Will an xray show a tumor. X-Ray Imaging for Tumor Detection: A Comprehensive Guide
Can an x-ray detect tumors. How effective are x-rays in identifying cancer. What are the limitations of x-ray imaging for tumor detection. How do x-rays compare to other imaging methods for cancer diagnosis. What are the risks and benefits of using x-rays for tumor screening.
Understanding X-Ray Imaging in Cancer Detection
X-ray imaging is a fundamental diagnostic tool in the field of medicine, particularly in cancer detection and monitoring. This non-invasive technique uses low doses of radiation to produce images of internal body structures, providing valuable information for healthcare professionals. While x-rays are widely used, their effectiveness in tumor detection varies depending on several factors.
How X-Rays Work
X-rays function by passing radiation through the body, which is absorbed differently by various tissues. Dense structures like bones appear white on x-ray images, while softer tissues show up in shades of gray. Air-filled spaces, such as the lungs, appear black. This contrast allows radiologists to identify abnormalities that may indicate the presence of tumors or other health issues.

Capabilities and Limitations of X-Rays in Tumor Detection
Are x-rays capable of showing all types of tumors? The answer is no. X-rays are most effective at detecting tumors in certain parts of the body, particularly those surrounded by air or those affecting bone structure. However, they have limitations when it comes to soft tissue tumors.
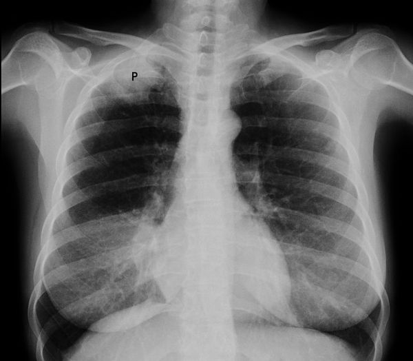
- Lung tumors: X-rays are particularly useful for detecting lung tumors due to the contrast between the air-filled lungs and the denser tumor tissue.
- Bone tumors: Changes in bone density or structure caused by tumors can often be identified on x-ray images.
- Soft tissue tumors: These are generally more challenging to detect with x-rays alone, as they may not provide sufficient contrast against surrounding tissues.
Factors Affecting Tumor Visibility on X-Rays
Several factors influence whether a tumor will be visible on an x-ray:
- Tumor size: Larger tumors are generally easier to detect than smaller ones.
- Tumor location: Tumors in air-filled organs or near bones are more likely to be visible.
- Tumor density: Tumors that have a significantly different density from surrounding tissues are more easily identified.
- X-ray quality: The resolution and clarity of the x-ray image play a crucial role in tumor detection.
X-Ray Procedures and Preparation for Cancer Screening
X-ray procedures for cancer screening are typically straightforward and non-invasive. They are usually performed on an outpatient basis and take about 10 to 15 minutes to complete. In some cases, contrast media may be used to enhance the visibility of certain structures or organs.

Preparing for an X-Ray
For most basic x-rays, no special preparation is required. However, if contrast media are to be used, patients may need to follow specific instructions:
- Fasting: Patients might be asked to avoid eating or drinking for a certain period before the test.
- Medication adjustments: Some medications may need to be temporarily discontinued.
- Clothing: Patients will be asked to remove jewelry and wear a hospital gown to avoid interference with the x-ray images.
The X-Ray Procedure
During the x-ray procedure, patients may be positioned in various ways depending on the area being examined. They will be asked to remain still and may need to hold their breath briefly to ensure clear images. Multiple images from different angles may be taken to provide a comprehensive view of the area of interest.
Interpreting X-Ray Results in Cancer Diagnosis
Interpreting x-ray results requires expertise and careful analysis. Radiologists look for abnormalities in size, shape, or density of structures that might indicate the presence of a tumor. However, it’s important to note that x-rays alone cannot always definitively diagnose cancer or distinguish between benign and malignant tumors.

Challenges in X-Ray Interpretation
Why can’t x-rays always provide a definitive cancer diagnosis? There are several reasons:
- Overlapping structures: Normal anatomical structures can sometimes obscure or mimic tumors on x-ray images.
- Similar densities: Some tumors may have a density similar to surrounding tissues, making them difficult to distinguish.
- Early-stage tumors: Small or early-stage tumors may not be visible on x-rays.
- Non-specificity: Abnormalities detected on x-rays may be due to non-cancerous conditions, requiring further investigation.
Comparing X-Rays to Other Imaging Methods for Cancer Detection
While x-rays are valuable tools in cancer detection, they are often used in conjunction with or followed by other imaging techniques for more comprehensive evaluations. How do x-rays compare to other imaging methods in cancer detection?
X-Rays vs. CT Scans
Computed Tomography (CT) scans provide more detailed cross-sectional images of the body, offering superior soft tissue resolution compared to traditional x-rays. CT scans can detect smaller tumors and provide more precise information about tumor location and size.

X-Rays vs. MRI
Magnetic Resonance Imaging (MRI) uses powerful magnets and radio waves to create detailed images of soft tissues. MRI is particularly useful for detecting tumors in the brain, spinal cord, and other soft tissues where x-rays may be less effective.
X-Rays vs. PET Scans
Positron Emission Tomography (PET) scans can detect metabolic changes associated with cancer, potentially identifying tumors before they are visible on other imaging tests. PET scans are often combined with CT scans (PET-CT) for more accurate diagnosis and staging of cancer.
Risks and Benefits of X-Ray Imaging in Cancer Screening
As with any medical procedure, x-ray imaging carries both risks and benefits. Understanding these can help patients make informed decisions about their healthcare.
Benefits of X-Ray Imaging
- Non-invasive: X-rays do not require any incisions or insertions into the body.
- Quick and painless: The procedure is fast and does not cause discomfort.
- Widely available: X-ray machines are common in hospitals and clinics, making the test easily accessible.
- Cost-effective: X-rays are generally less expensive than more advanced imaging techniques.
- Valuable for initial screening: X-rays can often detect abnormalities that warrant further investigation.
Risks and Limitations of X-Ray Imaging
What are the potential risks associated with x-ray imaging for cancer detection?

- Radiation exposure: Although the radiation dose from a single x-ray is low, repeated exposure may increase the risk of radiation-induced cancers.
- False positives: X-rays may sometimes indicate abnormalities that turn out to be benign, leading to unnecessary anxiety and additional testing.
- False negatives: Some tumors may not be visible on x-rays, potentially delaying diagnosis if no further testing is done.
- Contrast medium reactions: In rare cases, patients may experience allergic reactions to contrast agents used in some x-ray procedures.
Despite these risks, the benefits of x-ray imaging in cancer detection and monitoring generally outweigh the potential drawbacks for most patients.
Advancements in X-Ray Technology for Cancer Detection
The field of x-ray imaging continues to evolve, with ongoing research and technological advancements aimed at improving cancer detection capabilities. These innovations are enhancing the role of x-rays in cancer diagnosis and monitoring.

Digital X-Ray Systems
Digital x-ray systems have largely replaced traditional film-based x-rays in many healthcare settings. These systems offer several advantages:
- Improved image quality: Digital systems produce clearer, more detailed images.
- Lower radiation dose: Digital x-rays often require less radiation than traditional film x-rays.
- Faster results: Images are available immediately, allowing for quicker diagnosis.
- Easy image manipulation: Digital images can be enhanced and analyzed using computer software.
- Efficient storage and sharing: Digital images can be easily stored and shared electronically with other healthcare providers.
Dual-Energy X-Ray Absorptiometry (DXA)
DXA scans use two x-ray beams with different energy levels to create more detailed images of soft tissues and bones. This technology is particularly useful in detecting bone tumors and assessing bone density changes that may be associated with certain cancers.
Tomosynthesis
Digital breast tomosynthesis, also known as 3D mammography, is an advanced form of breast x-ray that creates multiple images of breast tissue. This technology can improve the detection of breast cancers, particularly in women with dense breast tissue.

The Role of X-Rays in Cancer Staging and Treatment Monitoring
Beyond initial detection, x-rays play a crucial role in cancer staging and treatment monitoring. How do healthcare providers use x-rays throughout a patient’s cancer journey?
Cancer Staging
X-rays can help determine the extent of cancer spread, which is essential for staging. For example:
- Chest x-rays can show if lung cancer has spread to lymph nodes or other parts of the chest.
- Bone x-rays can reveal if cancer has metastasized to bones.
- X-rays of affected areas can help measure tumor size and assess involvement of nearby structures.
Treatment Monitoring
During and after cancer treatment, x-rays are often used to assess treatment effectiveness and monitor for recurrence:
- Comparing x-rays taken before, during, and after treatment can show changes in tumor size.
- Regular follow-up x-rays can help detect early signs of cancer recurrence.
- X-rays can also identify treatment-related complications, such as radiation-induced lung changes.
While x-rays are valuable tools in cancer care, they are typically used in conjunction with other imaging modalities and diagnostic tests for comprehensive patient management.

Future Directions in X-Ray-Based Cancer Detection
The future of x-ray technology in cancer detection looks promising, with ongoing research and development aimed at enhancing its capabilities and overcoming current limitations. What advancements can we expect in the coming years?
Artificial Intelligence in X-Ray Analysis
Artificial intelligence (AI) and machine learning algorithms are being developed to assist radiologists in interpreting x-ray images. These technologies have the potential to:
- Improve detection rates of small or early-stage tumors
- Reduce false positives and false negatives
- Enhance workflow efficiency in radiology departments
- Provide more consistent and objective image analysis
Phase-Contrast X-Ray Imaging
Phase-contrast x-ray imaging is an emerging technology that could revolutionize soft tissue imaging. This technique:
- Utilizes the phase shifts of x-rays as they pass through tissues
- Provides higher contrast for soft tissues compared to conventional x-rays
- May improve detection of tumors in soft tissue organs
Spectral CT and Color X-Ray Imaging
Advancements in x-ray detectors are enabling the development of spectral CT and color x-ray imaging. These technologies:
![]()
- Can differentiate between various types of tissues and materials based on their atomic structure
- May improve the ability to distinguish between benign and malignant tumors
- Could potentially reduce the need for invasive biopsies in some cases
As these technologies continue to develop, the role of x-ray imaging in cancer detection and management is likely to expand, offering improved diagnostic accuracy and patient care.
ray | Canadian Cancer Society
An x-ray is an imaging test that uses small doses of radiation to produce pictures of
internal organs and structures of the body.
Some x-rays use a contrast medium to show organs
and structures more clearly.
An x-ray may be done to:
- follow up suspicious findings from a physical examination or laboratory
test - find out the size, shape and location of tumours
- see how far cancer has spread and if it is in other organs and tissues
(staging) - find out if cancer treatment is working by comparing the size of the tumour
before, during and after treatment - screen for some types of cancer
An x-ray is usually done as an outpatient procedure in the x-ray (radiology) department
of a hospital or clinic. This means that you don’t stay overnight.
The test
usually takes 10 to 15 minutes, but it may take longer.
Before you have an x-ray, it is important to tell the x-ray technologist or radiologist
if you are pregnant or think you may be pregnant. If a contrast medium will be used, it
is important that you tell the x-ray technologist or radiologist if you are
breastfeeding.
You don’t usually need to do anything to prepare for a basic x-ray without a
contrast medium. If you are having an x-ray with a contrast medium, you may be asked to:
- not eat or drink anything for a certain number of hours before the test
- take a laxative
- have an enema
The contrast medium may be given:
- by mouth (orally)
- by needle into a vein (intravenously)
- through the rectum (called an enema)
- through a thin tube (catheter) inserted into different body tissue
You will be asked to remove clothing, jewellery and other objects that will be in the
x-ray field and may interfere with the quality of the x-ray.
Depending on the area being
studied, you will lie on an x-ray table or will stand or sit in front of an x-ray
machine. You may have a lead apron placed over your pelvic area to protect your
reproductive organs.The x-ray machine is positioned over the area to be imaged.
When the x-ray is taken, you must stay very still and you may be asked to hold your
breath. The x-ray technologist leaves the room or goes behind a shield while the x-ray
is taken. You will hear a small beep or buzz when the x-ray is finished. You may be
asked to change position so that x-rays can be taken from different angles.
X-rays use low levels of ionizing radiation. Ionizing radiation is strong enough to damage cells in our bodies and increase the chance of developing cancer. X-rays are strictly monitored and controlled to make sure they use the least possible amount of radiation. Even with multiple and repeated x-rays, the total dose of radiation and the associated risk is small.
The benefits of having an x-ray outweigh the risk of exposure to the small amount of radiation received during the scan.
On rare occasions, the contrast medium may cause an allergic reaction.
The shadow-like images on an x-ray are made from radiation being absorbed differently by different body tissues. Bones absorb the most radiation and appear white. Fat and other soft tissues absorb less radiation and appear in various shades of grey. Air absorbs the least radiation and structures filled with air (such as the lungs) appear black.
X-rays can be used to look for and examine some types of tumours. Most tumours are soft tissue and do not show up well on x-ray. Lung tumours show up well because of the air around them in the lungs.
An x-ray cannot always show the difference between a cancerous (malignant) tumour and a non-cancerous (benign) tumour.
Your doctor will decide whether further tests, procedures, follow-up care or additional treatment are needed.
Preparing children before a test or procedure can help lower their anxiety, increase their cooperation and develop their coping skills.
This includes explaining to children what will happen during the test, such as what they will see, feel and hear.
Preparing a child for an x-ray depends on the age and experience of the child. Find out more about helping your child cope with tests and treatments.
American Cancer Society. X-rays and Other Radiographic Tests for Cancer. 2015: https://www.cancer.org/treatment/understanding-your-diagnosis/tests/x-rays-and-other-radiographic-tests.html.
Cancer Research UK. X-rays. Cancer Research UK; 2015: http://www.cancerresearchuk.org/about-cancer/cancer-in-general/tests/x-rays.
Fischbach FT, Fischbach MA. Fischbach’s A Manual of Laboratory and Diagnostic Tests. 10th ed. Wolters Kluwer; 2018.

Radiological Society of North America. X-ray (Radiography) – Chest. 2018: https://www.radiologyinfo.org/en/info.cfm?pg=chestrad.
US National Library of Medicine. X-ray. 2018: https://medlineplus.gov/ency/article/003337.htm.
Vogel WH
. Diagnostic evaluation, classification and staging. Yarbro CH, Wujcki D, Holmes Gobel B, (eds.). Cancer Nursing: Principles and Practice. 8th ed. Burlington, MA: Jones and Bartlett Learning; 2018: 7: 169-203.
X-rays and Other Radiographic Tests for Cancer
X-rays and other radiographic tests (also known as radiographs, roentgenograms, and contrast studies) help doctors look for cancer in different parts of the body including bones, and organs like the stomach and kidneys.
X-rays are typically fast, painless, and there’s no special preparation needed. Contrast studies may require more preparation ahead of time and may cause some discomfort and side effects, depending on what kind you are having. (For names of contrast studies, see Table 1.)
What do x-rays show?
Radiographs, most often called x-rays, produce shadow-like images of bones and certain organs and tissues. X-rays are very good at finding bone problems. They can show some organs and soft tissues, but MRI and CT scans often give better pictures of them. Still, x-rays are fast, easy to get, and cost less than other scans, so they might be used to get information quickly.
Mammograms (breast x-rays) are a form of radiographic tests. To learn more about them, see Mammogram Basics.
Special types of x-ray tests called contrast studies use iodine-based dyes or contrast materials, like barium, along with the x-rays to make the organs show up on the x-ray and get better pictures.
For instance, a lower gastrointestinal (GI) series, often called a barium enema exam, takes x-ray pictures after the bowel is filled with barium sulfate. Another contrast study, an intravenous pyelogram (IVP), uses a special dye to look at the structure and function of the urinary system (ureters, bladder, and kidneys). See Table 1 for more examples.
Due to advances in technology, many contrast studies are being replaced by other scans, such as CT or MRI scans. For instance, in the past, angiography was often used to help learn the stage or extent of cancer, but now CT and MRI scans are most often used to do this. Still, angiography is sometimes used to show the blood vessels next to a cancer so surgery can be planned to limit blood loss. And angiograms may be used to diagnose non-cancerous blood vessel diseases.
How do x-rays work?
A special tube inside the x-ray machine sends out a controlled beam of radiation. Tissues in the body absorb or block the radiation to varying degrees.
Dense tissues such as bones block most radiation, but soft tissues, like fat or muscle, block less. After passing through the body, the beam hits a piece of film or a special detector. Tissues that block high amounts of radiation, such as bone, show up as white areas on a black background. Soft tissues block less radiation and show up in shades of gray. Organs that are mostly air (such as the lungs) normally look black. Tumors are usually denser than the tissue around them, so they often show up as lighter shades of gray.
Contrast studies provide some information that standard x-rays cannot. During a contrast study, you get a contrast material that outlines, highlights, or fills in parts of the body so that they show up more clearly on an x-ray. The contrast material may be given by mouth, as an enema, as an injection (put in a vein), or through a catheter (thin tube) put into various tissues of the body. It will look bright white on the x-ray and outline the body part. For most of these tests, the images can be captured either on x-ray film or by a computer.
Table 1: Commonly Used Contrast Studies
Test name(s) | Organs studied | Dye is given by |
Angiography, angiogram, arteriography, arteriogram | Arteries throughout the body, including those in the brain, lungs, and kidneys | Catheter (thin tube) in an artery |
Intravenous pyelogram (IVP) | Urinary tract (kidney, ureters, bladder) | Injection into vein (IV) |
Lower GI (gastrointestinal) series, barium enema (BE), double-contrast barium enema (DCBE), air-contrast barium enema (ACBE) | Colon, rectum | Enema |
Upper GI series, barium swallow, esophagography, small bowel follow through | Esophagus, stomach, small intestine | Mouth |
Venography, venogram | Veins throughout the body, most often in the leg | Catheter in a vein |
How do I get ready for x-ray(s)?
Other than removing metal objects that might interfere with the picture, no special preparation is needed before having a standard x-ray.![]()
Preparation for a contrast study depends on the test. You may be asked not to eat anything or to prepare in other ways before the test (see the next section). The radiology center will give you instructions. Check with them first. Your health care provider also might give you instructions.
Always be sure to tell your health care provider whether you have allergies to iodine or have had problems with contrast materials in the past.
What is it like having x-rays(s)?
Standard x-rays
Usually x-rays are taken by an x-ray technologist. You will undress to expose the part of the body to be x-rayed. You’ll need to remove jewelry or other objects that might interfere with the image. You may be given a gown or drape to wear. You’ll be asked to sit, stand, or lie down, depending the body part to be x-rayed. Your body is put against a flat box or table that holds the x-ray film. The technologist then moves the machine to aim the beam of radiation at the right area.
You may have special shields put over parts of your body near the area being x-rayed so that they’re not exposed to the radiation. Usually the technologist leaves the room to operate the machine by remote control. But they can hear and see you at all times. Your exposure to the x-ray is very brief – usually less than a second. You may hear buzzing or clicking sounds while the machine is working.
For a chest x-ray, often 2 views are taken. First, you stand with your chest against the x-ray film and the image is taken from the back. Your arms are at your side. Then a side view is often taken with your arms either above your head or in front of you. The technologist will tell you when to take a deep breath and hold still. For a chest x-ray in people who can’t stand, the film is put under them and the picture is taken from the front.
During an abdominal (belly) x-ray, you lie down on a table. You may be asked to change position or sit up if more than one view is needed.
You’ll need to hold your breath and lie still while the picture is taken quickly.
After the x-ray, the technologist will come back to the room to move the machine out of the way, remove any protective shields, collect the film, and help you back to the changing room where you can get dressed.
Contrast studies
Angiography: You’ll be asked to not eat before this test. In most cases, you’ll be given medicine to relax you before the test starts. You will lie still on a table as the skin over the injection site is cleaned and numbed. A tiny cut will be made so the catheter (thin plastic tube) can be put into a blood vessel (usually the artery at the top of the thigh) and slid in until it reaches the area to be studied. The contrast dye is then put in, and a series of x-ray pictures is taken to see how the dye flows through the blood vessels. After that, the catheter is taken out.
Firm pressure might be needed on the catheter site for a while to make sure it doesn’t bleed.
You’ll also need to lie flat and keep your leg still for up to several hours. This helps prevent bleeding at the catheter site, too.
Other types of angiography: Advances in technology have led to other forms of angiography that take less time and mean fewer risks than x-ray angiography. CT angiography takes pictures of blood vessels using a CT scanner instead of a standard x-ray machine. The contrast dye can be put into a small vein in the arm instead of having to put a catheter into a major blood vessel. Magnetic resonance angiography (MRA) is an MRI study of the blood vessels. It may be done with or without contrast dye, and is also quicker than a standard x-ray angiogram.
Intravenous pyelogram (IVP): You’ll probably be asked not to eat or drink anything for about 12 hours before this test, and you must take laxatives to clean out your bowel. For the test itself, you lie on a table for a series of x-rays. Contrast dye is then out into a vein in your arm.
Your kidneys remove the dye from the bloodstream, and it goes into the urinary tract. Another series of x-rays is taken over the next 30 minutes or so to get pictures of the dye as it moves through the kidneys and out of your body. Pressure may be applied to the belly to help make the image clearer. Once the dye has reached the bladder, you’ll be asked to pass urine while another x-ray is taken.
Lower GI series (barium enema): Your diet may be restricted for a few days before this test. Laxatives and/or enemas are used to clean out the bowel (large intestine). For the test, you lie down and are strapped to a table. A series of x-rays is taken. Then liquid barium is put into your bowel through a small, soft tube placed in your rectum. The liquid feels cool. More images are then taken while the table tilts you into different positions. This helps the barium move through your bowels so they can be seen on the x-rays. You have to lie still and hold your breath as each image is taken.
After the test, you can go to the toilet to pass the barium solution out of your bowels. (It may take a few days until it’s all out. Your stool may be drier, harder, and light-colored during this time.)
To get clearer pictures, a “double-contrast” exam is often done. This exam uses a smaller amount of thicker barium liquid. After the barium is in, air is put into your bowel. This can cause a sense of fullness and discomfort, along with an urge to empty your bowels.
Upper GI series: You will probably be asked to not eat or drink for 8 to 12 hours before this test. You will lie down and be strapped to a tilting table while a series of x-rays are taken as the barium coats your esophagus and stomach. You’ll need to swallow the barium mixture a few times during the test. (In some cases, substances other than barium are used.) You might also be asked to swallow baking soda crystals to create gas in your stomach.
Sometimes more pictures are taken a few hours later to show the small intestine (it takes time for the barium to move from the stomach to the small intestine).
This is called a small bowel follow through.
After the test you may be given a laxative to speed up getting the barium out of your body. It still may take a few days until it’s all out. Your stool may be drier, harder, and light-colored during this time.
Venography: As you lie still on a table, the skin over the vein to be used is cleaned and numbed. This will be a small vein below the vein that might be blocked (like the foot for a vein in the leg, or the hand for a vein in the arm). A catheter (thin plastic tube) is then put into the small vein. It may be threaded in so that it passes into a larger vein closer to the one to be studied, or a tourniquet may be used so the dye flows into the deeper veins. The contrast dye is put in to make the veins show up on the x-ray, and a series of x-ray pictures is taken.
Extra fluids may be given through the catheter to help wash the dye out of your body. After that, the catheter is taken out. Firm pressure may be needed on the site for a while to make sure it doesn’t bleed.
How long do x-rays take?
- Standard x-ray: about 5 to 10 minutes
- Angiogram: 1 to 3 hours
- Intravenous pyelogram: about 1 hour
- Lower GI series: 30 to 45 minutes
- Upper GI series: 30 minutes to 6 hours, depending on the part of the digestive system being tested
- Venogram: 30 to 90 minutes
What are the possible complications and side effects of x-rays?
Standard x-rays: Problems are rare and very unlikely.
Angiography: You may have a warm or burning feeling as the dye is given. The contrast material may cause nausea, vomiting, flushing, itching, or a bitter or salty taste. In rare cases, people can have a severe allergic reaction to the contrast material that affects their breathing and blood pressure. The contrast material can also cause kidney problems.
This is rare, but it’s more common in someone whose kidneys already don’t work well.
There’s a small risk of a blood clot forming on the end of the catheter, which could block a blood vessel. There’s also a small risk of damage to the blood vessel from the catheter, which could lead to internal bleeding. A hematoma (a large collection of blood under the skin) may develop where the catheter was put in if pressure is not kept on the site long enough. Infection is possible at the catheter site. (Possible complications of CT or MR angiography are like those described in the sections on CT and MRI).
Your body may ache from lying still on the flat table for a few hours.
Intravenous pyelogram (IVP): The contrast dye sometimes causes some people to have flushing, mild itching, or a bitter or salty taste. In rare cases, people have a severe reaction to the contrast material and need emergency treatment.
Lower GI series (barium enema): The test can be uncomfortable.
Some patients have abdominal (belly) cramping. Many patients find the test makes them tired. The barium contrast material will make your stools a light color for a few days after the test and may cause constipation. Very rarely, the barium can cause an obstruction, or blockage, in the bowels.
Upper GI series (barium swallow): The barium mixture has the thickness of a milkshake and tastes chalky. Baking soda crystals can cause bloating, gas, and belching. After the test, your stools will be a light color for a few days, and you may be constipated. There’s a slight chance that the barium might cause an obstruction or blockage in the intestine.
Venography: You may have a warm or burning feeling as the dye is given. Your arm or leg (where the catheter is put in) may feel numb during the test. Some people have a bitter or salty taste in their mouth. In rare cases, people can have a severe allergic reaction to the contrast material that affects their breathing and blood pressure.
The contrast material can also cause kidney problems. This is rare, and it’s more common in someone whose kidneys already don’t work well.
There’s a small risk of a blood clot forming, which could block a blood vessel. There’s also a small risk of damage to the blood vessel from the catheter, which could lead to internal bleeding. There may be pain and bruising and infection is possible where the catheter is put in.
What else should I know about x-rays?
- Tell your doctor if you could be pregnant or are breastfeeding before having any of these tests.
- X-ray tests expose the body to radiation, but modern x-ray equipment uses much smaller amounts of radiation than in the past. (See “Understanding Radiation Risk from Imaging Tests” for more on this.)
- A newer technology, called digital radiology, produces pictures on computer screens rather than on film. The size and contrast of the pictures can be digitally adjusted to make them easier to read, and they can be sent to computers in other medical offices or hospitals.

- If you are to have a test that uses a contrast dye, tell your doctor if you are allergic to contrast materials, iodine, or to seafood. This may put you at a higher risk for having a reaction.
What an X-ray of the spine shows – DocDoc.ru
In modern medicine, X-ray examination is the most accessible, effective and reliable diagnosis. There is fluoroscopy and radiography. Fluoroscopy – scanning an organ for several seconds, that is, the picture is obtained in dynamics, and the images can be rotated in three-dimensional mode, studying from all sides. Often used to diagnose the spinal cord. When radiography is taken, a picture is taken that fixes the instantaneous state of the current time. The result is a normal image. Therefore, in order to get a complete picture, two pictures are often taken, in different projections.
X-ray equipment can be film and digital. Digital X-ray of the spine has a number of advantages over film X-ray: the radiation dose is much lower, the image quality is better, the wide possibilities of computer programs for studying images, the ability to store and transmit information in electronic form.
The disadvantages include the high price. Whether an x-ray is taken of the spine, limbs, or skull, the body is exposed to radiation exposure, which is undoubtedly harmful.
How often can the examination be done and what does it reveal? Within a safe dose of radiation, x-rays can be done no more than once a month. Examination of the arms, legs and head is carried out more often due to trauma, but the diagnosis of the spine is prescribed quite often based on complaints of pain.
What does a spinal x-ray show? Will the tumor show? Will an x-ray show a herniated spine?
Let’s clarify that the spinal column can be examined completely or targeted by zones, which makes it possible to reduce the area of radiation exposure. X-ray of the lumbosacral region shows lordosis, osteochondrosis, kyphosis. You can see a hernia, benign and malignant formations, infectious injuries caused by tuberculosis, syphilis, as well as traumatic injuries. In addition, diagnostics allows you to study congenital anomalies and deformities, such as fusion of the vertebrae or their underdevelopment.
An x-ray of the lumbosacral region is done if: the doctor suspects a tumor or hernia, the patient complains of pain in the back or legs, a feeling of weakness or numbness of the lower extremities. Also, the examination should be periodically carried out by those who have congenital anomalies in the structure of the lumbar spine.
If you are concerned about any health problem, sign up for a diagnosis. The success of treatment depends on the correct diagnosis.
How is a spinal x-ray done?
It is difficult to find a person who has never done an x-ray of anything, so about everyone knows how the process goes. The procedure is not complicated, it is quick and painless. In the office, you must remove clothes and jewelry, as well as free the part of the body that will be examined. Next, the radiologist will tell you what position to take and take a picture. For the second projection, the patient will be asked to bend over. If a diagnosis of the thoracic region is being performed, the doctor will ask you to hold your breath for the duration of the picture.
Preparation for X-ray diagnostics is practically not needed, the only exception is an examination of the lumbar spine. Since part of the bowel enters the area of interest, a diet must be followed to minimize gas formation at the time of diagnosis.
Having learned about the need for preparation, questions arise: what can not be eaten and can I eat before an x-ray? Eliminate gas-forming products should be two days before the diagnosis. You can not eat raw vegetables and fruits, drink milk, soda and energy drinks, eat legumes, fresh bread and pastries, some cereals. In addition to the diet, it is recommended to take enzymes (Festal, activated charcoal or Mezim). The last meal before the procedure will be dinner the day before, but no later than 20.00. On the day of the X-ray, you can only drink water. A few hours before the examination, the intestines are cleansed with an enema.
Since the pelvic organs fall into the area of the image, a common question for women is whether it is possible to take an X-ray of the spine during menstruation.
Menstruation is considered a conditional restriction to radiography. If the examination can be postponed without a threat to health and life, then it is better to do so. The most correct decision would be to consult with your doctor, who is able to assess the risk-benefit ratio on an individual basis.
It is important to know that digital and film radiography is only used to assess the condition of the skeletal system. Muscles, ligaments, intervertebral hernias, neoplasms, nerve endings are soft tissues and are not visualized on the radiograph. Vertebral hernia is an advanced stage of osteochondrosis. If a hernia is visible on an x-ray, this means that the soft tissues have acquired a dense structure due to the deposition of salts. The condition of the detected hernia can be assessed using computed tomography or magnetic resonance imaging.
Many people are wondering what is better X-ray or CT scan of the spine. In fact, CT is an advanced form of radiography. Significantly higher in terms of information content and data accuracy.
Inferior to x-rays in price and availability. Not all clinics have CT equipment. Another important difference is that during CT, the radiation dose is higher, since the diagnosis takes longer. This means that without harm to the body, computed tomography can be performed less frequently than conventional radiography.
This article is posted for educational purposes only, does not replace a doctor’s appointment and should not be used for self-diagnosis.
January 10, 2019
Top 5 diagnostic centers
3583 reviews
188 reviews
1589 reviews
6340 reviews
3497 reviews
Show all clinics
Can x-rays show cancer: cancer on x-rays, x-rays in oncology at the Euroonco clinic
Radiography appeared 5 years before the end of the 19th century and became the first study in the history of mankind of the internal structure of the body, and without being introduced into him. For a century, X-rays had a reputation for being the most informative study, and even today, CT scans with MRI are not able to displace X-rays from clinical practice.
Among diagnostic procedures, the total share of CT with MRI does not exceed 3%, while X-rays are done 15 times more often. Every year, more than 125 million X-ray examinations are performed in state medical institutions alone, and every fifth one is done on a digital device. The frequency of radiography is comparable only with the number of ultrasounds.
What is radiography?
X-ray – an image of a certain part of the body, made with the help of ionizing radiation directed from the apparatus.
Fluoroscopy is an X-ray examination lasting several minutes, when the doctor visually controls what is happening inside the patient’s body through a special screen, episodically photographing what is happening.
Recording the internal state of an organ on film in real time – X-ray or radiograph.
You can take an x-ray of any part of the body and get a true image, in fact, it is a black and white “photo” of all layers of the anatomical region of interest.
Image fidelity can be increased by adjusting the shutter speed and power of the X-ray tube. Air-filled tissues and organs in the image will be dark, bones will be light, that is, the greater the density of the tissue, the lighter it is on the x-ray.
X-ray gives a fixed image for a moment in time, several pictures in different positions of the patient will help to get an idea of the deviations of processes from the norm in dynamics, but the presentation will be somewhat incomplete without the introduction of contrast solutions into the vascular bed, hollow organ or ducts of the studied area.
Modern x-ray machines have not become completely harmless to the subject, but the radiation dose received during the study is minimal and is offset by the importance of the diagnostic information received. Analog devices are gradually becoming a thing of the past, giving way to digital ones, where everything is calculated by a computer program, the image is displayed on the monitor without the need to develop the film, and the pictures taken in the process are stored on electronic media.
Indications and contraindications for
The main indication for radiography in oncology is the need to obtain reliable information about the state of the anatomical region of interest in real time, that is, the diagnosis of deviations from the anatomical norm that cause certain clinical symptoms.
All oncological patients, already at the examination stage, undergo radiography of several anatomical regions:
- areas of development of the primary malignant process;
- areas of the most probable metastasis, which necessarily include chest x-ray, usually referred to by patients as “lung x-ray”;
- areas where, according to the clinical signs or complaints of the patient, metastases are suspected.
During treatment, it is also impossible to do without radiography:
- the choice of the optimal volume of surgical intervention is impossible without knowing the relationship of a cancerous tumor with nearby anatomical structures;
- after surgery with intubation and anesthesia, the condition of the lungs is monitored, if inflammation is suspected, an x-ray examination is carried out at intervals of several days;
- after surgery, the placement of internal boats or stents is controlled;
- in the process of cyclic chemotherapy, the assessment of the dynamics of metastases in the lungs and bones is impossible without an X-ray examination;
- in the organs of the gastrointestinal tract, the pulmonary system, complications of special treatment or the natural course of the malignant process are diagnosed;
- follow-up after completion of treatment requires imaging of areas of possible recurrence and cancer metastases.

The very presence of a malignant tumor, the process of its treatment and subsequent dynamic monitoring is an absolute indication for regular and repeated X-ray diagnostics.
Contraindications to examination in oncology are relative, they almost never occur in clinical practice:
- examinations are not performed on pregnant women, who rarely have malignant neoplasms;
- The severe and extremely serious condition of the patient is also not a reason for refusing to be examined, since it may be due to the underlying disease and a quick diagnosis using X-ray helps to choose the optimal therapy.
Oncological disease is an absolute indication for X-ray examination in the absence of absolute contraindications.
Advantages and disadvantages of X-ray diagnostics
X-ray, in addition to reliable diagnostic information about the real state of the anatomical region under study, allows inexpensive and fairly fast monitoring of the effectiveness of antitumor therapy.
A few minutes are enough for the examination.
It is correct to take more than one direct picture – a “photo” from front to back, but also a side one, in order to have a complete picture of the localization of the pathology inside the organ.
In the case of a tumor process, layered images are performed – tomograms, when an X-ray beam, as it were, cuts the organ and its surrounding tissues, forming a section of any anatomical part at a certain distance from the skin. Several tomograms are made and with a “step” of several centimeters. Additional options increase the cost of the examination, which is still incomparable with the price of a standard CT and MRI.
Not all organs are accessible to x-rays, for example, the pancreas is not visible at all, the intestines are visible only by the contents, additional contrasting allows you to see many hidden internal organs.
Patients approach X-ray diagnostic procedures with ease because there is no pain and no risk of infection.
Each X-ray examination supplements the total exposure of the patient, but a cancer patient has to take a lot of pictures and quite often, because without high-quality diagnostics it is impossible to either select the optimal treatment or evaluate its result. Nevertheless, from the standpoint of the ratio of harm to benefit, a cancer patient benefits more from X-rays than loses health due to radiation.
X-ray is inferior in image quality to CT and MRI, but there is not always a need for clarification “100%”, often the speed and availability of the examination is quite enough. An optimal place was found for each method in the treatment and diagnostic process in an oncological patient.
Types of radiography
Types of examination are determined by the characteristics of the anatomical zone under study and the process of taking the image.
Standard radiography is an overview, that is, an image that gives an idea of the state of the entire organ, or rather images in two mutually perpendicular projections – anterior and lateral.
In dentistry and oral tumors, a variant of the panoramic image is known as orthopantomography, but in radiography it is a panoramic image, in which the beam emanating from the device passes in a wide arc, appearing on the film in the form of the upper and lower jaw, and not a separate tooth.
Opposite view – Peripheral X-ray allows you to “photograph” a specific area, such as a tumor in the upper mediastinum or the root of the lung. This view is performed only after a plain x-ray.
In fact, the same targeted contact radiography is used in dentistry, when the film is placed in the mouth and only the diseased tooth is removed. In oncology, the intraoral technique is used for cancer of the oral mucosa and oropharynx to assess the involvement of the bone in the tumor conglomerate.
Close-focus radiography, usually of small structures and at a close distance from the beam tube, is similar to aiming. In a small focus, the pathology is seen more clearly.
The introduction or administration of a contrast agent visualizes the abdominal organs of the gastrointestinal tract, urinary system and vascular network – contrast examination of the intestine – irrigoscopy, bile ducts – cholecystography, urinary tract – urography, fistulas – fistulography.
Vogt radiography is not used in oncology, an eye image without skull bones is necessary for injuries. In case of malignant processes, the eyes resort to CT.
Also, there is rarely a need for x-rays with functional tests when the patient is filmed in a certain position, for example, with neoplasms of the spine.
Soft tissue radiography is also not a commonly used technique, but may be useful in sarcomas.
X-ray preparation
Modern digital devices require little to no patient preparation. Diagnosis of the state of the chest organs takes place “on wheels”, that is, it is possible at any time and requires only the removal of clothing and jewelry.
To study the state of the gastrointestinal tract, there is a need to empty the organs; when examining the esophagus, stomach, gallbladder, one should not eat for several hours.
In case of oncopathology of the large intestine, contrasting is necessary, therefore, 2 hours before the diagnosis, the intestines are cleaned.
It is advisable to avoid foods that contribute to the formation of gases for a couple of days.
Examination technique
The patient must undress before the diagnosis, since all tissues repel part of the X-rays from themselves, this rebound forms a secondary radiation that reduces the clarity of the image. Extinguishing of ricochet rays from the skin, soft tissues, organs is provided, and each X-ray machine has its own table of corrections.
Metal decorations also interfere, creating artifacts, they are removed.
The patient is placed on the table in a certain position that allows optimal visualization of the pathological zone. The staff of the X-ray room goes to a room with special protection, from where they communicate with the patient over the speaker, offering to stop at a certain moment to take a picture. This is followed by film development and a description of the x-ray picture.
How radiography results are interpreted
Depending on the diagnostic task, radiography can be performed with an increase or decrease in the image, increased rigidity, several series and in several projections.
Specialists know what and how to do, they know all the capabilities of the equipment.
Image blur is not only a damaged film and lost time, blur requires re-examination and is associated with additional exposure. For a better image, special filters are used, the capabilities and characteristics of which must be known by the staff of the X-ray room and correlated with the individual characteristics of the patient – his anthropometric data, weight and, ultimately, with the distance to the organ being studied.
Since complete immobility of the subject is impossible, the internal organs also move in their own rhythm, the picture will be of high quality only with high power of the device and a short shutter speed.
A good radiograph can be ruined by misinterpretation. A standard for describing images has been developed, but the end result is associated with the professionalism of the doctor, with his experience and knowledge, with observation and intuition, and of course, knowledge of clinical oncology.
Our clinic has excellent equipment and staff, so x-ray reports are always of an expert level.
Appointment for a consultation around the clock
+7 (495) 668-82-28
References:
- Baker S.R., Patel R.H., Yang L., et al./ Malpractice Suits in Chest Radiology: An Evaluation of the Histories of 8265 Radiologists // Journal Thorac Imaging; 2013; 28(6):
- Bradley S.H., Abraham S., Callister M. E.J, et al./ Sensitivity of chest X-ray for detecting lung cancer in people presenting with symptoms: a systematic review// British Journal of General Practice;2019https://bjgp.org/content/69/689/e827
- Henschke C.I., Yankelevitz D.F., Yip R., et al./ Lung Cancers Diagnosed at Annual CT Screening: Volume Doubling Times// Radiology; 2012; V. 263, No. 2
- Nishi M., Ichikawa H. /X-ray diagnosis of gastric cancer// Gastric Cancer; Springer Verlag, 1993.
- Stapley S., Sharp D., Hamilton W./ Negative chest X-rays in primary care patients with lung cancer// British Journal of General Practice 2006; 56 (529): 570-573.




