg, tretinoin, tazarotene, cantharidin) are used first, especially in children. Imiquimod is usually not recommended.
Curettage or liquid nitrogen can be used 40 to 60 minutes after application of a topical anesthetic such as EMLA (lidocaine/prilocaine) cream or 4% lidocaine cream under an occlusive dressing. EMLA cream must be applied judiciously because it can cause systemic toxicity, especially in children. In adults, curettage is very effective but painful if done without anesthetic.
Cantharidin is safe and effective but can cause blistering. It is applied in 1 small drop directly to the molluscum lesion. Areas that patients (especially children) may rub are covered with a bandage because contact with the fingers should be avoided. Cantharidin should not be applied to the face or near the eyes because blistering is unpredictable. If cantharidin comes into contact with the cornea, it can cause scarring. Cantharidin should be washed off with soap and water in 6 hours.
Fewer than 15 lesions should be treated in one session because infection may occur after application of cantharidin. Parents should be warned about blistering if their children are prescribed this irritant.
Other treatments include intralesional injection (eg, with Candida antigen or occasionally interferon alpha; 2 Treatment references Molluscum contagiosum is characterized by clusters of pink, dome-shaped, smooth, waxy, or pearly and umbilicated papules 2 to 5 mm in diameter caused by molluscum contagiosum virus, a poxvirus… read more ) and photodynamic therapy. Antiviral and immunomodulatory medications have been more successful in patients infected with HIV (3 Treatment references Molluscum contagiosum is characterized by clusters of pink, dome-shaped, smooth, waxy, or pearly and umbilicated papules 2 to 5 mm in diameter caused by molluscum contagiosum virus, a poxvirus… read more ).
Dermatologists often use combination therapy such as liquid nitrogen or cantharidin in the office or a retinoid cream at home.
This form of therapy is typically successful, but resolution often takes 1 to 2 months in some patients.
Children should not be excluded from school or day care. However, their lesions should be covered to reduce the risk of spread.
1. Shin K, Bae KN, Kim HS, et al: Ingenol mebutate gel for the treatment of molluscum contagiosum: An open-label comparative pilot study. J Am Acad Dermatol pii:S0190-9622(19)32689-1, 2019. doi: 10.1016/j.jaad.2019.08.081
2. Wells A, Saikaly SK, Schoch JJ: Intralesional immunotherapy for molluscum contagiosum: A review. Dermatol Ther 33(6):e14386, 2020. doi: 10.1111/dth.14386
3. Vora RV, Pilani AP, Kota RK: Extensive giant molluscum contagiosum in a HIV positive patient. J Clin Diagn Res 9(11):WD01-2, 2015. doi: 10.7860/JCDR/2015/15107.6797
Molluscum contagiosum, caused by a poxvirus, commonly spreads by direct contact (eg, sexual contact, wrestling), fomites, and bath water.

Lesions tend to be asymptomatic clusters of 2- to 5-mm diameter papules that are pink, dome-shaped, smooth, waxy, or pearly and umbilicated.
Diagnose based on clinical appearance.
Treat for cosmetic reasons or prevention of spread.
Treatments can include destructive methods (eg, curettage, cryosurgery, laser therapy, electrocautery) or topical irritants (eg, trichloroacetic acid, cantharidin, tretinoin, tazarotene, podophyllotoxin).
| Drug Name | Select Trade |
|---|---|
tretinoin | Altinac, Altreno, Atralin, AVITA, Refissa, Renova, Retin-A, Retin-A Micro, Tretin-X, Vesanoid |
trichloroacetic acid | Tri-Chlor |
tazarotene | ARAZLO, Avage, Fabior, TAZORAC |
podofilox | Condylox |
salicylic acid | Akurza , Aliclen, Bensal HP, Clear Away, Clear Away Liquid, Clear Away One Step, Clear Away Plantar, Clearasil Rapid Rescue Deep Treatment, Compound W, Compound W Total Care Wart & Skin, Corn/Callus Remover, Curad Mediplast, DermacinRx Atrix, Dermarest Psoriasis Moisturizer, Dermarest Psoriasis Overnight Treatment, Dermarest Psoriasis Scalp Treatment, Dermarest Psoriasis Shampoo plus Conditioner, Dermarest Psoriasis Skin Treatment, Dr. Scholl’s Callus Removers, Dr. Scholl’s Corn Removers, Dr. Scholl’s Extra Thick Callus Remover, Dr. Scholl’s One Step Callus Remover, Dr. Scholl’s One Step Corn Removers, Dr. Scholl’s Ultra, Dr.Scholl’s Dual Action FREEZE AWAY, Dr.Scholl’s Duragel, DuoFilm Wart Remover, Freezone, Gold Bond Psoriasis Relief, Gordofilm , Hydrisalic, Ionil, Ionil Plus, Keralyt, Keralyt 5, Keralyt Scalp Complete, MOSCO Callus & Corn Remover, MOSCO One Step Corn Remover, Neutrogena Acne Wash, Neutrogena T/Sal Scalp, Occlusal-HP, P&S, RE SA , SalAC, Salactic Film , Salacyn, Salex, Salimez, Salimez Forte, Salisol , Salisol Forte , Salitech, Salitech Forte, Salitop , Salkera, Salvax, Scalpicin 2 in 1 Anti-Dandruff, Selsun Blue, Thera-Sal , Trans-Ver-Sal, UltraSal-ER, VIRASAL, Wart-Off, XALIX |
ingenol mebutate | Picato |
imiquimod | Aldara, Zyclara |
lidocaine/prilocaine | ANODYNE LPT, Aprizio Pak II, DermacinRx Empricaine, DermacinRx Prizopak, Dolotranz, EMLA, Empricaine-II, Leva Set, Lido-Prilo Caine , Lidotor, LiProZonePak, LIVIXIL Pak, LP Lite Pak, Medolor Pak with Tegaderm Dressing, Microvix LP, Nuvakaan, Nuvakaan-II, Oraqix , PRILOHEAL PLUS 30, Prilovix, Prilovix Lite, Prilovix Lite Plus, Prilovix Plus, Prilovix Ultralite, Prilovix Ultralite Plus, Prilovixil, REAL HEAL-I, Relador, VallaDerm-90 |
lidocaine | 7T Lido, Akten , ALOCANE, ANASTIA, AneCream, Anestacon, Aspercreme with Lidocaine, Astero , BenGay, Blue Tube, Blue-Emu, CidalEaze, DermacinRx Lidogel, DermacinRx Lidorex, DERMALID, Ela-Max, GEN7T, Glydo, Gold Bond, LidaMantle, Lidocare, Lidoderm, LidoDose, LidoDose Pediatric, Lidofore, LidoHeal-90, LIDO-K , Lidomar , Lidomark, LidoReal-30, LidoRx, Lidosense 4 , Lidosense 5, Lidosol, LIDO-SORB, Lidotral, Lidovix L, LIDOZION, Lidozo, LMX 4, LMX 4 with Tegaderm, LMX 5, LTA, Lydexa, Moxicaine, Numbonex, ReadySharp Lidocaine, RectaSmoothe, RectiCare, Salonpas Lidocaine, Senatec, Solarcaine, SUN BURNT PLUS, Tranzarel, Xylocaine, Xylocaine Dental, Xylocaine in Dextrose, Xylocaine MPF, Xylocaine Topical, Xylocaine Topical Jelly, Xylocaine Topical Solution, Xylocaine Viscous, Zilactin-L, Zingo, Zionodi, ZTlido |
NOTE:
This is the Professional Version.
CONSUMERS:
View Consumer Version
Copyright © 2023 Merck & Co., Inc., Rahway, NJ, USA and its affiliates. All rights reserved.
Test your knowledge
Take a Quiz!
- Free
Natural Color Bb Cream
- Free
Natural Color Bb Cream colors
- Free
green environmental protection pattern garbage can be recycled green clean
- Free
cinema movie premiere poster design with white screen vector ba
- 90 004 free
appreciate good like flat color icon vector icon remarks
- Free
heart heartbeat love wedding flat color icon vector icon
04 Free
have electricity prohibit be careful be
Cool music party singer creative poster music Ya Mai Ba concert evening K
- free
number 81 3d rendering
in initial letter vector logo design template
- 3 Free
break split orange be
- Free
but logo company vector template design illustration
- free
0005
- Free
in initial letter ba logo
- Free
syafakallah la ba sa thohurun in syaa allah arabic prayer for free download
9 0008
- Free
bb cream 3d model
- free
hotel alif bata hijaya
air cushion cc cream cosmetics cosmetics skin care poster fresh air cushion bb cream cc
- Free
Creative letter bb logo design black and white vector minimalist
- Free
Gold letter b logo bc letter design vector with gold flowers
901 21 free
initial letter cc logo template vector design
- Free
- Free of charge
in the initial letter cc of the logo
- Free of charge
inscription laa ba sa thohurun insya allah
- Free
skin care products womens products bb cream skincare
- Free
bb logo letter design vector simple and minimalist keywords lan
- 900 04 Free
Ba Hijaya Arabic
- Free
color feather air cushion bb cream three dimensional element
- free
letter bc 3d logo circle
- Free
3d golden number 81 with tick on transparent background
- Free
liquid foundation vector cosmetic cream woman fashion bb cream liquid realistic isolated illustration
- Free
Initial Letter VV Logo Template Vector Design
- Free
initial letter cc logo template
- Free
6 be careful to fall prohibition sign slip
- Free
blue series frame color can be changed text box streamer
- Free
logo design bc letter b icon
- Free
tips be careful hot caution
- Free
red bb cartoon cream cosmetics
- Free
liquid bb cream pillow
- Free
number 81 golden font
- Free
900 06 year of excellence set 11 21 31 41 51 61 71 81 91 vector template design illustration
- Free
initial letter cc logo template
- Free
but letter logo
- Free
latin alphabet letter bb from molten lava free download png
- Free
bb logo gradient with abstract shape
- Free
bc beauty cosmetic logo design vector 90 005
ba hijaya
- free
complex modern logo design with bitcoin symbols and letters bc
- free
black gradient 3d number 81
902 11
cosmetic bb cream poster design cosmetic cosmetics poster Advertising cosmetics Poster
Mollusk in a hood • Alexandra Kochetkova • Science Picture of the Day at Elements • Zoology
The photo shows the nudibranch mollusc Melibe leonina .
He does not have a Russian name, but in English he is called “hooded”, and “lion”, and “lion-maned” – all because of the unusual mouth hood. In the picture, the hood is closed, which makes it seem that the head is very large. A pair of “horns” is visible on the head – these are rhinophores (see Rhinophore), chemosensory organs. Scare glands are scattered all over the body, especially a lot of them on the back and lateral outgrowths – cerata (see Cerata). This unusual mollusk lives in kelp forests in the Pacific shallow waters of North America.
Nudibranch mollusks are carnivores, they mainly feed on sessile benthic animals. But Melibe leonina eats planktonic crustaceans, including amphipods, cyclops, ostracods and swimming larvae. In this he is helped by his hood, bordered by two rows of antennae resembling teeth.
Melibe leonina hunts by attaching its foot to algae. The nudibranch stretches the oral hood (it is characteristic of the genus Melibe ) into a large funnel, and then pushes it forward until it touches the prey.
After contact with prey, the hood closes and the rows of antennae close to prevent food from escaping. The hood shrinks even more, pushing out excess water and pushing the prey towards the mouth. No food grinders for Melibe leonina no — it swallows prey whole.
Most nudibranch molluscs are crawling, but there are also swimming species such as phyllorrhea (see Picture of the Day Transparent phyllyroe). Melibe leonine are good swimmers to move to other algae or avoid rare predators. But this is rarely seen, since they swim mainly at night.
A group of nudibranch mollusks has lost in the process of evolution the shell that protects most gastropods from predators. In order not to become easy prey, they had to come up with other ways to protect themselves. Some of them use someone else’s stinging cells (see Ultimate Weapon picture of the day) – those they ate. This phenomenon is called kleptoknidia. In case of danger, the accumulated stinging capsules are fired at a potential enemy.
For example, nudibranch Glaucus atlanticus feeds on Portuguese boats – animals of the siphonophore order (see picture of the day Portuguese boat). He himself is not afraid of the stinging cells of the ship, but with their help he can defend himself. In a person, from touching Glaucus atlanticus , as well as from the Portuguese boat itself, a severe burn appears on the skin. Other nudibranchs simply use the defenses of their prey for their own defense against predators.
Melibe leonina manufactures its repellent odorous secret from scratch, its synthesis is independent of diet. The Monterey Bay Aquarium, which houses Melibe leonina , says the scary secret smells like watermelon. In the underwater world, only crab Pugettia producta and starfish Crossaster paposus can withstand this. At least they were the only ones seen hunting Melibe leonine .
Photo © Alex Heyman via inaturalist.org, Morro Bay, California, USA, August 27, 2021.


Clin Cosmet Investig Dermatol 12:373–381, 2019. doi: 10.2147/CCID.S187224
Scholl’s Callus Removers, Dr. Scholl’s Corn Removers, Dr. Scholl’s Extra Thick Callus Remover, Dr. Scholl’s One Step Callus Remover, Dr. Scholl’s One Step Corn Removers, Dr. Scholl’s Ultra, Dr.Scholl’s Dual Action FREEZE AWAY, Dr.Scholl’s Duragel, DuoFilm Wart Remover, Freezone, Gold Bond Psoriasis Relief, Gordofilm , Hydrisalic, Ionil, Ionil Plus, Keralyt, Keralyt 5, Keralyt Scalp Complete, MOSCO Callus & Corn Remover, MOSCO One Step Corn Remover, Neutrogena Acne Wash, Neutrogena T/Sal Scalp, Occlusal-HP, P&S, RE SA , SalAC, Salactic Film , Salacyn, Salex, Salimez, Salimez Forte, Salisol , Salisol Forte , Salitech, Salitech Forte, Salitop , Salkera, Salvax, Scalpicin 2 in 1 Anti-Dandruff, Selsun Blue, Thera-Sal , Trans-Ver-Sal, UltraSal-ER, VIRASAL, Wart-Off, XALIX