Bone in arch of foot hurts. Accessory Navicular Syndrome: Causes, Symptoms, and Effective Treatments
What is Accessory Navicular Syndrome. How does it affect foot health. What are the symptoms of this condition. How is Accessory Navicular Syndrome diagnosed. What are the traditional treatment options. How can Prolotherapy help in treating Accessory Navicular Syndrome. Is surgery necessary for Accessory Navicular Syndrome.
Understanding Accessory Navicular Syndrome: An Extra Bone in Your Foot
Accessory Navicular Syndrome (ANS) is a condition that affects individuals born with an extra bone in their foot, specifically near the arch. This additional bone, known as the accessory navicular, is present in approximately 4-14% of the population. While many people with this extra bone may never experience any issues, some develop painful symptoms that can significantly impact their daily lives.
The navicular bone is a small, boat-shaped bone located in the instep or arch of the foot. In individuals with ANS, an extra bone forms adjacent to the navicular, connected by fibrous tissue or cartilage. This accessory bone can sometimes cause discomfort and pain, particularly when it rubs against footwear or during physical activities.

Why does the accessory navicular bone cause problems?
The accessory navicular bone typically becomes problematic when it causes pain or discomfort. This can occur due to several factors:
- Oversized bone creating a prominent bump on the instep
- Friction between the bone and footwear
- Injury to surrounding structures that attach to the navicular bone
- Excessive movement between the navicular and accessory navicular bones
It’s important to note that not everyone with an accessory navicular bone will experience symptoms. Many individuals may go through life unaware of its presence unless it begins to cause discomfort or is discovered incidentally during imaging studies.
Recognizing the Symptoms of Accessory Navicular Syndrome
Identifying the symptoms of Accessory Navicular Syndrome is crucial for proper diagnosis and treatment. The condition can manifest in various ways, often causing discomfort and limiting daily activities.
What are the common signs of Accessory Navicular Syndrome?
Individuals with ANS may experience the following symptoms:

- Pain in the mid-foot and arch, especially during or after physical activity
- A visible bony prominence on the inner side of the foot
- Redness and swelling over the affected area
- Extreme sensitivity to pressure
- Difficulty wearing shoes due to discomfort
- Increased pain with activities involving foot inversion or plantar flexion
These symptoms can vary in intensity and may worsen with increased activity or when wearing tight-fitting shoes. Some individuals may find it challenging to participate in sports or even perform routine tasks due to the pain and discomfort associated with ANS.
The Anatomy Behind Accessory Navicular Syndrome
To fully grasp the complexities of Accessory Navicular Syndrome, it’s essential to understand the anatomical structures involved and how they contribute to the condition.
Which structures are affected by Accessory Navicular Syndrome?
Several important structures in the foot are associated with the navicular bone and can be impacted by the presence of an accessory navicular:

- Abductor hallucis muscle
- Plantar calcaneonavicular ligament (spring ligament)
- Parts of the deltoid ligament
- Posterior tibial tendon
The posterior tibial tendon plays a crucial role in supporting the medial arch of the foot during standing, walking, and running. When an accessory navicular is present, it often lies near or attaches to this tendon. The movement of the posterior tibial muscle during activities can cause the accessory navicular to move as well, potentially leading to pain and discomfort in individuals with ANS.
Diagnosing Accessory Navicular Syndrome: From Symptoms to Imaging
Proper diagnosis of Accessory Navicular Syndrome is crucial for developing an effective treatment plan. Healthcare providers use a combination of physical examination and imaging studies to confirm the presence of an accessory navicular and rule out other potential causes of foot pain.
How is Accessory Navicular Syndrome diagnosed?
The diagnostic process for ANS typically involves the following steps:

- Medical history review: The healthcare provider will ask about symptoms, their onset, and any factors that worsen or alleviate the pain.
- Physical examination: The foot will be inspected for visible signs of a bony prominence, swelling, or redness. The provider may also assess foot flexibility and strength.
- Imaging studies: X-rays are commonly used to confirm the presence of an accessory navicular bone. In some cases, MRI or CT scans may be ordered to evaluate the surrounding soft tissues and assess the extent of any injury.
It’s important to note that the presence of an accessory navicular bone alone does not necessarily indicate ANS. The diagnosis is typically made when the extra bone is accompanied by symptoms that impact daily life.
Traditional Treatment Approaches for Accessory Navicular Syndrome
When it comes to managing Accessory Navicular Syndrome, traditional medicine offers several conservative treatment options aimed at reducing pain and improving foot function. These approaches are often the first line of defense before considering more invasive interventions.

What are the conventional treatments for Accessory Navicular Syndrome?
Traditional treatment methods for ANS may include:
- RICE protocol (Rest, Ice, Compression, Elevation)
- Immobilization using a cast or walking boot
- Non-steroidal anti-inflammatory drugs (NSAIDs) for pain relief
- Custom orthotic devices to support the arch and reduce pressure on the affected area
- Physical therapy exercises to strengthen foot muscles and improve flexibility
- Cortisone injections for temporary pain relief
- Activity modification to avoid aggravating movements
While these treatments can provide relief for some individuals, they may not address the underlying cause of the condition. In cases where conservative measures fail to alleviate symptoms, surgical intervention may be considered as a last resort.
Prolotherapy: A Regenerative Approach to Treating Accessory Navicular Syndrome
As an alternative to traditional treatments, Prolotherapy offers a regenerative approach to managing Accessory Navicular Syndrome. This innovative technique aims to strengthen the affected structures in the foot, potentially providing long-term relief from symptoms.

How does Prolotherapy work for Accessory Navicular Syndrome?
Prolotherapy is a comprehensive injection technique that works by:
- Stimulating the body’s natural healing response
- Strengthening ligaments, tendons, and muscle attachments affected by ANS
- Promoting the growth of new collagen fibers
- Improving the stability and function of the foot structures
The procedure involves injecting a solution into the injured or weakened tissues, triggering a mild inflammatory response. This response leads to an influx of blood supply and regenerative cells to the area, ultimately resulting in stronger and tighter tissues as new collagen cells mature.
Unlike cortisone injections, which may provide temporary relief but can lead to tissue degeneration over time, Prolotherapy aims for long-term, curative results by addressing the root cause of the pain and instability associated with ANS.
Surgical Options for Accessory Navicular Syndrome: When Conservative Treatments Fail
While many cases of Accessory Navicular Syndrome can be managed with conservative treatments or regenerative approaches like Prolotherapy, some individuals may require surgical intervention if symptoms persist or significantly impact their quality of life.

What surgical procedures are available for Accessory Navicular Syndrome?
Surgical options for ANS may include:
- Accessory navicular excision: Removal of the extra bone and reattachment of the posterior tibial tendon to the remaining navicular bone.
- Kidner procedure: Similar to excision, but involves rerouting and reattaching the posterior tibial tendon to improve foot function.
- Fusion: In severe cases, fusion of the navicular bone to adjacent bones may be necessary to stabilize the foot and reduce pain.
Surgery is typically considered a last resort when conservative treatments have failed to provide adequate relief. The choice of surgical procedure depends on factors such as the size of the accessory navicular, the extent of symptoms, and the overall foot structure.
It’s important to note that while surgery can be effective in treating ANS, it carries risks such as infection, nerve damage, and prolonged recovery time. Patients should discuss the potential benefits and risks of surgical intervention with their healthcare provider before making a decision.

Living with Accessory Navicular Syndrome: Lifestyle Modifications and Self-Care
For individuals diagnosed with Accessory Navicular Syndrome, adopting certain lifestyle modifications and self-care practices can help manage symptoms and improve overall foot health. These strategies can be beneficial whether used alongside medical treatments or as ongoing maintenance after successful intervention.
What lifestyle changes can help manage Accessory Navicular Syndrome?
Consider implementing the following strategies to minimize discomfort and support foot health:
- Wear appropriate footwear with good arch support and a wide toe box
- Use custom orthotics or arch supports to redistribute pressure and stabilize the foot
- Practice regular foot stretching and strengthening exercises as recommended by a physical therapist
- Apply ice to the affected area after activities to reduce inflammation
- Maintain a healthy weight to reduce stress on the feet
- Modify high-impact activities or choose low-impact alternatives when possible
- Practice proper foot hygiene to prevent additional complications
By incorporating these lifestyle modifications and self-care practices, individuals with ANS can often manage their symptoms effectively and maintain an active lifestyle. However, it’s crucial to work closely with healthcare providers to develop a comprehensive treatment plan tailored to individual needs and circumstances.

Understanding Accessory Navicular Syndrome and its impact on foot health is essential for those affected by this condition. By recognizing the symptoms, exploring treatment options, and implementing appropriate lifestyle modifications, individuals with ANS can take proactive steps towards managing their foot health and improving their quality of life. Whether through conservative treatments, regenerative approaches like Prolotherapy, or surgical interventions in more severe cases, there are various options available to address the challenges posed by this extra bone in the foot.
Accessory Navicular Syndrome – Caring Medical Florida
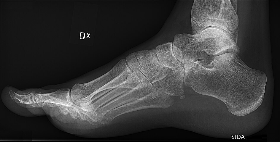
Some people have more bones in their feet than others. Actually, it’s not all that uncommon to have extra bones in the feet. These extra bones are called accessory bones. The navicular bone, one of the small bones located at the instep or arch of the middle of the foot, is an example of an extra bone people are born with. It’s called the accessory navicular bone. (See x-ray.) During the maturation process, the navicular and the accessory navicular never fuse into one solid bone but remain connected by fibrous tissue or cartilage. It is estimated that 4-14% of the population is born with an accessory navicular bone.
When does the accessory navicular bone become problematic?
Most of the time, this condition is asymptomatic and people may live their whole lives unaware that they even have this extra bone. The main reason the accessory navicular bone becomes problematic is when pain occurs. There is no need for intervention if there is no pain.
The accessory navicular bone is easily felt in the medial arch because it forms a bony prominence there. Pain may occur if the accessory bone is overly large causing this bump on the instep to rub against footwear. This painful condition is called accessory navicular syndrome. Accessory navicular syndrome (ANS) can cause significant pain in the mid-foot and arch, especially with activity. Redness and swelling may develop over this bony prominence, as well as extreme sensitivity to pressure. Sometimes people may be unable to wear shoes because the area is too sensitive. (See table.)
Like all painful conditions, ANS has a root cause. The cause could be the accessory navicular bone itself producing irritation from shoes or too much activity. Often, however, it is related to injury of one of the structures that attach to the navicular bone. Structures that attach to the navicular bone include:
– abductor hallucis muscle
– plantar calcaneonavicular ligament (spring ligament)
– parts of the deltoid ligament
– posterior tibial tendon
When there is an injury to the muscle, fibrous tissue, or soft tissue of the navicular and the accessory navicular bones, symptoms will arise.
This injury allows excessive movement between the bones. Fibrous tissue, ligaments, and tendons have a poor blood supply and are prone to poor healing. Often, this extra navicular bone lies near or attaches to the posterior tibial tendon. (See figure.) When the posterior tibial muscle contracts with movements such as foot inversion or plantar flexion, the posterior tendon moves and the accessory navicular bone moves. This can cause severe pain in those with Accessory Navicular Syndrome. It can become disabling to patients because the posterior tibial tendon attached to the navicular bone is responsible for supporting the medial arch during standing, walking and running. Activities which most of us do daily!
How is Accessory Navicular Syndrome treated?
Traditional medicine often falls short when it comes to treatment for this painful condition. As similar to other chronic pain conditions, the following regimen is usually recommended: RICE, immobilization, anti-inflammatory medications, cortisone injections, and/or innovative surgical options.
Clients familiar with Prolotherapy often say” no thanks” to those choices, as they know these treatments will only continue to weaken the area in the foot. Instead, they choose Prolotherapy to strengthen the structures in the medial foot.
Prolotherapy strengthens the ligaments, tendons and muscle attachments affected by ANS
h4 Prolotherapy is a comprehensive injection technique that works to strengthen these ligament, tendon, and muscle attachments by causing a mild anti-inflammatory response in the tissues. Prolotherapy supports the body’s normal healing response to injury. The solution directed at the injured and weakened tissue will cause an influx of blood supply and regenerative cells to come to the area. As part of this healing cascade, collagen cells will also be deposited at the injured site. The tissue, which is made mostly of collagen, will become stronger and tighter as these new collagen cells mature. It is the opposite of injections like cortisone, which cause the tissue to degenerate but are often used in chronic foot pain for temporary pain relief.
The goal of h4 Prolotherapy is long-term curative results.
The injured tissue becomes healthy again. When the weakness or injury in these structures is resolved, often times the symptoms with ANS are resolved and the patient no longer suffers from chronic foot pain. In our experience, patients typically feel better soon after treatment. However, if the person desires to run again or continue to be very active, it may take 3-5 treatments to fully resolve the condition. Activity is increased during treatment as symptoms resolve.
If you have Accessory Navicular Syndrome as diagnosed on x-ray and experience chronic pain in your medial arch, give Prolotherapy a shot! Learn more about the h4 Prolotherapy treatment series in our FAQ or foot pain treatment sections.
Accessory Navicular Syndrome – ACFAS
What is the Accessory Navicular?
The accessory navicular (os navicularum or os tibiale externum) is an extra bone or piece of cartilage located on the inner side of the foot just above the arch.
It is incorporated within the posterior tibial tendon, which attaches in this area.
An accessory navicular is congenital (present at birth). It is not part of normal bone structure and therefore is not present in most people.
What is Accessory Navicular Syndrome?
People who have an accessory navicular often are unaware of the condition if it causes no problems. However, some people with this extra bone develop a painful condition known as accessory navicular syndrome when the bone and/or posterior tibial tendon are aggravated. This can result from any of the following:
- Trauma, as in a foot or ankle sprain
- Chronic irritation from shoes or other footwear rubbing against the extra bone
- Excessive activity or overuse
Many people with accessory navicular syndrome also have flat feet (fallen arches). Having a flat foot puts more strain on the posterior tibial tendon, which can produce inflammation or irritation of the accessory navicular.
Signs and Symptoms of Accessory Navicular Syndrome
Adolescence is a common time for the symptoms to first appear. This is a time when bones are maturing and cartilage is developing into bone. Sometimes, however, the symptoms do not occur until adulthood. The signs and symptoms of accessory navicular syndrome include:
- A visible bony prominence on the midfoot (the inner side of the foot, just above the arch)
- Redness and swelling of the bony prominence
- Vague pain or throbbing in the midfoot and arch, usually occurring during or after periods of activity
Diagnosis
To diagnose accessory navicular syndrome, the foot and ankle surgeon will ask about symptoms and examine the foot, looking for skin irritation or swelling. The doctor may press on the bony prominence to assess the area for discomfort. Foot structure, muscle strength, joint motion, and the way the patient walks may also be evaluated.
X-rays are usually ordered to confirm the diagnosis. If there is ongoing pain or inflammation, an MRI or other advanced imaging tests may be used to further evaluate the condition.
Treatment: Non-Surgical Approaches
The goal of non-surgical treatment for accessory navicular syndrome is to relieve the symptoms. The following may be used:
- Immobilization. Placing the foot in a cast or removable walking boot allows the affected area to rest and decreases the inflammation.
- Ice. To reduce swelling, a bag of ice covered with a thin towel is applied to the affected area. Do not put ice directly on the skin.
- Medications. Oral nonsteroidal anti-inflammatory drugs (NSAIDs), such as ibuprofen, may be prescribed. In some cases, oral or injected steroid medications may be used in combination with immobilization to reduce pain and inflammation.
- Physical therapy.
Physical therapy may be prescribed, including exercises and treatments to strengthen the muscles and decrease inflammation. The exercises may also help prevent recurrence of the symptoms. - Orthotic devices. Custom orthotic devices that fit into the shoe provide support for the arch, and may play a role in preventing future symptoms.
Even after successful treatment, the symptoms of accessory navicular syndrome sometimes reappear. When this happens, non-surgical approaches are usually repeated.
When Is Surgery Needed?
If non-surgical treatment fails to relieve the symptoms of accessory navicular syndrome, surgery may be appropriate. Surgery may involve removing the accessory bone, reshaping the area, and repairing the posterior tibial tendon to improve its function. This extra bone is not needed for normal foot function.
Orthopaedic Urgent Care, Sports Medicine & Wellness Clinics
Your feet are the foundation for your entire body.
Poor foot alignment and strength can affect the way that you hold your body and can even lead to injuries. One of the most common causes of foot pain and misalignment is a condition called flat feet, also known as fallen arches.
Your feet are made up of 26 bones and over 100 muscles, tendons, and ligaments. The midfoot is the part of your foot that includes the arches, which provide support for your whole foot. The doctors at Urgently Ortho offer this information about what causes flat feet and how they can be treated.
The causes of flat feet
Flat feet are one cause of foot and ankle pain. It sometimes starts in childhood if your feet do not develop properly. Young children often have flat feet but usually outgrow it. Some people are more prone to have flat feet because of genetics.
Other people develop flat feet over time. Not everyone with flat feet experiences pain from the condition. The most common causes of adult-onset flat feet include the following:
- Obesity, because the bones in your feet have more difficulty bearing more weight
- Age: flat feet are most common over the age of 40
- High blood pressure, which can reduce the blood flow to your feet
- Previous injuries to the feet, such as stress fractures
- Diabetes
- Arthritis
- Damage to any of the bones or tendons in your feet
How flat feet affect your overall health
Many people with flat feet find that it affects many aspects of their overall health.
Because fallen arches or flat feet fail to give your feet the support they need, you’re more likely to experience foot pain.
A condition called plantar fasciitis is more common in people with flat feet as well. Plantar fasciitis occurs when the tendons in the feet are overstretched. This condition causes severe pain in the feet, especially in the morning.
Flat feet tend to cause another condition called overpronation, which is when the ankles roll inward while you’re walking. This can lead to foot and ankle pain.
Because your feet are the basis of support for your entire body, having flat feet and overpronation can cause problems with your spinal alignment. You may notice that you also have problems with your hips, knees, and lower back.
Treatments for flat feet
Having flat feet is not a condition that ever completely goes away. Whether you were born with flat feet or your arches fell with age, it’s not a reversible condition. However, you can find ways to manage the pain and even prevent some of it.
The best treatments for flat feet help to provide the support that is lost by fallen arches and to strengthen your feet and ankles. Some of the treatments we recommend include the following:
- Use of non-steroidal anti-inflammatory drugs (NSAIDs). Many such medications are available over the counter and include drugs like Advil (ibuprofen) and Aleve (naproxen sodium).
- Physical therapy to strengthen your feet and ankles
- Appropriate exercise and nutrition
- Wearing a brace or splint
- Use of orthotics in your shoes. Wearing the right type of shoes is essential for people with flat feet. Orthotic inserts can correct your foot position and in turn, can even correct your posture.
If you have flat feet and they’re causing you pain, simple treatments can often make the condition more livable. Medical treatment can help you find the solution that works best for you. If you want to find help for your foot and ankle problems, call our Scottsdale office today at 480-531-6007 or request an appointment online.
Why Does My Foot Arch Hurt? Fixes for Foot Arch Pain
The arches of your feet are a beautiful thing. They support the entire weight of the body when you walk or run, giving you the balance and flexibility to change direction on a dime, jump when you need to – and dance to your heart’s content!
To get anatomical, the arch itself is formed by the tarsal and metatarsal bones and is connected by ligaments and tendons – which give you a springy, strong trampoline for your body. Okay, maybe you already knew all that.
We want to share with you a few other interesting facts about your foot arches, things you may not have considered that could help you on your journey to maintain the health of your feet, or cure current foot pain that’s compromising the quality of your life.
There’s No Good or Bad Arch Type
Like most things in life, the world of foot arches is not black and white. People talk about flat feet like they are the root of all evil.
They’re not. High arches seem to be coveted for their aesthetic beauty, yet they can lead to just as many foot issues like flat feet, which can cause very tight calf muscles, and tight calf muscles are a main contributor to Plantar Fasciitis.
What matters is that you identify what type of arches you have so that you can act accordingly.
Low Arches – “Flat Feet”
This condition, also known as ‘pes planus’ means that your arch almost reaches the ground when you stand. You could be more susceptible to plantar fasciitis and there’s the potential for knee issues due to improper alignment. However, with the proper socks and supportive shoes, you can engage in vigorous high-impact sports just like everyone else.Flat feet can be hereditary, but can also develop due to injury, obesity, arthritis, a tight Achilles tendon, or stress on the arch of the foot, among many other causes.
Medium Arches
This describes most of the population who have a pronounced inverted C-shape facing the ground when they stand, but not so high that they can roll a pea underneath it.
This is the middle zone where any common foot problems may occur – heel pain, ball of the foot pain, and more. Typically, medium-arch folks are not told about the value of foot health and arch support because they don’t complain as much.
High Arches – “Cavus Foot”
With high arches, sometimes called ‘Cavus Foot’ your arch sits high off the ground and you can roll a pea underneath your foot as you stand. The challenge here is that your weight is distributed among fewer points of contact. So where the flat foot or medium arch will take some weight on the middle sections of the foot, high arch feet put all the pressure on the balls and heels of the feet. This can lead to foot pain in these areas including plantar fasciitis and heel spurs. It can also increase calluses on the heel and toes. But is this bad? No! You simply need to address your needs and find solutions accordingly.
What are the symptoms of plantar fasciitis?
Not properly supporting your arches can cause plantar fasciitis – inflammation of the plantar fascia ligament.
The plantar fascia is a band of tissue running from your heel bone to your toes. It supports the arch of your foot and works as a shock absorber.
Plantar fasciitis is often felt as heel pain, usually first thing in the morning. The main may dissipate after moving for a bit but return after long periods of standing or when you first stand after sitting.
You Can Identify Your Arch Type Through Scanning Technology
There’s a new state-of-the-art diagnostic technology available at our clinics that scans your feet with a cone-beam CT scanner. You place your feet into the scanner and, with very low radiation compared to other CT scans, you can get a clear 3D picture of precisely how your feet bear weight and how the bones relate to the soft tissue around them. This fuller picture is a huge improvement over regular X-rays, which cannot convey subtleties about your arch type.
This revolutionary CT scan technology has been a tremendous breakthrough for foot specialists because it can evaluate precise bone position as well as bone quality.
The CT scan machine makes it much easier to detect abnormalities such as arthritis or OM (osteomyelitis)—a bone or bone marrow infection that causes inflammation. Severe cases of OM can lead to limb loss, so early detection is paramount.
Besides detecting disease, the information gleaned from a 3D foot scan can give your podiatrist almost everything they need to know about how to treat your feet in terms of insoles, behavior changes, posture adjustments, and sock and shoe recommendations. The “pedCAT” imaging helps podiatrists and surgeons understand what’s going on with your feet in every way – a huge new development in the field.
Have you heard of pronation? It’s how your foot rolls when it’s in motion. Overpronation is when the medial foot bones rotate inward, causing a flattening effect on your arches. If you’re overpronating, the weight of your body presses your feet inward and you push off from your big toes while walking or running. Since this is more pressure than your toes can handle, they send the burden up the leg to your knees and even your back.
Overpronation often causes shin splints, too.
Underpronation and Supination
And what about underpronation or supination? This is the opposite effect, where the ankle doesn’t roll inward far enough to create an even distribution of weight. The outer edges of the feet take the burden, which puts you at a greater risk for falls while jogging or running. Why? Because the body is destabilized. Abnormal pressure on the ankles and toes can also extend up your legs, causing lower back pain and knee strain.
It’s happened to most of us. You’re minding your own business, maybe even just sleeping, when suddenly your foot spasms or cramps. It’s common, fixable, and often preventable!
Cramps in the arch of the foot can have many common causes:
- Dehydration. Your muscles and tissue need water to function properly. If you aren’t drinking enough water, your body lacks the resources to function correctly, making you more prone to cramping.

- Overexertion. Your muscles are more prone to cramping when you’ve been exercising harder or more often than usual. Overexertion is also responsible for other foot and arch problems. Overuse can result in inflammation of the plantar fascia (the band of tissue that supports your arches) and even flat feet.
- Bad shoes. If your shoes are too tight, they’re limiting circulation to the muscles of your foot. Without adequate blood flow, the muscles of the foot can cramp. High heels put more of your weight on the front of your foot and constrict your toes. Again, insufficient blood flow leads to cramping.
- Medication Side-Effects. Some medications, including diuretics and statins, can cause muscle cramps. If you’ve started having cramps in the arch of your foot or other muscles after starting a new medication, talk to your doctor.
- Not Stretching Enough. If you want your muscles and ligaments to stay strong and supple, you have to stretch.
Take some time each day to do some stretching exercises focusing on the ankles, heels, and bottom of the foot. This can help keep the plantar fascia and Achilles tendon loose and prevent cramping.
Another potential cause of arch pain is a nodule called “plantar fibroma” that forms in the plantar fascia. It can develop in either or both feet and is benign. But, it can grow in size and more than one may develop.
It’s unclear what causes this knot in the foot arch, but it is treatable. If you notice a firm lump in the arch of the foot that is painful when you push on it, it might be plantar fibroma. Your podiatrist can diagnose it by pressing on the affected area. An MRI or biopsy may be performed to aid in diagnosis.
Conservative treatments can relieve the pain, but will not remove the knot. Physical therapy and orthotics are two common treatment options to assist with the pain. A corticosteroid, such as cortisone, may be injected into the knot in your foot arch to shrink it and relieve the pain.
However, the knot may return to its original size.
What Can You Do About Ankle & Arch Conditions?
Ankle and arch pain is normally addressed with conservative treatments. Podiatrists recommend that you find comfortable shoes that have thick soles and good arch support. Underpronators should also consider wearing high-top sneakers to protect their ankles from rolling over.
And now there’s another option on the market to improve foot health – ArchTek® fashion support socks! A sock that grips around your mid-foot with therapeutic results is a practical, everyday addition to your foot health plan. Why not use all the tools in your arsenal and feel great when you walk?
Your podiatrist (also called a DPM) might also recommend orthotics or inserts to improve your shoes’ arch support. Your doctor can fit you for custom orthotics to address the specific needs of your arches, or you can pick up over-the-counter inserts for basic cushioning and support.
Another simple, conservative treatment your podiatrist might recommend is night splints. Night splints keep your foot at a 90-degree angle while you sleep, stretching the plantar fascia and Achilles tendon and providing foot pain relief.
If you experience chronic pain, more active treatment options are available. Over-the-counter anti-inflammatory medication can help relieve pain caused by an inflamed plantar fascia. More intense treatment includes directly injecting the plantar fascia with cortisone (an anti-inflammatory medicine) or platelet-rich plasma (prp). Platelet-rich plasma therapy takes plasma from your own blood and injects it into the plantar fascia, potentially speeding up the healing process.
If you’re experiencing and foot and ankle problems, we’re here to help. Our nationally recognized foot and ankle doctors offer the most advanced foot care and the highest success rates in the nation. We are leaders in the research and treatment of all foot and ankle conditions.
For more information or to schedule a consultation, please call (877) 736-6001 or make an appointment now.
At UFAI, we take our patients’ safety seriously. Our clinics’ and surgery centers’ Covid-19 patient safety procedures exceed all CDC recommendations. Masks are required in our institutes at all times.
We are conveniently located throughout Southern California and the Los Angeles area as our foot doctors are available at locations in or near: Santa Monica, Beverly Hills, West Los Angeles, Manhattan Beach, Northridge, Downtown Los Angeles, Westlake Village, Granada Hills, and Valencia, California.
As co-founder and co-director of University Foot and Ankle Institute, board-certified Dr. Gary Briskin began his medical training by serving a residency at Flint General Hospital in Michigan. Once completed, he established a practice in Century City Hospital, where he soon became chief of podiatric surgery.
Dr. Briskin is a Diplomat of the American Board of Podiatric Surgery and a Fellow of the American College of Foot and Ankle Surgeons.
He also serves as an assistant clinical professor at the UCLA School of Medicine.
Latest posts by Dr. Gary B. Briskin, DPM, FACFAS (see all)
Previous: First My Ankle Locks Up. Then It Gives Way. What’s Going On?
Next: Children, Sports, and Foot Injuries: Young Ankles Take a Beating as Sports Start Opening Up Again
Pain in Arch of Foot: Relief & Remedies
WHAT IS ARCH PAIN?
When looking at an adult foot from the inner side, you’ll usually notice an upward curve in the middle. This is called an arch. Tendons, which are the tight bands that attach at the heel and foot bones, form the arch. Several tendons in your foot and lower leg work together to form the arch in your foot. The arches are the primary structures of the body that absorb shocks when you are on your feet.
When the tendons all pull adequately, the foot forms a moderate, normal arch. When tendons do not pull together properly, there is little or no arch. This is called flat foot or fallen arch.
When our arches don’t effectively absorb the shock of our steps, this can result in painful or achy feet, especially heel and arch pain. Foot arch pain can often be made worse with long periods of standing or physical activity.
WHAT CAUSES FOOT ARCH PAIN?
Arch pain occurs due to weakened or strained ligaments associated with the bones in the arch of your foot. It is primarily caused by wearing shoes with inadequate support, standing or walking for long periods of time, or overuse of the feet during work or sports. Being overweight also places additional stress on the feet, especially the arches.
Pain in the arch of your foot can also happen because of a certain quirk in the way you walk or stand. If your feet don’t move in a straight enough line when you walk, for example, this can cause some muscles in your arches to work harder than the others, leading to pain.
There can be many other causes of arch pain. Direct injury, muscle strains, ligament sprains, tightness or lack of tightness of the joints in the foot are just some of the other possible causes of this pain.
HOW TO HELP PREVENT ARCH PAIN?
There are some steps you can take to help prevent pain in the arch of your foot. For example:
- Add insoles to your shoes for extra arch support, especially if your shoes come with a flat factory-made insole. Try Dr. Scholl’s inserts with reinforced arch support.
- Maintain a healthy weight
- Use supportive shoes, especially when exercising, to evenly distribute weight through your entire foot
HOW TO RELIEVE ARCH PAIN?
Home remedies and treatments for arch pain relief include:
- Resting to allow the tissues to heal themselves
- Applying ice to the area to relieve pain and reduce swelling
- Compression and elevation of your foot to help prevent any swelling
- Over-the-counter arch support insoles or orthotics can help relieve pain. Dr. Scholl’s Orthotics for Arch Pain are clinically proven to provide immediate and all-day relief from arch pain.
- Physical therapy may be useful for those with arch pain caused by overuse and strenuous physical activity
SHOP PRODUCTS FOR ARCH PAIN
Why Does the Inside of My Foot Hurt?
The inside of the foot refers to the inner edge of the foot, along the side of the big toe.
Pain in this area can be indicative of various foot conditions. Pain on the inside of the foot near the big toe may be caused by a bunion, a bony growth located at the base of the big toe joint. Pain along the inside arch of the foot may be due to a strain of the abductor hallucis muscle, which can be caused by a walking pattern in which the foot rolls inward too much. Pain in the middle of the foot could be due to a stress fracture of the navicular bone. If you are experiencing pain on the inside of your foot, it is recommended that you seek the care of a podiatrist who can diagnose and treat your condition.
Foot Pain
Foot pain can be extremely painful and debilitating. If you have a foot pain, consult with Afshin Javaherian, DPM from Dr. Java Foot & Ankle Clinic. Our doctor will assess your condition and provide you with quality foot and ankle treatment.
Causes
Foot pain is a very broad condition that could be caused by one or more ailments.
The most common include:
- Bunions
- Hammertoes
- Plantar Fasciitis
- Bone Spurs
- Corns
- Tarsal Tunnel Syndrome
- Ingrown Toenails
- Arthritis (such as Gout, Rheumatoid, and Osteoarthritis)
- Flat Feet
- Injury (from stress fractures, broken toe, foot, ankle, Achilles tendon ruptures, and sprains)
- And more
Diagnosis
To figure out the cause of foot pain, podiatrists utilize several different methods. This can range from simple visual inspections and sensation tests to X-rays and MRI scans. Prior medical history, family medical history, and any recent physical traumatic events will all be taken into consideration for a proper diagnosis.
Treatment
Treatment depends upon the cause of the foot pain. Whether it is resting, staying off the foot, or having surgery; podiatrists have a number of treatment options available for foot pain.
If you have any questions, please feel free to contact our office located in Los Angeles, CA .
We offer the newest diagnostic and treatment technologies for all your foot care needs.
Read more about Foot Pain
The challenge of managing mid-foot pain
Background
The mid–foot bears the unheralded and proud, but potentially onerous, task of converting lower limb, vertically oriented stresses into propulsive horizontal motion with the further challenges of speed and direction change over varying terrains. A complex interaction of bones, joints and connective tissues has been cleverly engineered to accommodate these demands. However, these entrusted tissues will encounter acute traumatic stresses or cumulative micro-stresses, leading to structural and functional deficits.
Objective
This article provides guidance in recognising and managing the key red flag conditions affecting the mid-foot region. Recent trends in imaging and medical management will also be outlined.
Discussion
With the exception of tibialis posterior dysfunction in the elderly, midfoot pain may not be a common presentation in general practice.
It is important, therefore, to have a scheme of assessment and awareness of possible causes. In particular, the red flags of navicular stress fracture and Lisfranc ligament disruption require careful consideration as delayed care can result in poor outcomes.
Overall in general practice presentations, acute and overuse mid-foot conditions may not be encountered frequently. Unfamiliarity arising from infrequent presentations adds to management difficulties in the primary care setting. However, there is a clustering of diagnoses occurring in the mid-foot region, including navicular bone stress, Lisfranc ligament disruption and tibialis posterior dysfunction, that require sound management. Delay in diagnosis has a potentially adverse impact on outcome.1 The aim of this article is to provide some guidance in recognising and managing red flag conditions in this region. Recent trends in imaging and medical management will be outlined.2
Anatomy
Figure 1. Bony anatomy of the foot – relationship of mid-foot bones to metatarsals and proximal tarsal bones |
Anatomically, the mid-foot is the region distal to the talus and calcaneus, and proximal to metatarsal bases (Figure 1).1 However, from a differential diagnosis assessment perspective, it is necessary to consider conditions of significance occurring at the margins of the more strictly applied anatomical boundaries. The main players include the navicular bone and the three cuneiform bones medially and the cuboid laterally, the proximal tarsal and the distal tarso-metatarsal joints, the ligaments, including the central (anterior cruciate ligament equivalent) first tarso-metatarsal ligament3 and medial spring ligament, tibialis anterior and posterior and peroneal tendons. Structures immediately adjacent include the bases of the metatarsals. Joint, bone and tendon insertion pathology, especially in the immature skeleton apophyses in these tissues, need to be included in the diagnostic mix of pain in the mid-foot region.
Together, these anatomical structures contribute to the integrity of the longitudinal and transverse arches of the foot, which are critical for shock absorption at foot strike (foot landing in supination), energy store in stance and propulsion at heel lift-off. Complex rotations and flexion-extensions fulfil these roles.
Clinical assessment
As in all areas of general practice, the approach to clinical assessment involves review in terms of what is likely in this person, at this age, in this region, doing this activity, and what must not be missed (red flags).
History in acute injury requires clarifying precise details of mechanism and subsequent functional deficit in terms of the ability to weight-bear, and swelling and bruising. In gradual-onset conditions, activity and loadings, progression and current functional limitations, and previous treatment are important.
Examination involves review of foot type biomechanically by observing foot posture on standing.
The range of mid-foot mobility provides a feel for stiffness or hypermobility. From a patho-anatomical diagnostic basis, careful systematic palpation, clarifying the site of tenderness is key to assessment of the likely pain generator. For traumatic presentations and severe swelling, it is important to assess neurovascular structures and the possibility of compartment syndrome.1 The key features to examine include mid-foot posture for pronation (Figure 2), mid-foot motion and stability (Figures 3, 4) and palpation of the navicular (Figure 5).
| Figure 2. Mid-foot posture pronation | Figure 3. Assessment of mid-foot motion – stabilising rear – foot and rotating forefoot | Figure 4. Assessment of mid-foot mobility, standing and walking posture, and ability to and quality of hop | Figure 5. Palpation of ‘N’ spot for navicular |
Imaging modalities
As a general rule, the clustering of small bones in this area can make the interpretation of plain X-ray more challenging; when considering conditions being screened for with imaging, there is a lower threshold for using further imaging modalities in mid-foot assessment.
Plain X-ray needs to be included in all trauma and overuse presentations.2 Ultrasonography in the absence of plain X-ray often misses important diagnostic clues. The traditional path of further imaging has been bone scans as a screen for bone stress and degeneration within mid-foot joints, further clarified in presence of increased isotope uptake with computed tomography (CT) scan.2 However, magnetic resonance imaging (MRI), if available, is the preferred modality, possibly supported by CT scans to further investigate bone pathology.2
Important conditions to consider
A number of important conditions in the mid-foot are due to chronic overuse rather than acute injury.
These are detailed by age and location in Table 1.
|
Age
|
Medial
|
Central
|
Lateral
|
|---|---|---|---|
|
Younger child
|
|
| |
|
Young adult
|
|
|
|
|
Older adult
|
| ||
|
*Bones adjacent to mid-foot to be considered in diagnostic assessment
| |||
Childhood
Medial
Accessory navicular
Figure 6. Medial tubercle of navicular |
As an anatomical variant, the medial process of the navicular can develop as a separate ossification centre (Figure 6). The medial fragment is attached to the remainder of the navicular by a fibrous union forming a synostosis that becomes increasingly stronger with skeletal maturity. In active young children this immature anatomy potentially leads to a locally tender prominence of the medial navicular tubercle from traction at insertion of the tibialis posterior.
Management of ‘accessory navicular’ includes an explanation that it usually improves over weeks to months, similarly to Osgood Schlatter Syndrome. Activity loads need be adjusted according to pain level (offloading cross training). Simple analgesics and regular ice are required. Podiatry review may be useful in optimising mid-foot support. Further offloading with fracture boots, such as Cam walkers, or crutches is rarely required.
Central
Kohler’s osteochondrosis
This is an uncommon condition presenting in early childhood (4–9 years) as medial dorsal mid-foot pain, possible limp and local tenderness.
The natural history is full improvement over months with attempted activity modification in interim.
Lateral
Traction apophysitis at the base of the 5th metatarsal
Pain in the lateral mid-foot, and swelling and tenderness at base of the 5th metatarsal can be quite troublesome in active children (10–13 years) and overload the maturing apophysis at this site. Improvement generally occurs with modified loads and only occasionally is there a need for more restrictive offloading using a Cam walker.
Young adult
Medial
Accessory navicular
Older patients (14–24 years) may present with localised pain, medial navicular prominence or tenderness medially. Diagnosis can be confirmed on plain X-ray or with MRI if uncertainty persists. Although the underlying anatomy will have been present long term, there must have been occasional instances of overload, placing stress on the synostosis between the two navicular fragments and causing pain.
Management is to offload in the short term, support the medial mid-foot (podiatry input) and use analgesics and anti-inflammatory medication. Occasionally, corticosteroid injection into the synostosis under ultrasonography guidance may be required. Surgical excision of the accessory ossicle is rarely warranted.
Central
Navicular bone stress
A case illustrating management is presented at the end of this article.
Bone stress to the cuboid and to each of the three cuneiform bones is uncommon. These structures present with local pain and tenderness, and MRI can be useful in diagnosis. Management requires off-loading with crutches and possibly Cam Walker.
Bone stress at the base of the second metatarsal
A classical ballet dancer may develop bone stress at the base of the second metatarsal. This is an uncommon injury that is associated with ‘dance en pointe’ and presents with mid-foot pain and tenderness. It is another red flag in general practice presentations.
MRI is required for diagnosis and to exclude the possibility of tarso-metatarsal synovitis occurring at this site. Referral is appropriate.
Lateral
Accessory cuboid-os peroneum
| Figure 7. Site of the cuboid/peroneus longus tendon immediately proximal to base of fifth metatarsal |
The peroneus longus and brevis tendons pass posterior to the lateral ankle and along the lateral rear foot. The peroneus brevis inserts into the base of the fifth metatarsal and the peroneus longus courses into the plantar mid-foot, wrapping around the lateral cuboid (Figure 7). At this point there may be an ossicle within the tendon. Friction and traction can lead to pain and local tenderness.
The ossicle will be readily apparent on plain X-ray. Management includes modified loading, anti-inflammatory measures, podiatry review and, in more refractory cases, referral for consideration of corticosteroid injection.
Bone stress at the base of the fifth metatarsal
Bone stress in the metaphyseal–diaphyseal junction at the base of fifth metatarsal is an important differential diagnosis in lateral mid-foot pain in young running athletes, although metaphyseal–diaphyseal junction is not anatomically part of the mid-foot. It is a stress fracture that can readily become a completed fracture or can go on to delayed/non-union2 and recurrence. It is often apparent on plain X-ray, which should be primary imaging.2 It requires orthopaedic referral for management (surgical versus conservative care) advice as it can, like the navicular bone, have an uncertain outcome.2
Older adults
Tendon pathology
Tibialis posterior insertional tendon pathology (enthesopathy) is not an uncommon foot presentation in general practice and can be a major source of pain and disability in the older adults (mid 40s and older).
Tibialis anterior
This is a common site of low shin soreness and crepitus in a regular walker.
As the muscle becomes tendon in the anterior lower leg, the tendon courses anterior to the ankle to insert into the more medial mid-foot rather than the more intuitive dorsal mid-foot.
Tibialis anterior enthesopathy presents as pain, local swelling and tenderness in the dorsal and medial mid-foot. Tendon rupture tends to occur more at the level of the ankle synovial sheath and extensor retinaculum, but soreness in this medial mid-foot insertion can be persistent and frustrating. Appropriate management include modified loading with alternate aerobic activity, anti-inflammatory measures, podiatry review and referral for more persistent cases. Footwear can often have a significant impact on the progression of tibialis anterior enthesopathy, and friction and compression from shoes can exacerbate any symptoms. The removal of these forms of stress, as well as isometric exercises, can quickly improve pain.
Tibialis posterior
The tibialis posterior tendon passes postero-medial to the ankle to its insertion on the medial tubercle of the navicular and is a critical contributor to the integrity of the medial foot and longitudinal arch.
Overload of this complex leads to mid-stance excess pronation of the medial ankle and mid-foot, and to a self-perpetuating tissue failure and medial ankle and mid-foot collapse (tibialis posterior dysfunction). For both tendons, ultrasonography is used for diagnosis, although standing, weight-bearing X-ray is indicated to assess the degree of talar subluxation.
Tibialis posterior tenosynovitis can cause postero-medial ankle pain and swelling, but tibialis posterior enthesopathy presents in patients with more severe pronation with medial mid-foot pain and swelling in the region of the medial navicular. A clue to rupture of the tendon is failure of the rear foot, viewed from behind, to invert in comparison with other side. This condition can cause severe morbidity in the elderly and requires sound care.
Anti-inflammatory agents are important, but a more formal podiatry review of mid-foot posture and mobility, and footwear is critical to arrest the medial mid-foot collapse that otherwise will perseverate the process.
Often the biomechanics of the foot are influenced by other variables such as ankle joint dorsiflexion range of motion. Improvement of this, as well as controlling how the foot is moving with the use of an orthoses, can be effective in treating pain. Reconstructive surgery, may be required for refractory pain and collapse. Although such surgery is a major procedure, it can be life-changing by restoring function and independence, and alleviating pain.
Central foot
Synovitis/steoarthritis mid-foot
Progressive degeneration from early symptomatic chondrosis and synovitis to established osteoarthritis can occur at talo-navicula joint and tarso-metatarsal joints, especially the first, and presents with local pain and tenderness, bony osteophyte prominence and irritable loss of mid-foot motion on clinical testing compared to opposite foot.
Plain X-ray may be diagnostic, although CT scans or MRI may be required.
Podiatry review of foot mechanics and footwear are critical to support the mid-foot and maximise weight-loading through the foot away from irritable joints.
More protracted extreme disability may require surgery.
Trauma
Fractures
Fractures in the mid-foot are uncommon and are usually caused by high-velocity motor vehicle or crush injuries. Inability to weight-bear, marked swelling and bruising warrant assessment with X-ray, CT scans and orthopaedic review.
Fracture sprains
1
Ankle and foot sprains are common presentations in general practice but often there is uncertainty as to the degree and duration of offloading support required.
Higher-grade ankle and mid-foot sprains can be associated with bony avulsion flake fractures at the site of ligament attachment. Examples include flake fractures of the cuboid at the calcaneo-cuboid ligament, avulsion of the calcaneus anterior process at the calcaneo-navicular ligament, forced plantar flexion incident at the dorsal talo-navicular ligament (dorsum of talus head) and avulsion at the base of the fifth metatarsal, which can occur by clipping a heel on step or stepping from the gutter.
The clue is pain more distal to the ankle, where the patient points to their most painful site, and exquisite focal tenderness at this point. The fractures are visible on plain X-ray. As for a ligament injury, these fractures can be treated in a supportive manner with weight-bearing between crutches or using a Cam walker, guided by pain and adopting RICE
(rest, ice, compression, elevation) modalities, physiotherapy care and graded activity progress guided by comfort and confidence and tape support. While more aggressive off-loading1 with plaster or Cam-walker immobilisation is more intuitive, this may produce morbidity and hence physiotherapy review to supervise strengthening and load resumption and manual therapy is critical to prevent joint stiffness, osteopenia and weakness.
Ligament strains
Lisfranc ligament disruption3
| Figure 8. Site of the Lisfranc ligament – base of the first and second metatarsals |
This condition is a red flag presentation in general practice.
The Lisfranc ligament complex stabilises the medial cuneiform-second metatarsal joint and so stabilises the peak of the longitudinal and transverse arches of the mid-foot. It is integral to mid-foot structure and function. Surface anatomy is illustrated in Figure 8.
Rupture of the ligament leads to separation of the first and second metatarsals, leading to instability, and is the basis for imaging diagnostic abnormalities. Injury follows a high-grade strain event such as hyperextension of the mid-foot when a footballer is run down from behind and the forefoot is dragged into hyperflexion, or walking by down stairs, clipping the toe and collapsing over the forefoot, leading to marked acute or ongoing disability and local tenderness in region of the base of the second metatarsal.
These injuries can be diagnosed by imaging with plain X-ray, including comparison of weight-bearing views looking for flake fractures and any obvious widening of the gap between the medial cuneiform and second metatarsals.
If plain film does not give a clear diagnosis, further imaging may be required (eg CT scans for separation and avulsion, or MRI for ligament disruption).3
Management includes the use of crutches or a Cam walker to reduce loading, pending review by an orthopaedic foot and ankle surgeon3 for decision on the treatment required (surgical or non-surgical), subject to the degree of instability shown on imaging.
Case
Navicular bone stress
An Australian Rules footballer, aged 23 years, with a past history of navicular stress fracture, which was managed with screw fixation, presented with increasing dorsal mid-foot soreness in the other foot. At examination, there was pain with hopping, pointing to the dorsal mid-foot – the ‘N’ spot –and the site of bone stress.2 MRI confirmed navicular bone oedema (Figure 9) and a CT scan showed a fracture line in the mid-dorsal navicular in the sagittal plane (Figure 10).
The fracture was managed non-surgically with a 6-week period of non-weight-bearing using a Cam walker, followed by weeks of partial and 2 weeks of full weight-bearing.
Subsequent surveillance imaging by CT showed fracture healing (Figure 11). A program of graded walking, running and skill progression preceded a return to full training 15 weeks after the injury. However dorsal rear foot pain recurred within 2 months of return to play and imaging showed recurrence of the stress fracture, which was treated with percutaneous screw fixation (Figure 12).
Subsequently, a delayed and full return to competition was achieved.
This case highlights the difficulties and controversies in managing injuries to this bone,2 and the importance of suspicion in active young adults with local ‘N spot tenderness’ as a red flag, organising adequate imaging and obtaining guidance from an orthopaedic foot and ankle surgeon to plan management.
| Figure 9. MRI sagittal scan showing Figure 12. Post-operative CT scan the high signal in navicular | Figure 10. CT scan showing the dorsal mid-navicular fracture line | Figure 11. CT scan 2 months after return to play | Figure 12. Post-operative CT scan |
Summary
With the exception of tibialis posterior dysfunction in the elderly, mid-foot pain may not be a common presentation in general practice. It is important, therefore, to have a scheme for assessment and an awareness of the possible causes, particularly the red flags of navicular stress fracture and Lisfranc ligament disruption, as delayed care can result in poor outcomes.
Competing interests: None.
Provenance and peer review: Commissioned, externally peer reviewed.
Resources
- Kitaoka HB, Lundberg A, Luo ZP, An KN. Kinematics of the normal arch of the foot and ankle under physiologic loading. Foot Ankle Int 1995:16:492–99.
- Haytmanek CT Jr, Clanton TO.
Ligamentous Lisfranc Injuries in the Athlete. Oper Tech Sports Med 2014;22:313–20. - Gross CE, Nunley JA. Medial-sided stress fractures: medial malleolus and navicular stress fractures. Oper Tech Sports Med 2014;22:296–304.
Foot, heel hurts
The foot, like the hand, has a complex structure. It is formed by 26 different bones,
which are connected by numerous joints and ligaments. The bones of the foot provide
mitigation of sharp loads on the joints of the legs, pelvis due to the presence of a vault. The complexity of the structure and
constant load creates conditions for the development of various diseases of the joints, ligaments,
bones of the foot.Hypothermia of the legs, sports and household injuries, other factors
increased load can cause discomfort and pain in the foot and heel.
One of the most common causes of foot pain is trauma. Contusion, dislocation of the joint, fracture of the bones of the foot
cause severe pain, limitation of movement, swelling of the foot.
In such cases, referring to
we are not late to the doctor. But there are many other causes of pain that are not initially
seem so meaningful.Foot pain can develop gradually, almost imperceptibly with
flat feet, osteoporosis, gout, rheumatoid arthritis. Varicose veins disease, phlebitis,
obliterating endarteritis can cause pain in the legs at an early and later stage.
Tolerable pain becomes constant and acute over time, can significantly limit
the ability to move.
Often the pain is localized in the heel area.The so-called “heel spur”, “plantar
fasciitis “occur more often against the background of flat feet. Flattening of the arch of the foot and overexertion
the plantar fascia, which is attached to the calcaneus, irritates both the
fascia and calcaneus, pain in the heel appears. Over time, when walking, pain in
heel are exacerbated by the developing “heel spur”.
Heel spur treatment requires
time and patience.
At the Eleos clinic, qualified specialists will diagnose the cause of pain in
the foot and heel, effective treatment will be prescribed. Physiotherapy specialists
departments, physiotherapy exercises, massage, acupuncture and other non-traditional
treatment methods will help reduce pain in the foot and heel and prevent
repeated exacerbation.
90,000 Life without “bones” of the legs – Medcentras.lt
Photo: shopclues.com
Curved big toes or, as they are called, “bones” or “bumps”, not only spoil the appearance, but also interfere with walking, cause constant pain. This problem mainly occurs in women, but sometimes men also suffer from it.
It is possible to get rid of foot problems in the Medical Diagnostic and Treatment Center, which is located in Vilnius, on the street.V. Gribot.
What is “bone” ?
What is commonly called a “bone” on the big toe, in scientific language sounds like a hallux valgus .
When the big toe is curved to the inside, an angle is formed with the first metatarsal towards the other toes. In fact, there is no “bone” or “bump” – it only seems so. If you do not immediately pay attention to the problem, then the situation will only worsen over time and the “bone” will stick out more and more.Unfortunately, the “bone” is not only a cosmetic defect and creates incredible difficulties when choosing shoes, but also brings a lot of unpleasant sensations and restrictions.
In the early stages of the development of the “bone” in the area of the base of the thumb, redness and swelling appear. These symptoms do not go away on their own and it is at this stage of the disease that you need to see a doctor. In the absence of proper therapy and prevention, the disease progresses, and a person develops a aching pain, which becomes completely unbearable when walking, and in very run-down cases even at rest.
Stages of hallux valgus:
- I – the thumb is displaced by 10-20 degrees, the patient has only aesthetic problems;
- II – the thumb is displaced by 20-30 degrees, the lump hurts only after a long walk;
- III – the thumb is shifted by 30-50 degrees, the bump interferes with walking and can hurt even at rest, it becomes more and more difficult to choose shoes;
- IV – the thumb is displaced by more than 50 degrees, pain and inflammation become constant, curvature is also observed on other fingers.

When do the big toes bend?
“Bones” on the legs can develop due to many reasons and predisposing factors. The most common cause of such a problem is improperly selected shoes: high-heeled shoes with a narrow toe, which especially injures the joint of the foot. when walking, the entire body weight falls on the toe, and the fingers are compressed.
Not the last role is assigned to heredity. People with flat feet, wide feet, or low arches are more likely to have bone problems.
Foot injuries, overweight, hormonal disorders (during puberty, pregnancy, lactation and menopause) can lead to the appearance of “bones”.
Mainly older people suffer from “bones”, as their thumb joint and protective cartilage are more susceptible to arthritis than in young people.
Conservative treatment
Treatment of the disease depends on the severity of the deformity and the intensity of the pain. Bones on the legs can be concomitant diseases of arthritis, gout and other joint diseases.
Therefore, when the first signs of deformity appear, you should not self-medicate, but consult an orthopedist as soon as possible in order to avoid the progression of the disease. “Bones” that are not treated in time cause even more pain, deformation of other fingers and even the entire foot.
To relieve minor pain and inflammation, nonsteroidal anti-inflammatory drugs, physiotherapeutic procedures, gymnastics are prescribed, special shoe insoles are used that correct foot movements and relieve pain.
How to remove an “ugly” growth
The operation is recommended if treatment with medications and procedures does not bring the desired effect or if the deformation has gone too far. In most patients, after surgery, the deformity, and with it, the pain disappears.
Before the operation, the foot is examined, an X-ray is taken, the angle formed by the bones of the foot is measured, and the degree of deformity is determined. Based on these studies, the type of operation is selected.
- In case of slight deformity hallux valgus orthopedist removes bone growths, and also performs plastic surgery of the tendons and ligaments around the joint.
- In the treatment of moderate deformity hallux valgus , the doctor removes the bone growth, returns the bone to the correct position, and performs plastic surgery of the tendons and ligaments around the joint.
- In severe deformity, radical intervention is required – the surgeon removes bone growths and part of the bone, returns the bone to the correct position and fixes it with metal structures, performs plastic surgery of the tendons and ligaments.
- If the joint is severely damaged, additional soft tissue plastics or joint arthroplasty may be used.
As a rule, the operation is performed on one foot, the second is recommended to be operated after 4-6 months. After the operation, a bandage is applied to the leg, and special shoes are selected for the patient for 3-6 weeks.
Physical activity is limited for another 8-12 weeks.
In cases of moderate and extreme severity, a plaster cast is applied for 4-6 weeks after the operation.It is recommended to use crutches when walking to avoid leaning on the operated leg. In the postoperative period, it is very important to follow the prescribed regimen and develop the thumb. 10-12 days after the operation, when the incision heals, you need to start doing exercises.
The effectiveness of surgical methods
About 85% of patients are satisfied with the result, only a small part complain that after the operation the thumb mobility is reduced.There are cases when the finger returns to the previous position of the “bone”, then, alas, a second operation is necessary.
With a correctly performed operation, correct management of the postoperative period and strict adherence by the patient to all prescriptions and doctor’s recommendations, there are no complications and the likelihood of recurrence is minimal.
It is better for the patient to be examined, operated on and consulted in the postoperative period by the same doctor, as is the case at the Medical Diagnostic and Treatment Center.Strictly following all the surgeon’s recommendations after the operation, the patient can enjoy the beauty of his legs, forgetting about the suffering that the “bones” brought them.
Consultations and operations are carried out by the head of the Center for Orthopedics and Traumatology, doctor D. Rimas and doctor V. Navikas.
Related links:
- Pain and numbness in fingers – symptoms of serious illness
minor illnesses – DrLuigi
DIGITUS MALLEUS / HAMMER TOE
Deformity of the toe in the joint closer to the tip of the toe with a curved part in the shape of a hammer.Most often it develops on the second and third toes. Forms a painful lump on the tip of the toe along the top of the nail. The deformation often causes the shoe to rub against the skin, resulting in callus formation.
Calluses can be removed during a pedicure, but nevertheless, calluses will form as long as deformation is present. The most common cause of the formation is deformity of the transverse arch of the foot, which can be successfully treated with surgery.
DIGITUS FLEXUS / CLAW FINGER
Deformation of the fingers in the joint, the fingers are bent towards the foot.On a crooked toe, over time, above the joint, reddening of the skin first appears due to the pressure of the shoes, and then hardening of the skin as the beginning of the formation of a wart. In a crooked toe, a dislocation of the main phalanx often occurs, which leads to increased pressure on the joint itself from the side of the sole and a painful induration and hardening of the skin may appear. A deformed toe can only be healed with surgery.
HALLUS RIGIDUS / RIGID FIRST TOE
The “fixed toe” is characterized by changes in the first metatarsophalangeal joint, accompanied by pain and limited mobility and flexion.
In young people, the disease is a consequence of a violation of ossification in the head of the first joint. In adults, the disease is caused by degenerative changes in movement in the metatarsophalangeal joint, i.e. it becomes rigid, “frozen”. The thumb is usually flattened, phalangeal flexion is markedly reduced, and plantar flexion is maintained. The disease has signs of classic osteoarthritis, such as narrowing of the joint space and the formation of osteophytes. The thumb is thickened at the first metatarsophalangeal joint due to arthritic changes.People with hallux rigidus often walk along the outer edge of the foot due to pain when walking, which is noticeable on the shoes.
HALLUX VALGUS
Toe valgus is the most common deformity of the foot. This is a curvature of the thumb to the side and the formation of painful bony protrusions on the inner side of the base of the thumb.
Congenital or over time increased flexibility of the first metatarsophalangeal joint is one of the causes of hallux valgus.
In this case, the first metatarsal bone is under pressure, moves away from the other bones and lifts, leaving its original position of the lower part of the foot. Thus, the anterior arch of the foot, which is the basis of the first metatarsal bone, “collapses”.
SEZAMOIDITIS
The sesamoid bones are located on the plantar inner and outer sides of the first metatarsophalangeal joint, inside the tendons.Their function is to protect the tendons and increase the mechanical effect.
Sezamoiditis indicates inflammation of the sesamoid bones. The most common symptoms are: pain in the plantar surface of the head of the first metatarsal bone, which increases with walking and wearing narrow shoes, redness, swelling, and numbness in the forefoot. Running, walking, and sports that often involve the forefoot, such as tennis and basketball, can cause bone fractures.
MORTON’S DISEASE
Morton’s disease is caused by pressure on a nerve in the third intermetatarsal space and interestingly, it was first described by Morton back in 1876.
Most often, the nerve that passes through III is affected. metatarsal space (the space between the head III. and IV. metatarsal bone), and less often the nerves that pass through II. or IV. metatarsal space.
The onset of Morton’s metatarsalgia is commonly associated with the wearing of shoes, and primarily with high heels and tight forefoot shoes. In addition, movements that lead to excessive stretching of the fingers, the so-called overextension of the fingers (for example, in sprinting and running uphill, as well as in some professions that require frequent squatting), leads to a narrowing of the metatarsal gap, and as a result, a decrease in the space of the nerve and an increase in pressure on it, causing the appearance of swelling of the nerve, thus, the nerve becomes thicker, then it is damaged and chronic thickening is formed.
FLAT FEET
Flat feet are characterized as partial or complete loss of the inner longitudinal arch of the foot, which is present after the end of growth and development.
Flat feet in adulthood can be detected incidentally on clinical examination, but can be present as a symptomatic condition, ranging from minor irritations to serious disorders that significantly reduce quality of life.The causes of flat feet in adults are different and include disorders of the tendon of the tibial posterior muscle, fusion of the tarsal bones, various post-traumatic and inflammatory processes (rheumatoid arthritis, seronegative spondyloarthropathies) and neuromuscular pathologies such as diabetes or Charcot’s feet. In the muscles of the foot and lower leg, cramps and fatigue occur, pains in the ankle joints appear as a result of deformation of the direction.
PLANT FASCIITIS
Plantar fasciitis manifests itself as pain in the lower part of the calcaneus, and occurs as a result of accumulated microdamage, causing a decrease (degeneration) of collagen fibers of the fascia at the base of the calcaneus, is one of the group of known defects called overexertion syndrome (eng.
overuse injuries).
Plantar fasciitis is located under the skin on the leg and is separated from it by a layer of fat (on the heel, the fatty tissue is thicker and more by two centimeters), and consists of three parts: middle, medial and lateral. The middle part is the most important, strong triangular tendon, which starts at the lateral calcaneus (Latin os calcaneus) and points forward.
The main symptom is pain at the starting point of the plantar fascia at the calcaneus. Sometimes pain can spread to the inside of the foot (along the longitudinal arch of the foot), while swelling is rarely found.Characterized by the appearance of severe morning pain in the heel when getting out of bed, which disappear after a dozen steps.
TENDINITIS OF ACHILLIAN TENDON
Achilles tendon (Latin tendo Achillis) is the final part of the triceps muscle of the leg (Latin m. Triceps surae) and joins the lower half of the posterior part of the calcaneus (Latin.
It is the strongest tendon in the human body, with a length of five to six centimeters and a thickness of five to six millimeters.
The appearance of Achilles tendinosis occurs under the action of force on the Achilles tendon when walking and / or running, which increases under the influence of some predisposing factors – anatomical abnormalities of the leg (for example, flat feet), excessive pronation of the foot when walking and / or jogging, disproportion between strength and flexibility of the muscles that form the Achilles tendon, age (with age, the elasticity of the tendons decreases).
The main symptom is pain, which is localized 2-5 cm above the tendon in the calcaneus, and which is characteristically activity-related and therefore pain appears at the onset of activity, decreases during activity, and increases after activity.Another common symptom is morning pain and stiffness in the upper ankle, which disappears after the first few steps. In some cases, especially those that started suddenly, patients complain of creaking along the tendon.
CHRONIC INSTABILITY OF THE ANKLE JOINT
Most ankle sprains are inverted.When the patient stretches the ankle, the sole is rotated towards the other leg, and the outside of the foot is directed towards the ground. In more rare cases, the leg may turn the other way. These excessive and abrupt movements will pull and act on the ligaments with great force. Despite the strong ligaments, this will be enough to damage them. The ligaments will stretch, partially or completely torn, their apex may be pulled out of the bone, or even part of the bone may be torn.
After injury, swelling and pain appears on the outside of the ankle and foot.There bruising and discoloration of the skin to a blue-green tint are formed. The pain spreads from the bone to the outside of the ankle, to the ligaments and tendons to the lateral side of the ankle. In this condition, the patient must constantly monitor his walking, there may be a sensation that the ankle is tucking back, and this can be described as an “unstable joint”, which can lead to chronic pain in the ankle joint.
A well-known orthopedist told about the intricacies of choosing shoes – Rossiyskaya Gazeta
The older I get, the more often I pay attention to my gait.Frankly, I envy those who walk easily on stiletto heels. But from the point of view of an orthopedist, head of the traumatology department of the First City Hospital in Moscow, Gleb Korobushkin, with whom we are talking today, this is not indifferent to health.
Gleb Vladimirovich, would you agree that a woman in high heels looks spectacular? This is a tribute to fashion and not every woman in high heels is comfortable. And if not for fashion?
Gleb Korobushkin: Let’s step aside from fashion a little and talk about our shoes from the point of view of an orthopedist.Although I will not hide the fact that there is something to see when there is a short skirt and high heels. But if the length of the skirt does not matter for health, then the height of the heel is far from being indifferent. And in general, our gait, the condition of the joints of the legs, the spine directly depend on what kind of shoes we wear, and from early childhood. The first shoes for a child taking the first steps must meet hygienic requirements.
State requirement? Agree. But this does not make it less important. The kid hasn’t gone yet.We are just putting him on the floor, he is still swinging, not firmly on his feet, but his shoes should have a solid back and heel. Shoes for a baby – and not only for a baby – should be individual. After all, it often happens like this: from the older sister, the shoes go to the younger brother. Although they are related, they have different legs and different biomechanics. And this must be taken into account when choosing shoes. We must also remember about congenital diseases of the feet, legs, spine. Timely detected clubfoot is successfully treated by pediatric orthopedists.Another problem in children is flat feet, which can progress with the wrong choice of shoes. This is common, and it is unrealistic to eliminate flat feet. It is no coincidence that severe forms of flat feet are not taken into the army. And in especially difficult cases, we are forced to operate on them.
Does a medium or high heel prevent flat feet?
Gleb Korobushkin : Flat feet are manifested by the expansion of the foot, a decrease in the arch, and a deviation of the heel outward. The shin rotates.The curvature of the legs is visually emphasized. When a woman stands on medium or high heels, all these changes are compensated. But the load on the forefoot immediately increases. And now a bone grows, which presses and hurts, the whole foot begins to deform, one finger overlaps the other and there can be no question of any flying gait.
Does it matter at what age women begin to wear a heel, especially a “stiletto heel”?
Gleb Korobushkin: Of course.The earlier and more the load on the foot arises, the faster the deformations of the foot begin. I have not seen athletes of age who would have avoided problems with their feet, joints, spine. Nature is vengeful …
Studs and ice are not compatible. Now to the yard shoes with a protector, with a small heel or platform
But what should be done so that nature does not take revenge so cruelly?
Gleb Korobushkin: My answer is banal. Try to help nature.How? Each age has its own shoes. In childhood, do not wear slippers without a heel and without a heel. In adolescence, do not rush to stand on a high heel, especially a stiletto heel. It is very important to have removable shoes, you do not need to walk only in high heels all day, give your feet shoes with medium, stable heels. By the end of the working day, a person gets tired, of course, his legs get tired, do not load them, give them a rest. We, traumatologists-orthopedists, are well aware that it is in the evening that people often “tuck” their legs.
What about indoor shoes?
Gleb Korobushkin: It should support the arch of the foot, fix its back section. In no case should it be flat.
What is your attitude to sneakers?
Gleb Korobushkin: Sneakers must be correctly selected. Most modern good running shoes have an instep support and they take the load off the foot and therefore allow the foot to recover.
And the sneakers?
Gleb Korobushkin: Keds are the complete opposite. With all the ensuing consequences.
Gleb Vladimirovich! How do podiatrists feel about shoes on high platforms?
Gleb Korobushkin : It’s hard to run away from fashion! But it is even more difficult to escape from injuries in such shoes! Just don’t think of me as a retrograde. High heels, platform – beautiful, but healthy legs are even more beautiful.
Many people will think that heel height and sole type are only important for women.Is it easier for men?
Gleb Korobushkin: To some extent, yes. We don’t fall prey to hairpins. You may be surprised by my answer. One of the first professors at the medical institute was Vladislav Vasilievich Kulikov. I remembered not only the brilliant lectures, but the excellent posture and straight back. He always wore shoes with small heels acceptable for a man!
What kind of shoes do you wear? What shoes do you wear to the operating table!
Gleb Korobushkin : Operations sometimes last for hours.In the last few years, I have preferred one of the popular brands of comfortable operating shoes – they are comfortable and easy to handle. In the department I prefer orthopedic slippers that support the arch of the foot.
What should you wear for varicose veins? With cardiovascular diseases, joint diseases, overweight?
Gleb Korobushkin: There is a definite answer. Shoes should be comfortable, with low heels, not squeezing or chafing the skin.It’s good that in recent years, narrow-nosed shoes have become less fashionable.
We are talking with you at the end of autumn, winter is ahead, slippery sidewalks. Choose shoes for the season. Studs and ice are not compatible! At this time, winter shoes with a protector, with a small heel or a small platform, go to the yard.
bump on the arch of the foot Treatment
bump on the arch of the foot Treatment
bump on the arch of the foot Treatment
>>> GO TO OFFICIAL SITE >>>
What is a bump on the arch of the foot treated?
MagnetFix is designed to correct and prevent a bump protruding on the leg, which many women consider a common unpleasant defect.Yes, yes, it is women, since according to statistics, the fair sex is most often faced with this unpleasant problem due to the peculiarity of their musculo-ligamentous apparatus – it is much more elastic than that of men. So the love for high heels and stiletto heels is worth a lot, since the foot, being subjected to constant stress, begins to deform over time.
Effect of a bump on the arch of the foot Treatment
There is nothing complicated in the instructions for use – just put on the MagnetFiix and fix it, it is recommended to wear it daily for 30 days.The tool is effective for the treatment of hallux valgus of the foot at any stage, the price of the drug also differs from analogues. It is much lower, which makes buyers very happy. The attached magnets relieve inflammation in a short time, gently soothe the skin, promote rapid regeneration, help dissolve salt build-ups and eliminate bumps.
Expert opinion
With the help of a magnetic valgus splint, it was possible to correct the foot and remove a bump on the big toe.Of course, this is not done all at once. I got MagnetFix about four months ago. Worn only at home, it fixes securely and the leg is comfortable. Everything is thought out to the smallest detail, the material is comfortable. Now there is no pain or discomfort. And there is no harm after wearing.
How to order
In order to place an order for a bump on the arch of the foot treatment, you must leave your contact information on the site. The operator will contact you within 15 minutes. Will clarify all the details with you and we will send your order.In 3-10 days you will receive the parcel and pay for it upon receipt.
Customer Reviews:
Tata
The result from wearing a valgus splint did not appear immediately. The pain went away first. After a month, the fingers became smoother, in their places (before that, the thumb was going to crawl under the middle one). For two months I did not see any changes in the bone, but I wore a splint. Then it decreased somehow sharply. For 4 months, the bone did not completely go away, but it became much smaller, it does not hurt, the fingers are smoother.I recommend to everyone.
Katyusha
MagnetFix is an innovation, complete relief from pain and protruding bone without surgery or medication. Corrects the shape of the foot, eliminates its curvature, relieves inflammation, and helps to soften cartilaginous growths.
Wearing the MagnetFix corrective splint, unlike many other similar means, solves the problem not only with the development of foot deformity, but also contributes to the treatment of transverse flat feet.And this is a very important point, since most often it is flat feet that contributes to the appearance and development of curvature in the leg. Where to buy a bump on the arch of the foot treatment? With the help of a magnetic valgus splint, it was possible to correct the foot and remove a bump on the big toe. Of course, this is not done all at once. I got MagnetFix about four months ago. Worn only at home, it fixes securely and the leg is comfortable. Everything is thought out to the smallest detail, the material is comfortable. Now there is no pain or discomfort. And there is no harm after wearing.
With timely diagnosis, the lump on the foot is treatable. Let’s talk about the causes of pathology, diagnosis. If the lump is localized on the foot from above, on the arch, then it is probably a hygroma. It pops up due to injuries, increased stress on the foot. Lump on the back in the area. Lumps that appear on the foot can be of different etiology. To identify a specific disease that led to. The classification of cones is quite extensive. Treatment of the disease is prescribed by a doctor, based on the clinical one.Most often, bumps grow on the legs on the instep of the foot. This is due to the fact that there are no tendons between the first and second phalanges of the fingers – this is the most vulnerable place of our foot. Possible causes of bumps on the leg (where the instep is): Uncomfortable shoes. This primarily applies to women. Treatment of cones with medicines, folk remedies, surgery. … A bump on the foot occurs for various reasons and is. Most often, such neoplasms occur on the fingers, sole, and arch of the foot.Bumps on the feet are enlarged bones located on the foot. They are even visible visually. Such formations can be bone growth or tissue compaction. A bump on the foot is not only a cosmetic defect, but also a serious reason to consult an orthopedic specialist. Surgical treatment of bumps on the legs. Prevention of the formation of bumps on the toes. … The longitudinal arches of the foot diverge from one point on the calcaneus up and forward along a convex radius to the heads of the metatarsal bones.Everyone can be convinced by looking at their own foot that p. A seal has formed on the sole of the foot and it is painful to step on: causes of occurrence, therapeutic course, preventive measures against the appearance of bumps on the foot. Outwardly, an increase in the width of the foot in the anterior section, the disappearance of the transverse arch is noticeable. … As soon as a bump appears on the foot, it is necessary to be examined by a doctor. The earlier the treatment is started, the greater the opportunity to stop the deformation and return the ability to move normally.The surgeon’s response to treatment is a neoplasm (lump) on the outside of the foot. … Hello Two weeks ago I noticed a small bump on my right foot. I was worried only recently. Consultation on the topic – Painful induration on the arch of the foot – Good afternoon! … Interferes with walking. Two days before the appearance of the seal, the leg in this place began to hurt. Last winter there was the same situation, three or four weeks have passed. Tell me, which specialist should I contact? Lumps on the toes can also form due to degenerative changes in the joints.In such cases, osteophytes develop, which are most often localized on the arch of the foot. The problem is provoked by bursitis and arthritis. With a hygroma, non-painful bumps appear that can. Bumps that appear on the feet in the area of the big toe are not uncommon. … Bumps on the legs are a manifestation of a pathology such as hallux valgus. There is a special recess under the heel of the insole, under the arch of the foot there is an orthopedic instep support, and in its nose there are straps that. A common complaint about the feet is the appearance of a bump on the foot on top of the instep.Having found it, patients often do not know what it is. The human foot is a complex anatomical formation. It consists of 25 bones that form vaults. Treatment of bumps on the feet. On the feet, bumps are treated conservatively or surgically. … quickly relieve inflammation of the joint of the big toe; restore the natural arch of the foot
http://travira.ru/img/shishka_na_sustave_paltsa_stopy3120.xml
http://www.ceccargiurgiu.ro/userfiles/shishka_na_stope_prichina_vozniknoveniia4671.xml
http://leange.jp/archive/shishka_na_svode_stopy_lechenie3145.xml
http://alternenergy.ru/upload/magnetfix7038.xml
http://www.pierreseche.fr/userfiles/korset_dlia_stopy_ot_shishki3347.xml
There is nothing complicated in the instructions for use – just put on the MagnetFiix and fix it, it is recommended to wear it daily for 30 days. The tool is effective for the treatment of hallux valgus of the foot at any stage, the price of the drug also differs from analogues.It is much lower, which makes buyers very happy. The attached magnets relieve inflammation in a short time, gently soothe the skin, promote rapid regeneration, help dissolve salt build-ups and eliminate bumps.
bump on the arch of the foot treatment
The MagnetFix fixator is designed to correct and prevent a bump protruding on the leg, which many women consider a common unpleasant defect. Yes, yes, it is women, since according to statistics, the fair sex is most often faced with this unpleasant problem due to the peculiarity of their musculo-ligamentous apparatus – it is much more elastic than that of men.So the love for high heels and stiletto heels is worth a lot, since the foot, being subjected to constant stress, begins to deform over time.
Alternative treatment. How to treat bones on the legs with folk remedies? … Valgus deformity of the first toe is a deviation of the big toe to the side, which changes the physiological position of the first. Treatment of hallux valgus without surgery is possible. But this directly depends on the stage of development of the disease, the age and condition of the patient.Massage, exercise therapy, physiotherapy are used as conservative measures. The best remedies for valgus 2020. More and more people suffer from hallux valgus. … Allows for the prevention and treatment of hallux valgus. The big toe is locked and held upright. The lining serves as a means of preventing corns and. Halus Valgus treatment without surgery. … Medication. To improve the condition of the joint, new generation chondroprotectors are used. … This is achieved by applying remedies to the affected area.For this they are used. Hallux valgus in adults – Methods of treatment with folk remedies: a compress of iodine and aspirin. How to treat the valgus of the foot in adults – more on that later. Why the valgus of the foot in adults needs urgent treatment. From a medical point of view, valgus is a curvature. Treatment of hallux valgus, almost always, begins with the selection of comfortable shoes, not. Medication and physiotherapy. Nonsteroidal anti-inflammatory drugs and physical therapy may be prescribed to reduce inflammation and.Treatment methods. Operational. Medication. Folk remedies. Exercises. … Treatment of hallux valgus depends on the stage of development of the disease. Only a specialist can find a truly effective option. It is worth considering the commonly used types of control. Varus and hallux valgus. The normal position of the foot corresponds to the conditional line, which is drawn from the first interval of the toes to the middle of the knee and the hip joint. The acquired valgus position of the feet in a child is caused by errors in the development and functioning of the musculoskeletal system, injuries, and excessive stress on.Valgus is not only an aesthetic but also a medical problem. The child quickly gets tired when moving around, sometimes even experiencing pain. Treatment with folk remedies. The use of any folk remedies for the treatment of hallux valgus should be carried out only on the recommendation of a doctor and under his supervision. It is important to understand that most popular recipes will not help get rid of a build-up on a bone or joint, but they can significantly.
Transverse flat feet – Official site of the Federal State Budgetary Healthcare Institution KB No. 85 FMBA of Russia
What is transverse flat feet and its causes
Flat feet is a disease of various etiology, characterized by progressive flattening of the anatomical arches of the foot.
Depending on which arches of the foot are involved in the process, a distinction is made between:
- Transverse flat feet
- Longitudinal flat feet
- Combined flat feet
Independent types of flat feet are quite rare, mainly patients have combined flat feet – longitudinal-transverse.
Flat feet refers to polietiologic diseases.This means that there are many reasons for its development. The hereditary nature of this disease is most often traced. Among the acquired types of flat feet are distinguished:
- Static flat feet – the most common type. About 80% of all patients suffer from it. Both hereditary predisposition (“ aristocratic foot “) and occupational hazards (prolonged static load on the limbs or physical inactivity) lead to it. Another prerequisite is endocrine diseases, overweight, systemic connective tissue diseases, etc.
- rickety flat feet – occurs with deformity of the foot due to a lack of vitamin D, is quite rare.
- paralytic flat feet occurs after paralysis, most often in poliomyelitis due to paralysis of the muscles supporting the arch of the foot and tibial muscles.
- traumatic flat feet – observed as a result of injuries (fracture of the tarsal bones, ankles, calcaneus, etc.).
Congenital flat feet is a rather rare form; preventive examinations help to identify this type of flat feet. An accurate diagnosis can be made no earlier than 2 years of age (since all small children have a flattened foot due to physiological reasons).
Symptoms of transverse flat feet
Symptoms of transverse flat feet – the most common are: pain in the feet, burning, cramps in the leg muscles, fatigue in the feet by the end of the day.In advanced stages, complaints of pain in the knee, hip joints, back pain join, which can cause the development of arthrosis of these joints.
Visually, the front part of the foot increases in size – the so-called cross-spread foot is formed. As a result of improper distribution of the load, due to flat feet, deformation of the first toe often appears in the form of its hallux valgus. In the area of the first metatarsophalangeal joint, an exophyte is often formed, called by patients “bone “, or “ bump” on the foot.The 2-3-4th fingers, on which a large load is carried out, take a hammer-like shape. Thus, in the process of disease progression, changes become persistent in the form of deformation of the forefoot, leading to a violation of the biomechanics of all links of the musculoskeletal system involved in walking.
Diagnostics of flat feet
Diagnosis of flat feet includes examination by a specialist doctor – orthopedic traumatologist. X-ray examination of the feet.And analysis of the patient’s gait. If necessary, the range of examination can be expanded.
Treatment of transverse flat feet
Treatment of transverse flat feet should be carried out by a traumatologist, after an accurate diagnosis of this disease. Treatment depends on the degree of flatfoot. Treatment of transverse flat feet can be both operative and conservative (without surgery).
Conservative treatment of transverse flat feet is complex and includes limiting the load on the feet, choosing orthopedic shoes, using orthopedic devices to normalize biomechanics, and reducing excess weight.In the presence of a clinic for bursitis or arthrosis of the 1st metatarsophalangeal joint, anti-inflammatory and analgesic agents are used to relieve inflammation. In some cases, immobilization, physiotherapy, massage are used, which helps to reduce increased muscle tone, and as a result, to reduce pain.

Physical therapy may be prescribed, including exercises and treatments to strengthen the muscles and decrease inflammation. The exercises may also help prevent recurrence of the symptoms.
Take some time each day to do some stretching exercises focusing on the ankles, heels, and bottom of the foot. This can help keep the plantar fascia and Achilles tendon loose and prevent cramping.
Bony anatomy of the foot – relationship of mid-foot bones to metatarsals and proximal tarsal bones
Palpation of ‘N’ spot for navicular
Medial tubercle of navicular
CT scan showing the dorsal mid-navicular fracture line
Ligamentous Lisfranc Injuries in the Athlete. Oper Tech Sports Med 2014;22:313–20.