What is a lesion on the cervix. Cervical Lesions: Types, Causes, and Prevention Strategies
What are cervical lesions. How are they classified. What causes cervical lesions. How can cervical cancer be prevented. What are the risk factors for cervical cancer. Why is cervical cancer screening important. How effective is the HPV vaccine in preventing cervical cancer.
Understanding Cervical Lesions: An Overview
Cervical lesions are abnormal cell growths on the cervix, which is the passageway between the vagina and the uterus. These lesions can be either precancerous or cancerous, and their early detection is crucial for preventing cervical cancer. Thanks to regular screening methods, cervical cancer incidence has decreased significantly over the years. According to the National Cancer Institute, an estimated 14,100 new cases of cervical cancer will be diagnosed in the United States in 2022, accounting for approximately 0.7 percent of all new cancer diagnoses.
Types of Cervical Lesions: From Precancerous to Cancerous
Cervical lesions can be categorized into two main types: precancerous and cancerous. Understanding the differences between these types is essential for proper diagnosis and treatment.

Precancerous Cervical Lesions
Precancerous cervical lesions occur when cells in the cervix begin to develop abnormal changes. These lesions have the potential to develop into cancer, but most often, they resolve on their own without causing any problems. Medical professionals may use various terms to describe precancerous cervical lesions, including:
- Cervical dysplasia
- Cervical intraepithelial neoplasia (CIN)
- Squamous intraepithelial lesion (SIL)
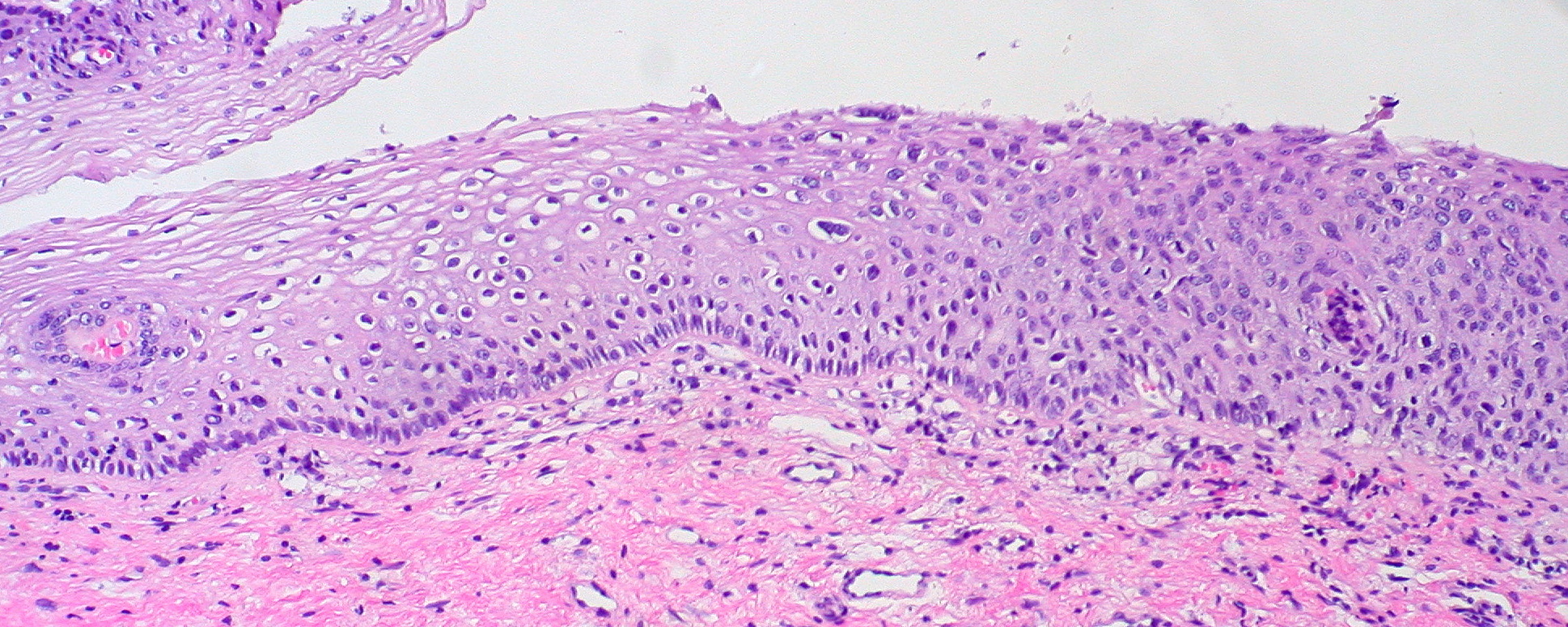
When examined under a microscope, precancerous cervical lesions are classified into three categories based on the extent of abnormal cell growth:
- CIN1 (mild dysplasia): Only a few cells appear abnormal, and this type often resolves without treatment.
- CIN2 and CIN3 (moderate dysplasia): More cells are abnormal, and treatment options may be discussed with a doctor.
- High-grade SIL (severe dysplasia): This is the most serious type and requires immediate treatment.
Cancerous Cervical Lesions
Cancerous cervical lesions are classified according to the location of the cancerous cells. The main types of cervical cancers include:

- Squamous cell carcinoma: Begins in the cells of the exocervix (outer part of the cervix)
- Adenocarcinoma: Originates in the glandular cells of the endocervix (inner part of the cervix)
- Adenosquamous carcinoma: Affects both squamous and glandular cells in the cervix
Squamous cell carcinoma is the most common type of cervical cancer, accounting for approximately 9 out of 10 cases, according to the American Cancer Society.
The Primary Culprit: Human Papillomavirus (HPV)
The main cause of cervical lesions is an infection with human papillomavirus (HPV). The Centers for Disease Control and Prevention (CDC) reports that HPV is responsible for more than 9 out of 10 cervical cancers. While there are many types of HPV, about 14 high-risk types are associated with the majority of HPV-related cancers.
HPV infection is extremely common, with most people contracting it at some point after becoming sexually active. In most cases, the immune system clears the infection naturally. However, persistent infection with high-risk HPV types can lead to the development of cervical cancer.

The HPV Vaccine: A Game-Changer in Cervical Cancer Prevention
The introduction of the HPV vaccine has revolutionized cervical cancer prevention. A 2020 study revealed that when administered before the age of 17, the HPV vaccine reduced the risk of cervical cancer by almost 90 percent. This remarkable efficacy underscores the importance of vaccination in public health efforts to combat cervical cancer.
How does the HPV vaccine work?
The HPV vaccine works by stimulating the body’s immune system to produce antibodies against specific types of HPV. These antibodies help prevent future infections with the targeted HPV types, significantly reducing the risk of developing cervical lesions and cancer.
Who should receive the HPV vaccine?
The CDC recommends HPV vaccination for all adolescents, both boys and girls, starting at age 11 or 12. Catch-up vaccination is recommended for individuals up to age 26 who have not been adequately vaccinated previously. In some cases, adults aged 27 to 45 may also benefit from HPV vaccination after discussing their risk factors with a healthcare provider.

Risk Factors for Cervical Cancer: Beyond HPV
While HPV infection is the primary cause of cervical cancer, several other factors can increase an individual’s risk. Understanding these risk factors is crucial for identifying those at higher risk and implementing appropriate preventive measures.
- Family history of cervical cancer
- Smoking
- Weakened immune system
- Long-term use of birth control pills
- Current or previous chlamydia infection
- Pregnancy-related factors (e.g., first full-term pregnancy at 17 or younger, having three or more full-term pregnancies)
- Sexual history factors that increase the risk of HPV exposure
It’s important to note that having one or more risk factors doesn’t necessarily mean an individual will develop cervical cancer. Regular screening and early intervention can significantly reduce the risk, even for those with multiple risk factors.
The Crucial Role of Cervical Cancer Screening
Cervical cancer screening plays a vital role in preventing cervical cancer by detecting precancerous lesions early. The two primary screening methods are the HPV test and the Pap test, which can be used individually or in combination.

HPV Test
The HPV test uses a sample of cervical cells to detect the presence of high-risk HPV types. While it doesn’t specifically identify cervical lesions, it can alert healthcare providers to the presence of HPV types associated with an increased risk of cervical cancer.
Pap Test
The Pap test, also known as a Pap smear, examines cervical cells for abnormalities that may indicate precancerous or cancerous changes. This test has been instrumental in reducing cervical cancer rates by enabling early detection and treatment of precancerous lesions.
Screening Guidelines
The American Cancer Society recommends the following screening guidelines for individuals with a cervix:
- Age 25-65: Primary HPV testing every 5 years (preferred), or HPV/Pap co-testing every 5 years, or Pap test alone every 3 years
- Over 65: Screening can be stopped if previous tests have been consistently normal
It’s important to consult with a healthcare provider to determine the most appropriate screening schedule based on individual risk factors and medical history.

Treatment Options for Cervical Lesions
The treatment of cervical lesions depends on their severity and whether they are precancerous or cancerous. Understanding the available treatment options can help individuals make informed decisions about their healthcare.
Treating Precancerous Lesions
For precancerous lesions, treatment options may include:
- Cryotherapy: Freezing abnormal cells to destroy them
- Loop electrosurgical excision procedure (LEEP): Removing abnormal tissue using a thin wire loop heated by electric current
- Conization: Surgically removing a cone-shaped piece of tissue containing the abnormal cells
- Laser therapy: Using a focused beam of light to destroy abnormal cells
In some cases, particularly for mild dysplasia (CIN1), a healthcare provider may recommend close monitoring rather than immediate treatment, as these lesions often resolve on their own.
Treating Cervical Cancer
Treatment for cervical cancer depends on the stage of the disease and may include:
- Surgery: Removing the cancerous tissue, which may involve removing part or all of the cervix, uterus, and surrounding tissues
- Radiation therapy: Using high-energy rays to kill cancer cells
- Chemotherapy: Using drugs to destroy cancer cells throughout the body
- Targeted therapy: Using drugs that target specific molecules involved in cancer growth
- Immunotherapy: Boosting the body’s natural defenses to fight cancer
The choice of treatment depends on various factors, including the stage of cancer, overall health, and personal preferences. A multidisciplinary team of healthcare professionals typically works together to develop the most effective treatment plan for each individual.

Lifestyle Changes and Preventive Measures
While medical interventions play a crucial role in preventing and treating cervical lesions, certain lifestyle changes and preventive measures can significantly reduce the risk of developing cervical cancer.
Practicing Safe Sex
Since HPV is primarily transmitted through sexual contact, practicing safe sex can help reduce the risk of infection. This includes:
- Using condoms consistently and correctly
- Limiting the number of sexual partners
- Discussing sexual history and STI testing with partners
Quitting Smoking
Smoking is a known risk factor for cervical cancer. Quitting smoking not only reduces the risk of cervical cancer but also improves overall health and reduces the risk of numerous other diseases.
Maintaining a Healthy Diet
A diet rich in fruits, vegetables, and whole grains may help support the immune system and reduce the risk of various cancers, including cervical cancer. Some studies suggest that certain nutrients, such as folate, vitamins C and E, and carotenoids, may have protective effects against cervical cancer.

Regular Exercise
Engaging in regular physical activity can help maintain a healthy weight and boost the immune system, potentially reducing the risk of cervical cancer and other health issues.
Stress Management
Chronic stress can weaken the immune system, potentially making it more difficult for the body to clear HPV infections. Implementing stress-reduction techniques such as meditation, yoga, or regular exercise can help support overall health and potentially reduce cancer risk.
The Future of Cervical Cancer Prevention
As research in cervical cancer prevention continues to advance, new strategies and technologies are emerging to improve detection, prevention, and treatment of cervical lesions and cancer.
Improved Screening Technologies
Researchers are working on developing more sensitive and specific screening tests that can detect precancerous changes earlier and more accurately. These advancements may lead to more personalized screening recommendations based on individual risk factors.

Enhanced HPV Vaccines
Next-generation HPV vaccines are being developed to provide broader protection against more HPV types. These vaccines may offer even greater efficacy in preventing cervical cancer and other HPV-related cancers.
Immunotherapy Advances
Ongoing research in immunotherapy is exploring new ways to harness the body’s immune system to fight cervical cancer more effectively. These treatments may offer hope for patients with advanced or recurrent cervical cancer.
Targeted Therapies
As our understanding of the molecular mechanisms driving cervical cancer grows, researchers are developing more targeted therapies that can specifically attack cancer cells while sparing healthy tissue. These treatments may offer more effective and less toxic options for patients with cervical cancer.
In conclusion, cervical lesions and cervical cancer remain significant health concerns, but advancements in prevention, screening, and treatment offer hope for reducing their impact. By understanding the types of cervical lesions, their causes, and risk factors, individuals can take proactive steps to protect their health. Regular screening, HPV vaccination, and adopting a healthy lifestyle are key strategies in the fight against cervical cancer. As research continues to progress, we can look forward to even more effective ways to prevent, detect, and treat cervical lesions and cancer, ultimately improving outcomes for individuals at risk of these conditions.

Types, Tests, and Cancer Prevention
Cervical cancer starts in the cervix, which is the passageway between the vagina and the uterus. Cervical lesions are patches of abnormal cells growing on the cervix.
Sometimes, cervical lesions are made of precancerous cells. Other times, cervical lesions contain cancerous cells.
Thanks to regular screening methods, cervical cancer is not as common as it used to be. The National Cancer Institute estimates that 14,100 people in the United States will be newly diagnosed with cervical cancer in 2022. This will make up about 0.7 percent of all new cancer diagnoses.
Keep reading to learn about the different types of cervical cancer lesions and how they’re diagnosed and treated.
Precancerous cervical lesions happen when cells in the cervix begin to develop abnormal changes. This means they have the potential to develop into cancerous lesions.
Most precancerous cervical lesions go away on their own, without causing any problems.
But in some people, these precancerous lesions develop into cancer. Treating precancerous lesions can prevent cervical cancer.
A doctor might use a variety of medical terms when talking about precancerous cervical lesions, including:
- cervical dysplasia
- cervical intraepithelial neoplasia (CIN)
- squamous intraepithelial lesion (SIL)
When examined under a microscope, precancerous cervical lesions are classified into one of three categories. These categories depend on how much of the cervix appears abnormal:
- CIN1 (mild dysplasia): Only a few of the cells appear abnormal. This type will often go away on its own without treatment.
- CIN2 and CIN3 (moderate dysplasia): More of the cells are abnormal. Because this type sometimes goes away on its own, you may choose to get regular screenings instead of treatment after talking with your doctor.
- High grade SIL (severe dysplasia): This is the most serious type.
It needs to be treated right away.
Cancerous cervical lesions are classified according to the location of the cancerous cells. These can include cells of the:
- Exocervix: This is the outer part of your cervix that faces down into your vagina. It’s the part that a doctor looks at as a part of a pelvic exam. The cells of the exocervix are called squamous cells.
- Endocervix: This is the inner part of your cervix that faces up toward the uterus. The cells here are called glandular cells.
As such, the main types of cervical cancers are:
- Squamous cell carcinoma: Squamous cell carcinoma begins in the cells of the exocervix, often at the meeting point between the exocervix and endocervix.
- Adenocarcinoma: Adenocarcinoma begins in the glandular cells of the endocervix.
- Adenosquamous carcinoma: Adenosquamous carcinoma affects both squamous and glandular cells in the cervix.

Overall, squamous cell carcinoma is the most common type of cervical cancer. According to the American Cancer Society, it accounts for 9 out of 10 cervical cancers.
The main cause of cervical lesions is an infection with human papillomavirus (HPV). According to the Centers for Disease Control and Prevention (CDC), HPV causes more than 9 out of 10 cervical cancers.
Not all types of HPV can cause cervical cancer. There are about 14 types of HPV that are considered high risk and are responsible for the majority of cancers that are caused by HPV.
HPV infection is very common. Most people contract HPV at some point after becoming sexually active. While the immune system typically clears the infection, sometimes high risk types of HPV can remain and lead to cancer.
The good news is that cervical cancer is now a very preventable cancer because of the HPV vaccine. A 2020 study found that, when given before age 17, the HPV vaccine reduced the risk of cervical cancer by almost 90 percent.
Cervical cancer risk factors
In addition to HPV infection, other risk factors for cervical cancer are:
- having a family history of cervical cancer
- smoking
- having a weakened immune system
- taking birth control pills for a long time
- currently or previously having chlamydia, a sexually transmitted infection (STI)
- factors related to pregnancy, such as being 17 years or younger at the time of your first full-term pregnancy or having three or more full-term pregnancies
- factors related to sexual history, which can raise the risk of contracting HPV, such as:
- having had many sexual partners
- becoming sexually active at a younger age
- having a sexual partner who has a known HPV infection or who has had many sexual partners
Cervical cancer screening is vital in preventing cervical cancer. This can include an HPV test, a Pap test, or both.
The HPV test uses a sample of cervical cells to test for HPV.
While it doesn’t specifically detect cervical lesions, it can alert your doctor to the presence of a high risk type of HPV that could lead to precancerous or cancerous changes in the future.
A Pap test also uses a sample of cells collected from the cervix. The cells are examined under a microscope to check for abnormal changes.
The current American Cancer Society cervical cancer screening guidelines are that all people with a cervix between the ages of 25 and 65 get a primary HPV test every 5 years.
If HPV primary testing isn’t available, HPV-Pap co-testing every 5 years, or a Pap test every 3 years, may also be used.
What if my screening result is abnormal?
If the results of your HPV or Pap test come back abnormal, your doctor may do a colposcopy or cervical biopsy. These are two procedures that let them examine the cells of your cervix more closely to check for precancer or cancer.
During a colposcopy, a doctor uses a speculum to open the vagina so they can see the cervix.
They then insert a device called a colposcope that has a light and a magnifying glass to help them get a better view of the cervix.
It’s possible that a biopsy may be taken during the colposcopy. In a biopsy, a small sample of cervical cells is removed. The sample is then examined in a lab for signs of precancerous or cancerous cells.
Symptoms of cervical lesions
Precancerous cervical lesions often don’t cause symptoms. Because of this, many people don’t know they have them.
The same can be said about early cancerous lesions. Overall, most people with cervical cancer don’t have symptoms until the cancer has become more advanced. Some of the most common symptoms can include:
- abnormal vaginal bleeding, including:
- after sex
- between periods
- menstrual periods that are much heavier or longer than usual
- after menopause
- vaginal discharge that may contain blood or may smell foul
- pain after sex
- pelvic pain
The fact that precancerous and early cervical cancer lesions don’t typically lead to symptoms makes regular cervical cancer screenings very important for early detection.
For some people, precancerous cervical lesions will go away without treatment. However, if you do have precancerous cervical lesions, getting treatment can go a long way in preventing them from becoming cancerous in the future.
Treatment involves removing the precancerous lesions. This can be accomplished in a few ways.
Ablation-based treatments work by destroying precancerous lesions. This can be done using cold (cryotherapy) or heat (laser surgery).
Excisional treatments remove the precancerous lesions. This can be done with a scalpel that removes a cone-shaped section of tissue (cold knife conization) or by using a thin wire loop containing an electrical current (LEEP).
It takes a long time to develop cervical cancer. According to the World Health Organization (WHO), it can take 15 to 20 years for cervical cancer to develop.
However, the WHO also notes this time frame is different for people with weakened immune systems. This can include people who are:
- living with HIV
- taking immunosuppressive drugs
- organ or bone marrow transplant recipients
- undergoing cancer treatments, like chemotherapy
In people with a weakened immune system, the WHO states cervical cancer can develop in a shorter span of time — about 5 to 10 years.
Precancerous cervical lesions are abnormal changes in cells of the cervix that are not yet cancerous. Some precancerous lesions go away on their own. Others will need to be treated to prevent cancer from developing.
Cervical lesions are mainly caused by HPV infection. Screening tests can detect HPV as well as abnormal changes to cervical cells. An HPV vaccine is available that can greatly reduce the risk of HPV infection and cervical cancer.
It’s not common for precancerous or early cancerous cervical lesions to cause symptoms. This makes regular cervical cancer screenings all the more vital for detecting and treating these lesions early.
Types, Tests, and Cancer Prevention
Cervical cancer starts in the cervix, which is the passageway between the vagina and the uterus. Cervical lesions are patches of abnormal cells growing on the cervix.
Sometimes, cervical lesions are made of precancerous cells. Other times, cervical lesions contain cancerous cells.
Thanks to regular screening methods, cervical cancer is not as common as it used to be. The National Cancer Institute estimates that 14,100 people in the United States will be newly diagnosed with cervical cancer in 2022. This will make up about 0.7 percent of all new cancer diagnoses.
Keep reading to learn about the different types of cervical cancer lesions and how they’re diagnosed and treated.
Precancerous cervical lesions happen when cells in the cervix begin to develop abnormal changes. This means they have the potential to develop into cancerous lesions.
Most precancerous cervical lesions go away on their own, without causing any problems. But in some people, these precancerous lesions develop into cancer. Treating precancerous lesions can prevent cervical cancer.
A doctor might use a variety of medical terms when talking about precancerous cervical lesions, including:
- cervical dysplasia
- cervical intraepithelial neoplasia (CIN)
- squamous intraepithelial lesion (SIL)
When examined under a microscope, precancerous cervical lesions are classified into one of three categories.
These categories depend on how much of the cervix appears abnormal:
- CIN1 (mild dysplasia): Only a few of the cells appear abnormal. This type will often go away on its own without treatment.
- CIN2 and CIN3 (moderate dysplasia): More of the cells are abnormal. Because this type sometimes goes away on its own, you may choose to get regular screenings instead of treatment after talking with your doctor.
- High grade SIL (severe dysplasia): This is the most serious type. It needs to be treated right away.
Cancerous cervical lesions are classified according to the location of the cancerous cells. These can include cells of the:
- Exocervix: This is the outer part of your cervix that faces down into your vagina. It’s the part that a doctor looks at as a part of a pelvic exam. The cells of the exocervix are called squamous cells.
- Endocervix: This is the inner part of your cervix that faces up toward the uterus.
The cells here are called glandular cells.
As such, the main types of cervical cancers are:
- Squamous cell carcinoma: Squamous cell carcinoma begins in the cells of the exocervix, often at the meeting point between the exocervix and endocervix.
- Adenocarcinoma: Adenocarcinoma begins in the glandular cells of the endocervix.
- Adenosquamous carcinoma: Adenosquamous carcinoma affects both squamous and glandular cells in the cervix.
Overall, squamous cell carcinoma is the most common type of cervical cancer. According to the American Cancer Society, it accounts for 9 out of 10 cervical cancers.
The main cause of cervical lesions is an infection with human papillomavirus (HPV). According to the Centers for Disease Control and Prevention (CDC), HPV causes more than 9 out of 10 cervical cancers.
Not all types of HPV can cause cervical cancer. There are about 14 types of HPV that are considered high risk and are responsible for the majority of cancers that are caused by HPV.
HPV infection is very common. Most people contract HPV at some point after becoming sexually active. While the immune system typically clears the infection, sometimes high risk types of HPV can remain and lead to cancer.
The good news is that cervical cancer is now a very preventable cancer because of the HPV vaccine. A 2020 study found that, when given before age 17, the HPV vaccine reduced the risk of cervical cancer by almost 90 percent.
Cervical cancer risk factors
In addition to HPV infection, other risk factors for cervical cancer are:
- having a family history of cervical cancer
- smoking
- having a weakened immune system
- taking birth control pills for a long time
- currently or previously having chlamydia, a sexually transmitted infection (STI)
- factors related to pregnancy, such as being 17 years or younger at the time of your first full-term pregnancy or having three or more full-term pregnancies
- factors related to sexual history, which can raise the risk of contracting HPV, such as:
- having had many sexual partners
- becoming sexually active at a younger age
- having a sexual partner who has a known HPV infection or who has had many sexual partners
Cervical cancer screening is vital in preventing cervical cancer.
This can include an HPV test, a Pap test, or both.
The HPV test uses a sample of cervical cells to test for HPV. While it doesn’t specifically detect cervical lesions, it can alert your doctor to the presence of a high risk type of HPV that could lead to precancerous or cancerous changes in the future.
A Pap test also uses a sample of cells collected from the cervix. The cells are examined under a microscope to check for abnormal changes.
The current American Cancer Society cervical cancer screening guidelines are that all people with a cervix between the ages of 25 and 65 get a primary HPV test every 5 years.
If HPV primary testing isn’t available, HPV-Pap co-testing every 5 years, or a Pap test every 3 years, may also be used.
What if my screening result is abnormal?
If the results of your HPV or Pap test come back abnormal, your doctor may do a colposcopy or cervical biopsy. These are two procedures that let them examine the cells of your cervix more closely to check for precancer or cancer.
During a colposcopy, a doctor uses a speculum to open the vagina so they can see the cervix. They then insert a device called a colposcope that has a light and a magnifying glass to help them get a better view of the cervix.
It’s possible that a biopsy may be taken during the colposcopy. In a biopsy, a small sample of cervical cells is removed. The sample is then examined in a lab for signs of precancerous or cancerous cells.
Symptoms of cervical lesions
Precancerous cervical lesions often don’t cause symptoms. Because of this, many people don’t know they have them.
The same can be said about early cancerous lesions. Overall, most people with cervical cancer don’t have symptoms until the cancer has become more advanced. Some of the most common symptoms can include:
- abnormal vaginal bleeding, including:
- after sex
- between periods
- menstrual periods that are much heavier or longer than usual
- after menopause
- vaginal discharge that may contain blood or may smell foul
- pain after sex
- pelvic pain
The fact that precancerous and early cervical cancer lesions don’t typically lead to symptoms makes regular cervical cancer screenings very important for early detection.
For some people, precancerous cervical lesions will go away without treatment. However, if you do have precancerous cervical lesions, getting treatment can go a long way in preventing them from becoming cancerous in the future.
Treatment involves removing the precancerous lesions. This can be accomplished in a few ways.
Ablation-based treatments work by destroying precancerous lesions. This can be done using cold (cryotherapy) or heat (laser surgery).
Excisional treatments remove the precancerous lesions. This can be done with a scalpel that removes a cone-shaped section of tissue (cold knife conization) or by using a thin wire loop containing an electrical current (LEEP).
It takes a long time to develop cervical cancer. According to the World Health Organization (WHO), it can take 15 to 20 years for cervical cancer to develop.
However, the WHO also notes this time frame is different for people with weakened immune systems. This can include people who are:
- living with HIV
- taking immunosuppressive drugs
- organ or bone marrow transplant recipients
- undergoing cancer treatments, like chemotherapy
In people with a weakened immune system, the WHO states cervical cancer can develop in a shorter span of time — about 5 to 10 years.
Precancerous cervical lesions are abnormal changes in cells of the cervix that are not yet cancerous. Some precancerous lesions go away on their own. Others will need to be treated to prevent cancer from developing.
Cervical lesions are mainly caused by HPV infection. Screening tests can detect HPV as well as abnormal changes to cervical cells. An HPV vaccine is available that can greatly reduce the risk of HPV infection and cervical cancer.
It’s not common for precancerous or early cancerous cervical lesions to cause symptoms. This makes regular cervical cancer screenings all the more vital for detecting and treating these lesions early.
Benign neoplasms of the cervix
Benign neoplasms of the cervix are small tumors (seals, nodules or polyps) that do not contain cancer cells and, as a result, are incapable of malignancy.
Such neoplasms are considered conditionally safe, since they practically do not carry the risk of developing oncology. However, with prolonged absence of treatment and accelerated growth, they can cause significant discomfort to the female body.
Among the most common types of benign tumors are fibromyomas, myomas, polyps and cystic formations.
Fibromyoma is a small tumor or induration on the cervix, consisting of connective tissue cells. As a rule, it develops asymptomatically. A rapid increase in size is an indication for surgical intervention.
Myoma is a fairly common disease characterized by uncontrolled division of muscle tissue cells, which leads to the formation of a tumor. In the early stages, the growth of fibroids is asymptomatic. Subsequently, however, it can cause irregular bleeding. With infectious lesions, pain in the lower abdomen, vaginal discharge appear. A complicated form of fibroids can cause cystitis and bladder diseases.
Cervical polyps are another common type of benign growth. Polyps are formed directly on the mucous membrane of the cervix and are small seals “on the leg”. Symptoms of polyps include white or yellow vaginal discharge, minor vaginal bleeding after intercourse, and heavy periods.
Causes of benign tumors of the cervix are:
- Elevated levels of the female sex hormone estrogen.
- Chronic inflammation of the vagina or cervix.
- Injury to the cervix during surgical interventions.
- Bacterial infection.
Since in the vast majority of cases, benign lesions of the cervix develop asymptomatically, they can be diagnosed by visual examination of the patient on the chair.
In order to establish an accurate diagnosis, calposcopy is performed – an examination with an increase in the cervix. Also, tests are taken from the cervical canal and a smear for cytology.
Treatment of benign tumors involves their removal. To do this, use the following methods:
- Cauterization with special solutions.
- Cryotherapy – exposure to low temperatures, at which the cells of the formation begin to collapse.
- Laser treatment.
- Radio wave treatment.

City Clinical Hospital named after Yudin S.S. uses in its work the most innovative methods of diagnosis and treatment of benign formations. Specialized laboratories and operating rooms are equipped with the latest technology, and experienced doctors and nurses coordinate their tasks so that each patient can receive qualified assistance as quickly as possible.
Tumor of the uterus: causes, symptoms, types
- Causes
- Symptoms
- Types of uterine tumor
- Malignant
- Benign
- Stages of uterine cancer
- Treatment
- Diagnosis
- Therapy
- Operation
- Further development of the situation and forecast
A uterine tumor is a neoplasm that is either benign or malignant. The tumor is an overgrown tissue and localized in one or more places. Uncontrolled cell division into a tumor occurs under the influence of a number of factors.
Causes
Tumors of the uterus can occur for reasons such as hormonal imbalance, infections and inflammatory diseases of the pelvic organs, various injuries, and surgical interventions. The development of certain types of neoplasms is influenced by hereditary predisposition.
Tumors of the uterus and appendages are often caused by a combination of adverse factors affecting the body: frequent stress, general fatigue and weakness, chronic inflammatory processes of nearby organs (for example, the intestines) play a negative role.
The causes of cervical tumor formation are inflammatory diseases of the vagina, dysbacteriosis, dysbiosis. In many cases, disorders can occur when the synthesis of sex hormones changes. Cervical tumors provoked by such a reason as the presence in the body of certain types of human papillomavirus have an oncogenic risk.
Regular visits to the gynecologist are recommended to prevent the development of tumors. In the absence of problems, it is necessary to see a doctor at intervals of once every six months.
Symptoms
In women in the period of menopause, the first symptoms that may indicate a uterine tumor may be:
- Menstrual irregularity. Immediately before menopause, bloody discharge becomes less frequent and decreases in volume. But with a tumor, the discharge can again become more frequent and become abundant.
In post-menopausal women who have not had a period for more than 2 months, symptoms may include:
- Any discharge with blood and bleeding.
In women of all ages, the following symptoms may indicate the presence of a uterine tumor:
- irregular spotting;
- constipation;
- fatigue.
The following types of pain may disturb:
- in the lumbar region;
- lower abdomen;
- in the crotch;
- when urinating;
- after intercourse.
Types of uterine tumors
Tumors can be benign or malignant.
Benign tumors can develop for years, do not cause discomfort and danger to life. They are easily treatable. Malignant growths (cancer) grow rapidly and can be a serious threat to life. Treatment of such tumors is more successful the earlier they are diagnosed.
Malignant tumors
Classification of cancer depends on the location of the tumor in the uterus and the type of cancer cells:
- Squamous cell carcinoma is a tumor that develops from the epithelium of the cervical canal and the vaginal part of the cervix. Most common uterine cancer. Most often they get sick at the age of 30-34 years. The cause of this type of tumor is a virus. Its appearance is facilitated by: smoking, early onset of sexual activity, frequent change of sexual partners, immunodeficiency states.
Squamous cell carcinoma may be preceded by the following precancerous conditions:- CIN I or moderate dysplasia;
- CIN II or severe dysplasia;
- CIN III or carcinoma.

- Glandular squamous cell carcinoma – the formation of foci with squamous differentiation, closely intertwined with glandular structures. Outwardly, it resembles an ulceration formation. Occurs rarely. It has low differentiation (cells are very different from normal), which is why it often acquires an aggressive course.
- Glandular cancer – a tumor affecting the glandular cells of the uterine cavity and cervical canal. It occurs frequently in older women.
- Serous cancer – a tumor, which is a degenerated cells of the epithelial tissue. It has a latent course and is often detected during a routine gynecological examination.
- Adenocarcinoma is a common type of cancer that develops from the secretory epithelium of the mucous membrane of the uterine body and grows either into the uterine cavity (exophytic form) or deep into the lumen of the organ (endophytic form). Happens:
- highly differentiated;
- moderately differentiated;
- low-grade.

- Clear cell adenocarcinoma – large multifaceted epithelial cells that can occur together with cells of non-clear cell adenocarcinomas. Rarely seen.
- Undifferentiated cancer – a tumor condition in which it is impossible to determine the exact type of cancer cells. More dangerous than other types of cancer. It develops faster and is more difficult to treat. The earlier it is detected, the greater the chance of recovery.
Benign tumors
The most common benign tumors of the uterus:
- Cyst is a bladder filled with liquid contents. By itself, the bubble is not dangerous and is rarely large, but it can cause complications in the form of pseudo-erosion on the mucous wall of the uterus or suppuration upon rupture. To avoid complications, it is better to remove the cyst.
- Fibroids – a ball of intertwining smooth muscle fibers of a rounded shape, with a diameter of several millimeters to several centimeters.
It is more common in the late reproductive period and before menopause. It is the most common tumor in women. It is a hormone-dependent tumor. It occurs due to improper division of one smooth muscle cell. Treated with medications such as
tranexamic acid and gonadotropin releasing hormone antagonists. The most effective is surgical removal by laparoscopy, hysteroscopy and hysterectomy. - Polyp – a tumor, which is an outgrowth from the basal layer of endometrioid cells. It is the body of the tumor on the leg, with the help of which it is attached to the inner wall of the uterus. Occurs against the background of weak immunity and metabolic disorders. It usually occurs after the age of 30.
Endometrial polyps are removed during hysteroscopy, and their base is scraped off with a curette. The procedure takes place quickly under local anesthesia, after the operation, there may be bloody discharge from the uterine cavity for 10 days.
Adenomatous polyps are a precancerous condition, so their treatment is different from that of normal polyps.
Women over 45 with adenomatous polyps are prescribed complete removal of the uterus. - Fibroma is a tumor that grows from the muscular layer of the uterus, which is dominated by connective elements. It is a hormone dependent tumor. It grows from a single mutated cell. It is nodular and diffuse. The nodular fibromyoma is clearly defined and distinguishable from other formations, while the boundaries of diffuse fibroids are blurred and it can merge with other formations.
Stages of uterine cancer
- Stage 0 – malignant change in the uterine epithelium without penetration beyond the basement membrane.
- stage 1 – the tumor is within the body of the uterus.
- stage 2 – the tumor has spread to the cervix.
- stage 3 – the tumor metastasizes to the ovary, vagina, pelvic or para-aortic lymph nodes.
- stage 4 – the tumor spreads to the mucous membrane of the large intestine, bladder, to distant organs and lymph nodes.

Treatment
Treatment of uterine cancer consists in the accurate diagnosis of this disease, the correct determination of the type of tumor and, based on the diagnostic data, the choice of the method of treatment – therapy and surgery.
Diagnosis
The following methods can be selected to detect the disease and determine the type of tumor:
- Clinical diagnostics – interview of the patient, gynecological examination and history taking.
- Ultrasound examination of the pelvic organs (ultrasound) is a research method using an ultrasound device that allows you to determine the tumor, study its size and structure, check the condition of the outer, mucous and muscular layer of the uterus, assess the state of blood flow and detect foci in other organs.
- Hysteroscopy – visual examination of the uterus and sampling of biological material from the inner layer in those places where there is a suspicion of a tumor.

- Cytological method – study of the cellular composition of the material obtained as a result of smears during a gynecological examination. According to the cellular composition, it is possible to determine the presence of an inflammatory process, atypical and cancerous cells in the uterus.
- Biopsy and immunohistochemistry – examination of uterine material taken with a colposcope, under a microscope and using immunohistochemistry to determine the type of tumor cells.
- Histological examination – examination of material taken from the uterus under a microscope. The tissue structure, the presence of tumor cells and their differentiation are studied.
- Oncomarker SA-125 – a blood test for the presence of markers that indirectly indicate the spread of the tumor process in the body.
- Fluorescent diagnostics – a method in which photosensitizing substances are introduced into the body that can selectively accumulate in malignant cells.
After that, with the help of endoscopic examination of the uterus, the location of the tumors is revealed. The method allows the tumor to be less than 1 millimeter.
After receiving the data collected by various methods, the doctor deciphers the results, evaluates everything as a whole, makes a diagnosis and prescribes treatment.
Therapy
For certain types of tumors, the following may be effective for treatment:
- Hormone therapy – the use of hormones, such as progesterone and others, to suppress certain types of tumors in the early stages. It is more commonly used to treat women who are planning to become pregnant in the future. After hormone therapy, weight gain and other consequences may occur.
- Chemotherapy is the use of chemicals to destroy certain types of tumors. As a rule, it is used after surgery to destroy cancer cells remaining in the body. Therapy is carried out intravenously in cycles. As side effects, it can cause hair loss, disruption of the gastrointestinal tract, and decreased immunity.

- Radiation Therapy is used to destroy cancer cells either alone or in combination with other therapies and surgery. Irradiation of the tumor can be external or internal. External irradiation is done on a large apparatus, which directs rays from the outside to the site of the tumor in the uterus. Internal irradiation is carried out by introducing a cylinder of radioactive material into the vagina for a short time. Radiation therapy can lead to irregular menstruation, narrowing of the vagina, burning, dryness and irritation for a while.
The use of therapies depends on the type of tumor, the stage of development, the patient’s general health, age, and many other factors.
Operation
The main method of treating the disease, by removing the tumor:
- Ordinary abdominal surgery (laparotomy) . To access the tumor and remove it, a large incision is made in the abdomen.
- Endoscopic surgery .
The tumor is removed using an endoscopic machine, which is inserted through several small incisions in the anterior abdominal wall.
The method of operation is chosen by the surgeon depending on the condition of the patient.
You can make an appointment for the diagnosis and treatment of a uterine tumor at our L-Med clinic by calling +7 (4872) 49-57-57 or using the online form on the website.
Further development of the situation and prognosis
The prognosis for recovery depends on many factors, such as the patient’s age, tumor type, cancer stage, presence of metastasis, and others. Patients under 50 years of age have a more favorable prognosis with a hormone-dependent variant of cancer and the absence of metastases. The prognosis is worse in women older than 70 years with a type of cancer that is not sensitive to hormones. Detecting and treating cancer at an earlier stage gives a better prognosis. Treatment of endometrial cancer gives better results than sarcoma.

It needs to be treated right away.
The cells here are called glandular cells.


It is more common in the late reproductive period and before menopause. It is the most common tumor in women. It is a hormone-dependent tumor. It occurs due to improper division of one smooth muscle cell. Treated with medications such as
Women over 45 with adenomatous polyps are prescribed complete removal of the uterus.

After that, with the help of endoscopic examination of the uterus, the location of the tumors is revealed. The method allows the tumor to be less than 1 millimeter.
The tumor is removed using an endoscopic machine, which is inserted through several small incisions in the anterior abdominal wall.