Metatarsal fracture healing timeline. Metatarsal Fracture Healing: A Comprehensive Guide to Recovery and Rehabilitation
How long does it take for a base of 5th metatarsal fracture to heal. What is the recommended rehabilitation timeline for a metatarsal fracture. How can patients manage pain and swelling during recovery from a metatarsal fracture. When can patients resume normal activities after a metatarsal fracture.
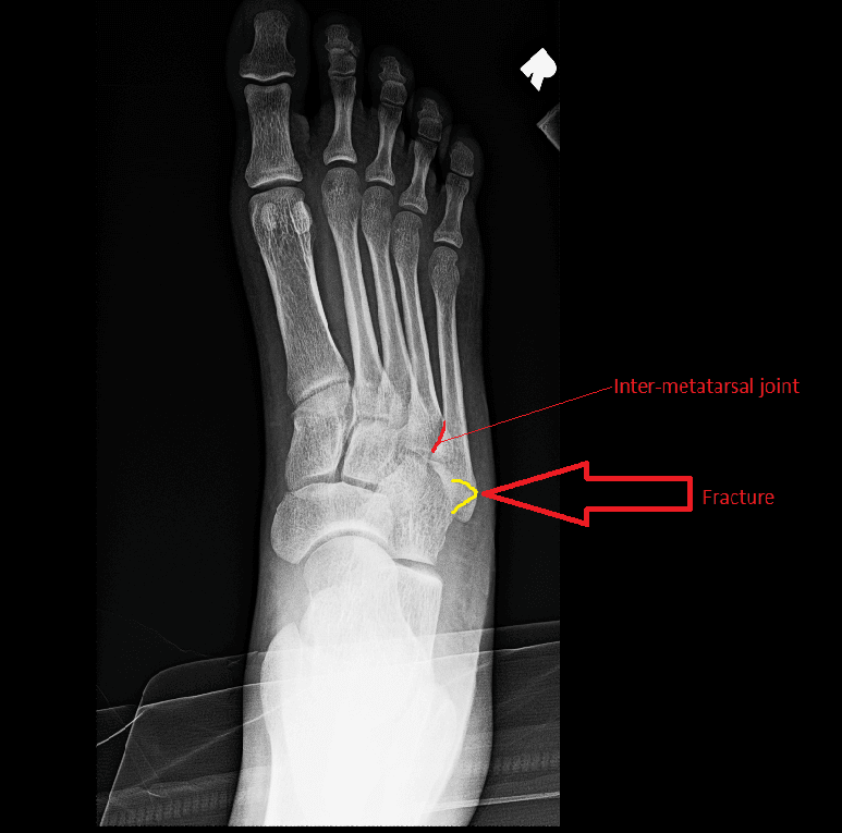
Understanding the Base of 5th Metatarsal Fracture
A base of 5th metatarsal fracture is a common foot injury that requires proper care and rehabilitation for optimal recovery. This type of fracture occurs at the base of the fifth metatarsal bone, which is located on the outer edge of the foot. Understanding the nature of this injury is crucial for patients to manage their expectations and follow the recommended treatment plan.
Typical Healing Timeline
How long does it take for a base of 5th metatarsal fracture to heal? Typically, this type of fracture takes about 6 weeks to heal. However, it’s important to note that mild pain and swelling can persist for 3-6 months after the initial injury. This extended recovery period is normal and should not be a cause for alarm as long as there is gradual improvement.

Managing Pain and Swelling
Effective pain and swelling management is crucial for a comfortable recovery. Here are some strategies to help alleviate these symptoms:
- Elevate your foot, especially at the end of the day when swelling tends to worsen
- Take prescribed pain medication as directed
- Apply cold packs to the injured area for up to 15 minutes every few hours
- Rest the foot, particularly in the first 24-72 hours after the injury
The Role of Cold Therapy
How can cold therapy help in the recovery process? Cold packs can provide short-term pain relief and help reduce swelling. When applying a cold pack, always wrap it in a damp towel to protect your skin from direct contact with the ice. This method can be especially effective in the early stages of recovery.
Walking and Weight-Bearing
Contrary to what some might expect, early weight-bearing is encouraged for this type of fracture. Patients are often advised to walk on the foot as comfort allows, although it may be easier to walk on the heel in the early stages. A protective boot is typically provided, not necessarily to aid fracture healing, but to help manage symptoms and provide comfort.

Transitioning Away from the Boot
When should patients stop using the protective boot? Around 3-6 weeks after the injury, patients are typically encouraged to start transitioning away from the boot. This process should be gradual, starting with short periods of walking without the boot at home before attempting longer walks outside. It’s normal to still use the boot for longer walks during this transition period.
Rehabilitation Exercises and Timeline
A structured rehabilitation plan is essential for a full recovery. Here’s a breakdown of the typical rehabilitation timeline:
Weeks 0-3
- Wear the protective boot when walking
- Use crutches to reduce weight on the injured foot
- Begin gentle exercises to maintain and improve movement
- Remove the boot at night and when resting at home
Weeks 3-6
- Gradually stop using the boot and crutches
- Start walking normally, beginning with short distances at home
- Continue exercises to regain foot flexibility
- Use the boot for longer walks if needed
Weeks 6-12
- The fracture is typically healed by this point
- Resume normal day-to-day activities, guided by any pain experienced
- Be aware that heavy tasks or long walks may still cause some discomfort
What exercises are recommended for rehabilitation? Initially, patients should focus on ankle and foot range of motion exercises. These include pointing the foot up and down, moving the toes apart with heels together, and making circles with the foot. These exercises should be performed 3-4 times a day, with 10 repetitions each.

Follow-Up Care and When to Seek Help
While routine follow-ups are not typically necessary for this type of fracture, patients should be aware of signs that may indicate the need for further consultation. If after six weeks there is still significant pain, swelling, or difficulty walking, it’s important to contact the Fracture Care Team for advice.
Red Flags to Watch For
What symptoms should prompt immediate medical attention? Patients should seek help if they experience:
- Increased pain that is not relieved by prescribed medication
- Swelling that continues to worsen despite elevation and rest
- Numbness or tingling in the foot
- Signs of infection such as fever, redness, or warmth around the injury site
Special Considerations for Certain Patients
Some patients may require special attention or modifications to their treatment plan. For example, diabetic patients should contact their healthcare provider to discuss appropriate footwear, as they may need a specialist diabetic boot to prevent complications.

Smoking and Fracture Healing
How does smoking affect fracture healing? Medical evidence suggests that smoking can significantly prolong fracture healing time and, in extreme cases, prevent healing altogether. Patients who smoke are strongly encouraged to consider smoking cessation during the healing phase to ensure optimal recovery. Resources for smoking cessation support can be found at http://smokefree.nhs.uk or through consultation with a GP.
Returning to Normal Activities
Most patients can begin resuming normal activities around 6-12 weeks after the injury. However, it’s important to be guided by any pain or discomfort experienced. Heavy tasks or long walks may still cause some discomfort and swelling for several months after the initial injury.
Gradual Progression
How should patients approach returning to more strenuous activities? A gradual approach is key. Start with light activities and slowly increase intensity and duration as tolerated. If an activity causes pain or significant swelling, it’s best to scale back and progress more slowly.

When can patients return to sports or high-impact activities? This varies depending on the individual and the specific activity, but generally, patients should wait until they have full range of motion, no pain with daily activities, and have regained sufficient strength in the foot and ankle. This often occurs around 3-4 months after the injury, but can take longer for more demanding activities.
Long-Term Outlook and Prevention
The long-term prognosis for a base of 5th metatarsal fracture is generally very good, with most patients making a full recovery. However, it’s important to take steps to prevent future injuries.
Preventive Measures
How can patients reduce the risk of future foot injuries? Consider the following preventive measures:
- Wear properly fitting, supportive footwear
- Gradually increase the intensity of physical activities
- Maintain good overall foot health and flexibility through regular exercises
- Be cautious on uneven surfaces or when participating in high-risk activities
By following these guidelines and maintaining awareness of foot health, patients can reduce their risk of experiencing similar injuries in the future.

The Importance of Patient Compliance
The success of the recovery process largely depends on patient compliance with the recommended treatment plan. This includes following the rehabilitation timeline, performing prescribed exercises, and adhering to weight-bearing restrictions.
Overcoming Challenges in Recovery
What are some common challenges patients face during recovery? Many patients struggle with:
- Impatience with the healing process
- Difficulty adhering to activity restrictions
- Consistently performing rehabilitation exercises
- Managing pain and swelling during daily activities
To overcome these challenges, it’s crucial to maintain open communication with healthcare providers, set realistic expectations, and focus on gradual progress rather than quick fixes.
The Role of Nutrition in Fracture Healing
Proper nutrition plays a significant role in fracture healing. A balanced diet rich in essential nutrients can support the body’s healing processes and potentially speed up recovery.

Key Nutrients for Bone Health
What nutrients are particularly important for fracture healing? Focus on incorporating the following into your diet:
- Calcium: Found in dairy products, leafy greens, and fortified foods
- Vitamin D: Obtained through sunlight exposure and foods like fatty fish and egg yolks
- Protein: Essential for tissue repair, found in lean meats, fish, eggs, and legumes
- Vitamin C: Supports collagen formation, abundant in citrus fruits and bell peppers
- Zinc: Aids in protein synthesis, found in oysters, beef, and pumpkin seeds
Consulting with a nutritionist or dietitian can provide personalized guidance on optimizing your diet for fracture healing.
The Impact of Physical Therapy on Recovery
While many patients can successfully recover from a base of 5th metatarsal fracture with self-directed exercises, some may benefit from professional physical therapy interventions.
Benefits of Physical Therapy
How can physical therapy enhance recovery from a metatarsal fracture? Physical therapy can offer several advantages:

- Personalized exercise programs tailored to individual needs and progress
- Hands-on techniques to improve joint mobility and reduce pain
- Guidance on proper gait and movement patterns to prevent compensatory injuries
- Education on injury prevention and long-term foot health
- Motivation and support throughout the rehabilitation process
Patients who experience persistent pain, significant stiffness, or difficulty returning to pre-injury activities may particularly benefit from physical therapy interventions.
Psychological Aspects of Injury Recovery
The psychological impact of a foot injury should not be underestimated. Many patients experience frustration, anxiety, or even depression during the recovery process, especially if it affects their ability to work or participate in valued activities.
Coping Strategies
How can patients maintain a positive mindset during recovery? Consider the following strategies:
- Set realistic, achievable goals for recovery milestones
- Practice stress-reduction techniques such as deep breathing or meditation
- Engage in hobbies or activities that don’t require foot use to maintain a sense of normalcy
- Connect with support groups or other individuals who have experienced similar injuries
- Communicate openly with healthcare providers about any emotional challenges
Remember that seeking professional mental health support is always an option if you’re struggling to cope with the emotional aspects of injury recovery.

Adaptive Equipment and Mobility Aids
Various adaptive equipment and mobility aids can help patients maintain independence and safety during the recovery process. While a protective boot is commonly provided, other aids may be beneficial depending on individual circumstances.
Common Mobility Aids
What types of mobility aids might be helpful during recovery? Consider the following options:
- Crutches: Help offload weight from the injured foot during early stages of recovery
- Knee scooter: Provides a more stable alternative to crutches for longer distances
- Cane: Offers additional support and balance as you transition to full weight-bearing
- Shower chair: Ensures safety during bathing when standing may be challenging
- Grabber tool: Helps retrieve items from the floor without bending or compromising balance
Consult with your healthcare provider to determine which aids might be most appropriate for your specific situation and stage of recovery.
Long-Term Foot Care After Recovery
Even after full recovery from a base of 5th metatarsal fracture, ongoing foot care is essential to maintain overall foot health and prevent future injuries.

Foot Care Best Practices
What are some long-term foot care strategies to adopt? Consider incorporating these practices into your routine:
- Regularly inspect your feet for any signs of injury or abnormality
- Practice good hygiene, including washing and thoroughly drying your feet daily
- Trim toenails straight across to prevent ingrown nails
- Wear moisture-wicking socks to keep feet dry and prevent fungal infections
- Replace shoes regularly, especially if you engage in high-impact activities
- Perform foot strengthening and flexibility exercises as part of your fitness routine
By prioritizing foot health long after recovery, you can reduce the risk of future injuries and maintain optimal foot function.
The Role of Footwear in Recovery and Prevention
Proper footwear plays a crucial role both during the recovery process and in preventing future injuries. Choosing the right shoes can support healing, provide comfort, and reduce the risk of re-injury.
Selecting Appropriate Footwear
What features should patients look for in shoes during and after recovery? Consider the following characteristics:

- Good arch support to distribute weight evenly across the foot
- A wide toe box to allow for natural toe spreading and prevent pressure points
- Shock-absorbing soles to reduce impact on the foot during walking or running
- Adjustable closures (like laces or straps) to accommodate any residual swelling
- Firm heel counter to provide stability and support
It’s often beneficial to have your feet professionally measured and fitted for shoes, especially if you’ve experienced changes in foot shape or size due to the injury and recovery process.
Understanding Potential Complications
While most patients recover well from a base of 5th metatarsal fracture, it’s important to be aware of potential complications that may arise during the healing process.
Common Complications
What complications should patients be vigilant about? Watch for signs of:
- Delayed union or non-union: When the fracture takes longer than expected to heal or fails to heal properly
- Refracture: A repeat fracture at the same site, often due to premature return to high-impact activities
- Chronic pain: Persistent pain that continues well beyond the expected healing time
- Post-traumatic arthritis: Inflammation and cartilage damage in nearby joints resulting from the injury
- Complex regional pain syndrome: A rare condition characterized by severe, persistent pain and sensitivity
If you suspect any of these complications, it’s crucial to consult with your healthcare provider promptly for proper evaluation and management.

The Importance of Patient Education
Comprehensive patient education is a cornerstone of successful recovery from a base of 5th metatarsal fracture. Well-informed patients are better equipped to actively participate in their recovery process and make informed decisions about their care.
Key Areas of Patient Education
What aspects of patient education are most crucial for recovery? Focus on understanding:
Base of 5th metatarsal fracture · Virtual Fracture Clinic
This information will guide you through the next 6 weeks of your rehabilitation. Use the video or information below to gain a better understanding of your injury and what can be done to maximise your recovery.
| Healing: | It normally takes 6 weeks for this fracture to heal. |
| Pain and Swelling: | The swelling is often worse at the end of the day and elevating your foot will help. Take pain killers as prescribed. Mild pain and swelling can continue for 3-6 months. |
Walking:
| You may walk on the foot as comfort allows but you may find it easier to walk on your heel in the early stages. The boot you have been given is not needed to aid fracture healing but will help to settle your symptoms. |
Follow up:
| We do not routinely follow up patients with this type of injury. If after six weeks you are: Please do not hesitate to contact us for a further consultation. |
Area of your injury
If you are worried that you are unable to follow this rehabilitation plan, or have any questions, then please phone the Fracture Care Team for advice.
Or, if you are experiencing pain or symptoms, other than at the site of the original injury or surrounding area, please get in touch using the telephone or e-mail details at the top of this letter.
What to expect
Weeks since injury | Rehabilitation plan |
0-3 | Wear the boot when you are walking. It is ok to take the boot off at night and when resting at home. Use the crutches to take some weight off your foot. Start your exercises straight away to maintain and improve your movement. |
3-6 | X Try to stop using the boot and to walk without crutches. Start around your house first, then try outside. You may want to wear the boot if you go on a longer walk. Continue your exercises to regain the flexibility of your foot. |
6-12 | Your injury is healed. You can begin to resume normal, day-to-day activities but be guided by any pain you experience. X Heavy tasks or long walks may still cause some discomfort and swelling. |
| 12 | If you are still experiencing pain and swelling then please contact the Fracture Care Team for advice. |
Advice for a new injury
Cold packs: A cold pack (ice pack or frozen peas wrapped in a damp towel) can provide short term pain relief. Apply this to the sore area for up to 15 minutes, every few hours ensuring the ice is never in direct contact with the skin.
Rest and Elevation: Try to rest the foot for the first 24-72 hours to allow the early stage of healing to begin. Raise your ankle above the level of your hips to reduce swelling.
You can use pillows or a stool to keep your foot up
Early movement and exercise: Early movement of the ankle and foot is important to promote circulation and reduce the risk of developing a DVT (blood clot). Follow the exercises below without causing too much pain. This will ensure your ankle and foot do not become too stiff. These exercises will help the healing process.
Early weight bearing (putting weight through your injured foot) helps increase the speed of healing. Try to walk as normally as possible as this will help with your recovery.
Smoking advice
Medical evidence suggests that smoking prolongs fracture healing time. In extreme cases it can stop healing altogether. It is important that you consider this information with relation to your recent injury. Stopping smoking during the healing phase of your fracture will help ensure optimal recovery from this injury.
For advice on smoking cessation and local support available, please refer to the following website: http://smokefree.
nhs.uk or discuss this with your GP.
Boot advice
Diabetic patients: If you are diabetic please contact us to discuss your boot. This is particularly important if you have problems with your skin. We can provide you with a specialist diabetic boot if required.
Footwear for your uninjured foot: We would recommend choosing a supportive shoe or trainer with a firm sole for your uninjured foot. You will notice that the boot you have been given has a thicker sole, by matching this height on the uninjured side you will reduce any stress on your other joints.
Exercises
Initial exercises to do 3-4 times a day
Ankle and foot range of movement exercises. Repeat these 10 times each.
- Point your foot up and down within a comfortable range of movement.
- With your heels together, move your toes apart, as shown in the picture.

- Make circles with your foot in one direction and then change direction.
Foot fracture – 3 weeks in a boot · Virtual Fracture Clinic
This information will guide you through the next 6 weeks of your rehabilitation. Use the video or information below to gain a better understanding of your injury and what can be done to maximise your recovery.
| Healing: | This injury normally takes 6 weeks to heal. |
| Pain and Swelling: | The swelling is often worse at the end of the day and elevating your foot will help. Take pain killers as prescribed. |
Walking:
| You may walk on the foot as comfort allows but you may find it easier to walk on your heel in the early stages. The boot you have been given is for your comfort only and is not needed to aid fracture healing but will help to settle your symptoms. |
Follow up:
| We do not routinely follow up patients with this type of injury. If after six weeks you are: Please do not hesitate to contact us for a further consultation. |
Picture of bones in the foot
If you are worried that you are unable to follow this rehabilitation plan, or have any questions, then please phone the Fracture Care Team for advice.
Or, if you are experiencing pain or symptoms, other than at the site of the original injury or surrounding area, please get in touch using the telephone or e-mail details at the top of this letter.
What to expect
Weeks since injury | Rehabilitation plan |
0-3 | If supplied, wear the boot for comfort and use crutches when walking. It is ok to take the boot off at night and when resting at home and to wash. Start your exercises straight away to maintain and improve your movement. |
3-6 | X Try to stop using the boot and to walk without crutches. Start around your house first, then try outside. You may want to wear the boot if you go on a longer walk. Continue your exercises to regain the flexibility of your foot. |
6 -12 | Your injury is healed. You can begin to resume normal, day-to-day activities but be guided by any pain you experience. X Heavy tasks or long walks may still cause some discomfort and swelling. |
| 12 | If you are still experiencing significant pain and swelling then please contact the Fracture Care Team for advice. |
Advice for a new injury
Cold packs: A cold pack (ice pack or frozen peas wrapped in a damp towel) can provide short term pain relief. Apply this to the sore area for up to 15 minutes, every few hours ensuring the ice is never in direct contact with the skin.
Rest and Elevation: Try to rest the foot for the first 24-72 hours to allow the early stage of healing to begin. Raise your ankle above the level of your hips to reduce swelling.
You can use pillows or a stool to keep your foot up
Early movement and exercise: Early movement of the ankle and foot is important to promote circulation and reduce the risk of developing a DVT (blood clot). Follow the exercises below without causing too much pain. This will ensure your ankle and foot do not become too stiff. These exercises will help the healing process.
Early weight bearing (putting weight through your injured foot) helps increase the speed of healing. Try to walk as normally as possible as this will help with your recovery.
Smoking advice
Medical evidence suggests that smoking prolongs fracture healing time. In extreme cases it can stop healing altogether. It is important that you consider this information with relation to your recent injury. Stopping smoking during the healing phase of your fracture will help ensure optimal recovery from this injury.
For advice on smoking cessation and local support available, please refer to the following website: http://smokefree.
nhs.uk or discuss this with your GP.
Boot advice
Diabetic patients: If you are diabetic please contact us to discuss your boot. This is particularly important if you have problems with your skin. We can provide you with a specialist diabetic boot if required.
Footwear for your uninjured foot: We would recommend choosing a supportive shoe or trainer with a firm sole for your uninjured foot. You will notice that the boot you have been given has a thicker sole, by matching this height on the uninjured side you will reduce any stress on your other joints.
Exercises
Initial exercises to do 3-4 times a day
Ankle and foot range of movement exercises. Repeat these 10 times each.
- Point your foot up and down within a comfortable range of movement.
- With your heels together, move your toes apart, as shown in the picture.

- Make circles with your foot in one direction and then change direction.
Fractures of the fifth metatarsal – Russian Football Union
14:55, 01 August 2019
Today I would like to tell you about the unique experience of treating one of the most unpleasant problems that football players and doctors face – fractures of the fifth metatarsal.
Their treatment is very complex and these injuries often recur (as with Neymar and Manuel Neuer, for example).
Together with colleagues from FC Zenit Vladimir Khaitin and FC Lokomotiv Gleb Chernov, I wrote a short article on this topic with relevant references that simply must be taken into account by both doctors and physical training and rehabilitation coaches so as not to further multiply the myths and legends of deep antiquity))
“Our experience in the treatment of fractures of the fifth metatarsal in professional football players using platelet rich plasma”
Injuries to the metatarsal bones in football are relatively uncommon and most commonly occur in the fifth metatarsal.
The main method of diagnosing fractures of this localization can be called radiography, which in most cases allows you to verify the diagnosis.
Treatment depends on the location of the fracture according to the Lawrence and Botte’s classification, according to which there are three zones of their localization.
Fractures located in 2-3 zones are at high risk for delayed consolidation and nonunion and therefore in athletes are most often treated with osteosynthesis using intramedullary screws.
The average recovery time with this type of treatment is at least 8 weeks.
This report describes five cases of fractures of the fifth metatarsal located in 2-3 zones in professional football players treated with immobilization boots, cryotherapy, calcium and vitamin D supplements, and local injections of platelet-rich plasma containing multiple growth factors.
The period of return to regular training activities was 43-50 days, and no recurrence of damage was detected during 6 months of follow-up.
Introduction
The treatment of fractures of the fifth metatarsal bone among athletes is an urgent problem due to long treatment periods (8 weeks or more) and a large number of relapses [1].
In football, they account for 0.5% of all injuries sustained by elite European football players with an average treatment time of about 80 days, regardless of the type of treatment chosen [2]
This type of fracture is one of the few diagnostics based on radiography, which in most cases allows to verify the diagnosis.
This type of fracture is one of the few diagnoses that are based on X-ray, which in most cases allows the diagnosis to be verified.
In a population of athletes, the tactics of treating such injuries depends on their localization according to the Lawrence and Botte’s classification, in which three zones are distinguished [3].
Fractures of the first zone are most often treated conservatively with good functional results in any of the categories of the population.
Fractures of the second and third zones with conservative treatment tend to slow consolidation and nonunion, therefore, the most common method of their treatment, especially in the population of athletes, is osteosynthesis using intramedullary screws [4].
The development of new methods of conservative treatment of such fractures with minimal treatment time and the number of recurrences is an urgent task for modern professional football.
One such technique may be the use of PRP, which contains multiple growth factors.
BTP is actively used in the treatment of acute and chronic injuries of the musculoskeletal system, in particular muscle injuries, tendinopathies and arthrosis with positive results [5,6].
Animal experiments have shown a favorable effect of BTP on the healing of both traumatic and osteoporotic fractures [7,8].
However, we could not find any data on the use of BTP in the treatment of metatarsal fractures.
Description of cases
The results of treatment of fifth metatarsal fractures in five young football players are presented.
The players were aged 19-21, height 178 cm, weight 71-75 kg.
All injuries occurred between November 2016 and June 2018 during matches during the competitive season. In all cases, the game was played on artificial turf.
There was no discomfort or pain in the area of the fifth metatarsal before the injury.
The mechanism of injury in three cases was contact, in two non-contact – during the run with acceleration, a sharp local pain appeared in the projection of the fifth metatarsal bone.
All football players immediately stopped sports activities and were immobilized with an orthosis.
In all cases, the X-ray performed confirmed the diagnosis (Figure 1).
In the first three days, initial therapy was carried out according to the POLICE protocol, including the use of cyclic compression therapy (7-8 times a day for 20 minutes), wearing compression stockings, as well as the mediROM Walker immobilization orthosis.
Non-steroidal anti-inflammatory drugs were not used in any case.
Calcium 1000 mg daily and vitamin D 5000 IU were started on the first day of treatment for 60 days.
3 days after injury, the first injection of platelet rich plasma (4-5 ml) was performed.
Three such injections were performed 7-10 days apart.
From the 3rd day after the first injection of BTP, low-intensity training on a bicycle ergometer began at 30-40
On the 7th day of treatment, rehabilitation training began, aimed at improving blood circulation using exercises without axial load on the foot.
In all cases, 5-7 days after the second injection of BTP, the pain syndrome with normal walking stopped, but the use of the orthosis continued for 30 days from the moment of injury.
Three days after the disappearance of the pain syndrome, low-intensity running work (10-15 minutes) began with subsequent progression.
Starting from the 30th day, all football players started individual work with the ball in boots.
The return to regular training activities ranged from 43-50 days.
Control radiography was performed 3-5 days before the start of RTD.
There were no allergic reactions or other adverse reactions during treatment.
Discussion
Fractures of zones 2-3 of the fifth metatarsal are at high risk for delayed consolidation and nonunion.
Current data on conservative treatment report long return to RTD and a high number of relapses.
For example, Japjec et al. the average treatment time for most fractures of zones 2–3 after osteosynthesis was 8 weeks, and with conservative treatment, even after 6 months, more than half of the patients had no signs of consolidation and pain persisted [9].
In this regard, in most cases in the group of professional athletes, surgical treatment is currently considered the method of choice for the treatment of such fractures.
Hunt KJ, et al. reported 21 operated athletes with a mean recovery time of 12.3 weeks with intramedullary screw fixation and only one re-fracture.
O’Malley et al. analyzed the results of surgical treatment of 10 basketball players from the NBA, whose average recovery time was 9.8 weeks. At the same time, repeated fractures occurred in three cases [10].
Thus, the currently available data show that even surgical treatment of fractures of the 2-3 zone of the fifth metatarsal bone is characterized by a long rehabilitation period and frequent repeated fractures.
In this regard, our data on the conservative treatment of such lesions using local injections of PRP may be of interest for further research.
References
1. Chi Nok Cheung1 and Tun Hing Lui1,*. Proximal Fifth Metatarsal Fractures: Anatomy, Classification, Treatment and Complications Arch Trauma Res. Dec 2016; 5(4): e33298. Published online 2016 Jun 13. doi: 10.5812/atr.33298
2. Ekstrand J1, van Dijk CN. Fifth metatarsal fractures among male professional footballers: a potential career-ending disease.
Br J Sports Med. 2013 Aug;47(12):754-8. doi:10.1136/bjsports-2012-092096. Epub 2013 Apr 9.
3. Lawrence SJ1, Botte MJ. Jones’ fractures and related fractures of the proximal fifth metatarsal. Foot Ankle. 1993 Jul-Aug;14(6):358-65.
4. Hunt KJ1, Anderson RB. Treatment of Jones fracture nonunions and refractures in the elite athlete: outcomes of intramedullary screw fixation with bone grafting. Am J Sports Med. 2011 Sep;39(9):1948-54. doi: 10.1177/0363546511408868. Epub 2011 Jun 1.
5. Grambart ST1. Sports medicine and platelet-rich plasma: nonsurgical therapy. Clin Podiatr Med Surg. 2015 Jan;32(1):99-107. doi: 10.1016/j.cpm.2014.09.006.
6. Laudy AB1, Bakker EW2, Rekers M3, Moen Mh5. Efficacy of platelet-rich plasma injections in osteoarthritis of the knee: a systematic review and meta-analysis. Br J Sports Med. 2015 May;49(10):657-72. doi: 10.1136/bjsports-2014-094036. Epub 2014 Nov 21.
7. Simman R1, Hoffmann A, Bohinc RJ, Peterson WC, Russ AJ.
Role of platelet-rich plasma in acceleration of bone fracture healing. Ann Plast Surg. 2008 Sep;61(3):337-44. doi: 10.1097/SAP.0b013e318157a185.
8. Chen L1, Yang X, Huang G, Song D, Ye XS, Xu H, Li W. Platelet-rich plasma promotes healing of osteoporotic fractures. Orthopedics. 2013 Jun;36(6):e687-94. doi: 10.3928/01477447-20130523-10.
9. Japjec M1, Starešinić M2, Starjački M2, Žgaljardić I3, Štivičić J2, Šebečić B2. Treatment of proximal fifth metatarsal bone fractures in athletes. injury. 2015 Nov;46 Suppl 6:S134-6. doi: 10.1016/j.injury.2015.10.052. Epub 2015 Nov 10.
10. O’Malley M1, DeSandis B2, Allen A1, Levitsky M1, O’Malley Q1, Williams R1. Operative Treatment of Fifth Metatarsal Jones Fractures (Zones II and III) in the NBA. Foot Ankle Int. 2016 May;37(5):488-500. doi: 10.1177/1071100715625290. Epub 2016 Jan 18.
Foot fracture: symptoms, treatment, rehabilitation
No
100%
Content
- 1 Foot fracture: symptoms, treatment and rehabilitation
- 1.
1 broken foot bones: symptoms, treatment, rehabilitation- 1.1.1 Definition of a foot fracture
- 1.2 Types of foot fractures
- 1.3 Foot fractures: symptoms, treatment, rehabilitation
- 1.3.1 Symptoms of foot fractures
- 1.4 Diagnosis of foot fractures
- 1.5 Treatment of foot fractures
- 1.6 Surgical treatment of foot fractures
- 1.7 Non-surgical treatment of foot fractures
- 1.8 Treatment of side effects of foot fractures
- 1.8.1 Weakening of muscles and supporting ligaments
- 1.8.2 Swelling and tenderness
- 1.8.3 Gait changes and bone hypermobility
- 1.8.4 Post-traumatic stress syndrome
- 1.9 Rehabilitation after a broken foot
- 1.10.1 Infections
- 1.10.2 Neurological complications
- 1.10.3 Parenchymal complications
- 1.10.4 Thromboembolic complications
90 151 1.10 Possible complications of foot fractures
90 157
- 1.
- 1.
11 Prevention of foot fractures - 1.12 Q&A:
- 1.12.0.1 What are the symptoms of a foot fracture?
- 1.12.0.2 How quickly to start treatment for a broken foot?
- 1.12.0.3 I have been ordered to wear a cast for a broken foot bone, how long do I need to wear it?
- 1.12.0.4 How is rehabilitation after a foot fracture?
- 1.12.0.5 Is it necessary to have surgery for broken bones in the foot?
- 1.12.0.6 What drugs are prescribed for the treatment of foot fractures?
- 1.13 Related videos:
Foot fractures – symptoms, treatment and prevention. Learn how to avoid foot injuries and, if so, how to get back on your feet quickly.
A broken foot is a serious injury that often results from falls, car accidents, sports injuries, or other severe impacts. This disease can lead to impaired mobility of the foot and concomitant disease.
The treatment of this injury involves several aspects, including diagnosis, reduction of inflammation and pain, normalization of blood circulation and restoration of normal foot mobility.
It should be under close medical supervision to prevent possible complications.
In this article we will look at the main manifestations of this injury, diagnostic methods, proposed treatment methods, as well as some rehabilitation tips for a quick and complete recovery.
Foot fracture: symptoms, treatment, rehabilitation
Definition of a foot fracture
A foot fracture is a bone injury that can occur in any of the bones of the foot or even in several bones at the same time. Foot fractures can be open or closed, unilateral or bilateral, and can be displaced or non-displaced.
Usually, a foot fracture occurs as a result of an injury, such as a fall from a height or a sports injury. In addition, a foot fracture can be caused by a sudden load on the foot, such as when jumping.
The main symptoms of a foot fracture are severe pain and swelling, impaired function of the foot, difficulty in moving, and a deterioration in the patient’s quality of life.
For the most accurate determination of a foot fracture, it is necessary to conduct x-rays and computed tomography of the foot.
Types of foot fractures
Foot fractures come in different types and are classified according to the location and nature of the injury. The following types of fractures are distinguished:
- Transverse fracture – characterized by damage to the bone in the transverse direction. Usually occurs as a result of a directed impact or strong compression of the foot. In most cases, it is accompanied by a violation of the integrity of the skin.
- Longitudinal fracture – occurs when the foot is severely stretched or compressed. It is characterized by damage to the bone in the longitudinal direction.
- Joint damage – characterized by damage to the foot joint. Occurs with a significant impact on the foot and may be accompanied by a bone fracture.
- Isolated metatarsal fracture is the most common type of fracture.
It is characterized by damage to the metatarsal bone. It can be both transverse and longitudinal.
An x-ray is required to determine the type of fracture.
Fracture of the bones of the foot: symptoms, treatment, rehabilitation
Symptoms of fractures of the foot
Fracture of the bones of the foot is a fairly common injury that can occur as a result of a fall or injury. One of the main symptoms is acute pain in the area of injury. Most often, the pain increases with movement or with the load on the foot.
Additional symptoms of foot fractures may include swelling, bruising, poor mobility and deformity of the foot. It is especially dangerous if the victim cannot normally step on a sore foot and loses balance. In this case, you should consult a doctor as soon as possible.
If you notice at least one of the listed symptoms, you should immediately contact a specialist who will conduct a comprehensive diagnosis and prescribe the necessary treatment.
- Soreness in the area of injury;
- Foot edema;
- Bruising;
- Impaired foot mobility;
- Foot deformity.
Foot fracture diagnosis
A foot fracture is a serious injury that requires mandatory diagnosis to determine the nature and extent of the injury.
To start the diagnosis, it is necessary to conduct a visual examination and assess the condition of the skin and soft tissues of the leg. Next, you should make an x-ray of the foot, which allows you to establish an accurate diagnosis and determine the type of fracture.
In addition to x-rays, a CT scan, magnetic resonance imaging or ultrasound may be ordered.
For additional evaluation of the condition of the leg, an emgraphy can be performed, which allows you to determine the presence of circulatory disorders in the injured area.
It is important to diagnose a foot fracture as soon as possible in order to prevent possible complications and prescribe the necessary treatment.
Treatment of foot fractures
First aid
If a broken foot is suspected, rest and call an ambulance immediately. Before it arrives, a cold compress can be applied to limit movement of the injured limb.
- Rest: when applying a cold compress, the limb should not move, so as not to aggravate the injury.
- Cold compress: As a rule, an ice compress can be applied to a broken foot, securing it with a tissue surface and not exceeding a time of thirty minutes. Such a compress helps to reduce swelling, does not worsen the condition and does not negate the effect of analgesic medications.
Treatment
Treatment of foot fractures directly depends on the type of fracture and trauma surgery on the codetal and lateral plates, as well as the introduction of chains of the bones of the fingers. After the operation, rehabilitation treatment is required.
Rehabilitation
Restoration of mobility and removal of swelling of the foot is achieved through exercises for a while every day.
Professional massage is of great importance. After the weakening of the inflammatory process, the foot can be loaded. The rehabilitation period lasts from several months to six months; it allows you to put in order the tissue, joints and muscles, as well as increase immunity and improve blood circulation.
Foot fracture surgery
Complex or severe foot fractures may require surgery. This may be necessary in cases where conservative treatment does not lead to an improvement in the patient’s condition, or in the presence of bone displacement, violation of the integrity of bone tissues and damage to blood vessels and nerves.
The operation can be performed under general anesthesia or local anesthesia and consists in restoring the tight connection of damaged bone elements. To do this, the surgeon can use special plates, fasteners and frames that fix the bones and ensure the correct position of the limb.
After the operation, it is necessary to carry out rehabilitation measures, which include physiotherapy, massage, therapeutic exercises and other methods aimed at restoring the functionality of the foot.
The duration of rehabilitation depends on the nature and severity of the fracture, the patient’s age and general health.
- Foot surgery is a serious intervention and requires true professionals.
- Before surgery, it is necessary to carry out all the necessary diagnostic measures and prepare the patient for the procedure.
- After the operation, the foot should not be loaded and the medical prescriptions of the doctor should be followed in order to prevent the recurrence of the fracture or other complications.
Non-surgical treatment of foot fractures
Foot fractures can be treated both surgically and non-surgically. In some cases where the fracture is not too severe, non-surgical treatment may be a more appropriate option.
Non-surgical treatment of foot fractures may include wearing a cast or arch bandage. The cast will hold the foot in place, allowing it to heal and strengthen, while the arch cast will keep the foot in its natural position.
Patients may also be referred for physical therapy to restore foot function and strengthen leg muscles. Physical exercise helps to restore the natural movement of the foot, preventing muscle compression and the development of pain.
In general, non-surgical treatment of foot fractures can take a long time, but this treatment is usually safer and less invasive than surgery. More severe fractures, however, may require surgery.
Treating the side effects of foot fractures
Weakening of the muscles and supporting ligaments
Following a fracture of the bones of the foot, weakening of the muscles and supporting ligaments can occur, resulting in dysfunction of the foot. To restore muscle tone and strengthen the ligaments, special exercises and massage are prescribed.
Swelling and tenderness
Swelling and tenderness are natural side effects of foot fractures and can cause discomfort and difficulty in movement.
To reduce swelling, drugs may be prescribed, to avoid overload. Analgesics and medications to relieve inflammation are used to reduce pain.
Gait changes and bone hypermobility
Often after a foot fracture, gait changes and bone hypermobility occur, resulting in additional pain. To solve this problem, orthopedic insoles are prescribed and physiotherapy exercises are carried out to strengthen muscles and ligaments.
Post Traumatic Stress Syndrome
People who have suffered a broken foot may develop emotional PTSD. To treat this condition, therapeutic sessions, complex breathing exercises and meditation can be prescribed.
Rehabilitation after a broken foot
Rehabilitation after a broken foot plays a key role in restoring the patient’s health and fulfilling life. In the first days after the fracture, a set of measures is prescribed to reduce swelling and pain in the area of injury. In addition, to speed up recovery, special orthopedic products are selected that provide maximum comfort and support for the injured foot.
The following stages of rehabilitation are aimed at restoring the motor functions of the foot. Physical rehabilitation specialists are involved with the patient, who select the optimal exercises and treatment methods to achieve the best results. In the process of training, the patient learns the correct walking technique and strengthens the muscles of the foot, which helps to eliminate pain and restore foot mobility.
An important component of rehabilitation after a broken foot is nutrition. The patient requires a complete diet rich in proteins, calcium and other vitamins and minerals necessary for bone healing and tissue renewal.
The rehabilitation process after a broken foot can take a long time, but a properly selected set of measures helps to return to a full life and forget about past injuries.
Possible complications of foot fractures
Infections
In case of a fracture of the foot bones, an infectious process may develop, which may occur as a result of injury and contact of the wound with bacteria of the internal or external environment, as well as as a result of surgical intervention.
Infectious complications can lead to an increase in body temperature, deterioration of the condition, and even threaten the life of the patient.
Neurological complications
Fracture of the bones of the foot can be accompanied by damage to the nerve structures, which can lead to impaired sensation, swelling of tissues and even paralysis of the limb. Significant nerve damage can lead to loss of limb function and disability.
Parenchymal complications
Fracture of the bones of the foot can damage internal organs such as the carotid gland and liver, which can lead to impaired function. Also, strong blows can cause damage to the kidneys, which can lead to acute kidney failure.
Thromboembolic complications
Prolonged physical inactivity and some drug treatments may be accompanied by the development of thromboembolic complications such as large vein thrombosis and pulmonary embolism, which threatens the patient’s life.
Prevention of foot fractures
To prevent foot fractures, a number of measures must be taken.
One of the main factors contributing to fractures is the wrong footwear. Avoid wearing high heels and non-supportive soft shoes. Buy shoes with a comfortable fit, stiff soles, and good foot support.
In addition, it is important to keep your bones and joints healthy. Regular leg strengthening and coordination exercises will help keep your feet healthy and prevent injury. Do not get carried away with too intense workouts and do not overload your legs.
For those who work on their feet, it is important to choose the right shoes and take breaks to warm up the feet and prevent overwork. It is also worth avoiding an increased load on one specific area of the foot, for which you can use orthopedic inserts in shoes.
- Choose comfortable shoes with hard soles and good support.
- Keep your bones and joints healthy.
- Exercise regularly to strengthen your legs and maintain coordination.
- Do not overload your legs and take breaks at work.

- Use orthopedic inserts in shoes to avoid stress on a specific area of the foot.
Q&A:
What are the symptoms of a foot fracture?
Symptoms of a foot fracture may include swelling, severe pain, impaired function of the foot, changes in the shape of the foot, and cracking, clicking, or difficulty moving.
How quickly to start treatment for foot fractures?
Treatment of a foot fracture should begin immediately after the injury, preferably within the first few hours. Therefore, it is important to seek medical help as soon as possible.
I have been ordered to wear a cast for a broken foot, how long do I need to wear it?
The length of time a cast is worn for foot fractures depends on the severity of the fracture and can vary from several weeks to several months.
How is rehabilitation after a broken foot?
Rehabilitation after a foot fracture includes restoring mobility, strengthening the muscles and joints of the foot, and treating the consequences of a fracture.

You may have mild symptoms for 3-6 months.

You may have mild symptoms for 3-6 months.
1 broken foot bones: symptoms, treatment, rehabilitation
11 Prevention of foot fractures
It is characterized by damage to the metatarsal bone. It can be both transverse and longitudinal.