Cat or ct scan. CT Scan: How It Works, Uses, and Preparation Guide
How does a CT scan work. What are the common uses of CT scans. How should patients prepare for a CT scan. What are the risks and benefits of CT imaging. How is a CT scan performed. What happens during a CT scan procedure. How do CT scans compare to other imaging tests.
The Basics of CT Scanning: Unveiling the Inner Workings
Computed tomography (CT), also known as a CAT scan, is an advanced medical imaging technique that provides detailed cross-sectional images of the body. This sophisticated technology utilizes X-rays and computer processing to create highly detailed 3D representations of internal organs, bones, soft tissues, and blood vessels.
CT scanners employ a rotating X-ray source that circles the patient, capturing multiple images from different angles. These images are then processed by powerful computers to generate detailed cross-sectional views. The resulting images offer significantly more detail than traditional X-rays, particularly for soft tissues and blood vessels.

Key Features of CT Scanning:
- Non-invasive and painless procedure
- Rapid imaging capable of capturing moving organs
- Ability to reformat images in multiple planes
- Generation of three-dimensional images
- Superior detail compared to conventional X-rays
Can CT scans detect all types of medical conditions? While CT scans are highly versatile, they are particularly effective in diagnosing conditions related to internal organs, bones, soft tissues, and blood vessels. However, some conditions may require alternative imaging methods for optimal visualization.
Common Applications of CT Scans in Modern Medicine
CT scans have become an indispensable tool in modern medicine, offering a wide range of diagnostic and treatment planning applications. Their versatility and accuracy make them invaluable across various medical specialties.
Diagnostic Applications:
- Cancer detection and staging
- Cardiovascular disease assessment
- Trauma evaluation
- Infectious disease diagnosis
- Musculoskeletal disorders
Are CT scans only used for diagnosis? While diagnosis is a primary application, CT scans also play crucial roles in treatment planning, surgical guidance, and monitoring treatment response.

Treatment Planning and Monitoring:
- Guiding biopsies and minimally invasive procedures
- Planning radiation therapy for cancer treatment
- Assessing response to chemotherapy
- Surgical planning for organ transplants and complex procedures
CT scans are particularly valuable in emergency situations, where rapid and accurate diagnosis can be life-saving. They excel at identifying internal injuries and bleeding, allowing for prompt and appropriate medical intervention.
Preparing for Your CT Scan: Essential Guidelines
Proper preparation is key to ensuring a successful CT scan. Following these guidelines will help optimize image quality and ensure a smooth experience:
Before Your Appointment:
- Inform your doctor of any allergies, especially to contrast materials
- Discuss recent illnesses, medical conditions, and current medications
- Alert your healthcare provider if you’re pregnant or suspect pregnancy
- Follow any fasting instructions provided by your doctor
Should you stop taking medications before a CT scan? In most cases, you can continue your regular medications. However, always consult with your healthcare provider, as some medications may need to be temporarily adjusted.

On the Day of Your CT Scan:
- Wear comfortable, loose-fitting clothing
- Remove metal objects, including jewelry, eyeglasses, and dental work
- Be prepared to change into a hospital gown if required
- Arrive at the imaging center at the scheduled time
By following these preparation guidelines, you can help ensure that your CT scan produces the clearest and most accurate images possible, aiding in diagnosis and treatment planning.
The CT Scan Procedure: What to Expect During Your Examination
Understanding the CT scan procedure can help alleviate anxiety and ensure a smooth experience. Here’s what you can expect during your examination:
Before the Scan:
- You’ll be asked to change into a hospital gown if necessary
- The technologist will explain the procedure and answer any questions
- You may be given a contrast material to drink or receive it intravenously
- You’ll be positioned on the CT scanner table
Is a CT scan claustrophobic? While the CT scanner has a large, doughnut-shaped opening, some patients may feel anxious. Communicate any concerns with your technologist, who can provide strategies to help you relax.

During the Scan:
- The table will move slowly through the scanner
- You’ll hear whirring or clicking sounds as the scanner rotates
- The technologist will communicate with you via intercom
- You’ll be asked to hold still and may need to hold your breath briefly
- The entire procedure typically takes 10-30 minutes
After the scan, you can usually resume normal activities immediately. If contrast material was used, you may be advised to drink plenty of fluids to help flush it from your system.
Risks and Benefits: Weighing the Pros and Cons of CT Imaging
Like any medical procedure, CT scans come with both benefits and potential risks. Understanding these can help you make informed decisions about your healthcare.
Benefits of CT Scans:
- Non-invasive and painless
- Fast and accurate diagnosis
- Ability to detect conditions early
- Guides treatment planning and monitoring
- Can eliminate the need for exploratory surgery
Do the benefits of CT scans outweigh the risks? For most patients, when medically necessary, the diagnostic benefits of CT scans far outweigh the potential risks. However, individual circumstances should always be considered.

Potential Risks and Considerations:
- Exposure to ionizing radiation
- Allergic reactions to contrast material (rare)
- Potential for incidental findings
- Not recommended for pregnant women unless absolutely necessary
Healthcare providers carefully weigh the benefits against potential risks when recommending CT scans. They follow the ALARA principle (As Low As Reasonably Achievable) to minimize radiation exposure while still obtaining necessary diagnostic information.
CT Scans vs. Other Imaging Modalities: Choosing the Right Test
While CT scans are incredibly versatile, they’re not always the most appropriate imaging test for every situation. Understanding how CT compares to other imaging modalities can help you appreciate why your healthcare provider might choose one test over another.
CT vs. X-ray:
- CT provides more detailed 3D images
- Better soft tissue visualization with CT
- X-rays are faster and involve less radiation
- X-rays are often sufficient for basic bone imaging
CT vs. MRI:
- CT is faster and better for bone imaging
- MRI provides superior soft tissue contrast
- MRI doesn’t use ionizing radiation
- CT is more widely available and less expensive
When is an MRI preferred over a CT scan? MRI is often chosen for detailed imaging of the brain, spinal cord, and joints, where its superior soft tissue contrast is advantageous. It’s also preferred for patients who need repeated imaging, as it doesn’t use ionizing radiation.

CT vs. Ultrasound:
- CT offers more comprehensive imaging
- Ultrasound is radiation-free and real-time
- Ultrasound is often used for initial screening
- CT provides better detail for many internal organs
The choice of imaging modality depends on various factors, including the suspected condition, the body part being examined, the patient’s characteristics, and the availability of equipment. Your healthcare provider will recommend the most appropriate test based on your specific situation.
Pediatric CT Scans: Special Considerations for Young Patients
CT scans play a crucial role in diagnosing and monitoring various conditions in children. However, special considerations are necessary when imaging young patients to ensure their safety and comfort.
Common Uses of Pediatric CT Scans:
- Evaluating congenital heart defects
- Diagnosing and staging pediatric cancers
- Assessing severe injuries from trauma
- Investigating complex respiratory conditions
- Diagnosing appendicitis and its complications
How are pediatric CT scans different from adult scans? Pediatric CT protocols use lower radiation doses and shorter scan times, tailored to the child’s size and the specific diagnostic task. Specialized pediatric radiologists interpret the images, considering the unique aspects of childhood anatomy and development.

Minimizing Radiation Exposure in Children:
- Using child-sized CT protocols
- Limiting the scan area to the region of interest
- Considering alternative imaging methods when possible
- Avoiding multiple scans unless absolutely necessary
- Utilizing advanced dose reduction technologies
Parents and caregivers should discuss the benefits and risks of CT scans with their child’s healthcare provider. In many cases, the diagnostic information gained from a CT scan is crucial for proper treatment and outweighs the minimal risks associated with radiation exposure.
Advances in CT Technology: Pushing the Boundaries of Medical Imaging
The field of CT imaging is continuously evolving, with new technologies enhancing image quality, reducing radiation dose, and expanding clinical applications. These advancements are revolutionizing diagnostic capabilities and improving patient care.
Recent Innovations in CT Technology:
- Dual-energy CT for improved tissue characterization
- Spectral CT providing material decomposition capabilities
- Ultra-high resolution scanners for detailed cardiac and neuroimaging
- Artificial intelligence-assisted image reconstruction and analysis
- Faster scanning speeds to reduce motion artifacts
How do these advances benefit patients? These technological improvements lead to more accurate diagnoses, reduced radiation exposure, shorter examination times, and expanded clinical applications. For example, dual-energy CT can help differentiate between different types of kidney stones, guiding treatment decisions.

Future Directions in CT Imaging:
- Photon-counting detectors for enhanced image quality
- Integration of CT with other imaging modalities
- Expansion of functional and molecular imaging capabilities
- Further reduction in radiation dose through advanced algorithms
- Personalized imaging protocols based on patient-specific factors
As CT technology continues to advance, it promises to play an even more significant role in personalized medicine, enabling tailored diagnostic and treatment approaches based on individual patient characteristics and needs.
The ongoing evolution of CT technology underscores the importance of staying informed about the latest developments in medical imaging. Patients should feel empowered to discuss these advancements with their healthcare providers, ensuring they receive the most appropriate and up-to-date imaging care for their specific needs.
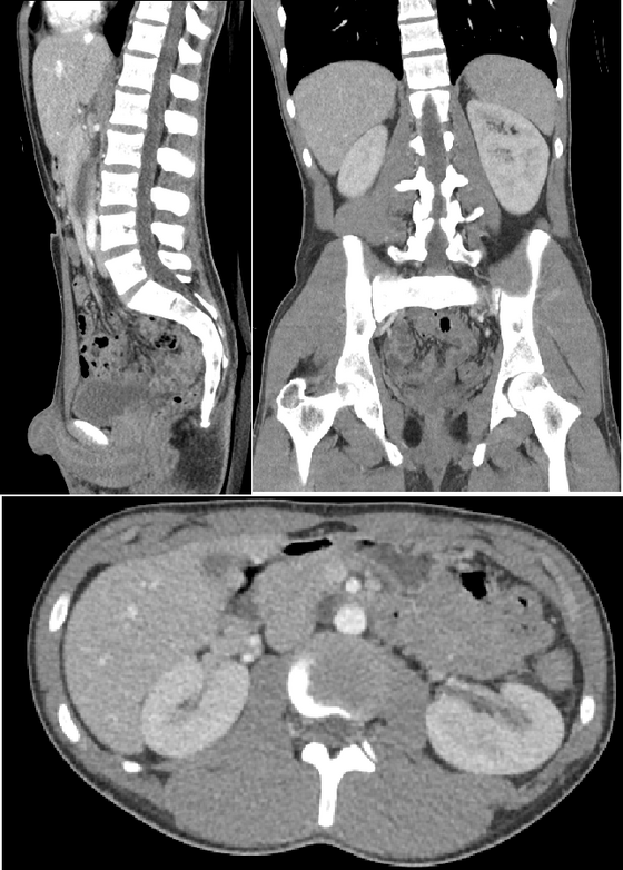
Body CT (CAT Scan)
Computed tomography (CT) of the body uses sophisticated x-ray technology to help detect a variety of diseases and conditions. CT scanning is fast, painless, noninvasive and accurate. In emergency cases, it can reveal internal injuries and bleeding quickly enough to help save lives.
Tell your doctor if there’s a possibility you are pregnant and discuss any recent illnesses, medical conditions, medications you’re taking, and allergies. You will be instructed not to eat or drink anything for a few hours beforehand. If you have a known allergy to contrast material, your doctor may prescribe medications to reduce the risk of an allergic reaction. Leave jewelry at home and wear loose, comfortable clothing. You may be asked to wear a gown.
What is CT Scanning of the Body?
Computed tomography, more commonly known as a CT or CAT scan, is a diagnostic medical imaging test. Like traditional x-rays, it produces multiple images or pictures of the inside of the body.
The cross-sectional images generated during a CT scan can be reformatted in multiple planes. They can even generate three-dimensional images. These images can be viewed on a computer monitor, printed on film or by a 3D printer, or transferred to a CD or DVD.
CT images of internal organs, bones, soft tissue and blood vessels provide greater detail than traditional x-rays, particularly of soft tissues and blood vessels.
Using specialized equipment and expertise to create and interpret CT scans of the body, radiologists can more easily diagnose problems such as cancer, cardiovascular disease, infectious disease, appendicitis, trauma and musculoskeletal disorders.
top of page
What are some common uses of the procedure?
CT imaging is:
- one of the fastest and most accurate tools for examining the chest, abdomen and pelvis because it provides detailed, cross-sectional views of all types of tissue.
- used to examine patients with injuries from trauma such as a motor vehicle accident.

- performed on patients with acute symptoms such as chest or abdominal pain or difficulty breathing.
- often the best method for detecting cancers in the chest, abdomen and pelvis, such as lymphoma and cancers of the lung, liver, kidney, ovary and pancreas. It’s considered the best method since the image allows a physician to confirm the presence of a tumor, measure its size, identify its precise location and determine the extent of its involvement with other nearby tissue.
- an examination that plays a significant role in the detection, diagnosis and treatment of vascular diseases that can lead to stroke, kidney failure or even death. CT is commonly used to assess for pulmonary embolism (a blood clot in the lung vessels) as well as for aortic aneurysms.
In pediatric patients, CT imaging is often used to evaluate:
- lymphoma
- neuroblastoma
- kidney tumors
- congenital malformations of the heart, kidneys and blood vessels
- cystic fibrosis
- complications of acute appendicitis
- complications of pneumonia
- inflammatory bowel disease
- severe injuries
Radiologists and radiation oncologists often use the CT examination to:
- quickly identify injuries to the lungs, heart and vessels, liver, spleen, kidneys, bowel or other internal organs in cases of trauma.

- guide biopsies and other procedures such as abscess drainages and minimally invasive tumor treatments.
- plan for and assess the results of surgery, such as organ transplants or gastric bypass.
- stage, plan and properly administer radiation treatments for tumors as well as monitor response to chemotherapy.
- measure bone mineral density for the detection of osteoporosis.
top of page
How should I prepare?
You should wear comfortable, loose-fitting clothing to your exam. You may need to wear a gown during the procedure.
Metal objects, including jewelry, eyeglasses, dentures and hairpins, may affect the CT images. Leave them at home or remove them prior to your exam. You may also be asked to remove hearing aids and removable dental work. Women will be asked to remove bras containing metal underwire. You may be asked to remove any piercings, if possible.
You will be asked not to eat or drink anything for a few hours beforehand, if contrast material will be used in your exam.
You should inform your physician of all medications you are taking and if you have any allergies. If you have a known allergy to contrast material, your doctor may prescribe medications (usually a steroid) to reduce the risk of an allergic reaction. To avoid unnecessary delays, contact your doctor before the exact time of your exam.
Also inform your doctor of any recent illnesses or other medical conditions and whether you have a history of heart disease, asthma, diabetes, kidney disease or thyroid problems. Any of these conditions may increase the risk of an adverse effect.
Women should always inform their physician and the CT technologist if there is any possibility that they may be pregnant. See the CT Safety During Pregnancy page for more information.
top of page
What does the CT equipment look like?
The CT scanner is typically a large, donut-shaped machine with a short tunnel in the center. You will lie on a narrow examination table that slides in and out of this short tunnel.
Rotating around you, the x-ray tube and electronic x-ray detectors are located opposite each other in a ring, called a gantry. The computer workstation that processes the imaging information is located in a separate control room. This is where the technologist operates the scanner and monitors your exam in direct visual contact. The technologist will be able to hear and talk to you using a speaker and microphone.
top of page
How does it work
In many ways, a CT scan works like other x-ray exams. Different body parts absorb x-rays in different amounts. This difference allows the doctor to distinguish body parts from one another on an x-ray or CT image.
In a conventional x-ray exam, a small amount of radiation is directed through the part of the body being examined. A special electronic image recording plate captures the image. Bones appear white on the x-ray. Soft tissue, such as the heart or liver, shows up in shades of gray. Air appears black.
With CT scanning, several x-ray beams and electronic x-ray detectors rotate around you.
These measure the amount of radiation being absorbed throughout your body. Sometimes, the exam table will move during the scan, so that the x-ray beam follows a spiral path. A special computer program processes this large volume of data to create two-dimensional cross-sectional images of your body. These images are then displayed on a monitor. CT imaging is sometimes compared to looking into a loaf of bread by cutting the loaf into thin slices. When the image slices are reassembled by computer software, the result is a very detailed multidimensional view of the body’s interior.
Refinements in detector technology allow nearly all CT scanners to obtain multiple slices in a single rotation. These scanners, called multi-slice or multidetector CT, allow thinner slices to be obtained in a shorter amount of time. This results in more detail and additional view capabilities.
Modern CT scanners can scan through large sections of the body in just a few seconds, and even faster in small children.
Such speed is beneficial for all patients. It’s especially beneficial for children, the elderly and critically ill – anyone who finds it difficult to stay still, even for the brief time necessary to obtain images.
For children, the CT scanner technique will be adjusted to their size and the area of interest to reduce the radiation dose.
For some CT exams, a contrast material is used to enhance visibility in the area of the body being studied.
top of page
How is the procedure performed?
The technologist begins by positioning you on the CT exam table, usually lying flat on your back. Straps and pillows may be used to help you maintain the correct position and remain still during the exam.
Many scanners are fast enough that children can be scanned without sedation. In special cases, sedation may be needed for children who cannot hold still. Motion will cause blurring of the images and degrade the quality of the examination the same way that it affects photographs.
If contrast material is used, depending on the type of exam, it will be swallowed, injected through an intravenous line (IV) or, rarely, administered by enema.
Next, the table will move quickly through the scanner to determine the correct starting position for the scans. Then, the table will move slowly through the machine as the actual CT scanning is performed. Depending on the type of CT scan, the machine may make several passes.
You may be asked to hold your breath during the scanning. Any motion, including breathing and body movements, can lead to artifacts on the images. This loss of image quality can resemble the blurring seen on a photograph taken of a moving object.
When the exam is complete, you will be asked to wait until the technologist verifies that the images are of high enough quality for accurate interpretation.
The CT examination is usually completed within 30 minutes. The portion requiring intravenous contrast injection usually lasts only 10 to 30 seconds.
top of page
What will I experience during and after the procedure?
CT exams are generally painless, fast and easy. With multidetector CT, the amount of time that the patient needs to lie still is reduced.
Though the scan is painless, you may have some discomfort from remaining still for several minutes or from placement of an IV. If you have a hard time staying still, are very nervous, anxious or in pain, you may find a CT exam stressful. The technologist or nurse, under the direction of a doctor, may offer you some medication to help you tolerate the CT exam.
If an intravenous contrast material is used, you will feel a pin prick when the needle is inserted into your vein. You may feel warm or flushed while the contrast is injected. You also may have a metallic taste in your mouth. This will pass. You may feel a need to urinate. However, this is a contrast effect and subsides quickly.
If the contrast material is swallowed, you may find the taste mildly unpleasant; however, most patients can easily tolerate it.
You can expect to experience a sense of abdominal fullness and an increasing need to expel the liquid if your contrast material is given by enema. In this case, be patient, as the mild discomfort will not last long.
When you enter the CT scanner, you may see special light lines projected onto your body. These lines are used to ensure that you are properly positioned. With modern CT scanners, you may hear slight buzzing, clicking and whirring sounds. These occur as the CT scanner’s internal parts, not usually visible to you, revolve around you during the imaging process.
You will be alone in the exam room during the CT scan, unless there are special circumstances. For example, sometimes a parent wearing a lead shield may stay in the room with their child. However, the technologist will always be able to see, hear and speak with you through a built-in intercom system.
With pediatric patients, a parent may be allowed in the room but will be required to wear a lead apron to minimize radiation exposure.
After a CT exam, the technologist will remove the intravenous line used to inject the contrast material. The tiny hole made by the needle will be covered with a small dressing. You can return to your normal activities.
top of page
Who interprets the results and how do I get them?
A radiologist, a doctor specially trained to supervise and interpret radiology exams, will analyze the images. The radiologist will send an official report to the doctor who ordered the exam.
Follow-up exams may be needed. If so, your doctor will explain why. Sometimes a follow-up exam is done because a potential abnormality needs further evaluation with additional views or a special imaging technique. A follow-up exam may also be done to see if there has been any change in an abnormality over time. Follow-up exams are sometimes the best way to see if treatment is working or if an abnormality is stable or has changed.
top of page
What are the benefits vs.
risks?
Benefits
- CT scanning is painless, noninvasive and accurate.
- A major advantage of CT is its ability to image bone, soft tissue and blood vessels all at the same time.
- Unlike conventional x-rays, CT scanning provides very detailed images of many types of tissue as well as the lungs, bones, and blood vessels.
- CT examinations are fast and simple; in emergency cases, they can reveal internal injuries and bleeding quickly enough to help save lives.
- CT has been shown to be a cost-effective imaging tool for a wide range of clinical problems.
- CT is less sensitive to patient movement than MRI.
- CT can be performed if you have an implanted medical device of any kind, unlike MRI.
- CT imaging provides real-time imaging, making it a good tool for guiding minimally invasive procedures such as needle biopsies and needle aspirations of many areas of the body, particularly the lungs, abdomen, pelvis and bones.

- A diagnosis determined by CT scanning may eliminate the need for exploratory surgery and surgical biopsy.
- No radiation remains in a patient’s body after a CT examination.
- X-rays used in CT scans should have no immediate side effects.
Risks
There is no conclusive evidence that radiation at small amounts delivered by a CT scan causes cancer. Large population studies have shown a slight increase in cancer from much larger amounts of radiation, such as from radiation therapy. Thus, there is always concern that this risk may also apply to the lower amounts of radiation delivered by a CT exam. When a CT scan is recommended by your doctor, the expected benefit of this test outweighs the potential risk from radiation. You are encouraged to discuss the risks versus the benefits of your CT scan with your doctor or radiologist, and to explore whether alternative imaging tests may be available to diagnose your condition.
- The effective radiation dose for this procedure varies.
See the Radiation Dose in X-Ray and CT Exams page for more information about radiation dose. - Women should always tell their doctor and x-ray or CT technologist if there is any chance they are pregnant. See the Safety in X-ray, Interventional Radiology and Nuclear Medicine Procedures page for more information about pregnancy and x-rays.
- CT scanning is, in general, not recommended for pregnant women unless medically necessary because of potential risk to the unborn baby.
- IV contrast manufacturers indicate mothers should not breastfeed their babies for 24-48 hours after contrast material is given. However, the most recent American College of Radiology (ACR) Manual on Contrast Media reports that studies show the amount of contrast absorbed by the infant during breastfeeding is extremely low. For further information please consult the ACR Manual on Contrast Media and its references.
- The risk of serious allergic reaction to contrast materials that contain iodine is extremely rare, and radiology departments are well-equipped to deal with them.

- Because children are more sensitive to radiation, they should have a CT exam only if it is essential for making a diagnosis and should not have repeated CT exams unless absolutely necessary. CT scans in children should always be done with low-dose technique.
top of page
What are the limitations of CT Scanning of the Body?
Soft-tissue details in areas such as the brain, internal pelvic organs, and joints (such as knees and shoulders) can often be better evaluated with magnetic resonance imaging (MRI). In pregnant women, while CT can be performed safely, other imaging exams not involving radiation, such as ultrasound or MRI, are preferred but only if they are likely to be as good as CT in diagnosing your condition.
A person who is very large may not fit into the opening of a conventional CT scanner or may be over the weight limit—usually 450 pounds—for the moving table.
top of page
Which test, procedure or treatment is best for me?
top of page
This page was reviewed on April, 10, 2018
CT scan or CAT scan: How does it work?
A computerized tomography (CT) or computerized axial tomography (CAT) scan combines data from several X-rays to produce a detailed image of structures inside the body.
CT scans produce 2-dimensional images of a “slice” or section of the body, but the data can also be used to construct 3-dimensional images. A CT scan can be compared to looking at one slice of bread within a whole loaf.
CT scans are used in hospitals worldwide.
A CT scanner emits a series of narrow beams through the human body as it moves through an arc.
This is different from an X-ray machine, which sends just one radiation beam. The CT scan produces a more detailed final picture than an X-ray image.
The CT scanner’s X-ray detector can see hundreds of different levels of density. It can see tissues within a solid organ.
This data is transmitted to a computer, which builds up a 3-D cross-sectional picture of the part of the body and displays it on the screen.
Sometimes, a contrast dye is used because it can help show certain structures more clearly.
For instance, if a 3-D image of the abdomen is required, the patient may have to drink a barium meal.
The barium appears white on the scan as it travels through the digestive system.
If images lower down the body are required, such as the rectum, the patient may be given a barium enema. If blood vessel images are the target, a contrast agent will be injected into the veins.
The accuracy and speed of CT scans may be improved with the application of spiral CT, a relatively new technology. The beam takes a spiral path during the scanning, so it gathers continuous data with no gaps between images.
CT is a useful tool for assisting diagnosis in medicine, but it is a source of ionizing radiation, and it can potentially cause cancer.
The National Cancer Institute advise patients to discuss the risks and benefits of CT scans with their doctors.
It is useful for obtaining images of:
- soft tissues
- the pelvis
- blood vessels
- lungs
- brain
- abdomen
- bones
CT is often the preferred way of diagnosing many cancers, such as liver, lung, and pancreatic cancers.
The image allows a doctor to confirm the presence and location of a tumor, its size, and how much it has affected nearby tissue.
A scan of the head can provide important information about the brain, for instance, if there is any bleeding, swelling of the arteries, or a tumor.
A CT scan can reveal a tumor in the abdomen, and any swelling or inflammation in nearby internal organs. It can show any lacerations of the spleen, kidneys, or liver.
As a CT scan detects abnormal tissue, it is useful for planning areas for radiotherapy and biopsies, and it can provide valuable data on blood flow and other vascular conditions.
It can help a doctor assess bone diseases, bone density, and the state of the patient’s spine.
It can also provide vital data about injuries to a patient’s hands, feet, and other skeletal structures. Even small bones are clearly visible, as well as their surrounding tissue.
CT versus MRI
The main differences between CT and MRI are:
- A CT scan uses X-rays, but an MRI uses magnets and radio waves.
- Unlike an MRI, a CT scan does not show tendons and ligaments.
- MRI is better for examining the spinal cord.
- A CT scan is better suited to cancer, pneumonia, abnormal chest x-rays, bleeding in the brain, especially after an injury.
- A brain tumor is more clearly visible on MRI.
- A CT scan shows organ tear and organ injury more quickly, so it may be more suitable for trauma cases.
- Broken bones and vertebrae are more clearly visible on a CT scan.
- CT scans provide a better image of the lungs and organs in the chest cavity between the lungs.
The patient may need to abstain from food, and possibly drink, for a specific period before the scan.
On the day
In most places, the patient will need to undress, usually down to their underwear, and put on a gown that the health center will provide. Avoid wearing jewelry.
If the hospital does not provide a gown, the patient should wear loose-fitting clothes free of metal buttons and zippers.
Some patients may have to drink a contrast dye, or the dye may be given as an enema, or injected.This improves the picture of some blood vessels or tissues.
Any patient who has an allergy to contrast material should tell the doctor beforehand. Some medications can reduce allergic reactions to contrast materials.
As metal interferes with the workings of the CT scanner, the patient will need to remove all jewelry and metal fastenings.
During the scan
The patient will need to lie down on a motorized examination table that slides into a doughnut-shaped CT scanner machine.
In most cases, the patient will lie on their back, facing up. But, sometimes, they may need to lie facedown or sideways.
After one x-ray picture, the couch will move slightly, and then the machine will take another image, and so on. The patient needs to lie very still for the best results.
During the scan, everybody except for the patient will leave the room. An intercom will enable two-way communication between the radiographer and the patient.
If the patient is a child, a parent or adult might be allowed to stand or sit nearby, but they will have to wear a lead apron to prevent radiation exposure.
Share on PinterestThe doctor should explain why the scan is needed, any other options available, and the pros and cons of having a CT scan.
A CT scan involves a small, targeted dose of radiation.
These levels of radiation, even in people who have undergone several scans, has not proven to be harmful.
The chance of developing cancer as the result of a CT scan is thought to be less than 1 in 2,000.
The amount of radiation involved is estimated to be around the same as a person would be exposed to in a space of between several months and several years of natural exposure in the environment.
A scan is only given if there is a clear medical reason to do so. The results can lead to treatment for conditions that could otherwise be serious. When the decision is taken to perform a scan, doctors will ensure that the benefits outweigh any risk.
Problems that could possibly arise from radiation exposure include cancer and thyroid issues.
This is extremely unlikely in adults, and also unlikely in children. However, are more susceptible to the effects of radiation. This does not mean that health issues will result, but any CT scans should be noted on the child’s medical record.
In some cases, only a CT scan can show the required results. For some conditions, an ultrasound or MRI might be possible.
Can I have a CT scan if I am pregnant?
Any woman who suspects she may be pregnant should tell her doctor beforehand, because there is a risk that the x-rays could harm the fetus.
Citing the American College of Radiography, the American Pregnancy Association (APA) point out that “No single diagnostic x-ray has a radiation dose significant enough to cause adverse effects in a developing embryo or fetus.”
However, the APA notes that CT scans are not recommended for pregnant women, “Unless the benefits clearly outweigh the risk.”
CT scans and breastfeeding
If a lactating, or breastfeeding, mother needs an iodinated intravenous dye for contrast, she should avoid breastfeeding for about 24 hours as may pass into the breast milk.
I have claustrophobia: Can I have a CT scan?
A patient who has claustrophobia should tell their doctor or radiographer beforehand. The patient may be given an injection or tablet to calm them down before the scan.
Your health care provider will usually be able to recommend a suitable facility for a scan. You can check if a radiologist is accredited by searching on the website of the American College of Radiology.
Reasons You May Need a CT Scan
Reasons You May Need a CT Scan
Computerized tomography (CT) or computerized axial tomography (CAT) scans are imaging procedures that capture two-dimensional scans of a particular section of the body. These scans take the information from multiple x-rays and combine the data to create highly detailed representations of structures within the body.
So, why do doctors order CT scans? They are used in hospitals worldwide for a variety of reasons. In this guide, we’ll discuss 10 of the most common reasons a doctor may order a CT scan.
1. Examining Blood Vessels
CT scans provide enough detail for physicians to examine blood vessels and check for blockages or other potential problems. The images provided can give your doctor the information they need to produce or reinforce a diagnosis of vascular disease without having to perform invasive exploratory surgery or surgical biopsies.
2. Diagnosing Abdominal Issues
CT scans of the abdomen may use barium as a contrast dye to produce highly detailed images of organs, including the liver, kidneys, gallbladder, spleen, ovaries and uterus. The addition of intravenous iodine-based dye further refines the images, allowing physicians to diagnose a variety of issues. A doctor might get a CAT scan of your abdomen to investigate:
- A mass in your abdomen
- Abdominal pain
- Unexplained weight loss
- Possible obstructions in the small or large intestine
- Possible inflammation in the intestines
- Kidney stones
The radiological exam that evaluates the kidneys, bladder and ureters is called a CT urography.
3. Examining Small Bones
The bones in areas such as the hands and feet are incredibly small. Injuries in these areas may not be clearly identifiable from x-rays alone, and a CT scan can provide physicians with crystal clear images that may assist in surgical repairs.
4. Investigating Tumors
When someone needs surgery on a tumor, a CT scan is often a first step in the process. The more information the surgeon has about the location and size of the tumor, the more efficiently they can perform procedures such as biopsies. CT scans also allow doctors and surgeons to identify how involved a tumor is with the surrounding tissue, potentially improving surgical outcomes.
5. Guiding Cancer Treatment
CT scans are often instrumental in diagnosing cancer and forming a treatment plan. When radiation treatment is administered, CT scans are used to clarify the position of tumors.
Doctors also use CT scans to determine the efficacy of chemotherapy as the images can show just how much cancer has spread and how quickly.
6. Examining Head and Brain Injuries or Issues
A CAT scan of the head provides images of the brain that can be used to evaluate:
Although less common, a head CT can also be used to:
- Evaluate of soft tissue and bone damage after facial trauma.
- Plan for surgical reconstruction.
- Diagnose issues with the temporal bone in the skull that can cause hearing problems.
- Identify inflammation in the sinuses.
- Guide the needle for a brain biopsy.
- Assess aneurysms.
7. Diagnosing Soft Tissue Damage
Traditional x-rays do little in the way of revealing soft tissue. CT scans have the double advantage of showing physicians the condition of both the bones and soft tissue, providing more complete information about the injury to aid in diagnosis and recovery planning.
8. Diagnosing Spinal Issues and Chronic Pain
Chronic back pain or an injury to the spine are among the most common reasons to have a CT scan. A doctor may also order a spinal CT scan to:
- Evaluate spinal fractures.
- Assess the condition of the spine before and after surgical procedures.
- Diagnose the source of spinal pain from conditions such as herniated disks.
- Measure bone density to predict the likelihood of fractures in those with significant osteoporosis risk.
- Evaluate congenital anomalies or diagnose scoliosis.
CAT scans are also useful in combination with magnetic resonance imaging (MRI) scans for patients with narrowing of the spinal canal, infections or arthritis.
9. Investigating Recent Injuries or Accidents
Accidents that result in severe internal injuries are good reasons for CAT scan recommendations. Internal injuries typically cannot be identified by x-ray alone, and CT scans are a physician’s first choice of imaging procedure in the event of an emergency. CT scans are often used when someone has been in a car accident or received other trauma that could produce an internal injury.
10. Obtaining Images When MRI Is Not an Option
MRI and CAT scans are somewhat similar, but there are situations where an MRI is not appropriate, while a CAT scan remains a suitable option. MRI scans can take a significant amount of time to complete. If you have a condition or injury that prevents you from lying still for that time frame, a CT scan can produce a more accurate image in a shorter time.
Those who have medical implants of any kind are ineligible for MRIs and should undergo CT scans instead.
How CT Scans Work
CT scanners are large machines shaped like a donut, which contain an x-ray tube and detectors on opposite sides. In the center is a short tunnel, where the examination table slides in and out. When you enter the scanner, the x-ray equipment rotates around you, producing vital internal images. The full scan should take just a few minutes, making it a less stressful procedure for those who suffer from claustrophobia.
Preparation for a CT scan depends on whether your doctor has ordered a contrast examination. If so, you will need to refrain from eating anything for a few hours before the procedure, according to your doctor’s instructions. With intravenous contrast, you’ll receive an injection of dye that may make you feel warm or flushed and produce a metallic taste in your mouth. You will also need to remove any jewelry or metal from your person.
After a CT scan, you can continue your day normally. If you underwent a contrast scan, be sure to drink several glasses of water throughout the day to aid in the elimination of the dye.
Be Confident in Your CT Scans at Health Images
When your doctor orders a CT scan and you haven’t had one before, it’s normal to be a little apprehensive. Luckily, when performed by qualified and caring technologists, CT scans can be a simple and short procedure that helps flesh out the care plan you’ll receive for any conditions you may have.
Health Images provides world-class medical imaging to patients in the Denver and Boulder areas. Why get a CAT scan at Health Images? Because we prioritize safety, provide exceptional service to make the whole process as comfortable as possible. To learn more about our services, contact one of the many Health Images locations in Colorado.
Sources:
- https://www.ncbi.nlm.nih.gov/pmc/articles/PMC5893493/
- https://www.healthimages.com/services/mri-scans/
- https://www.healthimages.com/services/ct-scans/
- https://www.healthimages.com/locations/
SHARE:
What is a CT Scan or CAT Scan? – Doctors Imaging | 3T & Open MRI, CT Scans, Ultrasound, and X-Rays in Metairie, LADoctors Imaging
A CT scan uses a technique that combines X-rays to create a cross-sectional view of your body. You may hear a CT Scan called a CAT Scan.
What Does CT Stand For?
CT stands for “computed tomography.” Tomography comes from the Greek word tomos meaning “slice.” Tomography refers to any form of imaging displaying a cross-section through the body or object using either X-ray or other technologies. Computed tomography is combining the X-ray features with computer technology in order to create highly detailed images or slices that physicians use to diagnose and treat patients.
How Do CT Scans Work?
CT scans are extremely beneficial because they allow medical professionals to see into the interior of the body without making incisions. This technology was not available 40 years ago which led to a lot of invasive, exploratory procedures that may or may not have yielded conclusive results.
CT scans use the power of X-rays and computer software in order to create medical images. The equipment looks like a large circular chamber with a bed inside. You’ll lie down and are then slowly moved inside the circular chamber or “gantry.” The that you are lying on will move you in and out of the gantry. The interior of the chamber is equipped with video and microphone so CT technicians and doctors can still hear and see you.
CT scans do not take too much time, at most 30-45 minutes. It is very important for patients to remain as still as possible in order to produce the clearest images. Inside the CT’s opening, on one side there is an X-ray tube that emits X-rays and on the other side of the circle is a large detector. As the machine makes an entire rotation, X-rays move through the body and are caught by the detector. The detector captures the X-rays as one “slice” or angle and transfers them to computer software that translates the image.
What are CT scans used for?
What a CT scan searching for in the body is dependent on what the patient needs. Doctors use CTs for a number of reasons: broken bones, cardiovascular problems, blood clots, bleeding, cancer detection and much more. At Doctors Imaging in Metairie, our CT machine ensures a thorough examination for patients and accurate diagnosis for doctors.
If you have more questions about what a CT scan is, what to do to prepare for your CT or what to expect, you can visit our CT Services Page. If you would like to schedule a CT appointment you can do so through our Request an Appointment page or you can call our offices at 504-883-8111 Monday through Friday 8:00am until 5:00pm.
Learn More About CT Scans and CAT Scans
What Happens During a Chest CT Scan?
From RadiologyInfo.org
Uses, Side Effects, Procedure, Results
Computed tomography—sometimes referred to as a CT scan, CAT scan, or computerized axial tomography—involves the use of multiple X-ray images that are translated by a computer and converted to form a three-dimensional image. This allows doctors to look at an organ, injury, or growth from different angles. A CT scan allows for more insightful analyses than other imaging tests without the need for invasive interventions. It is used for a wide variety of reasons, such as detecting tumors, identifying blood clots, assessing a bone fracture, and more.
Over 70 million CT scans are performed in the United States each year, according to research from Columbia University Medical Center in New York.
Illustration by Emily Roberts, Verywell
Purpose of Test
A CT scan is a painless, non-invasive procedure that can be used to visualize nearly every part of the body. Since the introduction of CT technology in 1967, the imaging procedure has advanced from being a tool for medical diagnosis to one that has applications in disease prevention, screening, and management. It is typically used when an X-ray cannot provide enough detail of an injury or disorder, especially in emergency situations where time is of the essence.
Among the many uses of CT scan:
- CT scanning of the abdomen may be used to identify masses in the liver, kidney, or pancreas, or to search for causes of bleeding in the urinary tract (hematuria).
- CT scanning of the cardiovascular system can be used to map the flow of blood (CT angiography) and to help diagnose kidney disorders, aortic aneurysm, atherosclerosis, or pulmonary edema.
- CT scanning of the heart can help diagnose and monitor coronary artery disease (CAD) or aid in valve replacement surgery.
- CT scanning of the head and brain may be used to look for tumors, hemorrhage, bone trauma, blood flow obstruction, and brain calcification (commonly seen in people with Parkinson’s disease and dementia).
- CT scanning of the lungs can help detect changes in the lung architecture as a result of fibrosis (scarring), emphysema, tumors, atelectasis (collapsed lung), and pleural effusion.
- CT scanning of the skeletal system can aid in the diagnosis of a spinal cord injury, pathologic fractures, bone tumors, or lesions, and to help evaluate a complex fracture, osteoporosis, or joint damage caused by arthritis.
Given this, your doctor may order this test for a number of reasons, including the presentation of symptoms related to these or other issues, an event (such as a physical trauma), results from other tests that indicate a need for further evaluation, and/or the need to monitor an already-diagnosed concern.
Benefits and Limitations
CT technology offers numerous benefits, particularly in emergency situations where high-contrast images can be produced in literally minutes. The information can tell doctors whether surgery is needed or not.
Within the context of emergency care, a CT scan is superior to X-rays, magnetic resonance imagining (MRI), and positron emission tomography (PET). Only an ultrasound can match the CT in terms of speed, but it has limitations in the types of injuries or disorders it can diagnose.
With that being said, there are situations where a CT may be less effective. For example, an MRI is far better at imaging organs and soft tissues, including joints, ligaments, nerves, and spinal discs. In a non-emergency situation, an MRI may provide more insightful information than a CT scan.
On the other hand, an MRI costs twice as much and, because it employs strong magnetic waves, may not be appropriate for people with metal implants (including some pacemakers, artificial joints, and cochlear implants).
By contrast, PET and CT technologies are often combined into a dual-purpose unit, referred to as PET-CT. By providing both anatomic and metabolic information, PET-CT scanners can offer greater insights when diagnosing or staging cancer.
Risks and Contraindications
Despite being a valuable tool for diagnosis and screening, a CT scan does carry risks, which relate to increasing your risk of cancer and reacting to contrast agents.
Cancer Risk
The main concern that many people have about CT scans is the exposure to “high” levels of radiation and the potential risk of cancer. While it is true that CT scans expose you to anywhere from 100 to 1,000 times more radiation than a conventional X-ray, that doesn’t necessarily translate into a proportional increase in cancer risk.
According to a National Cancer Institute (NCI), the risk of cancer from a single CT scan is very small. When compared to the average lifetime risk of cancer among Americans (one in five), the risk from a CT scan is more or less in the range of one in 2,000. The additive impact translates to a lifetime risk of roughly 20.05% compared to the general average of 20%.
Children may be at highest risk due to the fact that they have more years to live following the procedure compared to, say, someone in their 50s, 60s, or 70s. However, a 2012 review of studies cast doubt on that conceit and found no clear association between medical radiation and cancer risk in children.
While this should not suggest there is no risk, when used appropriately, the benefits of a CT scan will almost always outweigh the possible risks. If you’ve had one or more CT scans in the past, it is important to advise your doctor if a new one is ordered.
Contrast Agents
Contrast agents, also known as radiocontrast agents or contrast dyes, are used in CT scans to highlight structures that are difficult to differentiate from their surroundings, such as the brain, spine, liver, or kidneys. Most are iodine-based and are injected intravenously (into a vein) in advance of the scan.
For certain gastrointestinal investigations, an oral or enema solution may be needed. Barium sulfate and the iodine-based Gastrografin (diatrizoate) are most commonly used.
Contrast agent side effects may occur in anywhere from 1% to 12% of cases, depending on the agent used, according to research published in the International Journal of Angiology. Side effects can range in severity from mild to life-threatening and develop anywhere from one hour to seven days after the dose.
Common side effects include:
- Flushing
- Rash
- Itching
- Runny nose
- Coughing
- Dizziness
- Abdominal cramps
- Constipation
- Nausea
- Vomiting
Diabetes, asthma, heart disease, thyroid disorders, and kidney impairment may increase your risk of side effects.
Those with a known allergy to a radiocontrast agent should be pre-treated with antihistamines and steroids before receiving contrast.
Life-threatening allergic reactions—known as anaphylaxis—may occur in between 0.01% and 0.2% of cases. Symptoms include shortness of breath, hives, facial swelling, rapid heart breath, impaired breathing, abdominal cramps, and a feeling of impending doom. If not treated immediately, anaphylaxis can lead to seizures, coma, shock, and even death.
Pediatric Considerations
According to the NCI, between 5 million and 9 million CT scans are performed on children in the United States, including infants and toddlers, each year. While the lifetime risk of cancer in children from a single CT scan is low, the NCI recommends that the procedure be adjusted so that the lowest possible radiation dose is delivered to achieve a clear imaging result.
This would involve:
- Performing CT scans only when needed
- Considering other modalities that do not emit radiation, such as ultrasound and magnetic resonance imaging (MRI)
- Adjusting the radiation level based on the child’s size and weight
- Narrowing the scan to the smallest necessary area
- Reducing the scan resolution if high-quality images are not absolutely necessary
If more than one CT scan is recommended, discuss the benefits and risks with your doctor and do not hesitate to ask if there are other means to achieve a reliable diagnosis.
Pregnancy Considerations
If you are or suspect you may be pregnant, or have been trying to get pregnant, advise your doctor. Generally speaking, if the abdomen or pelvis are not being scanned, the risk to your fetus is negligible. If the CT scan involves the abdomen or pelvis, the risk to your baby is still considered small, according to guidance from the American College of Obstetricians and Gynecologists (ACOG).
Similarly, oral and rectal contrast agents are not absorbed in the bloodstream and cannot harm the fetus. While intravenous agents can cross the placenta and enter fetal circulation, animal studies to date have not shown any evidence of harm.
However small the risk may be, it’s always best to speak with your doctor about any procedure performed during pregnancy so that you can make an informed choice.
With regards to breastfeeding, barium is not absorbed into the bloodstream and will not be passed to your baby in breastmilk. While less than 1% of an iodine-based solution may be transmitted in breastmilk, ACOG has concluded that this amount cannot cause harm to a baby and does not warrant the interruption of breastfeeding.
With that being said, some mothers may prefer a more conservative approach and choose to avoid breastfeeding for 24 to 48 hours following the test. (In such cases, pumping a couple days’ supply beforehand can tide you over.)
Contraindications
CT scans are almost always avoided during pregnancy unless the benefits of the test clearly outweigh the potential risks.
Other contraindications may include:
From a practical standpoint, obesity may exclude the use of a CT scan given that most machines can only accommodate weights of less than 425 to 450 pounds and a back-to-belly measurement of fewer than 28 inches.
Before the Test
The preparations for a CT scan can vary based on the type of condition being diagnosed and whether a contrast agent is being used. Your doctor will provide you with specific instructions based on the aims of the test.
Timing
From arrival to completion, the appointment should take around one to two hours, depending on the preparations needed. The scan itself without a contrast agent will take around 15 to 30 minutes to perform. Newer machines can run the scan in only a few minutes.
If a contrast agent is used, it can take anywhere from several minutes to an hour for the solution to fully circulate through the bloodstream or gastrointestinal tract. Be prepared to accommodate for delays when scheduling the test and to try to arrive 15 minutes early to sign in.
Location
The test is typically conducted in a hospital or an independent radiology facility. Newer CT imaging systems are comprised of a large, donut-shaped unit and a motorized scanning table that passes in and out of the scanner. In the center of the tunnel (gantry) are a series of X-ray emitters and detectors. These are far less claustrophobic and loud compared to older systems.
The radiographer will conduct the CT scan from a radiation-safe control room adjacent to the scanning room.
What to Wear
Depending on the part of your body being scanned, some or all of your clothing may need to be removed. Wear comfortable clothing without zippers, buttons, rivets, or snaps (such as a sweatsuit).
While a locked storage space may be provided, leave any valuables at home. Since you will need to remove anything made of metal from the scanning site (including eyeglasses, jewelry, and piercings), it is best to leave any non-essential accessories at home.
Food and Drink
Food and drink restrictions may be needed for some CT procedures, especially those involving contrast agents. In such cases, you may be asked to stop eating or drinking six to eight hours beforehand.
Certain medications may also need to be temporarily stopped. Advise your doctor about any and all drugs you may be taking, whether they are prescription, over-the-counter, or recreational.
If a rectal contrast agent has been ordered, you will need to undergo bowel preparation a day before the procedure, which involves food restrictions and laxatives to ensure the bowel is entirely clear of fecal matter.
What to Bring
Be sure to bring your ID and health insurance card with you when signing in at the lab. If your child is undergoing the scan, you may want to bring a soft toy along if they are especially anxious.
If a rectal contrast agent is ordered, you may want to bring a sanitary pad to prevent anal leakage after the solution is evacuated from the colon.
Cost and Health Insurance
The cost of a conventional CT scan without a contrast agent is between $600 and $1,500 depending on the state you live in and the facility you choose. A more extensive evaluation with a contrast agent may be as high as $5,000.
As a rule, CT scans will require some form of insurance pre-authorization. Your doctor can submit this request on your behalf. If the scan is denied, ask for the reason in writing. You can then take the letter to your state consumer protection office for assistance in submitting an appeal. Your doctor should also provide additional motivation as to why the test is crucial.
If approved, be sure to find out what your out-of-pocket expenses will be. If you are uninsured or underinsured, shop around for the best prices. By and large, hospital radiology units are more expensive than independent ones.
You can also ask if the lab offers flexible payment options. If you are uninsured, ask if they have a patient assistance program with a tiered price structure.
During the Test
The test will be performed by a specially trained radiographer in a scanning room. A nurse may also be present.
Pre-Test
On the day of the test, after signing in and confirming your insurance information, you may be asked to sign a consent form stating that you understand the purpose and risks of the procedure. You will then be led to a changing room to change out of your clothes.
If you are having a conventional CT, you are now ready to get into position in the scanning room. But if your doctor has ordered that your test be done with a contrast agent, you will need to undergo some additional preparations:
- If an IV contrast agent is ordered, you will be positioned on the table in the scanning room and an IV line will be inserted into a vein, usually in the arm or groin, after which a contrast agent is injected. In some cases, the agent may be injected directly into the joint (arthrogram) or lower spine (myelogram). You may experience brief flushing or a metallic taste in your mouth. Depending on the part of the body being scanned, you may need to wait in a reclined or prone position for several minutes or more. The IV line is kept in place until the end of the scan.
- If an oral contrast agent is ordered, you will be asked to drink either a chalky (barium) or watery (Gastrografin) substance before entering the scanning room. Depending on the part of the body being assessed, you may need to wait 30 to 60 minutes before the scan can be performed. Let the nurse or radiographer know if you experience nausea or distress of any sort.
- If a rectal contrast agent is ordered, you will be positioned on the table in the scanning room and your rectum will be lubricated. An enema tube will be inserted to gradually fill your colon with the contrast agent (and sometimes air). To ease muscle spasms, you may be given a shot of Buscopan (butylscopolamine). A balloon at the tip of the tube is then inflated to prevent leakage and kept there until the scan is complete.
Depending on the investigation, you may be asked to lie on your back, side, or stomach. The table can be raised or lowered, and straps and pillows may be used to keep you in position and help you stay still during the test. While not moving as the scan is being performed is imperative, newer multi-detector CT systems are fast and easy, reducing the amount of time you need to hold your position.
If you are accompanying your child, you will need to wear a protective apron to minimize radiation exposure. During the actual scan, you will stay in the control room with the technologist but will be able to communicate with your child through the two-way speaker.
Throughout the Test
When it is time to begin, the technician will let you know by communicating with you through the speaker. At first, the motorized table will move in and out of the scanner quickly. This is to ensure that the table is in the right starting position and that the scan will cover the entire body part being investigated. You will also see special light lines projected onto your body to ensure that you are in the correct position.
From there on, the table will move slowly through the scanner. The gantry will spin around you as the X-ray emitters produce an array of beams. The beams will pass through your body and be received by corresponding detectors.
During each scan, remember to remain still. In some cases, you may be asked to hold your breath. Your position may also be altered to obtain different views. Unlike CT scanners of old, newer units only emit slight buzzing, whirring, or clicking sounds. You will feel no pain from the scan itself.
If you need to sneeze or itch, or you are cramping up, let the technician know. There is no problem with stopping the test momentarily. In some cases, the technician may be able to make you more comfortable without obstructing the imaging.
A computer will then translate the signals into a series of cross-sectional (tomographic) images called slices. Using geometric digital processing, the two-dimensional slices can be converted into the final, 3D image.
Post-Test
Once the scans are completed, the radiographer will double-check to ensure the images are clearly visualized.
- If an IV contrast agent was used, the IV line will be removed and the puncture wound bandaged.
- If an oral contrast agent was used, you will be given a glass of water and encouraged to drink plenty of fluids.
- If a rectal contrast agent was used, the solution will be extracted from the colon through the enema tube. Once the tube is removed, you will be lead to the restroom to expel the rest into the toilet. A sanitary pad may be provided to protect your clothing from leakage. A laxative may also be offered to help clear the bowel and prevent constipation.
In most cases, you can change back into your clothes and drive yourself home or to work.
After the Test
Most iodine-based contrast agents have a half-life of between two to four hours, meaning that they are fully cleared from your body in a day or two. Much of the solution will be excreted in urine, so drink plenty of fluids.
If you were given a barium solution, you may experience short-term constipation, and your stools may be chalky for a day or two. If you don’t have a bowel movement after two days, call your doctor. A barium enema can sometimes cause impaction and lead to bowel obstruction. A special enema may be needed to clear the impaction.
The radiation from the CT scan will not remain in the body, and you will be of no harm to anyone you touch, kiss, or stand close to.
Regardless of the type of CT done, call your doctor if you experience any unusual symptoms, including fever, chills, vomiting, shortness of breath, or rapid heartbeat.
Interpreting the Results
Your doctor should receive the CT scan results within a day or two. In addition to the images, the radiologist will prepare a detailed report outlining the normal and abnormal findings.
A CT scan can sometimes provide definitive evidence of a disorder, particularly fractures; kidney stones; clots; or the narrowing (stenosis) of blood vessels, air passages, or the intestines.
At other times, a scan can only suggest what is happening. This is especially true with abnormal growths, lesions, and tumors. Further investigation is often needed to determine whether the growth is benign or malignant and what types of cells may be involved.
In some cases, no problem may be found. This doesn’t mean that you are necessarily in the clear. It simply indicates that nothing was detected based on the limitations of the CT technology.
Based on the results, your doctor may either offer a treatment plan or recommend further testing.
Follow-Up
If further investigation is needed, the diagnosis may involve blood tests, urine tests, cultures, tissue biopsies, other imaging tests, or even exploratory surgery.
If cancer is suspected, a combination PET-CT scan may provide more definitive evidence of a malignancy alongside a biopsy of the growth itself.
A Word From Verywell
As accurate and fast as a CT scan can be, the results are sometimes open to interpretation. If your symptoms continue despite a “normal” result, speak with your doctor about other test options, or ask for a referral to a specialist who may be able to expand the investigation. Don’t ever be afraid to seek a second opinion or to ask that your files be forwarded to another doctor.
CT images today are stored as electronic data files and can be delivered via email or other means when needed.
CT (CAT) Scan – Medical Imaging
CT (CAT) Scan
Frequently
Asked Questions
What is a CT Scan?
CT stands for Computed Tomography. It is a computerized X-ray machine
that examines the body. The scanner is comprised of a table and a gantry.
The gantry is the donut shape part that houses the X-ray source. The
X-ray source rotates inside the gantry as the patient moves through.
Data is obtained and processed by a computer to produce a two dimensional
image.
What are Contrast Agents?
Contrast agents are used to image tissues
and structures that are not normally seen, or not seen very well. Intravenous
contrast agents are used to enhance organs and visualize blood vessels.
Oral contrast agents are used to visualize the digestive tract.
How do CT scans differ from MRI scans?
CT and MRI images sometimes look very similar, but the equipment used
to perform the scans is different. CT uses ionizing radiation just
as with a routine X-ray, while MRI uses a magnetic field. Depending
on the clinical indications, one may be preferred over the other, or
both may be desirable. CT scanners are faster and as a result, claustrophobia
and movement are not as problematic as with the MRI scanner.
Who performs the CT scan?
Medical radiation technologists specially trained in the operation
of CT scanners perform the procedure. All technologists must be members
of the College of Medical Radiation Technologists of Ontario, and have
passed qualifying examinations. The technologist also administers oral
and intravenous contrast.
What will I feel during the scan?
CT scanning causes no pain, just as a routine X-ray is painless. If
intravenous contrast is used, you may feel warm and flush and get a
metallic taste in your mouth. These sensations normally disappear after
a few minutes.
How long will the scan take?
The time required will depend upon the type of scan. If oral contrast
is required, about 45 to 60 minutes is needed for the contrast
to move through your digestive tract. Actual scan times vary from a
few seconds to several minutes. If no oral contrast is required, the
examination will take about 15 to 30 minutes, including the
time for intravenous preparation and interview. In some cases additional
scanning is required as scans are tailored to suit individual diagnostic
needs.
Will I need to drink anything?
Most abdominal scans require the patient to drink a barium sulfate
oral contrast mixture. This mixture is flavoured and not at all unpleasant.
Oral contrast highlights the stomach and upper intestine providing
the radiologist with a detailed image for review. If you are scheduled
for a CT scan requiring oral contrast, you will be asked to arrive
one hour before the scan time.
Should I arrive early to see if I can get in earlier?
No. You should arrive at the designated booking time, and check in
at the Medical Imaging Reception desk. Appointment times are given
in 15 minute increments. Very rarely are there openings in the schedule
to permit you being scanned earlier than your appointment time.
How long will I have to wait after I arrive?
Every attempt is made to keep procedures and scan appointments on
schedule. However there may be fluctuations in appointment times due
to emergency patient needs. Trauma patients, and patients whose lives
are in jeopardy will take precedence over booked outpatient appointments.
We appreciate your understanding and patience when we must attend to
these life and death situations.
Can my spouse/friend stay in the room with me?
No. CT scanners use ionizing radiation and only the patient requiring
the scan is permitted in the room.
Why does the technologist leave the room?
The technologist must operate the computer system to complete the
scanning procedure.
Can I see the images after my scan?
No. In order to stay on schedule, time will not permit a review with
the patient. In addition, the technologists are restricted from discussing
images with you. While we understand your curiosity and anxiousness,
it is in your best interest to discuss the results of your examination
with your doctor.
Will I get the results after the scan?
No. In most cases several hundred images are created during the scan,
all of which will be reviewed by the radiologist. Previous examinations
will also be reviewed and compared if applicable. The radiologist completes
an in-depth review of all images and may at times consult with other
physicians to provide an accurate report of your examination to your
physician. The final report may take several days to complete. Upon
completion it will be sent to your referring physician
Should I have a CT scan if I am pregnant?
No. If you are pregnant or suspect that you may be, you should not
have a CT scan or any type of X-ray examination. You should inform
the technologist if you suspect you may be pregnant. Alternative arrangements
may be made to meet your medical needs.
Will I see the X-ray dye in my urine?
No. X-ray dye or intravenous contrast is a colorless compound that
is excreted unnoticed in the urine.
Why do some patients need X-ray dye and others not?
Depending upon your condition and the images required to diagnose
or rule out pathology, X-ray dye or intravenous contrast may or may
not be needed. The radiologist reviews the information sent to us by
your physician and decides what contrast is needed to provide the best
images.
Are there any instructions I need to follow after the scan?
If no contrast was used, there are no instructions and you may continue
with your normal activities. If intravenous contrast or oral contrast
is used, you will be instructed to drink water for the rest of the
day to help eliminate the contrast.
Will I have to hold my breath?
Depending upon the body part being scanned, you may be required to
hold your breath several times during the scan. It is important that
you not move during the scan. The technologist will instruct you on
breathing prior to the start of the scan.
Can I breastfeed after an injection of intravenous contrast?
You should not breastfeed for 48 hours after an injection of intravenous
contrast.
Does the radiation stay in my body?
No. CT uses a thin beam of radiation that is captured by detectors
as it exits your body.
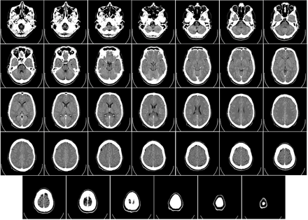
Computed Tomography (CT or CAT) Scan of the Brain
The brain can be divided into the cerebrum, brainstem, and cerebellum:
Cerebrum. The cerebrum (supratentorial or front of brain) is
composed of the right and left hemispheres. Functions of the
cerebrum include: initiation of movement, coordination of
movement, temperature, touch, vision, hearing, judgment,
reasoning, problem solving, emotions, and learning.Brainstem. The brainstem (midline or middle of brain) includes
the midbrain, the pons, and the medulla. Functions of this area
include: movement of the eyes and mouth, relaying sensory
messages (hot, pain, loud, etc.), hunger, respirations,
consciousness, cardiac function, body temperature, involuntary
muscle movements, sneezing, coughing, vomiting, and swallowing.Cerebellum. The cerebellum (infratentorial or back of brain) is
located at the back of the head. Its function is to coordinate
voluntary muscle movements and to maintain posture, balance,
and equilibrium.
More specifically, other parts of the brain include the following:
Pons. A deep part of the brain, located in the brainstem, the
pons contains many of the control areas for eye and face
movements, facial sensation, hearing, and equilibrium.Medulla. The lowest part of the brainstem, the medulla is the
most vital part of the entire brain and contains important
control centers for the heart and lungs.Spinal cord. A large bundle of nerve fibers located in the back
that extends from the base of the brain to the lower back, the
spinal cord carries messages to and from the brain and the rest
of the body.Frontal lobe. The largest section of the brain located in the
front of the head, the frontal lobe is involved in personality
characteristics and movement.Parietal lobe. The middle part of the brain, the parietal lobe
helps a person to identify objects and understand spatial
relationships (where one’s body is compared to objects around
the person). The parietal lobe is also involved in interpreting
pain and touch in the body.Occipital lobe. The occipital lobe is the back part of the
brain that is involved with vision.Temporal lobe. The sides of the brain, these temporal lobes are
involved in memory, speech, and sense of smell.
What are the reasons for a CT scan of the brain?
A CT of the brain may be performed to assess the brain for tumors and
other lesions, injuries, intracranial bleeding, structural anomalies
(e.g.,
hydrocephalus
, infections, brain function or other conditions), particularly when
another type of examination (e.g., X-rays or a physical exam) are
inconclusive.
A brain CT may also be used to evaluate the effects of treatment on
brain tumors
and to detect clots in the brain that may be responsible for
strokes
. Another use of brain CT is to provide guidance for brain surgery or
biopsies of brain tissue.
There may be other reasons for your doctor to recommend a CT of the
brain.
What are the risks of a CT scan of the brain?
You may want to ask your doctor about the amount of radiation used
during the brain CT procedure and the risks related to your particular
situation. You should keep a record of your past history of radiation
exposure, such as previous CT scans and other types of X-rays, so that
you can inform your doctor. Risks associated with radiation exposure
may be related to the cumulative number of X-ray examinations and/or
treatments over a long period of time.
To safeguard your health, consider the following precautions before
scheduling a brain CT:
Pregnancy
: If you are pregnant or suspect that you may be pregnant, you
should notify your doctor. Radiation exposure during pregnancy
may lead to birth defects. If it is necessary for you to have a
CT of the brain, special precautions will be made to minimize
the radiation exposure to the fetus. Contrast media: If contrast media is used
during a brain CT, the patient may develop an an allergic
reaction to the media. Some patients should not have an
iodine-based contrast media. Patients who are allergic to or
sensitive to medications should notify their doctor. When you
schedule your brain CT scan, you should inform the access
center representative if you have had an allergic reaction to
any contrast media or if you have kidney failure or other
kidney problems. IV contrast will not be administered if you
have had a severe or anaphylactic reaction to any contrast
media in the past. You may be able to have the scan performed
without contrast media or have an alternative imaging exam. . A
reported seafood allergy is not considered to be a
contraindication for iodinated contrast. Nursing mothers may
want to wait 24 hours after contrast material is injected
before resuming breastfeeding.Diabetes:
Patients taking the diabetes medication metformin (Glucophage)
should alert their doctors before having an IV contrast
injection as it may cause a rare condition called metabolic
acidosis. If you take metformin, you will be asked to stop
taking it at the time of the procedure and wait 48 hours after
your procedure before restarting this medication. A blood test
to check kidney function may be required before you can resume
taking metformin.
There may be other risks depending on your specific medical condition.
Be sure to discuss any concerns with your doctor prior to the
procedure.
How do I prepare for a CT scan of the brain?
If you are having
computed tomography angiography (CTA)
, you will be given specific instructions when you make your
appointment. The following instructions will help you prepare for your
brain CT:
Clothing
: You may be asked to change into a patient gown. If so, a gown
will be provided for you. Please remove all piercings and leave
all jewelry and valuables at home.Contrast media:
You will be asked to sign a consent form that will detail the
risks and side-effects associated with contrast media injected
through a small tube places in a vein called an intravenous
(IV) line. The most common type of brain CT scan with contrast
is the double-contrast study that will require you to drink a
contrast media before your exam begins in addition to the IV
contrast. If you had mild to moderate reactions in the past,
you will likely need to take medication prior to the brain CT
scan.Food and drink
: If your doctor ordered a brain CT scan without contrast, you can eat, drink and take
your prescribed medications prior to your exam. If your doctor
ordered a CT of the brain with contrast, do not eat anything three hours prior to your
brain CT. You are encouraged to drink clear liquids.Diabetics
: Diabetics should eat a light breakfast or lunch three hours
prior to the scheduled scan. Depending on your oral medication
for diabetes, you may be asked to discontinue the use of your
medication for 48 hours afterthe brain CT
scan. If you have a CT scan with Johns Hopkins radiology,
detailed instructions will be given following your examination.Medication
: All patients can take their prescribed medications as usual,
unless otherwise directed.
Based on your medical condition, your doctor may request other specific
steps for brain CT preparation.
Computed tomography for animals in Moscow – Make a CT scan for a cat and a dog
“Correctly diagnosed – a half-cured disease!”
The capabilities of modern veterinary medicine have significantly increased in recent years, new diagnostic methods have appeared that allow you to look inside the pet’s body and visually assess the degree of damage to a particular organ. Computed tomography is one of these modern diagnostic methods!
The essence of the computed tomography method is to send a large number of X-rays to the object of study to obtain layer-by-layer “cuts”, which, after receiving them by special detectors, are sent to a computer, where they are processed and subsequently restored to the data of the internal structure of the investigated area with the formation of “reconstructions”.
As a result of constructing reconstructions, it becomes possible to visualize and study any internal organ. Such an opportunity to study the area of interest is the key to the high diagnostic value of the computed tomography method in comparison with other methods of visual diagnostics!
Also, the computed tomography method has become the “gold standard” in the diagnosis of patients in severe or extremely serious condition due to the speed of the study!
Despite the work with emergency patients, the computed tomography method is also widely used in the diagnosis of pathologies:
- Diseases of the intervertebral discs.
- Nervous system – brain and spinal cord.
- Search for tumors and metastases in the chest and abdominal cavity.
- Congenital anomalies and genetic pathologies.
Separately, you can talk about computed tomography as a diagnostic method in orthopedics and traumatology. Computed tomography is a method of maximum information content and high-precision diagnostics in planning complex orthopedic and traumatological operations, as it allows you to examine the pathological focus to the smallest detail!
The introduction of a contrast agent during computed tomography significantly expands the diagnostic capabilities of the method, complementing and improving the visualization of various pathologies!
TO FIND OUT ABOUT THE OPERATING MODE, PREPARATION FOR THE STUDY AND THE POSSIBILITY OF ITS CARRYING OUT – SPECIFY BY PHONE +7 (495) 995-50-30
Computed tomography for dogs and cats
Computed tomography (CT) is one of the methods of radiation diagnostics.This means that tomography uses conventional X-rays to produce images. But why is computed tomography so important, because X-rays have been known for over 100 years! The whole point is that computed tomography, thanks to modern technologies, can obtain an image layer by layer with a thickness of a millimeter. This means that even the smallest changes and deviations from the norm cannot be missed. Computed tomography in veterinary medicine has now become an integral part of diagnostics, because the variety of diseases in animals and the complexity of their detection is not inferior to human pathologies.In both human medicine and veterinary medicine, computed tomography has marked a new milestone in the treatment of oncological, neurological, respiratory and orthopedic diseases, as well as diseases of the vascular bed. The smallest metastases and bone defects, vascular pathologies and diseases of the spinal column can very often be detected only with computed tomography. Another important aspect is the possibility of taking CT biopsies – a technique that allows you to use a computed tomography scanner to control a needle with which a doctor can take a fragment of the tissue of interest to us for laboratory examination.In animals, computed tomography is performed only under sedation – this is a necessity.
Many owners are very worried about the anesthetic part, and the vast majority of people associate the word “anesthesia” with some incredibly terrible procedure. And most often doctors hear the phrase: “Is it really necessary to give anesthesia to my animal?” Yes, this is necessary due to the fact that during the tomography the animal needs to lie motionless for a certain amount of time, the animal must be completely relaxed and most often the animal needs to take unnatural, sometimes discomforting, postures.And only anesthesia can help us in this.
How safe is it? It should be understood that performing anesthesia even in a clinically healthy, young animal without concomitant diseases does not give a 100% guarantee that the animal will tolerate anesthesia well, since there are certain anesthetic risks. There are 5 anesthetic risks, from the first (the easiest) to the fifth (the most severe), and to what degree of anesthetic risk your animal belongs ONLY is decided by the anesthesiologist ONLY, based on the clinical examination, test results, etc.It is also necessary to understand that even with the first degree of anesthetic risk, the lethality is up to 3%, and in animals with the 5th degree of anesthetic risk it can reach 60%.
On the eve of CT diagnostics, it is necessary to have on hand the results of the following examinations:
- General clinical blood test (analysis should not be more than 14 days old)
- Biochemical blood test (the duration of the analysis should not exceed 14 days)
- ECHOKG and consultation with a cardiologist (preferably)
If the results of additional studies are available (ultrasound, results of histology or cytology, etc.)they must also be provided on the eve of CT diagnostics. Remember that the “fresher” the test results are and the more test results there are, the more accurately you can assess the condition of your animal.
On the day of CT diagnostics, it is necessary to withstand an 8-10 hour starvation diet and come to the clinic at the specified time. Further, an appointment with an anesthesiologist is carried out, where the animal is re-examined, the results of analyzes and additional studies are studied, and a conversation is held with the owner.After that, the animal is placed in an intravenous catheter and premedication (to prevent unwanted consequences of anesthesia). After premedication, the owner waits with the animal for 10-15 minutes and then the anesthesiologist takes the animal to the CT department. The study itself lasts from 10 minutes to 2 hours (depending on the area of study, the size of the animal and additional procedures). After the study, the animal is placed in a hospital and an intravenous infusion is given to it (for the earliest possible recovery from the state of anesthesia).The animal is given to the owners fully awake, in a clear consciousness and in a satisfactory state.
At the Aibolit veterinary clinic we use a 4th generation spiral tomograph. We carry out all types of research, including CT myelography, CT angiography, CT biopsies of all types (fine needle, cutting, trephine).
Come, we will be happy to help you!
90,000 CT for dogs and cats
The PHILIPS Brilliance CT scanner entered service with the Department of Instrumental Diagnostics and Radiation Therapy in June 2017.Computed tomography of animals is carried out under anesthesia, for this the computed tomography room is equipped with all the necessary equipment, from an anesthetic patient control monitor to a ventilator. All patients are examined by a specialist in the diagnostic department before the study.
Computed tomography (CT) appeared in 1972. For the invention of CT, the English engineer H. Haunsfield and the mathematician A. Cormak received the Nobel Prize.
Computed tomography is based on the absorption of X-ray radiation by tissues, that is, in this sense, it is similar to classical radiology. The fundamental difference is that the X-ray beam created by the X-ray tube and then focused by the collimator, after passing through the body, hits the sensors. The latter register the intensity of the radiation. Acquisition of an image of the cross-layer of the object under study is achieved by circular motion of the X-ray tube, advancement of the table, and mathematical processing of a plurality of X-ray images.The result of measurements of the same object, made at different angles, is converted into a two-dimensional image of the layer.
Compared to traditional X-ray diagnostics, CT allows one to distinguish tissues only slightly different from each other in density (by 0.5%), that is, the contrast resolution of CT is ten times higher than traditional X-ray. In addition, the layer-by-layer image acquisition excludes the layering of “shadows”.
With the advent of CT, the quality of multiplanar reformation, including three-dimensional, CT angiography has improved and new diagnostic possibilities have opened up, such as virtual endoscopy.
Indications for CT
CT was originally used to examine the brain. With the widespread adoption of MRI of the brain, the indications for CT have dropped dramatically. The main area of application for CT is the lungs. The method reveals focal lesions, disseminated process and abnormalities. If mediastinal pathology is suspected, MRI has been preferred recently. In terms of the accuracy of diagnosing lesions of the liver, spleen, kidneys and pancreas, CT and MRI are comparable, however, CT requires less time to study and is more accessible.Kidney stones are also clearly visible during ultrasound examination, but in some cases, CT allows you to characterize their chemical composition. MRI, along with ultrasound, has almost completely replaced CT from the field of study of the pelvic organs.
At the same time, there are still areas of application of CT, where it is clearly in the lead. This applies to urgent conditions such as abdominal trauma and acute abdomen. For small animals, CT remains an indispensable tool for diagnosing canine hydracephalus.
Structure of detected pathology:
1.Neoplasms (benign, malignant, metastases).
2. Inflammatory process (acute, subacute, chronic).
3. Systemic and lymphoproliferative diseases.
4. Traumatic, post-traumatic, postoperative changes.
5. Vascular pathology.
6. Stones (calculi).
7. Dystrophic and degenerative changes.
8. Atrophic process.
9. Anomalies and developmental options
90,000 CT for cats, dogs and small pets in VC ZOOVET
Computed tomography is an almost universal research method that informs about the state of the nervous system, brain, internal organs, blood vessels.Computed tomography for animals is used very widely – it helps to identify in the early stages a number of diseases, including heart problems and cancer.
What is its essence
CT is an X-ray examination. The radiation doses are small and absolutely harmless to the living organism. Unlike conventional X-ray, CT allows you to get an accurate and detailed image, without the specific distortions inherent in X-ray images (for example, shadows of organs and tissues on them are often layered on top of each other, distorting the picture).Animal CT is used to establish a definitive diagnosis.
This research technique is used to confirm the following pathologies:
90,018 90,019 injuries and fractures;
90,019 neoplasms;
90,019 congenital anomalies of internal organs, bones and joints.
How is the computed tomography procedure performed
CT is a safe procedure that does not take much time.Computed tomography of a dog or cat is carried out literally within a few minutes. The maximum duration of the procedure is half an hour with a wide examination area.
Before the procedure, the animal must be examined to exclude possible contraindications. These include renal failure and conditions for which anesthesia and sedation are not recommended. It should be noted that the doses of drugs used for anesthesia are small and do not harm the body of a healthy animal.
For 12 hours before the procedure, the animal should not be given food, 6 hours before the procedure – water.
If the animal was previously examined using CT or MRI, you must bring with you the conclusions and results of the analyzes that were carried out earlier.
CT scan of a dog in Moscow can be performed at the Zoovet veterinary clinic. Our specialists guarantee a fast, gentle procedure and high accuracy of the results. Prices for computed tomography are reasonable and moderate; you should pay attention to the fact that the prices depend on the weight of the animal: the heavier it is, the higher the cost.
If you want to clarify the price of the procedure or register your pet for examination, please call: +7 (495) 775-94-24.
Pay some attention to your pet’s health,
after all, he devoted his whole life to love for you!
The use of computed tomography for the diagnosis of diseases of the spinal column in animals
Authors : Gerasimov Andrey Sergeevich, veterinary radiologist, St. Petersburg, Ivan Fillmore clinic.
Kemelman Evgeniy Leonidovich, veterinary radiologist, Krasnogorsk, clinic of veterinary medicine Aibolit.
Introduction
Pathologies of the structures of the spine in animals are very common. And the correct diagnosis is not always made. One of the reasons is the complexity of the anatomy of the spine. Radiography is a traditional method for visualizing the structures of the spine. Radiography is a method that examines a projection image of an object obtained by passing X-rays through it.Projection, that is, representing the result of the summation of shadows from a large number of anatomical structures. Often, such a study does not provide comprehensive information, since the same X-ray changes can be caused by various reasons. And many morphological changes are not detected by radiography. Computed tomography (CT) examines images of axial slices, which are simulated by a computer from a large amount of data collected when an object is scanned with X-rays from different points.From the sections, one can judge the morphology of those structures that are indistinguishable on radiographs due to overlays. From axial slices, slices in other planes can be reconstructed to assess the relative position of objects.
CT is just an imaging technique that surpasses radiography in terms of information content, but has its own limits. In addition, we must not forget that the diagnosis is complex. That is, in order to make a correct diagnosis, it is necessary not only to detect changes in tomographic images and interpret them, but also to assess how much these changes can be the cause of the existing symptoms.
CT and MRI are based on different principles and do not replace, but complement each other. The computed tomography method is based on the measurement and complex computer processing of the difference in the attenuation of X-ray radiation by tissues of different density. Magnetic resonance imaging is a tomographic method for examining internal organs and tissues using nuclear magnetic resonance. In this case, the electromagnetic response of the nuclei of hydrogen atoms to their excitation by a certain combination of electromagnetic waves in a constant magnetic field of high intensity is measured.That is, tissues differ in their saturation with hydrogen atoms.
How the research works
One of the conditions for obtaining high-quality CT images is the immobility of the scanned object. Therefore, the study is done under general anesthesia. In order to reduce the displacement of the vertebrae during breathing, the animal is placed in a dorsal position. The procedure for scanning the spine of a large dog on the 16-slice spiral computed tomography Philips Electron installed in our clinic takes about one minute.Based on the scan results, a decision is made on the need for additional studies, for example, studies with the introduction of a contrast agent (subarachnoid or intravenous), stress-packing (if instability is suspected).
Often, an animal is sent for CT in a serious condition, when it is difficult to correctly predict the level of damage or there may be several injuries. There are no technical obstacles in order to examine in the same animal not only the spine, but also the head, chest and abdominal cavity (this must be done in case of injuries, with suspicion of pathology of the middle and inner ear, hydrocephalus, with pleural and peritoneal effusions, neoplasms ).
If necessary, immediately, under the same anesthesia, you can take material for a cytological examination (in this case, you can check the location of the biopsy needle on the tomograph). That allows you to see native scanning (scanning “as is”, without additional contrast)
Bones. Anatomical abnormalities and variants of the norm (Fig. 1). Fractures and dislocations. Destruction and deformation of the vertebrae, narrowing of the spinal canal. Mineralization of ligaments and arthrosis in the intervertebral joints (Fig.2). During the reconstruction, you can get slices of different thickness in arbitrary planes, make the necessary measurements.
Disks. The normal intervertebral disc is not radiopaque. With degenerative processes, mineralization occurs in it, areas of the disc become radiopaque. If there is a rupture of the annulus fibrosus and the release of the substance of the nucleus pulposus into the spinal canal (Intervertebral Disk Disease (IVDD) Type 1 Hansen), this can be seen on tomographic images (Fig.3). The dorsal part of the fibrous ring of the intervertebral disc (Intervertebral Disk Disease (IVDD) Type 2 Hansen) protruding into the canal is also visible on native scanning due to the difference in the X-ray densities of the disc tissues, spinal cord structures and adipose tissue located in the spinal canal (Fig. 4). In addition to assessing the compression of the spinal cord by the disc, an increase in the volume of soft tissues adjacent to the disc and vertebrae is also of diagnostic value. This increase in volume can occur with inflammation and edema (for example, with discospondylitis).
Spinal cord. It is a soft tissue formation surrounded by fatty tissue, which differs in its absorption of X-rays from the spinal cord. That is, it is “contrasted” with the surrounding adipose tissue, therefore, already with a native study, preliminary conclusions can be drawn about the compression of the spinal cord, about the presence of neoplasms or hematomas in the lumen of the spinal canal. Areas of mineralization of the membranes of the spinal cord are visible. Dilated internal venous plexuses of the spine.
Stress stacking
In order to identify instability (pathological change in the relative position of the vertebrae), it is necessary to assess how the vertebrae are displaced relative to each other under different loads. For this, the spine is scanned several times at different positions of the animal, with the creation of various loads on the spine. On the obtained series of images, the displacement of the vertebrae is assessed under various loads and body positions. As a rule, the study of reconstructions in the mid-sagittal planes is of the greatest importance.Stress-laying can also reveal inconsistent protrusions of the intervertebral discs that arise only under a certain load (Fig. 5).
Administration of X-ray contrast agents
To solve many diagnostic problems, it is necessary to ensure that tissues with similar X-ray density become distinguishable in images.
This is achieved by the introduction of radiopaque substances. Depending on the tasks to be solved, radiopaque substances are injected under the membranes of the spinal cord, into cavities, into fistulas, into blood and lymphatic vessels.
Currently, we use omnipak (iohexol) as a radiopaque substance. The most commonly used method of contrasting spinal cord structures is myelography. In myelography, a contrast agent is injected into the subarachnoid space. If foci of destruction in the vertebrae or volumetric soft tissue formations adjacent to the vertebrae are detected, a study is performed with intravenous administration of a contrast agent.
Legend
CT is a way to see more.With the advent of CT, the understanding of pathological processes that can occur in the structures of the spine has changed. This means that new nosological units have appeared. So far, the etiology of some diseases is unclear. In some cases, different authors may interpret the same changes in different ways.
But since CT diagnostics becomes an affordable method, it makes sense to get acquainted with some of the diseases that are diagnosed using this method.
Congenital malformations of the vertebrae
Anomalies in the number of vertebrae and anomalies in the shape of the vertebrae (hemivertebrae, wedge-shaped, butterfly-shaped, block, split, transitional vertebrae).This is something that can often be found on radiographs of, for example, French Bulldogs and Pugs. Very often, findings of abnormal vertebrae have no clinical significance, but sometimes they can lead to compression of the spinal cord or its roots and cause neurological damage. CT, in contrast to X-ray, allows you to identify narrowing of the spinal canal and assess the degree of compression of the spinal cord. Osteochondromatosis (multiple cartilaginous exostoses) is considered as one of the variants of skeletal dysplasia.It occurs with anomalies in the differentiation of cartilage cells. It progresses with growth. Can lead to narrowing of the spinal canal and compression of the spinal cord.
Spine and spinal cord injuries
Spinal injuries are traditionally examined by x-ray. Radiography makes it possible to reliably detect fractures of the vertebral bodies, transverse and spinous processes, and displacement of the vertebrae. But it is impossible to reliably recognize isolated fractures of the articular processes and fractures of the arches on radiographs, it is impossible to assess the narrowing of the spinal canal.These lesions can be examined using computed tomography (Fig. 6).
Infectious and inflammatory diseases
Discospondylitis (spondylodiscitis) is an inflammatory process in the intervertebral disc and endplates of the adjacent vertebrae. In principle, it is also visible on radiographs, but radiographs do not make it possible to reveal the destruction of endplates, sequestration and an increase in the volume of adjacent soft tissues (Fig. 5).
Dissecting osteochondritis (osteochondrosis) of the sacrum.Some authors put it into an independent disease, characteristic mainly of German shepherds. Some authors consider it a special case of discospondylitis. Fragmentation of the section of the cranial endplate of the sacrum is revealed. It is accompanied by protrusion of the intervertebral disc.
Degenerative diseases
Spondyloarthrosis. Arthrosis of the intervertebral (facet) joints. May be accompanied by limited mobility, pain, compression of the spinal cord.Articular synovial intraspinal cysts. This is the protrusion of the capsule portions of the facet joint into the spinal canal. May be accompanied by compression of the spinal cord. Mineralization of the dura mater is a frequent accidental finding. Most often in dogs over 8 years old. The etiology and clinical significance are unclear.
Degenerative diseases of intervertebral discs
In dogs of chondrodystrophic breeds, the discs lose their elasticity early and partially or completely mineralize. Such discs are often seen on radiographs.They can form Hansen-type 1 disc disease, which means that disc material can enter the lumen of the spinal canal through breaks in the annulus fibrosus. Regardless of belonging to chondrodystrophies, the elasticity of the annulus fibrosus decreases with age, with local ruptures of its fibers, the disc begins to protrude into the spinal canal. Formed disease of intervertebral discs of type 2 Hansen.
Degenerative lumbosacral stenosis. A complex of interrelated changes in the ligaments, discs and joints of the lumbar vertebrae, resulting in compression of the cauda equina.Degenerative myelopathy – a decrease in the section of the spinal cord, atrophy of the back muscles.
Neoplasms
Vertebral neoplasms often do not show themselves in any way on radiographs, but are well recognized on CT (Fig. 7).
Cytological conclusion: myelomatosis.
Spinal cord neoplasms require clarification of their localization. The tactics of the surgeon depend on their localization. To find out the localization, myelography is necessary. Tumors can be located above the hard spinal cord (extradural or epidural) and below it (intradural).Subtumor (intradural) tumors can be located outside and inside the parenchyma of the spinal cord (intramedullary, extramedullary) (Fig. 8).
Extradural tumors include primary tumors of the vertebrae and metastases to the vertebra. They can lead to compression of the spinal cord, to pathological vertebral fractures. The most common findings are: osteosarcomas, chondrosarcomas, fibrosarcomas, hemangiosarcomas, lymphosarcomas, and multiple myelomas. Meningiomas, neurofibrosarcomas, nerve root lymphosarcoma, nephroblastoma can be localized intradurally extramedullary.Intramedullary tumors are most commonly glial tumors in dogs and lymphosarcoma in cats. Intramedullary metastases are rare.
Literature:
- Kemelman E. L., Shchurov I. V., Vatnikov Yu. A. Diagnosis of herniated intervertebral discs in chondrodystrophic dog breeds using the method of computed tomography. Topical Issues in Veterinary Biology, June 2012, pp. 58-63.
- Borzenko E. V., Vatnikov Yu. A. Diagnostic criteria for craniovertebral pathologies in dwarf dogs.RVZh 2, 2010, pp. 22-26.
- Schwarz T. & Saunders J. Veterinary Computed Tomography, Wiley-Blackwell, 2012.
- Thrall D. E. Textbook of Veterinary Diagnostic Radiology, 6th Edition. Elsevier, 2013.
Computed tomography (CT) for pets – Animal Health
Computed tomography is one of the most informative diagnostic methods, which consists in layer-by-layer scanning of tissues by X-ray transmission.After computer processing, the doctor receives a series of cross-sectional images of the examined organ, this result is achieved due to the spiral rotation of the X-ray tube around the patient’s body and computer image reconstruction, during the reconstruction tissue differentiation occurs depending on their density, then the images are ready for viewing and evaluation. Modern tomographs make it possible to obtain images with a slice thickness of up to 0.5 mm.
Neoplastic process of bone tissue
A feature of the use of computed tomography by a veterinarian is the ability to view images in various “windows” – bone, soft tissue, etc.d, this function allows you to evaluate all structures, both soft and dense, to identify the presence of a violation and structural changes in organs and tissues. Also a unique function is the construction of a 3D image, which allows the doctor to plan surgical treatment, carry out the necessary calculations, assess the presence of hidden injuries and pathology.
Study with intravenous contrasting to improve visualization and assessment of soft tissue neoplasm, assessment of its blood supply, the presence of metastatic processes, assessment of the involvement of other organs and tissues in the process.3d reconstruction, vascular regime. Physician: Lutsko Irina Aleksandrovna
For many studies, contrast agents containing iodine and increasing the density of the medium in which they are located are used. This method makes it possible to assess abnormal structures in the animal’s body, the presence of neoplasms, the degree of their blood supply, to assess the presence of vascular disorders and malformations. In addition, contrasting is carried out in the diagnosis of diseases of the spinal cord and brain.
Conducting tomography with myelocontrast to detect spinal cord compression.According to the results of myeloctics, there are signs of a neoplastic process in the spinal cord. Physician: Ponomareva Lyudmila Viktorovna
Computed tomography is used in many areas of veterinary medicine: veterinary oncology, therapy, endocrinology, orthopedics, neurology, dentistry and even ophthalmology.
Indications for computed tomography
are:
- oncological and metastatic processes,
- chronic and recurrent inflammation of the ear canal
- discharge from the nasal openings
- lesions of the dentition
- injuries (falls, traffic accidents, bites, gunshot wounds), lameness in the thoracic and pelvic limbs
- the pet has neurological deficits, chronic pain or weakness of the limbs
- coordination disorders, head tilt
- diseases of the chest and abdominal cavity
- preoperative planning for surgical interventions
Computer tomography, native research.Extrusion and mineralization of the intervertebral disc, anomaly in the development of the S1 vertebra
As a rule, the need for computed tomography, its type and volume is determined by the attending physician based on the results of examination and collection of anamnesis, and the main diagnostic measures.
Conducting computed tomography with intravenous contrast in order to detect anomalies in the development of the urinary system, assess the excretory function and the presence of structural changes in the kidney. Physician: Kharitonova Victoria Dmitrievna
Since computed tomography is performed under anesthesia, we strongly recommend
to prepare the pet for the study, this
includes an ultrasound examination of the heart and a biochemical blood test.
This will allow you to choose the most optimal type of anesthesia for your pet and to avoid unforeseen situations
.
If you or your attending physician have
questions regarding computed tomography for your pet, we are always
glad to answer all your questions. _ ___
COMPUTER TOMOGRAPHY FOR DIAGNOSTICS
INTRACRANIAL REGULATIONS IN DOGS AND CATS
THE POSSIBILITIES OF COMPUTER TOMOGRAPHY IN THE DIAGNOSIS OF INTRACRANIAL
TUMORS IN DOGS AND CATS
E.L. KEMELMAN 1 S.A. YAGNIKOV 2 3 O. A. KULESHOVA 2
1 Clinic of Veterinary Medicine “Aibolit”,
Krasnogorsk, Moscow region. 2 Center for Veterinary Surgery “VetProfAlliance”
(Moscow, Chekhov).
3 Agrarian-Technological Institute of the Federal State Autonomous Educational Institution of Higher Education “Peoples’ Friendship University of Russia” (Moscow).
yflK 619: 616-006
E.L. KEMELMAN 1 S.A. YAGNIKoV 23 o.A. kuleshova 2
1 Veterinary Clinic “Aibolit” (MR, Krasnogorsk).
2 Center for Veterinary Surgery “VetProfAlliance” (Moscow, Chekhov).
3 Agrarian Technological Institute of People’s Friendship University of Russian (Moscow).
key words:
dog, cat, computed tomography, I dog, cat, computed tomography, neoplasm, brain I tumor, brain
abbreviations:
GM – brain, I MRI – magnetic resonance imaging, CT – computed tomography, | KB – contrast agent
abstract
This paper describes 10 cases of visualization of intracranial neoplasms in dogs and cats.The visual picture of neoplasms and clinical signs of the studied animals were assessed.
summary
In this research article describes 10 cases visualization of intracranial neoplasms in dogs and cats. It describes the visual picture of the tumors and the clinical signs of the test animals.
VetPharma №4 | AUGUST – SEPTEMBER 2016
VISUAL diagnostics
Frequency of occurrence
Intracranial neoplasms in dogs are a well-studied pathology (Heidner G.L., 1991; LuginbuhL H., 1968; Zaki F.A., 1977). The data on the frequency of occurrence differ, a number of authors report an average of 14.5 cases per 100,000 dogs (SoLLeveLd H.A., 1986; VandeveLde M., 1984; Withrow S.J., 2007). In another study, the frequency of occurrence was 3% (Snyder J.M. et aL., 2006) and 4.5% (Song et aL., 2013), respectively. Song et al., 2013 also believe that brain neoplasms (GM) are even more common, and only difficulties in conducting research (probably, the author does not mean technical aspects, but the high cost of CT and MRI in the USA and Western Europe …- Approx. author) cause a low percentage of occurrence. Meningiomas are the most common primary neoplasms of GM in dogs (Braund K.G., Ribas J.L., 1986; Motta L., et aL., 2012; Sessums K., Mariani C., 2009; Withrow S.J., 2007). Meningiomas are most common in older dogs, usually over 10 years of age (Patnaik A.K., et aL., 1986). Astrocytomas, oligodendrogliomas and oligo-astrocytomas are the next most frequent GM neoplasms (Snyder J.M. et al., 2006; Summers B.et al., 1995). Undifferentiated sarcomas, choroid plexus tumors, medulloblastomas, neuroblastomas, ependymomas occur less frequently (Nafe L.A., 1990), for example, choroid plexus tumors account for 10% of the total number of intracranial neoplasias (Koestner A., Higgins R.J., 2002). Dolichocephals such as the Scottish Terrier, Old English Shepherd Dog, Doberman Pinscher, Golden Retrievers are more prone to education –
meningiomas (BagLey R.S., et al., 1998; Heidner G. L., 1991; Gavin P.R. et al., 1995). At the same time, the studies of Song et al., 2013 did not reveal a breed predisposition in Dobermans. There is also a predisposition to choroid plexus tumors in Golden Retrievers (Westworth D.R. et aL., 2008). Brachiocephalic breeds such as Boxers, Boston Terriers, French and English Bulldogs, English Toy Spaniards, Bullmastiffs are more prone to glial tumors (LeCouteur R.A., 1999; Moore M.P., et aL., 1996; Song et aL., 2013).
In cats, the problem of intracranial neoplasms is not well studied. According to Moore M.P. et al., 1996, in cats the incidence of intracranial neoplasias is 3.5 per 100,000 individuals, other authors indicate the incidence of 2.2% (Zaki F.A., Hurvitz A.I., 1976). Meningiomas are the most common neoplasms (LeCouteur R.A., 2001). One of the most comprehensive reviews of feline neoplasms has been published by TroxeL M.T. et al., 2003. In this study, meningiomas were also in the lead – 58.1%, lymphomas – 14.4%, pituitary tumors – 8.8%, gliomas – 7.5%. Primary tumors in cats accounted for 70.6%, metastases – 5.6%, direct expansion of neoplasms secondary to GM – 3.8%. 7.5% of cats had 2 or more neoplasms of the same type, 10% of cats had 2 different types of intracranial neoplasms. The average age of the studied cats was 11.3 ± 3.8 years.
In domestic veterinary practice, the use of CT for visual diagnosis of spindle cell astrocytoma in the white-nosed monkey has also been described (Mitrushkin D.E., Kornyu-
Shenkov E.A., Kuleshova Ya.A., Krivova Yu.V., 2010), the use of CT for the diagnosis and planning of surgical treatment of meningioma in a cat (Kuleshova O.A., Yagnikov S.A. et al. , 2010). The author of this work also has little experience in using CT for the diagnosis of intracranial neoplasms in rats (Kemelman E.L., Volkova E.M. et al., 2016).
VISUAL DIAGNOSTICS
It was with the advent of CT and MRI in veterinary practice that brain tumors in animals began to be studied, diagnosed and treated (TurreL J.M., Fike J. R., LeCouteur R. A., et al., 1986; Hu H., et al., 2015). Today, these methods are the standards for diagnosing brain neoplasms, and each method has its own advantages and disadvantages. CT has an advantage in the diagnosis of formations, including the bone structures of the skull. MRI is more sensitive directly to the brain tissue, including non-neoplastic diseases (LeCouteur R.A., 1999; Kraft S.L., Gavin P.R., 1999; Dickinson P.J., 2014).Nevertheless, in the study of sensitivity to neoplasms of the brain, CT and MRI showed approximately the same (very high) sensitivity (Kraft SL, Gavin PR, 1999; Runge VM, SchiabLe TF, GoLdstein HA, et aL., 1988, TidweLL AS, 1999; Tucker RL, Gavin PR, 1996). In the study Runge VM, SchiabLe TF, GoLdstein HA, et al., 1988 MRI showed GM neoplasms in 45 out of 46 cats, CT revealed GM neoplasms in 13 cases out of 13. In humans and dogs, the diagnostic accuracy of CT in detecting meningiomas of the cranial cavity is approximately 80% (Assefa et aL., 2006;
TABLE 1. Characteristics of the studied animals
Animal Sex
Age
Confirmation
Type NO
Dose KV
Visual characteristic
Just a guess.1. Dog, Histology of breast cancer,
mestizo F 9 lung metastases, adenocar- (A) multiple
foci in GM (Fig. 1)
Metastases
cynoma
700 mg / ml
3 formations with a pronounced accumulation of CV.D = 5 mm, 6 mm, 10 mm. Two formations are found in the cerebral hemispheres, one in the olfactory lobe. The lesions are visually very similar to lung metastases. Nevrol. picture: no.
2. Dog, mestizo (B)
f
is just a guess. Histology of breast cancer, metastases in the lungs, multiple foci in the GM
Metastases
adeno-carcinoma
3 formations with a pronounced accumulation of CV.700 Localization: lateral ventricles of the GM. D = 5 mm, mg / ml 12 mm, 8 mm. The lesions are visually very similar to lung metastases. Nevrol. picture: no.
3. Dog, Chihuahua
Histology obtained by rhinoscopy (Fig. 2)
Fibro-sarcoma
1050 mg / ml
Neoplasm with pronounced lytic destruction of bones, including ethmoid.Pronounced accumulation of contrast agent. Invasion of the olfactory lobes of the brain. Nevrol. picture: no (only apathy).
4. Dog, Dalmatian
f
10
Two formations of a cystic structure with a pronounced accumulation of CV along the periphery. D = 8 mm, 350 15 mm, a smaller formation was localized in mg / ml near the middle line of the GM, a larger one –
under the vault of the skull.Nevrol. picture: epileptiform seizures.
5. Dog, mestizo
(R)
700 mg / ml
Large formation D = 20 mm with a pronounced accumulation of CV. Central localization directly above the Turkish saddle, rostrally from the tentorium of the cerebellum. Nevrol. picture: cerebellar ataxia.
6. Cat, Brit.
Just a guess.
Typical visual pattern for Adenoma 700 pituitary adenoma mg / ml
pituitary gland, Cushing’s syndrome (Fig. 3)
Mineralized formation in the area of the Turkish saddle with the accumulation of CV.Nevrol. picture: undifferentiated attacks of ataxia (according to the owners), lasting about 1 hour
7. Cat, Brit.
f
10
Histology (Fig. 4)
Lymphoma, mineral components.hematomas
700 mg / ml
Volumetric formation, with moderate accumulation of contrast agent. The tumor had 2 parts, on separate sections
resembling a deformed figure eight. In the caudal part,
was strongly visualized
mineralized component (450 Ni). localization: ventrally from the tentorium of the cerebellum, rostrally in relation to the cerebellum.Nevrol. picture: abrupt onset cerebellar ataxia.
8. Cat, mestizo
9. Cat, mestizo
f
Histology
Large lesion D = 17 mm, pronounced accumulation of contrast agent, central Menin-700 localization in the rostral part of the skull, affects the olfactory lobes in mg / ml.Nasal cavity
and ethmoid bone without signs of st. changes. Nevrol. picture: Horner’s syndrome, bilateral.
Large formation 12 * 26 mm, with good accumulation of CV. The only BUT in this study is the Histology of Menindling-350, which was visualized without the introduction of
5) gioma mg / ml CV.Centers of mineralization in the central
parts. Nevrol. picture: impaired coordination of movement (Kuleshova O.A., Yagnikov S.A., 2010).
10. Cat, mestizo
f
11
1050 mg / ml
Large formation, consisting of two “lobes” D = 15 mm and 7.5 mm, respectively.Contrast accumulation is good, but not pronounced despite the high dose. Nevrol. picture: ataxia.
9
M
6
no
no
M
7
no
no
M
7
5
M
3
no
no
VetPharma №4 | August – September 2016
visual diagnostics
PoLizopouLou et al., 2004). The diagnostic accuracy of CT for meningiomas of the cranial cavity in cats is unknown. The sensitivity of MRI for the correct identification of canine cranial meningiomas varies from 66 to 100% (Thomas et al., 1996; PoLizopouLou et al., 2004; Snyder et al., 2006; Rodenas et al., 2011), and in cats it is estimated as 96% (Troxel et al., 2004).
The information obtained by imaging the brain is important and useful not only from the point of view of detecting the tumor as such.The planning of surgical resection during surgery (Gallagher et al., 1995) and in the postoperative period (Bergman et al., 2000; Forterre et al., 2007) is also based on data obtained with CT and MRI.
The main disadvantage of both methods is the low specificity of the resulting visual picture and the inability to determine (only assume) the type of neoplasm. Due to the anatomical features of the skull (its confined space), any, even a benign tumor must be removed, as it poses a direct threat to the life of the animal.However, in cases where the neoplasm of the brain cannot be removed, understanding its morphology is a necessary point for planning chemotherapy or radiation therapy. In this case, stereotactic biopsy of the brain becomes, in fact, the only method for in vivo diagnosis of the nature of a GM neoplasm. The topic of stereotactic biopsy in animals is currently extremely poorly developed. In total, several publications were found on the use of this technique in animals: Anor S., Sturges B. K., et al., 2001; Chen A.V., Wininger F.A., et
al., 2011; Giroux A., Jones J. C., et al., 2002; Koblik P.D., et al., 1999; Moissonnier P., Bordeau W., et al., 2000; Moissonnier P., Blot S., et al., 2002; Taylor A.R., Cohen N.D., et al., 2013; Troxel M.T., Vite C.H., 2008). In domestic veterinary practice, the first and so far the only case was published by Bogatov A.V., 2016. Of all the above publications, only one (Chen A.V., Wininger F.A., et al., 2011) describes the use of MRI navigation. The rest of the publications describe the use of CT for navigation systems.
Materials and methods
The study was carried out on the basis of the Center for Biology and Veterinary Medicine of the RUDN University and the clinic of veterinary medicine “Aibolit”, Krasnogorsk. For research and use a computer tomograph Picker P06000.Iohexol 350 mg / ml (Omni-Pak, omnipaque, Amersham Health, Cork) was chosen as a contrast agent. The contrast agent was injected immediately before the start of the study with a technical delay of 10-15 seconds.
Results
The description of the studied animals and the characteristics of the neoplasms are given in Table 1. In total, the neoplasms of the brain were visualized in 10 animals: 5 dogs and 5 cats.At the same time, fibrosarcoma of the facial part of the skull with invasion into the olfactory lobes of the brain was diagnosed in 1 dog, the rest of the neoplasms had only intracranial localization. Four neoplasms were differentiated by histological examination. The nature of the other three has been suggested based on
remember life I memento vivere
57
characteristic history and visual presentation.Three neoplasms were not differentiated. The average age of the studied dogs was 8.2 ± 0.73 years, the cats were 7.2 ± 1.49 years, respectively. Sex distribution in both dogs and cats – 2 males and 3 females.
In all cases, neoplasms of the brain were well visualized, however, the best visualization of the parenchyma of the brain, ventricles and pituitary gland was achieved in patients receiving iohexol at a dose of 1050 mg / kg. In general, all visualized formations had well-defined contours, and the determination of their boundaries did not cause difficulties.
Discussion and conclusion
Literature data and our own studies show that CT, despite the poorer sensitivity to healthy brain tissue and non-neoplastic diseases than MRI, is a sensitive method for diagnosing intracardiac neoplasms. High sensitivity to bone tissue, coupled with high-dose intravenous contrast enhancement also expands the visual capabilities of the method.The authors see different tactics of using CT in the diagnosis of intracardial neoplasms: on the one hand, CT can be used as a screening method due to the very high speed of the study and the low cost of the study compared to MRI. The disadvantage of this approach is the low sensitivity of CT in relation to other brain diseases. Another option for using CT is as a clarifying method: planning surgery based on multiplanar and three-dimensional reconstruction of the skull, performing CT Assis-
brain biopsies for planning treatment of inoperable neoplasms.Obviously, under ideal conditions, both methods should be used, but this imposes a certain burden on the owners of the animal.
REFERENCES
1. Bagatov A.V. The use of an optical navigation system in neurosurgery. Our experience. Materials of the 24th Moscow International Veterinary Congress 2016.P. 81.
2.Kemelman EL, Volkova EM, et al. The use of computed tomography for the diagnosis of intracranial neoplasms and the assessment of the effectiveness of their conservative treatment. RVZH MJ. 2016; 1: 13-15.
3. Kuleshova O.A., Yagnikov S.A., Kemelman E.L., Leonova T.A., Mitrokhina N.V., Trubnikova E.A. A clinical case of surgical treatment of meningioma in a cat. RVZH MJ. 2010; 3: 29-36.
4.Mitrushkin D.E., Kornyushenkov E.A., Kuleshova Ya.A., Krivova Yu.V. A case of spindle cell astrocytoma in a white-nosed monkey. RVZH, MJ. 2010; 2, 36-39
5. Anor S., Sturges B. K., et al. Systemic Phaeohyphomycosis (Cladophialophora bantiana) in a Dog-Clinical Diagnosis with Stereotactic CT-Guided Brain Biopsy. JVIM. 2001; 15.
6. Assefa G., Ashenafi S., Munie T.Meningiomas: Clinical correlates, skull xray, CT and pathological evaluations. Ethiopian Medical Journal. 2006; 44: 263-267.
7. Bagley R.S., Gavin P.R. Seizures as a complication of brain tumors in dogs. Clin Tech Small Anim Pract. 1998; 13: 179-184.
8. Bergman R., Jones J., Lanz O., Inzana K., Shell L., Moon M., Wright R.E. Postoperative computed tomography in two dogs with cerebral meningioma.Veterinary Radiology and Ultrasound. 2000; 41: 425-432.
9. Braund K.G., Ribas J.L. Central nervous system meningiomas. Comp Cont Educ Pract Vet. 1986; 8: 241-248.
10. Chen A. V., Wininger F. A., et al. Description and validation of a MRI-guided stereotactic brain biopsy device in the dog. VR&U. 2011, 0, 0, pp. 1-7.
11.Dickinson P.J. Advances in diagnostic and treatment modalities for intracranial tumors. J Vet Intern Med. 2014; 28: 1165-1185.
12. Forterre F., Tomek A., Konar M., Vandevelde M., Howard J., Jaggy A. Multiple meningiomas: Clinical, radiological, surgical, and pathological findings with outcome in four cats. Journal of Feline Medicine and Surgery. 2007; 9: 36-43.
13. Gallagher J.G., Penninck D., Boudrieau R. J., Schelling S. H., Berg, J. Ultrasonography of the brain and vertebral canal in dogs and cats: 15 cases (1988-1993). Journal of the American Animal Hospital Association. 1995; 207: 1320-1324.
14. Gavin P.R., Fike J.R., Hoopes P.J. Central nervous system tumors. Semin Vet Med Surg. 1995; 10: 180-189.
15. Giroux A., Jones J. C., et al. A new device for stereotactic CT-guided biopsy of the canine brain design, construction, and needle placement accuracy.VR&U. 2002; 43 (3): 229-23.
16. Heidner G.L., Kornegay J.N.,
Page R. L., et al. Analysis of survival in a retrospective study of 86 dogs with brain tumors. J Vet Intern Med. 1991; 5: 219-226.
17. Hu H., et al. Systematic Review of Brain Tumor Treatment in Dogs. JVIM. 2015; 29: 1456-1463.
VetPharma №4 | AUGUST – SEPTEMBER 2016 VISUAL DIAGNOSTICS
18.KobLik P.D., et aL. Modification and application of a peLorus mark 3 stereotactic system for CT-guided brain biopsy in 50 dogs. VR&U. 1999; 40 (4): 424-433.
19. KobLik P.D., LeCouteur R. A., et al. Modification and appLication of a peLorus mark 3 stereotactic system for CT-guided bra in biopsy in 50 dogs. VR&U. 1999; 40 (4): 434-440.
20. Koestner A., Higgins R. J. Tumors of the nervous system.In: Meuten DJ, ed. Tumors of Domestic AnimaLs, 4th ed. Ames, IA: Iowa State Press, 2002: 709-712.
21. Kraft S.L., Gavin P.R. IntracraniaL neopLasia. CLin Tech SmaLL Anim Pract. 1999; 14: 112-23.
22. Le Couteur R.A. Current concepts in the diagnosis and treatment of brain tumors in dogs and cats. JSAP. 1999; 40: 411-416.
23.LeCouteur R.A. CerebraL meningiomas: diagnostic and therapeutic considerations. In August JR, editor: ConsuLtations in feLine internaL medicine, voL. 4, PhiLadeLphia: WB Saunders, 2001. P. 385-392.
24. Luginbuh L H., Frankhauser R., Mc-Grath J. T. Spontaneous neopLasms of the centraL nervous system in animaLs. Prog NeuroL Surg. 1968; 9: 85-164.
25. Moissonnier P., Bordeau W., et aL.Accuracy testing of a new stereotactic CT-guided brain biopsy device in the dog. Res in Vet Sci. 2000; 68: 243-247.
26. Moissonnier P., BLot S., et al. Stereotactic CT-guided brain biopsy in the dog. JSAP. 2002; 43: 115123.
27. Moore M.P., BagLey R.S., Harrington M.L., Gavin P.R. IntracraniaL tumors. Vet CLin North Am SmaLL Anim Pract. 1996; 26: 759-777.
28.Motta L., Mandara M.T., Skerritt G.C. Canine and feLine intracranial meningiomas: An updated review. Vet J. 2012; 192: 153-165.
29. Nafe L.A. The clinical presentation and diagnosis of intracranial neoplasia. Sem Vet Med Surg. 1990; 5: 223-231.
30. Patnaik A. K., Kay W. J, Hurvitz AI. Intracranial meningioma: A comparative pathologic study of 28 dogs. Vet Pathol 1986; 23: 369-373.
31. Polizopoulou Z.S., Koutinas A.F., Souftas V.D., Kaldrymidou E., Kaza-kos G., Papadopoulos G. Diagnostic correlation of CT-MRI and his-topathology in 10 dogs with brain neoplasms. Journal of Veterinary Medicine A. 2004; 51: 226-231.
32. Runge V. M., Schiable T. F., Goldstein H. A., et al. Gd-DTPA clinical efficacy. Radiographics. 1988; 8: 147-159.
33.Rydenas S., Pumarola M., Gaitero L., Zamora A., Acor S. Magnetic resonance imaging findings in 40 dogs with histologically confirmed intracranial tumours. The Veterinary Journal. 2011; 187: 85-91.
34. Sessums K., Mariani C. Intracranial meningioma in dogs and cats:
A comparative review. Compend Contin Educ Vet. 2009; 31: 330339.
35.Snyder J. M., Shofer F.S., et al. Canine intracranial primary neoplasia 173 cases (1986-2003). J Vet Intern Med. 2006; 20: 669-675.
36. Solleveld H. A., Bigner D. D., Aver-ill D. R., et al. Brain tumors in man and animals: Report of a workshop. Environ Health Perspect. 1986; 68: 155-173.
37. Song et al. Postmortem Evaluation of 435 Cases of Intracranial Neoplasia in Dogs and Relationship of Neoplasm with Breed, Age, and Body Weight.JVIM. 2013; 27: 1143-1152.
38. Summers B., deLahunta A., Cummings J.F. Tumors of the central nervous system. In: Veterinary Neuropathology. Mosby, Missouri: Elsevier, 1995: 351-401.
39. Taylor A. R., Cohen N.D., et al. Application and machine accuracy of a
new frameless CT-guided stereotactic brain biopsy system in dogs.VR&U. 2013; 54 (4): 332-342.
40. Thomas W.B., Wheeler S.J., Kramer R., Kornegay J.N. Magnetic resonance imaging features of primary brain tumors in dogs. Veterinary Radiology and Ultrasound. 1996; 37: 20-27.
41. Tidwell A.S. Advanced imaging concepts: A pictorial glossary of CT and MRI technology. Clin Tech Small Anim Pract. 1999; 14: 65-111.
42.Troxel M. T., Vite C. H., Van Winkle T. J., et al. Feline intracranial neoplasia retrospective review of 160 cases (1985-2001). JVIM. 2003; 17: 850-859.
43. Troxel M.T., Vite C.H. CT-guided stereotactic brain biopsy using the kopf stereotactic system. VR&U. 2008; 49 (5): 438-443.
44. Tucker R.L., Gavin P.R. Brain imaging. Vet Clin North Am Small Anim Pract. 1996; 26: 735-58.
45. Turrel J. M., Fike J. R., LeCouteur R. A., et al. Computed tomographic characteristics of primary brain tumors in 50 dogs. JAVMA. 1986; 188: 1851-856.
46. Vandevelde M. Brain tumors in domestic animals: An overview. Proceedings, Conference on Brain Tumors in Man and Animals, Research Triangle Park, NC; 1984.
47.Westworth D.R., Dickinson P.J., Vernau W., et al. Choroid plexus tumors in 56 dogs (1985-2007). JVIM. 2008; 22: 1157-1165.
48. Withrow S.J., Vail D.M. Tumors of the nervous system.



See the Radiation Dose in X-Ray and CT Exams page for more information about radiation dose.