What is normal liver numbers. Understanding Normal Liver Numbers: Ranges, Results, and Implications
What are normal liver function test results. How do liver enzyme levels indicate liver health. What factors influence liver test numbers. When should you be concerned about liver test results. How are liver function tests interpreted by medical professionals.
Liver Function Tests: A Window into Liver Health
Liver function tests (LFTs) are crucial diagnostic tools that provide valuable insights into the health and functionality of the liver. These tests measure various enzymes, proteins, and substances in the blood that reflect liver activity. Understanding normal liver numbers is essential for both medical professionals and patients to interpret test results accurately.
Key Components of Liver Function Tests
Liver function tests typically include measurements of several key components:
- Bilirubin (total and conjugated)
- Aspartate Aminotransferase (AST)
- Alanine Aminotransferase (ALT)
- Gamma-Glutamyl Transferase (GGT)
- Alkaline Phosphatase (ALP)
- Total Protein
- Albumin
Each of these components provides specific information about liver function and potential issues.

Normal Ranges for Liver Function Tests
Understanding the normal ranges for liver function tests is crucial for interpreting results. However, it’s important to note that these ranges can vary slightly between laboratories and for different age groups.
Bilirubin
Total bilirubin: 3 – 20 mmol/l
Conjugated bilirubin: Less than 7 mmol/l
Bilirubin levels indicate the presence of jaundice and can help differentiate between liver-related and non-liver-related causes of jaundice.
Liver Enzymes
AST (Aspartate Aminotransferase): 10 – 40 IU/l
ALT (Alanine Aminotransferase): 10 – 40 IU/l
GGT (Gamma-Glutamyl Transferase): 5 – 55 IU/L
ALP (Alkaline Phosphatase): Less than 350 IU/L
Elevated levels of these enzymes can indicate liver inflammation or damage. However, ALP is not specific to the liver and can be elevated due to processes in other parts of the body.
Proteins
Total Protein: 60 – 80 g/l
Albumin: 35 – 50 g/l
Protein levels, especially albumin, can indicate the liver’s ability to synthesize proteins and overall nutritional status.

Interpreting Liver Function Test Results
Interpreting liver function test results requires a comprehensive approach, considering multiple factors and not just individual values.
Is a single abnormal result cause for concern?
A single abnormal result does not necessarily indicate a serious liver problem. Factors such as medication use, recent alcohol consumption, or even intense exercise can temporarily affect liver enzyme levels. Medical professionals typically look for patterns or persistent abnormalities before drawing conclusions.
How do medical professionals interpret liver function tests?
Medical professionals consider several aspects when interpreting liver function tests:
- The degree of elevation or decrease in specific markers
- The combination of abnormal results
- The patient’s medical history and risk factors
- The presence of symptoms associated with liver disease
- The results of other diagnostic tests, such as imaging studies
This comprehensive approach helps in accurately assessing liver health and identifying potential issues.

Factors Influencing Liver Function Test Results
Several factors can influence liver function test results, leading to temporary or persistent abnormalities.
Lifestyle Factors
- Alcohol consumption
- Obesity
- Diet high in saturated fats
- Lack of physical activity
Medical Conditions
- Viral hepatitis
- Non-alcoholic fatty liver disease (NAFLD)
- Autoimmune liver diseases
- Metabolic disorders
Medications and Supplements
- Certain antibiotics
- Statins
- Over-the-counter pain medications
- Some herbal supplements
Understanding these factors is crucial for accurately interpreting liver function test results and identifying the underlying causes of abnormalities.
Beyond Liver Function Tests: Additional Diagnostic Tools
While liver function tests provide valuable information, they are often used in conjunction with other diagnostic tools to assess liver health comprehensively.
Blood Clotting Tests
Blood clotting tests, such as Prothrombin Time (PT) and International Normalized Ratio (INR), can provide additional insights into liver function:

- PT: Normal range 12 – 15 seconds
- INR: Normal range 0.9 – 1.2
These tests measure the liver’s ability to produce clotting factors, which can be impaired in liver disease.
Other Blood Tests
Additional blood tests that may be used to assess liver health include:
- Full blood count (FBC)
- Urea and electrolytes
- Blood glucose
- Ammonia levels
These tests can provide a more comprehensive picture of overall health and help identify complications associated with liver disease.
Imaging Studies
Imaging studies, such as ultrasound, CT scans, or MRI, may be used to visualize the liver and detect structural abnormalities or signs of disease.
The Role of Liver Function Tests in Diagnosing Metabolic Syndrome
Recent research has highlighted the correlation between liver enzyme levels and the severity of metabolic syndrome in large population-based cohorts. This connection underscores the importance of liver function tests in assessing overall metabolic health.
How are liver enzymes related to metabolic syndrome?
Elevated liver enzymes, particularly ALT and GGT, have been associated with various components of metabolic syndrome, including:

- Insulin resistance
- Obesity
- Dyslipidemia
- Hypertension
This relationship suggests that liver function tests may serve as early indicators of metabolic disturbances and potential cardiovascular risk.
Non-alcoholic fatty liver disease (NAFLD) and metabolic syndrome
NAFLD is increasingly recognized as the hepatic manifestation of metabolic syndrome. Studies have shown that:
- NAFLD is strongly associated with obesity and insulin resistance
- The prevalence of NAFLD has increased alongside the rise in obesity rates
- NAFLD can progress to more severe liver conditions, including cirrhosis
Monitoring liver function tests in individuals with metabolic risk factors can help identify NAFLD early and guide interventions to prevent disease progression.
When to Seek Medical Attention for Abnormal Liver Test Results
While minor fluctuations in liver function test results are common, certain situations warrant prompt medical attention.
When should you be concerned about liver test results?
Consider seeking medical advice if:

- Liver enzyme levels are persistently elevated over multiple tests
- Bilirubin levels are significantly higher than the normal range
- Albumin levels are consistently low
- You experience symptoms such as jaundice, abdominal pain, or unexplained weight loss
- You have risk factors for liver disease, such as heavy alcohol use or viral hepatitis
Early detection and intervention can significantly improve outcomes in liver disease.
What follow-up tests might be recommended?
If abnormal liver function test results persist, your healthcare provider may recommend additional tests, such as:
- More specific blood tests to identify viral hepatitis or autoimmune liver diseases
- Imaging studies to visualize the liver and detect structural abnormalities
- Liver biopsy in some cases to determine the extent of liver damage and its cause
These follow-up tests help provide a more comprehensive assessment of liver health and guide appropriate treatment strategies.
Maintaining Healthy Liver Function: Lifestyle Recommendations
While some liver conditions require medical intervention, many liver health issues can be prevented or managed through lifestyle modifications.

How can you support liver health through lifestyle changes?
Consider implementing the following strategies to maintain optimal liver function:
- Limit alcohol consumption or abstain completely
- Maintain a healthy weight through balanced nutrition and regular exercise
- Avoid unnecessary medications and follow dosage instructions carefully
- Protect against viral hepatitis through vaccination and safe practices
- Manage chronic conditions like diabetes and high cholesterol
- Stay hydrated and incorporate liver-friendly foods into your diet
These lifestyle changes can significantly impact liver health and overall well-being.
What dietary changes support liver health?
A liver-friendly diet typically includes:
- Plenty of fruits and vegetables
- Whole grains and lean proteins
- Healthy fats from sources like olive oil, avocados, and nuts
- Limited processed foods, saturated fats, and added sugars
- Adequate hydration, primarily through water intake
These dietary choices can help reduce inflammation, support liver function, and maintain a healthy weight.

Understanding normal liver numbers and the factors that influence them is crucial for maintaining liver health and overall well-being. Regular check-ups, including liver function tests, can help detect potential issues early and guide appropriate interventions. By combining medical monitoring with healthy lifestyle choices, individuals can support optimal liver function and reduce the risk of liver-related complications.
Tests and Investigations | Children’s Liver Disease Foundation
Liver function tests explained:
It’s important to note that every child will have their own ‘normal’ and whilst these levels are a guide, it doesn’t necessarily mean a result outside of these ranges is dangerous. Always talk to your child’s medical team if you have any worries about test results. LFTs show the amount of inflammation in the liver, whether the bile ducts are affected and how well the liver is functioning.
| Name of test | Normal range | What does this show? |
| Bilirubin (SBR) a) Total bilirubin
b) Conjugated bilirubin |
a) 3 – 20 mmol/l b) Conjugated less than 7 mmol/l | The total bilirubin level corresponds to the level of jaundice present. The amount of conjugated bilirubin compared to the unconjugated bilirubin can show whether jaundice is caused by red blood cells breaking up too quickly (not a liver disease) or is due to a reduced flow of bile out of the liver.Conjugated means that a sugar has been added to the bilirubin. |
| Aspartate Aminotransferase (AST) | 10 – 40 IU/I | High levels can mean there is liver inflammation present. |
| Alanine Aminotransferase (ALT) | ||
| Gamma-Glutamyl Transferase (GGT, gGT or Gamma GT) | 5 – 55 IU/L | High levels can mean bile duct inflammation or obstruction.The results can sometimes give information about bile production. |
| Alkaline Phosphatase (ALP) | Less than 350 IU/L | High levels can mean there is bile duct inflammation BUT ALP is not specific to the liver as it is also produced in other organs e. |
| Total Protein | 60 – 80 g/l | High and low levels can be used in consideration with the other LFT results |
| Albumin | 35 – 50 g/l | Low levels can mean the liver is not making enough, that protein is being lost through the stool or a child is not well nourished. |
Another blood test which is helpful to assess how the liver is working is a blood clotting test. Blood is taken, chemicals are added to it in the lab and the time taken for blood to clot is measured.
| Name of test | Normal range | What does this show? |
| Blood Clotting (Coagulation) Test a) PT (Prothrombin time)
b) INR (International normalised ratio*)
*INR is a standardised version of the PT for comparison, they both measure the same thing | a) 12 – 15 seconds b) 0. | The liver produces substances needed for blood to clot.Raised levels can mean there is less Vitamin K due to a reduced bile flow. If Vitamin K is given and the result is still raised, it may mean there is damage to the liver. |
Other blood tests include:
| Name of test | What is measured? |
| Full blood count (FBC) | Haemoglobin (Hb)White blood cell count (WBC) Platelets (Plt) – levels can fall in liver disease if the spleen is enlarged. |
| Urea and electrolytes | Urea and creatinine are waste products removed by the kidneys.Electrolytes include sodium, chloride and calcium. |
| Blood glucose | A high or low level of sugar in the blood can sometimes be a sign of liver damage or a metabolic liver disease.![]() |
| Ammonia | Ammonia is a waste product. It is converted into urea in the liver and is then removed in urine.A higher level than usual may mean there is damage to the liver or an underlying metabolic condition. |
Some of these tests may be used to monitor the effects of medications on the body.
This website provides general information but does not replace medical advice. It is important to contact your/your child’s medical team if you have any worries or concerns
Normal liver enzymes are correlated with severity of metabolic syndrome in a large population based cohort
Clark, J. M. & Diehl, A. M. Nonalcoholic fatty liver disease: an underrecognized cause of cryptogenic cirrhosis. JAMA 289, 3000–3004 (2003).
Article
Google Scholar
Ruhl, C. E. & Everhart, J. E. Determinants of the association of overweight with elevated serum alanine aminotransferase activity in the United States.
Gastroenterology 124, 71–79 (2003).
CAS
Article
Google Scholar
Younossi, Z. M. et al. Changes in the prevalence of the most common causes of chronic liver diseases in the United States from 1988 to 2008. Clin. Gastroenterol. Hepatol. 9, 524–530.e1 (2011).
Article
Google Scholar
Dietrich, P. & Hellerbrand, C. Non-alcoholic fatty liver disease, obesity and the metabolic syndrome. Best Pract Res Clin Gastroenterol 28, 637–653 (2014).
CAS
Article
Google Scholar
Vanni, E. et al. From the metabolic syndrome to NAFLD or vice versa? Dig Liver Dis 42, 320–330 (2010).
CAS
Article
Google Scholar
Kim, C. H. & Younossi, Z. M. Nonalcoholic fatty liver disease: a manifestation of the metabolic syndrome. Cleve Clin J Med 75, 721–728 (2008).
Article
Google Scholar
Verma, S., Jensen, D., Hart, J. & Mohanty, S. R. Predictive value of ALT levels for non-alcoholic steatohepatitis (NASH) and advanced fibrosis in non-alcoholic fatty liver disease (NAFLD). Liver Int. 33, 1398–1405 (2013).
CAS
Article
Google Scholar
Torres, D. M. & Harrison, S. A. NAFLD: Predictive value of ALT levels for NASH and advanced fibrosis. Nat Rev Gastroenterol Hepatol 10, 510–511 (2013).
CAS
Article
Google Scholar
Al-hamoudi, W. et al. Revising the upper limit of normal for levels of serum alanine aminotransferase in a Middle Eastern population with normal liver histology. Dig. Dis. Sci. 58, 2369–2375 (2013).
CAS
Article
Google Scholar
Park, H. N. et al. Upper normal threshold of serum alanine aminotransferase in identifying individuals at risk for chronic liver disease.
Liver Int. 32, 937–944 (2012).
CAS
Article
Google Scholar
Schwimmer, J. B. et al. SAFETY study: alanine aminotransferase cutoff values are set too high for reliable detection of pediatric chronic liver disease. Gastroenterology 138, 1357–1364 (2010).
CAS
Article
Google Scholar
Bechmann, L. P. et al. The interaction of hepatic lipid and glucose metabolism in liver diseases. J. Hepatol. 56, 952–964 (2012).
CAS
Article
Google Scholar
Bechmann, L. P. et al. Glucokinase links Krüppel-like factor 6 to the regulation of hepatic insulin sensitivity in nonalcoholic fatty liver disease. Hepatology 55, 1083–1093 (2012).
CAS
Article
Google Scholar
Wree, A. et al. Adipocyte cell size, free fatty acids and apolipoproteins are associated with non-alcoholic liver injury progression in severely obese patients.
Metab. Clin. Exp. 63, 1542–1552 (2014).
CAS
Article
Google Scholar
Cheung, O. & Sanyal, A. J. Abnormalities of lipid metabolism in nonalcoholic fatty liver disease. Semin. Liver Dis. 28, 351–359 (2008).
CAS
Article
Google Scholar
Albano, E., Mottaran, E., Occhino, G., Reale, E. & Vidali, M. Review article: role of oxidative stress in the progression of non-alcoholic steatosis. Aliment. Pharmacol. Ther. 22 Suppl 2, 71–73 (2005).
Article
Google Scholar
Day, C. P. From fat to inflammation. Gastroenterology 130, 207–210 (2006).
CAS
Article
Google Scholar
Mitri, J., Muraru, M. D. & Pittas, A. G. Vitamin D and type 2 diabetes: a systematic review. Eur J Clin Nutr 65, 1005–1015 (2011).
CAS
Article
Google Scholar
Sowa, J.
-P. et al. Non-invasive separation of alcoholic and non-alcoholic liver disease with predictive modeling. PLoS ONE 9, e101444 (2014).
ADS
Article
Google Scholar
Sowa, J.-P. et al. Novel Algorithm for Non-Invasive Assessment of Fibrosis in NAFLD. PLoS ONE 8, e62439 (2013).
CAS
ADS
Article
Google Scholar
Ertle, J. M. et al. A combination of α-fetoprotein and des-γ-carboxy prothrombin is superior in detection of hepatocellular carcinoma. Digestion 87, 121–131 (2013).
CAS
Article
Google Scholar
Bechmann, L. P. et al. Free fatty acids repress small heterodimer partner (SHP) activation and adiponectin counteracts bile acid-induced liver injury in superobese patients with nonalcoholic steatohepatitis. Hepatology 57, 1394–1406 (2013).
CAS
Article
Google Scholar
Berg, A.
H., Combs, T. P., Du, X., Brownlee, M. & Scherer, P. E. The adipocyte-secreted protein Acrp30 enhances hepatic insulin action. Nat. Med. 7, 947–953 (2001).
CAS
Article
Google Scholar
Cantley, J. The control of insulin secretion by adipokines: current evidence for adipocyte-beta cell endocrine signalling in metabolic homeostasis. Mamm. Genome 25, 442–454 (2014).
CAS
Article
Google Scholar
DeLong, E. R., DeLong, D. M. & Clarke-Pearson, D. L. Comparing the areas under two or more correlated receiver operating characteristic curves: a nonparametric approach. Biometrics 44, 837–845 (1988).
CAS
Article
Google Scholar
Blachier, M., Leleu, H., Peck-Radosavljevic, M., Valla, D.-C. & Roudot-Thoraval, F. The burden of liver disease in Europe: a review of available epidemiological data.
J. Hepatol. 58, 593–608 (2013).
Article
Google Scholar
Angulo, P. Nonalcoholic fatty liver disease. N. Engl. J. Med 346, 1221–1231 (2002).
CAS
Article
Google Scholar
Torres, D. M. & Harrison, S. A. Diagnosis and therapy of nonalcoholic steatohepatitis. Gastroenterology 134, 1682–1698 (2008).
CAS
Article
Google Scholar
Müller, G. et al. Regional and neighborhood disparities in the odds of type 2 diabetes: results from 5 population-based studies in Germany (DIAB-CORE consortium). Am. J. Epidemiol. 178, 221–230 (2013).
Article
Google Scholar
Rathmann, W., Scheidt-Nave, C., Roden, M. & Herder, C. Type 2 diabetes: prevalence and relevance of genetic and acquired factors for its prediction. Dtsch Arztebl Int 110, 331–337 (2013).
PubMed
PubMed Central
Google Scholar
Hashimoto, E. & Tokushige, K. Hepatocellular carcinoma in non-alcoholic steatohepatitis: Growing evidence of an epidemic? Hepatol. Res. 42, 1–14 (2012).
Article
Google Scholar
Siddiqui, M. S. et al. Association between high-normal levels of alanine aminotransferase and risk factors for atherogenesis. Gastroenterology 145, 1271–1279.e1–3 (2013).
CAS
Article
Google Scholar
Klein, M. et al. Alanine transferase: An independent indicator of adiposity related comorbidity risk in youth. J Diabetes (2014). 10.1111/1753-0407.12221.
Liu, X. et al. Circulating alanine transaminase (ALT) and γ-glutamyl transferase (GGT), but not fetuin-A, are associated with metabolic risk factors, at baseline and at two-year follow-up: the prospective Cyprus Metabolism Study.
Metab. Clin. Exp. 63, 773–782 (2014).
CAS
Article
Google Scholar
Kunutsor, S. K., Apekey, T. A. & Walley, J. Liver aminotransferases and risk of incident type 2 diabetes: a systematic review and meta-analysis. Am. J. Epidemiol. 178, 159–171 (2013).
Article
Google Scholar
Bradley, R. D. et al. Associations between γ-glutamyltransferase (GGT) and biomarkers of atherosclerosis: the Multi-ethnic Study of Atherosclerosis (MESA). Atherosclerosis 233, 387–393 (2014).
CAS
Article
Google Scholar
Yamauchi, T. et al. The fat-derived hormone adiponectin reverses insulin resistance associated with both lipoatrophy and obesity. Nat. Med. 7, 941–946 (2001).
CAS
Article
Google Scholar
Pham, M. N. et al. Serum adipokines as biomarkers of beta-cell function in patients with type 1 diabetes: positive association with leptin and resistin and negative association with adiponectin.
Diabetes Metab. Res. Rev. 29, 166–170 (2013).
CAS
Article
Google Scholar
Stefan, N. et al. Plasma adiponectin concentration is associated with skeletal muscle insulin receptor tyrosine phosphorylation and low plasma concentration precedes a decrease in whole-body insulin sensitivity in humans. Diabetes 51, 1884–1888 (2002).
CAS
Article
Google Scholar
Hui, E. et al. Hypoadiponectinemia as an independent predictor for the progression of carotid atherosclerosis: a 5-year prospective study. Metab Syndr Relat Disord 12, 517–522 (2014).
CAS
Article
Google Scholar
Karakurt, F. et al. Relationship between cerebral arterial pulsatility and carotid intima media thickness in diabetic and non-diabetic patients with non-alcoholic fatty liver disease. J. Endocrinol. Invest. 32, 63–68 (2009).
CAS
Article
Google Scholar
Sookoian, S.
& Pirola, C. J. Non-alcoholic fatty liver disease is strongly associated with carotid atherosclerosis: a systematic review. J. Hepatol. 49, 600–607 (2008).
Article
Google Scholar
Roberts, C. K. et al. Strength Fitness and Body Weight Status on Markers of Cardiometabolic Health. Med Sci Sports Exerc 47, 1211–8 (2015).
Article
Google Scholar
Van Marken Lichtenbelt, W. D., Hartgens, F., Vollaard, N. B. J., Ebbing, S. & Kuipers, H. Body composition changes in bodybuilders: a method comparison. Med Sci Sports Exerc 36, 490–497 (2004).
Article
Google Scholar
Frederiksen, B. N. et al. Association between vitamin D metabolism gene polymorphisms and risk of islet autoimmunity and progression to type 1 diabetes: the diabetes autoimmunity study in the young (DAISY). J. Clin. Endocrinol. Metab. 98, E1845–1851 (2013).
CAS
Article
Google Scholar
Boonchaya-anant, P., Holick, M. F. & Apovian, C. M. Serum 25-hydroxyvitamin D levels and metabolic health status in extremely obese individuals. Obesity (Silver Spring) 22, 2539–2543 (2014).
CAS
Google Scholar
Forouhi, N. G. et al. Circulating 25-hydroxyvitamin D concentration and the risk of type 2 diabetes: results from the European Prospective Investigation into Cancer (EPIC)-Norfolk cohort and updated meta-analysis of prospective studies. Diabetologia 55, 2173–2182 (2012).
CAS
Article
Google Scholar
Dasarathy, J. et al. Hypovitaminosis D is associated with increased whole body fat mass and greater severity of non-alcoholic fatty liver disease. Liver Int. 34, e118–127 (2014).
CAS
Article
Google Scholar
Bril, F.
et al. Relationship of vitamin D with insulin resistance and disease severity in non-alcoholic steatohepatitis. J. Hepatol. 62, 405–411 (2015).
CAS
Article
Google Scholar
Ye, Z. et al. Association between circulating 25-hydroxyvitamin D and incident type 2 diabetes: a mendelian randomisation study. Lancet Diabetes Endocrinol 3, 35–42 (2015).
CAS
Article
Google Scholar
Ding, N. et al. A vitamin D receptor/SMAD genomic circuit gates hepatic fibrotic response. Cell 153, 601–613 (2013).
CAS
Article
Google Scholar
Beilfuss, A. et al. Vitamin D counteracts fibrogenic TGF-β signalling in human hepatic stellate cells both receptor-dependently and independently. Gut 64, 791–9 (2015).
CAS
Article
Google Scholar
Tabesh, M.
, Azadbakht, L., Faghihimani, E., Tabesh, M. & Esmaillzadeh, A. Calcium-vitamin D cosupplementation influences circulating inflammatory biomarkers and adipocytokines in vitamin D-insufficient diabetics: a randomized controlled clinical trial. J. Clin. Endocrinol. Metab. 99, E2485–2493 (2014).
CAS
Article
Google Scholar
Stang, A. et al. Baseline recruitment and analyses of nonresponse of the Heinz Nixdorf Recall Study: identifiability of phone numbers as the major determinant of response. Eur. J. Epidemiol. 20, 489–496 (2005).
CAS
Article
Google Scholar
Schmermund, A. et al. Assessment of clinically silent atherosclerotic disease and established and novel risk factors for predicting myocardial infarction and cardiac death in healthy middle-aged subjects: rationale and design of the Heinz Nixdorf RECALL Study. Risk Factors, Evaluation of Coronary Calcium and Lifestyle.
Am. Heart J. 144, 212–218 (2002).
Article
Google Scholar
Fithian, W. & Hastie, T. Local case-control sampling: efficient subsampling in imbalanced data sets. Ann Stat 42, 1693–1724 (2014).
MathSciNet
Article
Google Scholar
Elevated ALT Levels Predict Risk of Death From Liver Cancer
November 2, 2006 (Boston) — The currently accepted upper limit of normal for serum alanine aminotransferase (ALT) levels is “artificially high,” officials from the American Association for the Study of Liver Diseases (AASLD) believe. The current normal range excludes a number of individuals who feel well but who are at increased risk for liver disease.
AASLD officials are working to “recalibrate” the normal range, based in part on a number of studies presented here this week at the AASLD 57th annual meeting, which show that elevated liver enzymes are a risk factor for mortality in general and liver disease, specifically.
Elevated serum aminotransferases, such as ALT and aspartate aminotransferase (AST), predict mortality in the general population, according to W. Ray Kim, MD, associate professor of medicine at the Mayo Clinic College of Medicine in Rochester, Minnesota.
Dr. Kim presented data on 18,330 community residents who had AST levels measured at least once in 1995. Of these, 15,991 had normal results and 2339 had elevated AST levels.
Also in 1995, 6792 residents had ALT levels measured, and of these, 907 had elevated values.
Dr. Kim reported “a significant increase in the standardized mortality ratio with increasing AST and ALT levels, whereas a normal AST or ALT level was associated with a risk of death lower than expected.”
AST levels 2 times the upper limit of normal had a mortality ratio of 1.79 and ALT levels 2 times the upper limit of normal had a mortality ratio of 1.
63. There was “a near-linear relationship between AST and ALT values and subsequent risk of death in both genders,” Dr. Kim showed.
He suggested that AST and ALT screening be a part of the general medical evaluation of patients. “[Elevated] ALT may identify patients at risk of death from liver disease early in their disease,” he told AASLD meeting attendees.
Dr. Kim’s study was independently funded. Dr. Kim reported no relevant financial relationships.
In a separate study, John McHutchison, MD, director of gastroenterology and hepatology research at Duke University Medical Center in Durham, North Carolina, and colleagues presented data on an investigational agent, PF-03491390 (Pfizer Ltd, Sandwich, UK), used in chronic active hepatitis C virus (HCV) infection.
The agent, a pancaspase inhibitor, lowers elevated ALT and AST levels by blocking apoptosis of hepatocytes.
The dose-ranging study involved 204 patients with chronic active HCV infection and liver fibrosis, who were randomized to placebo, 5 mg, 25 mg, or 50 mg of PF-03491390 twice a day orally for 12 weeks.
If ALT and AST levels were still elevated at week 10, the dose was doubled for the remaining 2 weeks.
Reductions in both liver enzymes were seen within the first week of treatment and were sustained throughout. Reductions were dose-related in a linear fashion.
Adverse events were primarily mild or moderate, with headache and fatigue reported in 24 and 22 patients, respectively, the most common.
The pancaspase inhibitor did not affect HCV RNA levels.
Dr. McHutchison’s study was funded in part by Pfizer, Ltd, Sandwich, UK. He has also received funding grants from Vertex Pharmaceuticals, Inc, GlaxoSmithKline, and Coley Pharmaceutical Group, Inc, for other research.
AASLD Chairman of Public Policy Adrian DiBisceglie, MD, chief of hepatology at St. Louis University School of Medicine in Missouri, told Medscape that the association is in the process of “recalibrating” the ALT normal range.
“We are setting [upper] limits lower than they have been to include people with abnormal ALT levels who feel well but who still have an increased risk of liver disease,” he said. Setting the upper limit of normal lower will decrease the specificity some, but it will increase the sensitivity.”
Upper limits of normal range from 30 IU/L to 60 IU/L, depending on the laboratory. “We want to reset it southward of 30 IU/L,” Dr. DiBisceglie said.
“ALT levels are a reflection of the general vascular condition,” he said. “If the level is above 30, then that person probably has a problem — fatty liver or some vascular disease, including occlusive coronary artery disease.
”
AASLD 57th Annual Meeting: Abstract 95, presented October 30, 2006; abstract 1251, presented October 31, 2006.
Association between serum liver enzymes and hypertension: a cross-sectional study in Bangladeshi adults | BMC Cardiovascular Disorders
Kannel WB. Hypertensive risk assessment: cardiovascular risk factors and hypertension. J Clin Hypertens Greenwich. 2004;6:393–9.
PubMed
Article
PubMed Central
Google Scholar
Kearney PM, Whelton M, Reynolds K, Whelton PK, He J. Worldwide prevalence of hypertension: a systematic review. J Hypertens. 2004;22:11.
CAS
PubMed
Article
PubMed Central
Google Scholar
Lim SS, Vos T, Flaxman AD, Danaei G, Shibuya K, Adair-Rohani H, et al. A comparative risk assessment of burden of disease and injury attributable to 67 risk factors and risk factor clusters in 21 regions, 1990–2010: a systematic analysis for the global burden of disease study 2010.
Lancet. 2012;380:2224–60.
PubMed
PubMed Central
Article
Google Scholar
Alwan A. Global status report on noncommunicable diseases 2010: World Health Organization; 2011.
Neupane D, McLachlan CS, Sharma R, Gyawali B, Khanal V, Mishra SR, et al. Prevalence of hypertension in member countries of South Asian Association for Regional Cooperation (SAARC): systematic review and meta-analysis. Medicine (Baltimore). 2014;93:e74.
Article
Google Scholar
Singh RB, Suh IL, Singh VP, Chaithiraphan S, Laothavorn P, Sy RG, et al. Hypertension and stroke in Asia: prevalence, control and strategies in developing countries for prevention. J Hum Hypertens. 2000;14:749–63.
CAS
PubMed
Article
PubMed Central
Google Scholar
Ali N, Mahmood S, Manirujjaman M, Perveen R, Al Nahid A, Ahmed S, et al.
Hypertension prevalence and influence of basal metabolic rate on blood pressure among adult students in Bangladesh. BMC Public Health. 2017;18:58.
PubMed
PubMed Central
Article
Google Scholar
Chowdhury MAB, Uddin MJ, Haque MR, Ibrahimou B. Hypertension among adults in Bangladesh: evidence from a national cross-sectional survey. BMC Cardiovasc Disord. 2016;16:22.
PubMed
PubMed Central
Article
CAS
Google Scholar
Hong X, Wongtongkam N, Ward PR, Xiao S, Wang S, Peng Q, et al. An association of serum ALT with elevated blood pressure in senior adults: a case-control study. Clin Exp Hypertens N Y N 1993. 2016;38:691–5.
CAS
Google Scholar
Corless JK, Middleton HM. Normal liver function: a basis for understanding hepatic disease. Arch Intern Med. 1983;143:2291–4.
CAS
PubMed
Article
PubMed Central
Google Scholar

Hanley AJG, Williams K, Festa A, Wagenknecht LE, D’Agostino RB, Kempf J, et al. Elevations in markers of liver injury and risk of type 2 diabetes: the insulin resistance atherosclerosis study. Diabetes. 2004;53:2623–32.
CAS
PubMed
Article
PubMed Central
Google Scholar
Clark JM, Brancati FL, Diehl AM. The prevalence and etiology of elevated aminotransferase levels in the United States. Am J Gastroenterol. 2003;98:960–7.
CAS
PubMed
Article
PubMed Central
Google Scholar
Clark JM, Diehl AM. Nonalcoholic fatty liver disease: an underrecognized cause of cryptogenic cirrhosis. JAMA. 2003;289:3000.
PubMed
Article
PubMed Central
Google Scholar
Jiang S, Jiang D, Tao Y. Role of gamma-glutamyltransferase in cardiovascular diseases. Exp Clin Cardiol. 2013;18:53–6.
CAS
PubMed
PubMed Central
Google Scholar
Lee D-H, Jacobs DR, Gross M, Kiefe CI, Roseman J, Lewis CE, et al. Gamma-glutamyltransferase is a predictor of incident diabetes and hypertension: the coronary artery risk development in young adults (CARDIA) study. Clin Chem. 2003;49:1358–66.
CAS
PubMed
Article
PubMed Central
Google Scholar
Nannipieri M, Gonzales C, Baldi S, Posadas R, Williams K, Haffner SM, et al. Liver enzymes, the metabolic syndrome, and incident diabetes: the Mexico City diabetes study. Diabetes Care. 2005;28:1757–62.
CAS
PubMed
Article
PubMed Central
Google Scholar
Sattar N, Scherbakova O, Ford I, O’Reilly DSJ, Stanley A, Forrest E, et al. Elevated alanine aminotransferase predicts new-onset type 2 diabetes independently of classical risk factors, metabolic syndrome, and C-reactive protein in the west of Scotland coronary prevention study.
Diabetes. 2004;53:2855–60.
CAS
PubMed
Article
PubMed Central
Google Scholar
Adams LA, Harmsen S, St Sauver JL, Charatcharoenwitthaya P, Enders FB, Therneau T, et al. Nonalcoholic fatty liver disease increases risk of death among patients with diabetes: a community-based cohort study. Am J Gastroenterol. 2010;105:1567–73.
PubMed
PubMed Central
Article
Google Scholar
Ekstedt M, Franzén LE, Mathiesen UL, Thorelius L, Holmqvist M, Bodemar G, et al. Long-term follow-up of patients with NAFLD and elevated liver enzymes. Hepatol Baltim Md. 2006;44:865–73.
CAS
Article
Google Scholar
Ong JP, Pitts A, Younossi ZM. Increased overall mortality and liver-related mortality in non-alcoholic fatty liver disease. J Hepatol. 2008;49:608–12.
PubMed
Article
PubMed Central
Google Scholar

Bonnet F, Gastaldelli A, Natali A, Roussel R, Petrie J, Tichet J, et al. Gamma-glutamyltransferase, fatty liver index and hepatic insulin resistance are associated with incident hypertension in two longitudinal studies. J Hypertens. 2017;35:493–500.
CAS
PubMed
Article
PubMed Central
Google Scholar
Dan S, Banerjee I, Roy H, Roy S, Jana T, Dan S. Association between serum gamma-glutamyl transferase level and hypertension in Indian adults: a population based cross-sectional study. North Am J Med Sci. 2012;4:496.
Article
Google Scholar
Lee D-H, Ha M-H, Kim J-R, Gross M, Jacobs DR. Gamma-glutamyltransferase, alcohol, and blood pressure. A four year follow-up study. Ann Epidemiol. 2002;12:90–6.
PubMed
Article
PubMed Central
Google Scholar
Stranges S, Trevisan M, Dorn JM, Dmochowski J, Donahue RP.
Body fat distribution, liver enzymes, and risk of hypertension: evidence from the Western New York study. Hypertension. 2005;46:1186–93.
CAS
PubMed
PubMed Central
Article
Google Scholar
Ali N, Rahman S, Islam S, Haque T, Molla NH, Sumon AH, et al. The relationship between serum uric acid and lipid profile in Bangladeshi adults. BMC Cardiovasc Disord. 2019;19:42.
PubMed
PubMed Central
Article
Google Scholar
Ali N, Perveen R, Rahman S, Mahmood S, Rahman S, Islam S, et al. Prevalence of hyperuricemia and the relationship between serum uric acid and obesity: a study on Bangladeshi adults. PLoS One. 2018;13:e0206850.
PubMed
PubMed Central
Article
CAS
Google Scholar
Haque T, Rahman S, Islam S, Molla NH, Ali N. Assessment of the relationship between serum uric acid and glucose levels in healthy, prediabetic and diabetic individuals.
Diabetol Metab Syndr. 2019;11:49.
PubMed
PubMed Central
Article
CAS
Google Scholar
Schumann G, Klauke R. New IFCC reference procedures for the determination of catalytic activity concentrations of five enzymes in serum: preliminary upper reference limits obtained in hospitalized subjects. Clin Chim Acta. 2003;327:69–79.
CAS
PubMed
Article
PubMed Central
Google Scholar
Tietz NW, Shuey DF. Reference intervals for alkaline phosphatase activity determined by the IFCC and AACC reference methods. Clin Chem. 1986;32:1593–4.
CAS
PubMed
Article
PubMed Central
Google Scholar
Chobanian AV. National heart, lung, and blood institute; national high blood pressure education program coordinating committee. seventh report of the joint national committee on prevention, detection, evaluation, and treatment of high blood pressure.
Hypertension. 2003;42:1206–52.
CAS
Article
Google Scholar
Whelton PK, Carey RM, Aronow WS, Casey DE, Collins KJ, Dennison Himmelfarb C, et al. 2017 ACC/AHA/AAPA/ABC/ACPM/AGS/APhA/ASH/ASPC/NMA/PCNA Guideline for the Prevention, Detection, Evaluation, and Management of High Blood Pressure in Adults: A Report of the American College of Cardiology/American Heart Association Task Force on Clinical Practice Guidelines. Hypertension. 2018;71 Available from: https://www.ahajournals.org/doi/10.1161/HYP.0000000000000065. [cited 2020 Feb 1].
Ha KH, Kim HC, Park S, Ihm SH, Lee HY. Gender differences in the association between serum γ-Glutamyltransferase and blood pressure change: a prospective community-based cohort study. J Korean Med Sci. 2014;29:1379–84.
CAS
PubMed
PubMed Central
Article
Google Scholar
Chun H, Park SK, Ryoo J-H.
Association of serum γ-glutamyltransferase level and incident prehypertension in Korean men. J Korean Med Sci. 2013;28:1603–8.
CAS
PubMed
PubMed Central
Article
Google Scholar
Kawamoto R, Kohara K, Tabara Y, Kusunoki T, Otsuka N, Miki T. Association between serum gamma-glutamyl transferase level and prehypertension among community-dwelling men. Tohoku J Exp Med. 2008;216:213–21.
CAS
PubMed
Article
PubMed Central
Google Scholar
Shankar A, Li J. Association between serum gamma-glutamyltransferase level and prehypertension among US adults. Circ J. 2007;71:1567–72.
CAS
PubMed
Article
PubMed Central
Google Scholar
Zhu Y, Gong Y, Zhu R, Liu X, Sun Y, Wang Y, et al. Relationship between serum gamma-Glutamyltransferase levels and prehypertension in Chinese adults: the cardiometabolic risk in Chinese study.
J Clin Hypertens. 2014;16:760–5.
CAS
Article
Google Scholar
López-Suárez A, Guerrero JMR, Elvira-González J, Beltrán-Robles M, Cañas-Hormigo F, Bascuñana-Quirell A. Nonalcoholic fatty liver disease is associated with blood pressure in hypertensive and nonhypertensive individuals from the general population with normal levels of alanine aminotransferase. Eur J Gastroenterol Hepatol. 2011;23:1011–7.
PubMed
Article
CAS
PubMed Central
Google Scholar
Musso G, Gambino R, De Michieli F, Durazzo M, Pagano G, Cassader M. Adiponectin gene polymorphisms modulate acute adiponectin response to dietary fat: possible pathogenetic role in NASH. Hepatol Baltim Md. 2008;47:1167–77.
CAS
Article
Google Scholar
Preetha S. Estimation of liver function test in hypertension patients. J Pharm Sci Res.
2016;8:869.
Google Scholar
Shimizu Y, Nakazato M, Sekita T, Kadota K, Yamasaki H, Takamura N, et al. Association between alkaline phosphatase and hypertension in a rural Japanese population: the Nagasaki Islands study. J Physiol Anthropol. 2013;32:10.
PubMed
PubMed Central
Article
Google Scholar
Aneni EC, Oni ET, Martin SS, Blaha MJ, Agatston AS, Feldman T, et al. Blood pressure is associated with the presence and severity of nonalcoholic fatty liver disease across the spectrum of cardiometabolic risk. J Hypertens. 2015;33:1207–14.
CAS
PubMed
Article
PubMed Central
Google Scholar
Sung K-C, Wild SH, Byrne CD. Development of new fatty liver, or resolution of existing fatty liver, over five years of follow-up, and risk of incident hypertension. J Hepatol. 2014;60:1040–5.
PubMed
Article
PubMed Central
Google Scholar
Lee D-H, Blomhoff R, Jacobs DR. Review is serum gamma glutamyltransferase a marker of oxidative stress? Free Radic Res. 2004;38:535–9.
CAS
PubMed
Article
PubMed Central
Google Scholar
Touyz RM. Reactive oxygen species, vascular oxidative stress, and redox signaling in hypertension: what is the clinical significance? Hypertension. 2004;44:248–52.
CAS
PubMed
Article
PubMed Central
Google Scholar
Eslami S, Sahebkar A. Glutathione-S-transferase M1 and T1 null genotypes are associated with hypertension risk: a systematic review and meta-analysis of 12 studies. Curr Hypertens Rep. 2014;16:432.
PubMed
Article
CAS
PubMed Central
Google Scholar

Mansego ML, Solar GDM, Alonso MP, Martínez F, Sáez GT, Escudero JCM, et al. Polymorphisms of antioxidant enzymes, blood pressure and risk of hypertension. J Hypertens. 2011;29:492–500.
CAS
PubMed
Article
PubMed Central
Google Scholar
| |||||||||||||||||||
Liver Function Tests | HealthLink BC
Examination Overview
Some blood tests are used to determine whether your liver is damaged or inflamed. Although these tests help your doctor evaluate how well your liver is working, they cannot tell if you have hepatitis C.
Tests that assess liver function
Your doctor may do tests to measure certain chemicals produced by the liver.
These tests can help your doctor check how well your liver is working.
Tests may measure:
Tests that check for inflammation of the liver (liver enzyme studies)
Your liver may be damaged if you have increased levels of:
An increased level of alkaline phosphatase (AP) may indicate blockage of bile ducts.
Why It Is Done
Liver tests are done when a medical history or physical examination suggests that something may be wrong with your liver.
These tests can also help diagnose long-term (chronic) infection. If liver enzymes are high, a test for hepatitis C antibodies may be done to see if you have hepatitis C.
If you are being treated with antiviral therapy, you may have liver tests from time to time to see whether treatment is working.
Results
Findings of liver function tests may include the following:
Normal
All levels are within the normal range.
Abnormal
One or more levels are outside the normal range. Abnormal liver function tests may indicate that your liver is inflamed or is not working normally. This can be a sign that you have a viral infection.
What To Think About
Elevated liver enzymes can be caused by many things other than hepatitis C, such as obesity, hepatitis B, autoimmune hepatitis, certain medicines, or long-term alcohol use.
So you will need other tests (such as a hepatitis C antibody blood test or a liver biopsy) to confirm a diagnosis of hepatitis C.
People with chronic hepatitis C have abnormal liver enzyme levels most of the time. But the levels can fluctuate between normal and abnormal throughout the course of the disease.
Liver tests can be used to help you and your doctor develop a treatment plan. Signs that you might need treatment include:
- Liver enzyme levels that remain above normal for longer than 6 months, which is evidence of chronic infection.
- Detectable levels of hepatitis C virus in your blood (positive hepatitis C RNA test). This is a sign of an active infection.
- Evidence of serious liver damage. This is detected with a liver biopsy.
Credits
Current as of: December 9, 2019
Author: Healthwise Staff
Medical Review: E. Gregory Thompson, MD – Internal Medicine
Brian O’Brien, MD, FRCPC – Internal Medicine
Adam Husney, MD – Family Medicine
Martin J. Gabica, MD – Family Medicine
W. Thomas London, MD – Internal Medicine, Hepatology
Current as of: December 9, 2019
Author: Healthwise Staff
Medical Review:E. Gregory Thompson, MD – Internal Medicine & Brian O’Brien, MD, FRCPC – Internal Medicine & Adam Husney, MD – Family Medicine & Martin J. Gabica, MD – Family Medicine & W. Thomas London, MD – Internal Medicine, Hepatology
Blood Test: Hepatic (Liver) Function Panel
What Is a Blood Test?
A blood test is when a sample of blood is taken from the body to be tested in a lab. Doctors order blood tests to check things such as the levels of glucose, hemoglobin, or white blood cells. This can help them detect problems like a disease or medical condition. Sometimes, blood tests can help them see how well an organ (such as the liver or kidneys) is working.
What Is a Hepatic (Liver) Function Panel?
A liver function panel is a blood test that helps doctors check for liver injury, infection, or disease. Liver function panels also can check for side effects in the liver from some medicines.
Why Are Liver Function Panels Done?
A liver function panel is done to learn information about the levels of:
- Albumin and total protein, which help build and maintain muscles, bones, blood, and organ tissue. Low levels may be seen with liver or kidney disease, or nutritional problems.
- Liver enzymes: Alkaline phosphatase (ALP), alanine aminotransferase (ALT), and aspartate aminotransferase (AST). These enzymes help the liver convert food into energy. When their levels are high, it can be a sign of that the liver is injured or irritated.
- Bilirubin. Bilirubin is made when red blood cells break down. The liver changes the bilirubin so that it can be excreted from the body. High bilirubin levels may mean there is a problem with the liver. This can make skin look yellow, a condition called jaundice.
How Should We Prepare for a Liver Function Panel?
Your child may be asked to stop eating and drinking for 8 to 12 hours before the test. Tell your doctor about any medicines your child takes because some drugs might affect the test results.
Wearing a T-shirt or short-sleeved shirt for the test can make things easier for your child, and you also can bring along a toy or book as a distraction.
How Is a Liver Function Panel Done?
Most blood tests take a small amount of blood from a vein. To do that, a health professional will:
- clean the skin
- put an elastic band (tourniquet) above the area to get the veins to swell with blood
- insert a needle into a vein (usually in the arm inside of the elbow or on the back of the hand)
- pull the blood sample into a vial or syringe
- take off the elastic band and remove the needle from the vein
In babies, blood draws are sometimes done as a “heel stick collection.” After cleaning the area, the health professional will prick your baby’s heel with a tiny needle (or lancet) to collect a small sample of blood.
Collecting a sample of blood is only temporarily uncomfortable and can feel like a quick pinprick.
Can I Stay With My Child During a Liver Function Panel?
Parents usually can stay with their child during a blood test. Encourage your child to relax and stay still because tensing muscles can make it harder to draw blood. Your child might want to look away when the needle is inserted and the blood is collected. Encourage your child to relax by taking slow deep breaths or singing a favorite song.
How Long Does a Liver Function Panel Take?
Most blood tests take just a few minutes. Occasionally, it can be hard to find a vein so the health professional may need to try more than once.
What Happens After a Liver Function Panel?
The health professional will remove the elastic band and the needle and cover the area with cotton or a bandage to stop the bleeding. Afterward, there may be some mild bruising, which should go away in a few days.
When Are Liver Function Panel Results Ready?
Blood samples are processed by a machine, and it may take a few hours to a day for the results to be available. If the test results show signs of a problem, the doctor might order other tests to figure out what the problem is and how to treat it.
Are There Any Risks From Liver Function Panels?
A liver function panel is a safe procedure with minimal risks. Some kids might feel faint or lightheaded from the test. A few kids and teens have a strong fear of needles. If your child is anxious, talk with the doctor before the test about ways to make the procedure easier.
A small bruise or mild soreness around the blood test site is common and can last for a few days. Get medical care for your child if the discomfort gets worse or lasts longer.
If you have questions about the test, speak with your doctor or the health professional doing the blood draw.
Note: All information is for educational purposes only. For specific medical advice, diagnoses, and treatment, consult your doctor.
© 1995-2021 KidsHealth® All rights reserved. Images provided by iStock, Getty Images, Corbis, Veer, Science Photo Library, Science Source Images, Shutterstock, and Clipart.com
90,000 Prevalence of NAFLD in Russia 2013-2015
In the period from 2013 to 2015, the largest in the world was held in Russia
study on the prevalence of non-alcoholic fatty liver disease 1 . It was attended by residents
16 Russian cities – more than 50 thousand people 1 . This study became
known as “DIREG 2” 1 .
Let’s go back to the past …
The first DIREG 1 study in our country was carried out in 2007. 1
More than 30 thousand were involved in the implementation of “DIREG 1”
patients. 2 Then NAFLD was diagnosed with more than
a quarter (27.0%) of participants. 2 The disease was at different stages
development: the initial stage (steatosis) was found in 80.3% of the subjects, later
form (steatohepatitis) – in 16.8% and the most advanced – cirrhosis of the liver –
in 2.9% of patients. 3
According to the results of “DIREG 1” 2007, NAFLD in the identified patients was at different
stages of development:
Thus, the results of “DIREG 1” revealed a widespread prevalence of NAFLD
in Russia 2 . According to 2010 data, in Saudi Arabia, the prevalence of
diseases accounted for about 10%, and in Asian countries –
not more than 15% 3 .DIREG 1 data were comparable to Western European
indicators: in this region, non-alcoholic fatty liver disease was diagnosed in 20 –
30% of the population. 4
Second Survey of Prevalence of NSAID
The second study of the prevalence of NAFLD DIREG 2 started 6 years after the first.
If the goal of DIREG 1 was primarily to assess the prevalence of non-alcoholic fat
liver disease, the study “DIREG 2” set itself the task of also identifying factors
the risk of this pathology. 1 More than a thousand doctors – therapists, gastroenterologists, pediatricians
– several tens of thousands of people were examined within 9 months. 1
For the purity of the data, patients suffering from hereditary
liver diseases, alcohol dependence, as well as those with a history of toxic damage
organ, viral or autoimmune hepatitis. 1 Total examination passed
50 145 people. 1
90,010 results have revealed alarming trends.
From 2007 to 2014, the prevalence of pathology increased significantly 1 .
Number of people with non-alcoholic fatty liver disease in a short period of time
increased significantly:
During “DIREG 2” the most significant factors were also demonstrated
in the development of the disease:
Hereditary predisposition 1
Dyslipidemia
(violation of fat metabolism)Type 2 diabetes mellitus
Increased body weight
Age
(the older the patient, the higher the risk of having the disease) 1
Despite the fact that the disease can go unnoticed, it requires proper attention to itself,
as it can lead to the development of life-threatening diseases such as cirrhosis and cancer
liver 1 , as well as aggravate the course of cardiovascular diseases 2 .Exactly
therefore, hepatologists focus on timely prevention and treatment of the disease. Necessary
exercise regularly, avoid stress if possible, exercise caution
with medications, be at a normal weight and adhere to the correct
food with a sufficient amount of foods rich in dietary fiber, as well as complex
carbohydrates, antioxidants, vitamins B1, B2, PP 1.5 .In some cases, drug therapy is required 1 . Domestic
and foreign hepatologists can use hepatoprotectors in the treatment of NAFLD.
Among the drugs used for fatty hepatosis, one can mention essential
phospholipids 1 . The representative of this group of hepatoprotectors is Essentiale forte
H “ 6.7 .
Essentiale forte N promotes the restoration of damaged liver cells.It helps the liver to maintain
metabolism of vital substances for the proper functioning of the whole organism. 8
90,000 which can cause liver damage
Viruses
Diabetes
Action of medicines
Alcohol intoxication
Improper nutrition
Modern medicine knows a large number of liver diseases, some of which can threaten human life. Failures in the work of this body are caused by many negative phenomena. In this article, we will look at the main causes of liver disease.
Viruses
Ingestion of viral agents of hepatitis is the main cause of diseases. This leads to acute and chronic inflammatory processes in the liver tissue. Let’s talk about each virus separately.
Hepatitis Virus A. In medicine, it is considered the most common, since contact with a sick person is often enough for infection. The incubation period is 2-3 weeks. At this time, there are no vivid symptoms.When the disease enters a new stage, a person develops a feeling of weakness, joint pain, nausea, and a slight increase in temperature. Often, the patient seeks medical help only when he notices a change in the color of urine to a darker one, yellowing of the skin, and the absence of a characteristic color of feces. Correctly selected treatment of liver disease and elimination of the causes that caused it, give positive results within a few weeks.
Hepatitis virus B. Infection with it is considered one of the most dangerous and intractable. A feature is considered a long incubation period (2-6 months). The cause of liver disease in this case is the ingress of biological fluids of a sick person into a healthy body. Thus, infection can occur during intercourse and in cases of using medical instruments that have not been properly disinfected. Also, the congenital cause of liver disease in children may be the mother’s disease with hepatitis B during pregnancy.As a rule, the infected develop the following symptoms: weakness, fever, nausea, vomiting, enlarged liver, skin rashes. As a complication, liver cancer and cirrhosis can develop.
Hepatitis virus C. In medicine, the disease caused by this type of virus is considered the most insidious, since its course is unpredictable. The mode of infection is similar to that of type B. Full recovery is achieved in 15–20% of cases.In many patients, the disease becomes chronic. And with its rapid course, liver cancer and cirrhosis can develop. Treatment is difficult and time-consuming, and there is no vaccine to prevent it.
Viruses of hepatitis D, E, G. As a rule, they are companions of the above viruses. In terms of symptoms, type D is similar to type B. The hepatitis D virus is capable of multiplying in the human body only if the hepatitis B virus is present at the same time.Type E is similar in manifestations to type A. This cause of liver disease is especially dangerous for women during pregnancy. Type G is similar to type C but has very mild symptoms and does not cause major complications.
Diabetes mellitus
Since the liver is a kind of filter for blood, it is one of the first to react to high blood glucose levels and disturbances in insulin metabolism. In diabetes mellitus, not only the metabolism of carbohydrates (“sugar”) is disturbed, but also the metabolism of fats and proteins.The breakdown of fats occurs chaotically, with a large number of free fatty acids arising. Inflammatory reactions are triggered, including in the liver. In the initial stages of the disease, timely correction of blood glucose levels and weight control are sufficient for treatment. Patients need to constantly follow a diet and take medications to protect liver cells.
Hepatotoxic effect of medicines
Often the cause of liver destruction is the toxic effect of medications.In some cases, substances contained in drugs act as direct cellular toxins. As a rule, their action is predictable. Some drugs are toxic only for patients with a high susceptibility to the active substance. There is no separate classification for these diseases, but in most cases we can only talk about hemolytic, hepatocellular, cholestatic and mixed reactions.
Alcohol intoxication
Alcohol abuse has a detrimental effect on the entire body, in particular on the liver cells.Under the influence of negative factors, the structure of the organ and its normal functioning are disrupted. The mechanism of damage is simple: when alcohol enters the body, liver cells work to inactivate alcohol. In the process of combating toxins, they increase in size, the connective tissue of the organ grows, hepatocytes are damaged, and redox processes are disrupted. Symptoms of alcohol intoxication include nausea and vomiting, diarrhea alternating with constipation, dull pain in the right hypochondrium, fever, and a yellowish skin tone.To combat the disease, first of all, a complete rejection of alcoholic beverages is required. Medical treatment is prescribed by a specialist individually.
Errors in diet and malnutrition
The causes of liver disease may lie in the wrong diet. Often, violations in the work of the organ are caused by the abuse of fatty foods, smoked meats, spicy dishes with a lot of spices. Also, liver disease can develop due to overeating. Improper nutrition can lead to abnormalities in the liver.In this case, a person may notice the following alarming signals: heartburn, bitterness in the mouth, heaviness and dull pain in the right hypochondrium. Without taking timely measures, the condition will deteriorate.
Restoration of liver cells with Phosphogliv *
Despite the various causes of liver damage, the mechanisms of the development of damage remain common – this is an inflammatory process and destruction of the membranes of liver cells – hepatocytes.
To prevent the development of liver diseases, as well as to protect hepatocytes, you can use the drug Phosphogliv *.
Phosphogliv * is a means of pathogenetic therapy, that is, the effect is aimed at correcting the impaired functions of the organ.
Glycyrrhizic acid in the composition of the drug has anti-inflammatory, antioxidant and antifibrotic effects, which makes it possible to use the drug not only at the stage of treating inflammation, but also for prophylaxis.
Essential phospholipids have a membrane stabilizing effect, thereby restoring damaged liver cells.
The use of Phosphogliv * in the complex therapy of liver diseases can improve the patient’s well-being, normalize blood biochemical parameters and reduce the risk of complications.
90,000 Ascites in liver cirrhosis – symptoms, pathogenesis and treatment of pathology
Ascites in liver cirrhosis: symptoms, stages
About organ and disease
The liver is a multifunctional organ. One of the aspects of her work is cleansing the body.As a kind of filter, the liver collects blood from the intestines through the portal vein and cleanses it of toxins.
The most serious organ disease is cirrhosis. It is a pathological process in which healthy tissues die and are replaced by fibrous ones. Such damage is so serious that it is irreversible and leads to the complete cessation of the organ.
As for ascites, this pathology is characterized by excessive accumulation of fluid masses in the abdominal cavity.It is secondary in nature and complicates liver cirrhosis and some other diseases.
If the necessary medical care is not provided in time, the disease will be accompanied by electrolyte disturbances and protein loss. This entails a deterioration in the functioning of internal organs, which greatly aggravates the prognosis of the underlying disease.
Ascites in liver cirrhosis begins to develop due to a significant increase in pressure in the portal vein.
In the normal state of the peritoneum, a small amount of fluid is constantly present in it, the peritoneum sucks it back up without problems.
An excessive increase in pressure in the portal vein gives impetus to a whole cascade of pathological reactions. They lead to an imbalance in the work of the peritoneum: it is simply no longer able to absorb fluid. Thus, liquid masses accumulate in the abdominal cavity.
Symptoms
Symptoms of the disease can appear very quickly.As a rule, we are talking about several days.
When examined by a doctor or on an ultrasound examination, it is possible to determine the beginning of the process by a number of signs:
- Abdominal circumference increases;
- The skin is stretched;
- The navel (especially in thin people) protrudes forward;
- Striae are formed;
- The venous network is easily visible;
- If a person is standing, the stomach drops down;
- If in a supine position, it spreads to the sides, hangs down on the sides.
If the accumulation of liquid mass is significant, additional symptoms arise:
- Cough with sputum;
- Dyspnea, which is worse lying down;
- Heaviness in the upper central region of the abdomen when eating food;
- Belching, nausea, vomiting;
- Stool disorders;
- Urination increases;
- Swelling of the legs occurs.
The development of the listed symptoms is observed against the background of signs that indicate cirrhosis of the liver:
- Nausea;
- Bitterness in the mouth;
- Pain of a dull nature in the area of the right hypochondrium;
- Itching;
- Jaundice;
- Nosebleeds, etc.
Reasons
An excessive increase in pressure in the portal vein is nothing more than portal hypertension.With its development, the following pathological changes appear:
- The load on the venous and lymphatic vessels increases, which leads to sweating of the liquid mass through the vascular walls into the peritoneal cavity;
- The level of protein in the blood decreases, oncotic pressure is created, which contributes to the retention of the liquid mass in the vessels;
- The volume of circulating blood decreases, blood flow deteriorates, this applies to all neighboring organs.
Experiencing these failures, the body as a system is forced to work so that the vessels narrow, and sodium and water are retained.But it turns out that as a result of this, the liquid accumulates even more.
Stages
There are 4 stages of cirrhosis, the 3rd and 4th of which, as a rule, are burdened with ascites:
- Compensation stage. The organ tissue has undergone changes, fibrosis is localized mainly in the periphery, portal hypertension and ascites are absent.
- Subcompensation stage. Fibrosis spreads from the periphery to the center of the liver, portal hypertension develops.Ascites is still insignificant, symptoms of the disease begin to appear.
- Decompensation stage. The amount of fibrosis increases and reaches from half to two-thirds of the volume of the liver. Ascites is rapidly progressing.
- Terminal stage. New symptoms are added, the prognosis for survival is very low, the patient’s condition is severe, and ascites is excessive.
Treatment of ascites in cirrhosis
According to medical statistics, the vast majority (up to 90%) of patients with diagnosed ascites take diuretic drugs and are on a special diet that helps restore the water-salt balance.
Among the drugs used:
- Hepatoprotectors;
- Diuretics;
- Albumin and some others.
Surgical intervention is carried out in case of ineffectiveness of therapy. This often happens in relation to patients with cancer. A separate group is made up of patients with oncology in its later stages, in whom a large amount of fluid mass has accumulated in the abdomen.
In this case, laparocentesis is used to eliminate ascites, which is a puncture of the peritoneal wall followed by fluid removal.Some of these patients need drainage. By means of it, the accumulated liquid is evacuated for several more days.
It is applicable to combat ascites against the background of cirrhosis and intracavitary chemotherapy, in which the drug is injected directly into the peritoneal cavity.
Concluding the story about surgical interventions for cirrhosis, aggravated by ascites, let us name their varieties:
- If therapy is ineffective, laparocentesis is used;
- Bypass surgery performed to reduce portal pressure.
- Organ transplant.
Predicted survival
To predict the life expectancy of a patient with cirrhosis aggravated by ascites, it is necessary to take into account the neglect of the disease.
With continued exposure to the organ of unfavorable factors, cirrhosis is aggravated, which negatively affects survival.
World statistics show that patients with compensated cirrhosis of the liver can live for more than ten years.If we are talking about decompensated cirrhosis, then up to 40% of patients die within the first three years, three years from the moment the disease is diagnosed.
Clinic of integrative oncology Onco.Rehab offers modern methods of treating diseases according to international protocols.
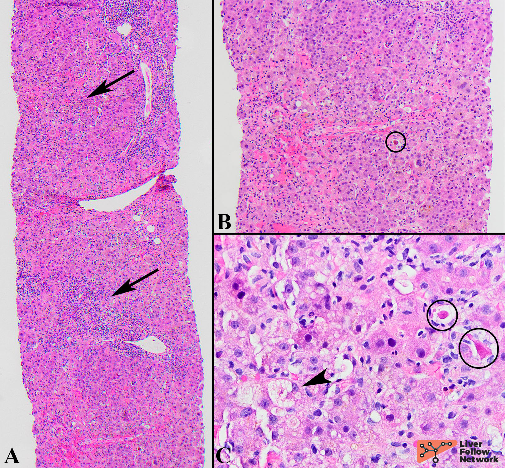
Cirrhosis of the liver | MyPathologyReport.ca
What is cirrhosis?
Cirrhosis is a type of medical liver disease caused by scarring in the liver.This type of scar tissue that forms in the liver is called fibrosis. Fibrosis is caused by damage to the liver over a long period of time.
Liver
The liver is an organ located in the upper right part of the abdominal cavity. It is responsible for removing toxins, processing drugs, and producing substances like bile that are needed to break down and use food.
The liver contains various types of cells that make up its structure and facilitate its functioning.The main cell type in the liver is called hepatocyte. The liver also contains bile cells that line long ducts called bile. duct endothelial cells that line the inside of blood vessels. There are also many background cells and materials that support and hold all these other parts of the liver together. Liver disease can affect any of these cells, which over time can lead to cell damage and loss.
Symptoms of cirrhosis
People with cirrhosis of the liver can experience many symptoms.Visible symptoms of cirrhosis include yellow skin or eyes, bloating, bleeding from the esophagus or stomach, or swelling of the legs. Some people may not have symptoms and the disease is discovered incidentally when an x-ray image (such as a computed tomography or ultrasound scan) of the abdomen is taken. In some cases, a person has no symptoms and the disease is only detected after an abnormal blood test shows elevated liver enzymes.In these situations, your doctor may prescribe a liver. biopsy to determine if liver cirrhosis is present.
What causes cirrhosis?
Any disease that damages the liver can lead to fibrosis and eventually cirrhosis. These conditions include:
People with cirrhosis of the liver are at risk of complications such as liver cancer, bleeding in the esophagus or stomach, and kidney problems. Sometimes a patient does not realize he has one of these conditions until he is diagnosed with cirrhosis of the liver.
How do pathologists make this diagnosis?
Diagnosis is usually made by imaging and blood tests. A small sample of the liver is also usually removed in a procedure called a biopsy. This tissue sample is then sent to a pathologist who examines it under a microscope.
When examined under a microscope, a liver with cirrhosis shows a change called fibrosis. Fibrosis is a type of scar that replaces normal tissue with a special type of tissue called collagen.
When a pathologist sees fibrosis on a liver biopsy, the degree of fibrosis is defined as “stage.” Cirrhosis is the last stage of fibrosis and is characterized by large bands of fibrosis that divide the liver into round sections called “nodules.” These nodules prevent the liver from performing its normal functions. This can ultimately lead to a condition called “liver failure”.
If the cause of cirrhosis is not known, the pathologist will look for signs that can help determine the underlying condition.In some cases, your pathologist cannot determine the cause of liver cirrhosis.
Since cirrhosis is also associated with an increased risk of developing a type of liver cancer called hepatocellular carcinoma, your pathologist will also take a close look at your tissues for signs of cancer.
Other information that may be included in your report
Sufficiency
The liver is divided into “zones” and at the center of each zone is a structure called the “portal tract.”Portal pathways are important because they contain blood vessels and channels that move other substances, such as bile, to and from the liver.
Liver biopsy Your pathologist should first determine if the specimen contains the minimum number of portal tracts necessary for an accurate diagnosis. The adequacy of the biopsy can be reported simply as yes or no, or the number of portal tracts visible can be indicated.
Fragmentation
Liver status biopsy when viewed under a microscope is usually described.If the liver biopsy is fragile and ruptured, it will be described on your report. Because fibrosis makes a sample of liver tissue fragile, a liver biopsy with cirrhosis often has multiple parts when viewed under a microscope.
Inflation of hepatocytes
Balloon is the word pathologists use to describe damaged or dying hepatocytes. They are called “swelling” because the hepatocyte swells several times its normal size, and the cell body becomes transparent.
Blowing out hepatocytes is necessary for the diagnosis of a number of medical liver diseases. The degree of swelling of the hepatocytes will be described as mild, moderate, or severe.
If enlarging hepatocytes are found in a liver with cirrhosis, this may help your pathologist determine the cause of the disease.
Inflammation
The liver consists of three main divisions:
- Lobule – Lobule containing hepatocytes
- Portal tract – The portal tract contains a vein, artery, and bile.duct
- Central vein – The central vein that carries blood to the liver
Inflammatory cells can enter any of these areas and prolong the inflammation can damage the liver. If inflammatory cells are found in your tissue, your pathologist will describe their location and the types of inflammatory cells present. The degree of inflammation will also be described on a scale from mild, moderate, or severe. The type and nature of inflammation in your biopsy can help your pathologist determine the cause of cirrhosis.
Bodies Mallory
Mallory’s bodies are formed as a result of damage to hepatocytes. Under a microscope, they look like dense pink material inside cells. Mallory bodies are seen in certain forms of liver disease, and their presence or absence helps pathologists make a diagnosis.
Bile ducts
The liver produces a substance called bile, which is used to remove toxins from the body and to digest food. The bile produced in the liver is excreted through channels called bile.ducts into the small intestine. Each portal tract contains one bile duct.
There is a category of medical liver diseases that affect bile. ducts. For this reason, your pathologist will examine the bile ducts to see if a normal number of bile ducts are present and if any bile ducts are damaged.
Cholestasis
Cholestasis is the word pathologists use to describe bile trapped in the liver. Trapped bile is important as it can cause liver damage.If cholestasis is found, your pathologist will describe its location in the liver, and the amount of trapped bile will be described as mild, moderate, or severe. Because cirrhosis of the liver can obstruct the flow of bile, it is not uncommon to see cholestasis in the cirrhosis pathology report.
Iron
Iron can accumulate in the liver as a result of abnormal iron breakdown, high levels of iron in the body (for example, after several blood transfusions), or when the liver is not functioning properly (for example, with cirrhosis of the liver).This excess iron can be seen in hepatocytes or in immune cells called macrophages. If iron is present in your tissue, your pathologist will advise its location and severity.
Frosted glass cells
Frosted glass is the term pathologists use to describe hepatocytes infected with the hepatitis B virus. Frosted glass cells are full of viral particles, giving them the appearance of a pink “glass”. Because hepatitis B can cause cirrhosis and increase the risk of liver cancer, pathologists look for ground glass cells and describe them in your report, if any.
Steatohepatitis | MyPathologyReport.ca
What is steatohepatitis?
Steatohepatitis is a non-malignant form of liver disease that belongs to a group of diseases called fatty liver disease. With fatty liver disease, fat droplets are present inside the hepatocytes. The causes of fatty liver include alcohol use, central obesity, diabetes, certain medications, diet, and genetic diseases (such as Wilson’s disease).
Liver
The liver is an organ located in the upper right part of the abdominal cavity.It is responsible for removing toxins, processing drugs, and producing substances like bile that are needed to break down and use food.
The liver contains various types of cells that make up its structure and facilitate its functioning. The main cell type in the liver is called hepatocyte. The liver also contains bile cells that line long ducts called bile. duct endothelial cells that line the inside of blood vessels. There are also many cells and materials that support and hold all these other parts of the liver together.Liver disease can affect any of these cells, which over time can lead to cell damage and loss.
Types of steatohepatitis
There are two main types of steatohepatitis: non-alcoholic and alcoholic. Alcoholic steatohepatitis occurs due to alcohol consumption. Non-alcoholic steatohepatitis can be caused by a variety of conditions, including central obesity, diabetes, and dietary factors. It is impossible to reliably distinguish between alcoholic and non-alcoholic steatohepatitis by looking at a sample of liver tissue under a microscope, and often this distinction will need to be made by other doctors in your healthcare team after reviewing your history and symptoms.and pathological results.
Symptoms of steatohepatitis
Steatohepatitis can manifest itself in different ways. Some patients are asymptomatic and the disease is discovered incidentally when an x-ray image (computed tomography or ultrasound) of the abdomen is taken. It can also be detected when a blood test shows elevated liver enzymes. Patients with steatohepatitis may also experience abdominal pain or a serious condition called liver failure.In all of these situations, your doctor may order a liver biopsy to determine if steatohepatitis is present.
How do pathologists make this diagnosis?
A liver biopsy is required to diagnose steatohepatitis. To determine the presence and severity of steatohepatitis, the pathologist will look for four major microscopic objects: steatosis, hepatocyte swelling, lobular portal vein inflammation, and fibrosis. These features are described in more detail in the sections below.
steatosis
Steatosis is a term used to describe the presence of fat droplets in hepatocytes.Steatosis can be a diagnosis in itself or be part of steatohepatitis. In steatosis, hepatocytes contain clear areas of fatty droplets when viewed under a microscope.
Pathologists use the scale to describe the amount of fat in the liver in steatosis. The scale is based on the percentage of liver cells containing fat droplets:
The scale used by most pathologists includes:
- soft – Fat droplets are visible in less than 33% of hepatocytes on biopsy.
- Moderate – Fat droplets are visible within 33–66% of hepatocytes on biopsy.
- Severe – Fat droplets are visible in more than 66% of hepatocytes on biopsy.
Inflation of hepatocytes
Balloon is the word pathologists use to describe damaged or dying hepatocytes. They are called “swelling” because the hepatocyte swells several times its normal size, and the cell body becomes transparent. For the diagnosis of steatohepatitis, the presence of swollen hepatocytes is necessary.The number of increasing hepatocytes present will be described as mild, moderate, or severe.
Lobular or portal inflammation
The liver consists of three main divisions:
- Lobule – Lobule containing hepatocytes.
- Portal tract – A portal tract containing a vein, artery, and bile. air duct.
- Central vein – The central vein that carries blood to the liver.
Inflammatory cells can enter any of these areas and prolong the inflammation can damage the liver.If inflammatory cells are found in your tissue, your pathologist will describe their location and the types of inflammatory cells present. The degree of inflammation will also be described on a scale from mild, moderate, or severe. Lobular inflammation is usually seen with steatohepatitis.
Fibrosis
Fibrosis is a type of scar tissue that forms in the liver after injury. Because steatohepatitis affects the liver, there is a risk of developing fibrosis. Most pathology reports indicate the degree of fibrosis and indicate its “stage”.The stage depends on many factors, including the extent of the initial damage, the duration of the injury, and which parts of the liver were damaged. Too much fibrosis disrupts the liver’s architecture and prevents it from functioning properly.
There are several different classification systems used to define the stage of fibrosis, but they all include the type and degree of visible fibrosis. Cirrhosis is the last stage of fibrosis and is characterized by large fibrous bands that form nodules in the liver.These nodules prevent the liver from performing its normal functions and can lead to a condition called liver failure.
Other features that may be covered in your steatohepatitis report
Sufficiency
The liver is divided into “zones” and at the center of each zone is a structure called the “portal tract.” Portal pathways are important because they contain blood vessels and channels that move other substances, such as bile, to and from the liver.
Liver biopsy Your pathologist should first determine if the specimen contains the minimum number of portal tracts necessary for an accurate diagnosis. The adequacy of the biopsy can be reported simply as yes or no, or the number of portal tracts visible can be indicated.
Fragmentation
Liver status biopsy when viewed under a microscope is usually described. If the liver biopsy is fragile and ruptured, it will be described as it may be a clue to certain liver diseases.
Bodies Mallory
Mallory’s bodies are formed as a result of damage to hepatocytes. Under a microscope, they look like dense pink material inside cells. Mallory’s bodies are often found in steatohepatitis and will be reported on your report if found.
Bile ducts
The liver produces a substance called bile, which is used to remove toxins from the body and to digest food. The bile produced in the liver is excreted through channels called bile.ducts into the small intestine. Each portal tract contains one bile duct. Several liver diseases affect the bile ducts. For this reason, your pathologist will check the bile ducts in the tissue sample to see if a normal number of bile ducts are present and if there are bile ducts. the ducts are damaged.
Cholestasis
Cholestasis is the word pathologists use to describe bile trapped in the liver. Trapped bile is important as it can cause liver damage.If cholestasis is found, your pathologist will describe its location in the liver, and the amount of trapped bile will be described as mild, moderate, or severe.
Iron
Iron can accumulate in the liver as a result of abnormal iron breakdown, high levels of iron in the body (for example, after several blood transfusions), or when the liver is not functioning properly (for example, with cirrhosis of the liver). This excess iron can be seen in hepatocytes or in immune cells called macrophages.If iron is present in your tissue, your pathologist will advise its location and severity.
Stephanie Reid, MD FRCPC (updated July 29, 2021)
90,000 Fatty liver: causes and consequences
Pirogova Irina Yurievna
Deputy chief physician for organizational and methodological work, head of the center of gastroenterology and hepatology, gastroenterologist
What is bad for the liver?
Drinking regularly is harmful – anyone knows this, even a person far from medicine.And when it comes to diseases caused by excessive consumption of intoxicating drinks, as a rule, the first thing to remember is cirrhosis of the liver. Indeed, the doctor faces a difficult task when the patient comes to him already with “ready” cirrhosis, manifested by a violation of the structure and function of the organ. It is possible to help at this stage, but nevertheless, the disease should not be brought to cirrhosis. It is much better for both the doctor and the patient when the liver changes are still minimal and reversible. We are talking about the so-called fatty hepatosis or, in other words, fatty liver.
What is Fatty Liver?
Fatty liver disease, fatty hepatosis, liver steatosis – all these concepts reflect the same pathological condition that can develop as a result of exposure to a wide variety of factors. At the same time, the literal translation of the English term “fatty liver” – “fatty liver” – attracts attention because it is understandable for both the doctor and the patient. Like an obese person, a “fatty liver” lies in wait for a whole range of diseases. However, in most cases, obesity of the liver is completely reversible, provided that the causes leading to its formation are eliminated.It is to this indisputable fact that the attention of both doctors and patients should first of all be drawn, since timely recognition of fatty hepatosis prevents the development of inflammation, which is much more difficult to treat.
Enter Image Caption
What Causes Fatty Liver?
There are many reasons for the deposition of fat in the liver, but in 2/3 of patients it is still alcohol. The second, third and subsequent places are occupied by diabetes mellitus, obesity and hyperlipidemia (increased content of some fractions of fat in the blood due to genetic reasons and corresponding dietary preferences).Some of the more rare causes of fatty liver development include certain medications, gastrointestinal surgery, and hereditary diseases. In addition, the listed factors can be combined.
Are alcohol and liver enemies?
So, back to alcohol. Fatty liver has become a frequent diagnosis of representatives of the high strata: politicians, businessmen, diplomats, artists. They are not alcoholics, they do not even abuse alcohol in the conventional sense.It’s just that these categories of citizens have a glass of cognac or vodka – either an indispensable attribute of buffets and presentations, or a means to relieve stress after a working day, and sometimes during. They feel great the next morning and are completely unaware of the need to cut back on alcohol. Such patients are very surprised when the examination reveals pathological changes in the liver. The reaction to alcohol is different for each person; this is due to genetically determined enzyme activity, gender, age, etc.Thus, in women, the hormonal background contributes to the strengthening of the damaging alcohol on the liver, and in half of the representatives of the Mongoloid race, the toxic decay products of ethyl alcohol are rendered harmless much more slowly than in Europeans. In addition, a person may have concomitant diseases that he does not even know about, for example, viral hepatitis or diabetes mellitus. At the same time, these diseases significantly increase the sensitivity of liver cells to alcohol. When talking about liver diseases, you should always remember that the liver is a very reliable, silent and patient organ, which often lets you know about your suffering when there are no more reserves for recovery.If you drink and do not eat, fatty liver will appear faster. However, even the most refined delicacies with a full complex of vitamins will not save you from fatty liver – this has been proven both in animal models and in numerous clinical studies.
Why is fat stored in the liver?
The fact is that the liver bears the main load of fatty acid oxidation, as a result of which the body replenishes energy reserves. Alcohol damages the lining of the liver cells and disrupts the function of enzymes involved in the transport and oxidation of fatty acids.This leads to disruption of their normal metabolism and accumulation in the cell. In type 2 diabetes mellitus (typical for middle-aged and elderly people), obesity and hyperlipidemia, the ratio between the amount of fat that penetrates the hepatic cell and the cell’s ability to utilize it is also disturbed.
Why is fatty liver dangerous?
The main danger of this condition is that excess fat, under the influence of various factors, begins to oxidize with the formation of highly active compounds that additionally damage the cell.And this is the next stage of the disease – hepatitis, that is, inflammation of the liver. In this aspect, it is appropriate to compare fatty liver with a warehouse of fuels and lubricants, which should be guarded by an armed guard, since one spark is enough to start a fire. The progression of inflammation leads to the death of liver cells (hepatocytes), their replacement with skeletal connective tissue, and, as a result, impaired blood circulation in the liver and the development of liver failure. These, in fact, are the main manifestations of cirrhosis.
How does a fatty liver affect well-being?
Fatty liver is insidious in that it often does not manifest itself in any way. For some, a feeling of heaviness or dull pain in the right hypochondrium, nausea, and an unpleasant taste in the mouth lead to a doctor. Roughly imagining the location of the organs, patients believe that their liver hurts. But there is nothing to hurt in the liver, because there are no nerve endings, they are only in the capsule and bile ducts. Usually painful sensations are associated with impaired motor activity (dyskinesia) of the biliary tract.In the majority, the signs of a fatty liver are detected by chance during examination for some other reason. For example, the patient undergoes an ultrasound examination (ultrasound) of the abdominal organs or he turns to the doctor about any other disease (coronary heart disease, diabetes mellitus, etc.), and the doctor, during the examination, reveals abnormalities in the structure and function of the liver.
Is self-healing possible?
In this situation, it is very important that the patient see a liver specialist.The point is not even that in a specialized clinic methods of laboratory and instrumental diagnostics are practiced, which are inaccessible, for example, to a district clinic. There are well-equipped polyclinics in which any research is carried out, but they cannot correctly interpret their results due to a lack of relevant experience.
How to identify fatty liver?
Complex diagnostics of fatty liver and its complications. An experienced physician always starts with a thorough history taking (memories of the patient’s life), paying particular attention to the dose and frequency of alcohol intake, as well as concomitant diseases.Then the patient is examined in order to identify external signs of damage to the liver and other organs, to determine the size of the liver and spleen. And only after that comes the stage of laboratory and instrumental methods. The latest method for diagnosing fatty liver disease is available in our clinic. This is a fibroscanning of the liver, when the doctor, right at the reception, can “look inside the liver” and make the correct diagnosis and develop a treatment program. A biochemical blood test provides valuable diagnostic information about the presence and nature of inflammation, impaired bile metabolism and functional reserves of the liver.A study for the presence of hepatitis viruses is mandatory: this is due both to the fact that viral hepatitis is the most common cause of liver damage in the world, and to the fact that, in particular, the hepatitis C virus can disrupt the metabolism of fat in the liver. Additional examination, including the determination of immunological parameters, computed tomography is prescribed if there are special indications.
How to treat fatty liver?
First of all, it is necessary to either exclude or minimize the effect of the factor that led to the deposition of fat in the liver.This is almost always possible in relation to alcohol, if we are not talking about the formation of addiction, when the help of a narcologist is required. Patients with diabetes mellitus, obesity and hyperlipidemia should be monitored jointly by an endocrinologist and a cardiologist, respectively. All patients require a low carbohydrate diet and adequate daily physical activity.
When these measures are not enough, the doctor prescribes special medications that affect the metabolism of fat in the liver.Only an experienced doctor can establish what caused the changes in the liver in a particular patient and how pronounced they are. If you have any suspicions – consult a gastroenterologist or hepatologist .
Table number 5: diet rules for liver and gallbladder health
https://ria.ru/20201224/dieta-15
680.html
Table number 5: diet rules for liver and gallbladder health
Table number 5: diet rules for liver and gallbladder health – RIA Novosti, 29.06.2021
Table number 5: Diet rules for liver and gallbladder health
Table number 5 is a diet developed back in the 1920s. When he is appointed and what he includes – in the material of RIA Novosti. RIA Novosti, 29.06.2021
2020-12-24T15: 18
2020-12-24T15: 18
2021-06-29T21: 22
society
food
food
diet
vitamins
healthy lifestyle (healthy lifestyle)
/ html / head / meta [@ name = ‘og: title’] / @ content
/ html / head / meta [@ name = ‘og: description’] / @ content
https: // cdnn21.img.ria.ru/images/154897/64/1548976425_0:100:1920:1180_1920x0_80_0_0_a5f8c1e54ca598dd96f34a4eae777f5b.jpg
MOSCOW, 24 Dec – RIA Novosti. Table number 5 is a diet developed back in the 1920s. When it is prescribed and what it includes – in the material of RIA Novosti. Indications for use A special diet called “Table No. 5” is prescribed by specialists to people with diseases of the liver, biliary tract and gallbladder: cholecystitis, hepatitis, cholelithiasis. It can also be used for general health improvement.Meals “on tables” were developed by the founder of diet therapy, Soviet physician Manuil Pevzner. His diets are medicinal or create favorable conditions for the recovery of the human body. They also help to avoid exacerbation of diseases. The Russian doctor’s system is actively used in the treatment of diseases in hospitals and sanatoriums. The tables are also recommended for patients outside the walls of hospitals. The system includes 15 groups of rations. Diets of tables No. 1, 1a, 1b are prescribed for stomach and duodenal ulcers; diet table number 2 – with atrophic gastritis, colitis; diet table number 3 – for constipation; diets of tables No. 4, 4a, 4b, 4c – for bowel diseases with diarrhea; diet tables No. 5, 5a – for diseases of the biliary tract and liver; diet table number 6 – with urolithiasis, gout; diets of tables No. 7, 7a, 7b, 7c, 7d – for chronic and acute nephritis, chronic renal failure; diet table number 8 – for obesity; diet table number 9 – with diabetes mellitus; diet table number 10 – for diseases of the cardiovascular system; diet table number 11 – for tuberculosis; diet table number 12 – for diseases of the nervous system; diet table number 13 – for acute infectious diseases; diet table number 14 – for kidney disease with the discharge of stones from phosphates; diet table number 15 – for diseases that do not require special diets.These rations are often referred to as ATS tables. The abbreviation stands for “Basic Diet Option”. The purpose of the diet “Table number 5” With a full diet, diet table 5 helps to reduce the load on the liver and biliary system. Sparing nutrition of the “Table No. 5” diet helps to normalize the work of the biliary tract and liver, improves bile secretion and improves cholesterol metabolism in the body. General characteristics of the diet The diet of the diet table 5 includes the normal content of proteins and carbohydrates in the menu, but a limited amount of fat.Cooking is allowed in two ways – they need to be boiled and baked, although occasionally they can be stewed. Serve ready-made food only warm. It is important to finely chop meat and fish, make minced meat or soufflé from them. Allowed for the 5th table are recipes for mashed vegetable, milk and cereal soups. Moreover, they should be free of meat, fish and mushrooms. Oils can only be used as dressings for dishes, and dairy products should be chosen with a low fat content. Eggs are allowed to be eaten in limited quantities, preferably soft-boiled or as part of an omelet.Bread with a diet of table 5 should be consumed yesterday. You can also include crackers or biscuits in your meals. From cereals, doctors recommend buckwheat, oats, semolina, rice. In addition, durum wheat pasta is allowed. Vegetables can be boiled, baked, eaten raw. It is allowed to include peas, carrots, pumpkin, beets, tomatoes, cucumbers, potatoes, zucchini, cauliflower in the menu of 5 tables. It is important to grind vegetables rich in fiber. From fruits, you can eat bananas, pears and non-acidic apples, but herbs and spices, mushrooms, garlic, radishes should be limited.For desserts, jellies, casseroles, puddings, honey and dried fruits are allowed. In limited quantities, you can eat marshmallow, marmalade and jam. From drinks – herbal teas, weak black and green tea, juices, compotes, jelly. It is forbidden to use spicy, smoked, fried, offal, canned food, bacon. Sauces, soda, alcohol, cocoa and black coffee are completely excluded from the diet. Also, you can not chocolate, ice cream, cranberries, citrus fruits. Diet While following the 5 table diet, be sure to drink plenty of water on an empty stomach.It is important to eat fractionally – to eat small equal portions 5-6 times a day, every 2.5-3 hours. The daily diet (energy value and chemical composition) Foods and meals included in the food per day should contain up to 80 grams of protein ( 50% of which are of animal origin), up to 80-90 grams of fat (30% of which are of plant origin), as well as up to 400 grams of carbohydrates. In addition, it is necessary to drink up to 1.5-2 liters of water. The total energy value of the daily diet with the “Table No. 5” diet is approximately 2400 – 2800 kilocalories.In this case, it is allowed to consume no more than 10 grams of salt. An approximate menu for every day of the medical diet “5 table”: How long should you eat according to diet No. 5— The duration of this diet is determined solely by the doctor, the expert emphasized. The duration of the therapeutic nutrition program depends on the dynamics of the course existing disease. Sometimes the duration of the diet can be up to one and a half years.
https://rsport.ria.ru/20201218/pokhudenie-1589908647.html
https://ria.ru/20201216/voda-1589509891.html
https://ria.ru/20201216/sekret-1589474115.html
https://radiosputnik.ria.ru/20201221/menyu-1589943402.html
RIA Novosti
7 495 645-6601
FSUE MIA “Russia Today”
https: //xn--c1acbl2abdlkab1og.xn--p1ai/awards/
2020
RIA Novosti
7 495 645-6601
FSUE MIA “Russia Today”
https: // xn – c1acbl2abdlkab1og.xn – p1ai / awards /
News
ru-RU
https://ria.ru/docs/about/copyright.html
https: //xn--c1acbl2abdlkab1og.xn--p1ai/
RIA Novosti
7 495 645-6601
FSUE MIA Rossiya Segodnya
https: //xn--c1acbl2abdlkab1og.xn--p1ai/awards/
https: // cdnn21 .img.ria.ru / images / 154897/64 / 1548976425_107: 0: 1814: 1280_1920x0_80_0_0_9b718a9d5a6f815abbc14d0dc06a0e58.jpg
RIA Novosti
7 495 645-6601
FSUE MIA Rossiya Segodnya
https: //xn--c1acbl2abdlkab1og.xn--p1ai/awards/
RIA Novosti
7 495 645-6601
FSUE MIA “Russia Today”
https: //xn--c1acbl2abdlkab1og.xn--p1ai/awards/
society, food, food, diet, vitamins, healthy lifestyle (healthy lifestyle)
MOSCOW, December 24 – RIA Novosti. Table number 5 is a diet developed back in the 1920s. When he is appointed and what he includes – in the material of RIA Novosti.
Indications for use
A special diet called “Table No. 5” is prescribed by specialists to people with diseases of the liver, biliary tract and gallbladder: cholecystitis, hepatitis, cholelithiasis. It can also be used for general health improvement.
Food “on tables” was developed by the founder of diet therapy, Soviet doctor Manuil Pevzner.His diets are medicinal or create favorable conditions for the recovery of the human body. They also help to avoid exacerbation of diseases.
The Russian doctor’s system is actively used in the treatment of diseases in hospitals and sanatoriums. The tables are also recommended for patients outside the walls of hospitals.
– This food system takes into account the most common acute and chronic diseases. After all, it is nutrition and lifestyle that are often the basis of recovery.Now in modern dietetics, they are slowly moving away from the division into “tables”, but, nevertheless, it is this classification that makes it easier to work with patients and increases compliance – the tendency of patients to follow the doctor’s recommendations, – nutritionist-endocrinologist Raushaniya Khismatullina told RIA Novosti.
December 18, 2020, 3:30 pm How to lose weight in two weeks? Tips from fitness model
In total, the system includes 15 groups of rations. Diets of tables No. 1, 1a, 1b are prescribed for stomach and duodenal ulcers; diet table number 2 – with atrophic gastritis, colitis; diet table number 3 – for constipation; diets of tables No. 4, 4a, 4b, 4c – for bowel diseases with diarrhea; diet tables No. 5, 5a – for diseases of the biliary tract and liver; diet table number 6 – with urolithiasis, gout; diets of tables No. 7, 7a, 7b, 7c, 7d – for chronic and acute nephritis, chronic renal failure; diet table number 8 – for obesity; diet table number 9 – with diabetes mellitus; diet table number 10 – for diseases of the cardiovascular system; diet table number 11 – for tuberculosis; diet table number 12 – for diseases of the nervous system; diet table number 13 – for acute infectious diseases; diet table number 14 – for kidney disease with the discharge of stones from phosphates; diet table number 15 – for diseases that do not require special diets.
These rations are often called ATS tables. The abbreviation stands for “Basic Diet Option”.
Purpose of the diet “Table number 5”
With a full diet, diet of table 5 helps to reduce the load on the liver and biliary system.
Sparing nutrition of the “Table No. 5” diet contributes to the normalization of the biliary tract and liver, improves bile secretion and improves cholesterol metabolism in the body.
December 16, 2020, 15:07 ScienceScientists talked about the healing properties of ordinary water
General characteristics of the diet
The diet of the diet table 5 includes a normal content of proteins and carbohydrates in the menu, but a limited amount of fat.Cooking is allowed in two ways – they need to be boiled and baked, although occasionally they can be stewed. Serve ready-made food only when warm.
It is important to finely chop meat and fish, to make minced meat or soufflé from them. Allowed for the 5th table are recipes for mashed vegetable, milk and cereal soups. Moreover, they should be free of meat, fish and mushrooms. Oils can only be used as dressings for dishes, and dairy products should be chosen with a low fat content. Eggs are allowed to be eaten in limited quantities, preferably soft-boiled or as part of an omelet.
Bread with diet table 5 should be consumed yesterday. You can also include crackers or biscuits in your meals. From cereals, doctors recommend buckwheat, oats, semolina, rice. In addition, durum wheat pasta is allowed.
Vegetables can be boiled, baked, eaten raw. It is allowed to include peas, carrots, pumpkin, beets, tomatoes, cucumbers, potatoes, zucchini, cauliflower in the menu of 5 tables. It is important to grind vegetables rich in fiber.
From fruits, you can eat bananas, pears and non-acidic apples, but herbs and spices, mushrooms, garlic, radishes should be limited.
Jellies, casseroles, puddings, honey and dried fruits are allowed from desserts. In limited quantities, you can eat marshmallow, marmalade and jam. From drinks – herbal teas, weak black and green tea, juices, compotes, jelly.
It is forbidden to use spicy, smoked, fried, offal, canned food, lard. Sauces, soda, alcohol, cocoa and black coffee are completely excluded from the diet. Also, you can’t chocolate, ice cream, cranberries, citrus fruits.
December 16, 2020, 12:45 pm
A nutritionist has revealed the secret of keeping in great shape during the holidays
Diet
While following the 5 table diet, be sure to drink plenty of water on an empty stomach.It is important to eat fractionally – to eat small equal portions 5-6 times a day, every 2.5-3 hours.
– Frequent fractional food in small portions, in a warm form, does not overload the gastrointestinal tract and promotes a soft bile outflow, – noted Raushaniya Khismatullina.
Daily ration (energy value and chemical composition)
Products and meals included in meals per day should contain up to 80 grams of proteins (50% of which are of animal origin), up to 80-90 grams of fat (30% of which are of plant origin), as well as up to 400 grams of carbohydrates.In addition, you need to drink up to 1.5-2 liters of water.
The total energy value of the daily ration with the “Table No. 5” diet is approximately 2400 – 2800 kilocalories. In this case, it is allowed to consume no more than 10 grams of salt.
Sample menu for every day of the medical diet “5 table”:
–
Breakfast: low-fat cottage cheese with sour cream and sugar, oatmeal in water or low-fat milk, a cup of weak tea.
–
Second breakfast: baked apple
–
Lunch: vegetable soup in vegetable oil without meat, boiled chicken in milk sauce, boiled rice, fresh fruit or dried fruit compote
–
Afternoon snack: decoction of rose hips, uncomfortable pastries with cottage cheese
–
Dinner: low-fat boiled fish in sour cream sauce, mashed potatoes, cheesecake with cottage cheese, a cup of weak tea
–
Half an hour before bedtime – a glass of low-fat kefir.

The amount of conjugated bilirubin compared to the unconjugated bilirubin can show whether jaundice is caused by red blood cells breaking up too quickly (not a liver disease) or is due to a reduced flow of bile out of the liver.
g. bones. Therefore, abnormal levels can be due to processes occurring in other parts of the body.
9 – 1.2
The present study confirms this to be true also for NAFLD
The 2 groups were also comparable with respect to the grade of the individual histologic parameters of NAFLD. A total of 12 subjects with normal ALT levels had bridging fibrosis, whereas 6 had cirrhosis. Diabetes was the only factor independently associated with an increased risk of advanced fibrosis (bridging fibrosis or cirrhosis) by multivariate analysis (relative risk: 2.3, P
e., advanced stage chronic liver disease. In this respect, these data corroborate and extend the existing literature regarding other chronic liver diseases, e.g., hepatitis C and normal ALT values.
Although further work remains to be done to answer the clinical questions raised by these data, this study is an initial step toward the identification, characterization, and management of NAFLD in patients with normal ALTs.