Thickening of the cervix lining. Endometrial Hyperplasia: Causes, Symptoms, and Treatment Options
What is endometrial hyperplasia. How is it diagnosed. What are the risk factors for developing this condition. Can endometrial hyperplasia be prevented. What treatment options are available for patients with endometrial hyperplasia.
Understanding Endometrial Hyperplasia: An Overview
Endometrial hyperplasia is a condition characterized by the abnormal thickening of the uterine lining, also known as the endometrium. This relatively rare condition affects approximately 133 out of 100,000 women and can potentially lead to uterine cancer in some cases. To fully grasp the implications of this condition, it’s crucial to understand its underlying causes, symptoms, and available treatment options.
What Exactly is Endometrial Hyperplasia?
Endometrial hyperplasia occurs when the endometrium, the inner lining of the uterus, becomes excessively thick. This thickening is typically a result of hormonal imbalances, particularly an excess of estrogen without adequate progesterone to counterbalance it. During a normal menstrual cycle, the endometrium thickens in response to estrogen, preparing the uterus for potential pregnancy. If pregnancy doesn’t occur, the lining is shed during menstruation. However, in cases of endometrial hyperplasia, this normal cycle is disrupted, leading to an overgrowth of the uterine lining.

Types of Endometrial Hyperplasia: Simple vs. Complex
Endometrial hyperplasia is classified into two main types based on the cellular changes observed in the endometrium:
- Simple endometrial hyperplasia (without atypia): This type involves normal cells that are unlikely to be cancerous. In many cases, this condition may improve without treatment.
- Simple or complex atypical endometrial hyperplasia: This type is considered precancerous and results from an overgrowth of abnormal cells. If left untreated, it may progress to uterine or endometrial cancer.
Understanding the distinction between these types is crucial for determining the appropriate course of treatment and assessing the risk of cancer development.
Identifying the Causes of Endometrial Hyperplasia
The primary cause of endometrial hyperplasia is a hormonal imbalance, specifically an excess of estrogen without sufficient progesterone to regulate the growth of the uterine lining. This imbalance can occur due to various factors, including:

- Obesity, which can lead to increased estrogen production
- Polycystic ovary syndrome (PCOS)
- Certain medications, including some hormone therapies
- Perimenopause and menopause
- Diabetes
- Thyroid disorders
Recognizing these underlying causes is essential for both prevention and treatment of endometrial hyperplasia.
Recognizing the Symptoms of Endometrial Hyperplasia
Identifying the symptoms of endometrial hyperplasia is crucial for early detection and treatment. The most common symptoms include:
- Heavy menstrual bleeding
- Bleeding between periods
- Postmenopausal bleeding
- Menstrual cycles shorter than 21 days
It’s important to note that these symptoms can also be indicative of other conditions. Therefore, consulting with a healthcare professional for proper diagnosis is essential.
When to Seek Medical Attention
If you experience any unusual bleeding patterns, particularly heavy menstrual bleeding or bleeding after menopause, it’s crucial to consult with your healthcare provider promptly. Early detection and treatment of endometrial hyperplasia can significantly reduce the risk of progression to uterine cancer.

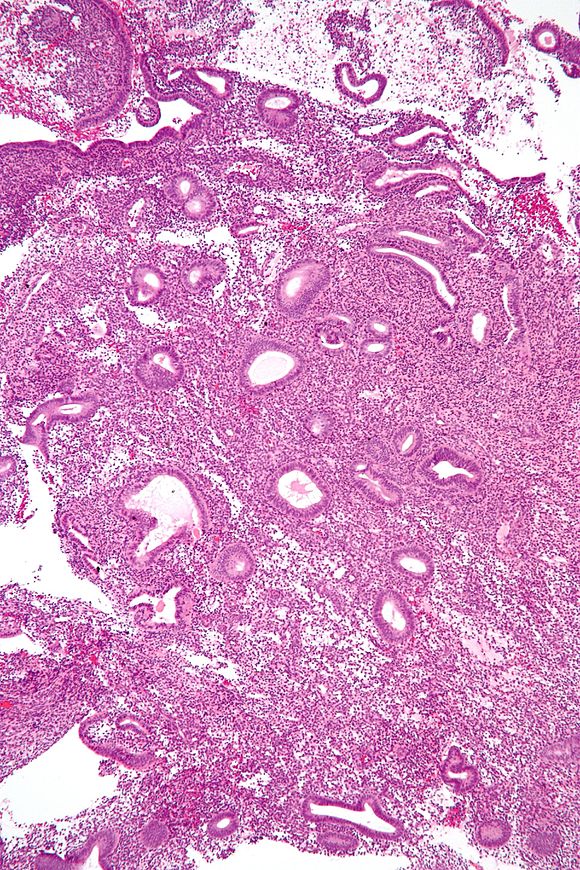
Diagnostic Procedures for Endometrial Hyperplasia
Diagnosing endometrial hyperplasia typically involves a combination of physical examination, medical history review, and specific diagnostic tests. The diagnostic process may include:
- Transvaginal ultrasound: This non-invasive procedure uses sound waves to create images of the uterus, allowing doctors to assess the thickness of the endometrium.
- Endometrial biopsy: A small sample of tissue is removed from the uterine lining and examined under a microscope to check for abnormal cells.
- Hysteroscopy: A thin, lighted tube is inserted through the cervix to provide a direct view of the uterine cavity, allowing for visual inspection and targeted biopsy if necessary.
- Dilation and curettage (D&C): This procedure involves dilating the cervix and removing tissue from the uterine lining for examination.
These diagnostic procedures help healthcare providers determine the presence and extent of endometrial hyperplasia, guiding treatment decisions.
.jpg)
Treatment Options for Endometrial Hyperplasia
The treatment of endometrial hyperplasia depends on the type and severity of the condition, as well as individual patient factors. Common treatment options include:
Hormonal Therapy
Progestin, a synthetic form of progesterone, is often the first-line treatment for endometrial hyperplasia. It can be administered in various forms:
- Oral medications
- Injections
- Vaginal creams
- Intrauterine devices (IUDs)
Treatment typically lasts for at least six months, with regular follow-up appointments to monitor progress.
Surgical Interventions
In some cases, particularly for atypical hyperplasia or when conservative treatments fail, surgical options may be considered:
- Hysterectomy: Removal of the uterus may be recommended for severe cases or when other treatments have been ineffective.
- Endometrial ablation: This procedure destroys the uterine lining and may be an option for some patients with persistent symptoms.
The choice of treatment depends on various factors, including the patient’s age, desire for future fertility, and overall health status.

Risk Factors and Prevention Strategies for Endometrial Hyperplasia
While endometrial hyperplasia cannot always be prevented, understanding the risk factors can help in early detection and management. Some key risk factors include:
- Obesity
- Polycystic ovary syndrome (PCOS)
- Diabetes
- Nulliparity (never having been pregnant)
- Late menopause
- Family history of certain cancers (colon, ovarian, uterine)
- Certain medications, including some breast cancer treatments
To reduce the risk of developing endometrial hyperplasia, consider the following preventive measures:
- Maintaining a healthy weight through diet and exercise
- Managing underlying health conditions such as diabetes and PCOS
- Discussing hormone therapy options with your healthcare provider, if applicable
- Regular gynecological check-ups and prompt reporting of any unusual symptoms
By understanding these risk factors and implementing preventive strategies, individuals can take proactive steps to maintain their reproductive health.

Long-term Outlook and Potential Complications
The prognosis for endometrial hyperplasia varies depending on the type and severity of the condition. While many cases can be successfully treated with hormonal therapy or other interventions, it’s important to be aware of potential complications:
- Progression to endometrial cancer: This is a particular concern for atypical hyperplasia cases.
- Recurrence: Even after successful treatment, some patients may experience a relapse of endometrial hyperplasia.
- Fertility impacts: Certain treatments, particularly hysterectomy, can affect a woman’s ability to become pregnant in the future.
Regular follow-up care and adherence to treatment plans are crucial for managing endometrial hyperplasia and minimizing the risk of complications.
Importance of Long-term Monitoring
After initial treatment for endometrial hyperplasia, ongoing monitoring is essential. This may involve:
- Regular endometrial biopsies
- Periodic ultrasound examinations
- Continued hormonal therapy in some cases
The frequency and duration of follow-up care will depend on individual factors and the initial response to treatment.

Living with Endometrial Hyperplasia: Lifestyle Considerations
For individuals diagnosed with endometrial hyperplasia, certain lifestyle modifications can complement medical treatment and improve overall health:
- Maintaining a healthy diet: Focus on a balanced diet rich in fruits, vegetables, and whole grains to support overall health and weight management.
- Regular exercise: Engaging in physical activity can help maintain a healthy weight and potentially reduce the risk of recurrence.
- Stress management: Chronic stress can impact hormonal balance, so incorporating stress-reduction techniques like meditation or yoga may be beneficial.
- Avoiding smoking: Smoking is associated with an increased risk of various health issues, including hormonal imbalances.
Additionally, open communication with healthcare providers about any concerns or changes in symptoms is crucial for effective management of the condition.
Support and Resources
Living with endometrial hyperplasia can be challenging, both physically and emotionally. Seeking support through support groups, counseling, or patient advocacy organizations can provide valuable resources and emotional support throughout the treatment journey.
![]()
Advancements in Endometrial Hyperplasia Research
Ongoing research in the field of gynecological health continues to enhance our understanding of endometrial hyperplasia and improve treatment options. Some areas of current research include:
- Development of more targeted hormonal therapies
- Exploration of non-hormonal treatment options
- Improved diagnostic techniques for early detection
- Investigation of genetic factors influencing the development of endometrial hyperplasia
These advancements hold promise for more personalized and effective treatment strategies in the future, potentially improving outcomes for patients with endometrial hyperplasia.
Participation in Clinical Trials
For some patients, participation in clinical trials may offer access to cutting-edge treatments and contribute to the advancement of medical knowledge. Discussing the possibility of clinical trial participation with healthcare providers can provide insights into potential new treatment options.
Endometrial Hyperplasia in Special Populations
While endometrial hyperplasia can affect women of various ages, certain populations may require special consideration:

Postmenopausal Women
Endometrial hyperplasia in postmenopausal women often requires careful evaluation due to the increased risk of endometrial cancer. Any postmenopausal bleeding should be promptly investigated.
Women of Reproductive Age
For women who wish to preserve fertility, treatment options may need to be tailored to balance effective management of endometrial hyperplasia with the preservation of reproductive function.
Women with Comorbidities
Patients with conditions such as diabetes, obesity, or PCOS may require a multidisciplinary approach to address both endometrial hyperplasia and underlying health issues.
Understanding these unique considerations can help healthcare providers develop more targeted and effective treatment plans for diverse patient populations.
The Role of Patient Education in Managing Endometrial Hyperplasia
Empowering patients with knowledge about endometrial hyperplasia is crucial for effective management and early detection of potential complications. Key areas of patient education include:

- Understanding the importance of regular gynecological check-ups
- Recognizing and reporting unusual symptoms promptly
- Awareness of personal risk factors and preventive strategies
- Understanding treatment options and potential side effects
- Importance of adherence to prescribed treatments and follow-up appointments
Healthcare providers play a vital role in ensuring patients are well-informed about their condition, fostering a collaborative approach to care.
Empowering Patients Through Shared Decision-Making
Encouraging patients to actively participate in treatment decisions can lead to better outcomes and increased satisfaction with care. This involves:
- Open discussions about treatment options and their potential impacts
- Consideration of patient preferences and lifestyle factors
- Addressing concerns and questions throughout the treatment process
By fostering a partnership between patients and healthcare providers, individuals with endometrial hyperplasia can feel more empowered in managing their condition.
![]()
Endometrial Hyperplasia: Causes and Treatment
Written by Sharlene Tan
Medically Reviewed by Jabeen Begum, MD on November 17, 2021
- What Is Endometrial Hyperplasia?
- What Are the Types of Endometrial Hyperplasia?
- What Are the Causes of Endometrial Hyperplasia?
- What Are the Symptoms of Endometrial Hyperplasia?
- How Is Endometrial Hyperplasia Diagnosed?
- What Is the Treatment for Endometrial Hyperplasia?
- Are There Risk Factors for Getting Endometrial Hyperplasia?
- Can You Prevent Endometrial Hyperplasia?
- Complications of Endometrial Hyperplasia
- More
Endometrial hyperplasia is a condition in which the lining of your womb becomes too thick. In some women, this can lead to cancer of the uterus. Endometrial hyperplasia is rare. It affects about 133 out of 100,000 women.
Your endometrium is the lining of your uterus (womb). During your menstrual cycle, your endometrium changes.
The estrogen that your ovaries produce makes your endometrium thicken. This prepares your uterus for possible pregnancy.
After the release of an egg from your ovary (ovulation), your progesterone level increases. This hormone gets your uterus ready to receive an egg. If pregnancy doesn’t happen, your estrogen and progesterone levels drop. This leads to the shedding of the lining (menstruation).
If there’s a hormonal imbalance, however, your endometrium can thicken and grow too much. This abnormal growth is endometrial hyperplasia.
There are two types of endometrial hyperplasia based on the kind of cell changes in your endometrium:
- Simple endometrial hyperplasia (without atypia). This type consists of normal cells that aren’t likely to be cancerous. This condition may improve without treatment.
- Simple or complex atypical endometrial hyperplasia. This type is precancerous and results from an overgrowth of abnormal cells. If untreated, it may turn into uterine or endometrial cancer.

Endometrial hyperplasia is caused by too much estrogen and not enough progesterone. If there’s too little progesterone, your uterus isn’t triggered to shed its lining (menstruation). The lining continues to thicken due to estrogen. The cells in the lining may crowd together and become irregular.
The symptoms of endometrial hyperplasia include:
- Heavy menstrual bleeding
- Bleeding that happens after menopause
- Menstrual cycles that are shorter than 21 days
Your doctor will conduct a physical exam and take into account your medical history. They may ask about your symptoms and menstrual history, such as the ages you started menstruation and menopause.
Many different conditions can cause unusual bleeding, so your doctor may carry out some of these diagnostic tests:
Ultrasound. Your doctor may perform a transvaginal ultrasound to see if your lining is thick. They will insert a small device into your vagina. This device uses sound waves, which are converted into images of your uterus.
If your endometrium is thick, that may mean that you have endometrial hyperplasia.
Biopsy. You may also need to have a biopsy. Your doctor will remove a sample of tissue from your uterus lining. This will be tested in a lab to see if it’s cancerous.
Hysteroscopy. A hysteroscope is a thin, lighted, flexible tube. Your doctor will use it to look inside your uterus for any abnormalities. They may also perform a biopsy or a dilation and curettage (D&C).
During a dilation and curettage, your doctor will open (dilate) your cervix, which is the opening of your uterus. They’ll then use a thin instrument called a curette to remove tissue from your uterus.
Most cases of endometrial hyperplasia are treatable. A common treatment is progestin, a manmade progesterone.
Your doctor may prescribe progestin in a few different ways:
- Orally
- Via injections
- In vaginal cream
- In an intrauterine device (IUD)
You’ll likely need to be treated for at least six months.
You’re at a higher risk of relapse if you’re obese or treated with oral progestin, and you may need follow-up appointments every year.
Hysterectomy. Your doctor may recommend a surgery to remove your uterus (hysterectomy) if:
- During your treatment, atypical endometrial hyperplasia develops
- After 12 months of treatment, there’s no improvement
- You have a relapse or worsening of your condition
- Your bleeding doesn’t stop
After a hysterectomy is performed, you’ll no longer be able to get pregnant. Talk to your doctor to find out what’s the best treatment for you.
You’re at a higher risk for endometrial hyperplasia if you have these risk factors:
- Menopause transition (perimenopausal) or menopause
- A family history of colon, ovarian, and uterine cancer
- Diabetes
- Having never been pregnant
- Obesity
- Polycystic ovary syndrome (PCOS)
- Smoking
- Gallbladder disease
- Thyroid disease
- Certain breast cancer treatments
- Hormone therapy
- Early age of menstruation
- Older age of menopause
You can’t prevent endometrial hyperplasia, but you can lower your risk with these steps:
- Quit smoking.

- Maintain a healthy weight.
- If you use hormone therapy, take progestin along with estrogen.
- Take birth control to regulate your menstrual cycle and hormones.
If left untreated, atypical endometrial hyperplasia can become cancerous. About 8% of women with simple atypical endometrial hyperplasia who don’t get treatment develop cancer. Nearly 30% of those with untreated complex atypical endometrial hyperplasia develop cancer.
Top Picks
Endometrial Hyperplasia: Causes and Treatment
Written by Sharlene Tan
Medically Reviewed by Jabeen Begum, MD on November 17, 2021
- What Is Endometrial Hyperplasia?
- What Are the Types of Endometrial Hyperplasia?
- What Are the Causes of Endometrial Hyperplasia?
- What Are the Symptoms of Endometrial Hyperplasia?
- How Is Endometrial Hyperplasia Diagnosed?
- What Is the Treatment for Endometrial Hyperplasia?
- Are There Risk Factors for Getting Endometrial Hyperplasia?
- Can You Prevent Endometrial Hyperplasia?
- Complications of Endometrial Hyperplasia
- More
Endometrial hyperplasia is a condition in which the lining of your womb becomes too thick.
In some women, this can lead to cancer of the uterus. Endometrial hyperplasia is rare. It affects about 133 out of 100,000 women.
Your endometrium is the lining of your uterus (womb). During your menstrual cycle, your endometrium changes. The estrogen that your ovaries produce makes your endometrium thicken. This prepares your uterus for possible pregnancy.
After the release of an egg from your ovary (ovulation), your progesterone level increases. This hormone gets your uterus ready to receive an egg. If pregnancy doesn’t happen, your estrogen and progesterone levels drop. This leads to the shedding of the lining (menstruation).
If there’s a hormonal imbalance, however, your endometrium can thicken and grow too much. This abnormal growth is endometrial hyperplasia.
There are two types of endometrial hyperplasia based on the kind of cell changes in your endometrium:
- Simple endometrial hyperplasia (without atypia). This type consists of normal cells that aren’t likely to be cancerous.
This condition may improve without treatment. - Simple or complex atypical endometrial hyperplasia. This type is precancerous and results from an overgrowth of abnormal cells. If untreated, it may turn into uterine or endometrial cancer.
Endometrial hyperplasia is caused by too much estrogen and not enough progesterone. If there’s too little progesterone, your uterus isn’t triggered to shed its lining (menstruation). The lining continues to thicken due to estrogen. The cells in the lining may crowd together and become irregular.
The symptoms of endometrial hyperplasia include:
- Heavy menstrual bleeding
- Bleeding that happens after menopause
- Menstrual cycles that are shorter than 21 days
Your doctor will conduct a physical exam and take into account your medical history. They may ask about your symptoms and menstrual history, such as the ages you started menstruation and menopause.
Many different conditions can cause unusual bleeding, so your doctor may carry out some of these diagnostic tests:
Ultrasound.
Your doctor may perform a transvaginal ultrasound to see if your lining is thick. They will insert a small device into your vagina. This device uses sound waves, which are converted into images of your uterus. If your endometrium is thick, that may mean that you have endometrial hyperplasia.
Biopsy. You may also need to have a biopsy. Your doctor will remove a sample of tissue from your uterus lining. This will be tested in a lab to see if it’s cancerous.
Hysteroscopy. A hysteroscope is a thin, lighted, flexible tube. Your doctor will use it to look inside your uterus for any abnormalities. They may also perform a biopsy or a dilation and curettage (D&C).
During a dilation and curettage, your doctor will open (dilate) your cervix, which is the opening of your uterus. They’ll then use a thin instrument called a curette to remove tissue from your uterus.
Most cases of endometrial hyperplasia are treatable. A common treatment is progestin, a manmade progesterone.
Your doctor may prescribe progestin in a few different ways:
- Orally
- Via injections
- In vaginal cream
- In an intrauterine device (IUD)
You’ll likely need to be treated for at least six months. You’re at a higher risk of relapse if you’re obese or treated with oral progestin, and you may need follow-up appointments every year.
Hysterectomy. Your doctor may recommend a surgery to remove your uterus (hysterectomy) if:
- During your treatment, atypical endometrial hyperplasia develops
- After 12 months of treatment, there’s no improvement
- You have a relapse or worsening of your condition
- Your bleeding doesn’t stop
After a hysterectomy is performed, you’ll no longer be able to get pregnant. Talk to your doctor to find out what’s the best treatment for you.
You’re at a higher risk for endometrial hyperplasia if you have these risk factors:
- Menopause transition (perimenopausal) or menopause
- A family history of colon, ovarian, and uterine cancer
- Diabetes
- Having never been pregnant
- Obesity
- Polycystic ovary syndrome (PCOS)
- Smoking
- Gallbladder disease
- Thyroid disease
- Certain breast cancer treatments
- Hormone therapy
- Early age of menstruation
- Older age of menopause
You can’t prevent endometrial hyperplasia, but you can lower your risk with these steps:
- Quit smoking.

- Maintain a healthy weight.
- If you use hormone therapy, take progestin along with estrogen.
- Take birth control to regulate your menstrual cycle and hormones.
If left untreated, atypical endometrial hyperplasia can become cancerous. About 8% of women with simple atypical endometrial hyperplasia who don’t get treatment develop cancer. Nearly 30% of those with untreated complex atypical endometrial hyperplasia develop cancer.
Top Picks
Inflammation of the cervix – symptoms, diagnosis, treatment – Aksis Medical Center (Zelenograd)
Inflammation of the cervical mucosa is a very common disease that appears under the influence of various types of bacteria and infections, for example, gonococci, staphylococci, E.
coli, etc. .d.
This disease is also often referred to as cervicitis. Most often, the disease affects girls of childbearing age. Other diseases, such as colpitis, pseudo-erosion of the cervix, and salpingitis, often contribute to the development of inflammation of the cervix. It occurs during childbirth when the cervix is injured, as well as during abortion.
Symptoms
Like many diseases, cervicitis may not have specific symptoms. However, in most cases, a dull pain in the lower abdomen, purulent discharge from the vagina, and itching will indicate the presence of a problem. At the same time, when the disease becomes chronic, the discharge becomes less frequent, and sometimes there may not be any at all. That is why it is so important to undergo a scheduled examination by a gynecologist at least twice a year, because diseases such as cervicitis can be detected quite unexpectedly for the patient herself.
Causes
The most common cause of cervicitis is an infection caused by bacteria, fungi and viruses.
In addition, injuries, emergency abortions using curettage, tumors in the cervical area can lead to the development of the disease. Also, cervicitis can occur due to the negative effects on the body of radiation.
Inflammation of the cervix occurs when the immune system is weakened, and therefore it is so important to monitor the state of the immune system and try to support it in every possible way.
Diagnosis of the disease
“If you experience similar symptoms, we advise you to make an appointment with a doctor. You can also make an appointment by phone: +7 (499) 214-00-00
It will not be difficult for an experienced gynecologist to identify the inflammatory process of the cervix, for this an ordinary mirror will be enough. Swelling of the mucosa and purulent discharge can be seen with colposcopy. In chronic endocervicitis may indicate compaction and some thickening of the cervix. In addition to colposcopy, cytological examination of smears is often used to diagnose this disease.
Treatment
Before prescribing the appropriate treatment for inflammation of the cervix, the gynecologist will need to determine the duration of the disease, find out the factors that led to its development, and also understand what complications may be in the course of treatment. So, if the disease is at an early stage and it is caused by exposure to bacteria and viruses, the doctor will prescribe antibiotics to the patient. In the chronic form of cervicitis, the patient will first have to undergo a course of immunostimulation. It is important to understand that all methods of treatment and medicines prescribed by a gynecologist must fully comply with the nature of the causative agent.
When to see a doctor
Due to the fact that inflammation of the cervix can lead to the development of other dangerous diseases, it is best to visit a gynecologist as early as possible, even when the first symptoms are detected.
Leukoplakia of the cervix: causes, symptoms and treatment
The article was checked by the doctor: Sokolova Marina Olegovna
Types of leukoplakia of the cervix
There are two forms of leukoplakia:
Simple.
Refers to the background processes of the body, and has no signs of atypia (changes in cell structure). The processes of thickening and keratinization develop in the surface layers of the epithelium, the cells of the lower layers remain unchanged.Proliferative. Transformation occurs in cells at the level of all layers – from superficial to basal and parabasal. Normal epithelium is replaced by atypical cells. The pathological process is regarded as a precancerous condition.
According to the severity of changes in the exocervix (the vaginal part of the cervix), the following forms of leukoplakia are distinguished:
Flat. On the surface of the epithelium of the cervix, whitish smooth spots are formed without visible signs of inflammation, they are removed with a swab, but then they appear again. Zones of keratinization are single or multiple.
Hypertrophic. The lesions are convex, white or gray in color, with a dry and rough surface, are not removed with a spatula.
Seals can merge with each other.Warty. The areas of leukoplakia are extensive, similar in appearance to warts – bumpy, dense, grayish-white in color, protrude 2–3 mm above the surface of the epithelium. Often complicated by the formation of erosion and cracks. This is a precancerous condition.
Each form develops against the background of the previous one, and worsens the course of the disease.
Call now
+7 (495) 215-56-90
Make an appointment with a gynecologist
Causes of cervical leukoplakia
Thickening and keratinization of the integumentary epithelium of the exocervix develops under the influence of external factors: traumatic, chemical and thermal. Leukoplakia occurs as a result of diagnostic curettage, abortion, cauterization of erosion and other surgical interventions.
Another cause of leukoplakia is acute and chronic infectious and inflammatory diseases of the female genital organs:
adnexitis (inflammation of the appendages),
polycystic ovaries,
endometriosis (growth of glandular tissue outside the uterus),
colpitis (inflammation of the mucous membrane of the vagina),
menstrual disorders,
cervicitis (inflammation of the cervix),
true and false erosion.

A certain role in the formation of leukoplakia is played by the presence of cytomegalovirus and papillomavirus infections, herpes, ureaplasmosis, chlamydia. The risk of epithelial tissue keratinization is associated with hormonal imbalance, age-related changes in the hypothalamus-pituitary system, endocrine diseases, adrenal insufficiency, and ovarian dysfunction.
Background risk factors:
weakening of the immune defense,
neglect of personal hygiene,
psychoemotional disorders,
disordered sex life,
lack of vitamin A,
hereditary predisposition.
If leukoplakia occurs under the influence of several factors, the pathology progresses rapidly, and the risk of malignant degeneration of the altered areas increases.
Symptoms of cervical leukoplakia
Get expert advice:
- Gynecologist
The processes of keratinization of the epithelium of the cervix develop imperceptibly, do not cause clinical changes and discomfort.
Due to the asymptomatic course, the disease is more often detected during a preventive examination by a gynecologist. In some cases, atypical signs of the disease are observed – rare menstruation, vaginal leucorrhea, intermenstrual spotting.
With infection and inflammation of the foci of leukoplakia, itching and burning in the genital area, numbness and tingling are felt. Unpleasant sensations are aggravated during urination and at night, during intercourse.
Diagnosis of cervical leukoplakia
Gynecological examination reveals limited white or gray plaques protruding above the level of the exocervix mucosa. The foci are single and multiple, oval in shape with clear and even contours.
Changes characteristic of leukoplakia are determined during colposcopy. This is an examination of the vaginal part of the uterus with an optical device – a colposcope. The purpose of the study is to identify areas of keratinization, their size and localization, and the nature of pathological changes.
The diagnosis is confirmed on the basis of the results of oncocytology (pap test). Exocervix cells are examined for hyperkeratosis (thickening of the stratum corneum) and parakeratosis (deposits of keratin and fat). They also perform the Schiller test. To determine atypical areas, the epithelium of the exocervix is treated with Lugol’s solution. Zones of healthy tissues are stained with iodine, leukoplakia zones remain unstained.
The processes of hyperkeratosis and parakeratosis limit access to the deep layers of the epithelium, where malignant transformation of cells can occur, therefore, a biopsy is performed from the keratinization areas, followed by a histological examination. Test results confirm or rule out cervical cancer.
Of secondary importance are laboratory studies: hormonal tests, microscopy of smears from the genital tract, typing of papillomaviruses of high oncogenic risk. According to the indications, a consultation with an oncogynecologist is prescribed.
Treatment of cervical leukoplakia
Therapy is complex and long-term, aimed at eliminating provoking factors and concomitant diseases, reducing the severity of its manifestations, and preventing malignant transformation of altered tissues.
The tactics of treatment depends on the form of leukoplakia. According to indications, antibacterial, antiviral and anti-inflammatory therapy is carried out, treatment of endocrinological diseases, vitamin A deficiency is compensated.
Tip! During treatment, it is recommended to limit sexual activity or use contraceptives.
The foci of leukoplakia are removed by low-traumatic surgical methods:
Laser destruction. Evaporation of cells by a CO2 laser beam. The laser has disinfectant properties, which is why the risk of tissue infection is minimal. Laser removal is performed within healthy tissues, eliminates pain, bleeding, and reduces the number of complications.
The procedure is performed under local anesthesia. Healing occurs under the crust, which is rejected after 1–2 weeks, and healthy epithelial tissue forms under it. The average recovery time is a month.Electrocoagulation. Cauterization of pathological areas with high-frequency electric current. The procedure is painful, so the patient only needs local anesthesia. Electrocoagulation is recommended for the removal of small keratinized areas.
Cryodestruction. Freezing foci of leukoplakia with liquid nitrogen. Liquefied gas cooled to a temperature of -78–150°C is applied to pathological areas for 20–30 seconds. Low temperature causes cell death, freezes interstitial fluid, and activates vascular spasm. Cryodestruction takes 15-30 minutes, taking into account the use of local anesthesia. Do not use to remove extensive areas of keratinization, their localization in hard-to-reach places.
Radio wave removal. Excision of the keratinization zone by radio wave radiation.
Under the action of radio waves, evaporation of pathologically altered areas occurs at a controlled depth, sterile, without the risk of infection. The radio beam acts exclusively on dead cells of the epithelium, without damaging healthy ones. Used for extensive areas of keratinization.
All procedures are effective and sparing, do not cause scarring and anatomical changes in the exocervix. The rehabilitation period varies from 2 weeks to 2 months, depending on the extent of leukoplakia, the presence of concomitant pathologies.
Prevention of cervical leukoplakia
Prevention measures include the prevention of provoking factors:
exclusion of abortion and trauma to the cervix during childbirth;
early diagnosis and treatment of erosion, infection and inflammation of the female genital organs;
taking hormonal drugs under the supervision of a gynecologist;
prevention of sexually transmitted infections;
the presence of a permanent healthy partner or protected sex.




This condition may improve without treatment. 
Refers to the background processes of the body, and has no signs of atypia (changes in cell structure). The processes of thickening and keratinization develop in the surface layers of the epithelium, the cells of the lower layers remain unchanged.
Seals can merge with each other.
The procedure is performed under local anesthesia. Healing occurs under the crust, which is rejected after 1–2 weeks, and healthy epithelial tissue forms under it. The average recovery time is a month.
Under the action of radio waves, evaporation of pathologically altered areas occurs at a controlled depth, sterile, without the risk of infection. The radio beam acts exclusively on dead cells of the epithelium, without damaging healthy ones. Used for extensive areas of keratinization.