Malignant Neoplasm of Ascending Colon: Understanding Colorectal (Colon) Cancer
What is colorectal cancer? How is it diagnosed and treated? Explore the symptoms, diagnosis, and various treatment options for this common form of cancer.
Understanding Colorectal (Colon) Cancer
Colorectal cancer, also known as colon cancer, is a type of cancer that originates in the large intestine, specifically in the colon or rectum. It is one of the most common types of cancer, affecting millions of people worldwide each year. The article aims to provide a comprehensive overview of colorectal cancer, including its symptoms, diagnosis, and available treatments.
Symptoms of Colorectal Cancer
What are the common symptoms of colorectal cancer? Colorectal cancer can present with a variety of symptoms, including changes in bowel habits, rectal bleeding, abdominal pain, unexplained weight loss, and fatigue. It is important to note that these symptoms can also be associated with other gastrointestinal conditions, and it is essential to seek medical attention for proper diagnosis.

Diagnosing Colorectal Cancer
How is colorectal cancer diagnosed? Colorectal cancer is typically diagnosed through a combination of various tests and procedures, such as colonoscopy, biopsy, and imaging studies. During a colonoscopy, the doctor can visualize the inside of the colon and rectum and identify any suspicious growths or abnormalities. If a suspicious lesion is found, a biopsy may be performed to confirm the diagnosis of cancer.
Stages of Colorectal Cancer
Once diagnosed, colorectal cancer is classified into different stages based on the extent of the tumor and the presence of metastasis (spread to other organs). The stage of the cancer is a crucial factor in determining the appropriate treatment plan and the overall prognosis for the patient.
Treatment Options for Colorectal Cancer
What are the treatment options for colorectal cancer? The treatment for colorectal cancer depends on the stage of the disease and the individual patient’s overall health. Common treatment options include surgery, chemotherapy, radiation therapy, and targeted therapies. In some cases, a combination of these treatments may be recommended.
![]()
Surgical Treatments for Colorectal Cancer
Surgery is often the primary treatment for colorectal cancer, especially in early-stage cases. The type of surgery performed depends on the location and extent of the tumor, and may include procedures such as colectomy (removal of a portion of the colon), polypectomy (removal of polyps), and more extensive surgeries for advanced cases.
Chemotherapy and Radiation Therapy
In addition to surgery, chemotherapy and radiation therapy may be used in the treatment of colorectal cancer. Chemotherapy involves the use of drugs to kill cancer cells, while radiation therapy uses high-energy beams to target and destroy cancer cells. These treatments may be used before or after surgery, or in combination with other therapies.
Targeted Therapies and Immunotherapy
Newer treatments for colorectal cancer, such as targeted therapies and immunotherapy, have also emerged in recent years. Targeted therapies are drugs that specifically target certain molecules or pathways involved in cancer cell growth and survival, while immunotherapy aims to stimulate the body’s own immune system to recognize and destroy cancer cells.

Factors Affecting Prognosis
The prognosis for individuals with colorectal cancer depends on various factors, including the stage of the disease at diagnosis, the location of the tumor, the presence of metastasis, and the overall health of the patient. Early detection and appropriate treatment can significantly improve the chances of survival and long-term outcomes.
Preventing Colorectal Cancer
What can be done to prevent colorectal cancer? Regular screening, such as colonoscopy, can help detect and remove precancerous polyps before they develop into cancer. Additionally, maintaining a healthy lifestyle, including a balanced diet, regular exercise, and avoiding smoking, can also reduce the risk of developing colorectal cancer.
Conclusion
In summary, colorectal cancer is a significant health concern, but with advancements in medical knowledge and treatment options, patients have a better chance of successful outcomes. By understanding the symptoms, seeking early diagnosis, and exploring the available treatment options, individuals can take proactive steps to manage this type of cancer and improve their overall health and well-being.

Invasive Adenocarcinoma of the Colon
When your colon was biopsied, the samples taken were studied under the microscope by a specialized doctor with many years of training called a pathologist. The pathologist sends your doctor a report that gives a diagnosis for each sample taken. This report helps manage your care. The questions and answers that follow are meant to help you understand the medical language used in the pathology report you received for your biopsy. They do not cover all of the information that would be in a pathology report that would result from having part of your colon removed (resected) to treat colon cancer.
What if my report mentions the cecum, ascending colon, transverse colon, descending colon, sigmoid colon, or rectum?
These are all parts of the large intestine. The cecum is the beginning of the colon, where the small intestine empties into the large intestine. The ascending colon, transverse colon, descending colon, and sigmoid colon are other parts of the colon after the cecum.
The colon ends at the rectum, where waste is stored until it exits through the anus.
What is adenocarcinoma of the colon (or rectum)?
Adenocarcinoma is a type of cancer that starts in the cells that form glands making mucus to lubricate the inside of the colon and rectum. This is the most common type of colon and rectum cancer.
What do the words invasive or infiltrating mean?
As colon cancer grows and spreads beyond the inner lining of the colon (mucosa), it is called invasive (or infiltrating) adenocarcinoma. Cancers that are invasive are called true cancers because they can spread to other places in the body.
Does this mean that the tumor has invaded deeply and is associated with a poor prognosis?
Not always. All this means is that it is a true cancer. A biopsy is just a small part of a tumor taken from the inside of the colon, so it can’t always show how deeply the tumor has invaded into the wall of the colon.
In order to know how far the cancer has invaded, the pathologist needs to have the entire tumor (removed at surgery).
What does differentiation mean?
Differentiation is the grade of the cancer, which is based on how abnormal the cells look under the microscope. Cancers that are higher grade or poorly differentiated tend to grow and spread more quickly. Colon cancer is usually divided into 3 grades:
- Well differentiated (low grade)
- Moderately differentiated (intermediate grade)
- Poorly differentiated (high grade)
Sometimes, though, it is just split into 2 grades: well-moderately differentiated (low grade) and poorly differentiated (high grade).
What is the significance of the grade of colon cancer?
Grade is one of the many factors used to help predict how likely a cancer is to grow and spread. Poorly differentiated (high-grade) colon cancers tend to grow and spread more quickly than well and moderately differentiated colon cancers.
However, other factors are also important in determining a person’s prognosis (outlook), such as how far the cancer has spread (which cannot be determined on the biopsy).
What does it mean if there is vascular, lymphatic, or lymphovascular (angiolymphatic) invasion?
These terms mean that cancer is present in the blood vessels and/or lymph vessels of the colon, so there is an increased chance that cancer could have spread outside of the colon. However, this doesn’t mean that your cancer has spread or is not curable. The presence of this type of invasion may be a factor in what type of treatments are recommended after the cancer is removed.
What is a polyp?
A polyp is a projection (growth) of tissue from the inner lining of the colon into the lumen (hollow center) of the colon. Different types of polyps look different under the microscope. Polyps are benign (non-cancerous) growths, but cancer can start in some types of polyps.
What does it mean if, in addition to cancer, my report says there are also other polyps such as adenomatous polyps (adenomas) or hyperplastic polyps?
Colon polyps are common.
Hyperplastic polyps are typically benign (not cancer or pre-cancer) and are not a cause for concern. But the different types of adenomatous polyps (adenomas) need to be removed. Still, if polyps are present in addition to cancer elsewhere in the colon, they don’t usually affect the treatment or follow-up of the cancer.
What does it mean if mucin or colloid is mentioned in my report?
Mucin is produced by the colon to help lubricate the colon. Colon cancers that produce large amounts of mucin are referred to as mucinous or colloid adenocarcinomas. Typically when it is present on a biopsy, it will not affect treatment.
What does it mean if my biopsy report mentions special tests such as microsatellite instability (MSI) and MSh3, MSH6, MLh2, and PMS2?
In some colon cancers, special lab tests may reveal an abnormality referred to as microsatellite instability or MSI in the cancer cells. Microsatellite instability is associated with defects (mutations) in several mismatch repair (MMR) genes, including MSh3, MSH6, MLh2, and PMS2.
Inherited defects in these genes can lead to a disease called Lynch syndrome or hereditary non-polyposis colon cancer (HNPCC).
If your cancer is found to have MSI or a defect in an MMR gene, your doctor may recommend genetic counseling and testing of your blood to see if you have Lynch syndrome. Along with having a high risk of colon cancer, people with Lynch syndrome have an increased risk for some other cancers. Other family members who have inherited the same gene mutation are also at increased risk for these cancers.
MSI test results may also affect your colon cancer treatment. For example, early-stage cancers with low levels of MSI (or no MSI) may need to be given more aggressive treatment than other early-stage cancers.
What does it mean if my biopsy report mentions special tests such as KRAS, NRAS, and BRAF?
These tests look for changes in the KRAS, NRAS, and BRAF genes inside the cancer cells. For people with more advanced colon cancer, these tests can help determine whether or not you might benefit from treatment with certain types of drugs (called targeted drugs or targeted therapy).
In other words, they are used to help your doctor determine the best treatment for your cancer. Although these tests look for certain gene mutations, they are not related to genetic counseling or testing. They only give information about the cancer itself and the precise type of treatment you might need. Remember that not every patient with colon cancer even needs other types of treatment besides surgery.
What Is Colorectal Cancer? | How Does Colorectal Cancer Start?
Colorectal cancer starts in the colon or the rectum. These cancers can also be called colon cancer or rectal cancer, depending on where they start. Colon cancer and rectal cancer are often grouped together because they have many features in common.
Cancer starts when cells in the body start to grow out of control. To learn more about how cancers start and spread, see What Is Cancer?
The colon and rectum
To understand colorectal cancer, it helps to know about the normal structure and function of the colon and rectum.
The colon and rectum make up the large intestine (or large bowel), which is part of the digestive system, also called the gastrointestinal (GI) system (see illustration below).
Most of the large intestine is made up of the colon, a muscular tube about 5 feet (1.5 meters) long. The parts of the colon are named by which way the food is traveling through them.
- The first section is called the ascending colon. It starts with a pouch called the cecum, where undigested food is comes in from the small intestine. It continues upward on the right side of the abdomen (belly).
- The second section is called the transverse colon. It goes across the body from the right to the left side.
- The third section is called the descending colon because it descends (travels down) on the left side.
- The fourth section is called the sigmoid colon because of its “S” shape.
The sigmoid colon joins the rectum, which then connects to the anus.
The ascending and transverse sections together are called the proximal colon. The descending and sigmoid colon are called the distal colon.
How do the colon and rectum work?
The colon absorbs water and salt from the remaining food matter after it goes through the small intestine (small bowel). The waste matter that’s left after going through the colon goes into the rectum, the final 6 inches (15cm) of the digestive system. It’s stored there until it passes through the anus. Ring-shaped muscles (also called a sphincter) around the anus keep stool from coming out until they relax during a bowel movement.
How does colorectal cancer start?
Polyps in the colon or rectum
Most colorectal cancers start as a growth on the inner lining of the colon or rectum.
These growths are called polyps.
Some types of polyps can change into cancer over time (usually many years), but not all polyps become cancer. The chance of a polyp turning into cancer depends on the type of polyp it is. There are different types of polyps.
- Adenomatous polyps (adenomas): These polyps sometimes change into cancer. Because of this, adenomas are called a pre-cancerous condition. The 3 types of adenomas are tubular, villous, and tubulovillous.
- Hyperplastic polyps and inflammatory polyps: These polyps are more common, but in general they are not pre-cancerous. Some people with large (more than 1cm) hyperplastic polyps might need colorectal cancer screening with colonoscopy more often.
- Sessile serrated polyps (SSP) and traditional serrated adenomas (TSA): These polyps are often treated like adenomas because they have a higher risk of colorectal cancer.
Other factors that can make a polyp more likely to contain cancer or increase someone’s risk of developing colorectal cancer include:
- If a polyp larger than 1 cm is found
- If more than 3 polyps are found
- If dysplasia is seen in the polyp after it’s removed.
Dysplasia is another pre-cancerous condition. It means there’s an area in a polyp or in the lining of the colon or rectum where the cells look abnormal, but they haven’t become cancer.
For more details on the types of polyps and conditions that can lead to colorectal cancer, see Understanding Your Pathology Report: Colon Polyps.
How colorectal cancer spreads
If cancer forms in a polyp, it can grow into the wall of the colon or rectum over time. The wall of the colon and rectum is made up of many layers. Colorectal cancer starts in the innermost layer (the mucosa) and can grow outward through some or all of the other layers (see picture below).
When cancer cells are in the wall, they can then grow into blood vessels or lymph vessels (tiny channels that carry away waste and fluid). From there, they can travel to nearby lymph nodes or to distant parts of the body.
The stage (extent of spread) of a colorectal cancer depends on how deeply it grows into the wall and if it has spread outside the colon or rectum.
For more on staging, see Colorectal Cancer Stages.
Most colorectal cancers are adenocarcinomas. These cancers start in cells that make mucus to lubricate the inside of the colon and rectum. When doctors talk about colorectal cancer, they’re almost always talking about this type. Some sub-types of adenocarcinoma, such as signet ring and mucinous, may have a worse prognosis (outlook) than other subtypes of adenocarcinoma.
Other, much less common types of tumors can also start in the colon and rectum. These include:
Types of Colorectal Cancer: Common, Rare and More
Adenocarcinomas of the colon and rectum make up 95 percent of all colorectal cancer cases. In the gastrointestinal tract, rectal and colon adenocarcinomas develop in the cells of the lining inside the large intestine. Adenocarcinomas of the colon and rectum typically start as a growth of tissue called a polyp. A particular type of polyp called an adenoma may develop into cancer.
Polyps are often removed during a routine colonoscopy before they may develop into cancer.
Less common types of colorectal cancer include primary colorectal lymphomas, gastrointestinal stromal tumors, leiomyosarcomas, carcinoid tumors and melanomas. Types of colorectal cancer include:
Colorectal adenocarcinoma: “Adeno” is a prefix meaning glands. “Carcinoma” is a type of cancer that grows in epithelial cells that line the surfaces inside and outside the body. Adenocarcinomas of the colon or rectum develop in the lining of the large intestine. They often start in the inner lining and then spread to other layers. There are two less common subtypes of adenocarcinoma:
- Mucinous adenocarcinoma is made up of approximately 60 percent mucus. The mucus may cause cancer cells to spread more quickly and become more aggressive than typical adenocarcinomas. Mucinous adenocarcinomas account for 10 percent to 15 percent of all rectal and colon adenocarcinomas.

- Signet ring cell adenocarcinoma accounts for less than 1 percent of adenocarcinomas. Named for its appearance under a microscope, signet ring cell adenocarcinoma is typically aggressive and may be more difficult to treat.
Gastrointestinal carcinoid tumors: Carcinoid tumors develop in nerve cells called neuroendocrine cells, which help regulate hormone production. These tumors are among a group of cancers called neuroendocrine tumors (NETs). Carcinoid tumors cells are slow-growing and may develop in the lungs and/or gastrointestinal tract. They account for 1 percent of all colorectal cancers and half of all cancers found in the small intestine.
Other types of rare colorectal cancers combined account for less than 5 percent of all cases and include:
Primary colorectal lymphomas: A type of non-Hodgkin lymphoma, this cancer type develops in the lymphatic system, specifically in cells called lymphocytes. Lymphocytes are a type of white blood cell that helps the body fight infections.
Lymphoma may develop in many parts of the body, including the lymph nodes, bone marrow, spleen, thymus and the digestive tract. Primary colorectal lymphomas account for just 0.5 percent of all colorectal cancers and about 5 percent of all lymphomas. This colorectal cancer type usually occurs later in life, and is more common in men than women.
Gastrointestinal stromal tumors: GISTs are a rare type of colorectal cancer that forms in a special cell found in the lining of the gastrointestinal (GI) tract called interstitial cells of Cajal (ICCs). More than 50 percent of GISTs develop in the stomach. While most other GISTs form in the small intestine, the rectum is the third most common location. GISTs are classified as sarcomas, or cancers that begin in the connective tissues, which include fat, muscle, blood vessels, deep skin tissues, nerves, bones and cartilage.
Leiomyosarcomas: Another form of sarcoma, leiomyosarcoma essentially means “cancer of smooth muscle.
” The colon and rectum have three layers of the type of muscle affected by leiomyosarcoma, and all three work together to guide waste through the digestive tract. This rare type of colorectal cancer accounts for about 0.1 percent of all colorectal cases.
Melanomas: Most commonly associated with skin cancer, these may occur anywhere, including the colon or rectum.
Next topic: What is metastatic colorectal cancer?
What Is a Malignant Neoplasm?
The term “malignant neoplasm” means that a tumor is cancerous. A doctor may suspect this diagnosis based on observation — such as during a colonoscopy — but usually a biopsy of the lesion or mass is needed to tell for sure whether it is malignant or benign (not cancerous).
Pathology: Examining Tissue for Signs of Cancer
When a polyp or other area of suspicious tissue is seen during a cancer screening test, the doctor may take a tissue sample — called a biopsy — right away, depending on the bodily location being examined, or at a later date, if doing so requires a second procedure.
A pathologist then examines the tissue under a microscope to look for cancerous cells.
To better visualize the various parts of the tissue, the pathologist often stains it, sometimes with multiple dyes.
The pathologist looks for abnormalities in the shape and size of cells, shape and size of cell nuclei, and distribution of the cells in the tissue, indicating cancer.
Once the pathologist has confirmed that a biopsy shows cancer, other lab tests may be done to help classify the cancer, which can in turn help to guide treatment.
While much of the work of examining tissue samples is still done by individuals looking through microscopes, advances in automated detection and classification of cancer cells promise faster diagnosis and treatment.
Therapy: Treatment Options for Cancer Vary
Treatment options depend on the stage of the cancer and may include surgery, chemotherapy, or radiation.
Surgery may involve removing a small tumor or polyp only, or removing a tumor and a portion of the surrounding tissue, if the tumor is larger or has spread into nearby tissue.
The surgeon may also remove some lymph nodes near the area of cancer if it’s known the cancer has spread to them, or to see if the cancer has spread to them.
Chemotherapy — drug therapy — may be used before surgery to shrink the size of tumors, or after surgery to kill any remaining cancer cells that may have spread to other parts of the body.
Radiation therapy may similarly be given to shrink tumors before surgery or to kill any remaining cancer cells after surgery. It may also be used in place of surgery in some cases.
Prognosis: Disease Course Often Hard to Predict
In the United States, improved cancer screening and treatment have reduced the number of people who die from certain cancers, such as colon cancer. However, your chances of survival are generally decreased if a cancer has spread beyond its primary location.
Malignant tumors can vary in their aggressiveness, so it is difficult to predict how rapidly they will grow. A medical oncologist can recommend appropriate testing and treatment to give you the best chance of survival.
Colorectal Cancer (Carcinoma) – Diagnosis and Treatment
Colorectal cancer or colorectal carcinoma is cancer of the colon and/or rectum. Your doctor may perform a colonoscopy, CT colonography (also known as virtual colonoscopy) or an air-contrast barium enema to help diagnose your condition. Your doctor also may order an abdominal and pelvic CT, PET/CT, pelvic MRI or an endorectal ultrasound to help assess the cancer and look for any signs of spread.
Depending on the size, extent and stage of the cancer, surgery may be required. Advanced cases may require treatment with radiation therapy such as external beam therapy (EBT). Your doctor may also prescribe chemotherapy to decrease the chance of the tumor returning elsewhere in the body.
What is colorectal carcinoma?
Colorectal carcinoma is a cancer, or malignant tumor, of the large intestine, which may affect the colon or rectum. Typically, the colon is the upper five or six feet of the large intestine, and the rectum is the lower five to seven inches located above the anal canal.
Factors such as age, race, personal or family history of colon disease and diet can play a significant role in having an increased risk of developing colorectal cancer.
Many colon cancers develop over a long period of time, often arising from pre-cancerous colon polyps that gradually grow and can turn into cancer. Many early stage colon cancers do not cause any symptoms at all. Therefore, various methods of colon cancer screening are currently recommended in the hope of finding the polyp or cancer at a time when it can be removed and cured. You should talk to your physician about if and when colon cancer screening would be appropriate.
If the cancer has grown to a size where it causes symptoms, these may include:
- Abdominal pain, cramps or gas
- Weight loss
- Fatigue
- Changes in bowel movements such as diarrhea, constipation, bloating or very thin stool
- Blood in the stool or rectal bleeding
- Partial or complete blockage of stool/feces passage
top of page
How is colorectal cancer diagnosed and evaluated?
In order to diagnose colon cancer your doctor may order:
- Colonoscopy: This examination uses a flexible tube with a tiny camera at the end, which is inserted through the anus into the colon.
The camera captures images of the interior of the large intestine. Polyps and/or tissue samples may be removed and evaluated to determine whether they are cancerous. - CT Colonography: A small tube is inserted into the rectum and air is used to inflate the colon. Then, low radiation dose CT images of the abdomen and pelvis are obtained while you lie on your back and then stomach. You may also be asked to lie on your side. Specially trained radiologists will usually interpret this exam using software designed for CT colonography. This exam can also detect polyps and masses. If abnormalities are found, you will typically need to get a regular colonoscopy.
- Air-contrast barium enema: Also called a lower GI (gastrointestinal exam), this x-ray exam of the large intestine allows radiologists to view the colon and rectum in real-time and detect abnormal growths.
Other types of imaging exams that your doctor may order include:
- Abdominal and Pelvic CT: This imaging procedure uses x-rays to quickly identify sources of pain or abnormalities within the gastrointestinal tract.

- PET/CT: Positron emission tomography (PET) is a type of nuclear medicine scan that uses a small amount of radioactive material to image body functions. A PET/CT exam combines images from PET and CT scans to detect and anatomically localize cancer and determine the amount of cancer spread.
- Magnetic Resonance Imaging (MRI) of the Body: This imaging test uses a magnetic field and radio frequency pulses to produce detailed pictures of the internal organs. It may determine the extent of disease if the patient has been diagnosed with rectal cancer, look at the stage of the tumor or assess other organs for metastasis. No radiation is involved.
- Endorectal Ultrasound: This imaging test uses high frequency sound waves generated from a probe, which is inserted into the rectum. The sound waves create a picture of the rectal wall and surrounding tissue. No radiation is involved. This test may be used to determine the local extent of disease if the patient has been diagnosed with rectal cancer.

top of page
How is colorectal cancer treated?
Depending on the size and extent of spread of the cancer, patients may need to undergo a surgery, removing part or all of the colon, in order to remove the tumor. For some patients, an ileostomy or colostomy may be needed, which diverts bowel content into an external bag. Advanced cases may require radiation therapy treatments (usually combined with chemotherapy) prior to surgery. This is usually given as:
- External Beam Therapy (EBT): This treatment is a form of radiation therapy done by aiming several beams of high-energy x-rays directly at a patient’s tumor over the course of one to six weeks. These x-rays deliver radiation to the patient’s tumor in order to destroy the cancer cells while minimizing the effects on the surrounding healthy tissues. Most common side effects are fatigue and changes in bowel movement frequency.
In many cases, chemotherapy may be used, either as a standalone treatment or in combination with radiation therapy.
Chemotherapy is given to decrease the chance of the tumor returning elsewhere in the body or to decrease the amount of tumor throughout the body if all of the tumor(s) cannot be removed surgically. It is usually given over time and alternated with periods of no treatment. Side effects, such as abnormal blood-cell counts, fatigue, diarrhea, mouth sores, and a compromised immune system may occur.
top of page
This page was reviewed on March, 05, 2019
All About Colon Cancer | OncoLink
What is the colon?
The colon is the longest part of the large intestine, also known as the large bowel. The large intestine is the last part of the digestive tract. The large intestine is a tube that is about 5 to 6 feet in length. The first 5 feet make up the colon. There are four different parts of the colon: the ascending colon, the transverse colon, the descending colon, and the sigmoid colon. The colon connects to the rectum and finally ends with the anus.
By the time food reaches the colon (about 3 to 8 hours after eating), the nutrients have been absorbed. What remains is liquid waste product. A function of the colon is to change this liquid waste into solid stool. It does this by absorbing water. Stool can spend anywhere from 10 hours to several days in the colon before being expelled through the anus.
What is colon cancer?
Cancer is when cells grow in an uncontrolled way which can lead to a tumor forming. Colon cancer is a malignant (cancerous) tumor that grows in the wall of the colon. Most colon tumors begin when normal tissue in the colon wall forms an adenomatous polyp, or pre-cancerous growth, that comes out of the colon wall. As this polyp grows larger, the tumor forms. This process can take many years, which allows time for early detection with screening tests.
What causes colon cancer and am I at risk?
Colon cancer is the fourth most common type of cancer, in both males and females, in the United States.
Every year, an estimated 104,000 cases of colon cancer will be diagnosed in the United States. African Americans, particularly African American men, are at an increased risk. The risk of colon cancer also goes up after age 50, but every year there are more cases reported in those under 50. Colon cancer tends to occur more in ages 55-74 with an average age at diagnosis being 67.
Certain factors put people at higher risk. Individuals with a personal or family history of colon cancer, polyps, or inherited colon cancer syndromes (i.e., FAP and HNPCC/Lynch syndrome), as well as those with ulcerative colitis or Crohn’s disease, are all at higher risk and may require screening at an earlier age than the general population. A person with one first degree relative (parent, sibling, or child) with colon cancer is 2 to 3 times as likely to develop colon cancer as someone who does not have an affected relative.
This does not mean that people without a family history are not at risk. Studies of colon cancer cases found that lifestyle factors can put a person at higher risk.
These factors include: a diet high in fat and red meat, and low in fruits and vegetables, having a high caloric intake, low levels of physical activity, and obesity. In addition, smoking and excessive alcohol use may play a role in colon cancer development. Despite avoiding all of these factors, some people will still develop colon cancer. With screening and early detection, these patients can be effectively treated in most cases.
How can I prevent colon cancer?
Eating a low-fat diet high in fruits and vegetables and low in red meat, together with regular exercise and maintaining a healthy body weight may help prevent colon cancer. It is also important not to smoke, or to quit if you already smoke. Limiting alcohol may be helpful.
Chemoprevention is defined as “the use of a chemical compound to prevent, inhibit, or reverse the formation of the cancer.” There are ongoing studies looking at vitamins A, E, D, and C, folic acid, calcium, selenium, aspirin, cox-2 inhibitors, statin medications (traditionally used to lower cholesterol), and hormone replacement therapy as potential chemopreventive agents that may prevent or reverse the formation of polyps and colon cancer.
These studies have been inconclusive so that specific recommendations cannot be made for the general population. Some of these agents continue to be tested in clinical trials.
What screening tests are used for colon cancer?
When to start screening for colon cancer continues to be under debate. The American Cancer Society recommends that screening for those at average risk begins at age 45. Recently, the US Preventative Task Force also proposed changing the guidelines to begin screening at 45. This continues to be reviewed. Be aware that insurance may not cover screening beginning at age 45. It is important to talk with your provider and insurance company before scheduling your screening test.
There are many different types of screening tests available for colon cancer. Some of these tests look for DNA evidence of cancer in the stool. Others are a visual exam of the colon and rectum via sigmoidoscopy or colonoscopy.
You can learn more about the different kinds of tests available on OncoLink. Talk with your healthcare provider about your screening options and how often you will need to have these tests.
Individuals with a family or personal history of colon cancer, inflammatory bowel disease, or genetic syndromes like FAP or HPNCC should have more frequent screenings. Your healthcare provider will advise you on when to begin screening as well as how often you will need to be screened.
What are the signs of colon cancer?
The early stages of colon cancer may not have any symptoms. This is why it is important to have screening tests done even if you feel well. As a polyp grows into a tumor, it may bleed or obstruct the colon, causing symptoms. These symptoms include:
- Bleeding from the rectum.
- Blood in the stool or toilet after a bowel movement.
- A change in the shape of the stool (i.e. thinning).
- Cramping pain in the abdomen.

- Feeling the need to have a bowel movement when you don’t actually have to.
These symptoms can also be caused by conditions other than cancer. If you experience these symptoms, you should be checked by a healthcare provider.
How is colon cancer diagnosed?
Once colon cancer is found, further tests are needed to determine the extent of the tumor. The tests used to determine the spread of the tumor are CT scans, MRIs, PET/CT scan and blood tests. Positron Emission tomography (PET) provides a whole-body evaluation and highlights active tumors in the body. Malignant tumors have an increased rate of glycolysis shown by an increased uptake of glucose tracer. PET/CT scan is used to evaluate potentially resectable metastasis in the lung and liver. Carcinoembryonic antigen (CEA) level is a marker for colon cancer that is found in the blood. This marker is elevated in 95% of colon cancer cases.
How is colon cancer staged?
After these tests, a stage is determined to help dictate the necessary treatment.
Colon cancer is most commonly staged using the “TNM system.” The TNM staging system assesses the extent of the primary tumor, nodal involvement (describes if there is cancer in the lymph nodes), and distant metastases (if the cancer has spread to other organs). This is reported on your pathology report – you may want to ask for a copy of this report for your personal files. The staging system is very complex. The entire staging system is outlined at the end of this article. Though complicated, the staging system helps healthcare providers determine the extent of the cancer, and in turn, make treatment decisions for a patient’s cancer. The stage of cancer, or the extent of the disease, is based on information gathered through the various tests done as the diagnosis and workup of the cancer is being performed.
How is colon cancer treated?
Surgery
Surgery is the most common treatment for colon cancer.
If the cancer is limited to a polyp, you can undergo a polypectomy (removal of the polyp), or a local excision, where a small amount of surrounding tissue is also removed.
If the tumor invades the bowel wall or surrounding tissues, you will require a partial resection. This is the removal of the cancer and a portion of the bowel. Lymph nodes will also be removed to determine if the cancer has spread into them. After the tumor is removed, the two ends of the remaining colon are reconnected, allowing normal bowel function. In some situations, it may not be possible to reconnect the colon, and a colostomy (an opening in the abdominal wall to allow passage of stool) is needed. This may be temporary or permanent.
Chemotherapy
Despite the fact that a majority of patients have the entire tumor removed by surgery, many individuals will develop a recurrence without further treatment. Chemotherapy is given to reduce this chance of recurrence. The type of chemotherapy used to treat colon cancer can also be influenced by the patient’s ability to tolerate intense chemotherapy, as well as the location of the tumor in the colon and the tumor stage.
Your tumor may be tested for specific markers called microsatellite instability (MSI-H) and stability (MSS). This test can indicate sensitivities to certain types of treatments used to treat colon cancer.
Common medications used in the treatment of colon cancer are fluorouracil, oxaliplatin, irinotecan, leucovorin, bevacizumab, trifluridine/tipiracil, capecitabine, and ziv-aflibercept, These medications are used in both initial chemotherapy treatment and in treatment of recurrence/metastatic disease.
Targeted therapies are also used in the treatment of recurrent or metastatic types of colon cancers. These therapies are often used in combination with the previously mentioned chemotherapy medications to target specific abnormalities found in the cancer cells. These abnormalities contribute to the growth, spread, and progression of cancer. Your healthcare provider will test your tumor to determine if a specific target is present.
One such target is epidermal growth factor receptor (EGFR).
EGFR is abnormally overexpressed in many cancers (including those of the colon and rectum), so inhibition of EGFR can result in a decrease in tumor cell growth and decreased production of other factors responsible for metastasis (tumor spread). Panitumumab, ramucirumab, and cetuximab are monoclonal antibodies that inhibit binding of epidermal growth factor to EGFR, which prevents epidermal growth factor from working, slowing cancer growth. These agents are generally used for patients whose tumor type is deemed “KRAS wild-type.” This means that there is no mutation with the KRAS protein. Tumors that are KRAS wild type may also be treated with cetuximab and panitumumab. Regorafenib and ramucirumab are medications that target the vascular endothelial growth factor (VEGF). Vemurafenib and encorafenib can target cells that are positive for the BRAF V600E mutation. Trastuzumab, pertuzumab, lapatinib and fam-tratuzumab deruxtecan-nxki may be used in colon cancers with HER2, WRAS, and BRAF mutations.
Immunotherapy is also being used in the treatment of certain colon cancers. Immunotherapy is a method of treating cancer that uses the body’s own capabilities to identify and kill cancer cells. Immunotherapy medications currently being used in the treatment of colon cancer include ipilimumab, nivolumab, and pembrolizumab.
Treatment recommendations for patients with metastatic disease depend on whether the patient is appropriate for intensive therapy. Chemotherapy options for patients with metastatic disease depend on what treatment they initially received. Clinical trial participation may be recommended before standard therapy.
Radiation Therapy
Colon cancer is not typically treated with radiation therapy. If the cancer has invaded another organ, or attached itself to the abdominal wall, radiation therapy may be a treatment option. One reason for the limited role of radiation is that it is a local treatment typically aimed at a “target.
” Once the colon cancer has been surgically resected, the “target” or high-risk area for disease recurrence is not very easy to define. Furthermore, if the cancer has spread to other organs, chemotherapy (rather than radiation therapy) is able to reach distant areas of spread of tumor cells.
Interventional Radiology
Interventional radiologists (IR) are specialists who use radiology techniques, such as CT scan, to access areas of the body and treat diseases without traditional surgery. These techniques are sometimes called “minimally invasive”. In some cases, these providers are able to help patients with colon cancer that has spread (metastasized) to the liver or lung. The techniques currently being used by these specialists include: CT directed biopsies, chemoembolization, radiofrequency ablation, and radioembolization. By entering a patient’s blood vessels, the physician can thread a catheter and give treatment directly to the tumor.
Radiofrequency ablation (RFA) is a local treatment that kills the tumor cells with heat while sparing healthy liver or lung tissue.
When the tumor is too large or in a location not amenable to RFA, embolization may be used to cut off the blood supply to the tumor, deliver radiation to a tumor (called radioembolization), or combine this technique with chemotherapy to deliver the cancer drug directly to the tumor (called chemoembolization).
Some patients may benefit from having an infusion pump inserted to infuse chemotherapy directly into the liver. IR physicians can also perform palliative procedures, such as inserting a stent to relieve an obstruction, treating certain types of pain, inserting central catheters, or treating blood clots.
Clinical Trials
There are clinical research trials for most types of cancer, and every stage of the disease. Clinical trials are designed to determine the value of specific treatments. Trials are often designed to treat a certain stage of cancer, either as the first form of treatment offered or as an option for treatment after other treatments have failed to work.
They can be used to evaluate medications or treatments to prevent cancer, detect it earlier, or help manage side effects. Clinical trials are extremely important in furthering our knowledge of disease. It is through clinical trials that we know what we do today, and many exciting new therapies are currently being tested. Talk to your provider about participating in clinical trials in your area. You can also explore currently open clinical trials using the OncoLink Clinical Trials Matching Service.
Follow-up Care and Survivorship
Once treatment is completed, you will be followed closely for recurrence. Recommendations for follow up care vary based on the initial stage of your colon cancer. For stages II-IV, you should expect to have examinations with your healthcare provider every 3-6 months for 2 years and then every 6 months for years 2-5. A repeat colonoscopy should be performed 1 year after treatment, then repeated in three years, and then again every 5 years.
If the initial colonoscopy shows adenoma, the colonoscopy should be repeated in 1 year. For those with stage, I, II, or III disease routine PET or CT scans are not recommended. For those with stage II/III disease, For those with stage IV disease, CT scans of the chest, abdomen, and pelvis are recommended every 6-12 months for a total of 5 years. CT scans of the chest, abdomen, and pelvis are recommended every 3-6 months for 2 years and then every 6-12 months for a total of 5 years.
Fear of recurrence, relationships and sexual health, long term management of ostomy and body image challenges, the financial impact of cancer treatment, employment issues, and coping strategies are common emotional and practical issues experienced by colon cancer survivors. Your healthcare team can identify resources for support and management of these challenges faced during and after cancer.
Cancer survivorship is a relatively new focus of oncology care. With nearly 17 million cancer survivors in the US alone, there is a need to help patients transition from active treatment to survivorship.
What happens next, how do you get back to normal, what should you know and do to live healthy going forward? A survivorship care plan can be a first step in educating yourself about navigating life after cancer and helping you communicate knowledgeably with your healthcare providers. Create a survivorship care plan today on OncoLink.
Resources for More Information
Colon Cancer Alliance – The Colon Cancer Alliance brings the voice of survivors to battle colorectal cancer through patient support, education, research, and advocacy.
Fight Colorectal Cancer – Provides advocacy, education, and support.
The Colon Club – Promotes education and awareness in interesting and out of the box ways.
American Society of Colon and Rectal Surgeons – Society for colon and rectal surgeons and other surgeons dedicated to the treatment of patients with diseases and disorders affecting the colon, rectum, and anus.
Appendix: Complete Colon Cancer Staging
American Joint Committee on Cancer (2017)
T(Tumor) | Description |
|---|---|
TX | Primary tumor cannot be assessed. |
T0 | No evidence of primary tumor. |
T1s | Carcinoma in situ, intramucosal carcinoma (involvement of lamina propria with no extension through muscularis mucosae). |
T1 | Tumor invades the submucosa (through the muscularis mucosa but not into the muscularis propria). |
T2 | Tumor invades thought the muscularis propria. |
T3 | Tumor invades through the muscluaris propria into pericolorectal tissues. |
T4 | Tumor invades the visceral periotoneum or invades or adheres to adjacent organ or structure. |
T4a | Tumor invades through the viseceral peritoneum (including gross perforaction of the bowel through tumor and continuous invasion of tumor through areas of inflammation to the surface of the visceral peritoneum. |
T4b | Tumor directly invades or adheres to adjacent organs or structures. |
N (Regional Lymph Nodes) | Description |
|---|---|
NX | Regional lymph nodes cannot be assessed. |
N0 | No regional lymph node metastasis. |
N1 | One to three regional lymph nodes are positive (tumor in lymph nodes measuring ≥0.2mm), or any number of tumor deposits are present and all identifiable lymph nodes are negative. |
N1a | One regional lymph node is positive. |
N1b | Two or three regional lymph nodes are positive. |
N1c | No regional lymph nodes are positive, but there are tumor deposits in the subserosa, mesentery or nonperitonealized pericolic, or perirectal/mesorectal tissues. |
N2 | Four or more regional nodes are positive. |
N2a | Four to six regional lymph nodes are positive. |
N2b | Seven or more regional lymph nodes are positive. |
M (Distant Metastasis) | Description |
|---|---|
M0
| No distant metastasis by imaging; no evidence of tumor in distant sites or organs. |
M1 | Metastasis to one or more distant sites or organs or peritoneal metastasis is identified. |
M1a | Metastasis to one site or organ is identified without peritoneal metastasis. |
M1b | Metastasis to two or more sites or organs is identified without peritoneal metastases. |
M1c | Metastasis to the peritoneal surface is identified alone or with other site or organ metastases. |
Stage Grouping | T | N | M |
|---|---|---|---|
0 | T1s | N0 | M0 |
I | T1, T2 | N0 | M0 |
IIA | T3 | N0 | M0 |
IIB | T4a | N0 | M0 |
IIC | T4b | N0 | M0 |
IIIA
| T1-T2 T1 | N1/N1c N2a | M0 M0 |
IIIB | T3-T4a T2-T3 T1-T2 | N1/N1c N2a N2b | M0 M0 M0 |
IIIC | T4a T3-T4a T4b | N2a N2b N1-N2 | M0 M0 M0 |
IVA | Any T | Any N | M1a |
IVB | Any T | Any N | M1b |
IVC | Any T | Any N | M1c |
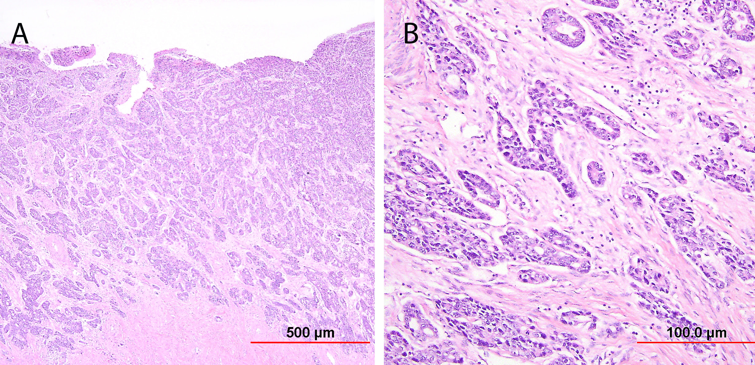
Adenocarcinoma of the ascending colon in a 31-year-old pregnant woman
Medicine (Baltimore).
2018 Dec; 97(51): e13707.
A case report
, MD,a, MD,b and , MDa,∗
Youzheng Xu
aDepartment of Obstetrics and Gynecology, Peking Union Medical College Hospital, Chinese Academy of Medical Sciences and Peking Union Medical College, Eastern District, Beijing
Beihua Kong
bDepartment of Obstetrics and Gynecology, Qilu Hospital, Shandong University, Jinan, China.
Keng Shen
aDepartment of Obstetrics and Gynecology, Peking Union Medical College Hospital, Chinese Academy of Medical Sciences and Peking Union Medical College, Eastern District, Beijing
Monitoring Editor: NA.
aDepartment of Obstetrics and Gynecology, Peking Union Medical College Hospital, Chinese Academy of Medical Sciences and Peking Union Medical College, Eastern District, Beijing
bDepartment of Obstetrics and Gynecology, Qilu Hospital, Shandong University, Jinan, China.
∗Correspondence: Keng Shen, Department of Obstetrics and Gynecology, Peking Union Medical College Hospital, Chinese Academy of Medical Sciences and Peking Union Medical College, No. 1 Shuai Fu Yuan, Eastern District, Beijing 100730, China (e-mail: moc.hcmup@gneknehs).
Received 2018 Aug 31; Accepted 2018 Nov 26.
Copyright © 2018 the Author(s). Published by Wolters Kluwer Health, Inc.This is an open access article distributed under the Creative Commons Attribution License 4.0 (CCBY), which permits unrestricted use, distribution, and reproduction in any medium, provided the original work is properly cited. http://creativecommons.org/licenses/by/4.0This article has been cited by other articles in PMC.
Abstract
Rationale:
Colorectal cancer (CRC) is the 2nd most common type of cancer in females and the 3rd in males, worldwide. It occurs rarely during pregnancy and is often associated with poor prognosis, due to the unspecific manifestations until advanced stage.
Majority of CRC are localized in the rectum (63%) and the sigmoid colon (20%) during pregnancy.
Patient concerns:
In thisstudy, we report the case of a pregnant woman who was diagnosed with adenocarcinoma of the ascending colon at her 33rd gestational week. She was referred to our department from local hospital with low fever and right-sided flank pain, which had lasted for nearly half a year and severely aggravated for 5 days. Previous prenatal examinations contributed the pain to kidney stones or uterine contractions.
Diagnoses:
After a caesarean section and tumor resection of a mass at the hepatic flexure of colon, tumor histology of frozen section confirmed the diagnosis of ulcerative adenocarcinoma of the ascending colon with a diameter of 10 cm. Final pathologic evaluation showed a grade 1 adenocarcinoma with negative lymph nodes (16/0), R0 resection, pT4b pN0 M0 and Dukes B stage.
Interventions:
A healthy female infant was delivered by caesarean section, right after which a right hemicolectomy and ileostomy was performed.
Pathology examination proved an early stage adenocarcinoma with no lymphatic metastasis. Patient received chemotherapy with folinic acid, fluorouracil, and oxaliplatin (FOLFOX) after recovery smoothly and got discharged 1 month after surgery.
Outcomes:
Patient showed no relapse or progression during the follow-up time of 2 years after operation and chemotherapy.
Lessons:
Rare occurrence of CRC during pregnancy and limited experience concerning its diagnosis and treatment bring obstacle to both patients and physicians. Symptoms as constipation and abdominal pain must be inspected carefully. With a perfect coordination between different disciplines, CRC with pregnancy can be ideally treated with better prognosis.
Keywords: adenocarcinoma of the ascending colon, colorectal cancer, diagnosis, pregnancy, treatment
1. Introduction
Colorectal cancer (CRC) is the 2nd most common type of cancer in females and the 3rd in males worldwide,[1] which rarely occurs during pregnancy.
Reported incidence in pregnant women is 0.002%[2] and the majority of tumors were localized in the rectum (63%) and the sigmoid colon (20%), which is contrary to the general population, and Dukes stage at presentation was B or higher in all patients.[3]
Typical symptoms of CRC include nausea, vomiting, abdominal pain, and altered bowel movements. All the symptoms above can be misdiagnosed as common symptoms of normal pregnancy. Considering the potential risks of further diagnostic tests to the fetus such as colonoscopy or computed tomography (CT), physicians and patients tend to ignore the underlying risks. Perhaps due to the immunotolerance which accompanies pregnancy, colon obstruction, perforation, and metastatic spread seem to occur more frequently in these patients, which leads to the advanced development of malignancy and poorer prognosis.[4]
Because of the rare occurrence of CRC during pregnancy, there is limited experience concerning its diagnosis and treatment, which requires more knowledge and clinical experience to support both patients and physicians.
To the best of our knowledge, we present the rare case of adenocarcinoma of the ascending colon during pregnancy in this study. The patient was successfully treated surgically and a healthy female infant was delivered by caesarean section.
2. Case report
A 31-year-old woman (gravida 4, para 1) was referred to our department from local hospital at 33rd weeks gestation with low fever and right-sided flank pain, which had lasted for nearly half a year and severely aggravated for 5 days. As the patient recalled, previous prenatal examinations in local hospital contributed the pain to kidney stones or uterine contractions without any further inspection. After local outpatient treatment with antibiotics, progesterone and Nonsteroidal Antiinflammatory Drugs (NSAIDs), she was admitted to our department as the pain aggravated. She denied any vomiting, hematochezia, or difficulty with urination.
Moderate iron deficiency anemia, occasional dyspepsia, and diarrhea were present during the whole gestation period.
At the time of presentation, patient had no family history of gynecologic or CRC. Physical examination revealed right-sided abdominal pain on palpation and normal bowel sounds. Vital signs are normal. Body mass index 24.8. Obstetric examination showed no abnormalities. Initial laboratory results included a mildly elevated white cell count and hemoglobin 7.6 g/dL and a mean corpuscular hemoglobin 26.7 pg. Her serum potassium was 4.0 mmol/L. Liver function tests showed the serum albumin was 20 g/L. Urinalysis and routine excrement examination remained normal with no occult blood. Tumor markers serum carcinoembryonic antigen (CEA) was elevated to 70.68 ng/mL. Abdominal ultrasound showed a large heterogeneous cystic mass located below the hepatic flexure of colon. Considering the extremely low risk of radiation teratogenicity in late pregnancy, an abdominal CT scan without contrast was obtained, which revealed incrassation of the ascending colon wall and exudative change around it (Fig. ).
Multiple pathologically enlarged abdominal lymph nodes were observed. No colonoscopy was performed considering the site of the lesion and the possibility to induce uterus contraction of premature delivery.
Computed tomography abdomen images. (A) Incrassation of the ascending colon wall and exudative change around it. (B) Tumor extended to ileocecus of the colon. (C) The skull of the fetus can be seen with similar diameter to the tumor.
After a detailed discussion in a multidisciplinary medical team, a planned delivery by caesarean section and tumor resection during the same operative procedure was performed, following the induced fetal lung maturation by dexamethasone. Intraoperatively, a palpable tumor mass at the hepatic flexure of colon with a diameter of 15 cm was identified, with the right lobe of the liver and perirenal adipose tissue involved. Mucopurulent discharge could be found through the rupture on the necrotic mass. Further abdominal exploration revealed paracolic lymph nodes, intermediate lymph nodes, and middle lymph nodes pathologically enlarged, with none metastatic lesions on pancreas or duodenum.
Both adnexa and the rest of the peritoneal cavity also appeared normal. A 1550-g live female infant with an Apgar score 10-10-10 was delivered at 33rd of gestation. A right hemicolectomy and ileostomy were performed right after the cesarean section. Tumor histology of frozen section confirmed the diagnosis of ulcerative adenocarcinoma of the ascending colon with a diameter of 10 cm. Final pathologic evaluation showed a grade-1 adenocarcinoma with negative lymph nodes (16/0), R0 resection, pT4b pN0 M0, and Dukes B stage. The postoperative course was uneventful while patient received chemotherapy with folinic acid, fluorouracil, and oxaliplatin (FOLFOX) after recovery smoothly and got discharged 1 month after surgery. Patient showed no relapse or progression during the follow-up time of 2 years.
Written informed consent was obtained from the patient for publication of the present case report and any relevant images.
3. Discussion
The most common malignancies complicated with pregnancy are breast cancer, cervical cancer, lymphoma, ovarian cancer, and melanoma,[5–10] which possess a peak incidence during the woman’s reproductive period.
CRC presents in only 1 in 13,000 pregnancies.[3] There has been much controversy on the role of estrogens and progestogens in malignancy during pregnancy. Neoplastic cell cultures in vitro can be stimulated by elevated estrogens and progestogens. On the contrary, recent report showed the incidence of CRC is not influenced by the number of gestations or contraceptive use. Experimental data reported a lack of estrogen/progesterone receptors in CRC.[11] However, a prospective study showed that parity may reduce the risk of colon cancer among women as a result of modifications of hormone profiles.[12] Possible mechanisms include hormonal effects on bile acid metabolism[12,13] and immunologic influences of ABO-incompatible fetal antigens.[14]
Diagnosis of CRC during pregnancy is quite challenging and often delayed because the symptoms (e.g., constipation, abdominal pain, change in bowel habits, nausea, and vomiting) are unspecific and usually attributed to general manifestations of pregnancy without further diagnostic tests considering the potential fetal risks.
Therefore, pregnant women are diagnosed with locally advanced or metastatic CRC more often than general population and have a substantially poorer prognosis.[15] During pregnancy, CEA levels are inevitable increased but within normal range. But elevated CEA value before surgery can be used as a prognostic factor for recurrence and disseminated disease.[16] Colonoscopy is the most definite diagnostic tool which can provide precise biopsy and pathologic examination in general patients with CRC. However, during pregnancy colonoscopy possess the potential risks of uterine pressure, placental abruption, and fetal injury. Abdominal ultrasound is a rather safe diagnostic method compared to CT, which is the standard imaging technique used for determining CRC. Magnetic resonance imaging (MRI) is the imaging tool of choice as abdominal CT is contraindicated in pregnancy for its radioactive teratogenic and carcinogenic effects on the fetus.[17] Unenhanced MRI is preferred because safety of contrast agents during pregnancy has not been proved.
[18] In this case, a plain abdominal CT is obtained instead of MRI because the contraindications during this gestational period is relatively negligible. Meanwhile a CT scan is more detailed on the depth of carcinoma tissue infiltration, lymph node metastasis, and birth canal obstruction. There has been researches showing that CRC pose no threat to the fetus.[19] It is reported that 25 patients delivered normal infants among 32 cases of pregnancy complicated by colon carcinoma.[20] Metastasis to the placenta or embryo is extremely rare as only 1 case has been reported till now, and the infant proved to be normal in the follow-up of 8 months.
To optimally treat the mother and minimize the side effect on the fetus, treatment of CRC during pregnancy must be considered thoroughly from many aspects, including the gestational stage, elective or emergency presentation, the progression of the disease, and the wishes of the patient. Gestational weeks ≤20 weeks: surgical resection is recommended right after diagnosis to minimize the progression of malignancy.
The incidence of premature delivery and low birth weight followed operation is reported to be double that of the general normal pregnancies.[4] Artificial abortion should be considered on personal wishes. Adjuvant chemotherapy or radiotherapy depends on the stage of the cancer. Three cases have been reported of chemotherapy use during pregnancy without any observable adverse effect on the fetus.[21–23] Gestational weeks ≥20 weeks: the operation is recommended to be delayed until a viable fetus is delivered (28–30 weeks), with certain drugs administered to induce fetal lung maturation. Choice between vaginal delivery and caesarean section has been controversial among authors. Resection of tumor should be performed usually 1 to 2 weeks after vaginal delivery when the involution of the uterus and resolution of vascular congestion of pelvic structure completes.[24] In this case, we chose cesarean section to avoid high pressure or trauma to the tumor during vaginal delivery and reduced the harm to the patient by performing tumor resection at the same setting.
Incidence of metastasis to ovaries in CRC is reported to be 3% to 8% among general population but 25% during pregnancy.[25,26] Visual inspection and biopsy of ovaries are highly recommended in the operation, but ovariectomy should not be performed unless metastasis is detected or hysterectomy is unavoidable. Chemotherapy is recommended in patients of Dukes C stage or incomplete excision of the tumor. The 5-fluorouracil-based chemotherapy is relatively safe during the 2nd and 3rd trimester of gestation with lower risk of abortion or malformation (2–3%) compared to the first trimester (15–25%).[27] However, growth retardation and premature labor can still be found, which leaves the decision-making process to the patient herself about whether to apply chemotherapy. Radiotherapy is abandoned during pregnancy and not recommended with the patient willing to bear again since colon cancer is not sensitive to radiotherapy and ovarian function can be devastated.
The prognosis of CRC is about the same at each stage for both pregnant and general patients.
However, gravid women are usually delayed in diagnosis, which leads to more advanced and malignant disease and poorer prognosis. In a research of 39 cases of CRC during pregnancy in United States, 16 were diagnosed at Dukes B stage, 17 at Dukes C, and 6 at Dukes C.[3] In conclusion, early diagnosis, active treatment and more attention to unspecific symptoms from clinicians during pregnancy is the key to reverse this unfavorable situation.
Author contributions
Investigation: Youzheng Xu.
Supervision: Beihua Kong, Keng Shen.
Footnotes
Abbreviations: CEA = carcinoembryonic antigen, CRC = colorectal cancer, CT = computed tomography, FOLFOX = folinic acid, flurouracil, and oxaliplatin.
The authors have no funding and conflicts of interest to disclose.
References
[1] Siegel RND, Jemal A.
Cancer statistics, 2012. CA Cancer J Clin
2012;62:19. [Google Scholar][2] Girard RM, Lamarche J, Baillot R.
Carcinoma of the colon associated with pregnancy: report of a case.
Dis Colon Rectum
1981;24:473–5. [PubMed] [Google Scholar][3] Bernstein MA, Madoff RD, Caushaj PF.
Colon and rectal cancer in pregnancy. Dis Colon Rectum
1993;36:172–8. [PubMed] [Google Scholar][4] Nesbitt JC, Moise KJ, Sawyers JL.
Colorectal carcinoma in pregnancy. Arch Surg
1985;120:636–40. [PubMed] [Google Scholar][5] Pavlidis NA.
Coexistence of pregnancy and malignancy. Oncologist
2002;7:279–87. [PubMed] [Google Scholar][6] Cappell MS, Fox SR, Gorrepati N.
Safety and efficacy of colonoscopy during pregnancy: an analysis of pregnancy outcome in 20 patients. J Reprod Med
2010;55:115–23. [PubMed] [Google Scholar][7] Gibelli B, Zamperini P, Proh M, et al.
Management and follow-up of thyroid cancer in pregnant women. Acta Otorhinolaryngol Ital
2011;31:358–65. [PMC free article] [PubMed] [Google Scholar][8] Amant F, Loibl S, Neven P, et al.
Breast cancer in pregnancy. Lancet
2012;379:570–9. [PubMed] [Google Scholar][9] Morice P, Uzan C, Gouy S, et al.
Gynaecological cancers in pregnancy.
Lancet
2012;379:558–69. [PubMed] [Google Scholar][10] Andtbacka RH, Donaldson MR, Bowles TL, et al.
Sentinel lymph node biopsy for melanoma in pregnant women. Ann Surg Oncol
2013;20:689–96. [PubMed] [Google Scholar][11] Chute CG, Willett WC, Colditz GA, et al.
A prospective study of reproductive history and exogenous estrogens on the risk of colorectal cancer in women. Epidemiology
1991;2:201–7. [PubMed] [Google Scholar][12] McMichael AJ, Potter JD.
Do intrinsic sex differences in lower alimentary tract physiology influence the sex-specific risks of bowel cancer and other biliary and intestinal diseases?
Am J Epidemiol
1983;118:620–7. [PubMed] [Google Scholar][13] McMichael AJ, Potter JD.
Reproduction endogenous and exogenous sex hormones, and colon cancer: a review and hypothesis. J Natl Cancer Inst
1980;65:1201–7. [PubMed] [Google Scholar][14] Bjelke E.
Epidemiologic studies of cancer of the stomach, colon,;1; and rectum; with special emphasis on the role of diet. Scand J Gastroenterol Suppl
1974;31:1–235.
[PubMed] [Google Scholar][15] Shushan A, Stemmer SM, Reubinoff BE, et al.
Carcinoma of the colon during pregnancy. Obstet Gynecol Surv
1992;47:222–5. [PubMed] [Google Scholar][16] Fletcher RH.
Carcinoembryonic antigen. Ann Intern Med
1986;104:66–73. [PubMed] [Google Scholar][17] Hodnett PA, Maher MM.
Imaging of gastrointestinal and hepatic diseases during pregnancy. Best Pract Res Clin Gastroenterol
2007;21:901–17. [PubMed] [Google Scholar][18] Kanal E.
Pregnancy and the safety of magnetic resonance imaging. Magn Reson Imaging Clin N Am
1994;2:309–17. [PubMed] [Google Scholar][19] Donegan WL.
Cancer and pregnancy. CA Cancer J Clin
1983;33:194–214. [PubMed] [Google Scholar][20] Woods JB, Martin JN, Jr, Ingram FH, et al.
Pregnancy complicated by carcinoma of the colon above the rectum. Am J Perinatol
1992;9:102–10. [PubMed] [Google Scholar][21] Gensheimer M, Jones CA, Graves CR, et al.
Administration of oxaliplatin to a pregnant woman with rectal cancer. Cancer Chemother Pharmacol
2009;63:371–3.
[PubMed] [Google Scholar][22] Jeppesen JB, Osterlind K.
Successful twin pregnancy outcome after in utero exposure to FOLFOX for metastatic colon cancer: a case report and review of the literature. Clin Colorectal Cancer
2011;10:348–52. [PubMed] [Google Scholar][23] Kanate AS, Auber ML, Higa GM.
Priorities and uncertainties of administering chemotherapy in a pregnant woman with newly diagnosed colorectal cancer. J Oncol Pharm Pract
2009;15:5–8. [PubMed] [Google Scholar][24] Walsh C, Fazio VW.
Cancer of the colon, rectum, and anus during pregnancy. The surgeon’s perspective. Gastroenterol Clin North Am
1998;27:257–67. [PubMed] [Google Scholar][25] Kitoh T, Nishimura S, Fukuda S, et al.
The incidence of colorectal cancer during pregnancy in Japan: report of two cases and review of Japanese cases. Am J Perinatol
1998;15:165–71. [PubMed] [Google Scholar][26] Pitluk H, Poticha SM.
Carcinoma of the colon and rectum in patients less than 40 years of age. Surg Gynecol Obstet
1983;157:335–7. [PubMed] [Google Scholar][27] Pentheroudakis G, Pavlidis N.
Gastrointestinal, urologic and lung malignancies during pregnancy. Recent Results Cancer Res
2008;178:137–64. [PubMed] [Google Scholar]90,000 Colon cancer – symptoms and treatment
Anatomy of the colon
The colon is the part of the large intestine that begins at the end of the small intestine (this place is called the ileocecal or ileo-cecal angle) and continues until the transition to the rectum, which, in turn, is the final part of the intestine and passes into anal canal. The colon is projected onto the right lateral region, the middle-upper part of the abdomen and the left lateral region, it is a hollow tube in which fluid is absorbed and the faeces are gradually formed.The wall of the large intestine consists of four layers, closer to the lumen of the intestine is the mucous membrane, then the submucosa, muscular and serous membranes go from the inside to the outside. The large intestine has a mesentery in which blood and lymph vessels pass. The colon is divided into right and left halves, each of which develops from a separate embryonic structure and has its own blood supply.
As you know, a person has two circles of blood circulation – small (pulmonary), where oxygen is obtained and carbon dioxide is released, and large, during which all organs are supplied with blood, and the heart is the center where these circles unite.Blood, which received oxygen in the lungs, flows through the arteries of the systemic circulation from the heart to the organs. The right half of the colon, like the small intestine, receives blood from the superior mesenteric artery, and the left half of the colon and the upper rectum from the inferior mesenteric artery. These arteries are large vessels, their diameter can reach 5-10 mm. Venous blood, carrying carbon dioxide and metabolic products, flows from the large intestine through the superior mesenteric and inferior mesenteric veins and, before entering the heart and lungs, passes through the liver.
Who protects our body from the inside?
The lymphatic system in the period of intrauterine development is laid along with the arterial system, so the lymph nodes are located in humans along the arteries.
For the colon, there are three levels, or orders, of lymph nodes. The lymph nodes of the first order are located at the very edge of the intestine, closer to the intestinal wall. The nodes of the second and third order are located a little further than the second order – along the medium-sized vessels supplying the intestine, and the apical ones (from the word apex (lat.) – apex, apex, apicalis (lat.) – apical), or in another way, third-order lymph nodes – in the largest vessels feeding the colon. Lymph nodes are the “watchmen” of the body, protecting it from the spread of foreign infectious agents and tumor cells.
Cancer (cancer (lat.), C-r) is a malignant tumor from epithelial cells that has the ability to grow into an organ and surrounding structures and spread (metastasize) to lymph nodes and other organs located far from the tumor.Patients often call all malignant tumors cancer, although this is incorrect from the point of view of oncology.
Colon cancer develops from the mucous membrane of the intestinal wall, which is the glandular epithelium.
Such a tumor is called “adenocarcinoma” (from aden (lat.) Iron and carcinoma (lat.) Cancer, cancerous tumor). Oncologists, coloproctologists, surgeons, chemotherapists are involved in the treatment of this disease. Tumors of a different nature (carcinoid, gastrointestinal stromal tumors) in the colon are much less common (3-5% of all malignant neoplasms of the colon).
The Clinic for Coloproctology and Minimally Invasive Surgery can treat any tumors of the colon.
Colon cancer arises and begins to grow from the side of the mucous membrane (the inner lining of the intestine), gradually growing into the remaining layers of the intestinal wall and adjacent organs. All malignant tumors are characterized by the ability to spread not only by the growth of the primary tumor, but also by “screening out” of individual cells – metastasis. The groups of lymph nodes have been described above.In most cases, the lymph nodes are the first target for tumor metastases; those lymph nodes that are regional for a given section of the intestine (correspond to the vessels supplying this section with blood) are affected.
Distant metastases spread with blood flow. As mentioned above, blood from the abdominal organs flows through the veins leading to the liver, and it is in the liver that distant metastases most often occur. The second most common organ, where distant metastasis of colon cancer occurs, is the lungs, where blood from all organs enters for gas exchange.Other organs are much less likely to be affected. Another way of tumor metastasis is the appearance of tumor screenings on the peritoneum (the membrane that covers the abdominal cavity from the inside). Such a lesion is called carcinomatosis. The degree of tumor prevalence determines the stage of the cancer, as well as, directly dependent on the stage, treatment tactics and prognosis.
The main way of developing colon cancer is malignant degeneration of polyps – benign formations of the colon mucosa.Also, risk factors include inflammatory bowel diseases, diet disorders, smoking, hereditary history of oncological diseases.
Heredity can play an important role in the development of cancer, since every tenth carrier of colorectal cancer has a hereditary predisposition to this disease.
If you have relatives with colorectal cancer in your family, you should be especially wary about your health. Hereditary cancers can occur even at an early age.In such a situation, it is especially important to be thoroughly and timely examined.
The most effective method for the prevention of colon cancer is timely removal of polyps. This is a minimally invasive surgery performed during colonoscopy – an endoscopic examination of the colon. In order to timely identify polyps, which often do not manifest themselves with any symptoms, it is necessary, starting from the age of 45-50, to undergo a colonoscopy every 5 years. People whose relatives have had colon or rectal cancer should be tested at an earlier age, and when a diagnosis of hereditary colorectal cancer is established, the patient’s relatives should begin the examination at the age of 5 years younger than the age of diagnosis of the sick relative.No other methods (tumor markers, fecal occult blood test, virtual colonoscopy) are as effective as colonoscopy as a method of preventing colon cancer.
Other methods of preventing colon cancer include a diet that restricts red meat and highly fried foods, restricting alcohol and smoking, maintaining a healthy body weight, and an active lifestyle.
Colon cancer can manifest itself with different symptoms, in some cases, until a certain point, a latent, asymptomatic course of this disease is possible.All symptoms can be divided into “acute” – requiring emergency medical care, and “chronic” – allowing for examination and selection of treatment tactics in a planned manner.
Acute colon cancer symptoms are life-threatening, caused by complications of colon cancer and often lead to emergency hospital admissions to the surgical department in an ambulance. It should be said that the symptoms, which will be discussed in this section, are characteristic not only of complications of colon cancer, but also for other urgent surgical diseases that cause a clinical picture of “abdominal catastrophe”.
Bleeding from the anus
Discharge of blood during bowel movements, traces of blood on toilet paper and on the walls of the toilet bowl accompany many other, including benign, coloproctological diseases.
A large amount of fresh blood, dark blood clots, or stool mixed with blood from the anus is a reason for an emergency visit to a medical facility. Colon cancer may be the cause of bleeding.
Intestinal obstruction
The intestine, as mentioned above, is a hollow tube.If an obstacle appears in any department (both inside the lumen and squeezing from the outside), the passage of feces through the intestine stops and a picture of intestinal obstruction develops. The manifestation of this condition will be cramping abdominal pain, bloating, absence of stool and gas, dry mouth, nausea, fever. One of the causes of intestinal obstruction can be a tumor in the colon. This condition is the reason for emergency hospitalization in the surgical department.
Colon perforation
Perforation – violation of the integrity of the intestinal wall, the formation of an opening in it – is also an emergency surgical disease. At the time of perforation, a person feels sharp, like a blow with a dagger, pain, then spreading throughout the abdomen, fever, dry mouth, nausea.
The entry of intestinal contents into the abdominal cavity leads to peritonitis and sepsis, therefore this situation requires urgent surgical intervention.Colorectal cancer can be one of the causes of colon perforation.
Symptoms leading to the suspicion of colon cancer are very varied. They differ for cancer of the right and left colon sections, sometimes they do not have a special effect on a person’s life and can be ignored or completely unnoticed. If we talk not only about colon cancer, but about oncological diseases in general, all symptoms can be divided into “general” and “particular”. Private are a manifestation of tumor growth and reflect dysfunction of an organ or structure involved in the tumor process.General symptoms are nonspecific, characteristic of many diseases, but both by themselves and in combination with other symptoms should alert and force an examination.
Common symptoms of colon cancer
The most common common symptom is weakness and fatigue.
If you notice that you are unusually tired during normal exertion, this is already a reason to think about your health and turn to specialists. Dizziness, pallor of the skin usually indicate anemia, which is the eternal companion of cancer.Weight loss, which also often accompanies a malignant process in the body, should also alert.
Particular symptoms of colon cancer
Colon tumor can manifest itself as digestive disorders, abdominal discomfort, bloating, changes in stool, the appearance of blood and mucus in the stool, a slight increase in body temperature. Contrary to popular belief among patients, pain is not the most common and not the most characteristic sign of cancer and can appear only in the later stages of the disease.Any of the listed symptoms are the reason for contacting a coloproctologist and conducting an examination to identify the disease that caused these symptoms.
Biopsy
The main method that allows to say with absolute certainty that a patient has colon cancer is a histological examination of a tumor fragment.
To confirm the malignant nature of tumor growth, it is necessary to examine the tumor tissue under a microscope. This test is done after the specimen is obtained during a colonoscopy with biopsy.
Colonoscopy
For all patients with complaints that may indicate a disease of the colon, we recommend an endoscopic examination of the colon – colonoscopy. Colonoscopy is an instrumental examination of the intestinal lumen from the inside with a special instrument with a camera inserted through the anus. This study can be performed both in sleep (under anesthesia) and without it. For colonoscopy, bowel preparation is extremely important, since this study requires visual interpretation by an endoscopist.It is necessary to create all conditions for a complete view of the large intestine, in other words, to clear it of its contents. There are special preparations for cleansing the intestine; the doctor who sends the patient for examination tells in detail about the method and scheme of preparation.
In case of violation of intestinal patency, an individual choice of the method of preparation for colonoscopy is necessary.
Sigmoidoscopy
Sigmoidoscopy is a diagnostic method in which a visual examination of the rectum, rectosigmoid junction and distal parts of the sigmoid colon is performed.The study is carried out using a special device, which is a tube with a light source. The disadvantage of this study is that the rest of the intestine is left unchecked. That is why, not today, this diagnostic method is not appropriate to use for primary diagnostics. History developed in such a way that at a time when modern flexible colonoscopes were not available, such rigid tubes were used. Moreover, it must be admitted that this method has never been used to diagnose colon cancer.His lot now is to re-examine rectal tumors (for example, if it is necessary to perform a repeated biopsy or determine the distance to the tumor from the anus).
Irrigoscopy
Irrigoscopy – X-ray examination, during which several pictures of the colon are taken.
In order for the intestine to be visible on an X-ray, it is filled with a radiopaque substance (administered with an enema). The first picture is taken when the bowel is full. After emptying the intestine, it is inflated with air and the pictures are repeated.This study allows you to identify and reliably determine the localization of the tumor.
Computed tomography (CT)
CT is an X-ray scan of an anatomical area, as a result of which many images are taken at short intervals. Patients with a tumor of the colon are shown to perform computed tomography of two areas – the abdominal cavity and the chest, and the study of the abdominal cavity must be performed with intravenous contrast.This study is the gold standard for the diagnosis of colon cancer, allows you to determine the spread of the tumor, to suspect the presence of lymph nodes affected by tumor cells, and to identify distant metastases. In addition, the 3D reconstruction of the vascular structure performed on the basis of CT allows to plan the course of the operation, taking into account the individual characteristics of the patient.
Computed tomography is performed in the department of radiation diagnostics, during the examination, the patient will be offered to lie on a special gurney passing through a large round coil.Before the examination, a venous catheter is inserted through which a contrast agent will be injected. It is very important to get not only a written opinion from specialists in radiation diagnostics, but also a disc with a recorded study. Computed tomography allows you to answer many questions that determine the tactics of treatment. After the examination, you must provide the conclusion of the radiation diagnostician and the disk with the files to the coloproctologist to familiarize himself with the conclusion and study of the disk. In the Clinic for Coloproctology and Minimally Invasive Surgery, all specialists have the knowledge and skills to study CT research.
PET-CT
In some cases, it may be necessary to perform positron emission tomography (PET-CT) to clarify the extent of the tumor process.
This study is similar to a conventional tomography, but is carried out using a special contrast agent, which will be visible in the images in those tissues in which there is an increased metabolism. Some organs normally accumulate contrast, for example, the bladder, kidneys and brain, but tumor cells are especially characterized by an accelerated metabolism, so this study allows you to see even the smallest tumor screenings – both in the lymph nodes and in other organs.
Ultrasound and radiography of the abdominal cavity
Ultrasound and radiography are not the gold standard for diagnosing colon tumors and determining the stage of the tumor process, but are used to diagnose acute complications of colon cancer.
MRI of the abdominal organs
Magnetic resonance imaging of the abdominal cavity is not a standard test for colon tumors, but in the case of metastatic liver damage (or suspicion of it) it is necessary to determine the characteristics of focal lesions in the liver and decide on further treatment tactics .
..
Laboratory tests
General and biochemical blood tests, a coagulogram (blood clotting test) and a general urine test are mandatory when examining patients with cancer and allow you to assess the general condition of the body.
Tumor markers
Blood tests for tumor markers (special substances produced by the tumor) are performed for all patients with colorectal cancer. Positive results are not a basis for a diagnosis, but indicate the need for further examination.When the diagnosis of “colorectal cancer” is established, the values of these tests allow an indirect assessment of the prognosis. The most informative for colorectal cancer are tumor markers: CA19-9 and CEA.
Additional tests
Fecal occult blood test is a simple and quick method of screening for colorectal cancer, but, unfortunately, not the most reliable one. The likelihood of a false positive result is high, it may be associated with dietary habits, any other causes of hidden bleeding in the gastrointestinal tract, even with trauma to the gums when brushing teeth on the day of the study.
In order to find out the reason for a positive occult blood test result, a more complete examination is necessary.
Virtual colonoscopy is a method that combines computed tomography and irrigoscopy, but does not have the advantages of conventional colonoscopy. After the bowel is prepared, a CT scan is done and the colon is inflated with air. After the examination, specialists in radiation diagnostics perform 3D reconstruction of the intestinal lumen, which allows you to examine the entire colon “from the inside”, but if any changes are suspected, colonoscopy and biopsy are necessary.
Gastroscopy should be performed in all patients with colorectal cancer, not only to exclude synchronous gastric lesions, but also to detect (and, if necessary, subsequent treatment) gastritis and peptic ulcer disease in patients within the framework of preoperative preparation and treatment.
From the point of view of psychologists, a person faced with a difficult situation in life, including the identification of a serious illness, goes through 5 stages:
- Denial
- Anger
- Bargaining
- Depression
- Acceptance
Experiencing worrying, getting upset after being diagnosed with cancer is an absolutely normal human reaction, but the sooner you can accept the circumstances and take your own fate into your own hands, the better.
The sooner the examination and treatment is carried out, the more chances of a favorable prognosis. Modern methods of treatment allow to achieve good treatment results without loss of quality of life. After establishing the diagnosis, you should register at an oncological dispensary, conduct an additional examination and receive a referral for treatment, but you should know that the patient can choose the institution in which he will undergo treatment and go there for a consultation. Therefore, from the point of view of coloproctologists, a patient diagnosed with colon cancer should go through the following 5 stages:
- Contacting a medical institution where the patient plans to undergo treatment.
- Maximum complete follow-up examination.
- Determination of treatment tactics at the oncological council.
- Treatment.
- Rehabilitation and follow-up.
Stages of Colon Cancer and Methods of Treatment
The only radical treatment for colon cancer is surgery.
Only the operation to remove the tumor and lymph nodes can completely remove all manifestations of the malignant process (with resectable cancer).An adjunct to the operation is chemotherapy, which can be carried out both before and after the operation, if there are certain indications. Before talking about treatment in detail, you should understand the stages of colorectal cancer. The features of the growth of the primary tumor and the pathways of metastasis of colorectal cancer were described above, and it is they that determine the stage of the disease.
There is a TNM classification denoting the spread of the primary tumor (T), the presence of affected lymph nodes (N) and distant metastases (M).In addition to these, there are additional indices that can be used when formulating a diagnosis, however, it is the values of the above three indices that indicate the clinical stage. In total, four stages of colorectal cancer are distinguished, the higher the sequence number of the stage, the more pronounced the spread of the tumor.
- Stage 1 means a localized tumor process within the mucous or muscular layer of the intestine.
- Stage 2 corresponds to a tumor lesion of the entire intestinal wall and even spread to neighboring organs, but in the absence of damage to the lymph nodes.
- Stage 3 is established in the presence of affected lymph nodes with any extent of the tumor.
- Stage 4 is determined by the presence of distant tumor metastases or carcinomatosis in any tumor size and any condition of the lymph nodes.
The stage can be established clinically (that is, only when using instrumental examination methods) and morphologically (after examining the removed intestine and lymph nodes under a microscope), this is indicated by the indices “c” and “p”, respectively.Morphological examination has the greatest reliability than all instrumental diagnostic methods taken together, and therefore the stage can change after the operation both in a smaller and a larger direction, and this is not a diagnostic error.
In the treatment of stage 0 and stage I tumors, local excision of the tumor is possible – a minimally invasive endoscopic operation. It is performed during colonoscopy under general anesthesia; incisions in the anterior abdominal wall are not made. After the operation, it is necessary to be observed for several days in the hospital and follow a sparing diet.After receiving the results of morphological (in other words, histological) research, two options for further tactics are possible. Based on the conclusion of the morphologist, prognosis factors are determined. In the absence of unfavorable factors, it is possible to limit ourselves only to observation according to the program of postoperative monitoring, however, in the presence of unfavorable factors, the patient will be offered an operation to remove a portion of the intestine and lymph nodes. The final decision is made at the oncological council, where the patient’s opinion is also taken into account.
Treatment of stage II-III tumors consists in removing a section of the intestine with a tumor and all regional lymph nodes, such an operation can be performed in any way – robotic, laparoscopic or open.
Sometimes, several courses of chemotherapy are prescribed before surgery to improve the results of surgical treatment. The number of removed lymph nodes is the most important prognosis factor, even in the absence of their defeat, this is another of the advantages of performing extended lymph node dissection.Removal and detection of less than 12 lymph nodes in the preparation is, by current standards, unacceptable in the treatment of colorectal cancer.
After the operation, the specimen (intestine and lymph nodes) is sent to the morphological laboratory, examined under a microscope. After receiving the result, the following treatment options are possible:
- in the absence of unfavorable prognosis factors, additional treatment methods are not needed and the patient is monitored according to the monitoring program.
- in the presence of unfavorable prognosis factors, postoperative chemotherapy is recommended.
In some cases, additional examination is necessary – an immunohistochemical and / or genetic study (determination of microsatellite instability), which allows predicting the prognosis and response to chemotherapy.
Treatment of stage IV colorectal cancer – the most unfavorable in long-term results, is a controversial and controversial issue. Stage IV patients constitute a heterogeneous group that differs in many factors that can determine the prognosis – the number and size of metastases, their localization, the size and location of the primary tumor, the degree of manifestation of tumor symptoms and metastases, the presence of affected lymph nodes, the presence of genetic mutations in the tumor.In this group, chemotherapeutic, surgical (including endoscopic) treatment, the impact on metastases using high-tech methods and, of course, combinations of these methods of treatment are possible. In modern recommendations for this stage, the following is prescribed: chemotherapy is indicated, but surgical treatment is also possible. Taking into account the various manifestations of the disease and different prognosis factors, in the treatment of stage IV colon cancer, an individual approach is required, and the decision on treatment should be made collectively, at the oncological council.
First of all, patients with stage IV colon cancer should be divided into the following groups: patients with resectable, conditionally resectable and unresectable metastases. The first of these groups has the most favorable prognosis, in this case it is possible both to remove a tumor of the colon with lymph nodes and metastases during one operation, and to divide these stages into two operations.
Patients with conditionally resectable metastases are shown chemotherapeutic treatment with subsequent assessment of the dynamics of changes in metastases, and when the resectable state of metastases is achieved, an operation to remove all manifestations of the tumor process.After surgery, all patients with stage IV are shown chemotherapy in the absence of contraindications. Schematically, all treatment of patients with conditionally resectable and resectable metastases can be divided into blocks: “chemotherapy before surgery,” “surgery for a colon tumor,” “surgery for distant metastases,” “chemotherapy after surgery,” and by combining these blocks , one can imagine how many sequences of treatment steps are possible in this group of patients. Only a team approach, an assessment of all risk factors, the involvement of doctors of different specialties in the discussion of each clinical situation allows you to choose the right treatment strategy.
For patients with unresectable metastases, two treatment options are possible – a combination of bowel tumor surgery with chemotherapy or chemotherapy alone. According to studies by many foreign authors, in stage IV colorectal cancer with unresectable metastases, surgery to remove the primary tumor in combination with chemotherapeutic treatment improves the results compared to chemotherapy alone.
Unfortunately, there are situations when both metastases and the primary tumor cannot be removed surgically.In this case, it is possible to conduct chemotherapy with a subsequent assessment of the possibility of performing surgical treatment, as well as performing operations that alleviate the patient’s condition and improve the quality of life.
All radical and conditionally radical surgeries for colon cancer can be schematically represented as follows:
- Access (open, laparoscopic, robotic)
- Surgical technique:
- lymphadenectomy and removal of a section of the colon carrying a tumor, extraction of the drug;
- restoration of intestinal continuity – formation of an anastomosis.
- Suturing the wound or wounds of the anterior abdominal wall.
It is possible to read in detail about robotic, laparoscopic and open operations in the corresponding sections of our website.
For colorectal cancer, the following operations are performed:
Right-sided hemicolectomy – removal of the right half of the colon with the end portion of the small intestine. It is performed for cancer of the ascending colon, tumor localization in the cecum, hepatic flexure of the colon, cancer of the flexure of the colon.
Resection of the transverse colon is performed for cancer of the transverse colon, may be accompanied by lymphadenectomy along two vascular systems, since the transverse colon is supplied with blood from the branches of both the superior and inferior mesenteric arteries.
Left-sided hemicolectomy – removal of the left half of the colon, is now rarely performed, the preference is given to resection of the left sections, and the length of the removed section of the intestine is determined by the localization of the tumor and the structure of the vessels.Left-sided hemicolectomy in the modern world is used for simultaneous damage to the left colon by several tumors.
Resection of the left colon is performed when the tumor is located in the splenic flexure, descending colon and proximal third of the sigmoid colon.
Resection of the sigmoid colon is performed for tumor lesions in the middle third of the sigmoid colon.
Anterior rectal resection is performed not only for rectal cancer, but also for colon cancer – with damage to the distal third of the sigmoid colon and rectosigmoid junction.With such a localization of the tumor, it is necessary to remove a small section of the rectum so as not to disrupt the blood supply of the future anastomosis.
All operations for colorectal cancer in our clinic are performed with extended lymph node dissection, that is, with the removal of lymph nodes of all three orders. This approach was borrowed by us from Japanese Oncology, a country that is a leader in the treatment of oncological diseases. Extended lymph node dissection allows to improve the results of treatment in comparison with conventional and even more uncertain lymphadenectomy, which, unfortunately, is still performed in domestic institutions.Removal of more lymph nodes can reliably determine the stage and improve the prognosis of colorectal cancer treatment.
Reconstructive step – the formation of the anastomosis – can be performed both manually (sections of the intestine are stitched with threads), and mechanically – using special staplers (sections of the intestine are fastened with staples). In cases where there are risks of anastomotic leakage (systemic diseases associated with impaired microcirculation, poor preparation of the large intestine with partial violation of intestinal patency), a preventive stoma is formed – a bowel loop is drawn onto the anterior abdominal wall.This allows you to turn off the passage through the intestine and give the anastomosis time to heal, and then – to perform a reconstructive operation and return the natural course of intestinal contents. It should be noted that preventive stoma is formed much less frequently in colon cancer than in rectal cancer, when its formation at certain tumor localizations is planned in advance.
What to do if the tumor cannot be removed?
If it is impossible to perform operations of the above volume (for example, in an emergency with a complicated course of the disease or with an unresectable primary tumor), symptomatic operations are performed, which can become a “bridge” to more radical treatment.Such operations include:
- forming a bypass anastomosis,
- forming a stoma,
- endoscopic stenting.
If one of these operations was performed, do not assume that this is the end of the treatment. The possibilities of surgical treatment depend not only on the prevalence of the tumor process and the presence of complications, but also on the equipment of the operating room and the level of training of surgeons, and the last two aspects in the surgical department of a city hospital, unfortunately, may differ from the clinic equipped with the latest technology, whose employees every day face cancer.After the recovery period, you should contact an oncologist or coloproctologist for further examination, to decide on further treatment, and you should never neglect the opportunity to seek another opinion from specialists.
Preparation for surgery
After the examination is completed, the stage is established, the decision on surgical intervention is made, the main stage of treatment begins – the operation. This is an exciting and even frightening event, and each person experiences before the operation, but understanding the process of treatment itself and, most importantly, its necessity usually helps to improve the emotional background.Preparation for surgery can begin long before hospitalization, if compensation for the manifestations of concomitant diseases is necessary. At this stage, training is supervised by anesthesiologists and therapists. You should not hide the presence of chronic diseases and be afraid that this may cause a refusal in the operation. Planned surgeries, even for oncological diseases, in most cases can be postponed for some time, necessary to treat concomitant diseases, the exacerbation of which can lead to complications during or after surgery.After surgery for colon cancer, it is necessary to wear compression stockings and a bandage on the anterior abdominal wall, it is better to take care of them before surgery. After hospitalization, already in the hospital, the last stages of preparation are carried out – cleaning the colon and shaving the area of operation.
Operation
On the day of the operation, you should be on an empty stomach, and in the morning, do not forget to put on compression stockings. The department staff brings patients to the operating room on a gurney, where the patient is met by an anesthesiologist and an anesthetist nurse, who begin to perform their manipulations – the installation of a venous catheter, an epidural catheter, tracheal intubation (insertion of a tube into the airway), installation of a urinary catheter and gastric tube, puncture of the subclavian veins.The anesthesiologist will tell you in detail about the upcoming procedures on the eve of the operation. Most of these procedures are performed under anesthesia, the patient is conscious only when a venous catheter is inserted (the procedure is no more painful than taking blood from a vein) and an epidural catheter is inserted (a prick is felt in the skin of the back – local anesthesia before a puncture). In addition, sensors for the oxygen content in the blood (a plastic clothespin for a finger), blood pressure (a cuff for the shoulder) and sensors for recording an electrocardiogram are connected.The surgical operation begins after the completion of the manipulations of the anesthesiologists, who, in turn, will monitor the patient’s condition and the course of anesthesia during the entire operation. After the end of the operation, the patient is woken up in the operating room or transported to the intensive care unit and woken up already there. Usually, on the first day, all patients after surgery for colon cancer are monitored in the intensive care unit, while vital functions are monitored (urinary catheter, a clothespin on the finger, a cuff and ECG sensors remain with the patient for the entire period of stay in the intensive care unit), and intensive therapy is also carried out.With a smooth course of the postoperative period, transfer to the ward of the department is carried out.
Postoperative period
The most important rule of the postoperative period is early activation. After transferring to the ward, you must definitely sit in bed, do breathing exercises, get up, walk around the ward and in the department – move as much as possible. This contributes to the restoration of intestinal motility, and is also the prevention of complications from the respiratory system and thromboembolic complications.The nutritional characteristics after the operation are quite individual, the diet in the postoperative period is prescribed and monitored by the attending physician. Usually, the first time you should eat everything liquid and grated, then you can expand the diet. In the postoperative period, the subclavian and epidural catheter, installed before the operation, remains, through which medicinal substances will be injected. The urinary catheter is removed during transfer to the department if there is no indication for its longer use. Usually, after the operation, a drainage is installed – a hollow tube – through an opening in the right or left side, which is removed a few days after the operation in the absence of indications for its longer standing.In the department, dressings are performed, drug therapy is carried out. Gradually, all catheters and drains are removed and the patient prepares for discharge. The terms of hospitalization are individual, determined by the characteristics of the operation and the course of the postoperative period.
After discharge from the hospital and receiving the results of histological examination, further treatment tactics are determined. Despite the fact that patients return to their usual rhythm of life either immediately after surgery or after postoperative chemotherapy, this disease should not be forgotten.All patients operated on for colon cancer need to undergo follow-up examinations under the monitoring program, which must be taken into account when planning their schedule and taken regularly.
The program developed in our clinic provides for examinations every three months and is aimed at early detection of possible progression or recurrence of colon cancer. We strive to maintain contact with all of our patients after surgery, so you should not be surprised if your doctor or postoperative monitoring employee calls or e-mails you and inquires about the results of postoperative examinations.Timely postoperative monitoring under the supervision of your attending physician is the key to successful treatment.
What is the life expectancy for colon cancer?
It is impossible to predict how long the life span will be. There are 5-year survival rates (the probability of living for 5 years), which directly depend on the stage of the disease and the treatment performed. In addition, there are factors of favorable and unfavorable prognosis of the course of the disease.You can find out about the prognosis of the disease from your attending physician, who is familiar with all the data of your clinical situation.
Will I be able to return to my normal life after treatment?
All patients return to their usual rhythm of life. The first time after the operation there will be restrictions on physical activity and diet, but gradually these restrictions will be removed. Chemotherapy, if indicated, means a two-day hospitalization every two weeks for six months (or less frequently and shorter with other chemotherapy regimens).Carrying out examinations under the monitoring program with subsequent consultation is possible in one day on an outpatient basis, that is, without hospitalization in a hospital.
Should I tell my relatives about the disease?
Each patient decides this question for himself. Upon hospitalization, the patient signs a consent to report information about his health, where he can indicate which of the relatives can communicate with the attending physician and receive information. Before making this decision, you should take into account that after the operation, you may need the help and support of loved ones.
Should I tell my relative that he is sick?
This ethical issue is regulated by federal law.
Everyone has the right to receive, in an accessible form for him, information available in a medical organization about his state of health, including information about the results of a medical examination, the presence of a disease, about the established diagnosis and the prognosis of the development of the disease, methods of providing medical care associated with them. risks, possible types of medical intervention, its consequences and the results of medical care.
Health information cannot be provided to a patient against his will. In the event of an unfavorable prognosis of the development of the disease, information should be communicated in a delicate form to the patient or his spouse, one of the close relatives (children, parents, adopted children, adoptive parents, siblings, grandchildren, grandfathers, grandmothers), unless the patient forbids inform them about it and (or) did not specify another person to whom such information should be transferred.
What to do if the operation is refused?
Do not be afraid to contact another institution. Each clinical situation should be considered individually, and treatment tactics should be chosen at the oncological council
What is an oncological council?
This is a meeting of physicians from several specialties involved in the examination and treatment of a patient with cancer. In our clinic, specialists in radiation diagnostics, endoscopists, chemotherapists, surgeons, radiation therapists, anesthesiologists and morphologists meet regularly to determine the treatment strategy for patients with colorectal cancer.If necessary, specialists of a narrow profile are invited (gynecologists, urologists, cardiac surgeons). Any patient with colorectal cancer can contact our clinic, even if he is being treated in another institution, and the treatment tactics will be determined collectively. You can find out more about the oncological council here.
What to do if you had an emergency operation in the surgical department?
It is necessary to contact an oncological dispensary or an institution specialized for this disease.An operation performed for emergency indications may not be radical, therefore, a second operation or other additional treatment may be required.
What if the stoma is removed?
Colon cancer rarely has a permanent stoma. It is possible to perform a reconstructive surgery, you can learn more in the corresponding section of the website and consult with our doctors
Is there an alternative to surgical and chemotherapy treatment?
No.Beware of scammers who offer “traditional medicine” methods. Unfortunately, these dishonest people have good persuasion and can attract patients to “treatment” with completely ineffective and harmful methods. Even if the use of herbs, prayers, urine or other methods of “treatment” does not do much harm to your body, time will be wasted and the disease can spread so much that radical treatment will not be possible. Ignore such suggestions, do not trust information from unverified sources, and first of all ask all your questions about your disease and its treatment to a specialist.
How is chemotherapy performed?
Chemotherapy is administered intravenously, a combination of tablet and injection forms is possible. For chemotherapy, it is possible to install a special intravenous port system.
What complications of chemotherapy are possible? Will your hair fall out?
There is no such side effect as baldness when using chemotherapy regimens for colorectal cancer. Possible side reactions: nausea, vomiting, diarrhea, rash on the skin, impaired sensitivity of the distal extremities, anemia and leukopenia.When severe adverse reactions appear, the dose is reduced or the chemotherapy regimen is changed.
What to do if the lymph nodes were not removed during the operation?
First, it is possible to consider performing a reoperation. Secondly, it is an indication for chemotherapy if more than two months have not passed after the first operation and there are no contraindications for chemotherapy. In such a situation, you should contact a specialized institution for consultation in order to determine the tactics of treatment or participation in an oncoconsilium.
Are there often relapses?
When carrying out radical treatment according to modern standards, their frequency is reduced to a minimum. In order to recognize and treat relapse in time, it is necessary to follow the monitoring program.
What are the complications after surgery?
Unfortunately, there are sometimes complications after the operation. Some of them may even require reoperation. Possible complications from the postoperative wound, de-compensation of concomitant diseases, bleeding, anastomotic leakage.The team of our clinic is doing everything possible to avoid complications in the postoperative period.
Who will look after the surgery?
Postoperative patients are cared for by junior and paramedical staff, as well as the patient’s relatives. If necessary, an individual post is possible – a nurse who devotes time to one patient during the day.
What are the conditions in the ward?
All wards of our clinic are comfortable and fully equipped for postoperative patients.
How to get an appointment at our clinic?
Any person who needs treatment for the colon, anal canal and perineum can apply to the Coloproctology and Minimally Invasive Surgery Clinic. For an initial consultation, you must make an appointment with the Clinic’s administrators.
90,000 Colon tumors (Colon cancer)
Disease diagnosis
For the diagnosis of colon tumors, X-ray examination (irrigoscopy), endoscopic examination (colonoscopy), digital and endoscopic examination of the rectum (sigmoidoscopy) are used.
Clinical manifestations of colon cancer
Clinical manifestations of colon cancer largely depend on the location of the malignant neoplasm , the degree of spread of the tumor process and the presence of complications , aggravating the course of the underlying disease.
Most frequent symptoms: abdominal pain, impaired motor-evacuation function of the intestine clinically manifested by alternating constipation and diarrhea, pathological discharge with feces, changes in the general condition of the patient and, finally, a tumor palpable through the anterior abdominal wall.
Abdominal pain is the most common symptom of colon cancer and occurs in almost 80% of patients. In clinical observations with right-sided localization of the tumor, pain, as one of the first symptoms of cancer, occurred 2-3 times more often than with cancer of the left half. This fact is explained by impaired motor function: pendulum movement of intestinal contents from the small intestine to the blind and back.
Spastic contractions of the intestine pushing the stool through the intestinal lumen partially blocked by the tumor cause pain.Intratumoral and perifocal inflammation of the intestinal wall, often accompanying disintegrating infected tumors, aggravates pain.
Colon tumors can proceed for a long time without pain and only when the neoplasm spreads beyond the intestinal wall, when passing to the peritoneum and surrounding organs, pains appear, the intensity and frequency of which may be different. Depending on the localization of the tumor, the pain syndrome can simulate chronic appendicitis, cholecystitis, gastric ulcer and 12 duodenal ulcer, chronic adnexitis.
Malignant neoplasms of the right half of the colon are characterized by a combination of pain syndrome, hyperthermic reaction (fever), leukocytosis and stiffness (tension) of the muscles of the anterior abdominal wall . The clinical manifestations of the disease resemble destructive appendicitis, and the correct diagnosis can be established only during the revision of the abdominal organs during the process of surgical intervention. Analysis of the clinical course of cancer of the right half of the colon showed that in almost 60% of cases, the presence of a tumor is accompanied by pain in the right abdomen, intestinal disorders, hyperthermia, symptoms of intoxication and anemia.
This combination of clinical symptoms is characteristic of toxic-anemic colon cancer.
Disorders of the motor-evacuation function of the colon lead to stagnation of intestinal contents and cause symptoms of discomfort such as a feeling of heaviness in the abdomen, loss of appetite, and nausea. Reflex functional disorders of other organs of the digestive system play an important role in the development of intestinal discomfort. The absorption of decay products by the inflamed mucous membrane, a change in the normal composition of the intestinal microflora, accompanied by the appearance of pathogenic strains that release exo- and endotoxins, leads to the development of endogenous intoxication syndrome.Functional disorders of the gastrointestinal tract in patients with colon cancer are manifested by impaired passage of contents, constipation, bloating, and paroxysmal pain.
The accumulation of feces above the tumor is accompanied by an increase in the processes of putrefaction and fermentation, leading to bloating with stool and gas retention.
In cases where the course of the tumor process is complicated by the development of intestinal obstruction, the clinical picture of patients with colon cancer is dominated by such symptoms as bloating with difficulty in passing feces and gases, nausea, belching, vomiting.The pains are paroxysmal. According to a number of authors, when a malignant tumor is localized in the left half of the colon, the stenosing nature of tumor growth leads to a narrowing of the intestinal lumen, as a result of which fecal masses, accumulating above the tumor, can be palpated through the abdominal wall and are sometimes mistaken for a tumor.
One of the rather frequent and relatively early clinical manifestations of colon cancer is pathological discharge from the rectum .These include mucus, blood, pus, tumor masses, etc. Most often, pathological impurities in the feces were noted with left-sided localization of the colon tumor, rather than with the location of the tumor in the right half (62.4% and 18.5%, respectively). Much less often there was a discharge of pus, fragments of tumor masses, indicating the addition of an inflammatory process, leading to the disintegration of the tumor, infection and the formation of perifocal and intratumoral abscesses. In any case, the presence of such secretions quite often indicates a widespread tumor process.
One of the symptoms indicating an advanced tumor process is a tumor palpable through the abdominal wall. The frequency of this symptom ranges from 40 to 60%.
Any of the above symptoms (pain, intestinal upset, presence of pathological impurities in the stool) can be present with any bowel disease, not just a tumor. Analysis of the clinical course of colon cancer indicates a significant percentage of diagnostic errors (up to 35%), leading to hospitalization in general therapeutic and infectious diseases clinics for the treatment of anemia of unknown etiology, dysentery, etc.The percentage of patients admitted to general surgical hospitals for emergency indications at the height of obstructive intestinal obstruction remains high.
The following clinical forms of colon cancer are distinguished:
- toxic-anemic , characterized by varying degrees of severity of anemia, general symptoms, intoxication;
- obstructive – characterized by the appearance of signs of impaired intestinal patency and accompanied by paroxysmal pain in the abdomen, rumbling and increased peristalsis, stool retention and poor gas discharge;
- enterocolitic form , accompanied by bloating, alternating diarrhea with constipation, the presence of pathological impurities in the feces, dull, aching abdominal pain;
- pseudo-inflammatory form , characterized by a low severity of intestinal disorders against the background of signs of an inflammatory process in the abdominal cavity;
- tumor (atypical) form , for which general symptoms are uncharacteristic, impaired intestinal patency, with a palpable tumor in the abdominal cavity;
- dyspeptic form , the characteristic features of which are symptoms of gastric discomfort (nausea, belching, feeling of heaviness in the epigastric region), accompanied by pain, localized mainly in the upper floor of the abdominal cavity.
It should be emphasized that the isolation of clinical forms, to a certain extent, conditionally and mainly characterizes the leading symptom complex. Nevertheless, knowledge of the manifestations of colon cancer allows one to suspect the presence of a tumor, even in cases where the disease proceeds with mild intestinal disorders.
Complicated forms of colon cancer
Complications quite often associated with colon cancer that directly affect the course of the disease and the prognosis of the tumor process include intestinal obstruction of varying severity, perifocal inflammatory process, tumor perforation, intestinal bleeding, and tumor spread to surrounding organs and tissues.
According to the literature, the incidence of intestinal obstruction in patients with colon cancer ranges from 10 to 60%. Such pronounced differences in the frequency of this complication are largely due to the fact that the overwhelming majority of patients with a complicated course of the tumor process end up in emergency surgical hospitals, and not in specialized medical institutions.
The clinical course of the disease largely depends on the severity of intestinal obstruction.With a decompensated form of intestinal obstruction (sharp bloating with stool and gas retention, vomiting, cramping pains throughout the abdomen against the background of severe metabolic disorders), emergency surgical intervention is indicated, the volume and nature of which depends not only on the localization of the tumor, but also on the severity of the developed complications. In cases of a compensated form of obstructive intestinal obstruction, conservative measures are often effective, which make it possible to prepare the patient for a planned operation.
Passage of liquid intestinal contents persists with narrowing of the intestinal lumen to 0.8-1 cm, with cancer of the right half of the colon, ileus (intestinal obstruction) phenomena usually occur with large tumor sizes. As the stenosis progresses, an enlargement of the intestine is formed above the tumor, leading to an accumulation of feces and the appearance of aching pains in the abdomen, at times cramping and spastic in nature.
When the tumor is localized in the left colon, the development of intestinal obstruction is often preceded by constipation, alternating with profuse fetid loose stools.In cases of decompensated intestinal obstruction, metabolic disorders quickly join the dysfunction of the organs of the gastrointestinal tract, leading to a violation of the vital functions of organs and systems.
Intratumoral and perifocal inflammatory processes pose a great danger in colon cancer. The incidence of such complications is quite high: from 12 to 35%.
Inflammatory changes in tumors caused by the presence of a large number of virulent microorganisms in the intestinal contents, the qualitative and quantitative composition of which changes with the breakdown of tumor tissue, lead to infection and the formation of inflammatory infiltrates and abscesses.
In the majority of clinical observations, histological examination of removed preparations in patients with perifocal inflammatory process showed ulceration of the tumor and signs of acute purulent inflammation with the formation of abscesses, necrosis and fistulas in the thickness of adipose tissue, tumor stroma or in lymph nodes.
Perforation of the intestinal wall and bleeding from a disintegrating tumor are the most formidable complications of this disease. Prolonged stasis of intestinal contents against the background of chronic intestinal obstruction in combination with trophic disorders of the intestinal wall lead to the formation of pressure ulcers and perforation.
The most unfavorable prognosis is tumor perforation into the free abdominal cavity, leading to diffuse fecal peritonitis. With perforation of a segment of the intestine, devoid of the peritoneal cover, an acute purulent focus is formed in the retroperitoneal space. In a number of patients, the punctate perforation is covered with an omentum or a nearby organ, leading to the formation of a perifocal inflammatory process that spreads to nearby organs and tissues. Perifocal and intratumoral inflammation, complicating the course of the underlying disease on the one hand, and perforation of the colon tumor on the other, are links of the same pathological process, which is based on the infection of the affected part of the colon with conditionally pathogenic strains of microorganisms penetrating through the pathologically altered intestinal wall …
Diagnostics
Improvement of methods of clinical examination of a patient with the use of modern X-ray and endoscopic techniques, the use of a wide arsenal of screening diagnostic methods until recently has not significantly improved the early detection of colon cancer. More than 70% of patients with colon cancer at the time of hospitalization had stages III and IV of the disease. Only 15% of them consulted a specialist within 2 months after the onset of the first symptoms of the disease.In less than half of the examined patients, the diagnosis was established within 2 months from the onset of the disease, and in every fourth patient, it took more than six months to find out the nature of the disease. Quite common diagnostic errors led to the performance of unreasonable surgical interventions, physiotherapeutic procedures, leading to the dissemination of the tumor process.
Colon cancer is diagnosed by X-ray and endoscopic examination.An equally important method of physical examination of the patient is abdominal palpation, which allows not only to identify a tumor in the abdominal cavity, but also to assess its consistency, size, and mobility.
According to a number of authors, in 60-70% of cases, a colon tumor is palpable.
Types of research
- X-ray examination , along with colonoscopy, is the leading one in the diagnosis of colon cancer.
- Irrigoscopy allows you to obtain information about the localization of the neoplasm, to establish the extent of the lesion, to determine the form of tumor growth, to assess its mobility, and sometimes to judge the relationship with other organs.When performing an irrigoscopy, it is also possible to identify synchronous colon tumors. The latter circumstance is also important because with the stenosing nature of the growth of the neoplasm, endoscopic examination does not allow assessing the state of the overlying parts of the colon before the operation.
- Endoscopic examination , along with visualization of a malignant tumor, allows obtaining material for histological examination, which is a necessary attribute of preoperative diagnosis of malignant neoplasm.
- The simplest and most widespread method of endoscopic examination of the colon is sigmoidoscopy , in which it is possible to assess the condition of the lower part of the intestinal tube. When performing sigmoidoscopy, the researcher assesses the state of the colon mucosa, vascular pattern, the presence of pathological impurities in the intestinal lumen, elasticity and mobility of the intestinal wall. When a colon tumor is detected, its size, appearance, consistency, mobility during instrumental palpation are studied, and a biopsy is performed.
Determination of the degree of spread of the tumor process
The program of examination of the patient before the operation, in addition to the already listed traditional methods, includes special X-ray and radioisotope studies.
At the heart of hematogenous metastasis is the process of embolization by cancer cells of the pathways of venous outflow from an organ affected by a tumor process. The penetration of tumor cells into the venous vessels occurs as a result of invasion and destruction of the vessel wall by the tumor.The bulk of venous blood in patients with colorectal cancer enters the portal vein through the system of the inferior and superior mesenteric veins, which explains the fact of the main localization of distant metastases in the liver.
Ultrasound examination is widely used to assess the extent of the spread of the tumor process. It is based on the principle of recording the reflected ultrasonic wave from the boundaries of tissue division, differing in density and structure. Possessing high resolution and informational content, ultrasound is an almost harmless diagnostic method that allows visualizing tumor nodes with dimensions of
0.5-2.0 cm.
Anatomical and topographic structure of the liver, good propagation of ultrasound in it determines the high information content of the study. It is important that ultrasound helps to determine not only the nature of pathological changes in the liver, but also to establish the localization and depth of the focal changes. When performing ultrasound tomography, a layer-by-layer image of the internal structure of the liver is obtained and pathological masses or diffuse changes are detected.Ultrasound of the liver can be repeated quite often without damage to the patient’s body, which makes it possible to evaluate the results of the treatment.
The use of X-ray computed tomography (CT) in medicine has significantly improved the diagnosis of various pathological conditions.
Computed tomography has the following important advantages over other examination methods:
- presents an image of anatomical structures in the form of a cross-section, excluding the registration of their images;
- provides a clear image of structures that slightly differ in density from each other, which is extremely important for diagnostics;
- provides an opportunity for quantitative determination of tissue density in each area of the image of the examined organ for differential diagnosis of pathological changes;
- has a non-invasive diagnostic method, safety and low radiation exposure to the patient’s body.
According to the researchers, when analyzing the CT-picture of metastatic tumors of colorectal cancer in 48% of cases, tumor nodes contained calcifications, and sometimes total calcification of metastatic tumors was revealed.
Radionucleide (isotopic) methods for diagnosis and assessment of the spread of colorectal cancer are rarely used in the daily practice of medical institutions. One of these methods is positive scintigraphy, based on the use of specific drugs such as gallium in the form of a citrate complex, as well as indium isotope-labeled bleomycin.
Colon cancer treatment
Selection of the type of surgical intervention and justification of its scope
Colon cancer surgery has a history of over 150 years. Reybard in 1833 performed the first colon resection for a malignant tumor with the formation of an interintestinal anastomosis. In Russia in 1886 E.V. Pavlov performed the first resection of the cecum for its malignant tumor with an anastomosis between the ascending colon and ileum .Unlike manipulations on the small intestine, resection of the large intestine, according to V. Schmiden (1910), is one of the most important surgical interventions associated with the existence of such features as the presence of pathogenic microflora in the contents of the hollow organ, the absence of the mesentery in the fixed areas of the colon. intestine, a thinner layer of the muscular membrane. These features of the colon predetermine the increased demands on the reliability of the formation of interintestinal anastomoses, taking into account the anatomical features of various parts of the colon and the adequacy of the blood supply to the anastomosed segments.
The main disadvantage of these surgical interventions is the presence of, albeit a temporary colostomy, the withdrawal of the intestine to the anterior abdominal wall. Therefore, in specialized oncoproctological clinics, there is a rethinking of the indications for performing two-stage surgical interventions, considering them justified only in weakened patients with symptoms of decompensated intestinal obstruction.
The volume and nature of surgery for colon cancer depends on a number of factors, among which the most important are the location, the extent of the tumor, the presence of complications of the underlying disease, and the general condition of the patient.
Selection of the type of surgical intervention in the complicated course of colon cancer
Most patients with colorectal cancer are admitted to specialized medical institutions in the III and IV stages of the tumor process. Many of them have various complications (obstructive intestinal obstruction, tumor perforation, bleeding and perifocal inflammatory process), which often require urgent surgical intervention.
The results of surgical interventions in patients with complicated colorectal cancer to a certain extent depend on the qualifications of the operating surgeon, his ability to assess the degree and severity of the pathological process complicating the course of the underlying disease, and taking into account the general condition of the patient.
When choosing the type of surgical intervention, they strive not only to save the patient from an acute surgical complication, but also, if possible, perform a radical operation.
One of the most dangerous complications of colon cancer is perifocal and intratumoral inflammation, often spreading to surrounding tissues. The incidence of such a complication is quite high and ranges from 6% to 18%. This complication is manifested by the clinic of acute inflammation and intoxication, and the spread of the process to neighboring organs and surrounding tissues contributes to the formation of infiltrates, abscesses, phlegmon.Often, a pronounced inflammatory process in a tumor and its surrounding organs is interpreted as tumor infiltration, which is the reason for an inadequate amount of surgical intervention.
The presence of perifocal and intratumoral inflammation in colon cancer has a significant impact on the choice of the volume and nature of the surgical intervention only in cases where the inflammatory process spreads to surrounding organs and tissues, and compels the use of combined surgical interventions.
Combined operations for colon cancer
Expansion of the volume of surgical intervention due to the spread of a malignant tumor to nearby organs and tissues increases the duration of the operation, trauma and blood loss. The exit of the tumor beyond the intestinal wall indicates a far-reaching neoplastic process, but the absence of distant metastases makes it possible to perform a combined operation, which, improving the quality of life of patients, eliminates severe complications of the tumor process and creates real prerequisites for the use of specific methods of antitumor treatment.
Palliative surgery in patients with colon cancer
Almost 70% of patients with colon cancer at the time of surgery are diagnosed with stage III and IV of the disease, and every third patient from among those operated on is diagnosed with distant metastases, mainly to the liver and lungs. The development of intestinal obstruction makes it necessary to resort to symptomatic surgical interventions – colostomy, the formation of a bypass anastomosis in patients with stage IV of the disease.However, more and more surgeons for advanced colorectal cancer are opting for palliative resection or hemicolectomy .
Palliative colon resection or hemicolectomy significantly improves the quality of life, saving the patient from such complications of the tumor process as purulent-septic complications, bleeding, tumor decay with the formation of a fecal fistula.
Comparative analysis of immediate and long-term results of treatment of patients with colon cancer who underwent resection or hemicolectomy, regardless of whether the operation was radical or palliative, showed that the frequency and nature of postoperative complications were approximately the same.
Palliative surgical interventions in the volume of resection or hemicolectomy are finding more and more supporters and are increasingly the operation of choice for metastatic colon cancer. This was facilitated by a decrease in the incidence of postoperative complications and mortality, and an expansion of indications for resection of organs affected by metastases (liver, lungs). When determining the indications for performing palliative surgical interventions in the volume of colon resection or hemicolectomy, both the general condition of the patient and the degree of tumor dissemination are taken into account.
One of the important factors that predict the course of the disease in patients undergoing liver resection for metastases is the time interval between treatment for the primary tumor and the detection of liver metastases. It was found that the longer the duration of the relapse-free course of the tumor process, the more favorable the prognosis of surgical treatment of liver metastases.
In determining the scope of surgical intervention for metastatic colorectal cancer, an important role is played by the study of the functional state of the liver.Liver failure in itself is one of the main causes of postoperative mortality in extensive liver resections. The liver is an organ with great compensatory capabilities. Enough 10-15% of its healthy parenchyma for the full functioning of the organ.
An important issue for determining surgical tactics is the number of metastatic nodes in the liver. Multiple nodes significantly worsen the prognosis and are one of the main reasons for abandoning active surgical tactics.However, the presence of multiple nodes localized in one anatomical half of the liver is not a contraindication to surgical treatment, although, of course, the prognosis in such patients is much worse than with a single and single (2-3 nodes) metastases.
Combined treatment for colon cancer
The reasons for the failure of surgical treatment of patients with adenocarcinoma of the colon are local relapses and distant metastases. Unlike rectal cancer, in this disease, local relapses are relatively rare, and liver metastases predominate.In patients with stage III colon cancer, local relapses occur in 7% of cases, and distant metastases – in 20%. The emergence of these unfavorable secondary tumor formations is due to the dissemination of tumor cells during surgery. Preoperative radiation therapy, which has recently begun to be introduced into the practice of oncoproctological clinics, allows to increase the ablasticity of surgical interventions.
Depending on the sequence of application of ionizing radiation and surgery, a distinction is made between pre-, post- and intraoperative radiation therapy.
Preoperative Radiation Therapy
Depending on the purposes for which preoperative radiation therapy is prescribed, two main forms can be distinguished:
- irradiation of operable colon cancer;
- irradiation of inoperable (locally advanced) or doubtfully operable forms of tumors.
The death of tumor cells as a result of radiation exposure leads to a decrease in the size of the tumor, delimitation from the surrounding normal tissues due to the proliferation of connective tissue elements (in cases of prolonged preoperative irradiation and delayed operations).The realization of the positive effect of preoperative radiation therapy is determined by the magnitude of the radiation dose.
In clinical studies, it has been shown that a dose of 40-45 Gy leads to the death of 90-95% of subclinical growth foci. A focal dose of not more than 40 Gray, given at 2 Gray daily for 4 weeks, does not cause difficulties in performing the subsequent operation and does not have a noticeable effect on the healing of a postoperative wound.
Postoperative Radiation Therapy
Certain benefits of postoperative radiation therapy include:
- planning of the volume and method of irradiation is carried out on the basis of data obtained during the operation and after a thorough morphological study of the removed tissues;
- there are no factors that have a negative effect on the healing of postoperative wounds;
- surgical intervention is performed as quickly as possible from the moment of clarifying the diagnosis of the disease.
To achieve a therapeutic effect during postoperative radiation therapy, it is necessary to administer high doses – at least 50-60 Gray.
The presence of inflammation in the area of surgery, impaired blood and lymph supply leads to a delay in the supply of oxygen to tumor cells and their complexes, which makes them radio-resistant. At the same time, normal tissues in the state of regeneration become more radiosensitive, namely, they must be included in a larger volume in the target for postoperative irradiation, i.e.because it is necessary to act on the tumor bed, the entire postoperative scar and areas of regional metastasis.
90,000 Colon cancer: disease description
Fast passage
Colorectal cancer is colon cancer , which is the terminal part of the gastrointestinal tract and includes the colon, sigmoid and rectum.
Most colon cancers begin as small, benign tumors called adenomatous polyps and adenomas.Over time, some of these polyps can develop into a malignant tumor and become colon cancer.
Polyps may not cause symptoms or symptoms may be subtle. For this reason, doctors recommend regular screening tests to prevent colon cancer by identifying and removing polyps before they turn into cancer.
What are the symptoms of colon cancer?
Colon cancer signs include:
- Changes in bowel habits, including diarrhea or constipation, changes in stool consistency that last more than four weeks.
- Discharge of blood or blood in the stool.
- Persistent abdominal discomfort such as bloating, variable pain.
- Feeling of incomplete emptying of the intestines.
- General weakness, fatigue.
- Unexplained weight loss.
In the early stages of colon cancer, many people experience no symptoms. When symptoms appear, they usually change depending on the size of the tumor and its location in the large intestine.
When should I see a doctor?
If you notice any symptoms of colon cancer, such as bloody stools or persistent bowel discomfort, do not hesitate to make an appointment with your doctor.
Rassvet Clinic employs a multidisciplinary team of highly qualified specialists – gastroenterologists, therapists, nutritionists, to whom you can turn for help.
The doctor will first study the more common causes of these signs and symptoms, and if a tumor process is detected, he will refer you to an oncologist at the Rassvet Clinic for consultation.
You can also find out when to start screening for colon cancer. As a rule, it is recommended to start it after the age of 50. However, your doctor may recommend more frequent or earlier screening if you have risk factors.
What are the causes of colon cancer?
In most cases, it is not definitively established what exactly causes colon cancer. Doctors know it occurs when healthy cells in the colon develop errors in their genetic code – DNA.
Healthy cells grow and divide in ways that support the normal functioning of the body. But when a cell’s DNA is damaged and the cell becomes cancerous, it continues to divide even if new cells are not needed. The immune system normally detects and destroys such cells, but over time, cancer cells acquire the ability to “escape” from the immune system. This is how a malignant tumor is formed.
Over time, the number of cancer cells grows, they penetrate into nearby tissues and destroy them.Cancer cells can also move to other parts of the body. This is called metastasis.
Hereditary colon cancer
Inherited gene mutations that increase the risk of colon cancer can be passed on in families, but these inherited gene changes are associated with only a small percentage of colon cancers.
Inherited gene mutations do not necessarily lead to cancer, but can significantly increase the risk of the disease.
The most common hereditary cancer syndromes associated with colon cancer are:
- Familial adenomatous polyposis (FAP). FAP is a rare condition that causes thousands of polyps to form in the lining of the colon and rectum. With this disease, the patient has an almost 100% chance of developing colon cancer by the age of 40.
- Hereditary nonpolyposis colorectal cancer (HNPCC), also called Lynch syndrome.It is a genetic disorder associated with a high risk of colon cancer as well as other cancers, including endometrial cancer, ovarian cancer, stomach cancer, small bowel cancer, liver cancer, urinary tract cancer, brain and skin tumors. The increased risk of developing these cancers is due to inherited mutations that impair the repair of DNA damage.
Patients with Lynch syndrome have a 50-70% lifetime risk of colon cancer.
FAP, Lynch syndrome, and other more rare hereditary colon cancer syndromes can be detected with genetic testing. If you are concerned about your family’s history of colon cancer and want to find out how high your risk of colon cancer is, make an appointment with an oncologist at Rassvet Clinic.
The doctor will determine the necessary screening program to determine the degree of risk and will tell you about the methods of cancer prevention in your case.
Relationship between diet and increased risk of colon cancer
Studies of large groups of people have shown a link between a typical Western diet and an increased risk of colon cancer. The typical “Western” diet is high in fat and low in fiber.
When people move from areas with a low-fat, high-fiber diet to areas with a typical “Western” diet, their risk of colon cancer increases significantly.This is due to the effect of a high-fat, low-fiber diet on bacteria that normally live in the colon and the maintenance of chronic inflammation that contributes to cancer. This topic is currently the subject of active research.
Also, increased consumption of red meat and processed meat products increases the risk of developing colon cancer.
What are the risk factors for colon cancer?
Factors that can increase your risk of colon cancer include:
- Older age.In the vast majority of cases, colon cancer occurs in people over 50. This disease can also occur in young people, but much less often.
- African American race. African Americans are at greater risk of colon cancer than other races.
- History of colon cancer. If you have already had colon cancer or an adenomatous polyp, then you have an increased risk of developing colon cancer in the future.
- Inflammatory bowel disease.Chronic inflammatory diseases of the colon, such as ulcerative colitis or Crohn’s disease, can increase the risk of colon cancer.
- Hereditary syndromes. Genetic syndromes, passed down from generation to generation, can increase the risk of colon cancer. These syndromes include familial adenomatous polyposis and hereditary colon cancer without polyposis, also known as Lynch syndrome.
- Family history of colon cancer.You are more likely to develop this condition if you have a parent, sibling, or child with the condition.
- A diet low in fiber and high in fat.
- Sedentary lifestyle. People with low physical activity are at increased risk of developing colon cancer. Regular physical activity can reduce your risk of developing it.
- Diabetes mellitus. People with diabetes and insulin resistance have an increased risk of developing colon cancer.
- Obesity. Obese people have an increased risk of developing colon cancer and the risk of death from colon cancer compared to people whose weight is normal.
- Smoking. People who smoke have an increased risk of developing colon cancer.
- Alcohol. Excessive alcohol consumption increases the risk of developing this cancer.
- Radiation therapy. People who have received abdominal or pelvic radiation therapy for other cancers have an increased risk of developing colon cancer.
Prevention of colon cancer. Screening
Screening is of paramount importance in the prevention of colon cancer.
Doctors recommend certain screening tests for healthy people without signs or symptoms of illness to detect early colon cancer.
Colon cancer detection at the earliest stage gives the best chance of a cure. Screening has been shown to reduce the risk of dying from this disease.
In accordance with the recommendations of the American Cancer Society, regular colon cancer screening should begin at the age of 45-50 years. This can be done either with a fecal occult blood test or by examining the colon during an endoscopic procedure – colonoscopy or its lower sections – rectosigmoidoscopy. It is also possible to conduct CT colonography – this is a study using computed tomography.
People in good health should have regular colon cancer screening before they turn 75.
For people aged 76-85, the decision to get screened is made individually with a doctor and should be based on preference, life expectancy, general health, and history of previous screening tests.
Colon cancer screening is not recommended for people over 85 years of age.
There are the following types of colon cancer screening:
- Colonoscopy.Usually it is carried out once every 10 years in the absence of signs of pathology.
- CT colonography. Held every 5 years.
Another screening option is the annual fecal occult blood test in combination with rectosigmoidoscopy every 5 years.
Each method has its own advantages and disadvantages. Talk to your doctor and together you can decide which tests are right for you. If colonoscopy is used for screening, polyps may be removed during the procedure before they turn into cancer.
The most important thing is to get screened. At the Rassvet clinic, you can get an oncologist’s advice on the types of examinations for screening colon cancer and decide which method is right for you.
People with an increased risk of developing colorectal cancer may be prescribed an individualized program, as screening may need to be started before age 45, more frequent and / or special tests.
The risk of colon cancer is increased if:
- There is a family history of colon cancer or some types of polyps.
- Treatment of colon cancer or certain types of polyps in the break.
- Inflammatory bowel disease (ulcerative colitis or Crohn’s disease) is present.
- Known family history of hereditary colorectal cancer such as familial adenomatosis (FAP) or Lynch syndrome.
- Previously received abdominal or pelvic radiation therapy for other cancers.
- The family has one or more members with colon cancer.
- People who have had certain types of polyps removed during colonoscopy.
If you have an increased risk of colon cancer, you can consult with the specialists of the Rassvet clinic to get an individual screening program that is necessary in your case.
Dawn Clinic’s Doctors Advice on Lifestyle Changes to Reduce the Risk of Colon Cancer
You can take steps to reduce your risk of colon cancer by making changes in your daily life.This requires:
- Eat a variety of fruits, vegetables, and whole grains. Fruits, vegetables, and whole grains contain vitamins, minerals, fiber, and antioxidants that may play an important role in cancer prevention. Choose a variety of fruits and vegetables for a variety of vitamins and nutrients.
- Drink alcohol in moderation, or do not drink alcohol at all. If you drink alcohol, limit the amount of alcohol you drink to no more than one drink per day for women and two for men.
- Stop smoking. Quitting smoking on your own can be very difficult, you can contact the doctors at the Rassvet clinic. You will be provided with practical advice and information on existing medications to help you quit smoking.
- Be physically active on as many days of the week as possible. Try to exercise for at least 30 minutes as often as possible. If you have been inactive, start gradually and build up to 30 minutes.
- Maintain a healthy weight.Combine a healthy diet with daily exercise to maintain your weight. If you need to lose weight, at Rassvet Clinic you can get advice from a nutritionist about healthy ways to achieve your goal. Aim for slower weight loss by increasing the amount of exercise you do and reducing your calorie intake.
Diagnosis of colon cancer
If your symptoms indicate that you may have colon cancer, you will need to get further testing.To do this, use the following procedures:
Endoscopic diagnostics:
1. Colonoscopy. Colonoscopy uses a special instrument (colonoscope), which is a long, flexible and thin tube combined with a video camera and monitor. Thus, the doctor examines the mucous membrane of the entire colon.
When suspicious tissue or polyps are found, he passes surgical instruments through the colonoscope and takes tissue samples (biopsies) or removes the polyps.In the Rassvet clinic, the procedure is carried out under general anesthesia, which makes it painless and avoids discomfort during the examination.
A tissue biopsy is extremely important, as the tissue undergoes modern pathomorphological diagnostics, with histological, immunohistochemical and molecular genetic studies, this allows not only to make a diagnosis, but also to prescribe the correct treatment.
After the diagnosis of colon cancer is established, tests are scheduled to determine the extent of its prevalence.Correct determination of the extent of the tumor process (stage) is necessary for the selection of the most appropriate treatment protocol.
These examinations include imaging procedures such as CT scans of the abdomen and chest.
2. Magnetic resonance imaging of the pelvic organs. The final scope of the examination is determined by the doctor, based on complaints and the clinical picture of the disease.
3.Clinical blood tests are also performed. A blood test cannot detect colon cancer. But a doctor can check your blood for signs of general health problems.
A blood test is performed for the presence of tumor markers – chemicals sometimes produced by colon cancer cells (carcinoembryonic antigen CA19-9 or CEA). The level of the tumor marker, monitored over time, can also help the doctor assess the prognosis of the disease and understand whether your cancer is responding to treatment.
In some cases, the stage of the tumor can only be determined after colon cancer surgery.
Stages of colon cancer
There are 4 stages of the course of this disease:
- Stage I. Cancer spreads within the wall of the large intestine, but does not spread beyond the wall or rectum.
- Stage II. Cancer grows through the entire thickness of the colon wall and can invade adjacent tissues, but does not spread to adjacent lymph nodes.
- III stage. Cancer spreads to nearby lymph nodes but does not affect other parts of the body.
- IV stage. Cancer has spread to distant organs, such as the liver or lungs.
How to treat colon cancer
In the treatment of colon cancer, as in most other malignant tumors, surgery, chemotherapy, radiation therapy, and combinations thereof are used.The necessity and sequence of each of these stages is determined taking into account the prevalence of the process, as well as the patient’s condition and identified concomitant diseases.
In the Rassvet clinic, for the treatment of malignant tumors of the colon, a multidisciplinary approach is used with a discussion of a complex case at a consultation with the involvement of a surgeon, chemotherapist and radiotherapist.
The Rassvet clinic has everything you need to carry out chemotherapy for colon cancer according to Russian and Western protocols, as well as accompanying therapy.If necessary, the patient is routed to other treatment methods.
Authors:
Oncological dispensary, Shakhty
Colon cancer is a malignant disease that can occur in any part of the large intestine, which consists of the colon (the part of the intestine through which the small intestine is emptied) and the rectum (the final shortened part of the large intestine).
General
The colon consists of the ascending colon (runs from bottom to top in the right side of the abdomen), the transverse colon (intersects with the small intestine and is located horizontally at the top of the abdomen), the descending colon (located on the left side of the abdomen and runs from the upper corner downwards) and ends with the rectum.
Colon cancer occurs most often in the lowermost part of the sigmoid colon and in the rectum.
After lung cancer, mortality from this disease is in second place. For suspicious lesions, a colonoscopy is done, but a biopsy is needed to diagnose colon cancer.
Colon cancer often develops from an adenoma (a benign tumor of glandular cells) that grows from the intestinal surface into the intestinal lumen. The size of the adenoma can vary from subtle to a few centimeters wide. Cancer cells can grow inside the intestines.The larger the adenoma, the more likely it is to contain cancer cells.
With a small malignant tumor, asymptomatic course is possible for several months or years.
Reasons
The underlying cause of colon cancer is unknown. Some researchers believe diet is important. A number of studies suggest that people with insufficient dietary fiber, fruits and vegetables, high protein and fat content (the type of food of the majority of the population of industrial cities) have a high incidence of colon cancer.How inadequate nutrition contributes to cancer is not fully understood, although scientists believe the condition may be related to poor digestion of fats and the amount of time it takes to cleanse the intestines. People who abuse alcohol, especially beer or wine, also have an increased risk of rectal cancer. The mechanism of its occurrence is also unknown.
Heredity can also play a role as colon cancer is often noted in the family history of the patient.
Risk factors for colon cancer are: family history; polyps in the colon; ulcerative colitis and other inflammatory bowel diseases.
Colon cancer symptoms
Changes in bowel function, bleeding from the rectum, pain in the lower abdomen, flatulence, weight loss, anemia, change in the size or shape of feces.
The type of growth and symptoms of the disease are different and depend on the location of the tumor.
Complications
Colon cancer is a dangerous disease. About 1/3 of patients with this disease die. With early diagnosis of the disease, in most cases, patients recover.
If a malignant tumor of the colon is left untreated, it grows into other organs, which leads to death.
What can you do
With early diagnosis and adequate therapy, rectal cancer responds well to treatment, so a doctor should be visited for any alarming symptoms of this disease.
What a doctor can do
If symptoms suggest colon cancer, the doctor should conduct appropriate tests. Blood tests (to determine if anemia is present, determination of a special genetic marker, computed tomography, scans, barium enema, x-rays, and colonoscopy) should be done.
Small polyps can be removed and biopsy samples taken during colonoscopy.
Colon cancer is treated with surgery by removing the tumor and part of the colon above and below to ensure that all tumor cells are removed.
Usually both ends of the intestine grow together and after that the intestine functions normally. In some cases, rectal cancer requires a colostomy (removal of the colon outside to the surface of the body). However, the new technique, which uses a portion of the small intestine to form the rectum, reduces the need for a colostomy.
Radiation therapy is used before or after surgery, especially for advanced cancer. Chemotherapy is increasingly used after surgery, especially for stage III cancer, in which lymph nodes are enlarged due to malignancy. Complex therapy, including post-surgical treatment with anticancer drugs, reduces the death rate by 1/3.
Preventive measures against colon cancer
Recent studies have shown that eating mainly fruits, vegetables, and grains can prevent colon cancer.A good diet is high in plant fiber, beta-carotene, vitamins A and C. There are antioxidant vitamins that prevent under-oxidized foods from damaging tissue (from lipid peroxidation), which some scientists believe increase the risk of colon cancer.
To avoid colon cancer, it is necessary to limit alcohol consumption, reduce the intake of foods high in protein and fat, and increase the content of plant fibers and complex carbohydrates in the diet.
Early research and diagnosis can help cure this disease. Every person over the age of 50 should be tested annually for blood in their stool.
In addition, an annual digital rectal examination is recommended in people over 40 years of age. For people over 50, proctosigmoidoscopy or colonoscopy is recommended once every 2-3 years.
If you are at risk, you should visit your doctor annually and do research to detect colon cancer.
Multistage surgical treatment of primary multiple synchronous colon cancer in an elderly patient: a clinical case | Friedman
1. Cancer in the elderly. Ed. V. N. Anisimova, K. P. Khavinson, V. M. Moiseenko. SPb .: Publishing house of NL, 2004.336 p. [Cancer of elderly patients. By eds .: V. N. Anisimov, K. P. Khavinson, V. M. Moiseenko.Saint Petersburg: Izd-vo N-L, 2004.336 p. (In Russ.)].
2. Markaryan DR, Nikoda VV, Tsar’kov PV Multidisciplinary approach in the perioperative management of patients with colorectal cancer in old age (literature review). Russian Journal of Gastroenterology, Hepatology, Coloproctology 2011; 21 (1): 50–6.
3. [Markariyan D.R., Nikoda V. V., Tsarkov P. V. Multidisciplinary approach in the perioperative management of elderly patients with colorectal cancer (literature review). Rossiyskiy zhurnal gastroenterologii, gepatologii, koloproktologii = Russian Journal of Gastroenterology, Hepatology, Coloproctology 2011; 21 (1): 50–6. (In Russ.)].
4. Martynyuk VV, Presnyakov VN, Suleiman TA Surgical treatment of rectal cancer in elderly and senile patients.Bulletin of surgery im. I. I. Grekova 2000; 6: 28–30.
5. [Martynyuk V. V., Presnyakov V. N., Suleyman T. A. Surgical treatment of cancer of the rectum of elderly and old patients. Vestnik khirurgii im. I. I. Grekova = I. I. Grekov Surgery Herald 2000; 6: 28-30. (In Russ.)].
6. Aapro M. S., Kohne C. H., Cohen H. J., Extermann M. Never too old? Age should not be a barrier to enrollment in cancer clinical trials.Oncologist 2005; 10 (3): 198–204.
7. Folprecht G., Cunningam D., Ross P. et al. Efficacy of 5-fluorouracil-based chemotherapy in elderly patients with metastatic colorectal cancer: a pooled analysis of clinical trials. Ann Oncol 2004; 15 (4): 1330-8.
8. Manikhas GM, Khrykov GN, Khanevich MD, Fridman M. Kh. Clinical guidelines for the treatment of colorectal cancer in elderly and senile patients.Advances in Gerontology 2013; 26 (3): 458–68. [Manikhas G. M., Khrykov G. N., Khanevich M. D., Fridman M. Kh. Clinical recommendations for treatment of colorectal cancer of elderly and old patients. Uspekhi gerontologii = Progress of Gerontology 2013; 26 (3): 458–68. (In Russ.)].
9. Manikhas GM, Fridman M. Kh., Khanevich MD et al. Immediate results of treatment of stomach and colon cancer in elderly patients.Materials of the VIII Congress of Russian Oncologists. September 11–13, 2013. In 3 volumes. T. 3. St. Petersburg, 2013. P. 959. [Manikhas G. M., Fridman M. Kh., Khanevich M. D. et al. Direct results of treatment of the stomach cancer and cancer of the colon of old patients. Materials of the VIII assembly of oncologists of Russia. September, 11–13, 2013. In 3 volumes. Vol. 3. Saint Petersburg, 2013. P. 959. (In Russ.)].
10. Turrentine F. E., Wang H., Simpson V. B., Jones R. S. Surgical risk factors, morbidity and mortality in elderly patients. J Am Coll Surg 2006; 203 (6): 865-77.
Colorectal cancer – Clinic of Coloproctology, St. I.I. Janelidze
Colorectal cancer (colorectal cancer) is the second leading cause of cancer death and the second most common cancer in most developed countries.
The incidence of colorectal cancer begins to increase in the 40-year-old age group and peaks between 60 and 75 years.Rectal cancer is more common in men and colon cancer in women. Approximately 5% of patients with colon or rectal cancer have several colorectal cancers at the same time.
Colon cancer usually begins as a lump on the lining of the colon or polyp. As it grows, nearby lymph nodes may be affected, and the tumor begins to invade the intestinal wall. As blood flows from the intestinal wall to the liver, colon cancer usually metastasizes to the liver soon after it has spread to nearby lymph nodes.
Symptoms
Colorectal cancer grows rather slowly, and it takes a long time before symptoms appear clear enough. Its symptoms depend on the type, location and extent of the malignant tumor. The tumor in the ascending colon is so large that the doctor can feel it through the abdominal wall. However, fatigue and weakness due to severe anemia are sometimes the only symptoms.
The ascending colon has a large diameter and thin walls.Since its contents are liquid, obstruction develops only in the later stages of the disease.
The descending colon has a smaller diameter and a thicker wall, the feces in its lumen are almost hard. The tumor in this part of the colon usually grows around its circumference, causing alternating constipation and diarrhea. Since the descending colon is narrower and has thick walls, cancer of this localization leads to the development of obstruction early. A person may see a doctor due to constipation and severe abdominal pain.In feces, streaks or an admixture of blood are sometimes found, but often there is no visible blood; to determine it, you need a laboratory study.
All malignant tumors usually bleed; bleeding is usually scanty. The most common first symptom in colorectal cancer is bleeding during bowel movements. Doctors consider cancer for any bleeding from the rectum, even if the person is known to have hemorrhoids or diverticulosis.
In colorectal cancer, the act of defecation is painful; a feeling of incomplete emptying of the rectum is characteristic. Sitting can be painful. However, if the tumor does not spread to tissues outside the rectum, the patient usually does not feel pain directly related to its development.
Reasons
The chance of developing colorectal cancer is higher if someone in the family has it; known cases of familial polyposis or a similar disease; if a person suffers from ulcerative colitis or Crohn’s disease, the chance of developing a tumor is also high.
The risk is related to the person’s age and the duration of the disease.
Diet plays a role in the development of colon cancer. Worldwide, people who live in cities and whose diets are typical of developed Western countries are at highest risk. This diet is low in plant fiber and high in animal protein, fat, and easily digestible carbohydrates such as sugar.
The risk can probably be reduced by introducing more calcium, vitamin D and vegetables such as cabbage, carrots, and beets into the diet.
Taking aspirin every other day also appears to reduce the risk of colon cancer, but this type of treatment cannot be recommended without good reason.
Diagnostics
Early detection of colorectal cancer is facilitated by regular examination to detect the latent form of the disease. Stool testing for trace amounts of blood is inexpensive and simple. For the results of the analysis to be accurate, for 3 days before taking it, a person must avoid meat and eat foods high in plant fiber.If this test for detecting a latent form of the disease indicates the likelihood of cancer, further testing is necessary.
Before endoscopy, the bowel is emptied, often with the use of strong laxatives and several enemas. About 65% of colorectal malignant tumors are detected using a sigmoidoscope. If a polyp is found that may be cancerous, an examination of the entire colon with a colonoscopy is required. Some tumors that look cancerous can be removed using surgical instruments passed through a colonoscope; others are removed during abdominal surgery.
Colorectal cancer can be detected by a blood test. The level of carcinoembryonic antigen in the blood is high in 70% of patients with such a tumor. The high preoperative carcinoembryonic antigen content may decrease after the tumor has been removed. If this happens, follow-up checks are advisable. An increase in the amount of carcinoembryonic antigen suggests cancer recurrence. The other two antigens, CA 19-9 and CA 125, are similar to the carcinoembryonic antigen and can also be tested for this purpose.
List of diagnostic methods: irrigoscopy, sigmoidoscopy, colonoscopy, occult blood tests, mucosal biopsy, blood tumor markers
Treatment
The mainstay of treatment for colorectal cancer is the surgical removal of a large segment of the affected intestine and associated lymph nodes. Approximately 70% of patients with colorectal cancer can have surgery; some of those 30% patients who cannot undergo surgery due to a weakened condition sometimes have the tumor removed by electrocoagulation.This procedure reduces symptoms and prolongs life, but unfortunately does not lead to a complete cure.
In most colon cancers, the affected segment of the intestine is surgically removed and the remaining ends are connected. In rectal cancer, the type of operation depends on how far from the anus the tumor is located and how deeply it grows into the intestinal wall. After complete removal of the rectum and anus, the person is left with a permanent colostomy (a surgically created communication between the intestine and the abdominal wall).
After colostomy, the contents of the colon are removed through the abdominal wall into the colostomy bag. If possible, only a portion of the rectum is removed, leaving the rectal stump and intact anus. The rectal stump is then attached to the end of the colon.
Radiation therapy after surgical removal of visible rectal cancer helps suppress the growth of remaining tumor cells, reduces the likelihood of recurrence and increases the likelihood of survival.For rectal cancer and one to four lymph nodes in most cases, a combination of radiation and chemotherapy is prescribed. If more than four lymph nodes are affected, this treatment is less effective.
If colorectal cancer is widespread, there are distant metastases and it is unlikely that surgery will help radically, chemotherapy with fluorouracil (fluorouracil) and levamisole (decaris) after surgery can prolong a person’s life, but also rarely leads to a cure.If colorectal cancer has spread so much that the entire tumor cannot be removed, surgery is performed to reduce the degree of intestinal obstruction – this helps to alleviate the patient’s condition. However, the lifespan is usually only about 7 months.
When cancer has spread only to the liver, chemotherapy drugs can be injected directly into the artery supplying the liver. A small pump is surgically inserted under the skin or an external pump is worn around the belt to allow the person to move around during treatment.Although this treatment is expensive, it can be more effective than conventional chemotherapy; however, it requires further research. If the cancer has spread outside the liver, there is no benefit to this approach to treatment.
If a colorectal cancer has been completely removed during surgery, experts recommend in most cases 2-5 annual colonoscopy examinations of the bowel. If during the first year no tumors are found during such examinations, then subsequent examinations are usually done every 2-3 years.
Treatment methods: surgery, drug therapy, chemotherapy, radiation therapy
When to see a doctor:
Persons over 60 years of age must have a fecal occult blood test once a year.
With increased fatigue, pallor, shortness of breath.
For constipation or diarrhea.
For abdominal pain.
If there is blood or mucus in the stool.
When red blood is isolated from the rectum.
When to call an ambulance:
For abdominal pain, bloating, abdominal asymmetry, absence of stool and gas discharge (signs of intestinal obstruction)
Colon cancer | Oncological dispensary of St. Petersburg
General information
Hereditary and sporadic (randomized) colon cancer are distinguished.The development of hereditary cancer is genetically associated with some polyposis or non-polyposis syndromes. Hereditary diseases such as familial diffuse polyposis, Gardner’s syndrome and Turkot’s syndrome are associated with an extremely high risk of developing colon cancer. Hereditary non-polyposis cancer is associated with mutations in genes responsible for DNA repair. By the age of 70, colon cancer is diagnosed in about 80% of carriers of these mutations. In addition, first-degree people with colon cancer have a high risk of developing the disease.
The most important exogenous factors influencing the occurrence of sporadic colon cancer are diet, obesity and physical inactivity (sedentary lifestyle). The incidence of colon cancer is higher in those countries where meat predominates in the diet of the bulk of the population and the consumption of vegetable fiber is limited. Meat food causes an increase in the concentration of fatty acids, which are converted into carcinogenic agents during digestion. A lower incidence of colon cancer is observed in rural areas and countries with traditional plant-based diets (China, India, countries of Central Asia and Central Africa).According to the chemical theory of the origin of colon cancer, the malignant process is due to the mutagenic effect of a number of exo- and endogenous chemicals (carcinogens) on the cells of the intestinal epithelium. The most carcinogenic are polycyclic aromatic hydrocarbons, aromatic amines and amides, nitro compounds, as well as metabolites of tryptophan and tyrosine. Carcinogenic substances (benzpyrene) can be formed by improper heat treatment of food, smoking meat and fish.As a result of the effect of carcinogens on the cell genome, point mutations occur, leading to the transformation of cellular protooncogenes into active oncogenes. The latter transform a normal cell into a tumor cell.
Inflammatory bowel disease (IBD) is another proven risk factor for colon cancer. It was found that in patients with Crohn’s disease, colon cancer occurs 2.5 times more often than in healthy people. Also, a high correlation has been proven between ulcerative colitis and colorectal cancer, especially in cases of widespread lesions of the ulcerative process of the colon with a history of the disease for more than 10 years.Colon cancer in such patients is diagnosed in 5.2-30% of cases.
Colon polyps also significantly increase the risk of malignant tumors. The malignancy index of single polyps is 2-4%, multiple (which can be counted) – 20%, villous formations – up to 40%. Colon polyps are rare at a young age, and often occur in older age groups. According to the literature, the incidence of polyps at autopsies is about 30%.
Colon cancer develops in accordance with the basic laws of growth and spread of malignant tumors: relative autonomy and unregulated growth of tumor cells, a decrease in their differentiation, loss of organo- and histotypic structure. At the same time, there are some peculiarities. Thus, the growth and spread of colon cancer occur significantly more slowly than similar processes, for example, in cancer of the stomach and pancreas. A colon tumor does not spread beyond its wall for a long time.
Stages of colon cancer
There are three stages in the development of the tumor process:
- I and II stages – the tumor is limited to the colon itself (possibly with growth to neighboring organs)
- Stage III – tumor metastases appear in regional lymph nodes
- Stage IV – distant tumor metastases appear (liver, lungs, peritoneum, distant lymph nodes, brain, etc.)
Stage I – III can be considered potentially curable.Stage IV is subject to palliative treatment (regarded as a chronic, incurable disease). It should be noted that even at stage IV, prolonged life extension is possible. Currently, there is a certain percentage of patients going through the 10-year milestone from the moment of detection of stage IV colon cancer.
The lower the differentiation of the tumor, the higher its degree of malignancy (faster tumor growth and earlier metastasis). Colon cancer metastasis occurs by lymphogenous (most common), hematogenous and implantation pathways.Lymphogenous metastasis occurs along the vessels feeding the intestine, as well as in the lymph nodes of the mesentery. Hematogenous metastases are most often found in the liver, lungs, and brain. Implantation metastases occur as a result of the growth of all layers of the intestinal wall by the tumor and the spread of tumor cells along the peritoneum (peritoneal carcinomatosis).
Clinical picture of colon cancer
Colon cancer is a polysymptomatic disease. Its clinical manifestations depend on the localization of the tumor (in the right or left half of the colon), the nature of its growth, the size of the tumor, the stage of the malignant process, and the presence of complications.Early forms of cancer are almost always asymptomatic and are detected during colonoscopy for other diseases or during dispensary examination.
Most patients go to the doctor about the appearance of blood or mucus in the feces, stool disturbances in the form of constipation or, conversely, diarrhea, as well as changes in the shape of feces, due to intestinal discomfort, pain in the abdomen, deterioration of the general condition.
In tumors of the right half of the colon, which may be asymptomatic for a longer time, the first signs of the disease are often malaise, weakness, decreased ability to work, impaired appetite, weight loss, anemia, subfebrile body temperature (up to +37.9 91 099 0 C).In some cases, one of the first symptoms is a dense formation in the abdomen on the right, which the patient himself discovered.
For tumors of the left half of the colon, constipation is characteristic, which appeared for no apparent reason and became more frequent over time, an unstable admixture of mucus and dark blood in the stool, feces in the form of sheep feces, unexplained flatulence and episodes of sudden spastic or cramping abdominal pain without clear localization.
Possible complications of colon cancer:
- tumor bleeding;
- Acute obstructive colonic obstruction;
- tumor perforation;
- paracancrotic abscess;
- Local spread of the tumor to adjacent organs and tissues with impairment of their functions.
Diagnosis of colon cancer
“Diagnosis bona – curatio bona ”
“Bene diagnoscitur, bene curatur ”
A set of diagnostic studies for colon cancer has its own fundamental features. It is not enough to simply identify a tumor. It is extremely important to perform a comprehensive examination with an assessment of the histological variant and the prevalence of the tumor process.The volume of treatment and the sequence of its various stages depend on the results of a correctly formulated diagnosis.
IMPORTANT! If someone says something like, “You have cancer! We urgently need to operate! Going to an oncologist and being examined is a waste of effort and money! ” – CONTACT AN ONCOLOGIST SPECIALIST!
It is wrong to operate on a patient who should start treatment with drug or radiation therapy! An erroneous diagnosis leads to erroneous treatment tactics, and this, in turn, leads to worse prognosis for recovery and further life!
The approximate minimum of examinations for a patient with a colon tumor should be considered:
- Complex of clinical laboratory studies: CBC, general urine analysis, glucose, ALT, AST, total bilirubin, total protein, creatinine, amylase, C-reactive protein, PTV + INR, HBsAg, HCV-AT, AT HIV -1.2, antibodies to Trep.Pallidum, CA 19-9, CEA
- Electrocardiography
- Examination by a therapist with a conclusion about the presence and severity of concomitant pathology
- CT of chest and abdomen with contrast
- Fibrogastroscopy + fibrocolonoscopy
- Examination of histological material (tumor biopsy)
- Irrigoscopy in the presence of a stenosing tumor that cannot be covered with an endoscope
- For women additionally: Pelvic ultrasound + examination by a gynecologist
Based on the results of the initial examination by an oncologist, additional studies and consultations may be required (MRI of the brain, intravenous urography, fibrobronchoscopy, examination by a neurologist, examination by an endocrinologist, etc.).etc.). Their spectrum is strictly individual and depends on the prevalence of the tumor process and the presence of concomitant pathology.
Surgical treatment of colon cancer
Surgery is the main treatment for colon cancer in the absence of distant metastases. The indications for surgery are always absolute. The choice of surgical intervention depends on the location of the tumor, the clinical stage of the disease, the presence or absence of complications, and the general condition of the patient.
The operation should be performed by trained oncologist surgeons in compliance with the basics of oncosurgery – the sheath of the intervention, compliance with ablastic and antiblastic measures. In addition, in order to choose the correct treatment tactics in the future, it is necessary to remove and examine at least 12 lymph nodes.
IMPORTANT! Unfortunately, we regularly face the negative consequences of poorly performed surgical interventions in non-cancer hospitals in the city! Consider carefully the choice of where to undergo planned surgical treatment.
Medicinal treatment
Adjuvant (prophylactic) polychemotherapy (APCT) is carried out after radical removal of the tumor in the absence of visible tumor foci in the body. Its goal is to target unrecognized and undetectable tumor micrometastases that could theoretically be present in a patient. APHT begins up to 60 days after the operation. After 60 days, preventive chemotherapy is considered ineffective and unreasonable.
IMPORTANT! Timely start of preventive and other types of treatment is another good reason to undergo treatment in specialized oncological institutions!
Palliative chemotherapy is performed in the presence of intractable tumor foci in metastatic colon cancer.Its tasks are to increase the duration and improve the quality of life by slowing down the progression of the tumor process.
Follow-up after the end of treatment
According to the Order of the Ministry of Health of the Russian Federation No. 915n of November 15, 2012 “On the approval of the Procedure for providing medical care to the population in the field of” oncology “”, all patients after special treatment for malignant tumors are subject to lifelong dispensary observation by a district oncologist (located in the polyclinic at the place of residence ).In the first year after the end of treatment, patients should be examined once every 3 months, in the second year – once every 6 months, and starting from the third year of observation – once a year. In addition to examination, patients are shown the performance of appropriate laboratory and instrumental studies (depending on the type and location of the tumor process).
To make an appointment for a consultation and examination with a doctor, please contact the specialist of the contact center:
Unified call center: +7 (812) 607-03-03
.

The sigmoid colon joins the rectum, which then connects to the anus.
Dysplasia is another pre-cancerous condition. It means there’s an area in a polyp or in the lining of the colon or rectum where the cells look abnormal, but they haven’t become cancer.
The camera captures images of the interior of the large intestine. Polyps and/or tissue samples may be removed and evaluated to determine whether they are cancerous.





