High grade lesion in cervix. High Grade Squamous Intraepithelial Lesion (HSIL): Causes, Diagnosis, and Treatment
What is a high grade squamous intraepithelial lesion. How is HSIL diagnosed. What are the treatment options for HSIL. Who is at risk for developing HSIL. How can HSIL be prevented. What is the prognosis for patients with HSIL. When should a patient seek medical attention for HSIL.
Understanding High Grade Squamous Intraepithelial Lesion (HSIL)
High Grade Squamous Intraepithelial Lesion (HSIL) is a significant cervical abnormality associated with human papillomavirus (HPV) infection. It encompasses previously used terms such as cervical intraepithelial neoplasia (CIN) 2 and 3, moderate and severe dysplasia, and carcinoma in situ. HSIL is considered a precancerous condition, requiring prompt attention and management to prevent progression to cervical cancer.
The Bethesda System for Reporting Cervical Cytology introduced the term HSIL in 1988 for cytology specimens. Subsequently, the Lower Anogenital Squamous Terminology Standardization Consensus Conference (LAST) and the World Health Organization (WHO) adopted this terminology for histology specimens in 2012 and 2014, respectively.

What is the primary cause of HSIL?
Human papillomavirus (HPV) is the primary etiologic agent in the development of HSIL. HPV is a non-enveloped double-stranded DNA virus belonging to the Papillomaviridae family. Of the over 150 HPV genotypes, approximately 40 are known to infect the anogenital tract. These are further categorized into high-risk and low-risk groups based on their oncogenic potential.
HPV16 and HPV18 are high-risk genotypes found in more than 70% of HSILs and cervical squamous cell carcinomas. Unlike low-grade squamous intraepithelial lesions (LSIL), which typically represent transient HPV infections cleared within two to five years, HSILs are associated with persistent infection and a greater risk of progression to invasive cancer, especially when involving high-risk genotypes like HPV16 and/or HPV18.
Epidemiology and Risk Factors for HSIL
The prevalence of HSIL is influenced by various genetic and behavioral factors that increase the risk of acquiring and maintaining HPV infection. Understanding these risk factors is crucial for identifying high-risk individuals and implementing appropriate screening and prevention strategies.

Who is most at risk for developing HSIL?
- Young, sexually active females
- Immunocompromised individuals (e.g., transplant recipients, HIV-infected patients)
- Women with a younger age of coitarche (first sexual intercourse)
- Individuals with multiple sexual partners
- Women whose male partners are promiscuous
- Women who have sex with women
- Multiparous women, especially those with more than 7 pregnancies
- Smokers
- Individuals with certain HLA class II haplotypes (e.g., HLA B*07+HLA-DQB1*302)
It’s worth noting that HPV prevalence is highest in young, sexually active females and progressively declines until menopause, with some studies showing a slight increase post-menopause. This decline in middle age is thought to result from an effective immune response after exposure to HPVs and potentially reduced exposure to the virus.
Pathophysiology of HSIL
The development of HSIL involves complex interactions between HPV and host cells. Understanding the pathophysiology is crucial for developing effective prevention and treatment strategies.

How does HPV lead to the development of HSIL?
HPV infection begins in the basal layer of the epithelium, typically through microabrasions. The viral genome includes early genes (E1, E2, E4, E5, E6, E7) involved in viral replication and cellular transformation, and late genes (L1, L2) encoding structural proteins.
In high-risk HPV infections leading to HSIL:
- E6 and E7 oncoproteins play a crucial role in cellular transformation.
- E6 binds to and degrades the tumor suppressor protein p53, leading to chromosomal instability and preventing apoptosis of abnormal cells.
- E7 binds to and inactivates the retinoblastoma (Rb) protein, resulting in uncontrolled cell proliferation.
- These actions disrupt the normal cell cycle, leading to accumulation of genetic mutations and progression to HSIL.
Diagnosis and Screening for HSIL
Early detection of HSIL is crucial for preventing progression to cervical cancer. Various screening methods and diagnostic techniques are employed to identify and confirm the presence of HSIL.

How is HSIL diagnosed?
The diagnosis of HSIL typically involves a combination of screening tests and confirmatory procedures:
- Cervical cytology (Pap smear): This screening test can detect abnormal cervical cells suggestive of HSIL.
- HPV testing: Identifies the presence of high-risk HPV types associated with HSIL.
- Colposcopy: A procedure that allows detailed examination of the cervix using a microscope (colposcope).
- Cervical biopsy: Involves taking a small sample of cervical tissue for histological examination to confirm the diagnosis of HSIL.
The histological criteria for HSIL include:
- Disorganization of the epithelium
- Loss of cell polarity
- Nuclear enlargement and hyperchromasia
- Increased nuclear-to-cytoplasmic ratio
- Abnormal mitotic figures
- These changes involve more than one-third to the full thickness of the epithelium
Treatment Options for HSIL
Management of HSIL aims to prevent progression to invasive cervical cancer while minimizing the impact on future fertility and pregnancy outcomes. Treatment approaches may vary based on the patient’s age, desire for future fertility, and extent of the lesion.

What are the primary treatment options for HSIL?
- Excisional procedures:
- Loop Electrosurgical Excision Procedure (LEEP): Uses a thin wire loop electrode to remove the abnormal tissue
- Cold knife conization: Surgical removal of a cone-shaped piece of cervical tissue
- Ablative procedures:
- Cryotherapy: Freezing of abnormal cells
- Laser ablation: Use of laser energy to destroy abnormal tissue
- Hysterectomy: May be considered in certain cases, such as for women who have completed childbearing or have recurrent HSIL
The choice of treatment depends on various factors, including the size and location of the lesion, the patient’s age, desire for future fertility, and overall health status. Follow-up care and monitoring are essential after treatment to ensure complete resolution and detect any recurrence.
Prevention Strategies for HSIL
Preventing HSIL primarily involves reducing the risk of HPV infection and implementing effective screening programs for early detection of precancerous lesions.

How can HSIL be prevented?
- HPV vaccination: Highly effective in preventing infection with high-risk HPV types associated with HSIL and cervical cancer
- Safe sexual practices: Using condoms and limiting the number of sexual partners can reduce the risk of HPV transmission
- Regular cervical cancer screening: Adhering to recommended screening guidelines allows for early detection and treatment of precancerous lesions
- Smoking cessation: Quitting smoking can reduce the risk of developing cervical abnormalities
- Maintaining a healthy immune system: A robust immune response can help clear HPV infections more effectively
Prognosis and Follow-up Care
The prognosis for patients with HSIL varies depending on several factors, including the extent of the lesion, treatment efficacy, and adherence to follow-up care.
What is the long-term outlook for patients with HSIL?
With proper treatment and follow-up, the prognosis for HSIL is generally good. However, patients remain at risk for recurrence and require ongoing surveillance. The risk of progression to invasive cervical cancer is significantly reduced with appropriate management.
![]()
Follow-up care typically includes:
- Regular cervical cytology and HPV testing
- Colposcopy as needed
- Long-term surveillance for at least 20 years after treatment
Patients should be counseled about the importance of adhering to follow-up recommendations and maintaining a healthy lifestyle to reduce the risk of recurrence or progression.
The Role of the Interprofessional Team in Managing HSIL
Effective management of HSIL requires a collaborative approach involving various healthcare professionals. This interprofessional team plays a crucial role in ensuring comprehensive care and optimal outcomes for patients.
Who are the key members of the interprofessional team in HSIL management?
- Primary care physicians: Often the first point of contact for patients, responsible for initial screening and referrals
- Gynecologists: Specialists in women’s reproductive health, performing colposcopies and biopsies
- Pathologists: Experts in examining tissue samples and providing definitive diagnoses
- Oncologists: May be involved in cases with a high risk of progression or recurrence
- Nurses: Provide patient education, assist with procedures, and coordinate care
- Social workers: Offer support and resources to patients dealing with the emotional and practical aspects of diagnosis and treatment
Effective communication and collaboration among team members are essential for prompt evaluation, appropriate treatment planning, and comprehensive follow-up care. This interprofessional approach ensures that patients receive holistic care addressing both their physical and emotional needs throughout their HSIL management journey.

High Grade Squamous Intraepithelial Lesion – StatPearls
Continuing Education Activity
High grade squamous intraepithelial lesion (HSIL) encompasses the entities previously termed cervical intraepithelial neoplasia (CIN)2, CIN3, moderate and severe dysplasia and carcinoma in situ. HSIL is a squamous cell abnormality associated with human papillomavirus (HPV). Though not all HSIL will progress to cancer, HSIL is considered to be a precancerous lesion and therefore is usually treated aggressively. This activity reviews the evaluation of high-grade squamous intraepithelial lesions and the role of the interprofessional team in managing this condition.
Objectives:
Identify the cause of high grade squamous intraepithelial lesions.
Describe the histologic criteria for high grade squamous intraepithelial lesions.
Summarize the treatment of high grade squamous intraepithelial lesions.
Explain the key role that the interprofessional team plays in communicating and collaborating to facilitate prompt evaluation and management of high grade squamous intraepithelial lesions and thereby enhance outcomes for affected patients.

Earn continuing education credits (CME/CE) on this topic.
Introduction
High grade squamous intraepithelial lesion (HSIL) is a squamous cell abnormality associated with human papillomavirus (HPV). It encompasses the previously used terms of CIN2, CIN3, moderate and severe dysplasia and carcinoma in situ. This current terminology for HSIL was introduced by the Bethesda System for Reporting Cervical Cytology (TBS) for cytology specimens in 1988, and has since been adopted for histology specimens by the Lower Anogenital Squamous Terminology Standardization Consensus Conference (LAST) [1] and the World Health Organization (WHO) in 2012 and 2014, respectively. Though not all HSIL will progress to cancer, it is considered a pre-cancerous lesion and therefore is usually treated aggressively. Though HSIL can involve various cutaneous and mucosal sites within the anogenital tract, this summary will focus on cervical HSIL
Etiology
Scientific studies have established HPV as the major etiologic agent in the pathogenesis of cervical dysplasia and carcinoma.
HPV is a non-enveloped double-stranded DNA virus within the Papillomaviridae family. There are over 150 genotypes of HPV with 40 known to infect the anogenital tract. These 40 are divided into high-risk and low-risk groups based on evidence of their oncogenic potential. HPV16 and HPV18 are high-risk genotypes found in over 70% of HSILs and cervical squamous cell carcinomas. Opposed to low-grade squamous intraepithelial lesions (LSIL), which represent transient HPV infections that are cleared within two to five years and have a low risk of malignancy, HSILs are associated with persistent infection and a greater risk of progression to invasive cancer, especially if the persistent infection is a high-risk genotype such as HPV16 and/or HPV 18. [2]
Epidemiology
Since HSIL is caused by HPV infection, it is found more commonly in women with specific genetic and behavioral factors which increase their risk of acquiring HPV. HPV prevalence is highest in young, sexually active females, then progressively drops until menopause, with some studies showing a slight increase after menopause.
This decline in middle-age is thought to be the result of an effective immune response after exposure to HPVs, in addition to the likelihood of less exposure to the HPV virus. An immunocompromised state, such as after transplant therapy and HIV-infected individuals, increases a patient’s risk of persistent infection and development of a squamous intraepithelial lesion (SIL). Studies indicate a younger age of coitarche and the number of sexual partners increases the risk of HPV infection as well as more recent sexual activity. Male partner promiscuity is also a factor as well as condom use and circumcision, as both significantly reduce the risk of HPV infection. Women who have sex with women also have an increased risk of cervical neoplasia. Multiparous women, specifically greater than 7, are also at increased risk. There is a strong association between smoking and cervical neoplasia, independent of HPV status, presumably due to the presence of carcinogens within the cervical mucus.
Certain HLA class II haplotypes, notably HLA B*07+HLA-DQB1*302, have a positive association with SILs and invasive cancer with evidence suggesting that the haplotype may influence HPV antigen presentation and immune response. Other HLA class II haplotypes have been found to be protective. Oral contraceptive use may somewhat increase a patient’s risk of cervical neoplasia, though studies have not been consistent. [3][4][5]
Pathophysiology
The genome of HPVs includes the early genes (E1, E2, E4, E5, E6, E7), involved in regulation of the vegetative and proliferative phases of the viral life cycle, the late genes (L1, L2) which encode the capsid proteins, and a non-coding long control region (LCR) involved in viral replication and transcription regulation. HPV infects the basal epithelial cells of the transformation zone after gaining entry through micro-abrasions. A class of cell surface receptors on the keratinocytes called Heparan sulfate proteoglycans (HSPG) are thought to be the initial receptors for the virus, attaching to L1 of the capsid and inducing conformational changes and subsequent cleavage of L2.
The viral genome is slowly internalized over a 12 hour period through clathrin or caveolae-mediated endocytosis. Entry of the viral genome into the nucleus occurs through nuclear membrane breaks. Viral replication then begins. As the basal cells mature and reach the terminally differentiated layer of epithelium, expression of the L1 and L2 capsid proteins occurs to enable assembly of viral particles, which are sloughed off along with the dead squamous cells, allowing continued transmission and infection of the virus. This is the usual life cycle of most HPV genotypes. However, high-risk HPV types, especially HPV16, have been shown to often integrate their genome into the human genome. Integration has been proposed as an early event in the progression of LSIL to HSIL. It involves the viral oncoproteins E6 and E7 maintaining double strand breakpoints in host DNA by attenuating the DNA damage response (DDR) involved in repairing such breaks so that the viral genome can integrate at these breakpoints.
The high-risk HPV E6 oncoprotein is known to interfere with p53, a cellular tumor-suppressor protein required for sensing base excision repair machinery and repairing oxidative damage, by inducing increased proteasome-dependent degradation of p53. High-risk HPV E7 oncoprotein inactivates members of the retinoblastoma (Rb) tumor suppressor protein family. Retinoblastoma is coupled with an E2F transcription factor. Inactivation of Rb uncouples E2F, thus allowing it to upregulate genes required for S-phase entry and progression. The aforementioned E6 and E7 interactions are just glimpses of how these oncoproteins interact with various proteins in the nucleus. Essentially, overexpression of E6/E7 causes cell cycle dysregulation. Studies suggest integration also causes host gene expression changes, amplifying oncogenes and disrupting tumor suppressor genes. As the HPV genome is double-stranded and integrated into the host genome, it effectively evades the immune response leading to persistent infection.
Epigenetic modification of various genes and changes in expression of miRNAs have also been shown to play a role in carcinogenesis. Much remains to be elucidated regarding the molecular pathogenesis of cervical neoplasia.[2]
Histopathology
Diagnosis of HSIL on cytology requires specific criteria to be met. The cells are smaller with less cytoplasmic maturity than that of LSIL. Occasionally, the cytoplasm may be densely keratinized. HSIL cells occur singly as well as in sheets or syncytial aggregates. Though the size of the nucleus itself is variable, the cells must have a high nuclear-to-cytoplasmic ratio. The nuclei are often hyperchromatic but can be normo- to hyperchromatic. The chromatin can range from evenly distributed and fine to coarsely granular. Nuclear contours must be distinctly irregular with prominent indentations and/or grooves. Nucleoli are usually not a feature of HSIL, though may be seen when HSIL involves the endocervical glands.
Histologic criteria for HSIL exceeds the extent and degree of nuclear atypia allowed for a diagnosis of LSIL and includes less maturation, a higher nuclear-to-cytoplasmic ratio, decreased organization from the lower immature cell layers to the superficial mature layers (loss of polarity), a greater degree of nuclear pleomorphism, highly irregular nuclear contours, increased mitotic index and abnormal mitotic figures, especially within more superficial layers of the epithelium.
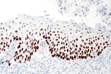
CIN3 must have full thickness atypia. When faced with not-so-straight-forward biopsies where the pathologist is debating between benign mimics of HSIL, such as immature metaplasia or atypical atrophy, utilizing the biomarker p16 may help distinguish them, as p16 shows intense and continuous staining in HSILs and suggests infection with a high-risk HPV type. [6][7]
History and Physical
Women with biopsy-proven HSIL will likely have a history of multiple risk factors associated with HPV infection, a positive HPV test and/or a history of abnormal pap tests. Abnormal colposcopic findings characteristic of high-grade changes include dense acetowhite epithelium, rapid appearance of acetowhitening, cuffed crypt openings, coarse mosaic, coarse punctuation, a sharp border, an inner border sign and a ridge sign. The inner border sign is when there is a sharply demarcated acetowhite area within a less opaque acetowhite area. The ridge sign is the presence of thick ledges of opaque acetowhite epithelium growing irregularly within the squamocolumnar junction.
[8][9]
Evaluation
The current American Congress of Obstetricians and Gynecologists (ACOG) recommendations for cervical carcinoma screening in women is dependent upon age, HIV infection/immunodeficiency and pregnancy status. Screening should be initiated at 21 years of age. Women ages 21 to 29 should be screened by cytology every three years. Women ages 30 to 65 should be screened with cytology and HPV co-testing every five years or by cytology alone every three years. Depending on the HPV test used, the test will provide pooled results for high-risk HPV subtypes and/or individual genotype results for HPV16 and 18. The risk of HSIL in a patient with a positive HPV test and an abnormal pap test is approximately 20% and increases to 33% if HPV positive at more than one visit.[10]
A Papanicolaou (Pap) test is the preferred initial method of screening for cervical neoplasia. This is performed by opening the vaginal canal with a speculum, fully visualizing the cervix, using a cervical broom or spatula to exfoliate cells from the transformation zone and transferring the cells either into liquid preservative (liquid-based cytology) or directly onto a microscope slide (conventional cytology).
Pathology will process the specimens according to the type of test they receive.
The American Society for Colposcopy and Cervical Pathology publishes guidelines for the management of woman based on their Pap test and HPV test results. For women ages 21-24, colposcopy is recommended following an HSIL cytology diagnosis. Women over the age of 24 years old should also have colposcopy performed, though management with an excisional procedure is acceptable. Around 60% of women with HSIL cytology will have at least CIN 2 on biopsy, with approximately 2% showing invasive cancer, though the latter is more likely in older women. Women over 30 years of age have an 8% 5-year risk of cervical cancer after a diagnosis of HSIL. Biopsies taken during colposcopy are examined by histology. [11]
Treatment / Management
Women ages 21-24 with HSIL cytology are recommended to undergo colposcopy. If CIN2 or greater is not diagnosed on biopsy, it is recommended the patient follow-up with cytology and colposcopy every six months for a 24 month period, as long as her exams are adequate and reveal no squamous intraepithelial lesions or at most LSIL.
If HSIL cytology or a high-grade colposcopic lesion is found during this time, a biopsy should be taken. In patients where HSIL cytology persists for 24 months, but no high-grade lesion is identified on biopsy, a diagnostic excisional procedure is recommended. If colposcopy is inadequate, CIN3 is specified on biopsy, or CIN2 or CIN2-3 persists for 24 months, then a diagnostic excisional procedure is recommended. If CIN2 is specified on biopsy, observation for 12 months using both cytology and colposcopy every six months is recommended. This is because CIN2 has a higher regression rate and less risk of progression to cancer than CIN3, especially in younger women. Once the patient has two consecutive negative results on cytology and no evidence of a colposcopic abnormality, a co-test is recommended a year later. If negative, a second co-test is recommended after three years. If either co-test is abnormal, colposcopy is recommended.
Pregnant women found to have HSIL cytology should not undergo excisional treatment; only colposcopy is acceptable.
If a histologic diagnosis of a high-grade lesion is made, she may have additional cytologic and colposcopic exams up to every 12 weeks. If cytology results are suggestive of invasive cancer or if the colposcopic appearance of the lesions worsens, a repeat biopsy is recommended. It is also considered acceptable to defer re-evaluation until the patient is at least six weeks postpartum. A diagnostic excisional procedure is only recommended if there is a concern for invasive cancer.
For women >24 years old without special circumstances and with a HSIL Pap test result, either immediate excisional procedure or colposcopy is recommended, regardless of HPV results at co-testing. If the colposcopic exam is inadequate, a diagnostic excisional procedure is recommended. If the colposcopy is adequate and HSIL (CIN2, CIN3 or CIN2-3) is confirmed on biopsy, ablation of the transformation zone or excision is considered acceptable. However, only a diagnostic excisional procedure is acceptable if the colposcopy is inadequate or the endocervical curettage shows a high-grade lesion.
Once the patient is treated, regardless of age, her recommended follow-up is HPV co-testing at 12 and 24 months post-treatment. If both are negative, she can be retested in 3 years. If this test is negative, she can return to routine screening for at least the next 20 years. An abnormal test should result in colposcopy with endocervical sampling. [10][11]
Differential Diagnosis
Conditions that can be mistaken for HSIL on biopsy include early invasive carcinoma, atrophy, squamous metaplasia, transitional metaplasia and reactive atypia.
Prognosis
HSILs are associated with persistent infection and a greater risk of progression to invasive cancer, especially if the persistent infection is a high-risk genotype such as HPV16 and/or HPV 18.
Deterrence and Patient Education
Education of patients regarding the risk factors for exposure to HPV as well as safe sexual practices in general may reduce the risk of HPV infection.
Vaccines have been developed against high-risk types HPV16 and 18 as well as low-risk types HPV6 and 11.
These are effective at preventing initial as well as persistent infection and their associated SILs. As a majority of high-grade lesions are associated with HPV16, it is predicted that vaccination can reduce the incidence of HGSIL/CIN2/CIN3 by up to 87%, though it remains to be validated in the general population.[12]
Enhancing Healthcare Team Outcomes
One of the most important functions of the interprofessional team of nurses and clinicians is to educate patients regarding the risk factors for exposure to HPV as well as safe sexual practices that may reduce the risk of HPV infection. A coordinated team approach to education will improve patient outcomes and decrease the incidence. [Level V]
Continuing Education / Review Questions
Figure
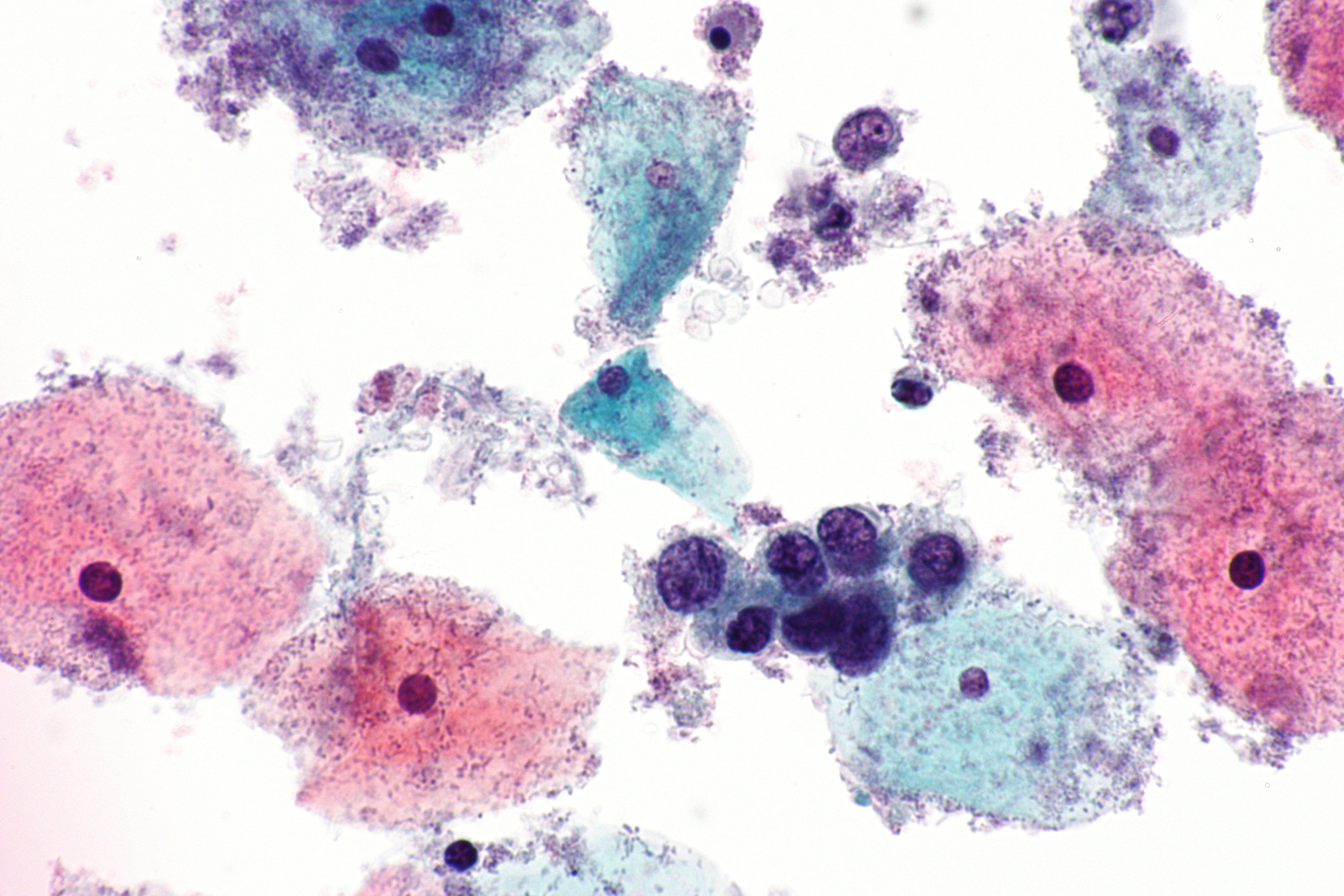
High-grade squamous intraepithelial lesion of the cervix (HSIL). High nuclear-to-cytoplasmic ratio, nuclear abnormalities of high grade dysplasia. Compare with the normal squamous cell nuclear size of the surrounding cells.
Pap stain, 40x. Contributed (more…)
Figure
Squamous intraepithelial lesion, high grade (HSIL). Increased nuclear/cytoplasmic ratio with moderate to severe dysplastic features of the nuclear membrane. Pap stain 40x. Contributed by Fabiola Farci, MD
References
- 1.
- Darragh TM. The LAST Project and the diagnostic bottom line. Cytopathology. 2015 Dec;26(6):343-5. [PubMed: 26767600]
- 2.
- Senapati R, Senapati NN, Dwibedi B. Molecular mechanisms of HPV mediated neoplastic progression. Infect Agent Cancer. 2016;11:59. [PMC free article: PMC5123406] [PubMed: 27933097]
- 3.
- Ades S, Koushik A, Duarte-Franco E, Mansour N, Arseneau J, Provencher D, Gilbert L, Gotlieb W, Ferenczy A, Coutlée F, Roger M, Franco EL., Biomarkers of Cervical Cancer Risk (BCCR) Study Team. Selected class I and class II HLA alleles and haplotypes and risk of high-grade cervical intraepithelial neoplasia. Int J Cancer. 2008 Jun 15;122(12):2820-6. [PubMed: 18351579]
- 4.

- Kjellberg L, Hallmans G, Ahren AM, Johansson R, Bergman F, Wadell G, Angström T, Dillner J. Smoking, diet, pregnancy and oral contraceptive use as risk factors for cervical intra-epithelial neoplasia in relation to human papillomavirus infection. Br J Cancer. 2000 Apr;82(7):1332-8. [PMC free article: PMC2374476] [PubMed: 10755410]
- 5.
- Coker AL, Sanders LC, Bond SM, Gerasimova T, Pirisi L. Hormonal and barrier methods of contraception, oncogenic human papillomaviruses, and cervical squamous intraepithelial lesion development. J Womens Health Gend Based Med. 2001 Jun;10(5):441-9. [PubMed: 11445043]
- 6.
- Solomon D, Davey D, Kurman R, Moriarty A, O’Connor D, Prey M, Raab S, Sherman M, Wilbur D, Wright T, Young N., Forum Group Members. Bethesda 2001 Workshop. The 2001 Bethesda System: terminology for reporting results of cervical cytology. JAMA. 2002 Apr 24;287(16):2114-9. [PubMed: 11966386]
- 7.
- Horn LC, Reichert A, Oster A, Arndal SF, Trunk MJ, Ridder R, Rassmussen OF, Bjelkenkrantz K, Christiansen P, Eck M, Lorey T, Skovlund VR, Ruediger T, Schneider V, Schmidt D.
Immunostaining for p16INK4a used as a conjunctive tool improves interobserver agreement of the histologic diagnosis of cervical intraepithelial neoplasia. Am J Surg Pathol. 2008 Apr;32(4):502-12. [PubMed: 18223479] - 8.
- Sláma J. [The new colposcopic signs–ridge sign and inner border]. Ceska Gynekol. 2012 Feb;77(1):22-4. [PubMed: 22536636]
- 9.
- Vercellino GF, Erdemoglu E, Chiantera V, Vasiljeva K, Drechsler I, Cichon G, Schneider A, Böhmer G. Validity of the colposcopic criteria inner border sign, ridge sign, and rag sign for detection of high-grade cervical intraepithelial neoplasia. Obstet Gynecol. 2013 Mar;121(3):624-631. [PubMed: 23635627]
- 10.
- Massad LS, Einstein MH, Huh WK, Katki HA, Kinney WK, Schiffman M, Solomon D, Wentzensen N, Lawson HW., 2012 ASCCP Consensus Guidelines Conference. 2012 updated consensus guidelines for the management of abnormal cervical cancer screening tests and cancer precursors. Obstet Gynecol. 2013 Apr;121(4):829-846.
[PubMed: 23635684] - 11.
- Bentley J., EXECUTIVE COUNCIL OF THE SOCIETY OF CANADIAN COLPOSCOPISTS. SPECIAL CONTRIBUTORS. Colposcopic management of abnormal cervical cytology and histology. J Obstet Gynaecol Can. 2012 Dec;34(12):1188-1202. [PubMed: 23231803]
- 12.
- Kops NL, Hohenberger GF, Bessel M, Correia Horvath JD, Domingues C, Kalume Maranhão AG, Alves de Souza FM, Benzaken A, Pereira GF, Wendland EM. Knowledge about HPV and vaccination among young adult men and women: Results of a national survey. Papillomavirus Res. 2019 Jun;7:123-128. [PMC free article: PMC6426699] [PubMed: 30885798]
Cervical Dysplasia Treatment: Kimmel Cancer Center
View of cervix from Doctor’s Perspective
The biology of cervical cancer is one of the best-characterized of all cancers. Its precursor, cervical intraepithelial neoplasia (CIN), is both detectable and quantifiable, which presents many opportunities for evaluation or early treatment, intervention and eventually, for cancer prevention.
Specific treatment for HPV lesions of the cervix will be determined by your physician based on:
- Your overall health and medical history
- Extent of the lesion
- Your tolerance for specific medications, procedures, or therapies
- Expectations for the course of the lesion
- Your opinion or preference
Surgical Treatments
If your doctor determines that you have a high grade cervical lesion, he or she may advise you to have the lesion removed. The two most common methods of removing cervical lesions are by procedures called a LEEP or Cold Knife Cone. Both procedures are quick and typically have a quick recovery time.
The LEEP (Loop Electrosurgical Excision Procedure) can be performed either in the doctor’s office or as an outpatient procedure in the operating room. The procedure starts much like a regular pelvic exam. You will need to lie down on an examining table and put your feet in the stirrups.
Next, an instrument called a speculum is inserted into your vagina to hold your vaginal walls open so your physician can view the inside of the vaginal walls and the cervix. A dilute vinegar solution is applied to the cervix to make the abnormal cells visible. An instrument called a colposcope will be used to visualize the cervix. The cervix is numbed with local anesthesia. An electrically charged loop made of thin wire is inserted through the speculum and up to the cervix. As the loop is passed across the cervix, it cuts away a thin layer of surface tissue, removing the abnormal cells. This tissue is then sent to the lab to be tested for abnormal cells. In some instances, a medicated paste is applied to the area to prevent bleeding. If all of the abnormal cervical tissue is removed, no further surgery is needed, though abnormal cells may recur in the future.
Your doctor will give you instructions for recovering at home, including using pads to collect any discharge, avoiding strenuous activity for 48 hours, and abstaining from sexual intercourse for three to four weeks.
You also should avoid tub baths, tampons or douching. Over the counter pain relievers can be used to relieve cramping.
The Cold Knife Conization is performed in the operating room, using a scalpel. You will be sedated using anesthesia. You will lie on a table and place your feet in stirrups to position your pelvis for examination. An instrument called a speculum will be inserted into your vagina to hold your vaginal walls open so your physician can view the inside of the vaginal walls and the cervix. The doctor will cut out a small, cone-shaped sample of tissue from the cervix. Pathologists will examine it under a microscope for any signs of cancer or abnormal cells. The procedure may be used to treat moderate to severe dysplasia (CIN II or III). Very early stage cervical cancer (stage 0 or IA1) may also be treated with this procedure. Abnormal cells from the cervical canal, including adenocarcinoma in situ, may be diagnosed, and sometimes treated with cold knife conization.
Your doctor will give you instructions to prepare for the procedure and recover at home. Before the procedure, you may need to fast for six to eight hours. For two to three weeks after the procedure, you may have heavy, bloody, or a yellow-colored discharge. You may experience some cramping or discomfort for a week or so. Avoid sexual intercourse, douching and use of tampons for about four to six weeks.
Therapeutic HPV Vaccines
Through the efforts of a team of investigators in the Johns Hopkins Center for Cervical Dysplasia, several clinical trials testing immune therapies for HPV disease are currently open. The development of these HPV-targeted immune therapies, chronicled in over 20 publications in leading biomedical research journals, emerged from a team of translational investigators in three different disciplines: immunology, gynecologic pathology, and gynecology. The initial generation of HPV vaccines involved the use of targeting signals that made HPV antigens more visible to the immune system.
In animal models, these vaccines made strong immune responses against HPV. In addition, strategic collaborations with a number of companies are paving the way to the development of combination immunotherapies with even greater potential efficacy. It is our goal to develop a combinatorial HPV immunotherapy approach that could be applied to all women with established HPV infections, that would ultimately eliminate the need for the complex and expensive screening, long-term follow-up, and surgical interventions currently employed to manage HPV disease. The identification of specific HPV antigens makes this disease an ideal model to develop antigen-specific immunotherapies for other chronic viral diseases, such as hepatitis, and ultimately, non-virus-associated cancers.
Cervical dysplasia: Is it cancer?
I had a Pap test recently, and my doctor said the results showed cervical dysplasia. What does that mean? Is it cancer?
Answer From Shannon K. Laughlin-Tommaso, M.
D.
No. Cervical dysplasia isn’t cancer. The term indicates that abnormal cells were found on the surface of the cervix.
Cervical dysplasia can range from mild to severe, depending on the appearance of the abnormal cells. On the Pap test report, this will be reported as a low- or high-grade squamous intraepithelial lesion (SIL) or sometimes as atypical squamous or glandular cells. Dysplasia could go away on its own. Or, rarely, it could develop into cancer.
Tests to determine the severity of cervical dysplasia
After an abnormality is detected on a Pap test, your doctor may recommend more tests, including:
- Human papillomavirus (HPV) test
- Colposcopy
Colposcopy is an examination of your cervix, vagina and vulva using a magnifying instrument. During a colposcopy, your doctor may determine where the abnormal cells are growing and the degree of abnormality. A sample of cells (biopsy) may be taken for testing. The biopsy results may indicate cervical intraepithelial neoplasia (another term for dysplasia), which is graded as CIN I, II or III.
Treatment and follow-up for cervical dysplasia
Often, with mild dysplasia (CIN I), no treatment is needed. In most cases, mild dysplasia resolves on its own and doesn’t become cancerous. Your doctor may recommend follow-up in a year to check for additional changes.
If you have severe dysplasia (CIN II or III), your doctor may recommend treatment, such as surgery or other procedures to remove the abnormal cells.
Whether you have mild or severe dysplasia, it’s likely your doctor will recommend Pap and HPV testing in a year to monitor your condition and check for recurrences of dysplasia. If you have a negative Pap test and HPV test at that appointment, your doctor may recommend resuming Pap tests and HPV testing every three to five years, based on age-specific recommendations.
With
Shannon K. Laughlin-Tommaso, M.D.
- HPV infection: How does it cause cervical cancer?
- Pap smear: Do I need one if I’m a virgin?
June 27, 2020
Show references
- Ferri FF. Cervical dysplasia. In: Ferri’s Clinical Advisor 2017. Philadelphia, Pa.: Elsevier; 2017. https://www.clinicalkey.com. Accessed Jan. 4, 2017.
- Hoffman BL, et al. Preinvasive lesions of the lower genital tract. In: Williams Gynecology. 3rd ed. New York, N.Y.: McGraw-Hill Education; 2016. http://accessmedicine.mhmedical.com. Accessed Jan. 4, 2017.
- AskMayoExpert. Cervical cancer screening. Rochester, Minn.: Mayo Foundation for Medical Education and Research; 2016.
- American College of Obstetricians and Gynecologists (ACOG) Committee on Practice Bulletins — Obstetrics. ACOG Practice Bulletin No. 140: Management of abnormal cervical cancer screening test results and cervical cancer precursors. Obstetrics & Gynecology. 2013;122:1338.
- Pap and HPV testing. National Cancer Institute. http://www.cancer.gov/cancertopics/factsheet/detection/Pap-HPV-testing. Accessed April 7, 2017.
See more Expert Answers
.
HPV, cervical dysplasia and cervical cancer | CATIE
Summary
Cervical dysplasia is an abnormal change in the cells of the cervix in the uterus. Early changes, called low-grade lesions by doctors, may persist and develop into high-grade lesions that can lead to cervical cancer. Mildly abnormal cervical cells will usually clear up on their own. Both cervical dysplasia and cervical cancer can be best treated effectively when they are caught early. A sexually transmitted virus called HPV (human papillomavirus) causes most cervical dysplasia and all cervical cancers. Cervical dysplasia is common in HIV-positive people who have a cervix. However, among HIV-positive people living in high-income countries who get regular gynecological monitoring and care, cervical cancer is not common.
The words we use here – CATIE is committed to using language that is relevant to everyone. People use different terms to describe their genitals. This text uses medical terms, such as vagina and penis, to describe genitals. Cisgenderi people can often identify with these terms. Some transgenderii people may use other terms, such as front hole and strapless. CATIE acknowledges and respects that people use words that they are most comfortable with.
Key messages on HPV for clients are available here.
Dysplasia and cancer of the cervix
The cervix is the opening of the uterus (womb) that leads into the vagina. The cervix can be felt with the tip of a finger inside the vagina.
In cervical dysplasia, abnormal cells develop on the surface of the cervix. These abnormal cells are called lesions. Cervical dysplasia lesions can regress (which means they shrink and may even disappear), persist (the lesions remain present but don’t change), or progress to become a high-grade lesion or cervical cancer.
Cervical cancer is an abnormal growth of the cells of the cervix. Over a number of years, abnormal lesions on the cervix can slowly turn into cancer.1–3
What causes cervical dysplasia and cancer?
Cervical dysplasia and cancer have been linked to a very common virus called human papillomavirus (HPV). There are over 100 strains of HPV, about 40 of which can be transmitted sexually. Some strains cause warts, including genital warts (abnormal growths on the skin), some lead to cancer of the genitals or anus, the intestines or the lungs, throat and mouth. Some have no known effect.
The immune system helps protect against the development of cervical dysplasia and cancer. People whose immune systems are weakened by transplant drugs or illnesses such as HIV are at greater risk for HPV infection, cervical dysplasia, and cervical cancer. Women and transgender men who have HIV are at higher risk, and this risk seems to increase as the CD4 counts drop.
Although HPV is necessary for cervical cancer, other factors contribute to the development of cervical dysplasia and cancer. Cigarette smoking has been linked to this condition. Cancer-causing chemicals in cigarette smoke concentrate in cervical fluids and these can affect the health of cervical cells, increasing the risk that these cells become abnormal. Having had a prior sexually transmitted infection (STI), having been pregnant many times, or eating a poor diet can also increase the risk of cervical dysplasia and cancer. Because HPV is sexually transmitted, having multiple sexual partners will increase a person’s risk of being exposed to this virus. However, even people with few partners are still at risk of being infected by HPV.3–6
Symptoms
Usually, there are no symptoms of cervical dysplasia. Genital warts are a sign that someone has been exposed to certain types of HPV, which are different from the types that are most likely to lead to cervical dysplasia and cancer. It is important to note that people can have HPV and not have genital warts or any other symptoms.
Similarly, there are often no physical symptoms of cervical cancer, especially in the early stages. In advanced stages of cervical cancer, there may be pain in the abdomen or lower back, pain or bleeding while having vaginal intercourse, unusual vaginal discharge, or bleeding between menstrual periods.2,3
Diagnosis—Pap smears and colposcopy
Regular pelvic examinations including Pap tests and HPV testing can help diagnose or monitor HPV, cervical dysplasia or cancer. To do a Pap test, the doctor inserts a tiny brush and a small wooden spatula into the vagina and rubs them over the cervix to loosen and collect cells. The cells are smeared on a glass slide that is sent to the lab for study. The Pap test helps identify abnormal cells. For people with HIV, Pap tests are usually done twice during the first year after HIV diagnosis, followed by once a year if the first two tests showed normal results. However, many physicians with HIV-positive people in their care recommend doing a Pap test every six months.
Although Pap tests are useful, they can produce “false-negative” results. In other words, the lab may report a test result as “normal” when there actually are changes in the cells of the cervix. This is the reason why HPV testing is being used more and more in addition to Pap tests. For HPV testing, doctors can collect a small amount of fluid from the cervix and have it tested for the presence of HPV.
Many doctors recommend that people with a cervix who have been newly diagnosed with HIV have a colposcopy. A colposcope is a microscope that looks into the vagina, which has been opened by a speculum, and allows the doctor to visually examine the cervix. The cervix is lightly washed with a weak vinegar solution before the colposcope is put in place. The vinegar solution makes abnormal cells stand out more clearly against the surrounding tissue.
When a colposcopy is performed, a biopsy (removal of a tiny piece of tissue from the cervix) and sometimes an endocervical curettage (the scraping of tissue from the cervix) will be done by the doctor. This procedure can be somewhat painful or cause cramps. The biopsy sample allows lab technicians to study the tissue and confirm the status of cervical tissue.
Pap tests are done by family physicians and gynecologists as part of regular medical care. However, colposcopies and biopsies are done mostly, but not exclusively, by gynecologists.
An HIV-positive person with signs of abnormalities on the cervix, vagina, or vulva should also have an anoscopy, or visual inspection of the anus and anal canal using a microscope similar to a colposcope. This is because the cell changes caused by HPV can also occur in the anus and lead to anal dysplasia.1,7
Test results
The results of tests for cervical dysplasia can be described by a variety of medical terms.
Pap test results
Here are some of the most common test results:
- Normal: There is no evidence of abnormal changes in the cells sampled.
- ASCUS (Atypical Squamous Cells of Undetermined Significance): The cells are abnormal, but no definite diagnosis can be made. This test result can be caused by a yeast infection, using oral contraceptives, or problems with taking the sample. Usually doctors repeat the Pap test in a few weeks or test for the presence of high risk types of HPV.
- LSIL (Low-grade Squamous Intra-epithelial Lesion): This result means an acute infection. If it persists for at least two to three visits, it can be assumed that it could lead to cancer.
- HSIL (High-grade Squamous Intra-epithelial Lesion): This result means more advanced lesions.
- AGC (Atypical Glandular Cells): These abnormal cells are the precursors of about 20% of cervical cancers. These cells are very difficult to detect.
Biopsy Results
- Normal: There is no evidence of abnormal changes in the sampled cells.
- CIN-1 (Cervical Intra-epithelial Neoplasia, grade 1): This result means mild or low-grade dysplasia. If it persists for at least two to three visits, it can be assumed that it could lead to cancer. For this reason, CIN-1 is usually treated.
- CIN- 2 or CIN-3: This result means severe or high-grade dysplasia. All or almost all of the cells in the sample may be pre-cancerous and indicates the need for treatment in most cases.
- CIS: CIS stands for carcinoma in situ and means a small area of cancer has been found. Further tests will be done to find out if the cancer is confined to a small area or if it has spread (called invasive carcinoma).
If someone is diagnosed with HPV, partner notification is not required as a public health measure, unlike with a chlamydia, gonorrhea, syphilis or HIV diagnosis.3,6,8,9
Treatment
Treatment for cervical dysplasia and cancer varies from one person to another, depending on the location and size of the lesion or cancer, and whether the lesion is low grade or high grade or whether the cancer has spread to other parts of the body. Whether or not the person wishes to become pregnant also affects treatment decisions. People with cervical cancer may be referred to a gynecologist-oncologist or an oncologist—a doctor who specializes in the treatment of cancer.
There are several ways that cervical dysplasia may be treated:
- Cryotherapy destroys the lesion by freezing. This procedure can be done in the doctor’s office. There can be some discomfort or pain. After the treatment, spotting and watery discharge are common.
- Laser treatment destroys the lesion with an intense beam of light. This procedure is often done in a day-surgery clinic. It can be uncomfortable and can cause spotting and discharge afterward.
- LEEP stands for loop electrosurgical excision procedure. The lesion is surgically removed by an electrical current that passes through a very fine wire loop and cauterizes the cervix at the same time so that it does not bleed afterward.
- Cone biopsy removes a cone-shaped piece of tissue from the opening of the cervix and can remove a lesion or very small cancer. It is usually done in a hospital with a laser or a scalpel and patients are given an anesthetic. Some bleeding and pain or discomfort is common after this treatment.
There are several treatment options if cancer is confirmed:
- Surgery may be used to remove cancerous tissue. If the cancer has spread, surgery to remove the cervix and uterus, called a hysterectomy, may be necessary. Sometimes the fallopian tubes, ovaries and lymph nodes from the pelvis are removed at the same time.
- Radiation therapy is often prescribed for cervical cancer that has spread beyond the cervix. In radiation therapy, high-energy rays are used to kill cancer cells.
- Chemotherapy may be used by itself or in addition to radiation therapy if the cancer has spread. Anticancer drugs are used in the blood to kill cancer cells.3,7,9
After treatment
Although cervical dysplasia and cancer can be treated successfully, HIV-positive individuals are at high risk for having this cancer reappear. It is important to follow up treatment with regular Pap tests and a colposcopy every three to six months.10
Cervical dysplasia, HIV and ART
Because HIV and HPV are sexually transmitted, HIV-positive people are often co-infected with both of these viruses. HIV weakens the immune system and in HIV-positive individuals, cervical dysplasia is common.
Taking ART (HIV antiretroviral therapy) can reduce the production of HIV, improve CD4 cell counts, and greatly lower the risk of developing many AIDS-related illnesses. ART cannot prevent cervical cancer. However, with regular gynecological exams and Pap tests, studies have found that cervical cancer is not common in these individuals in high-income countries.11
Prevention
Practising safer sex by using condoms or having non-penetrative sex can help reduce the risk of becoming infected with HPV. However, condoms do not completely eliminate the risk of HPV transmission because the virus may be present on skin not covered by the condom. Condoms also reduce the risk of other STIs that contribute to the development of dysplasia and cancer. Stopping cigarette smoking can help reduce the risk of cervical dysplasia and cancer.
Three vaccines against HPV genotypes are available in Canada. Gardasil is approved for use in “females and males aged 9 to 26.” It protects against HPV types 16 and 18, which cause approximately 70% of cervical cancers, as well as HPV types 6 and 11, which do not cause cancer but cause approximately 90% of warts on or around the genitals and anus. Gardasil 9 protects against HPV types 6, 11, 16 and 18 as well as types 31, 33, 45, 52 and 58 which can also cause cancer. Cervarix is only approved for use in “females aged 10 to 25.” It protects against HPV types 16 and 18 only.
In clinical trials with cisgenderi girls and young women, the vaccines have provided a very high level – over 90% – of protection against complications, such as cervical and anal dysplasias and genital warts, related to the HPV genotypes targeted. Indicators of protective effects have lasted for at least 10 years after vaccination in some trials. For either vaccine to work, three doses given over six months are necessary.
The vaccines do not provide protection against HPV that people are already infected with, but provide excellent protection against HPV the person has not been exposed to. Also the vaccines have not been shown to be effective for the treatment of established HPV infection and are not approved in Canada for this use. Gardasil and Cervarix should be avoided in people who are pregnant. Gardasil can be given to people who are breastfeeding, while Cervarix should only be used during breastfeeding when the possible advantages outweigh the possible risks.
It is important to remember that even if someone has received one of the vaccines, they are only protected against the cancer-causing HPV types covered by the vaccine they have received. Regular medical check-ups with pelvic examinations and cervical cancer screening with Pap tests for women and transmen in their 20s and viral testing starting in their 30s are still needed to help all people, regardless of their HIV status, reduce their risk of cervical cancer and watch for signs of cervical dysplasia and cancer.1,3,5,12–15
The bottom line
Cervical dysplasia is not cancer but must be treated to prevent the possibility of it developing into cancer. Cervical cancer is a serious condition, especially for HIV-positive people. The earlier it is found, the better the chances are for successful treatment.
The risk of acquiring HPV, developing cervical dysplasia and cervical cancer may be reduced by:
- getting one of the HPV vaccines
- practising safer sex to reduce the risk of HPV infection
- quitting cigarette smoking
- getting regular Pap tests and, if appropriate, colposcopies and anoscopies
- if HIV positive, taking an effective ART combination3,7,10,15
Footnotes
i Cisgender – someone whose gender identity aligns with the sex they were assigned at birth
ii Transgender – an umbrella term that describes people with diverse gender identities and gender expressions that do not conform to stereotypical ideas about what it means to be a girl/woman or boy/man in society .
(Definitions taken from Creating Authentic Spaces: A gender identity and gender expression toolkit to support the implementation of institutional and social change, published by The 519, Toronto, Ontario.)
References
- Centers for Disease Control and Prevention. Human Papilloma Virus (HPV). Available at: http://www.cdc.gov/std/hpv/pap/default.htm#glosscolp [Accessed July 7th, 2015]
- Ontario’s Ministry of Health and Long-Term Care. Ontario’s Vaccination program. Available at: http://www.health.gov.on.ca/en/ms/hpv/about_hpv.aspx [Accessed July 7th 2015]
- World Health Organization. Human Papillomavirus (HPV) and cervical cancer. Available at: http://www.who.int/mediacentre/factsheets/fs380/en/ [Accessed July 7th 2015]
- Alam S, Conway MJ, Chen HS, et al. The cigarette smoke carcinogen benzo[a]pyrene enhances human papillomavirus synthesis. Journal of Virology. 2008 Jan;82(2):1053–1058.
- Chan JK, Berek JS. Impact of the human papilloma vaccine on cervical cancer. Journal of Clinical Oncology. 2007;25(20):2975–2982.
- Massad LS, Seaberg EC, Wright RL, et al. Squamous cervical lesions in women with human immunodeficiency virus. Obstetrics and Gynecology. 2008 Jun;111(6):1388–1393.
- John Hopkins Medicine. Cervical Biopsy. Available at: http://www.hopkinsmedicine.org/healthlibrary/test_procedures/gynecology/cervical_biopsy_92,P07767/ [Accessed July 7th 2015]
- Maiman M, Watts DH, Andersen JL, et al. Vaginal 5-fluorouracil for high-grade cervical dysplasia in human immunodeficiency virus infection: a randomized trial. Obstetrics and Gynecology. 1999;94:954–961.
- National Cancer Institute. Pap and HPV Testing. Available at: http://www.cancer.gov/types/cervical/pap-hpv-testing-fact-sheet. [Accessed July 7th 2015]
- Strickler HD, Burk RD, Fazzari M, et al. Natural history and possible reactivation of human papillomavirus in human immunodeficiency virus-positive women. Journal of the National Cancer Institute. 2005 Apr 20;97(8):577–586.
- Massad LS, Seaberg EC, Watts DH, et al. Low incidence of invasive cervical cancer among HIV-infected US women in a prevention program. AIDS. 2004 Jan 2;18(1):109–113.
- Public Health Agency of Canada. Human Papillomavirus (HPV) Prevention and HPV Vaccines: Questions and Answers. Available at: http://www.phac-aspc.gc.ca/std-mts/hpv-vph/hpv-vph-vaccine-eng.php#a2 [Accessed July 7th 2015]
- Barr E and Tamms G. Quadrivalent human papillomavirus vaccine. Clinical Infectious Diseases 2007 Sep 1;45(5):609–607.
- GlaxoSmithKline Canada. Cervarix (Human Papillomavirus vaccine Types 16 and 18 (Recombinant, AS04 adjuvanted)). Product Monograph. May 2, 2013.
- Heard I, Schmitz V, Costagliola D, et al. Early regression of cervical lesions in HIV-seropositive women receiving highly active antiretroviral therapy. AIDS. 1998; 12:1459-1464.
Credits
This fact sheet was developed in partnership with the Sex Information and Education Council of Canada (SIECCAN).
Abnormal Pap Smear and Cervical Cancer
The Pap test checks for changes in the cervix that may become cancer. If a Pap test shows these changes, the result is called abnormal. In women who have regular Pap tests, abnormal changes are almost always caught early. An abnormal Pap test result may mean that further testing and follow-up are needed.
This page explains:
If you have an abnormal Pap test result, talk to your doctor about what the result means and the recommended next steps.
The cervix is the opening of the uterus at the top of the vagina. It is covered by a thin layer of tissue. This tissue is made up of cells. As these cells develop, the cells at the bottom layer slowly move to the surface of the cervix. During this process, some cells may become abnormal or damaged. Damaged cells grow differently. In some cases, these cells need to be removed to prevent cancer.
These abnormal cells show early precancer changes called dysplasia or cervical intraepithelial neoplasia (CIN). Dysplasia and CIN are graded as mild, moderate, or severe. Mild dysplasia (CIN 1) usually goes away on its own. Moderate (CIN 2) and severe (CIN 3) dysplasia indicate more serious changes.
The Pap test, also called a Pap smear or cervical cytology screening, checks for abnormal changes in the cells of the cervix and allows early treatment so that they do not become cancer. Regular use of the Pap test has greatly reduced the number of cases of cervical cancer in the United States.
The main cause of abnormal Pap test results is infection with human papillomavirus (HPV). There are many types of HPV. Some types have been linked to cancer of the cervix, vulva, and vagina. Other types have been linked to genital warts.
HPV infection is very common, especially in women younger than 20 years. It is passed from person to person through sexual contact. Usually, a woman’s immune system clears the virus quickly, and the infection goes away by itself. But in some women, HPV does not go away quickly. A small number of these women will go on to develop CIN. The longer HPV is present and the older the woman, the greater the risk she will develop CIN. Smoking doubles the risk of CIN 3 when HPV is present. However, it usually takes years for precancer changes in the cervix to cause cervical cancer.
If you have an abnormal Pap test result, some of the terms used can be confusing. Most labs use the “Bethesda System” to describe Pap test results. This system uses the term squamous intraepithelial lesion (SIL) to describe precancer changes. “Squamous” refers to the type of cells that make up the tissue that covers the cervix. With this system, your results will be placed in one of several groups:
- Normal (negative)—There are no signs of cancer or precancer.
- Atypical squamous cells of undetermined significance (ASC–US)—Changes in the cervical cells have been found. The changes are almost always a sign of an HPV infection but may indicate precancer is present. ASC–US is the most common abnormal Pap test result.
- Squamous intraepithelial lesion (SIL)—Abnormal changes are seen in the cells that may be a sign of precancer. SIL can be low grade (LSIL) or high grade (HSIL). These grades are related to the grades of dysplasia and CIN (see box). LSIL almost always indicates that an HPV infection is present, but it also may indicate mild precancer changes. LSIL is very common and usually goes away on its own without treatment. HSIL indicates more serious changes. Carcinoma in situ (CIS) is a severe form of HSIL. It is the result most likely to progress to cancer.
- Atypical squamous cells, cannot exclude HSIL (ASC–H)—Changes in the cervical cells have been found. These changes are not clearly HSIL but could be. Further testing is needed.
- Atypical glandular cells (AGC)—Cell changes are seen that suggest precancer of the upper part of the cervix or uterus.
- Cancer—Abnormal cells may have spread deeper into the cervix or to other tissues.
If you are told that you have an abnormal Pap test result, you may need further testing. The follow-up that you receive after an abnormal Pap test result depends on your age and the grade of dysplasia. Sometimes, there is more than one option for further testing. You and your health care provider will discuss each option and decide which is best for you.
For some women, one further testing option is to repeat the Pap test a few months later. This may give time for the changes to go away on their own. For women 21 years and older with ASC–US, the test is given every 6 months until she has two normal results. She then can return to the routine Pap test schedule. For women 20 years and younger with ASC–US or LSIL, the Pap test is repeated in 1 year.
Another option for some women is an HPV test. This test detects the presence of cancer-causing types of HPV in cervical cells. The cells used for the initial Pap test often can be tested, so a woman does not need to return to the office for another test.
Colposcopy lets your doctor look at the cervix in more detail through a magnifying device. It can detect problems of the cervix that cannot be seen with the eye alone. If an area of abnormal cells is seen, your doctor may decide that a biopsy is needed. For a biopsy, the doctor removes a small sample of tissue and sends it to a lab to be studied. Endocervical sampling also may be done. A small brush or other instrument is used to take a tissue sample from the cervical canal.
Endometrial Sampling – In this test, a sample of the endometrium (the lining of the uterus) is collected for study. Some women with an AGC result need to have this follow-up test.
Treatment of cervical changes depends on many factors. CIN 1 usually goes away by itself. For this reason, CIN 1 in women 20 years and younger is monitored with repeat Pap tests. No treatment is needed unless there is an HSIL Pap test result. In women 21 years and older, treatment is not needed unless CIN 1 has been present for 2 years, the CIN becomes CIN 2 or CIN 3, or there are other medical problems.
Several techniques are used to treat CIN:
- Loop electrosurgical excision procedure (LEEP)—A thin wire loop that carries an electric current is used to remove abnormal areas of the cervix. LEEP usually is performed in the doctor’s office with local anesthesia. The areas that are removed are sent to a lab to be studied.
- Cone biopsy—A cone-shaped wedge of the cervix is removed for study. This procedure may be done in an operating room with general anesthesia or in a surgical center with other types of anesthesia. You should be able to go home the same day.
- Freezing—Also called cryotherapy, this technique freezes abnormal tissue, which later sheds.
- Laser treatment—In laser treatment, a beam of light destroys abnormal tissue.
Some risks, such as heavy bleeding, are associated with some forms of treatment. All treatments may affect a future pregnancy. Talk to your doctor about these risks before you are treated. You also need follow-up testing after treatment, which may involve repeat Pap tests in 6 and 12 months or an HPV test. You should also get regular Pap tests after the follow-up is done.
Abbreviations: ASC-US, atypical squamous cells of undetermined significance; LSIL, low-grade squamous intraepithelial lesion; HSIL, high-grade squamous intraepithelial lesion; ASC-H, atypical squamous cells, cannot exclude HSIL; AGC, atypical glandular cells; HPV, human papillomavirus; LEEP, loop electrosurgical excision procedure
If you have an abnormal Pap test result, talk to your doctor about what the result means and the recomended next steps. Keep in mind that many women with some types of abnormal Pap test results do not need treatment, only follow-up testing. It is important to have regular Pap tests to detect these problems. If treatment is needed, it can be done early enough to prevent cancer before it develops.
Biopsy: Removal of a small piece of tissue that is then examined under a microscope in a laboratory.
Cervical Intraepithelial Neoplasia (CIN): Another term for dysplasia; a noncancerous condition that occurs when normal cells on the surface of the cervix are replaced by a layer of abnormal cells. CIN is graded as 1 (mild dysplasia), 2 (moderate dysplasia), or 3 (severe dysplasia or carcinoma in situ).
Colposcopy: Viewing of the cervix, vulva, or vagina with magnification using an instrument called a colposcope.Dysplasia: A noncancerous condition that occurs when normal cells are replaced by a layer of abnormal cells.Endometrium: The lining of the uterus.
General Anesthesia: The use of drugs that produce a sleep-like state to prevent pain during surgery.
Human Papillomavirus (HPV): The name for a group of related viruses, some of which are linked to cervical changes and cervical cancer.Immune System: The body’s natural defense system against foreign substances and invading organisms, such as bacteria that cause disease.
Local Anesthesia: The use of drugs that prevent pain in a part of the body.
Loop Electrosurgical Excision Procedure (LEEP): The removal of abnormal tissue (of the cervix, vagina, or vulva) using a thin wire loop and electric energy.
Pap Test: A test in which cells are taken from the cervix and vagina and examined under a microscope.
Squamous intraepithelial lesion (SIL): The term used in Pap test results for abnormal growth of cells on the surface of the cervix.
Cancer of the Cervix | Cervical Cancer
The cervix is the lower, narrow part of the uterus (womb) located between the bladder and the rectum. It forms a canal that opens into the vagina, which leads to the outside of the body.
What is cancer of the cervix?
If abnormal cells on the surface of the cervix spread deeper into the cervix, or to other tissues or organs, the disease is then called cervical cancer, or invasive cervical cancer. Cervical cancer occurs most often in women over the age of 40. It is different from cancer that begins in other parts of the uterus and requires different treatment. Most cervical cancers are squamous cell carcinomas and adenocarcinomas.
Early cervical cancer may not show noticeable signs or symptoms, so yearly check-ups with your physician are important, including a pap smear to check for abnormal cells. The mortality rates for cervical cancer have declined sharply as Pap screenings have become more prevalent. Some researchers estimate that noninvasive cervical cancer (also referred to as “carcinoma in situ”) is nearly four times more common than invasive cervical cancer.
What are precancerous conditions of the cervix?
Precancerous conditions of the cervix are identified as cells that appear to be abnormal, but are not cancerous at the present time. However, the appearance of these abnormal cells may be the first evidence of cancer that develops years later.
Precancerous changes of the cervix usually do not cause pain and, in general, do not cause any symptoms. They are detected with a pelvic exam or a Pap test.
Squamous intraepithelial lesions (SIL) is a term that refers to abnormal changes in the cells on the surface of the cervix.
- squamous – cells are the flat cells found on the surface (of the cervix)
- intraepithelial – means that the abnormal cells are present only in the surface layer of cells
- lesion – refers to an area of abnormal tissue
According to the National Cancer Institute (NCI), changes in these cells can be divided into two categories:
- Low-grade SIL – refers to early changes in the size, shape, and number of cells that form the surface of the cervix. They may go away on their own, or, with time, may grow larger or become more abnormal, forming a high-grade lesion. These precancerous low-grade lesions may also be called mild dysplasia or cervical intraepithelial neoplasia 1 (CIN 1). These early changes most often occur in women between the ages of 25 and 35, but can appear at any age.
- High-grade SIL – means there are a large number of precancerous cells, and, like low-grade SIL, these precancerous changes involve only cells on the surface of the cervix. The cells often do not become cancerous for many months, perhaps years. High-grade lesions may also be called moderate or severe dysplasia, CIN 2 or 3, or carcinoma in situ. They develop most often in women between the ages of 30 and 40, but can occur at any age.
Risk Factors for Cervical Cancer
The following have been suggested as risk factors for cervical cancer:
- Infection with the human papillomavirus (HPV) – Infection with HPV is most often the result of unprotected sex.
- Infection with the human immunodeficiency virus (HIV) or other condition that weakens the immune system – HIV is the precursor to AIDS.
- Smoking – Women who smoke are nearly twice as likely as nonsmokers to have cervical cancer.
- Age – The risk of cancer of the cervix increases between the late teens and mid-30s. However, cervical cancer can occur at any age.
- Having sexual intercourse before the age of 18
- Having many sexual partners, and having partners who have had sexual intercourse at a young age and/or have had many partners themselves
Prevention of Cervical Cancer
Early detection of cervical problems is the best way to prevent cervical cancer. Routine, annual pelvic examinations and Pap tests can detect precancerous conditions that often can be treated before cancer develops. Invasive cancer that does occur would likely be found at an earlier stage. Pelvic examinations and Pap tests are the methods used to determine if there are cervical problems. Women who are or have been sexually active, or are age 18 or older, should have regular checkups, including a pelvic exam and Pap test.
According to the National Institutes of Health (NIH):
A pelvic exam and Pap test allow the physician to detect abnormal changes in the cervix. If an infection is present, it is treated and the Pap test is repeated at a later time. If the exam or Pap test suggests something other than an infection, a repeated Pap test and other tests are performed to determine the problem.
Women who have had a hysterectomy (surgery to remove the uterus, including the cervix) should ask their physician’s advice about having pelvic exams and Pap tests.
Because certain strains of HPV have been found to cause most cases of cervical cancer, research efforts have focused on developing a vaccine against HPV. Two HPV vaccines have been developed, and clinical trials of these vaccines have been successful.
One of the vaccines, Gardasil®, was approved by the US Food and Drug Administration in 2006 and can protect women from HPV infections. It protects against four types of the HPV virus, including the two viruses that cause 90 percent of genital warts. Gardasil can only be used to prevent HPV infection before an abnormal pap test develops.
There is new evidence that Gardasil may also help protect against changes that can lead to vaginal, vulvar, and anal cancers.
Gardasil is administered as a series of three injections over a six month period. Recommendations for giving this vaccine are still being discussed but many professionals feel the vaccine should be given to girls before they become sexually active.
Symptoms of Cervical Cancer
Symptoms of cervical cancer usually do not appear until abnormal cervical cells become cancerous and invade nearby tissue.
- The most common symptom is abnormal bleeding, which may:
- start and stop between regular menstrual periods.
- occur after sexual intercourse, douching, or a pelvic exam.
- Other symptoms may include:
- heavier menstrual bleeding, which may last longer than usual
- bleeding after menopause
- increased vaginal discharge
- pain during intercourse
The symptoms of cervical cancer may resemble other conditions or medical problems. Consult a physician for diagnosis.
Diagnosis for Cervical Cancer
When cervical problems are found during a pelvic examination, or abnormal cells are found through a Pap test, a cervical biopsy may be performed.
There are several types of cervical biopsies that may be used to diagnose cervical cancer, and some of these procedures that can completely remove areas of abnormal tissue may also be used for treatment of precancerous lesions. Some biopsy procedures only require local anesthesia, while others require a general anesthesia. Several types of cervical biopsies include:
- loop electrosurgical excision procedure (LEEP) – a procedure which uses an electric wire loop to obtain a piece of tissue.
- colposcopy – a procedure which uses an instrument with magnifying lenses, called a colposcope, to examine the cervix for abnormalities. If abnormal tissue is found, a biopsy is usually performed (colposcopic biopsy).
- endocervical curettage (ECC) – a procedure which uses a narrow instrument called a curette to scrape the lining of the endocervical canal. This type of biopsy is usually completed along with the colposcopic biopsy.
- cone biopsy (Also called conization.) – a biopsy in which a larger cone-shaped piece of tissue is removed from the cervix by using the loop electrosurgical excision procedure or the cold knife cone biopsy procedure. The cone biopsy procedure may be used as a treatment for precancerous lesions and early cancers.
- HPV DNA test – a test that examines the DNA of cervical cells. The cells are collected as they are for a regular Pap test, but it is not a replacement for a Pap test. The HPV DNA test may be used as a screening test for women over 30 or for women with slightly abnormal Pap test results to determine if further testing or treatment is required.
- cold knife cone biopsy – a procedure in which a laser or a surgical scalpel is used to remove a piece of tissue. This procedure requires the use of general anesthesia.
Treatment for Cervical Cancer
Specific treatment for cervical cancer will be determined by your physician based on:
- your overall health and medical history
- extent of the disease
- your tolerance for specific medications, procedures, or therapies
- expectations for the course of the disease
- your opinion or preference
Treatment may include:
- Surgery
- cryosurgery – use of liquid nitrogen, or a probe that is very cold, to freeze and kill cancer cells.
- laser surgery – use of a powerful beam of light, which can be directed to specific parts of the body without making a large incision, to destroy abnormal cells.
- hysterectomy – surgery to remove the uterus, including the cervix. In some cases, a hysterectomy may be required, particularly if abnormal cells are found inside the opening of the cervix.
- Radiation therapy
- Chemotherapy
LEEP or conization may also be used to remove abnormal tissue.
Estimated Number of Cases of High-Grade Cervical Lesions Diagnosed Among Women — United States, 2008 and 2016
Human papillomavirus (HPV) causes approximately 30,000 cancers in the United States annually (1). HPV vaccination was introduced in 2006 to prevent HPV-associated cancers and diseases (1). Cervical cancer is the most common HPV-associated cancer in women (1). Whereas HPV-associated cancers typically take decades to develop, screen-detected high-grade cervical lesions (cervical intraepithelial neoplasia grades 2 [CIN2], 3 [CIN3], and adenocarcinoma in situ, collectively CIN2+) develop within a few years after infection and have been used to monitor HPV vaccine impact (1–3). CDC analyzed data from the Human Papillomavirus Vaccine Impact Monitoring Project (HPV-IMPACT), a population-based CIN2+ surveillance system, to describe rates of CIN2+ among women aged ≥18 years during 2008–2016. Age-specific rates were applied to U.S. population data to estimate the total number of CIN2+ cases diagnosed in the United States in 2008* and in 2016. From 2008 to 2016, the rate of CIN2+ per 100,000 women declined significantly in women aged 18–19 years and 20–24 years and increased significantly in women aged 40–64 years. In the United States in 2008, an estimated 216,000 (95% confidence interval [CI] = 194,000–241,000) CIN2+ cases were diagnosed, 55% of which were in women aged 18–29 years; in 2016, an estimated 196,000 (95% CI = 176,000–221,000) CIN2+ cases were diagnosed, 36% of which were in women aged 18–29 years. During 2008 and 2016, an estimated 76% of CIN2+ cases were attributable to HPV types targeted by the vaccine currently used in the United States. These estimates of CIN2+ cases likely reflect changes in CIN2+ detection resulting from updated cervical cancer screening and management recommendations, as well as primary prevention through HPV vaccination. Increasing coverage of HPV vaccination in females at the routine age of 11 or 12 years and catch-up vaccination through age 26 years will contribute to further reduction in cervical precancers.
In 2006, HPV vaccine was licensed and recommended for routine vaccination in females aged 11 or 12 years and for catch-up vaccination through age 26 years (1). Two vaccines primarily have been used in the United States: until 2015, the quadrivalent vaccine, which in addition to HPV 6 and 11, targets high-risk, or oncogenic, HPV 16 and 18, and since 2016, 9-valent vaccine, which also targets high-risk HPV types 31, 33, 45, 52, and 58. HPV vaccination coverage among females aged 13–17 years has increased since 2007. In 2016, coverage of ≥1 dose was 65.1% and 3 doses was 43.0% (1).
The HPV-IMPACT sites are located in five surveillance network locations. The specific catchment areas, defined by county or zip code, were selected to provide a diverse population of women and a feasible population size and geographic area for complete case ascertainment; in total, approximately 1.5 million women reside in the catchment areas.† HPV-IMPACT uses active surveillance of diagnostic pathology laboratories to collect all CIN2+ cases (3). Site staff members routinely audit all laboratories and gynecology practices serving catchment areas to ensure complete case ascertainment. Archived diagnostic specimens for type-specific HPV DNA detection of 37 types are obtained for cases in women aged 18–39 years (2). Age-stratified CIN2+ incidence rates per 100,000 women were calculated for each year (2008–2016)§; trends were evaluated using joinpoint models in Joinpoint software (version 4.6.0.0; National Cancer Institute) and reported as average annual percentage change (AAPC) with 95% CIs.¶
To estimate the number of CIN2+ cases in 2008 and 2016 by age group, the observed age-specific CIN2+ rates were applied to age-specific, annual U.S. population estimates.** HPV types were categorized as HPV16/18, HPV31/33/45/52/58, and other type/HPV-negative. To estimate the number of HPV type–specific cases, the age-specific HPV type distribution observed from typing data was applied to age-specific total CIN2+ estimates.†† Case estimates were rounded to the nearest 1,000 cases.§§ An analysis using higher and lower CIN2+ rates observed in specific HPV-IMPACT sites was performed to describe potential uncertainty in estimates.¶¶
During 2008–2016, a total of 23,489 CIN2+ cases were reported to HPV-IMPACT, and HPV DNA typing was performed for 11,581 of 16,590 (69.8%) cases in women aged 18–39 years. In 2008, HPV-IMPACT CIN2+ rates were highest in women aged 20–24 years (559 per 100,000 women [95% CI = 521–600]) and were lower in successively older age groups (Table). In 2016, CIN2+ rates were highest in women aged 25–29 years (480 [95% CI = 448–515]) and lower in each successively older age group. From 2008 to 2016, the rate of CIN2+ per 100,000 women declined significantly in women aged 18–19 years and 20–24 years and increased significantly in women aged 40–64 years.
Extrapolating age-specific HPV-IMPACT rates to the U.S. population, an estimated 216,000 (95% CI = 194,000–241,000) CIN2+ cases were diagnosed in the United States in 2008 (Figure 1), including 119,000 (55%) in women aged 18–29 years, 57,000 (26%) in women aged 30–39 years, and 40,000 (18%) in women aged ≥40 years. Among the estimated 216,000 cases, 165,000 (76%) were attributable to 9-valent vaccine types (111,000 [52%] to HPV16/18 and 54,000 [25%] to HPV31/33/45/52/58) (Figure 2). Among women aged 18–24 years, 52% of CIN2+ cases were HPV16/18-attributable. Of the 165,000 CIN2+ cases attributable to 9-valent vaccine types, 91,000 (55%), 43,000 (26%), and 31,000 (19%) occurred in women aged 18–29, 30–39, and ≥40 years, respectively.
In 2016, an estimated 196,000 (95% CI = 176,000─221,000) CIN2+ cases were diagnosed in the United States, including 71,000 (36%) in women aged 18–29 years, 74,000 (38%) in women aged 30–39 years and 51,000 (26%) in women aged ≥40 years (Figure 1). Among the 196,000 total cases, 150,000 (76%) were attributable to 9-valent vaccine types, including 84,000 (43%) to HPV16/18 and 66,000 (34%) to HPV31/33/45/52/58 (Figure 2). Among women aged 18–24 years, 30% of CIN2+ cases were HPV 16/18-attributable. Of the 150,000 CIN2+ cases attributable to 9-valent vaccine types, 53,000 (35%), 57,000 (38%), and 40,000 (27%) occurred in women aged 18–29, 30–39, and ≥40 years, respectively.
Discussion
This report describes the first estimates of the number of U.S. CIN2+ cases developed from population-based data. In 2008 and 2016, an estimated 216,000 and 196,000 CIN2+ cases were diagnosed, respectively; in both years, 76% were attributable to 9-valent HPV vaccine types. A previous U.S. estimate of 177,469 CIN2+ cases in 2000 was limited by extrapolation from health claims data among privately insured women (4). To estimate U.S. CIN2+ cases, this report also extends previously reported HPV-IMPACT CIN2+ rates, by including rates in women aged ≥40 years (3). Two additional population-based surveillance systems have published CIN2 or CIN3 rates, but have not used them to estimate numbers of U.S. CIN2+ cases (5,6). Rates from those systems were not incorporated into estimates presented in this report because those rates were calculated using a denominator of screened women, did not include HPV typing data, or did not include data on all age groups and years.
Both the estimated number and rates of U.S. CIN2+ cases in this report must be interpreted in the context of cervical cancer prevention strategies, including HPV vaccination and cervical cancer screening. CIN2+ is detected through cervical cancer screening and referral for diagnostic biopsy; thus, changes in screening and management recommendations that occurred during the surveillance period in this report affect CIN2+ detection (7,8). In 2008, the recommended age for initiation of screening was within 3 years of initiation of sexual activity or by age 21 years, with annual screening thereafter recommended by many professional organizations. By 2016, the recommended age for screening initiation was 21 years, and screening intervals had increased to every 3 years with cytology alone, or every 5 years with cytology plus HPV testing in women aged ≥30 years. Older age at screening initiation, longer screening intervals, and more conservative management in young women might be expected to reduce the number of CIN2+ cases detected in younger age groups in whom lesions are most likely to regress and shift detection of some CIN2+ to older age groups, resulting in a transient increase in rates (3,5). In younger age groups, the decline in HPV 16/18-attributable CIN2+, targeted by the quadrivalent vaccine from 2006 to 2015, also reflects the impact of the U.S. HPV vaccination program. Some of the increases in older age groups could be attributable to use of HPV testing, which is more sensitive than cytology, as part of cervical cancer screening, as has been predicted by modeling studies (9).
The findings in this report are subject to at least three limitations. First, U.S. CIN2+ cases were extrapolated from population-based surveillance in five communities, which was not designed to be nationally representative. Compared with the U.S. population, HPV-IMPACT catchment areas have a similar proportion of white women, a slightly higher proportion of black and Asian women, and a lower proportion of Hispanic women. Age-stratified rates were used to project to the U.S. population; however, this analysis did not adjust for race or other population characteristics, such as screening practices, that could affect the estimates. If actual U.S. CIN2+ rates are higher or lower than HPV-IMPACT CIN2+ rates, U.S. case numbers could be incorrectly estimated. Second, HPV type distribution in age groups ≥40 years was based on the distribution in women aged 30–39 years; prior HPV typing data in older age groups suggest that these calculations might overestimate contributions of 9-valent vaccine types in women aged ≥40 years (10). Finally, this analysis could not fully differentiate the factors influencing changes in CIN2+ development and detection, including screening and management recommendations and vaccination. However, previous studies have demonstrated that declining CIN2+ rates are not fully explained by changes in screening (3), and the proportion of CIN2+ attributable to vaccine types is declining (2).
This first estimate of the number of U.S. CIN2+ cases derived from population-based data, including the percentage that could be prevented by vaccination, is important for understanding CIN2+ trends across all age groups and will help to better identify the impact of both vaccination and changes to cervical screening and management guidelines. Increasing coverage of HPV vaccination in females at the routine age of 11 or 12 years and catch-up vaccination through age 26 years for those not adequately vaccinated previously will contribute to further reduction in cervical precancers.
Acknowledgments
Tiffanie Markus, PhD, Vanderbilt University Medical Center, Nashville, Tennessee; Martin Whiteside, PhD, Tennessee Comprehensive Cancer Control Program, Nashville, Tennessee; Leo Hurley, MPH, Division of Research, Kaiser Permanente Northern California; Mona Saraiya, MD, Division for Cancer Prevention and Control, National Center for Chronic Disease Prevention and Health Promotion, CDC; Patrick McKibben, Juanita M. Onyekwuluje, MS, Division of High-Consequence Pathogens and Pathology, National Center for Emerging and Zoonotic Infectious Diseases, CDC.
HPV-IMPACT Working Group
Sheelah Blankenship, MS, Vanderbilt University Medical Center; Stephanie Allen, MPH, Vanderbilt University Medical Center; James Meek, MPH, Yale School of Public Health; Kyle Higgins, Yale School of Public Health; James Hadler, MD, Yale School of Public Health; Lynn Sosa, MD, Connecticut Department of Public Health; Kayla Saadeh, MPH, California Emerging Infections Program; Deana Fink, California Emerging Infections Program; Michael Silverberg, PhD, Kaiser Permanente Northern California; Melissa E. Powell, MPH, Oregon Health Authority; Shannon Q. Allain, Oregon Health Authority; Christina Felsen, MPH, University of Rochester School of Medicine and Dentistry; RaeAnne Bogart, University of Rochester School of Medicine and Dentistry; Marina Oktapodas Feiler, MS, University of Rochester School of Medicine and Dentistry; Rebecca M. Dahl, MPH, Maximus Federal.
Clinical factors for the development of high-grade squamous intraepithelial lesions of the cervix in patients with human papillomavirus infection | Dimitriadi
1. Kaprin A.D., Starinskiy V.V., Petrova G.V. The state of cancer care to the population of Russia in 2018), Moscow: MNIOI im. P.A. Herzen branch of the Federal State Budgetary Institution “National Medical Research Center of Radiology” of the Ministry of Health of Russia, 2019. ill. 236 s.
2.Axel E.M. Morbidity and mortality from malignant neoplasms of the female reproductive system in Russia. Oncogynecology. 2015; (1): 6-15.
3.zur Hausen H. Papillomaviruses causing cancer: evasion from host-cell control in early events in carcinogenesis. J Natl Cancer Inst. 2000 May 3; 92 (9): 690-698. https://doi.org/10.1093/jnci/92.9.690
4.WHO guidelines for screening and treatment of precancerous lesions for cervical cancer prevention. World Health Organization, 2013, 58 p.
5. Wentzensen N, Arbyn M, Berkhof J, Bower M, Canfell K, Einstein M, et al. Eurogin 2016 Roadmap: how HPV knowledge is changing screening practice. Int J Cancer. 2017 May 15; 140 (10): 2192-2000. https://doi.org/10.1002/ijc.30579
6.Bernard H.U. Taxonomy and phylogeny of papillomaviruses: an overview and recent developments. Infect Genet Evol. 2013 Aug; 18: 357-361. https://doi.org/10.1016/j.meegid.2013.03.011
7. Dimitriadi T.A., Holodnaya T.O. Diagnostics and treatment of cervical pathology: a modern view of the problem. Proceedings of higher educational institutions. North Caucasian region. Natural Sciences. 2007; (5 (141)): 95-100.
8.Donnikov A.E., Markelov M.I., Pestrikova T.Yu., Yurasova E.A., Kotelnikova A.V., Voroshilina E.S. et al. Analysis of the prevalence and viral load of various types of human papillomavirus in the regions of the Russian Federation. Obstetrics and gynecology. 2019; (4): 39–47. https://doi.org/10.18565/aig.2019.4.39–47
9. Salcedo M. P., Baker E. S., Schmeler K.M. Intraepithelial Neoplasia of the Lower Genital Tract (Cervix, Vagina, Vulva): Etiology, Screening, Diagnosis, Management.Comprehensive Gynecology. 2017; 28: 655-665. https://doi.org/10.1016/b978-0-323-06986-1.00028-7
10. Korolenkova L.I. Markers of the onset and progression of cervical intraepithelial neoplasias associated with human papillomavirus infection: from scientific developments to clinical practice. Tumors of the female reproductive system. 2010; (4): 64–70. https://doi.org/10.17650/1994-4098-2010-0-4-64-70
11.Anaman-Torgbor JA, King J, Correa-Velez I. Barriers and facilitators of cervical cancer screening practices among African immigrant women living in Brisbane, Australia. Eur J Oncol Nurs. 2017 Dec; 31: 22-29. https://doi.org/10.1016/j.ejon.2017.09.005
12. Moreno V, Bosch FX, Muñoz N, Meijer CJLM, Shah KV, Walboomers JMM, et al. Effect of oral contraceptives on risk of cervical cancer in women with human papillomavirus infection: the IARC multicentric case-control study.Lancet. 2002 Mar 30; 359 (9312): 1085-1092. https://doi.org/10.1016/S0140–6736(02)08150–3
13. Smith JS, Green J, Berrington de Gonzalez A, Appleby P, Peto J, Plummer M, et al. Cervical cancer and use of hormonal contraceptives: a systematic review. Lancet. 2003 Apr 5; 361 (9364): 1159-1167. https://doi.org/10.1016/s0140–6736(03)12949–2
Low-risk intraepithelial lesions of the cervix in pregnant women with HPV and disorders of the vaginal biocenosis
The relationship between intraepithelial lesions of the cervix and disorders of the vaginal biocenosis in pregnant women with HPV infection was established and the tactics of patient management was determined.HPV-positive pregnant women have a high frequency of vaginal dysbiosis (38.7%), which is characterized in most of them by mixed infection (65%), predominantly anaerobic-aerobic (44.1%). The presence of HPV of high carcinogenic risk in pregnant women is associated with bacterial vaginosis, combined dysbiosis, their relapses, and with the frequency of ASC – US and LSIL against the background of an inflammatory reaction. Restoration of normal microflora contributes to the disappearance of the inflammatory response and reduction of ASC – US.The frequency of LSIL is unaffected by dysbiosis therapy when followed for 3 months.
Low-risk squamous intraepithelial lesions of the cervix
1. Hong Y., Li S.Q., Hu Y.L., Wang Z.Q. Survey of human papillomavirus types and their vertical transmission in pregnant women. BMC Infect. Dis. 2013; 13: 109. doi: 10.1186 / 1471-2334-13-109.
2. Liu P., Xu L., Sun Y., Wang Z. The prevalence and risk of human papillomavirus infection in pregnant women.Epidemiol. Infect. 2014; 142 (8): 1567–78. doi: 10.1017 / S0950268814000636.
3. Salcedo M.M., Damin A.P., Agnes G., Pessini S.A., Beitune P.E., Alexandre C.O. et al. Prevalence of human papillomavirus infection in pregnant versus non-pregnant women in Brazil. Arch. Gynecol. Obstet. 2015; 292 (6): 1273-8. doi: 10.1007 / s00404-015-3752-8.
4. Domža G., Gudlevičienė Z., Didžiapetrienė J., Valuckas K.P., Kazbarienė B., Drąsutienė G. Human papillomavirus infection in pregnant women.Arch. Gynecol. Obstet. 2011; 284 (5): 1105-12. doi: 10.1007 / s00404-010-1787-4.
5. Bebneva T.N., Dikke G.B. Recurrent vaginal biocenosis disorders associated with bacterial vaginosis in pregnant women with HPV infection. Obstetrics and gynecology. 2018; 9: 52-8.
6. Cubo-Abert M., Centeno-Mediavilla C., Franco-Zabala P., Merced-Vázquez C., Castellví J., García A. et al. Risk factors for progression or persistence of squamous intraepithelial lesions diagnosed during pregnancy.J. Low. Genit. Tract Dis. 2012; 16 (1): 34-8. doi: 10.1097 / LGT.0b013e31822e83cf.
7. Bebneva T.N. Cytological and colposcopic features of the cervix in pregnant women with persistent human papillomavirus infection. Doctor.Ru. 2015; Appendix 2: 10-3.
8. Xavier-Júnior J.C., Dufloth R.M., do Vale D.B., Tavares T.A., Zeferino L.C. High-grade squamous intraepithelial lesions in pregnant and non-pregnant women. Eur. J. Obstet. Gynecol. Reprod. Biol. 2014; 175: 103-6. doi: 10.1016 / j.ejogrb.2014.01.018.
9. Origoni M., Salvatore S., Perino A., Cucinella G., Candiani M. Cervical Intraepithelial Neoplasia (CIN) in pregnancy: the state of the art. Eur. Rev. Med. Pharmacol. Sci. 2014; 18 (6): 851-60.
10. Mitra A., Mac Intyre D. A., Lee Y.S., Smith A., Marchesi J. R., Lehne B. et al. Cervical intraepithelial neoplasia disease progression is associated with increased vaginal microbiome diversity. Sci. Rep. 2015; 5: 16865.doi: 10.1038 / srep16865. Available at: https: // www.nature.com/articles/srep16865
11. Kero K., Rautava J., Syrjänen K., Grenman S., Syrjänen S. Association of asymptomatic bacterial vaginosis with persistence of female genital human papillomavirus infection. Eur. J. Clin. Microbiol. Infect. Dis. 2017; 36 (11): 2215-19. doi: 10.1007 / s10096-017-3048-y.
12. Mitra A., MacIntyre D., Lee Y., Smith A., Marchesi J., Lehne B. et al. Characterization of the vaginal microbiome in cervical intraepithelial neoplasia. Lancet. 2016; 387 (Special Issue): S75.doi: 10.1016 / S0140-6736 (16) 00462-1.
13. Gillet E., Meys J.F., Verstraelen H., Bosire C., De Sutter P., Temmerman M., Broeck D.V. Bacterial vaginosis is associated with uterine cervical human papillomavirus infection: a meta-analysis. BMC Infect. Dis. 2011; 11: 10.doi: 10.1186 / 1471-2334-11-10.
14. Zodzika J., Jermakowa I., Rezeberga D., Vasina O., Vedmedovska N., Donders G.G. Factors related to elelvated vaginal pH in the first trimester of pregnancy. Acta Obstet. Gynecol.Scand. 2011; 90: 41-6. doi: 10.1111 / j.1600-0412.2010.01011.x.
15. Donders G., Bellen G., Rezeberga D. Aerobic vaginitis in pregnancy. BJOG. 2011; 118 (10): 1163-70. doi: 10.1111 / j.1471-0528.2011.03020.x.
16. Sangeetha K.T., Saroj Golia, Vasudha C.L. A study of aerobic bacterial pathogens associated with vaginitis in reproductive age group women (15–45 years) and their sensitivity pattern. Int. J. Res. Med. Sci. 2015; 3 (9): 2268-73. doi: 10.18203 / 2320-6012.ijrms20150615.
17. Rathod S.D., Klausner J.D., Krupp K., Reingold A.L., Madhivanan P. Epidemiologic features of vulvovaginal candidiasis among reproductive-age women in India. Infect. Dis. Obstet. Gynecol. 2012; 2012: ID 859071. doi: 10.1155 / 2012/859071.
18. Kalantari N., Ghaffari S., Bayani M. Trichomonas, Candida and Gardnerella in cervical smears of Iranian women for cancer screening. N. Am. J. Med. Sci. 2014; 6 (1): 25-9. doi: 10.4103 / 1947-2714.125861.
19. Kone E.S., Balili A.D., Paparisto P.D., Ceka X.R., Petrela E.D. Vaginal infections of Albanian women infected with HPV and their impact in intraepithelial cervical lesions evidenced by Pap test. J. Cytol. 2017; 34 (1): 16-21. doi: 10.4103 / 0970-9371.197592.
20. Lu H., Jiang P.C., Zhang X.D., Hou W.J., Wei Z.H., Lu J.Q. et al. Characteristics of bacterial vaginosis infection in cervical lesions with high risk human papillomavirus infection. Int. J. Clin. Exp. Med. 2015; 8 (11): 21080-8.
21.Ghosh I., Mandal R., Kundu P., Biswas J. Association of genital infections other than human papillomavirus with pre-invasive and invasive cervical neoplasia. J. Clin. Diagn. Res. 2016; 10 (2): XE01-6. doi: 10.7860 / JCDR / 2016 / 15305.7173.
22. Tao L., Han L., Li X., Gao Q., Pan L., Wu L. et al. Prevalence and risk factors for cervical neoplasia: a cervical cancer screening program in Beijing. BMC Public Health. 2014; 14: 1185. doi: 10.1186 / 1471-2458-14-1185.
23. Kiseki H., Tsukahara Y., Tajima N., Tanaka A., Horimoto A., Hashimura N. Influence of co-infection complicated with human papillomavirus on cervical intraepithelial neoplasia development in patients with atypical squamous cells of undetermined significance. J. Infect. Chemother. 2017; 23 (12): 814-9. doi: 10.1016 / j.jiac.2017.08.008.
24. Rodriguez-Cerdeira C., Sanchez-Blanco E., Alba A. Evaluation of association between vaginal infections and high-risk human papillomavirus types in female sex workers in Spain.ISRN Obstet. Gynecol. 2012; 2012: 240190.doi: 10.5402/2012/240190.
25. Ramirez-Garcia A., Rementeria A., Aguirre-Urizar J. M., Moragues M. D., Antoran A., Pellon A. et al. Candida albicans and cancer: Can this yeast induce cancer development or progression? Crit. Rev. Microbiol. 2016; 42 (2): 181-93. doi: 10.3109 / 1040841X.2014.913004.
26. Di Paola M., Sani C., Clemente A. M., Iossa A., Perissi E., Castronovo G. et al. Characterization of cervico-vaginal microbiota in women developing persistent high-risk human papillomavirus infection.Sci. Rep. 2017; 7 (1): 10200.doi: 10.1038 / s41598-017-09842-6.
27. Guo Y.L., You K., Qiao J., Zhao Y.M., Geng L. Bacterial vaginosis is conducive to the persistence of HPV infection. Int. J. STD AIDS. 2012; 23 (8): 581-4. doi: 10.1258 / ijsa.2012.011342.
28. Mongelos P., Mendoza L. P., Rodriguez-Riveros I., Castro A., Gimenez G., Araujo P. et al. Distribution of human papillomavirus (HPV) genotypes and bacterial vaginosis presence in cervical samples from Paraguayan indigenous.Int. J. Infect. Dis. 2015; 39: 44-9. doi: 10.1016 / j.ijid.2015.08.007.
29. Ovestad I.T., Gudlaugsson E., Skaland I., Malpica A., Munk A.C., Janssen E.A., Baak J.P. The impact of epithelial biomarkers, local immune response and human papillomavirus genotype in the regression of cervical intraepithelial neoplasia grades 2-3. J. Clin. Pathol. 2011; 64 (4): 303-7. doi: 10.1136 / jcp.2010.083626.
30. Sodhani P., Gupta S., Gupta R., Mehrotra R. Bacterial vaginosis and cervical intraepithelial neoplasia: is there an association or is co-existence incidental? Asian Pac.J. Cancer Prev. 2017; 18 (5): 1289-92. doi: 10.22034 / APJCP.2017.18.5.1289.
31. Oh H.Y., Kim B.S., Seo S.S., Kong J.S., Lee J.K., Park S.Y. et al. The association of uterine cervical microbiota with an increased risk for cervical intraepithelial neoplasia in Korea. Clin. Microbiol. Infect. 2015; 21 (7): 674.e1-9. doi: 10.1016 / j.cmi.2015.02.026.
32. Palma E., Recine N., Domenici L., Giorgini M., Pierangeli A., Panici P.B. Long-term Lactobacillus rhamnosus BMX 54 application to restore a balanced vaginal ecosystem: a promising solution against HPV-infection.BMC Infect. Dis. 2018; 18: 13. doi: 10.1186 / s12879-017-2938-z.
33. Rogovskaya S.I., Terebneva L.I. Clinical aspects of low-grade squamous intraepithelial lesions. Obstetrics and gynecology. 2013; 2: 136-43.
34. Savelyeva G.M., Sukhikh G.T., Serov V.N., Radzinsky V.E., ed. Obstetrics. National leadership. 2nd ed. M .: GEOTAR-Media; 2015.1080s.
35. Bebneva T.N., Dikke G.B. Correction of recurrent disorders of the vaginal biocenosis in pregnant women infected with the human papillomavirus.Obstetrics and gynecology: news, opinions, training. 2018; 3: 38-46.
36. World Health Organization. WHO guidelines for the treatment of Chlamydia trachomatis. Geneva: World Health Organization; 2016.47r.
37. Bradshaw C.S., Sobel J.D. Current treatment of bacterial vaginosis-limitations and need for innovation. J. Infect. Dis. 2016; 214 (Suppl. 1): S14-20. doi: 10.1093 / infdis / jiw159.
38. Sherrard1 J., Donders G., White D., Jensen J.S. European (IUSTI / WHO) guideline on the management of vaginal discharge.2011.23r. Available at: http://www.iusti.org/
39. Balmer J.A. and the Multicenter Study Group (Multicenter European Study) McMiror complex in the treatment of vulvovaginitis caused by mixed fungal, bacterial and Trichomonas infections. Pharmacist. 2001; 19: 32-3.
40. Zakharova T.V., Volkov V.G. Experience in the treatment of bacterial vaginosis associated with vulvovaginal candidiasis. Obstetrics and gynecology. 2016; 11: 131-5. doi: 10.18565 / aig.2016.11.131-5.
41. Sergienko G.S., Tazina T.V., Zhuchkov M.V. Possibilities of vaginal cream containing clindamycin and butoconazole in reducing the risk of recurrence of urogenital candidiasis in comorbid patients with bacterial vaginosis. Gynecology. 2018; 20 (1): 68-70.
42. Tikhomirov A.L., Sarsania S.I., Tuskaev K.S. The relevance of the use of povidone iodine in the practice of an obstetrician-gynecologist. Breast cancer. Mother and child. 2014; 22 (1): 50-3.
43.Dodova E.G., Apolikhina I.A., Gorbunova E.G.A., Borodina E.A. Complex treatment of inflammatory diseases of the lower genital tract in women. Obstetrics and gynecology. 2015; 6: 129-35.
44. Mendling W., Weissenbacher E.R., Gerber S., Prasauskas V., Grob P. Use of locally delivered dequalinium chloride in the treatment of vaginal infections: a review. Arch. Gynecol. Obstet. 2016; 293 (3): 469-84. doi: 10.1007 / s00404-015-3914-8.
45. Verstraelen H., Verhelst R., Roelens K., Temmerman M. Antiseptics and disinfectants for the treatment of bacterial vaginosis: a systematic review.BMC Infect. Dis. 2012; 12: 148.doi: 10.1186 / 1471-2334-12-148.
46. Homayouni A., Bastani P., Ziyadi S., Mohammad-Alizadeh-Charandabi S., Ghalibaf M., Mortazavian A.M., Mehrabany E.V. Effects of probiotics on the recurrence of bacterial vaginosis: a review. J. Low. Genit. Tract Dis. 2014; 18 (1): 79-86. doi: 10.1097 / LGT.0b013e31829156ec.
Received 09/07/2018
Accepted for publication 09/21/2018
Tamara N. Bebneva, Candidate of Medical Sciences, Associate Professor of the Department of Obstetrics, Gynecology and Reproductive Medicine, Faculty of Advanced Training of Medical Workers, Medical Institute of the Peoples’ Friendship University of the Russian Ministry of Education “; doctor of the Federal State Budgetary Institution NMITse of the Ministry of Health of Russia.
117198, Moscow, st. Miklukho-Maklaya, 21, bldg. 3. Tel .: +7 916 518 19 64. E – mail:
. Author’s profile: ORCID.org 0000–0001–9524–8962.
Dikke Galina Borisovna, MD, DSc, Associate Professor, Professor of the Department of Obstetrics and Gynecology with a course of reproductive medicine F.I. Inozemtseva “, St. Petersburg.
1
, St. Petersburg, Moskovsky pr., 22, letter M, tel .: 8 (812) 334–76–50. E – mail:
.Author’s profile: ORCID.org 0000–0001–9524–8962.
For citation: Bebneva T.N., Dikke G.B. Low-risk intraepithelial lesions of the cervix in pregnant women with HPV and vaginal biocenosis. Obstetrics and gynecology. 2018; 11: 152-8.
https://dx.doi.org/10.18565/aig.2018.11.152-158
Cervical dysplasia – treatment of all stages, diagnosis, prevention. – Clinic “Doctor near”
If you have more than 80% of the listed symptoms, we strongly recommend that you consult a doctor for advice.
Dysplasia of the cervix is a fairly common disease in gynecology, during which the cells of the mucous membrane of the uterine cervix change their structure, thicken, grow, maturation and rejection of the epithelium occur. The appearance of atypical cells occurs in the superficial and deep epithelial layers of the cervix, in contrast to cervical erosion. This pathological process belongs to precancerous conditions, the development of dysplasia in the absence of proper treatment is likely to lead to cancer.But if you diagnose and treat cervical dysplasia at an early stage, cancer risk can be avoided.
Causes of cervical dysplasia
This disease most often affects women who are of childbearing age – from 25 to 35 years. The main factors provoking the development of the disease include:
human papillomavirus – oncogenic types of HPV-16 and HPV-18 in 95-98% of cases provoke the development of the pathological process.Due to the activity of the virus, the cells of the basal and parabasal layers proliferate, the cells affected by the virus grow and end up in the upper layers of the epithelium, where the viral cells multiply.
immunodeficiency states resulting from the influence on the immune reactivity of various chronic diseases, medications, stressful situations, unbalanced nutrition;
active and passive smoking – the risk of cervical dysplasia increases fourfold;
vaginitis, vaginosis, colpitis, ectopia and erosion of the uterine cervix, vulvar leukoplakia;
early onset of sexual activity and childbirth – before the age of 16;
promiscuous sex life, refusal to use contraceptives, especially condoms;
a large number of abortions;
violation of the hormonal background due to pregnancy, menopause, the use of oral contraceptives and hormonal medications;
the occurrence of traumatic injuries of the cervix during labor and other cases;
deficiency of a number of vitamins – A, C, β-carotene.
Symptoms
As a rule, cervical dysplasia does not manifest as independent clinical signs. Approximately 10% of patients have a latent course of the disease. But in severe stages of the disease, periodic pain in the lower abdomen may occur. Most often, microbial attachment occurs. In this case, symptoms of colpitis or cervicitis appear – the appearance of itching, burning, discharge from the genitals of an uncharacteristic color, smell, consistency.After intimacy, the use of tampons, the discharge may be bloody. Usually, dysplasia of the cervix is accompanied by such diseases as chlamydia, gonorrhea, the formation of genital warts in the vagina, on the vulva, the skin of the anus.
The development of the disease can proceed for a long time and regress on its own after the treatment of inflammatory diseases has been carried out. But in most cases, there is an active development of dysplasia.
Diagnostic methods
In the absence of pronounced clinical signs, the diagnosis of cervical dysplasia is carried out using laboratory, clinical and instrumental techniques, which include:
examination of the cervix by means of vaginal mirrors.Thus, it is possible to notice the clinical manifestations of dysplasia – a change in the color of the mucous membrane, the presence of shine in the area of the external pharynx, spots, proliferation of the cervical epithelium;
carrying out a simple and extended colposcopy – examination of the uterine cervix using a colposcope. This optical device is capable of magnifying an image more than tenfold. At the same time, diagnostic tests are carried out – the cervix is covered with a solution of acetic acid and Lugol;
histological examination of tissue samples.If, during colposcopy, areas of the epithelium are found that cause concern and indicate the development of cervical dysplasia, a biopsy is performed, and the resulting biopsy is sent for histological examination, which is the most informative diagnostic technique and gives
carrying out a cytological examination of a Pap smear (PAP test) – under a microscope, the number, size, shape, location of atypical cells that were obtained when taking a smear from various parts of the cervical surface are examined.Also, the PAP test allows you to notice cells indicating the presence of human papillomavirus, which have shrunken nuclei and rim;
the use of immunological PCR methods, which can detect the presence of human papillomavirus, determine the viral load and strains. The methods aimed at treating cervical dysplasia depend on whether oncogenic types of HPV are present.
Types and degrees of cervical dysplasia
The species is determined based on the results of histological examination.PAP smear helps to identify squamous intraepithelial lesions. There are several stages of the pathological process:
low rate of change;
high rate of change;
the likelihood of the presence of an oncological process;
the presence of atypical glandular cells;
the presence of atypical squamous cells.
When conducting a histological examination according to the WHO classification, three degrees of cervical dysplasia are revealed, divided by the severity of the lesion:
1 degree CIN1 (light) , characterized by the normal location of the superficial and intermediate layers of squamous epithelium, changes penetrate to a depth of one third of the epithelium, dyskeratosis and coylocytosis are detected in the analyzes;
Grade 2 CIN2 (moderate) , in which the lesion affects from one third to two thirds of the thickness of the layers of squamous epithelium, progressive morphological cellular changes are revealed;
Grade 3 CIN3 (severe) , with an extreme degree of damage, referred to as non-invasive cancer – the deepest spread of the pathological process, the lesion affects two-thirds of the mucous membrane of the cervix, significant structural changes, pathological cellular mitosis, large hyperchromic nuclei in cells, altered cells are found only in the mucous membrane, the spread to nearby tissues, muscles and blood vessels is not traced.
Treatment of cervical dysplasia
When choosing treatment methods, a number of factors must be taken into account – the age of the patient, the degree of development of dysplasia, the size of the area with pathological changes, the presence of concomitant diseases, the woman’s desire to bear and give birth to a child in the future.
Treatment of dysplasia of 1 and 2 degrees is supervised by a gynecologist. A gynecologist-oncologist is engaged in the treatment of a severe form using surgical methods of therapy.If the patient is less than twenty years old, the human papillomavirus is absent in the body, dysplasia does not extend to the cervical canal, the epithelium of the cervix is affected by the point type, expectant tactics are possible. In this case, the treatment of cervical dysplasia of the 1st degree is not carried out, the doctor monitors the patient’s condition and the degree of progression of the disease.
Today, medical and surgical methods of therapy are used to treat dysplasia.
Medication for cervical dysplasia
Moderate treatment can be done with medication. Usually used immunomodulators, interferons and interferon inducers, antibiotic agents such as Azithromycin tablets, Doxycycline capsules, anti-inflammatory drugs, suppositories that help restore the epithelial structure of the cervix and vaginal microflora, various complex vitamins.
Surgical treatment of cervical dysplasia
The decision about surgery is applied after a positive test result for dysplasia has been obtained twice.Before the start of surgical treatment, anti-inflammatory therapy is performed to sanitize the lesion. After its completion, it is possible to reduce or completely disappear the changed area. Usually, the operation is prescribed for the first phase of the menstrual cycle – from the sixth to the tenth days, if the presence of an inflammatory process is not detected in the uterus and vagina and there is no pregnancy. For the surgical treatment of cervical dysplasia, the following are used:
laser surgery (vaporization, cauterization, conization by means of a laser beam) – during the operation, a low-intensity laser beam is exposed to the foci of dysplasia, as a result of which they are heated and destroyed, followed by the formation of necrosis;
cryosurgery (cold destruction, cryodestruction, cryoconization) – the focus is eliminated by local freezing of the affected tissues using liquid nitrogen, nitrous oxide, carbon dioxide;
loop excision of the cervix – the process of excision of the altered tissue of the cervix with a heated thin loop of stainless steel or tungsten of various shapes (square, semicircular, triangular – conization or cone-shaped excision).This method is applied using electrosurgical devices that generate a constant low voltage that is transmitted to a wire loop designed to excision of altered tissue;
radio wave surgery is a quick and painless method of surgical intervention, in which the internal energy of atypical cells is stimulated by means of radio waves, as a result of which they are destroyed;
removal of the cervix – this technique is used if it is not possible to carry out other methods of treatment or they turned out to be ineffective.
Prevention of cervical dysplasia
Three to four months after the treatment, the first control is carried out – a PAP smear is taken from the patient, subsequently this procedure will be repeated quarterly for a year. In order to prevent cervical dysplasia and the occurrence of relapses of the disease, it is recommended:
use barrier methods of contraception, especially in the absence of a permanent sexual partner;
minimize or completely quit smoking;
timely reorganize all infectious foci;
pay attention to nutrition – it must be balanced, with the presence of necessary vitamins and microelements, the presence of selenium and vitamins of groups A and B in the diet is especially desirable;
regular (at least one or two times a year) undergoing preventive examinations by a gynecologist with taking and cytological examination of scrapings / smears from the cervix.
Cervical dysplasia, treatment methods and prices
Cervical dysplasia, according to the definition given by the World Health Organization, is changes in the cervix associated with the appearance of atypical cells (impaired structure and maturation, cell differentiation) in the middle and basal layer of the cervical mucosa, without changes in the surface layer. Gradually, the process leads to a change in the structure of the layering of the cervical epithelium.
Dysplasia is formed, as a rule, in the area of the so-called “transformation zone”, at the border of the cervix and the cervical canal – at the place of transition of stratified squamous epithelium into single-layer columnar epithelium. The term dysplasia appeared in 1956, was adopted by the WHO in 1973. In the medical environment, another synonymous concept is used – “cervical intraepithelial neoplasia”.
Cause of Fear
- What they say about the patient’s cervical dysplasia …
Svetlana, message on the women’s forum:
“I have such a story, first degree dysplasia was discovered.For a year and a half now, I have been undergoing treatment, I put all sorts of candles, I drink pills. But, I am afraid to have sex, because after intimacy it bleeds, I’m tired of a ton of drugs, and it’s also scary that she can go into cancer. ”
Victoria, message on the women’s forum:
“I will share with you a sad story. I’m twenty-four now, I haven’t given birth, but I’m planning. About three years ago, HPV was discovered. Then I was diagnosed with mild dysplasia, the doctor insistently advised me to burn it. But, I, I got scared and kept waiting.In three months I made it to the second degree. After that, I was sent to the oncology center, where I underwent an operation. Results – grade 3 dysplasia. I’m waiting for the cervix to heal after surgery and for tests. Therefore, I advise you to be treated, not to wait. ”
- How do specialists characterize cervical dysplasia …
At the moment, doctors recognize dysplasia as a rather dangerous condition. It is regarded by specialists as a precancerous process of the cervix.The risk of degeneration of foci of pathology into a cancerous tumor, according to some data, reaches 50%. Moreover, the more pronounced the stage, the greater the likelihood of developing cervical cancer. Each year, pathology is detected in thirty million women, while ten million already have severe dysplasia. After the detection of cervical dysplasia, it is important to choose the right treatment tactics. The problem is that a similar condition of the cervix can be observed for a long time, which reduces the patients’ belief in the success of treatment.Without achieving quick results in the treatment of cervical dysplasia, women take a wait-and-see attitude, ignoring the advice and appointments of a gynecologist, which is very dangerous. That is why it is important for every girl and lady to have as much information as possible about this condition, as well as to choose the doctor who can be completely trusted. The course of cervical dysplasia is strictly individual and only a gynecologist can determine the treatment tactics of the patient, based on the data of a comprehensive examination.
Not too good news
As a rule, with cervical dysplasia, specific symptoms, the woman does not bother with pain.Complaints arise with the additional development of the infectious process, the formation of erosion of the cervix, with the formation of scar tissue with ectopion, leukoplakia, polyps, warts. In this case, itching, burning, and an increase in the amount of discharge from the genital tract may occur. Most often, cervical dysplasia is detected during a routine examination, during colposcopy and according to the results of scraping (cytological examination).
- What kind of research?
Extended colposcopy, possibly with targeted biopsy, as well as curettage of the endocervix (the canal connecting the cervix and vagina), is performed for the primary detection of cervical atypia and clarification of the diagnosis.The use of a device consisting of a specially designed microscope and a light source helps the doctor assess the condition of the cervical tissue, identify the affected area on the cervix and take biomaterial for examination as accurately as possible. For example, in the Clinic of Modern Technologies (KST), in Moscow, gynecologists perform an examination of the cervix using a Karl Kaps SOM 52 colposcope equipped with powerful optics. The better the device, the higher the likelihood that the doctor will notice any change in the cervix, which means that he will detect dysplasia at an early stage, when the risk of degeneration into cervical cancer is minimal.
Cytological examination – reveals altered groups of cells of the stratified squamous epithelium of the cervix. At the moment, liquid cytology has become the most modern method. The peculiarity of the study is in the uniform, very fine distribution of the biomaterial over the glass surface, which reduces the time of the analysis, making all the cell structures clearer.
Colposcopy and scraping (without biopsy) of the cervix for the patient are painless procedures. And in the event that a modern gynecological chair Medi-Matic is installed in the doctor’s office, the shape of which corresponds to the anatomical features of the female body does not cause even the slightest discomfort.
Decrypt medical records
There are three degrees of cervical dysplasia – mild, moderate, severe.
- Stage I dysplasia or mild – characterized by the preserved location of the superficial intermediate layers of the epithelium. The reverse development of the condition is possible in 57% of cases. The risk of detecting cancer may occur in 1% of patients.
- Stage II or moderate dysplasia – characterized by changes in the cervical tissue that have already spread to more than half of the epithelial layer.
- Dysplasia stage III or severe – indicates the defeat of most of the epithelium, the normal structure is retained only by mature cells of the surface layer. Restoration of the cervix at this stage is possible in 32% of patients, cervical cancer is found in 12% of cases.
In the medical record, the doctor can also put down not very clear numbers – this is the disease code, according to the International Classification of Diseases (ICD-10).
- No. 87.0 – mild cervical dysplasia,
- No. 87.1 – moderate dysplasia of the cervix,
- No. 87.2 – severe dysplasia of the cervix, not elsewhere classified,
- No. 87.9 – unspecified cervical dysplasia
At the same time, the diagnosis No. 87 – dysplasia – is made only if, according to the test results, carcinoma in site of the cervix is excluded, in other words, even the early stage of the oncological process has not been identified.
Can dysplasia be predicted?
Doctors refer to the main risk factors for cervical dysplasia:
- viral infections, among which the human papillomavirus is the leader,
- early sexual encounters,
- multiple births,
- frequent change of sexual partners,
- sexually transmitted diseases,
- timely untreated bacterial vaginosis,
- bad habits and, especially, addiction to tobacco (increases the risk, including secondhand smoke),
- failure to comply with the schedule of preventive examinations by a gynecologist and failure to undergo screening (refusal of cytological examination).
There is also evidence of a hereditary factor that makes it possible to suspect dysplasia among relatives. Information has been obtained on the significant role of hormonal disorders.
Separately, it should be said about the danger posed by infection with the human papillomavirus HPV. This infection is recognized by WHO as the main cause of dysplasia and increases the likelihood of cervical cancer. When HPV is infected, there are two steps in the introduction of infection into human cells. The first stage is considered reversible, the virus DNA is in a free state in the infected cell.The second stage is associated with the incorporation of the virus DNA into the “host” cells. Here, the first step is taken towards atypical modification of a previously healthy cell of the cervix, the synthesis of the oncoprotein E7 begins. True, only subtypes of the virus 16 and 18 are capable of this reaction. In this regard, if there is a suspicion of cervical dysplasia, the gynecologist will necessarily take a PCR analysis to determine HPV and its subtypes.
Do you need expert advice?
Leave a request and we will contact you within 30 minutes.
Thank you! We will call you back soon!
Treatment of cervical dysplasia
So, the first stage of treatment is the choice of a doctor who is 100% trustworthy. What to look for first of all?
Professionalism of a gynecologist. What does the doctor mean, owns all modern methods of treating dysplasia and is able to tell the patient about them in an accessible form for her. If a doctor silently issues a leaflet with prescriptions, gives advice that meets the criteria for treatment adopted in the middle of the twentieth century, it is worth spending the time looking for a more qualified doctor.By the way, in some clinics, doctors are required to constantly improve their skills, KST is one of such medical organizations.
Comfort. If, at the sight of a doctor’s office, subconscious discontent arises, it is worth focusing on it. Perhaps the brain has not yet fully analyzed all visual images, but it is already sending a signal about the danger of treatment in the form of an incomprehensible irritation. To have something to compare with, you can visit the innovative Smart Innovation Cabinet, recently opened at the KST.
The second stage is strict adherence to the dysplasia treatment algorithm. The higher the adherence to the fulfillment of prescriptions and recommendations, the higher the chances of maintaining an optimal quality of life, including in the sexual sphere.
So, the treatment of cervical dysplasia can be based both on conservative strategies for the treatment of dysplasia and on recommendations for surgical intervention, most often minimally invasive, not traumatic.
Doctors, when choosing a treatment strategy, proceed from the patient’s history and an assessment of the stage describing dysplasia.Namely, with a mild and moderate severity of pathology, women who do not have children can be recommended methods of conservative treatment, sometimes a gynecologist can take an observant position. For those who have already become mothers, doctors advise not to be afraid of surgical treatment.
In conservative therapy, the focus is on the treatment of the human papillomavirus, concomitant inflammation in the reproductive organs, and the restoration of the mucous membrane.
Can be assigned:
- means for stimulating a woman’s own immunity,
- antiviral drugs,
- for bacterial infection, additionally joined – antibiotics,
- means for restoring the balance of the vaginal microflora,
- vitamin complexes and antioxidants.
Medicines may be available in pharmacies in the form of oral tablets or vaginal suppositories and tablets.
As an additional treatment, the doctor may recommend several sessions of ILBI – laser blood irradiation. Thanks to the action of the light wave, blood counts are improved, which can further stimulate the immune system to fight HPV, which means, in part, helps to bring dysplasia under control.
One of the important factors in the success of conservative therapy can be lifestyle changes.To strengthen the body, improve the process of tissue regeneration, regular physical activity is required. And first of all, walks in the fresh air should be attributed to them, the rule of ten thousand steps that must be taken during the day is very important for women with dysplasia. Another factor is dietary changes. Fast food needs to be said goodbye. Do not forget that an increase in body weight creates the preconditions for endocrine and hormonal disorders, which can significantly complicate the treatment process, lead to the need for surgical intervention and worsen the prognosis in general.
Surgical treatment of dysplasia includes:
- Radio wave surgical treatment – removal of tissue by the action of radio waves. Most often, the Surgitron device is used for the surgical removal of atypical cells. With the help of the device, both surgical coagulation of the affected areas of the mucous membrane and the taking of a biopsy are carried out to clarify the severity of atypia.
- Laser exposure – the advantage of such a surgical intervention, especially with the help of the latest CO2 laser, can be the possibility of a non-contact, painless, bloodless action on dysplasia.An indisputable plus of such treatment is the possibility of a sufficiently quick return to a full-fledged sexual life.
In conclusion, we can say that when diagnosing No. 87 – dysplasia, a woman should not draw pictures of a terrible future in her imagination. The joint work of the patient and the doctor allows you to control the pathological process; you need to visit the doctor once every three to six months. In addition, according to the WHO, it can take ten to twenty years from the initial diagnosis of HPV to the transformation of dysplasia into cancer.There is time for treatment.
Doctors we recommend to contact about these issues:
Cost
| Cervical dysplasia treatment |
- Reception of an obstetrician-gynecologist, therapeutic and diagnostic, primary, outpatient1 900
- Reception of an obstetrician-gynecologist, therapeutic and diagnostic, repeated, outpatient1 700
- Video coloscopy2 100
- Pipel-aspiration of the contents of the uterine cavity3 800
- Biopsy of the cervix with the apparatus “Surgitron” loop3 200
- Biopsy of the cervix using the “Surgitron” apparatus for conization 5 500
- Treatment of cervical erosion with the “Surgitron” apparatus, size less than 1 cm5 600
- Treatment of cervical erosion with the “Surgitron” apparatus, size over 1 cm8 200
- Drug treatment of cervical erosion (excluding the cost of the drug) 1 500
- Treatment of benign pathology of the cervix using a CO2 laser, 1 category of complexity (1/4 surface) 8 500
- Treatment of benign pathology of the cervix using a CO2 laser, the 2nd category of complexity (1/2 surface) 9 900
- Treatment of benign pathology of the cervix using a CO2 laser, 1 category of complexity (the entire surface) 12 500
- Removal of genital warts by NPO apparatus “Surgitron” up to 3 pieces2 200
- Removal of genital warts by NPO apparatus “Surgitron” from 3 to 10 pieces3 900
- Removal of genital warts by NPO apparatus “Surgitron” multiple (more than 10) 7 200
- Destruction of endometriosis foci of the cervix uteri by the “Surgitron” apparatus 2 700
* – We draw your attention to the fact that this Internet resource is for informational purposes only and is not a public offer! * – Reception by the clinic’s specialists by appointment only!
New diagnostic criteria for colposcopy for cervical neoplasia Abstract
Target The purpose of this study is to present alternative diagnostic criteria for colposcopy using new parameters. Methods Colposcopic photographs were reviewed in 1649 patients of the last 23 years, including 283 cases of benign lesions, 327 cases of low-grade squamous intraepithelial lesion (LSIL; cervical intraepithelial neoplasia 1), 549 cases of high-grade squamous intraepithelial lesion (HSIL; epithelial epithelial intraepithelial lesion 2 / 3), 78 cases of microinvasive cancer and 412 cases of invasive cancer.Abnormal colposcopy results were categorized as minor or severe; single or a combination of two or three signs and half or more than half of the circumference of the cervix. In accordance with these new parameters of colposcopy results, the results of histopathological examination were studied.
Results Minor deviations from the norm, revealed by colposcopy, were observed in 21% of patients with LSIL, pronounced – in 52% of patients with LSIL, 86% – with HSIL, 86% – with microinvasion.Single pronounced deviations were observed in 64% of cases with LSIL, two or more – in 43% with HSIL, three or more – in 44% with microinvasion. When studying the size of pronounced colposcopic deviations, a lesion of less than half the size was found in 91% of patients with LSIL, 74% with HSIL; more than half the size was observed in 58% of patients with microinvasion. As a result of these data, the following diagnostic criteria were established: (I) LSIL – single, minor or severe abnormalities and less than half the size; (Ii) HSIL – two or three pronounced deviations and less than half the size; (III) microinvasion – three pronounced deviations and more than half the size; and (iv) invasive cancer – an uneven surface with atypical vessels. Conclusion The presented new diagnostic criteria for colposcopy are completely acceptable, based on their level of agreement with the results of cytological examination. Introduction Colposcopy was first used by Ginselman in 1925 for the early diagnosis of cervical cancer; then, the methods of cytological research were still unavailable.Colposcopy has become a recognized research method mainly in European countries; however, this research method could not be used for mass screening of the vaginal part of the cervix, since it took a lot of time, moreover, it required specialists with skills in colposcopy. Thus, colposcopy was available for a strictly limited group of patients. In 1941, Papanicolaou emphasized the importance of the vaginal smear for the detection of cervical cancer. Soon, this Pap test was widely used, in particular in the mass screening of cervical cancer.However, colposcopy was not used in the United States until the 1970s. Due to the lack of colposcopy, the methods of puncture biopsy and endocervical curettage were used to diagnose cervical neoplasia. Since the diagnostic value of a puncture biopsy without the use of colposcopy is very low, diagnostic conization was often used at that time. In 1972, the International Federation of Cervical Pathology and Colposcopy (IFCPC) was founded by experts from Europe and the United States, and in 1975 an international classification of colposcopic terms was presented for the first time.Today, colposcopy is one of the most important criteria for information content and an important tool in confirming cervical neoplasia. Screening of the cervix is represented by a cytological study, and for patients with an abnormal picture of cytology, a biopsy is performed under the control of colposcopy. However, colposcopy has a similar diagnostic value as a cytological examination. Many experts offer various scoring systems for assessing the severity of colposcopic signs.Stafl described the diagnostic criteria based on the assessment of the vascular pattern, intercapillary distance, epithelial relief, color, as well as the nature of the edges and outlines of the lesions. Coppleson et al. presented a gradation of signs by assessing colposcopic signs (whiteness, outline of borders, presence of atypical vessels and intercapillary distance). Finally, Reid et al. proposed a scoring system based on assessing the density of the epithelium, the outline of the lesion, color, state of blood vessels and the degree of staining with iodine. However, these assessments turned out to be very subjective, and the variability of the results among different researchers is quite similar. Simple and objective diagnostic criteria are needed. In a previous preliminary report, we presented diagnostic criteria based on the study of epithelial density, cervical circumference, and various combinations of abnormal colposcopic features. We have demonstrated similar diagnostic value as cytology.In 2011, the International Federation of Colposcopy and Cervical Pathology (IFCPC) Nomenclature Committee introduced a third amendment to the colposcopic classification, including a criterion for the size of the lesion. This new classification was approved by the Japanese Society of Gynecological Oncology in 2014. Moreover, we propose new diagnostic criteria for colposcopy: assessment of the severity, combination of abnormal colposcopic signs and the size of the affected area. Methods During the past 23 years, from 1984 to 2006, 1,654 patients with abnormal Pap test results or identified abnormal findings while visiting a doctor have consulted the colposcopy department of the University of Occupational and Environmental Health University Hospital in Fukuoka, Japan.All colposcopic pictures were assessed by one qualified (14 years of experience) colposcopy specialist. An Olympus OCS-500 colposcope was used. In each case, repeated cytological examination, colposcopy and puncture biopsy were performed. Material for cytological examination was taken with a cotton swab and stained by the Papanicolaou method was used. In 2001, the cytological classification was based on the Bethesda terminological system. The category “atypical squamous cells of unclear significance” (ASC-US) was defined as a cytological parameter that does not allow the detection of moderate dysplasia, and was included in the category “low degree of squamous intraepithelial lesion” (LSIL).During colposcopy, the vaginal part of the cervix was treated with a 3% solution of acetic acid, and after 10 seconds the study was started. In the area of the most pronounced lesions, a puncture biopsy was performed. In the absence of an abnormal colposcopic picture, puncture biopsies were performed in the area of the metaplastic epithelium. Colposcopic terminology was based on the 2011 International Federation of Colposcopy and Cervical Pathology (IFCPC) nomenclature. The most common abnormal colposcopic features are white epithelium, mosaic, and puncture.Abnormal results were categorized as minor or severe; single or a combination of two or three signs and half or more than half of the circumference of the cervix. In accordance with these new parameters of the results of colposcopy, the results of histopathological examination were studied (Figure 1,2). The iodine test was not applied. According to the results of puncture biopsy, 283 cases of benign lesions, 327 cases of mild dysplasia (including 22 cases of genital warts), 180 cases of moderate dysplasia, 203 cases of severe dysplasia, 166 cases of carcinoma in situs, 5 cases of adenocarcinoma in situs, 78 cases of microinvasive cancer, 340 – squamous cell carcinoma and 72 – adenocarcinoma (including 17 cases of adenosquamous cancer).In most cases, diagnoses of severe dysplasia or malignancy were made by examining tissue obtained by conization or hysterectomy. Adenocarcinoma in situ was excluded from the study because colposcopy was not sufficiently informative in this case. Histopathological tissue differentiation was based on the 2014 WHO classification. Figure 1, 2
Results The results of histopathological examination of 1582 cases of colposcopy, excluding five cases of adenocarcinoma in situs and 67 cases of unsatisfactory colposcopy, are presented in Table 1.Minor atypical abnormalities detected by colposcopy were found in 21% of patients with LSIL (cervical intraepithelial neoplasia [CIN] 1), pronounced – in 52% of patients with LSIL (CIN1), 86% – with HSIL (CIN2 / 3), 86 % – with microinvasion. Were also studied the results of various combinations of abnormal colposcopic signs (table 2). Since most of the results with insignificant deviations from the norm were cases with single deviations (129 out of 154 results with insignificant deviations from the norm were presented as single deviations), only pronounced deviations from the norm were analyzed.Single pronounced deviations were observed in 64% of LSIL cases, while two pronounced deviations – in 43% of HSIL cases, and three pronounced deviations – in 44% of microinvasion cases. Table 3 shows the size of the area of pronounced lesions in squamous intraepithelial lesions (SIL) and microinvasion. When studying the size of pronounced colposcopic deviations, a lesion of less than half the size was found in 91% of patients with LSIL, 74% with HSIL; more than half the size was observed in 58% of microinvasion cases.Based on these results, the following diagnostic criteria were determined: 1. LSIL: single slight or pronounced deviations and less than half the size 2. HSIL: two or three pronounced deviations and less than half the size 3. Microinvasion: three pronounced deviations and more than half of the size 4. Invasive cancer: uneven surface with atypical vessels Table 1, 2, 3 All 1582 colphographs were examined using these new diagnostic criteria.The results are presented in Table 4. The exact diagnosis of LSIL colposcopy was established in 52% of cases, HSIL in 53%, microinvasion in 26%, and invasive cancer in 93% of cases. To assess the accuracy of colposcopy, cytological studies were also performed (Table 5). Based on the results of cytological examination, an accurate diagnosis of LSIL was made in 58% of cases, HSIL – in 62% of cases, microinvasion – in 14% of cases, and invasive cancer – in 93% of cases. The degree of accuracy of colposcopy and cytological examination was 61% (971 cases out of 1582) and 65% (1067 cases out of 1649), respectively.Underestimation of colposcopy was noted in 24% of cases (373 of 1582), and overestimation – in 15% of cases (238 of 1582). Underestimation of cytological examination was recorded in 21% of cases (346 out of 1649), and overestimation – in 14% of cases (236 out of 1649). The degree of accuracy of colposcopy and cytological examination turned out to be almost similar (U-test according to the Mann-Whitney method; z = −0.9443, z (0.975) = 1.9600, P = 0.3450). In conclusion, the new diagnostic criteria for colposcopy are completely acceptable and can be applied in clinical practice. Table 4, 5 Discussion Cervical cancer is the second most common “gynecological” cancer in Japan. With the proliferation of mass screening for cervical cancer, the death rate from cervical cancer gradually declined until 1993. Since then, mortality rates have increased, possibly due to the increased incidence of cervical cancer in young women.Although cytology has played an important role in mass screening for cervical cancer, a new strategy has emerged recently. The HPV test is considered a more sensitive method for detecting cervical neoplasia than a cytological study. The most reliable screening for cervical cancer is a combination of cytology and an HPV test. A doubly negative result of both cytology and HPV test can increase the inter-screening interval, since the risk of morbidity of malignant neoplasms of the cervical canal in the subsequent years of life is extremely low.Although colposcopy is indicated in all cases with abnormal cytological findings, a different protocol should be followed instead of the one based on the Bethesda terminology system. For women with ASC-US, according to the results of a cytological study, colposcopy is indicated only if the HPV test is positive. Colposcopy is an expensive procedure in the Western world, however, on the contrary, it is available in Japan. As a result, in Japan, three tactical options for managing patients with ASC-US based on the results of cytology have been proposed – colposcopy, HPV test, and observation.Targeted biopsy should be performed exclusively as part of colposcopy; the diagnostic value of colposcopy is similar to that of a cytological examination. Many specialists offer different diagnostic criteria for colposcopy. Stafl described diagnostic criteria based on the assessment of vascular pattern, intercapillary distance, epithelial relief, color, and the nature of the edges and outlines of the lesions, and showed a degree of accuracy of 43% for LSIL and 66% for HSIL. Coppleson et al.presented a gradation of features by assessing colposcopic features (whiteness, border delineation, presence of atypical vessels and intercapillary distance) and presented a degree of accuracy of 91%. Finally, Reid et al. proposed a scoring system based on an assessment of the density of the epithelium, the outline of the lesion, color, vascular condition and the degree of iodine staining, and showed that the patients with the highest scores have a higher degree of SIL. However, the changes in the state of the vessels and the structure of the surface of the epithelium in the case of SIL are extremely small, so the variability of the results was common.In 2011, the International Federation of Cervical Pathology and Colposcopy (IFCPC) adopted a new colposcopic nomenclature, based on which the feature “atypical vessels” was excluded from the term “atypical transformation zone” and added to the term “invasive cancer”. According to our new diagnostic criteria, the degree of accuracy in cases with microinvasion was too low, with many researchers showing similar results. Perhaps because most cases of microinvasion were incidentally identified in SIL cases.In the published work, a diagnostic criterion for colposcopy, based on an assessment of the size of the affected area, is very rare. The higher the degree of damage, the higher the degree of malignancy of tumor cells in the cervical canal. In the previous published work, the diagnostic criterion based on the assessment of the combination of abnormal colposcopic signs was not met. In 2011, the International Federation of Cervical Pathology and Colposcopy (IFCPC) issued the third amendment to colposcopic terminology, which for the first time included the criterion “size of abnormal colposcopic sign”.At the same time, we propose new diagnostic criteria for colposcopy, based on the assessment of severity, the combination of abnormal colposcopic signs and the size of the affected area. These new diagnostic criteria demonstrate a diagnostic value similar to that of a cytological study. In conclusion, these new diagnostic criteria are completely acceptable. In this study, all colposcopy observations were presented by one qualified colposcopy specialist between 1984 and 2006.Thus, the accuracy of diagnostic results during colposcopy in this work can be overestimated, since the degree of variability of the results of different studies is an important factor. For example, the size of the affected area is a fairly objective parameter, while the severity, the combination of colposcopic signs are subjective parameters. It is necessary to perform a number of additional studies to evaluate the new diagnostic criteria. | New diagnostic criteria of colposcopy for uterine cervix neoplasia Abstract Aim The purpose of this study is to present alternative diagnostic criteria of colposcopy using new parameters. Methods Colposcopic photographs were reviewed in 1649 patients from the past 23 years, including 283 benign lesions, 327 low-grade squamous intraepithelial lesions (LSIL; cervical intraepithelial neoplasia 1), 549 high-grade squamous intraepithelial lesions (HSIL; cervical intraepithelial neoplasia 2 / 3), 78 microinvasive cancers, and 412 invasive cancers. Abnormal colposcopic findings were divided into: minor or major; single, or a combination of two or three findings; and under half or over half circumferential size.Histopathological backgrounds were investigated according to these new parameters of colposcopic findings. Results Minor abnormal colposcopic findings were observed in 21% of LSIL, and major abnormal findings were seen in 52% of LSIL, 86% of HSIL, and 86% of microinvasions. A single major abnormal finding was observed in 64% of the cases with LSIL, while two abnormal findings were observed in 43% of HSIL, and three abnormal findings were observed in 44% of microinvasions.In qualifying major abnormal colposcopic findings, under half size was detected in 91% of LSIL and 74% of HSIL, and over half size was observed in 58% of microinvasions. From these results, the following diagnostic criteria were instituted: (i) LSIL – single, minor or major findings and under half size; (ii) HSIL – two or three major findings and under half size; (iii) microinvasion – three major findings and over half size; and (iv) invasive cancer – irregular surface with atypical vessels. Conclusion Our new diagnostic criteria of colposcopy are fully acceptable, based on their similar level of accuracy to cytology. Introduction Colposcopy was first introduced by Hinselman in 1925 to detect early cervical cancer. At that time, cytologic examination was not available. Colposcopy was mainly used in European countries, but it was not suitable for mass screening for cervical cancer, due to its time-intensiveness and need for highly skilled expertise. It was therefore only available to a very restricted group of patients. In 1941, Papanicolaou reported the significance of the vaginal smear to detect uterine cervical cancer.This Pap test was rapidly utilized, especially in mass screening for uterine cervical cancer. However, colposcopy was not used until the 1970s in the USA. In the absence of colposcopy, multiple punch biopsies and endocervical curettage were performed for the detection of cervical neoplasia. However, the diagnostic value of punch biopsy without colposcopy was very low, and so diagnostic conizations were frequently performed. In 1972, the International Federation of Cervical Pathology and Colposcopy (IFCPC) was founded by European and US members, and a standard of international colposcopic terminology was first presented in 1975.Now, colposcopy is an important procedure for the confirmation and characterization of uterine cervix neoplasia. Screening for cervical cancer is performed by cytology, and colposcopically directed biopsy is done for patients with abnormal cytology. However, colposcopy itself has a diagnostic value similar to cytology. Many authors have reported on the diagnostic criteria of colposcopy. Stafl described the diagnostic criteria based on the findings of vascular pattern, intercapillary distance, surface pattern, color tone and opacity, and clarity of demarcation.Coppleson et al. presented a grading system according to the findings of whiteness, boundary, atypical vessel, and intercapillary distance. And, Reid et al. established a scoring system using the findings of thickness, contour, color, vessel, and iodine condition. However, these observations were very subjective and interobserver variability is quite common. Simple and objective diagnostic criteria are needed. In the previous preliminary report, we presented diagnostic criteria based upon thickness, circumferential size, and the combination of abnormal colposcopic findings.We demonstrated a similar diagnostic value to that of cytology. In 2011, the IFCPC presented the 3rd amendment to the colposcopic terminology, introducing the criterion of size of abnormal colposcopic finding. This new classification was adopted by the Japanese Society of Gynecologic Oncology in 2014. At this time, we propose new diagnostic criteria for colposcopy using severity, combination, and circumferential size of abnormal colposcopic findings. Methods During the past 23 years, from 1984 to 2006, 1654 patients with an abnormal Pap test or consultation by practitioner visited the Colposcopic Department of University Hospital of Occupational and Environmental Health, Fukuoka, Japan.All colposcopic observations were performed by the same experienced (14 years) colposcopist (M.K.). An Olympus OCS-500 was used as the colposcopic device. All cases underwent repeated cytology, colposcopy, and punch biopsy. Cytologic examination was done with cotton swab, and Papanicolaou staining was performed. Cytological classification was based on the 2001 Bethesda system. The atypical squamous cell of undetermined significance (ASC-US) category was defined as a cytologic finding that may not exclude mild dysplasia, and was included in LSIL.After an application of 3% acetic acid for 10 s, the entire cervix was examined. Punch biopsy was performed in the area of most severe abnormal colposcopic findings. When an abnormal colposcopic finding was not observed, multiple punch biopsies were performed from the area of metaplasia. Colposcopic terminology was based on the 2011 IFCPC nomenclature. The most frequent abnormal colposcopic findings were white epithelium, mosaic, and punctation. These findings were divided into: minor or major; single, or combinations of two or three findings; and under half or over half circumferential size (Figs 1, 2).Iodine test was not available. Punch biopsy results included 283 benign lesions, 327 mild dysplasias (including 22 condylomas), 180 moderate dysplasias, 203 severe dysplasias, 166 carcinoma in situs , five adenocarcinoma in situs , 78 microinvasive cancers, 340 squamous carcinomas 72 adenocarcinomas (including 17 cases of adenosquamous carcinoma). Most cases with severe dysplasia or worse lesion were finally diagnosed by conization or the hysterectomy specimen.Adenocarcinoma in situ was excluded from this study because it did not show a significant colposcopic finding. Histopathologic classification was based on the 2014 WHO classification. Results Histopathological backgrounds of 1582 cases of colposcopy, excluding the cases with five adenocarcinoma in situs and 67 unsatisfactory colposcopies, are shown in Table 1. Minor abnormal colposcopic findings were seen in 21% of LSIL (cervical intraepithelial neoplasia [CIN] 1) , and major findings were observed in 52% of LSIL (CIN1), 86% of HSIL (CIN2 / 3), and 86% of microinvasions.Combinations of abnormal colposcopic findings were also analyzed (Table 2). Because most minor abnormal findings were present as single findings (129 of 154 minor abnormal colposcopic findings presented as single findings), only major findings were analyzed. A single finding was observed in 64% of the cases with LSIL, while two findings in 43% of HSIL, and three findings in 44% of microinvasions were also observed. Circumferential sizes of major abnormal colposcopic findings in squamous intraepithelial lesions (SIL) and microinvasion are shown in Table 3.Under half size was shown in 91% of LSIL and 74% of HSIL. Over half size was observed in 58% of microinvasions. From these results, diagnostic criteria of colposcopy were instituted as follows.
All 1582 colposcopic photographs were reviewed using these new diagnostic criteria. The results are shown in Table 4. Correct colposcopic diagnosis was obtained in 52% of LSIL, 53% of HSIL, 26% of microinvasions, and 93% of invasive cancers. To estimate the usefulness of colposcopy, accuracies of cytology were also investigated (Table 5). Correct cytologic diagnosis was obtained in 58% of LSIL, 62% of HSIL, 14% of microinvasions, and 93% of invasive cancers. The accuracy rates of colposcopy and cytology were 61% (971 of 1582) and 65% (1067 of 1649), respectively.Underestimation by colposcopy occurred in 24% of cases (373 of 1582) and overestimation in 15% (238 of 1582). Cytologic underestimation occurred in 21% of cases (346 of 1649), and overestimation occurred in 14% (236 of 1649). The accuracy rates of colposcopy and cytology were quite similar (Mann – Whitney U -test; z = −0.9443, z (0.975) = 1.9600, P = 0.3450). In conclusion, these new diagnostic criteria of colposcopy are fully acceptable and should be implemented. Discussion Uterine cervical cancer is the second most common gynecologic malignancy in Japan. With the spread of mass screening for uterine cervical cancer, the mortality rate of cervical cancer gradually decreased until 1993. Since then, it has been on the rise, possibly due to the increased incidence of cervical cancer in young women. Although the cytologic examination plays an important role in mass screening for uterine cervical cancer, a new strategy has appeared recently.The human papillomavirus (HPV) test is considered a more sensitive method for the detection of cervical neoplasia than cytology. The combination of cytology and HPV test is considered to be the most reliable cervical cancer screening. A double negative result for both cytology and HPV test may prolong the screening interval because the future morbidity of high-grade cervical lesion is extremely low. Although colposcopy should be performed in all cases with abnormal cytology, a different protocol has been considered since the establishment of the Bethesda system.In cases with ASC-US cytology, colposcopy should be used only in cases with a positive HPV test, based on the efficiency and expense of examination detecting uterine cervical cancer. Colposcopy is a very expensive procedure in the Western world, but not so expensive in Japan. As a result, three protocols (colposcopy, HPV test, and observation) will be scheduled in cases with ASC-US cytology in Japan. Colposcopy is essentially a supportive procedure for punch biopsy, but it has itself a significant diagnostic value, similar to that of cytology.Many authors have reported the diagnostic criteria of colposcopy. Stafl reported diagnostic criteria according to the findings of vascular pattern, intercapillary distance, surface pattern, color tone and opacity, and clarity of demarcation, and presented 43% accuracy rate in LSIL and 66% in HSIL. Coppleson et al. presented a grading system based on the findings of whiteness, boundary, atypical vessel, and intercapillary distance, and demonstrated a 91% accuracy rate. Reid et al. also reported a scoring system using the findings of thickness, contour, color, vessel, and iodine condition, and reported that patients with a higher score had higher SIL. However, the capillary condition or surface pattern in SIL is very minimal, so interobserver variabilities were quite common. By the 2011 IFCPC classification, the finding of atypical vessels was excluded from atypical transformation zone, and included in invasive cancer. According to our new diagnostic criteria, the accuracy rate in cases with microinvasion was very poor, and many authors have reported similar results.This is probably because most microinvasions are incidentally found in cases of SIL, and do not influence the colposcopic features. A diagnostic criterion of colposcopy using the size of the abnormal colposcopic finding has rarely been seen in the published work. Larger abnormal colposcopic findings suggested higher lesions of the uterine cervix. Diagnostic criteria of colposcopy using a combination of abnormal colposcopic findings has not been observed in the previous published work. In 2011, the IFCPC presented the 3rd amendment to the colposcopic terminology, and the criterion of size of an abnormal colposcopic finding was first introduced.At this time, we propose new diagnostic criteria for colposcopy using severity, combination, and circumferential size of abnormal colposcopic findings. These new diagnostic criteria demonstrate the same diagnostic value as those of cytology. In conclusion, these new diagnostic criteria are fully acceptable. In this study, all colposcopic observations were performed by a single, experienced colposcopist from 1984 to 2006. Therefore, the precision of colposcopic diagnosis may be overestimated here, because interobserver variability is an important factor.For example, the circumferential size of abnormal colposcopic findings is a relatively objective parameter, while severity, and combination are subjective parameters. Further investigations and studies by multiple colposcopists are necessary to fully evaluate our new diagnostic criteria. |
The question is asked by Daria, 28, Moscow on the topic: Pregnancy
Good afternoon, Tatyana Evgenievna!
I would like to ask you the following question…
Relatively recently passed tests for cytology, changes in cells were found and it was indicated that dysplasia of the 1st degree was detected, as well as an inflammatory process. She treated inflammation with NEO-penotran suppositories and others. At the next analysis, the already indicated dysplasia is already 1-2 tbsp. (The clinic of OJSC Medicine on Tverskaya took in one place in one place), the inflammation is almost gone.
A little later, already at my gynecologist, I passed again tests for cytogology (done in Invitro) on December 17, the results are as follows:
Cytological examination of biomaterial from the cervix using the Papanicolaou method (PAP test)
Research result:
1.Quality of the preparation:
The quality of the preparation is adequate.
2. Cytogram (description).
Exocervix – in the material obtained, single clusters of squamous epithelial cells with
high grade squamous intraepithelial lesion (HSIL) were found: moderate
dysplasia, (CIN II).
Endocervix – in the material obtained, squamous epithelial cells with high-grade intraepithelial lesion
(HSIL) were found: severe dysplasia, (CI N III).
A small number of columnar epithelial cells.
3. Additional clarifications.
Flora is polymorphic rod-shaped.
This is the result.
From the moment I first received the result on dysplasia, a couple of months passed before this extreme. The situation appears to be getting worse. I began to seriously worry about this. A course of isoprinosine was prescribed, but after the first visit for 10 days, I immediately became covered with a pustular rash (chest, neck and back). I don’t drink it yet.
I wanted to ask for advice on whom to turn to from the doctors with my question and what to do in general in such a situation.
I have HPV type 31
indicated in the card as chronic endometritis
gave birth to a CS in your PMC in 2013
Thank you very much.
I am looking forward to hearing
Cervical pathology · Clinic “Unilab”
Dear women! The UniLab clinic carries out high-quality diagnostics of the pathology of the cervix. If you are over 18 years old, you are sexually active, then you have a risk of cervical disease. In the clinic you can undergo colposcopy, high-risk HPV tests.
Also introduced one of the most modern methods for diagnosing cervical cancer – Papanicolaou cytology (Pap – test) and liquid cytology. Only modern diagnostics will help to correctly diagnose and prescribe treatment. Contact the specialists of the UniLab clinic!
Liquid cytology
Liquid cytology is a new standardized technology for the preparation of a cytological preparation. Today it is recognized as the most informative method for obtaining biological material and is recommended as the “gold standard” for the diagnosis of intraepithelial neoplasias from the mucous membrane of the cervical canal and the vaginal part of the cervix and for issuing the result in accordance with the Bethesda classification.
- Improved material quality:
- all of the obtained epithelial cell material enters the container with the stabilizing solution;
- the content of mucus, elements of peripheral blood, elements of inflammation, destroyed cells is minimized;
- cells retain both morphological and molecular biological properties.
- Long shelf life of the obtained biomaterial: the material is taken in a special stabilizing solution PreservCyt, which prevents premature drying of cells, which allows you to keep the sample in optimal conditions for its further transportation to the laboratory.
- Rapid preparation of the drug.
- Several cytological preparations can be prepared from the obtained biological material
- Preparation of a standardized monolayer smear.
- Standardized staining procedures.
- The liquid cytology technique allows additional diagnostic methods (for example, HPV tests) without a repeated gynecological examination.
Thus, in comparison with the traditional method of preparing a smear from the mucous membrane of the cervix, the use of the new technology of liquid cytology can significantly improve the quality of the cytological smear.The recently introduced technology of liquid cytology is a standardized technology for preparing a cytological preparation (one of the ways to standardize the preanalytical stage of cytological examination).
The use of liquid cytology technology allows to reduce the number of false results due not only to the use of a stabilizing solution, but also to the use of special instruments for sampling, for example, the Cervex-Brush or the use of a set of instruments: plastic spatula + Cytobrush.
The urgency of the problem
CERVICAL CANCER (CC) is the second most common type of cancer among the female population, from which more than 250,000 women die each year worldwide. According to estimates by the World Health Organization, over the next 10 years, mortality from cervical cancer will increase by another 25%. *
It should be noted that cervical cancer has a long period of its development. The period from low grade intraepithelial cell lesion (LSIL – low grade squamous intraepithelial lesion), high grade intraepithelial cell lesion (HSIL – high grade squamous intraepithelial lesion) to invasive cervical cancer is 10–15 years.This indicates that there is a sufficient period of time to carry out appropriate preventive measures to prevent the development of invasive cervical cancer.
To identify precancerous changes that, if untreated, can lead to the development of cancer, cytological screening for cervical cancer is performed – testing of all women, most of whom do not show symptoms (Cytological examination of biomaterial from the cervix (Pap test, Rar test) ).
Cervical cancer is caused by human papillomavirus infection.
Human papillomavirus infection belongs to the group of sexually transmitted diseases. It is caused by the human papillomavirus (HPV). Almost 20% of women are carriers of the disease, and during their lifetime, according to some data, more than half of the female population of the planet has to deal with it.
Very often, the infection does not manifest itself with any symptoms and is detected only during the examination by a gynecologist.The disease is dangerous with the possibility of developing cervical cancer. In our clinic, you can undergo a full gynecological examination at a convenient time for you.
Testing for Human Papillomavirus (HPV).
HPV is a name that unites over 70 different viruses, each of which has its own unique serial number and DNA composition. It has been proven that some types of human papillomaviruses contribute to the development of malignant diseases – cervical cancer in women, penile cancer in men, etc.e. The viruses with high oncogenicity include HPV 16 and 18, which are most often detected, for example, in cervical cancer.
Human papillomavirus is transmitted primarily sexually, but infection is also possible through hygiene items (a towel, for example) as a result of contact of damaged skin with the virus. There are also cases of infection of a child during childbirth from a mother who is a carrier of HPV.
Signs of HPV
Human papillomavirus infection is manifested by warts on the skin of the palms, feet and other parts of the body and genital warts (i.e.n. “Genital warts”) on the skin and mucous membranes in the genital area. Genital warts appear as raised, pinkish-flesh-colored formations with jagged edges (similar in appearance to cauliflower). They are often localized in the labia minora, in the vagina. Possible location of genital warts in the urethra, bladder, on the mucous membrane in the mouth, on the skin and mucous membrane of the anus, etc.
If the infection occurred during sexual intercourse, genital warts can occur on the cervix, which for a woman remains unnoticed and is detected only when examined by a gynecologist.Unfortunately, the location of genital warts on the cervix indicates an unfavorable development of the disease – there is a high probability of cervical cancer.
Who is at risk
People who have an early sexual life and have multiple sexual partners are most often affected by HPV. Due to the high risk of trauma to the mucous membranes, those who prefer anal sex are often infected with the papilloma virus. Papillomavirus is often associated with other infections (chlamydia, mycoplasmosis, gonorrhea, etc.)). The risk group includes people with weakened immunity (HIV-infected, patients with diabetes mellitus, etc.), women who have had abortions, etc.
Diagnosis and treatment of human papillomavirus
HPV diagnostics includes a mandatory gynecological examination on a chair, colposcopy, cytological examination of the cervix, PCR diagnostics, cervical biopsy.
Colposcopy is a special method of examining women using a microscope that enlarges the internal genital organs (vaginal walls, cervix) up to 20 times.Colposcopy is recommended for all women diagnosed with Human Papillomavirus, even if there are no changes visible to the eye. During a colposcopy, the doctor will take an analysis for cytology.
Cytological screening is a special smear from the cervix for the presence of altered cells. Only thanks to this analysis can cervical cancer and precancerous changes be detected. It is very important to carry out cytology using modern diagnostic methods. For example, the effectiveness of cytology in detecting cervical cancer is from 46 to 98%.The correctness of the study depends both on the method of taking the material and on the peculiarities of the color. Modern cytological research is a Pap test (Pap test).
The “gold standard” in the diagnosis of cervical pathology is histological examination. Material for histology is obtained by targeted biopsy. A biopsy is the removal of a small volume of the cervix for microscopic examination. In the UniLab clinic, biopsy is performed under the control of colposcopy.
At the UniLab clinic, 21 types of human papillomavirus are diagnosed, including oncological HPV strains (16, 18, 31, 33, 39, 45). The HPV examination method is the most modern – PCR diagnostics, including real-time PCR.
Treatment of human papillomavirus and human papillomavirus infection is complex.



Immunostaining for p16INK4a used as a conjunctive tool improves interobserver agreement of the histologic diagnosis of cervical intraepithelial neoplasia. Am J Surg Pathol. 2008 Apr;32(4):502-12. [PubMed: 18223479]
[PubMed: 23635684]