Fractured collarbone surgery. Clavicle Fracture Surgery: Types, Recovery, and Pain Management
How is a fractured collarbone surgically repaired. What are the types of surgery for clavicle fractures. How long does it take to recover from collarbone surgery. How can post-surgical pain be managed after clavicle fracture repair.
Understanding Clavicle Fractures and Surgical Intervention
The clavicle, commonly known as the collarbone, is a long, thin bone connecting the shoulder blade to the rib cage. While many clavicle fractures can heal without surgery, certain circumstances may necessitate surgical intervention. Displaced bone fragments or patient-specific factors often influence the decision to pursue surgical treatment.
Recent studies have challenged the conventional wisdom that clavicle fractures always heal properly without surgery. A 2017 study involving over 600 patients found that surgery can reduce the risk of non-union (failure of bone fragments to heal together). However, both surgical and non-surgical patients demonstrated similar shoulder strength and range of movement post-healing.

Another study examining more than 400 patients concluded that surgery could shorten healing time, potentially allowing athletes to return to play sooner. This research also observed better and more complete healing in surgical patients, although long-term shoulder strength and range of motion showed only marginal improvements compared to non-surgical cases.
Types of Surgery for Clavicle Fracture Repair
When surgery is deemed necessary for a clavicle fracture, two primary options are available:
- Plate fixation
- Intramedullary fixation
Plate fixation involves attaching a plate with screws to the outside of the bone, while intramedullary fixation requires inserting a long pin into the bone’s center. Each method has its own set of advantages and drawbacks.
Plate Fixation
Plate fixation is a common surgical approach for clavicle fractures. Does plate fixation require hardware removal? In most cases, the hardware is left in place permanently. However, some patients may experience irritation from seatbelts or backpack straps due to the clavicle’s proximity to the skin’s surface. Research indicates that approximately 10% to 15% of plate fixation patients opt for hardware removal, with women being more likely to undergo this procedure.

Intramedullary Fixation
Intramedullary fixation typically involves a smaller incision and causes less disturbance to surrounding soft tissues. Is a second surgery required for intramedullary fixation? In some cases, yes. This method may necessitate a second surgery to remove the hardware, which is an important consideration for patients and surgeons when choosing the most appropriate surgical approach.
Post-Surgical Pain Management Strategies
Managing pain effectively after clavicle fracture surgery is crucial for patient comfort and recovery. Several strategies can be employed to alleviate post-surgical pain:
- Peripheral nerve blocks
- Prescribed opioid medications
- Non-steroidal anti-inflammatory drugs (NSAIDs)
- Cold therapy
- Proper positioning during sleep
Peripheral nerve blocks can be administered by an anesthesiologist to numb the surgical area. These blocks may be used in conjunction with general anesthesia and can provide pain relief for a short time after the patient regains consciousness.

Are opioids necessary for pain management after clavicle surgery? While not always required, short-term use of prescribed opioid pain medication may be recommended. It is crucial to follow the physician’s instructions carefully when taking opioids. Once the patient no longer requires opioids, NSAIDs such as ibuprofen or naproxen can be used to manage pain and inflammation.
Rehabilitation and Recovery Process
The recovery timeline following clavicle fracture surgery can vary depending on individual factors and the specific surgical procedure performed. Patients typically experience a gradual improvement in function and reduction in pain over several weeks to months.
How long does it take to regain full shoulder function after clavicle surgery? While initial recovery may take 6-8 weeks, full recovery and return to high-impact activities can take 3-6 months or longer. A structured rehabilitation program is essential for optimal recovery and may include:
- Progressive range of motion exercises
- Strength training
- Scapular stabilization exercises
- Gradual return to sport-specific activities
Physical therapy plays a crucial role in the rehabilitation process, helping patients regain strength, flexibility, and proper shoulder mechanics. Is physical therapy always necessary after clavicle fracture surgery? While not always mandatory, most surgeons recommend a course of physical therapy to ensure optimal recovery and minimize the risk of complications.

Potential Complications and Long-Term Outcomes
As with any surgical procedure, clavicle fracture repair carries certain risks and potential complications. These may include:
- Infection
- Hardware failure or irritation
- Nonunion or malunion of the fracture
- Nerve or blood vessel injury
- Persistent pain or stiffness
Can complications occur long after clavicle fracture surgery? While most complications manifest in the immediate post-operative period, some issues, such as hardware irritation or delayed union, may become apparent months or even years after the initial surgery.
Long-term outcomes following clavicle fracture surgery are generally favorable, with most patients regaining full shoulder function and returning to their pre-injury level of activity. However, individual results may vary, and some patients may experience persistent symptoms or limitations.
Advances in Clavicle Fracture Treatment
The field of orthopedic surgery continues to evolve, with ongoing research aimed at improving outcomes for patients with clavicle fractures. Some recent developments include:

- Minimally invasive surgical techniques
- Biodegradable implants
- Computer-assisted surgical planning
- Advanced imaging modalities for fracture assessment
Are there non-surgical alternatives for treating clavicle fractures? While surgery remains the gold standard for certain types of clavicle fractures, researchers are exploring alternative treatments such as ultrasound-guided fracture reduction and novel bracing techniques for less severe fractures.
Patient-Specific Considerations in Clavicle Fracture Treatment
The decision to pursue surgical or non-surgical treatment for a clavicle fracture should be tailored to each patient’s individual circumstances. Factors that may influence this decision include:
- Age and overall health
- Occupation and activity level
- Fracture pattern and displacement
- Presence of associated injuries
- Patient preferences and goals
Should all athletes undergo surgery for clavicle fractures? While surgery may allow for a faster return to play in some cases, the decision should be made on a case-by-case basis, considering the specific sport, level of competition, and individual factors.

Older adults with clavicle fractures may require special consideration due to potential comorbidities and reduced bone quality. Is surgery safe for elderly patients with clavicle fractures? With proper patient selection and perioperative management, many older adults can safely undergo clavicle fracture surgery and achieve good outcomes.
The Role of Imaging in Clavicle Fracture Management
Accurate diagnosis and treatment planning for clavicle fractures rely heavily on imaging studies. Various imaging modalities may be employed, including:
- Plain radiographs (X-rays)
- Computed tomography (CT) scans
- Magnetic resonance imaging (MRI)
- Ultrasound
Are X-rays sufficient for diagnosing all clavicle fractures? While plain radiographs are often adequate for initial diagnosis and treatment planning, complex fractures or those with suspected soft tissue involvement may require advanced imaging such as CT or MRI.
Three-dimensional CT reconstructions can be particularly helpful in assessing fracture patterns and planning surgical approaches. How does 3D imaging improve surgical outcomes for clavicle fractures? By providing detailed visualization of the fracture geometry and surrounding anatomy, 3D imaging allows surgeons to optimize implant selection and placement, potentially leading to improved functional outcomes.

Clavicle Fracture Prevention and Risk Reduction
While not all clavicle fractures can be prevented, certain measures can help reduce the risk of injury, particularly in high-risk activities and sports. Some preventive strategies include:
- Proper use of protective equipment in contact sports
- Maintaining good bone health through nutrition and exercise
- Fall prevention measures, especially for older adults
- Proper technique and training in overhead throwing sports
Can specific exercises help prevent clavicle fractures? While no exercise can completely eliminate the risk of fracture, strengthening the muscles around the shoulder girdle and improving overall bone density may help reduce the likelihood of injury in some cases.
For individuals with a history of clavicle fracture, is there an increased risk of future fractures? Some studies suggest that a previous clavicle fracture may slightly increase the risk of subsequent fractures, particularly in the same location. However, proper healing and rehabilitation can help minimize this risk.
:max_bytes(150000):strip_icc()/GettyImages-871751954-5bfc96fb46e0fb0051d3a741.jpg)
The Impact of Clavicle Fractures on Quality of Life
Clavicle fractures can significantly impact a person’s quality of life, affecting daily activities, work performance, and participation in sports or hobbies. The extent of this impact may depend on factors such as:
- Severity of the fracture
- Treatment approach (surgical vs. non-surgical)
- Patient age and overall health
- Occupation and activity level
- Adherence to rehabilitation protocols
How long does it typically take to return to normal activities after a clavicle fracture? The timeline for returning to normal activities can vary widely among individuals. While some patients may resume light activities within a few weeks, full recovery and return to high-impact sports or physically demanding occupations may take several months.
Psychological factors also play a role in recovery from clavicle fractures. Can clavicle fractures lead to anxiety or depression? Some patients may experience anxiety about re-injury or frustration with the recovery process. Addressing these psychological aspects through patient education, support, and, when necessary, professional counseling can be an important component of comprehensive care.

Future Directions in Clavicle Fracture Research and Treatment
As our understanding of clavicle fractures continues to evolve, researchers and clinicians are exploring new avenues for improving diagnosis, treatment, and outcomes. Some areas of ongoing research and development include:
- Bioengineered materials for fracture fixation
- Gene therapies to enhance bone healing
- Artificial intelligence applications in fracture classification and treatment planning
- Wearable technologies for monitoring rehabilitation progress
- Personalized medicine approaches to optimize treatment selection
Will stem cell therapies play a role in future clavicle fracture treatment? Early research suggests that stem cell-based therapies may have the potential to enhance bone healing and reduce complications in clavicle fractures, but further studies are needed to establish their efficacy and safety.
As treatment options continue to expand, the importance of shared decision-making between patients and healthcare providers becomes increasingly crucial. How can patients best participate in decisions about their clavicle fracture treatment? Open communication, thorough discussion of treatment options, and consideration of individual goals and preferences are key to ensuring optimal outcomes and patient satisfaction.

Surgery for Clavicle Fracture (Broken Collarbone)
Frequently, a fractured clavicle (collarbone) can be treated without surgery. However, sometimes the fractured pieces of bone are out of position (displaced) or other factors about the injury or patient make surgery the better treatment option.
See Treating a Clavicle Fracture
Clavicle Fractures: Types and Symptoms
Save
The clavicle (or collarbone) is a long, thin bone at the base of the neck, located between the
shoulder blade (scapula) and the rib cage (sternum). Clavicle Fractures: Types and Symptoms
This article discusses types of clavicle surgery, managing post-surgical pain, and rehabilitation and recovery.
advertisement
Conventional wisdom and mixed opinions regarding clavicle surgery
In the past, conventional wisdom was that a broken clavicle would nearly always heal properly without surgical intervention.
Some experts now question this notion, and there is no consensus on the treatment of most displaced clavicle shaft fractures. For example:
- A 2017 study1 reviewing more than 600 patients noted that surgery can reduce the risk of a non-union (when the broken pieces of the clavicle bone fail to heal back together) but concluded that surgical and nonsurgical patients had similar shoulder strength and range of movement after healing.
- Another study2 that looked at more than 400 patients concluded that surgery shortens healing time and therefore would allow athletes to return to play sooner. The same study also observed better, more compete healing in surgical patients, but only a small improvement in long-term shoulder strength and range of motion when compared to nonsurgical patients.
See Diagnosis and Causes of a Clavicle Fracture
Until more definitive research is available, this topic will remain controversial. For now, surgery to repair a broken clavicle is often optional and not required, so the doctor and patient must consider the potential advantages and risks of surgery.
In This Article:
Types of Surgery for Clavicle Fracture
Surgery for a fractured clavicle typically involves an open incision to move the bone fragments into proper position and then secure them in place. There are 2 common surgical options:
- Plate fixation, which entails attaching a plate with screws to the outside of the bone
- Intramedullary fixation, which involves inserting a long pin into the center of the bone
Both plate fixation and intramedullary fixation have advantages and disadvantages.
Intramedullary fixation typically uses a smaller incision and causes fewer disturbances to the surrounding soft tissues. However, intramedullary fixation sometimes requires a second surgery to remove the hardware.
Plate fixation hardware is usually left in place but occasionally causes irritation from seatbelts or backpack straps, because the clavicle is prominent and close to the skin’s surface. Research shows3 that about 10% to 15% of plate fixation patients decide to have their hardware removed, and that women are more likely than men to undergo removal.
Hardware removal is done as an outpatient surgical procedure, usually with general anesthetic. Removal of hardware results in small voids in the bone (typically holes previously occupied by screws) and the surgeon may recommend the patient take postoperative precautions to prevent injury. However, the recovery overall is generally much faster than recovery from the original fixation surgery because the fracture should already be healed, and the associated soft tissue injury is less than at the time of the initial fracture.
Patients should consult with their surgeons to determine the approach that is right for them.
advertisement
Managing Post-Surgical Pain
An anesthesiologist may administer a peripheral nerve block that numbs the area around the clavicle, where the surgeon will operate. A peripheral nerve block can be used along with general anesthesia. Following surgery, the peripheral nerve block may work for a brief time after the general anesthesia has worn off.
This allows a patient to emerge from general anesthesia and regain consciousness without pain.
Whether a peripheral nerve block is used or not, the patient will eventually experience pain that must be managed.
Pain can be managed with these tactics:
- Taking prescribed opioid (narcotic) pain medication during the short term. It is important to take opioids only as directed.
- Taking non-steroid anti-inflammatory drugs (NSAIDs) such as ibuprofen or naproxen once the patient is no longer taking an opioid.
- Using cold therapy for 10 to 15 minutes several times a day. This decreases inflammation and dulls pain signals to the brain.
- Propping pillows around the affected arm to help with sleep, or perhaps sleeping upright in a comfortable chair for the first few nights after surgery.
See The P.R.I.C.E. Protocol Principles
Physical therapy will typically begin a few weeks after surgery. Physical therapy can help patients restore range of motion, eliminate stiffness and, eventually, rebuild strength.
Most clavicle fractures are healed after about 6 to 12 weeks.
References
- 1.Woltz S, Krijnen P, Schipper IB. Plate Fixation Versus Nonoperative Treatment for Displaced Midshaft Clavicular Fractures: A Meta-Analysis of Randomized Controlled Trials. J Bone Joint Surg Am. 2017;99(12):1051-1057.
- 2.Mckee RC, Whelan DB, Schemitsch EH, Mckee MD. Operative versus nonoperative care of displaced midshaft clavicular fractures: a meta-analysis of randomized clinical trials. J Bone Joint Surg Am. 2012;94(8):675-84.
- 3.Naimark M, Dufka FL, Han R, et al. Plate fixation of midshaft clavicular fractures: patient-reported outcomes and hardware-related complications. J Shoulder Elbow Surg. 2016;25(5):739-46.
Clavicle Fracture Open Reduction and Internal Fixation
What is clavicle fracture open reduction and internal fixation?
Open reduction and internal fixation (ORIF) is a type of surgery used to stabilize and heal a broken bone.
You might need this procedure to treat your broken collarbone (clavicle).
The clavicle is a long thin bone located between your ribcage and the shoulder blade. Different kinds of injury can damage this bone, causing it to fracture into two or more pieces. Most often, this happens along the middle of the bone. Occasionally, the bone breaks near where it attaches to the ribcage, or near where it attaches to the shoulder blade.
In certain types of clavicle fractures, your clavicle has broken, but its pieces still line up correctly. In other types of fractures (displaced fractures), the injury moves the bone fragments out of alignment.
If you fracture your clavicle, you might need ORIF to bring your bones back into place and help them heal. During an open reduction, orthopedic surgeons reposition your bone pieces surgically back into their proper alignment. In a closed reduction, a doctor physically moves the bones back into place without surgically exposing the bone.
Internal fixation refers to the method of physically reconnecting the bones. This method uses special screws, plates, wires, or nails to position the bones correctly. This prevents the bones from healing abnormally. The entire operation usually takes place while you are asleep under general anesthesia.
Why might I need a clavicle fracture open reduction and internal fixation?
Certain medical conditions may make fracturing your clavicle more likely. For example, osteoporosis increases the risk of clavicle fracture in many older adults.
You may fracture your clavicle from a direct blow to the shoulder, such as while playing a sport or if you’re in a car wreck. Falling on an outstretched arm may also fracture a clavicle. In some cases, a newborn baby will fracture the clavicle during the birth process.
Not everyone with a fractured clavicle needs ORIF. In fact, most people don’t. If possible, your doctor will treat your clavicle fracture with more conservative treatments, like pain medicines, splints, and slings.
You probably won’t need ORIF unless there is some reason your fracture might not heal normally with these conservative treatments. You may need ORIF if:
- The pieces of your clavicle are significantly out of alignment
- Your clavicle broke through the skin
- Your clavicle broke into several pieces
In these cases, ORIF can position your bones back into their proper configuration. This significantly increases the chance that your bone will heal properly. In some cases, you might opt not to have ORIF even if your clavicle is significantly out of alignment, because the bone often heals correctly on its own. Your doctor can talk to you about the risks and benefits of ORIF or discuss other, more conservative treatments for your situation.
What are the risks for clavicle fracture open reduction and internal fixation?
Most people do very well with ORIF for their clavicle fracture. However, some rare complications do sometimes occur.
Possible complications include:
- Broken screws or plates
- Infection
- Damage to an artery or vein
- Nerve damage
- Bone misalignment
- Injury to the lung
- Complications from anesthesia
There is also a risk that the fracture won’t heal properly, and you’ll need repeat surgery.
Your own risk of complications may vary according to your age, the anatomy of your clavicle fracture, and your other medical conditions. For example, people with low bone mass or diabetes may be at higher risk of complications. Being a smoker may also increase your risk. Ask your doctor about the risks that most apply to you.
How do I prepare for a clavicle fracture open reduction and internal fixation?
ORIF often takes place as an emergency or urgent procedure. Before your procedure, a healthcare professional will take your medical history and do a physical exam. You’ll need an X-ray of your clavicle.
Tell your doctor about all the medicines you take, including over-the-counter medicines like aspirin. Also, let your doctor know the last time you ate.
In some cases, your doctors might perform your ORIF as a planned procedure. If this is the case, talk to your doctor about how to prepare for the procedure. Ask whether you should stop taking any medicines ahead of time, like blood thinners. You’ll need to avoid food and drink after midnight the night before your procedure.
What happens during a clavicle fracture open reduction and internal fixation?
Your doctor can help explain the details of your particular surgery. The details of your surgery will depend on the location and severity of your injury. An orthopedic surgeon and a team of specialized healthcare professionals will do the procedure. The whole operation may take a couple of hours. In general, you can expect the following:
- You will receive general anesthesia to make you sleep through the operation so that you won’t feel any pain or discomfort.
(Or, you may receive local anesthesia and a medicine to help you relax.) - A healthcare professional will carefully monitor your vital signs, such as your heart rate and blood pressure, during the operation. You may have a breathing tube placed down your throat during the operation to help you breathe.
- After cleaning the affected area, your surgeon will make an incision through the skin and muscle near your clavicle.
- Your surgeon will bring the pieces of your clavicle back into alignment (reduction).
- Next, your surgeon will secure the pieces of clavicle to each other (fixation). To do this, he or she may use screws, metal plates, wires, and pins. (Ask what the surgeon will use in your case.)
- Your doctor may make other necessary repairs.
- After the team has secured the bone, your surgeon will surgically close the layers of skin and muscle around your clavicle.
What happens after a clavicle fracture open reduction and internal fixation?
Talk to your doctor about what you can expect after your surgery.
You may have some pain after your procedure, but pain medicine may help to reduce the pain. You should be able to resume a normal diet fairly quickly. You will probably need an imaging procedure, like an X-ray, to make sure that your surgery was successful. Depending on the extent of your injury and your other medical conditions, you may be able to go home the same day.
For a while after your surgery, you’ll need to keep your arm immobile. Often, this means that you will need to wear your arm in a sling for several weeks. You’ll receive instructions about how you can move your arm.
Your doctor might give you other instructions about caring for your clavicle, like applying ice. Follow all your doctor’s instructions carefully. Your doctor might not want you to take certain over-the-counter medicine for pain, because some of these can interfere with bone healing. Your doctor may advise you to eat a diet high in calcium and vitamin D as your bone heals.
You might have some draining of fluid from your incision.
This is normal. Let your doctor know right away if:
- You see an increase in redness, swelling, or draining from your incision
- You have a high fever or chills
- You have severe pain
- You have loss of feeling anywhere in your body
Make sure to keep all of your follow-up appointments. You may need to have your stitches or staples removed a week or so after your surgery.
At some point, you may need physical therapy to restore strength and flexibility to your muscles. Doing your exercises as prescribed can improve your chances of a full recovery. Most people are able to return to all their normal activities within a few months.
Next steps
Before you agree to the test or the procedure make sure you know:
- The name of the test or procedure
- The reason you are having the test or procedure
- What results to expect and what they mean
- The risks and benefits of the test or procedure
- What the possible side effects or complications are
- When and where you are to have the test or procedure
- Who will do the test or procedure and what that person’s qualifications are
- What would happen if you did not have the test or procedure
- Any alternative tests or procedures to think about
- When and how will you get the results
- Who to call after the test or procedure if you have questions or problems
- How much will you have to pay for the test or procedure
Clavicle Fracture Treatment: When Is Surgery Necessary?
Clavicle fractures, or broken collarbones, are among the most common broken bones that occur.
They represent about 5% of all broken bones and are especially common in younger, more active adults. Most fractures of the clavicle occur in the central portion of the collarbone.
Traditionally, these fractures have been treated nonsurgically. For many decades, the results of nonsurgical treatment found that the majority of clavicle fractures healed more reliably with less of a complication rate when compared to clavicle fractures treated with surgery.
More recently, however, several studies have questioned if more clavicle fractures should be treated surgically. The studies have suggested that people who had surgery tended to heal faster with more predictable results. What does this mean? When should surgery be avoided, and when should it be recommended?
The clavicle is the bone in the front of the chest on top of the rib cage. The clavicle is important in helping to support normal shoulder function and is the attachment point for several important muscles including the deltoid and pectoralis muscles.
Clavicle Fractures
People sustain clavicle fractures from a variety of injuries ranging from falls, automobile accidents, sports injuries, and other traumatic injuries. When a clavicle fracture occurs, it is common to have pain and swelling at the site of the injury. People can often see a deformity of the bone, especially soon after the injury before swelling has worsened.
Over time, bruising may show up around the fracture site and even into the chest and arm. People with a clavicle fracture have a hard time using their arms because the movement causes pain at the site of the fracture.
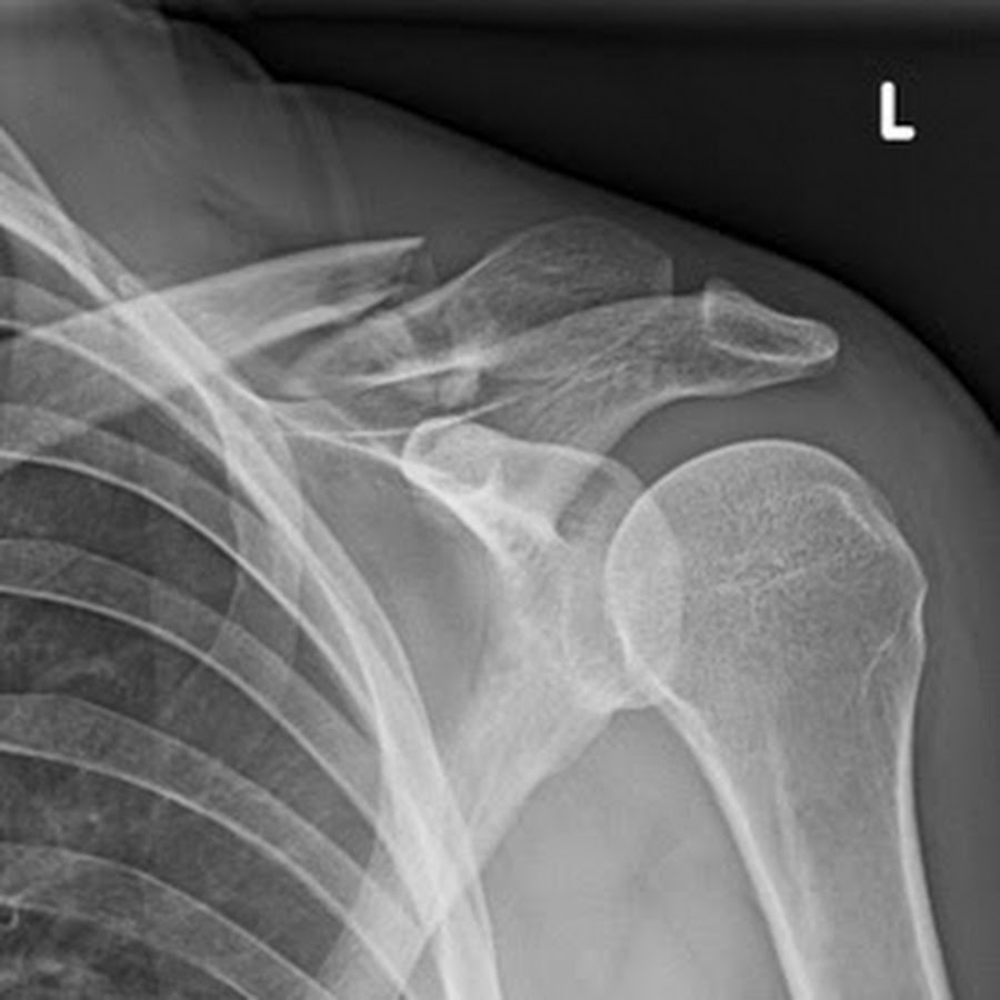
Your doctor will X-ray the clavicle to determine if a fracture is present and to determine the most appropriate treatment. Additional tests such as computed tomography (CT) scans or magnetic resonance imaging (MRI) are seldom needed to identify a fracture or determine treatment recommendations.
Douglas Sacha / Getty Images
When Not to Have Surgery
Most clavicle fractures can be treated without surgery.
For the vast majority of clavicle fractures that are not out of place, or only minimally out of place, the safest and most effective treatment is with the use of a sling.
There are steps you can take to speed your healing, but managing these injuries with nonsurgical treatment is often the best course of action.
Surgery can have its advantages, but there are also risks of surgery that should not be ignored. A complication of surgery can be worse than the original injury, and while these complications may be uncommon, there might not be a reason to take the risk.
Secondly, surgical hardware used to repair a clavicle fracture often has to be removed at some point down the road. Therefore, patients are typically warned that having clavicle fracture surgery may require a second surgery later on to remove the hardware used to repair the break.
When there is displacement or malalignment of the broken bone, surgery may be considered to prevent problems with healing of the fracture.
Recent studies have found that the risk of nonunion of a fracture (lack of healing) is high when the fracture is poorly aligned.
When to Have Surgery
Most orthopedists agree that when there is a badly displaced fracture of the clavicle, surgical treatment should be considered. Some factors that may be considered include if the fracture is in the dominant arm, the age of the patient, the patient’s overall health and function, and the likelihood of nonunion of the fracture.
If there is a high risk of nonunion, or if there is a concern about loss of function, surgery may be a reasonable treatment. Specific risks for nonunion of a fracture include:
- Female patient
- Older patient
- Displacement of the fracture (broken ends not touching)
- Comminution (multiple, small fragments of bone)
- Patient smokes
Specifically, surgery should be strongly considered if the fracture is shortened by 2 centimeters or more, displaced more than 100% (the fractured ends aren’t touching at all), when there are specific fracture patterns (such as Z-type fractures), or when the fractures are highly comminuted (shattered).
When people are at a higher risk of nonunion, either because of the break, or their individual characteristics, surgery can help to lower that chance of nonhealing. This is certainly a change in treatment from decades ago when surgery was once the cause of many nonunions of fractures.
With modern surgical techniques and improved hardware to repair fractures, the likelihood of a nonunion after surgery is much lower.
It was once the case that injuries undergoing nonsurgical treatment had a higher chance of healing, and surgery increased the risk of nonunion. Currently, this scenario has been flipped—surgery is now thought to lead to more predictable healing with a lower chance of nonunion.
Complications
When contemplating surgery, the possible disadvantages also need to be considered. There are still many risks of surgery.
Painful Hardware
By far the most common problem with surgery is that many people are bothered by the hardware used to repair their broken clavicle.
Most often, a plate and screws are placed along the bone to hold it in position, and these can typically be felt under the skin.
A person is likely to feel annoyed by the hardware as they feel it under a bra strap, backpack strap, or seatbelt chest strap. Many people will choose to have the hardware removed after the break has healed, which is usually at least six months after their initial surgery and most commonly about a year after surgery.
Infection
Infection of hardware can cause significant problems. Because the metal hardware is close to the skin, the chance of infection is not insignificant. About 0.4 to 7.8 percent of people who have clavicle fracture surgery develop an infection from their surgery.
Nerve Injury
Major nerve damage is very uncommon, but the skin nerves that provide sensation just below the collarbone are often damaged at the time of surgery. Many people who have clavicle fracture surgery notice a patch of numbness or tingling just under their incision.
Over time, it may become smaller and less noticeable, but it tends to persist.
Complications of surgery are more common in people who have other medical conditions such as diabetes, smokers, and those with other chronic medical conditions. In these people, risks of complications may outweigh the benefits of surgery, even in situations where the fracture is badly displaced.
A Word From Verywell
Clavicle fractures are common injuries and will often heal with nonsurgical management. However, orthopedic surgeons are recommending surgery more commonly as a means to provide more predictable healing timelines and recovery of function.
When a fracture is displaced (the ends of the broken bone are not touching) and there is a higher risk of nonunion, surgery can lead to more reliable healing of the fracture. While surgery has advantages in these situations, there are also risks of clavicle fracture surgery that should be considered.
Your orthopedic surgeon can help you decide the most appropriate treatment for your fractured collarbone.
Broken collarbone – Diagnosis and treatment
Diagnosis
During the physical exam, your doctor will inspect the affected area for tenderness, swelling, deformity or an open wound. X-rays determine the extent of a broken collarbone, pinpoint its location and determine if there’s injury to the joints. Your doctor might also recommend a CT scan to get more-detailed images.
Treatment
Restricting the movement of any broken bone is critical to healing. To immobilize a broken collarbone, you’ll likely need to wear an arm sling.
How long immobilization is needed depends on the severity of the injury. Bone union usually takes three to six weeks for children and six to 12 weeks for adults. A newborn’s collarbone that breaks during delivery typically heals with only pain control and careful handling of the baby.
Medications
To reduce pain and inflammation, your doctor might recommend an over-the-counter pain reliever.
If you have severe pain, you might need a prescription medication that contains a narcotic for a few days.
Therapy
Rehabilitation begins soon after initial treatment. In most cases, it’s important to begin some motion to minimize stiffness in your shoulder while you’re still wearing your sling. After your sling is removed, your doctor might recommend additional rehabilitation exercises or physical therapy to restore muscle strength, joint motion and flexibility.
Surgery
Surgery might be required if the fractured collarbone has broken through your skin, is severely displaced or is in several pieces. Broken collarbone surgery usually includes placing fixation devices — plates, screws or rods — to maintain proper position of your bone during healing. Surgical complications, though rare, can include infection and lack of bone healing.
Lifestyle and home remedies
Applying ice to the affected area for 20 to 30 minutes every few hours during the first two to three days after a collarbone break can help control pain and swelling.
Preparing for your appointment
Depending on the severity of the break, your family doctor or the emergency room physician may recommend that you or your child see an orthopedic surgeon.
What you can do
It might be helpful to write a list that includes:
- Detailed descriptions of your symptoms and the event that caused the injury
- Information about past medical problems
- All your medications and dietary supplements
- Questions you want to ask the doctor
What to expect from your doctor
Your doctor will likely ask some of the following questions:
- How did the injury occur?
- Have you ever had a broken bone?
- Have you been diagnosed with weakened bones?
Nov. 26, 2020
Does a Broken Collarbone Require Surgery?
Ask A Sports Doc: Does a Broken Collarbone Require Surgery?
November 07, 2016
Dr.
Rick Cunningham is a knee and shoulder sports medicine specialist with Vail-Summit Orthopaedics and a physician for the U.S. Ski Team. For more information about Vail-Summit Orthopaedics visit www.vsortho.com.
Question: I broke my collarbone mountain biking. Will I need surgery?
Answer: Broken collarbones or fractured clavicles are common injuries accounting for about 3 percent of all fractures seen in adults. Eighty percent of these fractures take place in the middle part of the clavicle and are called mid-shaft fractures. In ski or bike injuries these fractures are typically have multiple fractured fragments.
Traditionally clavicle fractures were treated without surgery. Patients were placed in a sling for comfort and orthopedic surgeons advised patients that the bone should heal. However as orthopedists looked more critically at outcomes a number of studies showed that in high energy fractures where the bone ends are separated or overlap significantly the results are not always excellent.
The clavicle has an important function. It serves as a strut connecting your arm to your chest wall. The motion of your shoulder blade is dependent on normal alignment. As you lift your arm the clavicle elevates rotates and retracts. Thus if your clavicle fractures and heals shortened it can cause abnormal scapula motion and possibly shoulder pain and weakness. The clavicle also protects lung tissue and nerves. The clavicle is the last bone in our body to stop growing with its growth plate fusing around age 23.
Ninety percent of the time people break their clavicle as a result of a fall onto their shoulder or a direct blow to it. Rarely do we fracture our clavicle by landing on an outstretched hand. Fractured ends of the clavicle rarely break through the skin. Patients experience immediate pain swelling and bruising. Clavicle fractures are very painful as it is difficult to immobilize them. Thus little movements such as coughing cause severe pain. Unlike some fractures there is no way to set or reduce the fracture.
Thus I don’t manipulate the arm or shoulder as the bones will not stay aligned. X-rays tell me how displaced the fracture is. There is no reason to get additional studies such as a CT scan or MRI unless other injuries are suspected.
For instance last week I was called to see a man in the ER who had a clavicle fracture but was also short of breath. His x-rays and a subsequent CT showed that he also had multiple rib fractures and a punctured lung.
How do I currently treat clavicle fractures in adults? I obtain different x-ray views and assess several things. First I measure how displaced the broken ends are. Secondly I measure whether the fractured ends are overlapped or shortened. If a clavicle fracture is displaced more than 15 mm (in kids more displacement can be accepted as they are still growing) then I recommend the fracture be treated surgically as the clinical results are better than allowing the fracture to heal in a displaced position. In surgery the clavicle fragments are put back together like a puzzle and the bone fragments are held in this position with hardware designed to fit the normal curvature of the clavicle.
After surgery the patient is placed in a sling for 4 to 6 weeks at which time the bone is healed enough that the sling can then be discontinued and physical therapy started. If the fracture is minimally displaced then no surgery is required and the fracture should heal in a sling. I don’t put patients in a figure eight bandage as there is no difference in overall healing with these and most patients report more discomfort.
If a patient chooses not to have surgery for a significantly displaced fracture I counsel them that there is an increased risk of a nonunion (the bone does not heal and is then harder to correct down the road) or malunion (the bone heals crooked which can lead to pain and weakness). The main benefit of fixing a clavicle fraction with surgery is that the patient has shorter healing time. In a recent study of more than 100 patients with displaced midshaft clavicle fractures the nonsurgical group healed at an average of 28 weeks while the surgical group healed at an average of 16 weeks.
Surgical Treatment for Clavicle Fracture
Sticks and Stones May Break My Bones…
… but is surgery required to heal them? This article discussed when and whether a clavicle fracture (also known as a broken collarbone) needs to be surgically repaired.
“Is surgical treatment for a clavicle fracture necessary?” is a question explored by EmergeOrtho—Triangle Region’s very own Dr. William P. Silver, Orthopedic Surgeon and Triangle Division Medical Director, who specializes in Sports Medicine and the treatment of Knee and Shoulder injuries.
In the video below, Dr. Silver shares the outcome of a recent study comparing a surgical and non-surgical approach to healing a displaced (pieces of the bone are separated) midshaft (mid-bone) clavicle fracture. REMEMBER: The type of treatment each patient undergoes depends upon numerous factors discussed during an in-depth consultation. With that said, Dr. Silver’s video can better prepare you for that initial meeting with your doctor.
Anatomy Breakdown
The clavicle is one of the main bones in the shoulder and is the only bony connection between the arm and the rest of the skeleton. Accounting for 5% of all adult fractures, a clavicle fracture can be quite painful and greatly hinder arm mobility.
The clavicle is located between the sternum (ribcage) and scapula (shoulder blade), and connects the arm to the body. Most fractures occur in the middle of the bone, but sometimes it can break closer to either end where it attaches to the ribcage or shoulder blade.
The fracture can be a slight break, or break into many pieces (comminuted fracture). The broken pieces can either line up straight or be severely out of place (displaced fracture).
Cause and Symptoms
Clavicle fractures can occur in anyone at any age, for a variety of reasons. Common causes include:
- Direct blow to the shoulder resulting from a fall on an outstretched arm or sports impact
- Car collision
- Passage through the birth canal (applicable to clavicle fractures in babies)
Although symptoms vary, especially depending on the severity of the fracture generally, most people experience:
- Sensation of grinding with arm movement
- Pain with varying degrees of severity
- Deformity/bump on or near the site of the break
- General bruising, swelling, and tenderness
- Limited arm mobility
- Shoulder sagging and posture problems
Non-surgical Treatment
If the fracture is minor to moderate and the bones are hardly out of place, one or more of the following non-surgical techniques will likely be recommended:
- Arm sling
- Figure of eight strap
- Pain medication
- Physical therapy
It is important to note, however, that clavicle fractures treated non-surgically require caution.
Great care needs to be taken to ensure that the bones do not move out of place before they are fully healed. If they do, the bones may heal in their displaced position (also known as a malunion), causing a permanent bump over the site of the fracture or drooping of the shoulder, which may hinder the movement of your arm.
Surgical Treatment
If the fracture is more severe, with the bones considerably out of place, surgery may be recommended.
The procedure most commonly used to treat clavicle fractures is an open reduction with internal fixation. During this procedure, the bones are repositioned (reduced) to their normal alignment, and then they are held in place (fixed) with either plates and screws or pins.
Surgery provides a greater chance of the bones healing properly versus non-surgical methods, and also increases the chance of you regaining your shoulder’s strength and mobility quicker.
It is important to note that surgical treatments are more prone to complications than their non-surgical alternatives, making surgery higher risk.
Given there are trade-offs with either method of management, thoughtful consideration of the method of treatment is needed.
The Clinical Study
In the video, Dr. Silver explores a study (published in Volume 99, Issue 14 of The Journal of Bone & Joint Surgery) that compares surgical and non-surgical treatment approaches for displaced midshaft clavicle fractures.
The authors conducted a prospective, randomized, controlled trial of 117 patients who received either non-surgical treatment with a figure-of-eight harness or surgical treatment with a plate and screws. At the six-week, six-month, and one-year follow ups, they found no difference between the two groups in terms of function, pain scores, time to return to previous activities, or dissatisfaction with the appearance of the shoulder.
The authors did note, however, that seven non-surgical patients (14.9%) developed malunion, compared to none in the surgical group. Furthermore, non-surgically treated patients displayed radiographic evidence of greater clavicle shortening compared with those in the surgical cohort.
And, more patients in the non-surgical group answered “yes” when asked if their clavicle felt short and if they felt bone prominence. In the surgical group, more patients answered “yes” when asked if they felt a sensation of numbness near the incision.
In light of the study, and to answer the initial question, “Is Surgical Treatment for a Clavicle Fracture Necessary?”—it depends. It depends on you, your fracture, and your needs.
To explore your options, you can schedule an appointment with Dr. Silver or any of our other highly qualified EmergeOrtho–Triangle Region doctors. Or, call us any time at (919) 220-5255.
Together, we can help you Emerge Stronger. Healthier. Better.
Collarbone Surgery by Olympic Orthopedic Surgeon Dr. Hackett Vail-Frisco CO
Clavicle Fracture in Vail, Colorado
A broken collarbone, also known as a clavicle fracture, is very common among people of all ages. This fracture often occurs from falling and landing directly on your shoulder either from a simple fall, or activities such as snowboarding, skiing, or high-impact sports.
Overview
The collarbone, or clavicle, is located between the shoulder blade and the rib cage, and it connects the arm to the body. It also lies above various nerves and blood vessels, but these are generally unharmed when a clavicle fracture occurs. The clavicle is a long bone which frequently breaks in the middle. However, the bone may break closer to where it attaches to the shoulder blade or rib cage.
During your evaluation with Dr. Hackett in Vail, Colorado, he will examine the fracture and ask you how the injury happened. Generally, there is a visible deformity, or “bump” where the fracture occurred, which makes for a simple diagnosis. He may still order an X-ray to clearly see the precise location and severity of the fracture, and rule out any additional injuries that could have occurred.
Symptoms
You may have a clavicle fracture, or broken collarbone if you are experiencing any of these symptoms:
- Moderate to severe pain of the collarbone
- Inability to lift or move arm
- Sagging shoulder
- Grinding sensation when lifting the arm
- Bruising, swelling, and tenderness of the collarbone
Treatments
Depending on the severity and location of your clavicle fracture, treatment options may vary.
Dr. Hackett will provide a recommendation on the best treatment based on your condition and lifestyle. There are effective non-surgical and surgical methods of treating a broken collarbone.
Non-Surgical Treatments
Broken collarbones may be healed without surgery if the ends of the broken bone line up correctly and have not shifted out of place. Some non-surgical treatment options may include:
- Arm Sling – A simple arm sling or wrap may be used to provide immediate comfort for the fracture. The sling helps support your arm and keep your shoulder in a stable position while the clavicle bone heals. Pain medication may be prescribed to help alleviate discomfort during the healing process. Unfortunately in some cases, the fracture may shift out of place before it heals (also known as malunion), so it’s important to schedule regular follow-up appointments with Dr. Hackett to ensure optimal recovery.
- Physical Therapy – You may lose muscle strength in your shoulder while wearing the arm sling.
Once the clavicle bone begins to heal, and the pain reduces, your physical therapist may begin gentle elbow and shoulder exercises to prevent stiffness and weakness. Further rehabilitation programs will be prescribed after your bone has healed.
Surgical Treatments
If the ends of the broken collarbone are shifted or out of place, Dr. Hackett may recommend surgery to help realign the bones and hold it in the correct position until it heals.
- Plates and Screws – During this surgery, the bone fragments of the collarbone are repositioned to their proper alignment. These bone fragments are then held in place with either surgical screws and/or a metal plate to the outer surface of the collarbone. After surgery, you may feel the plate through the skin since there is not a lot of fat around the collarbone. Plates and screws are not generally removed unless it causes discomfort, then it can be removed after the collarbone has completely healed.
- Pins – Pins are also a useful tool to hold the fractured bone in its correct position, similar to plates and screws.
Pin placement is done through small incisions but often irritate the skin. After this surgery, pins are usually removed once the clavicle fracture has completely healed.
Physical Therapy
Whether you opt for a non-surgical or surgical treatment, recovery from a collarbone fracture can take several months or longer. Dr. Hackett will inform you when your injury is stable enough to return to regular simple tasks. In any case of a broken collarbone, rehabilitation is necessary to restore full range of motion and strength in your shoulder and elbow.Specific exercises and a home therapy plan may be suggested to help regain strength and movement in the shoulder. Therapy programs generally begin with gentle motion exercises, and gradually increase as your fracture heals. Although it may be a slow process, physical therapy is a critical factor in returning to all of your favorite activities. Once your broken collarbone completely heals and you’ve undergone a positive rehabilitation program, Dr.
Hackett will evaluate your progress and determine if you can safely return to your favorite sports and hobbies.
Specific exercises and a home therapy plan may be suggested to help regain strength and movement in the shoulder. Therapy programs generally begin with gentle motion exercises, and gradually increase as your fracture heals. Although it may be a slow process, physical therapy is a critical factor in returning to all of your favorite activities. Once your broken collarbone completely heals and you’ve undergone a positive rehabilitation program, Dr. Hackett will evaluate your progress and determine if you can safely return to your favorite sports and hobbies.
Ilyinsky Hospital – a modern outpatient hospital center :: Clavicle fracture. Surgery or Conservative Treatment?
Clavicle fractures – frequent
injury to snowboarders. This fracture is also found in cyclists, slightly
less often – among skiers. In everyday life, this fracture can also occur and is often associated
with high energy trauma.
In general, clavicle fractures account for up to 6% of all
bone fractures. And in 4 cases out of 5 this is a fracture of the collarbone body, i.e.e.
middle third of the bone.
The main threat when
a fracture of the clavicle is either a union in the wrong position, or
the formation of a false joint. At the same time, the fusion in the wrong position
no better than a false joint. The fragments are displaced, going behind each other. Bone
shortens, muscle attachment points approach. Normally, the muscle is stretched, but
if the fixation points come close, the muscle “sags”. Muscle tissue is reborn,
replaced by connective tissue.When the clavicle is shortened by 1 cm or more, it is lost
up to a third of the strength of the muscles of the shoulder girdle.
- Evolution of methods
clavicle fracture treatment
Until the late 90s – early 2000s, it was believed that
that in 99% of cases, clavicle fractures need to be treated conservatively.
However, in
recently this view has been revised. This is due to several
moments. On the one hand, patients have become more demanding for quality.
life after fracture treatment, and to the cosmetic effect after surgery.Second
moment: the usual X-ray of the clavicle gave only one projection, and the computer
tomography made it possible to look behind the bone and examine it from all sides. It is the ubiquitous
the use of computed tomography made it possible to identify a large number of
non-unions in those cases that at the end of the last century would have been considered quite
satisfactory due to the lack of CT data.
In 2007, the Canadian orthopedic community, focusing on
on the scale of functions and pain of the shoulder joint after fractures of the clavicle, conducted
study.It has been shown that after surgical treatment, the function
recovering faster and more stable than after conservative treatment. But completely
it is still not possible to exclude conservative non-surgical treatment of clavicle fractures
worth it.
There are a number of patients whose collarbone fracture can be successfully treated without
surgical intervention – in particular, young patients with minor
offset.
On the other hand, if the patient is middle or senior
age, and his primary displacement was 1 – 1.5 cm and even more, then in this
case, as a result of conservative treatment, we are likely to receive
non-union.Also, the choice of the optimal treatment method is influenced by the patient’s age
physical activity prior to the injury, profession, patient’s expectations,
the speed of rehabilitation that the patient plans, etc. All this is discussed in
direct conversation between the patient and the doctor.
- Conservative
treatment
Conservative method is offered to young patients with
slight displacement, when the soft tissue case is not torn and is able to hold
bone fragments.With conservative treatment for a period of about 6 weeks
a soft eight-shaped bandage is applied, which fixes the patient in
the position of the straightened collarbones and shoulder girdles.
Both halves of the body are fixed, hand
suspended from the side of the fracture. Eight-shaped bandage is not rigid, strong
does not limit mobility. The patient must come for examinations for observation
for the process of fusion and expansion of motor activity. With a conservative
treatment, you have to visit a doctor and take x-rays much more often than
during surgical treatment.
- Minimally invasive
surgery
Speaking of the surgical treatment of a clavicle fracture, any
an informed person will name an intraosseous nail. However, it is not always possible
perform intraosseous osteosynthesis with a nail. This technology was popular, but
now its popularity is declining due to the unpredictability of the results. Orthopedic traumatologists
Ilyinsky hospitals prefer minimally invasive fracture treatment technologies
clavicle and perform osteosynthesis of the clavicle with a plate, introducing it through point
skin punctures.This high-tech X-ray-associated operation allows
achieve a good cosmetic effect and good internal elasticity
fixation.
There is one more important point. The fact is that with the standard
approach, the surgical approach passes over two or three, depending on
individual anatomy of the patient, branches of an important supraclavicular nerve.
Innervation in this area does not affect function, but it does affect sensitivity
the upper half of the chest, and in women also on the sensitivity of the milk
glands and nipple areas.After standard access, even if the nerve branches were protected
surgeon, three out of five women have a decrease in sensitivity in this important area,
and many women do not. Using less invasive approaches
excludes contact with the branches of this nerve, and in our patients, along with a quick
rehabilitation and rapid healing of clavicle fractures is also fully preserved
sensitivity. Minimally invasive access to the clavicle to avoid
contact with branches of the supraclavicular nerve, was developed and patented by the group
Russian traumatologists led by Andrey Volna.
Currently
Andrey Anatolyevich Volna heads the Department of Traumatology, Orthopedics and
spinal surgery at the Ilyinsky hospital.
Clavicle surgery is performed under general anesthesia. In
during the operation, the patient is asleep. We sit down – we sit down, we do not lay down!
– the patient on the operating table in the “beach chair position”, the so-called
“Beach
chair position “.
The patient reclines, reclined as in a chaise lounge. This position allows
to achieve the most correct comparison of the clavicle fragments without incision.Operation
carried out under the control of a special X-ray machine (C-arm). Manipulating fragments through
small incisions and punctures in safe areas, surgeons give them the correct
position. A metal plate is inserted into the incisions and fixed with screws.
After a year, the patient discusses whether the plate should be removed or left. Cosmetic
the consequences of the operation are minimal – two small vertical scars.
The operation is usually performed on the day of hospitalization.
On the
the next day – dressing, the hand can be placed on the kerchief in a comfortable
position. The hospital stay lasts 1 – 2 days.
Surgical treatment of clavicle fracture – practically
a painless and patient-friendly method of treatment. Functions after it
recover quickly. And if in the case of conservative treatment of the fracture
collarbone, we stimulate exercise therapy, then in case
surgical treatment, on the contrary, we often even limit the physical
patient activity.Since there is no pain, then any person tries
recover faster … For competent and timely recovery in
Ilyinsky hospital, rehabilitation of patients after a clavicle fracture is under control
experienced rehabilitation therapists.
- Help for patients with
pseudarthrosis – reconstructive surgery
One of the important areas of work of the Department of Traumatology,
Orthopedics and Spinal Surgery of the Ilyinsky Hospital is a help for patients with
false joints.
Including after fractures of the clavicle. Such patients
come to us from different regions of the country. In this case, talk about
unfortunately, minimally invasive surgery is no longer necessary. If the collarbone is fractured
was treated incorrectly, then there is only one way left for us – bone transplantation and
osteosynthesis. In 90% of cases, a bone fragment for transplantation is taken from the crest
the patient’s ilium. And here it all depends on what kind of false
the joint has formed. There are difficult cases with a defect after suppuration, then the graft
you have to put it in a single block.And sometimes a very small
a fragment of the transplanted bone, only to “refresh” the area of the pseudarthrosis. it
reconstructive surgery of a high standard.
- Consultations for previously operated
Patients
Clavicle fractures are very common in snowboarders. Not in
every place that has a ski resort has a clinic ready to operate on a fracture.
In addition, not every insurance includes a ski injury – you have to be very
careful when insuring.If the patient contacts us after the operation
– specialists of the Ilyinsky hospital perform X-ray or CT
research, and, depending on its results, determine the optimal mode
rehabilitation or additional treatment.
90,000 Non-surgical interventions in the treatment of clavicle fractures in adolescents and adults
Relevance and Purpose
Clavicle fracture is a common injury, especially among adolescents; it accounts for up to 4% of all fractures.Most clavicle fractures occur in the middle third. These fractures are often treated with conservative treatments that do not involve surgery. Usually, conservative treatment is an arm band, pull-ups, and cruciform bandages.
This review aims to assess the effect of various conservative non-surgical treatments for clavicle fractures in adolescents and adults. The main outcomes we were interested in were long-term function and pain.
Search results
We searched the scientific literature up to January 2016 and found 4 eligible studies, involving a total of 416 people. Four small studies had methodological limitations that could affect the reliability of the results. Among the conservative treatments evaluated were a cruciform and arm band (in three studies) and therapeutic ultrasound and sham (placebo) (in one study).
Highlights
Three studies (296 participants) comparing a cruciform bandage to an arm band found that shoulder function was similar in the two groups at the end of follow-up. Although the data from the two studies did not show a difference in pain in the first two weeks after injury, the third study reported more severe pain and discomfort in people in the cruciform bandage group. It was noted that one participant underwent surgery due to a complication.None of the three studies found differences in fracture healing time, adverse outcomes, or time to return to school or work.
A fourth study compared therapeutic ultrasound and sham surgery in 120 people with clavicle fractures. There were no differences in outcome between the two groups, including fracture healing time.
Conclusions and quality of evidence
The evidence from three studies comparing cruciform and arm bandages was of very low quality and therefore cannot be relied on to draw firm conclusions about how clavicle fractures should be treated.We assessed the quality of the evidence from one study comparing therapeutic ultrasound versus sham treatment as moderate because the study was conducted appropriately but was not large enough and therefore informative.
Overall, there was insufficient evidence to draw conclusions about the best conservative management of these fractures.
Surgical versus conservative interventions for fractured clavicle in adolescents and adults
This summary presents what we know from research about the effects of surgery versus non-surgical (conservative) treatments such as wearing a sling or a figure-of-eight for two to six weeks to treat a collarbone fracture.![]()
Relevance
The clavicle acts as a bridge across the front of the chest to connect the arm and chest. It (the collarbone) helps stabilize the shoulder while allowing the arm to move freely and provides an attachment area for the muscles, while also functioning as part of the musculoskeletal system used in the act of breathing. The collarbone also protects the nerves and blood vessels and plays an important aesthetic role in a person’s appearance. The most common site for a clavicle fracture is the middle third of the clavicle.Trauma usually occurs in young adults and the elderly. This usually occurs when falling directly onto the outside of the shoulder. Most clavicle fractures in the middle third are treated conservatively (not surgically). However, the result may be unsatisfactory with more serious fractures. Surgical treatment consists of placing the bone back in its place and, as a rule, performing internal fixation using a plate and screws or a metal rod that is inserted into the inner cavity of the clavicle bone.
Search results
We searched medical databases up to December 2017 and included 14 studies involving 1469 people with displaced or comminuted clavicle fractures in the middle third. All participants were adults, between the ages of 17 and 70, and there were more males than females. Ten studies compared plate fixation with conservative interventions (sling and / or figure-of-eight), and four studies compared internal fixation with wearing either a sling or figure-of-eight.
Highlights
A review found that surgery, compared to conservative treatment, may not improve shoulder function, pain, and quality of life one year later. However, surgery can reduce the risk of treatment failure when secondary surgery is required for fractures that have not healed or did not heal properly. We are not sure if the surgery provides the best cosmetic result overall. Although surgery reduces shoulder deformity, it can lead to unsightly scars and visible metal structures.
We also have certainty if there is a difference between surgical and conservative treatment in terms of the risk of complications. However, the nature of these complications often differs depending on the treatment. Complications of surgery, such as wound infection and opening of the wound, or hardware irritation requiring additional surgery, must be weighed against complications that are more likely to occur with the use of a sling, such as stiffness (stiffness) in the shoulder and failure to heal properly.
Quality of evidence
All 14 studies had weaknesses that could affect the reliability of their results. We considered the quality of the evidence for all outcomes to be either low or very low.
Conclusions
Low-quality evidence suggests that surgery may not be beneficial over conservative treatment, or cause greater complications. However, we are uncertain about these effects, and further research may change these findings.
Treatment of a fracture of the clavicle – prices for surgical treatment of fractures and rehabilitation in the clinic “Mother and Child” in Moscow
Clavicle fracture treatment
In our clinical hospitals, both old and recent injuries of the collarbone are successfully treated.
You can contact us immediately after the break, literally from the street. You will receive first aid for a fracture of the clavicle at a professional level. They will qualitatively anesthetize, inject decongestants, and apply a fixing bandage using a special technique.This bandage prevents further displacement of the fragments.
We approach the treatment of injuries of the clavicle differently, it all depends on the type of fracture.
Fractures without displacement
Fractures without displacement of fragments do not require surgical intervention. These fractures are mostly found in young children. They are figuratively compared to a green branch that does not break completely. For children, subperiosteal fractures are typical, when the clavicle itself is broken, but its outer shell, the periosteum, remains intact.Treatment of a clavicle fracture in children in our hospital is carried out by a doctor who specializes only in childhood injuries.
Displaced fractures
Unfortunately, in adults, in most cases, clavicle fractures are accompanied by displacement of the fragments.
And here you can’t do without an operation. Surgical treatment of a displaced clavicle fracture is performed by the method of osteosynthesis. For osteosynthesis we use titanium plates with screws. Titanium is absolutely harmless, we work only with high quality material.
Patient Information: Types of Clavicle Fractures
Basically, the collarbone breaks when falling. By nature, fractures can be linear and comminuted, the body of the clavicle or its sternal, acromial (scapular) ends. At the same time, ruptures of the ligaments, damage to the scapula are not uncommon. Therefore, in no case should you try to cope with a collarbone injury on your own.
If your collarbone is broken, please contact us immediately. Call the reception or order a call back from the site, our doctors are at your service at any time of the day or night.You can learn more about the methods used in the hospital for the treatment of a clavicle fracture in a personal consultation with a specialist.
90,000 What is a clavicle fracture and how to treat it
Diagnosis and treatment of clavicle fracture
Clavicle fracture – damage to the bone that connects the sternum to the scapula. A fracture is always the result of an injury, such as a direct hit or fall. It is most often observed in athletes, but it can also be diagnosed in newborns who are injured while passing through the birth canal.
Main symptoms of clavicle fracture:
- severe pain in the area of injury;
- misalignment or misalignment of the shoulder;
- crunching and increased pain when trying to raise the arm;
- inability to fully move the arm and raise it.
The injury is dangerous because it can be accompanied by damage to blood vessels and nerves, therefore, at the first suspicion of a fracture, you should immediately consult a doctor.
Which doctor should I go to with a fractured collarbone?
The primary diagnosis and treatment of trauma is done by a traumatologist.
Once your condition has stabilized, your doctor will refer you to a surgeon who will see you for several months.
Why you should contact the traumatologists of “Scandinavia”
Patients with fractures and other traumatic injuries choose the Scandinavia clinic, rather than state trauma centers, because:
- we have traumatologists with more than 5 years of experience who can carry out a full diagnosis and select treatment in order to restore your condition as soon as possible;
- the clinic is equipped with modern X-ray machines and tomographs, which makes it possible to carry out all the necessary examinations in one place.
For patients who are shown osteosynthesis, we have equipped a comfortable hospital with TV, Wi-Fi in the clinic. We also accept nonresident citizens: you can find out the details by calling the clinic.
How is the first consultation with a traumatologist going
On your first visit, your doctor will create a medical record for you, which includes your life history and symptoms.
To do this, he asks you about your personal data, how you got injured, whether you visited other doctors.After collecting the anamnesis, the traumatologist will conduct an examination: he will clarify the localization of pain, sensitivity of the hand.
Diagnosis of clavicle fracture
To make a diagnosis, an examination is enough: bone fragments either tighten the skin tightly, or break it through. To clarify the nature of the injury and the choice of treatment tactics, the doctor will refer you to an x-ray.
Methods of treating a fracture of the clavicle in “Scandinavia”
The equipment of the Scandinavia clinic allows to treat fractures both by surgical and conservative methods:
- Fracture immobilization.The doctor will fix the bones with a special bandage, which should be worn for several weeks.
- Osteosynthesis with screws and plates or a pin. During the operation, the doctor removes the displacement of the fragments and restores the integrity of the bone with the help of metal structures.

Surgical treatment is most commonly used to treat a displaced fracture.
Make an appointment with a traumatologist
You can make an appointment with a traumatologist at the Scandinavia clinic by calling our hotline: +7 (812) 600-77-77.
90,000 Modern methods of treating clavicle fractures Text of a scientific article in the specialty “Clinical Medicine”
14. Devereux R.B., Roman M.J., Paranicas M. Impact of diabetes on cardiac structure and function. The strong heart study // Circulation. – 2000. – Vol. 101. – P.2271-2276.
15. Garsia M.J., McNamara P.M., Kannel W.B. Morbidity and mortality in diabetics in the Framingham population: sixteen-year follow up study // Diabetes.- 1974. – Vol. 23. – P.105-111.
16. Kennel W.B., Hjortland M., Castelli W.P. Role of diabetes in congestive heart failure: the Framingham Study // Am.
J. Card. – 1974. – Vol. 34 .– P. 29-34.
17. McGill J.B., Bakris G.L., Fonseca V, et al. Beta-blocker use and diabetes symptom score: results from the GEMINI study. // Diabetes Obes. Metab. – 2007. – Vol. 9, No. 3. – P.408-417.
18.Nathan D. M., Buse J.B., Davison M.B., et al. Management of hyperglycaemia in type 2 diabetes: a consensus algorithm for the initiation and adjustment of therapy. A consensus statement from the American Diabetes Association and the European Association for the Study of Diabetes // Diabe-tologia. – 2006. – Vol. 49. – P1711-1721.
19. Pories W. J., Swanson M. S., MacDonald K. G., et al. Who would have thought it? An operation proves to be the most effective therapy for adult-onset diabetes mellitus // Ann
Surg.- 1995. – Vol. 222. – P.339-350.
20. Ryder L., Standl E., Bartnik M., et al. Guidelines on diabetes, pre-diabetes, and cardiovascular diseases. The Task Force on Diabetes and Cardiovascular diseases of the European Society of Cardiology and of the European Association for the Study of Diabetes // Eur. Heart J. – 2007. – Vol.
28. – P.88-136.
21.Sanchez M.A. Prevention and Treatment of Congestive Heart Failure in Diabetic Patients // Rev. Esp. Cardiol. – 2002. -Vol. 55. – P.1083-1087.
22. Sjostrom L., Lindroos A. K., Peltonen M., et al. Swedish Obese Subjects Study Scientific Group: Lifestyle, diabetes, and cardiovascular risk factors 10 years after bariatric surgery // N. Engl. J. Med. – 2004. – Vol. 351. – P.2683-2693
23.Smooke S., Horwich T.
B., Fonarow G.C. Insulin-Treated Diabetes is Associated With a Marked Increase in Mortality in Patients With Advanced Heart Failure // Am. Heart J. -2005. – Vol. 149, No. 1. – P.168-174.
24. Yusuf S., Pfeffer M., Swedberg K., et al. Effects of cande-sartan in patients with chronic heart failure and preserved left ventricular systolic function: the CHARM- Preserved trial // Lancet. – 2003. – Vol. 362. – P777-781.
Correspondence address:
664046, Irkutsk, PO Box 62, Kalyagin Alexey Nikolaevich – Associate Professor of the Department of Propedeutics of Internal Diseases, Head.chief physician for therapy.
© S.B. ALKALAEV, M. V. FOMICHEV, V. A. KOPYSOVA – 2008
MODERN METHODS FOR TREATMENT OF CLUTCH FRACTURES
S.
B. Alkalaev, M.V. Fomichev, V.A. Kopysova (Novokuznetsk Institute for Advanced Training of Doctors, Rector – MD, Prof. A.V. Kolbasko)
Summary.In the treatment of clavicle fractures, conservative and surgical methods of treatment are widely used. Conservative treatments are used in patients with simple fractures. For complex fractures with concomitant injuries of the ligamentous apparatus, surgical methods of treatment are used. Methods of external transosseous and submersible osteosynthesis have found the greatest application in practical medicine. Each of these methods has both advantages and disadvantages. Osteosynthesis methods and the choice of construction should be determined depending on the location of the fracture and its complexity.In osteosynthesis of complex fractures and the treatment of false joints and nonunions, the most effective method should be considered internal stress osteosynthesis with fixators with thermomechanical shape memory as one of the methods of immersion osteosynthesis.
Key words: clavicle fractures, conservative and surgical methods.
MODERN WAYS OF TREATMENT OF CRISES CLAVICLE
S.B. Alkalaev, M.V.Fomichev, V.A. Kopysova (Novokuznetsk State Institute for Medical Advanced Studies)
Summary. At treatment of crises clavicle conservative and operative methods of treatment are widely used. Conservative methods of treatment are applied in patients with simple crises. At complex crises at accompanying damages of the copular device operative methods of treatment are applied. The greatest application in applied medicine was found with methods of external perosseous osteosynthesis.Each of the specified methods has both advantages, and lacks. Methods osteosynthesis and a choice of a design should be defined depending on a place of localization of crisis and its complexity. In osteosynthesis complex crises and treatment of false joints and nonadhesions the most effective method it is necessary to count internal intense osteosynthesis clamps with thermomechanical memory of forms as one of methods of osteosynthesis.
Key words: crises clavicle, conservative and operative methods.
Clavicle fractures are a fairly common injury and occur in both adults and children. They account for 12.5-26.1% of all fractures in outpatients [25.35]. The greatest number of fractures occurs in the diaphyseal and proximal sectors of the clavicle.
Clavicle fractures in adult patients with displacement of fragments requiring reduction occur in 86.9% of cases [3.39], and in young children – in 2.4% [25.26].Clavicle fractures in 4.0-5.0% of cases may be accompanied by damage to the acromioclavicular joint and, to a lesser extent, the clavicular-sternum joint [3,25,37].
In the treatment of clavicle fractures both in Russia and in other countries, conservative and surgical methods of treatment are widely used.
On the basis of scientific publications, we tried to characterize the applied methods and determine the way of their further development.
Conservative methods of treatment are used with success in the majority of patients with simple fractures of the clavicle and until now are
breathing in this pathology [17,26].A number of domestic and foreign authors, despite the obvious shortcomings of the method, are in favor of conservative methods of treating clavicle fractures. Surgical intervention often leads to the formation of ugly painful scars and pseudoarthrosis, which are quite rare after conservative treatment [17, 18, 26, 36]. Accordingly, surgical care for fractures of the clavicle is artificially limited.
With the conservative method of treatment, it is far from always possible to keep the fragments in the anatomically correct position using only external immobilization with fixing bandages.
The fixing properties of soft dressings are limited due to the constant excursion of the chest, movements of the head, scapula, etc., as a result of which the retention of fragments of the clavicle becomes impossible, which inevitably leads to displacement of the fragments. The unsatisfactory results of treatment of clavicle fractures using soft fixation dressings reach 16.2%,
a, according to a number of authors, various complications up to
make up 86.0% [2.10].Somewhat better results are achieved with the use of “crutch” bandages, however, delayed fusion, formation of a pseudarthrosis, damage to the brachial plexus and other complications are also quite common in 15.6-17.1% of cases [25,44].
Many authors note the ineffectiveness of one-stage closed reduction with subsequent fixation of the limb in “crutch” bandages in the following cases [8,25]: a) oblique and comminuted fractures; b) fractures in the distal and proximal segments; c) with concomitant damage to the ligamentous apparatus.
The use of external immobilization is impossible in patients with concomitant pulmonary heart disease, rib fractures and chest contusions [1]. There are very limited indications for conservative treatment in patients with fractures of both clavicles and fractures of other localizations, concurrent with damage to the clavicle.
Thus, the results of the analysis of the effectiveness of conservative treatment of injuries of the clavicle, according to a number of authors, indicate an unjustified optimism in relation to these methods, especially in relation to fractures and dislocations of the distal and proximal segments of the clavicle, as well as complex comminuted fractures of its diaphysis.
Recently, in the treatment of collarbone injuries, both domestic and foreign specialists, a number of surgical methods of osteosynthesis have been proposed: 1) external transosseous; 2) submersible (includes intraosseous, extraosseous and transosseous).
According to a number of foreign and domestic clinics, operational activity to restore the integrity of the clavicle reaches 30% or more [25].
External transosseous osteosynthesis of clavicle fractures, including with injuries to its acromial end, is successfully used in the Russian Federation [5,10,15,27,30,32], performed using compression-distraction devices.This method of osteosynthesis is used most often without exposing the fracture zone and makes it possible to perform reduction and stable fixation of fragments.
Of the compression-distraction devices, the Ilizarov apparatus is the most widely used. G.A. Ilizarov for the first time in 1952 proposed using the principle of crossing spokes fixed in metal rings, which are connected by sliding rods. Bringing together or pushing apart the rings of the apparatus fixed on the needles, they produce compression or distraction of the bone elements.
Currently, there are several classifications of external fixation devices. In the clinic and experiment, three types of devices for transosseous osteosynthesis are most often used. This conditional classification is based on the use of various types of transosseous elements – transsegmented (wires) and cantilevered (rods-screws). Spoke, rod and spoke-rod apparatuses are distinguished.
The advantages of external transosseous osteosynthesis are: a) functional and durable osteosynthesis; b) controllability of the position of the fragments in the process of fracture treatment; c) elimination of shortening and other deformities of the clavicle, which are inevitable with a conservative method of treatment; d) release of the shoulder girdle from immobilization; e) combining the process of rehabilitation and treatment.
The time of fixation in devices is reduced to 20-85 days, while good results of treatment reach more than 90%.
Along with the positive characteristics of the method, there are a number of negative ones that hinder its widespread use.
According to a number of authors, the number of complications after transosseous osteosynthesis of the clavicle due to inflammation is
soft tissues in the area of the needles, increased to 19%
[3,18,39,44].It is not always possible to achieve close contact between bone fragments in comminuted fractures. Special knots, which are introduced for reduction and fixation of fragments, often involve open reduction. Structures are becoming more complicated, and their installation is possible by highly qualified specialists in operating rooms equipped with special equipment. To adapt bone fragments in devices for transosseous osteosynthesis, special pins with thrust pads, corkscrew-like with a variable pitch of turns, are used.
In the process of installing the transosseous apparatus, it is necessary to perform manipulations with a high degree of accuracy. To reduce the risk of damage to the neurovascular bundle, visual control is required when passing the wires, which is carried out with special equipment that is inaccessible to most medical institutions [32]. In this regard, despite the high efficiency of transosseous osteosynthesis, at present it is not widely used for the treatment of clavicle fractures and, above all, complex ones. In recent years, much attention has been paid to the development of stable-functional osteosynthesis, preference is given to submersible osteosynthesis, which provides early mobilization and rapid social and labor rehabilitation of victims.
Submersible osteosynthesis remains the main method of surgical treatment for clavicle fractures. The intensive development of methods of submerged osteosynthesis began in 1958, when M.A.
Miller has brought together a group of general surgeons and orthopedic surgeons willing to devote time and effort to creating and organizing a dedicated research group for clinical research. This group was organized in the same year under the name “Arbeitsgemeinschaft fur Osteosynthesefragen” (AO), later known in English-speaking countries as the Association for the Study of Internal Fixation (ASIF) [26].
Below is a brief information about the methods of immersion osteosynthesis, widely used in practice, which are conventionally called traditional. Intraosseous osteosynthesis with wires and titanium rods is used in 65.2% of cases [7,17,18,24,26,43,46]. Fracture fixation with extra-bone structures is used much less often, only in 25.8-26.7% of cases [26].
Intraosseous osteosynthesis with Kirschner wires is the least traumatic, simple and affordable, as a result of which it is often used to treat clavicle fractures in children [8,24].Intramedullary fixation with a thin (1.5-2.0 mm) wire does not provide sufficient stabilization of the fragments and patients, after surgery, need external immobilization. The main reason for failures of longitudinal splinting of the clavicle with a wire is its migration, deformation in the medullary canal with the appearance of angular displacement of fragments, as well as a fracture of the wire [24,25,36].
A number of researchers warn surgeons against osteosynthesis with wires of fractures of the sternal segment of the clavicle due to the possible migration of the wire into the mediastinum because it can threaten the patient’s life [36,38].It is recommended to fasten the fragments with bone sutures with absorbable sutures [17,18,44,43]. Thus, the fixation of the fracture is performed at the expense of the stability of the osteosynthesis.
Osteosynthesis with a Kirschner wire for fractures of the distal segment of the clavicle is performed transacromially with fixation of the injured limb after the operation with “epaulet” bandages [25]. Due to insufficient stability of osteosynthesis, especially with concomitant injuries of the ligamentous apparatus of the acromioclavicular joint, there is a slow fusion of fragments, the formation of a pseudarthrosis.Subsequently, the phenomena of art develop –
rose of the articulation, accompanied by calcification of the ligaments, osteolysis of the acromial end of the clavicle and dislocation in the articulation [12,43,48]. In case of injuries of the ligaments of the acromioclavicular joint, due to the low efficiency of conservative methods of treatment, the most common method of fixation is osteosynthesis with two wires inserted through the acromial process of the scapula into the medullary canal of the distal segment, followed by the imposition of an 8-shaped tightening wire loop [35, 37, 47].A number of authors cite data on the high efficiency of this fixation method: in 78.1-91.6% of patients, fracture union occurs. Patients after surgery require external immobilization. Control results of long-term treatment outcomes are more pessimistic: in 12.5-24.4% of patients who underwent surgery, there is a limitation of function, an unaesthetic appearance of the intervention area (skin with underlying soft tissues and bone is welded with scars), excessive mobility of the clavicle in the acromial clavicular joint.The phenomena of arthrosis and pain syndrome are present in 52% of patients [37,47]. According to other data of a number of researchers, the percentage of clavicle nonunions when using this technique can reach 30-45% [12,35,41,48].
Such large differences in the literature data on the outcomes of osteosynthesis with wires and lashing loops are largely due to the discrepancy between the chosen method of treatment and the nature of the injury [29,38,42].
The method of osteosynthesis with a wire and a tightening loop, despite its advantages, cannot be used in patients with injuries of varying severity.For each type of fracture, it is necessary to select a scheme of guaranteed methods of osteosynthesis. With an increase in the energy of destruction of bone and soft tissue structures, it is necessary to introduce additional elements into the fixation system that increase its rigidity [36,40,41,45].
Intramedullary osteosynthesis of diaphyseal fractures of the clavicle, as the least traumatic, finds many supporters [17,18,24]. Indications for intramedullary osteosynthesis with Kirschner wires are presented in the case of nonreponable fractures in children, as well as in adults with a limited diameter of the bone marrow canal [40,41].
However, even in the case of fixing the injured limb with “crutch” bandages (in the frame of Chizhin, Kuzminsky), it is impossible to exclude rotational displacement of the clavicle fragments on the thin wire due to the peculiarities of its function and anatomical position [25]. A fairly common complication of the osteosynthesis with wires is their early migration, fracture and deformation of structures, the formation of false joints. Many authors note a delayed fusion of fractures of the diaphysis of the clavicle with the formation of excessive endosseous calluses in the position of angular deformity, rotation of fragments and involvement of soft tissues and skin with a noticeable cosmetic defect in the callus [10,47].
Fixation of comminuted and oblique fractures with an intramedullary wire is accompanied by fixation of bone fragments with catgut or cerclage with tantalum wire [3]. Fixation with catgut threads, in the near future after the operation, turns out to be untenable: the fragments are displaced, the defect in the bone substance turns out to be the cause of slow fusion or the formation of a pseudarthrosis. A similar trend is observed in the case of twisted splinting with tantalum wire.In addition, the contour element of the wire loop after tightening it injures the soft tissues [48,49]. There are reports of slipping of the extra-bone structure into the gap between the fragments, with the subsequent failure of the osteosynthesis and the need for reoperation, as well as
the same involvement of extramedullary wire loop in excess bone callus [7,10,11,36].
Thus, osteosynthesis with wires, as the least traumatic, can be effectively used in children with diaphyseal transverse fractures of the clavicle and in some cases in adults in combination with full external immobilization.
Intraosseous osteosynthesis with rods (nails) is performed to provide a more stable fixation. Titanium rods of various shapes (rectangular, threaded, wavy, etc.) are used [7,17,18,24,49].
V.V. Klyuchevsky [17, 18] proposed antegrade insertion of rectangular rods with preliminary reaming of the bone marrow canal. Indications for osteosynthesis with rectangular nails are transverse and comminuted fractures of the middle third of the diaphysis of the clavicle.The author notes that the clavicle is a “very uncomfortable” bone for osteosynthesis, since it has an 8-shape, and the nail must be held as far as possible.
Osteosynthesis with a thin Bogdanov nail is technically easier to carry out, however, as in the case of fixation with wires, their migration and deformation are not excluded (5.2-6.0% of cases) [24, 25].
Nails with a locking element at the distal or proximal end have significant advantages, since migration of the structure before the fracture union is excluded and rotational displacements are leveled [10].Osteosynthesis with nails with a blocking element is a fairly effective method of treating transverse fractures, nonunions and false joints of the diaphysis of the clavicle. Good results with full recovery of function are achieved in 85.1-92.5% of cases. The results of osteosynthesis of comminuted and oblique fractures are much worse.
Fixation of transverse diaphyseal fractures with a rectangular nail, carefully adapted to the size of the medullary canal, is indicated for patients with a clavicle shape with unexpressed 8-shaped bends and a sufficient size of the intramedullary canal.The presence of blocking elements in the intramedullary nail makes it possible to create the prerequisites for stable functional osteosynthesis, to reduce the volume of complications, but the possibilities obtained are not fully realized in relation to comminuted and oblique fractures [36,40,47]. In this regard, there is a need to revise the indications for intramedullary osteosynthesis of comminuted and oblique injuries of the clavicle.
The wave-like shape of the rod, proposed by V.M. Voronin et al. in 1998, the most attractive (patent for invention No. 2142756 dated February 26, 1999) Osteosynthesis, performed with a wave-shaped rod, takes into account the shape of the clavicle to a greater extent, the positive result of treatment reaches 84.8% [7]. The essence of the novelty is that a flat rod, during the operation, with the help of the tool is given a wavy shape in the plane of the wide side of the rectangular section along its entire length, with the exception of the distal end, with an equal step between the peaks and valleys of the waves or with a different step between them. moreover, the minimum height of the peaks and valleys of the waves exceeds the diameter of the medullary canal.Then this rod is inserted with its distal end into the bone marrow canal of the peripheral fragment until it exits through the skin in the area of the acromial process. After reduction of the clavicle fragments, the rod is inserted into the central fragment to the length of the bone marrow canal. For oblique fractures of the clavicle, the wavy rod must be positioned with its wide side perpendicular to the plane of the fracture line. Moreover, the diameter of the bone marrow canal does not affect the stability of the osteosynthesis of the clavicle fracture. The excess of the rod protruding above the skin is typically bite off.
The fragments are placed in their place and fixed with catgut or lavsan.
The use of a wave-like rod allows: a) to reduce the time of consolidation of the clavicle fracture by eliminating the mobility of the rod in the bone marrow canal; b) to reduce the typical sizes of rods and their number, to simplify the process of choosing a rod during the operation; c) to perform osteosynthesis of a clavicle fracture with comminuted, multi-comminuted, non-fused fracture, pseudarthrosis; d) reduce trauma, shorten the operation time and immobilization time; e) in some cases, do not remove the rod, which can serve as an implant for fractures of the clavicle with a defect in bone tissue.
Thus, the choice of the nail required for osteosynthesis is made in the process of visual examination and assessment of the situation in the operated wound and is associated with the need for wide exposure of fragments [3,17,25,26]. Due to the wide variability of the shape of the clavicle and, accordingly, the diameter of the medullary canal, errors in the choice of the shape and size of the rod, even the wave rod, are not excluded, in this case, when it is inserted between the fragments, diastasis can form, which significantly slows down the healing process of the fracture [10] …
Extraosseous osteosynthesis with plates has been actively introduced into the medical practice of surgical treatment of fractures since 1958. AISH has proposed a wide range of extraal plates. The range of indications for osteosynthesis of various types of fractures, including damage to the clavicle, has significantly expanded. A team of authors has developed a system of osteosynthesis, in which an important role is played by dynamic compression – technical methods provide contact and compression of abutting fragments [13,26,46].A8SH plates for osteosynthesis of clavicle fractures are widely used in practice. With the accumulation of experience, including negative experience, the bone plates were improved. Currently, three types of plates are most widely used for osteosynthesis of clavicle injuries: a) dynamic compression plate 3.5 mm thick with 6-7 screw holes; b) T-shaped plate for fixing fractures of the distal clavicle; c) reconstruction simulated plate 2.0-3.5 mm thick for osteosynthesis of fractures localized in anatomically “inconvenient” areas.
Due to the anatomical features of the clavicle and the nature of the forces acting on the clavicle, it is difficult to provide sufficient compression of the fragments (one of the A8SH postulates) with lag screws. In all segments of the clavicle, the anteroposterior dimensions of the clavicle prevail over the upper-lower ones, almost twice. Placing the plate on the anterior surface of the clavicle requires extensive mobilization and is highly traumatic. The standard placement of the plate over the superior surface of the clavicle dictates the choice of short screws, which do not provide sufficient stabilization [25].
Reconstruction plates have advantages, since the variability of their shape, depending on the configuration of the clavicle, allows them to be installed in fractures, practically of any location, but it must be remembered that their fixing qualities practically do not differ from rectangular compression plates [17,49]. Even in the classic manuals, the authors and followers of AO AISh osteosynthesis are very careful in making recommendations regarding osteosynthesis with extraal plates [13,16,17,26].Analysis of the literature [17, 19, 43] revealed the standard complications of osteosynthesis with A81E plates, delayed fracture regeneration and the formation of pseudoarthrosis in 16.8% of cases with fractures in the clavicle diaphysis [26]. Result –
th of osteosynthesis of the distal segment, according to a number of authors [37,39], were noticeably worse. Delayed fusion was observed in 5.6-30.7% of patients. In 7.9% of cases, the screws were displaced until they were removed, including in 2.4% of patients bedsores appeared in the area of the supplied structural elements.In the short term after osteosynthesis, 5.7% of patients showed suppuration and divergence of the edges of the surgical suture. In 4.3% of cases within 4-6 months, due to bone resorption in the area of the extreme screws, a repeated clavicle fracture occurred [49].
According to the ASIF method for the treatment of non-union, special compression plates are recommended, during the installation of which lag screws are used. Osteosynthesis with plates violates one of the principles of surgical treatment of nonunions, namely, the atraumatic nature of the surgical intervention.Installation of the plate requires a wide exposure of the bone with its skeletonization, which is especially unfavorable for the clavicle, which is poorly covered by soft tissues.
The initial enthusiasm for clavicle osteosynthesis with ASIF AO plates, which was noted in the 60-70s of the XX century [26], was replaced by a more differentiated and balanced approach. In recent publications, many authors have noted the negative aspects of this method, and in relation to clavicle fractures, significantly limit the use of ASIF AO plates [19].
Internal transosseous osteosynthesis is carried out using screws and wires. In this case, the fixators are passed in the transverse or oblique direction through the walls of the bone tube in the fracture zone through two cortical layers. A special type of transosseous osteosynthesis is a bone suture. At the same time, channels are drilled in the fragments and ligatures are passed through them, which are then tightened and tied.
For transosseous osteosynthesis, a plaster cast is usually applied.This method has practically no independent significance in the treatment of fractures, but it can be used in combination with other methods of osteosynthesis (intraosseous and extraosseous).
The discrepancy between the choice of the osteosynthesis method and the applied structures to the site of fracture localization and its complexity predetermine a high proportion of complications. The corresponding publications indicate the relationship between the wrong choice of the method of osteosynthesis, insufficient reduction and immobilization of fragments with the formation of false joints [10, 29].
G.A. Ilizarov et al. [15] directly indicate that in 35.3% of cases the selected structures do not correspond to the type of damage. The discrepancy between the mechanical capabilities of the structure and the magnitude of the efforts on it is manifested by the lack of regeneration and local resorption at the interface with the implant, as well as the separation of elements and deformation of the structure [48].
A significant number (from 16.1 to 35.6%) of patients with delayed consolidation, nonunion and pseudoarthrosis of the clavicle after osteosynthesis is a clear evidence of the unsuccessful use of surgical methods for treating clavicle injuries [1,10,12,33].
Surgical activity in relation to clavicle fractures is constantly increasing, respectively, the number of patients with complications after surgery is also increasing. The lack of reliable fixation of the fragments is the reason for the violation of osteogenesis. According to E.A. Raspopova [29] the reasons for nonunions of tubular bones in 60.4% of cases is fragile fixation of fragments. Physiologically unjustified methods of surgical treatment using aggressive metal structures, as well as osteosynthesis performed with violations of the rules of biomechanics, inhibit reparative osteogenesis and lead to the development of pseudoarthrosis and nonunions [1,33,42].
An increase in the number of patients with comminuted transmission –
clavicle crowbars [4,10,25] on the one hand, and on the other hand, their frequent treatment with conservative methods, caused an increase in cases with nonunions to 19.1%. Disorders of fracture regeneration have become frequent, and in children, non-union is 5.0-10.4%
[40.44].
Treatment of false joints and nonunions is a complex problem.It is fundamentally important in the surgical treatment of false joints, to take into account the atraumatic nature of the intervention, to ensure a strong connection of fragments (without bone defects) in the correct position, and also to provide biological stimulation of reparative regeneration processes using bone grafting.
Development and improvement of methods of clavicle osteosynthesis followed the path of using modern materials and reducing the size of the structures used.With the advent of titanium nickelide constructions with thermomechanical shape memory in practice, it became possible to more successfully solve the problems of clavicle osteosynthesis and, at the same time, more fully implement the AOSIF requirements in the treatment of fractures.
Internal stress osteosynthesis of clavicle fractures with fixators with thermomechanical shape memory began to be used about 30 years ago in connection with the appearance of titanium nickelide alloys with a number of unique properties: shape memory effect, superelasticity and high inertness in biological media, and the ability to maintain stress-strain for a long time. state [1 -4.6, 14,2022,25,31,41,50].The first fixators with shape memory were created by V.V. Kotenko together with a group of employees of the departments of traumatology and neurosurgery of the Novokuznetsk State Institute of Higher Education on the basis of titanium nickelide alloys manufactured at the Siberian Physico-Technical Institute. V.D. Kuznetsova. Since 1992, the Medical Engineering Center of Shape Memory Alloys in Novokuznetsk has launched the serial production of the corresponding retainers.
Ring-shaped clamps and wire staples are the most widely used in practical healthcare.The design of the ring clamps and brackets can be different. The specific form of fixators is selected from the location of the fracture and its type. In the treatment of fractures, a leg-length brace is often used, which is inserted intramedullary into the damaged collarbone.
In case of oblique and comminuted fractures, the site of injury is additionally splinted with annular clamps. Ring clamps with shape memory allow the most stable fastening of bone fragments and subsequently keep them in the correct anatomical position until the moment of bone fusion.When using ring-shaped structures, surgical intervention impresses with its simplicity and low degree of trauma.
With the use of small-sized fixators, it became possible to reduce the volume of bone preparation, reduce the invasiveness of the operation, implement constant uniform compression between fragments – all this contributed to the creation of conditions for normal regenerative processes. Clavicle osteosynthesis using fixators with thermomechanical shape memory, as a rule, excludes external immobilization.
It should be noted that in practice, this or that method of osteosynthesis is rarely used in its pure form. For the most part, combined osteosynthesis is performed. So, for example, A.A. Thin et al. proposed a combined stress osteosynthesis of clavicle fractures [33], which combines intraosseous osteosynthesis with wires and the fixing device of the Ilizarov apparatus. Combined osteosynthesis is especially widely used with the use of small-sized fixators with p-
crumpled shape.Numerous publications provide data on the high efficiency of osteosynthesis of transverse fractures of the clavicle with braces with an intramedullary stem or with the use of an 8-shaped extramedullary bracket and an intramedullary nail (97.698.1% of good outcomes) [4,10,19,25]. Intramedullary osteosynthesis of oblique and comminuted fractures with extramedullary splinting with annular shape memory devices is also an effective method – good and satisfactory results were obtained in 96.5-98.0% of cases [3,10,11,21,22].
The possibilities of osteosynthesis of fractures, pseudoarthrosis and collarbone nonunion have significantly expanded with the use of small-sized structures with shape memory. A number of reports [3, 10] mention individual cases of the successful use of intensive combined osteosynthesis with fixators with shape memory in case of clavicle nonunions. With non-union of the clavicle V.A. Lanshakov [25] used bone grafting with graft fixation with ring-shaped shape memory devices.
In most scientific publications, the authors consider the treatment of clavicle fractures as a particular issue. We did not find a comprehensive study devoted to the surgical treatment of clavicle injuries using constructions with thermomechanical shape memory. However, there are studies of a number of scientists [3,25,36,37] on the treatment of fractures and dislocations of the acromial end of the clavicle using shape memory devices.Special attention should be paid to the studies of V.A. Kopysova et al. [21]. They conducted a series of experiments on the selection of fixators with thermomechanical shape memory for various lesions of the clavicle. They found that “interfragmental compression with constrictive fixators with shape memory exceeds the stability of intraosseous osteosynthesis of the clavicle by 10-15 times,” and also made recommendations on the use of fixators for various types of clavicle fractures.
Scientific publications do not provide data on the impact on children’s bone of the efforts developed by structures during form restoration, as well as recommendations regarding the optimal parameters of fixation devices [3,19,25], methods of treating false joints and clavicle nonunions are not sufficiently covered, as well as treatment of fractures with multiple and associated injuries.
Known shape memory devices used for osteosynthesis of clavicle injuries are in need of improvement.
Improving the effectiveness of the treatment of injured clavicle fractures is an urgent problem today. For a positive solution to this problem, internal stressful osteosynthesis with the use of small-sized fixators with thermomechanical shape memory can help.
The possibilities inherent in the material and structures to realize constant intense compression during the treatment process ensure tight contact and fixation of fragments, as well as create conditions for the normalization of regeneration processes. Installation of fixators is a low-traumatic operation [10, 19, 25].
Internal stress osteosynthesis of the clavicle with fixators with thermomechanical shape memory is a promising direction for solving the following problems: a) improvement of osteosynthesis of clavicle fractures in both adults and children; b) increasing the efficiency of the osteosynthesis of pseudoarthrosis and nonunions; c) increasing the effectiveness of treatment of the clavicle in patients with multiple and associated injuries.
Thus, until the middle of the 20th century, the overwhelming majority of practicing doctors preferred conservative methods of treating fractures
clavicle.
In the presence of complex fractures of the clavicle, often accompanied by injuries of other localizations, surgical methods of treatment are widely used: external transosseous and submerged osteosynthesis.Currently, in the practice of treating injuries of the clavicle, both conservative and surgical methods are used, depending on the location of the localization.
REFERENCES
1. Aleinik A.V., Plotkin G.L., Shataeva E.V. Stable functional osteosynthesis of small tubular bones in an outpatient setting with fixators with shape memory effect // Outpatient surgery. – 2004. – T. 16, No. 4. – P.159.
2.Anisimov A.I., Kornilov N.V., Kanykhin A.V. et al. Electrochemical aspects of implantation of metal structures in traumatology and orthopedics // Sixth congress
Th> Avmatologists and Orthopedists of Russia: Abstracts of reports. – Izhniy Novgorod, 1997 .– S. 359.
3. Babushkin Yu.N., Konev V.P., Lanshakov V.P. Surgical treatment of fractures of the clavicle // Scientific and practical. conf. with int. part. “New technologies in medicine”: abstracts of reports.- Kurgan, 2000. – Part 1. – P.240.
4. Biocompatible materials and implants with shape memory / Ed. V.E. Gunther. – Tomsk: Northapton, MA, 2001 .– 253 p.
5. Beydik O.V., Evdokimov M.M., Romakin N.A. Surgical treatment of clavicle fractures using external fixation devices // Genius of Orthopedics. – 2002. – No. 2. – P.45-50.
6.Bragin V.B. The use of fixators with shape memory for the treatment of injuries of the clavicle: Abstract of the thesis. dis … cand. honey. sciences. – SPb., 2004 .– 16 p.
7. Voronin VM, Lapin NM, Semkin Yu.B. et al. New treatment of a fracture of the clavicle with a rod // West. Grew up. University of Friendship of Peoples. Ser. “Medicine”. – 2001. – No. 7. –
8. Garnaev A.A., Khababyanov R.Ya., Pankov I.O. Advantages and disadvantages of various methods of treating injuries of the clavicle // Scientific and practical.conf. with int. part. “New technologies in medicine”: abstracts of reports. – Kurgan, 2000. – Part 1. – P.111.
9. Golyakhovsky V.Yu., Frenkel V.A. Guidance on transosseous osteosynthesis by the Ilizarov method / Authorized. translation from English. ed. V. M. Lirtsman. – M .: Binom -SPb .: Nevsky Dialect, 1999 .– 269 p.
10. Gorodilov V.Z., Tuzovsky A.V. Osteosynthesis with compression braces with shape memory in patients with nonunited fractures and pseudarthrosis of the clavicle // Act.questions of implantology and osteosynthesis: Sat. scientific. works. – Novokuznetsk, 2000. – Part 2. – P.34-35.
11. Gorodilov V.Z., Kopysova V.A., Kishkarev V.V. Internal stress osteosynthesis with fixators with shape memory for nonunions of the diaphysis of tubular bones. conf. with int. part. “Topical issues of implantology and osteosynthesis”: abstracts. – Novokuznetsk – SPb., 2002. – P.9.
12.Gulnazarova S.V. Modern methods of treating false joints // Travmatol. and an orthopedist. – 2001. – No. 1. – P.78-81.
13. Ermakov A.N., Samsonov S.Yu., Kvinikadze G.E. and others. Possibilities of bone osteosynthesis of clavicle fractures // Mater. Of the Sixth Russian National Congress with International part. “Man and Health”.
– SPb., 2001 .– S.36-37.
14.Zubairov F.S. Methods of surgical treatment of a congenital pseudarthrosis of the clavicle using a titanium nickelide construction // Traumas. and an orthopedist. Russia. – 2002. – No. 3. – P.120.
15. Ilizarov G.A., Popova L.A., Shchevtsov V.A. The method of transosseous osteosynthesis is a new stage in the development of domestic traumatology and orthopedics. – 1986. – No. 1. – P.1-5.
16. Kalashnikov V.Vl., Kalashnikov V.V., Afonin E.A. Experience of surgical treatment of clavicle fractures // Act. problems of treatment and medical rehabilitation of patients with orthopedic trauma. Profile: Mater. region scientific-practical Conf., Prokopyevsk-Kemerovo // Medicine in Kuzbass. – 2006. – No. 7. Special. no. – P.23-24.
17. V. Klyuchevsky Damage surgery. – Yaroslavl: DIA-press, 1999 .– 646 p.
18. Klyuchevsky V.V., Sukhanov G.A., Zverev E.V. and other Osteosynthesis with rectangular rods. – Yaroslavl, 1993 .– 323 p.
19. Kotenko V.V. Materials with the effects of memory and superelasticity in traumatology and orthopedics // II International Congress of Implants with Shape Memory in Traumatology and Orthopedics: abstracts of reports. – Novokuznetsk, 1993 .– P.3.
fracture and its type according to the Müller-Allhover-Schneider-Willingger Universal Qualification.
Internal stressful osteosynthesis with fixators with thermomechanical shape memory as one of the methods of submerged osteosynthesis is effective in the surgical treatment of the clavicle and the prospects for its development are far from exhausted.
20. Kotenko V.V. Internal stress osteosynthesis with devices with thermomechanical memory – a stage in the development of modern surgery of injuries.conf. with int. part. “Act. questions of implantology and osteosynthesis “: a fragment of the report. – Novokuznetsk-SPb., 2000 .– 20 p.
21. Kopysova V.A., Kaplun V.A., Nepomnyashchikh O.V. Osteosynthesis of the clavicle with fixators with thermomechanical memory: Methodological guide. – Novokuznetsk: VNPTs IPF, 2002 .– 14 p.
22. Kornilov N.V., Kopysova V.A., Ratkin I.A. et al. Guidelines for osteosynthesis with fixators with thermomechanical memory // Compression braces and ring-shaped fixators.- Part 1. – Novokuznetsk-1996. – 92 p.
23. Kravchenko O.F., Onishchenko A.V., Nosivets D.S. Primary osteosynthesis with a cancellous screw in fractures of the clavicle // Orthopedist, traumatology. and a prosthesis. – 2006 .–
No. 1. – P. 99-102.
24. Kutepov S.M., Stakheev I.A., Novitskaya N.V. Stable intramedullary osteosynthesis according to Bogdanov (to the history of the issue) // Travmatol.and an orthopedist. Russia. -2001 – No. 1. – P.7-8.
25. Lanshakov V.A. Treatment of orthopedic and traumatological pathology of the shoulder joint using structures with shape memory: Author’s abstract. dis … doct. honey. sciences.
– Irkutsk, 1996; – 32 p.
26. Müller ME, Allhover MA, Schneider R. et al. Guidelines for internal osteosynthesis (technique recommended by the Switzerland group).- Springer-Verlag, 1996.
27. Peshekhonov E.V., Galin V.I., Zadulin Yu.V. and others. The use of an external fixation device in the treatment of comminuted fracture of the clavicle in concomitant trauma // Military-med. zhur. – 2005. – T 326, No. 3. – P.49-50.
28. Plotkin G.L., Sabaev S.S., Oleinik A.V. et al. Titanium nickelide as an optimal material for creating structures for the purposes of stable-functional osteosynthesis // Outpatient surgery.- 2004. – T. 16, No. 4. –
S.168-169.
29. Raspopova E.A., Kolomiev A.A., Peleganchuk V.A. Osteosynthesis planning // Sixth congress of traumatologists and orthopedists of Russia: abstracts of reports. – Nizhny Novgorod, 1997 .– P.442.
30. Romakina N.A. Surgical treatment of patients with clavicle fractures with rod-type external fixation devices: Abstract of the thesis.dis … cand. honey. sciences. -Saratov, 2005 .– 22 p.
31. Guide to osteosynthesis with fixators with shape memory / Ed. V.V. Kotenko. – Part 1. – Novokuznetsk, 1996 .– 94 p.
32. Slobodsky A.B., Barabash A.P., Popov A.Yu. et al. Three-dimensional modeling of transosseous osteosynthesis in the treatment of fractures of the short tubular bones of the extremities // Orthopedic Genius. – 2005.- No. 3. – P.39-43.
33. Tonkikh S.A., Kolomiets A.A., Raspopova E.A. and other Analysis of complications and outcomes in internal osteosynthesis of clavicle fractures // Mater. All-Russian Conf .: Abstracts of reports. – Leninsk-Kuznetskiy, 2002 .– p. 143.
34. Tonkikh S.A., Kolomiets A.A., Solomin L.N. Combined stress osteosynthesis of clavicle fractures: comparative analysis of long-term results // Traumas.and an orthopedist. Russia. – 2004. – No. 1. – P.10-13.
35. Bartonicek J., Slavik M., Kofranek J. Acromiklavikularni kloub // Acta orthor, traumatji. Cechoslovaca. – 1995. -Vol. 62, no. 4. – P285-296.
36. Bradburu N., Hutchinson J., Hand D., et al. Clavicular nonunion. 31 | 32 healed after plate fixation and bone grafting // Acta Orthop Scand. – 1996. – Vol. 67, no. 4. – P367-370.
37.Shih C.H. Surgical treatment for distal clavicle fracture with coracoclavicular ligament disrup-tijn // J. Trauma. – 2002. – Vol. 52, no. 1. – T.72-78.
38. Coppieters M. W., Stappaerts K. H., Staes F. F., et al. Shoulder girdle elevation during neurodynamic testing: an assessable sign? // Man Ther. – 2001. – Vol. 6, no. 2. – P88-96.
39. Foerster D., Black G.B., Magnus K.G. Musculoskeletal images.Clavicular soft-tissue mass // Can J Surg. – 2001. -Vol. 44, No. 2. – P.88-89.
40. Goldfard G. A, Bassett G.S., Sullivan S., et al. Retrosternal displacement afterphyseal fracture of the medial clavicle in children treatment by open reduction and internal fixation // J. Bone Joint Surg. Br. – 2001. – Vol. 83, no. 8. – Pl68-172.
41. Gorman J. Characteristics metals used in implants // S.En-dourol. – 1997. – Vol. ll, No. 6. – P.383-389.
42. Harnroongroi T, Tantikul C, Keatkor S. The clavicular fracture: a biomechanical study of the mechanism of clavicular fracture and modes if the fracture // J. Med Assoc Thai. – 2000. – Vol. 83, No. 6. – P.663-667.
43. Kao F.C., Chao E.K., Chen C.H., et al. Treatment of distal clavicke fracture using Kischner wires and tension-band wires // J.Trauma. – 2001. – Vol. 5L, No. 3. – P522-525.
44. Kljnz A., Hockertz T, Reilmann H. Clavicular fractures Un-fallchimrg // J. Trauma. – 2001. – Vol. 104, No. 1. – P.70-81.
45 Madu C. N, Guint D. J, Normolle D. P, et al. Definition of the supraclavicular and infraclavicular nodes: implications for three-dimensional CT-based conformal radiation therapy // Radiology. – 2001. – Vol. 221, no. 2.- P333-339.
46. Oh C.W., Kyund H.S., Kim P.T., Ihn J.C. Failure of internal fixation of the clavicle in the treatment of ipsilateral clavicle
and glenoid necr fractures // J. Orthop Sci. – 2001. – Vol.
6, No. 6. – P601-603.
47. Parry D.J, Waterworth A., Scott D. J. Post-traumatik clavicular pseudo-arthrosis-an unusual case of venous thoracic outlet syndrome // Eur. J. Vase Endovase Surg. – 2000. – Vol.
20, No. 4. – P.403-404.
48. Scmidt-Rohlfmg B., Niedhart C, Schwer E. H., et al. Clav-icelar pseudarthrosis in childhood: diagnosis, clinical aspects, therapy and results // Z. Orthor Ihre Grenzgeb. – 2001. -Vol. l39, No. 5.- P447-451.
49. Sutherland A.G, Knight D.J. Bilaneral fractured clavicles-a pair of cases // Acta Orthop Bekg. – 2000. – Vol. 66, no. 3. -P306-307.
50. Williams G. R., Narania J., Karduna A., et al. The floating shoating shoulder: a biomechanicai basis for classification and management // J. Bone Joint Surg. Am. – 2001. – Vol. 83-A, No. 8. – P182-187.
Correspondence address:
m.Novosibirsk-48, st. Nemirovich-Danchenko, 137/2, apt. 13,
house. Tel. (8-383-344-50-73), mob. 8-923-246-48-24, Fomichev Maksim Viktorovich – traumatologist of the MUZ GKB No. 2, Novosibirsk, applicant for the Department of Traumatology and Orthopedics of the Novokuznetsk State Medical Institute
PEDAGOGY
© N. A. KISELEVSKAYA – 2008
FEATURES OF PSYCHOMOTORAL DEVELOPMENT OF EARLY AGE CHILDREN WITH CHILDREN’S CEREBRAL PARALYSIS AND THEIR MEDICAL-PSYCHOLOGICAL-PEDAGOGICAL CORRECTION
N.A. Kiselevskaya
(Irkutsk State Pedagogical University, Rector – Candidate of Physical and Mathematical Sciences, Prof. A.V. Gavrilyuk, Department of Clinical and Psychological Foundations of Defectology and Speech Therapy, Head – Ph.D., Assoc. L. Indenbaum)
Summary. The proposed material aims to highlight issues related to the characteristics of the psychomotor development of young children with cerebral palsy and their medical-psychological-pedagogical correction.
Keywords: cerebral palsy, psychomotor development, medical-psychological-pedagogical correction.
PECULIARITIES OF PSYCHOMOTOR DEVELOPMENT OF SMALL CHILDREN WITH CEREBRAL SPASTIC INFANTILE PARALYSIS AND MEDICAL-PSYCHOLOGICAL-PEDAGOGICAL CORRECTION
N.A. Kiselevskay (Irkutsk State Pedagogical University)
Summary.The proposed material has the aim to cover problems, connected with the peculiarities of psychomotor development of small children with cerebral spastic infantile paralysis and their medical-psychological-pedagogical correction. Key words: cerebral spastic infantile paralysis, psychomotor development, medical-psychological-pedagogical correction.
In recent years, there has been an increase in the number of children born with signs of perinatal damage to the central nervous system.These lesions combine various pathological conditions caused by exposure of the fetus to harmful factors in the prenatal period, during childbirth and early after birth. The leading place in the perinatal pathology of the central nervous system is occupied by asphyxia and intracranial birth trauma, which most often affect the nervous system of an abnormally developing fetus. Early brain damage is necessarily further manifested in varying degrees of impaired development. Despite the equal probability of damage to all parts of the nervous system, when pathogenic factors act on the developing brain, the motor analyzer suffers first and foremost.Due to the fact that
the immature brain suffers, further rates of its maturation slow down. The order of inclusion of brain structures as they mature into functional systems is violated.
Perinatal encephalopathy (PEP) is a risk factor for motor pathology in a child. In children with perinatal cerebral pathology, gradually, as the brain matures, signs of damage or impaired development of various parts of the motor analyzer, as well as mental development, are revealed.With age, in the absence of adequate medical and pedagogical assistance, a more complex pathology is gradually formed, developmental disorders become fixed, which often leads to severe motor pathology – cerebral palsy (cerebral palsy).
Removal of the plate after fracture fusion
In the first few hours after the fracture, osteosynthesis is possible – fixation of bone fragments using special structures.The purpose of the process is to ensure immobility and create conditions for the bones to fuse in the correct position.
If screws, metal plates or other fixing structures were used to heal the fracture, then after the splice they must be removed. The reason is that foreign bodies in the body can provoke the formation of cysts and rejection.
Technical features of installation and removal of clips
With the correct installation of the external structure, the removal of the pins after a fracture is not difficult – the pins are simply removed.If the fixation is intraosseous, inside the joint, using nails and screws, then a full-fledged operation is required.
Pin fixation is used to connect the joints of the limbs and fingers. It can be carried out externally, when the end of the spoke rises above the surface, or internally, when the entire structure is under the skin. The technique is used as a temporary measure. In some cases, if patellar fractures, clavicular or elbow injuries are fixed, stable fixation and a longer time for fusion are required.
In case of a hand fracture, osteosynthesis techniques are used – metal structures, knitting needles, and the Ilizarov apparatus is installed. They are removed only after complete healing.
Plates can be used to fix any bone. This is a convenient and reliable method. Today, many variants of such plates are used, differing in size, shape, functionality. The plate is used for fractures of the lower leg and ankle, when there is a need to fix bone fragments. Its removal takes place in a planned manner.The time of the operation is determined by the doctor.
Tubular bones are fixed with intraosseous rods (pins) – for example, in case of a collarbone or leg fracture. Such operations are performed quickly, their feature is minimal trauma. After fixing, the load is allowed literally in a few days.
Removal of the structure is carried out in half an hour, if the installation was carried out correctly. If there is damage to the threads or screws, it becomes necessary to drill out the elements.
Indications for the removal of anchoring structures
On the one hand, removal is an operation, but on the other hand, a foreign body can cause unwanted reactions in the body.The structure is installed for the time during which the bones are fused. The fact of adhesion is confirmed by an X-ray. The therapeutic technique provides for the removal of metal structures after a fracture, so that the likelihood of developing deforming osteoarthritis is minimal.
Contraindications for removal
If the structure is located close to the nerve endings, then access to it during the operation will be difficult. The risk of getting undesirable consequences in this case outweighs the benefits of removing the implant.A reasonable solution would be to refuse the removal operation. If there is such a need (for neurological disorders), then the surgical intervention involves the participation of a microsurgeon. The decision on this matter is made individually, taking into account the results of the X-ray examination.
The operation to remove the fixing structure is less traumatic than its installation.
Rehabilitation
This is the most important stage in the treatment of fractures, since prolonged immobilization leads to atrophy and impaired blood circulation. Complications may develop – thrombosis, venous stasis and lymphostasis.
The recovery period begins shortly after the operation and consists of two stages.
- Stationary. The patient is taking medications, and after the cessation of pain, he is prescribed movement therapy and exercise therapy.
- The outpatient period begins after the patient is discharged home and can last up to a year. It depends on the severity of the fracture and the chosen method of treatment. There are no universal advice here, since each patient has his own rehabilitation program.Common goals are:
- Restoration of blood circulation;
- Elimination of muscle atrophy;
- Restoration of motor function.
An effective way of successful rehabilitation is reasonable physical activity. This process helps to overcome the patient’s somewhat constrained independent movements. Their positive effect is obvious.

(Or, you may receive local anesthesia and a medicine to help you relax.)
Once the clavicle bone begins to heal, and the pain reduces, your physical therapist may begin gentle elbow and shoulder exercises to prevent stiffness and weakness. Further rehabilitation programs will be prescribed after your bone has healed.