Collapsed lung meaning. Pneumothorax: Understanding Collapsed Lung Causes, Symptoms, and Treatment Options
How does a pneumothorax occur. What are the common symptoms of a collapsed lung. Can COVID-19 lead to pneumothorax. What treatment options are available for a collapsed lung. How is atelectasis different from pneumothorax.
What is Pneumothorax and How Does It Occur?
Pneumothorax, commonly known as a collapsed lung, is a condition where air leaks from the lung into the space between the lung and chest wall. This air buildup puts pressure on the lung, preventing it from expanding properly. Understanding the mechanics of this condition is crucial for early detection and treatment.
Causes of pneumothorax can vary, including:
- Trauma to the chest
- Underlying lung conditions like COPD
- Mechanical ventilation (in some cases)
- Spontaneous occurrence (with no apparent cause)
Is pneumothorax always caused by an obvious injury? Not necessarily. In some cases, particularly in tall, thin individuals, a spontaneous pneumothorax can occur without any apparent trigger.

Recognizing the Symptoms of a Collapsed Lung
Identifying the symptoms of pneumothorax is crucial for timely medical intervention. Common signs include:
- Sudden, sharp chest pain
- Shortness of breath
- Rapid breathing
- Dry, hacking cough
- Bluish skin color due to lack of oxygen
Can the severity of symptoms vary? Indeed, the extent of lung collapse directly influences symptom intensity. A small pneumothorax might cause mild discomfort, while a large one can be life-threatening.
The Connection Between COVID-19 and Pneumothorax
Recent medical observations have highlighted a potential link between COVID-19 and pneumothorax. A study published in The European Respiratory Journal found that about 1% of hospitalized COVID-19 patients experienced pneumothorax. This connection raises important questions about the long-term effects of the virus on lung health.
Does COVID-19 directly cause pneumothorax? While a direct causal relationship hasn’t been established, there are theories about how the virus might contribute:

- Microscopic changes in lung tissue and blood vessels
- Increased pressure in the lungs due to severe coughing
- Weakening of lung structures
The case of a 38-year-old woman in the Netherlands, who experienced bilateral pneumothorax five weeks after recovering from COVID-19, highlights the need for ongoing research in this area.
Diagnostic Approaches for Pneumothorax
Accurate diagnosis of pneumothorax is crucial for effective treatment. Healthcare providers typically use a combination of physical examination and imaging techniques to confirm the condition.
Common diagnostic methods include:
- Chest X-rays: The primary tool for visualizing a collapsed lung
- CT scans: For more detailed imaging, especially in complex cases
- Ultrasound: Increasingly used for rapid bedside assessment
- Arterial blood gas analysis: To assess oxygen levels in the blood
How quickly can pneumothorax be diagnosed? With modern imaging techniques, diagnosis can often be made within minutes of a patient’s arrival at a medical facility, allowing for prompt treatment initiation.

Treatment Options for Collapsed Lung
The treatment approach for pneumothorax depends on the severity of the collapse and the patient’s overall health. Options range from conservative management to surgical intervention.
Common treatment strategies include:
- Observation: For small, asymptomatic pneumothoraces
- Needle aspiration: To remove small amounts of air
- Chest tube insertion: For larger collapses, to continuously remove air
- Pleurodesis: A procedure to prevent recurrence by causing the lung to stick to the chest wall
- Surgery: In cases of recurring pneumothorax or large air leaks
What factors determine the choice of treatment? The size of the pneumothorax, the patient’s symptoms, and whether it’s a first-time occurrence or a recurrence all play crucial roles in treatment selection.
Understanding Atelectasis: A Different Type of Lung Collapse
While pneumothorax involves air outside the lung, atelectasis refers to a collapse of lung tissue itself. This condition occurs when the tiny air sacs (alveoli) within the lung deflate or fill with fluid.
![]()
Key points about atelectasis include:
- Causes: Can result from blockages in the airway, pressure on the lung, or shallow breathing
- Risk factors: Anesthesia, prolonged bed rest, underlying lung diseases
- Symptoms: Similar to pneumothorax, including difficulty breathing and chest pain
- Diagnosis: Often detected through chest X-rays or CT scans
How does the treatment of atelectasis differ from pneumothorax? Atelectasis treatment focuses on removing airway obstructions and re-expanding the affected lung tissue, often through respiratory therapy and positioning techniques.
Treatment Approaches for Atelectasis
Managing atelectasis involves a range of strategies aimed at clearing the airways and re-inflating the collapsed lung tissue:
- Aerosolized respiratory treatments to open airways
- Positioning therapy to help lungs expand
- Bronchoscopy to remove obstructions
- Breathing exercises and incentive spirometry
- Chest physiotherapy, including percussion and postural drainage
Can atelectasis resolve on its own? In some cases, particularly with small areas of collapse, atelectasis may resolve spontaneously. However, medical intervention is often necessary to prevent complications and ensure full lung re-expansion.

Prevention Strategies for Pneumothorax and Atelectasis
While not all cases of lung collapse can be prevented, certain strategies can reduce the risk, particularly for individuals with underlying lung conditions or those recovering from respiratory illnesses.
Preventive measures include:
- Smoking cessation: Reduces risk of spontaneous pneumothorax
- Regular exercise: Improves overall lung health
- Deep breathing exercises: Especially important after surgery or during bed rest
- Proper management of underlying lung conditions
- Avoiding activities that dramatically change air pressure (e.g., scuba diving) for those at high risk
How effective are these preventive measures? While they can significantly reduce risk, it’s important to note that some cases of pneumothorax and atelectasis occur spontaneously and may not be preventable.
Long-Term Outlook and Potential Complications
The prognosis for both pneumothorax and atelectasis is generally good with prompt and appropriate treatment. However, understanding potential complications and long-term effects is crucial for comprehensive patient care.

Possible long-term considerations include:
- Risk of recurrence: Particularly high for spontaneous pneumothorax
- Residual scarring: May occur in both conditions, potentially affecting lung function
- Chronic pain: Some patients report ongoing discomfort after recovery
- Psychological impact: Anxiety about recurrence or breathing difficulties
What factors influence the long-term outlook? The underlying cause, the extent of lung collapse, promptness of treatment, and overall health status all play significant roles in determining long-term outcomes.
Monitoring and Follow-Up Care
After initial treatment for pneumothorax or atelectasis, ongoing monitoring and follow-up care are essential:
- Regular chest X-rays to ensure complete lung re-expansion
- Pulmonary function tests to assess lung capacity and function
- Lifestyle counseling to reduce risk factors
- Ongoing management of underlying conditions
How long should follow-up care continue? The duration varies based on individual circumstances, but typically extends for several months to ensure full recovery and minimize recurrence risk.

Emerging Research and Future Directions
The field of pulmonary medicine continues to evolve, with ongoing research into better understanding and treating lung collapse conditions. Some areas of current interest include:
- Advanced imaging techniques for early detection
- Minimally invasive treatment options
- Genetic factors influencing susceptibility to spontaneous pneumothorax
- Long-term effects of COVID-19 on lung structure and function
- Novel approaches to preventing recurrence
What promising developments are on the horizon? Researchers are exploring targeted therapies to promote lung healing and prevent air leaks, as well as investigating the potential of artificial intelligence in predicting and managing lung collapse events.
The Role of Telemedicine in Lung Health Management
The recent global health crisis has accelerated the adoption of telemedicine, which has implications for managing and monitoring lung health:
- Remote monitoring of patients with chronic lung conditions
- Virtual consultations for follow-up care
- Telemedicine-guided home exercises and therapies
- Rapid access to specialists for urgent concerns
How effective is telemedicine in managing lung conditions? While it cannot replace in-person care for acute situations, telemedicine has shown promise in ongoing management and early detection of potential issues, particularly for patients in remote areas.

Patient Education and Self-Management Strategies
Empowering patients with knowledge and self-management skills is crucial for optimal outcomes in lung health. Key aspects of patient education include:
- Understanding warning signs that require immediate medical attention
- Proper technique for breathing exercises and use of incentive spirometers
- Lifestyle modifications to support lung health
- Stress management techniques to reduce anxiety related to breathing difficulties
- Importance of medication adherence for those with underlying conditions
What role does patient engagement play in recovery? Active participation in one’s care plan can significantly improve outcomes, reduce complication rates, and enhance overall quality of life for individuals with a history of lung collapse.
Support Resources for Patients and Caregivers
Coping with lung collapse conditions can be challenging for both patients and their caregivers. Various support resources are available:
- Patient support groups (both in-person and online)
- Educational materials from reputable health organizations
- Counseling services for managing anxiety and stress
- Rehabilitation programs focusing on pulmonary health
- Caregiver training and support networks
How can patients find reliable support resources? Healthcare providers often have information on local support groups and resources. Additionally, national lung health organizations offer comprehensive online resources and helplines for patients and caregivers.

Occupational Considerations and Lung Health
Certain occupations may increase the risk of lung issues, including pneumothorax and atelectasis. Understanding these risks is crucial for prevention and early intervention:
- Professions involving exposure to harmful substances (e.g., mining, construction)
- Jobs requiring prolonged periods of inactivity or unusual postures
- High-altitude occupations (pilots, mountain guides)
- Diving-related professions
What precautions can be taken in high-risk occupations? Proper safety equipment, regular health screenings, and workplace modifications can significantly reduce risks. Employers and employees should work together to implement comprehensive occupational health programs.
Returning to Work After Lung Collapse
Returning to work after experiencing pneumothorax or atelectasis requires careful consideration:
- Gradual return-to-work plans
- Workplace accommodations if needed
- Ongoing communication with healthcare providers
- Regular monitoring of lung function
- Education for coworkers and supervisors about the condition
When is it safe to return to work? The timeline varies depending on the severity of the collapse, the nature of the job, and individual recovery progress. Healthcare providers typically provide guidance based on these factors.

The Impact of Environmental Factors on Lung Health
Environmental conditions play a significant role in lung health and can influence the risk and recovery of lung collapse conditions:
- Air pollution levels
- Altitude changes
- Extreme temperatures
- Humidity levels
- Exposure to allergens and irritants
How can individuals protect their lungs in challenging environments? Strategies include using air purifiers, avoiding outdoor activities during high pollution days, gradual acclimatization to altitude changes, and maintaining proper indoor air quality.
Climate Change and Respiratory Health
The ongoing climate crisis has implications for respiratory health, potentially affecting the incidence and management of conditions like pneumothorax and atelectasis:
- Increased air pollution leading to compromised lung function
- Changes in allergen patterns affecting respiratory allergies
- Extreme weather events impacting access to healthcare
- Potential shifts in infectious disease patterns affecting lung health
What steps can be taken to mitigate these impacts? Public health initiatives focusing on air quality improvement, individual actions to reduce carbon footprint, and healthcare system preparedness for climate-related health challenges are all crucial components.

Integrating Lung Health into Overall Wellness
Maintaining lung health is an integral part of overall wellness. A holistic approach to health can help prevent lung issues and support recovery from conditions like pneumothorax and atelectasis:
- Regular cardiovascular exercise to improve lung capacity
- Nutrition strategies to support respiratory health
- Stress reduction techniques, including meditation and yoga
- Adequate hydration to maintain optimal lung function
- Proper sleep habits to support overall health and immune function
How does overall wellness impact lung health? A healthy lifestyle strengthens the body’s defenses, improves lung function, and enhances recovery capabilities, potentially reducing the risk and impact of lung collapse conditions.
The Role of Alternative and Complementary Therapies
While conventional medical treatments remain the cornerstone of managing pneumothorax and atelectasis, some patients find benefits in complementary approaches:
- Acupuncture for pain management and stress reduction
- Herbal remedies to support overall lung health (under medical supervision)
- Breathing techniques from practices like Qigong or Pranayama
- Massage therapy to alleviate chest and back tension
Are these alternative therapies effective for lung conditions? While scientific evidence varies, some patients report improved symptoms and quality of life. It’s crucial to discuss any alternative treatments with healthcare providers to ensure safety and avoid potential interactions with conventional treatments.

Atelectasis | Johns Hopkins Medicine
What is atelectasis?
Atelectasis, the collapse of part or all of a lung, is caused by a blockage of the air passages (bronchus or bronchioles) or by pressure on the lung. Risk factors for atelectasis include anesthesia, prolonged bed rest with few changes in position, shallow breathing and underlying lung disease. Mucus that plugs the airway, foreign objects in the airway (common in children) and tumors that obstruct the airway may lead to atelectasis. Large-scale atelectasis may be life threatening, especially in someone who has another lung disease or illness. In a baby or small child, lung collapse due to a mucus obstruction or other causes can be life threatening.
Symptoms
Breathing difficulty
Chest pain
Cough
Diagnosis
Exams and tests include chest X-ray and bronchoscopy.
Treatment
The goal of treatment is to remove lung secretions and re-expand the affected lung tissue.
Treatments include:
Aerosolized respiratory treatments to open the airway
Positioning the body on the unaffected side to allow the lung to re-expand
Removing obstructions by bronchoscopy
Breathing exercises (incentive spirometry)
Clap, or percussion, on the chest to loosen mucus
Tilting the body (postural drainage) so that the head is lower than the chest to drain mucus
Treating a tumor or underlying condition, if present.
Prognosis
The collapsed lung usually reinflates gradually once the obstruction has been removed. However, some residual scarring or damage may occur.
Atelectasis is treated by the Division of Pulmonary Medicine.
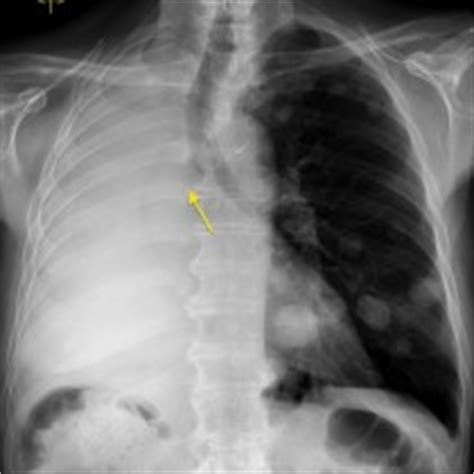
A woman seemed recovered from COVID-19. Then both her lungs collapsed.
A woman in the Netherlands had recovered after a seemingly mild COVID-19 infection when, suddenly, both of her lungs collapsed, according to a new report.
The 38-year-old woman went to the emergency room after she experienced shortness of breath and a sharp pain in her chest, according to the report, published Jan. 22 in The Journal of Emergency Medicine. She said her symptoms had started suddenly that day and seemed to be getting worse.
Five weeks earlier, the woman had developed symptoms of COVID-19, including fever and muscle aches, and had tested positive for the novel coronavirus. At that time, she had been able to treat her symptoms at home with acetaminophen and an inhaler. She had gone through an initial recovery period from her illness, but then her new symptoms started.
Related: 14 coronavirus myths busted by science
An X-ray at the ER showed she had “bilateral pneumothorax,” meaning both of her lungs had collapsed. A collapsed lung (pneumothorax) occurs when air leaks from the lung into the space between the lung and the chest wall, which puts pressure on the lung and prevents it from expanding properly, according to the National Institutes of Health.
The condition can be caused by trauma to the chest or by certain underlying lung conditions, including chronic obstructive pulmonary disease (COPD). Patients who are put on a ventilator are also at risk for a collapsed lung because the device may “over-inflate” the lung, according to the University of Wisconsin-Madison.
But the woman’s case was unusual because she had no risk factors for the condition, and she hadn’t been hospitalized or put on a ventilator prior to her lung collapse, the authors said.
Cases of collapsed lung in COVID-19 patients have been reported before, but mostly in hospitalized patients. A study of about 6,500 hospitalized COVID-19 patients in the U.K., published in September 2020 in The European Respiratory Journal, found that about 1% of those individuals experienced pneumothorax. Of the 60 patients described in the study as having a collapsed lung, most had received some type of ventilation support, but one-third had not.
Only four patients experienced pneumothorax in both lungs.
The authors of the new report, from Elisabeth TweeSteden Hospital in the Netherlands, concluded that emergency physicians should be aware of pneumothorax as a possible “delayed COVID-19 related complication.”
The cause of the woman’s collapsed lung isn’t clear. (When doctors can’t identify a cause of a collapsed lung, this is known as “spontaneous” collapsed lung.) The authors can’t say for sure that COVID-19 caused the woman’s collapsed lung — the timing may have been coincidental, they said. But given that the woman had no other risk factors for collapsed lung, COVID-19 may have played a role. For example, the infection may have caused microscopic changes in the tissue and blood vessels in the lungs that eventually resulted in pneumothorax, the authors said.
Doctors typically treat pneumothorax by inserting a needle-like instrument into the ribs to remove excess air from around the patient’s lungs, according to the Mayo Clinic.
In the woman’s case, doctors used this instrument to remove the air around her right lung. Her left lung was not treated because only a small part of it had collapsed and her doctors thought it would likely heal on its own. Indeed, four weeks later, both of her lungs had expanded back to their normal size, and she had no other lung complications, the report said.
Originally published on Live Science.
Definition of Pneumothorax by Merriam-Webster
pneu·mo·tho·rax
| \ ˌnü-mə-ˈthȯr-ˌaks
, ˌnyü- \
: a condition in which air or other gas is present in the pleural cavity and which occurs spontaneously as a result of disease or injury of lung tissue, rupture of air-filled pulmonary cysts, or puncture of the chest wall or is induced as a therapeutic measure to collapse the lung
Lungs | The Marfan Foundation
Many people with Marfan syndrome experience pulmonary complications, or problems with their lungs.
If you suspect that you have lung problems, you should see a pulmonologist (lung doctor). The risk for lung problems with Marfan syndrome and some related disorders is so high that everyone with these disorders should avoid or quit all forms of smoking.
These are some of the most common problems involving the lungs in people with Marfan syndrome.
Spontaneous Pneumothorax
Pneumothorax, which is also known as collapsed lung, involves lung collapse or lung detachment from the chest wall. It can happen spontaneously, meaning there is a lung collapse without any cause. When a lung collapse occurs, air escapes from the lungs and fills up the space outside of the lung, inside the chest. In the Marfan lung, pneumothorax can be recurrent, present in both lungs, and associated with emphysema. A person with pneumothorax may experience shortness of breath, dry cough, an acute onset of pleuritic chest pain (chest pain that gets worse when you take a deep breath), or chest pain that gets worse when coughing.
Restrictive Lung Disease
About 70% of people with Marfan syndrome also have restrictive lung disease. Restrictive lung disease does not allow the chest to expand fully. When the lung cannot expand fully, there is a decreased ability to expand the lung (breathe in), which makes it difficult for the body to take in the amount of oxygen that the body needs. In people with Marfan syndrome, restrictive lung disease can be a result of muscle weakness or a result of structural issues such as scoliosis, kyphosis, or severely indented chest bone. Restrictive lung disease makes breathing more difficult, and may cause coughing, wheezing, chest pain, or shortness of breath during mild activity.
Emphysema
Emphysema is a type of chronic obstructive pulmonary disease (COPD) that involves destruction of the lungs over time, loss of alveolar walls, enlargement of the air spaces, obstruction and inflammation of the lungs, and damage to the air sacs (alveoli) in the lungs that make it hard for the body to get the oxygen it needs.
Five to 10 percent of people with Marfan syndrome also have emphysema.
Asthma
Asthma is a chronic (long-term) lung disease that inflames and narrows the body’s airways. A correct diagnosis of asthma is important for a person with Marfan syndrome because many of the drugs that are used to treat asthma (beta-agonists) can counteract the effects of the drugs such as beta-blockers, which are used to control and slow aortic growth in people with Marfan syndrome. If asthma is suspected, it is important to see a respiratory specialist who can coordinate treatment with other care specialists.
Sleep Apnea
Some people with Marfan syndrome have sleep disordered breathing (sleep apnea), which can have a number of causes. One seems to be looseness (laxity) of the connective tissue of the airways, which then further relax during sleep and partially obstruct airflow. Often people with sleep apnea are overweight, but thin people with Marfan syndrome are also at risk.![]()
Any person who snores excessively, sleeps fitfully, seems to have pauses in breathing or gasps for air while sleeping, has a headache on awakening in the morning, or regularly falls asleep during the day should be evaluated by doctor.
Click below to download:
Lungs in Marfan syndrome
Spontaneous pneumothorax: epidemiology, pathophysiology and cause
Abstract
Spontaneous pneumothorax represents a common clinical problem. An overview of relevant and updated information on epidemiology, pathophysiology and cause(s) of spontaneous (primary and secondary) pneumothorax is described.
Pneumothorax is defined as the presence of air in the pleural space. Although intrapleural pressures are negative throughout most of the respiratory cycle [1], air does not enter into the pleural space because the sum of all the partial pressures of gases in the capillary blood averages only 93.9 kPa (706 mmHg). Hence, net movement of gases from the capillary blood into the pleural space would require pleural pressures lower than -54 mmHg (i.
e. lower than -36 cmH2O), which hardly ever occur in normal circumstances [2]. Hence, if air is present in the pleural space, one of three events must have occurred: 1) communication between alveolar spaces and pleura; 2) direct or indirect communication between the atmosphere and the pleural space; or 3) presence of gas-producing organisms in the pleural space. From a clinical standpoint, pneumothorax is classified as spontaneous (no obvious precipitating factor present) and nonspontaneous (table 1) [2, 3]. Primary spontaneous pneumothorax (PSP) is defined as the spontaneously occurring presence of air in the pleural space in patients without clinically apparent underlying lung disease.
Table 1
Clinical classification of pneumothorax
PRIMARY SPONTANEOUS PNEUMOTHORAX
PSP has an incidence of 7.4 to 18 cases (age-adjusted incidence) per 100,000 population each year in males, and 1.2 to 6 cases per 100,000 population each year in females [4, 5]. PSP typically occurs in tall, thin subjects.
Other risk factors are male sex and cigarette smoking. Contrary to popular belief, PSP typically occurs at rest; avoiding exercise, therefore, should not be recommended to prevent recurrences [6]. Precipitating factors may be atmospheric pressure changes (which may account for the often observed clustering of PSP) [7] and exposure to loud music [8]. Almost all patients with PSP report a sudden ipsilateral chest pain, which usually spontaneously resolves within 24 h [2]. Dyspnoea may be present but is usually mild. Physical examination can be normal in small pneumothoraces. In larger pneumothoraces, breath sounds and tactile fremitus are typically decreased or absent, and percussion is hyper-resonant. Rapidly evolving hypotension, tachypnea, tachycardia and cyanosis should raise the suspicion of tension pneumothorax, which is, however, extremely rare in PSP.
Diagnosis can be confirmed in the majority of cases on an upright posteroanterior (PA) chest radiograph, which also allows an estimation of the pneumothorax size with good accuracy [9].
In cases with a small PSP, computed tomography (CT) may be necessary to diagnose the presence of pleural air. Routine expiratory chest radiographs are useless [10]. It is important to realise that a contralateral shift of the trachea and mediastinum is a completely normal phenomenon in spontaneous pneumothorax, and not at all suggestive for tension pneumothorax; this observation should therefore in no way influence treatment strategies [1].
PATHOGENESIS
The exact pathogenesis of the spontaneous occurrence of a communication between the alveolar spaces and the pleura remains unknown. Most authors believe that spontaneous rupture of a subpleural bleb, or of a bulla, is always the cause of PSP [11], but alternative explanations are available [12, 13]. Although the majority of PSP patients, including children [14], present blebs or bullae 15–18], it is unclear how often these lesions actually are the site of air leakage [19–21]. Only a minority of blebs are actually ruptured at the time of thoracoscopy or surgery, whereas often other lesions are present (“pleural porosity” [19–21]: areas of disrupted mesothelial cells at the visceral pleura, replaced by an inflammatory elastofibrotic layer with increased porosity, allowing air leakage into the pleural space).
The latter phenomenon may explain the high recurrence rates of up to 20% of bullectomy alone (without associated pleurodesis) as therapy [22–25]. The development of blebs, bullae and areas of pleural porosity may be linked to a variety of factors, including distal airway inflammation [21–26], hereditary predisposition [27], anatomical abnormalities of the bronchial tree [28], ectomorphic physiognomy with more negative intrapleural pressures [29] and apical ischaemia [30] at the apices [31], low body mass index and caloric restriction [15, 32], and abnormal connective tissue [33, 34]. The role of increased plasma aluminium concentrations in the pathogenesis of PSP remains unresolved [35, 36].
These lesions may, therefore, predispose to PSP when combined with (largely unknown) precipitating factors; blebs and bullae indeed also occur in up to 15% of normal subjects [15–17]. New techniques such as fluorescein-enhanced autofluorescence thoracoscopy [37] or infrared thoracoscopy [38] may shed more light on this issue, and may be helpful in the detection of the culprit areas during thoracoscopy or surgery.
It should be clear, however, that every therapeutic intervention with the purpose to prevent recurrences of PSP should include a pleurodesis technique, with or without an intervention at the level of the lung parenchyma [39].
SECONDARY SPONTANEOUS PNEUMOTHORAX
A multitude of respiratory disorders have been described as a cause of spontaneous pneumothorax. The most frequent underlying disorders are chronic obstructive pulmonary disease with emphysema, cystic fibrosis, tuberculosis, lung cancer and HIV-associated Pneumocystis carinii pneumonia, followed by more rare but “typical” disorders, such as lymphangioleiomyomatosis and histiocytosis X (table 2). Because lung function in these patients is already compromised, secondary spontaneous pneumothorax (SSP) often presents as a potentially life-threatening disease, requiring immediate action, in contrast with PSP, which is more of a nuisance than a dangerous condition. The general incidence is almost similar to that of PSP.
Depending upon the underlying disease, the peak incidence of SSP can occur later in life, e.g. 60–65 yrs of age in the emphysema population [2].
Table 2
Frequent and/or typical causes of secondary spontaneous pneumothorax
In SSP, dyspnoea is the most prominent clinical feature; chest pain, cyanosis, hypoxaemia and hypercapnia, sometimes resulting in acute respiratory failure, can also be present. Diagnosis is confirmed on a PA chest radiograph; in bullous emphysema, the differential diagnosis with a giant bulla can be difficult, necessitating CT confirmation [40]. As in PSP, air may enter the pleural space through various mechanisms: direct alveolar rupture (as in emphysema or necrotic pneumonia), via the lung interstitium, or backwards via the bronchovascular bundle and mediastinal pleura (pneumomediastinum). Recurrence rates usually are higher when compared to those for PSP, ranging up to 80% of cases, as is observed in cystic fibrosis [41].
Footnotes
Provenance
Publication of this peer-reviewed article was supported by GlaxoSmithKline, Belgium (principal sponsor, European Respiratory Review issue 117).

Statement of Interest
None declared.
- Received May 25, 2010.
- Accepted May 26, 2010.
Atelectasis – Undergraduate Diagnostic Imaging Fundamentals
Case 1
Post-operative Atelectasis
Clinical:
History – This 50 year old female was two days post-operative from a colostomy. She presented with a fever, cough, and fatigue.
Symptoms – Mild cough.
Physical – The lungs were clear on auscultation. Poor inspiration was noted due to abdominal discomfort.
Laboratory – Her white blood cell count was mildy elevated.
DDx:
Atelectasis
Pneumonia
Imaging Recommendation
Chest X-ray
ODIN Link Linear Atelectasis, Figure 9.
9: https://mistr.usask.ca/odin/?c seID=20160412203825261
Figure 9.9 Post-Operative Atelectasis: Linear or Plate Like Atelectasis; Left Lower Lobe
Imaging Assessment
Findings:
There were bands of linear opacity in both lower lungs. No evidence of any air bronchograms. Mild eventration of the right diaphragm was seen. No masses or adenopathy.
Interpretation:
Bilateral lung, linear atelectasis.
Diagnosis:
Plate or band-like atelectasis.
Discussion:
Definition of Atelectasis:
Atelectasis is diminished inflation of all, or part of, the lung. The synonym “collapse” is often used interchangeably with atelectasis, particularly when it is severe or accompanied by an obvious increase in lung opacity.
On x-rays and CT scans, reduced volume is seen, accompanied by increased opacity (chest radiograph) or attenuation (CT scan) in the affected part of the lung.
Atelectasis is often associated with abnormal displacement of fissures, bronchi, vessels, diaphragm, heart, or mediastinum. The distribution can be subsegmental, segmental, or lobar. Subsegmental atelectasis is often qualified by descriptors such as linear, discoid, or platelike.
The different types of atelectasis are:
Passive – Another entity occupies the space usually occupied by lung, most often pleural fluid, but masses i.e. lung, or pleural, can enlarge and cause compression of the adjacent lung. Pneumothorax can also lead to passive atelectasis as the air in the pleural space causes the underlying lung to partially collapse.
Resorptive – An obstruction (intraluminal or extraluminal) prevents the normal ingress and egress of air. The gas in the aerated lung (bronchi, respiratory bronchioles, alveoli) downstream of the obstruction is resorbed/absorbed. This can be seen with endobronchial malignancies, mucous plugs in the bronchi, or extrinsic masses compressing airways leading to bronchial obstruction.
Also, inability to fully inflate the lungs i.e. splinting of the chest due to pain, and prolonged bed rest. may lead to linear bands of resorptive atelectasis.
Cicatrizing (/ˈsikəˌtrīz/) – Abnormal lung elasticity prevents the lung from expanding completely. This is often encountered after radiation therapy to the lung or as the result of a fibrosing infection such as tuberculosis.
X-ray findings may include:
- Atelectasis is often opaque lung associated with the diminished volume of air containing lung.
- Atelectasis can occur in a subsegmental (linear), segmental, or lobar distribution.
- The appearance of the diminished lung volume depends upon the type of atelectasis.
Case 2
Post Intubation Atelectasis
Clinical:
History – This 3 year old male presented with severe asthma and required endotracheal intubation.
Symptoms – None – intubated, sedated, and paralyzed.
Physical – No breath sounds in the left hemi-thorax or upper right lung.
Laboratory – Non-contributory.
DDx:
Atelectasis
Collapse
Pneumonia
Imaging Recommendation
Chest X-ray
ODIN Link Misplaced Endotracheal Tube and Atelectasis, Figure 9.10: https://mistr.usask.ca/odin/?caseID=20170114165716169
Figure 9.10 Resorptive Atelectasis. Endotracheal tube in right main bronchus. Totally atelectatic left lung and atelectasis of right upper lobe
Imaging Assessment
Findings:
The left lung is totally opacified as is the right upper lobe. The endotracheal tube is in the right main bronchus quite distal in location. Note how the cardiac shadow was not seen in the right hemithorax as the central mediastinal structures have all shifted to the left due to the total atelectasis of the left lung.
Interpretation:
Total, resorptive, atelectasis with obstruction of the bronchi supplying both lobes of the left lung and the right upper lobe by the endotracheal tube.
Diagnosis:
Misplaced endotracheal tube leading to resorptive (obstructive) atelectasis.
Case 3
Pleural effusions, Passive atelectasis
Clinical:
History – This 42 year old male had severe gallstone pancreatits. He presented with severe shortness of breath and abdominal pain.
Symptoms – Severe shortness of breath with increased work of breathing and anxiety due to breathlessness.
Physical – Diminished breath sounds in both hemi-thoraces. Decreased volume in both lungs.
Laboratory – Non-contributory.
DDx:
Atelectasis
Collapse
Pneumonia
Pleural effusions
Imaging Recommendation
Chest X-ray
ODIN Link for Massive Pleural Effusions and Atelectasis (Chest x-ray and Ultrasound), Figure 9.11A and B: https://mistr.usask.ca/odin/?caseID=20170407235902470
Figure 9.11A Passive Atelectasis. Large Pleural Effusions
Figure 9.11B Passive Atelectasis – Ultrasound, large pleural effusion with atelectasis
Imaging
Findings CXR:
The volume of the aerated lungs is very diminished. There were large, bilateral pleural effusions.
Interpretation:
Basilar atelectasis due to large bilateral pleural effusions.
Findings US:
The basilar lung is an echogenic collapsed, triangular structure. The collapsed lung is basically suspended in the pleural fluid. There is a large, anechoic region surrounding the collapsed lung.
Diagnosis:
Passive atelectasis due to large, bilateral, pleural effusions.
Figure 9.9 Post-Operative Atelectasis: Linear or Plate Like Atelectasis; Left Lower Lobe by Dr. Brent Burbridge MD, FRCPC, University Medical Imaging Consultants, College of Medicine, University of Saskatchewan is used under a CC–BY-NC-SA 4.0 license.
Figure 9.10 Resorptive Atelectasis. Endotracheal tube in right main bronchus. Totally atelectatic left lung and atelectasis of right upper lobe by Dr. Brent Burbridge MD, FRCPC, University Medical Imaging Consultants, College of Medicine, University of Saskatchewan is used under a CC–BY-NC-SA 4.0 license.
Figure 9.11A Passive Atelectasis. Massive Pleural Effusions by Dr. Brent Burbridge MD, FRCPC, University Medical Imaging Consultants, College of Medicine, University of Saskatchewan is used under a CC–BY-NC-SA 4.0 license.
Figure 9.11B Passive Atelectasis – Ultrasound, large pleural with atelectasis by Dr. Brent Burbridge MD, FRCPC, University Medical Imaging Consultants, College of Medicine, University of Saskatchewan is used under a CC–BY-NC-SA 4.0 license.
Pulmonary atelectasis in anaesthesia and critical care | BJA Education
Atelectasis during general anaesthesia (GA) is common, but usually does not cause clinically significant problems.
Persistent prolonged atelectasis after GA increases perioperative respiratory complications.
Risk factors contributing to atelectasis include: obesity, chronic lung disease, thoracic or upper gastrointestinal surgery, and prolonged use of high-inspired oxygen concentration.
The aetiology and significance of atelectasis in critically ill patients is different from that seen in patients undergoing GA.
The treatment and prevention of atelectasis varies according to the aetiology, severity, and clinical context.
Atelectasis is derived from the Greek words ateles and ektasis, meaning incomplete expansion. It is also referred to as collapse of the lung. Atelectasis is the loss of lung volume, either a part or all of a lung with or without mediastinal shift. This is in contrast to consolidation where the lung volume is normal. In clinical practice, there is often a combination of both. Atelectasis is common in the setting of anaesthesia and critical care. Atelectasis can be broadly classified into obstructive and non-obstructive, each having a particular radiological pattern. Obstructive atelectasis is by far the most common cause of lung collapse, in both adult and paediatric populations.
Types of atelectasis
In the context of chest medicine, several types of atelectasis can be categorized according to aetiology (Table 1).
Table 1
Causes of lung collapse in anaesthesia and critical care
| Obstructive |
| Large airway obstruction |
| Tumour: bronchial, metastatic |
| Inflammatory: tuberculosis, sarcoidosis |
| Other: foreign body, malpositioned tracheal tube |
| Small airway obstruction |
| Mucus plugs |
| Inflammation |
| Bronchopneumonia, bronchitis, bronchiectasis |
| Non-obstructive |
| Compressive |
| Peripheral tumour |
| Interstitial disease: sarcoidosis, lymphoma |
| Air trapping in adjacent lung: emphysema |
| Passive |
| Bibasal collapse under anaesthesia |
| Thoracic and abdominal surgery |
| Pneumothorax, pleural effusions |
| Diaphragmatic hernia |
| Adhesive |
| Smoke inhalation |
| Cardiopulmonary bypass |
| Obstructive |
| Large airway obstruction |
| Tumour: bronchial, metastatic |
| Inflammatory: tuberculosis, sarcoidosis |
| Other: foreign body, malpositioned tracheal tube |
| Small airway obstruction |
| Mucus plugs |
| Inflammation |
| Bronchopneumonia, bronchitis, bronchiectasis |
| Non-obstructive |
| Compressive |
| Peripheral tumour |
| Interstitial disease: sarcoidosis, lymphoma |
| Air trapping in adjacent lung: emphysema |
| Passive |
| Bibasal collapse under anaesthesia |
| Thoracic and abdominal surgery |
| Pneumothorax, pleural effusions |
| Diaphragmatic hernia |
| Adhesive |
| Smoke inhalation |
| Cardiopulmonary bypass |
Table 1
Causes of lung collapse in anaesthesia and critical care
| Obstructive |
| Large airway obstruction |
| Tumour: bronchial, metastatic |
| Inflammatory: tuberculosis, sarcoidosis |
| Other: foreign body, malpositioned tracheal tube |
| Small airway obstruction |
| Mucus plugs |
| Inflammation |
| Bronchopneumonia, bronchitis, bronchiectasis |
| Non-obstructive |
| Compressive |
| Peripheral tumour |
| Interstitial disease: sarcoidosis, lymphoma |
| Air trapping in adjacent lung: emphysema |
| Passive |
| Bibasal collapse under anaesthesia |
| Thoracic and abdominal surgery |
| Pneumothorax, pleural effusions |
| Diaphragmatic hernia |
| Adhesive |
| Smoke inhalation |
| Cardiopulmonary bypass |
| Obstructive |
| Large airway obstruction |
| Tumour: bronchial, metastatic |
| Inflammatory: tuberculosis, sarcoidosis |
| Other: foreign body, malpositioned tracheal tube |
| Small airway obstruction |
| Mucus plugs |
| Inflammation |
| Bronchopneumonia, bronchitis, bronchiectasis |
| Non-obstructive |
| Compressive |
| Peripheral tumour |
| Interstitial disease: sarcoidosis, lymphoma |
| Air trapping in adjacent lung: emphysema |
| Passive |
| Bibasal collapse under anaesthesia |
| Thoracic and abdominal surgery |
| Pneumothorax, pleural effusions |
| Diaphragmatic hernia |
| Adhesive |
| Smoke inhalation |
| Cardiopulmonary bypass |
Obstructive
Bronchial obstruction is a frequent cause of atelectasis. This is usually due to a neoplasm, mucus plug, or foreign body. Progressive airway collapse develops distal to the obstruction.
Non-obstructive
Various types exist:
The above types of atelectasis are most often described in the chronic setting, but in this article, we focus on the mechanisms, pathophysiology, diagnosis, and management of pulmonary atelectasis in the settings of general anaesthesia (GA) and critical care.
Compressive: a large peripheral tumour, bullae, or extensive air trapping (emphysema) compresses adjacent normal lung tissue.
Passive: this is also referred to as relaxation atelectasis, and it is caused by the loss of contact between parietal and visceral pleura, for example, due to pleural effusion, pneumothorax, or pleural malignancy.
Adhesive: this is caused by a lack of or inactivation of surfactant and can be seen in severe acute lung injury (ALI), radiation pneumonitis, or neonatal respiratory distress syndrome.
Cicatrizing: this occurs due to scar tissue formation as a result of granulomatous disease or necrotizing pneumonia.
Atelectasis related to GA
Atelectasis is common during anaesthesia and is frequently noted in critically ill patients with different underlying aetiologies and pathophysiology.1,2 Uneventful anaesthesia can lead to the development of collapse in 10–15% of lung tissue. The following mechanisms have been proposed to contribute to atelectasis during GA.
Compression atelectasis
In a normal healthy adult in the upright position, the functional residual capacity (FRC) is ∼3 litres. This decreases by 0.7–0.8 litres in the supine position as abdominal contents push the diaphragm cephalad. This is further accentuated with anaesthesia and paralysis, as abdominal pressure is easily transmitted to the thoracic cavity. The loss of intercostal muscle function also contributes to FRC reduction, particularly in children. Surgical manipulation during thoraco-abdominal procedures may worsen atelectasis caused by GA. Other factors accentuating compression atelectasis include morbid obesity, laparoscopic procedures, and head-down and lateral positioning. During one-lung anaesthesia, the lung on the side of surgery is typically deliberately collapsed to allow surgical access on that side.
Absorption atelectasis
This can occur by two different mechanisms:
Complete airway occlusion can be seen in accidental bronchial intubation, one-lung anaesthesia, and with mucus plugging of small or large airways. Its pathophysiology is similar to that described in obstructive mechanisms.
Atelectasis can occur in the absence of obstruction. Lung zones with lower ventilation relative to perfusion are susceptible to collapse, this can occur when inspired oxygen concentration is increased leading to a higher flux of oxygen from the alveoli to capillary, and alveoli progressively become smaller.
Atelectasis in the critical care setting
Atelectasis is a common cause of impaired gas exchange and X-ray opacification of lung regions in critically ill patients. It may be encountered in the presence or absence of ALI. The incidence is likely to be high if the patient is immobile, has had a general anaesthetic, or if they have pre-existing lung disease, a smoking history, obesity, or advanced age. Its pathophysiology is multifactorial: obstructive, non-obstructive, or both. Most cases are likely to be multifactorial in origin with prolonged immobility and infection probably being the most common contributors.
Acute lung injury
Extensive evidence exists regarding the maintenance of lung volume in the prevention of lung injury. Atelectasis in patients with ALI differs from atelectasis related to GA. During lung injury, atelectasis is accompanied by inflammatory fluid filling up the alveoli and a phenomenon of cyclical collapse is seen. Also, repetitive lung atelectasis leads to increased neutrophil activation. This leads to an inflammatory response causing localized lung injury alongside systemic and distant organ dysfunction due to systemic release of inflammatory mediators (cytokines, proteases, and reactive oxygen species).3 It will therefore take time to resolve, unlike the usually fairly rapid resolution after uncomplicated GA and surgery.
Surfactant depletion
Surfactant is a lipoprotein complex secreted by Type II alveolar cells which forms an inner coating for alveoli. It reduces surface tension within a theoretically spherical structure like an alveolus, and so may be considered to follow Laplace’s law (pressure=2× tension/radius). This equation indicates that smaller alveoli will contain higher pressure than larger ones, and so would quickly empty into the larger alveoli, and so collapse. Surfactant reduces surface tension in all alveoli, and to a greater extent in smaller ones, thereby maintaining alveolar stability. The lack of surfactant function therefore leads to atelectasis. Also, lung tissue deficient in surfactant is difficult to inflate leading to increased work of breathing and so likelihood of respiratory failure. This situation can be seen in premature neonates who may require artificial surfactant. In adults, surfactant function may be impaired by lung infection or inflammation.
Pathophysiological effects of atelectasis
Decreased compliance
The loss of lung volume as a result of atelectasis causes inspiration–expiration cycles to commence from a lower FRC, so these are occurring on a less efficient section of the pressure–volume curve. As a result, increased transpulmonary pressure is required to achieve a given tidal volume, leading to increased work of breathing.
Impaired oxygenation
Atelectasis can significantly affect systemic oxygenation by the loss of adequate ventilation to perfused lung units. This was first identified during GA and the effect was reversed by passive hyperinflation.
Increased pulmonary vascular resistance
Regional hypoxia in atelectatic lung units leads to hypoxic pulmonary vasoconstriction due to decreased alveolar and mixed venous oxygen tension. If extensive, this phenomenon may lead to right ventricular dysfunction and increased microvascular fluid leakage in susceptible patients.
Clinical presentation
This depends on the extent of atelectasis and rapidity with which it develops. Small and slowly developing areas of collapse may be asymptomatic or present as a non-productive cough. Rapidly developing large-scale atelectasis can present with features of hypoxia and respiratory failure. Physical examination will reveal decreased movement in the affected lung area, dullness on percussion, absent breath sounds, and deviation of the trachea to the affected site.
Investigations
Chest X-ray
The radiological signs of collapse will depend upon the aetiology, degree of collapse, and associated consolidation or pleural pathology. Signs may be direct (related to loss of lung volume and collapsed lobes) or indirect (occurring as result of compensatory changes due to volume loss), leading to shift of the mediastinal structures.
Direct signs
These include:
Increased opacification in the area of atelectasis. Air bronchograms are normally a feature of consolidation but may also be present in lobar collapse.
Displacement of fissures. This occurs with large degree of collapse.
Loss of aeration. If the collapsed lung is adjacent to the mediastinum or diaphragm, then loss of definition of these structures indicates loss of aeration (the silhouette sign).
Vascular signs. In partial collapse, crowding of vessels may be seen.
Indirect signs
These include:
Elevation of a hemi-diaphragm. This sign is of limited value as the normal position of the diaphragm is variable.
Mediastinal displacement to the side of collapse. Some contents of the mediastinum which are easily seen on plain chest X-rays include the trachea, tracheal tube, central venous catheters in the superior vena cava, and nasogastric tubes in the oesophagus.
Hilar displacement. The hilum may be elevated in the upper lobe collapse, and depressed in the lower lobe collapse.
Radiological patterns of collapse
4
Complete collapse
Collapse of an entire lung leads to complete opacification of a hemithorax (a so-called ‘white out’). This is often confused with a large pleural effusion, but can be distinguished by the presence of mediastinal shift towards a collapsed lung (Fig. 1) compared with movement away from a pleural effusion (Fig. 2). Ultrasound or computerized tomography (CT) allow definitive confirmation of the presence of an effusion.
Fig 1
Total lung collapse due to obstructive pathology causing a white out of the right hemithorax. Note the trachea is pulled towards the collapsed lung.
Fig 1
Total lung collapse due to obstructive pathology causing a white out of the right hemithorax. Note the trachea is pulled towards the collapsed lung.
Fig 2
Total lung collapse of the left lung due to pressure from a pleural effusion leading to tracheal shift away from the left lung.
Fig 2
Total lung collapse of the left lung due to pressure from a pleural effusion leading to tracheal shift away from the left lung.
Lobar collapse
Characteristic features associated with individual lobar collapse are as follows:
Right upper lobe (RUL) collapse (Fig. 3a and b) results in elevation of the right hilum and the minor fissure. On the lateral view, elevation of the minor and major fissure may be visible. The minor fissure in RUL collapse is usually convex superiorly but may appear concave because of an underlying mass lesion. This is called the sign of Golden S (Fig. 3c).
Right middle lobe (RML) collapse (Fig. 4a and b) results in minimal opacity and is often overlooked. The loss of silhouette of the right heart border is almost always a feature on a posterior–anterior view. The right horizontal and oblique fissures move towards each other leading to a wedge-shaped opacity on the lateral view. A chronically collapsed RML is often associated with bronchiectasis and is known as RML syndrome.
Right lower lobe (RLL) collapse (Fig. 5a and b) is seen as a triangular opacity adjacent to the right heart border. There is obliteration of the right hemidiaphragm and it may appear elevated. However, the right heart border is clearly seen. On lateral projection, the right hemidiaphragm outline is lost posteriorly and the lower thoracic vertebrae appear more dense.
Left upper lobe (LUL) collapse (Fig. 6a and b). Owing to the lack of a minor fissure, LUL collapse appears different compared with the RUL. It appears as a veil-like opacity extending from the hilum and fading inferiorly. On the lateral view, the major fissure displaces anteriorly and the lower lobe is hyper-expanded. LUL collapse also causes a hyper-expanded superior segment of the left lower lobe (LLL), which is positioned between the atelectatic upper lobe and the aortic arch in half of cases. This gives the appearance of a crescent of aerated lung, called the Luftsichel sign (Fig. 6a).
LLL collapse (Fig. 7a and b) is seen as an increased retrocardiac opacity, which silhouettes the left hemidiaphragm. On the lateral view, the left hemidiaphragm outline is lost posteriorly and the lower thoracic vertebrae appear denser than normal.
Fig 3
(a) RUL collapse (PA view). The minor fissure and hilum are displaced upwards. The mediastinal border is obscured. The trachea is deviated to the right. (b) RUL collapse (lateral view). The minor and major fissures (arrows) are pulled upwards causing a triangular opacity with well-defined margins. (c) Golden S sign. This is seen in RUL collapse due to a mass lesion. The superior portion of the ‘S’ is from the displaced minor fissure (arrow), while the inferior portion results from the mass itself (arrowhead).
Fig 3
(a) RUL collapse (PA view). The minor fissure and hilum are displaced upwards. The mediastinal border is obscured. The trachea is deviated to the right. (b) RUL collapse (lateral view). The minor and major fissures (arrows) are pulled upwards causing a triangular opacity with well-defined margins. (c) Golden S sign. This is seen in RUL collapse due to a mass lesion. The superior portion of the ‘S’ is from the displaced minor fissure (arrow), while the inferior portion results from the mass itself (arrowhead).
Fig 4
(a) RML collapse (PA view). The minor fissure is displaced downwards. There is an ill-defined opacity adjacent to the right heart border, and loss of the right heart border. (b) RML collapse (lateral view). There is a wedge-shaped opacity extending from the hilum.
Fig 4
(a) RML collapse (PA view). The minor fissure is displaced downwards. There is an ill-defined opacity adjacent to the right heart border, and loss of the right heart border. (b) RML collapse (lateral view). There is a wedge-shaped opacity extending from the hilum.
Fig 5
(a) RLL collapse (PA view). There is a well-defined opacity adjacent to the right heart border with the loss of definition of the right hemidiaphragm. The right heart border is still visible. (b) RLL collapse (lateral view). There is a well-defined posterior opacity, with the oblique fissure displaced. There is loss of the normal darkening of the thoracic vertebral bodies inferiorly.
Fig 5
(a) RLL collapse (PA view). There is a well-defined opacity adjacent to the right heart border with the loss of definition of the right hemidiaphragm. The right heart border is still visible. (b) RLL collapse (lateral view). There is a well-defined posterior opacity, with the oblique fissure displaced. There is loss of the normal darkening of the thoracic vertebral bodies inferiorly.
Fig 6
(a) LUL collapse (PA view). There is a veil-like opacity over the left lung field with Luftsichel sign (arrow), and the trachea is deviated to left, sometimes with an elevated left hilum. (b) LUL collapse (lateral view). There is an opacity with a sharply defined posterior border due to anterior displacement of major fissure (arrow).
Fig 6
(a) LUL collapse (PA view). There is a veil-like opacity over the left lung field with Luftsichel sign (arrow), and the trachea is deviated to left, sometimes with an elevated left hilum. (b) LUL collapse (lateral view). There is an opacity with a sharply defined posterior border due to anterior displacement of major fissure (arrow).
Fig 7
(a) LLL collapse (PA view). There is a triangular opacity visible through the heart, with the loss of the medial border of the diaphragm. (b) LLL collapse (lateral view). There is increased retrocardiac opacity, with downward displacement of the fissure.
Fig 7
(a) LLL collapse (PA view). There is a triangular opacity visible through the heart, with the loss of the medial border of the diaphragm. (b) LLL collapse (lateral view). There is increased retrocardiac opacity, with downward displacement of the fissure.
In clinical practice, particularly in the sicker patient, many of these patterns of collapse can co-exist, and bibasal collapse is commonly seen after major anaesthesia and surgery, or in a critically ill patient with impending respiratory failure.
Rounded atelectasis. This unusual type of collapse appears as a homogenous mass on a plain film. This is due to segmental or subsegmental atelectasis, and occurs secondary to visceral pleural thickening and entrapment of lung tissue.
CT scan
Atelectasis on CT has been defined as pixels with attenuation values of −100 to +100 Hounsfield units. The Hounsfield unit is a measure of X-ray attenuation used in CT scan interpretation. It characterizes the relative density of a substance, that is, air: −1000, fat: −50, water: 0, muscle: +40, calculus: +100 to +400, bone: +1000. Features of lobar collapse and effusions are more obvious on CT than plain radiographs (Fig. 8) and it is useful for more atypical forms of collapse. CT aids identification and localization of endobronchial lesions and any tumour spread, and differentiation of obstructive lesions from other forms of atelectasis.
Fig 8
Computerized tomogram of RML collapse. There is a wedge-shaped opacity (arrow) in the midzone.
Fig 8
Computerized tomogram of RML collapse. There is a wedge-shaped opacity (arrow) in the midzone.
Ultrasound
Obstructive atelectasis on ultrasound shows as an area of homogenous low echogenicity. An important role for ultrasound is to distinguish basal lung collapse from a loculated pleural effusion (Fig. 9). An affected segment of collapse resembles liver (so-called hepatization of the lung). Echogenic bands may be visible as a result of a fluid bronchogram. No reinflation of the lung is seen during inhalation. On using colour-flow Doppler, increased flow signals relative to the liver are seen. Also the ‘lung pulse’ may be used as a dynamic lung ultrasound sign described as absent lung sliding with the perception of heart activity at the pleural line, associated with complete atelectasis (e.g. during endobronchial intubation).5
Fig 9
Lung ultrasound. There is a large pleural effusion causing underlying lung collapse.
Fig 9
Lung ultrasound. There is a large pleural effusion causing underlying lung collapse.
Other investigations
These include bronchoscopy, thoracoscopy, and open surgery, but these are often more treatment based than purely for diagnosis.
Management
Prevention of atelectasis is preferable to later treatment to re-open collapsed areas of the lung, but techniques for both are similar and based on the causes of atelectasis. Evidence-based studies on the management of atelectasis are lacking.
Perioperative management
Prevention of atelectasis begins in the preoperative period by identifying high-risk patients and introducing intensive respiratory therapy of physiotherapy, bronchodilators, cessation of smoking, and antibiotics when indicated, at least 5–7 days before operation for elective surgery. In the setting of more urgent surgery, outcomes may be improved if the operation can be delayed for preoperative respiratory therapy. Common risk factors include patients with pre-existing lung problems (chronic obstructive pulmonary disease, asthma, bronchiectasis), smoking, obesity, advanced age, and sleep apnoea. Baseline X-rays, blood gases, and lung function tests are useful for patients with moderate to severe respiratory and cardiovascular disease who are undergoing more major procedures. Lung function test are not recommended as part of routine preoperative testing for adults (>16 yr) of any age classified as ASA I with no comorbidities undergoing surgery of any severity.6
On induction
Using 100% oxygen at induction is common practice to improve margins of safety in relation to hypoxaemia, but there is good evidence that the use of 100% oxygen is associated with atelectasis. A compromise is to reduce FIO2 to 80% to reduce atelectasis, or perform a recruitment manoeuvre after induction. During induction of anaesthesia, application of continuous positive airway pressure (CPAP) can prevent the formation of atelectasis and can increase the margin of safety for oxygenation before intubation. For example, application of CPAP 10 cm H2O in morbidly obese patients is effective for the prevention of atelectasis during induction.
During anaesthesia
Optimal modes of ventilation during anaesthesia are unclear, but it is likely that positive pressure ventilation with PEEP, rather than spontaneous ventilation is preferable in longer procedures in at-risk patients. Whether it is practical or beneficial to allow some spontaneous breaths in longer cases rather that have a patient fully paralysed is unknown. Overall, ventilation strategies should follow those advocated in critical care (see below) with limited tidal volumes and peak inspiratory pressures.7
Recruitment of atelectasis should be attempted if it is suspected clinically or in high-risk patients. Research has shown that recruitment of lung units follows a Gaussian distribution; hence, different units recruit at different pressures, range 10–45 cm H2O. In addition to this critical opening pressure, lung recruitment requires time to allow the delivered gas volume to redistribute.
Suggested recruitment manoeuvres include:
Higher levels of PEEP are generally not beneficial as the shunt does not improve due to redistribution of blood flow in the lung, and the high intra-thoracic pressure leads to decreased venous return and haemodynamic compromise.
Vital capacity manoeuvre using an inflation pressure of 40 cm H2O sustained for 10–15 s.
Increasing PEEP to 15 cm H2O and then increasing tidal volumes to achieve peak inspiratory pressure of 40 cm H2O for 10 breaths before then returning to standard ventilator settings.
Postoperative period
Atelectasis is one of the most common pulmonary complications in the postoperative period, although it is often clinically insignificant. The altered compliance of lung tissue, impaired regional ventilation, and retained airway secretions contribute to the development of atelectasis. Postoperative pain interferes with spontaneous deep breathing and coughing resulting in decreases in FRC, leading to atelectasis. In addition to general measures, a variety of lung expansion exercises may reduce postoperative pulmonary complications in selected patients, including chest physical therapy, deep breathing exercises, incentive spirometry, intermittent positive pressure breathing, and CPAP. Good postoperative pain control may help to minimize postoperative pulmonary complications by enabling earlier ambulation and improving the patient’s ability to take deep breaths.8
Management in critical care
Treatment of atelectasis in critically ill patients differs from anaesthesia in that there is commonly a presence of background ALI or infection. The ‘open-lung’ approach to ventilating patients with severe ALI consists of recruitment manoeuvres with high sustained airway pressures to open atelectatic alveoli, followed by application of PEEP to maintain alveolar patency.
Ventilation strategies
There are numerous strategies to consider when attempting to minimize atelectasis during artificial ventilation in critical care patients.
CPAP is useful for the management of spontaneously breathing patients with non-obstructive atelectasis, who are unable to breathe deeply. The aim is to open up collapsed alveoli to reduce shunt and improve ventilation–perfusion homogeneity, hence reversing hypoxaemia.
PEEP is a core component of artificial ventilation in ALI patients, but the level of PEEP required will depend on the clinical scenario. It is the airway pressure above PEEP that is responsible for alveolar recruitment. PEEP will then prevent recollapse. Patients at risk of ALI should have open-lung techniques instituted to optimize oxygenation. PEEP has a protective role in ALI by attenuating surfactant depletion, and reducing shearing stresses, parenchymal injury, and cytokine release. An open-lung strategy using low tidal volume (6–8 ml kg−1), limiting distending pressure (plateau pressure <35 cm H2O), and setting PEEP above the lower inflection point on the pressure–volume curve is suggested to decrease mortality, length of intensive care unit (ICU) stay, and days on ventilator.9
Typical recruitment measures
Typical recruitment measures used in intensive care include:10 In general recruitment, measures are well tolerated, although systemic hypotension can occur due to reduced cardiac output when a sustained inflation pressure is used in critically ill patients, this can be reduced by adequate fluid filling pre-recruitment. Optimal recruitment strategies are unknown.
Three consecutive volume-limited breaths per minute with a plateau pressure of 45 cm H2O (also called sigh).
PEEP increased by 5 cm H2O every 30 s with a 2 ml kg−1 decrease in tidal volume. When PEEP reaches 25 cm H2O, CPAP at 30 cm H2O is used for 30 s.
CPAP: 35–40 cm H2O for 30 s.
Inspired oxygen concentration has a strong influence on atelectasis. This has been described above for absorption atelectasis. In addition, high concentrations of oxygen used during resuscitation may increase the production of reactive oxygen species and contribute to reperfusion injury.
Muscle tone during artificial ventilation can also affect gas exchange. Allowing spontaneous breathing up to 10–20% of total ventilation improves gas exchange by redistribution of ventilation and end-expiratory gas to dependent areas, thus promoting alveolar recruitment. This can be achieved with airway pressure release ventilation or biphasic positive airway pressure.11
High-frequency oscillation ventilation (HFOV) may be considered and facilitates lung inflation and recruitment by maintaining mean airway pressure at a constant elevated level while using a piston to cycle the ventilation rate at several hundred times per minute. This results in tidal volumes that are smaller than the anatomical dead space of lungs with the potential to reduce volutrauma-related lung injury. HFOV minimizes cyclical alveolar distension and collapse. The mean airway pressure is set at 2–3 cm H2O above the mean airway pressure on conventional ventilation (usually similar or higher than PEEP but below plateau pressure) and increased in increments of 1–2 cm H2O until improvement in oxygenation occurs. Clinical studies of HFOV in severe ALI to date have not shown improvements in outcomes.12
Others: A variety of further strategies which may be considered in the management of atelectasis are shown in Table 2. These strategies are more likely to be used in ICUs and are not commonly required or used in theatre. There is no strong evidence to support the application of these techniques and so their use should be preceded by an individual risk–benefit analysis for each patient.
Table 2
Other strategies which may be used in the management of artificial ventilation in patients with atelectasis. FRC, functional residual capacity
| Strategy
. | Potential benefit
. |
|---|---|
| Prone position | Promotes ventilation–perfusion matching, ↑ FRC, ↓ shunt |
| Kinetic bed (40° rotation on each side with pause of 10 min on each side and 5 min in the supine position) | Prevents collection of secretions, ↓ ventilator-associated pneumonia, redistribution of pressure to allow lung expansion |
| Chest physiotherapy | Aids airway clearance and improves ventilation |
| Bronchoscopy | Aids airway clearance in patients with poor cough, e.g. neuromuscular disease |
| Mucolytics or DNase | Clears tenacious secretions, good results in paediatrics |
| Surfactant | ↓ surface tension to allow alveoli stability and prevent collapse |
| Fluorocarbons | Facilitates lung recruitment by separating adherent lung surfaces by virtue of their low equilibrium surface tension and positive spreading coefficient |
| Strategy
. | Potential benefit
. |
|---|---|
| Prone position | Promotes ventilation–perfusion matching, ↑ FRC, ↓ shunt |
| Kinetic bed (40° rotation on each side with pause of 10 min on each side and 5 min in the supine position) | Prevents collection of secretions, ↓ ventilator-associated pneumonia, redistribution of pressure to allow lung expansion |
| Chest physiotherapy | Aids airway clearance and improves ventilation |
| Bronchoscopy | Aids airway clearance in patients with poor cough, e.g. neuromuscular disease |
| Mucolytics or DNase | Clears tenacious secretions, good results in paediatrics |
| Surfactant | ↓ surface tension to allow alveoli stability and prevent collapse |
| Fluorocarbons | Facilitates lung recruitment by separating adherent lung surfaces by virtue of their low equilibrium surface tension and positive spreading coefficient |
Table 2
Other strategies which may be used in the management of artificial ventilation in patients with atelectasis. FRC, functional residual capacity
| Strategy
. | Potential benefit
. |
|---|---|
| Prone position | Promotes ventilation–perfusion matching, ↑ FRC, ↓ shunt |
| Kinetic bed (40° rotation on each side with pause of 10 min on each side and 5 min in the supine position) | Prevents collection of secretions, ↓ ventilator-associated pneumonia, redistribution of pressure to allow lung expansion |
| Chest physiotherapy | Aids airway clearance and improves ventilation |
| Bronchoscopy | Aids airway clearance in patients with poor cough, e.g. neuromuscular disease |
| Mucolytics or DNase | Clears tenacious secretions, good results in paediatrics |
| Surfactant | ↓ surface tension to allow alveoli stability and prevent collapse |
| Fluorocarbons | Facilitates lung recruitment by separating adherent lung surfaces by virtue of their low equilibrium surface tension and positive spreading coefficient |
| Strategy
. | Potential benefit
. |
|---|---|
| Prone position | Promotes ventilation–perfusion matching, ↑ FRC, ↓ shunt |
| Kinetic bed (40° rotation on each side with pause of 10 min on each side and 5 min in the supine position) | Prevents collection of secretions, ↓ ventilator-associated pneumonia, redistribution of pressure to allow lung expansion |
| Chest physiotherapy | Aids airway clearance and improves ventilation |
| Bronchoscopy | Aids airway clearance in patients with poor cough, e.g. neuromuscular disease |
| Mucolytics or DNase | Clears tenacious secretions, good results in paediatrics |
| Surfactant | ↓ surface tension to allow alveoli stability and prevent collapse |
| Fluorocarbons | Facilitates lung recruitment by separating adherent lung surfaces by virtue of their low equilibrium surface tension and positive spreading coefficient |
Conclusion
Atelectasis is commonly encountered in the perioperative and critical care settings and may lead to hypoxaemia and respiratory failure. Timely diagnosis and management is crucial for a good outcome. Prevention is better than cure when dealing with patients at high risk of developing atelectasis.
Declaration of interest
We thank Medical illustration at St James Hospital Leeds for producing the line diagrams.
Acknowledgement
The authors would like to thank Medical illustration at St James Hospital Leeds for producing the line diagrams.
References
1, .
New concepts of atelectasis during general anaesthesia
,
Br J Anaesth
,
2003
, vol.
91
(pg.
61
–
72
)2.
Pulmonary atelectasis
,
Anaesthesiology
,
2005
, vol.
102
(pg.
838
–
54
)3, , .
Transepithelial migration of neutrophils: mechanisms and implications for acute lung injury
,
Am J Respir Cell Mol Biol
,
2009
, vol.
40
(pg.
519
–
35
)4, .
Radiographic manifestation of lobar atelectasis
,
J Thoracic Imag
,
1996
, vol.
11
(pg.
109
–
44
)5, , , .
The ‘lung pulse’: an early ultrasound sign of complete atelectasis
,
Intensive Care Med
,
2003
, vol.
29
(pg.
2187
–
92
)6
National Institute of Clinical Excellence guideline June 2003. Preoperative tests: The use of routine preoperative tests for elective surgery
7, .
Lung protective strategies in anaesthesia
,
Br J Anaesth
,
2010
, vol.
105
(pg.
108
–
16
)8, , , et al.
MASTER Anaethesia Trial Study Group
Epidural anaesthesia and analgesia and outcome of major surgery: a randomised trial
,
Lancet
,
2002
, vol.
359
(pg.
1276
–
82
)9
The Acute Respiratory Distress Syndrome Network
Ventilation with lower tidal volumes as compared with traditional tidal volumes for acute lung injury and the acute respiratory distress syndrome
,
N Engl J Med
,
2000
, vol.
342
(pg.
1301
–
8
)10, , , , , .
Prone position and recruitment manoeuvre: the combined effect improves oxygenation
,
Crit Care
,
2011
, vol.
15
pg.
R125
11, , , et al.
Long term effects of spontaneous breathing during ventilatory support in patients with acute lung injury
,
Am J Respir Crit Care Med
,
2001
, vol.
164
(pg.
43
–
9
)12, , , et al.
OSCAR Study Group
High-frequency oscillation for acute respiratory distress syndrome
,
N Engl J Med
,
2013
, vol.
368
(pg.
806
–
13
)
© The Author [2013]. Published by Oxford University Press on behalf of the British Journal of Anaesthesia. All rights reserved. For Permissions, please email: [email protected]
90,000 The girl suffered a collapse of the lungs due to enthusiastic screams at a concert
Too loud screaming and singing at the concert of the pop group One Direction brought the young girl to a hospital bed with a collapse of her lungs. Now doctors are suggesting adding concert attendance to the list of possible causes of the disease.
If you sing along too diligently to your favorite performer at a concert, you can get a collapse of the lungs, the doctors found out. This is exactly what happened to a young patient who had attended a concert of her favorite pop group the day before.Doctors told about an unusual medical case in the journal The Journal of Emergency Medicine .
A sixteen-year-old girl came to a Texas hospital with complaints of shortness of breath, but she had no chest pains or any possible accompanying symptoms.
The patient did not suffer from lung diseases, she did not have a cough or sore throat. Other than shortness of breath, doctors found no symptoms. However, upon manual examination, it turned out that when pressing on the girl’s neck and chest, a crackling sound is heard.
This indicated that there were air bubbles under her skin – bursting when pressed, they caused crackling.
X-rays confirmed that air did indeed enter the area between the pharynx and the chest cavity. In addition, collapse of both lungs was found – it occurs, in particular, with the accumulation of air in the pleural cavity.
As doctors write,
symptoms indicated three diagnoses at once – pneumothorax, accumulation of air in the middle sections of the chest cavity and accumulation of air in the pharyngeal space.
When air spontaneously, without obvious trauma, enters any of the areas, this in itself is unusual, and such a combination of diagnoses, as noted in the article, “has not yet been described in the medical literature.”
close
100%
Slaughter & Roppolo / Journal of Emergency Medicine
Further examination revealed new oddities. Doctors suggested that somewhere in the tissues of the lungs a gap has formed, through which air enters the chest cavity.This version was also supported by the fact that the girl had type I diabetes – a rupture could occur due to the patient’s deep and heavy breathing, which could be provoked by too high blood sugar.
However, they found nothing on computed tomography. Blood sugar tests have shown that the level is normal. This finally drove the doctors into a dead end.
The only clue was that shortly before turning, the girl attended a concert of the popular pop group One Direction, where, like other fans, she screamed with delight and sang along with the vocalist.The doctors concluded that
somewhere in the tissues of the lungs there is a very small opening that opens only when sufficient effort is made to do this – for example, when screaming at the top of the throat.
However, it was not possible to find it now.
Fortunately, this diagnosis is not life threatening. Moderate collapse of the lungs also, as a rule, does not require emergency measures – only oxygen therapy to restore the lungs and the supervision of doctors. So soon the girl returned home.
“After a period of observation and repeated X-ray examination, the girl was sent home and has not yet addressed this problem again,” the report says.
This case is useful for medicine because of the unusual way of getting air from the lungs into other areas. Doctors believe that only shouting or singing can contribute to this.
Usually mild spontaneous lung collapses occur during diving or weightlifting, but after this incident, doctors suggest adding to the list of possible causes and screaming at pop concerts.
And sometimes an event of forty years ago can cause problems with the lungs. When a 47-year-old man consulted a doctor with complaints of feeling unwell for a year and yellow sputum, the doctors found a darkening on the X-ray and decided that it was a cancerous tumor. Their opinion was supported by the fact that the patient had been smoking for 30 years.
However, during further examination it turned out that it was not a tumor, but a plastic cone from a children’s construction kit, which got into the respiratory tract about 40 years ago.
The man confirmed that as a child he often played with the designer and even swallowed parts. The set, the part of which ended up in the lungs, he received on his seventh birthday. After some time after removing the cone, the symptoms disappeared.
90,000 Thoracic surgery at the GKB im. M. P. Konchalovsky (formerly City Clinical Hospital No. 3)
On June 24, 2016, an operation was performed for the first time in the City Clinical Hospital No. 3 for recurrent spontaneous pneumothorax.
Spontaneous pneumothorax is a syndrome characterized by the accumulation of air in the pleural cavity, not associated with lung injury and medical manipulations.The appearance of free air in the pleural cavity leads to collapse (collapse) of the lung, displacement of the mediastinal organs and the development of acute cardiopulmonary insufficiency. The disease often occurs for no apparent reason and is clinically manifested by chest pain, severe shortness of breath. This is an acute surgical pathology that requires urgent diagnosis and treatment.
Earlier in the Zelenograd hospital, patients with such a diagnosis underwent palliative care – drainage of the pleural cavity in order to remove air and expand the lung.After that, if there were indications, the patients were sent for surgical treatment to other hospitals in the capital, which had departments of thoracic surgery. This is no longer necessary.
Patient K. (31 years old) was admitted to the hospital in serious condition with pneumothorax. On an emergency basis, the patient received pleural drainage. The lung was expanded, but the next day after removal of the drainage tube, repeated pneumothorax developed.
Diagnostics and treatment were carried out in accordance with the clinical guidelines for the treatment of spontaneous pneumothorax, approved by the Association of Thoracic Surgeons of Russia.In addition to physical examination methods (auscultation, percussion), chest radiography and computed tomography were performed, since the most common cause of spontaneous pneumothorax is a change in the structure of the lung tissue (bullous emphysema). This pathology, as a rule, is detected precisely with CT of the lungs, therefore, this study is mandatory. Recurrence of pneumothorax, as well as the presence of bullous emphysema in patient K. were an absolute indication for surgical treatment.
Equipping the clinic with new modern diagnostic and therapeutic video endoscopic equipment and the highest level of training of specialists made it possible to perform the most minimally traumatic and most effective operation for this pathology. Surgical intervention in the volume of thoracoscopy on the left, atypical resection of the left lung, pleurectomy was performed under endotracheal anesthesia in conditions of separate ventilation of the lungs, when the operated lung is switched off from the breathing process during the surgical procedures.During the operation, only the lung opposite to the side of the intervention breathed. Through three punctures of the chest wall with the help of an endoscopic stitching device (Endo-Gia), the resection (removal) of the altered part of the lung was performed and the pleura was removed, aimed at obliteration (clogging) of the pleural cavity. We used new video endoscopic stands by Karl-Storz, equipped with a modern high-resolution monitor. The recurrence rate of spontaneous pneumothorax after such operations does not exceed 1-3%.
Patient K. is feeling well at the moment, preparing for discharge. Planned and emergency therapeutic surgical interventions in patients with such a common pathology as spontaneous pneumothorax have expanded the range of thoracoscopic interventions performed at the GKB im. MP Konchalovsky (formerly City Clinical Hospital No. 3).
Lung collapse (pneumothorax): causes, symptoms, signs, treatment, diagnosis, prevention
Cookie Policy
Your confidentiality is important for the TzOV “Medikal-solutions” portal.Tsya polіtica
how cookie files (“Policy”) I will explain, how are cookies and how
vikoristovuєmo on the web site “polyclinica.net” and on the fallow land (“Site”).
Vikoristovuchi our Site
cookie is subject to the general policy.
We can use cookies at https://polyclinica.net/
Who are cookies?
A cookie is a tribute to which website can be sent to your browser, which can
save savings in the operating systems of your computer.
View cookies
Cookies can be found in session cookies and in persistent cookies.
If you close your web browser, session cookies are visible from your computer, or
will attach.Permanent cookies are stored on your computer and attachments to
vividly, to the extent that they reach the term of adherence. Creme “classic” cookies,
how is described vische, deyaki web sites and also vikoristovuyut local and / or to feed on
sberіgannya and the interconnection of sessions, which retrieve the singing data on your computer without a date
the end of the term of attachment.Uninvolved on those who do not get a drink
cookie files, the stench of all one can transmit information about the confidentiality of the first
For the third parties (div. Explanation below).
Categories of cookies
On websites, use cookies for business purposes, for example:
– Productivity – Productivity cookies allow web maisters rahuwati
Introduce and dash web traffic to improve and reduce efficiency
your sites.The stench will help web masters to learn, as they are the best ones
and the most popular, and poachiti, how to see it collapse on the site. All
Information, such as cookies are selected, є aggregated and anonymous.
– Basic / Suvoro Needed – Cookies are required for the robotic website and not
you can get it.Call the stench,
broken down by the site,
Establishment of confidentiality adjustments, access to the system or
forms.
– Advertising / nationality – ci cookies urge to install advertisements
partners of web maystrіv.Tsi companies can buy vikoristani for the event
profile of interest in advertisements on the site and display of all advertisements on
sites. The stench doesn’t take any special information, but it’s not based on
unique identification of your browsers and Internet attachments. Yaksho vi yak
do not allow cookies to be displayed on the website, you see
Mensh targeted advertising.
– Functionality – Functional cookies allow website to be hacked
expanded functional capabilities and personnel. Stink can bootie
established by the owner of the website or by third-party owners, servants of
the owner of the website is given on his own side. Yakshcho vidvidvach the site is not allowed
Cookies, because all of the services may not be right.
– Target cookie files – Cookie files collect information, yaka
vikoristovuyutsya abo in a sukupn_y form, schob help web majstras of intelligence, yak
Visitors to the website for some effective marketing campaigns, or
to help you set up your website and programs for showing the website
I mark the abbreviated message.
Dzherelo cookies
– First parties – Cookies of the first parties are set by the website itself
the singing local site can only be read. Smell call up victorious for
functionality of the site (for example, a cat for electronic commerce).
– Targeted cookies – Cookies set by third parties can
to sell companies (for example, adverts).Cookies
re-read every hour when you see the latest sites, when you see them
from companies providing / selling marketing.
Yak mi vikoristovuєmo cookies?
Yak and a large number of Internet services, TzOV “Medikal-solutions” vicorist cookies
Includes:
– Productivity cookies:
cookie for polling robots to the Site, and also for koristuvachiv, if you enter
our Site is that / abo add-ons.Mi vikoristovuєmo ci cookies, for example, for
pіdrakhunku vіdvіduvan and dzherel traffic on the Site for a reason for communication
view from the Site.
– Basic and functional cookies: My vikoristovuєmo decilka type
cookie files from third-party and third-party organizations, to ensure that the necessary
functions, as well as functional details on our Site and / or supplements,
for example, just lay down the cork of the contact form or enter your region
recording.
– Cookie nationality
cookie, so that it should be served relevant to personalized marketing information about
our products and the beginnings of the product introduction
Updates є guaranteed.
Your browser cookies, like a vicorist, are encrypted.
How do I control cookies?
You can control the type of cookie files for your account
– more detailed div. www.aboutcookies.org.
For example, you can set up a web view, you can see you about rejection
cookie file, give you the power to accept it. You can see everything
cookies, which are already on your computer, and you can install more browsers,
you will be able to get the best out of it.
Yakshcho tse zrobiti, you can, I will hand over the coriguvati deyaki deyakі nalashtuvannia skin
Once, if you open the site, the service functions and functions may not work.
90,000 Chest pain – causes, examination and treatment | Symptoms
Myocardial infarction or unstable angina pectoris
Signs: Immediately life threatening. Sudden, pressing pain that spreads (radiates) to the jaw or arm may be constant or transient.Sometimes shortness of breath or nausea. Pain that occurs with exertion and goes away after rest (angina). Unusual heart sounds heard through a stethoscope. Frequent warning signs.
Thoracic aortic dissection (rupture in the wall of the thoracic aorta)
Signs: Immediately life threatening. Sudden, tearing pain that spreads to or begins in the middle of the back. Sometimes dizziness, stroke, and pain, cold, or numbness in the leg.Sometimes the pulse or blood pressure in the extremities is different. Usually in people over 55 years of age with a history of high blood pressure. Warning signs.
Pericarditis (inflammation of the membrane around the heart)
Signs: Potentially life threatening. Acute pain, persistent or transient, aggravated by breathing, swallowing food, or lying on your back. Loosens when leaning forward. Unusual heart sounds heard through a stethoscope.
Spontaneous rupture of the esophagus
Signs: Immediately life threatening.Sudden, sharp pain immediately after vomiting or after a medical procedure involving the esophagus (esophageal and gastric endoscopy or transesophageal echocardiography). Some warning signs.
Pancreatitis (inflammation of the pancreas)
Signs: Potentially life threatening. Severe, persistent pain that: Appears in the upper mid abdomen or lower chest. Often worse lying down, better bending forward. Vomiting and soreness in the upper abdomen, sometimes shock.Often in people with alcohol abuse or gallstones.
Peptic ulcers
Signs: Recurrent, indistinct discomfort that is felt in the upper mid abdomen or lower chest. Relieved by antacids and sometimes after eating. Often in smokers and alcohol drinkers, or both. There are no warning signs.
Gastroesophageal reflux (GERD)
Signs: Recurrent burning pain that spreads from the upper middle abdomen to the throat, worse when reclining or lying down.Relieved by taking antacids.
Diseases of the gallbladder and bile ducts (diseases of the biliary tract)
Signs: Recurrent discomfort, which is felt in the upper right abdomen or lower mid chest, occurs after eating (but not after exercise).
Swallowing disorders (in which the peristalsis of food through the esophagus is disturbed)
Signs: Pain that develops gradually over a long period of time may or may not appear during swallowing.Swallowing is usually difficult.
Pulmonary embolism (blockage of the pulmonary artery by a blood clot)
Signs: Immediately life threatening. Often sharp pain when breathing, shortness of breath, rapid breathing, and rapid heartbeat. Sometimes mild fever, coughing up blood, or shock. More likely in patients with risk factors for pulmonary embolism (history of blood clots, recent surgery, especially leg surgery, prolonged bed rest, a cast or splint on the leg, old age, smoking, or cancer).
Tension pneumothorax (collapse of the lung with increased air pressure in the chest)
Signs: Immediately life threatening Severe shortness of breath. Low blood pressure, swollen veins in the neck, and reduced breathing noises heard through a stethoscope on one side. Usually occurs only after severe chest trauma.
Pneumonia
Signs: Potentially life threatening. Fever, chills, cough, and usually yellow or green phlegm.Shortness of breath is common. Sometimes pain when breathing. Rapid heartbeat and pulmonary congestion on examination.
Pneumothorax (collapse of the lung)
Signs: Potentially life threatening. Sudden, sharp pain, usually in one side of the chest. Sometimes shortness of breath, weakening of breathing sounds heard through a stethoscope on one side.
Pleurisy (inflammation of the membrane around the lung)
Signs: Sharp pain when breathing. Usually in patients who have recently had pneumonia or viral respiratory infection.Sometimes cough. There are no warning signs.
Pain of the musculoskeletal wall of the chest
Signs: Pain that is usually persistent (lasting several days or more). Aggravated by movement and / or breathing. May have no apparent cause or result from coughing or physical overload. Soreness at one point on the chest. There are no warning signs.
Fibromyalgia
Signs: Pain that is almost constant, spreads to large areas of the body, usually accompanied by fatigue and poor sleep quality.
Shingles
Signs: Acute girdle pain in the middle of the chest, but only on one side. Rash in the form of numerous small blisters, sometimes filled with pus, in the area of pain localization, sometimes following the onset of pain.
Malignant tumors of the chest or chest wall
Signs: Sometimes pain that worsens when inhaling. Sometimes chronic cough, history of smoking, weight loss, swollen lymph nodes in the neck.
Thoracic Surgery | Zurich
Thoracic surgery is engaged in the diagnosis and surgical treatment of diseases and injuries of the chest and its organs, except for the heart, aorta and esophagus. Modern thoracic surgeons work closely with various specialists, including pulmonologists, cardiologists, oncologists and others.
Patients can receive quality treatment according to modern standards in the best centers located around the world and forming both a national and an international network.Lung transplant operations are performed only at the University Hospitals Zurich and Lausanne.
Treatment in thoracic surgery
A thoracic surgeon diagnoses and operatively treats diseases or injuries of the lungs, trachea and bronchi, chest (ribs and sternum), mediastinal organs (thymus, lymph nodes) and diaphragm (paralysis, hernia).
First of all, we are talking about such oncological diseases as:
- Lung cancer
- Screening for lung cancer
- Lung metastases
- Tumors of the thymus
- Tumors of the pleura, such as mesothelioma, pleural fibroids
- Other types
Diseases not related to oncology
- Advanced pulmonary emphysema: The dilated lungs causing dyspnea are restored to their normal size following a minimally invasive procedure.
- Removal of the thymus with myasthenia gravis
- Spontaneous pneumothorax (lung collapse) in healthy and sick people
- Inflammatory and malignant pleural effusion
- Purulent inflammation of the chest (empyema)
- Bronchiectasis and lung abscess
- Excessive sweating of the hands (hyperhidrosis / sympathectomy)
- Chest wall changes such as rib hump, funnel chest, chicken breast
- Changes in lymph nodes with ineffective punctures
- Other types
Operations
The range of surgical interventions is very wide and depends on the size and aggressiveness of the tumor, the functional reserve of the lungs and the general condition of the patient.Small lung tumors are removed by simple wedge resection or segment resection.
Large tumors require removal of a lobe of the lung (lobectomy) or, less frequently, removal of the entire lung (pneumonectomy). In the case of cancer, the lymph nodes in this area are removed.
These procedures allow simultaneous reconstruction of the chest wall or resection and anastomosis (suture) of the bronchi and / or arteries.
Lung metastases are removed by laser or by wedge resection.
Operations without removal of lung tissue also have a wide range. The thymus and tumors of the mediastinum (the space between the heart and the sternum) can be removed completely. In the case of severe sweating of the hands, the transmission of the nerve impulse is deliberately blocked. With paralysis of the diaphragm, the space for the lungs is increased due to the tightening of the diaphragm with a suture.
Methods used
Today, most lung operations, like many other chest procedures, can be performed in a minimally invasive way using a keyhole technique.For ultra-precise instrument control, video-assisted thoracoscopy (VATS) or the Da Vinci robot-assisted surgical system (RATS) are used. In both cases, the camera and instruments are inserted into the chest between the ribs through 5-10 mm tubes (trocars). With the appropriate experience, the surgeon performs an ultra-precise operation, receiving a high-quality image from the camera. The scars are barely noticeable in the future, and after the operation, the patient practically does not experience pain.
In some cases, such as when removing very large tumors or high-risk surgeries, a larger incision is required along the ribs (thoracotomy) or across the sternum (sternotomy).Even with such a large-scale surgery, the patient usually recovers very quickly.
Interdisciplinary cooperation
Modern thoracic surgery is closely related to other disciplines, which allows to achieve effective treatment results.
- Pulmonology (preoperative examinations, pulmonary function tests and co-treatment)
- Anesthesia (anesthesia and co-treatment in the continuous care unit)
- Oncology
- Radiation oncology (exposure concepts before, after or instead of surgery)
- Radiology (precision imaging for diagnosis and planning of operations, follow-up)
- Cardiology (e.g. preoperative risk assessment)
- physiotherapy
Intensive care
Reanimation and intensive care unit (ICU), or simply an intensive care unit – an inpatient unit designed to provide emergency veterinary care, resuscitation and intensive care of sick animals.
Reanimation is a science that studies the patterns of revitalization of the body in order to develop the most effective methods of prevention and restoration of fading away or just extinct vital functions of the body. The area of scientific interests of resuscitation medicine is critical (terminal) conditions and restoration of vital functions.
Inpatient observation (hospital) is a type of veterinary care, when the animal is under the supervision of a veterinarian around the clock for treatment and in-depth differential diagnosis of diseases.
Veterinarians are on duty around the clock in the intensive care unit of Vysota.
Vital functions are monitored with the help of cardiological monitors (oscillations of electrical impulses are recorded – electrocardiography, electrocardiomonitoring). Respiratory rate, pulse are regularly measured, pressure and temperature are measured, weight is monitored, if necessary, blood and urine are examined.
In healthy animals, daily fluid loss is 40 ml / kg per day.Of these, 50% falls on undetectable losses (salivation, excretion from the body surface, etc.) and 50% – about 20 ml / kg per day is excreted in the form of urine and with feces. Any pathological process accompanied by fluid loss (bleeding, shortness of breath, fever) leads to the loss of a large amount of water. Dynamic equilibrium in such conditions can only be corrected by intravenous fluid administration.
Violations of the electrolyte composition of the blood are very diverse.Symptoms of mental disorders, nervous activity are noted, the cardiovascular, excretory systems suffer, convulsions are observed. Various pathological conditions, accompanied by vomiting, diarrhea, lack of urine, etc., can lead to severe violations of the electrolyte composition of the blood. Acute cardiovascular failure. Fundamentally, the genesis of heart failure is associated with an increase in blood flow to the heart and a decrease in myocardial contractility. This condition is observed with myocardial infarction, toxic or infectious myocarditis, thyrotoxicosis, heart defects, with severe rhythm disturbances, blood loss, etc.
Clinically, cardiovascular failure is distinguished by the left ventricular type (moist wheezing in the lungs, shortness of breath, pulmonary edema) and by the right ventricular type (increased central venous pressure, liver enlargement, ascites, tongue edema, overflow of neck veins). Hypoxia (lack of oxygen in the blood) and acidosis (change in blood pH) cause shortness of breath, tacardia (heart palpitations), and subsequently heart rhythm disturbances.
In chronic cardiovascular insufficiency, cardiac glycosides, diuretics, antiarrhythmic drugs are used, the electrolyte composition of blood plasma is corrected, and ganglion blockers are prescribed.
In case of diagnosis of acute cardiac arrest, it is necessary to immediately resort to artificial ventilation, intracardiac or intravenous administration of adrenaline, which stimulates spontaneous cardiac contractions, increases the amplitude of ventricular fibrillation; atropine, which reduces the tone of the vagus nerve, improves atrioventricular conduction; calcium chloride, which restores the synchrony of excitation and contraction of the myocardium; sodium bicarbonate is necessary to relieve severe acidosis.In the postresuscitation period, intensive therapy should be carried out aimed at oxygenating the body, preventing encephalopathy, treating violations of the water-electrolyte composition of the blood, and improving microcirculation.
Acute respiratory failure is a pathological condition in which the transition of arterial blood to venous blood is not ensured, or this is achieved by the maximum tension of compensatory mechanisms.
Distinguish between impaired pulmonary ventilation (rib fracture, tracheal blockage, ascites, etc.), parenchymal respiratory failure (pneumonia, pulmonary edema, etc.) and mixed acute respiratory failure (lung collapse, atelectasis with tracheal obstruction, etc.)
Clinically acute respiratory failure is manifested, first of all, by a violation of the frequency, rhythm and depth of breathing. With any manifestation of acute respiratory failure, pronounced cyanosis (cyanosis) of the mucous membranes is noted.
Acute pulmonary edema develops with left ventricular heart failure, toxic damage, falling from a height, car injury, burns of the upper respiratory tract with hot air, steam, etc.When diagnosing acute edema of Leshiks, diuretics (lasix, furosemide), dobutamine, domapine, euphyllin are very slowly injected intravenously. If necessary, the administration of diuretics is repeated. Pednisol is administered intravenously or intramuscularly, oxygen therapy is carried out. The lack of effect from conservative therapy is an indication for artificial ventilation of the lungs with a mixture of air with an oxygen content of 70-90% with a respiratory cycle rate of up to 20 per minute. and tidal volume up to? normal.
With bilateral severe pneumonia, the respiratory surface of the lungs is significantly reduced, which causes severe respiratory failure. The basic principles of intensive care are massive antibacterial treatment, the introduction of mucolytic agents, oxygen therapy, vitamin therapy.
Quite often there are cases of both open and closed chest trauma, accompanied by rupture of lung tissue, unilateral and bilateral hemopneumothorax, contusion of the lungs and heart, damage to the rib cage, open pneumothorax, closed tension pneumothorax.
Injuries to the chest are combined with injuries to the abdominal cavity organs, skeleton and are accompanied by severe hemorrhagic and traumatic shock. Such situations require round-the-clock observation and correction of the condition only in a hospital setting.
It is difficult to overestimate the role of the kidneys in the vital functions of the organism.
The excretory function of the kidneys allows maintaining the constancy of the water-electrolyte and acid-base state of the body.
The causes of acute renal failure can be: shock, pancreatitis, peritonitis, intestinal obstruction, syndrome of prolonged compression, poisoning, glomeruloephritis, pyelonephritis, obstruction of the urinary tract (stones, tumors, prostate adenoma).
Diagnosis of water-electrolyte disturbances is difficult and should be based on biochemical blood tests and acid-base state. Correction of metabolic disorders should be comprehensive.Far-reaching violations cannot be eliminated in 2-3 hours. In case of urolithiasis, accompanied by acute urinary retention in cats, for example, such a correction should be carried out for 5-6 hours, and the treatment of metabolic disorders lasts 2-3 days.
All pathological conditions are accompanied by ischemia and hypoxia of tissues and cells. Therefore, it is necessary to improve tissue respiration with the available amounts of oxygen. For this, it is necessary to improve microcirculation and influence the processes of biological oxidation.Energy balance correction is aimed at improving the recovery of energy losses and reducing the formation of toxins. Correction of the acid-base state is a rather difficult task. In case of violations of the acid-base state, the following disorders are noted:
Metabolic acidosis – an increase in the level of non-volatile acids in the body. This is one of the most common conditions in practice associated with the accumulation of under-oxidized metabolic products in tissues due to hypoxia, renal failure and rapid utilization of lipids during fasting and diabetes mellitus, acid poisoning.In the treatment of this condition, the main point is to eliminate the etiological factor, normalize hemodynamics, improve renal blood flow and urine output, and improve tissue oxidative processes. Then alkaline solutions are introduced.
Metabolic alkalosis – increased base levels or loss of acids. It is less common, but it is less amenable to correction. Occurs with loss of gastric juice during vomiting; with the wrong appointment of glucocorticoids and diuretics, with acute liver failure.Correction is carried out by the introduction of a solution of potassium chloride, glucose, isotonic sodium chloride solution, and with moderate alkalosis, this therapy may be sufficient.
Respiratory acidosis – the accumulation of carbon dioxide in the body with the development of hypercapnia.
Respiratory alkalosis – a consequence of hyperventilation and hypocapnia (with apparatus breathing, due to irritation of the respiratory center, with sepsis, encephalitis, cranial injury, high body temperature, etc.)
To correct these conditions, artificial lung ventilation is used, or vice versa, it is stopped.
Hemotransfusion (blood transfusion).
complex of blood transfusion treatment is very important. Hemotransfusion is used with a replacement purpose (transfused erythrocytes are in the recipient’s blood for 30-120 days), a stimulating purpose (affects various functions of the animal’s body), in order to improve hemodynamics (the volume of circulating blood increases, the work of the heart increases, the minute volume of the heart increases, etc.).hemostatic purpose (blood transfusion has a stimulating effect on the recipient’s hemostasis system, causing moderate hypercoagulation due to an increase in the thromboplastic and coagulation function of the blood).
There are 7 blood groups in dogs, and even more in cats. The first transfusion, as a rule, does not cause complications due to the mild antigenic properties of certain factors. However, in some cases, allergic reactions may occur in the form of itching, hives, etc.that can develop immediately (immediate reaction) and after several days (delayed reaction). To avoid these complications, compatibility tests are performed. To do this, add 0.1 ml of donor erythrocytes to 1 ml of the recipient’s serum. The reaction is carried out on glass at a temperature of + 22-25 ° C, accounting after 5 minutes. In the absence of agglutination (gluing of erythrocytes), blood is transfused to the animal. Anxiety of the animal, shortness of breath, tachycardia or arrhythmia, a drop in pressure, vomiting, the manifestation of pain, indicates the incompatibility of the blood transfused.When transfusing blood, it is taken into account that fresh donated blood is the most suitable for transfusion.
During blood transfusion, it is heated in a water bath to a temperature of + 37 ° C (cold blood causes myocardial hypothermia, peripheral vasospasm and acidosis).
Also exists:
blood reinfusion – transfusion of blood poured into the pleural or abdominal cavity (provided that there is no purulent contamination of the outflowing blood, contamination with urine or intestinal contents, bleeding associated with rupture of the uterus, renal failure)
autohemotransfusion – blood transfusion to a sick animal, taken from him in advance.This need arises when a major operation with massive blood loss is expected. Blood is taken from the animal in advance (1-2 weeks before the proposed operation), and then it is transfused during the operation.
Power supply
The question of a more complete replenishment of all energy and plastic needs of the body is violated in any severe condition of the animal. In this case, the body must be provided with proteins, carbohydrates, fats (in a ratio of 1: 2: 4), and salts with vitamins.For this purpose, eggs, milk powder, kefir, cottage cheese, broths are usually used. All these products are administered in small portions (from 5 to 50 ml, depending on the size of the animal) in the form of a warm solution using a syringe or a small syringe. The introduction of nutrient solutions through a gastric tube is possible. Special preparations can be used as nutrient solutions for nutrition: nutrizone, infatrini, nutrini, vaio, etc.
In case of impossibility of enteral nutrition or its insufficiency, resort to additional parenteral nutrition.
Parenteral nutrition
Parenteral nutrition should be complex and, in addition to glucose, should include protein preparations, fat emulsions (lipofundin, lipovenosis, intralipid), electrolyte solutions, carbohydrates (glucose 5-50% solutions), amino acids (aminosteril KE, aminosteril-nephro, aminosteril-hepa ), vitamins (multivamine complexes soluvit, vitalipid), glucocorticoids, hormones, etc. the total volume of transfused fluids in the absence of pathological losses should be 30-40 ml / kg per day.The required quantitative and qualitative composition of fluids for parenteral nutrition is calculated individually.
Antibacterial therapy
was provided with a therapeutic purpose in inflammatory processes in the stage of infiltration, if necessary, to limit the inflammatory process, to prevent infectious postoperative complications.
An ethical issue is also important for the pet owner. Questions arise: how long is it necessary to continue therapy and what is the prognosis for the animal and its owners in the future, how fully can all body functions be restored in the future? Unfortunately, it is impossible to answer these questions unequivocally.In foreign literature, it is noted that if therapy does not give a positive effect or cannot lead to it within 2 weeks, then the treatment is stopped. In any case, the decision is made by the doctor in conjunction with the owners of the animal.
Consultations by phone +7 (495) 320-32-01
Biophysical bases of the effect of lung collapse in tuberculosis Text of a scientific article in the specialty “Clinical Medicine”
BIOPHYSICAL BASES OF THE EFFECT OF LUNG COLLAPSE * IN TUBERCULOSIS
Alexander Fedorovich Kravchenko,
candidate of medical sciences, deputy.Director for Science of the Yakutsk Research Institute of Tuberculosis
The last century was marked by the rapid development of applied sciences as a result of the introduction of the achievements of fundamental scientific research into practice. First of all, this affected the sphere of material production, information technology, communications and everyday life. The medical industry has also made a giant leap forward: computed and magnetic-nuclear tomography, ultrasound scanners, laser and ultrasound scalpels, new equipment with fiber and laser optics have appeared, allowing you to examine almost any part of the human body and manipulate it.
However, biophysical methods of treatment of many diseases, including pulmonary tuberculosis, remained unchanged.
The first attempt at surgical treatment of consumption, a pulmonary form of tuberculosis, was made by the Austrian surgeon F. Sauberbruch in 1888 [1]. He removed from the patient a small part of the ribs near the spine on the side where the disease was observed. At the same time, part of the lung collapsed.The effect of the operation exceeded all expectations. The patient has recovered. Note that at that time nothing was known about general anesthesia, antibiotics, and topographic anatomy was in its infancy, and the idea of the mechanisms of gas exchange in the lungs was vague. You never cease to be amazed at the intuition of this scientist, who laid the foundation for a whole direction in chest surgery.
Chest surgeries are still one of the main types of surgical treatment for tuberculosis and other lung diseases, which will be discussed below.
The function of organs and systems of the human body is adapted to the force of gravity (gravity) and depends on it. The most indicative is the violation and decrease of many functions of the body
A.F. Kravchenko
in people who have been in space for a long time in a state of weightlessness. The effect of gravity has also affected lung function.
The effect of gravity on gas exchange in the lungs was studied by JB West in 1963 [2]. This study gained widespread acceptance and became known as the law of uneven ventilation and blood flow in the lungs. Currently, many diagnostic studies and therapeutic measures are based on it, including collapsosurgical methods of treatment [3, 4]. The essence of the law is that in an upright position, in relation to the performance of gas exchange functions, the lung is divided into three zones: upper, middle and lower.This coincides with the boundaries of the upper, middle and lower lobe of the lung, respectively. When a person lies on his back, the front and back parts are distinguished – in relation to the chest wall. The uneven function of the lungs in different areas is due to the changing ratio of intrapulmonary alveolar pressure (Paly), pressure in the pulmonary artery (Ppa) and pulmonary venous pressure (Ppy) (Fig. 1). The redistribution of lung function by zones has made adjustments to the anatomy of the lungs. The alveoli in the upper zone of the lung turned out to be overstretched, and pulmonary vessels predominate in the lower zone (Fig.2).
In the upper part of the lung, mainly aeration (gas exchange) occurs, while in the lower part, blood flow occurs. The middle part is rather conventional and is called the transition zone. Hence, it becomes quite clear why many infectious and parasitic diseases, including tuberculosis, which are carried into the respiratory tract, are observed in the upper zone of the lungs, and various endogenous and interstitial diseases (pneumonia) appear in their lower part.
* Collapse – collapse of the lung, in which air escapes from the alveoli (lung cells), which can also happen when the lung tissue is squeezed from the outside.
Fig. 1. The mechanism of the influence of gravity on lung function.
All of the above justifies the interest of surgeons involved in the treatment of pulmonary tuberculosis in the upper chest.
Before the era of antibiotics and anesthesiology, thoracoplasty * remained the main treatment for pulmonary tuberculosis [5]. The main mechanism of healing of the area of the lung affected by the tuberculous process in thoracoplasty is the collapse of the lung. The collapse of the lung area leads to its shutdown from the respiratory process, cessation of blood flow, venous stasis, accumulation of lymph, rich in immunocompetent cells. Under these conditions, the causative agent of tuberculosis – the tubercle bacillus (Koch bacterium) – does not receive sufficient nutrition, therefore, the processes of its reproduction stop.Lack of oxygen in a certain area of the lung intensifies the development of fibrous and then scar tissue. Thus, the place where the focus of tuberculous infection raged in the lungs gradually turns into a scar, which is essentially a cure for the inflammatory process (Fig. 3).
The reader may have a completely reasonable question – why does the lung collapse when the ribs are removed? With thoracoplasty, the lung collapses according to physical laws.Normally, there is a slit (pleural) cavity between the lung and the inner wall of the chest. Its peculiarity is that the pressure in it is 50-100 mm of water column less than atmospheric, that is, negative. The air that enters the lungs has positive pressure. Under the influence of negative pressure, the lung in the pleural cavity is distended. When you remove segments of the ribs in this area, the chest wall changes its configuration. It kind of “falls through” inward, changes a certain space in the pleural cavity, while the effect of negative pressure on the lung disappears, and it partially subsides.Dynamic and static stretching is eliminated at the same time
lung tissue.
At the same time, the volume of the collapsed lung area is not always predictable or sufficient for collapse and adhesion of the walls of the tuberculous cavity in the lung.
We have developed a new method of forced lung collapse with thoracoplasty [6].Its essence is that after completing the stage of removing the ribs, the apex of the lung, in which pathological tuberculous changes are observed, is reduced to a certain level by various technical surgical techniques, and then a pre-prepared mesh made of surgical suture material is applied to the lung (Fig. 4). The mesh itself is fixed at the underlying edges of the ribs. The effect of using the mesh is to fix the lung in a collapsed (collapsed) state. The period of resorption of the mesh suture material is 2-3 months.
For the developed method of surgical treatment
Fig. 2. Influence of gravity on the anatomical structure of the lungs: A – the upper zone of the lung, B – the lower zone.
‘Thoracoplasty – an operation consisting in the removal of the rib cage of the chest over the zone of development of the tuberculous process in the lungs.
Fig.3. Stages of healing of the lung cavity under the collapse: A – infiltration and formation of a tuberculous cavity; B – healing of the cavity of the lung under
by the influence of the collapse of the lung.
of pulmonary tuberculosis, we received the RF Patent [7]. With treatment, it was found that forced collapse in a comparative study of the effectiveness of a standard lung increases the efficiency of the operation by 11.3%. thoracoplasty and new collapse surgical method –
Literature
1.Sauerbruch F. Die Chirurgie des Brustorgane // Leipzig. -1930. – Vol. 1.-P.2.
2. West J. B. Distribition of gas and blood in normal lungs // Brit. Med. Bull. -1963. – Vol. 19.-P. 53-57.
3. Grippi M. A., Metzger L. F., Fishman A. P. Pulmonary function teting. New York: McGraw-Hill, 1988.-P. 2469-2521.
4. West J. B., Wagner P.D. Ventilation -perfusion relationships // The Lungs: Scientific Foundations. – New York: Raven Press, 1991. – Vol. 2.-P. 1289-1305.
5. Gilman AG Thoracoplasty in the treatment of pulmonary tuberculosis. – M .: Medgiz, 1947.-211 p.
6. Kravchenko AF, Ivanov Yu. S., Shamaev VE A new method of extrapleural plastic apex of the lung in destructive tuberculosis // Surgical treatment of tuberculosis and other lung diseases.Materials scientific, -practice. conf. – Chelyabinsk, 2001 .– S. 29 -31.
7. Kravchenko AF, Ivanov Yu. S., Gotovtseva AI, Byutyaeva NS Method of surgical treatment of pulmonary tuberculosis. Patent No. 2207055 // Inventions. Utility models. – 2003. – No. 18. -S. 744.
Fig. 4. Forced collapse of the lung and its fixation
mesh.
.

