Broken left foot bones. Broken Foot and Ankle: Comprehensive Guide to Symptoms, Causes, and Treatments
What are the common symptoms of a broken foot. How can you identify different types of ankle fractures. What treatment options are available for broken ankles and feet. When should you seek immediate medical care for foot injuries.
Understanding Broken Foot Bones: Causes and Risk Factors
A broken foot is a serious condition that occurs when one or more of the 26 bones in the foot sustain a fracture. These injuries can affect various parts of the foot, including the toes, ankle, heel, or midfoot. Understanding the causes and risk factors associated with broken foot bones is crucial for prevention and proper management.
Common Causes of Foot Fractures
- Falls or accidents
- Sports-related injuries
- Direct impact from heavy objects
- Repetitive stress or overuse
- Osteoporosis (weakening of bones)
Osteoporosis deserves special attention as it significantly increases the risk of foot fractures, especially in older adults. This condition leads to decreased bone density, making bones more susceptible to breaking even from minor impacts or stresses.

Who is at Risk for Broken Foot Bones?
While anyone can experience a broken foot, certain factors may increase the likelihood of such injuries:
- Athletes, particularly those involved in high-impact sports
- Individuals with osteoporosis or other bone-weakening conditions
- Older adults, due to age-related bone density loss
- People with jobs that involve heavy lifting or prolonged standing
- Those with a history of previous foot injuries
Is it possible to prevent broken foot bones? While not all foot fractures can be avoided, taking certain precautions can help reduce the risk:
- Wearing properly fitting, supportive footwear
- Maintaining a healthy diet rich in calcium and vitamin D
- Engaging in regular weight-bearing exercises to strengthen bones
- Using caution when walking on uneven surfaces
- Avoiding overtraining or sudden increases in physical activity
Recognizing the Symptoms of a Broken Foot
Identifying the symptoms of a broken foot is crucial for seeking timely medical attention. While the severity and location of the fracture can influence the symptoms, there are several common signs to watch for:

Key Indicators of a Foot Fracture
- Immediate pain following an injury
- Swelling and bruising
- Difficulty walking or bearing weight on the affected foot
- Visible deformity or bone protrusion (in severe cases)
- A snapping or cracking sound at the time of injury
Can you mistake a broken foot for a sprain? Yes, it’s possible to confuse a broken foot with a severe sprain, as both conditions can cause pain and swelling. However, broken bones often result in more intense, localized pain and may be accompanied by visible deformity or inability to move the affected area.
When to Seek Medical Attention
Immediate medical care is necessary in the following situations:
- Visible bone protruding through the skin
- Severe pain or swelling
- Numbness or tingling in the foot
- Inability to walk or bear any weight on the foot
- Signs of infection, such as fever or redness
Even if symptoms appear mild, it’s advisable to consult a healthcare professional for proper evaluation and treatment of any suspected foot fracture.

Diagnosing Broken Foot Bones: Medical Evaluation and Imaging
Accurate diagnosis of broken foot bones is essential for appropriate treatment and optimal recovery. Healthcare providers employ various methods to assess and confirm foot fractures:
Physical Examination
During a physical examination, the doctor will:
- Inspect the foot for visible deformities or bruising
- Gently palpate the area to identify points of tenderness
- Assess range of motion and stability of the foot
- Evaluate neurovascular status by checking sensation and circulation
Imaging Studies
Various imaging techniques may be used to confirm and characterize foot fractures:
- X-rays: The primary imaging method for diagnosing most foot fractures
- CT (Computed Tomography) scans: Provides detailed 3D images, useful for complex fractures
- MRI (Magnetic Resonance Imaging): Can detect subtle fractures and assess soft tissue damage
- Bone scans: Helpful in identifying stress fractures not visible on X-rays
How do doctors determine the severity of a foot fracture? The severity is assessed based on several factors:

- Location and number of fractured bones
- Type of fracture (e.g., simple, comminuted, or compound)
- Degree of displacement or misalignment
- Presence of associated soft tissue injuries
- Patient’s overall health and risk factors
This comprehensive evaluation guides the development of an appropriate treatment plan tailored to the individual’s needs and the specific characteristics of the fracture.
Treatment Options for Broken Foot Bones
The treatment of broken foot bones varies depending on the severity and location of the fracture. The primary goals of treatment are to promote proper healing, alleviate pain, and restore function. Here are the main approaches to managing foot fractures:
Conservative Treatment
For minor fractures or stable breaks, non-surgical methods may be sufficient:
- RICE protocol (Rest, Ice, Compression, Elevation)
- Immobilization with a cast, boot, or splint
- Use of crutches or a wheelchair to avoid weight-bearing
- Pain management with over-the-counter or prescription medications
- Physical therapy to maintain strength and flexibility
Surgical Intervention
More severe fractures may require surgical treatment:

- Open reduction and internal fixation (ORIF): Realigning bones and securing them with screws, plates, or wires
- External fixation: Using an external frame to hold bones in place
- Bone grafting: Adding bone tissue to promote healing in complex fractures
What factors determine whether surgery is necessary for a broken foot? The decision to operate depends on several considerations:
- Degree of bone displacement
- Stability of the fracture
- Involvement of joints
- Presence of multiple fractures
- Patient’s overall health and activity level
Recovery and Rehabilitation
The healing process for broken foot bones can take several weeks to months, depending on the severity of the injury. Rehabilitation typically involves:
- Gradual increase in weight-bearing activities
- Exercises to improve range of motion and strength
- Gait training to restore normal walking patterns
- Use of assistive devices as needed during recovery
- Regular follow-up appointments to monitor healing progress
Adherence to the treatment plan and rehabilitation program is crucial for optimal recovery and prevention of long-term complications.

Understanding Ankle Fractures: Types and Characteristics
Ankle fractures are a specific subset of foot injuries that involve breaks in one or more of the three bones that make up the ankle joint: the tibia (shinbone), fibula (outer bone of the lower leg), and talus. Understanding the different types of ankle fractures is essential for proper diagnosis and treatment.
Common Types of Ankle Fractures
- Lateral Malleolus Fracture: Involves the lower end of the fibula
- Medial Malleolus Fracture: Affects the inner portion of the tibia
- Bimalleolar Fracture: Breaks in both the lateral and medial malleoli
- Trimalleolar Fracture: Involves both malleoli and the posterior aspect of the tibia
- Pilon Fracture: A severe break affecting the weight-bearing surface of the tibia
How do doctors classify ankle fractures? Classification systems, such as the Weber classification for lateral malleolus fractures, help categorize injuries based on the location and characteristics of the break. This classification aids in determining the appropriate treatment approach.

Stable vs. Unstable Ankle Fractures
An important distinction in ankle fractures is whether they are stable or unstable:
- Stable fractures: The ankle joint remains aligned and can often be treated non-surgically
- Unstable fractures: The joint is misaligned and typically requires surgical intervention to restore proper alignment and stability
The stability of an ankle fracture is influenced by factors such as the number of broken bones, the degree of displacement, and the integrity of surrounding ligaments.
Diagnosing and Treating Ankle Fractures
The diagnosis and treatment of ankle fractures follow a similar process to that of other foot fractures, with some specific considerations:
Diagnostic Approach
- Physical examination to assess pain, swelling, and deformity
- X-rays from multiple angles to visualize the fracture pattern
- CT scans for complex fractures or preoperative planning
- Stress tests to evaluate ligament integrity and joint stability
Treatment Options
Treatment for ankle fractures depends on the type and stability of the fracture:

- Non-surgical management: For stable fractures, involving immobilization with a cast or boot
- Surgical intervention: Often required for unstable fractures to realign bones and restore joint stability
- Rehabilitation: Crucial for regaining strength, flexibility, and proper gait
What are the potential complications of untreated ankle fractures? Failure to properly treat an ankle fracture can lead to several serious issues:
- Chronic pain and instability
- Post-traumatic arthritis
- Malunion (improper healing of the bones)
- Decreased range of motion
- Increased risk of future injuries
These potential complications underscore the importance of seeking prompt medical attention and adhering to the prescribed treatment plan for ankle fractures.
Long-Term Outlook and Prevention of Foot and Ankle Fractures
Understanding the long-term prognosis and implementing preventive measures are crucial aspects of managing foot and ankle fractures. While many patients recover fully with proper treatment, some may experience lasting effects.

Long-Term Prognosis
The long-term outlook for foot and ankle fractures depends on several factors:
- Severity and location of the fracture
- Timeliness and appropriateness of treatment
- Patient’s age and overall health
- Adherence to rehabilitation protocols
- Presence of complications during healing
Many patients can expect a full recovery and return to normal activities within several months. However, some may experience persistent symptoms or limitations, such as:
- Residual pain or stiffness
- Decreased range of motion
- Weakness in the affected foot or ankle
- Development of post-traumatic arthritis
Preventing Foot and Ankle Fractures
While not all fractures can be prevented, several strategies can help reduce the risk:
- Wearing appropriate footwear for different activities
- Maintaining a healthy body weight to reduce stress on bones
- Engaging in regular weight-bearing exercises to strengthen bones
- Improving balance and coordination through targeted exercises
- Using proper technique and equipment during sports and physical activities
- Addressing underlying conditions that may increase fracture risk, such as osteoporosis
How can athletes reduce their risk of foot and ankle fractures? Athletes can take additional precautions:

- Gradually increasing training intensity to avoid overuse injuries
- Using proper protective gear specific to their sport
- Maintaining good flexibility and muscle strength
- Being aware of playing surface conditions and potential hazards
- Adhering to proper warm-up and cool-down routines
Follow-Up Care and Monitoring
After initial treatment for a foot or ankle fracture, ongoing care is essential:
- Regular follow-up appointments to assess healing progress
- Periodic imaging to ensure proper bone alignment and healing
- Continued physical therapy or home exercise programs as needed
- Monitoring for signs of complications or recurrent issues
- Gradual return to activities under medical supervision
By following these guidelines and maintaining open communication with healthcare providers, patients can optimize their recovery and minimize the risk of future injuries.
Broken Foot – Symptoms, Causes, Treatments
A broken foot is a condition characterized by a fracture of one of the 26 bones in your foot. The fracture may occur in your toes, ankle, heel or midfoot. A broken foot may result from a variety of injuries, including falls, accidents, or dropping an object on your foot. Osteoporosis, which is a thinning and weakening of the bones, is an additional cause of broken feet.
In most cases, you will know immediately when you break your foot. You may hear a snap or crack and likely will feel pain. In severe fractures, the bone may be visible and protruding through the skin or your foot may look deformed. Symptoms of broken foot usually are localized to the location of the fracture. The most common symptoms of a broken foot are pain and swelling. It is also likely that you will have difficulty standing or walking.
Anytime an injury results in a broken bone, it is important to make sure that no other injuries occurred elsewhere.
For example, the same fall that led to a broken foot may also have given the person a concussion. Conversely, a seizure may have induced the fall that caused the foot fracture.
Treatment will vary substantially depending on the severity and location of your fracture. For minor fractures, your health care provider may recommend a home care plan, including icing the fracture, taking over-the counter medications to reduce pain and swelling, and limiting activity. More severe fractures may require surgery and casting to set the fracture and stabilize it during healing.
Although life-threatening complications of a broken foot are rare,
seek immediate medical care (call 911) for injuries that involve profuse bleeding or severe tissue damage. All serious injuries, including foot injuries, should be evaluated immediately in an emergency setting.
Seek prompt medical care if you are being treated for a broken foot but mild symptoms recur or are persistent.
Broken Ankle: Types of Fractures, Diagnosis & Treatments
Broken ankles are painful and temporarily disabling. If a fractured ankle is not properly treated, it can lead to significant, long-term complications and debility.
What is a broken ankle?
A broken ankle is a fracture or multiple fractures of one or more of three bones in the ankle joint: the tibia (shinbone), the fibula (outer bone of the lower leg), and the talus.
Broken Ankle? Get quick access to an HSS orthopedic surgeon.
Call our Ankle Fracture Line at 833.294.9759
Anatomy of the ankle joint
The ankle joint is composed of the tibia, fibula and talus bones. The talus (or “ankle bone”) connects your leg to your foot.
Skeletal anatomy of the ankle
Ligaments connect bone to bone to provide stability of the joints. They are commonly injured in the case of ankle sprains. They can also be injured in connection with ankle fractures.
When ligaments are torn and associated with an ankle fracture, this damage can render the ankle unstable. The deltoid ligament is found on the inner part of the ankle and provides the majority of the stability of the ankle. If the deltoid ligament is torn in association with a fracture, the ankle is generally unstable.
In the ankle joint or any joint in the body, two or more bones move relative to one another. There is a cushion or lining between the bones, which is called cartilage. Thinning or damage to this cushion can lead to arthritis or inflammation in the joint.
What causes a broken ankle?
Broken ankles are usually caused by a rotational injury, where the ankle becomes twisted, turned or rolled while walking or running, such as during sports activity. But they can also be caused by a high-force impact, such as from a fall or automobile collision.
Breaks that occur suddenly, during a specific incident or injury, are known as traumatic ankle fractures.
But a bone in the ankle can also break due to repetitive stress or impact over time. These are called stress fractures.
What causes a stress fracture in the ankle?
An ankle stress fracture usually occurs some time after a person begins a new activity that involves significant impact of the foot, such as hiking, running or field sports. They can also occur in an active person who quickly increases their activity, for example when someone who is accustomed to jogging a few miles a week begins to train for a 26-mile marathon.
Stress fractures can occur in any of the three ankle bones, especially the tibia or fibula. They are also common in the navicular bone, which is separate from the ankle, but lies directly beneath the talus.
What are the different types of ankle fractures?
Because the ankle joint comprises three bones, there are numerous types of ankle fractures. Doctors think of the ankle as having three sides and a “roof,” and fractures can occur in each of these areas or in combination.
The lower portion of the tibia forms the roof and medial (inside) of the ankle, while the lower portion of the fibula forms the lateral (outside) and posterior (back) of the ankle.
Most common ankle fractures
- Lateral malleolus fracture: This is the most common type of ankle fracture. It is a break of the lateral malleolus, the knobby bump on the outside of the ankle (in the lower portion of the fibula).
- Bimalleolar ankle fracture: This second-most common type involves breaks of both the lateral malleolus and of the medial malleolus, the knobby bump on the inside of the ankle (in the lower portion of the tibia).
- Trimalleolar ankle fracture: This type involves breaks in three sides of the ankle: the medial malleolus of the tibia, as well as the lateral malleolus and posterior malleolus (in the lower portion of the fibula).
- Pilon fracture (also called a plafond fracture): This is a fracture through the weightbearing “roof” of the ankle (the central portion of the lower tibia).
This is usually a higher energy traumatic injury resulting from a fall from a height.
As the number of fracture lines increase, so does the risk of long-term joint damage. Trimalleolar ankle fractures and pilon fractures have the most cartilage injury and, therefore, have a higher risk of arthritis in the future.
Nondisplaced vs. displaced ankle fractures
Within each of the above types, the fracture will be either:
- Nondisplaced – Bones are broken but still in correct position and alignment.
- Displaced – Fractured portions of bone are separated or misaligned. The treatment will be based on fracture alignment and stability of the ankle.
There are some additional, unique types of fractures.
Maisonneuve fracture
A Maisonneuve fracture, for example, involves a complete disruption of the ligaments around the ankle associated with a fracture of the fibula at the level of the knee. For this type of injury, an ankle X-ray may not show a fracture or demonstrate the instability associated with this injury, because the actual bone fracture is well above the ankle, and the ligament injuries can only be seen with other forms of imaging, such as an MRI.![]()
X-ray image showing front view of a bimalleolar fracture
X-ray image showing side view of a displaced lateral malleolus fracture of the right ankle
What are the symptoms of a broken ankle?
The most common symptoms of an ankle fracture are pain and swelling, either of which may be present only in the ankle region itself or spread to parts of the foot or up toward the knee. Any pain will usually be more intense if the injured person tries to put weight on the ankle.
How is a broken ankle diagnosed?
X-rays are usually required to determine whether there is a broken bone as opposed to a soft-tissue injury like a sprain, since ankle sprains and breaks have similar symptoms. Other radiology imaging, such as a CT scan or MRI, may be needed to determine the full scope of the injury.
If the imaging shows that a person has a fractured ankle, he or she should consult an orthopedic surgeon as soon as possible. There are several different types of ankle breaks, and not all require surgery.
But when they do, it is important that they receive the appropriate surgery by a skilled foot and ankle specialist. An inappropriate or poorly executed surgery can lead a patient to require additional corrective surgeries and/or, years later, to develop ankle instability, arthritis or even the need for an ankle replacement operation. Early and correct intervention is the key to preserving the ankle joint over the long term.
X-ray showing front view of a displaced fibula with medial clear space widening (asymmetry of the joint space) indicating a deltoid ligament disruption
X-ray showing side view of a displaced fibula fracture with a posterior malleolar fracture
How is a broken ankle treated?
Treatment is based on the alignment of the bones and the stability of the ankle joint. The goal is to have the bones heal as closely to perfect as possible so as to prevent any residual instability or malalignment of the bone. A malalignment of as little as two millimeters in the ankle joint can lead to arthritis.
It is much easier to fix a fracture than to treat arthritis in the future. Certain mild ankle breaks (stable and with no displacement) can be treated nonsurgically with a splint, short leg cast, or other protective device such as a walking boot Some patients may be able to walk immediately while wearing a support while others may have to use crutches to limit weightbearing.
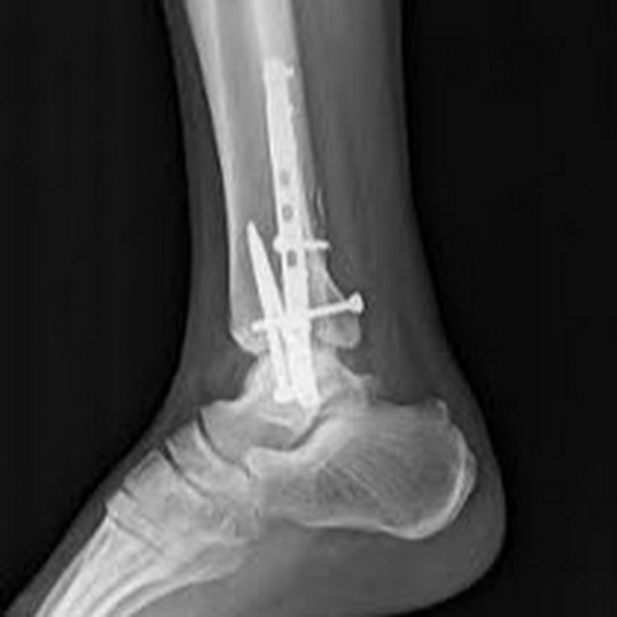
For more serious fractures in which bones or bone fragments are misaligned, surgical intervention is necessary to prevent improper healing (malunion) that would impede proper movement in the ankle and possibly lead to other complications.
X-ray showing front view of surgical plates and screws to treat a trimalleolar fracture
X-ray showing side view of the same
X-ray showing front view of fixation of the fibula and posterior malleolus with restoration of the joint congruity
X-ray showing side view of the same
What is the recovery time of a broken ankle?
It takes about six weeks for bones to heal.
It may take longer for ligaments or other soft tissues to heal as well.
After surgery, patients are typically not weightbearing for 4 to 6 weeks until the bone heals. Patients are placed on a pain management protocol that minimizes their need for opioid medications. For the first couple of weeks, patients are in a splint and are elevating the limb 90% of the day. After 10 to 14 days, the sutures are removed and patients are typically placed into a removable boot. This allows patients to start moving the ankle and to shower. At the six-week visit, X-rays are obtained. Assuming the bone is healed well, patients are then allowed to start weightbearing and to begin physical therapy. Patients will generally have six weeks of therapy or more if required.
Back in the Game patient stories
Understanding Fifth Metatarsal Fracture
A fifth metatarsal fracture is a type of broken bone in your foot.
You have 5 metatarsals. They are the middle bones in your feet, between your toes and your ankle bones (tarsals). The fifth metatarsal connects your smallest toe to your ankle. These bones help with arch support and balance.
How to say it
meh-tah-TAHR-sahl
What causes a fifth metatarsal fracture?
A direct blow to the bone is often the cause of a fracture of the fifth metatarsal. That may happen if you drop a heavy object on your foot or land wrong on your foot or ankle. Twisting activities can also break the bone. Pivoting while playing basketball is one example.
Repeatedly placing too much stress on the bone can also cause a fracture of the fifth metatarsal. This is called a stress fracture. People who do physical activities like dancing or running tend to be more prone to stress fractures.
Symptoms of a fifth metatarsal fracture
Sudden pain along the outside of your foot is the main symptom. A stress fracture may develop more slowly.
You may feel chronic pain for a period of time. Your foot may also swell up and bruise. You may have trouble walking.
Treatment for a fifth metatarsal fracture
Treatment for this type of fracture depends on where the bone is broken and how severe the break is. Healing can take up to several months. Treatment may include:
Cold therapy. Putting ice on the area may reduce swelling and pain, especially in the first few days after injury.
Elevation. Propping up the foot so it’s above the level of your heart may ease swelling.
Prescription or over-the-counter pain medicines. These help reduce pain and swelling. Talk with your healthcare provider before taking any.
Immobilization. Devices such as a splint, cast, or walking boot can protect the bone and ease pain. They can help keep the bone in place so it heals properly. You may need to avoid putting any weight on the broken bone for a period of time.
Severe fractures usually need a longer limit on weight-bearing activities.Stretching and strengthening exercises. Certain exercises can help you regain flexibility and strength in your foot.
Surgery. You usually won’t need surgery. But you may need it if the bone is broken into 2 or more pieces and is not aligned (displaced), doesn’t heal properly, or takes a long time to heal.
Possible complications of a fifth metatarsal fracture
The bone doesn’t heal correctly
Acute compartment syndrome. This is when pressure builds up in the muscles of the foot and affects blood flow.
When to call your healthcare provider
Call your healthcare provider right away if you have any of these:
Fever of 100.4°F (38°C) or higher, or as directed by your provider
Chills
Symptoms that don’t get better, or get worse
Numbness or coldness in your foot
Toe nails that turn blue or grey in color
New symptoms
Foot Fracture | Orthopedic & Sports Medicine
Overview
A foot fracture is a break of one of the bones in the foot.
Each foot has 26 bones.
- The front of the foot, or the forefoot, includes five toes, called phalanges, and five lengthier bones called metatarsals.
- The five bones of the midfoot — three cuneiform bones, the cuboid bone, and the navicular bone. Together, these five bones help make up the arch of the foot.
- Forming the foot and ankle, the hindfoot includes the talus bone, which supports leg bones and the calcaneus bone, which is the heel bone.
There are two types of fractures:
- Direct blows often cause acute fractures to the foot, toe, or ankle.
- Stress fractures are smaller hairline breaks, which are caused by overuse.
Foot fractures are prevalent.
Foot fractures have a variety of causes, including overuse, repetitive motion, trauma, such as a fall or direct hit, and low bone density.
Symptoms of a foot fracture vary based on the severity and location of the break.
Pain, tenderness, swelling, and bruising can all be symptoms of foot fractures.
Foot fracture causes
Foot fractures are caused by an injury to the foot. Stress foot fractures are often caused by overuse or an increase in activities such as walking or running. Acute fractures are caused by trauma.
Other causes of foot fractures include:
- Poor form while exercising
- Unsupportive footwear
- Change in surface
- Activities that require repetitive motions
- Loss of bone density
Foot fracture symptoms
The most common sign of a foot fracture is pain, often that improves while resting or increases during activity.
Other symptoms of foot fracture include:
- Swelling
- Tenderness
- Bruising
- Change in appearance of the affected bone
Foot fracture complications
If a foot fracture is left untreated, you could experience:
- Increased pain
- A complete break of the bone
- Chronic pain, or arthritis
- Deformity of the affected bone and joint
Foot fracture risk factors
There are a variety of factors that can increase your likelihood of developing a foot fracture, including:
- Age
- Previous fractures
- Performing activities that require repetitive movements
- Suddenly increasing physical activity
- Weak bones or low bone density
Foot fracture prevention
Although not all foot fractures cannot be prevented, you can avoid some cases by following these guidelines:
- Wear the recommended and appropriate footwear for each activity, including shoes and braces
- When starting a new exercise routine, increase the intensity gradually
- Choose safe, levels surfaces for running or exercise
- Maintain a healthy diet to help avoid bone loss
- Vary your physical activities to avoid repetitive motion and overuse
- Do not continue to exercise on a foot or ankle that is swollen or painful
Foot fracture diagnosis
Your doctor can diagnose a foot fracture.
During a clinic visit, your doctor will perform a physical exam and take a full medical history. In some cases, your doctor will order imaging tests such as:
These tests may be able to determine what is causing your pain.
Foot fracture treatment
Your doctor will develop a customized treatment plan for your case.
If your pain is affecting your ability to perform your daily activities, your doctor may recommend a nonsurgical treatment such as:
- Staying off the affected foot and pausing strenuous exercise is imperative during rehabilitation.
- Heat and ice. Alternating ice and heat can help relieve pain and make movement easier.
- Your doctor may recommend wearing a cast, splint or boot to immobilize the foot and ankle
- Keep your ankle and foot elevated with a pillow when you’re sitting or lying.
- Physical therapy. Physical therapy is critical, first to reduce pain and swelling and then to increase strength and improve range of motion
- Keep your ankle and foot elevated with a pillow when you’re sitting or lying.

- OTC medications. Over-the-counter pain relievers such as ibuprofen or naproxen can relieve pain caused by peroneal tendon injuries
- Reduced activity.
In some cases, foot fractures require surgical treatment. Some surgeries require pins, screws, or plates to hold the bones of the foot and/or ankle in place during rehabilitation. Rehabilitation after surgery often includes physical therapy.
When to Seek Care
Most cases of foot fracture heal with nonsurgical treatments and in-home self-care. If your symptoms such as pain, swelling, tenderness, and inability to perform daily activities, do not go away or if they intensify, call your doctor to schedule an appointment.
Next Steps
Symptoms of foot fractures can be similar to more severe or chronic foot issues. Patients are strongly encouraged to seek a diagnosis and treatment plan from their doctor.
Once diagnosed, your doctor will develop a treatment plan customized for your case.
Carefully follow your doctor’s instructions and call if your symptoms change or intensify.
How do I know if I’ve broken a bone?
Broken bones can happen after an accident like a fall, or by being hit by an object.
The 3 most common signs of a broken bone (also known as a fracture) are:
However, it can sometimes be difficult to tell whether a bone is broken if it is not out of its normal position.
If you’ve broken a bone:
- you may hear or feel a snap or a grinding noise as the injury happens
- there may be swelling, bruising or tenderness around the injured area
- you may feel pain when you put weight on the injury, touch it, press it, or move it
- the injured part may look deformed – in severe breaks, the broken bone may be poking through the skin
You may also feel faint, dizzy or sick as a result of the shock of breaking a bone.
If the break is small or it’s just a crack, you may not feel much pain or even realise that you’ve broken a bone.
Get medical help as soon as possible if you think you’ve broken a bone. If you think you may have broken your toe or finger, you can go to a minor injury unit or urgent care centre.
Go to your nearest A&E for a broken arm or leg. Call 999 for an ambulance if the injury to the leg seems severe or you’re not able to get to A&E quickly.
Always call 999 for very severe suspected breaks, such as a broken neck or back.
The broken bone must be properly aligned and held in place, often with a plaster cast, so it heals in the correct position.
If you do not receive the correct treatment, you could develop a serious infection or a permanent deformity. You may also have long-term problems with your joints.
It’s important not to eat or drink anything if you think you’ve broken a bone, as you may need a general anaesthetic to allow doctors to realign it.
Older people and those with osteoporosis should be particularly careful, as their bones are weaker and may break more easily.
Further information
Page last reviewed: 21 April 2020
Next review due: 21 April 2023
Metatarsal Fracture | Orthopaedic Trauma Association (OTA)
Basic Anatomy
There are five metatarsal bones in a normal foot, numbered 1 through 5, from the one attached to the big toe to the outside of the foot respectively. They are straight in shape with a slightly widened base and a knob-like section (the head) at the end that connects to the toe bones. They start about the midway point of the foot and end just before the webs of the toes. For the first through third metatarsals, the closer ends of the metatarsal bones (near the middle of the foot) create joints with other bones of the midfoot, but these joints do not move much. However, at the other end of the bones near your toes, the joints made from metatarsals and the toe bones do move a lot. This movement and location is what dictates the chosen treatment for each particular injury of the foot.
Figure 1: The location of the five metatarsals are labeled 1 through 5.
Mechanism and Epidemiology
Metatarsal bones usually break from a crush injury, from a falling heavy object, a twisting injury, or getting your foot caught in something while the body continues to move. Occasionally the bone can break from a stress injury due to overuse, such as suddenly increasing running distance while training for a marathon.
Figure 2: Fractures of the 1st and 2nd metatarsals.
Figure 3: Fracture of the 5th metatarsal.
Figure 4: Stress fracture of the 2nd metatarsal.
Initial Treatment
If your metatarsal fracture is the result of a crush or twisting injury, the pain will likely be great enough to make you seek immediate medical attention. You may decide to go to an emergency room or to your primary care doctor. The diagnosis is usually made by taking x-rays. If the bone did not poke through the skin, the emergency room provider will typically put you in a splint (half cast), place you on crutches, prescribe medications to help you deal with your pain, and advise you to follow up with either your primary care provider or an orthopaedic surgeon. You should also elevate your foot as much as possible for the first 2-3 days, and apply ice to help decrease the swelling as well as your pain.
General Treatment
Most metatarsal fractures can be treated without surgery. A stiff soled shoe, walking boot, or even a cast may be used. The amount of pressure you are able to put on your foot will depend on which bones are broken. Your treating physician will decide this. As your broken bone(s) heal over 8-12 weeks, your pain will decrease. You may be able to place more pressure on your foot over time.
If you are diagnosed with a stress fracture of the metatarsal, you will be advised to stop the activity that caused it. You will likely be advised to stay off the foot for 4-6 weeks or even longer until the pain subsides. After a period of healing, you may begin a slow return to activity.
There are some metatarsal fractures that benefit from surgery. These include fractures that have poked through the skin, and any fractures that are so separated that they do not line up well enough to heal or work properly afterwards. This is especially true for fractures involving the first metatarsal. If surgery is needed, the bones can often be realigned and held in place with temporary pins. These pins may then be removed in the office in about 6-10 weeks. Sometimes, a cut will need to be made on the top of your foot to realign your bones, and the bone will be stabilized with metal plates and screws.
There is a particular fracture that happens near the base of your fifth metatarsal (the bump on the outside of your foot halfway along your foot) that warrants special attention. It is called a Jones fracture. This fracture occurs where the fifth metatarsal bone decreases in size from its wide base to the narrower shaft. This fracture can be caused by a twisting injury. Some foot shapes may increase the likelihood of this fracture. Surgery is usually recommended for athletes or those who need to return to demanding physical activities in a short amount of time. Non-surgical treatment can also heal a majority of these fractures. You should discuss the advantages and disadvantages of operative vs. non-operative treatment for this specific fracture with your treating physician or surgeon. There are several other types of fractures to the 5th metatarsal that are not Jones fractures, and these heal well without surgery. This is a discussion for you and your physician.
Figure 5: 5th metatarsal Jones fracture.
Postoperative Care
If surgery is needed, you will typically need to stay off your foot for at least 6-8 weeks to allow your fracture to heal. You may also be placed in a cast or hard boot. If pins are placed, they will typically be removed in the office after about 6-8 weeks. Plates and screws may or may not need to be removed. You will see your physician every few weeks or months to make sure the break and wounds are healing well.
Long Term
Because your foot absorbs all of your weight when you walk or run, it needs to be able to withstand a lot of stress. Fortunately, metatarsal fractures usually heal completely and patients are typically able to resume their pre-injury activities without problems. Sometimes they do not heal and may require surgery, bracing, or modification of activity. Some patients develop painful feet after metatarsal fractures even if the fracture heals completely.
More Information
—
Alan T. Kawaguchi, MD
Edited by the OTA Patient Education Committee and David Sanders, MD (section lead)
All x-rays and pictures taken from the personal collection of Dr. Kawaguchi
Joe Biden’s Fractured Foot | MedPage Today
President-elect Joe Biden and his transition team are hard at work so that they can “hit the ground running” when he is sworn in on January 20th. But in a literal sense, this will be more difficult to do as Biden has injured his foot.
In late November, Biden slipped and twisted his ankle while playing with his German shepherd, Major (who will be the first rescue dog to live in the White House). According to Biden’s personal physician, Kevin O’Connor, DO, “Initial x-rays did not show any obvious fracture, but his clinical exam warranted more detailed imaging.” A CT scan was performed and “showed hairline (small) fractures of President-elect Biden’s lateral and intermediate cuneiform bones, which are in the mid-foot. It is anticipated that he will likely require a walking boot for several weeks.”
Foot Fractures
A brief review of the bones of the foot:
There are 26 bones in the foot, which consist of three main groups:
- 7 tarsal bones
- 5 metatarsal bones
- 14 phalanges
The foot is often divided into three main sections:
- Hindfoot: includes the tarsal bones, the talus and the calcaneus (heel)
- Midfoot: includes the remainder of the tarsal bones
- Forefoot: contains the metatarsals and the phalanges
The Bones of the Midfoot
The cuboid is located on the lateral side of the foot, in front of the calcaneus, and behind the 4th and 5th metatarsal bones. It has five articular surfaces that contribute to the intrinsic movement of the foot. An articular surface is any surface of a skeletal formation (bone, cartilage) that makes normal direct contact with another skeletal structure as part of a synovial joint. The cuboid provides a groove for the peroneus longus muscle tendon as it reaches to insert in the first metatarsal and medial cuneiform bones. The only muscle to attach to the cuboid is the tibialis posterior.
The navicular bone is located medially in the midfoot, with the talus behind it and the 3 cuneiform bones in front of it. It is boat-shaped and forms the uppermost portion of the medial longitudinal arch of the foot and acts as a keystone of the arch. It has six articular surfaces.
The three cuneiforms are named for their locations: medial, middle, and lateral. The medial and lateral cuneiforms project further forward than the middle cuneiform, which creates a recess for the base of the second metatarsal where it articulates with the middle cuneiform. This configuration creates a keystone effect and contributes to the stability of the midfoot.
The Lisfranc joint complex is the point at which the metatarsal bones and the tarsal bones connect. It is named after French surgeon Jacques Lisfranc de St. Martin, who served in the Napoleonic army in the 1800s. The Lisfranc ligament runs between these bones and is important for maintaining proper alignment and strength of the joint.
Foot Fractures
A 2020 study by Rasmussen et al looked at the population-based incidence and epidemiology of almost 6,000 foot fractures. They calculated that the incidence of foot fracture is 142.3/100,000/year. The forefoot is the most common site with 123.9/100,000, followed by the hindfoot with 13.7/100,000, and the midfoot at 6.5/100,000/year. The peak incidence of foot fracture is in the age group 10-19 years and is the same in both genders. Low energy trauma was the most common mode of injury, occurring in 98.7%.
Midfoot Fractures
As mentioned, midfoot fractures are the least common location for foot fractures. Unfortunately, they may be missed, especially when associated with other injuries. If so, they may receive inadequate treatment, leading to a high rate of mid- and long-term morbidity. However, recognized isolated fractures of the midfoot typically have an outcome with minimal functional impairment.
A Lisfranc injury occurs if the bones of the midfoot are broken or ligaments that support the midfoot are torn. The cartilage of the midfoot joints may be damaged with this type of injury. The severity can range from simple — treated with standard RICE therapy — to complex, which may require surgical repair.
The symptoms of a Lisfranc injury include pain and swelling of the top of the foot. The pain worsens with standing, walking, or attempting to push off with the affected foot. There may be bruising on the top or bottom of the foot, with bruising on the bottom being highly suggestive of a Lisfranc injury.
Hairline (Stress) Fractures
Hairline fractures, also known as stress fractures, are small cracks or severe bruising in a bone. They can occur acutely, although they are more commonly associated with repetitive movement. The weight-bearing bones of the foot and lower leg are most vulnerable to stress fractures due to the repetitive forces placed on them by walking, running, or jumping. The most common locations of stress fractures are the second and third metatarsals (the area of greatest impact on your foot when you walk or run). Other common sites include the calcaneus (heel), fibula, talus, and navicular.
According to May and Marappa-Ganeshan, “Stress fractures account for about 20% of all sports medicine injuries, and runners who average more than 25 miles a week are considered high risk. [In addition] due to the repetitive nature of military training, stress fractures are common in members of the military.”
The most common cause of stress fractures is a sudden increase in physical activity. It could be an increase in frequency, duration, or intensity. This is true for both athletes and non-athletes. Conditions that decrease bone strength or density, such as osteoporosis, long-term medications, or lack of vitamin D can increase the risk of stress fractures.
Symptoms of a stress fracture in the foot include pain that decreases with rest and increases with daily activity. Swelling may be present on the top of the foot with tenderness to touch at the site of the fracture. Bruising may also be present.
Treatment of stress fractures includes:
- RICE protocol (rest, ice, compression, elevation)
- Modifying activity for 6-8 weeks
- Protective footwear (stiff-soled shoe or short-leg walking boot or cast)
- Occasionally, stress fractures need surgical intervention to heal properly. This is usually done by internal fixation using pins, screws, or plates to hold to bone together during the healing process.
Osteoporosis in Men
Although many think of osteoporosis as a “women’s disease,” the NIH Osteoporosis and Related Bone Diseases National Resource Center reports that it poses a threat to millions of men in the United States.
Osteoporosis is called a “silent disease” because it progresses without symptoms until a fracture occurs. It develops less often in men than in women because men have larger skeletons, their bone loss starts later and progresses more slowly, and they have no period of rapid hormonal change and bone loss. However, in the past few years, the problem of osteoporosis in men has been recognized as an important public health issue, particularly in light of estimates that the number of men above the age of 70 will continue to increase as life expectancy continues to rise.
Bone is constantly changing — that is, old bone is removed and replaced by new bone. During childhood, more bone is produced than removed, so the skeleton grows in both size and strength. For most people, bone mass peaks during the third decade of life. By this age, men typically have accumulated more bone mass than women. After this point, the amount of bone in the skeleton typically begins to decline slowly as removal of old bone exceeds formation of new bone.
Men in their fifties do not experience the rapid loss of bone mass that women do in the years following menopause. By age 65 or 70, however, men and women lose bone mass at the same rate, and the absorption of calcium — an essential nutrient for bone health throughout life — decreases in both sexes. Excessive bone loss causes bone to become fragile and more likely to fracture.
Fractures resulting from osteoporosis most commonly occur in the hip, spine, and wrist, and can be permanently disabling. Hip fractures are especially dangerous. Perhaps because such fractures tend to occur at older ages in men than in women, men who sustain hip fractures are more likely than women to die from complications.
There are two main types of osteoporosis: primary and secondary. In cases of primary osteoporosis, either the condition is caused by age-related bone loss (sometimes called senile osteoporosis) or the cause is unknown (idiopathic osteoporosis). The term idiopathic osteoporosis is typically used only for men younger than 70 years old; in older men, age-related bone loss is assumed to be the cause.
The majority of men with osteoporosis have at least one (sometimes more than one) secondary cause. In cases of secondary osteoporosis, the loss of bone mass is caused by certain lifestyle behaviors, diseases, or medications. Some of the most common causes of secondary osteoporosis in men are exposure to glucocorticoid medications, hypogonadism (low levels of testosterone), alcohol abuse, smoking, gastrointestinal disease, hypercalciuria, and immobilization.
Michele R. Berman, MD, and Mark S. Boguski, MD, PhD, are a wife and husband team of physicians who have trained and taught at some of the top medical schools in the country, including Harvard, Johns Hopkins, and Washington University in St. Louis. Their mission is both a journalistic and educational one: to report on common diseases affecting uncommon people and summarize the evidence-based medicine behind the headlines.
Last Updated December 08, 2020
Please enable JavaScript to view the comments powered by Disqus.
Review of Tonus Kroha
We came to your clinic to change the plaster cast, as it was not very successfully applied in the clinic. During the day, the plaster did not dry out, all the conditions and restrictions were observed, but the plaster began to crack and in places became soft (inside the fracture site, the child’s leg is not fixed well and causes pain. But the doctor refused to shift and said that we did not observe the regime! and the evening after the imposition, the child sat with an outstretched leg under supervision and even carried it on his hands before the toilet! crumble and cracks appeared? We did not expect that in a clinic where qualified doctors should work, there could be such an attitude towards a child!
Pediatric centers “Tonus KROKHA”
Hello, Elena.You came to our clinic with your child on October 17 with a complaint of pain in your left leg and poor condition of the plaster cast, with a diagnosis of “Closed fracture of the 5th metatarsal bone of the left foot.” On examination, the circular plaster cast on the left foot and the lower third of the lower leg lies well, the innervation and blood supply are not disturbed, there is a sagging of the skin along the posterior surface of the lower leg at the border with the plaster cast. When the circular bandage is removed, the fracture area is not changed, there are no deformities, no edema, the skin of the foot is clean, palpation and percussion are painless, which indicates the beginning of the restoration of the bone structure.The manipulations were carried out: treatment of abrasions on the skin of the posterior surface of the leg, wet treatment of the foot from plaster dust, in accordance with the rules of dysmurgy (the science of dressing), a circular plaster cast was applied in stages. Applying a bandage: a soft bandage from a bandage, a soft lining of synthetic cotton wool on the plantar surface of the foot, a plaster splint on the plantar surface of the foot with the transition to the back to the 4th metatarsal bone and on the lower leg with fixation of the ankle joint below the abrasion site, the foot is fixed manually in physiological the correct position, then the bandage is translated into a circular one.Recommendations were given: do not wet the plaster cast, do not get up on the leg, observe the regime of complete immobilization for 2 days, since the plaster cast dries completely for 1-2 days. You came back at 18.10 with complaints about the poor condition of the plaster cast. On examination, the plaster cast lies well, the innervation and blood supply are not disturbed, on the front surface of the bandage in the area of the fingers there is a crack of 2.0 cm, in the area of the lower leg the bandage is softened to a width of 1.0 cm, the fracture area (5th metatarsal bone) is fixed well.According to the rules of dysmurgy, in case of a fracture, it is necessary to immobilize the joints that include bone, and the 4th and 5th metatarsophalangeal joints and the fore-metatarsal joints are completely immobilized. The child can move 1 and 2 toes, there is a 1.0 cm play in the ankle joint, which is permissible for this fracture. Minor damage to the plaster cast is apparently caused by non-compliance with the full immobilization regime and is not dangerous for a broken bone.
Talking about non-compliance with the prescribed regimen allows the fact that you change the plaster cast for the fourth time in a week, apparently due to the increased activity of the child.The hardening time of the gypsum does not depend on the correct application of the bandage, but on the properties of the material itself. Replacing the plaster cast on 18.10 was not rational, since the bandage lies well, the immobilization of the fracture site is adequate.
90,000 with and without displacement, timing of heel bone fusion, symptoms, treatment, rehabilitation and exercises, closed and marginal fracture
Sergey Sinyutin
broke his heel
Author’s profile
In the summer of 2020, I trained on the sports ground.During the long jump, he landed and felt a sharp pain in his right foot.
It was painful to stand on it, and the sneaker, which was already close to me, suddenly began to press. In the emergency room, the traumatologist made an X-ray and diagnosed an extra-articular fracture of the calcaneus without displacement.
I spent four and a half months on treatment and 28,840 R. I will tell you how to choose the right crutches and what exercises to do to start walking faster. I think that my experience will be useful to everyone who injured their legs during sports or at home.
See your doctor
Our articles are written with a passion for evidence-based medicine. We refer to reputable sources and go for comments from reputable doctors. But remember: the responsibility for your health lies with you and your doctor. We do not write prescriptions, we make recommendations. It is up to you to rely on our point of view or not.
How does a calcaneus fracture occur
In 60% of cases, the heel bone breaks due to a fall on the heels from a height.For example, while playing sports or at home: when jumping long, exercising on a horizontal bar or falling from a ladder. The blow falls on the heel bone, it does not withstand the load and breaks. Approximately 10% of victims break both heels at once.
Causes of Calcaneus Fractures – Uptodate
If the heel bone breaks during a fall, the person feels a sharp pain, which intensifies when he tries to stand on the injured leg. A swelling appears in the back of the foot.Most of these fractures are closed: the injured heel bone does not protrude outward and does not damage the skin from the inside. If the skin is damaged, an open fracture can be suspected – this is an emergency situation that requires urgent surgery.
Calcaneal fracture symptoms – Very Well Health
Less commonly, heel fractures are caused by prolonged repetitive stress on the heels – for example, in long-distance runners. With such a fracture, swelling is rare, and the pain increases gradually.If the runner felt pain, but did not stop, then it will get worse. During rest, the pain subsides, but reappears with repeated exertion. This is especially noticeable at the first steps in the morning.
How I was diagnosed
It was impossible to step on the injured leg because of the pain, so it was necessary to take a taxi to the house, and from there to the state trauma center at the place of residence. The traumatologist at the emergency room asked me about what had happened, examined my leg and sent me to an X-ray of the foot, which could be done here under the compulsory medical insurance.
This is what the X-ray of my heel looked like. On the right is the lateral heel. On the left – a computer-enlarged fracture site I am in a trauma center with an X-ray direction. My father brought the cane, because I could not get to the emergency room on one leg. But it was also difficult with a cane: unlike crutches, with a cane you need to step on the ground with each foot. Therefore, I had to step on the injured leg every other time and endure the pain
After the X-ray, I returned to the traumatologist. The doctor looked at the picture and diagnosed an extra-articular calcaneal fracture without displacement.He explained that one small fragment broke off from the heel bone, but it did not move. In addition, the fracture is far from the joint and does not affect it in any way, so surgery is not required. The only treatment is to apply a cast and, until it is removed, walk with crutches so as not to load the injured leg.
I am suspicious of government specialists. If possible, I try to visit another doctor in any other clinic and get a second opinion. To make sure I was correctly diagnosed, I asked the traumatologist for a copy of my X-ray.The picture was digital, so the doctor just printed two copies, glued one to the card, and gave the other to me. I don’t know what they do in traumatology, where there is no digital X-ray, but by law the doctor is obliged to give you a copy of the image if you ask for it.
Order of the Ministry of Health dated 09.06.2020 No. 560n “On approval of the rules for conducting X-ray examinations”
Then the doctor sent me to apply plaster to the next dressing room. The nurse in the dressing room warned that she would fix the plaster with gauze and later the structure could start to slip, so it is better to buy an elastic bandage yourself and bandage the plaster with it.After the dressing, the traumatologist issued a sick leave, warned that during the treatment process it would be necessary to come to the emergency room once a week for an examination and let him go home.
Since traumatology was state-owned, the appointment of a traumatologist, X-ray and plaster cast were free. I spent money only on a taxi to the emergency room and home – 500 R in both directions.
TEXTBOOK
How to beat burnout
A course for those who work hard and get tired. The price is open – you set it yourself
Start learning
How is heel bone fracture treated?
If the fracture line does not enter the joint cavity and the fragments of the heel bone have not shifted, as in my case, then a plaster cast is often sufficient for treatment.The plaster cast fixes the calcaneus in one position, and the fracture heals.
If the fracture line enters the joint cavity or the fragments of the heel bone are displaced, an operation – osteosynthesis may be required. When there are many fragments, the doctor makes an incision on the outside of the foot, puts the fragments back in place and fixes them with metal screws. One large shard can be put in place and secured with a screw through several small incisions. After the operation, the doctor applies a cast to keep the leg motionless and the fracture to heal.
How long does a calcaneus fracture heal
Sofya Khabibova
sports traumatologist of the GreenCityMed medical center
The healing time can take from 6-8 weeks to 2.5-3 months. The timing is influenced by how the patient was injured, the complexity of the fracture and the method of treatment. For example, an intra-articular displaced fracture will heal longer than an extra-articular non-displaced fracture.
In addition, the period may vary depending on the age of the patient and his previous level of physical activity: the younger and more active a person is, the faster the fracture heals.And on whether the patient adheres to the regimen: if he loads the injured leg until the moment when the doctor allows it to do so, the healing time will increase.
How the fracture healed
Under the cast, my leg continued to hurt for three more days. But the pain was aching and weak, so there was no need to drink painkillers. At this stage, I spent money on crutches, an elastic bandage, dietary supplements and a trip to the emergency room by taxi.
Crutches. Immediately after the emergency room, a relative brought wooden axillary crutches.They were old and uncomfortable: a relative wrapped cotton wool and bandages around the armpit rests, but they pressed hard anyway. These crutches also turned out to be too low for me: my height is 196 cm, and the crutches were designed for 170 cm. When I got up on them, I had to bend down a lot.
So I was able to go for a couple of days until I bought new crutches in the online store for 1700 R. They could be adjusted to fit your height using a telescopic system. The presence of the system does not mean that the same crutches are suitable for people with a height of 155 and 190 cm.The height of the adjustable crutches will still vary. In order not to be mistaken, you need to compare your height with the range of the telescopic system.
Unlike the old crutches, the new ones had removable, washable pads on the armpit supports. Telescopic system. I took crutches with a range that fits a person with a height of 180 to 200 cm
How to choose the right crutches
Sofya Khabibova
sports traumatologist of the GreenCityMed medical center
Crutches can be with support under the elbow and with support under the armpit.The elbow rest is more suitable for young, athletic people without excess weight. If a person is aged or overweight, it is better to choose classic crutches, with an emphasis under the armpit.
The height of crutches with an emphasis under the armpit is selected so that the stops by 1.5-2 cm do not reach the armpit when the person is standing upright. But it is worth bending a little forward and leaning on crutches, the stops will fit snugly to the armpits.
Crutches with an emphasis under the elbow are selected in the same way: in a standing position, the stops by 1.5-2 cm should not reach the forearms and should fit snugly if you lean on them.
Elastic bandage. On the advice of the emergency room nurse, I bought an elastic bandage and wrapped it over the cast to prevent it from slipping. I tightened it slightly, so the leg was comfortable and it did not go numb, and at night I weakened the bandage even more. Since I was put on a splint – a plaster cast fixing the foot – the bandage had to be wound from toe to calf. A short bandage 3.5 meters long was enough for this. In an online store, this cost 400 R.
dietary supplements. In addition to the main treatment, the traumatologist recommended drinking dietary supplements – mummy and calcium, saying that this way the fracture would heal faster.And my friend, a rehabilitation therapist, advised dietary supplements with glucosamine and chondroitin. Evidence-based medicine does not confirm the effectiveness of dietary supplements, but I decided that I would use everything that the doctors recommended, and drank the supplements all the time I walked with the cast.
What to do? 07/02/20
The doctor prescribed dietary supplements along with the usual medicine. This is fine?
Trauma center. Once a week I had to go to the emergency room for examination. Because of the plaster, each hike took a lot of time and effort: I tried to walk and drive my car, pressing the pedals with my good left foot.It was more convenient, but also more expensive, was a taxi: 500 R there and back.
They were reluctantly accepted at the emergency room. It all boiled down to the fact that the doctor simply asked if his leg hurt and extended the sick leave. After three weeks and three such visits, I told the traumatologist that I would no longer come for examinations and refuse sick leave, since I still work remotely and I don’t need it. The doctor immediately closed the hospital for a violation of the regime, gave it to me and told me to come for an examination in about a month and a half, by this time the fracture should have already healed.
Spent on treatment for two and a half months in a cast – 5840 R
| Crutches | 1700 R |
| Dietary supplements with glucosamine and chondroitin | 1600 R |
| Shilajit | 900 R |
| Calcium | 740 R |
| Taxi to the emergency room and back | 500 R |
| Elastic bandage | 400 R |
Dietary supplements with glucosamine and chondroitin
1600 R
Taxi to the emergency room and back
500 R
How was the rehabilitation
Approximately two and a half months passed from the moment of injury to removal of the cast.At the follow-up examination, the traumatologist once again sent me for an X-ray and, according to the results, said that the fracture had grown together, that the plaster cast could be removed and the leg was restored.
X-ray of the heel after healing
Elastic bandage. When the cast was removed, I saw that my leg was very swollen. To make the swelling go away faster, the traumatologist recommended to bandage the leg with an elastic bandage every day. I walked around with a bandaged leg all day and only took off the bandage at night. The swelling went away only after three weeks.
Recovery exercises. On the advice of a rehabilitation friend of mine, I did exercises for my injured leg until I was able to fully stand on it. I think exercise has accelerated recovery.
The first exercise is sitting on your toes. You need to put the toe of the sore leg on a hill, for example, on a stack of books. At the same time, the heel can be suspended or touch the floor. Then, without lifting the toe from the support, you need to smoothly raise the heel. I did the exercise for three weeks in a row: three to four times a day for five to six minutes. The second exercise: standing facing the wall, you need to put your injured leg behind you, your healthy leg closer to the wall.Without lifting the sore leg off the floor, we bend the healthy leg at the knee. I did the exercise for three weeks, 30-40 approaches four to five times a day
The first week, progress was slow: the sore leg was motionless and painful when I tried to walk on it and did the exercises. It was possible to move only with one crutch. In the second week, the pain during walking decreased and it was possible to walk around the apartment without crutches, but only along the walls. I still leaned more on my good leg, but even this progress was pleasing.
In the third week, I learned to stand on two legs with an equal load and was able to take small steps for a walk. During the day I tried to walk one kilometer, then my leg got tired and aching pain appeared.
After the third week, I stopped exercising and limited myself to walking. After another month and a half, the leg recovered completely, I was able to play sports again. Now the leg does not bother, no matter how much I load it.
What methods of rehabilitation are used after a fracture of the calcaneus
Sofya Khabibova
sports traumatologist of the GreenCityMed medical center
An obligatory method of rehabilitation after a fracture is physical therapy, or kinesitherapy.It is prescribed after the fracture has healed. The goal of the method is to restore movement, reduce pain and prevent complications, such as contracture – a restriction in which it is impossible to bend or straighten the foot.
Exercise increases the tone of the foot muscles, which weaken after immobilization in a cast. Without physical therapy, rehabilitation will be incomplete – the patient may further experience problems with walking.
In addition to physical therapy, the doctor may prescribe foot massage and physiotherapy such as electrophoresis, magnetotherapy or ultrasound.Massage can improve blood circulation and relieve pain. Physiotherapy has not proven its effectiveness in terms of evidence-based medicine, but this method is included in the order of the Ministry of Health on guaranteed medical care, so it can be obtained under the compulsory medical insurance in a state polyclinic in the same way as physical therapy and massage.
How much did I spend on treatment
All treatment – examinations of a traumatologist, X-rays and plaster cast – I received under the compulsory medical insurance in the emergency room at the polyclinic. I spent money only on crutches, an elastic bandage and dietary supplements, which were recommended to me by a traumatologist and a friend of a rehabilitation therapist.
I am lucky to have a fracture during the summer pandemic. My job did not require a constant presence in the office, I worked quietly from home and did not provide the employer with sick leave. But due to personal injury, I still had to take a taxi. Before my illness, I walked or drove my car. During the treatment and rehabilitation, a taxi took 8500 R: 5500 R while walking with a plaster cast, 3000 R – during the recovery period.
In addition to taxi costs, food costs have changed.Once or twice a week, I made large purchases of groceries using the Perekrestok or Scooter delivery service. Usually he took canned food, oil, cereals and everything that does not spoil for future use. For perishable goods, I used the delivery of shops that work at home.
In general, I bought the same amount of food as before the illness, but expenses increased by 15-20%, because the food in Perekrestok and Samokat turned out to be more expensive than in the stores where I bought before the break. For two and a half months in a cast and three weeks of rehabilitation, until I was able to fully go out, I overpaid for the delivery of about 15,000 R.
90 022 Expenses during the treatment of a heel fracture – R 28 840 R 90 023
| Overpayment for food delivery services | 15,000 R |
| Taxi | 8500 R |
| Crutches | 1700 R |
| Dietary supplements with glucosamine and chondroitin | 1600 R |
| Shilajit | 900 R |
| Calcium | 740 R |
| Elastic bandage | 400 R |
Overpayment for food delivery services
15,000 R
Dietary supplements with glucosamine and chondroitin
1600 R
Remember
- The heel bone can break if you fall from a height on your heels or if you are under prolonged stress, for example, while running a long distance.
- Sharp pain and swelling after a blow or increasing pain while running – a reason to suspect a fracture of the heel bone and go to the emergency room.
- Depending on the type of fracture, the doctor may apply a plaster cast or recommend surgical treatment – osteosynthesis.
- Crutches should be selected according to their height during treatment and rehabilitation. The most convenient models are with a telescopic system, with which you can adjust the height of the crutches.
- Exercise can accelerate the recovery process.The attending physician should select them, since improperly selected exercises and load can harm.
Did you also have an illness that affected your lifestyle or attitude? Share your story.
90,000 What do you need to know about fractures and their consequences ?. News. Channel One
Winter is not only a time of flu, but also of fractures. Ice, specific sports. All this forces traumatologists to work in an enhanced mode.
Report by Maria Torlopova.
The famous Beethoven’s “To Eliza” music lover Ivan Shelumentsev plays with one left. Because the right one is broken. Ivan is a big fan of snowboarding, when he went for a drive for the last time, he slipped, fell, woke up – a plaster cast.
Ivan Shelumentsev, snowboarder: “The shoulder cracked, one might say, in half. The hand began to dangle. I realized that when I sat down on the slope and realized that my right hand was twitching!”
Ivan has a broken arm in two places. So he can only dream of snowy peaks.
It’s one thing when you break your arm or leg while snowboarding, skiing or skating. But sometimes it is not safe under the windows of your home. There are ice fields in the courtyards. In order not to slip, it is better to bypass the ice in the snow.
Natalya Petrova, a resident of Tyumen, gives an interview reluctantly – the pain in her leg is such that she can hardly bear it. Even in the morning she walked to work on her own two feet. And now one leg is in a cast. Traumatologists assure: sudden changes in temperature – and they have a queue of patients. All are victims of ice.
Ivan Sabatov, traumatologist: “Holidays, weekends, we are working hard. There are more patients, much more.”
Doctors say: almost always their patients are to blame. Someone walks too fast on slippery roads, someone abuses alcohol. And sometimes people fall from fatigue, in the literal sense, according to doctors, most of the fractures are in the evening.
Pensioner Anna Uskova from Kirov blames osteoporosis for her troubles. Almost all elderly people have this disease, because of it the bones are so fragile that they break instantly even with minor bruises.
Anna Sergeevna will have to spend two months in the hospital and four more – on crutches. True, even after that, doctors do not guarantee that the bone will recover completely.
Vladimir Kovrizhnykh, traumatologist: “If there is osteoporosis, then the means of fixation cannot hold the bones as well as in young patients. Therefore, problems arise here, and treatment of patients is more expensive, since it requires a new generation of fixators!”
To strengthen bones, doctors advise eating as many calcium-containing foods as possible.A slice of cheese, a glass of milk, or a bowl of cottage cheese every day are powerful bone support. Such a diet, according to doctors, can greatly reduce the risk of fractures in osteoporosis.
14-year-old Misha Pivovarov milk and cottage cheese help to recover from a severe injury. 4 months ago he was hit by a car right near his house.
Elena Pivovarova, mother of Misha Pivovarov: “It was a very difficult case. He was on the verge of death. There was an infection, a leg injury, a head injury and infection with a purulent stick.”
The boy wears the Elizarov apparatus, but can already walk. The leg still hurts, but the doctors have no doubts that soon he will run again as before. Misha himself admits: he is waiting – he can’t wait to play with friends in the yard again. But now, he says, he will take care of himself.
Presenter: Much to our chagrin, no one is immune from injuries to the musculoskeletal system. Therefore, the advice of an experienced orthopedist, candidate of medical sciences Oleg Yablansky should be of interest to everyone. What determines the strength of our bones, their resistance to fractures, cracks? Can we somehow influence this process?
Guest: The strength of our bones depends primarily on the calcium content in our bones.The level of exertion, a sedentary lifestyle, physical inactivity, all this imperceptibly leads to a decrease in the accumulation of calcium in our bones. Therefore, it is necessary, turning to a specialist, to select medications that will strengthen our bones in the winter-spring period.
Host: If there was a trouble, you fell, broke something for yourself, how should you behave?
Guest: It is imperative to contact a traumatologist. But, before you budge, you need to take care of pain relief and immobilization of the area that we injured.If we have tucked the ankle joint, we can use some available means to try to fix the joint. As an improvised material, say, on a ski slope. In order to fix a leg that is damaged, you can use a ski, ski poles. Can be used with hockey sticks. Snow, ice, now that’s enough, in a cellophane bag can be applied to the pain zone. This will ease the suffering, and you will collect your thoughts, decide what you need to do at the moment.
Host: Well, the hospital will already provide the necessary assistance.How to speed up your recovery, bone fusion?
Guest: Well, first of all, you need to follow the doctor’s recommendations. Unfortunately, we cannot speed up the process, biological processes in the body. We can create comfortable conditions for these processes to take place within the time frame in which they take place. If we violate some recommendations, we will not comply with something, we can only slow down this process.
Presenter: But is it growing in the same way as it was before? Or, after all, it is impossible to use a broken arm in the same way as before the fracture?
Guest: Depends on the location of the fracture, on the degree of displacement.If it is a hip fracture in an adult, sixty years old, then it can lead to disability and even death. That is, there are a lot of nuances here, so you need to be watched by a specialist right after the injury.
Host: With fractures, everything is clear. And how to understand that there is a crack, and this is not just a bruise and swelling of some type of bruise, and how should they be treated?
Guest: To understand that this is a crack or a complete fracture, or just a soft tissue injury, you can make an X-ray or computed tomography of this segment.Only by such research can we determine whether there are any structural disorders of the bone or not.
Host: But if there is a crack, the person did not go to the doctor. There is no displacement, no kink, it has grown together itself. Is it dangerous or not?
Guest: It is not dangerous, but it may not grow together for a long time. Bone destruction, bone resorption may begin. And if, for example, at first it was a crack, an incomplete fracture, then over time it may form a gap, a bone defect that will require surgical treatment.
Rehabilitation after heel fracture – recovery program after plaster cast removal in Moscow
Injury to the heel bone affects the patient’s motor activity and affects the health of not only the foot, but also the entire leg. Reducing physical activity leads to muscle atrophy, negatively affects blood circulation, metabolism. Therefore, we recommend that you do not limit yourself only to the imposition of a plaster cast, but be sure to consult a doctor who will draw up a program of rehabilitation measures.
Recovery after a heel fracture avoids a large number of complications, including hallux valgus, deformity of the metatarsal bone, degenerative changes in the joint, irritation of the tendons, recurrent pain at the site of injury, the appearance of bone growths, the development of flat feet, osteoporosis, arthritis, etc.
Features of recovery after a fracture of the heel bone
The rehabilitation program can last up to six months, depending on the severity of the injury, the individual characteristics of the patient (age, weight, physical activity, etc.)) and the qualifications of the doctor.
The “Wellbeing” specialist selects recovery methods individually: we do not use “template” solutions, since each case is unique, and only a personal approach allows us to solve the specific problems of each patient as soon as possible.
The rehabilitation program is complex and consists of a number of methods:
- Massage. It can be done even before the doctor removes the plaster cast: the masseur develops the places around the plaster.The main task of the method is to increase blood circulation. At first, the patient may experience discomfort. This is a normal reaction, but it is best to report it to a specialist.
- Physiotherapy exercises. Particular attention is paid to the method if the fracture was displaced. The first simple exercises can be performed after the bone has healed: the patient bends and unbends the toes, rotates, bends and unbends the foot, pulls the toe towards and away from himself, walks on toes and heels, rolls the ball with the foot, etc. Severe pain after a heel fracture It should not be: if the patient feels discomfort, then the training should be interrupted and the doctor should be informed about his condition.
- Physiotherapy. They improve blood circulation, lymph circulation, relieve pain syndrome, inflammation, normalize metabolism, start regeneration processes and promote faster recovery of bone and soft tissues. The doctor can prescribe electro- and phonophoresis, laser treatment, UHF, etc.
- Hydrotherapy. Usually, the doctor prescribes warming baths that restore muscle tone and normalize blood circulation.
- Proper nutrition. The diet should contain foods high in calcium, silicon and magnesium.
- Wearing orthoses and orthopedic shoes. Soft, rigid and semi-rigid orthoses reduce swelling and avoid muscle atrophy. And special insoles allow you to correctly distribute the load on the foot, so that it gets less tired. They wear orthopedic shoes for at least six months, the doctor gives precise recommendations.
A patient is considered healthy if he can stand on the injured leg, walk and move without pain or any restrictions.
What are the recovery procedures directed to?
The specialist has many tasks:
- To restore the muscles, ligaments and tendons to their previous elasticity and normalize their tone.
- Restore motor functions of the leg, avoid muscle atrophy.
- To activate blood supply and lymph flow in the area of not only the heel, but also the entire leg.
- Reduce tissue edema, avoid inflammation and other complications after fracture.
- Speed up the healing process.
- Relieve pain.
These tasks can be accomplished using a comprehensive therapy tailored to the individual patient.Doctors at “Blagopoluchiya” pay attention not only to the procedures themselves. They help patients position their feet correctly to avoid additional stress on the heel.
Contraindications for fracture
Some patients believe that rehabilitation procedures are necessary mainly while wearing a cast. But rehabilitation after a heel fracture after removing the cast is equally important. During this period, you should also follow the doctor’s recommendations, do not overload the joint, wear special orthopedic shoes, selected by a specialist.Self-medication or neglect of therapy can lead to repeated injury, pain, displacement of the bone, etc.
Doing exercise therapy after a fracture is possible only with the permission of a doctor: even seemingly small loads can lead to serious consequences. The doctor selects the type of exercises, monitors the technique of execution, the patient’s condition, determines the number of repetitions and the amplitude of movements.
When drawing up a rehabilitation program, the doctor carefully examines the patient in order to clarify the absence of contraindications to any of the recommended treatment methods.As a rule, a number of techniques are contraindicated for oncological, psychological, infectious, skin diseases, chronic diseases in the acute stage, etc. conditions for a comfortable stay of sedentary patients. All our premises have a non-slip, non-threshold coating, wide doorways, ramps and handrails, we provide crutches, wheelchairs, we select orthoses and insoles.
Only modern equipment is used in the “Prosperity” center, and the doctors of the center regularly improve their qualifications in order to restore health and well-being to patients as soon as possible.
Treatment of ankle fractures in children
Relevance
A broken ankle or ankle fracture means a fracture of one or more of the three bones that make up the ankle. This often occurs as a result of tucking the ankle.Ankle fracture is a common injury in children. Some fractures are minor and the bones remain in place (not displaced). Other fractures can be more serious – the bones are displaced relative to each other and can even damage the skin. Such fractures can affect further bone growth. Severe damage to the growth zones can lead to deformation of the lower leg.
Minor fractures are often treated by placing the injured leg in a removable fiberglass splint or applying a plaster cast.These devices are also used for some fractures with displacement after matching the fragments. However, displaced fractures often require surgery. The operation allows the surgeon to match the bone fragments in the correct position. To fix the fragments, screws, plates and pins are usually used. A plaster cast is usually applied to the leg while it heals.
Search results
We searched medical databases through September 2015 and included 3 randomized studies reporting results for 189 children.All children had minor ankle fractures with a low risk of complications for further growth, according to their physicians.
Main results
Two studies compared the use of a factory removable rigid ankle brace. One study used a removable fiberglass brace for 2 weeks, and another used a knee-length plaster cast for 3 weeks. Both studies provided some evidence of faster recovery of function (reported by patients and their parents) after four weeks in children treated with ankle braces compared with those treated with rigid restraints.One study reported a higher incidence of complications such as abrasions and calluses in the group using orthoses. Most of them were related to the fact that a protective sock was not worn when using an orthosis. Another study reported an increase in unscheduled visits to health care professionals for any problem in the “hard fixation” group. In this study, children preferred to wear a brace, which could be removed after 5 days, rather than a plaster cast, which needed to be worn for 3 weeks.None of the studies reported long term results.
A third study compared the use of Tubigrip with crutches versus a plaster cast for 2 weeks. This study provided weak evidence for an earlier return to daily activity (6 days; 14 days versus 20 days) in children in the Tubigrip group.

Severe fractures usually need a longer limit on weight-bearing activities.