Verrucous Papules: Causes, Symptoms, and Treatment Options
What are verrucous papules. How are verrucous papules diagnosed. What causes verrucous papules to develop. How are verrucous papules treated. Are verrucous papules contagious. Can verrucous papules be prevented. When should you see a doctor about verrucous papules.
Understanding Verrucous Papules: An Overview
Verrucous papules are small, raised lesions on the skin that have a rough, wart-like texture. These benign growths can appear anywhere on the body but are most commonly found on the extremities, face, and genital area. While generally harmless, verrucous papules can sometimes be a sign of underlying skin conditions or infections.
To better understand verrucous papules, it’s important to break down their key characteristics:
- Appearance: Small, raised bumps with a rough surface
- Size: Typically 1-5 mm in diameter
- Color: Can range from flesh-colored to brown or gray
- Texture: Rough and sometimes scaly
- Distribution: Can occur as single lesions or in clusters
Common Causes of Verrucous Papules
Verrucous papules can develop due to various factors. Understanding these causes can help in both prevention and treatment. Some of the most common causes include:

- Human Papillomavirus (HPV) infection
- Chronic irritation or friction
- Certain skin conditions (e.g., lichen planus, psoriasis)
- Genetic predisposition
- Immune system dysfunction
- Environmental factors
Is HPV the only virus that can cause verrucous papules? While HPV is a common cause, other viral infections can also lead to the development of verrucous papules. These may include molluscum contagiosum virus and herpes simplex virus in some cases.
Diagnosing Verrucous Papules: What to Expect
Accurate diagnosis of verrucous papules is crucial for proper treatment. Healthcare providers typically follow a systematic approach to diagnose these skin lesions:
- Visual examination: A dermatologist will carefully inspect the affected area
- Medical history: The patient’s medical background and any recent changes in skin condition are discussed
- Dermoscopy: A special magnifying tool may be used to examine the lesions more closely
- Biopsy: In some cases, a small sample of the papule may be taken for laboratory analysis
- Additional tests: If an underlying condition is suspected, blood tests or other diagnostic procedures may be ordered
How accurate is visual examination in diagnosing verrucous papules? While experienced dermatologists can often diagnose verrucous papules through visual examination alone, additional tests like dermoscopy or biopsy may be necessary for confirmation, especially in cases where the appearance is atypical or there’s suspicion of a more serious condition.

Treatment Options for Verrucous Papules
The treatment of verrucous papules depends on their cause, location, and severity. In many cases, these lesions may resolve on their own without intervention. However, when treatment is necessary, several options are available:
- Topical medications: Prescription creams or ointments containing retinoids, salicylic acid, or imiquimod
- Cryotherapy: Freezing the papules with liquid nitrogen
- Electrocautery: Using an electric current to burn off the lesions
- Laser therapy: Employing focused light energy to remove the papules
- Surgical excision: Cutting out the papules in more severe or persistent cases
- Photodynamic therapy: Using light-sensitive drugs and a light source to destroy the abnormal cells
Are there any natural remedies for treating verrucous papules? While medical treatments are generally more effective, some people report success with natural remedies such as tea tree oil, apple cider vinegar, or aloe vera. However, it’s important to consult with a healthcare provider before trying any home treatments, as they may not be suitable for all cases and could potentially cause irritation or other complications.

Preventing Verrucous Papules: Practical Tips
While it’s not always possible to prevent verrucous papules, there are several steps you can take to reduce your risk of developing these skin lesions:
- Maintain good hygiene practices
- Avoid sharing personal items like towels or razors
- Protect your skin from excessive friction or irritation
- Boost your immune system through a healthy diet and lifestyle
- Use protective measures during sexual activity to prevent HPV transmission
- Stay up-to-date with recommended vaccinations, including the HPV vaccine
- Regularly inspect your skin for any changes or new growths
Can stress contribute to the development of verrucous papules? While stress itself may not directly cause verrucous papules, it can weaken the immune system, making you more susceptible to viral infections and skin conditions that may lead to their formation. Managing stress through relaxation techniques, exercise, and adequate sleep can help maintain overall skin health.
Differentiating Verrucous Papules from Other Skin Conditions
Verrucous papules can sometimes be confused with other skin conditions due to their similar appearance. It’s important to distinguish them from conditions such as:

- Warts
- Seborrheic keratosis
- Actinic keratosis
- Skin tags
- Molluscum contagiosum
- Lichen planus
How can you tell the difference between verrucous papules and common warts? While both conditions can appear similar, verrucous papules often have a more uniform surface and lack the characteristic “black dots” (thrombosed capillaries) often seen in common warts. Additionally, verrucous papules may be more numerous and clustered compared to typical warts. However, a dermatologist’s expert evaluation is crucial for accurate differentiation.
Key Distinguishing Features
To help differentiate verrucous papules from other skin conditions, consider the following characteristics:
- Surface texture: Verrucous papules have a rough, but often more uniform surface compared to warts
- Distribution: They may appear in clusters or widespread areas, unlike isolated warts
- Color: Generally flesh-colored to brown, whereas some other conditions may have more varied coloration
- Growth pattern: Verrucous papules tend to grow slowly over time
- Associated symptoms: Usually asymptomatic, unlike some other skin conditions that may cause itching or pain
When to Seek Medical Attention for Verrucous Papules
While verrucous papules are often benign, there are situations where medical consultation is advisable. Consider seeking professional help if you experience:

- Rapid growth or change in appearance of existing papules
- Development of new papules in multiple areas
- Persistent itching, pain, or bleeding associated with the lesions
- Papules that interfere with daily activities or cause discomfort
- Concern about the cosmetic appearance of the papules
- Suspicion of an underlying skin condition or infection
- Papules that do not respond to over-the-counter treatments
How urgent is it to see a doctor for verrucous papules? In most cases, verrucous papules are not a medical emergency. However, if you notice rapid changes, unusual symptoms, or have concerns about your skin health, it’s best to schedule an appointment with a dermatologist for proper evaluation and guidance.
What to Expect During Your Medical Visit
When you consult a healthcare provider about verrucous papules, you can anticipate the following:
- A thorough examination of the affected areas
- Questions about your medical history and any symptoms you’ve experienced
- Possible use of a dermoscope for closer inspection
- Discussion of treatment options if necessary
- Recommendations for prevention and follow-up care
Living with Verrucous Papules: Coping Strategies and Support
For individuals dealing with persistent verrucous papules, coping with the condition can sometimes be challenging. Here are some strategies to help manage the physical and emotional aspects:

- Education: Learn about the condition to better understand and manage it
- Skincare routine: Develop a gentle, consistent skincare regimen
- Stress management: Practice relaxation techniques to reduce stress-induced flare-ups
- Support groups: Connect with others who have similar experiences
- Open communication: Discuss concerns with your healthcare provider
- Camouflage techniques: Use makeup or clothing to conceal visible papules if desired
- Positive self-image: Focus on overall health and well-being rather than isolated skin issues
How can verrucous papules affect a person’s quality of life? While often harmless, visible verrucous papules can sometimes impact self-esteem and social interactions. Some individuals may feel self-conscious or experience anxiety about their appearance. Acknowledging these feelings and seeking support when needed is important for maintaining overall well-being.
Emotional Support and Resources
Dealing with any skin condition can be emotionally challenging. Consider the following resources for support:

- Dermatology support groups (online or in-person)
- Mental health professionals specializing in body image issues
- Educational materials from reputable dermatology organizations
- Patient advocacy groups focusing on skin health
- Social media communities for individuals with similar experiences
In conclusion, verrucous papules are generally benign skin growths that can be effectively managed with proper care and treatment when necessary. By understanding the causes, symptoms, and available treatments, individuals can make informed decisions about their skin health. Remember, while this information provides a comprehensive overview, it’s always best to consult with a healthcare professional for personalized advice and treatment options.
(PDF) Verrucous papule on thigh
648 THE JOURNAL OF FAMILY PRACTICE
|
NOVEMBER 2010
|
VOL 59, NO 11
Treatment may
be considered
to prevent
bothersome
bleeding.
How to diagnose angiokeratoma
e clinical presentation typically su ces in
making the diagnosis of an angiokeratoma. If
dermoscopy is performed, the characteristic
ndings include the presence of scale and
purple lacunae13 (FIGURE 2). However, when
there is suspicion of melanoma or the clini-
cal diagnosis is in doubt, the entire lesion
should be removed (with narrow margins)
in order to obtain a de nitive diagnosis. His-
tological ndings consist of dilated subepi-
dermal vessels associated with epidermal
hyperkeratosis.3
No need to treat,
unless there are cosmetic concerns
If the diagnosis is straightforward and a bi-
opsy is not needed, no treatment is neces-
sary because simple angiokeratomas are
benign entities.
However, treatment may be
considered for cosmetic purposes, or to pre-
vent bothersome bleeding. Angiokeratomas
may be removed via shave or standard exci-
sion, electrodessication and curettage, or
destroyed with a laser. For Fabry’s disease, in
which numerous angiokeratomas pose a cos-
metic concern, laser therapy, including the
use of an argon, copper, Nd:Yag, KTP 532-nm,
or Candela V-beam laser, is preferred.14
❚ In our patient’s case, we performed a
2-mm punch biopsy, which revealed that
the lesion was an angiokeratoma. It was
subsequently removed by shave biopsy with
clear margins.
JFP
CORRESPONDENCE
Thomas M. Beachkofsky, MD, Capt, USAF, MC, Department of
the Air Force, Wilford Hall Medical Center, 59 MDW/SG05D/
Dermatology, 2200 Bergquist Drive, Suite 1, Lackland AFB, TX
78236-9908; tbeachkofsky@yahoo.
com
1. Karen JK, Hale EK, Ma L. Angiokeratoma corporis di usum.
Dermatol Online J. [Internet]. 2005;11:8. Available at: http://
dermatology.cdlib.org/114/NYU/NYUtexts/0419054.html.
Accessed September 24, 2010.
2. Schiller PI, Itin PH. Angiokeratomas: an update. Dermatology.
1996;193:275-282.
3. Zaballos P, Dauft C, Puig S, et al. Dermoscopy of solitary
angiokeratomas: a morphological study. Arch Dermatol.
2007;143:318-325.
4. Kim JH, Nam TS, Kim SH. Solitary angiokeratoma developed
in one area of lymphangioma circumscriptum. J Korean Med
Sci. 1988;3:169-170.
5. Sion-Vardy N, Manor E, Puterman M, et al. Solitary angiokera-
toma of the tongue. Med Oral Patol Oral Cir Bucal. 2008;13:12-
14.
6. Vascular tumors and malformations. In: Habif TP, Campbell
JL, Dinulos JG, et al, eds. Skin Disease: Diagnosis and Treat-
ment. New York, NY: Mosby; 2004:486-487.
7. Leis-Dosil VM, Alijo-Serrano F, Aviles-Izquierdo JA, et al. An-
giokeratoma of the glans penis: clinical, histopathological
and dermoscopic correlation. Dermatol Online J. [Internet].
2007;13:19. Available from: http://dermatology.cdlib.org/132/
case_presentations/angiokeratoma/dosil.html. Accessed Sep-
tember 24, 2010.
8. Erkek E, Basar MM, Bagci Y, et al. Fordyce angiokerato-
mas as clues to local venous hypertension. Arch Dermatol.
2005;141:1325-1326.
9. Rager EL, Bridgeford EP, Ollila DW. Cutaneous melanoma: up-
date on prevention, screening, diagnosis, and treatment. Am
Fam Physician. 2005;72:269-276.
10. Chudnovsky Y, Khavari PA, Adams AE. Melanoma genetics
and the development of rational therapeutics. J Clin Invest.
2005;115:813-824.
11. Ortiz CA, Goodwin JS, Freeman JL. e e ect of socioeco-
nomic factors on incidence, stage at diagnosis, and survival of
cutaneous melanoma.
Med Sci Monit. 2005;11:163-172.
12. Abbasi, NR, Shaw HM, Rigel DS, et al. Early diagnosis of cuta-
neous melanoma. JAMA. 2004;292:2771-2776.
13. Johr RH, Soyer P, Argenziano G, et al. Dermoscopy: e Essen-
tials. New York, NY: Mosby; 2007:130.
14. Enjolras O. Vascular malformations. In: Bolognia JL, Jorizzo JL,
Rapini RP, eds. Dermatology. Philadelphia, Pa: Mosby; 2003:
1621-1622.
15. Peris K, Micantonio T, Piccolo D, et al. Dermoscopic features of
actinic keratosis. J Dtsch Dermatol Ges. 2007;5:970-976.
16. McIntyre WJ, Downs MR, Bedwell SA. Treatment options for
actinic keratosis. Am Fam Physician. 2007;76:667-671.
17. Kamil ZS, Tong LC, Habeeb AA, et al. Non-melanocytic mim-
ics of melanoma: part 1: intraepidermal mimics. J Clin Pathol.
2009;62:120-127.
18. Wong CS, Strange RC, Lear JT. Basal cell carcinoma. BMJ.
2003;327:794-798.
19. Menzies SW.
Dermoscopy of pigmented basal cell carcinoma.
Clin Dermatol. 2002;20:268-269.
20. Braun RP, Rabinovitz H, Oliviero M, et al. Dermoscopic diag-
nosis of seborrheic keratosis. Clin Dermatol. 2002;20:270-272.
21. Agero AL, Taliercio S, Dusza SW, et al. Conventional and polar-
ized dermoscopy features of dermato broma. Arch Dermatol.
2006;142:1431-1437.
References
We want to hear from you!
Have a comment on an article, editorial, or department?
You can send a letter 1 of 3 ways.
1. EMAIL: [email protected]
2. FAX: 973-206-9251
3. MAIL: The Journal of Family Practice, 7 Century Drive, Suite 302, Parsippany, NJ 07054
Letters should be addressed to the Editor, The Journal of Family Practice, and be 200 words or less.
They will be edited prior to publication.
Brown-Black, Papular, Verrucous Lesion on the Face: What is Your Diagnosis?
Clinical Image
Brown-Black, Papular, Verrucous Lesion on the Face: What is Your Diagnosis?
Ayse Serap Karadag*, Emin Ozlu and Seyma Ozkanli
Department of Dermatology and Pathology, Istanbul Medeniyet University, Goztepe Research and Training Hospital, Turkey
*Corresponding author: Ayse Serap Karadag, Department of Dermatology, Istanbul Medeniyet University, School of Medicine, Turkey
Received: October 28, 2014; Accepted: October 31, 2014; Published: November 03, 2014
Citation: Karadag AS, Ozlu E and Ozkanli S.
Brown-Black, Papular, Verrucous Lesion on the Face: What is Your Diagnosis?. Austin J Dermatolog. 2014;1(6): 1029. ISSN:2381-9189
Clınıcal Image
History
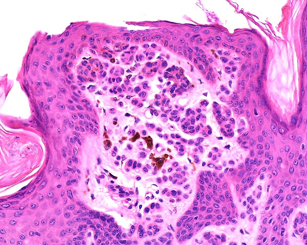
A 70 years old male patient admitted to our clinic with a 10 years history brown, macular lesion that is 1×1,5 cm in size and up on that lesion, a 1 year history, sharp edged, brown- black, verrucose, popular lesion that is protruded from the skin and is 0,5×0,5 cm in size (Figure 1a).
Skin biopsy taken from the lesion revealed hyperkeratosis, acanthosis, scattered melanocytes in the epidermis and lymphocytes and macrophages in the superficial dermis, but didn’t reveal any atypiaormitosis (Figure 1b).
What is your diagnosis?
- Seborrheickeratosis
- Lentigomaligna
- Intradermalnevus
- Malignmelanoma
- Melanoacanthoma
What is your treatment approach?
- Surgicalexcision
- Chemicalkoterization
- Cryotherapy
- Follow-up
- Mohssurgicalexcision
We applied cryotherapy two times, and then the entire lesion cured (Figure 1c).
Diagnosis: Melanoacanthoma
Melanoacanthoma is a solitary benign skin tumor that is common with middle- old aged people and is usually placed on the head, trunk, lips or eyelids. Melanoacanthoma can imitate the clinical presentations of seborrheic keratosis and malign melanoma. But characteristic histopathological attributes allow differentiation of these 3 diseases. Recently, melanoacanthoma is thought to a rare variant of seborrheic keratosis rather than a distinct entity. Melanoacanthoma is a benign skin tumor, so it can be treated with curettage, cryotherapy or simple excision.
Figure 1a
Brown-black, maculopapular lesion that is 1×1,5 cm in size.
Figure 1b
Hyperkeratosis, acanthosis, scattered melanocytes in theepidermis and lymphocytes and macrophages in the superficial dermis but didn’t revealanyatypiaormitosis.
Figure 1c
Lesion regressed after cryotherapy treatment.
Verrucous papule on thigh | Meta
Related Concepts
AngiokeratomaDifferential DiagnosisMalignant Neoplasm of SkinThigh Structure
Trending Feeds
COVID-19
Coronaviruses encompass a large family of viruses that cause the common cold as well as more serious diseases, such as the ongoing outbreak of coronavirus disease 2019 (COVID-19; formally known as 2019-nCoV).
Coronaviruses can spread from animals to humans; symptoms include fever, cough, shortness of breath, and breathing difficulties; in more severe cases, infection can lead to death. This feed covers recent research on COVID-19.
Blastomycosis
Blastomycosis fungal infections spread through inhaling Blastomyces dermatitidis spores. Discover the latest research on blastomycosis fungal infections here.
Nuclear Pore Complex in ALS/FTD
Alterations in nucleocytoplasmic transport, controlled by the nuclear pore complex, may be involved in the pathomechanism underlying multiple neurodegenerative diseases including Amyotrophic Lateral Sclerosis and Frontotemporal Dementia. Here is the latest research on the nuclear pore complex in ALS and FTD.
Applications of Molecular Barcoding
The concept of molecular barcoding is that each original DNA or RNA molecule is attached to a unique sequence barcode.
Sequence reads having different barcodes represent different original molecules, while sequence reads having the same barcode are results of PCR duplication from one original molecule. Discover the latest research on molecular barcoding here.
Chronic Fatigue Syndrome
Chronic fatigue syndrome is a disease characterized by unexplained disabling fatigue; the pathology of which is incompletely understood. Discover the latest research on chronic fatigue syndrome here.
Evolution of Pluripotency
Pluripotency refers to the ability of a cell to develop into three primary germ cell layers of the embryo. This feed focuses on the mechanisms that underlie the evolution of pluripotency. Here is the latest research.
Position Effect Variegation
Position Effect Variagation occurs when a gene is inactivated due to its positioning near heterochromatic regions within a chromosome.
Discover the latest research on Position Effect Variagation here.
STING Receptor Agonists
Stimulator of IFN genes (STING) are a group of transmembrane proteins that are involved in the induction of type I interferon that is important in the innate immune response. The stimulation of STING has been an active area of research in the treatment of cancer and infectious diseases. Here is the latest research on STING receptor agonists.
Microbicide
Microbicides are products that can be applied to vaginal or rectal mucosal surfaces with the goal of preventing, or at least significantly reducing, the transmission of sexually transmitted infections. Here is the latest research on microbicides.
Related Papers
Annales de pathologie
Samy FennicheInsaf Mokhtar
Revue médicale de Liège
C DevillersG E Piérard
Ars curandi em odontologia
A S CardosoR K Sampaio
Otolaryngology–head and Neck Surgery : Official Journal of American Academy of Otolaryngology-Head and Neck Surgery
N C Goldman
International Dental Journal
W G Shafer
Woman with Papules on the Hand – Page 2 of 2
Differential Diagnoses:
Seborrheic keratosis
Actinic keratosis
Corns
Squamous cell carcinoma
Diagnosis: Verruca vulgaris
Learnings: Common warts (verruca vulgaris) are benign skin proliferations caused by infection of the epidermis with human papillomavirus (HPV), most frequently types 1, 2, and 4.
Verruca vulgaris lesions may be acquired from direct contact with HPV-infected skin or, less commonly, from contact with HPV-carrying fomites. Autoinoculation is very common. Warts are frequent at locations that are traumatized. HPV types 2 and 4 may infect virtually any epidermal surface, including mucosal surfaces, but common warts are most often seen on the hands, feet, and knees. Verruca manifest as skin-colored hyperkeratotic papules. They may be pruritic, and scratching can produce a linear array of lesions via autoinoculation. The lesions are more prevalent in children and in immunocompromised patients; widespread, persistent lesions may be a clue to underlying inherited or acquired immunodeficiency.
For unknown reasons, the incidence of common warts is approximately twice as high in whites as in individuals of African descent, and 10 times more common in Hispanics than in individuals of African descent. In persons of African descent, the majority of warts are solitary, whereas in Hispanics, the common presentation is multiple warts.
Immunocompromised patients often have larger confluent verruca that are more resistant to standard therapies. The presence of warts per se is not a reason for expensive immunologic testing, however.
What to Look For: Look for 2- to 6-mm verrucous hyperkeratotic papules most commonly located on the dorsal surface of the hands, fingers, subungual skin, and feet. Close inspection will usually reveal tiny black dots, which represent thrombosed capillaries. Confluent verrucous plaques may form in sites of long-standing lesions. In immunocompromised patients, lesions may present as confluent verrucous plaques of up to 8 cm in diameter.
Acknowledgment: Image courtesy of Logical Images, Inc. (www.VisualDx.com/JUCM)
Subungual Squamous Cell Carcinoma: The Diagnostic Challenge and Clinical Pearls – FullText – Case Reports in Dermatology 2016, Vol. 8, No. 3
Abstract
Subungual squamous cell carcinoma is a rare entity and difficult to diagnose as its clinical presentation may resemble benign conditions.
This case report highlights the need to maintain a high clinical index of suspicion, and recommends a practical approach for subungual conditions. Dermoscopy and a biopsy for histology are important adjuncts to clinch the diagnosis.
© 2016 The Author(s)
Published by S. Karger AG, Basel
Background
Subungual carcinomas are often undiagnosed as their clinical presentation may resemble benign conditions. Nail bed tumours range from squamous cell carcinomas (SCC), malignant melanomas, verrucous carcinomas to keratoacanthomas [1]. However, in the current literature, subungual SCC involving the toenails are uncommon [2].
Case Report
A 58-year-old male, with no significant comorbidities, presented to our outpatient dermatology clinic with pain over his right fourth toe for 2 months. Notably, he reported prior trauma to the foot before the development of pain. Thereafter, the nail did not heal and he visited a primary care physician, who diagnosed an underlying viral wart, and he was referred for dermatological care.
He was well, with no history of immunosuppression or human papillomavirus (HPV)-related infections.
Physical examination revealed a horizontal split of the toenail at the distal margin with a subungual verrucous papule, with features suspicious of a viral wart (fig 1). He was commenced on cryotherapy and during his third session he developed purulent discharge and pain over that toe. Pyogenic cultures were despatched and the patient was commenced on empirical antibiotics. The pyogenic cultures grew Staphylococcus aureus and Citrobacter species sensitive to penicillin. The infection improved with a course of oral antibiotics and he was resumed on cryotherapy.
Fig. 1.
Clinical photographs showing the verrucous lesion (a) under the nail bed and after partial trimming of the nail (b).
He returned 2 weeks later due to persistent discharge from the toe; in view of the lack of response to therapy, he then underwent a nail bed biopsy with nail avulsion, and histology revealed irregular buds and sheets of atypical well-differentiated squamous cells arising from the surface and invading the underlying dermis (fig 2-4).
There were also foci of dystrophic calcification present and a brisk lymphocytic infiltration. HPV stain was negative. A diagnosis of invasive well-differentiated SCC was made and the patient subsequently underwent surgical management by the orthopaedic surgeons.
Fig. 2.
Within the nail bed, tongues of atypical squamous epithelium invade deeply into the dermis. H&E stain, magnification ×20.
Fig. 3.
Atypical squamous epithelium with dyskeratinization and pleomorphic keratinocytes. H&E stain, magnification ×100.
Fig. 4.
Whorls of dyskeratinization with atypical keratinocytes featuring pleomorphic nuclei. H&E stain, magnification ×200.
Discussion
Subungual SCC remain the most common primary malignant neoplasm of the nail bed, which usually presents in middle-aged male subjects aged 50–59 years [3], and have a higher incidence in the fingers, and rarely in the toes. Subungual carcinomas have a wide variety of presentation and are commonly mistaken as verruca vulgaris [4].
It is therefore important to exclude malignancy in non-resolving verrucae or recurrent infections of the toenail [5].
We propose that the physician should note the following important features and clinical algorithm in evaluating a subungual lesion as presented in figure 5. In the history taking, chronic pain, splitting of nails, or change in nail colour and immunosuppression as a risk factor or previous history of HPV-related infections should be elucidated [3]. Other risk factors include radiation exposure, chronic infection, arsenic ingestion and prior trauma [6]. A thorough physical examination of the affected nail is required, looking for features such as nail plate variation, hyperkeratosis and nodularity. However, worrying signs include an uncharacteristic site of onycholysis, a friable lesion, and a chronically infected nail bed with ulceration. If direct dermoscopy can be performed, it is useful to look for longitudinal melanonychia or erythronychia, irregular vascularity, and haemorrhages [7].
If direct visualization of the nail bed is not possible, removal of the nail bed for further examination is required and a nail bed matrix biopsy for histology is mandatory. Nail avulsion for exposure is required and normal tissue should be included in the specimen [8]. HPV staining, although not routine, should be considered because type 16 HPV associations have been found most commonly, albeit in fingernails, for Bowen’s disease and SCC [9]. However, other high-risk HPV subtypes such as HPV26, HPV33, HPV51, HPV56 and HPV73 have been found as well [10]. In the same study by Kreuter et al. [10], HPV-associated subungual SCC had a higher expression of p16INK4a and Ki67 biomarkers compared to non-HPV subungual SCC. The higher proliferative rate in the former may suggest a potentially more aggressive course than the latter.
Fig. 5.
A proposed clinical approach to evaluate subungual lesions.
Treatment options are dependent on the extent of the disease and include wide local excision, digital amputation, and Mohs surgery.
Mohs surgery offers maximal tissue conservation and is often considered the gold standard for treating subungual SCC, as it allows the evaluation of periosteal invasion to be distinguished from inflammation or compression [5]. Local adjuvant treatment, such as curettage, imiquimod or carbon dioxide laser, can be used to reduce recurrence in patients with co-existing HPV infection [11].
Subungual SCC may be locally invasive but rarely metastasizes. However, complete wide local excision of the tumour may be required to prevent recurrence, especially if there is evidence of local invasion [4], as bony involvement can be found in up to 20% of patients [12]. Our patient was referred promptly and underwent surgical excision due to the locally invasive disease. Lastly, it is also suggested that HPV-positive cases be followed up closely as HPV-associated subungual SCC has been found to be more likely to recur after surgery [9].
Conclusion
Subungual SCC is an uncommon carcinoma that may mimic a benign verruca.
Physicians need to maintain heightened awareness and to consider a biopsy for suspicious lesions that are not responding to treatment. The proposed clinical algorithm serves as a useful tool for physicians in the outpatient dermatological setting to aid in the clinical diagnosis of this condition.
Statement of Ethics
Informed consent for publishing the case was obtained from the patient.
Disclosure Statement
The authors declare no conflicts of interest.
References
-
Nasca MR, Innocenzi D, Micali G: Subungual squamous cell carcinoma of the toe: report on three cases. Dermatol Surg 2004;30: 345–348.
-
Morule A, Adamthwaite DN: Squamous carcinoma of the nail bed: a case report.
S Afr Med J 1984;65: 63–64.
-
Riddel C, Rashid R, Thomas V: Ungual and periungual human papillomavirus-associated squamous cell carcinoma: a review. J Am Acad Dermatol 2011;64: 1147–1153.
-
Gordon DK, Ponder EN, Berrey BH, Kubik MJ, Sindone J: Verrucous carcinoma of the foot, not your typical plantar wart: a case study. Foot (Edinb) 2014;24: 94–98.
-
Bizzle PG: Subungual squamous cell carcinoma of the thumb masked by infection.
Orthopedics 1992;15: 1350–1352.
-
Oon HH, Kumarasinghe SP: Subungual squamous cell carcinoma masquerading as a melanotic macule. Singapore Med J 2008;49:e76–e77.
-
Dika E, Fanti PA, Patrizi A, Misciali C, Vaccari S, Piraccini BM: Mohs surgery for squamous cell carcinoma of the nail unit: 10 years of experience. Dermatol Surg 2015;41: 1015–1019.
-
Patel PP, Hoppe IC, Bell WR, Lambert WC, Fleegler EJ: Perils of diagnosis and detection of subungual squamous cell carcinoma.
Ann Dermatol 2011;23(suppl 3):285–287.
-
Alam M, Caldwell JB, Eliezri YD: Human papillomavirus associated digital squamous cell carcinoma: literature review and report of 21 new cases. J Am Acad Dermatol 2003;48: 385–393.
-
Kreuter A, Gambichler T, Pfister H, Wieland U: Diversity of human papillomavirus types in periungual squamous cell carcinoma. Br J Dermatol 2009;161: 1262–1269.
-
Ruiz Santiago H, Morales-Burgos A: Cryosurgery as adjuvant to Mohs micrographic surgery in the management of subungual squamous cell carcinoma.
Dermatol Surg 2011;37: 256–258.
-
Attiyeh FF, Shah J, Booher RJ, Knapper WH: Subungual squamous cell carcinoma. JAMA 1979; 241: 262–263.
Author Contacts
Dr. Wai Leong Kok
National Skin Centre Singapore
1 Mandalay Road
Singapore 308205 (Singapore)
E-Mail [email protected]
Article / Publication Details
Received: August 16, 2016
Accepted: August 23, 2016
Published online: October 13, 2016
Issue release date: September – December
Number of Print Pages: 6
Number of Figures: 5
Number of Tables: 0
eISSN: 1662-6567 (Online)
For additional information: https://www.
karger.com/CDE
Open Access License / Drug Dosage / Disclaimer
This article is licensed under the Creative Commons Attribution-NonCommercial 4.0 International License (CC BY-NC). Usage and distribution for commercial purposes requires written permission. Drug Dosage: The authors and the publisher have exerted every effort to ensure that drug selection and dosage set forth in this text are in accord with current recommendations and practice at the time of publication. However, in view of ongoing research, changes in government regulations, and the constant flow of information relating to drug therapy and drug reactions, the reader is urged to check the package insert for each drug for any changes in indications and dosage and for added warnings and precautions. This is particularly important when the recommended agent is a new and/or infrequently employed drug. Disclaimer: The statements, opinions and data contained in this publication are solely those of the individual authors and contributors and not of the publishers and the editor(s).
The appearance of advertisements or/and product references in the publication is not a warranty, endorsement, or approval of the products or services advertised or of their effectiveness, quality or safety. The publisher and the editor(s) disclaim responsibility for any injury to persons or property resulting from any ideas, methods, instructions or products referred to in the content or advertisements.
Perianal verrucous epidermal naevus mimicking perianal warts
A case of perianal verrucous epidermal naevus mimicking perianal warts in a 2 year old boy is described. Verrucous epidermal naevus should be included in the differential diagnosis of perianal warty lesions, particularly when they are present since birth or appear during childhood.
CASE REPORT
A 2 year old boy was referred by a paediatrician for the evaluation of a perianal verrucous lesion which looked like perianal warts. The condition was first noticed by the child’s mother when he was 9 months old as a raised velvety area around the anal orifice.
Over the next few months, multiple, small, warty elevations developed over the region. The lesions had remained stable thereafter. There was no parental report of scratching, exudations or bleeding, or difficulty in passing stools. There was no history of viral warts or any STD in the parents. The child has remained in good health since his birth and achieved the milestones normally. Examination revealed a mildly elevated, velvety, periorificial skin studded with multiple, brownish, keratotic papules (fig 1). Detailed systemic examination failed to reveal any abnormality.
Figure 1
Perianal warty papules.
A provisional diagnosis of verrucous epidermal naevus was made and a punch biopsy specimen was obtained. Histological examination corroborated the clinical diagnosis by showing hyperkeratosis, acanthosis, and papillomatosis without any evidence of vacuolar change in the keratinocytes or any dermal pathology.
Virological study for human papillomavirus (HPV) could not be done owing to lack of facilities. The parents declined any immediate treatment for the asymptomatic condition and during a follow up period of 1 year, the child has remained healthy with the lesions remaining unchanged in appearance.
COMMENT
Verrucous epidermal naevi are circumscribed hamartomatous lesions composed almost exclusively of keratinocytes.1 Most epidermal naevi usually occur at birth or infancy but rarely their appearance may be delayed until puberty.2 The lesions typically consist of closely set warty papules that coalesce to form well defined keratotic plaques usually in a linear fashion. Verrucous epidermal naevi may be almost of any size, may be single or multiple, and can occur at more or less any site.1 Since these lesions closely mimic viral warts, their occurrence in the perianal region during childhood or adolescence may raise the suspicion of perianal warts as in the present case.
Onset of the lesions early in life, their stable nature, typical linear configuration, and histological features may help in the differential diagnosis. Usually only of cosmetic importance, the skin lesions may be treated by cryotherapy, surgical excision, or carbon dioxide laser ablation.1,3
Epidermal naevi, particularly if extensive, may be associated with other developmental anomalies mainly involving the central nervous system, the skeletal system, and the eyes.4 In a large study, one or more such abnormalities were demonstrated in 33% of cases.2 Since patients with epidermal naevi are at significant risk of having other abnormalities, detailed systemic examination and periodic follow up is warranted in every case to exclude them.
References
- ↵
Atherton DJ. Naevi and other developmental defects. In: Champion RH, Burton JL, Burns DA, Breathnach SM, eds.Textbook of dermatology.
6th ed. Oxford: Blackwell Science, 1998:519–616. - ↵
Rogers M, McCrossin I, Commens C. Epidermal nevi and the epidermal nevus syndrome. A review of 131 cases. J Am Acad Dermatol1989;20:476–88.
- ↵
Losee JE, Serletti JM, Pennino RP. Epidermal nevus syndrome: a review and case report. Ann Plast Surg1999;43:211–14.
- ↵
Solomon LM, Fretzin DF, Dewald RL. The epidermal nevus syndrome. Arch Dermatol1968;97:273–85.
Pathology Outlines – Warts (verrucae)
Infectious disorders
Warts (verrucae)
Topic Completed: 7 June 2021
Minor changes: 30 September 2021
Copyright: 2002-2021, PathologyOutlines.com, Inc.
PubMed Search: Warts[title] skin[title] pathology
Page views in 2020: 23,482
Page views in 2021 to date: 49,188
Cite this page: Abdelkader, H, Elbendary A.
Warts (verrucae). PathologyOutlines.com website. https://www.pathologyoutlines.com/topic/skinnontumorwarts.html. Accessed December 7th, 2021.
Essential features
- Flesh colored papules with a rough surface
- Caused by HPV infection
- Hands and feet are common sites
- Koilocytes are a characteristic histologic finding
Terminology
- Verrruca vulgaris: common wart
- Condyloma acuminata: genital warts
- Verruca palmaris / verruca plantaris: palmar / plantar warts
- Myrmecia: special type of plantar wart
- Verrucae planae: Plane warts
ICD coding
- ICD-10: B07 – Viral warts
- ICD-10: B07.9 – Viral wart, unspecified
Epidemiology
- 7 – 12% of population, children more than adults (Ann Fam Med 2013;11:437)
- Genital warts are a sexually transmitted infection (STI)
- HPV related diseases: respiratory papillomatosis, oropharyngeal cancer, anogenital cancers (penile, anal, vaginal, vulvar and cervical) (Infect Dis Clin North Am 2013;27:765)
Sites
- Common warts: any site, especially hands, fingers, knees and elbows (Am Fam Physician 2003;67:1233)
- Palmar / plantar: palms, soles (Am Fam Physician 2003;67:1233)
- Flat / plane warts: dorsal hands, face (Am Fam Physician 2003;67:1233)
- Genital warts: external genitals, perineum, perianal, groin, mons, vagina, urethra, anal canal (Infect Dis Clin North Am 2013;27:765)
- Oral warts: any oral surface (Infect Dis Clin North Am 2013;27:765)
- Recurrent respiratory papillomatosis: papillomas of airways (Infect Dis Clin North Am 2013;27:765)
Pathophysiology
- Spread via direct contact (sexual, skin to skin / fomite)
- HPV invades the epidermal basal cells through microabrasions; induces hyperplasia and hyperkeratosis
- Most infections are cleared by immune response
- HPV integrates low / high grade squamous intraepithelial lesions (SIL) within the host DNA
- Anogenital HPV infection integrates within the host DNA → intraepithelial neoplasia → low / high grade squamous intraepithelial lesions (SIL) Clin Colon Rectal Surg 2019;32:347
Clinical features
- Common warts: hyperkeratotic flesh colored papules with pinpoint black dots (thrombosed capillaries) (J Dtsch Dermatol Ges 2019;17:613)
- Palmar / plantar warts: thick, deep endophytic papules with black dots (J Dtsch Dermatol Ges 2019;17:613)
- Flat / plane warts: light pink-brown, flat topped papules (J Dtsch Dermatol Ges 2019;17:613)
- Genital warts: smooth, sessile, raised, skin colored to brown lobulated papules (Infect Dis Clin North Am 2013;27:765)
- Recurrent respiratory papillomatosis: nonspecific symptoms of airway involvement (chronic cough, hoarseness, wheezing, voice change, stridor and chronic dyspnea) (Respir Med 2017;126:116)
- Genetic syndromes:
- Epidermodysplasia verruciformis: increased susceptibility to genus β HPV types
- Generalized polymorphic papules (flat wart-like appearance on the dorsal hands, neck, face and extremities)
- Scaly, pink macules, hypopigmented, guttate macules / patches and seborrheic keratosis-like lesions on forehead, neck, trunk (Front Microbiol 2018;9:1222)
- WHIM syndrome: a rare primary immunodeficiency disorder characterized by warts, hypogammaglobinemia, infections and myelokathexis (Expert Opin Orphan Drugs 2017;5:813)
- WILD syndrome: warts, immunodeficiency, lymphedema and dysplasia (anogenital) (Expert Opin Orphan Drugs 2017;5:813)
- Epidermodysplasia verruciformis: increased susceptibility to genus β HPV types
Treatment
- Destructive therapies, e.
g. salicylic acid, trichloroacetic acid, cryotherapy, silver nitrate, phenol, cantharidin, surgical interventions and lasers (Indian Dermatol Online J 2016;7:364) - Antiproliferative agents, e.g. bleomycin, vitamin D analogs, podophyllin, podophyllotoxin and 5-fluro uracil (Indian Dermatol Online J 2016;7:364)
- Antiviral agents, e.g. cidofovir and retinoids (Indian Dermatol Online J 2016;7:364)
- Immunotherapy for recalcitrant, recurrent or extensive warts, e.g. imiquimod, BCG vaccine, MMR vaccine, Candida antigen, vitamin D3 (Indian Dermatol Online J 2016;7:364)
Clinical images
Contributed by Heba Ahmed Abdelkader, M.D.
Verrucae vulgaris
Images hosted on other servers:
Giant condyloma acuminatum
Tattoo associated flat warts
Epidermodysplasia verruciformis
Verruca plantaris
Gross description
- Flesh colored or brown papules or plaques with rough surface
- Single or multiple
- Recurrent respiratory papillomatosis: sessile or pedunculated soft exophytic nodules in the larynx or nasopharynx, tracheobronchial tree and pulmonary parenchyma
- See also: clinical features
Microscopic (histologic) description
- Common warts (verruca vulgaris) (Arch Pathol Lab Med 2018;142:700):
- Hyperkeratosis, papillomatosis, hypergranulosis
- Columns of parakeratosis, especially over projecting dermal papillae
- Vacuolated superficial keratinocytes with pyknotic raisin-like nuclei (koilocytes)
- Koilocytes are not seen in older lesions
- Inward bending of rete ridges at borders of lesion (toeing in)
- Dilated capillaries in dermal papillae
- Projects above the plane of the epidermis
- Palmar / plantar warts (verruca palmaris and verruca plantaris) (Arch Pathol Lab Med 2018;142:700):
- Similar to verruca vulgaris (clinical distinction based on location)
- Endophytic growth – greater proportion of the lesion lies beneath the plane of the epidermis
- Myrmecia warts (J Cutan Pathol 2012;39:936):
- Marked acanthosis
- Large eosinophilic intracytoplasmic inclusion bodies
- Plane warts (verrucae planae) (Arch Pathol Lab Med 2018;142:700):
- Acanthosis and hyperkeratosis
- No papillomatosis or parakeratosis
- Vacuolization of the cells of the upper stratum spinosum and stratum granulosum with margination of keratohyalin granules
- Condyloma acuminatum (venereal / genital warts) (Head Neck Pathol 2019;13:80):
- More massive acanthosis with bulbous rete ridges (condyloma means fist or knuckle)
- Koilocytes in the upper spinous layer
- Epidermodysplasia verruciformis (Arch Pathol Lab Med 2018;142:700):
- Acanthosis with small nests of large cells with pale blue-gray cytoplasm, clear nuclei and perinuclear halos
- May evolve to squamous cell carcinoma
- Recurrent respiratory papillomatosis (Mayo Clin Proc 2017;92:322):
- True papillae lined with hyperplastic squamous epithelium containing koilocytes
Microscopic (histologic) images
Contributed by Heba Ahmed Abdelkader, M.
D.
Verrucae vulgaris
Koilocytes
Myrmecia wart
Myrmecia inclusion bodies
Contributed by Hillary Rose Elwood, M.D. and AFIP images
Condyloma accuminatum
Electron microscopy description
Molecular / cytogenetics description
- HPV: in situ hybridization
Molecular / cytogenetics images
Images hosted on other servers:
HPV16 integration patterns
Sample pathology report
- Skin papule, dorsal left foot, punch biopsy:
- Histopathological features are consistent with verruca vulgaris (see comment)
- Comment: The epidermis showed hyperkeratosis, papillomatosis, hypergranulosis and columns of parakeratosis over projecting dermal papillae. Dilated capillaries were seen in the dermal papillae. Rete ridges showed inward bending at the borders of the lesion. Vacuolated superficial keratinocytes with pyknotic raisin-like nuclei (koilocytes) were seen.
Differential diagnosis
- Verruca vulgaris:
- Seborrheic keratosis:
- Variable combinations of hyperkeratosis, papillomatosis, acanthosis
- Horn pseudocysts
- No hypergranulosis, koilocytes or tiers of parakeratosis
- Epidermal nevus:
- Hyperkeratosis, papillomatosis, acanthosis
- No koilocytes or tiers of parakeratosis
- Acrochordon:
- Pedunculated papule, epidermis often extends almost completely around a fibrovascular core
- Papillomatosis and acanthosis
- No koilocytes or tiers of parakeratosis
- Acanthosis nigricans:
- Lesser degree of hyperkeratosis and papillomatosis
- Acanthosis minimal or absent
- Basal layer hyperpigmentation
- No koilocytes or tiers of parakeratosis
- Seborrheic keratosis:
- Myrmecia:
- Molluscum:
- Crater filled with eosinophilic to basophilic intracytoplasmic inclusions (Henderson-Patterson bodies) that push the nucleus and numerous keratohyaline granules aside
- Molluscum:
- Condyloma acuminata:
- Bowenoid papulosis:
- Atypical keratinocytes throughout the full thickness of the epidermis with several mitoses in metaphase
- Verrucous carcinoma:
- Well differentiated SCC with pushing invasive border
- More mitoses and cytologic atypia
- Condyloma lata:
- More moist than condylomata acuminata and may be ulcerated.

- Acanthosis with neutrophils in the epidermis
- Perivascular plasma cell infiltrate
- Spirochetes on dark-field examination and reactive syphilis serology
- More moist than condylomata acuminata and may be ulcerated.
- Bowenoid papulosis:
Board review style question #1
A 9 year old boy presents with multiple flesh colored skin papules on his hand. A skin biopsy of one of the lesions is shown. Which of the following is the most likely cause of his condition?
- Cytomegalovirus (CMV)
- Human herpesvirus type 1 (HHV1)
- Human papillomavirus type 1 (HPV1)
- Molluscum contagiosum virus type 1 (MCV1)
Board review style answer #1
C. Human papillomavirus type 1 (HPV1). HPV is the cause of verrucae vulgaris which presents as flesh colored papules, especially on the hands and feet. A is incorrect because CMV infection presents with fever, pneumonitis, hepatitis, encephalitis, chorioretinitis, gastroenteritis and a wide variety of skin manifestations, including morbilliform eruption, blueberry muffin rash in babies and ulcers.
B is incorrect because HHV presents as painful grouped vesicles on an erythematous base. D is incorrect, as MCV presents with white umbilicated papules.
Comment Here
Reference: Warts
Board review style question #2
Which of the following histopathologic features favors a diagnosis of a wart?
- Acanthosis
- Basal layer vacuolation
- Hyperkeratosis
- Koilocytic change
Board review style answer #2
D. Koilocytic change. Koilocytes represent the characteristic histopathologic finding in warts. They are vacuolated keratinocytes with pyknotic raisin-like nuclei in the superficial layers of the epidermis. A and C are nonspecific findings that can occur in many other diseases. B is incorrect, as basal layer vaculoation is not seen in warts.
Comment Here
Reference: Warts
Back to top
90,000 diagnostics and treatment in Minsk
Penile cancer treatment of 1, 2, 3 stages. Symptoms, signs, metastases, prognosis.

The penis (penis) is an external organ of the genitourinary system of men, designed for excretion of urine, intercourse and ejaculation.
The penis consists of two cavernous bodies, surrounded by a dense membrane of connective tissue, and a spongy body from which the head of the penis is formed, located around the urethra (urethra).
The fold of skin that covers the glans penis is called the foreskin. It has an inner and outer surface. The space that defines the foreskin is called the preputial sac.
What are the types of tumors of the penis?
1. Papillomas
The most common are benign tumors (papillomas).
2. Squamous cell carcinoma
Penile cancer in most cases are of epithelial origin and are squamous cell carcinomas.
In this case, the tumor develops from the epithelium of the glans penis and foreskin.
3. Warty carcinoma, adenocarcinoma, melanoma, basal cell carcinoma, sarcoma
These malignant tumors of the penis are rare and account for 5% of all cases.
4. Precancerous diseases of the penis
There are so-called precancerous diseases of the penis, which can lead to the development of cancer of the penis, which include:
- Cutaneous horn .It is a cone-shaped outgrowth on the head of the penis up to 1.5 cm in size.It usually appears at the site of a traumatic injury, nevus or papilloma and is characterized by excessive formation of epithelial cells and its keratinization. Treatment consists in removing the formation with the base within the unaltered tissues.
- Bowenoid papullosis of the penis . It manifests itself as single or multiple papules with a diameter of 0.2 to 3.3 cm, normal skin color or brownish-brown color, doughy consistency with a smooth or warty surface, sometimes covered with a crust.
- Obliterating xerous balanitis . It manifests itself in the form of white edematous plaques on the head of the penis and the inner layer of the foreskin. Plaques can grow together with the formation of scars and the development of phimosis. More often this disease occurs in old age in people with diabetes mellitus. Treatment consists in the local application of anti-inflammatory drugs, circular excision of the foreskin. When the external opening of the urethra narrows, its plastic is possible.
- Penile intraepithelial neoplasia (Keir’s erythroplasia, Bowen’s disease of the glans penis).Refers to precancerous diseases associated with a high risk of developing cancer of the penis, in which cancer occurs in 1/3 of cases.
How common is penile cancer?
Penile cancer is relatively rare. The incidence in various countries ranges from 0.1 to 8 cases per 100 thousand men. Such a breakdown in incidence is associated with social, cultural, as well as religious customs in different countries.
The lowest incidence is observed in countries where circumcision of newborns or children before puberty is common.In the Republic of Belarus, on average, 50 new cases of penile cancer are detected per year, and the incidence in 2010 was 0.4 per 100,000 men.
What factors predispose to the development of penile cancer?
- Human papillomavirus (HPV) – can cause the formation of papillomas on the head of the penis, which are sometimes invisible to the eye and are asymptomatic. In some cases, papillomas look like wart-like or villous growths on the skin of the foreskin and / or the head of the penis.
- Phimosis and poor genital hygiene . Phimosis – narrowing of the foreskin, in which it is impossible to open the glans penis. The inability to wash the glans penis leads to the accumulation of smegma (a product secreted by the glands of the foreskin) and exfoliating epithelial cells in the preputial sac. Although smegma itself is not a carcinogen, its excessive accumulation can contribute to the development of chronic inflammation, the formation of fibrous adhesions between the skin of the foreskin and the glans penis, and further lead to the development of penile cancer.
- Smoking . Smokers have a higher risk of developing penile cancer than non-smokers. Carcinogens contained in tobacco smoke enter the bloodstream and can lead to the development of penile cancer.
- Chronic inflammation of the glans penis and foreskin . In particular, it has been proven that in the presence of balanitis xerotica obliterans, 9% of patients subsequently develop penile cancer.
How are penile tumors manifested?
In most cases, the first symptom of bladder cancer is changes in the skin of the penis.On the head of the penis, the formation of an ulcer or a tumor-like painless formation may be observed.
In some cases, the tumor manifests itself in the form of a reddish rash protruding above the surface of the skin, or a flat area of redness. There may be a discharge from under the foreskin of a cloudy liquid with an unpleasant odor.
Sometimes, when a tumor spreads to the inguinal lymph nodes, the first sign of the disease is the presence of a tumor in the groin area.
Surgical treatment of penile cancer
1.Microsurgery – micrographic operation
Microsurgery – micrographic surgery (Moh`s Micrographic Surgery), in which the affected area is removed by excision of tissue in thin layers.
- First, the tumor is removed, then a thin layer of tissue is excised, which is examined under a microscope to identify tumor cells.
- Further tissue layers are removed until cancer cells are absent on microscopy.
- The wound after such an operation is not sutured and heals by secondary intention.
2. Laser surgery
Laser surgery – removal of a tumor using a laser. The advantage of this type of treatment is the destruction of the tumor while maintaining the normal structure and function of the organ.
3. Cryodestruction
Cryodestruction – removal of a tumor by exposing it to a cold agent (liquid nitrogen), the boiling point of which is -196 ° C using a special cryo-installation.
Ultra-low temperature causes necrosis of the tumor and its replacement with scar tissue.
4. Circumcision
Circumcisia – an operation to circumcise the foreskin of the penis. All these operations belong to the so-called organ-preserving methods and are used for small superficial tumors of the penis.
* After organ-preserving operations, there is always a risk of local recurrence, therefore, close medical supervision is necessary. As a rule, the majority of relapses are superficial and their timely detection allows the penis to be preserved.
5. Removal of the penis (penectomy)
In advanced cancer, the main type of operation is the removal of the penis (penectomy), which can be partial or complete.
Partial penectomy – removal of a part of the penis, stepping back from the edge of the tumor. Natural urination is maintained after this operation. In some cases, the remaining stump of the penis is sufficient for intercourse.
Complete penectomy – Complete removal of the penis.In this case, the urethra is displayed on the perineum and urination is carried out while sitting. When the tumor spreads to the surrounding tissue, the penis can be removed along with the scrotum and testicles (emasculation).
Glansectomy – when the tumor is located on the head, only the head of the penis can be removed, this operation is called glansectomy.
Operations for tumors of the penis stage II
For tumors of stage II and higher, as well as in the presence of metastases in the inguinal lymph nodes, an operation is required to remove regional lymph nodes – lymphadenectomy (lymphadenectomy).
This operation removes the inguinal and, in some cases, pelvic lymph nodes. After removal of the lymph nodes, complications are often observed, such as prolonged lymphorrhea, lymphatic edema of the scrotum and lower extremities (lymphedema), necrosis of skin grafts, and wound infection. The likelihood of complications depends on the extent of the lymph node dissection.
Radiation therapy
Radiation therapy can be used as an independent method of treating early-stage penile cancer.
Radiation therapy is only possible for tumors no larger than 4 cm.In this case, radiation therapy is an alternative to surgery, and in 80% of cases it allows you to save the penis.
Circumcision is performed before radiation therapy, as radiation causes edema and may cause constriction of the foreskin.
1. External beam therapy
External beam therapy – a method when the source of radioactive radiation is located at a distance from the surface of the human body.
An irradiation session lasts a few minutes, while the process of setting up and preparing for radiation therapy takes a longer time.
Treatment is usually carried out 5 times a week for 6 weeks on an outpatient basis. The irradiation process itself is painless, symptoms can occur after irradiation (including in the long term), and are associated with complications of treatment.
2. Brachytherapy
Brachytherapy – a type of radiation therapy when a radioactive source is placed inside a tumor. This treatment requires hospitalization. B
the penis in the operating room, hollow needles are inserted through which radioactive seeds are introduced, which are left for several days, and then removed.
The main disadvantage of radiation therapy is that, along with tumor cells, nearby healthy tissues are also damaged during irradiation. Therefore, after irradiation, there may be changes in the irradiation zone (edema, redness, numbness of the skin), burning sensation during urination.
More serious complications such as penile necrosis, scarring or fistulas of the urethra are rare. In most cases, the appearance and function of the penis is restored within a few months.
If the tumor has spread to the lymph nodes, radiation therapy may be given after surgery to prevent recurrence of the disease. In addition, radiation therapy can be used in advanced cases to slow tumor growth or treat symptoms caused by the tumor.
Chemotherapy
Chemotherapy refers to the use of drugs that kill cancer cells. There are two types of chemotherapy used for penile cancer:
- Local chemotherapy .In this type of treatment, a chemotherapy drug (5-fluorouracil) is applied to the damaged area of the skin of the penis in the form of an ointment. This method of applying the drug does not allow it to act on tumor cells located deep in the skin. Therefore, this type of treatment can only be used for superficial forms of cancer (cancer in situ, stage 0).
- Systemic chemotherapy . With this type of treatment, the chemotherapy drug is administered intravenously or taken orally in the form of tablets.Systemic chemotherapy for penile cancer may be used after an inguinal lymphadenectomy. If the inguinal lymph nodes are massively affected, chemotherapy can be used before surgery to reduce the volume of the tumor and then perform surgery to remove the lymph nodes.
What follow-up is required after treatment?
After completion of treatment, it is necessary to periodically undergo an examination for the timely detection of a relapse or progression of the disease.The scope of the examination is determined by the doctor depending on the stage of the disease and the treatment performed.
Diagnostics of psoriasis – to pass the analysis to SZTSDM
Psoriasis is a chronic skin pathology of an autoimmune nature. Not contagious, it manifests itself as dry, red, raised spots – papules that form plaques. According to its clinical picture, the affected areas are considered inflammation caused by excessive division of skin cells with the formation of small capillaries.
Risk factors (causes of development)
Psoriasis occurs in approximately 3% of the world’s population, regardless of gender. It begins at any age, but most often between the ages of 15 and 30. There are cases of detection of the disease in infants. The highest prevalence among representatives of the Caucasian race, less often among the Negroid and Mongoloid.
The disease is characterized by a wave flow with periods of exacerbation and remission.Has an acute onset in most cases. A monomorphic rash of papules merges into larger plaques, which are then covered with white scales.
The etiology and pathogenesis of skin pathology are not fully understood, both hereditary predisposition and neurogenic nature are assumed. Many patients note that the disease manifested itself, and subsequently intensifies during periods of greatest stress. Some researchers believe that an infection may be the cause of the disease, but the virus has not been identified.Contradicting this theory is that the patient’s immediate environment does not get sick, and the presence of psoriasis in the family history increases the likelihood of its diagnosis in offspring.
Manifestations of psoriasis
At the first stage, the disease manifests itself as a single pink papule. It changes, increases in size, grows above the skin, becomes covered with white scales. More often, psoriasis plaques appear in places of friction and increased pressure on the skin: buttocks, elbow and knee bends.With the progression of the disease, they can be found absolutely anywhere on the skin, including its hairy parts.
The main clinically diagnosed external signs:
Stearic spots, i.e. easy detachment of scales by scraping.
Terminal film remaining after flake removal. Looks like a smooth, shiny, even pink surface.
Pinpoint bleeding that can be caused by removing the scales.
Psoriasis develops rather slowly, an increase in the number of plaques and their growth can be observed over several months or years. In a small percentage of patients, the disease may manifest itself more intensely. As a rule, this is preceded by severe mental stress or a serious illness that requires massive medical treatment. In this case, the papules are not pale pink, but bright red, with obvious signs of inflammation, edematous, causing itching.
The second stage of psoriasis is characterized by more extensive lesions. At the site of scratching, new papules appear, forming new plaques. As a result of peripheral growth, neoplasms merge with existing ones. Plaques affect symmetrical limbs and form similar patterns and lines.
At the third stage, growth slows down, the changes concern mainly the structure of the rashes. The boundaries between healthy and affected skin are sharpened. Plaques acquire a bluish tint, begin to actively peel off.In the absence of therapy, they thicken, sometimes form papillomatous nevi (brown) and warty growths (flesh-colored).
There is one more stage – regression of the disease, at this time the symptoms fade away. Peeling passes, the clarity of the border disappears, the skin normalizes, returns to its original state.
Classification of psoriasis
The disease has many types, but they are all divided into two main types:
Non-pustular psoriasis (simple, plaque, erythrodermic).
- Pustular psoriasis (generalized, palmoplantar, annular psoriasis, persistent acrodermatitis, impetigo).
A number of researchers of the disease distinguish such types of psoriasis as:
drug-induced
reverse type,
seborrheic;
Napkin’s psoriasis (occurs in babies in the diaper area).
According to ICD-10, plaque psoriasis, reverse, teardrop, pustular psoriasis (onychodystrophy), psoriatic arthritis and erythrodermic psoriasis are distinguished. Let’s consider the common forms in more detail.
1. Pustular form of psoriasis
It is characterized by the presence of plaques with crusted scales impregnated with exudate. In case of damage, for example, as a result of scratching or self-injury in the folds of the body, the rash becomes wet.They cause itching and burning, and cause physical discomfort. This type of disease is more often diagnosed in people with overweight, hypothyroidism and diabetes mellitus.
2. Seborrheic type
Affects the scalp. It occurs in people with dandruff and oily seborrhea. This makes it difficult to diagnose at the initial stage of development. Over time, psoriasis lesions grow. They can go to the skin of the forehead, to the auricles, to the back of the neck.
3. Psoriasis of hands, feet and nails
The main rash occurs on the limbs, on the body there are only single papules. The affected nail plates are deformed, acquire a yellow color, and thicken. They can leave painlessly. A psoriatic border may form around the affected area. There are subungual hemorrhages that look like dark red spots, which then turn black.
4. Pustular (generalized) form
Has a classic pattern of development, starting with a single vesicle that develops into plaques.The lesions are symmetrical and can affect any part of the body. The severe course of this form of psoriasis is characterized by the appearance of intraepidermal pustules. They can join, forming “purulent lakes.” The pustules do not open up on their own, since they are externally protected by a dense brown crust.
5. Arthropathic form
The most severe form of psoriasis, in which changes first affect the small joints, and then the large ones, including the spine.This is expressed by pain symptoms and their deformation. Probably fusion of joints, loss of mobility. Against the background of this form of psoriasis, other pathologies arise: ankylosis, osteoporosis, which leads to disability.
Diagnostic methods
The diagnosis and treatment of psoriasis is carried out by dermatologists. Initially, an external examination of the affected areas is carried out, an anamnesis is taken. Sometimes the disease is similar to other diseases, especially in the first stage. In case of damage to the hands and nails, it is important to exclude the presence of fungal infections.The seborrheic type also requires differential diagnosis. Seborrheic eczema, lichen rosacea, and papular syphilis should also be ruled out.
With an active course of the disease and large lesions, a visual analysis of scraping is used. In the process of scraping, peeling increases. In place of the removed scale, an even, thin film is visible. Under mechanical action, it leaves, exposing a moist surface with blood droplets.
In most cases, it is not difficult to diagnose psoriasis; this does not even require an analysis, it is enough to examine the skin.However, the doctor must rule out an error in the diagnosis, determine the presence of concomitant diseases and other pathologies occurring against the background of psoriasis. For this, the following diagnostic measures can be assigned:
A blood test to detect an increased level of rheumatoid factor titers, ESR, proteins, leukocytosis, disorders, characteristic endocrine and biochemical pathologies.
A skin biopsy is performed to confirm psoriasis, clarify its classification and exclude other skin diseases.The nature of the thickening of cells of the epidermis of the skin, the presence of an accumulation of Rete, immunocompetent and other cells is checked.
Laboratory tests are also important when prescribing therapy, to monitor the effectiveness of treatment, to identify the causes of the onset and exacerbation of psoriasis.
Types of analyzes
The main tests carried out for psoriasis include:
Skin biopsy, a piece of skin is examined to differentiate a bacterial, fungal infection, cancer.
Complete blood count to detect leukocytosis and anemia.
Erythrocyte sedimentation rate to determine the type of psoriasis. With pustulosis and erythroderma, the indicator remains normal.
Uric acid test to rule out gout.
An HIV antibody test is done because the sudden onset of psoriasis can be caused by HIV infection.
pH-measurement of the skin helps to assess the effectiveness of the therapy.
If psoriasis affects the joints (arthropathic form), a rheumatoid factor test is performed. It differentiates rheumatoid arthritis, in which protein levels are elevated. Contrast arthrography and pneumoarthrography also help to assess the degree of joint damage.
Psoriasis treatment
The therapy of psoriasis is based on anti-T-cell and anti-cytokine therapy, aimed at reducing inflammation and blocking the proliferation (uncontrolled division) of skin keratinocytes.With exacerbations in the winter period, a course of cholecalciferol (liquid-soluble vitamin D3) is prescribed. The following medications may be prescribed. To relieve itching, burning, eliminate skin lesions, it is recommended to use anti-inflammatory ointments, gels, shampoos. With a mild form of psoriasis, ointments with corticosteroids are prescribed by course treatment under the supervision of a doctor, salicylic ointment, with naphthalan, mercury. Baths with a decoction of chamomile and / or sage are recommended. Patients undergo ultraviolet therapy, seawater treatment.
Stages of therapy
When treating mild forms of psoriasis, dermatologists try to avoid medications, allowing the body to cope with pathological processes on its own. Usually, local remedies are used first: creams and ointments. If the desired effect is not observed, and the situation continues to worsen, instrumental medicine is connected. They conduct courses of UV therapy, wave therapy, photochemotherapy. Only after the lack of results of this treatment, drugs are prescribed.
Patients with psoriasis are prohibited from drinking alcoholic beverages. A diet with limited consumption of table salt, fats, carbohydrates is recommended. Herbal medicines should be taken under the strict supervision of the attending physician.
All patients are recommended to visit a psychologist. Often, the disease worsens during a period of stress, which means that the cause must be removed. Secondly, unaesthetic plaques on different parts of the body, by the very fact of their existence, create stress and depression.According to studies, more than half of patients reduce social communication, feel embarrassment and shame. Alternative methods of treating psoriasis include the appointment of antidepressants and other psychotropic drugs, diet therapy, hydrotherapy, including the use of fish that eat plaques.
Today, the prognosis of psoriasis treatment is considered conditionally unfavorable. The course of the disease is chronic, sluggish, progressive.The techniques developed by modern medicine can only alleviate the condition, but not cure the disease. At the same time, refusal from medical care can lead to disability over time.
Prevention of psoriasis
Proceeding from the fact that psoriasis is considered a multifactorial disease with a share of immunopathological, genetic, endocrine, metabolic and, possibly, infectious components, there are no uniform rules for prevention.
Particular attention to your health should be given to people at risk:
those who have relatives suffering from psoriasis;
those who often and constantly injure the skin;
has chronic infections;
diseases of the nervous system;
endocrine disorders.
Increased the likelihood of pathology, increased nervousness, stress, alcohol abuse, frequent hypothermia and sunburn. Unfortunately, it is impossible to completely protect oneself from destructive manifestations.
Advantages of taking tests in the laboratory of SZDTSM JSC
Easy recording and no queuing.
Anonymity and confidentiality of data.
Accurate diagnostics thanks to the latest equipment.
Fast availability of results.
Tactful, qualified staff.
Laboratory terminals operate in St. Petersburg and the Leningrad Region, Pskov, Veliky Novgorod and Kaliningrad. You can take the analysis in any of them, regardless of the place of registration and residence.Laboratories have a single base, which means that you can get the result in any department, in a way convenient for you.
Analyzes
go to analyzes
90,000 Genital warts – Symptoms, diagnosis and treatment
Genital warts are a very common STD.
Caused by infection with human papillomavirus (HPV), most commonly HPV types 6 and 11.
Peak incidence of genital HPV infection is observed in 16-25-year-olds.
Diagnosis is clinical.
As a rule, it has a benign course and is sometimes associated with oncogenic potential.
Treatment can be weedy, since there are no medications and relapses are frequent.
Genital warts are the most common form of viral lesions of the mucous membranes of the genital tract, they are caused by different types of human papillomavirus (HPV).[1] Mansur CP. Human papillomaviruses. In: Tyring SK, ed. Mucocutaneous manifestations of viral diseases. New York, NY: Marcel Dekker; 2002: 247-94. The infection manifests itself as warty fleshy papules that can clump together into plaques. The size of focal lesions ranges from a few millimeters to several centimeters. [2] Wikström A. Clinical and serological manifestations of genital human papillomavirus infection. Acta Derm Venereol Suppl (Stockh). 1995; 193: 1-85.
http: //www.ncbi.nlm.nih.gov/pubmed/8721519?tool=bestpractice.com
Warts can be located anywhere in the anogenital or genital areas, including on the mucosal surface. [3] Wiley DJ, Douglas J, Beutner K, et al. External genital warts: diagnosis, treatment, and prevention. Clin Infect Dis. 2002 Oct 15; 35 (Suppl 2): S210-24.
https://academic.oup.com/cid/article/35/Supplement_2/S210/316436
http://www.ncbi.nlm.nih.gov/pubmed/12353208?tool=bestpractice.com
Color can range from whitish to flesh-colored to hyperpigmented to erythematous. [Figure caption and citation for the preceding image starts]: Wart on the penis From the personal collection of Dr. Tyring; used by permission of the author [Citation ends]. [Figure caption and citation for the preceding image starts]: Close up of penile wart From personal collection of Dr. Tyring; used by permission of the author [Citation ends]. Focal lesions usually appear within weeks to months after HPV infection.[4] Czelusta AJ, Evans T, Arany I, et al. A guide to immunotherapy of genital warts: focus on interferon and imiquimod. BioDrugs. 1999 May; 11 (5): 319-32.
http://www.ncbi.nlm.nih.gov/pubmed/18031142?tool=bestpractice.com
They are usually asymptomatic, but can be painful, friable, or itchy. [5] Kirnbauer R, Lenz P, Okun MM. Human papillomavirus. In: Bolognia JL, Jorizzo JL, Rapini RP, eds. Dermatology Vol 1. London: Mosby; 2003: 1217-33 [6] Beutner KR, Reitano MV, Richwald GA, et al.External genital warts: report of the American Medical Association consensus conference. Clin Infect Dis. 1998 Oct; 27 (4): 796-806.
http://www.ncbi.nlm.nih.gov/pubmed/9798036?tool=bestpractice.com
This monograph will focus on the diagnosis and treatment of internal and external warts with the exception of cervical warts.
Keratoma or seborrheic keratosis – article
Keratoma is the most common benign skin tumor. The phenomenon is not aesthetic and violates the harmony of the body.Causes, types of keratomas, treatment methods
Keratoma (seborrheic keratosis, seborrheic wart, senile wart, basal cell papilloma) is the most common benign skin tumor. It usually develops in middle and old age from the epidermis. Its pathogenesis is not clear, but it is believed that this lesion develops from the cells of the basal layer of the epidermis or keratinocytes of the most superficial part of the hair follicle and is not associated with the human papillomavirus.In accordance with modern concepts, there is no connection between it and solar irradiation.
Elements of seborrheic keratosis are often multiple, located on the chest, less often on the face, neck, back of the hands, the extensor surface of the forearms, as well as on other areas of the skin. The exceptions are palms and soles. The process never affects the mucous membranes. The number of foci usually does not exceed 20. Their diameter varies from 0.2 to 3 cm, sometimes up to 4-6 cm. Patients with multiple seborrheic keratosis sometimes have a family history, reflecting a genetic predisposition.
The clinical picture depends on the localization and timing of the development of seborrheic keratosis. Early elements – flat, small spots or papules, seem to be glued to the skin, they have clear boundaries, pink or yellow color, a warty surface and are covered with easily removable fat crusts, eventually becoming denser and mottled cracks. The thickness of the crusts sometimes reaches 1-2 cm. Over time, elements of classic seborrheic keratosis acquire a mushroom shape, dark brown or black in color.The retention of the horny masses in the epithelial crypts leads to the formation of comedone-like black grains-inclusions. The consistency of the formations is soft, the boundaries may be indistinct, sometimes even jagged, in such cases the tumor resembles melanoma. Sometimes the elements of seborrheic keratosis are dome-shaped and have a smooth surface with the presence of white or black keratin pearls up to 1 mm in diameter, which are easily distinguishable when viewed with a magnifying glass.
Seborrheic keratosis develops slowly, over several decades, but does not undergo malignant transformation.
Sometimes elements of seborrheic keratosis with secondary inflammatory changes (due to friction with clothes, maceration with increased sweating) become itchy and erythematous-edematous, the skin around them reddens and flakes, as in coin-like eczema. Such a bright red, offensive, with a loose crumbling surface, the focus is very reminiscent of melanoma or pyogenic granuloma.
Special forms of seborrheic keratosis
In addition to the classic, a number of other forms of seborrheic keratosis are distinguished.
The wart-like form is characterized by very flat pigmented lesions on the back of the hands and the extensor surface of the forearms, characterized by a rough surface, which is especially noticeable under lateral illumination. Sometimes this shape is difficult to distinguish from the elements of senile lentigo.
Verrucous seborrheic keratosis is characterized by the presence of multiple superficial formations with signs of seborrheic keratoma, located on symmetrical areas of the limbs, usually in the Achilles tendons, on the back of the hands, forearms.The diameter of the formations is 1-10 mm, the shape is round, the surface is covered with gray-white scales, easily removed without signs of bleeding and soon re-forming. Occurs in old age.
Mesh pigmented dermatosis flexor surfaces of the limbs is a very rare hereditary dermatosis. Favorite localization – flexion surfaces of the limbs. It manifests itself as bluish spots, reticular hyperpigmentation and brown-black papules resembling flat warts.Sometimes the elements are raised above the level of the skin, can be palpated, acquiring a resemblance to the wart-like form of seborrheic keratosis. In adolescence, the skin lesion has a brown-black spotted pigmentation, on the flexor surface of the limbs acquiring a steel-gray or bluish color.
Is keratoma dangerous?
There is no unambiguous answer to this question, because keratoma is not one disease, but a whole group of dermatological pathologies.Keratomas are different. More often, there are non-dangerous keratomas that do not hurt and do not create any problems other than aesthetic ones. There are also dangerous ones that can degenerate into cancer. If you want to know exactly whether your skin formation is dangerous, do a dermatoscopy. If you continue to doubt, send the material for histological examination. The laboratory will give an unambiguous answer.
Can keratoma be treated at home?
It is possible to treat, but cannot be cured.Home attempts to treat or remove a keratoma usually involve the use of plants, alkalis, or acids that cause chemical burns to the skin. This is dangerous and in most cases not very effective. Keratomas are removed in a medical clinic. To do this, use a laser, curettage, liquid nitrogen, etc. The doctor does this carefully and painlessly.
The most effective way to treat seborrheic keratosis today is cryodestruction and / or curettage. The advantage of removing keratomas with liquid nitrogen is high therapeutic efficiency and painlessness compared to other methods of removing neoplasms.After the procedure, there are practically no traces left, and the healing process proceeds much faster.
Also used neodymium laser, chemotherapeutic agents (applications of 30% prospidin, 5% fluorouracil ointment or solcoderm). With multiple lesions in young people, aromatic retinoids are used.
Dermatologist of the clinic “Medkrionika” Yakubovskaya OM
Lichen planus. Kharkiv – Center for European Dermatology
Lichen planus is an inflammatory skin disease that can occur in different areas of the skin and mucous membranes.
The inflammatory process is accompanied by unpleasant itching, the rash is diagnosed due to its characteristic shape and color. Sometimes the papules join together to form scaly, scaly plaques.
On a positive note, the allergic nature underlying lichen planus makes it completely non-infectious, unlike other types of lichen.
Risk factors causing lichen planus
Traditionally it is believed that the causative agent is the autoimmune system, which responds to:
- diseases of viral origin, proceeding in a sluggish form;
- a sharp weakening of the immune system;
- malfunctions of the body associated with neurological disorders;
- individual predisposition of the organism.
It is characteristic that, having appeared once, the virus is able to recur even after a fundamental course of treatment – such is its feature.
But modern techniques with high efficiency allow to prolong and maintain the period of remission for a rather long time.
The main thing is that the treatment is carried out in a reliable medical institution with a good reputation and competent staff.
Treatment of lichen planus in Kharkov is successfully carried out in the medical center “European Dermatology”.
Who is at risk
While seemingly harmless and non-infectious, lichen planus, which is of an erosive and ulcerative nature, is capable of being reborn into oncology in seven percent of the total.
At risk:
- men and women in the 35-60 age range;
- In some cases, lichen planus can occur on the injured oral mucosa, especially in the presence of metal dental crowns.
90,031 people with gastrointestinal diseases;
90,031 patients with a genetic predisposition to this disease;
90,031 patients with diabetes mellitus;
90,031 people subject to frequent stress;
Varieties of lichen planus and symptoms of the disease
- Typical shape. Red nodules (papules) with a shiny surface and a depression in the center, characterized by constant itching.
- Ring-shaped. The nodules are located on the affected areas of the skin in the form of rings.
- Linear form. The rash is observed in a linear arrangement.
- Atrophic form. At the site of the nodules, atrophic changes and the appearance of pigmentation are observed.This is especially noticeable on the face and hands.
- Warty (verrucous) form. It is characterized by large red papules in the form of multi-layered warts of a red-brown hue.
- Bullous form. The rash is accompanied by the formation of vesicles containing serous-hemorrhagic fluid.
- Exudative hyperemic form. Papules are located on the oral mucosa, affect the lips, gums, become inflamed, cause a burning sensation in the mouth and discomfort when eating, especially acute.
- Erosive and ulcerative form. It affects the mucous membranes, on which, in addition to nodules, red ulcers and irregular erosion are formed.
- Hyperkeratic form on the mucous membrane. It is also characteristic of mucous membranes, on which papules merge into large convex plaques, demonstrating pronounced keratosis.
The symptomatology and nature of the rash allow the dermatologist to correctly identify the type of lichen planus and choose the right treatment.
It is characteristic that with the defeat of lichen planus of the oral mucosa, in most women, you can also observe similar rashes on the external genitalia, and in men in the area of the glans penis.
WARNING!
Lichen planus in the oral cavity, in the absence of proper treatment, can degenerate into malignant formations.
Therefore, if you experience similar symptoms, immediately contact a professional dermatologist who will establish an accurate diagnosis and provide effective treatment.
Lichen planus in Kharkov is treated in the medical center “European Dermatology”.
Methods for the diagnosis of lichen planus
Since lichen planus has many varieties listed above, the diagnosis is carried out in stages:
- clinical assessment of visual manifestations
- analysis of rashes
- biopsy of tissues taken from affected areas in order to exclude oncology
- laboratory tests showing the state of the liver and excluding or confirming the presence of viral hepatitis in one of its forms
- definition of hormonal status.
Treatment of lichen planus in Kharkov
In each case, the treatment is carried out individually and, as a rule, is complex in nature.
Having chosen the appropriate method of treatment for lichen planus in Kharkiv, the doctor prescribes certain groups of drugs for patients, including:
- anti-inflammatory;
- antifungal;
- corticosteroid;
- antihistamines;
- snood;
- sedatives;
- in some cases – antibiotics;
- preparations for external use that relieve itching, disinfect affected areas and soothe the skin.For example, such ointments as “Levomekol” or “Solcoseryl”;
- traditional medicine: compresses with herbal decoctions, herbal extracts, natural essential oils of sea buckthorn and chamomile;
- vitamin complexes;
- also, patients are often prescribed some physiotherapy procedures, with the help of which it is possible to consolidate the treatment and achieve a positive result.
The most reasonable solution would be to contact the highly professional medical center “European Dermatology”, whose specialists have accumulated experience in the treatment of various diseases, including lichen planus.In Kharkov, prices for treatment at a medical center are affordable for each patient.
You can make an appointment for an initial consultation in two ways – on your own, on the website of the medical center, by filling out the registration form located on the main page of the website, or by calling the help desk.
Timely treatment started by qualified specialists is a guarantee of success and a guarantee of recovery!
90,000 causes, symptoms and treatment in an article by children’s dermatologist Kostyukov D.P.
Date of publication March 3, 2020 Updated April 26, 2021
Definition of disease. Causes of the disease
Lichen planus is a chronic disease in which purple papules appear on the skin and mucous membranes [1] . Nails and hair are sometimes affected. It is combined with diseases such as chronic gastritis, biliary cirrhosis of the liver, stomach and duodenal ulcers, diabetes mellitus, etc.
In this disease, the esophagus, stomach, intestines, and bladder can be affected.This indicates the diversity of the pathological process. For example, there is evidence of the relationship of ulcerative colitis with erosive and ulcerative lichen planus [7] .
The disease is considered to be multifactorial [9] . There are several theories of its development: viral, neurogenic, hereditary, intoxication and immunoallergic. In this regard, the following causes of the disease can be distinguished:
- infections with an acute onset and transition to a chronic course (hepatitis B, C), hypothermia, chronic diseases with hidden foci of infection (tonsillitis, sinusitis), acute respiratory infections;
- external factors : chemical and medicinal substances of a household and professional nature – substances that are used during the development of color films; tetracycline; ibuprofen; naproxen; preparations containing gold, mercury, arsenic; para-aminosalicylic acid and its analogs; diuretics, antiarrhythmics, etc.
- internal factors : own metabolites – metabolic products in the body that occur in stressful situations [7] .
A special role in the development and exacerbation of lichen planus is assigned to psychogenic effects : anxiety, sleep disturbances, depressive disorders. In one of the Moscow university clinical hospitals, together with the staff of the Department of Psychiatry and Psychosomatics, a clinical study was conducted on the relationship of this disease with psychosomatic disorders.It showed that in people prone to depressive conditions and psycho-emotional upheavals, the risk of developing lichen planus is much higher [5] .
Currently, the number of people with hypertrophic (warty), atrophic, erosive and ulcerative forms of lichen has increased [8] . Cases of detection of this dermatosis in children have become more frequent. This is due to autoimmune disorders in the body, skin damage and frequent stress.
There were cases of malignant transformation lichen planus.This was the reason for classifying it as a precancerous disease. The frequency of such a rebirth reaches 10-12% [8] .
If you find similar symptoms, consult your doctor. Do not self-medicate – it is dangerous for your health!
Symptoms of lichen planus
The disease is characterized by:
- intense itching;
- rash all over the skin in the form of purple papules – nodules;
- Scaly plaques that form when papules fuse;
- Wickham mesh – the appearance of thin grayish-white lines on the surface of papules after lubrication with oil.
Localized rashes mainly in the knees, elbows, scalp, axillary and inguinal folds [10] . They reach 2-3 mm in diameter, have an irregular shape and do not rise above the skin.
Characteristic signs of skin lesions are:
- uneven thickening of the granular layer of the epidermis;
- stripe lymphocytic infiltration – large accumulation of lymphocytes in the papillary dermis [8] .
In some patients nails are affected . On examination, one may notice thinning or thickening of the nail plates, furrows, point opacities and even rejection of the nail plates [11] .
The defeat of the mucous membranes usually affects the oral cavity – the tongue, lips and the inner surface of the cheeks along the line of closing the molars. Less commonly, a rash appears on the gums, palate, and floor of the mouth. The nodules are small, no more than a pinhead, flat, polygonal, dense, grayish-white, shine [11] .If the oral mucosa is affected, skin rashes may be absent [13] .
Pathogenesis of lichen planus
Since lichen planus is a chronic disease characterized by an inflammatory process with a sequential change of phases:
- first phase – violation of the integrity of the skin;
- second phase – the onset of inflammation;
- third phase – increasing the permeability of the vessel wall;
- fourth phase – tissue restoration.
In the development of the disease, the main role belongs to immune changes in the body. In the blood and in the area of the rash, there is a violation between the cells that regulate the immune response. Immune complexes are formed in the blood, in which the immune system does not recognize its own cells. As a result, lymphocytes, leukocytes, immunoglobulins are produced. This causes damage to the skin’s own tissues and mucous membranes.
In the lesions between the epidermis and the dermis – in the area of the basement membrane – excess fibrin and fibrinogen are deposited [3] .During blood clotting, fibrin captures toxic substances, which prevents them from spreading. But this causes swelling and soreness.
Classification and stages of development of lichen planus
According to the International Classification of Diseases (ICD-10), several types of the disease are distinguished:
- L43.0 Hypertrophic lichen planus – round or oval gray plaques with a purple tint with a diameter of 4 -7 cm. The surface of the plaques is uneven, bumpy.Localized on the surface of the legs.
- L43.1 Bullous lichen planus – blisters on plaques and papules that are located on reddened or intact skin areas. The rashes are of various sizes. The content of the bubbles is transparent.
- L43.2 Lichen reaction to a drug – asymptomatic papules on the skin of the limbs and buttocks.
- L43.3 Subacute (active) lichen planus – a rash in the form of pinkish-purple papules with a shiny surface with a diameter of 2-5 mm.The nodules are flat, depressed in the center.
- Tropical lichen planus – flat, shiny nodules of pale pink color. They occur on open areas of the skin – the face, neck, back of the hands, the extensor surface of the forearms, rarely on the legs. Sometimes the nodules are grouped into rings or half rings. The course is chronic, exacerbated in the summer.
- L43.8 Other lichen planus [1] .
In the course of the disease is acute (lasts up to one month), subacute (up to six months), chronic without remission and recurrent [7] .
Three stages of the disease are also distinguished:
- Progressive – the appearance of new elements at the site of injury or scratches for several days, intense itching.
- Stationary – new rashes do not appear, itching decreases.
- Regressing – papules become flat, shine and itching disappear, pigment spots remain.
According to the clinical picture, there are many forms of the disease .
Forms of skin lesions
Typical form – the appearance of a rash in the form of flat pinkish-purple papules with a diameter of 2-5 mm with a shiny surface and an impression in the center. The surface is slightly flaky. When papules are lubricated with oil, you can find white or grayish dots and stripes – Wickham’s grid. Sometimes papules combine into plaques, taking the form of rings, garlands, or lines. The elements are located on the elbow and knee bends, trunk, genitals, mucous membranes.In rare cases, the scalp, palms, soles, face are affected. It is accompanied by intense itching. When the skin is injured, new papules appear [1] .
Hypertrophic (warty) form – the appearance of purple or brownish-brown plaques with a diameter of 4-7 cm. On their surface there are warty changes – multiple depressions and stony density [1] . It is characterized by excruciating itching and prolonged course, with great difficulty treating [11] .
Atrophic form – the appearance of polygonal atrophic scars formed during the healing of rash elements. Localized on the scalp, trunk, armpits and groin cavities. Rashes are single, represented by typical nodules and atrophic spots with a lilac and yellowish-brown color. A whitish rash appears on the mucous membranes. Patients complain of mild itching [1] .
Pigment form – the appearance of brown spotty rashes, which later become nodular.Most of the skin is affected, localized on the trunk, face and limbs. Differs in acute onset and absence of itching [1] .
Bullous form – the appearance of bubbles or blisters on the surface of papules, plaques or on intact skin. Bubbles of various sizes have a transparent content and a dense “cover”, which later becomes flabby and wrinkled. Accompanied by severe itching [1] .
Erosive and ulcerative form – the appearance of erosion from 1-5 cm in size.It is an atypical form and therefore difficult to diagnose. It must be distinguished from stomatitis, cheilitis and candidiasis. Erosion is localized on the legs, mucous membranes of the mouth and genitals [1] . During treatment, they completely heal, but after that they can reappear [11] .
Follicular form – the appearance of nodules (follicular pointed papules) that protrude above the skin level [1] . Localized on the skin of the trunk and inner surfaces of the extremities.The process ends with thinning of the skin and hair loss at the site of the lesion (Broca’s pseudopelade) [11] . In addition to long hair, alopecia isata affects bristly and vellus hairs on a smooth surface of the skin, but their loss most often goes unnoticed [4] .
Forms of lesions of mucous membranes
Typical form – the appearance of grayish-white papules up to 2 mm in diameter. The papules merge into a pattern in the form of a grid, line, arc, or fern leaves.Patients have no other complaints [1] .
Hyperkeratotic form – the appearance of a rough surface along with typical papular elements. The patient is worried about dry mouth and slight pain when eating hot food [1] .
Exudative-hyperemic form – the appearance of gray-white papules on the red and edematous mucous membrane. It is accompanied by painful sensations when taking hot and spicy food [1] .
Erosive and ulcerative form – the appearance of erosions covered with fibrous plaque. After its removal, bleeding occurs [1] . The erosion itself takes a long time to heal. This form is prone to relapse [11] .
Bullous form – the appearance of bubbles on the surface of plaques and papules ranging in size from a pinhead to a bean. They consist of a cloudy or bloody content and a dense “tire”, which later becomes flabby and wrinkled.They can exist from several hours to two days, heal quickly [1] .
Atypical form – the appearance of whitish papules and multiple areas of maceration – softening of the skin. Differs in stagnant redness. The upper lip is edematous [1] . Can transform from typical form [11] .
Complications of lichen planus
The most formidable complication of mucosal lesions can be the degeneration of lichen planus into squamous cell skin cancer.This is due to the long absence of treatment [1] [11] .
With a prolonged course of the disease, accompanied by intense itching, due to constant discomfort, nervous disorders can develop. When the mucous membranes are damaged, rashes provoke a violation of appetite and dysphagia – problems with swallowing food. Itchy rashes in the genital area lead to sexual dysfunction. Papules on the soles of the feet make it difficult to walk [14] . All this also affects the mental health of the patient.
Among other things, bacteria, viruses, fungi can penetrate through damaged skin areas. As a result, stomatitis, candidiasis and other diseases develop in parallel.
After rashes, scars may remain. Some areas of the skin that have had rashes darken. Possibly irreversible hair loss – alopecia.
Diagnosis of lichen planus
The diagnosis is made on the basis of clinical data and histological examination – examination of the affected tissues using a dermatoscope or analysis of material taken during a biopsy [8] [14] .
To select the correct treatment tactics, it is necessary to pass:
- a detailed blood test – clarifies the diagnosis, excludes inflammatory and allergic processes in the body;
- biochemical blood test – evaluates the functioning of the liver and kidneys;
- general urinalysis – excludes inflammatory diseases of the urinary tract.
In order to identify or exclude pathologies from the internal organs, consultations of other specialists are appointed:
- ophthalmologist, endocrinologist, therapist, gynecologist – contraindications are excluded;
- Dentist – evaluates isolated lesion of the oral mucosa [1] .
For this, an anamnesis is carefully collected, during which it is important to exclude contact with viruses and taking medications, the reaction to which is similar in symptoms to lichen planus [11] .
Differential diagnosis is carried out with diseases such as secondary syphilis, atopic dermatitis, psoriasis, pityriasis versicolor [14] .
With syphilis , the rash is diverse, represented by papules of the same size, dark red, dense at the base, oval in shape, painful when pressed (Jadasson’s symptom).Peeling is noted like Biett’s collar – the appearance of scales along the edge of papules, when the peeling in the center has already ended. Also, this disease is characterized by positive serological reactions – the presence of antibodies in the blood serum. With lichen planus, all these signs are not observed, papules are reddish-purple in color with an umbilical depression in the center, itching.
In atopic dermatitis , mucous membranes are not affected. The rash is usually localized to the face, bends of the knees and elbows.The skin thickens around the rash.
In psoriasis the process is represented by red papules, on the surface of which there are white scales [1] .
With pityriasis hairy lichen (Deverji’s disease), yellowish-red papules appear on the skin of the extensor parts of the arms and legs, the back of the fingers (Benier’s symptom – small peeling when scraping). When the papules merge, a grater-like surface is formed, the skin becomes dense and rough.For lichen planus, this picture is not typical.
Treatment of lichen planus
An integrated approach is used in the treatment of the disease. The tactics and method of treatment depend on the patient’s age, the presence of other diseases, as well as the stage, prevalence and form of the underlying disease [11] .
If lichen planus is asymptomatic, no treatment is required. It is enough to exclude drugs that could provoke the appearance of a rash – preparations of gold, iodine, arsenic, antimony, aluminum, antibacterial agents (streptomycin, tetracycline), quinine and its derivatives, anti-tuberculosis drugs (para-aminosalicylic acid, ftivazide).It is sometimes necessary to wait several weeks or months for the rash to go away [13] .
Drug therapy offers the following treatment options:
- Sedation therapy – taking sedatives. They soothe, relieve nervous tension, and improve sleep.
- Antihistamine therapy – taking antipruritic drugs. Reduces the intensity of itching.
- Desensitizing therapy – aimed at reducing the body’s sensitivity to the allergen and flushing toxins and bacteria from the bloodstream.
- Enterosorption – the use of enterosorbents that bind and remove various toxic substances and bacteria.
- Therapy with antimalarial drugs – suppresses the immune response and stops the inflammatory process, while reducing itching and inflammation.
- Systemic corticosteroid therapy – used for common and severe clinical forms of the disease [2] . Eliminates inflammation and relieves pain. For scalp lesions and rashes that are resistant to other treatments, corticosteroid injections can be given every four weeks [13] .
- Vitamin therapy of groups A, B, E, retinoids [2] . Vitamin A reduces the intensity of inflammation and normalizes the skin regeneration process. You can also use retinol, an analogue of vitamin A. In case of lesions of the oral mucosa and the red border of the lips, it is more effective to use retinoids, especially with resistance to other methods of treatment [13] . The drug aevit, which contains vitamins A and E, is indicated for long-term chronic course of the disease. When taking vitamin E, the duration of steroid therapy is shortened [7] .
- Correction of pathology of internal organs – prevention of foci of chronic infections.
- Direct anticoagulants – they affect blood clotting, which makes it thinner and easier to pass through the vessels [2] .
Non-drug treatment includes phototherapy, in particular the method of photochemotherapy – PUVA. It is based on the use of the photosensitizing drug puvalan. Dose calculation – 0.6 mg per 1 kg of body weight. The tablets are taken two hours before the session, with each procedure the dose is increased.As a result of the course of treatment, the accumulation of cells with an admixture of blood and lymph in the dermis disappears, the cellular composition of the epidermis returns to normal [7] .
In one of the clinics of the Ural Research Institute of Dermatovenereology and Immunopathology, a study was carried out on the effectiveness of balneophotochemotherapy – the use of PUVA baths. The study involved 30 patients with severe lichen planus. They received photochemotherapy with ammifurin. Positive dynamics was noted after 3-5 procedures: the elements of the rash began to fade, flatten, infiltration decreased, shine decreased.After the end of the procedures (10-12 sessions), the rashes completely disappeared, only moderate hyperpigmentation was observed [12] .
If lichen planus has spread throughout the body, topical ointment therapy will be ineffective. In such cases, drug and phototherapy [13] should be used.
Forecast. Prevention
Often the disease goes away without treatment after elimination of the provoking factor, but after a few years the disease may reappear [13] .After the treatment, a favorable course is usually noted: a period without rashes during the year is observed in 64-68% [1] .
In case of hypertrophic, atrophic and erosive-ulcerative form, patients are subject to dispensary observation – mandatory examinations every 1.5-2 months during the year [11] . For those whose mucous membranes are affected, dispensary observation [6] is also established. Sometimes rashes of such localization can remain until the end of life [13] .
There are no prevention methods. In order to diagnose on time, start treatment and prevent the development of complications, you need to consult a doctor at the first signs of the disease.
To prevent relapses of lichen planus, you need to adhere to a healthy lifestyle, exclude the use of medications that can provoke a relapse, avoid psychoemotional overstrain.
Every step should be comfortable!
Plantar warts are a rather serious problem that, one way or another, interferes with a person’s normal life.Such warts are quite painful and become a real disaster for any person – they bring inconvenience when walking (both in shoes and barefoot), because of them, strong painful sensations appear, as well as a constant feeling of discomfort. In addition, warts start to hurt even when you don’t touch them at all.
– What are the reasons for the appearance of plantar warts?
– In fact, any warts are benign tumors that arise under the influence of certain viruses.Because of them, the outer layers of the skin grow, and the cells become keratinized. Plantar warts, in particular, are dense, rounded formations with increased soreness and pronounced horny layers. There are also plantar warts that develop in the deeper layers of the skin. Most often, plantar warts appear on the heels or base of the toes, on the pads themselves. There are times when warts also occur at the points of contact of the toes, and on both sides.
In general, warts on the human body can be very diverse: flat, plantar, vulgar, pointed, but they are all caused by the human papillomavirus, which stimulates the growth of the surface layers of the skin. This virus lives in the body of almost every adult, but in order for the diseases caused by it to begin to develop, certain conditions are necessary. Common factors include: a standard decrease in immunity – stress, injury, inflammation, colds, chronic diseases, or some skin injury.If such conditions are created, then the viral plantar wart appears on the surface of the skin without problems. It is worth remembering that the virus is easily transmitted between people during direct contact or through shared things.
– How do you distinguish between plantar warts and calluses?
– Plantar warts can indeed be confused with common calluses, especially if they do not grow and merge into a single warty surface.The growth of plantar warts begins with the appearance of a small papule on the surface of the skin. The papule quickly becomes covered with a layer of keratinized cells and turns into a solid formation, has a yellow or yellowish-gray color, an uneven shape and a rough surface.
It is worth remembering the fact that plantar warts quite easily degenerate into tumors, which is why it is necessary to consult a specialist to confirm any diagnosis. It is not enough to know what plantar warts look like; it is also necessary to conduct a histological examination.This study is carried out after the removal of the wart.
– What are the most effective treatments for plantar warts today?
– Today there are quite a few methods for removing warts. The specialists of our center use one of the newest and most effective methods – radio wave surgery. Removal of warts with radio waves has the advantage that the radio wave emanating from the electrode seems to push the cells apart, coagulating small vessels, slightly damaging the surrounding tissues.That is, the operation is carried out painlessly and bloodlessly, the patient is given anesthesia, and then the wart is removed in one motion. The healing of wounds occurs without an inflammatory reaction at the usual time.
Also, an effective way to get rid of this disease is to remove plantar warts with liquid nitrogen. With this method, the wart is frozen and destroyed. Doctors use a special technology – liquid nitrogen is applied to the site of the lesion. A bubble appears around the wart and the tissue becomes dead.After 5-7 days, the dead skin tissue with a wart completely exfoliates and falls off. This method is considered the most painless and fastest.
Another method of removal is minor surgery. In this case, the wart is destroyed or even cut off by cauterization with a special electric needle. Before starting the procedure, the doctor will numb the skin, so that the process itself remains completely painless. But this process often leads to scarring of the skin, so minor surgery is rarely used.
It is definitely worth talking about another popular method – this is laser therapy. The wart removal process uses a pulsed laser to cauterize small clogged blood vessels. After the procedure, the affected tissue begins to die off and the wart simply disappears. But this method also has some side effects – cicatricial deformities and partial pain.
Whichever method of treatment is used, a qualified doctor is obliged to properly advise the patient about the procedures and independent actions after the removal of warts.I never tire of reminding you that a timely visit to a specialist will help to avoid unpleasant and sad consequences, which means that every step will be comfortable.

Orthopedics 1992;15: 1350–1352.
Dermatol Surg 2011;37: 256–258.
6th ed. Oxford: Blackwell Science, 1998:519–616.
g. salicylic acid, trichloroacetic acid, cryotherapy, silver nitrate, phenol, cantharidin, surgical interventions and lasers (Indian Dermatol Online J 2016;7:364)