Can you collapse a lung by coughing. Can Excessive Coughing Collapse Your Lung? Exploring Pneumothorax Risks
Can coughing actually damage your lungs. Is it possible to cough up a lung. What are the potential consequences of prolonged, violent coughing. How does a pneumothorax occur and what are its symptoms. When should you seek medical attention for a persistent cough.
Understanding Pneumothorax: The Collapsed Lung Phenomenon
Pneumothorax, commonly known as a collapsed lung, occurs when air accumulates between the lung and the chest wall. This buildup of air exerts pressure on the lung, causing it to collapse partially or fully. While the idea of “coughing up a lung” is physically impossible due to anatomical constraints, excessive coughing can lead to serious complications, including pneumothorax in rare cases.
Types of Pneumothorax
- Simple pneumothorax
- Primary spontaneous pneumothorax
- Secondary spontaneous pneumothorax
- Tension pneumothorax
- Traumatic pneumothorax
Each type of pneumothorax has distinct characteristics and causes. For instance, primary spontaneous pneumothorax occurs without any apparent reason, while secondary spontaneous pneumothorax is associated with underlying lung diseases.

The Reality Behind “Coughing Up a Lung”
Despite the common expression, it’s physically impossible to actually cough up a lung. The trachea, or windpipe, is simply too small for a lung to pass through. However, a case reported in the New England Medical Journal in 2012 described a woman who coughed so forcefully that her lung herniated between two ribs. This rare occurrence underscores the potential severity of prolonged, violent coughing.
Potential Injuries from Excessive Coughing
While you can’t cough up a lung, persistent and forceful coughing can lead to various injuries:
- Coughing up blood
- Muscular pain
- Damage to small blood vessels
- Throat tissue damage
- Cracked ribs
- Ruptured diaphragm
Coughing and Lung Damage: Understanding the Connection
Can persistent coughing cause significant lung damage? While coughing is generally a protective mechanism to clear airways, excessive and prolonged coughing can indeed lead to complications. Chronic cough can cause inflammation of the airways, potentially exacerbating existing respiratory conditions or even contributing to the development of new ones.

Coughing Up Blood: When to Worry
Hemoptysis, or coughing up blood, can occur due to sustained coughing. It typically appears as small amounts of bright red blood or blood-streaked phlegm. While alarming, small amounts of blood in sputum are often not serious. However, coughing up large amounts of blood or persistent blood-tinged sputum warrants immediate medical attention.
Pneumothorax Symptoms: Recognizing a Collapsed Lung
Identifying the symptoms of pneumothorax is crucial for timely intervention. The severity of symptoms can vary depending on the extent of lung collapse.
Common Pneumothorax Symptoms
- Sudden, sharp chest pain
- Shortness of breath
- Rapid breathing
- Dry, hacking cough
- Chest tightness
- Bluish skin color due to lack of oxygen
In some cases, particularly with small pneumothoraces, symptoms may be mild or even absent. However, any suspicion of a collapsed lung should be evaluated by a healthcare professional promptly.
Causes and Risk Factors for Pneumothorax
Understanding the causes and risk factors for pneumothorax can help in prevention and early detection. While violent coughing can potentially lead to pneumothorax, it’s relatively rare. More common causes include:

- Chest injuries
- Underlying lung diseases (e.g., COPD, cystic fibrosis)
- Tall, thin body type (for primary spontaneous pneumothorax)
- Smoking
- Mechanical ventilation
- Certain medical procedures
Are some individuals more susceptible to pneumothorax from coughing? People with pre-existing lung conditions or weakened lung tissue may be at higher risk of developing pneumothorax from forceful coughing episodes.
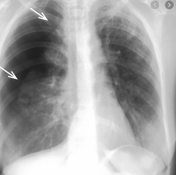
Diagnosing Pneumothorax: Medical Approaches
Accurate diagnosis of pneumothorax is essential for appropriate treatment. Healthcare providers use various methods to confirm the presence and extent of a collapsed lung.
Diagnostic Tools for Pneumothorax
- Chest X-ray
- CT scan
- Ultrasound
- Physical examination
A chest X-ray is typically the first-line diagnostic tool, providing a clear image of the lungs and any air in the pleural space. CT scans offer more detailed images and can detect smaller pneumothoraces that might be missed on X-rays.
Treatment Options for Pneumothorax
The treatment approach for pneumothorax depends on its size, cause, and the patient’s overall health. Options range from conservative management to invasive procedures.

Common Pneumothorax Treatments
- Observation for small, stable pneumothoraces
- Oxygen therapy
- Needle aspiration
- Chest tube insertion
- Surgery for recurrent cases
In some cases, particularly with small pneumothoraces, watchful waiting may be sufficient as the body can reabsorb the air over time. However, larger or tension pneumothoraces often require immediate intervention to remove the trapped air and allow the lung to re-expand.
Preventing Lung Damage from Chronic Cough
While not all cases of chronic cough can be prevented, there are steps you can take to reduce the risk of lung damage and potential complications like pneumothorax.
Strategies to Manage Chronic Cough
- Identify and treat underlying conditions
- Avoid irritants (e.g., smoke, pollution)
- Stay hydrated
- Use humidifiers
- Practice good cough etiquette
- Consider cough suppressants under medical guidance
Is it possible to strengthen your lungs to withstand forceful coughing? While you can’t directly strengthen lung tissue, improving overall respiratory health through regular exercise, breathing exercises, and avoiding smoking can enhance lung function and resilience.

When to Seek Medical Attention for Cough-Related Concerns
Recognizing when a cough requires medical evaluation is crucial for preventing potential complications. While most coughs resolve on their own, certain signs warrant prompt medical attention.
Red Flags for Cough-Related Medical Emergencies
- Coughing up large amounts of blood
- Severe chest pain
- Difficulty breathing
- Fever accompanied by cough
- Cough persisting for more than 3 weeks
- Cough associated with unexplained weight loss
How quickly should you seek medical care if you suspect pneumothorax? If you experience sudden, sharp chest pain and difficulty breathing, especially after a violent coughing episode, seek emergency medical care immediately. Prompt treatment can prevent the condition from worsening and reduce the risk of complications.
Understanding the potential risks associated with excessive coughing and being aware of the signs of more serious conditions like pneumothorax can help ensure timely medical intervention when necessary. While the expression “coughing up a lung” remains a figure of speech, the importance of respiratory health and proper cough management cannot be overstated. By staying informed and attentive to your body’s signals, you can protect your lung health and overall well-being.

Cough Up a Lung: Is It Physically Possible?
After a long coughing fit, you might joke about it by saying something along the lines of, “Wow! I almost coughed up a lung.”
Is it possible to cough up a lung? Since your trachea, also called the windpipe, is too small for one of your lungs to fit through, the answer is, no matter how violently you cough, no.
While it is physically impossible to cough up a lung, you can cough out a lung. A 2012 article in the New England Medical Journal describes a woman coughing so hard that her lung was pushed between two of her ribs.
The 40-year-old patient had asthma and had been coughing markedly for two weeks. Apparently, the coughing was vigorous enough to herniate her right lung by rupturing an intercostal muscle between two of her lower ribs.
Although you are not going to cough up a lung, you can sustain other injuries from frequent and violent coughing, such as:
- coughing up blood
- muscular pain
- damaging small blood vessels
- damaging throat tissue
- cracking ribs
- rupturing your diaphragm
Coughing up blood
Sustained coughing can result in blood in your lungs which can be coughed up.
It typically appears as small amounts of bright red blood or phlegm and saliva streaked with blood. Along with persistent coughing, this could also be the sign of a chest infection.
Muscular pain
Strong pressure is generated every time you have a coughing fit. This pressure can strain muscles and cause pain. It follows that prolonged coughing can result in chronic pain.
Damaging small blood vessels
Fine blood vessels, such as those in your nose, eyes, and anus, can burst under the pressure of violent coughing.
Damaging throat tissue
The tissues of your throat can become inflamed due to a chronic cough. Sustained coughing can also lead to throat infections that can spread to other areas of your body.
Cracking ribs
Although a rib fracture caused by chronic coughing is more likely in people with lower bone density, it can happen to people with normal bone density. The ribs most likely to crack under the pressure of coughing are the fifth through ninth, and they are most likely to crack on the side.
Rupturing your diaphragm
When you cough, your ribs are pushed downward and inward. At the same time, your diaphragm is pushed upward. The combination of these opposing actions can result in a diaphragmatic rupture.
Coughing can be traced to numerous causes. Some of the underlying conditions that could be the reason for your coughing could include:
- whooping cough (pertussis)
- asthma
- bronchitis
- bronchiectasis
- pneumonia
- tuberculosis
- GERD (gastroesophageal reflux disease)
- lung damage, such as from smoke inhalation, trauma, drug use
If you have an unexplained cough that has been present for more than a couple of weeks, see your doctor.
Get emergency medical care if, along with the cough, you have other symptoms that suggest an underlying condition. These symptoms might include:
- fever
- chest pain
- racing heartbeat
- difficulty breathing
- severe abdominal pain
- excessive sweating or chills
- coughing up large amounts of blood
After a particularly vigorous coughing fit, repeating the old joke about coughing up a lung might get you a laugh.
But that’s all it is: a joke that’s possibly funny because the suggestion is so outlandish.
It is not physically possible to cough up a lung, but there are a number of ways that violent coughing can hurt your body, from coughing up blood to cracking your ribs.
If you’ve had a persistent cough for more than a few weeks, call your doctor.
Symptoms, Causes, Diagnosis and Treatment
Written by WebMD Editorial Contributors
Medically Reviewed by Paul Boyce, MD on August 19, 2022
- What Is Pneumothorax (Collapsed Lung)?
- Types of Pneumothorax
- Pneumothorax Symptoms
- Pneumothorax Causes and Risk Factors
- Pneumothorax Diagnosis
- Pneumothorax Treatment
- Pneumothorax Recovery
- Pneumothorax Outlook
- Pneumothorax Prevention
- More
Pneumothorax, also called a collapsed lung, is when air gets between one of your lungs and the wall of your chest. The pressure causes the lung to give way, at least partly.
When this happens, you can inhale, but your lung can’t expand as much as it should.
Sometimes, a section of your lung can collapse because of a blockage or a lack of pressure inside the lung, instead of pressure from outside the lung. That’s a condition called atelectasis.
There are several types of pneumothoraces. You could have one or more at the same time:
- Simple, in which the tissues and organs between your lungs aren’t moved around
- Primary spontaneous, when it happens without any clear cause
- Secondary spontaneous or disease-related
- Tension, when air continues to enter the space between your lung and your chest wall, raising pressure in your chest
- Traumatic or injury-related
Symptoms can range from mild to dangerous. If your case is mild, you may not notice a problem. That’s why it’s important to tell your doctor what’s happening.
Common symptoms include:
- Bluish skin
- Chest pain, ache, or tightness
- Coughing
- Fatigue
- Fast breathing
- Fast heartbeat
- Shortness of breath
You can get a pneumothorax several ways. Causes include:
- Lung disease. Tissue that’s damaged is more likely to tear, allowing air to leak out. This is especially true with chronic obstructive pulmonary disease (COPD).
- Injury. A broken rib, knife wound, or gunshot wound can puncture your lung. In severe cases, the escaping air can build up pressure on your lung and heart, which might cause life-threatening problems such as loss of blood pressure.
- Mechanical ventilation. This machine that helps you breathe creates uneven pressure in your chest. As a result, your lung might collapse.
- Air blisters. Sacs full of air, called blebs, may form on the outside of your lung and then burst, creating pressure.
This happens most often with tall men who are younger than 40 and who smoke. - Your period. It’s rare, but cysts could form inside your chest. Within about 3 days before or after the start your period, the cysts release blood between the lung and chest.
Often, someone who has a collapsed lung gets another within 1 or 2 years. Smoking can also make the condition more likely. And some types of pneumothoraces run in families.
Your doctor will probably start with a physical exam. They’ll listen to your breathing through a stethoscope and tap your chest to find out if it sounds hollow.
You might have tests including:
- X-rays, so your doctor can see the outline of your lung
- A CT scan, a series of X-rays that a computer turns into a detailed image of your lung
- Arterial blood gas or pulse oximetry, to measure how much oxygen is in your blood
- EKG, to check how well your heart is working
Your treatment will depend on the type of pneumothorax and how severe it is.
You may have one or more of these:
Observation
Your doctor will probably want you to stay in the hospital so they can watch your progress. They treat a collapsed lung by getting rid of the pressure outside the lung so it can inflate again.
In minor cases without symptoms, the lung can expand again on its own. You may need to breathe oxygen from a container for a short time to help. Even if your case is mild, it’s important to have follow-up visits with your doctor so they can keep track of how you’re doing.
Needle aspiration or chest tube insertion
If your lung has collapsed further, your doctor may use a needle or a tube to release the extra air from your chest. The tube might be attached to a one-way valve. It could have to stay in place for hours or days.
Autologous blood patch
Your doctor can take blood from your arm and put it into your chest through a tube. This makes a patch on your lung that stops air leaks.
Surgery or pleurodesis
Cases involving lung disease, an accident, or repeated collapsed lungs may need surgery.
Or you could have a procedure called pleurodesis. Your doctor uses a needle and tube to put medicine like doxycycline into your chest. It triggers inflammation, which helps your lung stick to the chest wall and stay inflated.
It usually takes 1 or 2 weeks to recover from a pneumothorax. But you have to wait for your doctor to say you’re OK. Until then:
- Go back to your routine a little bit at a time. Go for walks or do other low-impact activities.
- Monitor your symptoms. Watch for chest pains or other signs that you haven’t healed, such as a fever or coughing up blood.
- Lift only light objects. Don’t pick up anything heavier than a gallon of milk. Don’t vacuum or mow the grass.
- Be careful how you exercise. Don’t do anything that jars your body, such as running or biking. Don’t play contact sports.
- Remember air pressure. Don’t get on an airplane until your doctor gives the OK, usually about 3 weeks after your lung has been repaired.
On land, don’t go more than 7,500 feet above sea level.
With treatment, many people don’t have long-term health effects from a pneumothorax. But it can happen again in up to 50% of cases.
If you’ve had a collapsed lung, you need to take extra care of yourself to keep it from happening again. Some tips:
- If you smoke, ask your doctor for help quitting.
- If you scuba dive, your doctor might tell you to stop.
- If you have a lung problem, keep up with your medical visits.
Top Picks
Emergencies
Cough
Cough is probably the most common problem parents face.
Very often, a cough, even if it sounds scary, has a harmless cause and goes away on its own. Sometimes coughing is a serious symptom. Let’s try to figure out how to behave when a child coughs and when to start sounding the alarm.
What is a cough?
Cough is a protective reflex designed to clear the airways. During a cough push, the air abruptly leaves the lungs and forces everything that interferes with breathing – sputum and foreign bodies – to come out. If you think about the mechanism of coughing, it becomes clear that it is far from always necessary to “suppress” it.
What causes and what does a cough look like?
The most common cause of cough is a viral infection. Viruses can cause damage to the respiratory tract at different levels – from the nose (with a common cold) to the bronchi, bronchioles and lungs, and coughing is a common symptom in all these diseases.
For example, sore throat and nasal discharge flowing down the back of the throat irritate the mucous membrane of the upper respiratory tract and stimulate the cough reflex. Due to irritation of the mucous membrane of the pharynx, a dry, hacking cough occurs, which will definitely pass without treatment, but in the acute period it can be quite frequent and painful, and even disrupt night’s sleep. A runny nose and discharge along the back of the throat provoke a wet cough, while the child begins to cough when changing position of the body, especially in the morning and at night when he gets up, lies down or rolls over. If the virus infects the mucous membrane of the larynx, a false croup develops, that is, swelling and, as a result, narrowing of the lumen of the larynx, which is accompanied by a “barking” cough, hoarseness, and a characteristic noisy breath (the so-called stridor). With inflammation of the bronchi, bronchioles and alveoli – bronchitis, bronchiolitis and pneumonia, respectively – sputum accumulates in the lumen of the respiratory tract, swelling of the mucous membrane occurs, resulting in cough and shortness of breath.
Unlike viral bronchitis and bronchiolitis, pneumonia is more commonly caused by bacteria and is accompanied by fever in addition to coughing and shortness of breath. In bronchial asthma, bronchospasm and accumulation of thick sputum in them occur after contact with an allergen, which also provokes a cough.
When should an ambulance be called for a child with a cough?

If the child does not have the most severe symptoms, but the child is concerned, see a doctor. An important sign of trouble is the appearance of the child – if he is lethargic, looks sick and if you cannot attract his attention and catch his eye. Shortness of breath, that is, rapid breathing, accompanied by an effort of the respiratory muscles and retraction of the intercostal spaces and the jugular fossa (depression above the sternum), is a sign that indicates damage to the lower respiratory tract. If you notice shortness of breath in a child, be sure to consult a doctor. Increased body temperature, especially fever above 39- 40 ° C, also requires that the child be examined by a doctor, as cough and fever can be symptoms of pneumonia.
Special attention should be given to children in the first months of life, because in young children, serious illnesses can be erased, and the condition may worsen suddenly. If you have a fever (that is, if the child’s rectal temperature is > 38 ° C) in children under three months old, you should definitely consult a doctor.
Should yellow or greenish sputum cause concern?
Yellow or green sputum does not always indicate a bacterial infection. With viral bronchitis and bronchiolitis, the yellow-green color of sputum is associated with the fact that cells of the mucous membrane of the respiratory tract, which the virus has damaged, enter the sputum. As a new mucous membrane is formed, the desquamated cells come out with sputum, so there is no need to be scared if the child coughs up yellow or even greenish sputum, since in most cases this is a normal manifestation of a viral infection that does not require antibiotics.
What should I do if my child coughs at night?
Most often, nocturnal cough is associated with the fact that when the child lies in bed, discharge from the nose and paranasal sinuses drain into the throat and cause a cough reflex. When a child rolls over in bed or gets up from a horizontal to an upright position, a coughing fit occurs.
In such cases, the doctor will prescribe a topical treatment for the child to reduce the runny nose and, as a result, reduce the cough.
Night cough also occurs with pathology of the lower respiratory tract. Therefore, if your child is concerned about a nighttime cough, consult a doctor.
What if the child coughs to vomit?
If your child has a paroxysmal cough before vomiting, contact your pediatrician as this may be a symptom of whooping cough. Whooping cough is especially dangerous for children in the first months of life. Sometimes whooping cough develops even in children who were vaccinated against it, but a lot of time has passed since the last revaccination.
Some children have a very easy gag reflex and may vomit when they cough, even if the cough is simply due to a runny nose. If vomiting occurs against the background of coughing, feed the child more often, but in small portions.
Prolonged cough
It is not uncommon for a prolonged cough to be caused by several successive viral infections. The child does not have time to recover from one infection and picks up another. In this case, the cough can last for several weeks and greatly frighten parents, although its cause is trivial.
However, a prolonged cough may be associated with allergies, including bronchial asthma, as well as whooping cough and other diseases of the respiratory tract and ENT organs (a chronic cough may even be due to earwax plugs in the ears!), so in case of persistent cough, consult your doctor.
How to treat a cough?
Cough can have many causes, and each case is treated differently. Show the child to the doctor to understand what the cough is connected with and how to help the child.
If the cough is accompanied by sputum production (wet, productive cough), sputum production should be stimulated to facilitate expectoration.
Give your child more fluids (for example, apple juice or warm chicken broth can be given if age-appropriate and not allergic to these foods). If the air in the children’s bedroom is dry, install a humidifier.
Fight nonproductive (dry) cough by reducing upper airway irritation. To soften the cough and soothe the airways, give the child a drink of water or apple juice, this also helps with a coughing fit. Avoid giving carbonated drinks or citrus drinks as they can irritate inflamed mucous membranes. If the child is intolerant of honey, try giving it. Children over 6 years old can suck on cough drops. If a cough interferes with sleep, going to kindergarten and school, consult a doctor, he will prescribe an antitussive.
Steam in the bathroom can help with a fit of coughing. Go into the bathroom, close the door, turn on the hot shower and wait a few minutes. After the bath is filled with steam, go there with the child, sit for about 20 minutes.
Try reading a book or playing with the child so that he is distracted.
Smoking is strictly prohibited at home! This contributes to frequent respiratory infections in the child and aggravates their course.
Medicines such as antibiotics and inhaled bronchodilators, anti-inflammatory and mucolytic drugs are prescribed only by a doctor and are not required in every case.
Up
Fever
Fever is an increase in body temperature of more than 38 ºС. Some symptoms and laboratory and instrumental studies help to understand the cause of the fever and prescribe the necessary treatment.
If the fever is accompanied by a runny nose, cough, and “red throat”, the most likely cause is a viral infection. Since antibiotics have no effect on viruses, antibiotic therapy in case of a viral infection is not prescribed.
High fever (greater than 39°C) with chills should alert.
Other symptoms that require immediate medical attention are the refusal of the child to eat and drink, severe lethargy, lack of “eye” contact with the child.
Parents should know how to help a child with a fever .
Only ibuprofen (10 mg/kg per dose) and paracetamol (15 mg/kg per dose) are allowed for use in children. From drugs based on ibuprofen in a pharmacy, you can buy nurofen, and from drugs based on paracetamol – panadol, cefecon, efferalgan. Metamizole sodium (or analgin), including as part of a “lytic mixture”, can cause severe blood complications, and nimesulide (nimulide, nise) can cause life-threatening liver damage. If the child does not have a severe background pathology, such as heart disease or epilepsy, and if he satisfactorily tolerates fever (is interested in others, does not refuse to drink, does not complain of pain), antipyretic drugs are given at a temperature of 38.5 – 39ºС and above.
And there is no need to achieve a decrease in body temperature immediately to 36.
6 ºС! A good effect is considered to be a decrease in fever to 38 ºС. Safe and effective methods of physical cooling are rubbing with water at room temperature (not alcohol or vinegar!), which allows you to reduce body temperature by 0.5 – 1.0 ºС in a few minutes. However, if the child has chills, if he has cold hands and feet, rubbing will not be effective. In such cases, massage of the hands and feet helps, which reduces vasospasm and improves peripheral circulation, and antispasmodic drugs, such as no-shpa, are also used.
Up
False croup
In babies, false croup occurs quite often, so mothers need to know about it. Only parents can notice the first signs of narrowing of the larynx in time and help the child in time. The reason is viral infections. In children under 5 – 6 years of age, the airways are narrower than in adults, and therefore croup develops much more often.
If this does not help, and the breath becomes noisy and difficult, call an ambulance without stopping the inhalation of steam.What is false croup?
Croup is difficulty in breathing due to constriction of the larynx. To feel where the larynx is, you can put your hand on the front of the neck and make any sound – the larynx will vibrate.
This part of the airway is quite narrow, and if the mucous membrane swells, it can completely block the lumen of the larynx, and air will not enter the lungs. In children under 5 – 6 years of age, the airways are narrower than in adults, and therefore croup develops much more often.
Unlike false, true croup begins with diphtheria, when the lumen of the larynx is blocked by dense films. Thanks to vaccinations (DPT, ADS-M), this disease, fortunately, has become rare.
Pseudocroup is caused by acute viral infections (eg parainfluenza virus or respiratory syncytial virus).
The mucous membrane becomes inflamed, swells, and although films do not form, as in diphtheria, the result is the same – it is difficult for the child to breathe.
How does it all start?
Usually, the usual symptoms of acute respiratory infections appear first, i.e. runny nose, cough, fever. The first signs of the proximity of a false croup appear or intensify in the evening – this is a growing dry “barking” cough and a hoarse voice.
Then the breath becomes “noisy” – at first only during crying or anxiety, that is, when the baby breathes deeper and faster. After a while, these symptoms persist even in a calm state.
With croup, it is difficult for the baby to inhale exactly, that is, the inhalation turns out to be noisy, with effort, and the exhalation remains normal. During inhalation, you can notice how the jugular fossa (depression in the lower part of the neck between the collarbones) is drawn inward.
Is it possible to prevent false croup?
There are pathogens that most often cause croup: parainfluenza virus, influenza virus and respiratory syncytial virus. If a child has contracted this particular infection, the risk of developing croup is high, and, unfortunately, there are no remedies that protect against it.
There are children who get colds without this complication, but in some the mucous membrane is more prone to swelling, and if one episode of difficulty breathing with acute respiratory infections has already been, it is likely that such conditions will recur. Parents need to be ready for them – until the child grows up, and the croup ceases to threaten him.
What to do with false croup?
If you notice its signs, first of all, you need to calm yourself and the child, because when you are excited, the muscles of the larynx contract, and it becomes even harder to breathe.
For a “barking” cough, as long as breathing is silent and not labored, steam inhalation may help. Turn on hot water in the bathroom, let the child breathe in moist air for a few minutes.
If this does not help and breathing becomes difficult (noisy breathing, indrawing of the jugular fossa), call an ambulance and continue to do steam inhalation until it arrives. The doctor will prescribe special inhalations with a local hormonal preparation for croup. Don’t let the word “hormonal” scare you, because this drug works only in the respiratory tract, eliminating inflammation, and no other medicine for false croup will not be so effective. In severe cases, the doctor will inject a hormone (prednisolone or dexamethasone) intramuscularly. Don’t worry about side effects because short cycles of hormones are safe and life-saving in these situations.
If you are offered to hospitalize your child, do not refuse, because after temporary relief, breathing problems may recur.
There are conditions that can be confused with false croup, such as inflammation of the epiglottis (cartilage that closes the larynx when swallowing). This disease is called epiglottitis: the child’s temperature rises above 39 degrees, there is a severe sore throat, the mouth is difficult to open, and hormonal preparations do not help the child.
If the epiglottis is inflamed, the child is admitted to the hospital and treated with antibiotics. But this disease is rare, and false croup is caused by viruses, so it makes no sense to take antibiotics.
Is it possible to stop an attack of croup on your own?
If it is not the first time that a child has false croup, you can take home a special device for inhalation – a nebulizer (choose a compressor model, since ultrasound can destroy drugs used for croup). Your doctor will tell you what medication to have at home and how much to use if needed.
The child can return to kindergarten as soon as the body temperature returns to normal and the child feels well.
Up
Vomiting and diarrhea
Acute gastroenteritis is characterized by an increase in body temperature (from subfebrile condition to high fever), vomiting, stool thinning. Rotavirus is the most common cause of gastroenteritis. The most severe is the first episode of rotavirus gastroenteritis in children from 6 months to 2-3 years. The peak incidence of this infection occurs in the winter – spring.
The danger of viral gastroenteritis is associated with rapid dehydration and electrolyte disturbances due to loss of water and salts in loose stools and vomiting. Therefore, feeding the child is of fundamental importance. In order not to provoke vomiting, you need to drink fractionally (1 – 2 teaspoons), but often, if necessary, every few minutes. For convenience, you can use a syringe without a needle or a pipette.
In no case should you drink the child with just water, this only exacerbates electrolyte disturbances! There are special saline solutions for drinking – rehydron (optimally ½ sachet per 1 liter of water), Humana electrolyte, etc.
Daily fluid requirement is shown in the table:
Child weight Daily fluid requirement
2-10 kg 100 ml/kg
10 – 20 kg 1000 ml + 50 ml/kg for each kg over 10 kg
> 20 kg 1500 ml + 20 ml/kg for each kg over 20 kg
In addition, current fluid losses with loose stools and vomiting are taken into account – for each episode of diarrhea / vomiting, an additional 100 – 200 ml of fluid is given.
Intravenous rehydration (fluid replenishment with drips) is done only for severe dehydration and persistent vomiting. In all other cases, you need to drink the child – it is safe, effective and painless.
Smecta (but do not give smecta if it induces vomiting), espumizan or Sab simplex are used as adjuvants.
Enterofuril is not recommended for use, as it is not effective either in viral infections or in invasive bacterial intestinal infections. In the diet during the acute period, fresh vegetables and fruits (except bananas), sweet drinks are excluded, and whole milk is limited only in older children.
Parents need to be aware of the first signs of dehydration – a decrease in the frequency and volume of urination, thirst, dry skin and mucous membranes. With increasing dehydration, the child becomes lethargic, stops urinating, thirst disappears, the skin loses turgor, and the eyes “sink”. In this case, there is no time to waste, it is necessary to call a doctor and hospitalize the child.
The appearance of blood and mucus in the stool in a child should be alerted, because this is typical for bacterial enterocolitis. Stool with such infections is not large (in contrast to copious watery stools with rotavirus infection), false urge to defecate and abdominal pain may be noted.
Drinking water in such cases may not be enough, and, as a rule, antibiotics are required.
Up
Pneumonia
One of the serious diseases in children is pneumonia, or pneumonia. Pneumonia can pose a threat to a child’s life. Fortunately, modern medicine has learned to cope well with pneumonia, and this disease can be completely cured in most cases. Therefore, if your baby gets sick with fever and cough, contact your pediatrician. If pneumonia is suspected, a doctor may order an x-ray of the lungs to confirm the diagnosis.
What is pneumonia?
Pneumonia is an inflammation of the lung tissue, that is, the deepest part of the respiratory system. Normally, gas exchange occurs in the lungs, that is, oxygen from the air enters the blood, and carbon dioxide is released from the blood into the environment. When part of the lung is inflamed, the breathing function in the affected lung is affected and the child develops shortness of breath, that is, rapid and labored breathing.
Substances produced during the immune system’s fight against bacteria cause fever (if the body temperature rises above 38 ° C, this is called a fever). The accumulation of sputum in the alveoli and bronchi and swelling of the mucous membrane stimulate the cough reflex, and a cough occurs. If the focus of pneumonia is near the lining of the lung, called the pleura, chest pains may occur when breathing and coughing.
What causes pneumonia?
There are many infections that can cause pneumonia. Streptococcus pneumoniae is the most common cause of so-called “typical” pneumonia. Pneumococcal pneumonia is accompanied by fever, cough, shortness of breath, lethargy, and decreased appetite. Less commonly, pneumonia is caused by other pathogens – hemophilus influenzae (Haemophilus influenzae) type b, pyogenic streptococcus (Streptococcus pyogenes) and Staphylococcus aureus (Staphylococcus aureus). “Atypical” pneumonia, which is usually milder and quite contagious, is caused by mycoplasmas and chlamydia.
Less commonly, pneumonia is caused by viruses (adenovirus, RS virus) – such pneumonias are rare and can be very difficult. Pneumonia can develop suddenly or be a complication of the flu.
What are the symptoms of pneumonia?
The most important symptom of pneumonia is fever. In a young child, fever may be the only manifestation. Fever above 39.5°C with chills and fever that is poorly reduced after taking antipyretic drugs should be especially alert. Although not always a high fever that does not respond well to antipyretics is a symptom of pneumonia. This may be a manifestation of a respiratory viral infection.
The second important symptom of pneumonia is a cough. The nature of the cough matters. Particularly alarming are the “deep” cough, cough at night and cough before vomiting.
Severe pneumonia is usually accompanied by shortness of breath, that is, rapid and labored breathing. Sometimes a symptom of pneumonia is pain in the abdomen, which occurs due to irritation of the pleura (lung membrane) during inflammation of the lung area adjacent to the pleura and due to frequent coughing and, accordingly, tension in the abdominal muscles.
Very important signs that speak in favor of pneumonia are symptoms of intoxication, such as fatigue, weakness, refusal to eat and even drink. At the same time, unlike pneumococcal pneumonia, with mycoplasmal pneumonia, the child may feel well.
Coughing and wheezing in the lungs are symptoms not only of pneumonia, but also of bronchitis. It is very important that the doctor distinguishes pneumonia from bronchitis, since antibiotics are not always required for bronchitis and only if its mycoplasmal etiology is suspected.
What can happen if pneumonia is not treated?
This is fraught with complications that are more likely to occur if pneumonia is left untreated. Complications of pneumonia are inflammation of the pleura (pleurisy) and the formation of a cavity in the lung filled with pus (lung abscess). In such cases, a longer course of antibiotics will be required, and sometimes the help of a surgeon.
How to treat pneumonia?
If you have bacterial pneumonia, your doctor will prescribe an antibiotic.
The doctor will decide which antibiotic to choose depending on the suspected cause of the pneumonia. In most cases, the child can be given the antibiotic by mouth (as a suspension or tablets) rather than by injection. The effect of the antibiotic occurs within 24-48 hours. If after 1 – 2 days the child does not feel better and the temperature rises, consult a doctor again.
Usually a child with pneumonia can be treated at home. Hospitalization is required for severe and complicated pneumonia, when the child needs intravenous antibiotics, supplemental oxygen, pleural punctures, and other serious medical interventions.
Give the child an antipyretic (ibuprofen or paracetamol) if the body temperature rises above 38.5 to 39°C. Antitussives, such as butamirate (Sinekod drug), are contraindicated in pneumonia.
Can pneumonia be prevented?
There are vaccines designed to protect against pneumococcus and Haemophilus influenzae, which cause the most severe forms of pneumonia (against pneumococcus – vaccines “Prevenar”, “Pneumo 23”, against Haemophilus influenzae – “Act-HIB”, “Hiberix”, a component against Haemophilus influenzae sticks are part of the Pentaxim vaccine, components against pneumococcus and Haemophilus influenzae are simultaneously part of Synflorix).
Since pneumococcal pneumonia often develops as a complication of influenza, influenza vaccination is helpful. It is very important that parents do not smoke in the presence of a child, as secondhand smoke makes the lungs weak and vulnerable.
Up
Cough with blood
Tuberculosis
Bronchitis
Pneumonia
Chills
Shortness of breath
Worms
Myocardial infarction
Myocarditis
Cancer
4308
February, 15
Cough with blood – the causes of occurrence, in which diseases it occurs, diagnosis and methods of treatment.
Cough is one of the most common symptoms of respiratory diseases.
But if the cough is accompanied by the separation of not ordinary sputum, but with streaks and even blood clots, this is an alarming signal that may indicate a serious illness.
To denote the release of blood from the respiratory organs, a special term was introduced – hemoptysis. The volume of blood excreted with sputum varies: it can be single streaks of blood to massive bleeding. The development of bleeding is accompanied by shortness of breath, pain, a feeling of warmth or burning in the chest.
It should be remembered that, regardless of the amount of blood in the sputum, hemoptysis is a dangerous condition and requires seeking medical help to identify and eliminate the causes that led to the appearance of this symptom.
Types of hemoptysis
It is important to distinguish between true and false hemoptysis.
True hemoptysis occurs when blood flows out of the vessels of the respiratory organs.
In this case, blood can mix with sputum and saliva.
False hemoptysis occurs when blood enters the respiratory organs from other organs, for example, from the stomach during gastric bleeding or from damaged vessels of the oral cavity.
Causes of hemoptysis
In most cases, pathological changes in the vessels of the bronchi and lungs become the cause of hemoptysis.
Of great importance is pulmonary tuberculosis and its complications. Mycobacterium tuberculosis in the course of the disease causes the destruction of lung tissue, sometimes with the formation of cavities (caverns). At the same time, the vascular bed is rebuilt: obliteration or growth of small vessels occurs, which causes subsequent bleeding.
Hemoptysis accompanies many infectious diseases of the respiratory system: bronchitis, pneumonia. Some bacteria have the ability to destroy lung tissue and increase pulmonary vascular permeability.
In the case of pneumonia, fever, chills, shortness of breath, chest pain, night sweats are added to the cough with blood streaks.
For children, hemoptysis is typical when aspiration (inhalation) of small objects – toys and their parts, pen caps, seeds.
If the foreign body has passed deeply, then there will be no pronounced shortness of breath and signs of suffocation. The only symptom may be a long, agonizing cough with a small amount of sputum, sometimes with blood.
Quite rarely, the cause of hemoptysis can be helminths (in particular, roundworms). During migration, parasites damage small vessels, which causes blood in the sputum.
Another cause of hemoptysis is bronchiectasis .
Bronchiectasis is an irreversible pathological expansion of the bronchi and bronchioles. Often occur in children with cystic fibrosis, with foreign body aspiration, whooping cough and frequent respiratory infections.
Sometimes bronchiectasis is congenital – in violation of the formation of the bronchial tree.
Quite often, the cause of the appearance of blood when coughing is traumatic injury to the chest . Hemorrhage occurs in the lung tissue with the release of part of the blood with sputum.
In adult patients, the causes of blood when coughing are more often cardiovascular pathologies. In diseases of the heart muscle, whether it be myocardial infarction, myocarditis , blood stasis occurs in the pulmonary circulation (in the lungs). Blood seeps through the capillary wall into the alveoli, the small sacs at the ends of the bronchi. The resulting mixture of alveolar fluid, bronchial mucus and blood comes out when you cough.
With a pronounced degree of acute heart failure, pink foam appears – an extreme manifestation of pulmonary edema.
Many heart defects also cause congestion in the lungs with shortness of breath and hemoptysis.
With acquired heart defects, hemoptysis most often occurs in patients with mitral valve disease. Among the vascular diseases that cause sudden hemoptysis, 9 should be distinguished0280 pulmonary embolism (PE).
Hemoptysis accompanies about a third of all cases of PE. The main symptoms are severe shortness of breath, cough and chest pain.
More than half of patients with lung cancer have hemoptysis. The main risk group for the development of malignant neoplasms of the lungs includes smokers over 40 years of age. In the case of lung cancer, bleeding can occur when the tumor breaks down, after which the sputum mixes with blood and takes on the appearance of “raspberry jelly”.
Benign lung tumors rarely cause hemoptysis.
Relatively rare causes of coughing up blood include aneurysm and subsequent rupture of a vessel into the bronchus.
Congenital pathology of the blood coagulation system, for example, hemophilia , can cause both acute pulmonary hemorrhage and prolonged hemoptysis, small in volume.
Hemoptysis may be one of the symptoms of various autoimmune pathologies . So, for example, with granulomatosis with polyangiitis (Wegener’s disease), inflammation of the vascular wall occurs with involvement of the upper and lower respiratory tract in the process.
An overdose of certain medicines with an increased risk of bleeding may lead to hemoptysis.
These drugs include: anticoagulants (warfarin, rivaroxaban, dabigatran), antiplatelet agents (acetylsalicylic acid, ticagrel).
The use of narcotic substances (in particular, cocaine) leads to damage to the vessels of the nasopharyngeal mucosa, followed by hemoptysis.
Which doctor should I contact if I cough up blood?
The appearance of blood when coughing requires a visit to a doctor of a therapeutic profile:
therapist or
pediatrician. After the examination, the doctor will prescribe a set of instrumental and laboratory tests and refer, if necessary, to a specialist.
You may need to consult a pulmonologist, cardiologist, otolaryngologist, rheumatologist, phthisiatrician, oncologist.
If there is a suspicion of injury, heavy bleeding from the respiratory tract, dizziness, shortness of breath and rapid heartbeat, you should call an ambulance.
Diagnosis and examination for coughing up blood
During the examination, the following is carried out:
- clinical blood test;
Treatment of cough with blood
Depending on the amount of blood lost and the causes of the cough with blood, the doctor will prescribe various therapeutic measures.
Self-treatment is unacceptable, because it can lead to severe complications and death.
With heavy bleeding, surgical methods for stopping bleeding, transfusion of blood and its components are used.
If the cause of coughing up blood is tuberculosis or destructive pneumonia, various antibacterial drugs are prescribed.
In the case of autoimmune pathology, immunosuppressive therapy with the use of glucocorticosteroids or cytostatics is used.
Treatment of cardiovascular pathology depends on the level of damage and the mechanism of development: for congestion in the pulmonary circulation due to heart failure, diuretic (diuretic) therapy is used, for pulmonary embolism – conservative (thrombolysis) or surgical methods of treatment and prevention of recurrent thrombosis.
If the bleeding is caused by medication, the doctor will adjust the therapy or note it if necessary.
What if you cough up blood?
In case of heavy bleeding, respiratory failure, loss of consciousness, severe pallor, palpitations, you should immediately call an ambulance.
If a person is conscious, you should calm him down, ask him not to talk, give him a semi-sitting position or lying on his side to avoid blood entering the respiratory tract.
If hemoptysis is accompanied by a small amount of blood, you should seek medical help for a thorough examination.
To reduce the risk of bleeding, it is necessary to stop smoking, walk in the fresh air, and, as prescribed by a doctor, perform breathing exercises and physical exercises.
Sources:
- Clinical guidelines “Tuberculosis in adults”. Developed by: Russian Society of Phthisiologists, Association of Phthisiologists. – 2022.
- Clinical guidelines “Tuberculosis in children”. Developed by: Russian society of phthisiatricians. – 2020.
- Clinical guidelines “Pulmonary hypertension, including chronic thromboembolic pulmonary hypertension”. Developed by: Russian Society of Cardiology, Association of Cardiovascular Surgeons of Russia, Federation of Anesthesiologists and Resuscitators, Association of Rheumatologists of Russia, Russian Respiratory Society, National Congress of Radiologists. – 2020.
IMPORTANT!
The information in this section should not be used for self-diagnosis or self-treatment. In case of pain or other exacerbation of the disease, only the attending physician should prescribe diagnostic tests.

This happens most often with tall men who are younger than 40 and who smoke.
On land, don’t go more than 7,500 feet above sea level.