Inflammatory pleural effusion. Pleural Effusion: Causes, Symptoms, and Treatment Options
What is a pleural effusion. What are the common causes of pleural effusion. How is pleural effusion diagnosed. What are the main types of pleural effusion. Which treatment options are available for pleural effusion.
Understanding Pleural Effusion: An Overview
Pleural effusion is a medical condition characterized by an abnormal accumulation of fluid in the pleural space, which is the area between the lungs and the chest wall. This space is normally lined by a thin membrane called the pleura, which allows the lungs to move smoothly during breathing. When excess fluid builds up in this space, it can lead to various symptoms and complications.
The pleural space typically contains only a small amount of watery fluid, measured in teaspoons. However, in cases of pleural effusion, this volume increases significantly, potentially impacting lung function and causing discomfort.
What causes pleural effusion?
Pleural effusion can result from a wide range of underlying medical conditions. Some of the most common causes include:

- Congestive heart failure
- Liver or kidney disease
- Cancer, particularly lung cancer
- Infections such as pneumonia or tuberculosis
- Autoimmune conditions like lupus or rheumatoid arthritis
- Pulmonary embolism
Understanding the root cause of pleural effusion is crucial for determining the most appropriate treatment approach.
Recognizing the Symptoms of Pleural Effusion
Not all cases of pleural effusion present with noticeable symptoms, especially if the fluid accumulation is minimal. However, as the condition progresses or in cases of moderate to large effusions, patients may experience various symptoms.
What are the common symptoms of pleural effusion?
The most frequently reported symptoms of pleural effusion include:
- Shortness of breath
- Chest pain, particularly when taking deep breaths (pleurisy)
- Fever
- Persistent cough
It’s important to note that the presence and severity of symptoms can vary depending on the underlying cause and the amount of fluid accumulated in the pleural space.

Diagnostic Approaches for Pleural Effusion
Accurate diagnosis of pleural effusion is essential for determining the appropriate treatment strategy. Healthcare providers employ a combination of physical examination and advanced imaging techniques to confirm the presence of pleural effusion and assess its severity.
How do doctors diagnose pleural effusion?
The diagnostic process for pleural effusion typically involves the following steps:
- Physical examination: The doctor will listen to your chest with a stethoscope and may tap on your chest to assess for fluid accumulation.
- Chest X-ray: This imaging test can reveal the presence of fluid in the pleural space, appearing as white areas on the X-ray film.
- Computed tomography (CT) scan: A more detailed imaging technique that provides comprehensive views of the chest cavity.
- Ultrasound: This non-invasive method can help locate fluid and guide fluid sampling procedures.
- Thoracentesis: A procedure where a small sample of fluid is extracted from the pleural space for analysis.
These diagnostic tools help healthcare providers not only confirm the presence of pleural effusion but also gather important information about its characteristics and potential underlying causes.

Types of Pleural Effusion: Transudative vs. Exudative
Pleural effusions are generally classified into two main types based on the nature of the fluid accumulated in the pleural space. Understanding the distinction between these types is crucial for determining the appropriate treatment approach.
What are the main types of pleural effusion?
The two primary types of pleural effusion are:
- Transudative pleural effusion: This type is characterized by fluid that is similar to the normal fluid found in the pleural space. It typically results from fluid leaking across normal pleura due to imbalances in hydrostatic or oncotic pressures. Congestive heart failure is the most common cause of transudative effusions.
- Exudative pleural effusion: This type involves the accumulation of fluid that contains higher levels of protein, blood cells, or other substances. Exudative effusions are often associated with inflammation or damage to blood vessels in the pleura. Common causes include pneumonia, lung cancer, and other inflammatory conditions.
The distinction between transudative and exudative effusions is important because it helps guide treatment decisions. Transudative effusions often respond well to treatment of the underlying condition, while exudative effusions may require additional interventions such as drainage or anti-inflammatory medications.

Treatment Options for Pleural Effusion
The management of pleural effusion depends on various factors, including the underlying cause, the type of effusion, and the severity of symptoms. Treatment approaches range from addressing the primary medical condition to performing procedures that directly remove the excess fluid.
How is pleural effusion treated?
Common treatment options for pleural effusion include:
- Treating the underlying condition: For example, administering antibiotics for pneumonia or diuretics for congestive heart failure.
- Thoracentesis: A procedure to drain excess fluid from the pleural space, which can provide immediate symptom relief.
- Chest tube insertion: For larger effusions, a tube may be placed in the chest wall to drain fluid over several days.
- Pleurodesis: A procedure that involves injecting an irritant substance into the pleural space to promote adhesion between the lung and chest wall, preventing fluid reaccumulation.
- Pleural drain: In cases of recurrent effusions, a long-term catheter may be placed to allow for home drainage.
- Pleural decortication: A surgical procedure to remove inflammatory tissue from the pleural space in severe cases.
The choice of treatment depends on the specific circumstances of each case, and healthcare providers will consider factors such as the patient’s overall health, the cause of the effusion, and the potential risks and benefits of each intervention.

Complications and Long-term Management of Pleural Effusion
While many cases of pleural effusion can be effectively treated, some patients may experience complications or require ongoing management. Understanding the potential long-term implications of pleural effusion is important for both healthcare providers and patients.
What are the potential complications of pleural effusion?
Some of the complications that may arise from pleural effusion include:
- Respiratory distress: Large effusions can significantly impair lung function, leading to breathing difficulties.
- Infection: If the accumulated fluid becomes infected, it can lead to a condition called empyema, which requires prompt treatment.
- Pleural thickening: Chronic inflammation can cause the pleura to thicken, potentially restricting lung expansion.
- Recurrence: Some patients may experience repeated episodes of pleural effusion, necessitating ongoing management.
Long-term management of pleural effusion often involves regular follow-up appointments, monitoring for recurrence, and addressing any underlying conditions that may contribute to fluid accumulation. In some cases, lifestyle modifications or ongoing medical therapies may be necessary to prevent or manage recurrent effusions.

Advancements in Pleural Effusion Research and Treatment
The field of pleural effusion management continues to evolve, with ongoing research aimed at improving diagnostic techniques, treatment options, and patient outcomes. Recent advancements have focused on minimally invasive approaches and personalized treatment strategies.
What are some recent developments in pleural effusion management?
Some notable advancements in the field include:
- Improved imaging techniques: High-resolution ultrasound and advanced CT imaging protocols have enhanced the accuracy of pleural effusion diagnosis and characterization.
- Indwelling pleural catheters: These devices allow for long-term management of recurrent effusions, reducing the need for repeated hospital visits.
- Biomarker analysis: Researchers are exploring the use of biomarkers in pleural fluid to improve the distinction between malignant and benign effusions.
- Targeted therapies: For malignant pleural effusions, ongoing research is investigating targeted therapies that may help control fluid accumulation and improve quality of life for cancer patients.
- Minimally invasive surgical techniques: Advancements in video-assisted thoracoscopic surgery (VATS) have made pleural interventions less invasive and more precise.
These developments hold promise for improving the management of pleural effusion and enhancing patient outcomes. As research continues, it is likely that new diagnostic tools and treatment options will emerge, further refining the approach to this common but complex condition.

Living with Pleural Effusion: Patient Perspectives and Quality of Life
While medical management is crucial in treating pleural effusion, it’s equally important to consider the impact of this condition on patients’ daily lives and overall well-being. Understanding the patient perspective can help healthcare providers offer more comprehensive and compassionate care.
How does pleural effusion affect quality of life?
Pleural effusion can significantly impact a person’s quality of life in various ways:
- Physical limitations: Shortness of breath and chest discomfort can restrict physical activities and daily routines.
- Emotional toll: Dealing with a chronic or recurrent condition can lead to anxiety, depression, or feelings of uncertainty about the future.
- Social implications: Frequent medical appointments or hospitalizations may interfere with work, social engagements, and family responsibilities.
- Sleep disturbances: Breathing difficulties or chest discomfort may lead to poor sleep quality, affecting overall health and well-being.
- Financial burden: The costs associated with ongoing treatment and potential loss of work can create financial stress for patients and their families.
Healthcare providers can support patients by addressing these quality of life issues alongside medical treatment. This may involve referrals to support groups, counseling services, or rehabilitation programs designed to help patients manage the physical and emotional challenges of living with pleural effusion.

What strategies can help patients cope with pleural effusion?
Patients living with pleural effusion can adopt several strategies to improve their quality of life:
- Education: Learning about the condition and treatment options can empower patients to make informed decisions about their care.
- Symptom management: Working with healthcare providers to develop effective strategies for managing symptoms like shortness of breath or chest pain.
- Pulmonary rehabilitation: Participating in programs that combine exercise, education, and support to improve lung function and overall fitness.
- Stress reduction techniques: Practicing relaxation methods such as meditation, deep breathing exercises, or yoga to manage anxiety and improve well-being.
- Lifestyle modifications: Making adjustments to daily routines, such as pacing activities or using assistive devices, to conserve energy and reduce symptom exacerbation.
- Support networks: Connecting with other patients through support groups or online communities to share experiences and coping strategies.
By addressing both the medical and psychosocial aspects of pleural effusion, healthcare providers can help patients achieve better overall outcomes and improved quality of life. As research in this field continues to advance, it is likely that new strategies for managing the impact of pleural effusion on daily life will emerge, offering hope for enhanced patient care and support.

Pleural Effusion – Causes, Symptoms, Types, and Treatments
A pleural effusion is an unusual amount of fluid around the lung. Many medical conditions can lead to it, so even though your pleural effusion may have to be drained, your doctor likely will target the treatment at whatever caused it.
The pleura is a thin membrane that lines the surface of your lungs and the inside of your chest wall. When you have a pleural effusion, fluid builds up in the space between the layers of your pleura.
Normally, only teaspoons of watery fluid are in the pleural space, which allows your lungs to move smoothly in your chest cavity when you breathe.
Causes
A wide range of things can cause a pleural effusion. Some of the more common ones are:
Leaking from other organs. This usually happens if you have congestive heart failure, when your heart doesn’t pump blood to your body properly. But it can also come from liver or kidney disease, when fluid builds up in your body and leaks into the pleural space.
Continued
Cancer. Usually lung cancer is the problem, but other cancers that have spread to the lung or pleura can cause it, too.
Infections. Some illnesses that lead to pleural effusion are pneumonia or tuberculosis.
Autoimmune conditions. Lupus or rheumatoid arthritis are some diseases that can cause it.
Pulmonary embolism. This is a blockage in an artery in one of your lungs, and it can lead to pleural effusion.
Symptoms
You might not have any. You’re more likely to have symptoms when a pleural effusion is moderate or large-sized, or if there is also inflammation.
If you do have symptoms, they may include:
- Shortness of breath
- Chest pain, especially when breathing in deeply (This is called pleurisy or pleuritic pain.)
- Fever
- Cough
Diagnosis
Your doctor will talk to you about your symptoms and give you a physical exam.
They’ll tap on your chest and listen with a stethoscope.
To confirm you have a pleural effusion, you’ll need to get imaging tests such as:
Chest X-ray. Pleural effusions appear white on X-rays, while air space looks black. If a pleural effusion is likely, you may get more X-ray films while you lie on your side. These can show if the fluid flows freely within the pleural space.
Continued
Computed tomography (CT scan). A CT scanner takes many X-rays quickly, and a computer constructs images of the entire chest — inside and out. CT scans show more detail than chest X-rays do.
Ultrasound. A probe on your chest will create images of the inside of your body, which show up on a video screen. Your doctor may use the ultrasound to locate the fluid so they can get a sample for analysis.
Also, your doctor might do a procedure called thoracentesis. They’ll take a little bit of the fluid to test. To do this, they insert a needle and a tube called a catheter between your ribs, into the pleural space.
Types
You may hear your doctor use the terms “transudative” and “exudative” to describe the two main types of pleural effusions.
Transudative. This pleural effusion fluid is similar to the fluid you normally have in your pleural space. It forms from liquid leaking across normal pleura. This type rarely needs to be drained unless it’s very large. Congestive heart failure is the most common cause of this type.
Exudative. This forms from extra liquid, protein, blood, inflammatory cells or sometimes bacteria that leak across damaged blood vessels into the pleura. You may need to get it drained, depending on its size and how much inflammation there is. The causes of this type include pneumonia and lung cancer.
Treatment
Your doctor may need to treat only the medical condition that caused the pleural effusion. You would get antibiotics for pneumonia, for instance, or diuretics for congestive heart failure.
Large, infected, or inflamed pleural effusions often need to get drained to help you feel better and prevent more problems.
Procedures for treating pleural effusions include:
Thoracentesis. If the effusion is large, your doctor may take more fluid than they need for testing, just to ease your symptoms.
Tube thoracostomy (chest tube). Your doctor makes a small cut in your chest wall and puts a plastic tube into your pleural space for several days.
Pleural drain. If your pleural effusions keep coming back, your doctor may put a long-term catheter through your skin into the pleural space. You can then drain the pleural effusion at home. Your doctor will tell you how and when to do that.
Continued
Pleurodesis. Your doctor injects an irritating substance (such as talc or doxycycline) through a chest tube into the pleural space. The substance inflames the pleura and chest wall, which then bind tightly to each other as they heal. Pleurodesis can prevent pleural effusions from coming back in many cases.
Pleural decortication. Surgeons can operate inside the pleural space, removing potentially dangerous inflammation and unhealthy tissue. To do this, your surgeon may make small cuts (thoracoscopy) or a large one (thoracotomy).
Pleural Effusion: Symptoms, Causes, Treatments
Overview
What is pleural effusion?
Pleural effusion, sometimes referred to as “water on the lungs,” is the build-up of excess fluid between the layers of the pleura outside the lungs. The pleura are thin membranes that line the lungs and the inside of the chest cavity and act to lubricate and facilitate breathing. Normally, a small amount of fluid is present in the pleura./lung-pain-symptoms-causes-and-diagnosis-2249389_2-5b854d75c9e77c005076c14a-5b85d1ddc9e77c002c6e365f.png)
Is pleural effusion serious?
The seriousness of the condition depends on the primary cause of pleural effusion, whether breathing is affected, and whether it can be treated effectively. Causes of pleural effusion that can be effectively treated or controlled include an infection due to a virus, pneumonia or heart failure. Two factors that must be considered are treatment for associated mechanical problems as well as treatment of the underlying cause of the pleural effusion.
Symptoms and Causes
What are the symptoms of pleural effusion?
Some patients with pleural effusion have no symptoms, with the condition discovered on a chest x-ray that is performed for another reason. The patient may have unrelated symptoms due to the disease or condition that has caused the effusion.Symptoms of pleural effusion include:
- Chest pain
- Dry, nonproductive cough
- Dyspnea (shortness of breath, or difficult, labored breathing)
- Orthopnea (the inability to breathe easily unless the person is sitting up straight or standing erect)
What causes pleural effusion?
Pleural effusions are very common, with approximately 100,000 cases diagnosed in the United States each year, according to the National Cancer Institute.
Depending on the cause, the excess fluid may be either protein-poor (transudative) or protein-rich (exudative). These two categories help physicians determine the cause of the pleural effusion.
The most common causes of transudative (watery fluid) pleural effusions include:
Exudative (protein-rich fluid) pleural effusions are most commonly caused by:
Other less common causes of pleural effusion include:
- Tuberculosis
- Autoimmune disease
- Bleeding (due to chest trauma)
- Chylothorax (due to trauma)
- Rare chest and abdominal infections
- Asbestos pleural effusion (due to exposure to asbestos)
- Meig’s syndrome (due to a benign ovarian tumor)
- Ovarian hyperstimulation syndrome
Certain medications, abdominal surgery and radiation therapy may also cause pleural effusions.
Pleural effusion may occur with several types of cancer including lung cancer, breast cancer and lymphoma. In some cases, the fluid itself may be malignant (cancerous), or may be a direct result of chemotherapy.
Diagnosis and Tests
How is pleural effusion diagnosed?
The tests most commonly used to diagnose and evaluate pleural effusion include:
When the pleural effusion has remained undiagnosed despite previous, less-invasive tests, thoracoscopy may be performed. Thoracoscopy is a minimally invasive technique, also known as video-assisted thoracoscopic surgery, or VATS, performed under general anesthesia that allows for a visual evaluation of the pleura). Often, treatment of the effusion is combined with diagnosis in these cases.
Management and Treatment
How is pleural effusion treated?
- Treatment of pleural effusion is based on the underlying condition and whether the effusion is causing severe respiratory symptoms, such as shortness of breath or difficulty breathing.
- Diuretics and other heart failure medications are used to treat pleural effusion caused by congestive heart failure or other medical causes. A malignant effusion may also require treatment with chemotherapy, radiation therapy or a medication infusion within the chest.
- A pleural effusion that is causing respiratory symptoms may be drained using therapeutic thoracentesis or through a chest tube (called tube thoracostomy).
- For patients with pleural effusions that are uncontrollable or recur due to a malignancy despite drainage, a sclerosing agent (a type of drug that deliberately induces scarring) occasionally may be instilled into the pleural cavity through a tube thoracostomy to create a fibrosis (excessive fibrous tissue) of the pleura (pleural sclerosis).

- Pleural sclerosis performed with sclerosing agents (such as talc, doxycycline, and tetracycline) is 50 percent successful in preventing the recurrence of pleural effusions.
Surgery
Pleural effusions that cannot be managed through drainage or pleural sclerosis may require surgical treatment.
The two types of surgery include:
Video-assisted thoracoscopic surgery (VATS)
A minimally-invasive approach that is completed through 1 to 3 small (approximately ½ -inch) incisions in the chest. Also known as thoracoscopic surgery, this procedure is effective in managing pleural effusions that are difficult to drain or recur due to malignancy. Sterile talc or an antibiotic may be inserted at the time of surgery to prevent the recurrence of fluid build-up.
Thoracotomy (Also referred to as traditional, “open” thoracic surgery)
A thoracotomy is performed through a 6- to 8-inch incision in the chest and is recommended for pleural effusions when infection is present. A thoracotomy is performed to remove all of the fibrous tissue and aids in evacuating the infection from the pleural space. Patients will require chest tubes for 2 days to 2 weeks after surgery to continue draining fluid.
Your surgeon will carefully evaluate you to determine the safest treatment option and will discuss the possible risks and benefits of each treatment option.
Resources
If you need more information or would like to make an appointment with a specialist, contact us, chat online with a nurse or call the Miller Family Heart, Vascular & Thoracic Institute Resource & Information Nurse at 216.445.9288 or toll-free at 866.289.6911. We would be happy to help you.
Pleural Effusion: Symptoms, Causes, Treatments
Overview
What is pleural effusion?
Pleural effusion, sometimes referred to as “water on the lungs,” is the build-up of excess fluid between the layers of the pleura outside the lungs. The pleura are thin membranes that line the lungs and the inside of the chest cavity and act to lubricate and facilitate breathing. Normally, a small amount of fluid is present in the pleura.
Is pleural effusion serious?
The seriousness of the condition depends on the primary cause of pleural effusion, whether breathing is affected, and whether it can be treated effectively. Causes of pleural effusion that can be effectively treated or controlled include an infection due to a virus, pneumonia or heart failure. Two factors that must be considered are treatment for associated mechanical problems as well as treatment of the underlying cause of the pleural effusion.
Symptoms and Causes
What are the symptoms of pleural effusion?
Some patients with pleural effusion have no symptoms, with the condition discovered on a chest x-ray that is performed for another reason. The patient may have unrelated symptoms due to the disease or condition that has caused the effusion.Symptoms of pleural effusion include:
- Chest pain
- Dry, nonproductive cough
- Dyspnea (shortness of breath, or difficult, labored breathing)
- Orthopnea (the inability to breathe easily unless the person is sitting up straight or standing erect)
What causes pleural effusion?
Pleural effusions are very common, with approximately 100,000 cases diagnosed in the United States each year, according to the National Cancer Institute.
Depending on the cause, the excess fluid may be either protein-poor (transudative) or protein-rich (exudative). These two categories help physicians determine the cause of the pleural effusion.
The most common causes of transudative (watery fluid) pleural effusions include:
Exudative (protein-rich fluid) pleural effusions are most commonly caused by:
Other less common causes of pleural effusion include:
- Tuberculosis
- Autoimmune disease
- Bleeding (due to chest trauma)
- Chylothorax (due to trauma)
- Rare chest and abdominal infections
- Asbestos pleural effusion (due to exposure to asbestos)
- Meig’s syndrome (due to a benign ovarian tumor)
- Ovarian hyperstimulation syndrome
Certain medications, abdominal surgery and radiation therapy may also cause pleural effusions. Pleural effusion may occur with several types of cancer including lung cancer, breast cancer and lymphoma. In some cases, the fluid itself may be malignant (cancerous), or may be a direct result of chemotherapy.
Diagnosis and Tests
How is pleural effusion diagnosed?
The tests most commonly used to diagnose and evaluate pleural effusion include:
When the pleural effusion has remained undiagnosed despite previous, less-invasive tests, thoracoscopy may be performed. Thoracoscopy is a minimally invasive technique, also known as video-assisted thoracoscopic surgery, or VATS, performed under general anesthesia that allows for a visual evaluation of the pleura). Often, treatment of the effusion is combined with diagnosis in these cases.
Management and Treatment
How is pleural effusion treated?
- Treatment of pleural effusion is based on the underlying condition and whether the effusion is causing severe respiratory symptoms, such as shortness of breath or difficulty breathing.

- Diuretics and other heart failure medications are used to treat pleural effusion caused by congestive heart failure or other medical causes. A malignant effusion may also require treatment with chemotherapy, radiation therapy or a medication infusion within the chest.
- A pleural effusion that is causing respiratory symptoms may be drained using therapeutic thoracentesis or through a chest tube (called tube thoracostomy).
- For patients with pleural effusions that are uncontrollable or recur due to a malignancy despite drainage, a sclerosing agent (a type of drug that deliberately induces scarring) occasionally may be instilled into the pleural cavity through a tube thoracostomy to create a fibrosis (excessive fibrous tissue) of the pleura (pleural sclerosis).
- Pleural sclerosis performed with sclerosing agents (such as talc, doxycycline, and tetracycline) is 50 percent successful in preventing the recurrence of pleural effusions.
Surgery
Pleural effusions that cannot be managed through drainage or pleural sclerosis may require surgical treatment.
The two types of surgery include:
Video-assisted thoracoscopic surgery (VATS)
A minimally-invasive approach that is completed through 1 to 3 small (approximately ½ -inch) incisions in the chest. Also known as thoracoscopic surgery, this procedure is effective in managing pleural effusions that are difficult to drain or recur due to malignancy. Sterile talc or an antibiotic may be inserted at the time of surgery to prevent the recurrence of fluid build-up.
Thoracotomy (Also referred to as traditional, “open” thoracic surgery)
A thoracotomy is performed through a 6- to 8-inch incision in the chest and is recommended for pleural effusions when infection is present. A thoracotomy is performed to remove all of the fibrous tissue and aids in evacuating the infection from the pleural space. Patients will require chest tubes for 2 days to 2 weeks after surgery to continue draining fluid.
Your surgeon will carefully evaluate you to determine the safest treatment option and will discuss the possible risks and benefits of each treatment option.
Resources
If you need more information or would like to make an appointment with a specialist, contact us, chat online with a nurse or call the Miller Family Heart, Vascular & Thoracic Institute Resource & Information Nurse at 216.445.9288 or toll-free at 866.289.6911. We would be happy to help you.
Pleural Effusion: Symptoms, Causes, Treatments
Overview
What is pleural effusion?
Pleural effusion, sometimes referred to as “water on the lungs,” is the build-up of excess fluid between the layers of the pleura outside the lungs. The pleura are thin membranes that line the lungs and the inside of the chest cavity and act to lubricate and facilitate breathing. Normally, a small amount of fluid is present in the pleura.
Is pleural effusion serious?
The seriousness of the condition depends on the primary cause of pleural effusion, whether breathing is affected, and whether it can be treated effectively. Causes of pleural effusion that can be effectively treated or controlled include an infection due to a virus, pneumonia or heart failure. Two factors that must be considered are treatment for associated mechanical problems as well as treatment of the underlying cause of the pleural effusion.
Symptoms and Causes
What are the symptoms of pleural effusion?
Some patients with pleural effusion have no symptoms, with the condition discovered on a chest x-ray that is performed for another reason.
The patient may have unrelated symptoms due to the disease or condition that has caused the effusion.Symptoms of pleural effusion include:
- Chest pain
- Dry, nonproductive cough
- Dyspnea (shortness of breath, or difficult, labored breathing)
- Orthopnea (the inability to breathe easily unless the person is sitting up straight or standing erect)
What causes pleural effusion?
Pleural effusions are very common, with approximately 100,000 cases diagnosed in the United States each year, according to the National Cancer Institute.
Depending on the cause, the excess fluid may be either protein-poor (transudative) or protein-rich (exudative). These two categories help physicians determine the cause of the pleural effusion.
The most common causes of transudative (watery fluid) pleural effusions include:
Exudative (protein-rich fluid) pleural effusions are most commonly caused by:
Other less common causes of pleural effusion include:
- Tuberculosis
- Autoimmune disease
- Bleeding (due to chest trauma)
- Chylothorax (due to trauma)
- Rare chest and abdominal infections
- Asbestos pleural effusion (due to exposure to asbestos)
- Meig’s syndrome (due to a benign ovarian tumor)
- Ovarian hyperstimulation syndrome
Certain medications, abdominal surgery and radiation therapy may also cause pleural effusions. Pleural effusion may occur with several types of cancer including lung cancer, breast cancer and lymphoma. In some cases, the fluid itself may be malignant (cancerous), or may be a direct result of chemotherapy.
Diagnosis and Tests
How is pleural effusion diagnosed?
The tests most commonly used to diagnose and evaluate pleural effusion include:
When the pleural effusion has remained undiagnosed despite previous, less-invasive tests, thoracoscopy may be performed.
Thoracoscopy is a minimally invasive technique, also known as video-assisted thoracoscopic surgery, or VATS, performed under general anesthesia that allows for a visual evaluation of the pleura). Often, treatment of the effusion is combined with diagnosis in these cases.
Management and Treatment
How is pleural effusion treated?
- Treatment of pleural effusion is based on the underlying condition and whether the effusion is causing severe respiratory symptoms, such as shortness of breath or difficulty breathing.
- Diuretics and other heart failure medications are used to treat pleural effusion caused by congestive heart failure or other medical causes. A malignant effusion may also require treatment with chemotherapy, radiation therapy or a medication infusion within the chest.
- A pleural effusion that is causing respiratory symptoms may be drained using therapeutic thoracentesis or through a chest tube (called tube thoracostomy).
- For patients with pleural effusions that are uncontrollable or recur due to a malignancy despite drainage, a sclerosing agent (a type of drug that deliberately induces scarring) occasionally may be instilled into the pleural cavity through a tube thoracostomy to create a fibrosis (excessive fibrous tissue) of the pleura (pleural sclerosis).
- Pleural sclerosis performed with sclerosing agents (such as talc, doxycycline, and tetracycline) is 50 percent successful in preventing the recurrence of pleural effusions.
Surgery
Pleural effusions that cannot be managed through drainage or pleural sclerosis may require surgical treatment.
The two types of surgery include:
Video-assisted thoracoscopic surgery (VATS)
A minimally-invasive approach that is completed through 1 to 3 small (approximately ½ -inch) incisions in the chest.
Also known as thoracoscopic surgery, this procedure is effective in managing pleural effusions that are difficult to drain or recur due to malignancy. Sterile talc or an antibiotic may be inserted at the time of surgery to prevent the recurrence of fluid build-up.
Thoracotomy (Also referred to as traditional, “open” thoracic surgery)
A thoracotomy is performed through a 6- to 8-inch incision in the chest and is recommended for pleural effusions when infection is present. A thoracotomy is performed to remove all of the fibrous tissue and aids in evacuating the infection from the pleural space. Patients will require chest tubes for 2 days to 2 weeks after surgery to continue draining fluid.
Your surgeon will carefully evaluate you to determine the safest treatment option and will discuss the possible risks and benefits of each treatment option.
Resources
If you need more information or would like to make an appointment with a specialist, contact us, chat online with a nurse or call the Miller Family Heart, Vascular & Thoracic Institute Resource & Information Nurse at 216.445.9288 or toll-free at 866.289.6911. We would be happy to help you.
The management of benign non-infective pleural effusions
Introduction
The management of malignant pleural effusions has seen considerable progress within the past decade, with a number of randomised controlled trials now informing practice [1–3]. This progress, by contrast, has not been mirrored in non-malignant pleural disease, which has an evidence base still formed largely of observational studies. As a result, the management of non-malignant pleural effusions is often guided by techniques established and validated in malignant disease.
Similarly, though international guidelines produced by the British Thoracic Society and American Thoracic Society are available for malignant pleural effusions [4, 5], no such equivalent guidelines exist for non-malignant pleural disease.
The potential causes of non-malignant pleural effusions are numerous, often uncommon and in some cases poorly understood. This lack of clear classification and definition may, in part, explain the absence of high-quality evidence and established guidelines. As affected patients frequently have comorbidities and their pleural effusions may be a manifestation of a disease process managed by non-respiratory specialists, close multidisciplinary links are particularly important in this patient group to ensure coordinated and optimised care pathways.
The purpose of this article is to outline the burden and spectrum of non-malignant pleural effusions and to summarise the evidence base for management strategies.
Epidemiology
Non-malignant pleural effusions are common and the spectrum of disease is broad. In particular, pleural effusions related to heart failure are frequently present in adult patients admitted to hospital and those in critical care settings. Many of these effusions may be subclinical and resolve in parallel with treatment of the underlying disease process. However, there is a substantial burden of symptomatic disease requiring dedicated treatment.
Unpublished audit data from Bristol (UK) of 327 patients with non-malignant effusions referred to a tertiary pleural service for further investigation over a 5-year period are shown in table 1. This data demonstrates the distribution of possible aetiologies after effusions caused by malignancy or trauma have been excluded.
TABLE 1
Proportions of causes of non-malignant pleural effusions
Evaluation of a pleural effusion
The evaluation of pleural disease relies upon a careful history and examination but will frequently necessitate imaging and pleural fluid analysis in order to narrow the differential diagnosis.![]()
The most common symptom resulting from a pleural effusion is breathlessness. The extent of breathlessness may be disproportionate to the size of the effusion and influenced by coexistent cardiac and lung diseases. Dyspnoea may result from a reduction in normal diaphragmatic movement in addition to the reduction in tidal volume directly associated with the mass effect of fluid within the thoracic cavity [6].
The speed of onset of symptoms (most typically breathlessness) will frequently provide a steer to the probable underlying cause, although accompanying radiology may provide an objective assessment of this. Table 2 details common features in the patient’s history that may be relevant.
TABLE 2
History, pleural fluid assays and other investigations used in the evaluation of non-malignant pleural effusions
Pleural fluid analysis
Pleural fluid analysis will often provide crucial information in the evaluation of a non-malignant pleural effusion, in addition to helping establish whether further investigations for malignancy are required. Table 2 details the components of standard testing of pleural fluid and blood and those more targeted assays, which may be indicated in specific cases of suspected non-malignant effusions.
Factors dictating the use of advanced tests may arise from the appearance of the fluid or patient factors specific to the case. Fluid with a milky appearance, for instance, increases the possibility of a chylothorax and should be evaluated with a request for triglyceride and cholesterol levels and the presence or absence of chylomicrons. Allowing the fluid to stand on a bench for 30 min can also be helpful in differentiating empyema from chylothorax, as a clear supernatant will develop in empyema whereas a chylous effusion will remain uniformly cloudy.
Although the criteria of Light is not completely specific or sensitive for the identification of a malignancy, an effusion classified as a transudate by this criteria is strongly suggestive of a non-malignant cause and specifically raises the possibility of an effusion due to heart failure, renal failure or a hepatic hydrothorax [8].
It should, however, be noted that ∼5% of malignant pleural effusions are initially classified as a transudate according to the criteria of Light [9].
Pleural infection is typically indicated by low pH or low glucose, the values of which are correlated [10]. However, these fluid characteristics may also be seen in effusions due to rheumatoid arthritis, advanced malignancy and oesophageal perforation [11].
Differential cell counts are not universally tested in all laboratories, but provide useful information. Pleural effusions are commonly lymphocyte predominant, though the presence of significant numbers of neutrophils and eosinophils may help narrow the possible diagnoses. Typically, chronic pleural effusions are predominantly occupied by lymphocytes, and those due to more acute processes with neutrophils. The presence of eosinophils is often associated with air or blood in the pleural space, but other diagnostic possibilities remain [12].
Standard blood biochemistry for a pleural effusion is likely to consist of a full blood count, urea and electrolytes, liver function, coagulation assays and C-reactive protein. More specific tests including N-terminal pro-brain natriuretic peptide (NT-proBNP) and assays such as a rheumatoid factor, autoimmune profile and anti-neutrophil cytoplasmic antibody may be indicated in specific cases.
In many cases of non-malignant effusions, the diagnosis may be clear following an initial assessment and the examination of pleural fluid, though in a substantial number of patients more detailed investigations may be required.
Imaging
Chest radiographs and thoracic ultrasound play key roles in the evaluation and management of pleural effusions [13]. Pleural appearances seen on computed tomography (CT) in patients with non-malignant disease may be more subtle than in those with malignant findings. In the quantification and characterisation of pleural effusions and pleural thickening, CT is, however, an invaluable tool.
The value of using late venous phase intravenous contrast has been demonstrated in characterising pleural thickening and identifying the presence of malignant pleural disease [14]. Pleural fluid aspiration or drainage prior to CT imaging has been shown to not significantly improve diagnostic performance in the evaluation of pleural pathology [15].
Magnetic resonance imaging (MRI) does not currently have a routine role in the evaluation of pleural disease but provides high-quality imaging of chest wall invasion in malignant disease, which is reflected in its use for malignant mesothelioma. It may be useful in younger patients and in patients in whom chest wall soft tissue abnormalities are suspected. MRI has been demonstrated to aid characterisation of pleural effusions as transudates and simple or complex exudates [16]. MRI scanning and lymphoscintigrams can be very useful in demonstrating the site of the leak from the lymphatic system in cases of chylothorax [17].
Tissue diagnosis
Pleural biopsy may be achieved as a closed procedure, in the case of radiologically guided percutaneous biopsy, or performed under direct visual guidance in the case of thoracoscopy. The sensitivity of CT-guided biopsy in establishing pleural malignancy has been shown to be superior to Abrams’ biopsy (87% versus 47%) [18], though in regions with a high prevalence of tuberculosis Abrams’ biopsies may still have a role in view of the greater sensitivity they exhibit in the diagnosis of tuberculosis (82%) [19].
Thoracoscopic procedures may range from a single-port procedure undertaken with local anaesthetic and sedation to multiple port video-assisted thoracoscopic surgery (VATS) under general anaesthetic. The question as to which of these procedures should be undertaken may depend on local availability and patient factors, which may suggest a more or less invasive approach being favoured.
The rationale for performing a biopsy is usually to specifically exclude malignancy, although they may also be useful in establishing certain non-malignant diseases.
The histopathological features of many non-malignant effusions are typically nonspecific and a biopsy in isolation is unlikely to definitively establish aetiology. However, notable exceptions exist, such as tuberculosis, which could be established beyond doubt if mycobacteria are identified on pleural biopsies.
Effusion pathology
Pleural effusions are caused by a wide array of processes, a number of which are discussed below. Figure 1 demonstrates the multiple conditions and organ systems potentially involved in the development of a non-malignant effusion, and their characteristic classification by Light’s criteria.
FIGURE 1
Schematic diagram illustrating a range of multisystem pathologies leading to non-malignant effusions, categorised by their tendency to cause exudates or transudates.
Pleural effusions develop due to an increase in production or a reduction in reabsorption of pleural fluid or both processes in unison.
Cardiac
Heart failure leads to pleural effusion formation due to an increase in pulmonary capillary pressure and a consequent leak into the pleural space. This arises as a result of a range of cardiac pathology including left ventricular dysfunction, which may be diastolic or systolic, valve dysfunction or constrictive pericarditis. The prevalence of clinically identified heart failure is ∼3–20 cases per 1000 population and increases markedly with age [20]. Of those patients with decompensated heart failure requiring diuretic treatment, 87% have pleural effusions on CT [21]. Patients with uncomplicated heart failure with pleural effusions have bilateral effusions in 73% of cases [22]. A large proportion of these pleural effusions will improve with optimised treatment for heart failure. A prospective study of 60 patients demonstrated that 89% of those patients with an initial response to diuretic treatment no longer had a pleural effusion after 2 weeks of follow-up [21]. Treatment typically involves medication, such as diuretics, angiotensin converting enzyme inhibition, β-blockade, or procedures such as cardiac resynchronisation or intervention to treat valve dysfunction.
In recent decades considerable advances have been made in the management of heart failure, resulting in a shift away from patients presenting with acute decompensated disease towards a more stable and chronic course.
Although more commonly associated with left-sided failure, pleural effusion also occurs in right-sided heart failure. Though they are most commonly small effusions, ∼13% of patients with idiopathic or familial pulmonary artery hypertension have pleural effusions attributed to right-sided heart failure [23]. The process of accumulation of the fluid is thought to be due to processes including decreased pleural fluid reabsorption, increased hydrostatic pressure in bronchial veins, or dilated pulmonary arteries obstructing lymphatic flow. These effusions appear to be most commonly right sided (58%) or bilateral (26%), and are typically transudates [23]. Patients with cardiac effusions treated with diuretics are reported to have an increased pleural fluid protein level relative to its blood level, resulting in the effusion being classified as an exudate by Light’s criteria [24]. In patients with an exudative effusion suspected of having a cardiac cause, correlation with echocardiography or NT-proBNP measurement may be helpful to clarify the aetiology; care should be taken to exclude other relevant potential causes, such as malignancy or pulmonary emboli.
Direct management of pleural effusions due to heart failure may be hampered by the presence of bilateral effusions. However, despite isolated right- or left-sided effusions being uncommon, bilateral effusions frequently have a larger left- or right-sided component [22]. In view of the dyspnoea associated with heart failure itself, patients may benefit considerably from drainage of effusions that persist despite optimised heart failure treatment.
Pleural effusions are present in nearly all patients immediately after coronary artery bypass grafting and diminish over time, with the majority of early effusions remaining small and not a cause of significant symptoms [25, 26].
Pleural effusions following coronary artery bypass grafting may be categorised as early or late effusions, which are thought to be distinct processes, with early effusions more likely to be haemorrhagic, eosinophil predominant and associated with a high LDH level, and later effusions more likely to be non-haemorrhagic and characterised by a lymphocyte predominant, inflammatory-mediated process [27].
Of those patients with a persistent pleural effusion after coronary artery bypass grafting, many only require a single thoracentesis with more long-term treatment rarely required [28]. Pleural effusions also occur as a manifestation of post-cardiac injury (or Dressler’s) syndrome [29].
Hepatic
Hepatic hydrothorax is present in ∼5% of patients with liver cirrhosis and ascites [30]. Hepatic hydrothoraces are most commonly right sided, although they may be bilateral or exist solely on the left [31]. This tendency towards the right side is thought to be due to a predisposition of diaphragmatic defects affecting the right hemidiaphragm [32]. In the presence of such a defect, the negative intrathoracic pressure results in a flow of fluid from the abdomen to the chest.
Although less common, hepatic hydrothorax also occurs in the absence of clinically apparent ascites [31]. However, even in these patients a one-way flow of radiolabelled colloid across the diaphragm has been demonstrated, suggesting that in these patients flow across the diaphragm matches the rate of ascites formation [33].
The presence of hepatic hydrothorax in liver cirrhosis is associated with a particularly poor prognosis. In a study of 77 patients with hepatic hydrothorax, only 33 (43%) survived for 1 year after diagnosis [31].
Hepatic hydrothorax is managed with salt restriction and diuretic therapy, and treatment of ascites may result in an improvement in the quantity of fluid above the diaphragm. Surgical repair of the diaphragm is used, though more commonly, in the presence of persisting fluid, a trans-jugular intrahepatic portosystemic shunt or liver transplant may be needed.
If these procedures are ineffective, unavailable or contraindicated, direct removal of pleural fluid may be required. Additionally, some centres are using indwelling pleural catheters as a bridge to more definitive management, such as liver transplantation.
Fluid and protein loss is a concern that this particularly pertinent to patients with pleural effusions due to hepatic hydrothorax and has given rise to the practice of administering intravenous human albumin solution, as is used in patients with cirrhosis requiring paracentesis. Though no clear guidance or evidence exists, use of human albumin solution is frequently advocated by hepatologists for patients with hepatic hydrothorax, in whom the typically larger volume of fluid drained via an indwelling pleural catheter may be a particular problem [34].
Renal
In a retrospective review of a cohort of 257 patients receiving long-term haemodialysis for renal failure, 52 (20%) patients had a history of pleural effusion [35]. These pleural effusions were most commonly due to hypervolaemia (62%) and typically associated with bilateral transudative effusions. The remainder were attributed to heart failure, uraemia or infection. An observational study of 430 patients with chronic kidney disease (stage 3–5) established the incidence of pleural effusions to be 6.7%, substantially lower than in patients with more severe disease necessitating renal replacement therapy [36].
Pleural effusions attributed to renal failure are typically bilateral and classified as transudates by Light’s criteria. Of those patients who develop an exudative pleural effusion on long-term haemodialysis, the most common cause is uraemic pleuritis, which may be unilateral and bilateral and develops in ∼4% of patients on long-term dialysis. Uraemic pleuritis is typically associated with a blood stained effusion and biopsies indicate fibrinous pleuritis [35].
Patients on long-term renal replacement therapy are likely to be more vulnerable to pleural infection given the potential for a degree of immunodeficiency seen in these patients.
The need to carefully exclude the possibility of pleural infection is therefore an important consideration in this patient group.
Peritoneal dialysis represents an alternative process through which a pleural effusion may accumulate in patients with renal failure [37]. This complication is reported to affect 1.6% of patients receiving chronic ambulatory peritoneal dialysis and may be indicated by a reduction in the adequacy of peritoneal dialysis. The development of pleural effusion may occur around the time of peritoneal dialysis initiation or much later; 50% of effusions arise within 30 days of peritoneal dialysis initiation [38]. The biochemistry of pleural fluid in such cases will characteristically represent the constituents of the peritoneal dialysate, typically with very low protein and lactate dehydrogenase. Similar to the pleural fluid that accumulates in liver cirrhosis due to diaphragmatic transit of ascites, right-sided pleural effusions due to peritoneal dialysis are much more common. Recommended treatment options for pleural effusions due to peritoneal dialysis consist of conservative measures, such as a temporary switch to haemodialysis, the use of more frequent and smaller volume exchanges, chemical pleurodesis or surgical VATS [39].
Other causes
A wide variety of less common pathologies may cause a pleural effusion, the diagnosis of which may be substantially less straightforward than those caused by heart, liver or renal failure, the underlying organ failure of which is likely to be recognised prior to the development of the pleural effusion.
Benign asbestos pleural effusion is a diagnosis of exclusion, with the possibility of mesothelioma needing careful consideration, as it does in all patients with a history of asbestos exposure and pleural disease. Benign asbestos pleural effusion is usually unilateral and characterised by an exudative effusion typically occurring within 15 years of asbestos exposure, but may arise much later [40].
Effusions may be asymptomatic or associated with breathlessness and chest pain and in around one-third of cases high levels of eosinophils are present within the fluid [41]. Pleural biopsies are required to exclude malignancy, and radiological follow-up over a 2-year period with chest CT is recommended in view of the need to establish whether there is progressive abnormality and pleural thickening. Benign asbestos pleural effusion is frequently associated with a transient effusion, for which long-term management may not be required.
Roughly 50% of patients with yellow nail syndrome have pleural effusions alongside lymphoedema, chronic respiratory manifestations and the nail abnormalities themselves [42]. Pleural fluid analysis will typically demonstrate a lymphocytic effusion, though some patients may develop a chylothorax. Biopsies are likely to reveal a chronic fibrosing pleuritis [42].
Pulmonary embolism
Pleural effusions are a frequent finding in as many as 30% of patients with pulmonary embolism and are thought to be due to ischaemia itself or cytokine release [43]. These effusions are, however, typically present for no more than 1 month [44], and 90% are smaller than one-third of the hemithorax [45]. A degree of breathlessness disproportionate to the size of the pleural effusion and pleuritic chest pain may be a feature of effusions associated with pulmonary embolism.
Though pleural effusions are typically present on the same side as the lung affected by pulmonary embolism, they may be unilateral despite bilateral embolic disease or bilateral when the pulmonary embolism is unilateral. Surprisingly, the effusion is also present unilaterally and contralateral to the embolism in ∼7.5% of patients with effusions due to pulmonary embolism [45].
Earlier studies with methodological limitations suggested that pleural effusions due to pulmonary emboli may be transudates; however, more recent series have established that all pulmonary embolism-associated effusions are exudates according to Light’s criteria [45].
Additionally pleural fluid is typically blood stained and characteristically neutrophil predominant [45]. As these effusions are typically very small, a larger effusion should potentially prompt evaluation for a concomitant cause.
Pancreatitis
An elevated pleural fluid amylase, indicated by either a pleural fluid amylase greater than serum amylase or a pleural fluid amylase above the upper limit of normal for the serum value, is suggestive of acute or chronic pancreatitis. Rupture of a pancreatic pseudocyst and fistula formation may result in direct communication with the thoracic cavity and accumulation of pleural fluid.
Elevated pleural fluid amylase is also seen in effusions due to oesophageal rupture and possibly also in malignant pleural effusions. Isoenzyme analysis may allow a distinction to be made between salivary and pancreatic amylase in difficult cases.
Autoinflammatory
Rheumatoid arthritis is associated with a variety of pulmonary and pleural manifestations. A high rheumatoid factor titre is predictive of pleural effusion alongside other extra-articular features. Rheumatoid pleural disease is more common in men [46]. Though pleural effusions are described in 3–5% of patients with rheumatoid arthritis, evidence of abnormalities on chest radiographs are much more common [47]. Pleural effusions associated with rheumatoid arthritis are typically painless, characterised as exudates and have a low pH and glucose and may, therefore, be confused with pleural infection.
In patients with rheumatoid arthritis presenting with a pleural effusion, the possibility of medications causing the effusion should be considered as a number of anti-rheumatoid therapies including methotrexate, sulfasalazine and D-Penicillamine may be potentially implicated.
Systemic lupus erythematosus may give rise to pleural effusions directly through lupus pleuritis or through a secondary process such as renal disease, heart failure or pulmonary embolism [47].
Pleural effusions caused by lupus typically have a higher glucose level compared with those associated with rheumatoid arthritis and may cause significant chest pain as part of the serositis syndrome. High anti-nuclear antibody titres are sensitive but not specific for a lupus effusion; high antinuclear antibody titres may also be seen in malignant pleural effusions [48]. However, lupus erythematosus cells are considered to be highly specific.
Connective tissue diseases such as systemic sclerosis, mixed connective tissue disease, granulomatosis with polyangiitis, ankylosing spondylitis and Still’s disease may also have features of pleural involvement. Familial Mediterranean fever may cause pleural inflammation associated with unilateral pleuritic chest pain and pleural effusions, which are most commonly small and short lived.
Chylothorax
A chylothorax may arise as a result of disruption of the thoracic duct in its path from the cisterna chyli up the posterior mediastinum to the left subclavian vein. An interruption in the flow of chyle results in the accumulation of fluid within the thoracic cavity. As the thoracic duct crosses the midline, a chylothorax may be present in either hemithorax or bilaterally.
Around half of chylothoraces are due to trauma. Of the remainder, 38% are due to malignancy, most commonly lymphoma or leukaemia. Non-malignant causes include congenital lymphatic disorders such as Gorham or Milroy disease, or conditions such as lymphangioma, lymphangioleiomyomatosis, yellow nail syndrome or lupus, or may be secondary to chylous ascites, most often a complication of liver cirrhosis [49].
Chylothoraces represent a different pathological mechanism to those shared by most other non-malignant effusions, and warrant specific consideration. The diagnosis of a chylothorax is often made on the basis of the typical appearance of fluid and easily established on the basis of pleural fluid biochemistry or the presence of chylomicrons, but in some instances the appearance may be mistaken for a purulent effusion due to infection.
A reduced fat diet, if carefully adhered to, may reduce flow of chyle and result in spontaneous closure of the thoracic duct defect. If unsuccessful, surgical ligation or percutaneous embolisation approaches may be appropriate to directly block the chyle leak. Lymphoscintigraphy may be helpful in the identification of the site of leak (figure 2).
FIGURE 2
Lymphoscintigram and SPECT-CT (single photon emission computer tomography combined with integrated low-dose computed tomography) imaging in a patient with a chylothorax. A 74-year-old man with non-Hodgkin lymphoma had recurrence of a right-sided pleural effusion following previous talc pleurodesis. An intercostal catheter was inserted and drained >3.5 L of milky fluid with a triglyceride level of 17 mmol·L−1, confirming a chylothorax. Chyle flow decreased but continued despite total parental nutrition. Computed tomography of the abdomen also indicated a confluent lymphomatous mass around the aorta and inferior vena cava with ascites and lymphadenopathy. A lymphoscintigraphy was performed to determine the point of chyle leakage. Tc99-labelled human serum albumin-DTPA was injected into the first pedal interdigital web space bilaterally and serial whole body SPECT-CT was performed at intervals between 90 min and 6.5 h following tracer administration. This case illustrates the importance of Tc99 lymphangioscintigraphy as it identified an abdominal chyle leak site for the right chylothorax (instead of leakage at the thoracic portion of the thoracic duct), and changed the management of the patient. The patient was referred for radiotherapy to the abdominal mass. a) Lymphoscintigram showing a site of chyle leak in the abdomen at 2 h following injection. b) Low dose SPECT-CT showed pooling of the tracer below the diaphragm confirming chyle leak from the abdominal source into the abdomen. c) Follow-up lymphoscintigram showed tracer uptake over the right pleural cavity, confirming that chyle leak from the abdomen migrated transdiaphragmatically causing the right chylothorax at 6.
5 h after injection. (Images courtesy of A. Yogendran, University of Western Australia, Perth, Australia).
Cholesterol effusions (or pseudochylous effusions) may have a similar milky appearance to a true chylous effusion, but may be distinguished following the measurement of triglyceride and cholesterol levels. The two most common causes of cholesterol effusions are tuberculosis and rheumatoid pleural disease; helminth infections and cases secondary to malignancy occur less commonly [50].
Trapped lung
Trapped (unexpandable) lung may cause a pleural effusion through the development of a greater negative pleural pressure, caused by visceral pleural thickening preventing lung expansion [51]. This negative pressure facilitates movement from pleural capillaries into the pleural space. Frequently, the development of trapped lung is a consequence of a pathological process already giving rise to a pleural effusion, after which visceral pleural thickening perpetuates the effusion [52]. This process can occur in the context of a long-standing effusion of any cause. However, a history of past pleural infection, thoracic surgery, rheumatoid pleural disease, thoracic radiation or a haemothorax are described as potential causes [52].
Iatrogenic
Pleural effusions caused by medication are uncommon, though a wide range of medications may potentially be implicated. More than 70 drugs have been reported to cause pleural effusions, and among them are cardiovascular medications and ergoline drugs, as well as chemotherapy agents [53]. Drugs more commonly associated include methotrexate, amiodarone and nitrofurantoin [13]. Mechanisms include hypersensitivity, direct toxicity, free radical production and chemical-induced inflammation [54]. A number of drugs may cause an effusion through lupus pleuritis. Pleural fluid eosinophilia may alert the clinician to the possibility of a drug-induced effusion, though this finding is neither sensitive nor specific. In addition to drug causes, iatrogenic pleural effusions may also arise as a complication of therapeutic interventions such as radiotherapy.
Pleural fluid may, in some cases, be exogenous fluid that accumulates within the pleural space, due to either transit of fluid from another body cavity, such as in peritoneal dialysis or an iatrogenic consequence of misplaced central venous catheters, oesophageal perforation, or in the case of spinal or urological surgery an accumulation of cerebrospinal fluid or urine, respectively, within the pleural space. The management of these processes will not be discussed here.
Treatment of non-malignant pleural effusions
The management of non-malignant pleural effusions is predominantly focussed on relief of symptoms. The accumulation of a pleural effusion may significantly increase levels of dyspnoea in a patient with a considerable pre-existing symptom burden from comorbid conditions. Non-malignant effusions, in and of themselves, do not represent a significant mortality risk, but are the cause of substantial morbidity, the adequate treatment of which relies on identification of the underlying disease.
Treatment of underlying aetiology
Treatment targeted at the underlying cause for pleural effusion accumulation is crucial. Such treatment may attenuate or lead to complete resolution of the effusion. Additionally, in many cases such treatment may alleviate symptoms or improve prognosis independently of the pleural effusion.
It is beyond the scope of this article to address the direct treatment of all potential pathologies that lead to pleural effusions; therefore, the focus here will be on direct treatment of the effusion itself. In substantial numbers of patients, direct intervention either to remove pleural fluid or to prevent its accumulation may be required.
Targeted pleural fluid management
Pleural fluid aspiration may be required prior to definitively establishing an aetiology, and in other patients is a consideration after a diagnosis has been confirmed. In a small number of patients, despite best efforts, it may not be possible to reach a clear diagnosis and in others it may be that treatment targeted at addressing symptoms may be a pragmatic approach preferred over and above ongoing and potentially more invasive investigations, particularly in patients with a poor prognosis.
Interestingly, the removal of pleural fluid appears to result in an improvement in breathlessness not mirrored directly by the degree of improvement in gas exchange [55].
The management options used for patients with non-malignant pleural effusions are closely aligned to those used in patients with malignant disease, in whom the evidence base for the spectrum of available treatments is frequently stronger.
Some non-malignant pleural effusion may require observation alone. Small and asymptomatic pleural effusions occurring shortly after cardiac surgery for instance may well resolve spontaneously and any non-malignant effusion reaching a steady state without causing symptoms should not require intervention.
Therapeutic aspiration
Therapeutic aspiration fulfils an important role in the management of any pleural effusion. At the time of obtaining a pleural fluid sample for diagnostic purposes, a substantial volume may be removed for therapeutic purposes. This should improve patient symptoms during the period in which diagnostic evaluation may occur, allows evaluation of the speed of fluid build-up, provides evidence of the degree of symptomatic improvement that can be gained through removal of fluid, and clarifies whether there is any evidence of trapped lung which may direct future management.
In some patients, therapeutic aspiration may represent a legitimate therapeutic option in the long term. Depending on the speed at which fluid re-accumulates, therapeutic aspirations may only be required at a frequency acceptable to both clinicians and patients. The downside to this approach is that symptoms may progressively worsen while fluid accumulates. As this strategy may be administered as an outpatient and with non-specialist equipment, it has little financial cost over and above that of the patient and clinician’s time. However, the cumulative risk of bleeding and the introduction of infection during repeated procedures should be considered.
Though the risk of trapped lung developing in patients requiring repeated therapeutic aspirations is uncertain, the possibility of the visceral pleura becoming thickened over time as it is chronically bathed in pleural fluid is a potential disadvantage of this approach.
In malignant pleural effusions, a maximal volume of aspiration of 1.5 L is advised [4]. Though the risk of re-expansion pulmonary oedema is low, caution should be advised when considering larger volume aspirations and the mechanism causing re-expansion oedema also applies in non-malignant effusions. Some authorities recommend the use of manometry as a guide to predict the appropriate volume to remove [56]. In the absence of manometry then an appropriate strategy may be to aspirate only 1.5 L on a single occasion, though if the patient experiences no symptoms such as cough or chest pain, it may be reasonable to cautiously aspirate more than this volume on a case-by-case basis.
Indwelling pleural catheters
The PleurX catheter (CareFusion, Vernon Hills, IL, USA) was approved by US Food and Drug Administration in 1997 for the management of malignant pleural effusions [57]. Since 2001, the license has extended to additionally apply to non-malignant pleural effusions [58].
Indwelling pleural catheter use in malignant pleural effusions. Increasing evidence is now available supporting the safe use of indwelling pleural catheters in malignant pleural disease, which allows outpatient-based treatment. Use of indwelling pleural catheters in malignant disease is considered to be cost-effective compared with talc pleurodesis (which necessitates an inpatient stay), though this is dependent on expected prognosis [59, 60].
The use of indwelling pleural catheters in non-malignant effusions is not as well supported by available evidence and a lack of familiarity with indwelling pleural catheters amongst the multidisciplinary team involved in the care of these patients may contribute to their use not being as widespread.
Whether indwelling pleural catheters are cost-effective in non-malignant disease has not yet been established and neither has the question of which patients with non-malignant effusions are likely to benefit most.
There are a number of observational studies reporting on the use of indwelling pleural catheters in non-malignant disease, with the majority of studies including a range of patient groups rather than specific disease groups in isolation. Complication rates associated with the use of indwelling pleural catheters in non-malignant effusions appear similar to those seen in patients with malignant disease [34, 61]. A review of available literature including 377 patients included in observational studies consisted of a varied case mix, with largest contributions being those patients with congestive cardiac failure (40%), hepatic hydrothorax (17%) or idiopathic pleuritis (15%). The most common complications were empyema or drain site infection which occurred in 5.2% and 2.9%, respectively [61].
Pleurodesis may occur in patients treated with an indwelling pleural catheter without this being the express purpose (figure 3). Often described as a “spontaneous” pleurodesis, this process occurs in around one-third of patients with non-malignant effusions treated with an indwelling pleural catheter. The rate of pleurodesis appears variable and dependent on the cause. The rate of spontaneous pleurodesis appears to be particularly low in hepatic hydrothoraces [34].
FIGURE 3
Chest radiographs of a patient with a transudative pleural effusion due to biopsy confirmed systemic amyloidosis causing nephrotic syndrome. a) At presentation with right-sided pleural effusion. b) Recurrent pleural effusion following attempted talc pleurodesis which was performed due to frequent requirement for pleural aspiration. c) 6 months after placement of an indwelling pleural catheter. At this point a reduction in the volume of fluid drained indicated a “spontaneous” pleurodesis and allowed drain removal.
The use of indwelling pleural catheters in non-malignant effusions is the subject of a UK-based randomised controlled trial (REDUCE), recruitment to which is ongoing (www.isrctn.co.uk ISRCTN66354436). This study involves patients with symptomatic pleural effusions with heart failure or liver failure which persist despite optimised treatment being randomised to either treatment with an indwelling pleural catheter or therapeutic pleural aspirations as required. This study should, upon completion, provide robust data regarding the risks and benefits and cost-effectiveness of indwelling pleural catheters in this population.
Pleurodesis
Pleurodesis is a long established, safe and effective technique validated in patients with malignant effusion. As with the other techniques, there is less evidence to support its use in non-malignant effusions. A wide array of pleurodesis agents have been used in non-malignant effusions, though talc is the best described. Talc may be delivered via a chest drain (as a slurry) or at thoracoscopy (as poudrage).
There are historical concerns regarding talc containing traces of asbestos and reports of acute respiratory distress syndrome associated with the use of non-graded talc, which may be pertinent in patients with non-malignant disease. However, the use of contemporary French-graded talc allows these risks to be mitigated [62]. Pleurodesis with ungraded talc with small particles (<10 µM) has been shown to be associated with significantly greater levels of systemic inflammation and poorer gas exchange than graded talc in which these small particles are removed [63].
A large retrospective study of 611 patients which evaluated the success of talc pleurodesis via chest drain reported a success rate of 77% in the 68 patients with non-malignant causes. This study, however, did exclude patients undergoing more than one attempt at pleurodesis and the specific aetiologies amongst the included non-malignant effusions is not clear [64].
Glazer et al. [65] reported a success rate of 75% with talc pleurodesis in 16 non-malignant effusions of varying aetiology. A similar success rate of 80% was reported by Sudduth et al. [66] using a range of pleurodesis agents in 25 effusions with non-malignant cause.
There is evidence from a small case series suggesting that the use of talc pleurodesis for patients with hepatic hydrothorax is of considerable risk; the peri-procedure mortality is reported at 45.5% [67]. It is unclear to what extent this result may be explained by an extremely comorbid patient population.
In patients with hepatic hydrothorax undergoing talc poudrage at thoracoscopy a success rate of only 47.6% was reported in a small case series of 21 procedures in 18 patients [68]. As was the case in patients with hepatic hydrothorax receiving talc slurry pleurodesis via a chest tube, there were high rates of mortality (38.9% mortality during the 3 month follow-up) as well as considerable morbidity and long inpatient hospital stays.
Pleural-peritoneal and pleuro-venous shunts
Pleuro-peritoneal or pleuro-venous shunting of pleural fluid from the pleural space is a conceptually attractive idea. A case series of 12 patients with non-malignant effusions treated with a shunt from the pleural space to the subclavian or jugular vein reported promising results. The devices used consisted of a Denver Shunt with an external manual pump and all devices remained patent other than in one patient who experienced shunt occlusion at 4 weeks [69]. No air embolism was reported in this study, though this mechanism would result in a pneumothorax or pneumothorax ex vacuo thus becoming a life-threatening complication. Pleuro-venous shunting would mitigate against the protein and volume loss related to external drainage of fluid, which hepatic hydrothorax patients may be particularly susceptible to.
Pleuro-peritoneal devices have been used successfully with evidence of effective symptomatic relief in both malignant and non-malignant pleural effusions though are typically contraindicated in patients with ascites [70–72].
In view of the pressure difference between the pleural and peritoneal space a pump is required to achieve flow, and devices used have incorporated a unidirectional valve.
Surgical techniques
The frailty and comorbidity of some patients with non-malignant pleural effusion may act as a deterrent against some more invasive techniques, but surgical pleurectomy may be an appropriate option in some patients with a persistent effusion if less invasive techniques have been attempted and failed, or are otherwise contraindicated.
PE (Pleural Effusion) – St Vincent’s Lung Health
A pleural effusion is an excess amount of fluid around the lungs.
What is a pleural effusion?
What are the causes of a pleural effusion?
What are the signs and symptoms of a pleural effusion?
What are the possible tests to detect a pleural effusion?
What are the possible procedures and treatments for a pleural effusion?
What is the future plan if you have a pleural effusion?
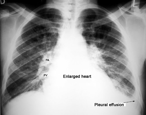
What is a pleural effusion?
Everyone has a small amount of fluid between the lung and the chest wall (the pleural space).
Sometimes, the healthy balance of this fluid can be disturbed. A pleural effusion is when your lungs are releasing (secreting) too much fluid and not reabsorbing enough.
Excess fluid can compress the lungs, causing shortness of breath.
The image below shows a pleural effusion. (Click image to enlarge)
There are two types of pleural effusions: transudative and exudative.
- Exudative pleural effusion – caused by inflammatory conditions such as lung infections or tumours; this type of pleural effusion tends to be more challenging to treat as it is more serious than a transudative pleural effusion
- Transudative pleural effusion – fluid leaks into the pleural space; this type of pleural effusion is usually a result of conditions such heart failure or cirrhosis of the liver.

What are the causes of a pleural effusion?
There are many causes of a pleural effusion. Depending on the cause, your doctor will determine the treatment option. Common causes include:
- Autoimmune disorders – rheumatoid arthritis or lupus can cause pleural effusions
- Cancer – lung cancer as well as other cancers that have spread to the lung can also result in a pleural effusion
- Cirrhosis of the liver – when severe scarring has occurs in the liver due to long term exposure to certain substances such as alcohol, the liver’s function is severely impaired, resulting in a build-up of fluid in the pleural space
- Congestive heart failure (CHF) – the most common cause of a pleural effusion, CHF occurs as a result of poor heart function and a decreased ability for the heart to pump blood effectively
- Infections – some diseases caused by viruses or bacteria such as pneumonia or tuberculosis can also lead to a pleural effusion
- Previous surgery – a pleural effusion is reasonably common after either heart surgery (often Coronary Artery Bypass Grafting or LVAD implantation) or any lung surgery in that side of the chest
- Pulmonary embolism – a blood clot causes a blockage in one of the lungs, which can result in a pleural effusion as a result of poor lung function.
What are the signs and symptoms of a pleural effusion?
Symptoms of a pleural effusion can be different for everyone. Larger-sized pleural effusions are more likely to show symptoms, which can include:
- A cough
- Chest pain, particularly when taking a deep breath (also known as pleuritic pain or pleurisy)
- Difficulty catching your breath
- High temperature
- Trouble breathing when lying down.

What are the possible tests to detect a pleural effusion?
To confirm a pleural effusion, your doctor will do a physical examination, as well as ask about your symptoms and order tests, such as:
- Chest X-ray – pleural effusions will show up as a white mass on X-rays, while air space looks black; if your doctor suspects a pleural effusion is likely, he may request further X-rays to determine if the fluid in the pleural space moves freely
- Chest ultrasound – a probe is used to generate images of the chest; an ultrasound can also provide a detailed location of where the fluid is in the pleural space to obtain a sample for testing
- Computed tomography (CT scan) – a CT scan provides a more detailed picture of the chest compared with a chest X-ray, as it builds images of both the inside and outside of the chest
- Thoracentesis – your doctor inserts a needle into the pleural space to test a sample of the fluid.
What are the possible procedures and treatments for a pleural effusion?
The cause of the pleural effusion will determine the treatment option.
For example, if pneumonia is the cause, then a course of antibiotics will be required. If congestive heart failure is the cause, diuretics (which increase your production of urine) may be prescribed.
Other procedures and treatments include:
- Chest drainage – where a small cut to be made in the chest and a small plastic tube is inserted into the pleural space to help drain fluid. This treatment is beneficial for large, inflamed or infected pleural effusions
- Non-steroidal anti-inflammatory drugs (NSAIDs) – medications that help reduce swelling, fever and pain
- Pleurodesis – keyhole surgery, performed through a 1.5cm incision. The fluid is suctioned out of the chest, and talc powder is sprayed into the chest space to get the lung to stick to the chest wall so that the fluid can’t re-accumulate.

What is the future plan if you have a pleural effusion?
The type, cause and size of your pleural effusion will determine the length of your hospital stay and recovery time.
It is common to feel tired and weak in the first week after leaving hospital. You may require ongoing care and medical check-ups once you are home.
Here are some extra tips to help your body recover after a pleural effusion:
- Continue to take your medications as prescribed – talk with your doctor about pain medications that contain acetaminophen, as this can cause liver damage
- Don’t smoke or breathe in second-hand smoke – this increases your risk for lung infections and can make it difficult for you to breathe
- Practice breathing exercises – deep breathing and coughing help decrease the risk for lung infections and open your airways. Breathe deeply in, holding it for as long as possible, then let the air out, coughing at the end.
Contact your medical team, at any time, if you are concerned or notice the following symptoms:
- A bluish tinge to your lips or fingernails
- Cough up bloody mucus, or mucus that is yellow, green or grey
- Constant pain, or pain that gets worse
- Difficulty breathing
- Feeling faint or dizzy, and cannot concentrate
- High temperature.
Pleural Effusion. What is pleural Effusion? Symptoms and info.
What is a pleural effusion?
A pleural effusion means that there is a build-up of fluid between a lung and the chest wall.
The pleura is a thin membrane that lines the inside of the chest wall and covers the lungs. There is normally a tiny amount of fluid between the two layers of pleura. This acts like lubricating oil between the lungs and the chest wall as they move when you breathe. A pleural effusion develops when this fluid builds up and separates the lung from the chest wall.
What are the causes of a pleural effusion?
A pleural effusion is a complication of various conditions. The following are some of the more common causes of a pleural effusion (but there are other rarer causes too):
- Lung infection (pneumonia), tuberculosis, and cancers may cause inflammation of the lung and pleura. This may cause fluid to build up into a pleural effusion.
- Some arthritic conditions may cause inflammation of the pleura in addition to joint inflammation. For example, pleural effusion is an uncommon complication of rheumatoid arthritis and systemic lupus erythematosis (SLE).
- Heart failure causes ‘back pressure’ in the veins (blood vessels) that take blood back to the heart. Some fluid may seep out of the blood vessels. Swelling of the legs with fluid is typical with heart failure, but a pleural effusion may also develop.
- A low level of protein in the blood also tends to allow fluid to seep out of the blood vessels. For example, cirrhosis of the liver and some kidney diseases may cause a low level of blood protein which allows a pleural effusion to develop.
What are the symptoms?
You may feel some chest pain but a pleural effusion is often painless. The amount of fluid varies. As the effusion becomes larger, it presses on the lung, which cannot expand fully when you breathe. You may then become breathless.
You may also have symptoms of the condition that is causing the effusion. As a whole range of conditions can cause a pleural effusion, there is a large range of other symptoms that may occur, depending on the underlying cause. One example is you may have a cough and a high temperature (fever) if the cause is lung infection (pneumonia).
Are any tests needed?
A chest X-ray usually confirms a build-up of fluid between a lung and the chest wall (pleural effusion). If the cause of the effusion is known then no further tests may be needed. However, sometimes a pleural effusion is the first sign of an underlying condition.
Further tests may then be advised to find the cause of the effusion. These may include lung tests, blood tests and taking a sample of the fluid and pleura to examine in the laboratory.
What is the treatment for a pleural effusion?
Treating the underlying cause
A major part of treatment is usually directed to the underlying cause of the build-up of fluid between the lung and the chest wall (pleural effusion). For example, medicines called antibiotics for lung infection (pneumonia), chemotherapy or radiotherapy for cancers, etc. Therefore, treatment can vary greatly, depending on the cause of the effusion. If the underlying cause can be successfully treated then there is a good chance that the pleural effusion will go away for good. If the underlying cause cannot be treated, or can only be partially treated, the effusion may return if it is cleared (drained).
Treating the effusion itself
Small effusions that cause no symptoms, or only mild symptoms, may just be left and ‘observed’. Treatment is usually only needed if the effusion causes symptoms such as breathlessness.
A large pleural effusion that makes you breathless can be drained. This is called a pleural fluid aspiration or pleural tap. It is usually done by inserting a needle or tube through the chest wall. A local anaesthetic is injected into the skin and chest wall first to make the procedure painless. This may be a ‘one-off’ procedure to relieve symptoms.
However, in many cases, unless the underlying cause can be treated, an effusion is likely to return within a few weeks. Repeated draining of the fluid, when symptoms become troublesome, is one option.
Depending on the underlying cause, other treatment options that are sometimes considered include:
- Pleurodesis. In this procedure, a special chemical (a sclerosant) is injected into the pleural space. This causes inflammation of the pleural membranes and helps them to ‘stick’ together.
This helps to prevent fluid building up again into an effusion. Sclerosing chemicals that are commonly used include tetracycline, sterile talc and bleomycin. Pleurodesis is most often used in the treatment of repeated (recurrent) effusions caused by cancer. - Leaving a permanent drain in place so the fluid can drain out as and when it forms.
- An operation to insert a shunt (like an internal drain) to allow the fluid to drain out from the chest into the tummy (abdominal) cavity. This is called a ‘pleuroperitoneal shunt’. It is only occasionally used.
- Pleurectomy. This is an operation to remove the pleura. It is sometimes used in people with effusions due to cancer when other treatment options have failed.
90,000 Pleurisy: Symptoms, Diagnosis and Treatment
Human lungs are located in the chest cavity. Outside, they are covered with pleura. The pleura is the serous membrane that lines the inner layer of the chest cavity and envelops both lungs. The basis of the pleura is made up of mesothelial cells.
Pleurisy – an inflammatory disease of the pleural layers, which is characterized by the deposition of fibrin on their surface (fibrinous or dry pleurisy), or the accumulation of fluid in the pleural cavity (exudative pleurisy).
This disease is very common. This is the most commonly diagnosed lung pathology. Pleurisy accounts for 5-15% in the general structure of the morbidity of the population.
Reasons
Pleurisy is a disease that in the overwhelming majority of cases develops on the basis of any existing pathology. The most common cause of the development of an inflammatory reaction in the pleural cavity is various infections. Pleurisy often occurs against the background of systemic diseases, tumors, and injuries.
Some authors refer to pleurisy and cases of pleural effusion without an obvious presence of an inflammatory response.
This situation is not entirely correct, since pleurisy is an ailment that involves an obligatory inflammatory component.
The following causes of pleurisy are distinguished:
- pleural infection;
- tuberculosis;
- allergic inflammatory reaction;
- autoimmune and systemic diseases;
- chest trauma;
- exposure to ionizing radiation;
- effects of pancreatic enzymes;
- primary and metastatic tumors of the pleura.
90,019 exposure to chemicals;
Symptoms
Clinic for dry pleurisy is characterized by stitching pains in the chest, aggravated by coughing, breathing and movement. The patient is forced to take a position lying on the sore side to limit the mobility of the chest. Breathing is shallow, gentle, the affected half of the chest lags noticeably behind during respiratory movements. Body temperature sometimes rises to subfebrile values, the course of pleurisy may be accompanied by chills, night sweats, weakness.
Diaphragmatic dry pleurisy has a specific clinic: pain in the hypochondrium, chest and abdominal cavity, flatulence, hiccups, tension of the abdominal muscles.
The beginning of exudative pleurisy is accompanied by a dull pain in the affected side, a painful dry cough reflexively arising, a lag in the corresponding half of the chest in breathing, pleural friction noise. As the exudate accumulates, the pain is replaced by a feeling of heaviness in the side, increasing shortness of breath. For exudative pleurisy, general symptoms are characteristic: weakness, febrile body temperature, loss of appetite, sweating.
Diagnostics
An external examination by a doctor is very important for the diagnosis of pleurisy and determination of its nature. With auscultation (listening to the lungs in different phases of breathing with a stethoscope), a pleural friction noise can be detected, which is specific for fibrinous pleurisy, with exudative pleurisy during percussion (tapping a certain area to identify characteristic sound phenomena), a dullness of the percussion sound over the effusion zone is noted.
Thus, it is possible to determine the spread of exudate in the pleural cavity.
In general and biochemical blood tests, nonspecific inflammatory changes are noted: acceleration of ESR, increase in the number of leukocytes; the appearance or increase in the concentration of inflammatory proteins.
Instrumental methods (ultrasound, radiography) play a significant role in the diagnosis of pleurisy, as they allow you to see the affected area and determine the nature of the inflammatory process.
Treatment
Treatment is determined by the form of pleurisy. Treatment of an infectious type of pleural inflammation involves the use of antibiotics and other antimicrobial agents, diuretics, pain relievers.In the case of exudative inflammation, physiotherapy and physiotherapy exercises can be used, but only after the effusion has resolved. If the cause of the inflammation of the pleura is pulmonary tuberculosis, anti-tuberculosis drugs are prescribed.
Treatment involves the use of symptomatic agents. If there are pleural fibrinous overlays (dry pleurisy), the patient should be provided with complete rest. In case of cough, antitussives are prescribed. Treatment often includes the setting of cans, mustard plasters, the use of anti-inflammatory drugs, and breathing exercises.
Pleural puncture may be required if there is a large accumulation of fluid.
Nutrition for pleurisy should be complete and meet physiological needs. It is required to include in the diet more foods rich in vitamins. A pleurisy diet involves limiting the intake of carbohydrates and salt. It is also required to reduce the volume of liquid drunk to 500-600 ml. As for non-infectious pleurisy, its treatment involves the elimination of the underlying disease.If there is a tumor, chemotherapy may be given.
Page not found |
Page not found |
404.Page not found
Monthly archive
MonTueWedThuFtSaSun
12131415161718
19202122232425
2627282930
12
12
1
3031
12
15161718192021
25262728293031
123
45678910
12
17181920212223
31
2728293031
1
1234
567891011
12
891011121314
11121314151617
28293031
1234
12
12345
6789101112
567891011
12131415161718
19202122232425
3456789
17181920212223
24252627282930
12345
13141516171819
20212223242526
2728293031
15161718192021
22232425262728
2930
Archives
May
Jun
Jul
Aug
Sep
Oct
Nov
Dec
Tags
Settings
for visually impaired
Pleurisy | Medical center “President-Med”
Pleurisy is an inflammatory pathology that develops on the serous membrane of the lungs.Basically, an ailment occurs as a complication of many diseases of various body systems.
During the progression of inflammation, fluid can accumulate in the pleural cavity, this condition is called exudative pleurisy, if pus collects, then we are talking about a purulent type of ailment. Sometimes patients are diagnosed with a dry or fibrinous type of disease – this is when fibrin is debugged between the layers of the pleura.
Depending on the causes of development, there is a non-infectious and infectious pleurisy.The development of the first option is provoked by connective tissue diseases, pulmonary embolism, myocardial infarction, leukemia, pleural tumors, renal failure and other pathologies.
The root causes of pleurisy of an infectious nature:
- Pseudomonas aeruginosa, staphylococci, pneumococci and other nonspecific bacteria.
- Mycoplasma, parasitic and viral infections.
- Brucellosis, typhoid or typhus, tularemia, syphilis.
- Blastomycosis, candidiasis and other fungal infections.
- Tuberculosis.
Pathological microorganisms can enter the pleural cavity in various ways. In many patients, infection occurs through household contact or through blood. Direct penetration of bacteria and fungi occurs with injuries, as well as chest injuries.
Symptoms of pleurisy
The manifestation of pleurisy symptoms depends on the course of the pathological process, the cause of the development and the presence of exudate between the pleural layers.
Signs of exudative type of pathology:
- Dry cough.
- Shortness of breath, between the ribs the spaces of the skin may “bulge”.
- There is discomfort and heaviness in half of the chest.
- Chills, fever, weakness.
- Dull pains in the area of inflammation.
- Lagging of the affected area is observed during breathing.
With dry pleurisy, a stabbing pain may appear in the chest, which increases with sudden movements, coughing or deep inhalation.The patient has to constantly lie on his side, because when the position of the body changes, the pain sensations increase. In addition, when listening, a pleural friction noise is heard. Symptoms of general malaise of the body also appear: increased sweating, chills, weakness, etc.
The most severe symptoms appear with a purulent type of disease. The patient has a fever, body aches and severe chest pain. Tachycardia may also develop. In many patients, the skin becomes earthy or bluish, and there is a sharp weight loss.
Any of the types of pleurisy requires timely qualified treatment, because the pathology can acquire a chronic course and provoke the development of respiratory failure.
Diagnostics and treatment of pleurisy
Diagnosis of pleural inflammation begins with a survey and physical examination of the patient. The doctor will definitely prescribe a standard clinical blood test, a study of pleural effusion and a microbiological examination. Of the instrumental techniques, the patient will need to undergo an ultrasound of the pleural cavity, an X-ray examination of the lungs and others.
After the diagnosis has been clarified, and the root cause of the development of pleurisy has been identified, the doctor selects the most effective treatment option for the patient. The pathology caused by pneumonia is eliminated with antibiotics. Glucocorticosteroids and anti-inflammatory drugs are prescribed for rheumatic types of the disease.
During the elimination of the symptoms of pleurisy, cardiovascular and diuretic drugs, as well as analgesics, can be prescribed. If the effusion has resolved, exercise therapy and physiotherapy are recommended.
In severe cases, when a large amount of effusion accumulates in the pleural cavity, it is evacuated by drainage or pleural puncture. In the treatment of purulent pleurisy, the pleura is washed with antiseptic solutions. Therapy may include hydrocortisone, antibacterial agents, and enzymes. Medicines are administered intraprevally. Chronic forms of pathology are fought with the help of a surgical operation – pleurectomy.
For the diagnosis and treatment of pleurisy, contact the medical centers “President-Med” in Moscow (m.VDNKh and Kolomenskaya metro station) and in Vidnoye
Author: Mamunts Tsovinar Alekseevna
Chief Physician President-Med Vidnoye
Higher Medical, Perm State Medical Institute, Faculty of General Medicine, specialty-general medicine
Make an appointment with a doctor
CUSTOMER REVIEWS
Tatiana
Roman Evgenievich is a good, competent specialist.I am knowledgeable in medicine and I can completely trust the doctor. Thank you. […]
Svetlana
I express my gratitude to Roman Evgenievich Bachurin. The doctor performed an ultrasound of the abdominal cavity at the highest level, consulted on all issues of concern to me, showed problem areas on the monitor and recommended further actions. I was very pleased with the attitude of the doctor and his work. If necessary, I will contact him again. […]
90,000 Ascites and pleurisy
Ascites is an accumulation of non-inflammatory free fluid in the abdominal cavity.Owners often complain of an enlarged abdomen. Concomitant symptoms can be lethargy, lack of appetite, increased thirst, and fatigue during physical exertion. The most common causes of ascites are right heart failure, hepatic or renal failure, severe pancreatitis, large abdominal neoplasms, abnormal pregnancy, and in cats, ascites is also caused by such a fatal disease as feline infectious peritonitis.And also ascites can be considered as a manifestation of the general edema syndrome with alimentary dystrophy (hungry edema). The presence of ascites is diagnosed by physical examination, diagnostic puncture of the abdominal cavity, and ultrasound examination. The next step is to find out the cause of ascites. For this, blood samples are taken, an ultrasound of the abdominal cavity and a cardiac examination (chest X-ray, ECG and ECHOkg). The prognosis depends on the underlying disease, usually from cautious to unfavorable.Treatment is primarily directed at the underlying disease, and, as a rule, diuretics are prescribed, sometimes corticosteroids.
Ascites must be differentiated from inflammatory diseases of the peritoneum (peritonitis) due to infection or injury, bleeding in the abdominal cavity (hemoperitoneum).
Pleural effusion – pathological accumulation of free fluid of a non-inflammatory or inflammatory nature in the pleural cavity.The main causes are diseases such as inflammatory pleural diseases, chronic heart failure, chest metastases and primary tumors in the chest cavity, liver and kidney disease (due to protein loss), and feline infectious peritonitis. Symptoms are mixed shortness of breath (the owner usually complains of rapid breathing or that the animal breathes with the help of the abdominal muscles), cyanosis of the mucous membranes of the mouth and tongue, lack of appetite, lethargy, apathy, the owner may mention noisy breathing , cough.The presence of free fluid in the chest cavity is determined by auscultation (listening) of the chest cavity, diagnostic puncture and chest x-ray, and ultrasound can also determine the presence of free fluid in the chest cavity. The prognosis also depends on the underlying disease and is determined mainly from cautious to unfavorable. Also, a study of blood tests, ultrasound, cardiological examination is carried out to find out the causes of this condition. To facilitate breathing, pleurocentesis is performed – a puncture of the chest and removal of fluid, diuretics and corticosteroids are also prescribed.
90,000 LOW INVASIVE SURGICAL PROCEDURES IN DIAGNOSTIC ALGORITHM IN PLEURAL EXTRUSION SYNDROME OF UNCLEAR GENESIS (CLINICAL AND MORPHOLOGICAL COMPARISONS)
Introduction
Pleural effusion as a result of fluid accumulation in the pleural cavity is an urgent medical problem. There are a number of reasons for the development of this pathology, in particular, an increase in the permeability of the vascular bed of the pleural sheets, pulmonary capillary pressure, a decrease in negative intrapleural and oncotic pressure, obstruction of the lymphatic outflow tract, etc.(Maskell N.A., Butland R.J.A., 2003). Pleural effusion, as a rule, manifests a complication of any underlying disease, and the latter can be pulmonary, pleural or non-pulmonary (Maskell N.A., Butland R.J.A., 2003). Researchers report more than 80 different diseases that can cause the development of pleural effusion (Duzhiy I.D., 1997; Sokolov V.A. et al., 1998). Intrapleural fluid can be transudate or exudate (Sokolov V.A. et al., 1998).
Difficulties in the differential diagnosis of pleural effusion syndrome (SPV) are well known (Aliev M.A. et al., 1988; Duzhiy I.D., 1997; Sokolov V.A. et al., 1998). Firstly, at an early stage of any disease it is difficult to determine the presence of pleural fluid, especially when its amount is insignificant, and secondly, against the background of an expanded picture of PWS, the symptom complex of the main pathological process is “erased”. That is why in a significant number of patients the determination of the etiology of the diagnosis of the underlying disease lasts 3-4 months (Sokolov V.A. et al., 1998). Given these problems, a number of developed diagnostic algorithms for verifying the etiology of pleural effusion are currently presented (Aliev M.A. et al., 1988; Sadovnikov A.A., Panchenko K.I., 1996; Sokolov V.A. et al. , 1998; Taganovich S.A., Vasilevsky A.G., 2002; Maskell NA, Butland RJA, 2003) in the most optimal mode. Their overall performance and effectiveness levels are close. In the clinic of thoracic surgery of the Institute of Phthisiology and Pulmonology named after F.G. Yanovsky Academy of Medical Sciences of Ukraine (Kiev) also developed and used a diagnostic algorithm with the analysis of the final results of differential diagnosis of effusion of various origins.
The purpose of our study is a comparative analysis of the diagnostic information content of some minimally invasive surgical procedures with subsequent cytohistological examination of the material obtained in the general scheme of the diagnostic algorithm for establishing the etiology of pleural effusion of unknown origin.
object and research methods
For the analysis and adequate comparison of the data obtained, all medical records of patients for 2003 were selected who were diagnosed and treated for PWS in the clinic, namely, any minimally invasive surgical procedures: pleural puncture (PP), transthoracic (percutaneous) closed puncture biopsy of the parietal pleura (PPP), thoracoscopy with pleural biopsy (TC).All data obtained during surgical procedures performed in these patients were analyzed in order to clarify the nature of the occurrence of pleural effusion. Their general characteristics are given in table. 1 (based on final clinical diagnoses).
Materials of cytological, histological, microbiological studies of intrapleural fluid punctures, as well as pleural biopsy material were studied. A separate and general (cumulative) comparison of the results of each type of research with the final clinical diagnosis was carried out.
The presence of PWS of unknown origin was examined in 113 (67 (59.3%) men and 46 (40.7%) women) patients. In patients who, upon admission to the clinic, were diagnosed with pleurisy of unknown etiology, the diagnosis was carried out according to the algorithm, the standard scheme of which is presented below (scheme).
Scheme. Standard diagnostic algorithm for PWS of unknown etiology
According to the diagnostic algorithm used and the adequate complex of therapeutic measures, the following final clinical diagnoses were established: in 33 (29.2%) patients – tuberculous pleurisy; 1 (0.9%) – syphilitic pleurisy, confirmed by serological blood tests; in 47 (41.6%), the nonspecific nature of pleural effusion was finally verified; in 32 (28.3%) patients – malignant pleurisy, among them only 3 (9.4%) – against the background of primary pleural tumors (mesothelioma), and in 29 (90.6%) patients the metastatic nature of effusion was determined.
It can be noted that in the clinical picture of almost all patients with PWS, symptoms of the same type were noted, such as general weakness, increased fatigue, shortness of breath with little physical exertion, a periodic increase in body temperature, a feeling of heaviness or pain in the area of pleural fluid accumulation. That is, it was not possible to judge the cause of the development of pleural effusion by clinical symptoms.
Percutaneous PBP was performed using Cope or Abrams needles under local anesthesia.In 12 patients, PBS was first performed sequentially, followed by diagnostic TS with pleural biopsy. As a rule, such a scheme for examining patients was due to the low or uninformative value of the material of the first biopsy (especially with non-specific pleurisy and malignant effusions). In 7 patients, PBP and TS of the affected hemithorax were also sequentially performed; as a result, pleurisy of tuberculous etiology was established. The performance of both procedures in these patients was due to the study of the diagnostic effectiveness of various surgical methods of sampling pleural biopsy (in the case of the patient’s written consent).In 3 patients, PBP was performed 2 times. Two of them were elderly with a small volume of pleural fluid and a history of cardiac pathology, that is, among the minimally invasive surgical procedures, they were shown exactly PBP. During the first PBP, uninformative material was obtained, the second data obtained helped to establish the development of reactive pleurisy of a cardiogenic nature in both cases. The third patient – a 69-year-old man – was diagnosed with bilateral pleurisy, so the medical council decided to clarify the nature of pleural effusion in each pleural cavity.In both cases of PBP, informative material was obtained with direct morphological signs of bilateral metastatic lesions of the pleura.
Results and discussion
In 47 patients – 34 men aged 20–72 years (on average – 51.8 years) and 13 women aged 22–82 years (on average – 48.3 years), the final diagnosis of pleurisy of a nonspecific nature was established. Pleurisy of a specific nature (tuberculous and syphilitic) was diagnosed in 34 patients: 18 men aged 18–52 years (average 30.78 years) and 16 women aged 19–47 years (average 29.8 years).Malignant (tumor) pleurisy was diagnosed in 32 patients: in 15 men aged 46 to 72 years (on average – 55.6 years) and in 17 women aged 31–75 years (on average – 60.1 years). It should be noted that when comparing the data of subgroups of patients on the etiology of pleural effusion, taking into account the age of patients, according to the Student’s criterion for unrelated populations, the same type of relationship was revealed between subgroups by the origin of pleurisy in both men and women. Thus, age is a statistically significant sign in men (p <0.001) in cases of the development of specific pleurisy compared to pleurisy of any other nature, but this factor cannot be taken into account in the differential diagnosis of malignant pleurisy and pleurisy of a nonspecific nature.This conclusion is valid for males and females, only with a difference in the level of reliability (p <0.005 for females). In addition, a comparison of the indicators obtained by us in the proportion of cases of pleurisy of different origin with those in other samples (Taganovich S.A., Vasilevsky A.G., 2002; Ilnitsky R.I. et al., 2004) indicates that the proportion of pleurisy of one nature is very different in different studies and does not allow us to reliably judge the prevalence of SPV of a certain genesis.
Results of cytological examination of pleural fluid and materials of PBP and TS
The material of 37 (78.7%) patients with nonspecific pleurisy was analyzed, the cellular composition of pleural fluid obtained at PN was examined in all patients, and approximately 1 / 3 were performed with PBP or TS. The smears were characterized by the presence of a few lymphocytes (0-10 in the field of view), often several cells of the mesothelium were found, sometimes in a state of hyperplasia and moderate proliferation (0-5-10 in the field of view) – there may be a small number of eosinophilic granulocytes (0- 5 in the field of view).Neutrophilic granulocytes were often found, and their number in one field of view could reach 50–70. In the case of a vessel injury during medical manipulation, sometimes in smears, erythrocytes covered the entire field of view or were present in a significant amount (more than 70 in one field of view). In 2 cases, the material was presented by detritus, in one – by fibrin, and in one case, candidiasis was determined. It is quite indicative that in the case of nonspecific pleurisy, cytological smears contained practically the same qualitative and quantitative composition of cells, regardless of the material – pleural exudate or pleural biopsy.
Of 23 (71.9%) patients with tumor pleurisy, cytologically, the presence of single or clusters of tumor cells was established only in 9 (39.1%). Among them, the correct diagnosis was established in 5 cases on the basis of the PN material and in 4 cases – on the prints of the pleural biopsy material obtained during TS. In 14 (60.9%) patients, the cytological material was uninformative, the cytological picture was determined, which, in terms of the qualitative and quantitative composition of the cells, was most consistent with that in nonspecific pleurisy.In cytological preparations, coccal flora was clearly defined in 2 of them.
Of 27 (81.8%) patients with pleurisy of tuberculous etiology, the correct diagnosis based on the results of cytological examination was established in 15 (55.6%) puncture biopsy of an enlarged regional lymph node. According to the data of pleural fluid puncture, in 13 (48.1%) patients, a tuberculous etiology of effusion was assumed based on the dynamics of the number of lymphocytes in cytological preparations.In 11 of them, the diagnosis of tuberculosis was subsequently confirmed by cytological imprints of pleural biopsies (excluding the histological examination of pleural biopsies). Often in cytological preparations classified as uninformative, only detritus was determined. An assessment of the diagnostic efficiency (sensitivity, specificity and effectiveness) of this research method is presented in table. 2. Calculations of indicators were made according to standard formulas (Galakhin K.O., 2000; Mardanyan S.S.et al., 2002).
It should be noted that, despite numerous publications on the diagnostic value of establishing the nature of pleural fluid – it is a transudate or exudate – in recent years there have been reports (Sadovnikov A.A., Panchenko K.I. 1996; Taganovich S.A., Vasilevsky A.G., 2002) about the lack of reliable significance of this feature for elucidating the etiology of the pathological process. In particular, S.A. Taganovich and A.G. Vasilevsky (2002) presented data that in 14% of patients with tuberculous pleurisy, in 20% with pleural carcinomatosis and in 18% with nonspecific pleurisy (the group of patients with pleurisy was 88 people), the pleural fluid had a transudate character.
Results of microbiological examination of pleural exudate
and materials of PBP and TS
A microbiological examination of all pleural fluid samples obtained at PN was performed, sometimes pleural biopsies were examined, as well as sputum discharge from patients with cough.
As a result of the analysis of the obtained data of microbiological culture in patients with nonspecific or malignant pleurisy, the growth of microorganisms in the pleural exudate was not detected.
If patients have tuberculous pleurisy, 6 (18.2%) of them have colonies of mycobacterium tuberculosis (3 – according to the results of sputum culture, 3 – pleural exudate). In addition, in 4 (11.8%) of 34 patients with specific pleurisy, a significant amount of nonspecific flora was found in sputum (Candida , Streptococcus , etc.). The results of similar studies (Taganovich S.A., Vasilevsky A.G., 2002) indicate that in 15% of patients with PWS of various nature, nonspecific microflora was found during inoculation of pleural fluid, and only in 1 in pleural exudate M.tuberculosis . That is, the effectiveness of a microbiological study, which is similar in level, is obvious in patients with PWV of unclear genesis in different pulmonological clinics.
Results of histological examination of pleural biopsy specimens obtained with PBP and TS
Histological examination of pleural biopsies in case of nonspecific pleurisy development showed the correct diagnosis based on the results of 19 out of 21 cases of TS and 28 out of 34 PBP (see Table 2). In 1 case of TS and 4 PBPs, the material obtained was uninformative due to technical errors during biopsy sampling (there was practically no pleural tissue).As a rule, in histological preparations, a thickening of the parietal pleura was determined due to the presence of focal inflammatory cell clusters or foci of fibrosis of varying degrees of maturity (more often in a chronic inflammatory process). Often, necrobiotic changes, focal hyperplasia and / or proliferation of the mesothelial cell layer were determined. Characteristic are the proliferation of granulation tissue of varying degrees of maturity, the most typical morphological feature of which is enhanced angiogenesis.
Among 55 patients with nonspecific pleurisy, 3 (5.5%) of them had false positive diagnoses regarding the neoplastic nature of pleurisy. The reason for these conclusions was a picture of focal atypia of cells or a pronounced proliferation (reactivity) of the mesothelial layer of cells, which is normally a monolayer.
In the case of tuberculous pleurisy, the correct diagnosis was made by examining 22 out of 23 pleural biopsies obtained with TS and 15 out of 18 PBPs.In 4 cases, the material was uninformative. In almost all cases of pleural biopsies with sufficient fragments of the parietal pleura, a pronounced granulomatous process, typical tuberculous granulomas formed by lymphoid and epithelioid cells, with the presence of multiple Pirogov-Langhans cells and the development of centrally located caseous necrosis were determined. Granulomas were rarely detected, but the diagnosis was supported by the presence of large areas of caseous necrosis, Pirogov-Langhans cells, or focal accumulations of lymphocytes in one biopsy specimen.
Among 32 patients with malignant pleurisy, the correct histological diagnosis was established based on the results of 18 out of 19 TS performed and 17 out of 21 PBP. In 5 cases, the material turned out to be uninformative in relation to the true nature of pleurisy for two reasons – either in the presence of a very meager fragment of the pleura itself in the biopsy specimen (PBP – 2 cases), or only areas of the parietal pleura with morphological signs of a nonspecific inflammatory process. The correct diagnosis was established in the presence of metastases in the pleural tissue (nodes – proliferation of tumor tissue) or in the superficial accumulation of groups of atypical cells, or the accumulation of tumor cells in layers on the pleura (in pleural adhesions).
The results of our histological studies of pleural biopsies obtained both with PBP and with TS fully correlate with those in terms of the overall level of effectiveness, as well as the parameters of sensitivity and effectiveness in modern studies of this kind (Sokolov V.A. et al., 1998; Colt HG, 1999; Taganovich S.A., Vasilevsky A.G., 2002; Maskell NA, Butland RJA, 2003).
Analysis of the visual picture of the pleural cavity when performing TS in case of pleurisy of different etiology
Performing TS in case of pleurisy of non-specific etiology. During manipulation, intrapleural fluid of a different nature was aspirated from the pleural cavity – it could be serous, serous-hemorrhagic (in case of accidental vascular injury) or turbid. In the presence of a significant volume of fluid, the lung was usually collapsed. Adhesions are possible, with varying degrees of severity (up to the detection of a completely sealed cavity. Almost always, fibrin plaque was recorded – both on the costal (focal or diffuse) and on the visceral pleura.Characterized by hyperemia and inflammation of the costal pleura, moderate thickening of the pleura (especially with prolonged chronic pleurisy). The visceral pleura may not be visually altered (according to the results of 50% TS) or an inflammatory process may also be noted. As a rule, the intercostal spaces are poorly or not at all differentiated. In addition, in some cases (in our study, in 3 patients), single or multiple whitish tubercles can be visualized.
With tumor pleurisy , as a rule, a significant (3 liters or more) amount of fluid is aspirated, and the lung is in a significantly collapsed state.The fluid can be cloudy, serous, hemorrhagic. A characteristic feature is an adhesive process, a dirty gray plaque, mainly on the parietal pleura. If the plaque is carefully removed, a hyperemic pleura is determined, often with signs of inflammation. A pathognomonic feature in the case of pleurisy of a malignant nature is the visual detection of single or multiple rashes of different sizes, shapes and colors. The sizes of the formations vary considerably – from 1–3 mm in diameter to 3–5 cm, and quite often by the type of growth they resemble cauliflower.Formations are whitish, pinkish (with a visually defined dense capillary network), yellowish. They are found both on the costal and on the visceral pleura. As a rule, they are located unevenly along the pleural sheets, and are grouped either in the upper part of the chest, or in the lower parts of the pleura with the involvement of its diaphragmatic part. A typical picture is the detection of confluent formations. Nevertheless, it should be noted that the formations on the pleura do not always occur, which does not exclude the presence of malignant pleurisy in the patient.
With pleurisy of tuberculous etiology very often, although also not always, during TS, the adhesion process is determined. The formation of loose cord-like and wide leaf-like, sail-like translucent adhesions is characteristic of tuberculous inflammation. A straw-yellow serous fluid is aspirated from the cavity, sometimes it can be hemorrhagic. The most characteristic feature is fibrin plaque, and quite thick, whitish-grayish in color). Intercostal spaces are not differentiated.The costal pleura can be sharply hyperemic or, conversely, be dull, pale, whitish in color. The visceral pleura may not visually change, and may also be inflamed. A characteristic of the tuberculous process is the detection of few or multiple whitish millet-like rashes, slightly rising above the pleura, up to 1-3 mm in diameter. Sometimes they merge. Such formations are more often noted on the parietal pleura, but they are often formed on the visceral pleura.
We support the opinion of M.A. Aliev et al. (1988) that the described visual picture of pleurisy of different origins causes significant difficulties in verifying pathology during TS for pleurisy of unknown origin. The authors note that endoscopic signs in nonspecific pleurisy can be very similar to signs of tuberculous and malignant effusion, which is consistent with the records in the protocols of thoracoscopic examination in our patients.Moreover, the visual description of the state of the pleural cavity is very subjective and largely depends on the experience and skill of the thoracic surgeon (Aliev M.A. et al., 1988). For diagnosis, the time elapsed from the onset of the disease, the frequency and technique of biopsy, as well as the size and number of biopsies are important (Aliev M.A. et al., 1988; Colt H.G., 1999).
Conclusions
1. Comparison of the quantitative distribution of patients with PWV of different etiology in our study with literature data shows that the specific gravity of pleurisy of different genesis differ in different study groups and cannot serve as a guideline in modern differential diagnosis of PWS.
2. The age of the patient can to some extent narrow the range of determining the causes that caused the development of pleural effusion, since statistically significant differences were found in the mean value of age in subgroups of patients with pleurisy of malignant and tuberculous etiology. However, given the possibility of developing nonspecific pleurisy (transudative and exudative) in patients of any age of the subgroup, this factor cannot be decisive in diagnosing the nature of PWV.
3. Based on the analysis of the data of cytological, histological and microbiological studies, as well as the visual picture of the pleural cavity when performing diagnostic TS, it was concluded that the diagnostic efficiency, sensitivity and specificity of certain diagnostic methods in the diagnostic algorithm scheme is relatively high and comparable to that in modern foreign studies. pleural effusion. The calculated generalized results of cytological, microbiological and histological studies when using the diagnostic algorithm in patients with PWS are quite comparable with those for other variants of diagnostic approaches using a wider and more expensive set of equipment.
Literature
- Aliev M.A., Yoffe L.TS., Dashiev V.A., Wetzer K., Priceler J., Shoyler D., Luther R. (1988) Diagnostic and operative thoracoscopy. Nauka, Alma-Ata, 144 p.
- Galakhin K.O. (2000) Pukhlino-associative speech and meaning in clinical oncology. Ukr. Journal of Pathology, 2: 5-11.
- Duzhiy I.D. (1997) Pleural diseases: diagnostic, surgical and therapeutic aspects.Zdorov’ya, Kiev, 432 p.
- Ilnitskiy R.I., Sakharchuk I.I., Dudka P.F. (2004) Pleural effusion syndrome: differential diagnosis and treatment tactics. Ukr. pulmonol. zhurn., 3: 64-68.
- Mardanyan S.S., Sarkisova E.G., Andreasyan N.A., Badalyan L.T., Khanoyan A.S., Sagoyan I.L., Markaryan N.R. (2002) Pleural fluid adenosine deaminase activity in tuberculous pleurisy. Probl. tuberculosis, 2: 37–39.
- Sadovnikov A.A., Panchenko K.I. (1996) Methods for the diagnosis of pleurisy. Chest and Cardiovascular Surgery, 4: 60–62.
- Sokolov V.A., Savelyev A.V., Krasnoborova S.Yu., Kartashov M.V., Blinova L.V., Gaponyuk P.F. (1998) Differential diagnosis of pleural effusion. Probl. tuberculosis, 3: 50–55.
- Taganovich S.A., Vasilevsky A.G. (2002) Differential diagnosis of pleural effusion syndrome. Penitentiary Medicine Bulletin, 4 (2): 49–55.
- Colt H.G. (1999) Thoracoscopy: window to the pleural space. Chest, 116 (5): 1409-1415.
- Maskell N.A., Butland R.J.A. (2003) BTS guidelines for the investigation of a unilateral pleural effusion in adults. Thorax, 58 (Suppl. 2): ii8-17 (http://thorax.bmjjournals.com/cgi/content/full/58/suppl_2/ii8).
Liskina Iryna Valentinivna
Summary. Described 113 types of pleural vipot syndrome with a detailed analysis of the diagnostic algorithm for determining the etiology.The report analyzed the diagnostic methods (cytological, microbiological, histological), as well as the viciousness in the case of advanced diagnostic surgical procedures, the development of the diagnostic, specific sensitivity Besides, the diagnostic sensitivity and efficiency of the complex of vicious methods of diagnostics are indicated, as shown with analogous indicators of the other minor everyday reports. It is difficult to pass a high and reliable one from the data of the provincial pulmonological clinics of the value of the etiology of the pleural vapot of unclear genesis, because of the proprietary diagnostic algorithm.
Key words: diagnostic algorithm, pleural vip, cytological, microbiological, histological information
90,000 symptoms, causes, diagnosis, treatment and prevention
Pleurisy is inflammation that occurs in the area of the pleural membranes surrounding the lungs. The inflammatory process occurs in the parietal and visceral loops of the pleura and is often complicated by the accumulation of effusion.More than 10% of patients in a therapeutic hospital are susceptible to this disease, but pleurisy affects men to a greater extent.
Symptoms and signs: when to suspect the development of pleurisy
The main symptoms of pleurisy in adults include:
- stabbing pain in the chest, aggravated during coughing fits;
- shallow breathing;
- heard a loud noise from friction of the pleura;
- temperature rise of subfebrile values.
Similar symptoms are characteristic of dry pleurisy. The patient experiences pain in the area under the ribs, in the abdominal cavity, in the abdominal muscles. The clinical picture may be complemented by chills, weakness and sweating at night. Hiccups and flatulence are also added.
Purulent or exudative pleurisy manifests itself in a slightly different way. At the onset of the disease, the patient feels a dull pain that occurs every time from an irritating dry cough. In the affected area, exudate begins to accumulate, which can be guessed by the feeling of heaviness in the sides, severe shortness of breath, pallor of the skin, smoothing the gaps between the ribs.Added to this:
- weakness;
- temperature;
- sweating;
- lack of appetite.
Sometimes swelling is also observed, especially in the face, loss of voice. When the infection penetrates, the exudate can cause the formation of pus.
With serous pleurisy of the lungs against the background of cancer, expectoration with blood is observed. If the disease is caused by lupus erythematosus, then joints and kidneys can be affected.
Do you have pleurisy symptoms?
Only a doctor can accurately diagnose the disease.
Do not delay the consultation – call
+7 (495) 775-73-60
Causes of the disease
In most cases, pleurisy is a complication of primary diseases of the lungs or other internal organs (not necessarily just the respiratory system).
Pulmonary pleurisy can be infectious or non-infectious. The causes of an infectious disease can be:
- tuberculosis;
- candidiasis;
- syphilis;
- pneumococcal or staphylococcal infection;
- amoebiasis;
- typhoid fever;
- chest injuries.
The causes of non-infectious pleurisy can be:
- lung infarction;
- myocardial infarction;
- malignant tumors, metastases;
- rheumatoid arthritis;
- rheumatism;
- leukemia;
- pancreatitis.
Possible complications
A disease such as pleurisy requires immediate and long-term treatment. If the disease is started, then the formation of adhesions in the pleura, thickening of the sheets and the development of respiratory failure are not excluded. This is something that is extremely dangerous and difficult to live with.In order to prevent this, it is necessary to go to the doctor at the first similar symptoms.
When to see a doctor
When the first symptoms of pulmonary pleurisy occur in adults, you should visit a doctor. It is a disease that does not go away on its own.Any delay can threaten with serious consequences. If the signs of pleurisy make themselves felt, then you need to call the clinic and make an appointment with the doctor.
Those patients who cannot move freely due to acute pain should take a special position for pleurisy. To do this, you need to lie on the affected side in order to protect the chest from movement as much as possible. This will reduce pain.
JSC “Medicine” (Clinic of Academician Roitberg) is located in the Central Administrative District at the address: 2nd Tverskoy-Yamskaya per., 10 (metro Mayakovskaya, metro Belorusskaya, metro Novoslobodskaya, metro Tverskaya, metro Chekhovskaya).
Diagnostics of the pleurisy
Diagnosis of pleurisy begins with a doctor’s examination. The patient even visually shows chest asymmetry. The affected side lags behind in breathing.Breathing becomes very weak, almost inaudible.
To diagnose pleurisy in adults, the following examinations are additionally prescribed:
Based on the symptoms of pleurisy and the diagnostic data obtained, a diagnosis is already being made. Further, depending on the etiology, type and severity of the disease, the doctor selects a scheme for how to treat pleurisy.
Treatment
Treatment of pleurisy is aimed at eliminating the root cause of its formation, as well as alleviating severe symptoms of the disease.In the case of pneumonia, antibiotics are used, in rheumatism, non-steroidal anti-inflammatory drugs.
To eliminate the symptoms of pleurisy, connect:
- analgesics;
- cardiovascular drugs;
- physiotherapy exercises;
- diuretics;
- physiotherapy (after elimination of effusion).
If fluid has accumulated in the pleural cavity, then it is eliminated by puncture and drainage.If during the diagnosis pus was detected, then the pleural cavity is additionally washed with antiseptics.
In difficult cases, surgical intervention is indispensable.
Home remedies
With dry acute pleurisy, the patient needs rest.You can relieve severe pain with mustard plasters, warm compresses or tight bandaging of the chest. Remember, before using any funds, you must consult with a specialist.
Forecast
The prognosis for pleurisy of a purulent or oncological type is unfavorable.If the disease proceeds with the formation of effusion, then it will take at least 2-4 weeks to eliminate it.
Those patients who have had this ailment become dispensary. They are observed over the next two to three years.
Prevention
In order to prevent a relapse and not to experience those same excruciating pains with pleurisy, you must:
- Give up hard and harmful work;
- avoid hypothermia, acute respiratory infections, acute respiratory viral infections;
- consume fortified food;
- stop smoking.
Maintaining a healthy lifestyle, strengthening the body and the immune system helps to avoid lung pleurisy in the future.
How to make an appointment with a doctor?
Pleurisy is treated by professional doctors of JSC “Medicine” (Clinic of Academician Roitberg).They will help to carry out a comprehensive diagnosis and select an effective treatment for each individual case. Phthisiatricians, pulmonologists, ENT specialists and other specialists work here, with whom you can cope with the disease quickly and without consequences.
The clinic is located in the center of Moscow near the Mayakovskaya metro station. Address: 2nd Tverskoy-Yamskaya lane, 10 – within walking distance (5 minutes walk) from the metro stations “Belorusskaya”, “Novoslobodskaya”, “Tverskaya” and “Chekhovskaya”.You can get advice or make an appointment by calling +7 (495) 775-73-60. Also, applications are accepted through the electronic form on the site.
90,000 Tumor pleurisy
Tumor metastatic pleurisy (malignant pleural effusion) is a common complication, primarily in cancer of the lung, breast, ovary, lymphomas and other malignant tumors.
The pleura covers the lungs (visceral pleura) and the inner surface of the chest (parietal pleura).
Between these layers of the pleura, there is normally 1-2 ml of fluid, which ensures separation of the pleural sheets during respiratory movements.
Tumor damage to the pleura leads to a change in its permeability, impaired lymph circulation and accumulation of fluid in the pleural cavity.
Rapid accumulation of pleural effusion after removal is an unfavorable factor. Identification of hemorrhagic (bloody) effusion indicates the severity of tumor lesions of the pleura by a metastatic process.
With the fluid removed from the pleura, the patient loses a large amount of protein and electrolytes. In addition, the presence of pleural effusion causes compression of the lung, displacement upward and centrally.
Long-term compression of the lung makes it impossible for its subsequent expansion, even after removal of the pleural effusion. Compression of the lung also leads to displacement of the heart with possible disruption of cardiac activity, displacement of the opposite lung and an increase in respiratory failure.
The accumulation of sputum in the respiratory tract causes and maintains inflammatory processes (tracheobronchitis, pneumonia, subsequent infection of the pleural cavity).
Since malignant pleural effusion is a manifestation of a widespread tumor process, the possibility of bilateral damage to the pleura, as well as the pericardium and peritoneum, should be assumed.
Clinical manifestations
Tumor pleurisy with slight or moderate effusion is manifested by cough and shortness of breath with exertion.Breathing on the affected side is weakened. The diagnosis is confirmed by x-ray examination of the lungs.
As fluid accumulates in the pleural cavity, the lung is compressed and the mediastinum is displaced in the opposite direction.
Clinically, this is manifested primarily by increasing shortness of breath, especially during movements, forcing you to constantly be in a forced position (sleeping while sitting), to speak in a weak, deaf voice.
When examining the patient, there is a pallor of the skin with a bluish tinge, wheezing, rapid pulse.
The accumulated fluid should be removed gradually, since the rapid evacuation of the effusion is associated with the risk of dangerous complications.
Removal of fluid is accompanied by expansion of the lung and coughing up sputum (sometimes mixed with blood). In some cases, after removal of the effusion, chest pains occur on the side of the lesion, caused by the invasion of the pleural tumor and its irritation during respiratory movements.
In severe bilateral neoplastic pleurisy, as well as in the case of pleurisy and pericarditis (accumulation of fluid around the heart), it is advisable to simultaneously remove fluid from both cavities to prevent unwanted mediastinal displacement.
Treatment
Treatment of patients with neoplastic pleurisy consists in draining the pleural cavity, as well as suppressing malignant pleural effusion.
Reduction (cessation) of fluid accumulation is achieved with the help of systemic (intravenous) chemotherapy, intrapleural administration of various drugs. In the pleural cavity, sclerosing agents (for gluing pleural sheets) or anticancer or immune drugs are injected.
Systemic chemotherapy
It is carried out for chemosensitive tumors: breast cancer, ovarian cancer, small cell lung cancer, lymphomas.
The effect of such treatment is observed in 70-80% of cases, and in 40% of patients it is possible to achieve the full effect, i.e. disappearance of effusion for more than a month. In 35-40% of patients, the amount of fluid is significantly reduced and does not require removal.
Intrapleural administration of sclerosing agents
Introduction into the pleural cavity of talc, chloroquine, doxycycline and other drugs leads to nonspecific (non-infectious) inflammation with subsequent fusion of pleural sheets, which prevents fluid accumulation.
Talc is preferred by many professionals. The drug is administered by spraying after draining the pleural cavity. The clinical efficacy is 50%. However, the introduction of talcum powder is painful and is accompanied by a significant increase in temperature. The duration of the effect obtained varies widely.
With recurrent (repeated) pleurisy, tetracycline and doxycycline have a good sclerotic effect. The effectiveness of this treatment is 50-90%.
Intrapleural chemotherapy
Intrapleural administration of drugs may supplement systemic (intravenous) chemotherapy.
But more often local administration of chemotherapy drugs is an independent method of treatment. This happens in cases when neoplastic pleurisy becomes the leading one in the clinic of the disease, and the possibilities of systemic chemotherapy are exhausted due to its long-term previous use.
For intrapleural chemotherapy, already well-known and modern drugs are used: thiotepa, fluorouracil, doxorubicin, bleomycin, cisplatin, paclitaxel, mitoxantrone.
At the same time, in 30-40% of patients it is possible to achieve a complete, and in 60-80% – a partial effect. The effectiveness of treatment decreases if it is impossible to drain the pleural cavity as much as possible. this leads to insufficient concentration of the drug in the pleural cavity.
Intrapleural chemotherapy is accompanied by known manifestations of toxicity in the form of suppression of hematopoiesis, pain, etc.
Chemotherapy drugs cause not only an antitumor effect, but also nonspecific inflammation, leading to sticking of the pleural sheets, which prevents the accumulation of fluid.
Intrapleural immunotherapy (biotherapy)
The introduction of interleukin-2 and lymphokine-activated cells (LAK) into the pleural cavity is accompanied by an antitumor effect. In this case, there are no side reactions, except for an increase in temperature.






This helps to prevent fluid building up again into an effusion. Sclerosing chemicals that are commonly used include tetracycline, sterile talc and bleomycin. Pleurodesis is most often used in the treatment of repeated (recurrent) effusions caused by cancer.