Endocervical cell present. Decoding Pap Smear Results: Understanding Endocervical and Squamous Metaplastic Cells
What do endocervical cells present mean on a Pap smear. How are squamous metaplastic cells interpreted in Pap test results. Why might a doctor recommend further testing after a Pap smear. What is the significance of atypical squamous cells in a Pap test.
The Basics of Pap Smear Cell Types
A Pap smear is a crucial screening tool for cervical health. Understanding the various cell types found in Pap smear results can help alleviate concerns and provide insight into your cervical health status. Two common cell types often mentioned in Pap smear reports are endocervical cells and squamous metaplastic cells.
Endocervical Cells: What Are They?
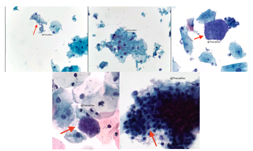
Endocervical cells are mucus-producing glandular cells located within the inner cervix (endocervix). Their presence in a Pap smear sample is generally a good sign, indicating that the test has successfully sampled cells from the endocervix. This is important because many cervical abnormalities originate in this area.

Squamous Metaplastic Cells: Normal or Concerning?
Squamous metaplastic cells are cells that are in the process of changing from one cell type to another. In the context of the cervix, these cells are often found in the transformation zone, where columnar cells are changing into squamous cells. The presence of these cells is usually a normal finding and indicates that the cervix is undergoing its natural renewal process.
Interpreting Pap Smear Results: Common Phrases and Their Meanings
Pap smear reports often contain medical terminology that can be confusing for patients. Here’s a breakdown of some common phrases you might encounter:
- “Endocervical cells present”: This indicates that cells from the inner cervix were successfully sampled.
- “Squamous metaplastic cells present”: This suggests that normal cell changes are occurring in the cervix.
- “Negative for intraepithelial lesions or malignancy (NILM)”: This is a reassuring result indicating no signs of precancerous or cancerous changes.
- “Atypical squamous cells of undetermined significance (ASC-US)”: This finding may warrant further investigation, as it indicates the presence of abnormal cells whose significance is unclear.
The Significance of Endocervical Cells in Pap Smears
The presence of endocervical cells in a Pap smear is generally viewed positively. But why are these cells so important? Endocervical cells serve as a marker that the sample was taken from the correct area of the cervix, including the transformation zone where most cervical abnormalities begin.

When Endocervical Cells Are Absent
If your Pap smear report states “endocervical cells absent,” it doesn’t necessarily indicate a problem. However, it might mean that the sample didn’t include cells from the endocervix. In some cases, your healthcare provider might recommend repeating the test to ensure a comprehensive sampling.
Squamous Metaplastic Cells: A Sign of Normal Cervical Changes
The term “squamous metaplastic cells” on a Pap smear report often raises questions. These cells are actually a normal part of cervical health and renewal. They represent the process of metaplasia, where one type of cell transforms into another type better suited to its environment.
The Role of Squamous Metaplasia in Cervical Health
Squamous metaplasia is a natural process that occurs in the cervix, particularly in the transformation zone. This zone is where the columnar cells of the endocervix meet the squamous cells of the ectocervix. The presence of squamous metaplastic cells indicates that this normal transformation is taking place.

When Further Testing May Be Recommended
While the presence of endocervical and squamous metaplastic cells is usually normal, there are instances where your healthcare provider might recommend additional testing. Understanding these scenarios can help you prepare for potential next steps.
Atypical Squamous Cells of Undetermined Significance (ASC-US)
If your Pap smear results show ASC-US, it means that abnormal squamous cells were found, but their significance is unclear. This finding doesn’t necessarily indicate cancer, but it may warrant further investigation. Your doctor might recommend:
- Repeat Pap smear in 6-12 months
- HPV testing
- Colposcopy for a closer examination of the cervix
Squamous Intraepithelial Lesions (SIL)
SIL indicates more significant changes in the squamous cells. These are classified as low-grade (LSIL) or high-grade (HSIL), reflecting the risk of developing into cancer. HSIL typically requires further examination through colposcopy and possibly biopsy.
Understanding Colposcopy: A Closer Look at Cervical Cells
Colposcopy is a procedure that allows for a detailed examination of the cervix. It’s often recommended when Pap smear results are abnormal or inconclusive. During a colposcopy, your doctor uses a special microscope called a colposcope to examine your cervix under magnification.

What Happens During a Colposcopy?
A colposcopy procedure typically involves the following steps:
- The cervix is exposed using a speculum, similar to a Pap smear.
- A solution may be applied to the cervix to highlight any abnormal areas.
- The colposcope is used to examine the cervix under magnification.
- If abnormal areas are identified, small tissue samples (biopsies) may be taken for further analysis.
Cervical Cancer Types: Understanding the Risks
While the presence of endocervical and squamous metaplastic cells is usually benign, it’s important to understand the types of cervical cancer that can develop. The two most common types are:
Squamous Cell Carcinoma
This type of cervical cancer develops from the squamous cells that cover the outer surface of the cervix. It’s the most common form of cervical cancer, accounting for about 80-90% of cases.
Adenocarcinoma
Adenocarcinoma develops from the glandular cells in the endocervix. While less common than squamous cell carcinoma, its incidence has been increasing in recent years, particularly among younger women.

Promoting Cervical Health: Beyond Pap Smears
While regular Pap smears are crucial for early detection of cervical abnormalities, there are other steps you can take to promote cervical health:
- HPV vaccination: The HPV vaccine can protect against the most common cancer-causing strains of HPV.
- Safe sex practices: Using barrier methods of protection can reduce the risk of HPV transmission.
- Regular check-ups: Even if you’ve had the HPV vaccine, regular cervical cancer screenings are still important.
- Healthy lifestyle: A balanced diet, regular exercise, and avoiding smoking can support overall health, including cervical health.
Understanding your Pap smear results, including the presence of endocervical and squamous metaplastic cells, is an important part of managing your cervical health. While these findings are usually normal, any concerns or questions should be discussed with your healthcare provider. Regular screenings and open communication with your doctor are key to maintaining optimal cervical health and catching any potential issues early.

Navigating Abnormal Pap Smear Results: Next Steps and Considerations
Receiving an abnormal Pap smear result can be concerning, but it’s important to remember that abnormal results are common and don’t necessarily indicate cancer. Understanding the potential next steps can help alleviate anxiety and prepare you for follow-up care.
Repeat Pap Smear
In some cases, especially with mild abnormalities like ASC-US, your doctor may recommend repeating the Pap smear in 6-12 months. This allows time to see if the abnormal cells clear on their own, which often happens.
HPV Testing
HPV testing may be done along with or after an abnormal Pap smear. This test checks for the presence of high-risk HPV types that are most likely to cause cervical cancer. A negative HPV test can be reassuring, even in the presence of mildly abnormal cells.
Colposcopy and Biopsy
For more significant abnormalities or persistent mild abnormalities, a colposcopy may be recommended. During this procedure, your doctor may take small biopsies of any suspicious areas for further examination.

The Role of HPV in Cervical Health
Human Papillomavirus (HPV) plays a significant role in cervical health and is closely linked to cervical cancer development. Understanding this connection can provide valuable context for interpreting Pap smear results and making informed decisions about prevention and screening.
HPV and Cervical Cancer
HPV is the primary cause of cervical cancer. However, it’s important to note that most HPV infections clear on their own without causing any problems. Only persistent infections with high-risk HPV types can lead to cervical cancer over time.
HPV Vaccination
The HPV vaccine is a powerful tool in preventing cervical cancer. It protects against the most common high-risk HPV types responsible for cervical cancer. Vaccination is recommended for both girls and boys, ideally before they become sexually active.
Emotional Aspects of Abnormal Pap Smear Results
Receiving abnormal Pap smear results can be emotionally challenging. It’s normal to feel anxious, scared, or overwhelmed. Here are some strategies to cope with these emotions:

- Seek information: Understanding what your results mean can help reduce anxiety.
- Communicate with your healthcare provider: Don’t hesitate to ask questions or express concerns.
- Seek support: Talk to trusted friends or family members, or consider joining a support group.
- Practice self-care: Engage in activities that help you relax and maintain overall well-being.
Remember, abnormal results are common, and most do not progress to cancer, especially when monitored and treated appropriately.
Cervical Health Across the Lifespan
Cervical health needs change throughout a woman’s life. Understanding these changes can help you better interpret Pap smear results and make informed decisions about your healthcare.
Adolescence and Young Adulthood
Cervical cancer screening typically begins at age 21. In young women, minor abnormalities on Pap smears are common and often resolve on their own as the immune system clears HPV infections.
Reproductive Years
During the reproductive years, regular screening is crucial. Pregnancy can affect Pap smear results, so it’s important to inform your healthcare provider if you’re pregnant when scheduling or undergoing a Pap smear.

Perimenopause and Menopause
As women approach and enter menopause, hormonal changes can affect the cervix. “Atrophic changes” may be noted on Pap smears, which are normal age-related changes. However, regular screening remains important, as the risk of cervical cancer doesn’t disappear with age.
Advances in Cervical Cancer Screening and Prevention
Cervical cancer screening and prevention have seen significant advancements in recent years. Staying informed about these developments can help you make the best decisions for your cervical health.
HPV Primary Screening
Some healthcare systems are moving towards HPV primary screening, where HPV testing is used as the main screening method, with Pap smears used as a follow-up for positive HPV results. This approach can be more effective at identifying women at risk for cervical cancer.
Self-Sampling for HPV
Self-sampling for HPV is being explored as a way to increase screening accessibility. This method allows women to collect their own samples at home, which can then be sent to a lab for HPV testing.

Artificial Intelligence in Cytology
AI technologies are being developed to assist in analyzing Pap smear samples. These tools have the potential to improve the accuracy and efficiency of cervical cancer screening.
In conclusion, understanding the various cell types and findings in Pap smear results, including endocervical and squamous metaplastic cells, is crucial for maintaining cervical health. While abnormal results can be concerning, they often do not indicate cancer and can be effectively managed with appropriate follow-up care. Regular screening, open communication with healthcare providers, and adoption of preventive measures like HPV vaccination are key components of a comprehensive approach to cervical health. As screening technologies continue to advance, staying informed and engaged in your healthcare can help ensure the best outcomes for your cervical and overall health.
Endocervical and Squamous Metaplastic Cells on a Pap Smear
Seeing squamous metaplastic or endocervical cells on your Pap smear test results may raise some questions and concerns. However, the presence of these cells isn’t usually a cause for concern.
The phrase “endocervical cells present” simply means that your doctor sampled cells from the inside of your cervix during the Pap smear. The phrase “squamous metaplastic cells present” means that the pathologist who examined your Pap smear found cells that were growing and repairing themselves regularly.
In this article, we take a look at squamous and endocervical cells and what they mean on a Pap smear test result. We also decode the meaning of other terms that may show up on a Pap test. Read on.
Squamous cells are types of cells found in various tissues throughout your body, including:
- your skin
- the outer surface of the cervix (ectocervix)
- the linings of your organs
When changes occur within these thin, flat-shaped cells, they may be described as metaplastic.
Most cancers of the cervix and vagina are squamous cell carcinomas. However, the presence of squamous metaplastic cells in your Pap test results doesn’t automatically mean cancer. It just means that these cells were sampled during the Pap smear and that the pathologist who examined them found them to be growing in a standard manner.
Atypical squamous cells of undetermined significance (ASC-US)
If the pathologist finds atypical squamous cells of undetermined significance (ASC-US), this usually means that the pathologist has found irregular cells and could not determine why they were irregular.
This could mean that you have an HPV infection, in which case your doctor will need to conduct further testing for HPV to confirm. The irregular cells could also be due to other inflammatory or noncancerous changes of the cervix that will likely resolve on their own.
Squamous intraepithelial lesions (SIL)
Squamous cells that may be precancerous or more likely to turn into cancer are described on a Pap test result as squamous intraepithelial lesions (SIL).
These may be further classified as low-grade (LSIL) or high-grade (HSIL), indicating a low to high risk of cancer development.
In the case of HSIL, your doctor may recommend further examination of these cells using a colposcopy.
A colposcopy allows a doctor to examine your cervix under magnification using a colposcope, which is a microscope with a bright light. They can also take tissue samples of irregular cells that can be sent to a lab for further examination by a pathologist.
Endocervical cells are mucus-producing glandular cells located within the inner cervix (endocervix). During a Pap smear, your doctor or nurse may take a sample of these cells, but not always.
If your Pap smear results doshow that endocervical cells are present, it means that your test included cells from your endocervix as part of the sample examined under a microscope. It’s standard to have endocervical cells, and their presence does not indicate cancer or precancer.
However, if cancer cells are detected in the endocervix, your Pap smear may indicate some form of carcinoma.
Adenocarcinoma or squamous cell carcinoma are the two most common cell types for cancers of the cervix.
Your doctor will most likely recommend a colposcopy to examine these areas in more detail and gather tissue samples.
While your Pap smear results may indicate a standard result, it can be concerning to see codes and phrases and not know their meaning. If your doctor recommends further testing, it’s helpful to understand what your Pap test results show so that you can have an informed discussion with your doctor.
Below is a breakdown to help you decode common phrases you may see on both a standard and irregular Pap test result:
Phrases associated with standard results
| Phrase | What it means |
| endocervical cells present | a healthcare professional sampled some of the mucus-producing glandular cells located within your inner cervix and found no irregularities |
| endocervical cells absent | no endocervical cells were collected during your Pap smear |
| endometrial cells present | cells from your endometrium were collected during your Pap smear |
| squamous metaplastic cells present | changes within cervical squamous cells were seen but without any concerning irregularities |
| negative for intraepithelial lesions or malignancy (NILM) | no signs of malignancy or lesions were noted |
| acute inflammation | this may indicate the presence of white blood cells in your sample |
| transformation zone component absent/present | this indicates whether cells were collected within the cervical canal |
| atrophic changes | your cervix may be exhibiting signs of menopause |
Phrases that may mean you need further testing
| Phrase | What it means |
| atypical squamous cells of uncertain significance (ASC-US) | changes within squamous cells on the outside of your cervix that may indicate an HPV infection or be due to other inflammatory or noncancerous changes of the cervix that will likely resolve on their own |
| low-grade squamous intraepithelial lesion (LSIL) | indicates lower-risk cervical cell changes |
| high-grade squamous intraepithelial lesion (HSIL) | cervical cell changes are present and may be at a higher risk of turning into cancer |
| atypical squamous cells (ASC-H) | changes were found within the squamous cells of your cervix, and you may also have HSIL |
| atypical glandular cells (AGC) | changes within the glandular cells of the endocervix exhibit possible signs of precancer or cancer |
| endocervical adenocarcinoma | indicates cancerous cells of the endocervix |
| endometrial/extrauterine adenocarcinoma | presence of cancerous cells in the endometrium, ovaries, or fallopian tubes |
| adenocarcinoma, unspecified | cancer cells of an unknown site of origin |
If your Pap smear results are standard, you do not need to take any further action.
Unless told otherwise by your doctor, you may stick to your regular Pap testing schedule.
On the other hand, if any irregularities are found, your doctor will likely order further testing. According to the American Cancer Society, next steps could include:
- a physical exam
- blood testing
- a follow-up Pap test in 1 year
- HPV testing
- colposcopy to examine the cervix, especially if your HPV test is positive
- cervical biopsies, which consist of tissue samples taken directly from the cervix for further lab testing
How often should you have a Pap smear?
The general guidelines for Pap smears are as follows:
- Ages 21 to 29. Every 3 years.
- Ages 30 to 64. Every 3 years or a combination of Pap and HPV testing every 5 years.
- Age 65 and older. Your doctor may recommend that you stop having regular Pap smears if you have never had an irregular result and have had at least two negative tests in a row.

If you’ve recently had an irregular Pap smear or are considered to be at high risk for cervical cancer, your doctor may recommend more frequent testing.
You should also still see your OB-GYN annually. Pap smear guidelines change often, and your doctor can let you know if and when you need a Pap smear or other gynecological testing.
Was this helpful?
When it comes to reporting Pap smear test results, most medical professionals will either tell you that your results were standard or that you may need to undergo further testing to confirm possible irregularities.
It’s important to discuss any concerns about your Pap smear results with your doctor. Also follow any next steps, including further testing recommendations.
Cervical cancer screenings are designed to detect possible precancer and cancerous cells for the earliest possible treatment.
Endocervical Cells and Pap Test
Every time I go for my yearly Pap smear exam, my cytology report comes back saying “no endocervical cells present.
” My ob-gyn says this is not unusual after menopause. I keep thinking if they are not looking at cervical cells, then what good is the Pap test for me? I could have cervical cancer and it would not be detected. What is your thought on this dilemma, and what can I do about it?
A Pap smear involves lightly scraping the surface of the cervix to collect cells. A pathologist then examines a Pap smear under a microscope, looking for two types of cervical cells: squamous cells, which are typically found in the outer surface of the cervix, and columnar endocervical cells, which come from the lining of the narrow opening in the cervix leading to the inside of the uterus (the endocervical canal).
Pathologists report on the appearance of both types of cells, and they report if no endocervical cells are seen, as in your case. Your ob-gyn is correct that this is not unusual in a woman who has gone through menopause. The reason is that after menopause, the cervix may be less pliable and the transformation zone (the section of the endocervical canal where squamous cells begin to change to columnar cells) moves higher up the cervical canal, making it more difficult to routinely obtain endocervical cells.
However, in a premenopausal woman, the transformation zone is fairly close to the opening of the cervix, allowing the smear to capture both types of cells easily.
It will probably be reassuring to you to know that all the Pap smears that you have had did indeed look at the surface cells of the cervix, so the test has still been useful. Women whose Pap smears show no endocervical component but who have had otherwise normal results and are not seeing abnormal bleeding or other symptoms generally do not need another Pap smear performed until the next annual examination.
At your next yearly exam, you could discuss with your ob-gyn your concern about prior Pap smears lacking an endocervical component. He or she may be able to make a special effort to reach the endocervical canal with the Pap instrument. Sometimes, if it is difficult to reach the cervical canal, a small brush can be inserted into the canal to obtain the endocervical component.
Learn more in the Everyday Health Cancer Center.
How to Navigate Cancer Care if You’re LGBTQ+
Discrimination and barriers to cancer care for LGBTQ+ people can add to the stress of coping with cancer. Learn ways you can advocate for yourself and…
By Sarah Prager
Grieving for My Uterus
Breast cancer didn’t just take my breasts, it took my uterus, too.
By Asha Miller
Disparities in Cancer Care: Do You Know the Facts?
Black Americans face many biases in cancer care and treatment. Take this quiz to see how much you know about these healthcare disparities.
By Erica Patino
Spotlight On: Trials of Color
Trials of Color aims to educate the Black community on the importance of clinical trials in breast and colorectal cancer.
By Leona Vaughn
Cytological examination with Leishman’s stain (with a description of the cytogram), 2 slides, Papanicolaou’s stain hand over in Moscow
PAP test, or cytological examination of smears from exo- and endocervix by the Papanicolaou method, is a screening method for diagnosing cervical pathology.
This type of cytological examination is recommended by most communities and is included in modern clinical guidelines. For the purposes of this analysis, PAP test is carried out by the classical method, namely the material is applied to the glass. Smears are taken by a doctor using special endobrushes (cytobrushes) for isolated smears from the surface of the cervix (exocervix) and from the cervical canal. Smears are applied to glass, which will later be sent to cytologists to evaluate the material obtained. The Papanicolaou method is the most accurate examination of exo- and endocervix cells. Unlike other methods, several complex stains are used to better stain the cytoplasm and nuclei. The smear is also fixed with 96% alcohol. This technique reduces the number of errors made due to insufficient preparation of the material directly for the study, and also allows cytologists to evaluate the most stained material. The description of the cytogram is always detailed, and the conclusion is according to the existing classification of Bethesda.
Smear quality assessment:
The material is complete, contains cells of flat and cylindrical epithelium in sufficient quantity.
Unsatisfactory for assessment (uninformative) material, Poor number of cells or their absence.
Cytogram within normal limits (NILM):
Contains cells of the superficial and intermediate layers of stratified squamous epithelium, metaplastic epithelium cells, leukocytes, cylindrical epithelium cells, endometrial epithelial cells.
Metaplasia (normal), squamous metaplastic epithelium cells indicate that the material was taken from the transformation zone.
Reactive changes:
Cytogram of inflammation, degenerative and reactive cell changes, inflammatory atypia, squamous metaplasia, hyperkeratosis, parakeratosis, koilocytosis and other signs of viral damage.
Atrophy, cells of basal and parabasal types – small cells with a hyperchromic nucleus and poor cytoplasm.
They can often be misinterpreted as cells with atypia, giving a false positive cytology result.
Pathological changes in the epithelium:
ASCUS (atypical squmous cells of undetermined significance) Changes that are difficult to differentiate between reactive epithelial changes and dysplasia. In ASCUS, cells are detected that are difficult to interpret – cells with dyskaryosis, enlarged and hyperchromic nuclei. Dynamic observation and additional examination is recommended, namely, repeated cytological examination after 6 months and HPV testing. In case of confirmation of ASCUS and the presence of human papillomavirus of high oncogenic risk, a colposcopy is performed. Studies show that 20% of women with ASC have dysplasia after a more thorough examination.
Precancerous changes:
LSIL (CIN I), a mild intraepithelial lesion involving human papillomavirus infection. Surveillance without active therapy is recommended. In most women, LSIL regresses on its own within a few years.
All changes with low malignant potential are grouped into this group, since the cytologist often cannot distinguish between changes in HPV infection and CIN 1.
HSIL (CIN II-III), moderate to severe intraepithelial lesion. It is recommended to remove all affected tissues by the method (conization) with subsequent morphological examination. This group includes all changes with a high malignant potential.
AGC (atypical glandular cells), Atypical cells of the columnar epithelium. Curettage of the cervical canal for histological examination is recommended.
Tumor changes:
Squamous cell carcinoma, a malignant tumor of the squamous epithelium.
Glandular cancer, a malignant tumor of the glandular epithelium of the endocervical type.
Endometrial cancer, a malignant tumor that develops from the lining of the uterus and grows into the cervical canal.
Cytological examination of smears (scrapings) from the surface of the cervix (external uterine os) and cervical canal
Cytological examination using a special material staining method.
Allows with high sensitivity to detect atypical cells in a smear and diagnose early precancerous changes in the epithelium and cervical cancer.
Russian synonyms
Papanicolaou smear, Pap test, smear for oncocytology.
Synonyms English
Pap smear, Papanicolaou Smear; Cervical Smear; Cervical Oncocytology.
Research method
Cytological method.
What biomaterial can be used for research?
Mixed swab from the cervical canal and the surface of the cervix.
General information about the study
Cervical cancer (CC) is the 3rd most common malignant tumor in women (after breast cancer and colon cancer). The incidence of invasive cervical cancer in the world is 15-25 per 100,000 women. Neoplasms of the cervix occur mainly in middle-aged women (35-55 years), are rarely diagnosed under 20 years of age and in 20% of cases are detected over the age of 65 years.
The 5-year survival rate for localized (local, in situ) cervical cancer is 88%, while the survival rate for advanced cancer does not exceed 13%.
Risk factors for developing cervical cancer include human papillomavirus infection (oncogenic serotypes HPV16, HPV18, HPV31, HPV33, HPV45, etc.), smoking, chlamydial or herpetic infection, chronic inflammatory gynecological diseases, long-term use of contraceptives, repeated births , cases of cervical cancer in the family, early onset of sexual activity, frequent change of sexual partners, insufficient dietary intake of vitamins A and C, immunodeficiencies and HIV infection.
According to international recommendations, all women should be screened (presymptomatic examination) for cervical cancer 3 years after the onset of sexual activity, but no later than 21 years. Starting at age 30, patients who have had 3 consecutive negative cervical smear results may be screened every 2-3 years. Women with risk factors (human papillomavirus infection, immunocompromised conditions) should continue annual screening.
Women 65 years of age or older with 3 or more normal cervical smear results in the last 10 years may not be screened. For those who have recovered from cervical cancer, who have a papillomavirus infection or who have a weakened immune system, it is advisable to continue screening. Women who have had their uterus and cervix removed may not have this test if the operation was not due to cancer or a pre-cancerous condition of the cervix. Those who have had uterine-only surgery without cervical removal should continue to participate in screening.
Cytological examination of the material from the cervix and external uterine os, stained according to the Papanicolaou method in compliance with the test methodology and conditions for preparing for analysis, allows with high sensitivity and reliability to identify atypical cells in the material, precancerous conditions (dysplasia, intraepithelial neoplasia of the cervix) . Most often, the biomaterial obtained using a special cytobrush from two points (epithelium of the endocervix and exocervix) and fixed on a glass slide is examined 96% alcohol.
Material from the transformation zone should get into the smear, since about 90% of neoplastic conditions come from the junction zone of the squamous and columnar epithelium, and only 10% from the columnar. In this study, signs of the presence of infection, pathology of the endocervix and endometrium can also be detected.
Screening and early diagnosis of precancerous conditions and early stages of cervical cancer allows for timely effective treatment and prevention of dangerous consequences.
What is research used for?
- For screening and diagnosis of cervical precancerous lesions.
- For screening and diagnosis of cervical cancer.
When is the test scheduled?
- When periodically examining girls and women 3 years after the onset of sexual activity, but no later than 21 years (it is recommended to take an analysis annually and at least every 3 years).
- Every 2-3 years from age 30 to age 65 with three consecutive negative results.

- Annually in the presence of human papillomavirus (HPV), immune system weakened by transplantation, chemotherapy, or long-term use of steroid hormones.
What do the results mean? ” The 2001 Bethesda System termin ology ”
1. Material quantity
- Complete material (adequate) – a good quality smear containing a sufficient amount of the relevant cell types is considered a complete material.
- The material is insufficiently complete (insufficiently adequate) – there are no endocervix cells and / or metaplastic cells in the material, squamous epithelial cells are in sufficient quantity, or the cellular composition is poor.
- Defective (inadequate) material – it is impossible to judge the presence or absence of pathological changes in the cervix from the material.
2. Interpretation of results
- Negative Pap test – epithelial cells within normal limits, cytogram corresponds to age, normal.

- Benign changes – the presence of non-tumor cells, signs of inflammation (increased number of leukocytes), infection (a significant number of cocci, rods). It is possible to detect infectious agents (indicating the pathogen), for example Trichomonas, yeast.
- Changes in squamous epithelial cells (require increased attention, additional examination and treatment if precancer or cancer is detected):
- Atypical squamous cells undertermined significance (ASC-US)
- Atypical squamous cells cannot exclude (HSIL ASC-H)
- Squamous intraepithelial lesion (SIL)
- Low grade squamous intraepithelial lesion (LSIL)
- High grade squamous intraepithelial lesion (HSIL)
- Cervical intraepithelial neoplasia grade 1, 2 or 3, CIN 1, 2, or 3
- Carcinoma in situ (CIS)
- Squamous cell carcinoma – invasive cancer
- Changes in glandular cells (require increased attention, additional examination and treatment if precancer or cancer is detected):
- Atypical glandular cells (AGC)
- Atypical glandular cells, favor neoplastic, AGC, favor neoplastic
- Adenocarcinoma
Testing for oncogenic human papillomavirus serotypes is recommended if minimal changes or atypical cells of unclear significance are detected.
What can influence the result?
False-positive results are possible in girls younger than 20 years due to the presence of changes in the epithelium against the background of transient hormonal disorders.
Important notes
- In acute infection, it is desirable to obtain material for examination and identification of the etiological agent; after treatment, but not earlier than 2 months later, cytological control is necessary.
- There is a possibility of a negative test result with changes in the epithelium in the cervix, so it is important to undergo regular re-examinations.
Also recommended
- Cytological examination of smears (scrapings) from the surface of the cervix (external uterine os) and cervical canal for atypia
- Squamous cell carcinoma antigen (SCCA)
- Human Papillomavirus of high carcinogenic risk (types 16, 18, 31, 33, 35, 39, 45, 51, 52, 56, 58, 59), DNA genotyping [real-time PCR]
- Human Papillomavirus high carcinogenic risk (16, 18, 31, 33, 35, 39, 45, 51, 52, 56, 58, 59 types), DNA quantitation, no typing [real-time PCR]
Who orders the examination?
Gynecologist, oncologist.



